Загадочная дисфагия
Добавил пользователь Евгений Кузнецов Обновлено: 08.01.2026
Введение. В настоящее время интервенционные процедуры на сонных, а иногда и коронарных артериях затруднительны при их выполнении лучевым доступом. Наличие a. lusoria (a. l.) — один из примеров сложной анатомии дуги аорты и ее ветвей, что является относительным противопоказанием к лучевому доступу при вмешательствах на коронарных и сонных артериях. На примере клинического случая пациента с a. l. проведен анализ стратегии вмешательства при сочетанном атеросклеротическом поражении сонной и коронарной артерий.
Материалы и методы. Пациент К., 56 лет, с мультифокальным атеросклерозом. По данным контрольной ангиографии — аномальная дуга аорты с аномальными ветвями и атеросклеротическим поражением: хронической окклюзией правой коронарной артерии в проксимальном сегменте со значимым стенозом правой внутренней сонной артерии.
Результаты и обсуждение. Учитывая значительные трудности катетеризации правой общей сонной артерии через a. l., решено катетеризировать левую лучевую артерию дистально. Для достижения надежной поддержки направляющего катетера выбрали Claret-технику. Для этого безинтродьюсерный направляющий катетер JR 7.5F (ASAHI) был перемоделирован в Simmons-катетер. Для облегчения селективной катетеризации правой общей сонной артерии мы использовали в качестве удлинителя диагностический катетер Pigtail 5F (прием «Мать и дитя»). Благодаря представленной стратегии удалось успешно закатетеризировать правую общую сонную артерию, свободно провести через направляющий катетер во внутреннюю сонную артерию все необходимые инструменты и выполнить вмешательство. Вторым этапом была выполнена реканализация хронической окклюзии правой коронарной артерии. Для катетеризации ПКА была выбрана левая лучевая артерия. Наиболее удобным оказался JFR 6F Adroit (Cordis). При его адекватной поддержке удалось реканализировать ПКА, используя коронарный проводник Gaia Third (ASAHI). Для определения положения проводника в дистальной части ПКА выполнялось контрастирование из системы ЛКА. После реканализации ПКА имплантированы стенты с антипролиферативным покрытием с хорошим ангиографическим результатом.
Заключение. Описанный клинический случай и технические решения позволяют расширить возможность оказания эндоваскулярной помощи пациентам с аномалиями дуги аорты через радиальный доступ.
Ключевые слова
Для цитирования:
For citation:
Введение
A. lusoria (a. l.) — аберрантная правая подключичная артерия. Довольно редкая аномалия. По данным литературы, встречаемость в мире разнообразна, в Европе до 2,5 %, наши данные — 24 пациента из 10 867 (0,22 %). Чаще встречается у женщин — 55,3-58,0 %, у мужчин — 42,0-44,7 % 1. Первое описание этой артерии было представлено в 1735 г. P.M. Hunauld, который отметил, что «аберрантная правая подключичная артерия может создавать механическое препятствие акту глотания, вызывая дисфагию». Клинические проявления при этой аномалии описаны в 1787 г. у женщины, длительно страдавшей дисфагией, на аутопсии у которой была обнаружена аберрантная правая подключичная артерия. Эта дисфагия известна в литературе как dysphagia lusoria — загадочная дисфагия, или Bayfort-Autenrieth дисфагия 6.
A. l. отходит от левой стороны дуги аорты, проходит позади пищевода (80 % случаев), между трахеей и пищеводом — 15 % или впереди трахеи — 5 %. Аберрантная правая подключичная артерия образуется в результате полной регрессии правой дуги аорты между правой общей сонной и правой подключичной артериями. После смещения мест отхождения подключичных артерий в краниальном направлении такая неправильно сформированная правая подключичная артерия в итоге начинает отходить от дуги аорты. Она становится последней четвертой ветвью дуги аорты 7.
Наличие a. l. может способствовать кровотечению при трахеостомии, при выполнении операций на щитовидной железе возможно повреждение гортанного нерва из-за изменения его топографии 12.
Но чаще всего a. l. становится проблемой при эндоваскулярных вмешательствах через правую лучевую артерию [14].
Материалы и методы
На примере нашего пациента с a. l. проанализируем стратегию вмешательства при сочетанном атеросклеротическом поражении сонной и коронарной артерий.
Пациент К., 56 лет, с мультифокальным атеросклерозом.
ИБС: стенокардия напряжения III КФК — хроническая окклюзия правой коронарной артерии (ПКА), атеросклероз сонных артерий — стеноз внутренней сонной артерии (ВСА) справа до 90 % (13 лет назад тромбоз центральной артерии сетчатки правого глаза), облитерирующий атеросклероз артерий нижних конечностей — хроническая артериальная недостаточность (ХАН) I слева — стенозы подвздошных артерий до 50 %. При выполнении диагностической ангиографии мы столкнулись со следующими трудностями.
- Катетеризация коронарных артерий правым дистальным доступом (через a. l.) была значительно затруднена. По положению катетеров мы предположили аномалию дуги аорты и выполнили аортографию. Выявили l.
- Попытки катетеризации общих сонных артерий правым дистальным доступом были безуспешными, и мы воспользовались левым дистальным лучевым доступом с использованием катетера Sim (рис. 1).

Рисунок 1. Контрольная аортография, выявление а. lusoria и хронической окклюзии правой коронарной артерии в проксимальном сегменте
Figure 1. Control aortography, detection of a. lusoria and a chronic occlusion of the right coronary artery in the proximal segment
Таким образом, перед нами был пациент с аномальной дугой аорты (почти горизонтально расположенной, с укороченным восходящим отделом) и ее аномальными ветвями (a. l., с низким отхождением правой общей сонной артерии, отхождением правой позвоночной артерии от проксимальной порции правой общей сонной артерии), с атеросклеротическим поражением: хронической окклюзией правой коронарной артерии в проксимальном сегменте при правом типе коронарного кровоснабжения миокарда, со значимым стенозом правой внутренней сонной артерии (рис. 2).

Рисунок 2. Схема анатомии дуги аорты пациента с указанием зоны поражения
Figure 2. A scheme of the aortic arch anatomy indicating the lesion area
Нами было спланировано лечение следующим образом.
- Восстановить просвет внутренней сонной и правой коронарной артерий эндоваскулярно за одну госпитализацию с интервалом в 3 дня.
- Воспользоваться дистальными лучевыми доступами.
- Не использовать бедренный доступ.
Принимая во внимание значительные трудности катетеризации правой общей сонной артерии через a. l., мы решили катетеризировать левую лучевую артерию дистально. Для достижения надежной поддержки направляющего катетера выбрали Claret-технику. Для этого безинтродьюсерный направляющий катетер JR 7.5F (ASAHI) был перемоделирован в Simmons- катетер. Для облегчения селективной катетеризации правой общей сонной артерии мы использовали в качестве удлинителя диагностический катетер Pigtail 5F (прием «Мать и дитя») (рис. 3).

Рисунок 3. Демонстрация технических решений для реализации первого этапа лечения
Figure 3. Technical solutions for the implementation of the first stage of treatment
Благодаря представленной стратегии удалось успешно закатетеризировать правую общую сонную артерию, свободно провести через направляющий катетер во внутреннюю сонную артерию все необходимые инструменты (устройство для профилактики эмболии Spider 6 мм ev3, стент Casper 9-30, баллонный катетер для постдилатации 5-20) и выполнить вмешательство с хорошим непосредственным ангиографическим результатом (рис. 4).

Рисунок 4. Ангиографический результат первого этапа лечения
Figure 4. Angiographic result of the first stage of treatment
Вторым этапом (через 3 дня) была выполнена реканализация хронической окклюзии правой коронарной артерии. Для успешной реканализации хронической окклюзии коронарной артерии необходима надежная поддержка направляющего катетера, установленного в устье ПКА, и контрастирование дистальных отделов окклюзированной коронарной артерии через ЛКА.
При наличии a. l. суть сложности заключается в пересечении путей катетеров из правой и левой подключичных артерий. При этом катетер из левой устремляется в восходящий отдел аорты, а из правой (из a. l.) соскальзывает в нисходящий отдел (рис. 5).

Рисунок 5. Ангиографическая и схематичная демонстрация пересечения путей катетеров из правой и левой подключичных артерий при наличии а. lusoria
Figure 5. Angiographic and schematic demonstration of the intersection of catheter pathways from the right and left subclavian arteries in the presence of a. lusoria
Для катетеризации ПКА была выбрана левая лучевая артерия. Модификации направляющих катетеров: JR, AR, EBU, AL оказались неподходящими, так как ни одним из них не удалось достичь необходимой поддержки — заведение коронарных проводников в зону окклюзии ПКА «выталкивало» катетер.
Наиболее удобным оказался JFR 6F Adroit (Cordis). При его адекватной поддержке удалось реканализировать ПКА, используя коронарный проводник Gaia Third (ASAHI). Для определения положения проводника в дистальной части ПКА выполнялось контрастирование из системы ЛКА. Для этого через правую лучевую артерию (через a. l.) был заведен диагностический катетер BLK 5F (TERUMO) и успешно катетеризировано устье ствола ЛКА (рис. 6).

Рисунок 6. Схема и ангиографическая картина катетеризации правой и левой коронарных артерий
Figure 6. Scheme and angiographic picture of the catheterisation of the right and left coronary arteries
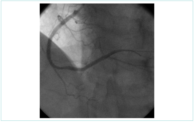
После реканализации ПКА имплантированы стенты с антипролиферативным покрытием с хорошим непосредственным ангиографическим результатом (рис. 7).

Рисунок 7. Контрольная ангиография после стентирования правой коронарной артерии
Figure 7. Control angiography after the right coronary artery stenting
Результаты и обсуждение
Несмотря на анатомические сложности, пациент в два этапа с интервалом в 3 дня был подвергнут рентген-эндоваскулярным интервенциям на правой сонной артерии и правой коронарной артерии трансрадиальным доступом.
При стентировании внутренней сонной артерии была использована Claret-методика и безинтродьюсерный катетер 7F типа Simons из левого лучевого доступа, с хорошим ангиографическим и клиническим результатом имплантирован каротидный стент Casper. Успешная реканализация правой коронарной артерии выполнена через катетер JFR 6F (из левого дистального доступа), для контрастирования дистального русла ПКА катетеризировалась левая коронарная артерия катетером BLK 5F из правого дистального доступа через a. l.
Лучевой доступ при каротидных интервенциях в настоящее время еще не стал рутинной практикой из-за меньшего удобства для оператора по сравнению с бедренным [15]. Ограниченный выбор методик и инструмента для трансрадиальных интервенций сдерживает развитие этого направления. Анатомические особенности (в т.ч. a. I.) еще больше обостряют проблему «небедренного» вмешательства на сонных артериях. Полагаем, что накопление опыта интервенций у анатомически аномальных пациентов позволит найти новые методики, типы катетеров, позволяющих преодолеть такие «преграды» трансрадиальным доступом. В существующей отечественной и зарубежной литературе мы не нашли публикаций, посвященных трансрадиальным вмешательствам на сонных артериях, особенно при сочетанной атеросклеротической патологии каротидных и сонных артерий при наличии а. I. 16. Наш случай — редкий. Делать выводы только на одном вмешательстве затруднительно.
Заключение
- Залогом успеха лучевого доступа при коронарных и нейроинтервенциях является его рутинное использование несмотря на анатомические сложности.
- При вмешательстве на сонной артерии было ли возможно успешно катетеризировать правую общую сонную артерию через а. и достичь надежной поддержки катетера, также используя Claret-технику? Предполагаем, что такая стратегия могла бы быть успешной, и в следующий раз в подобной ситуации мы ее используем.
- Был бы удобнее бедренный доступ у такого пациента? Учитывая аномальную анатомию дуги аорты, включающую не только наличие а. , но и ее укорочение и почти горизонтальное расположение восходящего отдела, низкое (проксимальное) отхождение общей сонной артерии, катетеризация коронарных и правой сонной артерий были бы непростыми.
- Оправданно ли было использование дистальных лучевых доступов при подобной анатомии дуги аорты? Так как у этого пациента накануне успешно выполнялись диагностические ангиографии коронарных и сонных артерий через дистальные порции правой и левой лучевых артерий, мы не сомневались в достаточности длины инструмента для вмешательств.
- Можно и нужно ли выявлять наличие а. перед эндоваскулярным вмешательством для планирования доступа? Возможно, рутинное допплерографическое исследование брахиоцефальных артерий перед вмешательством позволит выявить а. l., но это затратно и зависит от опыта УЗИ-диагноста. Кроме того, а. I. не единственная сложность для вмешательства и другой доступ (левый лучевой, бедренный и т.д.) также может быть затруднительным.
Информация о конфликте интересов. Конфликт интересов отсутствует.
Информированное согласие. Информированное согласие пациента на публикацию своих данных получено.
Информация о спонсорстве. Данная работа не финансировалась
Список литературы
1. Галимов О.В., Плечев В.В., Ишметов В.Ш., Абдрахманов Р.Э., Ибрагимов Т.Р., Благодаров С.И. и др. Возможности эндоваскулярной хирургии в лечении аневризм висцеральных артерий. Вестник Российского научного центра рентгенорадиологии Минздрава России. 2017;17(2):7.
2. Марченко А.В., Мялюк П.А., Вронский А.С. Клинический случай четырехэтапного лечения мультифокального атеросклероза с использованием гибридных технологий. Креативная кардиология. 2016;10(2):184-90. DOI: 10.15275/kreatkard.2016.02.08
3. Найден Т.В., Бартош-Зеленая С.Ю., Енькина Т.Н., Абрамов Е.А. Сравнительная характеристика ультразвуковых и ангиографических методов исследования сонных артерий при мультифокальном атеросклерозе. Регионарное кровообращение и микроциркуляция. 2015;14(1):20-5. DOI: 10.24884/1682-6655-2015-14-1-20-25
5. Плечев В.В., Ишметов В.Ш., Абдрахманов Р.Э., Ибрагимов Т.Р., Кашаев М.Ш., Герасименко Е.Н. и др. Этапное эндоваскулярное лечение острого коронарного синдрома и стеноза аортального клапана у пациента с высоким риском хирургического вмешательства на «открытом» сердце. Медицинский вестник Башкортостана. 2019;14(1):36-42.
6. Семитко С.П., Мельниченко И.С., Карпеева М.И., Болотов П.А., Аналеев А.И., Азаров А.В. и др. Выбор оптимального пути конверсии, обусловленной комплексной анатомией артерий верхней конечности при правом трансрадиальном доступе, по данным открытого регистра COMPAAS (complex anatomy of arteries and symmetry). Consilium Medicum. 2019;21(5):92-8. DOI: 10.26442/20751753.2019.5.190429
7. Собиров Ж.Г., Бахритдинов Ф.Ш. Оценка тяжести поражения артериальных бассейнов у больных с мультифокальным атеросклерозом. Ангиология и сосудистая хирургия. 2017;23(1):136-41.
8. Сумин А.Н., Корок Е.В., Гайфулин Р.А., Безденежных А.В., Иванов С.В., Барбараш О.Л. Гендерные особенности распространенности клинических проявлений мультифокального атеросклероза. Клиническая медицина. 2014;92(1):34-40.
9. Ильичева Е.А., Жаркая А.В., Булгатов Д.А., Боричевская М.А., Крыни-на Е.Ю., Махутов В.Н. Дооперационная диагностика артерии Лузории в хирургии доброкачественного заболевания щитовидной железы. Сибирский медицинский журнал (Иркутск). 2018;154(3):25-9.
10. Сумин А.Н., Безденежных А.В., Иванов С.В., Барбараш О.Л., Бар-бараш Л.С. Мультифокальный атеросклероз у больных ишемической болезнью сердца: влияние на непосредственные результаты коронарного шунтирования. Сердце: журнал для практикующих врачей. 2014;75(1):11-7. DOI: 10.18087/rhj.2014.1.1889
11. Хафизов Р.Р., Хафизов Т.Н., Идрисов И.А., Абхаликова Е.Е. Клинический случай успешного применения левого лучевого доступа для стентирования правой внутренней сонной артерии у пациента с мультифокальным атеросклерозом. Патология кровообращения и кардиохирургия. 2019;23(2):80-5. DOI: 10.21688/1681-3472-2019-2-80-85
13. Patel T., Shah S., Pancholy S. Patel’s Atlas of Transradial Intervention. [S.l.]: Hmp Communications; 2012. 242 p.
14. Rafiq A., Chutani S., Krim N.R. Incidental finding of arteria lusoria during transradial coronary catheterization: Significance in interventional cardiology. Catheter Cardiovasc Interv. 2018;91(7):1283-6. DOI: 10.1002/ccd.27439
15. Nobrega-Pinto A., Carvalho I., Almeida-Sousa C. Arteria lusoria: a rare cause of tracheal compression. Acta Otorrinolaringol Esp. 2018;69(2):120-1. DOI: 10.1016/j.otorri.2017.04.004
16. Thompson J.L., Burkhart H.M. Translocation of an aberrant right subclavian artery with resolution of dysphagia lusoria. Ann Thorac Surg. 2016;102(1):e65-7. DOI: 10.1016/j.athoracsur.2016.02.073
18. Dimitroglou Y., Loulakas I., Chounti M., Megalakakis M., Karavana E., Hountis P. Unusual symptomatic late onset presentation of aberrant right subclavian artery: report of two cases and short literature review. Monaldi Arch Chest Dis. 2017;87(1):774. DOI: 10.4081/mon-aldi.2017.774
Об авторах
Артемьев Владислав Николаевич — врач рентген-эндоваскуляр-ных диагностики и лечения.
Кондратьев Андрей Александрович — врач рентген-эндоваскуляр-ных диагностики и лечения.
Дисфагия
Дисфагия – это нарушение глотания. Больной не может нормально есть, пить. Комок пищи не проходит по пищеводу. Одним из характерных симптомов дисфагии является то, что жидкости и слюну проглатывать труднее, чем твердые куски.
Дисфагия пищевода не является самостоятельным заболеванием – это всегда вторичное состояние, вызванное другими патологиями. Затруднение глотания случается у пациентов всех возрастных групп. При отсутствии адекватного лечения качество жизни больного резко снижается, развиваются опасные осложнения вплоть до летального исхода.
Причины дисфагии
- Механическое сдавливание глотки или пищевода. Причиной дисфагии может стать тонзиллит, увеличение щитовидной железы, лимфатических узлов, развитие шейных остеофитов, перстневидно-глоточных спаек. Сужение также наблюдается при раковых опухолях ротовой полости, гортани, при фиброзе мышц и после хирургического вмешательства.
- Нервно-мышечное расстройство. Акт глотания нарушается практически у каждого второго пациента, перенесшего мозговой инсульт. Выраженность дисфагии зависит от распространенности процесса. Жалобы на затрудненное проглатывание пищи также наблюдаются при болезни Паркинсона, рассеянном склерозе, псевдопаралитической миастении, ахалазии кардии (хроническом спазме пищевода).
- Эзофагеальные патологии. Причиной сужения пищевода в острой форме может стать отек Квинке, попадание инородного тела в глотку, хроническое заболевание пищеварительной системы или средостения. Нарушением глотания сопровождается ахалазия, системная склеродермия, сахарный диабет. Возможно развитие дисфагии вследствие приема эстрогенов и нитратсодержащих веществ и препаратов.
Формы болезни
По анатомической локализации выделяют два вида дисфагии:
- Орофарингеальная (ротоглоточная). Нарушается проходимость глотки и горла – верхних отделов.
- Пищеводная. Пищевой комок не может пройти до желудка.
Классификация по степени выраженности симптомов:
- I степень – затруднено проглатывание твердых кусочков пищи.
- II степень – пациент может употреблять только жидкую еду.
- III степень – нарушено глотание пищи и слюны.
- IV степень – полная непроходимость пищевода.
Симптомы дисфагии
В начальной стадии пациенты жалуются на дискомфорт в горле и в области пищевода. На слабо выраженные симптомы дисфагии редко обращают внимание, что приводит к прогрессированию болезни.
Постепенно развивается чувство распирания в грудной клетке, усиливается слюноотделение. К жалобам на дисфагию добавляется сухой кашель, изменение голоса, першение в горле. При длительном нарушении пациент теряет вес, ослабевает, возможны проблемы с пищеварением.
Если своевременно не начать лечение основной болезни, дисфагия может спровоцировать перерождение эпителия слизистой с образованием опухоли. У многих пациентов развивается аспирационная пневмония – следствие попадания частиц пищи в дыхательные пути. При дисфагии, вызванной сдавливанием глотки опухолью, может развиваться острое нарушение дыхания, которое требует неотложной медицинской помощи.
Диагностика
Первичное обследование пациента проводит гастроэнтеролог, который может дополнительно рекомендовать консультацию отоларинголога, стоматолога, эндокринолога. Ключевой задачей диагностики является поиск причин нарушения.
Больному назначают комплексное обследование:
- Фарингоскопия. Осмотр глотки пациента позволяет обнаружить фарингит, тонзиллит, новообразования верхних отделов пищеварительной системы, застрявшее инородное тело.
- Рентген пищевода. Для диагностики дисфагии делают снимки с контрастом. Рентгенография помогает установить наличие дивертикулов, определить признаки изменения эзофагеальной моторики.
- Эзофагогастроскопия (ЭГДС). В ходе обследования врач осматривает слизистую пищевода и кардиальных отделов желудка. Картинка ЭГДС позволяет обнаружить эрозии, микротрещины.
- Клинический анализ крови. Изменения в результатах соответствуют основному заболеванию. Возможно повышение СОЭ, снижение уровня гемоглобина.
Лечение дисфагии
Терапию назначают с учетом причин патологии и степени выраженности симптома.
Лечение дисфагии острой формы, которая обычно возникает при механической обструкции, заключается в извлечении инородного тела или в снятии отека Квинке. Длительно существующий синдром расстройства глотания требует тщательного выбора препаратов.
Врач может назначить:
- Лекарства для улучшения нервной регуляции. Больным с паркинсонизмом назначают предшественники и агонисты дофамина, специфические препараты. При инсульте требуется комплексная терапия нейропротекторами и мембранными стабилизаторами. При миастении назначают антихолинэстеразные препараты.
- Блокаторы кальциевых каналов. Группа лекарств снижает концентрацию ионов в мышечных волокнах. В результаты уменьшается спастика мышц пищевода, улучшается его проходимость.
- Антисекреторные препараты. Средства используют в случаях, когда дисфагия сопровождается эозинофильным эзофагитом. Назначение местных стероидных препаратов или ингибиторов протонной помпы уменьшает раздражение на слизистой, способствует ее заживлению.
- Антибактериальные или противовирусные средства. Показаны при подтвержденной инфекционной природе дисфагии.
Диагностика и лечение дисфагии пищевода в Нижнем Новгороде
Пройти диагностику и лечение дисфагии можно в клинике «Альфа-Центр Здоровья». У нас работают профильные специалисты, есть необходимое оборудование и современная лаборатория для комплексного обследования пациентов. Записаться на прием можно по телефону, указанному на сайте.
Загадочная дисфагия
Мы занимаемся разработкой профессионального программного обеспечения, предназначенного для работы с медицинскими исследованиями.
Наша цель – сделать более удобной работу врачей-диагностов и клиницистов при работе с большими объемами данных, получаемых при исследованиях современным диагностическим оборудованием.
- Наши продукты – элементы для создания PACS (Picture Archiving Communication System) - полноценной системы получения, передачи, хранения и обмена медицинских исследований и медицинских изображений, обеспечения беспленочной технологии в лечебных учреждениях.
- Наши элементы PACS способны работать как в крупных лечебных учреждениях, с большим количеством разнородного медицинского диагностического оборудования, так и в небольших диагностических кабинетах, расширяя функциональные возможности единичных диагностических устройств.
- Основой наших программных продуктов является международный стандарт отображения, хранения и передачи медицинских данных, прежде всего медицинских изображений – DICOM .
- Наши программные продукты позволяют решать задачи, возникающие при построении сетей лечебных учреждений, предназначенных для обмена медицинской информацией, работать совместно с функционирующей или проектируемой медицинской информационной системой (МИС или HIS).
Проекты
Махаон DICOM Архив
Позволит вам создать единый расширяемый архив медицинских изображений, сохранять большие объемы данных, получаемых от разнообразного медицинского диагностического оборудования, обеспечить долгосрочное хранение медицинских исследований, объединить в единую сеть различные DICOM-устройства, создать сеть рабочих станций на базе Махаон Lite, обеспечить доступ к медицинским исследованиям, используя веб-интерфейс и многое другое.
Махаон Рабочая Станция
Позволит расширить диагностические возможности существующего медицинского оборудования и увеличить его пропускную способность, создав дополнительные рабочие места врачей, подключаемые к этому оборудованию, позволит осуществлять удаленное консультирование проведенных исследований, сравнение новых исследований с ранее проведенными, а также выполненными на других диагностических устройствах. Махаон Рабочая станция позволит вести локальный архив проведенных исследований на лазерных носителях с быстрым поиском проведенных ранее исследований. Махаон Рабочая Станция позволяет создать единую сеть с существующими DICOM-устройствами в лечебном учреждении. Махаон Рабочая Станция имеет специальные возможности для обработки изображений (MPR, DSA), а также модуль расширения функциональности для 3D- обработки и просмотра изображений.
Махаон Worklist сервер
Позволит обеспечить целостность хранения данных пациента в медицинской информационной системе (МИС), планирования медицинских исследований и передачи данных о пациентах и исследованиях медицинским устройствам.
Махаон Videograbber
Позволит получать изображения от нестандартных медицинских устройств и преобразовывать их в стандарт DICOM для последующей передачи их на другие DICOM-устройства и обеспечения их единообразного просмотра и анализа.
Махаон Net Lite
Позволит быстро и легко создать DICOM-сеть для обеспечения просмотра исследований, хранящихся в Архиве во всех врачебных кабинетах лечебного учреждения.
Махаон Медицинский справочник
Бесплатный справочник медицинской терминологии. Быстрый и удобный поиск по разделам. Онлайн обновления терминов с сервера.
Онлайн версия справочника
Махаон МКБ 10
Бесплатная электронная версия Международного классификатора болезней и проблем связанных со здоровьем 10-го пересмотра (МКБ 10).
Онлайн версия МКБ-10
4 Октября 2019 г.
Вышла версия 3.5
Поддержка систем и баз данных
Реализована поддержка систем Линукс программами Махаон Архив, Махаон Ворклист и Махаон Роутер. Обеспечено полное повторение функционала аналогичных продуктов Windows
Реализована поддержка баз данных Postgres SQL на Windows и Linux
Переписана анонимизация. Сделано полностью в соответствие стандарту. Анонимизируется около 300 тэгов. ФИО пациента анонимизируется в уникальное в пределах сессии работы программы, например: Anonymized 4RfdA45, у тэгов с удаленной информацией прописывается ‘Value removed’.
HL7 обрабатывает ескейп последовательности в полях E, F, R, S, T, X0D, X0A согласно стандарта. В обе стороны - и кодировка и чтение.
Улучшено прерывание запроса списков. Повторное нажатие приводит к немедленному прерыванию.
Визуальные элементы программ выполнены с учетом High DPI мониторов. Должны отображаться лучше на мониторах с высоким DPI.
Отображается текущая скорость выполнения всех сетевых операций а также число и объем обработанных элементов (файлов)
Рабочая Станция врача
Все оверлеи переписаны с GDI на GDI+. Заново написан движок вывода всех оверлеев
У всех оверлеев появилось сглаживание. Скорость отрисовки осталась практически на том же уровне
Ускорение построения тамбнейлов за счет создания миниатюр на добавлении в базу на видео и мультифреймах
Реализована обработка фильтров изображений в многопоточном режиме
Реализовано исправление данных в файлах (например - ФИО) в многопоточном режиме
Полноценное отображение видео в DICOM: открытие, перемотка, воспроизведение в окне в реальном времени, воспроизведение звука
Добавлена новая цветовая схема YBR_PARTIAL_420
В dicomdir дополнительно пишутся дата рождения пациента и пол
Вывод изображений и оверлеи
У всех оверлеев появилась возможность перетягивания надписей
Позиция надписи сохраняется в состоянии просмотра
Отображение относительного времени фрейма. Обрабатывается специальным тэгом в fieds.ovr
Отображение возраста пациента на момент исследование. Обрабатывается специальным тэгом в fieds.ovr
Появились специальные тэги - и - позиция текущего изображения в серии и размер серии
Режим w/l с которым открывается исследование может быть привязан к автоматическим установкам. Можно, например, открывать все CR как с полным дин. диапазоном, а всё остальное - как ‘из файла’.
Дописана конвертация в DICOM mpeg4 формат захваченных изображений. Захват звука и настройки входов звука и параметров также обрабатываются
Дописан импорт из AVI в DICOM mpeg4
При запросе данных из ворклиста будет учитываться набор символов, оператор исследования, рост и вес пациента и сохраняться в файлы.
Раскрыты детали жизни Леонида Куравлева в доме престарелых
Врачи продолжают бороться за жизнь легендарного артиста Леонида Куравлева, который перед Рождеством попал в «Коммунарку» с подозрением на коронавирус. Ковид не подтвердился, но врачи диагностировали воспаление легких и дисфагию (расстройство акта глотания). В Гильдии актеров «МК» сообщили, что личный контроль над состоянием 85-летнего артиста осуществляет главврач больницы Денис Проценко, и сейчас состояние Куравлева стабильное. Леонида Вячеславовича доставили в «Коммунарку» из Центра долголетия, где он жил последние полгода. «МК» поговорил с коллегами, друзьями, сотрудниками Центра долголетия о состоянии Леонида Куравлева в последнее время.

Последняя роль Куравлева в фильме «Весь этот джем» (2015). Фото: Кинокомпания «Спутник»
— Последние полгода Леонид Куравлев находился у нас, — рассказывает «МК» сотрудник Центра долголетия и реабилитации Анна Манерова. — Мы не лечебное учреждение, к нам привозят пожилых людей на период отпуска родственников или командировки, или пожилые люди сами хотят находиться в социальной среде. В данном случае нужна была помощь по уходу. Родственники хорошо заботились о нем, но все работают, поэтому они не могли обеспечить полноценный круглосуточный уход. Они очень тщательно выбирали центр. В последнее время Леонид Вячеславович замкнулся, и родственники понимали, что здесь он будет среди людей, это ему поможет. Поначалу он ел в комнате. Потом начал выходить. У нас на каждом этаже рестораны, и он ел там со всеми.
— Можно сказать, адаптировался?
— Да, он общался с людьми, шутил. Ни с кем не сблизился сильно, но был очень дружелюбным, у него со всеми сложились хорошие отношения.
Согласно последним данным, в «Коммунарке», куда доставили артиста, врачи провели экстренную операцию в связи с дисфагией, во время которой сделали надрез стенки желудка и передней брюшной стенки, через него вывели специальную трубку для питания. Врачи борются за жизнь великого артиста, а друзья и коллеги уповают на то, чтобы он и сам боролся за себя.
Известно, что актер впал в депрессию после смерти своей супруги Нины, в которую был влюблен еще до школы. Спустя десять лет после знакомства они поженились и прожили в браке 52 года. У них родились двое детей — дочь Екатерина и сын Василий. В апреле 2012 года Нина Куравлева скончалась после инфаркта. Тогда Леонид Куравлев и сам задумался о смерти…
— Мы дружим 10–15 лет, и однажды, после смерти Нины Васильевны, он попросил о встрече и сказал, что хочет сделать памятник, где он был бы изображен с Ниной, — рассказывает «МК» художник Никас Сафронов. — Я посоветовал Церетели, но Куравлев отказался: мастер слишком масштабный. Тогда я предложил Рукавишникова, и эта идея ему понравилась. Я сделал эскизы, Рукавишников подключился. Но вскоре Леонид Вячеславович пришел и сказал, что он был на нескольких кладбищах, видел, как скромно лежат некоторые известные люди, и, извинившись, отказался от заказа, а на могиле Нины установил самый обычный памятник. (На Троекуровском кладбище на могиле супруги Куравлева установлена простая темно-серая плита, на которой золотом выгравировано два имени: ее (с датами жизни) и его (без дат). — Авт.)
— Когда вы последний раз общались с Леонидом Вячеславовичем?
— Год назад разговаривали и года два назад виделись. У него было колеблющееся состояние. Когда мы последний раз вместе ужинали, то говорили о том, чтобы снять фильм или осуществить какой-то проект. Я нашел ему спонсоров, люди были готовы принять участие, но до дела так и не дошло.
— Наблюдалась ли у него деменция, о которой сейчас пишут?
— Нет. Но он проявлял разные настроения еще при жизни Нины Васильевны, мог один уехать на дачу на несколько дней. Непростой человек. Но Нина Васильевна была психологом и знала, как ему помочь. После ее смерти он впал в депрессию. Жизнь стала ему не столь важна, не было жажды жизни. Ведь Куравлев — очень скромный человек. Я договорился, чтобы ему поставляли домой фермерские продукты, — он один раз взял, а потом отказался. Сказал, что ему стыдно. Понятно, что годы и сложная актерская работа, связанная с напряжением, перелетами, давали о себе знать. Дети — Катя и Василий — всегда очень бережно относилась к папе, с уважением, но он просил поменьше обращать на него внимания. На семейном совете они решили, что он поедет в Центр долголетия.
Несмотря на все это, на людях великий актер всегда сохранял самообладание, был обаятельным и общительным.
— Последний раз мы виделись с ним в 2016 году, на передаче, посвященной фильму «Таинственная страсть», — рассказывает режиссер Владислав Фурманов. — Он был в качестве гостя приглашен — как шестидесятник. Мы с ним пообщались и вспомнили те времена, когда его пригласили на съемки «Улиц разбитых фонарей». Он там играл начальника отдела милиции. Было несколько серий с ним, это счастье — работать с таким мастером. Он простой человек, общительный, интересный, скромный, интеллигентный, замечательный. В 2016-м на передаче у нас не было возможности долго общаться, но он был в прекрасной физической форме. Все восхищались, как он умеет держать себя. Обаятельный, всегда с позитивной энергетикой. Мы не виделись 9 лет, и когда встретились, я не заметил никакой перемены. Меня всегда восхищало, как он держался, — молодо.
— Как вы работали на съемочной площадке?
— Мы снимали в настоящем отделении милиции, и там был такой закуточек — небольшая комнатка, куда он уходил отдыхать между дублями. В нем не было никакой звездности. Люди этого поколения, как Валентин Гафт или Олег Басилашвили, очень скромные, нетребовательные. Сейчас у звезд райдеры с такими условиями, а вот у него подобного не было. Мы хотели создать для него комфортные условия, а он: «Нет-нет, мне ничего не надо. Я вот тут в уголочке посижу, чаю попью». Уходил в эту комнатку, а мы старались ограждать его от поклонников — всегда было много желающих сфотографироваться и взять автограф, но он устранялся. На площадке всегда готов к сцене, знал текст, задачу — старая школа. И всегда обаятелен, с юмором. Смотришь на него — и улыбаешься. На площадке — требовательный и к себе, и к другим. Большой артист в кадре — это всегда магия. Энергетика очень позитивная. Будем молиться за его здоровье!
Дисфагия
Весь контент iLive проверяется медицинскими экспертами, чтобы обеспечить максимально возможную точность и соответствие фактам.
У нас есть строгие правила по выбору источников информации и мы ссылаемся только на авторитетные сайты, академические исследовательские институты и, по возможности, доказанные медицинские исследования. Обратите внимание, что цифры в скобках ([1], [2] и т. д.) являются интерактивными ссылками на такие исследования.
Если вы считаете, что какой-либо из наших материалов является неточным, устаревшим или иным образом сомнительным, выберите его и нажмите Ctrl + Enter.
Дисфагия - это затруднение при проглатываний пищи или жидкости. Если она не обусловлена катаром в связи с простудным заболеванием, то это серьезный симптом, который вполне оправдывает дальнейшее обследование больного (эндоскопическое) для исключения неоплазии. Если же больной жалуется на ощущение непроглоченного комка в горле вне периода глотания пищи, то диагноз, скорее всего, состояние тревоги - то, что называют globus hystericus.
Обычной жалобой является ощущение «застревания» пищи на входе в пищевод. Данное состояние препятствует продвижению жидкости, твердой пищи или обоих от глотки до желудка. Дисфагия классифицируется на орофарингеапьную или эзофагеальную в зависимости от того, на каком уровне она происходит. Дисфагию не следует путать с globus sensation (глобус истерикус - истерический комок), чувством наличия комка в горле, которое не связано с актом глотания и нарушением прохождения пищи.
Причины дисфагии
Среди причин дисфагии называют новообразования, неврологические и другие факторы.
Злокачественные новообразования
- Рак пищевода
- Рак желудка
- Рак глотки
- Давление извне (например, рак легкого)
Неврологические причины
- Бульварный паралич (болезнь моторного нейрона)
- Латеральный медуллярный синдром
- «Myasthenia gravis»
- Сирингомиелия
- Доброкачественные стриктуры
- Дивертикул глотки
- Системный склероз
- Эзофагит
Глоточный «карман», или жаберный мешок
Это грыжевое выпячивание слизистой оболочки в «участке обнажения Киллиана» нижнего констриктора. При этом могут быть неприятный запах изо рта, регургитация пищи и видимый на шее выпячивающийся мешок (обычно слева). Диагноз устанавливается при проглатывании бария во время рентгеноскопии. Лечение хирургическое.
Рак глотки
Пациенты с орофарингеальными опухолями обращаются к врачу лишь тогда, когда болезнь уже находится в далеко зашедшей стадии. Симптомы: дискомфорт в глотке, ощущение комка в горле, иррадиирующие боли в ухо (оталгия) и местное раздражение глотки горячей или холодной пищей. Гипофарингеальные опухоли проявляются дисфагией, изменением голоса, оталгией, стридором и болями в глотке. Лечение обычно комбинированное - хирургическое, химиотерапевтическое и лучевое.
Рак пищевода
Рак пищевода часто сопровождается ахалазией, язвой Баррета, омозолением слизистой оболочки пищевода (состояние, при котором имеет место эксфолиация кожи); синдромом Пламмера-Винсона; больные раком пищевода, как правило, курят.
Дисфагия носит прогрессирующий характер. Вполне возможна хирургическая резекция (более чем 5-летняя выживаемость - большая редкость); в качестве паллиативной операции - интубация специальной трубкой (например, Celestin).
Доброкачественная стриктура пищевода
Причины: гастроэзофагеальный рефлюкс, проглатывание коррозивных веществ, наличие инородных тел в пищеводе, травма. Лечение: дилатация пищевода (эндоскопическая или бужами под наркозом).
Ахалазия
При этом отмечается нарушение перистальтики пищевода при недостаточном расслаблении нижнего пищеводного сфинктера. Больной способен проглотить и жидкость, и плотную пищу, но очень медленно. При проглатывании бария врач-рентгенолог видит раннее заполнение «ленты» пищевода, но расширение его наступает с запаздыванием. У таких больных могут быть дурной запах изо рта, а также повторные легочные инфекции в связи с ингаляцией патогенных микробов. После миомэктомии излечиваются до 75 % больных. Определенную помощь приносит и пневматическая дилатация пищевода.
Синдром Пламмера-Виисоиа
Это атрофия слизистой оболочки и разрастание особой соединительной ткани в пищеводе на фоне железодефицитной анемии, оно бывает также и при посткрикоидной (расположенной за перстневидным хрящом) карциноме.
Орофарингеальная дисфагия
Орофарингеальная дисфагия представляет собой затрудненное продвижение пищи из ротоглотки в пищевод; возникает из-за нарушения функции проксимальнее пищевода.
Чаще всего это происходит у пациентов с неврологическими расстройствами или мышечными нарушениями, которые затрагивают поперечнополосатую мускулатуру. Неврологические расстройства включают болезнь Паркинсона, инсульт, рассеянный склероз, боковой амиотрофический склероз (болезнь Шарко), бульбарный полиомиелит, псевдобульбарный паралич и другие поражения ЦНС. Мышечные нарушения включают дерматомиозит, миастению гравис и мышечную дистрофию.
Симптомы дисфагии включают изначально затрудненное глотание, носовую регургитацию и аспирацию в трахею, сопровождаемую кашлем. Диагноз устанавливается при непосредственном наблюдении за пациентом и с помощью видеозаписи рентгеноскопии глотка бария. Лечение дисфагии направлено на основную причину.
Эзофагеальная дисфагия
Эзофагеальная дисфагия представляет собой затрудненный пассаж пищи по пищеводу. Она является результатом либо механической обструкции, либо нарушения моторики.
Причины механической обтурации включают внутренние поражения пищевода, такие как пептическая стриктура, рак пищевода и нижняя пищеводная мембрана. Механическая обструкция может быть следствием внешних патологических процессов, вызывающих сдавление пищевода и включающих: увеличенное левое предсердие, аневризму аорты, сосудистые изменения, такие как аберрантная подключичная артерия (дисфагия загадочная), загрудинный зоб, цервикальный костный экзостоз и опухоль грудной полости, чаще всего рак легкого. Редко пищевод поражается лимфомой, лейомиосаркомой или метастатическим раком. Прием едкого вещества часто приводит к выраженному сужению.
Нарушения моторики являются причиной дисфагии при нарушении функции гладкомышечной ткани пищевода (т.е. нарушение перистальтики пищевода и функции пищеводного сфинктера). Нарушения моторики включают ахапазию и диффузный спазм пищевода. Системная склеродермия может быть причиной нарушения моторики.
Нарушения моторики вызывают дисфагию при приеме твердой и жидкой пищи; механическая обструкция вызывает дисфагию при приеме только твердой пищи. Пациенты наибольшие трудности испытывают при употреблении мяса и хлеба; однако некоторые пациенты не могут принимать никакой твердой пищи. Пациенты, предъявляющие жалобы на дисфагию в нижнем отделе пищевода, обычно правильно отмечают локализацию причины, а с жалобами на дисфагию в верхнем отделе пищевода - часто неопределенно.
Дисфагия может быть перемежающейся (напр., дисфункция нижнего пищеводного сфинктера, нижнее пищеводное кольцо или диффузный спазм пищевода), быстро прогрессирующей в течение нескольких недель или месяцев (напр., рак пищевода) или прогрессирующей в течение нескольких лет (напр., пептическая стриктура). Пациенты, у которых дисфагия вызвана пептической стриктурой, обычно в анамнезе отмечают гастроэзофагеальную рефлюксную болезнь.
Дисфагия при приеме жидкости или твердой пищи помогает дифференцировать моторные нарушения от обструкции. Должны быть выполнены рентгенологические исследования с глотком бария (с твердым хлебным шариком смешанным с барием, обычно в виде капсулы или таблетки). Если исследование выявляет обструкцию, показана эндоскопия (и возможно биопсия) для исключения малигнизации. Если исследование с барием отрицательно или имеется подозрение на моторные нарушения, должны быть выполнены исследования моторики пищевода. Лечение дисфагии направлено на устранение причины.
Крикофарингеальная дискоординация
При крикофарингеальной дискоординации наблюдается несогласованное сокращение крикофарингеальной мышцы (верхний пищеводный сфинктер). Это нарушение может вызвать дивертикул Ценкера; повторяющаяся аспирация содержимого дивертикула может привести к хроническому заболеванию легких. Причина может быть ликвидирована операцией, заключающейся в рассечении крикофарингеальной мышцы.
Загадочная дисфагия
Загадочная дисфагия возникает в результате компрессии пищевода сосудами из-за их различных врожденных аномалий.
Сосудистая аномалия обычно представляет собой аберрантную правую подключичную артерию, отходящую с левой стороны дуги аорты, удвоение дуги аорты или правосторонней дуги аорты с левой артериальной связкой. Дисфагия может появиться в детстве или позже в результате атеросклеротических изменений в аберрантном сосуде. Рентгенологическое исследование с глотком бария выявляет внешнюю компрессию, но для окончательного диагноза необходима артериография. Чаще всего специального лечения не требуется, но иногда возникает необходимость в хирургической коррекции.
Как диагностируется дисфагия?
«Ключ к диагнозу», получаемый из анамнеза
Если больной в состоянии выпивать жидкость так же легко и быстро, как и обычно (за исключением таких ситуаций, когда плотная пища налипла на слизистую оболочку пищевода), это свидетельствует о стриктурах, если же нет - предположите нарушения двигательной функции пищевода (ахалазия, неврологические случаи). Если же больному трудно делать собственно глотательные движения, следует заподозрить бульбарный паралич. Если дисфагия носит постоянный характер или очень болезненна, нельзя исключить стриктуры, обусловленные злокачественным новообразованием. Если во время приема жидкости из горла больного слышатся булькающие звуки, а на шее появляется выпячивание, то следует думать о наличии «глоточного кармана» (пища из него может регургитировать, забрасываться обратно в верхний отдел глотки).
Патология глотки не представляет трудности для дифференциальной диагностики. В задачи диагностики входит определение природы дисфагии - функциональная или органическая.
Функциональная дисфагия характеризуется эпизодическим или преходящим возникновением и провоцируется раздражающей пищей, чаще жидкой, холодной, горячей, острой, кислой и др. В то же время не вызывает приступов эзофагоспазма плотная пища. Тяжесть проявлений не изменяется во времени. Время возникновения не зависит от этапа прохождения пищи по пищеводу.
Для дисфагии, вызванной органической патологией, характерно медленное развитие, с постепенным утяжелением. Провоцируется прохождением плотной пищи, затруднение прохождения жидкостей отмечается в далеко зашедших случаях стеноза. Запивание пищи водой приносит облегчение. Рвота отмечается уже в далеко зашедших случаях; Уровень поражения можно определить по времени возникновения, боли за грудиной после проглатывания пищи: в шейном отделе - через 1-1,6 c; в грудном - через 5-6 с; в кардиальном - через 7-8 c. Резкие боли характерны для язвенных эзофагитов, рефлюкс-эзофагитов, дивертикулитов, - инородных телах, редко бывают при раке.
Дисфагия органической природы, даже очень слабо выраженная, должна настораживать в отношении рака, так как он является самым ранним и, пожалуй, единственным из ранних проявлений. В обязательный комплекс исследования должны быть включены ФЭГС и контрастная рентгеноскопия пищевода. В случае выявления органической патологии дополнительные исследования проводят торакальные хирурги или, если в области имеется, специалисты центров хирургии пищевода и средостения.
Обследование больных
Полный клинический анализ крови, определение СОЭ, рентгеноскопия с глотком бария; эндоскопия с биопсией; исследование сократительной способности пищевода (при этом больной должен проглотить катетер со специальным датчиком).
Читайте также:
