Хрящевую часть ребер образует хрящ
Среди патологий грудной клетки довольно часто встречается болезнь, которую очень легко перепутать с заболеваниями сердца и легких, воспалительными костно-мышечными процессами как аллерго-токсической, так и инфекционной природы, и даже с гнойными неспецифическими инфекциями — такие она дает пугающие симптомы. Между тем, острота симптоматики вовсе не соответствует серьезности характеру происходящих в грудном отделе процессов. Речь идет о реберном хондрите, известном в медицине как синдром Титце.

Что такое синдром Титце: краткие сведения о хондрите
Хондрит буквально переводится как хрящевое воспаление, но фактически — это любая неуточненная патология, происходящая в хрящевом слое.
Как известно, концевая часть ребер, соединенная с грудиной, состоит из хряща, и именно здесь проявляется реберный хондрит.
- Чаще всего он затрагивает второе ребро (частота — 60%).
- Второе место по частоте — у 3-го и 4-го ребра (30%).
- Наконец, всего 10% вероятности того, что синдром Титце затронет 1-е, 5-е или 6-е ребро.
Патология была описана в 1921 г. немецким хирургом Титце, с тех пор она называется синдромом Титце, реберным хондритом, а иногда костнохондральным синдромом. Существует также еще один диагностический термин — перихондрит.
Есть предположения (железных доказательств, как водится, нет), что синдром Титце могут инициировать:
- частые ОРВИ, особенно осложненные бронхитом;
- изнурительный кашель, буквально расшатывающий грудную клетку (при сильном кашле и реберной дистрофии возможны даже переломы);
- постоянные спортивные нагрузки и повреждения ребер (переломы, ушибы, вывихи);
- алкоголизм и наркомания;
- скудное питание (в плане поставок кальция, коллагена и витаминов хрящам);
- внутриобменные нарушения;
- торакотомия (операция со вскрытием грудной клетки).
Но хрящи претерпевают структурные изменения, в них происходит:
- отложение солей кальция;
- гиперпластические и метапластические процессы;
- дистрофия с образованием вакуоль;
- перестройка костных перегородок;
- внедрением хрящей в костную ткань.
Симптомы и лечение синдрома Титце
Внешне синдром Титце проявляется такими признаками:

- острая боль в левой и нижней части груди (псевдоангинозные боли, маскирующиеся под сердечные или боли, похожие на признаки заболеваний дыхательных путей и легких);
- боль многократно возрастает при вдохе, кашле, движениях в грудном отделе, пальпации мест реберных соединений с грудиной;
- через несколько часов или на другие сутки после возникновения болевого синдрома над больным ребром может образоваться припухлость, на ощупь болезненная;
- если страдает при этом межреберный нерв, выходящий из межпозвоночного канала, то возможна иррадиация боли по ходу воспаленных нервов в шейный отдел, руку, ключицу, лопаточную область.
Основной диагностический метод синдрома Титце — рентген. На рентгене может наблюдаться следующая картина:
- булавовидная (из-за периостита) в месте грудного крепления форма ребра;
- его гиперплазия (больное ребро массивней и толще здорового);
- на поверхности реберных оснований асимметричные участки обызвествления;
- из-за происходящих в хрящах дистрофических процессов (атроза) грудинореберные суставы визуализируются в виде светлых участков и утолщений (как правило здоровые хрящи на рентгене не видны).
На фото: рентген ребер с синдромом Титце.

При выявлении на рентгене сомнительных признаков, часто бывающих в начале костнохондрального синдрома, целесообразно провести томографическую диагностику (компьютерную КТ или магнитно-резонансную МРТ), обладающую прекрасными возможностями визуализировать начальные стадии болезней.
ЭКГ и лабораторные анализы проводятся для того, чтобы исключить более опасные сердечные и дыхательные патологии — это неизменное железное правило всех болевых синдромов, происходящих в грудном отделе.
