Анатомия орбиты на компьютерной томограмме в норме
Добавил пользователь Евгений Кузнецов Обновлено: 13.12.2025
1. Свод головного мозга - тело (Corpus fornicis) 2. Свод мозолистого тела (Truncus corporis callosi) 3. Перикаллозная артерия (A. pericallosa) 4. Большая мозговая вена (V. magna cerebri) 5. Внутренняя мозговая вена (V. cerebri interna) 6. Валик мозолистого тела (Splenium corporis callosi) 7. Сосудистое сплетение (Plexus choroideus) 8. Базальная вена (V. basalis) 9. Межталамическое сращение (Adhesio interthalamica) 10. Цистерна большой мозговой вены 11. Колено мозолистого тела (Genu corporis callosi) 12. Мозжечковые вены (Vv. cerebellares) 13. III желудочек (Ventriculus tertius) 14. Прямой синус (Sinus rectus) 15. Передняя спайка (Commissura anterior) 16. Шишковидное тело (Corpus pineale) 17. Паратерминальная извилина (Gyrus paraterminalis) 18. Задняя спайка (Commissura posterior) 19. Концевая пластинка (Lamina terminalis) 20. Полушария мозжечка - передняя доля (Hemispheria cerebelli) 21. Сосцевидное тело (Corpus mamillare) 22. Пластинка четверохолмия - верхние холмики (Colliculi superiores) 23. Передняя мозговая артерия (A. cerebri anterior) 24. Пластинка четверохолмия - нижние холмики (Colliculi inferiores) 25. Зрительный нерв II (N. opticus) 26. Водопровод мозга (Aqueductus cerebri) 27. Мембрана Лилиеквиста (Liliequist) 28. IV желудочек (Ventriculus quartus) 29. Воронка (Infundibulum) 30. Полушария мозжечка - задняя доля (Hemispheria cerebelli) 31. Спинка седла (Dorsum sellae) 32. Средний мозг (Mesencephalon) 33. Передняя доля гипофиза - аденогипофиз (Adenohypophysis) 34. Базилярная артерия (A. basilaris) 35. Задняя доля гипофиза - нейрогипофиз (Neurohypophysis) 36. Мост (Pons) 37. Клиновидная пазуха носа (Sinus sphenoidalis) 38. Продолговатый мозг (Medulla oblongata) 39. Скат черепа (Clivus)
Анатомия орбиты в свете КТ
Уточнение нормальных анатомических показателей костной орбиты и ее содержимого в норме остается крайне актуальным и до настоящего времени. Обусловлено это с одной стороны изменением в последние годы технической базы, т.е. появлением качественно новых компьютерных томографов, способствующих повышению информативности метода, разработкой различных методик обработки томограмм, позволяющих решать многие диагностические задачи 2.
Между тем орбита отличается чрезвычайной насыщенностью важнейшими структурами органа зрения и, соответственно, может поражаться большой группой разнообразных по своему гистогенезу заболеваний, имеющих достаточно схожую клиническую картину. Все это придает особую значимость знаниям нормальной анатомии орбиты, без которых проведение уточненной диагностики патологических процессов в данной области является крайне затруднительным.
Принимая во внимание важность данного вопроса, мы посчитали целесообразным изучить характеристики костной орбиты и ее вершины в норме.
Материалы и методы обследования
С целью изучения нормальных показателей костной орбиты, ее вершины изучены компьютерные томограммы 210 человек (266 орбит). У 56 пациентов с отсутствием орбитальной патологии были изучены обе орбиты (112 орбит). У 154 пациентов с односторонним поражением орбиты для определения показателей нормы была исследована интактная орбита (154 орбиты). Среди них 86 мужчин и 124 женщины. Средний возраст обследованных составил 41,2±10,4 лет.
Компьютерную томографию выполняли по стандартной методике с получением аксиальных и фронтальных срезов. Толщина срезов составляла 1,0 мм, шаг — 1,0 мм.
Обработку полученных данных осуществляли на рабочей станции компьютерного томографа с использованием программы Syngo Via фирмы Siemens и на персональном компьютере с использованием программы 3D-DOCTOR.
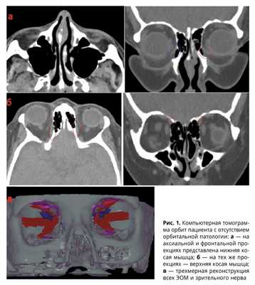
Линейные размеры горизонтального входа в орбиту определяли на аксиальных срезах КТ (уровень нейроокулярного среза) от гребня слезной кости до внутренней пластинки наружной стенки на уровне орбитального края. Длину орбиты рассчитывали путем проведения перпендикуляра от линии поперечного входа до внутреннего кольца канала зрительного нерва (рис. 1). Размер вертикального входа определяли на трехмерном блоке костной орбиты построенном программой в полуавтоматическом режиме. Для этого во фронтальной проекции реконструированного блока посредине каждой орбиты измеряли расстояние от верхнего до нижнего орбитального края (рис. 2).
Знания нормальной анатомии костной орбиты и ее мягкотканного содержимого значительно расширяют представления клиницистов о топографических взаимоотношениях орбитальных структур, они могут быть полезными для понимания патогенеза патологических процессов, протекающих в этой области, а также быть использованы для проведения дифференциальной диагностики заболеваний орбиты и планирования лечения пациентов.
Прижизненное изучение мягких тканей орбиты с помощью КТ и МРТ продолжается уже более 25 лет [1]. Нельзя не отметить, что одним структурам в литературе уделено большее внимание (ЭОМ, зрительный нерв, орбитальная клетчатка), другим посвящено меньшее количество работ (слезная железа, сосуды орбиты) 6. И тем не менее, несмотря на достаточно длительный период изучения нормальных орбитальных структур в специализированной литературе, до сих пор нет единого взгляда на этот счет. Так, при изучении объема экстраокулярных мышц (ЭОМ) G. Forbes с соавт. отмечают, что верхние пределы для ЭОМ в норме составляют 6,5 см 3 [1]. По мнению других авторов, объем ЭОМ у мужчин равен в среднем 2,31 см3, у женщин — 1,19 см 3 [10]. Интересной представляется работа S. Tian с соавт., установивших, что объем мышц горизонтального действия меньше по сравнению с мышцами вертикального действия [9].
Нет и единого взгляда и на объем орбитальной клетчатки. В норме, по данным литературы, объем клетчатки колеблется от 17,21 см 3 у мужчин и 15,63 см 3 у женщин [10] до 20,0 см 3 без достоверных различий по половому признаку [1].
Отдельно следует отметить трудности изучения тканей в вершине орбиты. Это обусловлено как сложностью строения и топографического выделения самой вершины, так и определением объема орбитальных тканей в ней [11, 12]. Между тем именно поражение этой зоны вызывает ряд тяжелых состояний приводящих к потере зрения и во многих случаях к инвалидизации больных 14.
Принимая во внимание важность данного вопроса, мы посчитали целесообразным изучить характеристики мягких тканей орбиты в норме.
Нормальные показатели мягких тканей орбиты были изучены по компьютерным томограммам у 210 человек (266 орбит).
У 56 пациентов с отсутствием орбитальной патологии были изучены обе орбиты (112 орбит). У 154 пациентов с односторонним поражением орбиты для определения показателей нормы была исследована интактная орбита (154 орбиты). Среди них 86 мужчин и 124 женщины. Средний возраст обследованных составил 41,2±10,4 лет.
Обработку полученных данных осуществляли по методикам, ранее описанным в литературе и части № 1 [7, 10, 12].
Результаты и обсуждения
Мы установили, что мышечная воронка у мужчин примерно на 0,9 см 3 больше, чем у женщин и составляет в среднем 9,96±0,24 см 3 и 9,03±0,14 см3 соответственно (табл. 1). Как следует из табл. 1, на объем клетчатки внутреннего хирургического пространства приходится 42,0% от ее общего объема у мужчин и 43,87% — у женщин. При вычислении общего объема ЭОМ было установлено, что их объем у мужчин равен в среднем 2,36±0,03 см 3 (показатели варьируют от 1,24 до 3,67 см 3 ), у женщин объем ЭОМ примерно на 0,3 см 3 меньше и составляет 2,02±0,02 см 3 (при колебаниях от 1,11 до 3,22 см 3 ) (табл. 1).

