Лечение тройничного нерва в караганде
Невралгия тройничного нерва – хроническая и рецидивирующая болезнь тройничного лицевого нерва, которая отличается ярко выраженным болевым синдромом в области расположения нерва, проявляющимся кратковременными или длительными приступами.
Причины
- защемление или сильное сдавливание нерва в черепе, вызванное его анатомическим строением, травмой, близким расположением сосуда к нервному стволу, при пульсации которого раздражается тройничный нерв;
 - образование глубоких гнойных прыщей в непосредственной близости к ветвям нерва;
 - опухолеобразные и кистообразные процессы на тройничном или вестибуло-кохлеарном нерве;
 - воспаление уха, горла и носа (гайморит, синусит, ангина, фарингит, отит, сфеноидит и пр. );
 - воспаления ротовой полости и челюстно-лицевой кости (пародонтит, кариес);
 - нарушение кровоснабжения мозга.
 
По происхождению невралгии тройничного нерва бывают:
- первичные невралгии;
 - вторичные невралгии.
 
- типичная клиническая картина невралгии тройничного нерва;
 - атипичная клиническая картина невралгии тройничного нерва.
 
Симптомы
Основная жалоба, предъявляемая пациентами на приёме у врача-невропатолога это сильная приступообразная боль по ходу иннервации пораженного нерва. По характеру боль может быть тупой, жгучей, острой, ноющей, разрывающей, стреляющей. Приступы боли возникают остро, внезапно для больного и могут сопровождаться вегетативными проявлениями в виде гиперемии кожи (покраснение), потоотделения или слёзотечения. При всех невралгиях возможно развитие судорожных подёргиваний, как следствие повышенной патологической мышечной импульсации.
Возможны судорожные подёргивания и нарушение чувствительности в области иннервации пораженного нерва. Типичное течение и болевой приступ имеет тенденцию к появлению в дневное время.
Вегетативные проявления в большинстве случаев сопровождают клиническую картину невралгии тройничного нерва. Во время болевого приступа отмечается покраснение кожи лица и слизистых оболочек ротовой полости, конъюнктивы глаз, слезотечение или сухость глаза и слизистых полости рта, отёчность.
Трофические нарушения: шелушение кожи лица или гипотрофия жевательных, височных мышц.
Чувствительность в области иннервации тройничного нерва: повышение или снижение чувствительности (гипо- или гиперестезия), неприятные ощущения в области лица при прикосновении. При пальпации (прощупывании) точек выхода ветвей тройничного нерва в области лица (по средней трети брови, под глазницей, под нижней губой) возможны болезненные ощущения.
При невралгии тройничного нерва процесс чаще всего носит односторонний характер. Проявления болевого синдрома бывают совершенно невыносимые, что человек начинает задумываться о суициде. При своевременном обращении к невропатологу, невралгия тройничного нерва практически обратима, в зависимости от вызвавших причин.

ТРИГЕМИНАЛЬНАЯ НЕВРАЛГИЯ
Тригеминальная невралгия (Тройничная невралгия) – это синдром, характеризующийся приступами интенсивной, стреляющей, внезапной, кратковременной и жгучей боли в зоне иннервации одной или нескольких ветвей тройничного нерва. Это одно из самых болезненных состояний, которое может привести к депрессии и оказывает значительное влияние на качество жизни . Боли могут провоцироваться при разговоре, бритье, прикосновении лица, чистке зубов и приеме пищи. Приступ болевого синдрома всегда начинается внезапно, длится секунд 10-15 (очень редко – 2 минуты), больные часто сравнивают характер боли с получением удара электрическим током.
Тройничный нерв имеет три основные ветви: глазничный нерв (V1), верхнечелюстной нерв (V2) и нижнечелюстной нерв (V3). Может быть поражена одна, две или все три ветви нерва. Невралгия тройничного нерва чаще всего встречается по верхнечелюстной ветви и нижнечелюстной ветви тройничного нерва. Симптомы невралгии ярко выражены и врач только по жалобам может поставить диагноз.
ЭПИДЕМИОЛОГИЯ
Частота встречаемости тригеминальной невралгии, по данным ВОЗ, варьирует от 2 до 5 случаев на 100 тыс. населения в год. По статистике чаще это заболевание диагностируется у пациентов старше 50 лет, врачи отмечают, что большинство больных – представительницы прекрасного пола.
ПРИЧИНЫ ВОЗНИКНОВЕНИЯ СИНДРОМА
Причинами появления характерных признаков невралгии тройничного нерва могут быть различные факторы. Выделяют несколько основных причин:
- Сдавление корешка тройничного нерва сосудами в задней черепной ямке 80-85%, чаще всего верхняя мозжечковая артерия.
 - Объемные образования или сосудистая патология (аневризма, артериовенозная мальформация) в задней черепной ямке которые могут при росте раздражать (сдавливать) нерв 5-10%.
 - Тройничная невралгия обнаружена у 3-4% пациентов с рассеянным склерозом.
 
Лечение включает консервативное или/и хирургическое вмешательство.
Противосудорожные препараты т.е. карбамазепин, финлепсин и т.д. обычно является начальным лечением и эффективно примерно у 80% людей. В случае неэффективности, или устойчивости боли к медикаментозному лечению необходимо решать вопрос об оперативном лечении.
ХИРУРГИЧЕСКОЕ ЛЕЧЕНИЕ
Хирургическое вмешательство обычно рекомендуется только после того, как лечение оказалось неэффективным, или отмечаются побочные эффекты от лекарства.
Основным хирургическим методом лечения является – микроваскулярная декомпрессия тройничного нерва. Это маленький разрез кожи в заушной области и небольшое удаление затылочной кости (трепанация), доступ через мосто-мозжечковый угл и обнаружение нейрососудистого конфликта (сдавление нерва), затем между сосудом и нервом помещается губчатая, тифлоновая прокладка. Микроваскуярная декомпрессия считается наиболее эффективным методом лечения, которая позволяет достичь стойкого устранения боли.
Не менее эффективным (эффективность 95%) и минимально инвазивным методом лечения является – чрезкожная радичастотная деструкция (прижигание) ветвей тройничного нерва, которое проводится под местной анестезией, без разреза и кровопотерь с помощью специальной иглы которое вовлекается до Гассеров узла, где тройничный нерв делится на три ветви. Установив кончик иглы под рентген контролем в соответствующую область, целенаправленно прижигается ветвь нерва при помощи радиочастотных волн, вызывая онемение и прекращая болевые сигналы.
В центре нейрохирургии АО Центральной клинической больницы (Совмин г.Алматы) применяются различные методы лечения, в том числе: 
1. Медикаментозное лечение с помощью препаратов карбамазепин, финлепсин, габапентин или селективные блокады тройничного нерва. 
2. Оперативное лечение (при устойчивости боли к медикаментозному лечению) специалисты применяют оперативные методы лечения: 
– Чрезкожная радиочастотная деструкци пункционным методом, без трепанации черепа. 
– Микроваскулярная декомпрессия (трепанация черепа)

НАШ ТЕЛЕФОН: 
+7 727 261 04 50 
+7 775 550 15 35 (нейрохирург Марат Саршаев)
Записаться на консультацию
.jpg)
Одно из самых болезненных и мучительных неврологических заболеваний в лицевой области это невралгия тройничного нерва. Причины, симптомы и методы лечения воспаления тройничного нерва обсуждаются в этой статье.
Содержание:
Строение тройничного нерва
Тройничный лицевой нерв имеет особенности строения, которые определяют лицевую боль при его заболеваниях. Данный нерв является 5 парой черепно-мозговых нервов (всего существует 12 пар). Выйдя из черепа, в проекции слухового прохода он образует узел, от которого отходят 3 ветви, иннервирующих определенные зоны лица (отсюда и название - тройничный).
- 1 ветвь оканчивается в области лба, проходя около глазной щели (глазная ветвь)
 - 2 ветвь идет по верхней челюсти (верхнечелюстная ветка)
 - 3 ветвь идет в нижней челюсти (нижнечелюстная ветка).
 
Зубную боль и чувствительность зубов вызывают вторая и третья ветви.
Невралгия тройничного нерва делится на:
- истинную (первичная)
 
- возникает при сдавливании или ишемии внутричерепного участка нерва
 
- отраженная (вторичная)
 
- возникает при травме или инфицировании, каких либо из трех вне - черепных ветвей нерва.
 
В основном встречается невралгия одной ветви, но бывает и поражения двух и даже трех ветвей одновременно, как левого, так и правого участка лица, в редких случаях и левого и правого одновременно.
Причины лицевой невралгии
Воспаление тройничного нерва и его лечение зависят от разных причин.
Главные причины после, которых возникает лицевая невралгия тройничного нерва:
- Сдавливание или повреждение стволов и ветвей тройничного нерва внутри и вне черепа
 - Опухоли мягких тканей черепно-лицевой области
 - Смещение питающих сосудов
 - Хронические воспалительные процессы в придаточных пазухах лица и носа (гайморит, фронтит)
 - Нейротропные вирусы (герпес)
 - Хронические воспалительные процессы как результат осложнения кариеса
 - Хроническое воспаление десен: периодонтит, пульпит, пародонтит, гингивит
 
Симптомы воспаления тройничного нерва на лице
Главным симптомом невралгии, возникающей при воспалении тройничного нерва, является очень сильная прерывистая боль. Промежутки между болевыми импульсами могут длиться от нескольких секунд до нескольких часов или даже дней. При длительном течении болезни возникают мышечные тики сопровождающие приступ боли, а так же реакция капилляров, что наглядно подтверждается покраснением кожных покровов. Возможны реакции желез внешней секреции, слезотечение, слюнотечение, увеличенное потоотделение.
Жизнь пациента с лицевой невралгией осложняется настолько, что простые действия типа бритья, чистки зубов, приглаживания волос могут вызвать приступ боли. Психическое здоровье так же страдает из за постоянного стресса, вызванного болью.
Методы лечения невралгии тройничного нерва
Методы лечения тройничного нерва зависят от причин его появления.
В первую очередь врачи стараются устранить первопричину:
- Устранить сдавливание нервных стволов тройничного нерва
 - Восстановить питание и кровоснабжение нерва
 - Ограничить активность нейротропного вируса (анти - герпесная терапия)
 
Симптоматическая терапия заключается в устранении последствий, возникших из-за невралгических болевых приступов:
- Для нормализации мышечного тонуса назначают противосудорожные препараты и спазмолитические средства
 - Назначают противовоспалительную физиотерапию: инфракрасный лазер и магнитные поля
 - Проводят иглорефлексотерапию
 - Назначают успокаивающие и снотворные препараты
 - Боль снимается при помощи анальгетиков и спазмолитиков
 
Хирургическое лечение невралгии тройничного нерва
Хирургические способы лечения лицевой невралгии тройничного нерва направленны на снятие давления оказываемого сосудами и мягкими тканями на нервные стволы, как в черепе, так и вне черепа. Для этого проводят трепанацию черепа и устанавливают правильную позицию 5 пары черепных нервов, отделяя их от артерий и вен при помощи прокладок, либо удаляя разросшуюся ткань опухолей, давящих на нерв.
При невозможности или не эффективности данных способов проводят разрушение пораженных нервных стволов при помощи инъекций этилового спирта к точкам выхода ветвей тройничного нерва на лице (так называемая алкоголизация для деструкции нервных волокон). Так же возможно разрушение нервных стволов при помощи радиочастотного излучения, избирательно разрушающего только нервную ткань. Лечение тройничного лицевого нерва проводится в профильных отделениях больниц и медицинских университетов, амбулаторно или с госпитализацией пациента.
Чаще всего, невралгия является неизлечимой болезнью, а врачи способны успешно бороться только с последствиями данного недуга.
Наши врачи

Заместитель главного врача, кандидат медицинских наук по специальностям: стоматология и медицинская микробиология
Стаж работы: с 1999г.

Главный врач, стоматолог-ортопед, гнатолог, челюстно-лицевой протезист
Стаж работы: с 1988г.

Врач-стоматолог, хирург-имплантолог, ортопед, терапевт
Стаж работы: с 2000г.

Стаж работы: с 1994г.

Стаж работы: с 2004г.

Врач-стоматолог, ортодонт, терапевт
Стаж работы: с 2016 г.

Стаж работы: с 2013г.

Стаж работы: с 1998г.

врач стоматолог-ортопед, терапевт
Стаж работы: с 2001г.
ЗАПИСАТЬСЯ НА КОНСУЛЬТАЦИЮ 
И ПОЛУЧИТЬ ДЕТАЛИЗИРОВАННЫЙ ПЛАН ЛЕЧЕНИЯ
Содержание
Общая информация
Невралгия тройничного нерва является заболеванием нервной системы, при котором в некоторых частях лица возникает интенсивная, стреляющая боль, подобная удару электрическим током.

Причины
Боль при тригеминальной невралгии исходит из тройничного нерва. Этот нерв передает чувства осязания и боли с лица, глаз, придаточных пазух носа и рта к головному мозгу.
Обычно заболевание возникает у взрослых, но также может встречаться в любом возрасте. Невралгия тройничного нерва может быть частью нормального процесса старения.
Невралгия тройничного нерва может быть обусловлена:
Иногда причина заболевания остается неизвестной. Врачи чаще выявляют причину у лиц моложе 40 лет.
Симптомы
- Очень интенсивная, стреляющая боль, подобная удару электрическим током, которая обычно длится несколько секунд или минут, но может быть постоянной
 - Боль, как правило, возникает только на одной половине лица, часто вокруг глаз, щек и в нижней половине лица
 - Возникновение боли провоцируется прикосновением или различными звуками
 
Болезненные приступы невралгии тройничного нерва могут быть спровоцированы обычной повседневной деятельностью:
- Чисткой зубов
 - Жеванием
 - Питьем
 - Питанием
 - Легким касанием лица
 - Бритьем
 
Диагностика
Осмотр головного мозга и нервной системы (неврологический осмотр), как правило, не выявляет нарушений.
К обследованиям, проводимым для выявления причины заболевания, относятся:
- Анализы крови
 - Магнитно-резонансная томография головного мозга (МРТ)
 - Проверка тригеминальных рефлексов
 
Лечение
Врач первичной помощи, невропатолог или специалист по боли могут быть вовлечены в процесс лечения.
Некоторые лекарственные препараты могут помочь уменьшить боль и снизить частоту возникновения приступов. К ним относятся:
- Селективные ингибиторы обратного захвата (карбамазепин, габапентин, ламотриджин, фенитоин, вальпроат и прегабалин)
 - Миорелаксанты (баклофен, клоназепам)
 - Трициклические антидепрессанты (амитриптилин, нортриптилин или карбамазепин)
 
Для устранения сдавления нерва некоторым пациентам может потребоваться проведение операции. К методам хирургического лечения относятся:
- Перерезка или разрушение части тройничного нерва
 - Разрушение тройничного нерва с помощью иглы или датчика, вводимого через кожу с применением радиочастотной абляции или инъекций глицерина
 - Электростимуляция
 - Чрескожная баллонная микрокомпрессия
 - Удаление опухоли (когда причиной является опухоль)
 - Стереотаксическая радиохирургия (гамма-нож)
 - Операция по перемещению кровеносного сосуда, оказывающего давление на тройничный нерв (так называемый микрососудистая декомпрессия)
 
Прогноз
Состояние вашего самочувствия зависит от причины, вызвавшей заболевание. Если причина заболевания не найдена, лечение может приносить некоторое облегчение.
Тем не менее, у некоторых пациентов боль может прогрессировать и стать постоянной.
Posted September 21st, 2011 by renat & filed under Вестник КазНМУ, Неврология, Русский.
Отражены результаты хирургического лечения больных невралгией тройничного нерва с доказанным нейроваскулярным конфликтом в области тройничного нерва в задней черепной ямке. Микроваскулярная декомпрессия корешка тройничного нерва показала значительный регресс болевого синдрома.
Н евралгия тройничного нерва (НТН) – хроническое рецидивирующее заболевание, протекающее с ремиссиями и обострениями, характеризующееся чрезвычайно интенсивной стреляющей болью в зонах иннервации третьей, второй и реже первой ветвей тройничного нерва. Синонимы: тригеминальная невралгия, болевой тик, болезнь Фотергилла. Возникает чаще всего у людей в возрасте 40 — 60 лет.
Материалы и методы исследования:
Кроме клинико-неврологического обследования, применялось МРТ задней черепной ямки, в Т2 режиме, 1.5 тесла с шириной шага 1 мм. Помимо визуализации нервно-васкулярного конфликта, МРТ проводилась с целью исключения другой патологии головного мозга.
Длительность заболевания зафиксирована от 1 года до 10 лет. Клиника была представлена пароксизмами приступообразных болей в проекции ветвей тройничного нерва, что значительно ухудшало качество жизни. Все пациенты длительно принимали антиконвульсанты (карбамазепин, финлепсин). Практически у 80% пациентов отмечалась плохая переносимость медикаментозного лечения. Ранее пациентами были использованы различные инвазивные методы лечения: термодеструкция, радиочастотная деструкция, алкоголизация, пересечение ветвей тройничного нерва. Рецидив заболевания в течении от 2 месяцев до 1,5 лет. Локализация болей правосторонняя — 65%, левосторонняя – 43%. Один больной с двухсторонней локализацией болей.
Показанием к операции микроваскулярной декомпрессии являлись: наличие клиники тригеминальной невралгии, приводящей к значительному снижению качества жизни, плохо поддающейся медикаментозной коррекции, доказанного на МРТ головного мозга нейроваскулярного конфликта в области тройничного нерва в задней черепной ямке.
Выполнено 12 операций: 6 мужчин, 4 женщины и 2 пациента с гемифасциальным спазмом (женщины). Укладка больного на боку с жесткой, трёхточечной фиксацией головы. Поворот головы на 15 0 в противоположную от вмешательства сторону. Производилась субокципитальная краниотомия, ретросигмоидный доступ. Микрохирургическая ревизия и декомпрессия нерва с последующим подведением тефлоновой прокладки между петлями сосуда и нервным стволом. Использовался длиннофокусный микроскоп Carl Zeiss, 10-20 кратное увеличение. Операции были выполнены под общим эндотрахеальным наркозом. Регресс болевого синдрома отмечен сразу же в раннем послеоперационном периоде у всех пациентов. У двух пациентов в раннем послеоперационном периоде наблюдалась гипестезия по дерматомам 2 – 3 ветвей тройничного нерва. У одного пациента временное снижение слуха на стороне операции. 5 пациентам продолжена терапия карбамазепином с последующей отменой препарата. Из наблюдаемых пациентов рецидива лицевых болей не регистрировалось.
Вывод: микроваскулярная декомпрессия корешка тройничного нерва, является этиопатогенетическим лечением невралгии тройничного нерва. В отдельных случаях является не редко единственным путём, способным помочь пациенту.
Үшкіл нервтің невралгиясын хирургиялық емінің нәтижесі
Е.Т. Махамбетов, Ф.Х.Смагулов, М.С. Бердиходжаев, А.С. Шпеков
Үшкіл нервтің невралгиясы, артқы бас сүйек шұңқырының үшкіл нерв аймағында нейроваскулярлы конфликті бар науқастарды хирургиялық емдеудің нәтижелері көрсетілген. Үшкіл нерв түйінінің микроваскулярлы декомпрессиясы ауыру синдромының регресіне алып келді.
Results of surgical treatment of trigeminal neuralgia.
E.T. Makhambet, F.H. Smagulov, M.S. Berdihodzhaev, A.S. Speckov
The article reflects the outcomes of surgical treatment of trigeminal neuralgia with proven neurovascular conflict in the n.trigeminus area in the fossa posterior. Microvascular decompression of the n. trigeminus root showed significant regression of the pain syndrome.
- лечение тройничного нерва в алматы
 - лечение тройничного нерва в казахстане
 - үшкіл нерв
 - лечение невралгии тройничного нерва в казахстане
 - радиочастотная деструкция тройничного нерва
 
Scientific-Practical Journal of Medicine, "Vestnik KazNMU".
Научные публикации, статьи, доклады, рефераты, диссертации, новости медицины, исследования в области фундаментальной и прикладной медицины, публикации журнала "Вестник КазНМУ" и газеты "Шипагер".
ISSN 2524 - 0692 (online) 
ISSN 2524 - 0684 (print)

- Главная
 - Причины
 - О враче
 - Методика
 - Видеоотзывы
 - Книга
 - Контакты
 
У нас на теле имеется так называемая трапециевидная мышца, которая прикреплена сзади к затылку, шее, плечевым суставам, лопаткам и грудному отделу позвоночника. Нерв, управляющий этой мышцей, анатомически и функционально является частью нервной системы (Ретикулярная формация), которая контролирует работу всех отделов головного мозга. Если какой-то из отделов начинает в результате внешних воздействий работать в режиме отличном от нормального, то на трапециевидной мышце это проявляется локальным напряжением отдельных её участков. Эти напряжённые и болезненные при пальпации участки соответствуют участкам мозга, имеющим функциональные нарушения
RANC относится к рефлексотерапии, поэтому является немедикаментозным методом лечения. Лечебный эффект достигается воздействием на центральную нервную систему через определённые участки мышц спины. Этим он очень схож по принципу воздействия с другими видами рефлексотерапии в частности с акупунктурой (иглоукалыванием), но принципиально отличается от этого метода лечения гораздо большей мощностью оказываемого воздействия и соответственно большей эффективностью. Его отличает незначительное время, затрачиваемое пациентом на лечебные процедуры и стойкость достигнутого эффекта.
В какой-то момент организм не выдерживает, а самой первой страдает самая важная и самая уязвимая его часть, это центральная нервная система. Если вредное воздействие было не смертельным, то нервные центры головного мозга переходят в ненормальные режимы активности. Нейроны образуют новые связи из-за чего одни нервные центры приобретая чрезмерно повышенную активность начинают подавлять другие. В организме это тут же находит своё отражение в соответствующих нарушениях в его органах и системах. 
Одни функции начинают угасать, а другие, наоборот вредоносно активизируются.
 " В детстве я неудачно упал с трамплина на копчик. 
Более 15 лет я постоянно испытывал сильные головные и поясничные боли. Мое безисходное положение и отсутсвие результатов классических методов вынудило меня искать пути спасения своей жизни . "

Ретикулярная формация 
Главный принцип устройства мозга, игнорирование которого в 100% случаев ведёт к провалу, это интеграция работы всех его 100 миллиардов клеток, посредством его структуры входящей в эти 100 миллиардов – РЕТИКУЛЯРНОЙ ФОРМАЦИИ СТВОЛА ГОЛОВНОГО МОЗГА. Это название переводится с латыни как сетчатое образование, иначе говоря, сеть, которая пронизывает все отделы мозга в восходящем и нисходящем направлениях. Это "интернет тела", различные отделы нашего сложного мозга посредством этой сети общаются друг с другом.
Пристальное изучение ретикулярной формации мозга начало происходить только в течение последнего десятилетия, а до этого её функции были непонятны исследователям. Открытие способа мощного влияния на неё через многочисленные ядра трапециевидной мышцы, тесно связанной с ядрами этой глобальной мозговой сети, позволяет разом решать проблемы, связанные с различными до сих пор считающимися неизлечимыми заболеваниями, к которым относится и наш частный случай "поражения" чувствительных ядер тройничного нерва.

На фоне какого-либо внешнего воздействия (стресса или интоксикации) многие центры мозга изменяют свою активность (в нашем случае повышают), что и проявляется соответствующими симптомами перевозбуждения тройничного нерва.
- Вопросы и ответы
 - Горячие линии
 - Информация для граждан по обезболиванию
 - График приема по личным вопросам заместителями главного врача
 - Диспансеризация
 - Вакцинопрофилактика
 - Информация для граждан в сфере ОМС
 - Контролирующие и вышестоящие органы
 - Льготное лекарственное обеспечение граждан
 - Неотложная медицинская помощь
 - Платные медицинские услуги
 - Порядок госпитализации
 - Порядок направления на санаторно-курортное лечение
 - Порядок оказания амбулаторной помощи
 - Правила внутреннего распорядка
 - Правовой марафон для пенсионеров
 - Прокат технических средств реабилитации
 - Профилактика заболеваний
 - Режим работы структурных подразделений
 - Оказание ситуационной помощи маломобильным гражданам
 - Правовое просвещение граждан по вопросам здравоохранения
 - Компенсация оплаты проезда по территории ХМАО – Югры к месту лечения и обратно
 

 
 

 
 
НЕВРАЛГИЯ ТРОЙНИЧНОГО НЕРВА
Невралгия тройничного нерва (тригеминальная невралгия) - является заболеванием хронического характера, которое поражает тройничный нерв, при этом возникает приступообразная боль в ветвях тройничного нерва.
Очень много причин, из-за которых развивается невралгия, к ним относится и сдавливание сосудами нерва в полости черепа ( нейроваскулярный конфликт). Невралгия тройничного нерва может появляться из-за переохлаждения, инфекционных заболеваний хронического характера – кариеса, синусита, также при опухоли в головном мозге и других заболеваний.
Тройничный нерв является смешанным нервом и имеет двигательные и чувствительные ядра в мозговом стволе. Это пятая пара из 12 черепно- мозговых нервов. Тройничный нерв имеет три ветви:
1. Первая ветвь - инервирует кожу лба и переднюю треть волосистой части головы, вернее веко, внутренний угол глаза и спинки носа, глазное яблоко, слизистую носовой полости, мозговые оболочки.
2. Вторая ветвь отвечает за инервацию нижнего века, наружного угла глаза, части кожи боковой поверхности лица, верхнюю часть щеки, верхнюю челюсть, верхнюю губу, слизистые оболочки верхней челюсти,зубы, гайморову полость.
3. Третья ветвь, является смешанной. Чувсвительные волокна инервируют нижнюю губу, нижнюю часть щеки, подбородок, заднюю часть боковой ипорверхности лица, нижнюю челюсть, ее десна и нижнии зубы, слизисты оболочки щек, язык Двигательные волокна инервирют жевательные мышцы.
При поражении одной ветви тройничного нерва – возникает растройства чувствительности в зоне ее автономной инервации. При вовлечении в процесс гассерова узла из корешка тройничного нерва- выпадение чувствительности происходит в автономии всех трех ветвей.
Вследствии наличия в системе тройничного нерва симпатических волокон возможны растройства потоотделения, вазомоторные явления и нарушения трофики, которые особенно опасныв области роговицы глаза.
Данное заболевание характерно для людей старшего возраста и встречается чаще у женщин после 40 лет. При этом появляется сильная, стреляющая боль, которая носит односторонний характер, очень редко на двух сторонах лица. Приступ длится от 3-4 до 15-20 секунд, в тяжелых случаях до 2 минут. В течени суток возможно до 30- 40 болевых пароксизмов. Со временем локализация болевых ощущений неизменна, если она характерна для одной стороны, значит, она там и присутствует.
Боль может быть спонтанной и возникать из-за чего-то. Также боль при невралгии делится на типичную и нетипичную. Типичная боль характеризуется периодами затихания, боль может быть стреляющей. Нетипичная боль постоянная, может захватывать большой участок лица, при этом она не перестает. Такую невралгию очень сложно лечить.
Невралгия относиться к цикличному заболеванию, когда обострение чередуется со стиханием.
При невралгии тройничного нерва, очень важно уменьшить болевой синдром. Основной препарат, который применяется – карбамазепин, дозировку подбирает врач. После 3-х суток можно заметить обезболивание, но препарат действует не более 4-х часов.
С помощью физиотерапевтических методов лечения, можно облегчить боль, но не вылечить
Методы деструкции ветвей нерва остались прошлом.
Нейроваскулярные конфликты устраняют хирургическим лечением, но при этом необходимо четко доказать при обследовании, его наличие, иначе результата от лечения не будет
Единственным минусом в радиохирургическом лечении яляется длительность наступления эффекта от лечения, что порой может занимать от 4 до 6 месяцев с момента проведенной радиохирургии
 
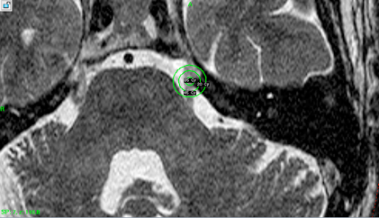
Рис 1 Мишень радиохирургического воздействия – корешок тройничного нерва месте входа в ствол мозга
Читайте также:


