Бесскелетные рентгеновские снимки глазного яблока. Технива выполнения
Добавил пользователь Владимир З. Обновлено: 28.01.2026
• интраоперационная диагностика при подозрении на ранение задних отделов склеры или контузионный разрыв склеры со вскрытием конъюнктивы и тщательным осмотром склеры при максимальных отведениях глазного яблока с помощью тракций за глазные мышцы;
• КТ-диагностика ранений заднего отрезка склеры;
• пальпаторная тонометрия при необработанных проникающих ранениях, эрозиях и язвах роговицы, а также ее перфорации.
2. Диагностика внутриглазных инородных тел:
• обзорная рентгенография орбиты для исключения внутриглазного инородного тела, а также методики бесскелетной рентгенографии;
• рентгенографическая локализация инородного тела по Комбергу—Балтину; серийная по Богатину.
• ультразвуковая эхография для уточнения локализации и топографии инородного тела;
• КТ-исследование в сложных случаях локализации и при подозрении на рентгенонеконтрастные инородные тела;
Клинико-рентгенологическая классификация инородных тел глазной и глазничной локализации.
Рентгенологическое исследование лицевого скелета включает рентгенографию глазницы и ее содержимого, придаточных пазух носа, прицельные снимки отдельных костей лицевого скелета и снимки зубочелюстного аппарата. Большинство анатомических образований лицевого скелета достаточно четко видно на обзорных снимках черепа в прямой передней и задней проекциях, на снимках в носоподбородочной, подбородочной, носолобной, лобной, боковой и аксиальной проекциях.
Однако для более четкого их выявления, по возможности с минимальной суперпозицией изображения других анатомических структур черепа, предложен ряд специальных прицельных снимков.
С целью детального изучения стенок глазниц и придаточных пазух носа широко используют томографическое исследование.
РЕНТГЕНОГРАФИЯ КОСТНЫХ СТЕНОК ГЛАЗНИЦЫ
Верхняя и наружная стенки глазницы прослеживаются на снимке черепа в боковой проекции.
Для более детального изучения стенок глазницы предложен ряд прицельных снимков.
УКЛАДКИ СНИМОК ГЛАЗНИЦЫ В НОСОПОДБОРОДОЧНОЙ ПРОЕКЦИИ
Назначение снимка. Изучение состояния костей, образующих вход в глазницу, костной структуры верхней и наружной ее стенок.
Укладка больного для выполнения снимка сходна с укладкой для выполнения обзорного снимка в этой же проекции. В данном случае используюткассету размером 13X18 см, располагая ее в кассетодержателе в поперечном положении. Больной прилежит к столу подбородком и кончиком носа,переносье соответствует центру кассеты. Центральный пучок излучениянаправляют на центр кассеты. Фокусное расстояние—100 см.
В этой же укладке может быть выполнен снимок одной (правой или левой) глазницы. В таких случаях центр снимаемой глазницы соответствует центру кассеты, и на него отвесно направляют пучок излучения, используя тубус или диафрагмирование пучка излучения с помощью щелевой диафрагмы. Фокусное расстояние—100 см (рис. 88).
Информативность снимка. На снимке хорошо видны вход в глазницу, структура ее стенок, иногда малое и большое крыло клиновидной кости (рис. 89). На снимке в этой проекции могут быть выявлены деструктивные изменения стенок глазницы и инородные тела в ее полости (рис. 90, 91). Для выявления изменений в области верхней стенки глазницы (например, при
диагностике переломов) снимок целесообразно выполнять не в носоподбородочной, а в подбородочной проекции.
На таких снимках верхняя стенка глазницы проекционно искажается в меньшей степени, и все изменения в ее области видны более отчетливо (см. рис. 54, 55).
На прицельном снимке каждой из глазниц в этой же проекции, как правило, небольшие изменения структуры стенок, а также мелкие инородные тела глаза видны лучше. Такие снимки широко используют в офтальмологической практике (рис. 92).
Критерии правильности технических условий съемки и правильности укладки основываются на четкости выявления костной структуры и симметричности изображения глазниц.
Наиболее частые ошибки при выполнении снимка сводятся к асимметрии положения головы.



СНИМОК ГЛАЗНИЦЫ В НОСОЛОБНОЙ ПРОЕКЦИИ
Назначение снимка — изучение контуров костей, образующих вход в глазницу, структуры верхней и наружной ее стенок, ширины и контуров верхних глазничных щелей, а также выявление инородных тел в полости глазницы.

Укладка больного для выполнения снимка, информативность снимка, критерии правильности технических условий съемки и правильности укладки те же, что для снимка крыльев клиновидной кости и верхних глазничных щелей.
В качестве примера информативности снимка глазниц в носолобной проекции для выявления инородных тел глаза и деструктивных изменений стенок приводим два наблюдения.
Одно из них — случай ранения глаза металлической стружкой (рис. 93), другое — случай деструкции верхненаружного края глазницы при доброкачественной опухоли слезной железы (рис. 94).
СНИМОК ГЛАЗНИЦЫ В БОКОВОЙ ПРОЕКЦИИ
Назначение снимка — отображение наружного края, верхней и нижней стенок глазницы, а также выявления инородных тел, находящихся в ее полости.
Укладка больного для выполнения снимка такая же, как для выполнения снимка черепа в боковой проекции (рис. 95).
Кассету размером 13X18 см устанавливают в кассетодержателе в поперечном положении. Наружный край глазницы соответствует центру кассеты, и на него направляют пучок излучения.
Информативность снимка. На снимке хорошо видна наружная стенка глазницы. Для выявления небольших участков измененной костной структуры других стенок информативность снимка, как правило, невысокая из-за суперпозиции анатомических образований противолежащей стороны лицевого скелета. Хорошо видны на снимке в данной проекции инородные тела (рис. 96).
Критерии правильности технических условий съемки и правильности укладки. Правильность подбора физико-технических условий съемки определяется резкостью изображения контуров костей и четкостью костной структуры.
При правильной укладке контуры верхней и нижней стенки правой и левой глазницы совпадают.
Наиболее частые ошибки при выполнении снимка сводятся к неправильному подбору физико-технических условий съемки.


СНИМОК ГЛАЗНИЦЫ В КОСОЙ ПЕРЕДНЕЙ ПРОЕКЦИИ (СНИМОК ЗРИТЕЛЬНОГО КАНАЛА ПО РЕЗЕ)
Назначение снимка. Основное назначение снимка — получение изображения зрительного канала, Как правило, для оценки ширины и формы канала прибегают к последовательной съемке правой и левой глазницы.
Голову поворачивают в сторону и укладывают таким образом, чтобы к экспонируемой половине кассеты прилегали надбровная дуга, скуловая кость и кончик носа, а в центре ее находилась исследуемая глазница. Срединная сагиттальная плоскость головы образует с плоскостью стола угол в 40—50°, открытый кзади. Кассета размером 18Х 24 см располагается на столе в поперечном положении.
Поочередно экспонируют правую и левую половину кассеты, перекрывая неиспользуемую половину листом просвинцованной резины. На кассету накладывают неподвижную отсеивающую решетку.
Пучок излучения направляют отвесно на наружный угол глаза исследуемой стороны (рис. 97).
Информативность снимка. На снимке отображается зрительный канал, имеющий обычно неправильно-округлую форму с четкими резкими контурами. Видны также вход в глазницу, решетчатые ячейки (рис. 98, а, б). Расширение зрительного канала, возникающее при опухолях зрительного нерва, как правило, может быть достоверно выявлено только путем сравнительного анализа снимков правой и левой глазницы (рис. 99, а, б). Поэтому снимки глазниц в косой проекции по Резе всегда следует производить с обеих сторон.

Критерии правильности технических условий съемки и правильности укладки. На снимке должна быть четко видна структура костей.
Изображение зрительного канала при правильной укладке проецируется вблизи наружной стенки глазницы в виде четкой кольцевидной тени.

Наиболее частые ошибки при выполнении снимка. При неправильном угле наклона головы и неправильной центрации пучка излучения отображение зрительного канала нечеткое. При грубом нарушении правил укладки зрительный канал на снимке неразличим.
РЕНТГЕНОЛОГИЧЕСКОЕ ИССЛЕДОВАНИЕ ГЛАЗА СНИМКИ ГЛАЗА С ПРОТЕЗОМ КОМЬЕРГА- -БАЛТИНА
Назначение снимков — локализация инородных тел в глазу и полости глазницы.
Методика выполнения рентгенограмм глазницы с протезом Комбурга — Балтина. Осуществляют анестезию глаза больного путем закапывания в конъюнктивальный мешок 2% раствора дикаина. Протез Комберга — Балтина соответствующего размера после дезинфекции спиртом вводят под веки исследуемого глаза и устанавливают таким образом, чтобы в его отверстии был виден зрачок, а свинцовые метки по краям протеза соответствовали концам вертикального и горизонтального меридианов глаза («12—6 и 3—9 часов»). Снимок исследуемой глазницы производят в носоподбородочной проекции при фиксации взора вниз на кассету. Затем, не меняя положения протеза, выполняют снимок глазницы в боковой проекции с центрацией пучка излучения на пленку через плоскость лимба глаза. При этом больной фиксирует взор на точке, находящейся прямо перед глазами.
Информативность снимка. При правильно проведенном исследовании(правильное наложение протеза, правильная фиксация взора, технически правильное выполнение снимков) после соответствующих расчетов удается точно локализовать рентгеноконтрастные инородные тела, расположенные в глазу и полости глазницы (рис. 101, а, б).

Критерии правильности технических условий съемки и правильности укладки. На снимке должны быть хорошо видны структура стенок глазницы, наложенный на глазное яблоко протез и свинцовые метки на нем. При правильно наложенном протезе метки, соответствующие концам горизонтального меридиана, на снимке в боковой проекции должны совпадать друг с другом .
Наиболее частые ошибки при выполнении снимка — неправильное наложение протеза и смещение взора во время съемки.
БЕССКЕЛЕТНЫЕ СНИМКИ ПЕРЕДНЕГО ОТДЕЛА ГЛАЗА (ПО ФОГТУ)
Назначение снимков — выявление мелких инородных тел в переднем отделе глазного яблока.
Методика выполнения бесскелетных снимков переднего отделе глаза.
После анестезии глаза 2 % раствором дикаина две овальные, вместе сложенные, специально вырезанные по трафарету рентгенографические пленки размером 4X6 см, завернутые в черную бумагу и вложенные в оболочку из тонкой резины, заводят как можно глубже в конъюнктивальный мешок с носовой стороны и придерживают в этом положении (это делает сам больной).
Иногда пленки фиксируют специальным держателем (рис. 102). Рентгеновскую трубку располагают с височной стороны снимаемого глаза. Пучок рентгеновского излучения направляют кпереди от наружной стенки глазницы на передний отдел глазного яблока перпендикулярно пленке.
Для выполнения снимка в аксиальной проекции пленки вводят под глазное яблоко. Рентгеновская трубка находится над больным. Пучок излучения направляют кпереди от верхнего края глазницы через передний отдел глазного яблока перпендикулярно пленке. Во время съемки взор больного направлен прямо вперед. Для маркировки верхнего и нижнего края пленки при выполнении бокового снимка, а также наружного и внутреннего краяпри выполнении аксиального снимка соответственно к нижнему или к наружному краю пленки прикрепляют металлическую скрепку.
Информативность снимка. На бесскелетном снимке, произведенном в боковой проекции (рис. 103, а) видны верхнее и нижнее веко, роговица и передний отдел глазного яблока. На бесскелетном снимке, выполненном в аксиальной проекции, также определяются роговица и передний отдел глазного яблока и, кроме того, ткань верхнего века (рис. 103, б). Бесскелетные снимки весьма информативны для выявления мелких и мельчайших инородных тел, локализующихся в переднем отделе глаза. Их информативность во много раз превосходит обычные снимки, так как при этом исключена суперпозиция костных стенок глазницы.
С целью определения возможных артефактов на рентгенографической пленке, которые могут симулировать инородные тела глаза, снимки производят одновременно на двух, сложенных вместе пленках. Противопоказаниями к выполнению бесскелетных снимков глаза являются свежие прободные ранения рговицы и склеры.

Снимки следует производить с большой осторожностью при недостаточно окрепших рубцах роговицы.
Критерии правильности технических условий съемки и правильности укладки. При правильно подобранных условиях съемки отчетливо виден контур переднего отдела глазного яблока. Информативность переэкспонированных и перепроявленных снимков резко снижается. Снимки следует производить с минимальной выдержкой с целью исключения динамической
нерезкости.
Наиболее частые ошибки при выполнении снимков — завышение технических параметров съемки, динамическая нерезкость изображения, обусловленная недостаточной фиксацией взора, а также и длительной выдержкой.
КОНТРАСТНЫЕ ИССЛЕДОВАНИЯ ГЛАЗНИЦЫ
К контрастным исследованиям глазницы прибегают в основном при диагностике опухолей и других объемных процессов в ее полости. Наиболее информативными являются флебография орбиты — контрастирование венозной ее системы — и орбитография — контрастирование ретробульбарного (тенонова) пространства.
При подозрении на сосудистую опухоль в полости глазницы применяют артериографию.
УКЛАДКИ ФЛЕБОГРАФИЯ ОРБИТЫ
Назначение исследования — определение объемного процесса в полости глазницы на основании изменения топографии венозной сети, главным образом верхней глазничной вены.
Методика исследования. Под местной анестезией производят пункцию лобной или лицевой вены. Через иглу вводят полихлорвиниловый катетер с наружным диаметром 0,8—0,9 мм. Катетер фиксируют. Широкой резиновой лентой сдавливают мягкие ткани лба с целью закрытия просвета лобных вен.

Поперечную вену носа и лицевую вену сдавливают с помощью ватных подушечек. После введения 1—2 мл 0,5 % раствора новокаина максимально быстро—за 1—1,5 с—вливают 3—4 мл 50% раствора гипака и производят серию рентгенограмм в задней обзорной и боковой проекциях. Для этого используют специальный ангиографический комплекс, включающий две рентгеновские трубки и две приставки для быстрой смены кассет. При отсутствии такого комплекса после введения контрастного вещества поочередно выполняют прямой и боковой снимки.
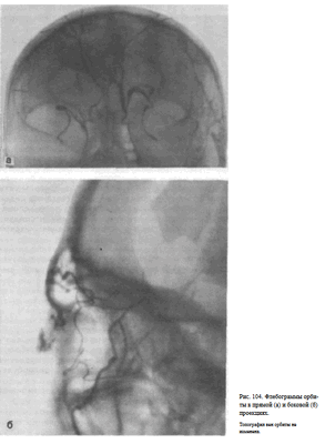
Информативность исследования. Топография верхней глазничной вены постоянна. В норме на флебограмме орбиты в боковой проекции верхняя глазничная вена выявляется под верхней ее стенкой. Она имеет плавные изгибы. Часто видны коллатеральные вены, соединяющие ее с нижней глазничной веной, менее постоянной в своей топографии. На флебограмме
орбиты в прямой задней проекции верхняя глазничная вена отображается в форме ромба (рис. 104, а, 6). Отклонение в пробеге верхней глазничной вены, оттеснение ее, а также обрыв, как правило, связаны с объемным процессом в полости глазницы.
ОРБИТОГРАФИЯ
Назначение исследования — выявление объемного процесса в орбите путем контрастирования заглазничного пространства.
Методика исследования. Под местной анестезией вводят иглу через нижнее веко параллельно нижней стенке глазницы на глубину 1,5—2 см, и через нее вливают в теноново пространство 2—3 мл 0,5 % раствора новокаина, а затем 4—5 мл 20 % раствора гипака. Рентгенограммы выполняют через 1 и 10 мин после введения контрастного вещества в прямой (задней) и боковой проекциях.
Информативность исследования. Контрастное вещество равномерно распределяется в жировой клетчатке заглазничного пространства и на снимках в норме имеет типичную конфигурацию: на прямом снимке — форму прямоугольника с закругленными краями и округлым дефектом наполнения в центре в месте прохождения зрительного нерва (рис. 105), а на боковом снимке — конусовидную форму с полусферическим вдавлением в области основания, соответственно заднему полюсу глазного яблока.

При опухолях или других объемных процессах распределение контрастногоещества неравномерное, с наличием дефектов наполнения (рис. 106).
Бесскелетные снимки переднего отдела глаза по Фогту (назначение снимков)
Назначение снимков — выявление мелких инородных тел в переднем отделе глазного яблока. Методика выполнения бесскелетных снимков переднего отделе глаза После анестезии глаза 2% раствором дикаина две овальные, вместе сложенные, специально вырезанные по трафарету рентгенографические пленки размером 4х6 см, завернутые в черную бумагу и вложенные в оболочку из тонкой резины, заводят как можно глубже в конъюнктивальный мешок с носовой стороны и придерживают в этом положении (это делает сам больной).
Иногда пленки фиксируют специальным держателем. Рентгеновскую трубку располагают с височной стороны снимаемого глаза. Пучок рентгеновского излучения направляют кпереди от наружной стенки глазницы на передний отдел глазного яблока перпендикулярно пленке.
Для выполнения снимка в аксиальной проекции пленки вводят под глазное яблоко. Рентгеновская трубка находится над больным. Пучок излучения направляют кпереди от верхнего края глазницы через передний отдел глазного яблока перпендикулярно пленке. Во время съемки взор больного направлен прямо вперед.
Для маркировки верхнего и нижнего края пленки при выполнении бокового снимка, а также наружного и внутреннего края при выполнении аксиального снимка соответственно к нижнему или к наружному краю пленки прикрепляют металлическую скрепку.
«Методика и техника получения рентгеновского снимка»,
Кишковский
Рентгенодиагностика инородных тел при травмах орбиты
На базе Уфимского научно-исследовательского института глазных болезней круглосуточно работает кабинет неотложной помощи, откуда пациенты с повреждением области орбиты направляются на рентгеновское исследование с целью исключения нарушения целостности костных стенок орбиты, лицевого скелета, каналов зрительного нерва, определения состояния придаточных пазух носа и пр.
За период с 2009 по 2011 годы нами проведено 628 рентгенологических исследований пациентам с ранениями вспомогательного аппарата глаза и глазного яблока.
Структура травмы при поступлении была следующая: ранения век (122), контузионные разрывы глазного яблока (93), раны конъюнктивы глазного яблока (59), непроникающие ранения роговицы (25), проникающие ранения роговицы (179), проникающие ранения склеры (67), корнеосклеральные ранения (83). При этом в 128 случаях обнаружены тени инородных тел (ИТ), в т. ч. 30 инородных тел определялись с помощью общепринятых клинико-офтальмологических методов исследования и подтверждались обзорной рентгенографией орбиты. В остальных случаях (98) для диагностики расположения ИТ применяли метод рентгенолокализации Комберга-Балтина.
Метод заключается в использовании алюминиевого протеза-индикатора толщиной 0,5 мм с радиусом кривизны, соответствующим кривизне склеры. В центре протеза-индикатора находится отверстие диаметром 11 мм. На расстоянии 0,5 мм от края отверстия впаяны четыре свинцовые точки, располагающиеся во взаимно перпендикулярных меридианах. После эпибульбарной анестезии 0,4 % раствором инокаина протез-индикатор накладывается на глазное яблоко так, чтобы свинцовые метки соответствовали лимбу у 12, 3, 6 и 9 часов.
Рентгеновские снимки с протезом Комберга-Балтина делают в прямой и боковой проекциях. На первом снимке определяется меридиан, по которому располагается ИТ и расстояние его от анатомической оси глаза; на втором устанавливается расстояние ИТ от плоскости лимба. С помощью схем-измерителей производится определение местоположения ИТ.
Иногда установление локализации инородных тел в полости глаза затруднено. Это касается, прежде всего, тех инородных тел, которые располагаются в пограничной зоне, т. е. в оболочках глаза или в непосредственной близости от них. С помощью метода Комберга-Балтина не всегда можно получить сведения о точной локализации ИТ, так как измерители рассчитаны на схематический глаз. В таких случаях более надежно сочетание рентгенологического и ультразвукового методов.
Ультразвуковой метод позволяет определить размеры глаза и уточнить расположение инородного тела. Кроме исследования в двух проекциях, обязательно делаются бесскелетные снимки переднего отрезка глаза по Балтину для обнаружения мелких и слабоконтрастных ИТ. Если при этом не удается вывести на рентгенограммах достаточно большой отрезок глаза, применяется бесскелетная рентгенография по Фогту, когда в конъюнктивальную полость вводится рентгеновская пленка размером 2 Ч 4 см, завернутая в черную, вощеную бумагу. Снимки делаются в боковой и аксиальной проекциях.
За три года сделано 11 рентгеновских исследований по Фогту. Следует помнить, что рентгенографию переднего отрезка глаза по Фогту нельзя производить при свежих проникающих ранениях роговицы и обширных ранениях склеры.
У 21 больного ИТ определялись только на бесскелетных рентгенограммах, то есть находились либо в веках, либо в переднем отделе глаза.
За три года топографическое расположение ИТ по рентгеновским данным было следующее: в веках — 10 (7,8 %), в роговой оболочке — 16 (12,5 %), в передней камере — 15 (11,7 %), в хрусталике — 6 (7,8 %), в стекловидном теле — 47 (36,8 %), в пограничной зоне и в оболочках глаза — 15 (11,7 %), за глазом — 15 (1,7 %). Таким образом, наибольшее количество ИТ находилось в стекловидном теле. Для большинства (44) инородных тел входными воротами были раны роговицы.
Сравнительный анализ по годам показал уменьшение контузионных разрывов глазного яблока с 35 — в 2010 г. до 30 — в 2011 г. Количество проникающих ранений глаза, напротив, возросло от 99 — в 2010 г. до 126 — в 2011 году. Исследований определения локализаций инородных тел с помощью рентгена было проведено в 2009 г. — 28, в 2010 — 31, в 2011 г. — 39.
Выводы. По данным 2009-2011 гг., отмечается рост числа проникающих ранений глаза с внедрением инородных тел.
Бесскелетная рентгенография
Показанием для применения этого метода служат клинические признаки наличия в глазу инородного тела и отсутствие его на скелетных снимках. Наиболее удобна и широко применяется модифицированная методика Фогта (рис.
78) [2]. После эпибульбарной анестезии специально нарезанную, защищенную от света и влаги пленку для выполнения бокового снимка вводят между веками у внутреннего угла глаза, осторожно продвигая вглубь параллельно внутренней стенке глазницы. Рентгеновский луч центрируют на наружный угол глаза и ориентируют его горизонтально во фронтальной плоскости перпендикулярно пленке (рис. 78, а). Для получения аксиального снимка пленку вводят в нижний конъюнктивальный свод и продвигают вглубь вдоль нижней стенки глазницы. Рентгеновский луч центрируют на середину нижней поверхности верхнеорбитального края и направляют назад (угол подбирается эмпирически в зависимости от анатомических особенностей глазницы). Достигнув угла 90° между лучом и пленкой, производят снимок (рис. 78, б).
При необходимости, взаимно меняя положение пленки и глаза, можно вывести на снимок всю переднюю половину глаза. Для выполнения бесскелетных снимков очень удобен дентальный (зубной) аппарат, трубка которого обладает мобильным штативом и легко устанавливается с нужной центрацией. Однако производство таких снимков сопряжено с давлением на глаз. При наличии свежей раны ждут ее заживления или делают бесскелетные снимке по Б. Л. Поляку касательным ходом рентгеновского луча (рис. 78, в).
На бесскелетных снимках видны контуры век (на аксиальном, соответственно, верхнего века и переднего отдела глазного яблока), а также очень мелкие (менее 0,5 мм) и малоконтрастные инородные тела.
Для расчетов применяют схему-измеритель бокового сечения, накладывая ее на снимок так, чтобы совместились контуры переднего отдела глаза на снимке и схеме. При необходимости индикации пользуются зондом, приставляя его к вершине роговицы или лимбу, или подшивают контрастные метки, маркируя место предполагаемой локализации осколка.
Читайте также:
- Миозит
- Случай перфорации роговицы у онкологического пациента после химиотерапии
- Признаки повреждения связок первого плюснефалангового сустава стопы
- Признаки усталости на глазах. Как избавиться от мешков под глазами?
- Посттрансплантационное лимфопролиферативное расстройство конъюнктивы: признаки, гистология, лечение, прогноз