При расчете объема ЭОМ глаза и леватора верхнего века по отдельности (исключение составила нижняя косая мышца — ее объем вычисляли вместе с нижней прямой) оказалось, что наименьший объем имеют наружная и верхняя прямые мышцы. Наиболее крупными мышцами орбиты являются нижняя и внутренняя прямые, а также леватор верхнего века (рис. 1, табл. 2). Возможно, данным обстоятельством можно объяснить более частое первоначальное выявление изменений в нижней и внутренней прямых мышцах при некоторых заболеваниях орбиты (например — эндокринная офтальмопатия). Есть основание предположить, что при равных условиях увеличение первоначального объема ЭОМ на определенную величину приводит к более значительному увеличению и соответственно лучшей визуализации изначально больших по объему мышц.


Как представлено в табл. 1, разница в показателях средних объемов зрительного нерва у мужчин и у женщин в норме статистически достоверна, в отличие от значений объема слезной железы (0,242±0,031 и 0,242±0,031 соответственно). Объем глаза в норме также имеет достоверные отличия между мужчинами и женщинами, но следует обратить внимание, что практически 2/3 глаза в норме и у мужчин, и у женщин находится внутри орбиты (табл. 1).
При сравнении объемов мягкотканого содержимого правой и левой орбит статистически достоверных различий ни по одному показателю, ни у мужчин, ни и у женщин выявлено не было (табл. 3).

При исследовании плотности ЭОМ установлено, что в норме их плотность колеблется от 29,17±1,07 до 59,26±1,01 ед.H. и составляет в среднем 44,23±0,97 ед.H. (табл. 4).

Интервал колебания плотности ЭОМ незначителен (в среднем 30,04±0,99 ед.H.).
При изучении плотности отдельных ЭОМ нами были выявлены некоторые отличия. Так, наибольшую плотность имели нижняя и внутренняя прямые мышцы, а также леватор верхнего века, что, по нашему мнению, может быть объяснимо большим объемом этих мышц. При этом статистических различий в показателях плотности ЭОМ у мужчин и у женщин выявлено не было (табл. 5).

Показатели объема мягкотканого содержимого правой и левой орбит в норме.
Плотность зрительного нерва не имела достоверных различий по всей длине, однако отмечена тенденция к более низкой средней плотности и большему интервалу колебания в передней его части по сравнению с задней. Слезная железа, по сравнению с описанными выше нормальными орбитальными структурами, имеет наименьшую среднюю плотность и наибольший интервал колебания плотности, что можно объяснить неоднородностью ее строения (железистая и соединительная ткань) (табл. 4).
Для орбитальной клетчатки оказалась характерной низкая средняя плотность (-82,7±0,54 ед.H.) и наиболее значительное расширение интервала колебания среди всех исследуемых структур (в среднем 47,0±0,4 ед.H.) (табл. 4). Данные показатели можно объяснить наличием множества мелких соединительнотканных структур в орбите, а также изначально низкой плотностью жировой клетчатки. Стекловидное тело представляется достаточно однородной структуры (средний интервал колебания плотности 10,1±0,4 ед.Н.). Плотность стекловидного тела была выше орбитальной клетчатки, однако значительно уступала остальным мягкотканным структурам орбиты (табл. 4).
Как было отмечено выше, разницы в средних показателях объема орбитальной клетчатки выявлено не было (табл. 3), но при этом было установлено наличие у 47,61% мужчин и у 51,42% женщин индивидуальной асимметрии, которая не превышали 2,0 см3 (табл. 6).

Клетчатка внутреннего хирургического пространства в вершине орбиты у мужчин примерно на 0,6 см3 больше, чем у женщин и равна 41,16% и 35,74% соответственно от ее общего объема. При этом необходимо особенно отметить, что на объем клетчатки внутреннего хирургического пространства в вершине орбиты приходится 75,35% от ее общего объема в вершине орбиты у мужчин и 73,83 % — у женщин, что значительно больше по сравнению с орбитой в целом и подчеркивает особенности анатомо-топографических взаимоотношений в вершине орбиты [5].
Несмотря на то что объем мышечной воронки в вершине орбиты у мужчин почти на 0,6 см3 больше, чем у женщин, данное различие оказалось статистически недостоверным, что возможно требует дальнейшего изучения на более значительном клиническом материале (табл. 7).

Как видно из табл. 8 объем ЭОМ и зрительного нерва у мужчин и у женщин в вершине орбиты в норме не имели статистически значимых отличий.
При сравнении объемов мягкотканного содержимого правой и левой вершины орбиты также ни по одному показателю ни у мужчин, ни и у женщин выявлено не было (табл. 8).

Заключение
Таким образом, можно сделать следующие выводы:
- объем ЭОМ в норме равен у мужчин в среднем 2,36±0,053 см 3 , у женщин — 2,03±0,04 см 3 ;
- объем орбитальной клетчатки в норме составляет 17,07±0,35 у мужчин и 15,11± 0,2 — у женщин;
- показатели объема мягких тканей орбиты в норме у мужчин и у женщин имеют статистически значимые отличия;
- клетчатка внутреннего хирургического пространства в вершине орбиты составляет 75,35% от ее общего объема в вершине у мужчин и 73,83% — у женщин;
- асимметрия средних объемов мягких тканей орбиты в норме имеет место только в пределах статистической погрешности;
- индивидуальная асимметрия объема орбитальной клетчатки в норме встречается у 47,61% мужчин и у 51,42% женщин и колеблется в пределах 0,5-2,0 см3.
КТ сегменты — схема
Сегмент S1 (апикальный или верхушечный) правого лёгкого. Относится к верхней доле правого лёгкого. Топографически проецируется на грудную клетку по передней поверхности 2 ребра, через верхушку лёгкого до ости лопаточной кости.
Сегмент S2 (задний) правого лёгкого. Относится к верхней доле правого лёгкого. Топографически проецируется на грудную клетку по задней поверхности паравертебрально от верхнего края лопатки до её середины.
Сегмент S3 (передний) правого лёгкого. Относится к верхней доле правого лёгкого. Топографически проецируется на грудную клетку спереди от 2 до 4 рёбер.
Сегмент S4 (латеральный) правого лёгкого. Относится к средней доле правого лёгкого. Топографически проецируется на грудную клетку в передней подмышечной области между 4 и 6 рёбрами.
Сегмент S5 (медиальный) правого лёгкого. Относится к средней доле правого лёгкого. Топографически проецируется на грудную клетку жду 4 и 6 рёбрами ближе к грудине.
Сегмент S6 (верхний базальный) правого лёгкого. Относится к нижней доле правого лёгкого. Топографически проецируется на грудную клетку в паравертебральной области от середины лопатки до её нижнего угла.
Сегмент S7 правого лёгкого. Топографически локализуется с внутренней поверхности правого легкого, располагается ниже корня правого лёгкого. Проецируется на грудную клетку от 6 ребра до диафрагмы между грудинной и срединноключичной линиями.
Сегмент S8 (передний базальный) правого лёгкого. Относится к нижней доле правого лёгкого. Топографически отграничен спереди главной междолевой бороздой, снизу диафрагмой, сзади — задней подмышечной линией.
Сегмент S9 (латеральный базальный) правого лёгкого. Относится к нижней доле правого лёгкого. Топографически проецируется на грудную клетку между лопаточной и задней подмышечной линиями от середины лопаточной кости до диафрагмы.
Сегмент S10 (задний базальный) правого лёгкого. Относится к нижней доле правого лёгкого. Топографически проецируется на грудную клетку от нижнего угла лопатки до диафрагмы, по бокам отграничен околопозвоночной и лопаточной линиями.
Сегменты левого легкого
Сегмент S1+2 (верхушечно-задний) левого лёгкого. Представляет комбинацию из С1 и С2 сегментов, что обусловлено наличием общего бронха. Относится к верхней доле левого лёгкого. Топографически проецируется на грудную клетку по передней поверхности от 2 ребра и вверх, через верхушку до середины лопаточной кости.
Сегмент S3 (передний) левого лёгкого. Относится к верхней доле левого лёгкого. Топографически проецируется на грудную клетку спереди от 2 до 4 ребра.Сегмент S4 (верхний язычковый) левого лёгкого. Относится к верхней доле левого лёгкого. Топографически проецируется на грудную клетку по передней поверхности от 4 до 5 ребра.Сегмент S5 (нижний язычковый) левого лёгкого. Относится к верхней доле левого лёгкого. Топографически проецируется на грудную клетку по передней поверхности от 5 ребра до диафрагмы.
Сегмент S6 (верхний базальный) левого лёгкого. Относится к нижней доле левого лёгкого. Топографически проецируется на грудную клетку в паравертебральной области от середины лопатки до её нижнего угла.
Сегмент S8 (передний базальный) левого лёгкого. Относится к нижней доле левого лёгкого. Топографически отграничен спереди главной междолевой бороздой, снизу диафрагмой, сзади — задней подмышечной линией.
Сегмент S9 (латеральный базальный) левого лёгкого. Относится к нижней доле левого лёгкого. Топографически проецируется на грудную клетку между лопаточной и задней подмышечной линиями от середины лопаточной кости до диафрагмы.
Сегмент S10 (задний базальный) левого лёгкого. Относится к нижней доле левого лёгкого. Топографически проецируется на грудную клетку от нижнего угла лопатки до диафрагмы, по бокам отграничен околопозвоночной и лопаточной линиями.
КТ глазных орбит и зрительных нервов: что показывает, расшифровка

Компьютерная томография глазных орбит и зрительных нервов - это один из передовых методов исследования органа зрения посредством его послойной визуализации. Основана КТ на рентгеновских лучах. Глаз - очень сложный орган при диагностировании его заболеваний, предполагающий детальное исследование, для которого сегодня применяется томографическое сканирование. Не так давно КТ орбит назначалась лишь в исключительных случаях, сегодня же эффективность данного метода диагностики доказана многолетним опытом медиков всего мира.
Что показывает КТ глазных орбит?
КТ орбит - это один из лучших способов детально рассмотреть и оценить состояние основных органов глаза, сетчатки глаз и слезных желез. Кроме того, с применением КТ орбит во всех подробностях просматриваются костные структуры и глазодвигательная мускулатура. Методом диагностики КТ орбит выявляются невриты и атрофия зрительных нервов, аневризмы, тромбозы и другие патологии. Это незаменимый метод диагностики при воспалительных процессах и инфекциях глаз, а также при отслоении сетчатки. Главное преимущество КТ орбит перед другими способами диагностики - высокая чувствительность и способность выявить злокачественные и любые другие опухоли в интересующем органе на ранних стадиях.
Когда назначается КТ глазных орбит и зрительных нервов?
КТ глазных орбит и зрительных нервов назначается при травмах орбит или глазниц, в том числе вследствие попадания в глазное яблоко посторонних предметов. Кроме того, КТ - это эффективный метод диагностики при смещении глаза от экзофтальмы, а также при воспалительных заболеваниях глаз и слезных желез. Безусловным показанием к КТ орбит является болевой синдром в области глаз, а также резкое снижение зрения без видимых причин. Компьютерная томография глазных орбит и зрительных нервов зарекомендовала себя как один из самых эффективных методов диагностики при доброкачественных и злокачественных опухолях глазниц. В отличие от МРТ, при КТ лучше просматриваются костные и слоистые структуры орбит, обеспечивается детальный обзор зрительных нервов.
Подготовка к КТ глазных орбит с контрастом

Компьютерная томография орбит сама по себе не требует подготовки. Достаточно оставить за пределами томографа все металлические предметы, а также заблаговременно поставить врача в известность о металлических протезах и устройствах в теле, если такие имеются (например, инсулиновые помпы и электрокардиостимуляторы). Однако КТ глазных орбит и зрительных нервов в ряде случаев проводится с контрастом. Это вещество, которое вводится внутривенно и окрашивает внутренние органы, делая их видимыми для томографической установки. В день, когда предполагается сделать КТ глазных орбит и зрительных нервов с контрастом, рекомендуется отказаться от приема пищи. Перед процедурой пациенту вводят контраст, а через пятнадцать минут можно переходить к диагностике.
Как проходит процедура КТ глазных орбит?
Для процедуры необходимо обратиться в специализированный кабинет диагностики. Чтобы сделать КТ орбит, потребуется лечь на стол, который затем помещают под сканирующую установку. При необходимости пациенту надевают защитную свинцовую накидку, благодаря чему облучению подвергается лишь интересующий орган. На протяжении сканирования нельзя двигаться, это может исказить показания томографа. Что показала компьютерная томография глазных орбит, становится известно в течение часа после процедуры.
Безопасно ли делать КТ глазных орбит?
Большинство пациентов беспокоит тот факт, что исследование происходит методом рентгеновского облучения. Однако лучевая нагрузка при КТ глазных орбит и зрительных нервов ничтожно мала и навредить организму человека не может. Препятствием может стать аллергия на контрастирующее вещество и общее тяжелое состояние пациента. КТ глазных орбит и зрительных нервов нельзя делать детям до 14 лет и беременным женщинам. А пациентам с массой тела более 150 кг придется поискать диагностический центр с томографом подходящих габаритов.
КТ глазных орбит беременным
КТ орбит вредно при беременности, на любом сроке. Даже малая доза радиации может привести к аномалиям плода. Кроме того, КТ глазных орбит и зрительных нервов с контрастированием противопоказана при грудном вскармливании, его придется прекратить сразу после процедуры до выведения из организма контраста.
Расшифровка результатов
Расшифровка результатов КТ глазных орбит и зрительных нервов по времени занимает не более получаса. Перед врачом рентгенологом лежат послойные снимки, по которым он легко выявляет участки с патологиями, а также характер и степень поражения. Полученные в результате КТ орбит сведения врач фиксирует в заключении. В нем подробно описывается, что показывает КТ глазных орбит. В диагностическом кабинете пациент получает подробный отчет о послойных снимках глазных орбит и зрительных нервов, а также список выявленных аномалий. Окончательный же диагноз будет поставлен лечащим врачом.
Читайте также:
- УЗИ при изменениях эндометрия
- МРТ особенности и варианты анатомии менисков коленного сустава
- Скрининг молочных желез: как проводится? Обычное скрининговое исследование молочных желез
- Показания к шинированию зубов несъемными конструкциями. Особенности
- Сочетание отдельных компонентов психотерапии в лечебном процессе
