Анализы при субдуральном абсцессе. Прогноз ограниченного пахименингита
Добавил пользователь Владимир З. Обновлено: 22.01.2026
Субдуральный абсцесс головного мозга (внутренний пахименингит) — это наиболее редкое отогенное осложнение. Субдуральный абсцесс возникает преимущественно при хроническом гнойном среднем отите. Чаще всего субдуральный абсцесс возникает в средней черепной ямке, но встречается и в других областях.
Очень редкая локализация субдурального абсцесса в противоположном больному уху полушарии. Это обусловлено метастатическим заносом инфекции. Таким же путём возникают и множественные субдуральные абсцессы. Воспалительный процесс может развиться по типу субдурального абсцесса без нагноения, но чаще имеет место скопление гноя под твёрдой мозговой оболочкой.
Субдуральному абсцессу предшествует экстрадуральный процесс. Субдуральный абсцесс возникает вследствие прорыва гноя через твёрдую мозговую оболочку или распространения инфекции по сосудам. Обычно в области поражения в воспалительный процесс вовлекаются все оболочки мозга и поверхность мозговых извилин.
Гной, разрушив мягкую и паутинную оболочки, скапливается в бороздах коры головного мозга и обычно расплавляет поверхностный слой коры. При большом скоплении гноя он сдавливает мозг, а иногда даже смещает противоположное полушарие мозга. Исключительно редко при субдуральном абсцессе наблюдается прорыв гноя через твёрдую мозговую оболочку и кость в полости среднего уха и даже под кожу.

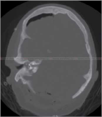
Аксиальная компьютерная томография (КТ) головы. Компьютерная томография (КТ) височной кости выявляет повреждение среднего уха, сосцевидного отростка и подлабиринтного пространства.
Пахименингит
Пахименингит — это воспаление твердой мозговой оболочки, которое провоцируется бактериальной, микотической или вирусной инфекцией. Патогномоничный признак болезни — менингеальный синдром, также беспокоят сильные головные боли, повышение температуры тела и другие симптомы интоксикации. Верификация диагноза требует проведения нейровизуализации, люмбальной пункции с последующим исследованием спинномозговой жидкости. Этиотропная терапия подбирается в соответствии с выявленным возбудителем, патогенетическое лечение включает дегидратацию, нейропротекцию, борьбу с шоком и гипоксией.
МКБ-10
Общие сведения
Пахименингит — более редкая патология по сравнению с лептоменингитом. В основном он начинается при переходе воспалительного процесса из мягкой и паутинной мозговых оболочек либо со стороны костной ткани. Частота встречаемости — около 3-5 случаев на 100 тыс. населения, но несмотря на невысокую распространенность, пахименингит не теряет своей актуальности в современной неврологии. Он отличается полиморфной клинической картиной, высокой вероятностью осложнений, большим процентом летальных исходов (до 30% в зависимости от этиологического фактора).
Причины пахименингита
Пахименингит относится к группе нейроинфекций, то есть обусловлен инфицированием мозговой оболочки различным и возбудителями. Этиологический фактор имеет решающее значение, поскольку он определяет тяжесть течения, характер лечения, прогноз для больного. Хотя для заболевания типична вариабельность возбудителей, можно выделить типичные группы инфекций:
- Бактериальные. В тройке лидеров среди возбудителей пахименингита находятся N. meningitidis, S. pneumonie, H. influenzae. До 1% патологий вызвано микобактерией туберкулеза. К более редким причинам относят стафилококки, стрептококки А и В, энтеробактерии, листерии.
- Грибковые. Тяжелые формы пахименингеального воспаления возникают при инфицировании грибами рода Кандида, микозах, вызванных Cryptococcus neoformans, Aspergillus.
- Вирусные. Заболевание связано с заражением энтеровирусами, вирусом эпидемического паротита (чаще у детей), герпесвирусами. Реже возбудителями выступают вирус клещевого энцефалита, краснухи.
Факторы риска
Основным предрасполагающим фактором развития пахименингита являются инфекции в полостях и каналах черепных костей: гнойный средний отит, холестеатома, хронические синуситы. Риск заболеть повышается у больных с нагноившимися ранениями головы, бактериальными поражениями мягких тканей (карбункул, флегмона). Обычно воспалительный процесс манифестирует в период снижения общей резистентности организма.
Патогенез
Распространение инфекции на твердую оболочку мозга происходит различными путями. Чаще наблюдается гематогенный вариант — занос бактерий с током крови, также возможно проникновение возбудителей по периневральным пространствам. Описано контактное заражение из костей черепа, лимфогенное — при туберкулезе, ликворогенное — при первичном поражении позвоночника.
Зачастую церебральный пахименингит имеет ограниченный характер по типу интрадурального абсцесса, однако возможно и диффузное распространение процесса. Тяжесть состояния пациентов обусловлена нарушением обмена ликвора, развитием гипертензионно-гидроцефального синдрома, повреждением церебральной ткани, гипоксией нейронов. Эти патологические изменения приводят к серьезному неврологическому дефициту.
Симптомы пахименингита
Основным признаком заболевания служит внезапно возникающая сильная головная боль. Она имеет давящий, пульсирующий или распирающий характер, диффузно распространяется по всему черепу. При постукивании пальцами можно выявить зону максимальной болезненности, соответствующую зоне поражения в твердой мозговой оболочке. Боли усиливаются под действием громких звуков, яркого света, движений головой.
Еще один характерный симптом воспаления мозговых оболочек — гипертермия до 39-40°С, хотя при туберкулезном пахименингите лихорадка, как правило, не достигает таких цифр. У пациентов также открывается мучительная многократная рвота центрального генеза, которая не связана с приемом пищи, не приносит облегчения, появляется внезапно без типичных предвестников.
Основополагающим в диагностике пахименингита является менингеальный синдром, вызванный раздражением мозговых оболочек. Он проявляется вынужденной позой «легавой собаки» («взведенного курка): запрокинутая голова, согнутые и приведенные к животу ноги, положение лежа на боку. При попытке пригнуть голову к груди ощущается резкое сопротивление (ригидность мышц), больной испытывает сильную боль.
Осложнения
При гнойном пахименингите нередки случаи перехода воспаления на стенки венозных синусов с развитием флебитов, синус-флебитов, тромбоза поперечного или сигмовидного синусов. При неблагоприятном течении инфекционные возбудители распространяются на все отделы мозговых оболочек, попадают в системный кровоток, что результирует сепсисом, полиорганной недостаточностью, высоким риском летального исхода.
К острым осложнениям заболевания относят церебральный отек, сопровождающийся вклинением мозгового ствола, критическими нарушениями витальных функций, частой смертью пациентов. Поражения мозга также могут проявляться в виде вентрикулита, церебрального инфаркта, эпилептического статуса. Нередко возникают нарушения свертываемости крови, формируется ДВС-синдром.
Даже при успешной начальной фазе лечения пахименингит нередко вызывает стойкий неврологический дефицит, который сохраняется длительное время или пожизненно. Нарушения представлены снижением интеллектуальных функций, психоэмоциональной нестабильностью, цереброгенной астенией. С учетом локализации поражения возможно развитие нейросенсорной тугоухости, атрофии зрительного нерва, речевых нарушений.
Диагностика
Обследование больного находится в компетенции специалиста-невролога, врача экстренной помощи, сотрудников реанимационного отделения. Заподозрить пахименингит можно по характерным физикальным признакам: положительным симптомам Кернига, Брудзинского (верхний, средний, нижний), Мондонези и Бехтерева. Для подтверждения диагноза пациенту назначается расширенное обследование с применением лабораторных и инструментальных методов:
- КТ головного мозга. Компьютерная томография наиболее информативна для изучения патологий твердой оболочки. Она демонстрирует структурные нарушения, выявляет возможные осложнения (отек, абсцесс). Для обнаружения редкого осложнения болезни — тромбофлебита сагиттального синуса — рекомендовано МРТ.
- Люмбальная пункция. При исследовании определяется вытекание ликвора под давлением. Цитологическая диагностика цереброспинальной жидкости показывает нейтрофильный плейоцитоз при бактериальном процессе, лимфоцитарный — при вирусном. Также наблюдается белково-клеточная диссоциация, снижение уровня глюкозы и хлоридов в ликворе.
- Микробиологические методы. Чтобы выявить возбудителя, проводится бакпосев ликвора на питательные среды, ПЦР спинномозговой жидкости, посев крови до начала антибиотикотерапии. Для экспресс-диагностики некоторых возбудителей делают тесты латекс агглютинации.
Лечение пахименингита
Консервативная терапия
Основу лечения пахименингита составляет рациональный подбор этиотропных средств. В случае гнойного воспаления проводится эмпирическая терапия антибиотиками, которая корректируется после получения результата посева. Менингит, вызванный палочкой Коха, требует назначения противотуберкулезных препаратов. При грибковых процессах используются антимикотики. Патогенетическая терапия включает несколько направлений:
- Дегидратация. При внутричерепной гипертензии, набухании головного мозга рекомендованы осмодиуретики (маннитол), салуретики (фуросемид), растворы глицерина и онкодегиратантов.
- Ликвидация гипоксии. При неосложненной форме заболевания необходимы ингаляции увлажненного кислорода. Мозговой отек — показание к переводу пациента на ИВЛ в режиме умеренной гипервентиляции.
- Противошоковые мероприятия. При бактериальных пахименингитах, сопровождающихся токсическим шоком, проводится адекватная инфузионная терапия в комбинации с кортикостероидами, допамином, антикоагулянтами.
- Нейропротекция. Для купирования оксидантного стресса и восполнения энергодефицита мозговой ткани применяются витамины группы В, аскорбиновая кислота, витамин Е. Также назначаются антиагреганты, нейрометаболические средства.
Реабилитация
Чтобы ускорить восстановление неврологических функций, рекомендуются ноотропы, витаминно-минеральные комплексы, препараты, которые нормализуют реологические свойства крови. Хороший эффект дают адаптогены, актопротекторы. По мере улучшения самочувствия пациента реабилитационную программу усиливают методами физиотерапии, лечебной физкультурой, массажем.
Прогноз и профилактика
Наилучшие результаты наблюдаются при вирусных пахименингитах: 99% больных выздоравливают без тяжелых неврологических осложнений. Бактериальные процессы имеют менее благоприятное течение, смертность составляет до 20%. При туберкулезной этиологии воспаления — более 30% летальных случаев, до 40% пациентов имеют тяжелые резидуальные явления. Негативный прогноз устанавливается при грибковых поражениях на фоне ослабленного иммунитета.
Специфическая профилактика пахименингитов предполагает плановую или факультативную вакцинацию против типичных возбудителей: пневмококка, менингококка, туберкулеза и гемофильной инфекции. При тесном контакте со страдающими гнойным менингитом может назначаться постэкспозиционная химиопрофилактика антибиотиками. Неспецифические меры включают индивидуальную защиту при контактах с больными ОРВИ, санитарно-просветительскую работу среди населения.
2. Гипертрофический пахименингит: современные критерии диагностики и дифференциации (клиническое наблюдение и обзор литературы)/ Е.Г. Менделеевич// Неврология, нейропсихиатрия, психосоматика. — 2015. — №7.
Субдуральная эмпиема
Субдуральная эмпиема — инфекционное поражение ЦНС, характеризующееся скоплением гнойного экссудата на ограниченном пространстве между твёрдой и мягкой церебральными оболочками. Появляется головной болью, рвотой, прогрессирующим расстройством сознания, очаговым неврологическим дефицитом (гемипарез, дисфункция черепных нервов, афазия), эпиприступами. Диагностируется субдуральная эмпиема в основном при помощи МРТ и КТ с контрастированием. Лечение неотложное — хирургическое дренирование или удаление эмпиемы на фоне интенсивной антибактериальной терапии. Прогноз серьёзный.
Субдуральная эмпиема представляет собой скопление гнойного отделяемого (экссудата) на определенном участке между оболочками, покрывающими головной мозг. В таком случае гной занимает пространство между лежащей более поверхностно твёрдой (дуральной) оболочкой и расположенной под ней мягкой церебральной оболочкой, непосредственно прилегающей к головному мозгу. В неврологии выделяют также эпидуральные эмпиемы, при которых гнойное отделяемое располагается над дуральной оболочкой, между ней и костями черепной коробки.
Субдуральная эмпиема составляет около 1/5 всех ограниченных внутричерепных инфекционных процессов. Причина образования гнойного отделяемого — это проникновение гноеродной инфекции в межоболочечное пространство. В 75% случаев субдуральная эмпиема имеет односторонний характер. Объем гнойного экссудата может составлять от 2-3 до 200 мл. При минимальном объеме гноя могут преобладать симптомы раздражения церебральных оболочек и коры мозга. Как правило, быстрое нарастание количества экссудата приводит к прогрессирующему развитию симптоматики сдавления головного мозга.
Причины субдуральной эмпиемы
Этиологическим фактором выступают гноеродные микроорганизмы. Чаще это смешанная стрептококковая инфекция (около 35% аэробы и 10% анаэробы). Реже встречается субдуральная эмпиема, обусловленная стафилококками, клостридиями, грамотрицательными палочками. У пациентов с скомпрометированной иммунной системой (например, страдающих ВИЧ или прошедших терапию цитостатиками) этиофактором могут являться сальмонеллы, ассоциации микроорганизмов, грибы Candida.
Проникновение инфекции между оболочками может происходить несколькими путями. Наиболее часто субдуральная эмпиема обусловлена распространением инфекционного процесса из придаточных пазух носа (при синусите) и сосцевидного отростка (при отите и мастоидите). Причём «занос» микроорганизмов в церебральные оболочки из очага гнойного воспаления может осуществляться как контактным, так и гематогенным путем. Возможно излитие гноя в межоболочечное пространство при прорыве абсцесса головного мозга или нагноившейся церебральной кисты. Источником гнойного отделяемого у детей младшего возраста иногда служит гнойный менингит.
Проникновению инфекционных агентов способствуют черепно-мозговые травмы с переломом костей черепа. По статистике субдуральная эмпиема является осложнением 2-4% огнестрельных ранений головы. Инфицирование возможно при остеомиелите костей черепа. Нагноившаяся субдуральная гематома также может привести к возникновению субдуральной эмпиемы. В некоторых случаях попадание гноеродных микроорганизмов в гематому происходит в ходе её нейрохирургического дренирования.
Симптомы субдуральной эмпиемы
Обычно субдуральная эмпиема имеет тяжёлое быстро прогрессирующее течение. Начало с головной боли и повышенной до 39-40°C температуры. Отмечается тошнота и рвота, свидетельствующие о резкой внутричерепной гипертензии. У 75-80% пациентов отмечается менингеальный синдром — симптомокомплекс, возникающий при раздражении церебральных оболочек (затылочная ригидность, симптомы Кернига и Брудзинского). Характерны те или иные расстройства сознания, которые примерно в 50% случаев возникают уже в начале клинической манифестации эмпиемы.
По различным данным у 60-80% пациентов выше описанные симптомы появляются на фоне наличия первичного гнойного очага (чаще хронического гнойного отита или гайморита). В таких случаях локализация головной боли изначально, как правило, соответствует первичному очагу. Затем боль принимает распространённый характер. Быстро нарастающее внутричерепное давление и отек головного мозга усугубляют нарушение сознания вплоть до комы. У грудных детей происходит выбухание ещё незакрывшегося большого родничка.
В большинстве случаев очаговый неврологический дефицит обнаруживается уже в первые 1-2 суток с момента начала заболевания. Наиболее часто это центральный гемипарез — слабость и нарушения чувствительности руки и ноги с противоположной локализации эмпиемы стороны тела. В зависимости от расположения субдуральной эмпиемы могут наблюдаться: афазия, двустороннее выпадение половины зрительного поля (гомонимная гемианопсия), мозжечковая атаксия, глазодвигательные расстройства. У половины пациентов субдуральная эмпиема протекает с эпилептическими приступами. Возможны как пароксизмы фокальной эпилепсии, так и генерализованные эпи-приступы.
Отдельно выделяют молниеносный вариант субдуральной эмпиемы, при которой отек головного мозга прогрессирует в считанные часы, что сопровождается быстрым угнетением сознания с развитием комы. Даже на фоне лечения такая форма зачастую оканчивается летально.
Диагностика субдуральной эмпиемы
Установить диагноз субдуральная гематома в отсутствии возможности проведения КТ или МРТ представляет сложно выполнимую задачу для невролога. Общий анализ крови свидетельствует о воспалительном процессе (лейкоцитоз, подъём СОЭ). Важное значение имеет выявление в анамнезе гнойного отита или синусита, а также диагностирование их по данным рентгенографии. Исследование цереброспинальной жидкости малоинформативно, поскольку обнаруживает неспецифические для эмпиемы изменения. Кроме того, люмбальная пункция в условиях нарастающего церебрального отека опасна вклинением ствола мозга в большое затылочное отверстие и поэтому при подозрении на субдуральную эмпиему обычно не проводится.
Наиболее информативны КТ головного мозга с контрастированием и МРТ. На КТ субдуральная эмпиема видна как серповидная полоса под сводом черепа, над которой после введения контраста возникает узкая полоска повышенного сигнала. Однако при малом размере эмпиемы КТ может давать ложноотрицательный результат. МРТ головного мозга позволяет не только выявить субдуральную эмпиему даже малых размеров, но и оценить ее размер и распространенность. По интенсивности МР-сигнала рентгенолог может дифференцировать эмпиему от серозного экссудата, хронической субдуральной гематомы и эпидурального абсцесса.
При недоступности томографических способов обследования или невозможности их срочного выполнения может быть проведена церебральная ангиография. Она визуализирует субдуральную эмпиему как расположенное в оболочках объемное образование без сосудов.
Лечение субдуральной эмпиемы
Спасти пациента позволяет своевременно проведенное хирургическое лечение на фоне массивной антимикробной терапии. Последняя назначается эмпирически до получения результатов бактериологического исследования гнойного отделяемого. Как правило, применяют антибиотики широкого спектра (цефтриаксон, цефотаксим), которые вводят внутривенно капельно после проведения аллергопробы. Параллельно назначают препараты для купирования отека мозга и эпи-пароксизмов, глюкокортикостероиды, по показаниям осуществляется искусственная вентиляция лёгких.
Операции при эмпиеме сводятся к 2 методикам: дренирование через фрезевое отверстие и удаление эмпиемы путем трепанации черепа. Первый способ нейрохирурги чаще применяют у ослабленных пациентов с высоким операционным риском трепанации. В черепе над зоной субдуральной эмпиемы может быть наложено несколько отверстий для дренирования. Однако и это не всегда позволяет создать хороший отток густому гнойному экссудату. Трепанация производится с выкраиванием костно-апоневротического лоскута и вскрытием дуральной оболочки. Она более травматична, но дает хороший обзор, возможность «вычистить» все гнойные затёки, а затем проводить активное дренирование.
Полученное во время операции гнойное отделяемое отправляется на бактериологическое исследование, по результатам которого производится коррекция проводимой антибиотикотерапии. В среднем антибактериальное лечение продолжают до месяца. В период реконвалесценции начинают курс реабилитации, направленный на более полное восстановление неврологического дефицита. Под наблюдением реабилитолога пациент проходит массаж и рефлексотерапию, занимается лечебной физкультурой, учится навыкам самообслуживания в условиях возникших стойких неврологических отклонений (парез, нарушение чувствительности, афазия).
Прогноз субдуральной эмпиемы
В среднем летальность среди больных с субдуральной эмпиемой составляет около 20%. Наиболее неблагоприятный прогноз при молниеносной форме. Прогностически менее благоприятным считается начало лечения на этапе тяжёлых расстройств сознания и выраженного неврологического дефицита. До четверти выживших пациентов имеют грубые остаточные нарушения в виде парезов или параличей, нарушений речи и т. п. Возможно развитие эпилепсии.
Абсцесс головного мозга ( Церебральный абсцесс )
Абсцесс головного мозга — это ограниченное скопление гноя в полости черепа. Различают три вида абсцессов: внутримозговые, субдуральные и эпидуральные. Симптомы абсцесса головного мозга зависят от его месторасположения и размеров. Они не являются специфичными и могут составлять клинику любого объемного образования. Диагностируется абсцесс головного мозга по данным КТ или МРТ головного мозга. При абсцессах небольшого размера подлежат консервативному лечению. Абсцессы, расположенные вблизи желудочков головного мозга, а также вызывающие резкий подъем внутричерепного давления, требуют хирургического вмешательства, при невозможности его проведения - стереотаксической пункции абсцесса.
Абсцесс головного мозга — это ограниченное скопление гноя в полости черепа. Различают три вида абсцессов: внутримозговые (скопление гноя в веществе мозга); субдуральные (расположенные под твердой мозговой оболочкой); эпидуральные (локализованные над твердой мозговой оболочкой). Основными путями проникновения инфекции в полость черепа являются: гематогенный; открытая проникающая черепно-мозговая травма; гнойно-воспалительные процессы в придаточных пазухах носа, среднем и внутреннем ухе; инфицирование раны после нейрохирургических вмешательств.
Причины
Среди выделенных возбудителей гематогенных абсцессов головного мозга преобладают стрептококки, часто в ассоциации с бактериотидами (Bacteroides spp.). Для гематогенных и отогенных абсцессов характерны Enterobacteriaceae (в том числе Proteus vulgaris). При открытой проникающей черепно-мозговой травме в патогенезе абсцесса мозга преобладают стафилококки (St. aureus), реже Enterobacteriaceae.
При различных иммунодефицитных состояниях (иммунодепрессивная терапия после трансплантации органов и тканей, ВИЧ-инфекция) из посева содержимого абсцесса головного мозга выделяют Aspergillus fumigatus. Однако идентифицировать возбудителя инфекции в содержимом абсцесса мозга довольно часто не представляется возможным, так как в 25-30 % случаев посевы содержимого абсцесса оказываются стерильными. Болезнь провоцируется следующими патологическими состояниями:
- Воспалительные процессы в легких. Чаще всего причиной образования гематогенных абсцессов головного мозга являются бронхоэктатическая болезнь, эмпиема плевры, хроническая пневмония, абсцесс легкого). Бактериальным эмболом становится фрагмент инфицированного тромба, который попадет в большой круг кровообращения и потоком крови разносится в сосуды мозга, где фиксируется в мелких сосудах (прекапилляре, капилляре или артериоле). Незначительную роль в патогенезе абсцессов могут играть хронический (или острый) бактериальный эндокардит, инфекции ЖКТ и сепсис.
- Черепно-мозговая травма. В случае открытой проникающей ЧМТ абсцесс мозга развивается вследствие прямого попадания инфекции в полость черепа. В мирное время доля таких абсцессов составляет 15-20%. В условиях боевых действий она возрастает в разы (минно-взрывные ранения, огнестрельные ранения).
- ЛОР-патологии. При гнойно-воспалительных процессах в придаточных пазухах носа (синуситы), среднем и внутреннем ухе возможны два пути распространения инфекции: ретроградный — по синусам твердой мозговой оболочки и мозговым венам; и непосредственное проникновение инфекции через твердую оболочку мозга. Во втором случае отграниченный очаг воспаления первоначально формируется в мозговых оболочках, а затем — в прилежащем отделе мозга.
- Послеоперационные осложнения. Абсцессы мозга, формирующиеся на фоне интракраниальных инфекционных осложнений после нейрохирургических вмешательств (вентрикулиты, менингиты), возникают, как правило, у тяжелых, ослабленных больных.
- Другие заболевания. Незначительную роль в патогенезе гематогенных абсцессов могут играть хронический (или острый) бактериальный эндокардит, инфекции ЖКТ и сепсис.
Формирование абсцесса мозга проходит в несколько этапов.
- 1-3 сутки. Развивается ограниченное воспаление мозговой ткани — энцефалит (ранний церебрит). На данном этапе воспалительный процесс обратим. Возможно как спонтанное его разрешение, так и под влиянием антибактериальной терапии.
- 4-9 сутки. В результате недостаточных защитных механизмов или в случае неверного лечения воспалительный процесс прогрессирует, в его центре полость, заполненная гноем, способная к увеличению.
- 10-13 сутки. На этой стадии вокруг гнойного очага формируется защитная капсула из соединительной ткани, которая препятствует распространению гнойного процесса.
- Третья неделя. Капсула окончательно уплотняется, вокруг нее формируется зона глиоза. В дальнейшем развитие ситуации зависит от вирулентности флоры, реактивности организма и адекватности лечебно-диагностических мероприятий. Возможно обратное развитие абсцесса мозга, но чаще увеличение его внутреннего объема или образование новых очагов воспаления по периферии капсулы.
Симптомы абсцесса головного мозга
На сегодняшний день патогномоничная симптоматика не выявлена. Клиническая картина при абсцессах головного мозга схожа с клинической картиной объемного образования, когда клинические симптомы могут варьироваться от головной боли до тяжелейших общемозговых симптомов, сопряженных с угнетением сознания и выраженными очаговыми симптомами поражения головного мозга.
В некоторых случаях первым проявлением болезни становится эпилептиформный припадок. Могут наблюдаться менингеальные симптомы (при субдуральных процессах, эмпиеме). Эпидуральные абсцессы головного мозга зачастую ассоциируются с остеомиелитом костей черепа. Наблюдается прогредиентное нарастание симптоматики.
Для диагностирования абсцесса головного мозга огромное значение имеет тщательный сбор анамнеза (наличие очагов гнойной инфекции, острое инфекционное начало). Наличие воспалительного процесса, сопряженного с появлением и усугублением неврологических симптомов — основание для дополнительного нейровизуализационного обследования.
Точность диагностирования с помощью КТ головного мозга зависит от стадии формирования абсцесса. На ранних стадиях заболевания диагностика затруднена. На этапе раннего энцефалита (1-3 сутки) КТ определяет зону сниженной плотности неправильной формы. Введенное контрастное вещество накапливается неравномерно, преимущественно периферических отделах очага, реже в центре.
На более поздних этапах энцефалита контуры очага приобретают ровные округлые очертания. Контрастное вещество распределяется равномерно, по всей периферии очага; плотность центральной зоны очага при этом не меняется. Однако на повторной КТ (через 30-40 минут) определяется диффузия контраста в центр капсулы, а также наличие его и в периферической зоне, что не характерно для злокачественных новообразований.
Инкапсулированный абсцесс мозга на КТ имеет вид округлого объемного образования с четкими ровными контурами повышенной плотности (фиброзная капсула). В центре капсулы зона пониженной плотности (гной), по периферии видна зона отека. Введенное контрастное вещество накапливается в виде кольца (по контуру фиброзной капсулы) с небольшой прилежащей зоной глиоза.
На повторной КТ (через 30-40 минут) контрастное вещество не определяется. При исследовании результатов компьютерной томографии следует учесть, что противовоспалительные препараты (глюкокортикостероиды, салицилаты) в значительной степени влияют на скопление контраста в энцефалитическом очаге.
МРТ головного мозга — более точный метод диагностирования. При проведении МРТ на первых стадиях формирования абсцесса мозга (1-9 сутки) энцефалитический очаг выглядит: на Т1-взвешенных изображениях — гипоинтенсивным, на Т2-взвешенных изображениях — гиперинтенсивным. МРТ на поздней (капсулированной) стадии абсцесса головного мозга: на Т1-взвешенных изображениях абсцесс выглядит, как зона пониженного сигнала в центре и на периферии (в зоне отека), а по контуру капсулы сигнал гиперинтенсивный. На Т2-взвешенных изображениях центр абсцесса изо- или гипоинтенсивный, в периферической зоне (зоне отека) гиперинтенсивный. Контур капсулы четко очерчен.
Дифференциальная диагностика абсцесса головного мозга должна проводиться с первичными глиальными и метастатическими опухолями полушарий мозга. При сомнениях в диагнозе следует проводить МЗ-спектроскопия. В таком случае дифференциация будет основываться на различном содержании аминокислот и лактата в опухолях и абсцессах головного мозга.
Иные способы диагностики и дифференциальной диагностики абсцесса головного мозга малоинформативны. Увеличение СОЭ, повышенное содержание С-реактивного белка в крови, лейкоцитоз, лихорадка — симптомокомплекс практически любых воспалительных процессов, включая внутричерепные. Бакпосевы крови при абсцессах головного мозга в 80-90% стерильны.
Лечение абсцесса головного мозга
На энцефалитической стадии абсцесса (анамнез - до 2 недель), а также в случае небольшого абсцесса головного мозга (до 3 см в диаметре) рекомендовано консервативное лечение, основой которого должна стать эмпирическая антибактериальная терапия. В некоторых случаях возможно проведение стереотаксической биопсии в целях окончательной верификации диагноза и выделения возбудителя.
Абсцессы, вызывающие дислокацию мозга и повышение внутричерепного давления, а также локализованные в зоне желудочковой системы (попадание гноя в желудочковую систему зачастую приводит к летальным исходам) — абсолютные показания к хирургическому вмешательству. Травматические абсцессы головного мозга, расположенные в зоне инородного тела также подлежат хирургическому лечению, так как данный воспалительный процесс не поддается консервативному лечению. Несмотря на неблагоприятный прогноз, грибковые абсцессы также являются абсолютным показанием к хирургическому вмешательству.
Противопоказанием к хирургическому лечению являются абсцессы мозга, расположенные в жизненно важных и глубинных структурах (зрительный бугор, ствол мозга, подкорковые ядра). В таких случаях возможно проведение стереотаксического метода лечения: пункция абсцесса мозга и его опорожнение с последующим промыванием полости и введением антибактериальных препаратов. Возможно как однократное, так и многократное (через установленный на несколько суток катетер) промывание полости.
Тяжелые соматические заболевания не являются абсолютным противопоказанием к проведению хирургического лечения, так как стереотаксическая операция может проводиться и под местной анестезией. Абсолютным противопоказанием к проведению операции может быть только крайне тяжелое состояние пациента (терминальная кома), так как в таких случаях любое оперативное вмешательство противопоказано.
Медикаментозное лечение
Целью эмпирической (в отсутствии посева или при невозможности выделения возбудителя) антибактериальной терапии является покрытие максимально возможного спектра возбудителей. Рекомендуемые программы лечения:
- При абсцессе головного мозга без ЧМТ или нейрохирургического вмешательства в анамнезе показан следующий алгоритм лечения: ванкомицин; цефалоспорины III поколения (цефотаксим, цефтриаксон, цефиксим); метронидазол. В случае посттравматического абсцесса головного мозга метронидазол заменяют на рифампицин.
- Возбудителем абсцесса головного мозга у пациентов с иммунодефицитными состояниями (кроме ВИЧ) чаще всего является Cryptococcus neoformans, реже Сandida spp или Aspergillius spp. Поэтому в данных случаях назначают амфоретицин В или липосомальный амфоретицин В. После исчезновения абсцесса (по данным нейровиуализационных исследований) применяют флуконазол в течение 10 недель, впоследствии дозу уменьшают вдвое и оставляют в качестве поддерживающей.
- У пациентов с ВИЧ возбудителем абсцесса головного мозга чаще всего является Toxoplasma gondii, поэтому эмпирическое лечение больных должно включать в себя сульфадиазин с пириметамином.
После выделения возбудителя из посева лечение необходимо изменить, учитывая антибиотикограмму. В случае стерильного посева следует продолжить эмпирическую антибактериальную терапию. Продолжительность интенсивной антибактериальной терапии — не менее 6 недель, после этого рекомендуется сменить антибиотики на пероральные и продолжить лечение еще 6 недель.
Назначение глюкокортикоидов оправдано только в случае адекватной антибактериальной терапии, так как только при положительном прогнозе глюкокортикоиды могут вызвать уменьшение выраженности и обратное развитие капсулы абсцесса головного мозга. В иных случаях их применение может вызвать распространение воспалительного процесса за пределы первичного очага.
Хирургическое лечение
Основными методами хирургического лечения внутримозговых абсцессов являются простое или приточно-отточное дренирование. Их суть заключается в установке в полость абсцесса катетера, через который осуществляется эвакуация гноя с последующим введением антибактериальных препаратов. Возможна установка второго катетера меньшего диаметра (на несколько суток), через который проводится инфузия раствора для промывания (чаще всего, 0,9 % раствора хлорида натрия). Дренирование абсцесса необходимо сопровождать антибактериальной терапией (сначала эмпирической, далее — с учетом чувствительности к антибиотикам выделенного патогена).
Стереотаксическая аспирация содержимого абсцесса без установки дренажа — альтернативный метод хирургического лечения абсцесса головного мозга. Главные его преимущества — снисходительные требования к квалификации медперсонала (для контроля над функционированием приточно-отточной системы необходимы пристальное внимание и специальные знания) и меньший риск вторичного инфицирования. Однако в 70% использования данного метода возникает необходимость повторных аспираций.
В случае множественных абсцессов головного мозга необходимо в первую очередь дренировать очаг, наиболее опасный в отношении осложнений (прорыв гноя в желудочковую систему, дислокация мозга), а также наиболее значимый в клинической картине. В случае эмпиемы или субдурального абсцесса головного мозга применяют дренирование, не используя приточно-отточную систему.
Прогноз при абсцессе головного мозга
В прогнозировании абсцессов головного мозга большое значение имеет возможность выделить возбудителя из посева и определить его чувствительность к антибиотикам, только в этом случае возможно проведение адекватной патогенетической терапии. Кроме этого, исход заболевания зависит от количества абсцессов, реактивности организма, адекватности и своевременности лечебных мероприятий. Процент летальных исходов при абсцессах головного мозга — 10%, инвалидизации — 50%. Почти у трети выживших пациентов последствием заболевания становится эпилептический синдром.
При субдуральных эмпиемах прогнозы менее благоприятны из-за отсутствия границ гнойного очага, так это свидетельствует высокой вирулентности возбудителя, либо о минимальной сопротивляемости пациента. Летальность в таких случаях — до 50%. Грибковые эмпиемы в сочетании с иммунодефицитными состояниями в большинстве случаев (до 95%) приводят к летальному исходу.
Эпидуральные эмпиемы и абсцессы головного мозга обычно имеют благоприятный прогноз. Проникновение инфекции через неповрежденную твердую мозговую оболочку практически исключено. Санация остеомиелитического очага позволяет устранить эпидуральную эмпиему. Своевременное и адекватное лечение первичных гнойных процессов, а также полноценная первичная обработка ран при ЧМТ позволяют в значительной степени снизить возможность развития абсцесса головного мозга.
1. Абсцессы головного мозга: диагностика и лечение/ Ырысов К.Б., Арстанбеков Н.А., Мамашарипов К.М.// Наука и новые технологии - 2011 - № 6
2. Современная терапия абсцесса головного мозга/ Амчеславский В.Г. , Шиманский В.Н. , Шатворян Б.Р. // РМЖ (Русский медицинский журнал) - 2000 - №13
3. Диагностика абсцессов головного мозга/Султанов Б.М., Ырысов К.Б., Мамашарипов К.М.// Вестник КГМА им. И.К. Ахунбаева. - 2012 - № 1
Эпидуральный абсцесс головного мозга
Эпидуральный абсцесс головного мозга (наружный пахименингит) — наименее опасное внутричерепное осложнение, но в то же время он может явиться промежуточным звеном в развитии других более тяжёлых осложнений. Эпидуральный абсцесс возникает как при остром среднем отите, осложнённом мастоидитом, так и при обострении хронического гнойного среднего отита, особенно если последний сопровождается холестеатомой.
Чаще это осложнение наступает при остром отите. Эпидуральный абсцесс локализуется при этом в задней черепной ямке, непосредственно вблизи сигмовидной пазухи (так называемый перисинуозный абсцесс) или реже в средней черепной ямке, в области крыши барабанной полости и пещеры сосцевидного отростка. Значительно реже встречается глубокая локализация эпидурального абсцесса на передней или задней поверхности пирамиды височной кости у её верхушки.
Эпидуральный абсцесс имеет обычно ограниченное протяжение. Лишь очень редко наблюдается распространённый процесс, вовлекающий одновременно мозговую оболочку в средней и задней черепных ямках.
Симптомы и течение эпидурального абсцесса головного мозга
Эпидуральный абсцесс обычно протекает бессимптомно или маскируется клинической картиной мастоидита или обострения хронического среднего отита. Иногда все же имеются симптомы, позволяющие предположить это заболевание. К ним относятся:
- резкая головная боль на стороне больного уха, преимущественно ночью
- болезненность и пастозность, иногда флюктуация по заднему краю сосцевидного отростка
- обильные пульсирующие гнойные выделения в поздней стадии острого отита или при хроническом гнойном отите
Боль иногда иррадиирует в лоб, глазницу, зубы, что бывает при глубокой локализации абсцесса, в области верхушки пирамиды.
Подозрительным на эпидуральный абсцесс является усиление головной боли при одновременном уменьшении гнойного отделяемого из уха и уменьшение её при увеличении гноетечения.
Редко наблюдаются изменения глазного дна (застойные соски зрительных нервов), которые могут сочетаться с заторможенностью, тошнотой или рвотой, брадикардией. При этом возникает предположение об образовании абсцесса мозга, ещё более обоснованное, если присоединяются очаговые симптомы, очень редкие при неосложнённом эпидуральном абсцессе.
Диагностика эпидурального абсцесса головного мозга
Чаще всего вследствие отсутствия или малой выраженности симптомов эпидуральный абсцесс распознается во время операции на ухе. Однако, когда имеется сочетание сильной, односторонней головной боли с обильным пульсирующим гноетечением из уха и наличие указанных выше симптомов со стороны сосцевидного отростка, можно поставить правильный диагноз и до операции.
Магнитно-резонансная томография (МРТ) проводится при подозрении на эпидуральный абсцесс головного мозга.
Если операция своевременно не произведена, то, как правило, развиваются другие, более тяжёлые внутричерепные осложнения — тромбофлебит сигмовидного синуса и сепсис, гнойный менингит, субдуральный или мозговой абсцесс. Успешно применяют вспомогательные методы диагностики в виде:
Лечение эпидурального абсцесса головного мозга
Операция на ухе при эпидуральном абсцессе простая или общеполостная в зависимости от формы воспаления среднего уха, широкое обнажение твёрдой мозговой оболочки задней или средней черепной ямки. Оболочка обнажается в пределах здоровой на вид ткани.
При отсутствии септических явлений пункция обнаженного сигмовидного синуса не производится. При выраженных менингеальных явлениях антибиотики назначают в соответствии с антибиотикограммой.
Читайте также:
