Желчный пузырь и желчевыводящие пути
Добавил пользователь Евгений Кузнецов Обновлено: 29.12.2025
Основная роль желчного пузыря и желчных протоков - накопление и выведение желчи. Предназначение которой — улучшать усвоение жиров и активизировать перемещение пищи по кишечнику.
Желчный пузырь в организме человека
Желчный пузырь — один из органов пищеварительной системы. Он накапливает и выделяет желчь, нужную при пищеварении для расщепления жиров. Проблемы с ним чаще всего возникают из-за неправильного питания, например, из-за переедания. Когда желчный пузырь работает неправильно, нарушается выделение желчи, меняется ее состав, она может застаиваться, возможно образование желчных камней. Из-за этого может нарушаться работа и других пищеварительных органов.
Холецистит
Риск воспаления желчного пузыря возрастает при наличии камней в пузыре и желчных протоках. В группу риска по холециститу входят женщины от 40 лет и старше, они болеют в 5 раз чаще мужчин. Холецистит грозит серьезными осложнениями — перитонитом и сепсисом. Знание симптомов холецистита позволит сразу обратиться к врачу при первых тревожных признаках.
Дискинезия желчных путей
Нарушение сокращений гладкой мускулатуры желчевыводящих путей и сфинктера Одди приводит к неравномерному выделению желчи (прежде всего из желчного пузыря). Не очень опасное само по себе, заболевание может привести к развитию желчнокаменной болезни.
Острый холецистит
Острый холецистит – острое (быстро развившееся, бурное) воспаление желчного пузыря.
Болезни желчного пузыря
Желчный пузырь — орган пищеварения, похожий на небольшую полую грушу.
Хронический холецистит
Хронический холецистит — заболевание, при котором периодически воспаляются стенки желчного пузыря. Это может происходить из-за застоя желчи или инфекции. О наличии холецистита может сказать сильная боль в правой части живота и пожелтение кожи. При первых признаках болезни нужно обратиться к врачу.
Желчнокаменная болезнь: причины и проявления
В образовании камней виноваты два основных фактора: застой желчи в желчном пузыре и повышение концентрации солей в желчи из-за нарушения обмена веществ.
Желчнокаменная болезнь: диагностика и лечение
Диагностикой и лечением неосложнённой желчнокаменной болезни (ЖКБ) занимается врач-гастроэнтеролог.
Запор: какие новые средства появились на рынке
Что нового узнали учёные и какими слабительными лучше пользоваться?
Как закончить поститься без проблем для пищеварения
Основная проблема, связанная с выходом из поста, состоит в том, что "экономный" режим расходования энергии организмом сохраняется еще некоторое время и почти весь "избыток" энергии (по сравнению с ее потреблением во время Поста), поначалу оказывается на бёдрах и талии.
Когда кишечник требует внимания
Раздражительность окружающих способна надолго испортить нам настроение. Но гораздо хуже, когда раздражается собственный кишечник и вместо слаженной работы выдает боль, нарушения стула и вздутие живота, настигающие в самые неожиданные моменты.
Горечь во рту
Иногда во рту может появляться горький привкус. Если он связан с продуктами или напитками и быстро пропадает, это нормально. Если горечь появляется регулярно или сохраняется надолго, это может быть признаком проблем со здоровьем.
Не допускать «самоедства»
Жизнь в крупном городе, напряженная работа, еда на бегу, несколько ежедневно выпитых чашек кофе и выкуренных сигарет. Такой образ жизни - это повод проверить, нет ли язвы желудка.
Скорая застольная помощь
Опасности, подстерегающие за праздничным столом — это некачественные продукты или блюда, из них приготовленные, реакция организма на количество и состав пищи и проблемы, связанные с алкоголем.
Желчный пузырь и желчевыводящие пути
ФГАОУ ВО «Балтийский федеральный университет имени Иммануила Канта»
Ультразвуковая анатомия желчного пузыря и желчевыводящих путей
Журнал: Оперативная хирургия и клиническая анатомия. 2020;4(3): 44‑50
Лекция посвящена ультразвуковой анатомии желчного пузыря и желчевыводящих путей. Рассмотрены субкостальный и интеркостальный ультразвуковые доступы при исследовании желчного пузыря, биометрия желчного пузыря. Представлена ультразвуковая анатомия внутрипеченочных желчных протоков, общего печеночного и общего желчного протока, анатомия большого сосочка двенадцатиперстной кишки (фатерова), сфинктерного аппарата желчевыводящих путей. Знания анатомии являются основой ультразвукового исследования желчного пузыря и желчевыводящих путей.
Дата принятия в печать:
Одна из основных функций печени — желчеобразование. Печень имеет две неравные доли — правую и левую. Анатомическое и функциональное (ультразвуковое) деление печени на правую и левую доли различается. По классификации Куино (C. Couinaud, 1957) [1] I и IV сегменты анатомически находятся в правой доле, а в функциональном плане относятся к левой доле [2, 3]. Желчь собирается из всех сегментов и обеих долей в долевые протоки.
У здорового человека внутрипеченочные протоки ductus hepaticus dexter (правый печеночный проток) и ductus hepaticus sinister (левый печеночный проток) (рис. 1) не видны при ультразвуковом исследовании, виден при хорошей визуализации только ductus hepaticus communis (общий печеночный проток). Он соединяется с ductus cysticus (пузырный проток) и образуется ductus choledochus (общий желчный проток), который в норме имеет длину 5—7 см [4].

Рис. 1. Желчный пузырь и желчевыводящие пути.
Общий желчный проток открывается в нисходящую часть двенадцатиперстной кишки и имеет отделы, обозначенные в соответствии с положением его относительно двенадцатиперстной кишки и поджелудочной железы после того как он выходит за пределы печени: CH1 — супрадуоденальный отдел, CH2 — ретродуоденальный отдел, CH3 — панкреатический отдел (расположен в глубине головки поджелудочной железы). Ворота печени располагаются в глубине в паренхиме — эта зона проецируется при ультразвуковом исследовании внутри печени, эта часть общего желчного протока не имеет классификационного названия (CH0, воротный отдел) [5].
Проток поджелудочной железы (ductus pancreaticus, вирсунгов проток) и общий желчный проток на уровне нижней трети нисходящего отдела двенадцатиперстной кишки с медиальной стороны соединяются. После слияния участок длиной 2—3 мм располагается внутри papilla duodeni major (большой сосочек нисходящего отдела двенадцатиперстной кишки, фатеров сосочек,), это CH4 — интрамуральный отдел общего желчного протока.
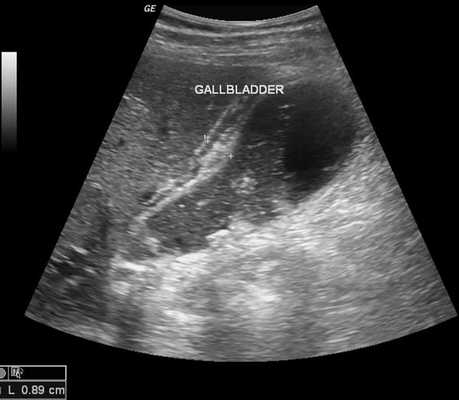
Желчный пузырь: ультразвуковые доступы. Термин «доступ» при ультразвуковом исследовании означает положение ультразвукового датчика на теле пациента для оптимальной визуализации органа.
1. Субкостальный доступ (рис. 2, а). Положение датчика косое ниже реберной дуги, параллельно ей. Желчный пузырь проецируется чаще всего по среднеключичной линии. При правильном расположении датчика желчный пузырь на этом срезе утоплен в паренхиму печени. Осуществляя наклоны датчика в направлении ближе к позвоночнику или ближе к реберной дуге, можно увидеть долевые ветви воротной вены (правую и левую) и нижнюю полую вену (см. рис. 2, а); это дополнительные ориентиры для поиска желчного пузыря [6].

Рис. 2. Желчный пузырь: субкостальный доступ (а; по [5]); интеркостальный доступ (б) и биометрия (в; по [5]).
2. Интеркостальный доступ. Датчик расположен параллельно ребрам в межреберье, ориентировочно кнаружи от среднеключичной линии. При этом положении датчика (рис. 2, б) в основном видна правая доля печени, желчный пузырь виден снизу печени, прилежит к ней, примыкает к углу края печени. Дополнительные ориентиры — ствол воротной вены, который в глубине печени разделен на правую и левую долевую ветви, и латерально справа — нижняя полая вена.
Биометрические параметры желчного пузыря и желчных путей. Размеры желчного пузыря очень вариабельны (у пациентов разных конституциональных типов, в зависимости от наполнений, особенностей гладкой мускулатуры, того, как она реагирует на сокращение).
Стенку желчного пузыря следует измерять на том участке, который находится ближе к датчику, так как эффект дорзального усиления приводит к тому, что может быть впечатление большей толщины. Если это интеркостальный доступ (рис. 2, в), то должна быть измерена дорсальная (передняя) стенка желчного пузыря — примыкает к висцеральной поверхности печени, а не вентральная (задняя).
Желчные протоки. На рис. 3 хорошо видны правый и левый печеночные и впадающие в них протоки, так как они расширены в результате обструкции желчных путей дистальнее за переделами печени (в норме не определяются) [9, 10].

Рис. 3. Внутрипеченочные желчные протоки (выявляются на фоне обструкции общего желчного протока).
Стенки крупных и мелких протоков на рис. 5 неровные, это выявляется только в случае обструкции. Общий желчный проток располагается за пределами печени, на рис. 4 он изогнут, примыкает к висцеральной поверхности печени, правый его участок внедряется в головку поджелудочной железы [7].

Рис. 4. Общий желчный проток.
На рис. 4 видны также дополнительные ориентиры: крупный венозный сосуд — нижняя полая вена, кзади от которой располагаются правая почечная артерия, правая ветвь печеночной артерии и воротная вена. Диаметр общего желчного протока в норме
На рис. 5 области в желтом круге на эхограммах соответствуют области в желтом круге на схеме [11]. Самой поверхностной структурой является общий печеночный проток, глубже под прямым углом его пересекает правая печеночная артерия, еще глубже располагается воротная вена. В норме воротная вена (около 6 мм) толще, чем общий печеночный проток (около 4 мм). На схеме и на эхограмме в красном круге область, в которой пузырный проток соединяется с общим печеночным протоком — место образования общего желчного протока.

Рис. 5. Общий печеночный и общий желчный протоки (по [11]).
На эхограмме на рис. 5 виден желчный пузырь и так называемый Микки Маус, уши которого — срезы пузырного и общего желчного протоков, голова — срез общего желчного протока, а туловище — срез воротной вены.
Парасагиттальный доступ (см. рис. 5): общий желчный проток и гастродуоденальная артерия направлены под острым углом друг к другу (зеленым цветом обозначен общий желчный проток, красным — гастродуоденальная артерия).
На рис. 6 на эхограмме 1 видна голова «Микки Мауса»: в воротах печени — уши (правое — общий желчный проток или в некоторых случаях общий печеночный проток, левое — собственная печеночная артерия), голова — воротная вена, туловище — нижняя полая вена. Желтым цветом показана супрадуоденальная часть общего желчного протока на эхограмме и на схеме [12].

Рис. 6. Отделы общего желчного протока (по [12]).
На эхограмме 2 (см. рис. 6) определяется воротная вена, параллельно ей общий желчный проток (видна супрадуоденальная и ретродуоденальная части), верхняя часть двенадцатиперстной кишки, привратник, поджелудочная железа.
На эхограмме 3 (см. рис. 6) представлено поперечное сканирование — поджелудочная железа хорошо узнаваема за счет селезеночной вены, на уровне головки поджелудочной железы видны две анэхогенные точки: нижняя — панкреатический отдел общего желчного протока, верхняя — гастродуоденальная артерия. Определяются также нижняя полая вена, аорта и верхняя брыжеечная артерия. Красным цветом показана панкреатическая часть общего желчного протока на эхограмме и на схеме.
Внутристеночная часть общего желчного протока расположена в стенке нисходящего отдела двенадцатиперстной кишки, в норме, как правило, не видна (рис. 7).

Рис. 7. Примеры эхограмм общего желчного протока.
Сфинктерный аппарат желчевыводящих путей. На рис. 8 изображены мелкие складки слизистой оболочки желчного пузыря, спиральные складки внутри пузырного протока (клапаны Хайстера).
Если рассечь слизистую оболочку двенадцатиперстной кишки, видны сфинктеры — гладкомышечные волокна, охватывающие протоки: сфинктер общего желчного протока (Ашофа), сфинктер протока поджелудочной железы и после их слияния — сфинктер печеночно-поджелудочной ампулы, или сфинктер Одди (см. рис. 8; рис. 9). На рис. 8 обозначен также сфинктер Люткенса — между шейкой желчного пузыря и пузырным протоком.

Рис. 8. Сфинктерный аппарат желчевыводящих путей.

Рис. 9. Анатомия большого сосочка двенадцатиперстной кишки (фатерова сосочка) [4].
Дискинезия жёлчных путей - симптомы и лечение
Что такое дискинезия жёлчных путей? Причины возникновения, диагностику и методы лечения разберем в статье доктора Окуневой Н. Д., гастроэнтеролога со стажем в 14 лет.
Над статьей доктора Окуневой Н. Д. работали литературный редактор Вера Васина , научный редактор Роман Васильев и шеф-редактор Маргарита Тихонова
Определение болезни. Причины заболевания
Дискинезия жёлчных путей (Biliary dyskinesia) — это нарушение оттока жёлчи, вызванное недостаточным сокращением мышц жёлчного пузыря, жёлчных протоков и сфинктеров [1] . Проявляется болями в правом подреберье, тошнотой, рвотой и ощущением распирания в животе.
Дискинезия желчевыводящих путей (ДЖВП) относится к функциональным расстройствам. При таких расстройствах нарушается нормальная работа организма, в данном случае страдает пищеварение [5] .
Синонимы: дисфункция жёлчных путей, функциональные расстройства жёлчного пузыря, сфинктера Одди и билиарного тракта, который включает жёлчные протоки и жёлчный пузырь.

Эпидемиология
Болезни желчевыводящих путей выявляют примерно у 30 из 1000 человек, с каждым годом эти заболевания встречаются всё чаще [3] . Точная распространённость дискинезии жёлчных путей не известна. Обычно она развивается у взрослых и подростков в возрасте 13–18 лет. Женщины страдают дискинезией в 2–3 раза чаще мужчин, что связано с влиянием эстрогенов на образование жёлчных камней и моторику билиарного тракта.
Причины дискинезии жёлчных путей
Причины болезни до конца не изучены. Предполагается, что основную роль играет недостаток гормонов или ферментов, влияющих на работу желудочно-кишечного тракта (ЖКТ). При этом нарушается движение и выведение жёлчи, повышается её вязкость и возникает воспаление [4] .
Выделяют первичные и вторичные дисфункции билиарного тракта.
На первичные дисфункции приходится 10–15 % от всех случаев. Заболевание может возникать при генетическом нарушении чувствительности мышц жёлчных путей. Ещё одна возможная причина — нарушение нейрогуморальной регуляции (т. е. регуляции с помощью нервных импульсов и веществ, переносимых кровью и лимфой). Также при развитии первичных дисфункций большую роль играют психогенные причины: стрессы, депрессии и неврозы.
Вторичные билиарные дисфункции возникают:
- на фоне других болезней органов пищеварения — например, при хроническом холецистите или поражении слизистой двенадцатиперстной кишки, из-за чего нарушается выработка гормона холецистокинина;
- из-за изменения гормонального фона — при беременности, приёме гормональных контрацептивов, климаксе, избытке соматостатина и простагландинов;
- при системных заболеваниях — диабете, склеродермии, амилоидозе и миастении;
- после операции — по удалению жёлчного пузыря (холецистэктомии), рассечению блуждающего нерва (ваготомии) и резекции желудка.
К факторам риска дискинезии относятся:
- постоянный или сильный стресс;
- неправильное питание с низким содержанием жиров, избытком сахара и рафинированных продуктов;
- нерегулярные приёмы пищи или соблюдение строгих диет;
- употребление алкоголя;
- приём антидепрессантов;
- длительный приём антацидов (препаратов, которые уменьшают кислотность желудка);
- болезни щитовидной железы (например, гипотиреоз и тиреотоксикоз);
- низкий рН желудка; ;
- хронические воспалительные заболевания кишечника (язвенный колит и болезнь Крона);
- сахарный диабет I и II типа;
- перегиб жёлчного пузыря и желчнокаменная болезнь.
При обнаружении схожих симптомов проконсультируйтесь у врача. Не занимайтесь самолечением - это опасно для вашего здоровья!
Симптомы дискинезии жёлчных путей
Основные симптомы дискинезии жёлчных путей (ДЖВП):
- эпизодическая боль в правом подреберье, иногда она может усиливаться и мешать повседневной активности;
- боль в животе после еды;
- ощущение распирания в животе;
- тошнота и рвота, в том числе из-за непереносимости жирной пищи.
Симптомы ДЖВП могут напоминать жёлчные колики:
- резкая боль в правом боку может отдавать в правое плечо;
- боль возникает неожиданно и также внезапно исчезает;
- появляется тошнота и рвота;
- снижается аппетит, чаще у детей [7] .
Патогенез дискинезии жёлчных путей
Жёлчь вырабатывается в клетках печени — гепатоцитах. Через желчевыводящие канальцы она покидает печень и достигает общего жёлчного протока. Часть жёлчи сразу попадает в двенадцатиперстную кишку, остальная направляется в жёлчный пузырь, где накапливается и концентрируется [8] .
Моторика жёлчного пузыря, сфинктера Одди и других отделов ЖКТ взаимосвязаны. Разницу давления в общем жёлчном протоке и двенадцатиперстной кишке регулирует сфинктер Одди — мышца, которая находится в фатеровом сосочке. При повышении тонуса этого сфинктера жёлчный пузырь расслабляется и происходит накопление жёлчи.

Благодаря слаженной работе мышц жёлчного пузыря и сфинктера Одди, в промежутке между приёмами пищи жёлчный пузырь заполняется жёлчью. Так он становится резервуаром, который снабжает двенадцатиперстную кишку жёлчью во время пищеварения .
При нарушении работы мышц фатерова сосочка и жёлчного пузыря повышается давление в желчевыводящей системе. Сокращения сфинктера Одди в сочетании с избыточным тонусом жёлчного пузыря приводят к резкому повышению давления в жёлчных протоках, что проявляется острой болью в животе.
При спазме фатерова сосочка и пониженном тонусе жёлчного пузыря давление нарастает постепенно, что сопровождается тупой болью в животе. При недостаточности сфинктера Одди и снижении тонуса жёлчного пузыря жёлчь застаивается и раздражает его стенку [10] .
При увеличении числа или чувствительности рецепторов холецистокинина жёлчный пузырь сокращается сильнее, давление внутри него повышается. В результате его слизистая оболочка повреждается, воспаляется и развивается холецистит.
Классификация и стадии развития дискинезии жёлчных путей
Cогласно Римским критериям IV пересмотра (2016 года), среди расстройства жёлчного пузыря и сфинктера Одди выделяют:
- Е1 – билиарную боль (Е1а — функциональное расстройство жёлчного пузыря; Е1б — функциональное расстройство сфинктера Одди билиарного типа).
- Е2 — функциональное расстройство сфинктера Одди панкреатического типа [9] .
Различают гипо- и гиперкинетическую дискинезию желчевыводящих путей.
Гиперкинетическая (гипертоническая) дискинезия возникает при слишком частом и сильном сокращении жёлчного пузыря. Сфинктеры при этом не полностью открываются, жёлчь сперва накапливается, а затем перестаёт вырабатываться, так как оставшаяся её часть ещё не прошла по протоку. При гиперкинетической дискинезии фракция выброса жёлчи составляет больше 75 % [2] . Фракция выброса — это объём желчи, который выталкивается из жёлчного пузыря, в норме она равна 70 %. Предполагается, что этот тип заболевания связан с избытком рецепторов холецистокинина, что способствует сокращениям жёлчного пузыря.
При гипокинетической (гипотонической) дискинезии стенки пузыря и протоков расслаблены, жёлчь оттекает медленнее, фракция выброса составляет около 40 %. Такая форма дискинезии чаще встречается у женщин. Риск заболевания повышается с возрастом, так как ослабевают стенки жёлчного пузыря и желчевыводящих путей [11] [12] [13] .
Осложнения дискинезии жёлчных путей
При длительном застое жёлчи может присоединиться вторичная инфекция и паразитарные заболевания: лямблиоз и описторхоз. Такие инфекции проявляются слабостью, тошнотой, рвотой, высокой температурой, сильной болью в животе, вплоть до печёночной колики.
У детей с повторяющимися билиарными симптомами (желтушностью кожи, увеличением печени, тошнотой и рвотой) чаще, чем у взрослых, развивается калькулёзный холецистит [15] [16] .
Диагностика дискинезии жёлчных путей
При диагностике дискинезии жёлчных путей проводится сбор анамнеза, осмотр, лабораторные и инструментальные исследования.
Сбор анамнеза, осмотр и анализы
На приёме врач уточняет характер, частоту и расположение боли, оценивает цвет кожи и размеры печени. При выполнении анализов определяют оттенок кала и мочи.
Для диагностики используются Римские критерии IV.
Основные Римские критерии:
- боль продолжается полчаса и дольше;
- боль возникает в эпигастрии (верхней части живота) и/или в правом подреберье;
- симптомы появляются и исчезают через разные промежутки времени;
- боль мешает повседневным действиям, иногда она настолько выражена, что человек обращается за неотложной медицинской помощью;
- при изменении позы и приёме препаратов, снижающих кислотность, боль уменьшается незначительно (меньше чем на 20 %).
Дополнительные Римские критерии:
- боль в животе сопровождается тошнотой и рвотой, отдаёт в спину и/или под правую лопатку, может будить ото сна;
- изменения в результатах анализов: общий анализ крови, как правило, в норме; в кале могут выявляться жирные кислоты и мыла; по биохимическому анализу крови видно, что повышен уровень печёночных трансаминаз, панкреатической амилазы, липазы, общего и прямого билирубина, щелочной фосфатазы, гамма-глутамилтранспептидазы [9] .
Инструментальная диагностика
При дискинезии жёлчных путей может потребоваться ультразвуковое исследование (УЗИ), дуоденальное зондирование, манометрия сфинктера Одди, гепатобилиарная сцинтиграфия, холесцинтиграфия, фиброгастродуоденоскопия (ФГДС) и другие методы. К обязательным обследованиям относится УЗИ, дуоденальное зондирование и рентгеновские исследования.
Ультразвуковое исследование позволяет измерить диаметр общего жёлчного протока. Обследование проводят до приёма жирной пищи и спустя 45 минут. Перед УЗИ пациента просят съесть что-нибудь жирное или вводят ему холецистокинин — гормон, способствующий сокращению жёлчного пузыря. Если на УЗИ видно, что проток увеличен, значит нарушен отток жёлчи. Это может указывать на дисфункцию жёлчных путей.
Дуоденальное зондирование — это забор жёлчи из двенадцатиперстной кишки с помощью зонда для последующего исследования. С помощью этого метода можно оценить работу жёлчного пузыря и его протоков, выявить в жёлчи бактерий и паразитов, определить предрасположенность к образованию камней.

Манометрия сфинктера Одди — это измерение давления с помощью катетера, который вводят в общий жёлчный и/или панкреатический протоки. Детям манометрия не проводится из-за возможных травм и осложнений, например сквозное повреждение стенки жёлчного пузыря.
Гепатобилиарная сцинтиграфия — это радиоизотопное исследование (т. е. с использованием меченых радионуклидами соединений), с помощью которого можно определить скорость и характер движения жёлчи от печени до двенадцатиперстной кишки. При необходимости процедуру дополняют фармакологическими пробами: Нитроглицерином, Неостигмином и Морфином. Гепатобилиарная сцинтиграфия хорошо подходит для диагностики дискинезии у детей.
Холесцинтиграфия позволяет оценить движение жёлчи. Перед процедурой в организм вводят холецистокинин и безопасный радиоактивный краситель. Затем жёлчный пузырь сканируют, наблюдая за выработкой жёлчи [14] .
Холецистография — это рентгеновский метод диагностики состояния жёлчного пузыря и жёлчных протоков. Благодаря введению рентгеноконтрастного вещества, содержащего йод, можно рассмотреть жёлчный пузырь с протоками чётче и подробнее, чем на УЗИ.
ФГДС позволяет собрать образцы жёлчи из жёлчного пузыря и провести биопсию. Во время процедуры через рот вводят гибкую трубку, которую затем продвигают вниз по пищеводу в двенадцатиперстную кишку.
Ретроградная эндоскопическая холангиография — это обследование, которое выполняют при помощи рентгеновского и эндоскопического оборудования. Эндоскоп (гибкий длинный шланг с источником света и видеокамерой на входном конце) вводится в двенадцатиперстную кишку через рот и желудок. Далее в просвет общего жёлчного протока помещают катетер, по которому пускают контрастное вещество. Это вещество окрашивает сосуды, что будет видно на снимках. При необходимости во время процедуры из просвета общего жёлчного протока удаляют мелкие камни и устанавливают трубку, облегчающую отток жёлчи.
Магнитно-резонансная холангиопанкреатография (МРХПГ) — неинвазивный метод диагностики с помощью магнитных полей. МРХПГ позволяет получить чёткое изображение желчевыводящих путей и выявить их закупорку.
Дифференциальная диагностика
ДЖВП следует отличать от острого гастрита, жёлчных колик, острого панкреатита, острого и хронического холецистита.
Симптомы гипотонической дискинезии и дефицита сфинктера Одди схожи с проявлениями хронических болезней желудка, поджелудочной железы и двенадцатиперстной кишки, например дуоденита, язвы желудка, кишечной непроходимости и хронического панкреатита.
Также нужно провести дифференциальную диагностику с паразитарными заболеваниями (описторхозом, клонорхозом), опухолями печёночного изгиба, спаечной болезнью, ишемической болезнью сердца, мочекаменной болезнью и неврологическими патологиями.
Лечение дискинезии жёлчных путей
Лечение ДЖВП должно быть комплексным и поэтапным, методы терапии подбираются индивидуально.
На тактику лечения влияет:
- характер расстройства (гипо- или гиперкинетическая дискинезия);
- степень воспаления жёлчных протоков, двенадцатиперстной кишки и жёлчного пузыря;
- выраженность симптомов.
Диета при ДЖВП
При лечении дискинезии важно соблюдать диету. Питаться нужно небольшими порциями примерно 5–6 раз в день. Следует ограничить жареную пищу, шоколад, какао, кофе и газированные напитки. При гипертонической форме рекомендуется избегать продуктов, вызывающих сокращение жёлчного пузыря: жирное мясо, рыбу, птицу, наваристые бульоны и другую жирную пищу, лук, чеснок, маринады, копчёности, горох и фасоль. При гипотонической форме в рацион должны входить овощи, фрукты, сметана, сливки, яйца, растительное и сливочное масло.
Медикаментозная терапия
Одновременно с диетой проводится медикаментозное лечение. Основная терапия ДЖВП — это желчегонные препараты. Длительность лечения индивидуальна, в среднем курс длится две недели. Затем его прерывают примерно на месяц, что позволяет предотвратить истощение клеток печени и развитие устойчивости к лекарствам.
При гиперкинетической дискинезии применяют спазмолитики, седативные средства, фитотерапию и физиотерапию (электрофорез со спазмолитиками). Врач может назначить урсодезоксихолевую кислоту, метионин, незаменимые фосфолипиды, а также препараты на основе расторопши, куркумы, артишока и тыквенных семечек. При таком типе дискинезии также показаны гепатопротекторы, которые защищают печень и протоки от повреждения жёлчью.
При гипокинетической дискинезии используют холинокинетики — препараты, повышающие тонус жёлчного пузыря. Желчегонным действием обладают многие растения: барбарис, бессмертник, стебли и почки кукурузы, стебли и корень лопуха, горькая полынь, рябина, хмель, брусника, майоран, календула, одуванчик, корень ревеня.
Препараты для лечения заболеваний жёлчного пузыря и желчевыводящих путей:
- — действует как спазмолитик, желчегонное средство и предупреждает развитие желчнокаменной болезни, улучшая циркуляцию жёлчи. (Дюспаталин) — обладает двойным действием: расслабляет мышцы жёлчного пузыря и желчевыводящих путей, а также сокращает эти же мышцы в нужных участках, тем самым предотвращая гипотонию.
- Тримебутина малеат (спазмолитик), Гиосцина бутилбромид (применяют при печёночной колике). , Дигестал, Фестал, Холензим — комбинированные желчегонные средства [19] .
Тонизирующие или седативные препараты назначают, учитывая состояние нервной системы пациента. К тонизирующим средствам относится кофеин и женьшень, к седативным — бромиды, настойки валерианы и пустырника.
Также по назначению врача может проводиться тюбаж — выведение скопившейся жёлчи. Эффективен тюбаж с минеральной водой: пациент выпивает натощак 100–150 мл подогретой воды и 45 минут лежит на правом боку под тёплой грелкой. В минеральную воду можно добавлять сорбит и сульфат магния.
Хирургическое лечение
При ДЖВП может проводиться холецистэктомия — удаление жёлчного пузыря. Операция нужна в тех случаях, когда самочувствие не улучшается после консервативной терапии. По мнению некоторых авторов, холецистэктомия не требуется, если симптомы сохраняются меньше трёх месяцев.
Перед проведением холецистэктомии потребуется полное лабораторное и инструментальное обследование, включая анализы на ферменты печени, связанный билирубин, амилазу и липазу. Результаты анализов должны быть в норме, только после этого можно проводить операцию [17] [18] .
Выделяют два вида холецистэктомии: открытую и лапароскопическую. Лапароскопическая операция безопаснее, чем открытая. Её выполняют через несколько небольших проколов в брюшной стенке с помощью специального инструмента — лапароскопа.
Открытая холецистэктомия проводится при остром воспалении жёлчного пузыря и противопоказаниях к лапароскопической операции.

Прогноз. Профилактика
Дискинезия жёлчных путей — это хроническое заболевание, но при соблюдении диеты и правильной терапии болезнь протекает без обострений. Без лечения может развиться калькулёзный холецистит и холангит.
Холецистэктомия эффективна в 80—90 % случаев. Через год после операции нормальное самочувствие сохраняется у 50–70 % пациентов [5] .
Для профилактики дискинезии нужно правильно питаться, есть меньше острой, жареной и копчёной пищи. Рекомендуется избегать стрессовых ситуаций, не курить, быть физически активным и лечить хронические очаги инфекции.
Холецистит хронический - симптомы и лечение
Что такое холецистит хронический? Причины возникновения, диагностику и методы лечения разберем в статье доктора Хитарьяна Александра Георгиевича, хирурга со стажем в 31 год.
Над статьей доктора Хитарьяна Александра Георгиевича работали литературный редактор Маргарита Тихонова , научный редактор Сергей Федосов
Хронический холецистит — это воспаление желчного пузыря, длящееся более полугода и характеризующееся изменением свойств желчи, дисфункцией желчных протоков и образованием конкрементов (камней). [1]

Формирование нерастворимых образований в системе выведения желчи является длительным процессом. Оно чаще протекает у женщин. Это связывают с определёнными особенностями желчных кислот, а также обмена холестерина, которые взаимосвязаны с женскими половыми гормонами — эстрогенами и прогестероном.
Существует несколько этиопатологических факторов, при которых повышается риск развития желчнокаменной болезни. К ним относятся:
- пол — как уже отмечалось, чаще возникает у женщин;
- генетическая предрасположенность — появляются особенности метаболизма соединений, которые являются структурной основой камней;
- систематическое нарушение диеты;
- хронический процесс воспаления, протекающий в желчном пузыре и протоках;
- нарушение процесса выхода желчи на фоне развития дискинезии структур и путей. [2]
Главными причинами хронического холецистита нужно считать:
- длительно существующее нарушение диеты (более шести месяцев), тонуса сфинктеров желчевыводящих путей и физико-химических свойств желчи с образованием конкрементов (в 90% случаев);
- инфицирование желчи и/или желчного пузыря патогенной (шигеллами и сальмонеллами) или условно-патогенной микрофлорой (кишечной палочкой, стрептококками и стафилококками), а также паразитами (аскаридами, лямблиями и другими);
- наличие в анамнезе двух и более приступов острого холецистита (боли в правом подреберье, нарушение пищеварения, повышение температуры тела и другие симптомы), неоднократно купированные консервативной терапией.
Кроме того, причиной хронического холецистита могут быть токсины и генерализованные аллергические реакции. [3] [4]
Симптомы хронического холецистита
Главенствующим синдромом по праву нужно назвать болевой. Пациент чаще всего чувствует боль в области правого подреберья (иногда в эпигастрии — области желудка). Она может быть как незначительной тянущей, так и сильной с чувством жжения и распирания. Те же ощущения могут локализоваться в области надплечья и/или во всей верхней конечности справа, правой половине шеи и нижней челюсти. Обострение может длиться от 20 минут до 5-6 часов. Боль появляется не сама по себе, а после воздействия вышеописанных провоцирующих факторов.

Следующим немаловажным синдромом является диспепсический — нарушение пищеварения. К наиболее частым проявлениям последнего стоит отнести диарею (частый жидкий стул), тошноту, рвоту с примесью желчи, нарушение (снижение) аппетита, вздутие живота.
Интоксикационный синдром характеризуется резким и значительным повышением температуры тела (до 39-40 о С), ознобом, потливостью и выраженной слабостью.
Вегетативная дисфункция также может сопутствовать обострению хронического холецистита, проявляясь эмоциональной нестабильностью, приступами сердцебиения, лабильностью артериального давления, раздражительностью и т.д.
У 10-20% пациентов с некалькулёзным (бескаменным) хроническим холециститом симптоматика может сильно варьировать и проявляться следующими признаками:
- боли в области сердца;
- нарушение сердечного ритма;
- затруднение глотания;
- боли по ходу всего пищевода и/или по всей области живота с метеоризмом и/или запорами.
Если говорить об обострении калькулёзного хронического холецистита, то следует отметить желтушный синдром:
- желтушность кожных покровов;
- иктеричность склер;
- потемнение мочи;
- обесцвечивание кала.

Этому способствует закрытие (обтурация) желчных протоков камнями, ранее находящимися и сформированными в желчном пузыре — так называемая "механическая желтуха". [5]
Патогенез хронического холецистита
Развитие хронического холецистита начинается задолго до появления первых симптомов. Этиологические факторы воздействуют комплексно и длительно. Главным, как говорилось выше, является неправильное питание. Именно оно способствует формированию холестероза желчного пузыря (появлению холестериновых полосок/бляшек в его стенке), которые впоследствии перерастают в полипы и/или конкременты.

После этого и параллельно этому происходит нарушение тонуса стенки желчного пузыря и дисфункция сфинктерного аппарата желчевыводящих путей, по причине чего желчь застаивается, чем усугубляется формирование камней и диспепсия.
Симптомы хронического холецистита начинают проявляться при чрезмерном повреждении стенки желчного пузыря камнями (или обтурации желчных протоков конкрементами) и инфицировании желчи. Параллельно происходит изменение физико-химических свойств и биохимического состава желчи (дисхолии и дискринии), а также снижается внешнесекреторная функция печени вследствие угнетения активности клеток печени, что также усугубляет уже сформированные дисхолию и дискринию. [6]
Пути попадания патогенной флоры в желчный пузырь:
- энтерогенный — из кишечника при нарушениях моторики сфинктера Одди и повышении внутрикишечного давления (кишечная непроходимость);
- гематогенный — через кровь при хронических инфекционных (гнойных) заболеваниях различных органов и систем;
- лимфогенный — через лимфатические сосуды, по путям оттока лимфы от органов брюшной полости.
Классификация и стадии развития хронического холецистита
В Международной классификации болезней (МКБ-10) хронический холецистит кодируется как К81.1.
Главенствующим признаком, которым можно охарактеризовать и классифицировать хронический холецистит, конечно же, является наличие или отсутствие конкрементов (камней) в желчном пузыре. В связи с этим выделяют:
- калькулёзный холецистит;
- некалькулёзный (бескаменный) холецистит (здесь преобладают воспалительные явления и/или моторно-тонические расстройства желчного пузыря и его протоков).
Как уже отмечалось ранее, 85-95% людей (чаще всего женщины 40-60 лет), страдающих хроническим холециститом, имеют камни в жёлчном пузыре (т.е. больны хроническим калькулёзным холециститом). Образование конкрементов может быть либо первичным (при изменении физико-химических свойств желчи), либо вторичным (после первичного инфицирования желчи и развития воспаления). [5] [6]
Если говорить о причинном факторе воспалительного процесса, нужно выделить следующие формы заболевания (по частоте встречаемости):
- бактериальный;
- вирусный;
- паразитарный;
- аллергический;
- иммуногенный (немикробный);
- ферментативный;
- неясного происхождения (идиопатический).
Течение воспалительного процесса также бывает неодинаковым и зависит от многих факторов, включая индивидуальные особенности каждого организма. В связи с этим выделяют четыре типа хронического холецистита:
- редко рецидивирующий (один приступ в год или реже);
- часто рецидивирующий (более двух приступов в год);
- монотонный (латентный, субклинический);
- атипичный (не входящий ни в одну из вышеописанных категорий).
Фазы воспаления значительно разнятся между собой, каждый пациент это может почувствовать на себе:
- обострение (яркая клиническая картина, выраженность всех симптомов);
- затихающее обострение;
- ремиссия (стойкая, нестойкая).
Тяжесть течения основного заболевания и каждого из обострений тоже может варьироваться:
- лёгкая форма;
- средняя форма;
- тяжёлая форма;
- с осложнениями и без.
Осложнения хронического холецистита
Холецистит хронической формы развивается длительное время и его обострение происходит "не на ровном месте". Что же способствует этому обострению? В первую очередь неправильное питание: чрезмерное употребление жирной, жареной, солёной пищи, алкоголя и, как ни странно, даже голод приводят к застою и повышенной вероятности инфицирования желчи. Именно эти факторы являются главной причиной обострения и развития осложнений. Также к причинам обострения можно отнести пожилой возраст, хронические заболевания ЖКТ, дисфункцию желчных путей, хронический стресс, наличие камней в желчном пузыре и даже генетическую предрасположенность.
Однако обострение хронического холецистита (имеется ввиду желчная колика) является лишь звеном в развитии таких грозных осложнений, как:
- холедохолитиаз — закупорка конкрементом общего желчного протока, образованного соединением пузырного и общего печёночного желчных протоков, с формированием механической желтухи;

- деструкция стенки желчного пузыря с угрозой перфорации (вследствие повреждения желчного пузыря камнями и/или пролежнями от последних);
- холецистопанкреатит — формирование воспаления не только в желчном пузыре, но и в поджелудочной железе вследствие нарушения тонуса сфинктера Одди и/или закупоркой его камнем и невозможностью поступления панкреатического и желчного соков в двенадцатиперстную кишку;
- холангит — воспаление общего желчного протока с расширением последнего и возможным развитием гнойного процесса;
- водянка желчного пузыря (при длительно существующем заболевании в латентной форме, с редкими рецидивами лёгкой/стёртой формы и сохранении окклюзии пузырного протока);
- пузырно-кишечные свищи — формирование соустья между желчным пузырём и кишечником по причине длительно существующего воспаления в первом и прилегании этих органов друг к другу;
- абсцесс печени и подпечёночного пространства;
- рак желчного пузыря. [8]
Диагностика хронического холецистита
В связи с большим количеством возможных грозных осложнений хронического холецистита очень важно как можно раньше распознать болезнь самому и подтвердить в медицинском учреждении наличие данного заболевания.
Обследование начинается с осмотра пациента врачом-хирургом: обращается внимание на наличие желтушности кожных покровов, иктеричность склер, вынужденное положение больного в связи с выраженным болевым и интоксикационным синдромами и т.д.). Затем осмотр продолжается опросом пациента и пальпацией брюшной стенки: уточняются данные о соблюдении диеты, особенности и локализация болевого синдрома, определяются симптомы Мерфи, Мюсси и Шоффара (болезненные ощущения при определённых способах "прощупывания"), характерные для воспаления желчного пузыря.
В общем анализе крови можно проследить признаки неспецифического воспаления: увеличенная скорость оседания эритроцитов (СОЭ) и увеличенное количество лейкоцитов (лейкоцитоз) со сдвигом формулы влево.
Биохимический анализ крови может выявить повышение активности ферментов печени, а именно АЛаТ, АСаТ, ГГТП и щелочной фосфатазы.
Более подробную информацию для постановки диагноза хронического холецистита можно получить, конечно же, с помощью визуализирующих методик:
1. УЗИ органов брюшной полости (гепатобилиарной зоны) — определяется размер желчного пузыря, толщина его стенки, наличие деформации и конкрементов в просвете, расширенные внутри- и внепечёночные желчные протоки, различные нарушения моторики.

2. Холецистография и холеграфия — рентгенконтрастные исследования желчного пузыря и его протоков. За 12-16 часов до обследования пациент принимает контрастное вещество перорально (обычно накануне вечером). Выполняется несколько снимков в разных проекциях, после чего обследуемый получает желчегонный завтрак (яичные желтки и сливочное масло), и спустя 20 минут также выполняется несколько снимков. Производятся эти исследования с целью определения положения, формы, величины и смещаемости желчного пузыря, способности концентрации и выталкивания желчи (моторики).
3. Дуоденальное зондирование проводится с целью взятия пробы желчи, определения флоры и её чувствительности к антибиотикам для адекватного лечения. [9]
Лечение хронического холецистита
Лечение хронического холецистита может быть как консервативным, так и хирургическим.
В связи с тем, что 85-95% больных хроническим холециститом имеют калькулёзную (каменную форму) заболевания, с чем и связано развитие грозных осложнений, удаление желчного пузыря является единственно возможным и самым эффективным способом профилактики последних.
Операция при холецистите
Оперативное лечение хронического холецистита (холецистэктомия) является плановой операцией, а в случае тяжёлого обострения — экстренной или даже операцией "по жизненным показаниям". В зависимости от тяжести течения заболевания, её длительности, количества рецидивов, их интенсивности и состояния пациента удаление желчного пузыря может осуществляться несколькими методиками:
- классическая холецистэтомия (через разрез передней брюшной стенки длиной около 15 см в правом подреберье);
- мини-холецистэктомия (разрез в правом подреберье длиной 4-6 см);
- лапароскопическая холецистэктомия (с использованием лапароскопического инструментария, т.е. через "проколы" — четыре разреза размером по 5-10 мм);
- мини-лапароскопическая холецистэктомия (три прокола размером по 3-5 мм) — используется в редких случаях при крайней необходимости достижения максимального косметического эффекта.

Реабилитация после холецистэктомии
После удаления желчного пузыря пациенту необходимо регулярно посещать врача в течение следующих трёх месяцев, на 3–6–12 месяц нужно сдавать анализы крови и проходить УЗИ органов брюшной полости. Также следует принимать желчегонные препараты, питаться небольшими порциями 3–5 раз в сутки и исключить жирную пищу. Если не перестроить питание, агрессивная желчь, которая течёт в кишечник, повышает риски рака прямой кишки.
Ультразвуковая литотрипсия
При противопоказаниях к операции или при нежелании пациента оперироваться можно воспользоваться нехирургическим методом дробления камней — ультразвуковой литотрипсией. Однако измельчение и выведение камней не является излечением, и в 95-100% случаев конкременты формируются повторно через некоторое время.

В период обострения применяются обезболивающие (нестрероидные противовоспалительные средства — НПВС) и спазмолитические препараты для снятия спазма мускулатуры желчного пузыря и его протоков.
Профилактику инфицирования и санацию очага проводят антибиотикотерапией (цефалоспорины). Дезинтоксикацию осуществляется при помощи растворов глюкозы и хлорида натрия. Также необходимо лечение диспепсического синдрома: обычно для этого используются ферментные препараты. [10]
Диета
Когда заболевание находится в стадии ремиссии, необходимо строгое соблюдать диету: отказаться от острой, жирной и жаренной пищи.
Физиотерапия и народные методы лечения
Пациенты, страдающие хроническим бескаменным холециститом, лечатся у гастроэнтеролога. Возможно проведение физиотерапии (электрофорез, грязелечение, рефлексотерапия, пребывание на бальнеологических курортах) и фитотерапии (приём отваров тысячелистника, пижмы, крушины).
Лечебная гимнастика при холецистите
Убедительных доказательств о пользе специальной гимнастики при лечении или для профилактики холецистита не существует. Более того, использование лечебной гимнастики может быть опасным. Чаще заболевание встречается в виде хронического калькулёзного холецистита, физическая нагрузка в таком случае может привести к осложнениям, таким как механическая желтуха. Пациенту вполне достаточно снизить вес и заниматься обычной лечебной физкультурой.
Нарушение диеты в повседневной жизни встречается сплошь и рядом, поэтому формирование конкрементов в желчном пузыре не является чем-то удивительным. Вероятность проявления симптомов и осложнений от образования камней в желчном пузыре на самом деле низкая. Очень часто камни в желчном пузыре обнаруживаются при обследовании пациентов с другими патологиями ЖКТ и других органов и систем.
Практически все пациенты, перенёсшие удаление желчного пузыря, больше никогда не испытывают симптомов, если только последние не были вызваны исключительно камнями в желчном пузыре.
Профилактические мероприятия не могут дать 100% гарантию предотвращения развития болезни, но значительно снизят риски её возникновения. Первично, конечно же, необходимо пропагандирование здорового образа жизни:
- соблюдение диеты;
- отказ от пристрастия к перееданию, жирной, острой и жареной пищи;
- ограничение или полный отказ от алкоголя;
- регулярные занятия физической культурой.
Нужно стремиться максимально избегать стрессов, недосыпаний, длительных и частых периодов голода.
Для профилактики обострений уже поставленного диагноза хронического холецистита необходимо:
- строжайшее соблюдение диеты и правил дробного питания;
- избегание гиподинамии, стрессов и тяжёлой физической нагрузки;
- два раза в год наблюдения у хирурга;
- не избегать санаторно-курортного лечения. [11]
За дополнение статьи благодарим Романа Васильева — гастроэнтеролога, научного редактора портала «ПроБолезни».
Желчный пузырь в организме человека

Роль желчного пузыря в организме
Вместе с протоками желчный пузырь образует билиарную систему, обеспечивающую накопление, хранение и выделение желчи¹.
Желчь — это пищеварительная жидкость, которая выполняет несколько функций:
- обеспечивает разложение и усвоение жиров;
- регулирует активность кишечных ферментов и ферментов поджелудочной железы;
- имеет бактерицидные свойства;
- активирует моторику тонкой кишки;
- участвует в выделительных процессах.
Желчь выделяется печенью, а желчный пузырь только накапливает ее. За сутки печень человека может вырабатывать от 500 до 1000 мл желчи. В желчный пузырь она попадает по системе протоков. Он вмещает около 50 мл желчи. Каждый раз, когда человек ест и пища поступает в двенадцатиперстную кишку, стенки желчного пузыря сокращаются, и желчь выбрасывается в просвет кишки.
Где находится желчный пузырь?
Желчный пузырь расположен в правом подреберье под печенью (рис 1.). Он плотно прилегает к ней с нижней стороны и соприкасается с желудком, тонким кишечником, с оболочкой брюшной полости. Желчный пузырь соединен с печенью протоком, по которому перемещается желчь. Это небольшой орган, в норме он не прощупывается².

Рисунок 1. Расположение желчного пузыря. Источник: Cancer Research UK / Wikimedia Commons (CC BY-SA 4.0)
Строение желчного пузыря
Желчный пузырь — относительно маленький орган грушевидной формы, похожий на мешок. Объем органа составляет 40-60 см3, его длина — от 8 до 12 см, ширина от 3 до 5 см. Длина пузырного протока — около 3,5 см. В строении желчного пузыря выделяют тело, шейку и дно. Дно формирует нижнюю часть пузыря и немного выступает из-под печени. Оно переходит в среднюю часть органа — его тело. Тело сужается кверху, образуя шейку, самую узкую часть. Она соединяется с пузырным протоком, который, в свою очередь, выходит в общий желчный проток. Край органа в области шейки расположен под углом, чтобы облегчить отток секрета. На протоках есть сфинктеры — мышечные клапаны, которые раскрываются, когда начинается отток желчи, препятствуют ее обратному току (забросу содержимого двенадцатиперстной кишки в желчный пузырь), а также перекрывают ток секрета, когда процесс пищеварения завершается (рис. 2).

Рисунок 2. Строение желчного пузыря и желчевыводящих путей. Источник: OpenStax (CC BY 4.0)
Стенка желчного пузыря имеет три слоя или оболочки. Наружная соединительнотканная оболочка выполняет защитные функции. Мышечная оболочка формирует основной слой стенок. Она нужна для сокращения органа при выбросе желчи. Слизистая оболочка формирует складки, которые расправляются при наполнении пузыря. В области шейки и пузырного протока эти складки располагаются по спирали. Это нужно, чтобы улучшить выведение желчи.
Функции желчного пузыря
Желчь постоянно вырабатывается печенью, но она нужна только при пищеварении, в то время, когда в желудке находится пища. В остальное время она накапливается и хранится в желчном пузыре². При этом орган выполняет несколько функций:
- Резервуарная. В периоды, когда пищеварения не происходит, желчь постепенно накапливается внутри желчного пузыря.
- Эвакуаторная. При пищеварении осуществляется выброс желчи, ее продвижение по протокам в просвет двенадцатиперстной кишки.
- Концентрационная. При накоплении желчи она постепенно сгущается, а концентрация кислот изменяется так, чтобы секрет не повреждал слизистую пищеварительного тракта и обеспечивал расщепление липидов. Это нужно, например, если человек долго не ест и не происходит оттока желчи.
- Абсорбционная. Стенки органа впитывают лишнюю жидкость, благодаря чему концентрация секрета повышается. Возможно поглощение не только жидкости, но и других компонентов, содержащихся в желчи в избытке.
- Секреторная. Железы в области шейки желчного пузыря выделяют слизь, необходимую для перемещения желчи.
Когда начинается процесс пищеварения, желчный пузырь сокращается, раскрываются сфинктеры на протоках, желчь поступает в двенадцатиперстную кишку. Когда желчь выполнила свои функции, стенки желчного пузыря начинают вырабатывать гормон антихолецистокинин. Под его действием орган расслабляется, сфинктер запирается, желчь перестает поступать в двенадцатиперстную кишку.
То, как именно желчный пузырь выполняет свои функции, влияет на свойства желчи, ее перемещение, на пищеварительный процесс.
Правда ли, что желчный пузырь — «ненужный» орган?
Желчный пузырь действительно не является жизненно важным органом. При желчнокаменной болезни врач может рекомендовать его удаление. Для этого проводится холецистэктомия. После такой операции желчи будет негде накапливаться. Из-за этого работа печени постепенно перестроится. Она будет выделять желчь не непрерывно, а порционно. И в период, пока идет эта «перестройка», и после нее нужно будет соблюдать специальную диету.
Удаление желчного пузыря проводится только по показаниям, если есть риск закупорки протоков, образуются большие камни или есть другие факторы, угрожающие развитием осложнений. Человек может жить и без этого органа, но его удаление почти всегда влияет на качество жизни: появляются ограничения в питании, необходимо внимательнее следить за своим здоровьем. Холецистэктомия влияет на работу поджелудочной железы и печени. Иногда после операции возникают расстройства стула и пищеварения¹.
Симптомы больного желчного пузыря
Нарушения в работе желчного пузыря развиваются постепенно. Часто это связано с неправильным питанием и несбалансированным рационом, от которых страдают и другие пищеварительные органы. Из-за этого пищеварение постепенно ухудшается, появляются первые общие симптомы. Часто они связаны с состоянием не только желчного пузыря, но и всей пищеварительной системы. Первыми признаками болезней могут быть:
- боли, колики в правом подреберье;
- металлический привкус, горечь во рту;
- отрыжка, тошнота, рвота;
- покраснение языка или образование светлого налета на нем.
При появлении этих симптомов нужно пройти обследование у гастроэнтеролога.
Если состояние желчного пузыря ухудшается, симптомы становятся более специфическими. Появляются:
- Боли в подреберье усиливаются, могут быть очень интенсивными после приема жирной, копченой, жареной пищи. Если из желчного пузыря выходит камень и закупоривает проток, боль острая, резкая, приступообразная. При образовании полипов внутри органа боли может не быть.
- Желтушность кожи и белков глаз, которая появляется из-за проблем с эвакуацией желчи. Содержащиеся в ней кислоты попадают в кровь, и это провоцирует развитие желтухи.
- Кал становится светлым. В норме желчь поступает в двенадцатиперстную кишку, и содержащиеся в ней кислоты окрашивают кал в коричневый цвет. Если желчи поступает мало, этого не происходит и кал светлеет.
- Насыщенный желтый или темный цвет мочи. Частично желчные кислоты выводятся с мочой, и из-за этого ее оттенок изменяется.
- Проблемы с пищеварением и стулом. После жирной, тяжелой еды появляется тошнота, возможна рвота. Постепенно усиливаются расстройства стула — появляется метеоризм, продолжительные запоры или диарея. Это происходит из-за нарушений переваривания жирной пищи, из-за недостаточного поступления желчи в двенадцатиперстную кишку³.
При заболеваниях желчного пузыря также появляются признаки проблем с печенью: постоянный горький привкус во рту, покраснение языка.
Иногда появляются симптомы, не связанные с пищеварением или работой печени: нарушения сна, раздражительность, кожный зуд. Почти всегда постепенно ухудшается аппетит.
Что такое желчная колика?
Колики появляются при болезнях желчного пузыря. Характерный симптом — боль в желчном, которая является острой и имеет несколько особенностей:
- Боль очень сильная, жгучая, непереносимая.
- Сначала боль появляется в правом подреберье. Она может постепенно распространяться, отдавать в область правой лопатки, доходить до шеи и затылка, переходить на правую сторону поясницы. Иногда колика ощущается как приступ боли в сердце.
- Приступ может продолжаться от 15 минут до нескольких часов и дольше. Более тяжелые и долгие приступы обычно возникают после жирной, жареной, копченой еды.
- Во время колики может ухудшаться общее самочувствие. Появляется слабость, недомогание, может повышаться температура тела. При очень сильной боли возможны судороги, потеря сознания, шок.
При колике нужно как можно быстрее обратиться к врачу. Даже если она быстро пройдет, это опасный симптом, который требует обследования. Если состояние очень плохое (острая боль, высокая температура, судороги, шок или потеря сознания), нужно вызвать скорую помощь³.
Какими бывают болезни желчного пузыря?
Если работа билиарной системы нарушается, излитие желчи происходит неправильно. Из-за этого ее состав меняется, может начаться воспаление. В результате развивается одно из характерных заболеваний⁴.
Дискинезия желчевыводящих путей
При этом заболевании работа желчевыводящей системы нарушается. В процесс могут быть вовлечены как сам пузырь или протоки, так и сфинктеры протоков. Из-за этого выделение желчи происходит неправильно:
- ее поступает слишком мало или слишком много;
- излитие происходит слишком рано;
- возникает задержка излития.
Дискинезия может быть первичной (врожденной, связанной с нарушениями строения органов билиарной системы) или вторичной. Вторичная дискинезия развивается на фоне воспаления желчного пузыря или протоков, желчнокаменной болезни, некоторых вирусных заболеваний, а также язвенной болезни желудка и двенадцатиперстной кишки, панкреатита, гастрита и других болезней. Часто дискинезия возникает из-за дисфункции сфинктера Одди. Это мышечный клапан, открывающий пузырный проток для излития желчи в двенадцатиперстную кишку. Дискинезия проявляется болями в правом боку, нарушениями пищеварения, ухудшением общего самочувствия.
Желчнокаменная болезнь
Распространенное заболевание, при котором образуются застои желчи, ее состав меняется, происходит образование конкрементов — желчных камней. Камни могут состоять из холестерина, билирубина, иметь смешанный состав. Образование камней опасно закупоркой протоков, появлением колик, развитием тяжелых осложнений (рис. 3).

Рисунок 3. Образование желчных камней. Источник: BruceBlaus / Wikipedia (CC BY-SA 4.0)
Желчнокаменная болезнь чаще развивается у женщин. Ее вызывает нарушение обмена холестерина и билирубина, воспаление желчевыводящих путей, ухудшение оттока желчи. Это происходит под влиянием разных факторов, включая пожилой возраст, наследственную предрасположенность, неправильное питание, малоподвижный образ жизни, голодание, соблюдение строгих диет, гормональные нарушения или состояния, при которых повышается уровень эстрогена.
На ранних стадиях для лечения желчнокаменной болезни гастроэнтеролог назначит лечебную диету, даст рекомендации по коррекции образа жизни. Если камни крупные или на фоне желчнокаменной болезни развивается острое воспаление, понадобится операция. Конкременты часто удаляют вместе с самим желчным пузырем. После такой операции понадобится реабилитация и соблюдение специальной диеты.
Холецистит — это воспаление слизистой оболочки желчного пузыря. Часто развивается как осложнение желчнокаменной болезни из-за нарушения оттока желчи. Может быть острым или хроническим, протекает в разных формах. Холецистит сопровождается острыми болями, общим недомоганием. При остром течении он опасен для жизни. Самочувствие может быстро ухудшаться — настолько, что больному понадобится срочная медицинская помощь.
Холецистит лечат, восстанавливая и стимулируя отток желчи, а также применяя антибиотики и противомикробные препараты для борьбы с инфекцией. Если больной вовремя обращается к врачу, прогноз благоприятный. Без лечения могут развиваться тяжелые осложнения, приводящие к смерти.
Другие заболевания
Реже встречаются следующие заболевания:
- Образование полипов. Происходит, если верхний слой внутренней оболочки органа разрастается и образует доброкачественные опухоли. Это могут быть аденомы, папилломы, воспалительные или холестериновые полипы.
- Рак желчного пузыря. Может развиваться как осложнение желчнокаменной болезни в результате перерождения полипов и по другим причинам. Это может быть аденокарцинома, реже встречается плоскоклеточный и папиллярный рак, при котором опухоль формируется внутри стенки органа.
- Свищ. Отверстие в стенке желчного пузыря, через которое изливается желчь. Появляется как осложнение желчнокаменной болезни или хронического холецистита. Может угрожать жизни. Убрать свищ можно только во время операции.
- Эмпиема. Появляется после закупорки пузырного протока при присоединении бактериальной инфекции. При эмпиеме внутри органа скапливается гной, и это сопровождается болями, высокой температурой, интоксикацией. Состояние может быть опасным для жизни.
Профилактика для правильной работы желчного пузыря
Желчный пузырь не является жизненно важным органом, но его заболевания нарушают работу пищеварительной системы, а после его удаления возрастает нагрузка на печень, поджелудочную железу и другие органы. Чтобы желчный пузырь оставался здоровым и нормально работал, достаточно соблюдать следующие рекомендации:
- Правильно питаться. Важно соблюдать режим питания, регулярно есть и не голодать подолгу. В рационе должно быть как можно меньше жирных, жареных, копченых блюд.
- Соблюдать режим дня. Нужна регулярная физическая активность, правильный режим сна и отдыха.
- Ограничить употребление алкоголя, отказаться от курения.
- Стараться снижать уровень стресса.
Если у кого-то из родственников была желчнокаменная болезнь или другие заболевания желчного пузыря, нужно ежегодно проходить профилактическое обследование у гастроэнтеролога. Также наблюдаться у врача нужно, если есть факторы, провоцирующие нарушения в работе пищеварительной системы: лишний вес, малоподвижный образ жизни, заболевания поджелудочной железы или других пищеварительных органов, нерегулярное питание.
Для женщин во время беременности, при менопаузе, приеме оральных контрацептивов риск развития заболеваний желчного пузыря повышается. Чтобы контролировать его, нужна консультация гастроэнтеролога.
Если у человека есть заболевания желчного пузыря или повышен риск их развития, ему особенно важно контролировать свое питание.
- Питание должно быть дробным: есть нужно часто и небольшими порциями.
- В рационе должно быть как можно меньше жирных продуктов, сдобы, сладостей, кофе, алкогольных и газированных напитков.
- Продукты лучше отваривать, тушить, запекать или готовить на пару.
- Нежелательно есть жареные, копченые, соленые, консервированные блюда.
- Важно пить больше жидкости⁵.
Заключение
Желчный пузырь — орган, важный для правильной работы пищеварительной системы. При сбалансированном питании и нормальной физической активности риск нарушений его работы минимален. Лишний вес, сидячий образ жизни, нерегулярное питание и скудный рацион могут провоцировать его заболевания. Некоторые болезни желчного пузыря могут быть опасными для жизни. Поэтому важно обращаться к врачу, если появляются их симптомы: проблемы с пищеварением, острые боли в правом подреберье, нарушения стула.
Читайте также:
