Бактероиды. Род Bacteroides. Группы бактероидов. Свойства бактероидов.
Добавил пользователь Евгений Кузнецов Обновлено: 22.11.2025
Рецензент: доктор медицинских наук, профессор кафедры эпидемиологии ФГБОУ ВО УГМУ Слободенюк А.В.
Литусов Н.В. Род Bacteroides . Иллюстрированное учебное пособие. - Екатеринбург: ФГБОУ ВО УГМУ, 2017. - 17 с.
В иллюстрированном учебном пособии рассматриваются вопросы истории открытия и изучения бактероидов, их морфологические, тинкториальные, культуральные, биохимические и антигенные свойства, факторы патогенности, эпидемиология, патогенез, клиника, принципы профилактики и лечения вызываемых бактероидами заболеваний.
Учебное пособие включает вопросы для контроля усвоения материала и тренировочные тесты. Учебное пособие иллюстрировано рисунками, схемами, таблицами для лучшего усвоения изучаемого материала. Часть рисунков выполнена автором, другая часть - заимствована из Интернет-ресурсов.
Иллюстрированное учебное издание предназначено для самостоятельной работы студентов при подготовке к практическим занятиям, компьютерным контролям и экзаменам.
Морфологические и тинкториальные свойства .
Культуральные, биохимические и антигенные свойства .
Факторы патогенности бактероидов и патогенез заболеваний .
Заболевания, вызываемые бактероидами .
Вопросы для контроля усвоения материала .
Бактероиды (греч. bakterion - палочка, eidos - вид, форма) представляют отдельный род грамотрицательных облигатных анаэробных палочек, не образующих споры. Они являются условно-патогенными микроорганизмами, входящими в состав нормальной микробиоты человека и животных.
Первое описание бактероидов принадлежит A. Veillon и A. Zuber, которые в 1898 г. из гноя при аппендиците выделили анаэробные микроорганизмы, не образующие спор ( Bacteroides fragilis ). Родовое название Bacteroides было введено в
1919 г. A. Castellani и A. Chalmers.
Бактероиды относятся к царству бактерий, типу Bacteroidetes , классу
Bacteroidia , порядку Bacteroidales , семейству Bacteroidaceae , роду Bacteroides . Тип
(филум, отдел) Bacteroidetes включает в себя следующих представителей, имеющих медицинское значение (таблица 1).
Таблица 1 - Представители типа Bacteroidetes , имеющие медицинское значение
( B. acidifaciens , B. biacutis ,
B. suis , B. tectus , B. thetaiotaomicron , B. vulgatus ). Виды,
состав рода Bacteroides , по морфологическим и биохимическим признакам, продукции жирных кислот, способности поражать те или иные органы и ткани подразделяются на группы, например, fragilis , melaninogenicus-oralis , asaccharolyticus . Клиническое значение имеют виды B. fragilis , B. thetaiotaomicron , B. vulgatus .
При классификации бактероидов выделяют особую группу Bacteroides fragilis, включающую в себя сам вид B. fragilis, а также B. distasonis, B. ovatus, B. thetaiotaomicron и B. vulgatus. Эти бактерии устойчивы к пенициллину за счет продукции бета-лактамаз, являются представителями нормальной микробиоты желудочно-кишечного тракта и преобладают при внутрибрюшной инфекции, при периректальных абсцессах, пролежнях.
Морфологические и тинкториальные свойства
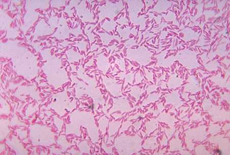
Бактероиды представляют собой грамотрицательные палочки, которые отличаются высоким полиморфизмом. Клетки бактероидов могут быть кокковидной (коккобациллы), палочковидной или ветвящейся формы размером 1-3х0,5-0,8 мкм. В мазке располагаются одиночно, парами, небольшими цепочками (рисунок 1).
Рисунок 1 - Bacteroides fragilis , окраска по Граму. Заимствовано из Интернетресурсов.
Одни виды бактероидов являются неподвижными, другие виды имеют перитрихиально расположенные жгутики. Бактероиды не образуют спор, некоторые виды имеют полисахаридную капсулу (рисунок 2).
Рисунок 2 - Bacteroides fragilis , а - просвечивающая электронная микроскопия, б - сканирующая электронная микроскопия, компьютерная визуализация. Заимствовано из Интернет-ресурсов.
Клеточная стенка бактероидов имеет некоторые особенности: между наружной и внутренней мембранами располагается периплазматическое пространство (рисунок 3).
Наружная мембрана Периплазма Внутренняя мембрана
Рисунок 3 - Структура клеточной стенки Bacteroides fragilis . Заимствовано из Интернет-ресурсов.
Культуральные, биохимические и антигенные свойства
Бактероиды являются облигатными анаэробами. Культивируются на обогащенных питательных средах: кровяном агаре, на средах с добавлением яичного белка, желчи, эскулина, тканевых экстрактов (мозгового, сердечного). Рост бактероидов стимулирует добавление в среды гемина, витамина К, цистеина, декстрозы. Желчно-эскулиновый агар используется для селективного выделения, идентификации и культивирования микроорганизмов группы Bacteroides fragilis . Эта среда содержит компоненты, поддерживающие рост прихотливых анаэробных микроорганизмов и подавляющие рост большинства других микробов, кроме эскулинположительных бактероидов.
Бактероиды лучше растут в атмосфере 10% углекислого газа при температуре 37 О С. B. fragilis образует каталазу и супероксиддисмутазу, поэтому является аэротолерантным микроорганизмом. Культивирование бактероидов проводят в анаэростатах (рисунок 4).
Рисунок 4 - Анаэростат.
Размножение бактероидов протекает медленно, посевы инкубируют в
течение 2-5 дней.
На плотных питательных средах бактероиды образуют мелкие жемчужносерые или белые колонии. На кровяном агаре B. fragilis образует мелкие (1-3 мм) выпуклые непигментированные колонии, а B. melaninogenicus - пигментированные колонии черного или темно-коричневого цвета. Некоторые штаммы бактероидов могут вызывать гемолиз (рисунки 5 и 6).
Колонии Bacteroides fragilis растущие на агаре для
Рисунок бактероидов 5 - Рост бактероидов с желчью и эскулином на кровяном . Инкубированы агаре. Заимствовано из Интернет-
анаэробно на 24 часа при 35 C.
Рисунок 6 - Колонии B. fragilis на агаре для бактероидов с желчью и эскулином (эскулиновом агаре). Заимствовано из Интернет-ресурсов.
На плотных питательных средах с желчью колонии бактероидов окружены опалесцирующей зоной выпавших в осадок желчных солей (рисунок 7).
Рисунок 7 - Рост Bacteroides fragilis на агаре с желчью. Заимствовано из Интернетресурсов.
Рост бактероидов в жидких питательных средах сопровождается равномерным помутнением.
Ключевыми признаками бактероидов является способность расти в присутствии 20% желчи, резистентностъ к канамицину (100 мкг), ванкомицину (5 мкг) и колистину (10 мкг).
Протеолитическая активность у бактероидов умеренная, лецитиназу не образуют, большинство штаммов не вызывают гемолиза эритроцитов, гиппурат не гидролизуют, индол не образуют. Гидролизуют эскулин, сбраживают различные углеводы (глюкозу, мальтозу, сахарозу, фруктозу и др.), синтезируют каталазу. Одни штаммы бактероидов являются уреазоположительными, другие - уреазоотрицательными. Основные дифференциальные признаки представлены в таблице 2.
Таблица 2 - Основные дифференциальные признаки бактерий рода Bacteroides , имеющих клиническое значение
Ферментация углеводов с образованием
Бактероиды содержат соматический О-антиген, могут иметь капсульный К- антиген и жгутиковый Н-антиген.
Геномы бактероидов представлены кольцевыми двухцепочечными молекулами ДНК. Установлена возможность переноса генов между E. coli и B. fragilis с помощью плазмид.
Бактероиды являются представителями нормальной микробиоты кишечника, мочеполовых органов, верхних дыхательных путей, полости рта. Основное место обитания бактероидов в организме человека - толстая кишка (рисунок 8).
Рисунок 8 - B. fragilis на эпителии кишечника (Chu H. e. a., 2016).
Бактероиды появляются в кишечнике человека через 10 дней после
рождения, у детей первого года жизни их количество в фекалиях достигает 10 7 -10 8 КОЕ/г, у взрослых - 10 9 -10 10 КОЕ/г, у пожилых людей - 10 10 -10 11 КОЕ/г. В тонком
кишечнике бактероидов намного меньше - до 10 7 КОЕ/г, а в полости рта их количество составляет не более 10 3 КОЕ/г. В ротовой полости бактероиды обнаруживаются главным образом в десневых карманах. В стерильных внутренних органах здоровых людей бактероиды отсутствуют.
Бактероиды являются антагонистами шигелл, сальмонелл, некоторых видов эшерихий. Они участвуют в процессах разложения углеводов, белков и биотрансформации жёлчных кислот.
Патология, обусловленная бактероидами, развивается чаще всего как эндогенная инфекция в результате повреждения слизистых оболочек - мест обитания этого микроба. При развитии патологических процессов выявляются ассоциации бактероидов с другими анаэробными, а также с аэробными и факультативно-анаэробными бактериями (кишечной палочкой, стрептококками, стафилококками, синегнойной палочкой). Однако B. fragilis способен вызывать моноинфекции.
Факторы патогенности бактероидов и патогенез заболеваний
Патогенность бактероидов обусловлена следующими факторами: 1. Адгезины:
- лектиноподобные поверхностные белки;
- лейкоцидин. 4. Метаболиты.
Поверхностные структуры клетки (лектиноподобные поверхностные
белки, пили и капсула) обусловливают адгезию к субстрату и защищают бактерию от фагоцитоза. Капсульный полисахарид состоит из двух компонентов: полисахарида А и полисахарида В. В своем составе полисахариды имеют
необычную повторяющуюся последовательность углеводных групп. Капсульные полисахариды активируют Т-лимфоциты и тем самым способствуют образованию абсцессов, возникающих при бактероидной инфекции.
Продуцируемые бактероидами гистолитические ферменты (протеазы, нейраминидаза, гиалуронидаза, нуклеаза, коллагеназа и др.) вызывают деструкцию иммуноглобулинов, компонентов комплемента, матриксных белков (коллагена, ламинина, фибронектина и др.), что способствует некрозу тканей и распространению гнойного процесса. В частности, протеаза разрушает секреторные антитела (IgA) и тем самым подавляет иммунитет слизистых оболочек организма. Она также разрушает факторы комплемента, препятствуя фагоцитозу.
Инактивирующие кислород ферменты (каталаза, супероксиддисмутаза)
создают в тканях анаэробные условия, благоприятные для размножения бактероидов. Кроме того супероксиддисмутаза бактероидов защищает бактерии от фагоцитоза.
Дезоксирибонуклеаза расщепляет ДНК клеток организма, что способствует абсцедированию пораженных тканей.
Гепариназа вызывает образование локальных тромбов, обусловливает внутрисосудистые изменения и тканевую ишемию в результате разрушения гепарина.
Бета-лактамаза обусловливает устойчивость к бета-лактамным антибиотикам (пенициллинам, цефалоспоринам).
Эндотоксин бактероидов отличается от ЛПС других грамотрицательных бактерий. Он оказывает общетоксическое действие на ткани организма, вызывает синтез цитокинов, в результате чего развивается воспаление.
Энтеротоксин повреждает цитоскелет энтероцитов, изменяет их секреторные свойства и вызывает дегенерацию эпителиоцитов кишечника.
Энтеротоксин B. fragilis ( Bacteroides fragilis toxin , BFT , фрагилизин) является цинковой металлопротеазой. Энтеротоксигенные штаммы B. fragilis (ETBF) могут продуцировать 3 варианта энтеротоксина. Синтез этого токсина кодируется генами btf-1 , btf-2 , btf-3 . Токсин разрушает структурно-функциональные контакты между эпителиоцитами кишечника, в результате чего наступает их эксфолиация и гиперсекреция жидкости. Таким образом, энтеротоксин способствует проникновению бактерий в глубжележащие ткани и развитию воспалительной реакции.
Жирные кислоты (метаболиты бактероидов) оказывают антифагоцитарный эффект: угнетают хемотаксис и кислородзависимую цитотоксичность лейкоцитов.
Развитию бактероидной инфекции способствуют аэробные и факультативноанаэробные бактерии - ассоцианты, обнаруживаемые в патологическом материале. В пораженных тканях они поглощают кислород и выделяют продукты метаболизма, оказывающие благоприятное влияние на развитие бактероидов.
Бактероиды: виды, свойства, патогенность, диагностика, лечение
Бактероиды (Bacteroides) — микроорганизмы, входящие в состав условно-патогенной микрофлоры человека. Основными представителями многочисленного рода Bacteroides являются: В. fragilis, В. ureolyticum, В. thetaiotaomieron, B.melaninogenicus. Именно они чаще других вызывают анаэробные инфекции у человека.
Род Bacteroides представлен микробами двух групп:
- Аэробными бактериями B.urealyticus и B.gracilis, которые являются возбудителями инфекций органов дыхания, ЖКТ, мочевыделительной системы;
- Анаэробными бактериями B. fragilis и B. melaninogenicus, которые вызывают гнойно-воспалительные заболевания у лиц с иммунодефицитом.
Термин «бактероиды» в переводе с древнегреческого языка означает «палочка, вид». Микробы этого семейства впервые были выделены в 1898 году от больного с абдоминальным абсцессом. В 1912 году они были обнаружены в испражнениях здоровых людей. В 1919 году бактерии получили свое родовое название Bacteroides.
Бактероиды содержатся в большом количестве в толстой кишке. При этом они значительно преобладают над аэробной микрофлорой и в сотни раз превышают количество кишечных палочек. Их физиологическое значение связано с антагонистической активностью, которую микробы проявляют к шигеллам, сальмонеллам и энтеропатогенным эшерихиям.
Свойства бактериодов
Эпидемиология
Различные штаммы бактероидов появляются у человека спустя 10 дней после рождения. Естественным их ареалом является толстый кишечник, а также дыхательные пути, полость рта, половые органы и мочевыводящий тракт. Для бактероидов характерен вертикальный путь передачи — от матери ребенку. В процессе рождения эти микробы становятся частью нормальной микрофлоры и не вызывают патологии.
В норме количество бактероидов в кале у детей и взрослых составляет 107 — 108 КОЕ/г. Эти бактерии участвуют в процессе переваривания пищи - в переработке жиров в организме. Снижение бактероидов в кале обусловлено длительной антибиотикотерапией или кишечными инфекциями бактериальной или вирусной этиологии. Увеличение количества бактероидов связано с обилием в рационе жирных продуктов.
Под воздействием негативных эндогенных и экзогенных факторов они приобретают патогенные свойства и вызывают гнойно-воспалительные заболевания брюшины, червеобразного отростка, мочевого пузыря, клапанов сердца, легких, мозговых оболочек, кожи, среднего уха, пазух носа.
Бактероиды находятся в полостных органах, связанных с внешней средой. Они отсутствуют у здоровых людей в стерильных внутренних органах и брюшной полости. При микробном дисбалансе патогенные штаммы бактериодов становятся возбудителями воспаления шейки матки, эндометрия, яичников, простаты, уретры. Эти заболевания отличаются упорным течением и частым рецидивированием. Бактероиды могут вызывать ДВС-синдром, который приводит к тяжелому флебиту и тромбозу. В тяжелых случаях наблюдается эндокардит и бактериемия. Травмы и повреждения кишечной стенки становятся причинами образования абсцессов в разных частях тела: печени, малом тазу, легких, головном мозге. Бактероиды способны вызывать опасные для жизни патологии - внутрибрюшной сепсис, перфорированный и гангренозный аппендицит, септический артрит, неспецифический язвенный колит, болезнь Крона.
Бактероидозы являются осложнением оперативных вмешательств на толстом кишечнике, мочевых путях, матке. Обычно бактероиды обнаруживаются в ассоциациях с другими микробами.
Симптомы
Бактероиды являются представителями кишечного эубиоза — совокупности микробных популяций, населяющих толстый кишечник здорового человека. Они относятся к облигатной группе бактерий. Наряду с бифидобактериями, лактобактериями, кишечной палочкой и энтерококками бактероиды постоянно обитают в кишечнике. Резидентная микрофлора составляют около 90% от общего числа микроорганизмов.

Под воздействием неблагоприятных факторов внешней среды происходят изменения в составе нормальной кишечной микрофлоры, формируется дисбиоз, сопровождающийся рядом клинических симптомов. При снижении количества бактероидов нарушается их антагонистическая, иммунотренирующая и метаболическая функция. Причинами подобных расстройств являются: недоношенность, искусственное вскармливание, заболевания ЖКТ, длительное лечение антибиотиками, гормонами, цитостатиками, лучевая терапия.
Изменение количества представителей условно-патогенных кишечных микроорганизмов, в том числе и бактероидов соответствует 2, 3 и 4 степени дисбактериоза. При этом 3 и 4 степени характеризуются появлением тяжелых кишечных дисфункций. У больных возникает боль в животе, вздутие, урчание, тошнота и рвота, отрыжка, изжога, неустойчивый стул, при котором запоры сменяются поносами. Постепенно к данным признакам присоединяется симптомы стоматита, фарингита, холецистита, уретрита, пиелонефрита, пневмонии.
В мазке из влагалища здоровой женщины обнаруживают гарднереллы, бактероиды, фузобактерии, велионеллы, пептококки и другие. Эти микроорганизмы относятся к транзиторной микрофлоре — непостоянно присутствующей во влагалище. В норме их количество очень мало. Под воздействием ряда факторов молочнокислые бактерии уничтожаются, среда во влагалище становится щелочной, транзиторные микроорганизмы начинают активно размножаться, что приводит к развитию бактериального вагиноза. У женщины появляются выделения из половых путей с неприятным запахом пропавшей рыбы. Они жидкие, беловатые или сероватые. Больные жалуются на жжение, зуд, дизурические расстройства, боль или неприятные ощущения при половых контактах. Усиленное размножение бактероидов во влагалище может закончиться не только развитием бактериального вагинита. Они проникают в вышележащие отделы половой системы и вызывают цервицит, эндометрит, сальпингит, аднексит.
Мужчины также могут быть носителями транзиторных микробов. Обычно это лица, перенесшие венерические болезни, страдающие воспалением простаты или часто применяющие для профилактики антисептические средства. У мужчин воспалительный процесс не развивается, конкретные жалобы отсутствуют.
Диагностика
Основным методом диагностики заболеваний, вызванных бактероидами, является лабораторный. В микробиологический лаборатории исследуют кровь, гной, ликвор, мокроту, мочу, кал, отделяемое влагалища и другой биоматериал от больных, в зависимости от места локализации патологического процесса. Принцип взятия и транспортировки исследуемого материала - исключение контакта с атмосферным воздухом. Оптимальный вариант — доставка проб в шприцах с удаленным воздухом.

С помощью микроскопа и окраски мазка по Граму обнаруживают грамотрицательные биполярно окрашенные полиморфные палочки, располагающиеся по одиночке, парами или короткими цепочками.
Бактериологическое исследование заключается в посеве материала на плотные и жидкие питательные среды с целью выделения чистой культуры и определения ее культуральных, биохимических и физиологических свойств с применением тест-систем. Для этого используют кровяной или сывороточный агар, тиогликолевую среду, жидкие среды с гемином, мозговой тканью и витаминами. Плотные питательные среды содержат лизированную кровь, а также антибиотики «Канамицин» или «Неомицин» для подавления роста сопутствующей микрофлоры.
Посевы инкубируют в анаэробных или микроаэрофильных условиях в течение 5-7 дней. Даже при кратковременной экспозиции с кислородом рост бактероидов прекращается. Нередко обращает на себя внимание отвратительный запах при росте микробов на питательных средах. После выделения и накопления чистой культуры идентифицируют полученный микроорганизм и определяют его чувствительность к антибиотикам.
- В. fragilis - мелкие, вогнутые, серовато-белые колонии без гемолиза.
- В. melaninogenicu — гладкие колонии черного цвета с зоной гемолиза вокруг.
Бактероидоз - классическая полиинфекция, при которой монокультуры практически не выделяются. Бактероиды обычно находятся в ассоциациях с клостридиями, фузобактериями, вейлонеллами, стрептококками.
Серологическое исследование проводят при септицемии и тяжелых воспалительно-гангренозных процессах. В крови больных быстро и в больших количествах вырабатываются антитела. Высокие титры антител определяют с помощью реакции агглютинации, преципитации в геле и непрямой гемагглютинации.
Ускоренная идентификации микробов бактероидной группы:
- Прямая и непрямая реакция иммунофлюоресценции,
- Радиоиммунологический метод,
- ИФА.
Лечение
Чтобы избавиться от бактероидов, оказывающих патогенное воздействие на организм, необходимо пройти курс противомикробной терапии. Больным назначают антибиотики широкого спектра действия из группы пенициллинов, цефалоспоринов, фторхинолонов. Бактероиды устойчивы к макролидам и аминогликозидам. Чтобы лечение антибиотиками было эффективным, необходимо назначать препараты по результатам антибиотикограммы. В микробиологической лаборатории после идентификации возбудителя определяют его чувствительность к противомикробным средствам.

После антибиотикотерапии необходим прием пре- и пробиотиков - «Колибактерина», «Бифиформа», «Аципола». Эти препараты восстанавливают нормальную кишечную микрофлору.
Симптоматическое лечение бактероидозов заключается в применении спазмолитиков при боли в животе «Но-шпы», «Дюспаталина». Если имеются нарушения процессов пищеварения, назначают ферменты «Креон», «Панкреатин», «Мезим», при наличии тошноты и рвоты - «Церукал», «Мотилиум». В тяжелых случаях показана дезинтоксикационная, десенсибилизирующая и стимулирующая терапия. Для укрепления иммунной системы больным показан прием иммуностимуляторов - «Иммунала», «Имудона», «Ликопида», витаминных и минеральных комплексов.
При наличии у женщины вагинита бактероидной этиологии применяют местные препараты в виде свечей, восстанавливающие нормальную микрофлору - «Фемилекс», «Вагинорм», «Вагилак». Местное воздействие и физиотерапевтические процедуры способствуют скорейшему выздоровлению больных.
Чтобы предупредить заболевания бактероидной этиологии, необходимо выполнять следующие врачебные рекомендации:
Bacteroides (бактероиды, род бактерий)

Бактероиды (лат. Bacteroides) — род грамотрицательных анаэробных бактерий. Бактероиды — наиболее типичные нормальные обитатели кишечника человека, составляющие около половины всей его микрофлоры. Бактероиды полиморфны, часто имеют форму палочки с закругленными концами размером 1-3 на 0,5-0,8 мкм. Бактероиды не образуют спор, но могут образовывать капсулы.
В связи с трудностью анаэробного культивирования и, следовательно, с высокой стоимостью исследования бактероиды при анализах во многих лабораториях не определяются (Ардатская М.Д., Минушкин О.Н.). Бактероиды — антагонисты шигелл, сальмонелл, некоторых видов эшерихий (Лобзин Ю.В. и др.).
Основными продуктами брожения являются уксусная кислота, изовалериановая кислота, янтарная кислота.
Бактероиды — нормальная микрофлора человека
- у детей первого года — 10 7 -10 8 КОЕ/г
- у детей старше года и взрослых — 10 9 -10 10 КОЕ/г
- у пожилых — 10 10 -10 11 КОЕ/г
Учёными американской Human Microbiome Project (HMP) и европейской Metagenomics of human intestinal tract (MetaHIT) был введен термин «энтеротипы» - это устойчивые кластеры на основе микробного состава в образцах из кишечника человека, которые определяются преобладанием тех или иных ключевых родов бактерий и не являются популяционно- и континент-специфичными. Их исследования установили, что у взрослых в 1-м энтеротипе доминируют представители рода Bacteroides, во 2-м — Prevotella, в 3-м — Ruminococcus. Однако чёткие критерии определения энтеротипов отсутствуют; кроме того, результаты ряда исследований указывают на незначительное преобладание в биотопах организма ключевых бактериальных родов (Кожевников А.А. и др.).
Бактероиды и заболевания человека
Присутствуя в организме человека бактероиды могут вызывать различные гнойно-воспалительные заболевания после травм, оперативных вмешательств, инструментальных исследований, при онкопатологиях или иммунодефиците, такие как перитонит, абсцессы, эндокардит, сепсис, тонзиллит, пародонтоз, анальная трещина и другие. Бактероиды являются причиной более чем половины всех внутрибрюшинных анаэробных инфекций.
Наиболее изучены патогенные свойства бактероидов вида Bacteroides fragilis. Этот вид может вызывать как внутрибрюшинные инфекции, такие как перитонит, хронический язвенный колит, но и синовиит, сальпингит, болезнь Рейтера, хронический тонзиллит. Бактероиды часто вызывают поражение женских внутренних половых органов: цервициты, эндометриты, аднекситы, инфекции в малом тазу. Обнаруживают бактероиды и при простатитах, хронически протекающих осложнённых уретритах у мужчин, у пациентов с упорным течением заболевания и частыми рецидивами.
Бактероиды ассоциируются с колоректальным раком, бронхиальной астмой (Bacteroides fragilis), воспалительными заболеваниями кишечника (ВЗК), сахарным диабетом, ожирением, неалкогольной жировой болезнью печени (НАЖБП) (Bacteroides thetaiotaomicron); титр бактероидов уменьшается при болезни Крона (Карпеева Ю.С. и др.).
Ассоциация бактероидов с Gardnerella vaginalis, Mobiluncus характерна для бактериального вагиноза.
Бактероидные инфекции лечатся метронидазолом, тинидазолом, левомицетином, эритромицином, рифаксимином.
Материалы для пациентов
- «Советы врачей» в разделе сайта «Пациентам»
- «Популярная гастроэнтерология» в разделе «Литература»
- «Популярная гастроэнтерология» в разделе «Видео»
Публикации для профессионалов здравоохранения, затрагивающие роль бактероидов в заболеваниях человека
Чувствительность бактероидов к антимикробным препаратам
Бактероиды устойчивы к аминогликозидам (стрептомицину, гентамицину, канамицину, мономицину). Большинство штаммов бактероидов устойчивы к тетрациклину. Доксициклин активен в отношении некоторых штаммов бактероидов, но большинство штаммов Bacteroides fragilis к нему устойчивы. В отношении бактероидов активен линкомицин.
- чувствительны: пенициллин G, амоксициллин + клавулановая кислота, мезлоциллин, пиперациллин, импенем, цефтриаксон, эритромицин, клиндамицин, хлораменикол, фузидин, офлоксацин, метронидазол
- слабочувствительны: карбенициллин, цефотаксим, цефтазидим, доксициклин, новобицин
- не чувствительны: оксациллин, клоксациллин, диклоксациллин, ампициллин, амоксициллин, цефазолин, цефалотин, цефамандол, цефоперазон, цефалексин, цефаклор, гентамицин, амикацин, тобрамицин, канамицин, эритромицин, азитромицин, ванкомицин, полимиксин В, рифампицин, ципрофлоксацин, пефлоксацин, триметроприм, котримоксазол, амфотерицин В, кетоконазол, флуцитозин.

Чувствительность Bacteroides spp. к антибактериальным препаратам (Косинец В.А.)
Бактероиды в систематике бактерий
По современной систематике род бактероиды входит в семейство Bacteroidaceae, порядок Bacteroidales, класс Bacteroidia, тип Bacteroidetes, Bacteroidetes/Chlorobi group, Fibrobactere-Chlorobi-Bacteroidetes superphylum, царство Бактерии.
В состав рода бактероиды входят виды: B. acidifaciens, B. barnesiae, B. caccae, B. caecicola, B. caecigallinarum, B. cellulosilyticus, B. caecimuris, B. clarus, B. coprocola, B. coprophilus, B. coprosuis, B. denticanum, B. dorei, B. eggerthii, B. faecichinchillae, B. faecis, B. finegoldii, B. fluxus, B. fragilis, B. galacturonicus, B. gallinaceum, B. gallinarum, B. graminisolvens, B. helcogenes, B. heparinolyticus, B. intestinalis, B. luti, B. massiliensis, B. mediterraneensis, B. neonati, B. nordii, B. oleiciplenus, B. ovatus, B. paurosaccharolyticus, B. plebeius, B. propionicifaciens, B. pyogenes, B. reticulotermitis, B. rodentium, B. salanitronis, B. salyersiae, B. sartorii, B. stercorirosoris, B. stercoris, B. thetaiotaomicron, B. timonensis, B. uniformis, B. vulgatus, B. xylanisolvens, B. xylanolyticus, B. zoogleoformans.
Ранее к роду бактероиды относился целый ряд видов, впоследствии реклассифицированые в виды рода Prevotella. В частности, Bacteroides melaninogenicus и Bacteroides intermedius были реклассифицированы в Prevotella melaninogenica и Prevotella intermedia. Вид Bacteroides urealyticus перенесён в род Campylobacter и назван Campylobacter ureolyticus, виды Bacillus necrogenes, Bacteroides freundii и Bacteroides russii перенесены в род Fusobacterium и названы Fusobacterium necrogenes, Fusobacterium mortiferum и Fusobacterium russii, виды Bacteroides distasonis, Bacteroides goldsteinii и Bacteroides merdae реклассифицированы в виды Parabacteroides distasonis, Parabacteroides goldsteinii и Parabacteroides merdae рода парабактероидов, соответственно. Вид Bacteroides termitidis — в Sebaldella termitidis, Bacteroides corrodens — в Eikenella corrodens, Bacteroides hypermegas — в Megamonas hypermegale, вид Bacteroides forsythus — в Tannerella forsythia и т.д.
Bacteroides fragilis (бактероиды фрагилис)

Бактероиды фрагилис (лат. Bacteroides fragilis) — вид грамотрицательных анаэробных бактерий.
Bacteroides fragilis — неподвижные, образующие капсулу бактерии. Капсулы обладают интенсивным свечением и значительной толщиной, превышая размер клетки в 3-6 раз.
Bacteroides fragilis — нормальная микрофлора человека
Основное место обитания Bacteroides fragilis в человеческом организме — толстая кишка. В кале здоровых людей Bacteroides fragilis составляют около половины всех микробных клеток. Bacteroides fragilis также входят в состав нормальной микрофлоры влагалища и вульвы, полости рта и гортани, верхних дыхательных путей человека. Bacteroides fragilis, как и другие бактероиды, во внутренних органах, не имеющих связанных с внешней средой полостей, и во внутрибрюшинном пространстве у здоровых людей отсутствуют.
Нарастание содержания Bacteroides fragilis в кишечнике человека коррелируется с выраженностью газообразования (Шульпекова Ю.О.).
Bacteroides fragilis — возбудители заболеваний
Bacteroides fragilis, как и другие бактероиды, могут вызывать различные гнойно-воспалительные заболевания после травм, оперативных вмешательств, инструментальных исследований, при онкопатологиях или иммунодефиците.
Bacteroides fragilis могут быть причиной как внутрибрюшинных инфекций, таких как перитонит, хронический язвенный колит, так и синовиита, сальпингита, болезни Рейтера, хронического тонзиллита, цервицита, эндометрита, аднексита, инфекции в малом тазу, а также простатита, хронически протекающего осложнённого мужского уретрита.
Антибактериальные средства (из имеющих описание в данном справочнике), активные в отношении Bacteroides fragilis: метронидазол, тинидазол, рифаксимин, джозамицин, линкомицин, клиндамицин, моксифлоксацин. Bacteroides fragilis резистентны к ципрофлоксацину, рокситромицину. Большинство штаммов Bacteroides fragilis устойчивы к доксициклину.
Bacteroides fragilis в МКБ-10
Bacteroides fragilis упоминаются в «Классе I. Некоторые инфекционные и паразитарные болезни (A00-B99)» Международной классификации болезней МКБ-10, они включены в блок «B95-B98 Бактериальные, вирусные и другие инфекционные агенты» и имеют код рубрики «B96.6 Bacteroides fragilis [B. fragilis] как причина болезней, классифицированных в других рубриках» (в оригинальном документе ВОЗ на английском языке употребляется синоним Bacillus fragilis). Данный код предназначен для использования в качестве дополнительного, когда целесообразно идентифицировать инфекционных агентов заболеваний, классифицированных в других рубриках.
Bacteroides fragilis в систематике бактерий
Bacteroides fragilis относятся к роду бактероиды (лат. Bacteroides), входящему в семейство Bacteroidaceae, порядок Bacteroidales, класс Bacteroidia, тип Bacteroidetes, Bacteroidetes/Chlorobi group, Fibrobactere-Chlorobi-Bacteroidetes superphylum, царство Бактерии.
Синонимы (более ранние названия): Bacillus fragilis, Fusiformis fragilis, Ristella fragilis, Pseudobacterium fragilis, Bacteroides inaequalis, Sphaerophorus inaequalis, Pseudobacterium inaequalis, Bacteroides incommunis, Ristella incommunis, Pseudobacterium incommunis, Bacteroides uncatus, Ristella uncata, Pseudobacterium uncatum, Sphaerophorus intermedius.
Читайте также:
