Анестезия при КТ и МРТ. Предоперационная оценка
Добавил пользователь Владимир З. Обновлено: 21.11.2025
Кафедра оториноларингологии Российской медицинской академии последипломного образования, Москва
Рентгенодиагностическое отделение ЦКБ гражданской авиации
Кафедра оториноларингологии учебно-научного медицинского центра Управления делами Президента России, Москва
Кафедра оториноларингологии РМАПО
МРТ в предоперационном обследовании и послеоперационном контроле при хроническом среднем отите с холестеатомой
Журнал: Вестник оториноларингологии. 2012;77(5): 14‑19
Косяков С.Я., Лазебный В.В., Коршок В.В., Пчеленок Е.В. МРТ в предоперационном обследовании и послеоперационном контроле при хроническом среднем отите с холестеатомой. Вестник оториноларингологии. 2012;77(5):14‑19.
Kosiakov SIa, Lazebnyĭ VV, Korshok VV, Pchelenok EV. The role of MRI in the preoperative examination and postoperative follow up of the patients presenting with a combination of chronic otitis media and cholesteatoma. Vestnik Oto-Rino-Laringologii. 2012;77(5):14‑19. (In Russ.).
Цель работы - изучить возможности определенных режимов МРТ в диагностике холестеатомы, а также определить критерии предлагаемых протоколов. Исследование проводилось в стандартных режимах Т1, Т2, а также в режиме non-EPI DWI. Нами были обследованы пациенты как с первичной холестеатомой, так и с резидуальной и рецидивирующей холестеатомой. Основной алгоритм радиологической диагностики холестеатомы заключался в следующем: низкоинтенсивный сигнал в режиме Т1, сигнал высокой интенсивности в режимах Т2 и non-EPI DWI. В статье представлены 3 клинических наблюдения. Всем пациентам была выполнена МРТ в режимах Т1, Т2 и non-EPI DWI. У 2 пациентов было подтверждено наличие холестеатомы и верифицирован данный факт на операции, а в одном из примеров данный метод позволил исключить наличие холестеатомы.
Холестеатома — это скопление кератина в матриксе чешуйчатого эпителия в полости среднего уха. Только в 2% случаев холестеатома может быть врожденной. В остальных же случаях это приобретенное заболевание, развивающееся на фоне хронического среднего отита в результате ретракции барабанной перепонки [1].
Холестеатома разрушает структуры среднего уха, нарушает такие функции последнего, как слух, равновесие, функцию лицевого нерва и вызывает осложнения.
Осложнения холестеатомы связаны с костной деструкцией в полости среднего уха, что обусловлено механическим давлением и активностью медиаторов воспаления, которые стимулируют остеокласты. Костная деструкция приводит к разрушению цепи слуховых косточек, развитию лабиринтных фистул, эрозиям канала лицевого нерва с развитием пареза и, наконец, к тяжелым внутричерепным осложнениям.
Лечение холестеатомы всегда только хирургическое. Хирургические подходы могут быть различными и включать операции с сохранением задней стенки наружного слухового прохода и ее удалением, с реконструкцией цепи слуховых косточек и стенок паратимпанальных пространств [2]. Закрытые типы операций длительное время применяли с большой осторожностью по причине высокого процента развития как резидуальных заболеваний, так и рецидива холестеатомы. В связи с этим «золотой стандарт» лечения включал обязательную ревизию через год после операции. Например, по данным клиники в Антверпене, повторные оперативные вмешательства у взрослых составляют 57%, из которых только в 7,2% случаев обнаружена резидуальная холестеатома, а в остальных случаях (92,8%) проводились необоснованные оперативные вмешательства [3].
В настоящее время для предоперационного обследования больных широко используется компьютерная томография (КТ) височных костей. Данный метод позволяет определить состояние слуховых косточек, сосцевидного отростка, надбарабанного пространства, стенок барабанной полости, состояние окон лабиринта и внутреннего уха [4]. Однако специфичность КТ в диагностике холестеатомы низка. В связи с этим КТ можно рассматривать только как «дорожную карту» для оценки состояния различных структур среднего уха (сохранены, повреждены, разрушены). Это дает возможность ориентироваться в наличии анатомических структур, определить костную деструкцию, но ни в коем случае не определить, за счет чего произошла деструкция. На КТ невозможно дифференцировать холестеатому, грануляционную, рубцовую ткань и опухоль. Исследования последних 15 лет это подтверждают [5]. Для послеоперационного контроля КТ имеет еще меньшее значение, так как вследствие низкой специфичности не позволяет дифференцировать послеоперационные рубцовые изменения от экссудата или резидуальной холестеатомы. КТ наиболее значима при определении аэрации среднего уха и сосцевидного отростка, но значимость ее снижается при наличии мягкотканных образований [6].
В течение последних нескольких лет было опубликовано несколько работ [5, 7—10] о диагностике холестеатомы с применением магнитно-резонансной томографии (МРТ) в различных режимах (Т1, Т2, EPI DWI и non-EPI DWI). Эти работы были опубликованы в основном врачами-радиологами в соавторстве с оториноларингологами и носят специфический характер, так как информация в них излагается с позиций рентгенологов с указанием массы технических характеристик оборудования и протоколов обследования.
Цель нашей работы — изучить возможности определенных режимов МРТ в диагностике первичной холестеатомы различных размеров в диагностически сложных случаях, резидуальной холестеатомы у пациентов, подвергнутых множественным оперативным вмешательствам. В конечном счете, предполагается популяризировать данный метод и сделать его доступным для лечебной практики.
Методика исследования
Все пациенты были обследованы на МР-томографе Signa HD GE («Helthcare», США) с напряженностью магнитного поля 1,5 Тесла. Обследование выполнялось без контрастирования в импульсных последовательностях:
— Т1 во фронтальной плоскости с подавлением сигнала от жировой ткани с толщиной среза 3 мм;
— Т2 во фронтальной и сагиттальной плоскостях с толщиной среза 3 мм;
— non-EPI DWI в аксиальной плоскости с толщиной среза 2 мм.
При наличии холестеатомы характерны следующие МРТ-признаки:
1. Сигнал низкой интенсивности в режиме Т1.
2. Гиперинтенсивный сигнал или сигнал средней интенсивности в режиме Т2.
3. Сигнал высокой интенсивности в режиме non-EPI DWI.
При наличии воспаления и грануляционной ткани выявляются следующие МРТ-признаки:
1. Сигнал низкой интенсивности в неконтрастном режиме Т1.
2. Cигнал высокой интенсивности в режиме T2.
3. Сигнал низкой интенсивности в режиме non-EPI DWI.
Для холестерол-гранулемы характерны следующие МРТ-признаки:
1. Сигнал высокой интенсивности в режиме Т1.
2. Сигнал высокой интенсивности в режиме Т2.
Основная проблема закрытых методов хирургии уха заключается в необходимости длительного наблюдения. Развитие резидуальной холестеатомы после первичной операции до момента клинических проявлений, как правило, занимает около 12—18 мес [7]. Учитывая огромные пространства нашей страны, повторная ревизия для иногороднего пациента часто представляет финансовую нагрузку. В то же время с широким распространением диагностического оборудования и, в частности, магнитно-резонансных томографов, появляется возможность, применив описанный метод, контролировать состояние заболевания, не прибегая к повторному хирургическому вмешательству.
Идеальным методом скрининга на сегодняшний день является применение МРТ в режиме non-EPI DWI. Преимуществом является отсутствие необходимости применения дорогого контраста (например, гадолиниума) и связанного с его применением возможного нефротоксического действия, сокращение времени обследования на 45 мин (ожидание поздней фазы контрастирования). Обследование только в режиме non-EPI занимает всего 3—6 мин [8].
Существует два диагностических исключения, которые могут маскироваться под наличие холестеатомы и демонстрировать те же закономерности. Это абсцесс (как правило, имеющий клинические признаки) и скопление серы в наружном слуховом проходе.
Метод МРТ обеспечивает высокую безопасность при хирургических вмешательствах, использующих облитерацию паратимпанальных пространств, что дает возможность контроля резидуального заболевания и позволяет диагностировать рецидивы холестеатомы. Проведение МРТ-исследования в режиме non-EPI DWI через 1 год и 5 лет позволяет, в зависимости от результата, планировать хирургическое вмешательство [10, 12].
Послеоперационный контроль заключается в тщательной отоскопии и наблюдении в течение 10 лет, при подозрении на рецидив холестеатомы необходимо проводить МРТ-исследование (в том числе в режиме non-EPI DWI).
Под нашим наблюдением находились 30 пациентов с подозрением на первичную холестеатому (где клиническая картина не была однозначна) и пациенты со сложностями в диагностике, ранее подвергнутые оперативным вмешательствам. Всем пациентам была проведена МРТ основания черепа в стандартных режимах (во фронтальной проекции) и режиме non-EPI DWI (в аксиальной проекции), без контрастного усиления.
Больная Ф., 30 лет, обратилась с жалобами на головокружение, снижение слуха на правое ухо, слизистое отделяемое из правого уха. Болеет в течение 6 лет, лечилась консервативно. При отомикроскопии визуализируется перфорация в верхнем отделе барабанной перепонки.

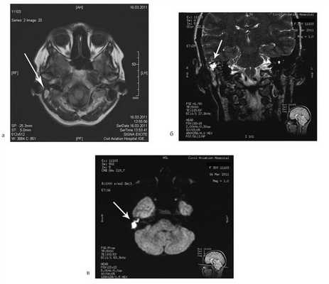
Пациентке была выполнена МРТ основания черепа по описанной методике (рис. 1). Рисунок 1. МРТ основания черепа больной Ф. с хроническим правосторонним гнойным средним отитом. Фистула лабиринта. Холестеатома. а — исследование в режиме Т1; б — в режиме Т2; в — в режиме non-EPI DWI.
В режиме Т1 справа определяется образование с низкой интенсивностью сигнала, а в режиме Т2 и non-EPI DWI — образование с гиперинтенсивным сигналом. Диагноз: хронический правосторонний гнойный средний отит; холестеатома; фистула лабиринта. Пациентка была подвергнута санирующей операции на правом ухе с тимпанопластикой и облитерацией паратимпанальных пространств. Были выявлены холестеатома, заполняющая аттик, адитус, антрум, деструкция цепи слуховых косточек, фистула латерального полукружного канала. Послеоперационный период протекал без особенностей, на 15-е сутки была удалена гемостатическая губка и силиконовая выстилка. При контрольном осмотре ухо сухое, отмечает улучшение слуха, головокружения нет. Через 12 мес проведено повторное МРТ-исследование. Признаков холестеатомы не обнаружено. Получен хороший функциональный результат — ухо толерантно к воде, самоочищается.
Больная У., 25 лет, обратилась с жалобами на снижение слуха на правое ухо, периодические выделения из правого уха. 18 лет назад была выполнена радикальная операция по поводу острого мастоидита, острого гнойного среднего отита справа. После операции развился парез лицевого нерва. В связи с продолжающимися обострениями через 8 лет была выполнена повторная операция с тимпанопластикой и мастоидопластикой. Частота обострений снизилась, но периодические выделения из уха продолжались. При отомикроскопии визуализируется неомембрана на задней стенке наружного слухового прохода с отверстием 2×4 мм, которое ведет в мастоидальную полость. Дно и стенки полости необозримы.

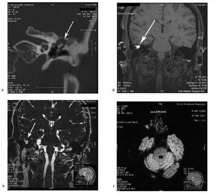
На КТ височных костей справа послеоперационная полость, заполненная мягкотканным образованием, определяется большой костный дефект в направлении сигмовидного синуса и мозжечка (рис. 2, а). Рисунок 2. КТ и МРТ височных костей больной У. с хроническим правосторонним средним отитом. Состояние после радикальной операции (1993 г.), санирующей операции с мастоидопластикой и тимпанопластикой (2003 г.). Холестеатома. Парез лицевого нерва. а — КТ; б — МРТ основания черепа в режиме Т1; в — в режиме Т2; г — в режиме non-EPI DWI.
Больной была выполнена МРТ (рис. 2, б—г).
В режимах Т2 и non-EPI DWI определяется сигнал высокой интенсивности, в режиме Т1 — низкоинтенсивный сигнал. Это может свидетельствовать о наличии холестеатомы мастоидальной полости и пирамиды височной кости. Диагноз: хронический правосторонний средний отит; состояние после радикальной операции в 1993 г. и санирующей операции с мастоидопластикой и тимпанопластикой в 2003 г.; холестеатома; парез лицевого нерва.
Больной произведена санирующая реоперация, в ходе которой удалена холестеатома больших размеров, заполняющая отшнурованную послеоперационную полость. Эта полость распространялась до верхушки сосцевидного отростка, граничила с твердой мозговой оболочкой и достигала верхушки пирамиды височной кости. Полость облитерирована. В послеоперационном периоде получен хороший функциональный результат. Ухо толерантно к воде, не было обострений, гноетечения, головокружений. Сохранилась кондуктивная тугоухость I степени. МРТ через 9 мес подтвердила отсутствие холестеатомы.
Больной А., 44 лет, обратился с жалобами на периодические (2 раза в год) гноетечения из правого уха. Ранее пациенту неоднократно предлагалось оперативное вмешательство.
При отомикроскопии определяется утолщение барабанной перепонки, перфорация не визуализируется, признаков холестеатомы нет.

На КТ правой височной кости определяется затемнение в области аттика и антрума, цепь слуховых косточек сохранена (рис. 3, а). Рисунок 3. КТ и МРТ височных костей больного А. с адгезивным средним отитом справа, фиброзной облитерацией аттика. а — КТ; б — МРТ основания черепа в режиме Т1; в — в режиме Т2; г — в режиме non-EPI DWI.
Пациенту выполнена МРТ основания черепа по описанной методике (рис. 3, б—г).
В режиме Т1 и Т2 справа определяется очаг с высокой интенсивностью сигнала, тогда как в режиме non-EPI DWI патологических образований не выявлено. Диагноз: адгезивный средний отит справа, фиброзная облитерация аттика.
В связи с отсутствием данных о холестеатоме операция не производилась, выявленные изменения расценены как фиброзные изменения, оторея была обусловлена периодическим возникновением наружного отита. Больной получал консервативное лечение.
Результаты и обсуждение
Приведенные примеры характеризуют диагностически сложные ситуации, когда пациент перенес, например, несколько обострений, не было четко обозримой перфорации, когда можно было только заподозрить развитие холестеатомы, учитывая данные анамнеза, и, напротив, несколько перенесенных операций затрудняли дифференцирование холестеатомы от послеоперационных изменений.
Проведение пациентам КТ позволило определить мягкотканные образования, но они могли быть обусловлены грануляциями, полипами, рубцовой тканью, мозговой грыжей, а также холестеатомой. Предложенные нами клинические примеры можно разделить на 2 группы. 1-ю группу составили пациенты с хроническим гнойным средним отитом, где была заподозрена первичная холестеатома. Диагностическая сложность состояла в отсутствии явных клинических признаков, наличии косвенных признаков холестеатомы на КТ. 2-ю группу составили пациенты, которые были подвергнуты неоднократным оперативным вмешательствам, однако полного выздоровления не было достигнуто и было подозрение на развитие резидуальной холестеатомы в отшнурованных областях. Для определения наличия и точной локализации распространения резидуальной холестеатомы КТ не могла дать нам достоверной информации, потому что все патологические изменения выглядели абсолютно одинаково. Кроме того, у этих больных периодически возникали обострения, а это само по себе может давать затемнение на КТ. Поэтому нами было принято решение выполнить МРТ основания черепа. Это позволило в большинстве случаев с высокой степенью достоверности подтвердить наличие холестеатомы и верифицировать данный факт на операции, а в одном из примеров отвергнуть ее наличие.
В исследовании, проведенном P. Aikele и соавт. [9], была проведена оценка эффективности МРТ-исследования у пациентов, ранее оперированных по поводу холестеатомы. Из 17 пациентов у 13 холестеатома была выявлена на МРТ и верифицирована при повторном оперативном вмешательстве. Наименьший размер диагностированной холестеатомы составил 5 мм.
Согласно исследованиям B. De Foer и соавт. [10], режим non-EPI DWI позволяет определять холестеатому размером до 2 мм. По данным авторов, повторные оперативные вмешательства в послеоперационном контроле проводились в 62% случаев. С использованием новой методики этот процент снизился до 10%.
У нас в стране пока данный метод не получил широкого распространения, но результаты даже предварительных исследований показали, что МРТ — достоверный метод диагностики холестеатомы, но требуются дальнейшие исследования по определению его чувствительности и специфичности.
Заключение
Метод МРТ, особенно в режиме non-EPI DWI, эффективен в диагностически сложных случаях — при отсутствии явных клинических признаков холестеатомы, но существующем подозрении на нее. Метод также эффективен для диагностики резидуальной холестеатомы и рецидива и может применяться в качестве контроля у пациентов, ранее оперированных по поводу холестеатомы, не прибегая к повторным ревизиям.
Использование метода МРТ изменяет взгляд за закрытые типы операций, снимая последний сдерживающий фактор — трудность контроля. МРТ позволяет диагностировать рецидив холестеатомы и резидуальное заболевание и является абсолютно экономически эффективным методом [11].
Анестезия при КТ и МРТ. Предоперационная оценка
или позвоните по телефону
Наши консультанты помогут в выборе клиники
Другие статьи
Простой способ предотвратить сахарный диабет, мигрень, гипертонию и остеопороз
Речь пойдёт о магнии в пище, воде и добавках. Это элемент, который широко.
Самое эффективное упражнение от простатита и аденомы: средство от ветерана
История, которую я сейчас рассказываю, основана на реальных событиях. Есть у.
Диагностика здоровья во время мобилизации
Что делать, если во время пребывания в запасе человек серьезно заболел, но не.
Кто попадает под мобилизацию по здоровью?
Имеют место случаи, когда в военном билете призывника отмечена основная.
Инсульт, который не видно на КТ
Важно понимать, что МРТ и КТ это принципиально разные исследования. И данный.
Записаться на МРТ головного мозга
Средняя цена
МРТ головного мозга от 3500 руб
Вам может быть интересно
Люди, занимающиеся спортом на профессиональном или любительском уровне, находятся в зоне риска. Этот вид деятельности находится на первом месте по числу травм острого и хронического характера. Особенно страдает опорно-двигательный аппарат, так как на него ложится основная нагрузка, приходятся прямые удары и другие приложенные силы, которые тело не всегда способно конструктивно выдержать.
Треть жизни офисного работника проходит в сидячем положении за компьютером. Такие люди редко успевают перекусить, ежедневно пребывают в стрессе и часто берут на себя больше обязанностей, чем могут осилить.
Травматизм стоит на первом месте в списке заболеваемости людей. Он считается главной причиной первичной инвалидности и гибели взрослого населения трудоспособного возраста, а также детей. Зачастую наивысший уровень травматизма приходится: у женщин на возраст от 30 до 59 лет и у мужчин в период с 20 до 49 лет.
В 2020 году мир поразила новая инфекция зооморфного бета-коронавируса COVID-19. Эта инфекция, передающаяся воздушно-капельным путем быстро достигла масштабов пандемии. Она опасна тяжелыми осложнениями, некоторые из них носят длительный характер и получили название "постковидный синдром".
Существует около 10 теорий этиологии остеохондроза. Они связаны с патологиями сосудов, гормональным дисбалансом, аутоиммунными процессами, повышенными механическими нагрузками, наследственной предрасположенностью. При юношеской форме этиофакторами становятся: быстрый рост, поднятие тяжестей, врожденная или приобретенная недостаточность хрящевой ткани, гиподинамия, неравномерные нагрузки.
Творческими способностями называется умение придумывать нестандартные или принципиально новые идеи, применять для решения задач привычные вещи необычным способом. Креативность является важным качеством при приеме на работу. Такие люди лучше ориентируются в разных обстоятельствах, легче воспринимают новое.
Проведение МРТ под наркозом

Особенность МРТ заключается в том, что во время процедуры пациент должен лежать абсолютно неподвижно (от 20 до 90 мин). При нахождении в катушке томографа у пациента может возникать ощущение замкнутого пространства. Исследование сопровождается громким шумом. Поэтому у некоторых категорий пациентов МРТ приходится выполнять в условиях наркоза.
В каких случаях МРТ выполняется под наркозом
Особенность МРТ заключается в том, что во время процедуры пациент должен лежать абсолютно неподвижно (от 20 до 90 мин). При нахождении в катушке томографа у пациента может возникать ощущение замкнутого пространства. Исследование сопровождается громким шумом.
Поэтому у некоторых категорий пациентов МРТ приходится выполнять в условиях наркоза.
Показания для наркоза возникают:
у пациентов, страдающих клаустрофобией или паническими атаками;
у детей младшего возраста, начиная с младенческого;
у пациентов с гиперкинезами и вынужденным положением тела, обусловленным болью (например, при тяжелом радикулите);
у пациентов с неадекватным поведением вследствие психических расстройств.
Проведение МРТ под наркозом служит решением указанных выше проблем.

Какие виды наркоза используются при МРТ
В зависимости от особенностей конкретного случая, это может быть глубокая седация (медикаментозное снятие тревоги и страха, приведение в состояние спокойствия), достигающаяся применением современных транквилизаторов, или поверхностный наркоз, который может быть либо внутривенным, либо ингаляционным. В некоторых, особо сложных случаях требуется дополнение наркоза искусственной вентиляцией легких.
В клинике Скандинавия квалифицированно применяются любые из перечисленных выше видов анестезиологического пособия. Выбор оптимального метода наркоза осуществляется анестезиологом с учетом особенностей каждого случая.
Каковы особенности наркоза при МРТ
Главная особенность заключается в том, что исследование проводится в условиях сильного магнитного поля, нарушающего работу обычных наркозных аппаратов и мониторов. Поэтому в кабинетах МРТ применяется специальная очень дорогостоящая наркозно-дыхательная и мониторная аппаратура, способная работать в магнитном поле.
Кроме того, наблюдение за пациентом во время исследования осуществляется из соседнего кабинета через окно, поэтому к нему должны быть подключены специальные мониторы, непрерывно следящие за состоянием его жизненных функций. Требуются специальные средства, надежно обеспечивающие проходимость дыхательных путей.
В клинике "Скандинавия" имеются все перечисленные выше аппараты и материалы, сертифицированные для квалифицированного обеспечения наркоза в условиях МРТ-кабинета. Мы можем обеспечить анестезиологические пособия любой степени сложности в соответствии с современными стандартами безопасности пациента. Кроме того, мы осуществляем анестезиологическое и реанимационное сопровождение МРТ-исследований у пациентов, которым проводится искусственная вентиляция легких.
Как проводится наркоз при МРТ
При проведении седации препарат вводится внутривенно с помощью специального дозатора, и выполняется ингаляция кислорода через легкую лицевую маску.
Для наркоза в нашей клинике в большинстве случаев используется Севоран (Севофлюран) - ингаляционный анестетик последнего поколения. По сравнению с внутривенным наркозом, ингаляционная анестезия Севораном имеет ряд преимуществ. Севоран является не токсичным, гипоаллергенным, а скорость насыщения им пациента равно как и скорость выведения его из организма при прекращении подачи, делают анестезию очень управляемой. Сознание отключается после нескольких вдохов, что особенно важно у детей раннего возраста, поскольку позволяет избежать травмирования психики ребенка различными болезненными манипуляциями, такими как внутримышечные и внутривенные иньекции.
У взрослых введение в наркоз выполняется внутривенным анестетиком, после чего наркоз поддерживается севораном. Возможно также проведение внутривенного наркоза. После прекращения ингаляции Севорана признаки сознания появляются уже через несколько минут. В течение получаса, пациент пробуждается полностью, и может быть отпущен из клиники.
При наркозах мы используем специальный воздуховод - т. н. ларингеальную маску, что дает возможность избежать интубации трахеи и связанных с ней рисков. Присоединение ларингеальной маски к дыхательному контуру наркозного аппарата позволяет надежно осуществлять подачу пациенту дыхательной смеси, а при необходимости проводить ИВЛ.
Рекомендации пациенту, которому планируется проведение МРТ в условиях седации или наркоза
Перед наркозом:
Пройти обследование, назначенное лечащим врачом (анализы, осмотр терапевта, специалисты, по необходимости).
Перед наркозом для взрослых и детей старше 6 лет — последний прием пищи не позднее чем за 9 часов, для детей до 6 лет — за 6 часов. Последний прием чистой жидкости, (допустимы ТОЛЬКО вода, чай, осветленный сок) не более 200 мл (детям — не более 100 мл), и не позднее чем за 2 часа до назначенного срока исследования.
В случае планового лечения какими-либо препаратами, обсудить с анестезиологом необходимость их приема в день исследования (возможна консультация по телефону).
Перед исследованием не наносить на лицо макияж.
Снять все ювелирные украшения (часы, кольца, цепочки, серьги).
Снять съемные зубные протезы, если таковые имеются.
При наличии контактных линз, предупредить об этом анестезиолога. Иметь при себе набор для контактных линз (контейнер, жидкость для промывания).
После наркоза:
Прием жидкости не ранее чем через 30 мин.
Прием пищи не ранее чем через 2 часа, если нет иных указаний анестезиолога.
Запрещается управлять транспортными средствами и пользоваться электроинструментом и выполнять прочие потенциально опасные работы, требующие повышенной концентрации внимания, в течение 24 часов после наркоза.
После наркоза можно покинуть клинику, желательно, с сопровождающим, не ранее чем через 30 мин (обычно, через 1 час) после осмотра анестезиолога.
МРТ под седацией (наркозом) взрослым и детям

Магнитно-резонансная томография (МРТ) - высокоинформативное и безопасное исследование, которое назначают для диагностики любых органов и систем организма. Оно позволяет получить объемное изображение исследуемого участка тела в разных плоскостях и срезах и увидеть все произошедшие в нем изменения.
С помощью МРТ диагностируют травмы и их последствия, воспалительные процессы, опухоли, заболевания нервной и кровеносной систем, болезни позвоночника и суставов.
От компьютерной томографии и рентгена этот метод отличается отсутствием лучевой нагрузки. Для получения изображения здесь применяют переменные магнитные поля и радиочастотные импульсы.
Когда может понадобиться седация или наркоз
Для некоторых пациентов в прохождении МРТ мало приятного. Вы лежите один в замкнутом пространстве, слышите монотонный стук и шум, чувствуете вибрацию. От этого может быть неуютно и страшно.
Еще одна особенность МРТ — необходимость все время исследования (а это от 20 до 90 минут) находиться в неподвижности. В противном случае снимки будут нечеткими и результаты окажутся неинформативными.
Для кого-то долго находиться в неподвижном положении ؘ- это сложная, а иногда и невыполнимая задача. Например, для людей с клаустрофобией (боязнь замкнутых пространств), паническими атаками, ментальными особенностями, неврологическими нарушениями (гиперкинез, болезнь Паркинсона), заболеваниями, при которых положение лежа вызывает сильную боль, и тех, кто просто очень боится исследования.
Во всех этих ситуациях поможет седация (наркоз). В ГУТА КЛИНИК применяют внутривенный и ингаляционный методы. Какой подойдет вам или вашему ребенку - определит врач-анестезиолог в зависимости от особенностей организма и клинической задачи.
Разбираемся в главных отличиях методов:
клаустрофобия,
сильный страх МРТ,
панические атаки
гиперкинез,
болезнь Паркинсона,
сильная боль в спине,
ментальные особенности
С какого возраста
применяют
• ЭКГ, общий анализ крови;
• заключение педиатра (для детей)
• взрослым за 8 часов до обследования нельзя есть, за 6 часов - пить
• детям не стоит есть и пить за 3-4 часа до исследования
• заключение терапевта / педиатра;
• взрослым за 8 часов до обследования нельзя есть, за 6 часов ؘ- пить
Пациент расслабляется и засыпает, при этом дышит самостоятельно
Полное отключение сознания и осознанного дыхания: за пациента дышит аппарат
Как долго
вы пробудете
в клинике
Время исследования + 2 часа в стационаре
• острые респираторные заболевания;
• нарушения в работе сердечно-сосудистой или дыхательной систем в стадии декомпенсации;
• индивидуальная непереносимость препаратов;
• ожирение 3-4 стадии и апноэ сна (остановки дыхания во сне);
• аллергия на арахис и сою
• злокачественная гипертермия в семейном анамнезе
Как проходит обследование
В первую очередь врач-анестезиолог побеседует с вами, чтобы оценить состояние здоровья и рассчитать дозировку.
Следующий этап - введение препарата, после чего вы погрузитесь в сон или в наркоз до конца диагностики. Все время исследования врач-анестезиолог наблюдает за пациентом и контролирует его состояние. Кроме того, к человеку подключен МР-совместимый аппарат для мониторинга жизненных функций: он измеряет давление, пульс, частоту дыхания.
Ограничения после обследования
После завершения обследования вы сразу придете в себя, но еще пару часов все же нужно провести в стационаре. Это необходимо, чтобы врач-анестезиолог смог проконтролировать окончательный выход пациента из медикаментозного сна или наркоза.
Затем вы сможете вернуться к своим делам. Но есть небольшие ограничения. Пить и есть можно только через 2 часа. Первые сутки после исследования нельзя заниматься тем, что требует высокой концентрации внимания и быстрой реакции, например, водить машину и кататься на сноуборде.
Ограничения после обследования
После завершения обследования пациент сразу придет в себя, но еще пару часов все же нужно провести в стационаре. Это необходимо, чтобы врач-анестезиолог смог проконтролировать окончательный выход из седации. Детей дополнительно должен осмотреть педиатр.
Затем можно вернуться к своим делам. Но есть небольшие ограничения. Пить и есть можно только через 2 часа. Первые сутки после исследования нельзя заниматься тем, что требует высокой концентрации внимания и быстрой реакции, например, водить машину и кататься на сноуборде.
Почему нужно выбрать ГУТА КЛИНИК
Мы проводим МРТ на одном из лучших аппаратов на рынке - Ingenia 3.0T Omega HP (Philips, Нидерланды). Его главные преимущества:
• Точность
МРТ Ingenia 3.0T Omega HP имеет напряженность магнитного поля 3 Тесла. У стандартных томографов этот показатель равен 1,5 Тесла.
От величины напряженности магнитного поля зависит разрешающая способность аппарата. Чем больше Тесла - тем качественней получаемое изображение и, соответственно, информативность исследования.
• Скорость
Продолжительность исследования в 1,5 раза меньше по сравнению с другими аппаратами.
• Комфорт
Ширина тоннеля томографа - 70 см, что на 10 см больше стандартных размеров. Это важно для пациентов с повышенной массой тела и тех, кто боится тесного пространства.
• Больше возможностей
Сверхпрочная конструкция томографа позволяет проводить обследование пациентов с весом до 250 кг (стандартно - 125 кг).
Для людей с клаустрофобией в ГУТА КЛИНИК есть еще один вариант проведения МРТ - исследование на томографе открытого типа G-scan Brio (Esaote, Италия). Чтобы понять, какой аппарат станет лучшим выбором в вашем случае, стоит проконсультироваться с врачом.
Результаты обследования мы можем записать на диск или распечатать. Это бесплатно. Заключение вы получите в течение 1 часа после окончания исследования.*
Важно! МРТ противопоказано пациентам с установленными кардиостимуляторами, инсулиновыми помпами и т.п. Исследование не рекомендуется проходить на первом триместре беременности.
* В сложных случаях, требующих дополнительной консультации с экспертами, сроки подготовки заключения могут быть увеличены до 48 часов. О необходимости консультации с экспертом и увеличению сроков подготовки заключения пациенту будет сообщено во время проведения исследования врачом-рентгенологом ГУТА КЛИНИК.
Компьютерная томография под седацией (наркозом) детям

Компьютерная томография - исследование, которое помогает оценить анатомические особенности организма ребенка, увидеть внутренние патологии и получить подробную информацию о состоянии малыша. При КТ применяют рентгеновские лучи, то есть часто его делать нельзя. Но, к сожалению, иногда без этого исследования невозможно поставить верный диагноз. Особенно компьютерная томография необходима при подозрении на онкологию.
Поэтому важно, чтобы диагностика с первого раза получилась качественной. Главное условие для этого - пациент должен лежать неподвижно. И пусть КТ длится всего 3-5 минут, даже столь краткое время детям бывает сложно совсем не двигаться. В таких ситуациях мы советуем делать компьютерную томографию под седацией (наркозом).
Что такое седация и как она действует
Суть метода в одном предложении: перед КТ ребенок засыпает и просыпается, когда исследование завершено. Это помогает рентгенологу хорошо сделать свою работу, а еще позволяет избежать негативных последствий для детской психики, когда малыш боится и не хочет проходить исследование. Заставлять малыша насильно - неправильно.
В ГУТА КЛИНИК седацию проводят с помощью безопасных и проверенных препаратов, которые хорошо переносятся детьми - Пропофол и Севоран. В первом случае его вводят внутривенно, во втором - с помощью дыхательной маски.
Различия методов:
ребенок уснет, при этом
будет дышать самостоятельно
ребенок уснет, за него
будет дышать аппарат
• за 3-4 часа до приема нельзя есть и пить;
• пройти консультации педиатра и реаниматолога;
• сделать ЭКГ (эхокардиографию);
• сдать общий анализ крови
• индивидуальная непереносимость препарата;
• аллергия на арахис или сою
Как все проходит
В первую очередь родителям нужно пообщаться с педиатром и детским анестезиологом, на консультации вы вместе обсудите все нюансы и подберете подходящий метод.
Перед исследованием ребенку введут препарат либо через дыхательную маску, либо с помощью капельницы - в зависимости от выбранного способа. Если малыш боится уколов, но ему нужна седация с Пропофолом, то сначала ему могут дать подышать Севораном. Благодаря этому ребенок успокаивается, расслабляется и не мешает ставить капельницу.
Седация действует на малыша так: он погружается в глубокий сон и лежит неподвижно все время исследования. В это время за состоянием ребенка следит анестезиолог-реаниматолог. Он с помощью современного оборудования контролирует давление, сатурацию (насыщенность крови кислородом), пульс, глубину сна.
Когда диагностика закончится, препарат перестанет поступать в организм, и ребенок постепенно проснется. При Севоране это происходит буквально через пару минут, при Пропофоле чуть медленнее - через 10-15 минут.
Что будет после
После исследования под седацией ребенка примерно на час перевезут в наш уютный и комфортный стационар. Там он немного полежит и посмотрит мультфильмы под наблюдением врачей. После окончательного пробуждения его осмотрит педиатр и отпустит домой.
Пить и есть можно будет через 2 часа после седации.
Преимущества проведения КТ под седацией в ГУТА КЛИНИК
Больше возможностей. КТ под седацией доступно для детей с 0 лет.
Высококлассные врачи. Среди рентгенологов и реаниматологов - доктора со стажем больше 30 лет, опытом стажировок в клиниках США и Франции, к.м.н., авторы научных работ.
Удобство. Всю подготовку к лечению можно пройти в ГУТА КЛИНИК. А после пробуждения ребенок сможет лежать в комфортной палате и смотреть мультфильмы, пока окончательно не придет в себя.
Оборудование экспертного класса. Мы проводим исследование на компьютерном томографе Brilliance iCT фирмы Philips. Он обеспечивает высокую точность диагностики благодаря технологии 256 срезов (стандартно 32-128), повышенное разрешение изображений (на 45-80%), сниженную дозу облучения (на 60-80%).
Безопасность. Контроль за состоянием ребенка на уровне расширенного Гарвардского стандарта, современное реанимационно-анестезиологическое оборудование.
Результаты обследования мы можем записать на диск. Это бесплатно. Заключение вы получите в этот же день.*
* В сложных случаях, требующих дополнительно консультации с экспертами, сроки подготовки заключения могут быть увеличены до 48 часов. О необходимости консультации с экспертом и увеличению сроков подготовки заключения пациенту будет сообщено во время проведения исследования врачом-рентгенологом ГУТА КЛИНИК.
Читайте также:
- Патогенез кессонной болезни внутреннего уха. Механизмы кессонного поражения внутреннего уха
- Диагностика васкулита кожи. Лечение
- Вирусы. Вирион. Морфология вирусов. Размеры вирусов. Нуклеиновые кислоты вирусов.
- Техника операции задней шейной декомпрессии межпозвоночного отверстия и ламинэктомии
- Детоксикация. Принципы детоксикации при синдроме эндогенной интоксикации. Интра- и экстракорпоральные методы детоксикации.
