Признаки повреждения связок первого плюснефалангового сустава стопы
Добавил пользователь Владимир З. Обновлено: 28.01.2026
Первый плюснефаланговый сустав наиболее часто из всех суставов стопы поражается остеоартрозом. Он является крайне важным для ходьбы, так как его поверхность, обращённая в подошвенную сторону, является одной из основных нагружаемых областей стопы, а сам большой палец - основной силой формирующей подошвенный толчок. По этой причине тугоподвижность первого плюсне-фалангового сустава приводит к выраженной боли при ходьбе и нарушению походки. Наиболее часто Hallux Rigidus поражает лиц в возрасте 30-60 лет. Причины возникновения данной патологии не до конца ясны, в большинстве случаев не удаётся установить какую то конкретную причину. В тех случаях когда причина ясна наиболее часто формирование тугоподвижности связано с предшествовавшими травмами или ненормальной анатомии стопы, которая приводит к избыточной перегрузке передних отделов стопы.
Патофизиология Hallux Rigidus.
В первом плюсне-фаланговом суставе, также как и в большинстве других подвижных суставов, концы образующих его костей покрыты гладким гиалиновым хрящом. При значительном износе, травме, метаболическом поражении на хряще возникают дефекты различной степени выраженности. Из-за нарушения скольжения в суставе, уменьшения степени его конгруэнтности, избыток нагрузки переходит на окружающие сустав мягкие ткани, их воспаление и последующее отложение в них кальция приводит к формированию костных шипов, препятствующих движениям в суставе и делающих нормальную походку невозможной. В самом гиалиновом хряще нет нервных окончаний, с этой точки зрения хрящ «не болит», поэтому болевой синдром свидетельствует о крайней выраженности дегенеративного процесса, так как означает, что в патологический процесс вовлечена подлежащая кость.
Симптомы Hallux Rigidus.
Боль в области первого плюсне-фалангового сустава, особенно во время толчка мыском при ходьбе.
Отёк в области первого плюсне-фалангового сустава.
«Шишка» по тыльной поверхности первого плюсне-фалангового сустава.
Ограничение амплитуды движений большого пальца стопы.
Диагностика Hallux Rigidus.
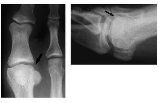
В первую очередь Hallux Rigidus характеризуется описанной выше клинической картиной. Для инструментальной диагностики обычно бывает достаточно рентгенографии в прямой, боковой и косой проекциях, которая позволяет выявить остеофиты (особенно по тыльной поверхности сустава), сужение суставной щели, субхондральный склероз и кисты.
Классификация Hallux Rigidus.
На основании степени выраженности симптомов и рентгенологической картины Coughlin и Shurnas разработали классификацию Hallux Rigidus включающую пять стадий.
Лёгкая боль при амплитудных движениях
Небольшой остеофит по тыльной поверхности

Средняя боль при амплитудных движениях
Средний остеофит по тыльной поверхности, сужение суставной щели на

Выраженная тугоподвижность, выраженная боль при амплитудных движениях
Выраженный остеофит по тыльной поверхности, сужение суставной щели на >50%

Выраженная тугоподвижность, выраженная боль при любых движениях
Дальнейшая прогрессия вплоть до анкилоза

Консервативное лечение Hallux Rigidus.
Неоперативное лечение показано при 0 и 1 стадиях заболевания и сводится к использованию специальной обуви и стелек, снижению нагрузки, нестероидным противовоспалительным средствам. Наиболее распространённым видом используемых стелек являются жёсткая стелька с поддержкой и фиксацией большого пальца такие как стелька Мортона.
Стелька Мортона применяемая на начальных стадиях Hallux Rigidus.
Оперативное лечение Hallux Rigidus.
При острых остеохондральных и хондральных дефектах первого плюсне-фалангового сустава используется синовэктомия + дебридмент сустава. Удаление воспалённой синовиальной оболочки и свободных тел из полости сустава препятствует скорому развитию остеоартроза.
При 1-2 стадиях возможно использование хейлэктомии. Оптимальным кандидатом является пациент которого беспокоит только боль по тыльной поверхности сустава, в особенности при ношении не очень свободной обуви. Операция не показана если боли есть при низкоамплитудных движениях в суставе.
При этой операции удаляется до 25-30% тыльной поверхности первой плюсневой кости вместе с остеофитом, также удаляется остеофит на основании основной фаланги при его выраженности.
Целью операции является достижение 60-70° тыльного сгибания интраоперационно.

Хейлэктомия при лечении ригидного первого пальца стопы.
В случае если пациент планирует и дальше заниматься спортом связанным с необходимостью толчка мыском (любые виды спорта связанные с бегом) может использоваться тыльная клиновидная остеотомия основной фаланги первого пальца, или процедура Моберга (Moberg procedure).
Тыльная клиновидная остеотомия основной фаланги первого пальца, или процедура Моберга при Hallux Rigidus.
У пожилых больных с выраженной патологией (3-4 стадия) с низкими функциональными запросами может быть использована резекционная артропластика или процедура Келлера. Операция противопоказана в случае ригидной гиперэкстензии первого пальца стопы, так как сама по себе приводит к повышенному риску данной патологии. Помимо этого приводит к значительному ослаблению толчка мысом стопы и может приводить к метатарсалгии за счёт перегрузки головок остальных плюсневых костей.

Резекционная артропластика или процедура Келлера при лечении ригидного первого пальца стопы.
Всё ещё считающаяся экспериментальной, артропластика первого плюсне-фалангового сустава постепенно набирает всё большую популярность. В настоящее время хирурги отходят от силиконовых имплантатов, так как это в высоком проценте случаев приводит к неблагоприятным долгосрочным результатам. На данный момент более перспективными видятся керамические и металлические имплантаты, однако и их применение связано с высоким риском асептического расшатывания протеза. Однако прогресс не стоит на месте и в скором времени следует ожидать появления новых протезов с более совершенным дизайном, которые позволят избежать этого осложнения и, главное, позволят сохранить объём движений при запущенных стадиях Hallux Rigidus.
Некоторые представители современных имплантатов используемых для артропластики первого плюсне-фалангового сустава при Hallux Rigidus.
В настоящее время более широко применяется резекционная артропластика с интерпозицией суставной капсулы или короткого разгибателя большого пальца в полость сустава.
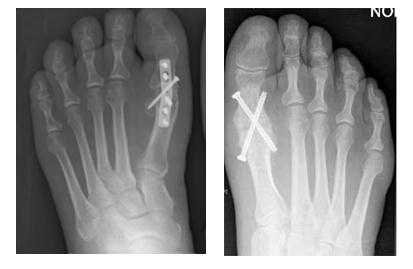
Артродез первого плюсне-фалангового сустава является одновременно и самой крайней мерой и самой распространённой операцией при Hallux Rigidus. Это объясняется тем, что, во-первых, большинство пациентов обращается за специализированной помощью с крайне запущенными случаями, во вторых, артродез эффективно убирает болевую симптоматику в 70-100% случаев. Крайней мерой артродез является по той причине, что после него возвращение к активным занятиям спортом невозможно, по причине изменения биомеханики ходьбы\бега.

Результаты использования наиболее распространённых техник артродеза первого плюсне-фалангового сустава при лечении ригидного первого пальца стопы.
Для операции чаще всего используется тыльная компрессирующая пластина, после удаления суставных поверхностей основная фаланга первого пальца должна фиксироваться в наиболее биомеханически выгодном положении: 10-15° вальгуса и 15° тыльного сгибания. При избыточном сгибании у пациента будут возникать боли в области кончика пальца, в области межфаланговых суставов. При недостаточном тыльном сгибании на большой палец будет приходится избыточное давление. При избыточной вальгусной девиации быстро будет прогрессировать артроз межфаланговых суставов. Однако невзирая на ограничение физической активности, из всех вышеприведённых методов хирургического лечения Hallux Rigidus, артродез является наиболее надёжным способом избавиться от боли и избежать осложнений.

Никифоров Дмитрий Александрович
Хирургия стопы и голеностопного сустава, коррекция деформаций конечностей, эндопротезирование суставов, артроскопическая хирургия, спортивная травма.
Растяжение плюснефалангового (ПФ) сустава
(Растяжение связок на большом пальце ноги - Turf Toe [англ.])
, MD, Tomah Memorial Hospital, Tomah, WI
Растяжение плюснефалангового сустава - это растяжение комплекса подошвенных связок большого пальца стопы. Боль возникает при активных и пассивных движениях отекшего сустава. Рентгенография нужна для исключения перелома. Лечение включает в себя фиксацию больного пальца вместе с соседним здоровым, анальгетики и, как правило, физиотерапию для профилактики хронической тугоподвижности сустава. Боль, которая сохраняется более нескольких недель, указывает на более тяжелое растяжение связок, которое может потребовать хирургического вмешательства.
Этиология растяжения связок на большом пальце ноги
Подошвенная сторона плюснефалангового сустава большого пальца ноги стабилизируется суставной капсулой, подошвенными мышцами и сухожилиями, а также комплексом сесамовидных костей.
Механизм возникновения растяжения связок на большом пальце ноги заключается в предельном тыльном сгибании плюснефалангового сустава большого пальца стопы (более чем на 90 ° ; например, при резком срывании с места, растяжение происходит в тот момент, когда пятка приподнята над землей). В англоязычной литературе такая травма называется "turf toe" (дословно с английского "газонный палец"), поскольку она была впервые описана у футболистов, играющих на искусственном газоне, который, являясь более твердой поверхностью, чем обычная трава, имеет более разрушающую силу при тыльном сгибании пальца при отталкивании и, таким образом, повышает риск гиперэкстензии и растяжения связок на большом пальце ноги. Тем не менее растяжение связок может возникать при занятиях любым видом спорта с бегом на короткие дистанции или прыжками, при котором возможна принудительная гиперэкстензия большого пальца ноги (например, бейсбол, футбол, гимнастика). Оно также может возникать приобрести хроническую форму при повторяющейся гиперэкстензии большого пальца ноги (например, при занятии танцами). Некоторые врачи спортивной медицины утверждают, что спортивная обувь, которая имеет жесткую и менее гибкую подошву, увеличивает риск растяжения связок большого пальца.
Помимо травм коленного и голеностопного суставов, растяжение связок большого пальца ноги является наиболее распространенной травмой, заставляющей спортсменов университета терять свое игровое время.
Симптомы и признаки растяжения связок большого пальца ноги "turf toe" (дословно с английского "газонный палец")
Наблюдается внезапная боль в плюснефаланговом (ПФ) суставе большого пальца стопы. Активные и пассивные движения сустава болезненны, сустав отечен.
Диагностика растяжения связок большого пальца ноги "turf toe" (дословно с английского "газонный палец")
Диагноз ставится на основании клинических данных, но для исключения перелома необходимо проведение рентгенографии.
Прогноз при растяжения связок большого пальца ноги "turf toe" (дословно с английского "газонный палец")
Как и при любом растяжении, тяжесть травмы плюснефалангового сустава большого пальца стопы бывает I, II или III степени. При травмах I степени симптомы обычно разрешаются в течение недели или двух. При травмах II степени симптомы сохраняются > 2 недель. При редких травмах III степени (полный разрыв комплекса подошвенных связок) симптомы сохраняются в течение нескольких недель и включают продолжительное затруднение при движении большого пальца ноги.
При отсутствии лечения растяжение связок большого пальца ноги может привести к хронической тугоподвижности сустава.
Лечение растяжения связок большого пальца ноги "turf toe" (дословно с английского "газонный палец")
Поддерживающие меры (покой, аутоиммобилизация, лед, возвышенное положение, анальгетики)
Редко проводят хирургическое вмешательство
Пациенты, как правило, должны ограничивать активность, прикладывать лед и делать совместное с соседним пальцем тейпирование большого пальца ноги, чтобы частично иммобилизовать пораженный плюснефаланговый сустав. Безрецептурные нестероидные противовоспалительные препараты могут краткосрочно помочь уменьшить боль. Предотвратить хроническую тугоподвижность плюснефалангового сустава может помочь физиотерапия, направленная на повышение гибкости. При травмах II степени может помочь ограничение движения суставов во время передвижения (например, ношение обуви с жесткой подошвой, ортеза или обуви с ортопедической стелькой). Если симптомы, включая ограниченную подвижность сустава, сохраняются в течение нескольких недель (что предполагает растяжение связок III степени), может потребоваться хирургическое вмешательство, выполняемое специалистом по лечению стопы и голеностопного сустава.
Основные положения
Растяжение связок на большом пальце ноги - это растяжение плюснефалангового сустава большого пальца ноги, возникающее при форсированной гиперэкстензии.
Травма может произойти при занятиях любым видом спорта, в котором присутствуют внезапные прыжки или рывки, особенно на искусственном газоне.
Риск травмы может увеличить менее поддерживающая и гибкая спортивная обувь.
Для предотвращения хронической ригидности сустава большого пальца и боли необходимы точный диагноз и соответствующее лечение.
Авторское право © 2022 Merck & Co., Inc., Rahway, NJ, США и ее аффилированные лица. Все права сохранены.
Повреждения связок большого пальца стопы
Повреждения связок первого плюсне-фалангового сустава и большого пальца стопы у спортсменов это достаточно значимая в профессиональном отношении проблема, требующая в зависимости от тяжести повреждения соответствующей тактики лечения.
Очень распространенной спортивной травмой, которой, начиная с 1980-х годов, стало уделяться значительное внимание, является повреждение связок первого пальца и плюснефалангового сустава (ПФС), известное в англоязычной литературе под названием «turftoe» (дословно «торфяной палец»).
Такое внимание этому вопросу можно объяснить большим значением любительского и профессионального спорта для общества и широкой известностью многих спортсменов.
Травмы первого пальца и плюсне-фалангового сустава могут стать причиной достаточно значимых функциональных нарушений.
При таких травмах страдает сила отталкивания пальцами от поверхности, что в значительной степени сказывается на беговых возможностях спортсмена.
При такого рода повреждениях спортсмены нередко пропускают тренировки, а при более тяжелых травмах и игры тоже.
Хронические варианты этого повреждения стали причиной завершения карьеры не одного спортсмена.
Если сравнить травмы первого пальца и разрывы связок плюсне-фалангового сустава с более известными всем растяжением связок голеностопного сустава, то последние встречаются в 4 раза чаще, но становятся причиной пропуска спортсменами тренировок и соревнований менее, чем в 2 раза чаще.
В настоящем разделе мы также рассмотрим другие травмы переднего отдела стопы и первого пальца, которые, однако, встречаются не так часто, как turftoe.
К таким травмам относится повреждение плюсне-фалангового сустава, которое называют «sandtoe» — песочный палец.
Эта травма в основном распространена среди спортсменов соревнующихся на песке.

Повреждение первого пальца может стать источником значительных проблем.
Типичным механизмом травм, объединяемых термином turftoe, является переразгибание первого пальца стопы.
Именно при таком механизме происходит большинство травм первого пальца, наблюдаемых у спортсменов, использующих слишком мягкую и не защищающую стопу обувь.
Переразгибание большого пальца приводит к разрыву подошвенной капсулы плюсне-фалангового сустава.
Обычно этот разрыв локализуется на уровне сесамовидных костей.
В редких случаях травма приводит к перелому или расхождению фрагментов сесамовидных костей.
Другими, менее распространенными механизмами травмы первого пальца являются избыточное его сгибание.
Подобное повреждения первого пальца чаще всего встречаются в пляжном волейболе, когда игрок погружается пальцами стопы в песок после прыжка или во время бега. Именно поэтому данный тип повреждения получил название sandtoe (песочный палец).
Капсула и связки 1-го плюсне-фалангового сустава является основными структурами, обеспечивающими стабильность большого пальца стопы.
Конфигурация вогнутой суставной поверхности основания основной фаланги, сочленяющейся с выпуклой суставной поверхности головки плюсневой кости, обеспечивают лишь незначительную долю стабильности этого сустава.
Сухожилия коротких сгибателей и разгибателей вплетаются в капсулу сустава и являются важными стабилизирующими элементами.

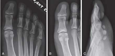
Анатомия 1-го плюснефалангового сустава (ПФС). А, Фронтальный вид. В, Вид изнутри. С, Вид с подошвенной стороны.
Изнутри и снаружи сустав стабилизируется прочными коллатеральными (боковыми) связками.
Подошвенная пластинка представляет собой утолщенную фиброзную часть капсулы сустава, которая включает в себя сесамовидные кости и в которую вплетаются сухожилия сгибателей пальцев.
Подошвенная пластинка прочно прикрепляется к основанию фаланги первого пальца, менее прочно она посредством суставной капсулы прикрепляется к шейке 1-ой плюсневой кости.
Капсульно-связочный комплекс первого пальца при обычной ходьбе испытывает нагрузку, соответствующую 40-60% веса тела.
При физической активности эти нагрузки увеличиваются в 2-3 раза, при беге и прыжках могут возрастать до 8 раз.
Это еще раз служит доказательством значительной прочности связок и капсулы первого пальца и их роли в обеспечении нормальной физической активности спортсмена.
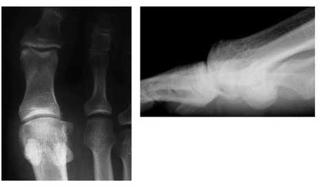
При переразгибании первого пальца стопы обычно происходит разрыв подошвенной пластинка.
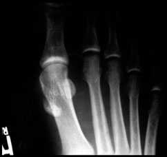
В редких случаях при подобных повреждениях происходит перелом сесамовидных костей или расхождение сесамовидных костей при их удвоении.

Расхождение обеих сесамовидных костей у спортсмена. А, Рентгенограмма до травмы — картина удвоения обеих сесамовидных костей. В, Рентгенограмма после травмы — отмечается расхождение фрагментов обеих сесамовидных костей. С, Рентгенограмма этого же пациента в боковой проекции.
Рассматриваемые повреждения относительно нечасто встречались во времена, когда еще не было искусственных покрытий спортивных площадок Совместная комбинация таких факторов, как твердые покрытие и использованием мягкой обуви, увеличивает вероятность травмы связок большого пальца.
Различные типы спортивной обуви для игры в американский футбол, отличающейся друг от друга степенью защиты стопы.
Было проведено исследование, посвященное проблеме травм связок большого пальца стопы, в котором сравнивались типы кроссовок, использовавшихся игроками в футбол: мягкие кроссовки и более современная обувь с жесткой подошвой.
Игроки, использовавшие современную обувь, в меньшей степени были подвержены травмам первого пальца стопы.
Для врача важно знать механизм полученной травмы.
Об этом ему может рассказать либо сам пострадавший, либо свидетели.
В этом отношении может быть полезен просмотр видеозаписи игры, в которой игрок получил травму.
Длительность жалоб пациента поможет установить врачу, свежее это повреждение или рецидив на фоне уже имевшей место травмы.
После травмы в области первого пальца хорошо заметны кровоизлияния и отечность.
При сравнении с другой стопой на стороне повреждения определяется повышенная подвижность в плюсне-фаланговом суставе, а также признаки нестабильности.
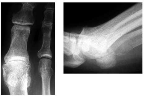
Длительно существующая нестабильность может приводить к развитию деформации пальца типа «лебединая шея», связанной нарушением баланса между сгибателем и разгибателем пальца.

Контрактура суставов и тыльный подвывих большого пальца у профессионального футболиста. А, Внешний вид первого пальца. В, Рентгенограмма в боковой проекции.
При повреждениях первого плюсне-фалангового сустава или большого пальца боль и отек сначала могут быть выражены относительно незначительно, однако в течение первых суток они обычно усиливаются, и на следующий день спортсмен приходит на тренировку уже хромающим.
Для того, чтобы выбрать наиболее оптимальную тактику лечения и так или иначе оценить его прогноз, врачи пользуются специальной классификацией.
Повреждения 1 степени характеризуются перерастяжением капсулы и связок первого плюсне-фалангового сустава.
Пациенты предъявляют жалобы на боль по подошвенной и внутренней поверхности первого пальца, отек выражен минимально, кровоизлияния (синяки) отсутствуют.
Движения в суставе ограничены незначительно, и спортсмены обычно сохраняют возможность нагружать стопу и продолжать тренировки, хотя и с некоторыми болевыми ощущениями.
Повреждения 2 степени характеризуются частичным разрывом капсулы и связок первого пальца.
Болезненность более интенсивная, выражены отек и кровоизлияния. Болевые ощущения и защитные реакции приводят к некоторому ограничению движений в суставе.
Спортсмены жалуются на умеренно выраженную боль и хромоту. Тренироваться на нормальном уровне они не могут.
Повреждения 3 степени — это полные разрывы, приводящие к выраженному болевому синдрому, отеку и кровоизлияниям.
Локально отмечается выраженная болезненность как вдоль подошвенной, так и тыльной поверхности большого пальца и первого плюсне-фалангового сустава.
Повреждение третье степени приводит к разрыву подошвенной пластинки. Во многих случаях данный тип повреждения характеризуются вывихом большого пальца в первом плюсне-фаланговом суставе последующим самопроизвольным его вправлением.
Практически всегда развивается выраженное ограничение движений в суставе. Спортсмены в подобных ситуациях не могут нагружать внутреннюю поверхность стопы и конечно же не могут продолжать тренировки.

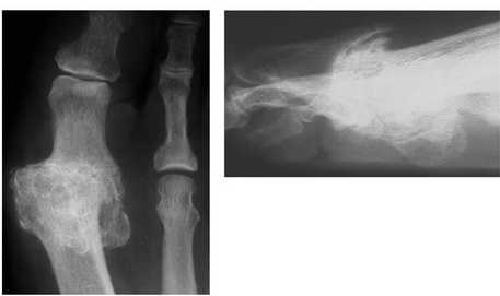
Рентгенограмма стопы в прямой проекции профессионального футболиста с признаками выраженной миграции сесамовидных костей.
Хроническое повреждение связок первого плюсне-фалангового сустава является следствием острого его повреждения, которое в свое время было пропущено или не получило должного внимания как со стороны врачей, так и самого спортсмена.
Это состояние характеризуется длительно сохраняющимся болевым синдромом в области плюсне-фалангового сустава и контрактурой большого пальца.
В связи отсутствием подошвенных стабилизаторов сустава развивается тыльный подвывих большого пальца.
На фоне рубцовых изменений первого плюсне-фалангового сустава может формировать hallux rigidus, проявляющийся выраженным ограничением подвижности большого пальца.
При тяжелых повреждениях связок первого пальца выполняется стандартная рентгенография для исключения возможных костных повреждений, будь то отрывы капсулы сустава с костными фрагментами, переломы сесамовидных костей, расхождение или миграция сесамовидных костей.
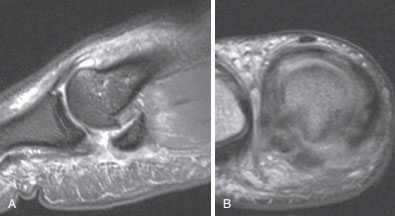
Мы в качестве наиболее информативного метода визуализации связочных и остеохондральных повреждений рассматриваем МРТ.
МРТ позволяют достаточно четко увидеть все типы повреждений и более точно локализовать возможные разрывы связок и капсулы и спланировать хирургическое вмешательство.

МРТ при тяжелом повреждении связок первого пальца. А, На МРТ видны признаки разрыва связок и смещение сесамовидной кости. В, На МРТ видны признаки полного разрыва медиальной коллатеральной связки при сохранении целостности аналогичной латеральной связки.
Ключевым компонентом лечения является функциональный покой, соблюдать который для пациентов является едва ли не самой сложной задачей.
Сложности здесь могут быть связаны с тем, что и спортсмен, и его тренер уверены в том, что это незначительная травма. Слишком быстрое возвращение к спорту, к сожалению, только удлиняет процесс выздоровления и приводит к более протяженной функциональной недостаточности стопы.
В качестве средства иммобилизации возможно использование ортопедического ботинка, которые поможет пациенту более комфортно передвигаться в первые дни после травмы.
Длительность фиксации стопы обычно не превышает недели, за исключением разве что наиболее тяжелых повреждений.
Еще одной составляющей лечение является модификация используемого спортивного снаряжения. Задачей здесь является уменьшение нагрузок на передний отдел стопы, что достигается уменьшением гибкости подошвы обуви. Использование обуви с жесткой подошвой помогает предотвратить переразгибание большого пальца в плюсне-фаланговом суставе.
Если спортсмену некомфортно тренироваться в такой обуви, либо при хронических случаях заболевания, возможно изготовление индивидуальной ортопедической стельки, которая будет лучше подходить в каждом конкретном случае.
Спортсмены с повреждениями 1 степени обычно продолжают тренировки. Палец фиксируется тейпами, а во время тренировок и игр рекомендуется использование обуви с более жесткими стельками. Такие повреждения обычно не требует отстранения от занятий спортом.
При повреждениях 2 степени спортсмены обычно вынуждены временно прекратить тренировки на 10-14 дней.
Повреждения 3 степени, как правило, требуют исключения нагрузки на ногу, использования костылей или ортопедического ботинка в первые несколько дней после травмы. Продолжительность лечения составляет от 2 до 6 недель.
Тейпирование большого пальца призвано ограничить переразгибание большого пальца.
Реабилитационные мероприятия должны начинаться как можно раньше, как только купируется болевой синдром.
После того, как болевой синдром и отек уйдет в достаточной мере, а объем движений более или менее восстановится, пациент может вернуться к тренировкам. Ходить при этом он уже должен практически нормально.
При наиболее тяжелых повреждениях с явными признаками разрыва подошвенной пластинки, миграцией сесамовидных костей, их переломом или расхождение фрагментов, консервативное лечение включает иммобилизацию короткой лонгетой с фиксацией большого пальца, однако в таких случаях альтернативой уже является хирургическое лечение.
Если консервативное лечение оказывается неэффективным, показано хирургическая реконструкция или восстановление поврежденных структур.
Большинство травм первого плюсне-фалангового сустава в хирургическом лечении не нуждаются.
Оперативное лечение может быть показано при неэффективности лечения консервативного либо в случаях, когда диагностируется ситуация, в которой эффект может быть достигнут только за счет операции.
Показания к операции включают массивные капсульные разрывы и отрывы с нестабильностью сустава, прогрессирующее расхождение и миграция фрагментов сесамовидных костей или перелом сесамовидных костей, травматическая или прогрессирующая вальгусная деформация первого пальца стопы.
Для коррекции травматической вальгусной деформации большого пальца возможно использование операции SCARF и Akin.
Чем более сложное и обширное выполняется реконструктивное вмешательство тем выше сроки иммобилизации стопы после такого вмешательства. Возвращение спортсмена к занятиям спортом в подобных случаях гарантировать невозможно.
Повреждение связок голеностопного сустава
Повреждения связок голеностопного сустава - частичный или полный разрыв связок, расположенных в области данного анатомического образования. Чаще всего травма происходит в зимнее время при подворачивании стопы на льду, обледенелых ступенях и площадках. Клиника зависит от тяжести повреждения (растяжение, надрыв, полный разрыв), включает локальную отечность, боль, различное по объему ограничение движений в суставе и нарушение ходьбы. Диагностика осуществляется на основании жалоб и клинических симптомов, для исключения перелома назначается рентгенография. В лечении могут использоваться физиотерапевтические методы, наложение гипсовой лонгеты, лечебные пункции, теплые ванны и массаж.
МКБ-10

Общие сведения
Повреждения связок голеностопного сустава - достаточно частая травма. Растяжения, надрывы и разрывы связок составляют 10-12% от общего количества повреждений голеностопа. Надрывы, растяжения и разрывы связок этой анатомической зоны - одна из самых распространенных спортивных травм (около 19% всех повреждений у спортсменов). В ряде случаев нарушение целостности связочного аппарата может сочетаться с подвывихом или вывихом голеностопного сустава.
Причины
Чаще всего повреждение связок голеностопного сустава происходит в зимнее время при подворачивании стопы на льду, обледенелых ступенях и площадках. Кроме того, повреждение связок может наступить в результате прыжка с высоты (зачастую - небольшой) или ходьбы по неровной поверхности.
Патанатомия
Существует три группы связок, принимающих участие в фиксации голеностопного сустава. По наружной поверхности сустава расположены пяточно-малоберцовая, передняя и задняя таранно-малоберцовая связки, которые проходят вдоль наружной лодыжки и удерживают таранную кость от бокового смещения.
По внутренней поверхности сустава проходит дельтовидная (внутренняя коллатеральная) связка, состоящая из глубокого и поверхностного слоев. Поверхностный слой крепится к таранной и ладьевидной костям, глубокий - к внутренней части таранной кости. Третья группа связок, представленная межберцовым синдесмозом, задней поперечной, задними и передними межберцовыми связками, соединяет берцовые кости между собой. Чаще всего встречается повреждение наружной группы связок, обычно страдает передняя таранно-малоберцовая связка.
Классификация

Выделяют три типа повреждений связочного аппарата голеностопного сустава:
- Разрыв отдельных волокон. В быту такое повреждение обычно называют растяжением связок голеностопного сустава, однако, это название не соответствует действительному положению вещей, поскольку связки совершенно неэластичны и не могут растягиваться.
- Надрыв связок голеностопного сустава. Разрывается значительная часть волокон, но связки при этом продолжают выполнять свою поддерживающую функцию.
- Полный разрыв связок голеностопного сустава или их отрыв от места прикрепления.
Симптомы повреждения связок
Все три вида повреждений связочного аппарата голеностопного сустава сопровождаются одинаковыми клиническими признаками, однако, выраженность этих признаков напрямую зависит от тяжести повреждения. Пациент жалуется на боли при ходьбе. Визуально выявляется припухлость и кровоподтек в области повреждения. Пальпация травмированных связок болезненна. Возможен гемартроз.
При растяжении связок голеностопного сустава отек локальный, пострадавший испытывает боли, но сохраняет способность ходить. При надрыве связок голеностопного сустава отек распространяется на наружную и переднюю поверхность стопы. Ходьба затруднена из-за боли. Полный разрыв связок голеностопного сустава сопровождается гемартрозом, выраженным отеком, кровоподтеками, распространяющимися на тыльную и подошвенную поверхность стопы. Ходьба резко затруднена, иногда - невозможна из-за боли.
Диагностика
Диагноз устанавливается на основании жалоб, анамнеза и данных объективного осмотра. Несостоятельность связок подтверждается положительным симптомом «выдвижного ящика», для проверки которого врач одной рукой держит голень пациента, а другой - смещает стопу. При разрыве передней порции боковых связок стопа смещается кпереди. При разрыве боковых связок отмечается увеличение боковой подвижности стопы. Исследование проводится травматологом-ортопедом в сравнении со здоровым суставом. Для исключения перелома осуществляют рентгенографию.
Лечение повреждения связок
Лечение первой и второй степени повреждения проводится амбулаторно. Пациенту с растяжением связок голеностопного сустава рекомендуют накладывать на сустав тугую восьмиобразную повязку. В первые двое суток с момента травмы к месту повреждения прикладывают холод, а затем - тепло. Со 2-3 дня назначают физиолечение (массаж, аппликации озокерита и парафина, переменное магнитное поле). Больному разрешают ходить.
Тугая повязка будет максимально эффективной только, если соблюдать технику ее наложения. При повреждении наружной группы связок стопу выводят в положение пронации (подошвенной стороной кнаружи), при травме внутренней группы связок - в положение супинации (подошвенной стороной кнутри), при надрывах и разрывах межберцовых связок - в положение сгибания. Таким образом обеспечивается минимальное натяжение поврежденных связок. Бинт накладывают так, чтобы каждый тур повязки сближал концы травмированных связок.
При растяжениях связок голеностопного сустава трудоспособность восстанавливается в срок от 7 до 14 дней. При надрывах связок голеностопного сустава на голень больного накладывают гипсовую лонгету сроком на 10 дней. Физиолечение назначают со 2-3 дня с момента травмы. На время лечения гипс снимают. Трудоспособность восстанавливается примерно через 3 недели.
Больных с полным разрывом связок голеностопного сустава госпитализируют в отделение травматологии и ортопедии. При выраженном болевом синдроме вводят 1-2% новокаин в область повреждения. При гемартрозе выполняют пункцию для удаления крови и введения в сустав 10-15 мл новокаина. На ногу накладывают гипсовую лонгету сроком на 2-3 недели. Назначают УВЧ на область травмы.
Для улучшения питания поврежденной области пациенту с первых дней рекомендуют двигать пальцами стопы, напрягать мышцы голени, сгибать и разгибать коленный сустав. После снятия повязки назначают ЛФК, массаж и теплые лечебные ванны. В течение двух месяцев с момента повреждения показано ношение тугой повязки для полного восстановления связки и предупреждения ее повторных разрывов в месте заживления.
Читайте также:
