Оценка фолликулов лимфатического узла. Оценка состояния лимфатического узла.
Добавил пользователь Владимир З. Обновлено: 31.01.2026
Увеличение лимфоузлов (лимфаденопатия) — это изменение размеров, консистенции и подвижности периферических органов лимфатической системы. Возможно сочетание симптома с повышением температуры, изменением состояния кожи, увеличением печени и селезенки. Лимфаденопатия выявляется при инфекционных болезнях, иммунопролиферативных, дисметаболических и опухолевых процессах, приеме некоторых препаратов. Для уточнения причин увеличения лимфатических узлов используют ультразвуковые, рентгенологические, радионуклидные, томографические, цитологические, лабораторные методы. До постановки диагноза лечение обычно не назначается.
Общая характеристика
Увеличенные лимфоузлы представляют собой мягкие, тугоэластичные или плотные округлые образования, прощупываемые под нижней челюстью, в области шеи, подмышечной зоне, паху и других местах. Поверхность лимфатических узлов бывает гладкой или бугристой. Зачастую увеличению предшествуют острые инфекционно-воспалительные процессы (ОРВИ, ангина, пульпиты), травмы с повреждениями кожи, вакцинация. Иногда изменения лимфоузлов выявляются случайно пациентом либо врачом на профилактическом или консультативном осмотре.
Об увеличении лимфоузлов говорят, когда изменяется их плотность, поверхность и подвижность, а размеры превышают 1 см (для локтевых образований — 0,5 см, для паховых — 1,5 см). При ощупывании узлы бывают как болезненными, так и безболезненными. Кроме лимфаденопатии возможны кожные проявления (элементы сыпи, покраснения кожи), повышение температуры до 38° С и выше, длительный субфебрилитет, жалобы на быструю утомляемость, потливость, тяжесть в левом или правом подреберье, вызванную увеличением селезенки, печени.
Поводом для обращения к врачу является самостоятельное обнаружение крупных безболезненных лимфоузлов, резкая болезненность лимфоидной ткани при попытке прощупывания, сочетание лимфаденопатии с другими патологическими признаками — сыпью, гипертермией, потерей веса, быстрой утомляемостью. Особую настороженность должны вызывать лимфоузлы размерами от 2-3 см, которые увеличились без видимых причин, расположены в нескольких зонах и сохраняются более 2 месяцев.
Механизм развития
Увеличение лимфоузлов происходит несколькими путями, каждый из которых предполагает накопление в лимфоидной ткани определенного типа клеток. Реакция периферических лимфатических органов часто бывает связана с усилением кровотока, пролиферацией лимфоцитов и макрофагов в ответ на появление чужеродных генов. При антигенной стимуляции узел за 5-10 суток способен увеличиться в 5-15 раз. Для системных неопроцессов характерна активная пролиферация перерожденных лимфоидных клеток с увеличением размеров пораженного лимфоузла.
Строма лимфатических образований может инфильтрироваться воспалительными элементами (при инфекционных заболеваниях), клетками опухолей, расположенных в зоне лимфодренажа данного узла. Метастатическое поражение зачастую сопровождается разрастанием соединительной ткани. При некоторых нарушениях липидного обмена (болезни Ниманна-Пика, синдроме Гоше) в лимфоузле задерживаются макрофаги, переполненные нерасщепленными гликосфинголипидами.

Классификация
При определении форм лимфаденопатии в первую очередь учитывают местоположение увеличенных лимфоузлов. Лимфоидная ткань — основной защитный барьер на пути распространения инфекционных патогенов и опухолевых клеток. Поэтому расположение измененных лимфатических образований облегчает диагностику заболевания, вызвавшего лимфаденопатическую реакцию. В зависимости от локализации процесса выделяют:
- Увеличение подчелюстных лимфоузлов. Характерно для патологических процессов в области головы и шеи — болезней глаз, ЛОР-органов и придаточных пазух, повреждений кожи. Подчелюстная лимфаденопатия часто сигнализирует о стоматологических проблемах, хроническом тонзиллите.
- Увеличение шейных лимфоузлов. Обычно наблюдается при респираторных инфекциях, патологии ротовой полости, инфекционном мононуклеозе, поздних стадиях туберкулеза. Шейные узлы могут поражаться при лимфомах, лимфогранулематозе, метастазировании рака щитовидной железы, легких.
- Увеличение надключичных лимфоузлов. Чаще всего обусловлено опухолевыми причинами. Выявление увеличенного узла справа патогномонично для рака пищевода, легких. Левый лимфоузел поражается при злокачественных процессах в брюшной полости, тазу, забрюшинном пространстве.
- Увеличение подмышечных лимфоузлов. Воспалительное поражение возможно при наличии раневых инфекций, болезни кошачьей царапины, бруцеллеза. Поражение узлов подмышечной группы типично для рака молочной железы, меланомы верхних конечностей, установки силиконовых имплантов груди.
- Увеличение паховых лимфоузлов. Как правило, узлы в паху реагируют на развитие сифилиса, гонореи, шанкроида, других генитальных инфекций. Паховая лимфаденопатия также служит признаком злокачественного поражения тазовых органов, лимфомы, бубонной чумы.
Несколько реже в процесс вовлекаются лимфатические узлы других групп — подподбородочные, кубитальные (в области локтевого сгиба), околоушные, затылочные, яремные. При плановом инструментальном обследовании может определяться увеличение внутренних лимфоузлов — внутригрудных (медиастинальных), бронхопульмональных, парааортальных, селезеночных, мезентериальных, забрюшинных.
В диагностическом плане важно учитывать и другие критерии классификации лимфаденопатии — характеристики измененных лимфоидных образований, распространенность поражения. Такой подход позволяет предположить тип патологического процесса, происходящего в вовлеченных узлах и организме в целом. Важными критериями классификации увеличенных лимфоузлов являются:
- Размеры. При I степени лимфаденопатии диаметр пораженных образований составляет 0,5-1,4 см, при II степени — 1,5-2,4 см, а при III степени — от 2,5 см и более. Значительное и длительное увеличение размеров лимфатических узлов более характерно для злокачественных процессов.
- Болезненность. Интенсивными болевыми ощущениями чаще проявляются воспаления лимфоузлов, особенно острые гнойные лимфадениты. Образования, подвергшиеся злокачественному перерождению, зачастую безболезненны, кроме случаев кровоизлияния в некротизированный центр.
- Плотность. Увеличенные воспаленные лимфоузлы обычно мягкие, при их нагноении во время прощупывания ощущается флюктуация (колебание жидкости). Для метастатического процесса типична каменистая консистенция образований, для лимфом — тугая эластичность.
- Связь между собой. Патологическое образование из лимфатических узлов, прощупываемых как единое целое и смещающихся вместе, называется конгломератом. Спаянные между собой лимфоузлы выявляются при туберкулезе, саркоидозе, венерической лимфогранулеме, лимфомах и метастазировании.
- Количество. Поражаться может как один-два, так и несколько узлов в одной зоне. В первом случае говорят о единичных увеличенных узлах, во втором — о локальной лимфаденопатии. Чем активнее процесс, тем больше образований поражается, однако при метастазировании часто обнаруживается один узел больших размеров.
- Распространенность. При локальной лимфаденопатии определяются единичные узлы в одной области, при региональной — несколько образований в 1-2 смежных зонах. Генерализованный (распространенный) процесс характеризуется поражением лимфатических структур в трех областях и более.
С учетом патогенеза увеличение лимфоузлов бывает первичным (системным), вторичным (реактивным) и воспалительным. Первичные полиаденопатии развиваются при системном озлокачествлении лимфоидной ткани (лейкозы, лимфогранулематоз, неходжкинские лимфомы) и доброкачественных процессах (синусовом гистиоцитозе). Реактивные поражения являются ответом на другую патологию (инфекцию, иммунное заболевание, распространение опухолевых клеток, обменные нарушения). Воспаление (лимфаденит) возникает при размножении инфекционных агентов в ткани узла.
2. Дифференциальный диагноз при лимфаденопатиях. Справочник поликлинического врача/ Дворецкий Л.И. — 2005 - Т.3, №2.
Диагностика лимфаденопатий
Категории МКБ: Доброкачественное новообразование лимфатических узлов (D36.0), Другие неспецифические лимфадениты (I88.8), Неспецифический лимфаденит неуточненный (I88.9), Новообразование неопределенного или неизвестного характера лимфоидной, кроветворной и родственных им тканей неуточненное (D47.9), Отдельные болезни, протекающие с вовлечением лимфоретикулярной ткани и ретикулогистиоцитарной системы (D76), Саркоидоз лимфатических узлов (D86.1), Хронический лимфаденит, кроме брыжеечного (I88.1)
Общая информация
Краткое описание
Национальное гематологическое общество
НАЦИОНАЛЬНЫЕ КЛИНИЧЕСКИЕ РЕКОМЕНДАЦИИ ПО ДИАГНОСТИКЕ ЛИМФАДЕНОПАТИЙ
2018
Лимфаденопатия (ЛАП) — увеличение лимфатических узлов любой природы в одной или нескольких анатомических зонах, относится к числу наиболее частых симптомов при многих заболеваниях и требует проведения тщательного диагностического поиска ее причины [1—7]. Этиология и патогенез ЛАП зависят от заболевания, симптомом которого она является.
Проблема дифференциального диагноза лимфаденопатий имеет большое значение для врачей многих специальностей: терапевтов, гематологов, онкологов, педиатров, хирургов, инфекционистов [8—11]. В большинстве случаев первичную диагностику проводит врач общей практики, направляющий больного к определенному специалисту. Приступая к диагностическому поиску, надо быть готовым к любому заболеванию [1—11].
Эффективный дифференциально-диагностический алгоритм предполагает знание по крайней мере основных причин увеличения лимфатических узлов. Основная проблема диагностики ЛАП состоит прежде всего в сходстве клинической картины опухолевых и неопухолевых ЛАП, которые занимают большое место в работе гематолога и онколога [9—11].
По данным исследования, проведенного в ФГБУ «НМИЦ гематологии», на неопухолевые ЛАП приходится 30% первичных обращений к гематологу по поводу увеличенных лимфатических узлов [5]. Результаты исследования 1000 больных с неопухолевыми ЛАП показали, что нозологический диагноз устанавливается всего в 50% случаев. Частота выполнения биопсий у больных с неопухолевыми лимфаденопатиями составила 46%. При этом только у трети подвергнутых биопсии больных с неопухолевыми ЛАП она имела решающее значение в постановке диагноза. В остальных случаях морфологическое исследование биопсированного лимфатического узла позволяло констатировать отсутствие опухоли, но не приводило к уточнению диагноза [5].
Спектры этиологической структуры при локальной и генерализованной ЛАП радикально отличаются. При локальной лимфаденопатии соотношение опухоль/не опухоль составляет 1:1 (48% и 52% соответственно), при генерализованной в 90% случаев выявляется опухоль и только в 10% подтверждается неопухолевый генез ЛАП [5]. У 10% больных с исходным диагнозом «неопухолевая лимфаденопатия» при повторной биопсии диагностируются опухоль или не классифицируемая редкая патология. Нередко разграничить лимфатическую опухоль и реактивный процесс не удается, особенно это касается диагностически трудных случаев, пограничных состояний, атипично протекающих лимфопролиферативных процессов. Диагноз в таких случаях устанавливается только со временем [5].
Анализ публикаций отечественных [1—5,8] и зарубежных [12—14] авторов, посвященных алгоритмам диагностики ЛАП, а также многолетний опыт работы «НМИЦ гематологии» [5] позволили разработать и внедрить протокол дифференциальной диагностики лимфаденопатий [15—17].
Лимфаденопатия - увеличение лимфатических узлов любой природы, относящееся к числу наиболее частых клинических симптомов, требующих проведения дифференциального диагноза.
D36.0 — доброкачественное новообразование лимфатических узлов (болезнь Кастлемана, локальные варианты);
D47.9 — новообразование неопределенного или неизвестного характера лимфоидной, кроветворной и родственных им тканей неуточненное;
D76 — отдельные болезни, протекающие с вовлечением лимфоретикулярной ткани и ретикулогистиоцитарной системы;
Эхография в дифференциальной диагностике поражения лимфатических узлов опухолевого и неопухолевого генеза
Федеральный научно-клинический центр детской гематологии, онкологии и иммунологии Минздравсоцразвития России, Москва¹.
Тульская областная детская больница, Тула².

УЗИ сканер WS80
Идеальный инструмент для пренатальных исследований. Уникальное качество изображения и весь спектр диагностических программ для экспертной оценки здоровья женщины.
Одним из нередких состояний, приводящих ребенка к врачу, является увеличение лимфатических узлов. Увеличение лимфатических узлов, связанное с лимфопролиферативным процессом (острый лимфобластный лейкоз, неходжкинские лимфомы, лимфомы Ходжкина, гистиоцитозы, метастазы солидных опухолей), встречается в 1% случаев. В остальных 99% случаев причиной увеличения лимфатических узлов являются остро и хронически протекающие инфекции [1]. Ситуация с увеличением лимфатических узлов становится напряженной, если знать, что в детской практике имеются медленно растущие опухоли (несколько месяцев), например лимфомы Ходжкина, и быстро, агрессивно растущие опухоли (несколько дней, недель), например неходжкинские лимфомы. Врач-педиатр должен быстро оценить ситуацию и понять, по какому пути пойти: диагностика инфекций и антибактериальная терапия или исключение лимфопролиферативного процесса.
После сбора анамнеза в процессе первичного осмотра ведущим приемом обследования таких пациентов является пальпация. Диагностическая точность пальпаторного исследования не превышает 50-60% [2, 3].
В плане дифференциальной диагностики дополнительными критерями могут служить результаты ультразвуковых исследований. УЗИ рассматривается как наиболее распространенный неинвазивный метод исследования первого уровня [4, 5]. Имеется много исследований, посвященных возможностям УЗИ в дифференциальной диагностике воспалительных и злокачественных процессов в лимфатических узлах [6, 7]. Однако основная масса публикаций построена как описательные работы и не содержит математически доказанных диагностических критериев. Целью данного исследования явилось повышение качества дифференциальной диагностики опухолевого и воспалительного поражения лимфатических узлов по итогам проведения УЗИ.
Материал и методы
Всего наблюдали 77 детей с синдромом увеличения лимфатических узлов: 1-ю группу составили 27 детей с увеличением лимфатических узлов при злокачественных новообразованиях, 2-ю группу - 50 детей с лимфаденитами.
Медиана возраста детей 1-й группы составляла 12,9 года (пределы колебаний 9-18 лет), мальчиков было 17, девочек - 10. Среди детей с увеличением лимфатических узлов при злокачественных новообразованиях преобладали дети с лимфомой Ходжкина (23 человека, 85,2%). Кроме того, обследовали детей, страдавших неходжкинскими лимфомами (двое), миелобластным лейкозом (двое). В случаях поражения лимфатических узлов опухолевым процессом они, как правило, были безболезненными.
УЗИ выполняли на современном ультразвуковом сканере. Обследовали подмышечные, шейные, паховые, внутриполостные лимфатические узлы. Качественные характеристики лимфатических узлов включали эхоплотность, однородность или неоднородность внутренней структуры, характер краев (ровные, полицикличные). Линейные размеры лимфатических узлов определяли в миллиметрах. Так как лимфатический узел в норме имеет бобовидную форму, выделяли максимальный размер (длинник) и минимальный (его поперечник). Результаты обрабатывали математически с определением средней величины, медианы, пределов колебания. Статистическую значимость различий оценивали по Манн-Уитни, Фишеру и критерию χ² Пирсона.
УЗИ лимфатических узлов что показывает

В современной медицине актуальной остается проблема дифференциальной диагностики лимфаденита (или аденопатии), т.е. патологических изменений в лимфатических узлах (ЛУ), сопровождающихся увеличением последних. Обсуждаемые анатомические структуры выполняют защитную функцию, задерживая микроорганизмы, токсины, чужеродные белки, продукты тканевого распада. Перечисленные элементы в норме подвергаются фагоцитозу без каких-либо клинических проявлений. В случае снижения иммунитета или накопления критической массы биологических и химических соединений в лимфоузлах возникает инфекционно-воспалительный процесс.

Лимфатическая система (схематично)
По топографическому признаку ЛУ делят на две группы:
- поверхностные, расположенные в подкожно-жировой клетчатке;
- глубокие, локализующиеся в мышцах и внутренних органах.
При интерпретации УЗ-снимков врач оценивает особенности визуализации исследуемых структур. Основными объектами изучения выступают соединительнотканная капсула и ворота, где проходят артерии, вены, нервы и лимфатические сосуды. В норме доктор четко дифференцирует указанные анатомические образования в зоне интереса.
Причины лимфаденопатии
Увеличение ЛУ как с нарушением нормального строения, так и без него происходит вследствие:
- повышения продукции иммунных клеток при попадании инфекционных агентов и чужеродных веществ;
- инвазии или метастазирования злокачественной опухоли;
- жировой инфильтрации на фоне дислипидемии;
- разрастания соединительной ткани после перенесенных воспалительных заболеваний.

Увеличение лимфатических узлов при лимфогранулематозе
Признаки лимфаденита чаще наблюдают в области шеи, подмышечных впадин, паха. В большинстве случаев указанное состояние развивается при проникновении в организм вирусов, грибов, бактерий, реже - при новообразованиях.
Первый вариант сопровождается симптомами воспаления и возникает на фоне:
- ОРВИ;
- гриппа;
- тонзиллита;
- периостита;
- ангины и пр.
Помимо перечисленных инфекционных заболеваний, реактивные изменения в ЛУ обнаруживают при туберкулезе, сифилисе, актиномикозе. Аденопатию при данных патологиях выделяют в нозологической классификации как специфическую, характеризующуюся длительным хроническим течением.
Показания к УЗИ лимфатических узлов
Диагностика острого вирусного или бактериального поражения периферических органов лимфатической системы проста. При осмотре, наряду с увеличением и болезненностью ЛУ, врач выявляет специфические признаки инфекции:
- покраснение, гнойную деструкцию миндалин;
- ринорею;
- кашель;
- гипертермию и пр.
После лечения перечисленные симптомы обычно исчезают. Трудности вызывает определение причин хронической аденопатии. Последняя требует назначения лучевых методов диагностики, в ходе которых доктор сможет отличить доброкачественные, в том числе воспалительные, и злокачественные процессы в зоне интереса. Доступным и информативным способом визуализации лимфоузлов является УЗИ.

Метастазы рака молочной железы в поверхностных лимфоузлах
Выполнение ультрасонографии показано при жалобах на:
- появление на теле уплотнений овальной или округлой формы, чувствительных либо безболезненных при пальпации;
- общую слабость;
- повышение температуры тела;
- затруднение при глотании;
- головокружение;
- резкое похудение;
- гиперемию кожных покровов и отек мягких тканей в области лица, шеи, подмышек, паха.
Помимо диагностического поиска причин впервые возникшей аденопатии, ультразвуковое исследование применяют у онкологических больных в качестве скрининга. Выполнять сканирование ЛУ таким пациентам необходимо после оперативного вмешательства и/или химиотерапии не реже одного раза в год.
Ценность эхографии в медицине заключается и в возможности проведения неинвазивной пункции лимфатических узлов. Под УЗ-контролем врач с помощью тонкой иглы получает содержимое анатомического образования (аспирационная биопсия) и направляет материал в лабораторию. По результатам микроскопического анализа определяют характер и природу патологического процесса.
УЗИ подмышечных лимфоузлов

УЗИ аксиллярных лимфоузлов
Подмышечные аденопатии чаще обусловлены активностью смешанной микробной флоры. В развитии изменений ЛУ указанной локализации основное значение имеют возбудители токсоплазмоза, фелиноза, мононуклеоза, цитомегаловирусной инфекции. Реже увеличенные лимфоузлы в обсуждаемой анатомической области обнаруживают при гематологических и аллергических заболеваниях.
Визуализация признаков аденопатии воспалительного характера в подмышке вызывает затруднение в связи с близким расположением потовых желез, особенно при выполнении сканирования на УЗ-аппаратах среднего класса. Около 97% таких больных поступают в стационар с подозрением на острый гнойный гидраденит. Установить причину патологии помогает правильно собранный эпидемиологический анамнез и ультразвуковое исследование на оборудовании с высокой разрешающей способностью.
Диагностический поиск при увеличении ЛУ в подмышечных впадинах направлен и на выявление онкологических заболеваний, преимущественно рака молочной железы.
УЗИ подчелюстных лимфоузлов
Подчелюстные лимфоузлы закладываются в клетчатке одноименного треугольника в количестве 6-10 штук и одними из первых реагируют на инфекционные процессы в зубах, слизистых оболочек рта, полости носа, придаточных пазух, костях лицевого черепа.
Аденопатии указанной локализации чаще наблюдают у детей до 7 лет на фоне тонзиллитов, риносинуситов, стоматитов и пр. Обозначенная особенность в эпидемиологии обусловлена незавершенностью формирования у лиц дошкольного возраста лимфатической системы. Среди взрослых рассматриваемое состояние в большинстве случаев связано с одонтогенными воспалительными заболеваниями и опухолями.

Ультразвуковое исследование лимфатических узлов шеи
УЗ-сканирование при поражении подчелюстных ЛУ обычно проводят в комплексе с визуализацией мягких тканей лица и шеи.
УЗИ лимфоузлов паховой области
Паховая аденопатия преимущественно возникает при патологиях органов малого таза как инфекционного, так и неинфекционного характера.
Основными причинами увеличения лимфоузлов указанной локализации являются:
- заболевания, передающиеся половым путем;
- вульвит, кольпит, эндометрит, абсцесс бартолиниевой железы (у женщин);
- баланит, орхит (у мужчин);
- воспалительные процессы в прямой кишке и перианальной области - осложненный геморрой, парапроктит;
- злокачественные новообразования;
- паразитарные инвазии.

Паховые лимфоузлы на УЗИ
Как проводят УЗИ лимфоузлов
Ультразвуковая диагностика не требует специальной подготовки. Сканирование ЛУ проводят в положении пациента лежа на спине в позе, позволяющей без затруднений увидеть все элементы в исследуемой анатомической зоне. В процессе УЗ-визуализации шейных лимфоузлов необходимо попеременно поворачивать голову в правую и левую стороны для оценки состояния тканей в боковых отделах изучаемой области.
При аденопатии подмышечных впадин в ходе эхографии пациенту потребуется завести руки за затылок. Перед УЗИ нужно убедиться в отсутствии на теле одежды и предметов, создающих препятствие к доступу пъезоэлемента.
В ходе процедуры используют датчик частотой 7,5-10 МГц в В-режиме. Для оценки состояния кровотока в ЛУ и прилежащих структурах применяют функцию, основанную на эффекте Допплера.
Проведение УЗИ при лимфадените занимает около 30-40 минут. По окончании ультразвуковой диагностики доктор выдает заключение, с которым необходимо обратиться к лечащему врачу для сопоставления полученной УЗ-картины с результатами дополнительных обследований (цитологических, иммуногистохимических и пр.).
Что показывает УЗИ лимфоузлов
При расшифровке эхограмм специалист оценивает:
- форму (преимущественно округлая или овальная);
- размер по длинной оси (анатомически не более 1,5 см);
- контуры лимфоузлов.
Важным критерием нормы является наличие визуальной дифференциации обсуждаемых анатомических образований на кору и ворота.

Аденопатия инфекционного генеза на сонограммах характеризуется следующими изменениями в строении ЛУ:
- нечеткостью границ;
- увеличением в диаметре - в среднем до 2-4 см;
- неоднородностью структуры;
- нарушением целостности капсулы - показатель прорыва воспалительной жидкости в соседние ткани.
Осложнения при заболеваниях ЛОР-органов влияют на особенности УЗ-визуализации лимфоузлов шеи - последние на экране ультразвукового сканера могут выглядеть как анэхогенные жидкостные образования либо как участки низкой и высокой эхогенности, чередующиеся друг с другом. Указанные изменения на снимках характерны для гнойного расплавления и формирования аденофлегмоны.
Изменения лимфоузлов на УЗИ при злокачественных новообразованиях
В ходе УЗИ ЛУ можно заподозрить наличие у исследуемого опухоли с агрессивным течением. Выявить прорастание последней или метастазы в лимфоузлы с помощью пальпации невозможно. Благодаря неинвазивности, высокой информативности и доступности, ультразвуковое сканирование является методом скрининга как при первичной диагностике злокачественных процессов в крови, лимфе, внутренних органах, так и у больных после оперативного лечения и/или химиотерапии.

УЗИ с допплерографией у пациентов онкологического профиля показывает следующие нарушения в строении ЛУ:
- увеличение в размерах - обычно до 6-6,5 см;
- шарообразную деформацию или неправильные контуры;
- спаянность в виде конгломератов;
- отсутствие дифференциации на кору и ворота;
- неоднородность структуры с зонами повышенной и пониженной эхогенности;
- жидкостные включения и кальцинаты;
- усиленный кровоток и образование новых сосудов (ангиогенез).
Указанные изменения на снимках чаще обнаруживают при лимфоме.
С помощью ультразвуковой визуализации невозможно оценить морфологию опухоли. После получения заключения доктора УЗДГ следует посетить лечащего врача. Для определения причины увеличения лимфоузлов необходимо выполнение цитологического и гистологического анализов.
Применение УЗИ для оценки состояния поверхностных групп лимфатических узлов

Экспертный класс по доступной цене. Монокристальные датчики, полноэкранный режим отображения, эластография, 3D/4D в корпусе ноутбука. Гибкая трансформация в стационарный сканер при наличии тележки.
Введение
Одним из нерешенных вопросов клинической медицины является оценка состояния различных групп лимфатических узлов. Это относится как к лимфатическим узлам, расположенным в брюшной полости и забрюшинном пространстве, так и группам лимфатических узлов, имеющих поверхностное расположение и доступных пальпаторной оценке. Согласно данным Gritcman, при выявлении метастазов в лимфатические узлы шеи показатели чувствительности, специфичности и точности метода пальпации составляют 69, 87 и 80%. При УЗИ эти показатели состаляют 92, 84 и 89% соответственно [1]. Для сравнения - чувствительность КТ в диагностике метастатического поражения шейных лимфатических узлов составляет 75-85%, МРТ - 84-85% 4. Улучшить диагностические возможности эхографии позволило сочетание ее с тонкоигольной биопсией. При этом показатели чувствительности составили 96%, специфичности 94% и точности - 88% [5]. Данная работа посвящена проблеме диагностики доброкачественных аденопатий шеи - зоны цервикальных (глубоких яремных, югулярных) лимфатических узлов.
Лимфатические узлы представляют собой коллекторные органы, которые принимают участие в процессах обеззараживания организма и расположены в местах слияния нескольких лимфатических сосудов. Лимфатические узлы претерпевают структурные изменения на протяжении всей жизни человека. С момента рождения и до 12 лет лимфатические узлы находятся в стадии своего формирования. Затем наступает длительный период функциональной активности, который в старости заканчивается инволюцией лимфатического узла. При активизации лимфатического узла на фоне воспаления либо за счет других процессов происходит перестройка его внутренней структуры, увеличение размеров, при этом лимфатические узлы становятся пальпируемыми. Данное состояние лимфатических узлов клинически трактуется как аденопатия (лимфадениты). Доброкачественные аденопатий могут сопровождаться повышенной выработкой нормальных лимфоцитов, усилением васкуляризации, отеком либо замещением структур лимфатического узла на соединительную или жировую ткань [6].
Для того чтобы правильно определить тактику лечения больных с аденопатиями необходимо знать природу процесса - доброкачественная или злокачественная. При этом необходимо знать варианты эхографического изображения различных доброкачественных изменений лимфатических узлов.
Материалы и методы
Для изучения эхографической картины доброкачественных процессов в лимфатических узлах нами обследовано 326 пациентов с клинически определяемыми аденопатиями (в возрасте от 18 до 36 лет). Из них были выделена группа в 100 человек с доброкачественными изменениями в лимфатических узлах (в группу оценки умышленно не включались доброкачественные аденопатии при туберкулезном поражении и другой специфической инфекции лимфатических узлов).
После пальпаторного выявления измененных лимфатических узлов их дальнейший анализ осуществлялся на основании данных ультразвукового и морфологического (цитологического и гистологического) заключения. Пальпаторную оценку проводил врач-онколог. Морфологическое заключение было получено на основании цитодиагностики после тонкоигольной биопсии (45 случаев). У остальных пациентов подтверждение доброкачественности процесса было клиническим (динамическое наблюдение сроком 1-3 месяца).
Ультразвуковое исследование проводили на различных ультразвуковых аппаратах среднего и высокого класса. Эхографическое заключение давал специально обученный диагност.
За основу УЗ оценки были приняты следующие критерии:
- форма лимфатического узла (овальная, шаровидная, неправильная);
- дифференциация области ворот лимфатического узла (есть/нет изображение);
- состояние коры лимфатического узла (кортикальный слой узкий/широкий гипоэхогенный);
- общая эхогенность лимфатического узла (повышенная, средняя, низкая);
- дифференциация составных частей лимфатического узла (есть/нет);
- соотношение поперечного и переднезаднего диаметров лимфатического узла (более 1, менее 1, равно 1) (J.N. Bruneton 1995) [7].
Из группы лиц с доброкачественной аденопатией визуализировано 217 лимфатических узлов. При этом как правило выявлялось более двух лимфатических узлов на одной из сторон шеи.
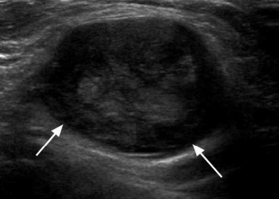
Практически во всех случаях дифференцировали лимфатический узел Кютнера (югулодигастральный), расположенный на границе средней и верхней трети шеи. Выявляемые лимфатические узлы имели размеры от 0,5 х 0,2 см до 2,3 х 0,8 см. УЗ-оценку производили после полипозиционного осмотра и нахождения самой длинной горизонтальной оси, что и принимали за максимальный поперечный диаметр. Большая часть лимфатических узлов (187) имели овальную форму с соотношением поперечного/переднезаднего более 1 (рис. 1 - 3). Тенденцию к округлению имели 30 лимфатических узлов, соотношение поперечного/переднезаднего приближалось к 1.


Рис. 1. УЗ-томограмма увеличенного реактивно измененного лимфатического узла: а - на фоне аденовирусной инфекции, б - после проведения противовоспалительного лечения

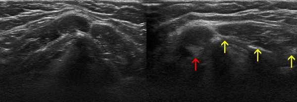
Рис. 2. Эхографическое изображение непальпируемого югулярного лимфатического узла на фоне остаточных явлений после перенесенного фарингита.

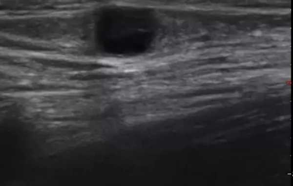
Рис. 3. Эхографическое изображение непальпируемого югулярного лимфатического узла без четкой клинической симптоматики воспалительного процесса в области головы и шеи.
Мы установили, что, как правило, более округлая конфигурация лимфатического узла при его размерах, превышавших 10 мм, сопровождалась небольшими болевыми ощущениями, и более выраженной простудной (воспалительного характера) симптоматикой. Лимфатические узлы менее 10 мм чаще всего плохо пальпировались, либо вообще не выявлялись пальпаторно. Во всех случаях эхографически хорошо дифференцировался гипоэхогенный кортикальный слой и широкое, средней или чуть ниже средней эхогенности изображение области ворот лимфатических узлов. Четкость дифференциации составных частей лимфатического узла была снижена при размерах менее 5 мм. Мы отмечали различную толщину гипоэхогенного изображения области коры лимфатического узла: от очень широкой - при выраженности или прогрессировании воспалительного процесса, до узкой - на фоне положительной динамики.
В группе доброкачественных аденопатий во всех случаях при УЗ-контроле через 1 месяц выявлявшиеся ранее лимфатические узлы не дифференцировались. При этом у 20 человек с выявленной аденопатией не было симптоматики простудных заболеваний, у 70 человек с доброкачественной аденопатией в момент обследования были установлены небольшие простудные явления (35 человек с ощущением першения в горле, 17 с небольшим насморком, у 18 человек остаточные явления перенесенного ранее острого респираторного заболевания). Большинство пациентов не проводили никакого специального противовоспалительного лечения, в то же время 16 человек принимали различные антибиотики широкого спектра действия. Независимо от проведения либо отсутствия, какой либо терапии лимфатические узлы переставали дифференцироваться при УЗИ в течение 5-7 дней с момента начала наблюдения. При этом нами отмечено, что на фоне медикаментозной терапии лимфатические узлы становились невидимыми при эхографии раньше (на 3-5 день с момента начала лечения).
Особую группу доброкачественных аденопатий составили 10 пациентов с воспалением легких, протекавшем на фоне ВИЧ инфекции.
Мы выявили совершенно другую УЗ-картину состояния пальпируемых лимфатических узлов при динамической оценке у больных с синдромом иммунодефицита. Оцениваемые лимфатические узлы имели эхографические признаки доброкачественного процесса, в большинстве наблюдений их размеры превышали 2-2,5 см. При этом во всех случаях дифференцировались составные части лимфатического узла. Определялся узкий кортикальный слой и широкая гиперэхогенная сердцевина при сохранении овальной конфигурации и соотношении поперечного/переднезаднего более 1.
При повторных УЗ осмотрах на фоне массированной противовоспатительной терапии было отмечено увеличение числа лимфатических узлов вовлеченных в процесс активизации. При этом заметной перестройки эхоструктуры и уменьшения размеров в наблюдаемых лимфатических узлах отмечено не было (рис 4).


Рис. 4. Варианты изображения увеличенного лимфатического узла с УЗ-признаками доброкачественной аденопатии у больного с синдромом иммунодефицита.
Таким образом, на основании полученных данных можно сделать следующие выводы:
- в ответ на воспалительные (микробной или вирусной этиологии) процессы лимфатические узлы отвечают изменением эхоструктуры в виде улучшения четкости дифференциации лимфатических узлов на фоне окружающих тканей. При этом отмечается увеличение толщины гипоэхогенного изображения коры лимфатического узла. Гиперэхогенное изображение области ворот сужено. Процесс выздоровления (возвращение лимфатического узла в состояние покоя на фоне медикаментозной терапии или за счет собственных защитных сил) характеризуется сначала уменьшением толщины корковой части и общих размеров лимфатического узла, а затем практически полным отсутствием его дифференциации с окружающими тканями;
- у больных с воспалительными процессами на фоне синдрома иммунодефицита не было отмечено УЗ признаков активизации коры, что в контрольной группе проявлялось увеличением толщины области ворот и тенденцией к округлой конфигурации. При динамическом наблюдении УЗ-картина свидетельствовала о вовлечении в процесс все новых лимфатических узлов. "Старые" же лимфатические узлы на фоне проводимой терапии не имели УЗ признаков положительной динамики.
Следовательно, эхография позволяет не только выявлять доброкачественные изменения лимфатических узлов, но и оценивать положительную или отрицательную динамику изменения эхоструктуры лимфатического узла в ответ на медикаментозную терапию или собственную сопротивляемость организма.
Литература
- Greetzman W., Chembirek H., Hajek P. et al. Sonographische hals anatomie und betendung beim lymphkoten staging von Koph-Hals-Malignomen. Stuttgart; N.Y.; S.G. Thieme Verlag. 1987. p.146.
- Feinmesser R., Freedman I.L., Noyek A.M., et al. Metastatic neck disease: a clinical radiographic patologic correlative study. Arch. Otolaryngol.Head Neck Surg. 113:1307-1310, 1987.
- Stem W.B.R, Silver C.E., Zeifen B.A. et al. Computed tomography of the clinically negative neck. Head Neck 12:109-113, 1990.
- Van den Brekel M.W.M., Casteliging I.A., Croll G.A. et al. Magnetic resonance imaging US. Palpation of cervical lymph node metastasis. Arch. Otolaryngol.Head Neck Surg. 117:666-673, 1991
- Takashima Sh., Sone S., Nomura W. et al. Nonpalpable lymphatic nodes of the neck: assessment with US and US-guided fine-needle aspiration biopsy. J. of clinical ultrasound V.25.N6, July/August 1997.
- Заболотская Н.В. Ультразвуковая томография при заболеваниях лимфатической системы/Ультразвуковая диагностика в акушерстве, гинекологии и педиатрии. - 1993. - N2. С.133-142.
- Brunetone L., Rubaltelli., Solbiati L. Lunph nodes. In:Ultrasound of superficial structures. Ed by Solbiati L., Rizzetto G. p.279-303.
УЗИ аппарат HM70A
Читайте также:
