Показания к шинированию зубов несъемными конструкциями. Особенности
Добавил пользователь Евгений Кузнецов Обновлено: 21.01.2026
Молочные зубы являются временными и заменяются постоянными зубами. Но их присутствие на период развития постоянных зубов очень важно для правильного формирования зубочелюстной системы и челюстно-лицевого скелета, а также выполнения ряда функций. Так же как и взрослые, молочные зубы подвергаются стоматологическим патологиям, способным привести к различным осложнениям, одно из которых расшатывание зубов. Чтобы сохранить молочные зубы и предупредить их преждевременное выпадение, либо удаление, стоматологи проводят шинирование зубов.
Что означает «шинирование» и показания к нему
В стоматологии шинированием зубов называется терапевтическая процедура, проводимая с целью фиксации подвижных зубов. В ходе процедуры два или более зуба объединяют в одну структуру и соединяют со здоровыми зубами с помощью балки, роль которой и выполняет специальная ортопедическая шина. Такая методика обеспечивает сохранение положения зубов и их полноценное функционирование, в том числе и при жевательных нагрузках.
Распространенные показания к проведению шинирования зубов у детей:
значительное увеличение десневых карманов;
сильный прикорневой кариес;
множественный зубной камень в области шейки зуба.
Помимо основных показаний, шинирование может применяться после завершения лечения сложных врожденных патологий или серьезных травм, а также в ретенционный период после коррекции прикуса.
Противопоказания
Шинирование детских зубов используется достаточно давно, но сегодня эта манипуляция значительно усовершенствована и является безопасно, но только при условии отсутствия факторов риска.
Не рекомендуется устанавливать шины на зубы при противопоказаниях:
большое скопление отложений на зубной эмали;
аллергия на используемые материалы;
острый пародонтит при кровоточивости десен;
подвижность большого количества зубов;
активные воспалительные или инфекционные патологии полости рта;
обширное поражение зубов и десен;
общее нестабильное состояние;
признаки системного воспаления или инфекции.
Для исключения противопоказаний предварительно рекомендуется общая диагностика и проводится санация полости рта. При заболеваниях, поддающихся лечению, шинирование проводят после их устранения.
Классификация стоматологических шин
Процедура шинирования выполняется всегда только с индивидуальным подходом. Квалифицированный специалист учитывает все особенности состояния организма, анатомического строения челюсти, прикуса, возраста ребенка и показаний к лечению и определяет подходящую модель шин.
Классификация по продолжительности терапии:
Временные. Устанавливают не более чем на 3 месяца при подготовке к ортодонтическому или хирургическому лечению.
Долговременные. Носятся не более 1 года в период комплексной терапии при патологиях пародонта.
Постоянные. Используются в сложных клинических случаях и устанавливаются на продолжительное время (более 1 года.
Временные и долговременные шины бывают только съемного типа, а постоянные детские конструкции бывают и несъемного типа. При необходимости сохранения расшатанных зубов и высоких рисках их выпадения устанавливают несъемную шину, если есть показания к укреплению или предупреждению смещения зубов, фиксируют съемную конструкцию.
Методы шинирования
Современная детская стоматология проводит лечение, ставя задачей не только результат, но и комфорт маленького пациента в период лечения. Для достижения целей используются современные методики и материалы. При проведении шинирования детям в большинстве случаев используют винты, стекловолокно или бюгель.
Методы установки шин на зубы.
Винтовое. Стоматолог использует специальный материал в виде нитей, который выполнен из арамида, характеризующегося высокой прочностью, долгим сроком службы и биосовместимостью.
Стекловолокно. В виде каркаса применяются нити из стекловолокна. Материал имеет высокую прочность, гипоаллергенен и прост в установке. Применяется чаще при установке долговременных шин.
Бюгельное. База, скрепляющая зубы, имеет вид металлической дуги. Подходит бюгельное шинирования для продолжительного лечения. Преимуществом методики считается возможность поверхностной установки дополнительного протеза.
Какой метод будет определен для лечения ребенка, решает стоматолог. Преимущественную роль играют показания и продолжительность терапии.
Как проводится шинирование
Для того, чтобы исключить врачебные ошибки, осложнения и достичь нужного результата, шинирование зубов у детей проводят по определенному алгоритму, который может иметь некоторые отличия с учетом индивидуальности клинического случая.
Первым этапом, как и при любых медицинских манипуляциях, является диагностика, включающая сбор анамнеза и аппаратные исследования.
Вторым этапом становится профессиональная чистка зубов, которая необходима для устранения любых рисков развития инфекции или воспаления. Удаление налета также является этапом терапии, поскольку первопричиной расшатывания зубов могут быть твердые отложения на зубах.
Третий этап — санация полости рта, направленная на лечение сопутствующих стоматологических заболеваний.
Четвертый этап заключается в установки самой шины. Бюгель, стекловолокно или винтовую конструкцию закрепляют с тыльной стороны зубного ряда и фиксируют.
Вся процедура проходит под анестезией. Сильных болевых ощущений ребенок не испытывает, поэтому стоматологи используют местные анестетики. Способ шинирования зависит от типа материала и конструкции, которые будут использоваться.
Многие родители задаются вопросом — зачем нужна такая мера, как установка шин на зубы, если они все равно потом выпадут? Рекомендации к проведению шинирования стоматологи объясняют необходимостью сохранения зубов, что позволит предупредить сложные последствия.
Делать детям шинирование зубов следует для исключения риска потери зубов, снижения давления на воспаленные и ослабленные десна, предупреждения деформации смещения зубного ряда и деформации зубочелюстного аппарата. Шинирование значительно повышает шансы на развитие и рост здоровых постоянных зубов.
Статьи
Шинирование зубов: показания к процедуре, виды шин и способы шинирования
Для укрепления зубных рядов с тем, чтобы не допустить их расшатывание, которое в итоге может привести к потере зубов, стоматологи применяют шинирование. Чаще всего процедуру проводят на верхних и нижних передних зубах. Шинирование требуется:
- для стабилизации шатких зубов, в случае неэффективного лечения болезней пародонта;
- с целью не допустить смещения зубов по отношению к их нормальному положению;
- для стабилизации зубов после травмы;
- для фиксации зубов после исправления дефектов брекет-системами;
В ходе лечения необходимость в процедуре шинирования может время от времен, как исчезать, так и снова появляться.

Сколько времени носят шины
Врач определяет продолжительность ношения шины пациентом и может назначить временную, долговременную или постоянную шину. Срок ношения временной конструкции составляет менее месяца. Назначают ее на начальном и основном этапе лечения. Временная шина должна быть атравматичной для зубных тканей, а при изменении потребностей процесса лечения ее быстро можно было бы модифицировать. Шина не должна препятствовать проведению манипуляций - гигиенических, терапевтических и хирургических.
Долговременную шину носят от месяца до года. Назначают ее на стадии неопределенности прогноза. Когда доктор неуверен в успехе лечения из-за сильного повреждения пародонтальных структур, но при этом нет прямых показаний к удалению зубов. В долговременной конструкции сочетаются требования к временной и постоянной шине.
Ношение постоянной шины назначается в качестве поддерживающей терапии на срок более года. Конструкция должна отличаться высокими показателями функциональности и эстетики, и при этом не мешать ежедневной гигиене. Стоить заметить, что шины разделены на временные, долговременные и постоянные, больше условно. И между ними иногда не существует четкой границы.
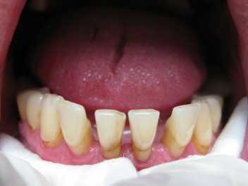
Существует также разделение шин на съемные и несъемные. По лечебным свойствам несъемные конструкции имеют больше преимуществ. Они надежно фиксируют зубы, образуя общий блок из зубных единиц, который противодействует вертикальным и горизонтальным силам, возникающим при жевании. Несъемные шины и мостовидные протезы применяются в зависимости от способа стабилизации зубов. Больше всего разработано конструкций для фронтальных зубов. Это обусловлено особенностями атрофии кости нижней челюсти и высокими эстетическими требованиями к передним зубам. Процедура с применением несъемных конструкций требует препарирования зубов, что является большим минусом данных шин. Для шинирования применяют стекловолокно, арамидную нить, а также коронки и зубные протезы.
Шинирование при заболеваниях пародонта

Главным симптомом пародонтита средней и тяжелой степени является шаткость зубов. Когда атрофия постигает костную ткань на ¼ длины корня зуба, развивается подвижность. При пародонтите оголяются шейки зубов, а рентген указывает на убыль кости. С появлением подвижности зубов, развитие атрофии еще больше ускоряется. В итоге зубы меняют свое месторасположение - расходятся, наклоняются в стороны. Для предотвращения подобного явления врач назначает процедуру шинирования. Кроме того, что шинирование стабилизирует положение зубных единиц, оно еще и способствует устранению воспаления десневой ткани.
Для профилактики пародонтита, когда болезнь только еще начинает развиваться, поражая десны и зубы, показано временное шинирование. На более поздних стадиях прибегают к постоянному шинированию, альтернативой которому могут стать временные протезы.
Шинирование показано: при обнажении корней, нарушении положения зубов, а также их шаткости, при кровоточивости десен, наличии отложений на зубах и выраженных зубодесневых карманов. Благодаря процедуре создаются условия для равномерного распределения нагрузки, и в результате пациент может снова полноценно пережевывать пищу.
Методы шинирования
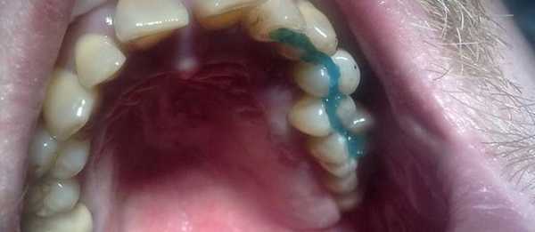
1) Стекловолокно. Это несъемный метод шинирования, к которому обращаться стали сравнительно недавно. Но на сегодня он очень популярен у пациентов, благодаря многим преимуществам. Стекловолокно в шинировании позволяет сохранить даже сильно расшатанные зубы, при этом почти не страдает их целостность.То есть, зубы не обтачивают и не депульпируют. Стекловолоконная шина не мешает гигиеническим процедурам, равномерно распределяет жевательную нагрузку между фиксированными зубами и отличается высокими эстетическими показателями.

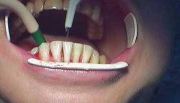
Шинирование с помощью стекловолокна осуществляется в стоматологическом кабинете за один прием. Пациенту проводят местное обезболивание. Вдоль подвижных зубов, на внутренней стороне ряда на глубину 0,5 мм, проделывается бороздка для стекловолоконной нити, которая после укладки закрывается светоотверждаемым пломбировочным материалом. Свет превращает в балку композит со стекловолоконной нитью, благодаря которой зубы сцепливаются неподвижно вместе. Ответственный пациент, внимательно ухаживающий за полостью рта и следующий абсолютно всем советам стоматолога, может рассчитывать на 3-летний срок службы стекловолоконной шины. При этом ему нужно будет раз в год приходить к своему стоматологу для полировки конструкции. Не стоит шинировать передние зубы, если отсутствуют задние. Конструкция может сломаться из-за избыточной жевательной нагрузки на шинированный зубной ряд. Поэтому перед процедурой стекловолоконного шинирования необходимо навести порядок с прикусом и запротезировать недостающие зубные единицы.
2) Вантовое шинирование. Технологически данный метод очень схожий со стекловолоконным. Только для фиксации используется арамидная нить, отличающаяся прочностью, долговечностью, совместимостью с эмалью зубов и отсутствием реакции на пищу или слюну. Процедуру проводят по такой же схеме, что и со стекловолокном. Арамидную ленту укладывают в горизонтальную бороздку и заливают световым композитом. Вантовая технология шинирования имеет те же преимущества, что и стекловолоконная, но считается более физиологичным способом фиксации.

3) Съемные протезы. Металлические кламмеры (крючки) соединяют зубы с помощью шины в единую конструкцию. Ношение съемных протезов стоматолог назначает при отсутствии одного или нескольких зубов. Конструкция заменяет потерянный зуб и одновременно выполняет функцию шинирования для предотвращения болезней пародонта.Она подбирается индивидуально с учетом количества недостающих зубов, деформации ряда, заболеваний десен, вида прикуса, уровня гигиены ротовой полости, наконец, возраста пациента и др.

4) Несъемные протезы или ортопедические коронки, как вариант шинирования применяются при шатании более 4-х зубов. Конструкция выполнена в виде дуги, что позволяет четко и максимально компактно разместиться протезу в ротовой полости. Здесь крайне важно создать такие условия, чтобы нагрузка могла равномерно распределяться по всей поверхности зубов. Процедура шинирования коронками невозможна без депульпирования и обточки, что является минусом технологии. И только после обработки зубы можно покрывать коронками, скрепленными между собой. Данный вариант обеспечивает надежность и долговечность, а при выборе керамики или металлокерамики, высокую эстетичность.
Осложнения и ошибки в шинировании зубов
Среди осложнений при лечении пародонта с использованием шин, может встречаться:
- обострение патологии;
- подвижность опорных зубных единиц;
- удаление зубов при получении оттиска;
- болезненные ощущения во время обработки зубов;
- расцементировка шин.

Патологический процесс у больных пародонтозом может наступить вскоре после установки шины. Подобное осложнение возникает при неправильном выборе конструкции шины либо, если шинирование проведено, пренебрегая строгим учетом показаний и противопоказаний к подобному ортопедическому вмешательству. Процедуру необходимо отложить, если патологические процессы часто обостряются и образуются абсцессы, а также при 3-й степени подвижности зубов во рту. Шинирование возможно только после проведения тщательного лечения пародонта и удаления подвижных зубов.
При недостаточной обработке передних зубов и недостаточно точной штамповке коронок может повыситься прикус, а зубы расшататься в переднезаднем направлении. Иногда может отмечаться подвижность зубов-антагонистов после шинирования на одной из челюстей. Это происходит по причине того, что одна группа зубов испытывает усиление механических нагрузок, а другая - ослабление. В таком случае шинируют также и зубы-антагонисты.
Чревата осложнениями кламмерная фиксация зубов. Такие протезы могут расшатывать опорные зубы и травмировать слизистую оболочку. Поэтому лучше не использовать пластиночные протезы, которые фиксируются к зубам только одними кламмерами. Более целесообразный вариант - бюгельные протезы с наличием фиксирующих приспособлений и комбинированных кламмеров, лабильно или полулабильно соединенных с дугой протеза.
У некоторых пациентов при обработке зубов возникает резкая боль, что затрудняет установку шины. При возникновении чувствительности зубы необходимо обработать анестезирующими жидкостями или пастами. При изготовлении шин/протезов во внимание берется, как коэффициент потери эффективности жевательной функции, так и степень нарушения естественного равновесия зубных рядов. Поэтому для фиксации несъемных конструкций необходимо включать сразу несколько зубов, которые окружают дефект. За счет такой фиксации шины-протеза минимизируется нагрузка на опорные зубные единицы. А также дополнительно не расшатываются зубы, не травмируются ткани и не обостряется заболевание.
Шину необходимо правильно закрепить на зубах. Важно не допустить попадание влаги во время цементировки коронок или после цементировки, иначе может произойти рассасывание цемента. Поэтому размеры коронок или колпачков должны строго соответствовать размерам зубов и прилегать плотно к их поверхностям.
Шаткие зубы можно случайно удалить при гипсовом оттиске. Во избежание этой ошибки по вертикали, а также вдоль дефекта зубного ряда, применяют соответствующие разрезы. Однако при использовании подобных разрезов четкость оттиска зубов зачастую нарушается. Поэтому желательно делать разборные отпечатки, состоящие из 2-х частей - оральной и вестибулярной. Такая технология исключает расшатывание зубов, а также случайное их удаление.

Подвижность зубов - нехороший предвестник и огромная проблема для человека. Если своевременно не заняться ее устранением, то вскоре можно и вообще лишиться всех зубов. Поэтому если во рту обнаружили излишнее «шевеление» - срочно обращайтесь к специалисту.
Материалы и виды шинирования зубов
С помощью шинирования можно существенно снизить подвижность зубов, восстановить участок пародонта и практически предотвратить ненужную потерю зубов. Шинирование зубов всегда используют при пародонтите, главным симптомом которого является подвижность зубного ряда.

Сущность шинирования
Для укрепления зубов методом шинирования проводят объединение зубов в одну блочную структуру. Соединение производится при помощи шины. От этого и такое название «шинирование».
В основном шинирование применяют для переднего зубного ряда. Данный метод не только сохраняет жевательную функцию, но и довольно эстетический.
Обычно подвижность зубного ряда возникает при атрофии костной ткани. После появления подвижности процесс разрушения зубов начинает идти в несколько раз быстрее. Если не провести шинирование, то зубы будут потеряны.
Под воздействием «силы жевания» уже подвижные зубы начинают сильно наклоняться и менять свое первоначальное положение. В результате в ротовой полости получается своеобразный веер из зубов. Чтобы остановить этот процесс применяют шинирование.
Показания и противопоказания к шинированию
- Дефекты зубов, сдвиги зубов.
- Неправильное расположение зубов.
- Восстановление зубов после брекетов.
- Поражение мягких тканей и кровоточивости десен.
- Обнаженные корни и сильно выраженные десневые карманы.
- Наличие зубных отложений, которые очень быстро накапливаются около корня зуба.
Назначить процедуру шинирования может стоматолог после осмотра и рентгена ротовой полости.
- Воспаления пародонта.
- При первичной травме пародонта.
- Жевательную поверхность зубов еще не исправляли частичным сошлифованием.
- Отсутствие качественной гигиены ротовой полости.

Съемные шины
При шинировании используют съемные и несъемные шины. Каждый вид имеет индивидуальные показания к установке и свои преимущества.
Съемные шины это специальные пластинки и капы. С их помощью получается соединить некоторое количество зубов даже при условии, что некоторые зубы отсутствуют. В результате получается восстановленный зубной ряд.
Съемный метод всегда применяется после механических повреждений, таких как сильный ушиб и перелом. В этом случае проведенное лечение зафиксирует зубной ряд в правильном положение и исключит любою смену этого положения.
Для изготовления съёмных шин всегда применяют металл или пластик.
- Удаление пульпы не требуется.
- Не надо шлифовать поверхность зубов.
Системы шинирования
- Система Эльбрехта. Она содержит кламмеры, которые устанавливаются на фронтальные зубы. Очень хорошо фиксирует весь зубной ряд. Обычно используется при подвижности первой степени и отсутствие болезней пародонта и периодонта.
- Система с цельной каппой. Это система Эльбрехта с некоторой модификацией. С ее помощью возможно фиксировать фронтальные зубы (клыки, резцы). В основе крепления лежат защитные колпачки, которые эффективно защищают зубную дугу от неравномерной, повышенной жевательной нагрузки.
- Круговая шина. Имеет две разновидности: первая — обычная, вторая - с когтевыми отростками. Эта система очень эффективна при сильно выраженной подвижности. Круговую шину не следует использовать при отклонении зубов от своей оси.
Несъемные шины
Такое шинирование применяют при повреждении десен, а также при очень большой подвижности зубов. Несъемное шинирование зубов показано в профилактических целях предотвращения пародонта.
Для проведения несъемного шинирования применяют особые несъемные материалы, которые обеспечивают очень надежную сцепку в отличие от ранее описанных шин. Обычно это коронки, бюгель, нити, стекловолокно и протезы.

Протезы довольно прочные и долговечные. Их часто используют, если в одном ряду отсутствует один или несколько элементов.
Коронки тоже относятся к надежным элементам. Для того чтобы поставить эту конструкцию в ротовую полость, сначала необходимо провести крепление здоровых зубов, депульпировать их и провести обточку под заданную необходимую форму.
Протезирование бюгелем используется в случае, когда необходимо провести изоляцию и закрепление имеющегося зубного ряда. Процедуру с названным материалом так же применяют в случаях, когда отсутствующие естественные зубы необходимо заменить на искусственные.
Шинирование нитью
Шинирование нитью назначают пациентам, если сохранены все элементы зубного ряда. Это наиболее щадящий метод. При нем не требуется обточка, депульпирование, мягкие ткани не травмируются.
- Анестезия.
- Выполнение на задней поверхности зубного ряда ровной борозды (глубина 0,5 мм).
- В сделанное углубление вставляется специальная нить.
- Проводится закрепление нити при помощи гелиокомпозита.
При выполнении шинирования нижнего ряда дополнительно проводят закрепление моляров. Для этой цели борозда высверливается на жевательной поверхности, а названная нить продевается с верхней стороны.
Шинирование зубов стекловолокном
Стекловолоконное шинирование зубов это один из самых эстетичных и надежных методов.
Стекловолокно сохраняет даже сильно расшатанные зубы. С его помощью можно легко убрать зубные промежутки.
Для проведения шинирования стекловолокном не требуется обтачивать зубы и так же удалять из них нерв. Все это дает минимальное травмирование ротовой полости.

Плюсы шинирования
К положительным моментам процедуры относятся следующие:
- Восстанавливается весь зубной ряд.
- Полностью устраняется имеющиеся подвижность зубов.
- Эффективно даже при возрастных патологиях.
- Исправляет механические повреждения.
- В случае болезней пародонта шинирование помогает полностью сохранить функциональную способность зубов.
- Процедура не дает атрофию челюстной кости.
- После установление шин, жевательная нагрузка в ротовой полости распределяется равномерно.
- С помощью шин возможно сократить большие промежутки между зубами.
- Процедура позволяет восстановить утраченные коронки после протезирования.
- Здоровые зубы при шинировании сохраняются, так как процедура не требует обточки и депульпации.
- Конструкции шинирования долговечны, надежны и прочны.

Минусы шинирования
- Гигиена ротовой полости немного усложнена (связано это с зубодесневыми карманами).
- Неквалифицированная работа стоматолога часто вызывает вспышку стоматологических заболеваний.
- Сделанная глубокая борозда может достать до пульповой камеры, тем самым самопроизвольно спровоцировать возникновение пульпита.
- Возможно возникновение чувствительности эмали зубов.
- Если недостаточно провести полировку зубов, то под шиной могут развиться стоматологические заболевания.
- В случае перегрева или неправильной технологии изготовления шина может переломиться от жевательной нагрузки.
Особые случаи шинирования
Шинирование при переломе
Очень часто пациентами стоматологов является люди с переломами челюсти. Кроме самого перелома у таких пациентов на лицо подвижность зубов. Тогда перед врачом встает задача закрепления костей всей челюсти.
В таких случаях обычно применяется только съемное шинирование. Шины здесь устанавливают до момента полного срастания челюсти.
- Двухчелюстная. Ее устанавливают при двойном переломе и в сложных случаях.
- Одночелюстная. Используется если у пациента линейный перелом нижней челюсти.
- Шинирование зубов с распорным изгибом. К такому типу шинирования прибегают если необходимо зафиксировать кость в месте перелома и когда отсутствуют несколько зубов.
- Шинирование с зацепными крючками. Применяется если у пациента наблюдается перелом со смещением. При этом смещение вернуть в первоначальное положение не представляется возможным.
- Гладкая система. Используется в случае простого перелома костей.

Шинирование передних зубов
Верхние зубы подвергаются шинированию, если они подвижны и есть угроза возникновения их веерообразного положения.
Для устранения такого дефекта стоматолог высверливает борозду высотой 1,5-2мм и глубиной около 2 мм. Обычно борозду проделывают на передней поверхности зубов сверху. Затем в эту борозду укладывают ленту из стекловолокна, которую потом закрывают пломбировочным материалом (световой пломбой). Пломбировочный материал убирает зубные промежутки. Количество верхних зубов, которое будет браться в шину, зависит от клинической картины ротовой полости.
Шинирование нижних зубов
Здесь речь пойдет о шинировании фронтальных зубов. Сначала делают горизонтальную борозду глубиной 2 мм, высотой 1,5-2 мм. В эту бороздку укладывают цельную стекловолоконную ленту. Затем борозду с лентой заливают специальным световым композитом. Здесь кроме самих подвижных зубов в шину берутся неподвижные зубы. Чаще всего это клыки, которые берут на себя часть основного давления.
Стоимость шинирования
Цены на шинирования различны. Сумма зависит от материала, от способа лечения, от сложности и особенностей заболевания.
- Шинирование коронками - 4 000 рублей.
- Бюгельное протезирование - 24 000 рублей.
- Шинирование трех зубов с боковой стороны - 5 000 рублей.
- Стекловолоконное шинирование зубов - 7 000 рублей.

Отзывы
Расшатались зубы после пародонтоза. Думала, что скоро превращусь в беззубую бабку. Плакала ночами. Но стоматолог вселил в меня надежду и сказал, что будут делать шинирование. Благодаря современным материалам (мне делали со стекловолокном), все вышло совсем не так. Дискомфорта я не испытываю, зубы мои не шатаются, в зеркале я вижу только красивую улыбку.
С детства имел неровные зубы, которые просто уродовали мое лицо. Много лет носил брекеты. Постепенно зубы приняли более-менее божеский вид. Не так давно стоматолог сказал мне, что для большего эффекта необходимо провести шинирование зубов. Я конечно дал свое согласие. Вы знаете, впервые я доволен своим ртом.
У меня зашатались несколько передних зубов и почему-то один быстро выпал. Я пошла к врачу, он сделал мне шинирование. Вместо потерянного зуба установил искусственный. На вид его не отличишь от натурального. Прошло несколько лет, а какой точно зуб у меня искусственный, я уже не помню. Здорово!
Моя сестра делала себе шинирование зубов. Несколько раз ходила к врачу. У нее был какой-то особый случай. Мучилась она. Но сейчас все нормально. Помню, что мы дорого с родителями за это лечение заплатили: больше двадцати тысяч рублей. Было давно, сестра уже не вспоминает об этом. А я почему-то помню. Лечение просто было дорогим!
Метод шинирования зубов
Технология шинирования зубов сегодня набирает все большую популярность. Данная манипуляция помогает препятствовать расшатыванию зубов, которые потеряли устойчивость из-за травмирования или таких заболеваний, как пародонтоз. Метод шинирования зубов также позволяет избежать их выпадения, делая улыбку привлекательной и сохраняя жевательную функцию.
Показания к шинированию зубов
Как уже отмечалось, технология шинирования зубов подойдет в первую очередь людям, которые перенесли пародонтоз или челюстно-лицевые травмы, негативно повлиявшие на устойчивость зубов. Данный метод также рекомендуется при наличии:
нестандартного расположения зубов;
сильного смещения челюстного ряда;
поражения мягких тканей челюстей, сопровождающиеся кровоточивостью десен;
зубных отложений, накапливающихся около корней;
десневых карманов и обнаженных корней.
Виды шинирования
Сегодня для выполнения шинирования используется стекловолокно, арамидную нить, коронки и протезы. Выделяют три вида шин:
Временная. Подобная технология шинирования зубов позволяет обеспечить малую травматичность зубных тканей. Конструкция не препятствует проведению хирургических, терапевтических и гигиенических манипуляций и дает возможность выполнять быструю модификацию при изменении процесса лечения.
Долговременная. Такая технология шинирования сочетает в себе преимущества временного и постоянного методов. Ее используют, если существуют сомнения в успешности лечения, но при этом прямые показания к удалению зубов отсутствуют.
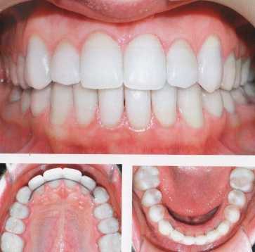
Постоянная. Данная конструкция позволяет проводить стандартные гигиенические процедуры полости рта. Она выглядит эстетично и обладает хорошей функциональностью.
Шинирование зубов при пародонтите
Шаткость зубов является одной из симптомов пародонтита. Подобная проблема зачастую возникает, если костная ткань атрофирована как минимум на ¼ длины зубного корня. При этом чем сильнее поражение кости, тем характерней подвижность зубов.
На атрофию костной ткани может указывать оголение шейки передних зубов. При отсутствии должного лечения такое состояние приводит к смещению зубного ряда. Остановить данный процесс может шинирование.
Шинирование подвижных зубов стекловолокном
Стекловолокно применяют при несъемных методах шинирования. Данная технология возникла относительно недавно и сразу же завоевала популярность благодаря большому числу преимуществ. Шинирование стекловолокном позволяет:
сохранить очень подвижные зубы;
избежать обтачивания зуба и депульпации;
качественно проводить гигиенические процедуры;
равномерно распределять между шинированными зубами нагрузку при жевании;
Процесс шинирования зубов проводится под местной анестезией. При правильном уходе шина из стекловолокна может прослужить до 3 лет.
Вантовое шинирование подвижных зубов
Технология проведения вантового шинирования схожа со стекловолоконным методом. Главное отличие заключается в том, что в данном случае применяется арамидная нить. Это прочное и долговечное волокно, которое совместимо с зубной эмалью и не имеет реакции на такие раздражители, как слюна или пища. Вантовое шинирование обладает всеми преимуществами стекловолоконного, но при этом оно считается более физиологичным вариантом и может заменить протезирование.
Шинирование подвижных зубов бюгельными протезами
Бюгелем называют дугообразную конструкцию с металлическим каркасом. Он фиксируется во рту специальными крючками — кламмерами. Бюгель изготавливают на основе слепка зубов пациента, поэтому он точно прилегает к деснам. К преимуществам данного метода шинирования относят:
долговечность и прочность;
возможность восстановления отсутствующих зубов;
удобство в носке и эстетичность.
Шинирование подвижных зубов коронками
Коронки используют при наличии более четырех расшатанных зубов. Данная технология шинирования зубов не рекомендуется при начальной стадии пародонтита. К преимуществам этого способа относят надежность, долговечность и эстетичность.
При первых же признаках подвижности зубов следует обратиться к специалисту, чтобы избежать осложнения ситуации. Помните, чем раньше вы окажетесь в кресле стоматолога, тем выше вероятность получения хороших результатов лечения и использования щадящих методов для поддержания здоровья полости рта.
Шинирование зубов при пародонтите и заболеваниях тканей пародонта

В стоматологии наблюдается множество видов заболеваний, которые потенциально могут увеличить подвижность зубов. Это доставляет сильный дискомфорт, негативно влияет на состояние челюстного аппарата. Человеку становится трудно жевать, приходится придерживаться специальной диеты.
Чтобы решить такую проблему, нужно использовать методику шинирования. По своей сути, это процедура укрепления зубов, которая позволяет соединить между собой несколько единиц в ряду, защитить их от выпадения.
Наложение шины нужно для того, чтобы на десну оказывалась не такая сильная нагрузка, можно было свободно применять другие методы лечения. При этом самому пациенту будет намного комфортнее пережевывать разные типы пищи.
Разгрузка тканей при помощи шинирования помогает уменьшить интенсивность воспалительного процесса. Это особенно полезно при пародонтите, когда нужно чтобы десна находилась в спокойном состоянии, пока медики проводят общую санацию, реставрируют разрушенные зубы.
В этом материале мы подробнее расскажем, как делают шинирование зубов, какие средства используются в процессе, а также затронем многие другие важные вопросы, касающиеся процедуры.
По каким причинам зубной ряд становится подвижным
Врачи выделяют множество причин, по которым приходится проводить шинирование для пациентов. И к ним относятся такие виды болезней, как:
Парадонтит. Основная причина его появления - плохая гигиена полости рта, а также особенности микрофлоры. Часто стимулировать воспалительный процесс и расшатывать зубы может сильное нарастание зубного камня. При этом наблюдается постепенное разрушение фиксирующей связки, которая соединяет зуб с другими тканями.
- Пародонтоз. Его можно достаточно легко определить и при внешнем осмотре. Десна становится белесой, при том, что какие-либо негативные ощущения и боль практически не наблюдаются. Постепенно происходит уменьшение объема десны, становятся сильно заметными оголенные корни. Из-за недостаточного количества опорных тканей, зуб со временем начинает расшатываться. Пародонтоз часто наблюдается у пациентов с ослабленным из-за системных заболеваний или длительного лечения организмом.
- Травмирование. Проблемы могут начаться в том случае, если был зафиксирован перелом челюсти.
В группе риска оказываются и другие категории пациентов. Если вы много курите, пренебрегаете советами по регулярной гигиене полости рта, страдаете нарушением обмена веществ, можно заработать сильную подвижность зубов. Также она проявляет себя в силу возраста или неправильного питания.
Решение о том, можно ли проводить шинирование в конкретном случае, принимает врач. Важно, чтобы методика не имела противопоказаний и была эффективной.
Есть несколько основных распространенных показаний:
- Сильное изменение положения зубов или расшатывание под действием пародонтита.
- Травмирование - переломы верхней или нижней челюсти.
- Уменьшение объема десенной ткани.
- Достижение десенными карманами размеров в 5 мм.
- Оголившиеся корни.
Есть также ряд противопоказаний для процедуры. Нельзя выполнять шинирование, когда у пациента есть кариес на опорных зубах или сильно воспалены десны. Также ограничения накладываются, если у человека слишком чувствительная эмаль, есть реакция на различные материалы составных частей системы.
Стоит также приготовиться к тому, что после шинирования нужно будет соблюдать правила гигиены полости рта. Здесь ситуация аналогична ношению брекетов - нужно будет внимательно следить за тем, насколько хорошо вы чистите зубы.
Какие материалы используются при шинировании зуба
Стоимость и другие параметры установки шины будут сильно зависеть от того, из каких материалов была сделана система. Рассмотрим наиболее распространенные:
- Нить из стекловолокна. Стекловолоконное шинирование зубов выполняется всего за полтора-два часа. Можно ожидать не менее трех лет активного использования.
- Арамидное волокно. Также востребовано при выполнении шинирования. Ценится за свое бережное отношение к эмали - после снятия на ней не остается никаких повреждений.
- Полиэтилен. Ценен за то, что хорошо переносится слизистой, практически не вызывает дискомфорта при ношении даже у чувствительных людей.
- Металл. Классический материал для изготовления ретейнеров. Отлично удерживает зубы в нужном положении.
- Шелк. Такое волокно также может применяться, оно щадяще относится как к слизистой, так и к эмали, но отличается невысокой прочностью.
- Керамика. Обычно используется в том случае, если запланировано проведение несъемного протезирования. Проблемы могут возникнуть из-за того, что метод довольно трудозатратный и дорогостоящий.
Также допускается применение в процессе металлокерамики. Она прочная и достаточно доступная по цене.
Преимущества процедуры
Эта процедура помогает действительно заметно снизить подвижность и уменьшить нагрузку на десну. Пародонтит замедляется, а восстановление нормальной жевательной способности оказывает положительный эффект на процесс пищеварения.
Процедура также положительно сказывается на личном комфорте пациента. У него становится меньше пространство между зубами - это снимает психологические зажимы, которые не дают многим нормально улыбаться.
Современные системы созданы так, чтобы вы могли спокойно в них разговаривать. Ограничений по еде - минимум.
Недостатки метода
Главный недостаток - при установке шины нужно будет проводить специальную механическую обработку эмали.
Стоит также учитывать то, что средство можно использовать далеко не всем пациентам. Многое зависит и от самого больного. Нужно чтобы он внимательно относился к гигиене полости рта, вовремя чистил зубы. В противном случае, очень велик риск возникновения и развития кариеса. Сама гигиена также станет сложнее.
При установке шины нужно помнить о процессе привыкания. На протяжении первых нескольких дней может наблюдаться сильная чувствительность зубов к кислой, горячей и холодной пище.
От чего зависит стоимость процедуры
Стоимость установки будет зависеть от того, какой материал используется в процессе. Обычно наиболее доступный вариант - стекловолокно. Керамика относится к дорогим средствам.
Виды шинирования зубов
Существует множество параметров для классификации такой процедуры. Один из основных - расположение. Шина может быть установлена в двух вариантах:
- Фронтальная. Обычно размещается в промежутке рядом с резцами и клыками.
- Боковая. Ставится на группу жевательных зубов.
Также возможна установка и специальной бюгельной конструкции - она стоит дороже, но позволяет задействовать обе челюсти.
Еще один параметр отличий - деление на постоянное и временное шинирование. Обычно временный вариант показан, когда болезнь только начинает развиваться и десны не слишком сильно истончились. Также допускается такой тип шинирования, когда есть травмы и деформации зубного ряда.
Возможен и вариант с постоянным шинированием, когда обеспечивается многолетняя стабилизация. При выборе между бюгельным протезом и постоянным шинированием, многие пациенты предпочитают именно первый вариант, потому что он эстетичнее.
Как понятно из самого названия, временные и постоянные конструкции отличаются по срокам ношения:
- Временные. Обычно используются в промежутке от нескольких дней до нескольких месяцев. Такой вариант позволяет правильно распределить нагрузку, не допускает серьезных повреждений слизистой. Сама конструкция довольно простая, потому ее можно легко надеть и снять. В зависимости от текущего состояния пациента выбирается, сколько единиц предстоит шинировать. Обычные материалы при изготовлении - пластик и металл.
- Постоянные. Подойдут в том случае, если нужно зафиксировать зуб на много лет. Преимущество заключается в том, что создается действительно надежная фиксация, сильно уменьшаются затраты времени на адаптацию к такой конструкции.
Нужно понимать, что процесс гигиены полости рта при использовании постоянного протезирования станет сложнее. Также нужно обратить внимание, что все задачи в рамках лечения зубов нужно выполнить еще до того момента, как будет установлена шина - потом это будет намного сложнее.
Методы шинирования зубов
На первом приеме стоматолог оценивает текущее состояние полости рта, делает рентген. Перед ним стоит задача - понять, насколько сильно истончилась костная ткань. Также нужно определить степень подвижности зубов, посмотреть, в каком состоянии находится прикус, нет ли нарушений и других проблем.
Состояние десен также имеет большое значение, потому что позволяет понять, какими методами можно будет проводить шинирование, какие есть риски того, что появится раздражение или возникнут иные проблемы.
Допускается установка шины только в том случае, если для этого нет противопоказаний, не наблюдается воспаления. Может потребоваться также проведение санации полости рта, лечение кариеса. Особенно важным это становится, когда запланирована установка постоянных несъемных конструкций.
Шинирование с использованием стекловолокна
Стекловолоконное шинирование относится к списку самых распространенных методов. Обычно оно используется в том случае, когда нужно соединить несколько зубов и максимально сэкономить. Длительность использования одной шины не превышает два года - после этого периода нужно будет устанавливать новую.
Весь процесс установки не занимает больше двух часов. Сначала нужно выполнить очистку эмали, потом создать на ней небольшую борозду. После этого лента из стекловолокна фиксируется на композитные материалы. После того как конструкция отшлифована, врач убедился, что пациенту ничего не мешает, работа считается завершенной.
Эта методика нужна для того, чтобы выполнить шинирование зубов при заболевании пародонта. В пользу выбора такого метода говорит высокий уровень прочности, хорошая совместимость с зубными тканями и доступность по цене.
Винтовой способ
Основной материал при таком шинировании - армидная нить. Можно использовать такой способ в том случае, когда человек получил травму.
Шинирование зубов при переломе челюстей, усиленной подвижности, позволяет получить заметные результаты.
Процесс установки аналогичен тому, что уже было описано выше. Сначала проводится очистка эмали, потом создается борозда. В углублении натягивается шнур из армидной нити.
Бюгельное средство
Эта методика относится к методам постоянного протезирования и подойдет в том случае, если нужно стабилизировать зубной ряд при сильном расшатывании.
Использование современных средств позволяет подготовить опорные единицы и коронки, чтобы можно было не допустить появления больших зазоров между зубами.
Закрепление коронок
Средство подойдет вам в том случае, если нужно закрепить подряд сразу четыре зуба. В таком случае, нужно будет установить коронки, которые соединяются. Установка такая же, как в описанных выше случаях. Главное отличие - лабораторная установка коронок, а также их примерка перед тем, как поставить на постоянный цемент.
Шинирование при пародонтите
Такой вариант шинирования будет использоваться в том случае, если есть сильное разрушение костной ткани. В таком случае нужно наложить шину как можно быстрее, чтобы качественно сократить подвижность и не допустить дальнейшего прогрессирования атрофии тканей.
Шинирование при травмах
Шинирование зубов при переломе - это распространенная практика. В таком случае перед врачом ставится задача не допустить проявления асимметрии. Часто назначаются временные конструкции, которые нужны для восстановления правильного положения зубов на протяжении всего времени восстановления.
Шинирование после брекетов
Иногда шинирование нужно использовать и после того, как пациент снимает брекеты. В таком случае шина выступает в качестве ретейнера. Она позволяет не допустить смещения зубов, которое могло бы привести к тому, что результат многомесячного лечения был бы испорчен.
Запишитесь на установку шины на зубы
Если у вас есть показания для шинирования зубов, запишитесь в нашу клинику. К нам приезжают клиенты из разных городов - Химок, Куркино, Новогорска и многих других.
Гарантируем профессиональный подход от стоматологов с большим опытом, быстрое лечение и использование качественных материалов.
Чтобы записаться на первую консультацию и осмотр к стоматологу, достаточно просто оставить заявку на сайте или позвонить нам. Ответим на вопросы, расскажем о том, какой вариант лечения подойдет именно для вашей ситуации. Также предоставляем множество других услуг из области лечебной или эстетической стоматологии.
Читайте также:
