Анатомия: Лимфатические узлы и сосуды головы. Топография, строение, расположение лимфатических узлов и сосудов головы.
Добавил пользователь Евгений Кузнецов Обновлено: 15.12.2025
Лимфатические узлы расположены по ходу лимфатических сосудов и вместе с ними составляют лимфатическую систему. Они являются органами лимфопоэза и образования антител. Лимфатические узлы, которые оказываются первыми на пути лимфатических сосудов, несущие лимфу из данной области тела (региона) или органа, считаются регионарными.
Каждый лимфатический узел покрыт соединительнотканной капсулой (capsula nodi lymphatici), от которой внутрь узла отходят капсулярные трабекулы (trabeculae nodi lymphatici). На поверхности узла имеется вдавление - ворота узла (hilus nodi lymphatici). У соматических узлов имеются одни ворота, у висцеральных встречается 3-4. Через ворота проникают в узел артерии и нервы, выходят вены и выносящие лимфатические сосуды. От капсулы в области ворот отходят в паренхиму узла воротные (хиларные) трабекулы. Воротные и капсулярные трабекулы соединяются, придавая лимфатическому узлу дольчатое строение. С капсулой узла и трабекулами связана строма узла, образованная ретикулярной соединительной тканью, в петлях которой находятся клетки крови, главным образом лимфоциты. Ретикулярная ткань и лежащие в ее петлях клетки составляют паренхиму узла, которую подразделяют на корковое и мозговое вещество. В корковом веществе (близком к капсуле) располагаются мелкие узелки, или фолликулы (noduli s. folliculi lymphatici), содержащие преимущественно иммунокомпетентные клетки (В-лимфоциты).
Мозговое вещество представлено мякотными тяжами (chorda medullaris), являющимися зоной скопления В-лимфоцитов, связанных с выработкой гуморального иммунитета. Между капсулой, трабекулой и паренхимой имеются щели - лимфатические синусы (sinus nodi lymphatici). По синусам течет лимфа, поступившая в лимфатический узел. Она сначала поступает в краевой синус, находящийся под капсулой узла (sinus marginalis), в который открываются приносящие лимфатические сосуды. Далее она проникает в синусы коркового и мозгового вещества, а затем в воротный синус (sinus hilaris) и из него в выносящие лимфатические сосуды. На своем пути лимфа как бы просачивается также через паренхиму узла и течет по краевому синусу более коротким путем от приносящих лимфатических сосудов к выносящим. Сквозь стенки синусов в паренхиму лимфатического узла проникают и там накапливаются инородные частицы, подвергающиеся воздействию лимфы.
Каждый лимфатический узел обильно кровоснабжается, причем артерии проникают в него не только через ворота, но и через капсулу. Экспериментально доказан обмен в лимфатических узлах между кровью и лимфой.
Условно выделяют 3 типа лимфатических узлов.
Первый тип характеризуется, в частности, тем, что у него площадь коркового вещества несколько меньше площади мозгового. Лимфатические узлы первого типа быстро и интенсивно наполняются рентгеноконтрастной массой.
Лимфатические узлы второго типа компактные. Они характеризуются преобладанием массы коркового вещества над мозговым и рентгенологически медленным и слабым контрастированием. Транспортная функция таких узлов минимальна.
Чаще всего встречаются лимфатические узлы третьего типа - промежуточные. Масса коркового и мозгового вещества в них примерно одинакова. Рентгеноконтрастным веществом они заполняются хорошо. Их конструкция эффективно обеспечивает обработку лимфы и транспортную функцию.
Отмеченные вариации лимфатических узлов, индивидуальные особенности их конструкции и соответственно функциональные потенции в известной мере обусловливают различную выживаемость онкологических больных. Лимфатические узлы перестраиваются в течение всей жизни, в том числе у пожилых и старых людей. От юношеского возраста (17-21 год) до пожилого (60-75 лет) количество их уменьшается в 1 1/2-2 раза. По мере увеличения возраста человека в узлах, преимущественно соматических, происходят утолщение капсулы и трабекул, увеличение соединительной ткани, замещение паренхимы жировой тканью. Такие узлы теряют свои естественные строение и свойства, запустевают и становятся непроходимыми для лимфы. Число лимфатических узлов уменьшается и за счет срастания двух узлов, лежащих рядом, в более крупный лимфатический узел.
С возрастом меняется и форма узлов. В молодом возрасте преобладают узлы округлой и овальной формы, у пожилых и старых людей они как бы вытягиваются в длину. Таким образом, у пожилых и старых людей количество функционирующих лимфатических узлов уменьшается за счет их атрофии и срастания друг с другом, в результате чего у лиц старшего возраста преобладают крупные лимфатические узлы.
Лимфатическая система
Регионарные лимфатические узлы - Позадиглоточные лимфатические узлы
РЕГИОНАРНЫЕ ЛИМФАТИЧЕСКИЕ УЗЛЫ
ГОЛОВА И ШЕЯ
Затылочные лимфатические узлы
, nodi lymphatici occipitales. Лежат по краю трапециевидной мышцы. Собирают лимфу от затылочной области, а их выносящие сосуды заканчиваются в глубоких шейных лимфатических узлах. Рис. А.
Сосцевидные лимфатические узлы
, nodi lymphatici mastoidei [[retroauriculares]]. Лежат на сосцевидном отростке. В них оттекает лимфа от задней поверхности ушной раковины, прилежащей к ней кожи головы и задней стенки наружного слухового прохода. Выносящие сосуды заканчиваются в глубоких шейных лимфоузлах. Рис. А.
Поверхностные околоушные лимфатические узлы
, nodi lymphatici parotidei superficiales. Расположены спереди козелка над околоушной фасцией. Их приносящие сосуды начинаются в коже височной области и передней поверхности ушной раковины. Выносящие сосуды заканчиваются в глубоких шейных лимфоузлах. Рис. А.
Глубокие околоушные лимфатические узлы
, nodi lymphatici parotidei profundi. Находятся под околоушной фасцией. Собирают лимфу от барабанной полости, наружного слухового прохода, лобно-височной области, верхнего и нижнего века, корня носа, а также от слизистой оболочки заднего отдела нижней стенки носовой полости и носоглотки. Выносящие сосуды заканчиваются в глубоких шейных лимфоузлах. Рис. А.
Предушные лимфатические узлы
Нижнеушные лимфатические узлы
Внутрижелезистые лимфатические узлы
Лицевые лимфатические узлы
, nodi lymphatici faciales. Их место расположения вариабельно. Собирают лимфу от верхнего и нижнего века, наружного носа и кожи остальных областей лица, а также слизистой оболочки щеки. Их выносящие сосуды сопровождают а. facialis и заканчиваются в поднижнечелюстных лимфоузлах.
Щечный узел
Носогубной узел
Маларный узел
Нижнечелюстной узел
Язычные лимфатические узлы
, nodi lymphatici linguales. Лежит на m.hyoglossus. Собирают лимфу от нижней поверхности, латерального края и медиальной части передних 2/3 спинки языка.
Подподбородочные лимфатические узлы
, nodi lymphatici submentales. Локализуются между передними брюшками двубрюшных мышц. Собирают лимфу от средней части нижней губы, дна полости рта, верхушки языка. Выносящие сосуды заканчиваются в глубоких шейных и поднижнечелюстных лимфатических узлах. Рис. Б.
Поднижнечелюстные лимфатические узлы
, nodi lymphatici submandibulares. Расположены между нижней челюстью и поднижнечелюстной железой. Собирают лимфу от внутреннего угла глаза, щеки, боковой поверхности носа, всей верхней губы и боковых частей нижней губы, десен, латеральной части передних 2/3 спинки языка,а также к ним подходят выносящие сосуды подподбородочных и лицевых лимфоузлов. Выносящие сосуды поднижнечелюстных узлов заканчиваются в глубоких шейных узлах. Рис. Б.
Передние шейные лимфатические узлы
Поверхностные (передние яремные) лимфатические узлы
, nodi lymphatici superficiales (jugulares anteriores). Расположены по ходу передней яремной вены. Собирают лимфу от кожи передней области шеи. Выносящие сосуды заканчиваются в глубоких шейных узлах обеих сторон. Рис. А.
Глубокие лимфатические узлы
Подподъязычные лимфатические узлы
, nodi lymphatici infrahyoidei. Расположены ниже подъязычной кости по средней линии. Собирают лимфу от преддверия гортани, грушевидных карманов и близлежащих частей глотки. Выносящие сосуды заканчиваются в глубоких шейных лимфоузлах. Рис. Б.
Предгортанные лимфатические узлы
, nodilymphatici prаelaryngeales. Расположены на перстнещитовидной связке и собирают лимфу от нижней половины гортани. Выносящие сосуды заканчиваются в глубоких шейных лимфатических узлах. Рис. Б.
Щитовидные лимфатические узлы
, nodi lymphatici thyroidei. Располагаются в области щитовидной железы. Выносящие сосуды заканчиваются в глубоких шейных лимфатических узлах. Рис. Б.
Предтрахеальные лимфатические узлы
, nodi lymphatici pretracheales. Расположены спереди от трахеи. Собирают лимфу от трахеи и гортани. Выносящие сосуды заканчиваются в глубоких шейных лимфатических узлах. Рис. Б.
128.Анатомия и топография лимфатических сосудов и регионарных лимфатических узлов головы и шеи.
От органов головы лимфатические сосуды доставляют лимфу к лимфатическим узлам, лежащим в виде небольших групп на границе головы и шеи [затылочные, сосцевидные (заушные), околоушные, заглоточные, лицевые, поднижнечелюстные, под-подбородочные] (рис. 93). От этих узлов лимфа по сосудам направляется к поверхностным и глубоким лимфатическим узлам шеи (передним, боковым, задним), в которые впадают также лимфатические сосуды от органов шеи. Выносящие лимфатические сосуды узлов наиболее крупной шейной цепочки — латеральных глубоких шейных (внутренних яремных) лимфатических узлов — формируют яремный (лимфатический) ствол.
Затылочные лимфатические узлы, nodi lymphatici occipitdles (1—6), лежат на поверхностном листке шейной фасции, позади места прикрепления грудино-ключично-сосцевидной мышцы, а также под этим листком на ременной мышце головы и под этой мышцей возле затылочных кровеносных сосудов. К затылочным лимфатическим узлам подходят лимфатические сосуды от кожи затылочной области и от глубоких тканей затылка. Выносящие лимфатические сосуды затылочных узлов направляются к латеральным глубоким шейным лимфатическим узлам (узлы цепочки Добавочного нерва).
Сосцевидные (заушные) лимфатические узлы, nodi lymphatici mastoidei (1—4), локализуются позади ушной раковины на сосцевидном отростке у места прикрепления грудино-ключично-сос цевидной мышцы. Они принимают лимфатические сосуды от ушной раковины и кожи теменной области. Выносящие лимфатические сосуды этих узлов направляются к околоушным, поверхностным шейным (возле наружной яремной вены) и к латеральным глубоким шейным (внутренним яремным) лимфатическимузлам.
Околоушные лимфатические узлы, nodi lymphatici parotidei, расположены в области одноименной слюнной железы. Снаружи (латерально) от этой железы лежат поверхностные околоушные лимфатические узлы, nodi lymphatici parotidei superficiales (1—4), а под капсулой железы и в толще околоушной железы между' ее дольками находятся небольших размеров глубокие околоушные (внутрижелезистые) лимфатические узлы, nodi lymphatici parotidei profundi intraglanduldres (4—10). К околоушным лимфатическим узлам направляются лимфатические сосуды от кожи и других органов лобной и теменной областей головы, от ушной раковины, наружного слухового прохода, слуховой трубы, верхней губы, околоушной железы. Выносящие лимфатиче ские сосуды этих узлов направляются к поверхностным (возле наружной яремной вены) и латеральным глубоким (по ходу внутренней яремной вены) шейным лимфатическим узлам.
Заглоточные лимфатические узлы, nodi lymphatici retropha-ryngeales (1—3), лежат на предпозвоночной пластинке шейной фасции позади глотки и на боковых ее стенках. К этим узлам направляются лимфатические сосуды от стенок глотки, слизистой оболочки полости носа и околоносовых (придаточных) пазух, от миндалин и неба, слуховой трубы и* барабанной полости среднего уха. Выносящие лимфатические сосуды заглоточных узлов впадают в латеральные глубокие шейные (внутренние яремные) лимфатические узлы.
Нижнечелюстные лимфатические узлы, nodi lymphatici тап-dibuldres (I—3), непостоянные, лежат в подкожной основе на наружной поверхности тела нижней челюсти, возле лицевых артерии и вены. В подкожной основе (клетчатке) щеки возле лицевых сосудов располагаются также непостоянные лицевые (щечные) лимфатические узлы, nodi lymphatici facidtes (buccina-torii). К лимфатическим узлам этих групп направляются сосуды от кожи лица, мягких тканей века, носа, губ, щеки. Их выносящие сосуды впадают в поднижнечелюстные лимфатические узлы, nodi lymphatici submandibulares (6—8), которые находятся в поднижнечелюстном треугольнике, кпереди и кзади от одноименной слюнной железы. Лимфатические сосуды поднижнечелюст-ных узлов направляются вниз вдоль лицевой вены и впадают в латеральные глубокие шейные (внутренние яремные) лимфатические узлы. Подподбородочные лимфатические узлы, nodi lymphatici submentdles (1—8), располагаются на нижней поверхности подбородочно-подъязычной мышцы, между передними брюшками правой и левой двубрюшных мышц на протяжении от подбородка до тела подъязычной кости.
В основу подразделения лимфатических узлов шеи положено их отношение к поверхностной пластинке шейной фасции, а также к крупным сосудам шеи. В связи с этим выделяют поверхностные шейные лимфатические узлы, лежащие на поверхностной пластинке, и глубокие, находящиеся под ней. Отдельные регионарные группы лимфатических узлов лежат возле крупных сосудов — вен шеи (рис. 94).
ГГоверхностные шейные лимфатические узлы, nodi lymphatici cervicdles superficidles (1—5), встречающиеся в 3 /4 случаев, располагаются возле наружной яремной вены (1—3 узла), на трапециевидной мышце (1—2 узла), в задней области шеи и редко — возле передней яремной вены (1 узел). Их выносящие лимфатические сосуды направляются к латеральным глубоким шейным лимфатическим узлам, лежащим возле внутренней яремной вены и наружной ветви добавочного нерва.
Глубокие шейные лимфатические узлы, nodi lymphatici cervicdles profundi, сосредоточены в передней и латеральной областях шеи. К передним глубоким шейным лимфатическим узлам
относятся предгортанные лимфатические узлы, nodi lymphatici prelaryngedles (1—2), щитовидные, nodi lymphatici thyroidei (1—2), предтрахеальные, nodi lymphatici pretracheales (1 — 8), паратрахеальные, nodi lymphatici paratracheales (1—7), лежащие рядом с трахеей. В латеральной области шеи располагаются многочисленные лимфатические узлы (11—68), которые образуют несколько регионарных групп. Это латеральные шейные глубокие (внутренние яремные) лимфатические узлы, nodi lymphatici cervicdles laterales profundi (7—60). Они локализуются возле внутренней яремной вены; 1—8 лимфатических узлов в виде цепочки прилежат к наружной ветви добавочного нерва. Возле поверхностной ветви поперечной артерии шеи находится от 1 до 8 лимфатических узлов. В латеральной области шеи имеются также непостоянные лимфатические узлы (1—2), лежащие на ременной мышце головы. По выносящим лимфатическим сосудам этих узлов лимфа течет к латеральным шейным глубоким лимфатическим узлам, которые прилежат к внутренней яремной вене со всех ее сторон от основания черепа до места слияния с подключичной веной. В группе латеральных шейных глубоких лимфатических узлов выделяют яремно-двубрюшный узел, nodus jugulodigdstricus, и яремно-лопаточно-подъязычный узел, nodus juguloomohyoideus, к которым направляются главным образом лимфатические сосуды языка. Первый из этих узлов находится на уровне пересечения заднего брюшка двубрюшной мышцы с внутренней яремной веной, а второй — в месте, где брюшко лопаточно-подъязычной мышцы прилежит к передней поверхности внутренней яремной вены.
Выносящие лимфатические сосуды латеральных шейных глубоких лимфатических узлов образуют на каждой стороне шеи яремный ствол, tr(incus juguldris (dexter et sinister). Этот ствол впадает в венозный угол или в одну из образующих его вен соответствующей стороны либо в правый лимфатический проток и конечный отдел грудного протока (слева).
Лимфатические узлы шеи
Современная классификация Американского объединенного комитета по изучению злокачественных опухолей и Американской академии оториноларингологии и хирургии головы и шеи изменена K. Robbins с соавт. в 2000 г. и утверждена AJCC-AAOHNS в 2001 г. В ней предложено разделить 3 уровня на подуровни. Классификация лимфатических узлов по уровням известна во всем мире, удобна в использовании, легка для запоминания и, что самое главное, позволяет специалистам говорить на одном языке. Она уже стала основой для классификации шейных диссекций.
Использование классификации лимфатических узлов шеи по уровням позволит решить целый ряд проблем, возникающих, в частности: 1) при определении объема хирургического вмешательства и планировании лучевой терапии; 2) при обращении больного, лечившегося в одном лечебном учреждении, в другое с выпиской, в которой указано, что больному проведено фасциально-футлярное иссечение клетчатки шеи и не указан точный объем вмешательства. В первой ситуации, где по заключению УЗИ имеется поражение шейно-надключичной зоны без указания уровней, нам трудно оценить объем поражения. Во второй ситуации без протокола хирургического вмешательства невозможно узнать точный объем ранее выполненной операции.
Классификация
I (IA и IB) - ниже тела нижней челюсти (позади ветви нижней челюсти - это уже IIA);
IA — группа подбородочных узлов
IB — группа подчелюстных лимфатических узлов (находятся спереди и сзади от подчелюстной слюнной железы). При поражении лимфатических узлов этого уровня или самой железы, то она удаляется.
II, III, IV - яремные - вдоль сосудисто-нервного пучка (внутренней яремной вены) прикрыты m.sternoclaidomastoideus
II - верхние яремные - от уровня основания черепа до уровня нижнего края подъязычной кости
IIA — верхние яремные передние — кпереди от заднего края внутренней яремной вены;
IIB — верхние яремные задние — кзади от заднего края внутренней яремной вены.
III — средние яремные - от уровня нижнего края подъязычной кости до уровня нижнего края перстневидного хряща гортани;
IV - нижние яремные — от уровня нижнего края перстневидного хряща гортани до ключиц (в т.ч. Вирховские);
V - заднего (латерального) треугольника шеи соответствует анатомическим границам
VA - акцессорные - выше уровня нижнего края перстневидного хряща, по передней поверхности трапецевидной мышцы,
VB - надключичные — ниже уровня нижнего края перстневидного хряща (исключая Вирховские);
VI - переднего пространства шеи — пре- и паратрахеальные ЛУ, предгортанные (Delphian (Дельфийские) и околощитовидные ЛУ, включающие ЛУ вдоль возвратного гортанного нерва)

Группы лимфатических узлов не входящих в классификацию.
При описании всех перечисленных ниже групп лимфатических узлов необходимо использовать традиционные названия.
1. Лимфатические узлы заушной области.
2. Подзатылочные лимфатические узлы.
3. Околоушные лимфатические узлы (внутри и внеоколоушной слюнной железы).
4. Латеральные и медиальные ретрофарингеальные лимфатические узлы (их поражение имеет значение при раке носоглотки и ротоглотки).
5. Лицевые лимфатические узлы.
6. Верхние медиастинальные лимфатические узлы (не относятся к лимфатическим узлам шеи).
Примеры лимфаденопатии разных групп лимфатических узлов шеи.
На ниже представленном КТ снимке визуализируется некроз лимфатических узлов группы IA.

На ниже представленном КТ снимке визуализируется лимфаденопатия группы IB справа.

На ниже представленном постконтрастном КТ снимке представлен пациент с карциномой языка и лимфаденопатией II группы лимфатических узлов.

На ниже представленном постконтрастном КТ изображении визуализируется увеличение и контрастное усиление лимфатических узлов III группы.

На постконтрастном изображении белой стрелкой указан увеличенный лимфатический узел IV группы. У пациента удалена правая доля щитовидной железы и правая яремная вена, что указано чёрной стрелкой, всвязи с папиллярной карциномой.

На постконтрастном изображении белой стрелкой указан увеличенный лимфатический узел V группы.

На постконтрастном изображении белой стрелкой указан увеличенный лимфатический узел VI группы.
Лимфатические узлы средостения

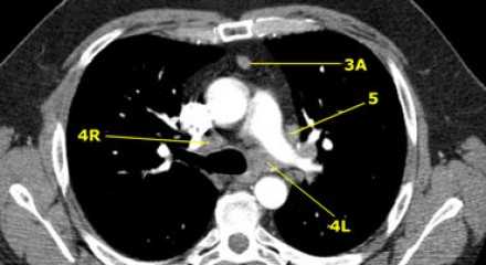
Лимфатические узлы 3 группы не примыкают к трахее в отличии от лимфатических узлов 2 группы. Они подразделюятся на: 3А кпереди от сосудов 3Р позади пищевода/превертебрально Они не доступны при медиастиноскопии. 3Р группа может быть доступна при чреспищеводной эхокардиографии.

На изображении слева 3А узел в преваскулярном пространстве. Обратите внимание так же на ниже расположенные паратрахеальные узлы справа относящиеся к 4R группе.

4R. Правые нижние паратрахеальные лимфатические узлы
- Верхняя граница: пересечение нижнего края левой плечеголовной вены с трахеей.
- Нижняя граница: нижний края непарной вены. 4R узлы распространяются до левого края трахеи.

На изображении слева мы видим 4R паратрахеальные узлы. Кроме того здесь представлен узел кнаружи от дуги аорты, то есть 6 группы.

4L. Левые нижние паратрахеальные лимфатические узлы
4L узлы расположенные слева от левой стенки трахеи, между горизонтальными линиями проведенными касательно верхней стенке дуги аорты и линией проходящей через левый главный бронх на уровне верхнего края верхнедолевого бронха. Они включают паратрахеальные узлы расположенные кнутри от артериальной связки.
Узлы 5 группы (аортопульмонального окна) расположены кнаружи от артериальной связки.
На левом изображении над уровнем легочного ствола представлены нижние паратрахеальные узлы слева и справа, так же здесь представлены узлы 3 и 5 групп.

Изображение слева выше уровня карины. Слева от трахеи 4L узлы. Обратите внимание что они расположены между легочным стволом и аортой, но не в аортопульмональном окне, потому что они лежат медиальнее артериальной связки. Лимфатические узлы латеральнее легочного ствола относятся к 5 группе.

- 5. Субаортальные лимфатические узлы
- Субаортальное или аортопульмональное окно расположено кнаружи от артериальной связки и проксимальнее первой ветви левой легочной артерии и лежит в пределах медиастинальной плевры.
- Парааортальные лимфатические узлы лежат кпереди и кнаружи от восходящего отдела аорты и между верхним и нижним краями дуги аорты.
![11]()
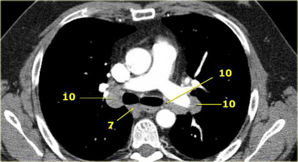
7. Подкаринальные лимфатические узлы
Эти лимфатические узлы расположены ниже уровня бифуркации трахеи (карины), но не относятся к нижнедолевым бронху и артерии. Справа они располагаются каудальнее нижней стенки промежуточного бронха. Слева они располагаются каудальнее верхней стенки нижнедолевого бронха. Слева лимфатический узел 7 группы справа от пищевода.
![12]()
8. Параэзофагеальные лимфатические узлы
Эти лимфатические узлы ниже подкаринальных лимфатических узлов и распространяются каудальнее до диафрагмы. На изображении слева ниже уровня карины справа от пищевода обозначен лимфатический узел 8 группы.
![13]()
На ПЭТ изображении слева показано накопление 18Р-дезоксиглюкозы в узле 8 группы. На соответствующем КТ изображении видно что данный лимфатический узел (голубая стрелка) не увеличен. Вероятность того что в имеется метастатическое поражение данного узла чрезвычайно высока, поскольку специфичность ПЭТ выше чем измерение размеров лимфатических узлов.
![14]()
9. лимфатические узлы легочной связки
Данные лимфатические узлы лежат в пределах легочной связки, в том числе и по ходу нижней легочной вены. Легочная связка представлена дупликатурой медиастинальной плевры охватывающей корень легкого.
![15]()
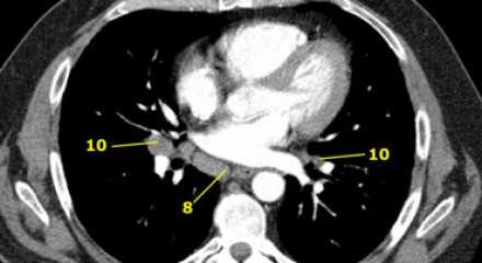
10. лимфатические узлы корня легкого
Лимфатические узлы корня расположены проксимальнее долевых узлов, но дистальнее медиастинальной дупликатуры и узлов промежуточного бронха справа.
Все лимфатические узлы 10-14 групп являются N1 узлами, так как они находятся вне средостения.
1. лимфатические узлы вырезки грудины видны только на этом уровне и выше него
2. верхние паратрахеальные лимфатические узлы: ниже ключиц , справа над пересечением нижнего края левого плечеголовного ствола и трахеи, а слева над дугой аорты
3. Преваскулярные и ретротрахеальные: кпереди от сосудов (3А) и превертебральные (3Р)
4. Нижние паратрахеальные: ниже верхнего края дуги аорты до уровня главного бронха
5. Субаортальные (аортопульмональное окно): лимфатические узлы кнаружи от артериальной связки или кнаружи от аорты или левой легочной артерии.
6. Парааортальные: узлы лежащие кпереди и кнаружи от восходящего отдела аорты и дуги аорты под верхним краем дуги аорты.
7. Субкаринальные лимфатические узлы.
8. Параэзофагеальные лимфатические узлы (ниже карины).
9. Лимфатические узлы легочной связки: лежат в пределах легочной связки.
10-14 лимфатические узлы N1![медианоскопия]()
Медиастиноскопия и чреспищеводное УЗИ
Лимфатические узлы доступные для биопсии при медиастиноскопиии: верхнием паратрахеальные узлы 2L И 2R групп, правые и левые нижние паратрахеальные лимфатические узлы 4R и 4L групп, подкаринальные лимфатические узлы 7 группы. 1 группа расположена выше надгрудинной вырезки и не доступна при рутинной медиастиноскопии.
![2]()
Расширенная медиастиноскопия
Опухоли левой верхней доли могут метастазировать в субаортальные (5 группа) и парааортальные лимфатические узлы (6 группа). Эти узлы недоступны для биопсии при рутинной медиастиноскопии. Расширенная медиастиноскопия является альтернативой для парастернально медиастинотомии. Эта процедура используется реже в связи с более высоким риском осложнений.
![1]()
Тонкоигольная аспирационная биопсия под контролем УЗИ
Может применятся для всех лимфатических узлов доступных УЗИ визуализации из пищевода. В частности обеспечивается доступ к лимфатическим узлам нижнего средостения (7-9 группы). Кроме того при данной виде исследования для визуализации доступны левая доля печени и левый надпочечник.
Источники:
by Paul De Leyn and Toni Lerut.
in the Multimedia Manual of Cardiothoracic Surgeryby Christian Lloyd, MD, and Gerard A.Silvestri, MD, FCCP Christian Lloyd, MD, and Gerard A.Silvestri, MD, FCCP
Cancer Control, July/August 2001,Vol.8, No.4 Cancer Control 311by Reginald F. Munden, MD, DMD, Stephen S. Swisher, MD, Craig W. Stevens, MD, PhD and David J. Stewart, MD
Radiology 2005; 237:803-818Читайте также:
- Профилактическое лечение кластерной головной боли. Комбинированная терапия кластерной боли.
- Оценка фолликулов лимфатического узла. Оценка состояния лимфатического узла.
- Выявление антитромбоцитных антител: тест угнетения ретракции плазматического сгустка (ТУРС)
- Подогрев воздуха в общей приточной вентиляции. Рециркуляция
- Вас интересует мужчина Телец? Гороскоп совместимости с мужчиной Тельцом








