Болезнь Розаи-Дорфмана глазницы (синусный гистиоцитоз с массивной лимфаденопатией): признаки, гистология, лечение, прогноз
Добавил пользователь Евгений Кузнецов Обновлено: 22.01.2026
Синусовый гистиоцитоз с массивной лимфаденопатией (болезнь Розаи-Дорфмана) (обзор литературы и собственное клиническое наблюдение)
Болезнь Розаи-Дорфмана (БРД) или синусовый гистиоцитоз с массивной лимфаденопатией является сложным заболеванием с вариабельными клиническими проявлениями и течением. Заболевание встречается крайне редко и обыч но представляет трудности для диагностики. БРД чаще наблюдается у детей и лиц молодого возраста, однако может встречаться в любом возрасте. Гистологическая картина при БРД включает расширение лимфатических синусов за счет скопления в них большого количества S-100-позитивных гистиоцитов с признаками эмпериополеза, что является основным критерием морфологической диагностики. Экстранодальные поражения встречаются у 43% больных БРД и характеризуются диффузной инфильтрацией ткани органа. В статье представлен случай БРД с нодальным и экстранодальным поражением у ребенка 9 лет.
Болезнь Розаи-Дорфмана глазницы (синусный гистиоцитоз с массивной лимфаденопатией): признаки, гистология, лечение, прогноз
Морозовская детская городская клиническая больница Департамента здравоохранения Москвы, Москва, Россия, 119049
Научная группа при кафедре болезней уха, горла и носа Первого МГМУ им. И.М. Сеченова Минздравсоцразвития России
Кафедра оториноларингологии педиатрического факультета Российского национального исследовательского медицинского университета им. Н.И. Пирогова, Москва, Россия, 117997
Морозовская ДГКБ Департамента здравоохранения Москвы, Москва, Россия, 119049
Болезнь Розаи—Дорфмана: обзор литературы и клиническое наблюдение экстранодальной формы заболевания с поражением слизистой оболочки носа и околоносовых пазух
Журнал: Вестник оториноларингологии. 2018;83(6): 72‑75
Синусный гистиоцитоз с массивной лимфаденопатией (болезнь Розаи—Дорфмана) представляет собой редкое неопухолевое заболевание неизвестной этиологии с доброкачественным течением. В статье представлены обобщенные данные литературы и клиническое наблюдение экстранодальной формы заболевания с поражением слизистой оболочки носа и околоносовых пазух.
Описанный впервые в 1969 г. J. Rosai и R. Dorfman [1] синусный гистиоцитоз с массивной лимфаденопатией (СГМЛ) — болезнь Розаи—Дорфмана представляет собой редкое неизвестной этиологии доброкачественное неопухолевое заболевание, характеризующееся накоплением пролиферирующих гистиоцитов в синусах лимфатических узлов, в результате чего происходит их массивное увеличение. СГМЛ относится к группе так называемых заболеваний с атипичными клеточными нарушениями лимфатических узлов. Атипия в данном случае проявляется тем, что ненормальное увеличение количества гистиоцитов происходит в результате выраженного фагоцитоза ими клеток лимфоидного ряда. Редкость заболевания, противоречивость различных описаний, неопределенность специфических гистиоцитарных маркеров и четких методов определения клональности, а также существование ряда близких клинических и гистологических состояний реактивного инфекционного и опухолевого происхождения делают это заболевание сложным для диагностики. По данным Гематологического научного центра РАМН, более чем у 50% больных с синусным гистиоцитозом в дальнейшем выявляются онкогематологические заболевания [2].
Этиология СГМЛ остается неизвестной, и хотя его клинические проявления и гистологическая картина сходны с наблюдаемыми при инфекционных процессах, микроорганизмы при СГМЛ до настоящего времени не идентифицированы [3]. Предполагают, что в патогенезе СГМЛ имеют значение повсеместно распространенные вирус герпеса 6-го типа и вирус Эпштейна—Барр, которых обнаруживают более чем у 50% больных СГМЛ [3, 4]. Данные молекулярных исследований указывают на то, что СГМЛ — поликлональное заболевание [5].
После создания в 1990 г. регистра пациентов, страдающих СГМЛ, выяснилось, что клинические признаки достаточно разнообразны: если в первых описаниях упоминалось заболевание с выраженной двусторонней лимфаденопатией с поражением преимущественно шейных узлов у маленьких детей негроидной расы [1, 6], то анализ регистра показал, что возраст больных варьирует от новорожденности до 74 лет, мужчины заболевают в 1,5 раза чаще женщин, наряду с «излюбленной» локализацией в шейных лимфоузлах могут быть поражены и другие группы лимфатических узлов, а у 40% больных выявляют экстранодальные очаги поражения [3]. В большинстве случаев локализованная лимфаденопатия является первым и единственным проявлением заболевания, хотя описаны случаи СГМЛ в виде псевдоопухолей на коже, орбите, в среднем ухе, верхних дыхательных путях, желудочно-кишечном тракте, мозговых оболочках и др. [2, 7—14].
Чаще заболевание имеет доброкачественное течение, склонное к спонтанной регрессии, сопровождающееся частыми рецидивами, однако лимфаденит может персистировать годами. Клиническая картина СГМЛ характеризуется массивной лимфаденопатией с преимущественным поражением шейных лимфатических узлов, отсутствием симптомов интоксикации. Помимо увеличения лимфатических узлов и экстранодальных очагов, при обострении наблюдается лихорадка, лейкоцитоз, повышение СОЭ. У ряда больных отмечаются нарушения уровня сывороточных белков в виде умеренной поликлональной гипергаммаглобулинемии. У части пациентов встречаются те или иные признаки поражения иммунной системы: полиартралгия, бронхолегочные поражения или гемолитическая анемия, предшествующие развитию СГМЛ или развивающиеся в дебюте [2, 15].
Диагноз устанавливается исключительно на основании морфологического исследования биопсийного материала. Микроскопически структура лимфатического узла обычно нарушена за счет резко выраженного расширения синусов, стертости фолликулов и герминальных центров. Характерными признаками являются склерозирование капсулы и перикапсулярное разрастание соединительнотканных волокон и жировой ткани. Растянутые синусы и медуллярные тяжи содержат смешанную популяцию клеток, представленную полиморфно-клеточными лейкоцитами и лимфоцитами, однако преобладающей популяцией являются гистиоциты, характеризующиеся выраженным полиморфизмом. Это крупные клетки с большой светлой, иногда вакуолизированной цитоплазмой с одним или несколькими вогнутыми ядрами. Митозы наблюдаются редко. Внутрицитоплазменные вакуоли содержат фагоцитированные лимфоциты, эритроциты или нейтрофилы, они не подвергаются воздействию цитолитических ферментов. Некоторые клетки, особенно лимфоциты, способны жить в вакуолях (феномен эмпериополеза), другие постепенно деградируют, формируя ядерные фрагменты. Некоторые вакуоли содержат только остатки ядер деградировавших клеток или липиды, которые хорошо окрашиваются суданом. В мозговом слое отмечаются многочисленные плазматические клетки, часть из которых двуядерные. Эозинофилы встречаются редко. Некроза также не отмечается. Микроскопическая картина экстранодальных очагов СГМЛ сходна с наблюдаемой в лимфатических узлах, хотя экстранодальные очаги характеризуются более выраженным фиброзом, менее выраженным скоплением гистиоцитов и лимфоцитофагоцитозом [2].
Цитологические препараты лимфатического узла гиперклеточны, с обилием гистиоцитов, фагоцитированных лимфоцитов на фоне реактивации лимфоидной ткани. Гистиоциты обычно с рыхлым ядром и обильной бледной, часто вакуолизированной цитоплазмой и феноменом эмпериополеза. Атипичные гистиоциты содержат гиперхромные ядрышки, некоторые гистиоциты достигают гигантских размеров. На ранних стадиях СГМЛ в мазках можно увидеть множество лимфоцитов и иногда иммунобласты [16]. На более поздних стадиях доминируют многочисленные плазматические клетки и тельца Русселя [17]. В большинстве случаев имеется лизосомная активность гистиоцитов, хотя число лизосом может варьировать в широких пределах, вплоть до их отсутствия. При иммуногистохимическом исследовании установлена принадлежность клеток при СГМЛ к макрофагально-гистиоцитарной группе. Но неясно, к какому конкретно представителю этой группы они относятся, так как во всех случаях СГМЛ происходит экспрессия белка S100, который является специфическим маркером интердигитирующих клеток в лимфатических узлах и клеток Лангерганса в коже [18].
Дифференциальный диагноз необходимо проводить со следующими заболеваниями: синусный гистиоцитоз как неспецифическая реакция лимфатических узлов на инфекцию или опухоль, злокачественный гистиоцитоз, гранулематозное поражение; эозинофильная гранулема; болезнь Хенда—Шюллера—Крисчена (для нее характерно поражение скелета), болезнь Леттерера—Сиве (встречается у младенцев, характерны поражения кожи), болезнь Ходжкина [2, 3, 14].
В настоящее время методы лечения СГМЛ не разработаны [14, 19]. В большинстве случаев прогноз благоприятный [8].
В связи с редкостью болезни Розаи—Дорфмана считаем целесообразным привести казуистическое наблюдение экстранодальной ее формы с поражением слизистой оболочки носа и околоносовых пазух.
Родители мальчика К., 4 лет (2013 г. р.), впервые обратились в Морозовскую ДГКБ в сентябре 2016 г. с жалобами на наличие образования на конъюнктиве правого глаза. Офтальмологом обнаружен сосудистый невус конъюнктивы склеры правого глаза, рекомендовано местное лечение, динамическое наблюдение, при отсутствии положительной динамики — плановое хирургическое лечение. Через 3 мес после первичного обращения, в декабре 2016 г., родители обнаружили образование в области левого яичка. В связи с начавшимся через 4 мес после обнаружения ростом образования яичка (апрель 2017 г.) по месту жительства была выполнена МРТ: согласно заключению, картину необходимо дифференцировать между сосудистой опухолью и гамартомой левой половины мошонки. Лабораторные исследования крови на онкомаркеры: определение уровня АФП — 0,135 мМЕ/мл и β-ХГЧ — 0,92 МЕ/мл, убедительных данных за онкологический процесс не получено. Выполнено УЗИ мошонки (апрель 2017 г.): левое яичко в мошонке размером 1,0×0,7×0,7 см, выше него определяется образование узлового характера неоднородной структуры размером 0,8×0,6×1,5 см, рядом с ним расположены еще несколько узлов.
Ребенок консультирован онкологом Морозовской ДГКБ — рекомендовано удаление образования со срочным гистологическим исследованием и решением вопроса об объеме операции по результатам интраоперационного гистологического ответа. В июле 2017 г. выполнена поперечная скрототомия — при ревизии мошонки обнаружено объемное образование, плотное, желтоватого цвета, с неровными контурами, интимно прилежащее к нижнему полюсу левого яичка, размером 2×3 см. Дистальнее, по ходу элементов семенного канатика, обнаружено подобное образование размером 0,8×0,5 см. Удаленные объемные образования направлены на экспресс-биопсию. Интраоперационно получен ответ — рабдомиосаркома, в связи с чем онкологом было рекомендовано выполнение орхифуникулэктомии паховым доступом. Однако при дальнейшем гистологическом и иммуногистохимическом исследовании удаленного образования и регионарных лимфатических узлов у ребенка установлен диагноз синусного гистиоцитоза — болезни Розаи—Дорфмана. В дальнейшем рекомендованы консультация и наблюдение в центре детской гематологии и онкологии Морозовской ДГКБ.
В сентябре 2017 г. родители обратились к оториноларингологам Морозовской ДГКБ в связи жалобами на затруднение носового дыхания в течение нескольких месяцев. При осмотре — носовое дыхание через левую половину носа отсутствует, справа — свободное. При диагностической фиброэндоскопии полости носа и носоглотки обнаружено, что поверхность носовых раковин покрыта видоизмененной бугристой слизистой оболочкой бледно-розового, местами желтоватого цвета, при надавливании на которую появляется вязкое слизистое отделяемое. Через левую половину носа доступ к носоглотке невозможен в связи с наличием плотного, розово-серого цвета образования, исходящего из левого среднего носового хода, из левой верхнечелюстной пазухи и блокирующего левую половину носа в средних отделах; не кровоточащего при пальпации. Слизистая оболочка (СО) носовых раковин справа аналогично изменена, общий носовой ход достаточно широкий, хоана обычной формы, в куполе носоглотки лимфоидная ткань на уровне ½ сошника, трубные валики не увеличены.
Пациенту выполнена компьютерная томография полости носа и околоносовых пазух с контрастным усилением (ультравист) в условиях аппаратно-масочной анестезии (сентябрь 2017 г.) — отмечается тотальное заполнение патологическим содержимым левой верхнечелюстной пазухи, субтотальное заполнение клеток левого решетчатого лабиринта; медиальная стенка левой верхнечелюстной пазухи частично разрушена. Отмечается наличие периостальных наслоений по внутренней поверхности стенок пазухи. СО правой верхнечелюстной пазухи неравномерно утолщена, СО носовых раковин утолщена (рис. 1, 2). Рис. 2. Пациент К. Компьютерная томограмма полости носа и околоносовых пазух в мягкотканном режиме. а — аксиальная; б — коронарная проекции. Рис. 1. Пациент К. Компьютерная томограмма полости носа и околоносовых пазух в костном режиме. а — аксиальная; б — коронарная; в — сагиттальная проекции.
Ребенок консультирован онкологом (сентябрь 2017 г.), которым высказано предположение об экстранодальном проявлении болезни Розаи—Дорфмана. Рекомендовано удаление образования.
После предоперационной подготовки под интубационным наркозом выполнена левосторонняя эндоназальная эндоскопическая этмоидогайморотомия, удалены патологическое образование из верхнечелюстной пазухи, а также патологически измененная СО нижних носовых раковин и клеток решетчатого лабиринта с обеих сторон.
По данным патоморфологического исследования операционного материала (гистологическое и иммуногистохимическое исследование; окраска IHC: CD1a, CD3, CD38, CD68, CD79a, Macrophage, S100) определяются механически деформированные фрагменты СО околоносовых пазух с мелким участком костной ткани, частично покрытые многорядным призматическим реснитчатым эпителием, в собственной пластинке СО отек, очаговый склероз, диффузная инфильтрация большого количества крупных гистиоцитов с обильной вакуолизированной цитоплазмой, округлыми ядрами с крупным хроматином и различимым одним ядрышком и явлениями эмпериополеза (фагоцитированные лимфоциты, эритроциты и плазматические клетки). Тотальная экспрессия в воспалительном инфильтрате S100, CD68, Macrofage, CD79a, CD3, CD38. Реакция отрицательна с антителом к CD1a. Заключение: морфологическая картина соответствует болезни Розаи—Дорфмана, экстранодальный вариант.
Также проведено исследование на базе ФГБУ «Гематологический научный центр» Минздрава России.
Микроскопическое исследование: мелкие фрагменты СО, покрытой многоядерным мерцательным эпителием со слизистыми железами: фрагменты рыхлой соединительной ткани с пролифератом, представленным крупными скоплениями зрелых плазматических клеток, инфильтрацией из мелких лимфоидных клеток, макрофагов, наличием крупных гистиоидных клеток с пузырьковидным ядром, светлой/слабоэозинофильной широкой цитоплазмой, отдельные из них — с признаками эмпериополеза.
При иммуногистохимическом исследовании препаратов: крупные гистиоидные клетки с пузырьковидными ядрами, расположенные разрозненно и в виде рыхлых скоплений среди лимфоплазмоцитарного инфильтрата с примесью макрофагов, экспрессируют S-100, ядерно-цитоплазматическая реакция СD68, многочисленные зрелые плазматические клетки CD38 — позитивны. Реакция с антителом к CD7 позитивна в мелких В-клетках, в зрелых плазматических клетках многочисленная Т-клеточная популяция CD3+. Заключение: морфологическая картина и иммунофенотип характеризуют нелангергансоклеточный гистиоцитоз — экстранодальный субстрат болезни Розаи—Дорфмана (клональную гистиоцитарную пролиферацию).
В послеоперационном периоде производился туалет полости носа растворами антисептиков, в общих носовых ходах были установлены тампоны, которые были удалены на 5-е сутки, и на 7-е сутки ребенок выписан домой в удовлетворительном состоянии.
За истекший период — 6 мес рецидива данного процесса не отмечено.
Заключение
Болезнь Розаи—Дорфмана представляет собой одно из редких заболеваний неизвестной пока этиологии, характеризующееся выраженным синусным гистиоцитозом. Диагноз в данном случае был установлен на основании классических гистологических данных, в том числе явлений эмпериополеза, типичной иммуногистохимической характеристики гистиоцитов в синусах.
Особенностью данного случая является экстранодальное поражение СО носа и околоносовых пазух с частичным разрушением костных структур, сопровождавшееся яркими клиническими проявлениями. В связи с отсутствием разработанных методов химиотерапевтического воздействия особую важность в диагностике и терапии имеет правильное и эффективное хирургическое лечение.
ГБУЗ «Московский научно-практический центр дерматовенерологии и косметологии» Департамента здравоохранения Москвы, Москва, Россия
ГБУЗ «Московский научно-практический центр дерматовенерологии и косметологии Департамента здравоохранения Москвы», Москва, Россия, 119071
Первый МГМУ им. И.М. Сеченова
Московский областной кожно-венерологический диспансер (МОКВД), Москва
ГУЗ МО «Московский областной кожно-венерологический диспансер», Москва, Россия, 129110
ГУ МОНИКИ им. М.Ф. Владимирского
Кожная форма болезни Розаи—Дорфмана
Журнал: Клиническая дерматология и венерология. 2017;16(1): 30‑39
Представлено редкое клиническое наблюдение пациента с кожной формой болезни Розаи—Дорфмана, проявляющейся распространенными узлами на коже лица, волосистой части головы и туловища типично насыщенного розового цвета с желтовато-бурыми участками в центре, размером до 3—4 см. Обсуждаются клинические, дерматоскопические, патоморфологические и иммуногистохимические диагностические признаки болезни Розаи—Дорфмана. Проиллюстрирована динамика кожного процесса на фоне лечения.
Согласно рекомендациям Международного общества по изучению гистиоцитозов, их подразделяют на группу гистиоцитозов из клеток Лангерганса и группу существенно реже встречающихся гистиоцитозов нелангергансового типа и злокачественных гистиоцитарных заболеваний (см. таблицу) [4, 5].

Лангергансовые и нелангергансовые гистиоцитозы [5]
Среди нелангергансовых гистиоцитозов одним из наиболее редких вариантов является болезнь Розаи—Дорфмана (БРД) («синусный гистиоцитоз с массивной лимфаденопатией»), которую описали P. Destombes в 1965 г., J. Rosai и R. Dorfman в 1969 г. Это редкое доброкачественное заболевание из клеток системы фагоцитирующих мононуклеаров, которое характеризуется накоплением пролиферирующих гистиоцитов в синусах лимфоузлов, в результате чего происходит массивное увеличение лимфоузла [6]. БРД или синусовый гистиоцитоз с массивной лимфаденопатией протекает с вариабельными клиническими проявлениями и течением и является сложным для диагностики и лечения [7].
В настоящее время в этиопатогенезе БРД отмечают роль секреции М-CSF (макрофагоколоние-стимулирующего фактора) [8]. В ряде работ авторы указывают на дисрегуляцию экспрессии цитокинов [9]. Несмотря на классическую картину заболевания с преимущественным поражением лимфатических узлов, кожные высыпания могут быть его единственным проявлением, что подтверждает и наше наблюдение. Заболевание может развиваться в любом возрасте, но чаще наблюдается в третьем десятилетии жизни и у мужчин. Реже заболевание встречается у детей [10]. Возможна болезненная шейная лимфаденопатия, лихорадка, сопровождающаяся анемией, лейкоцитозом, увеличением СОЭ, гипергаммаглобулинемией. В части случаев в процесс вовлекаются кости, верхние дыхательные пути, глаза, центральная нервная система (ЦНС). В 1/3 случаев возможно поражение других групп лимфатических узлов. У части пациентов отмечаются признаки поражения иммунной системы: полиартралгия, астматические проявления или гемолитическая анемия, предшествующие развитию БРД. В ряде случаев возможно сочетание БРД с неходжкинскими лимфомами и лимфомой Ходжкина [6, 11]. Описаны несколько случаев летального исхода при БРД, особенно у больных с иммунодефицитом [12], а также случаи формирования в рамках генерализованного процесса фокусных образований в легких, имитирующих опухоли [13]. Благодаря использованию ДНК-зондов обнаружены клональные CD1α+ гистиоциты в очагах при лангергансовых гистиоцитозах (кожа, кости, лимфатические узлы, мягкие ткани и костный мозг), что свидетельствует в пользу опухолевого характера заболевания при лангергансовых гистиоцитозах, в отличие от БРД, имеющей реактивный характер [14].
Некоторые авторы предполагали роль вирусов в развитии заболевания. Так, E. Foucar и соавт. (1990 г.) обнаруживали у таких пациентов инфекцию, обусловленную вирусом Эпштейна—Барр, а P. Levine и соавт. (1992) сообщали о выявлении ДНК вируса простого герпеса 6-го типа у пациентов с БРД, что позже подтвердили исследования M. Luppi и соавт. (1998), которым удалось продемонстрировать экспрессию вируса простого герпеса 6-го типа в аномальных гистиоцитах [9, 15, 16].
Однако в 1995 г. M. Paulli и соавт. [17] доказали поликлональный характер заболевания, выявив у женщин с БРД поликлональную пролиферацию X-связанных полиморфных регионов андрогенного рецептора человека.
Поражение кожи без вовлечения лимфатических узлов наблюдают у 7—10% больных [18]. Сыпь состоит из множественных папул красного или желто-коричневого цвета или узлов аналогичной окраски, достигающих 3—4 см в диаметре. Возможно образование крупных бляшек, изъязвление узлов. Слизистые оболочки поражаются редко [5].
При доброкачественном стабильном течении процесс обычно подвергается спонтанному разрешению, но также возможна неблагоприятная динамика с летальностью в 7% случаев [18—20]. R. Varga и соавт. [21] наблюдали больного нелангергансовым гистиоцитозом с распространенной папулезной сыпью, бляшками, единичными узлами на коже туловища и конечностей, поражением глаз, успешно получавшего терапию системными глюкокортикостероидными препаратами, данных за злокачественную гистиоцитому обнаружено не было. Тогда же была описана прогрессирующая форма нелангергансового гистиоцитоза с кожными проявлениями в виде желтовато-коричневой папулезной сыпи в подмышечной и паховой области, на коже лица и шеи, с поражением глаз и ЦНС у больного, получавшего терапию преднизолоном, препятствующую появлению новых высыпаний и очагов поражения в ЦНС [22]. Состояние пациента оставалось стабильным, он получал поддерживающую терапию дексаметазоном. В результате анализа описанных в литературе 13 аналогичных случаев с системными поражениями стало известно, что 7 больных умерли [22].
В случае поражения лимфатических узлов при БРД проводится диагностическая биопсия лимфоузлов, где обнаруживают характерные макрофаги полигональной формы, с вакуолизированными ядрами, пенистой протоплазмой, и отличающиеся способностью к цитофагоцитозу. Преобладают также гигантские клетки и лимфоциты. При гистологическом исследовании в дерме выявляют диффузный инфильтрат из гистиоцитов и гигантских много-ядерных клеток, в отдельных клетках обнаруживают признаки фагоцитоза лимфоцитов и плазматических клеток. Также в большом количестве выявляются плазматические клетки и лимфоциты. Может быть выражен фиброз, очаговый некроз. В гистиоцитах выявляют антигены S-100, CD14, CD68, Mac-387, лизоцим; реакция на антиген CD1 отрицательная. При электронной микроскопии гранулы Бирбека отсутствуют [23, 24].
Поражение лимфатических узлов характеризуется инфильтрацией расширенных синусов гистиоцитами с большим количеством слабоэозинофильной цитоплазмы, крупным пузырьковидным ядром и четко различимым ядрышком. Характерно явление эмериполеза — наличия в цитоплазме гистиоцитов лимфоцитов, эритроцитов и гранулоцитов [16, 25, 26].
При поражении кожи в дерме определяются плотные инфильтраты из гистиоцитов с примесью лимфоцитов, плазматических клеток, нейтрофилов и эозинофилов, фиброз. Возможно образование лимфоидных фолликулов с центрами размножения, наличие ксантомных клеток. Эмпериполез выражен в меньшей степени [27, 28].
Иммунофенотип гистиоцитов при БРД — S100+, CD163+, CD68+, CD1α-, [29—32].
Патоморфологическая дифференциальная диагностика проводится с гистиоцитозом Х, ретикулогистиоцитозом, эруптивной ксантомой, ювенильной ксантогранулемой.
Диагноз ставят на основании клинической картины, результатов лабораторных анализов и патогистологического исследования.
Дифференциальный диагноз проводят с другими гистиоцитозами. Синусный гистиоцитоз может развиваться как неспецифическая реакция лимфоузлов на инфекцию или опухоль. Также требуется дифференциация с гранулематозными дерматозами (саркоидозом, кольцевидной гранулемой и др.), лимфомой, ксантомами, атипичными микобактериальными инфекциями.
Клиническое наблюдение
Пациент 33 лет обратился в Московский научно-практический центр дерматовенерологии и косметологии с жалобами на множественные болезненные узловые образования с тенденцией к слиянию в конгломераты на коже лица и волосистой части головы, единичные высыпания на коже туловища. Считает себя больным с сентября 2015 г. Накануне появления изменений на коже ощутил озноб, слабость, принял парацетамол. Отметил появление папулы на левом виске, которая увеличивалась в размерах, через 1 мес обнаружил еще 2 элемента, в период с декабря 2015 г. по январь 2016 г. появились новые образования в области щек. В начале января — феврале 2016 г. элементы слились в конгломераты, высыпания распространились на кожу волосистой части головы. В начале 2016 г. в течение 3—4 мес отмечал увеличение количества и размера описанных очагов. Обращался в различные медицинские государственные и частные учреждения Москвы и Московской области, консультирован онкологом, хирургом, дерматологом, иммунологом, однако диагноз оставался до конца неясен. Обращался в Государственный научный центр дерматовенерологии и косметологии, где в плане дифференциальной диагностики рассматривались такие диагнозы, как трихоэпителиома лица, инверсные акне, эозинофильная гранулема, глубокие микозы, туберкулез. Проводилось обследование для исключения поверхностного микоза. Получал левофлоксацин 500 мг 2 раза в день курсом 14 дней, каждые 7 дней по 150 мг флуконазола, затем линекс по 2 капсулы 3 раза в день в течение 10 дней, цетиризин по 1 таблетке курсом 10 дней, гель адапален+клиндамицин, затем итраконазол, лечение демодикоза, однако эффекта не было. Онкологом рекомендована биопсия, при трихоэпителиоме консервативная терапия (лечение цитостатическими мазевыми компрессами на основе 5-фторурацила). Предусмотрена возможность попытки фотодинамической терапии. Наследственность и аллергоанамнез пациента не отягощены. Сопутствующие заболевания пациент отрицает.
Объективно на момент обращения на коже волосистой части головы и туловища, лица выявлены распространенные плотные при пальпации узлы размером 0,5—2 см розового цвета с желтоватыми вкраплениями в центре, с четкими границами, сливающиеся в конгломераты, сопровождающиеся незначительной болезненностью при механическом давлении (рис. 1, а—д). Видимые слизистые оболочки, ногтевые пластины без патологических изменений. Тургор и эластичность соответствуют возрасту. Дермографизм красный. Лимфоузлы не пальпируются (при дальнейшем детальном инструментальном обследовании патологии лимфатических узлов также обнаружено не было).

Рис. 1. Клиническая картина высыпаний на коже лица (а, б, в), волосистой части головы (г), туловища (д) до лечения
Рис. 1. (продолжение) Клиническая картина высыпаний на коже лица, волосистой части головы, туловища через 8 нед после начала терапии (е, ж, з, и, к)
Проведенное обследование: рентгенологическое исследование легких, компьютерная томография органов грудной и брюшной полости, магнитно-резонансная томография головного мозга, УЗИ органов брюшной полости и лимфатических сосудов — без патологии. Пациент консультирован гематологом. По данным лабораторного обследования: в общем анализе крови (от 06.04.16) — гемоглобин 165 г/л (повышен), эритроциты 5,46·10 12 /л, цветовой показатель 0,91, среднее содержание гемоглобина в 1 эритроците 30,4 пг, тромбоциты 252·10 9 /л, лейкоциты 9,3·10 9 /л, палочкоядерные нейтрофилы 1%, сегментоядерные 60%, эозинофилы 0%, базофилы 0%, лимфоциты 31%, моноциты 8%, СОЭ 3 мм/ч. В биохимическом анализе крови (от 20.02.16) — глюкоза 5 ммоль/л, аланинаминотрансфераза 41 ЕД/л, аспартатаминотрансфераза 24 ЕД/л, общий билирубин 15,9 мкмоль/л, триглицериды 2,25 ммоль/л, холестерин 5,37 ммоль/л. Антитела к ВИЧ и к антигену вируса гепатита С не обнаружены, HBsAg отрицательный.
Проведено дерматоскопическое исследование высыпаний, в центре очагов поражения отмечаются:
1) желтые и молочно-белые гомогенные сливающиеся участки с неправильными очертаниями, нечеткими размытыми границами;
2) общий эритематозный фон с сиреневатым оттенком;
3) древовидные сосуды с четкими контурами поверх указанных участков;
4) отдельные мелкопластинчатые белые чешуйки на поверхности (рис. 2).

Рис. 2. Дерматоскопические признаки болезни Розаи—Дорфмана: желтые и молочно-белые гомогенные сливающиеся участки на эритематозном фоне, ветвящиеся сосуды с четкими контурами, единичные белые чешуйки.
Следует подчеркнуть, что при проведении исследования с иммерсионной жидкостью сосуды лучше визуализировались по периферии очагов поражения в силу их механического сдавления в месте контакта с дерматоскопом в центральной части узловых высыпаний. В свою очередь при осмотре в поляризованном свете без иммерсионной жидкости древовидные сосуды выявлялись по всей площади очагов поражения.
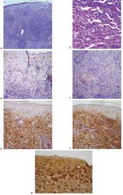
Проведено патогистологическое исследование с иммуногистохимическим окрашиванием, подтвержден диагноз: болезнь Розаи—Дорфмана (рис. 3).

Рис. 3. Выявлены патоморфологические признаки и экспрессия маркеров, характерная для болезни Розаи—Дорфмана. а — плотные гистиоцитарные инфильтраты* с формированием тяжевидных структур, фолликулоподобные инфильтраты из лимфоцитов (Ув. 40); б — гистиоциты со слабоэозинофильной цитоплазмой, примесь плазматических клеток, нейтрофилов и эозинофилов, эмпериполез* (нейтрофил в цитоплазме гистиоцита) (Ув. 400); в — экспрессия CD1a гистиоцитами отсутствует, но определяется в клетках Лангерганса эпидермиса** (Ув. 200); г — экспрессия CD1a в клетках волосяного фолликула** (Ув. 200); д — экспрессия гистиоцитами CD68 ** (Ув. 100); е — экспрессия гистиоцитами CD163** (Ув. 200); ж— экспрессия гистиоцитами S100** (Ув. 200). Примечание. * — окраска гематоксилином и эозином; ** — иммуногистохимическое исследование, пероксидазный метод.
Пациент был консультирован в Гематологическом научном центре, где после пересмотра предоставленных патогистологических препаратов диагноз БРД был также подтвержден.
Назначено лечение (04.07.16): преднизолон в дозе 40 мг/сут, омепразол 20 мг в сутки, кальций D3 Никомед по 1 таблетке 2 раза в день. Спустя 8 нед от начала терапии отмечен выраженный положительный эффект в виде значительного уплощения высыпаний, регресса отдельных элементов (на волосистой части головы, туловище) (cм. рис. 1, е—к), редукции болезненных ощущений. Доза преднизолона снижена до 30 мг в сутки, добавлена наружная терапия: мометазона фуроат 2 раза в сутки, 2% дерматол-ихтиоловая паста. Пациент продолжает лечение, находится под наблюдением.
Описанный случай представляет интерес, во-первых, в силу редкости БРД. Во-вторых, для этого заболевания обычно характерно поражение лимфатических узлов, а в представленном случае отмечается кожная форма БРД. В-третьих, в описанных в литературе случаях кожной формы БРД поражение кожи представлено, как правило, единичным очагом поражения в виде бляшки или сгруппированных папул. В данном наблюдении высыпания носят распространенный характер и представлены крупными узловыми элементами. В-четвертых, учитывая сложность клинической диагностики, данное описание интересно анализом дерматоскопической картины, поскольку этот метод позволяет выявить характерные признаки. И, наконец, большое значение имеет наблюдение положительного эффекта на фоне проводимой терапии системными глюкокортикостероидами в средней дозе, поскольку в силу редкости заболевания оптимальная схема лечения этой группы больных до настоящего времени не определена.
Болезнь Розаи-Дорфмана
(Синусовый гистиоцитоз с массивной лимфаденопатией)
, MD, PhD, Zucker School of Medicine at Hofstra/Northwell;
, MD, Donald and Barbara Zucker School of Medicine at Hofstra/Northwell
Болезнь Розаи-Дорфмана - редкое заболевание, характеризующееся аномальной аккумуляцией гистиоцитов и массивной лимфаденопатией, особенно в области головы и шеи.
Болезнь Розаи-Дорфмана наиболее распространена среди пациентов в возрасте 20 лет, преимущественно негроидной расы. Причина неизвестна.
Наиболее частыми симптомами являются:
Массивная, безболезненная шейная лимфаденопатия
В процесс могут быть вовлечены узлы из других областей, включая средостение, забрюшинное пространство, подмышечные впадины и паховая область, а также полость носа, ткани слюнных желез, другие регионы головы и шеи и центральная нервная система. К другим клиническим проявлениям относятся лизис костей, узелковое поражение легких, сыпь. Костный мозг и селезенка, как правило, интактны.
Лабораторные тесты обычно выявляют лейкоцитоз, поликлональную гипергаммаглобулинемию, гипохромную или нормохромную анемию, повышение скорости оседания эритроцитов.
Заболевание, как правило, разрешается самостоятельно. В лечение пациентов с прогрессирующим течением заболевания были опробованы химиотерапия и ингибирование пути митоген-активируемой протеинкиназы (МАРК).
Авторское право © 2022 Merck & Co., Inc., Rahway, NJ, США и ее аффилированные лица. Все права сохранены.
Читайте также:
- Техника доступа к сухожилию сгибателя пальца кисти через срединно-боковой разрез
- Удаление глубоко вонзившегося рыболовного крючка
- Доступ, техника позиционирования компонентов протеза коленного сустава
- Функция атриовентрикулярных клапанов. Вихревые или тканевые шумы сердца
- Антиядерные антитела у шахтеров. Силикоз легких