В первую очередь лечащий врач должен исключить болезни сердца и дыхания. Далее проводится дифференциальная диагностика в отношении следующих патологий, дающих похожие симптомы:
- реберный артрит;
- остеохондрит (дегенеративный процесс в хрящах ребер, часто протекающий на фоне грудного остеохондроза);
- посттравматическая костная мозоль, образующаяся в месте перелома ребра;
- реберный экзостоз;
- остеомиелит.
Синдром Титце лечится в подавляющем большинстве случаев консервативно. При первых симптомах болезни вводится режим ограничения нагрузок.
Основной принцип лечения этиотропный: чтобы прекратились боли, необходимо ликвидировать основной провоцирующий фактор — изнурительные тренировки, профессиональные физические нагрузки, частые простуды, порочные пристрастия в виде наркомании и неуемного потребления алкоголя, недостаточность и нерациональность питания
Болевой синдром при реберном хондрите купируют при помощи:
- НПВС, принимаемых в виде инъекций и перорально;
- местной блокадной анестезии: 0.5%-й раствор новокаина + гидрокортизон (всего делается от 4 до 5 инъекций);
- йодистых препаратов в малых дозах и салицилатов (перорально).
При реберной патологии хорошо помогает лечение с использование слабых токов, ультразвукового, рентгеновского излучения и сухого тепла.

Рекомендована такая лечебная физиотерапия:
- электрофорез с йодистым калием;
- УВЧ;
- рентгенотерапия;
- иглорефлексотерапия;
- накладывание на ребра горячего парафина или озокерита.
Благоприятно воздействует на ребра климатотерапия:
- утренний солнечный загар;
- плавание в морской воде;
- прогулки на морском берегу или по лесной зоне.
Второй важный фактор — ежедневная лечебная физкультура для грудного отдела, построенная разумно на движениях, не загружающих сильно реберногрудинные суставы, но тем не менее затрагивающая их.
Золотое правило лечения всех хондропатий — это движение, ускоряющее кровообращение в окружающих хрящевые слои тканях, только так хрящи могут почерпнуть питательные вещества извне, ведь своих автономных кровеносных сосудов у них нет.
Полезны дыхательные упражнения, которые необходимо выполнять одновременно с обычными. При этом важно установить физиологически правильное дыхание, подключая к нему не только грудные, но и брюшные мышцы. Подробнее о дыхании читайте в этом обзоре, в котором также можно узнать, как бороться с весенней депрессией.

Для нормализации тонического баланса грудных мышц и борьбы с симптомами межреберной невралгии рекомендуются статические упражнения, целью вызвать глубокую мышечную релаксацию. Читайте о методике постизометрической релаксации здесь.
Необходимость в оперативном вмешательстве при реберной хондропатии возникает очень редко. Показаниями для операции могут быть:
- полная безуспешность консервативного лечения;
- частые переломы ребер;
- хроническая грудная невралгия.
В случае наличия этих факторов может быть рекомендована резекция хрящевой надкостницы.
Процесс, происходящий в хрящах ребер, этиологию которого до конца не могут объяснить даже ученые, уж тем более не под силу устранить при помощи народных средств. И конечно, малоэффективными окажутся наружные мази и компрессы.
До хрящей и нервов содержащиеся в них целебные элементы просто не дойдут, к тому же наложение горячего компресса на левую область груди противопоказано.
Однако можно умерить болевые симптомы при помощи:
- Травяных сборов из трав обезболивающего и успокаивающего действия: ромашка, календула, мята, душица, мелисса — смешать по одной столовой ложке каждой травы и заварить одну ст. ложку 0.5 л кипятка, настоять два часа и пить как травяной чай в течении всего дня.
- Раствора аптечного мумие в воде или молоке.
- Травяных теплых ванн (шалфейных, осиновых, солевых) — для увеличения эффекта можно добавить в ванну несколько капель эвкалиптового, пихтового или лавандового масла.
Болезнь хорошо поддается лечению и не представляет серьезной опасности для здоровья, поэтому прогноз ее определенно благоприятный. При надлежащем лечении, устранении факторов воздействия процесс в ребрах прекращается. Однако происшедшие реберные деформации уже необратимы.
Синдром Титце может способен давать рецидивы даже через много лет, поэтому однажды заболевшим пациентам с этим диагнозом необходимо периодически делать рентгенографию грудной полости.





(1 оценок, среднее: 4,00 из 5)
- Все
- А
- Б
- В
- Г
- Д
- И
- К
- Л
- М
- Н
- О
- П
- Р
- С
- Т
- Ф
- Х
- Ц
- Э
Реберный хондрит (синдром Титце)
- Реберный хондрит является частой причиной болей в груди в детском и подростков возрасте и составляет от 10-30 % всех болей в груди в этом возрасте. Наиболее часто встречается в возрасте от 12-14 лет.
- Реберный хондрит также рассматривается как возможный диагноз у взрослых, у которых есть боль в груди. Боль в груди у взрослых считает потенциально серьезным симптомом заболевания и, в первую очередь, необходимо исключить патологию сердца (ЭКГ, анализы, осмотр и т.д). Только после тщательного обследования и исключения кардиального генеза боли можно предположить наличие реберного хондрита. Подчас дифференциальная диагностика бывает затруднительна. У взрослых реберный хондрит встречается чаще у женщин.
Реберный хондрит очень часто называют синдромом Tитце. Синдром Титце - редкое воспалительное заболевание, характеризующееся болью в груди и набуханием хряща в области крепления второго или третьего ребра к грудине . Боль возникает остро и бывает иррадиация в руку, в плечо .Болеют как мужчины, так и женщины чаще в возрасте от 20 до 40 лет. Встречается в основном у людей, работа которых связана с физическими нагрузками или спортсменов.
Причины

Реберный хондрит - это воспалительный процесс в хрящевой ткани , обычно не имеющий никакой определенной причины. Повторные небольшие травмы грудной клетки и острые респираторные инфекции могут спровоцировать появление болезненности в области крепления ребер (воздействие как самих вирусов, так и частого кашля на зоны крепления ребер). Иногда реберный хондрит возникает у людей, принимающих парентерально наркотики или после оперативных вмешательств на грудной клетке. После операций поврежденная хрящевая ткань более подвержена инфицированию из-за нарушений ее кровоснабжения.
Симптомы
Болям в груди, связанным с реберным хондритом, как правило, предшествуют физические перегрузки, небольшие травмы или острые респираторные инфекции верхних дыхательных путей.
- Боль, как правило, появляется остро и локализуется в передней области грудной клетки. Боль может иррадиировать вниз или чаще в левую половину грудной клетки.
- Наиболее частая локализация боли - область четвертого, пятого и шестого ребра. Боль усиливается при движении туловища или при глубоком дыхании. И, наоборот, происходит уменьшение болей в покое и при неглубоком дыхании.
- Болезненность, которая четко выявляется при пальпации (нажатии в области крепления ребер к грудине). Это является характерной особенностью хондрита и отсутствие этого признака говорит о том, что диагноз реберного хондрита маловероятен.
Когда причиной реберного хондрита является послеоперационная инфекция, то можно заметить отечность, красноту и/ или выделение гноя в области послеоперационной раны.
Учитывая, что симптоматика хондрита нередко похожа на неотложные состояния, необходимо экстренно обратиться за медицинской помощью в случаях:
- Проблемы с дыханием
- Высокая температура
- Признаки инфекционного заболевания (отечность, краснота в области крепления ребер)
- Боль в грудной клетке постоянного характера, сопровождающаяся тошнотой, потоотделением
- Любая боль в грудной клетки без четкой локализации
- Усиление болей на фоне лечения
Диагностика
Основой диагностики является история болезни и внешний осмотр. Характерным для этого синдрома является болезненность при пальпации в области крепления 4-6 ребра.
Рентгенография (КТ, МРТ) обычно малоинформативна для диагностики этого синдрома и применяется только для дифференциальной диагностики с другими возможными причинами болей в грудной клетке (онкологические заболевания, заболевания легких и т.д.). ЭКГ, лабораторные исследования необходимы для исключения заболеваний сердца или инфекций. Диагноз реберного хондрита выставляется в последнюю очередь после исключения всех возможных других причин (особенно заболеваний сердца).
Лечение
Если диагноз верифицирован, то лечение заключается в назначении НПВС на короткое время, физиотерапии, ограничение на некоторый период времени физических нагрузок, иногда инъекции в область локализации боли анестетика совместно со стероидом.
Использование материалов допускается при указании активной гиперссылки на постоянную страницу статьи.
Переломы ребер случаются при падении грудной клеткой на острый предмет или сдавливании. Различают простые, осложненные, а также осколочные повреждения. Если ребро сломано с образованием осколков, это может привести к повреждению внутренних органов. При острой боли, кровоизлияния на коже следует немедленно обратиться к врачу.

Причины переломов хрящей ребер
В человеческом организме 12 пар ребер, 10 из которых соединены между собой хрящевой частью и образуют грудину. За счет хрящей грудная клетка может совершать движения. Причинами повреждения хрящей служат сдавливание, удары или ушибы грудины, а также патологический ушиб. Иногда переломы являются следствием инфекционных или опухолевых заболеваний. Встречаются также множественные повреждения, например, при масштабном ДТП. Переломы хряща ребра опасны осложнениями и нуждаются в обязательной иммобилизации туловища и госпитализации.
Как самостоятельно распознать травму?
Первое, что чувствует пострадавший, это сильную боль. Человеку трудно дышать, двигаться, разговаривать, кашлять. Боль стихает, если принять положение сидя. При осмотре можно заметить отставание грудной клетки во время дыхания в стороне ушиба, иногда сопровождается характерным хрустом осколков кости. Если есть множественные переломы, к симптомам присоединяется отек поврежденного участка, кровоподтеки, при прощупывании очаг не имеет границ, боль распространяется на большую область грудины.
Опасными для жизни человека осложнениями после перелома является развитие пневмоторакса и гемоторакса.
Как оказать первую помощь?
Диагностика
Врач осуществляет осмотр и опрос пациента. Визуально наблюдается поврежденный участок на коже. При прощупывании ощущается раскол ребра, а также крепитация осколков. Наличие характерного симптома прерванного вдоха служит одним из доказательств повреждения, когда из-за боли невозможно сделать глубокий вдох. Ощущается болезненность при наклоне в противоположную от перелома сторону.
Рентгенологическое исследование считается эффективным методом. Обнаружить перелом хряща ребра поможет грудная компьютерная томография, которая более чувствительна, чем рентген, и определит количество поврежденных ребер. КТ-сканирование грудной клетки также выявляет степень повреждения. Рубежные нарушения костно-хрящевой ткани позволяет обнаружить и ультразвуковое исследование.
Схема лечения и реабилитация
Если сломаны два ребра или произошел перелом хрящевой части, терапия заключается в иммобилизации грудины. Можно проводить кислородные ингаляции, при сильных болях принимать обезболивающие препараты. При закрытом переломе фиксацию туловища проводят с помощью эластичного бинта или повязки. Сломанный участок ребра срастается в течение месяца. При возникновении таких осложнений, как гемоторакс и пневмоторакс делают пункцию плевральной сумки.
При простом переломе врач назначает местную анестезию. После обезболивания прописывает прием отхаркивающих препаратов, а также физиопроцедуры и ЛФК. В случае осложненного травмирования те же назначение, но добавляются манипуляции, связанные с удалением жидкости из плевральной полости. Если ее количество небольшое, оно рассасывается самостоятельно. При пневмотораксе необходимо удалить из полости воздух. Для этого под местной анестезией доктор ставит дренажную трубку на 2 дня, пока не выйдет весь скопившийся воздух. Затем делают рентген и убирают приспособление.
Восстановление реберного участка заключается в постепенной дыхательной тренировке, которую следует начать спустя 1 неделю после наложения повязки. Физические упражнения рекомендуется делать уже через 30 дней. Приступить к полноценным тренировкам в спортивном зале возможно только спустя 1,5—2 месяца.
Переломы ребер случаются при падении грудной клеткой на острый предмет или сдавливании. Различают простые, осложненные, а также осколочные повреждения. Если ребро сломано с образованием осколков, это может привести к повреждению внутренних органов. При острой боли, кровоизлияния на коже следует немедленно обратиться к врачу.

Причины переломов хрящей ребер
В человеческом организме 12 пар ребер, 10 из которых соединены между собой хрящевой частью и образуют грудину. За счет хрящей грудная клетка может совершать движения. Причинами повреждения хрящей служат сдавливание, удары или ушибы грудины, а также патологический ушиб. Иногда переломы являются следствием инфекционных или опухолевых заболеваний. Встречаются также множественные повреждения, например, при масштабном ДТП. Переломы хряща ребра опасны осложнениями и нуждаются в обязательной иммобилизации туловища и госпитализации.
Как самостоятельно распознать травму?
Первое, что чувствует пострадавший, это сильную боль. Человеку трудно дышать, двигаться, разговаривать, кашлять. Боль стихает, если принять положение сидя. При осмотре можно заметить отставание грудной клетки во время дыхания в стороне ушиба, иногда сопровождается характерным хрустом осколков кости. Если есть множественные переломы, к симптомам присоединяется отек поврежденного участка, кровоподтеки, при прощупывании очаг не имеет границ, боль распространяется на большую область грудины.
Опасными для жизни человека осложнениями после перелома является развитие пневмоторакса и гемоторакса.
Как оказать первую помощь?
Диагностика
Врач осуществляет осмотр и опрос пациента. Визуально наблюдается поврежденный участок на коже. При прощупывании ощущается раскол ребра, а также крепитация осколков. Наличие характерного симптома прерванного вдоха служит одним из доказательств повреждения, когда из-за боли невозможно сделать глубокий вдох. Ощущается болезненность при наклоне в противоположную от перелома сторону.
Рентгенологическое исследование считается эффективным методом. Обнаружить перелом хряща ребра поможет грудная компьютерная томография, которая более чувствительна, чем рентген, и определит количество поврежденных ребер. КТ-сканирование грудной клетки также выявляет степень повреждения. Рубежные нарушения костно-хрящевой ткани позволяет обнаружить и ультразвуковое исследование.
Схема лечения и реабилитация
Если сломаны два ребра или произошел перелом хрящевой части, терапия заключается в иммобилизации грудины. Можно проводить кислородные ингаляции, при сильных болях принимать обезболивающие препараты. При закрытом переломе фиксацию туловища проводят с помощью эластичного бинта или повязки. Сломанный участок ребра срастается в течение месяца. При возникновении таких осложнений, как гемоторакс и пневмоторакс делают пункцию плевральной сумки.
При простом переломе врач назначает местную анестезию. После обезболивания прописывает прием отхаркивающих препаратов, а также физиопроцедуры и ЛФК. В случае осложненного травмирования те же назначение, но добавляются манипуляции, связанные с удалением жидкости из плевральной полости. Если ее количество небольшое, оно рассасывается самостоятельно. При пневмотораксе необходимо удалить из полости воздух. Для этого под местной анестезией доктор ставит дренажную трубку на 2 дня, пока не выйдет весь скопившийся воздух. Затем делают рентген и убирают приспособление.
Восстановление реберного участка заключается в постепенной дыхательной тренировке, которую следует начать спустя 1 неделю после наложения повязки. Физические упражнения рекомендуется делать уже через 30 дней. Приступить к полноценным тренировкам в спортивном зале возможно только спустя 1,5—2 месяца.
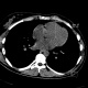
Девушка 15 лет. Травма груди. Подозрение на перелом хрящевой части рёбер. Проведена КТ груди:
![]()
![]()
![]()
![]()
![]()





![]()
Нарушена целостность трех ребер?
Интересно, а каков механизм травмы?
![]()
Механизма не знаю. Но, да, имеется перелом хрящевых частей 3, 4, 5-ого рёбер слева.
![]()
Не видел к сожалению, этого наблюдения раньше! Интересно и демонстративно! ИМХО: думаю очень много переломов хрящевой части рёбер не диагностируются т.к. чаще всего выполняется только R-грамма грудной клетки на которой данную патологию, конечно не увидишь.
![]()
Не видел к сожалению, этого наблюдения раньше! Интересно и демонстративно!
Здравствуйте Александр!
Да, хорошее наблюдение.
А вот и статья, тоже весьма хорошая, по данной теме.
![]()
Здрваствуйте, Валентин Львович! Спасибо за ссылку !
![]()
Красотища! реконструкция! в цвете! со стрелочками! Вот только - зачем? УЗИ нельзя было сделать? Метод - простой, доступный, безвредный и, главное, информативный.
"самоуверенность дилетантов - предмет зависти профессионалов"
![]()
Вы используете УЗИ для диагностики переломов хрящевой части рёбер?
![]()
"самоуверенность дилетантов - предмет зависти профессионалов"
![]()
Здравствуйте Татьяна Валентиновна!
Вот прочитал Ваш коммент и стало очень интересно, так как у нас этого не делали и не делают. Но стало интересно. Позвонил нашему УЗИсту, так он очень удивился, даже о здоровье моём спросил.
![]()
Вы сами владеете этой методикой?
![]()
Александр, я вообще не владею методикой УЗИ, но у меня есть УЗ-снимок перелома ребра, мой )))
Недавно искали на рентгене перелом ребра, пока узист датчиком нам не ткнул и не показал 2сломаных ребра, после этого - нашли.
Валентин Львович, Вы же сами ссылку привели! читали? там как раз про УЗИ переломов ребер
Миф о том, что при УЗИ не видны хрящевые отрезки ребер, такой же бородатый, как и то, что на МРТ не видны кости
"самоуверенность дилетантов - предмет зависти профессионалов"
Грудина (sternum) — это непарная длинная плоская губчатая кость * , состоящая из 3 частей: рукоятки, тела и мечевидного отростка.
* ( Губчатая кость богата кровеносной системой, содержит красный костный мозг у людей любого возраста. По этому возможно: внутригрудинное переливание крови, взятие красного костного мозга для исследования, пересадка красного костного мозга.)

Грудина и рёбра. А — грудина (sternum): 1 — рукоятка грудины (manubrium sterni); 2 — тело грудины (corpus sterni); 3 — мечевидный отросток (processus xiphoideus); 4 — рёберные вырезки (incisurae costales); 5 — угол грудины (angulus sterni); 6 — яремная вырезка (incisure jugularis); 7 — ключичная вырезка (incisure clavicularis). Б — VIII ребро (вид изнутри): 1 — суставная поверхность головки ребра (facies articularis capitis costae); 2 — шейка ребра (collum costae); 3 — угол ребра (angulus costae); 4 — тело ребра (corpus costae); 5 — борозда ребра (sulcus costae). В — I ребро (вид сверху): 1 — шейка ребра (collum costae); 2 — бугорок ребра (tuberculum costae); 3 — борозда подключичной артерии (sulcus a. subclaviae); 4 — борозда подключичной вены (sulcus v. subclaviae); 5 — бугорок передней лестничной мышцы (tuberculum m. scaleni anterioris) [1989 Липченко В Я Самусев Р П - Атлас нормальной анатомии человека]
Рукоятка составляет верхний отдел грудины, на верхнем её крае расположены 3 вырезки: непарная яремная и парные ключичные, которые служат для сочленения с грудинными концами ключиц. На боковой поверхности рукоятки видны ещё две вырезки — для I и II рёбер. Рукоятка, соединяясь с телом, образует направленный кпереди угол грудины. В этом месте к грудине прикрепляется II ребро.
Тело грудины длинное, плоское, книзу расширяющееся. На боковых краях имеет вырезки для прикрепления хрящевых частей II—VII пар рёбер.
Мечевидный отросток — это наиболее изменчивая по форме часть грудины. Как правило, он имеет форму треугольника, но может быть раздвоен книзу или иметь в центре отверстие. К 30 годам (иногда позже) части грудины срастаются в одну кость.[1989 Липченко В Я Самусев Р П - Атлас нормальной анатомии человека]
Рёбра (costae) - это парные кости грудной клетки. Каждое ребро имеет костную и хрящевую части. Рёбра делятся на группы:
- истинные с I по VII - крепятся к грудине;
- ложные с VIII по X - имеют общее крепление рёберной дугой;
- колеблющиеся XI и XII - имеют свободные концы и не крепятся.
Костная часть ребра (os costale) — длинная спиралеобразно изогнутая кость, в которой различают головку, шейку и тело. Головка ребра находится на заднем его конце. Она несёт на себе суставную поверхность для сочленения с рёберными ямками двух смежных позвонков. Головка переходит в шейку ребра. Между шейкой и телом виден бугорок ребра с суставной поверхностью для сочленения с поперечным отростком позвонка. (Поскольку XI и XII рёбра не сочленяются с поперечными отростками соответствующих позвонков, суставной поверхности на их бугорках нет.) Тело ребра длинное, плоское, изогнутое. На нём различают верхний и нижний края, а также наружную и внутреннюю поверхности. На внутренней поверхности ребра по его нижнему краю проходит борозда ребра, в которой располагаются межрёберные сосуды и нервы. Длина тела нарастает до VII—VIII ребра, а затем постепенно уменьшается. У 10 верхних рёбер тело непосредственно за бугорком образует изгиб — угол ребра.
Первое (I) ребро в отличие от остальных имеет верхнюю и нижнюю поверхности, а также наружный и внутренний края. На верхней поверхности у переднего конца I ребра заметен бугорок передней лестничной мышцы. Впереди бугорка находится борозда подключичной вены, а сзади — борозда подключичной артерии.[1989 Липченко В Я Самусев Р П - Атлас нормальной анатомии человека]
Грудная клетка в целом (compages thoracis, thorax) образована двенадцатью грудными позвонками, рёбрами и грудиной. Верхняя апертура её ограничена сзади I грудным позвонком, с боков — I ребром и спереди — рукояткой грудины. Нижняя апертура грудной клетки значительно шире. Границу её составляют XII грудной позвонок, XII и XI рёбра, рёберная дуга и мечевидный отросток. Рёберные дуги и мечевидный отросток образуют подгрудинный угол. Хорошо видны межрёберные промежутки, а внутри грудной клетки, по бокам от позвоночника, — легочные борозды. Задняя и боковые стенки грудной клетки значительно длиннее, чем передняя. У живого человека костные стенки грудной клетки дополняются мышцами: нижняя апертура закрыта диафрагмой, а межрёберные промежутки — одноименными мышцами. Внутри грудной клетки, в грудной полости, расположены сердце, лёгкие, вилочковая железа, крупные сосуды и нервы.
Форма грудной клетки имеет половые и возрастные отличия. У мужчин она книзу расширяющаяся, конусовидная, имеет большие размеры. Грудная клетка женщин меньшего размера, яйцеобразная: сверху узкая, в средней части широкая и книзу вновь сужающаяся. У новорожденных грудная клетка несколько сдавлена с боков и вытянута кпереди.[1989 Липченко В Я Самусев Р П - Атлас нормальной анатомии человека]

Грудная клетка. 1 — верхняя апертура грудной клетки (apertura thoracis superior); 2 — грудино-рёберные суставы (articulationes sternocostales); 3 — межреберье (spatium intercostale); 4 — подгрудинный угол (angulus infrasternalis); 5 — рёберная дуга (arcus costalis); 6 — нижняя апертура грудной клетки (apertura thoracis inferior) [1989 Липченко В Я Самусев Р П - Атлас нормальной анатомии человека]
Читайте также:



