Ценность рентгенографии желудка. Значение объективного исследования желудка
Добавил пользователь Владимир З. Обновлено: 28.01.2026
Сергиенко М.В., Белоусова А.А.
Научный руководитель: ассистент Климашин Д.Ф.
Рентгеноскопия желудка как самостоятельный метод в диагностике рака желудка
Сергиенко М.В. Белоусова А.А.
Научный руководитель: ассистент Климашин Д.Ф.
ФГБОУ ВО Саратовский ГМУ им. В.И. Разумовского Минздрава РФ
Кафедра лучевой диагностики и лучевой терапии имени профессора Н.Е. Штерна
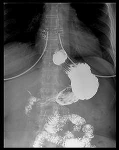
Актуальность: Ежегодно в РФ регистрируют около 36000 новых случаев, и более 94% больных умирает от этого заболевания. У 75% первично выявленных больных заболевание диагностируется на 3-4 стадии, а частота обнаружения ранних форм рака не превышает 10 - 20%.
Цели и задачи: определить достоинства и возможности рентгеноскопии желудка как самостоятельного метода в диагностике рака желудка на основании комплексного клинико-инструментального исследования.
Методы и материалы: В работе представлен результат ретроспективного анализа диагностики 13 пациентов с клиническим диагнозом РЖ. Всем исследуемым проведены: рентгеноскопия желудка и эндоскопическая фиброгастродуоденоскопия.
Из 13 пациентов при проведении рентгеноскопии желудка подозрение на злокачественный процесс выдвинуто в 92.3% (12 исследуемых) случаев. При этом эндоскопически подозрение на злокачественное образование только у 84.6% (11 пациентов). В 1 случае при рентгеноскопии желудка были признаки доброкачественного образования (лейомиома), при эндоскопии расценивалось как «объемное образование». В 1 случае при эндоскопии был воспалительный процесс. Окончательный клинический диагноз был подтвержден гистологически. По результатам гистологии РЖ на рентгеноскопии желудка был подтвержден в 11 (84.6% из 100%) случаях из 12. В 1 наблюдении гистологически была установлена лимфома, что имеет категорию также из злокачественных процессов. При эндоскопии желудка гистологически из 11 пациентов у 10 был РЖ (76.9% из 100%) и в 1 случае также был установлен диагноз лимфомы. В случае, где при эндоскопической фиброгастродуоденоскопии было «объемное образование», а при рентгеноскопии желудка была лейомиома, - гистологически был установлен диагноз перстневидно-клеточный рак желудка.
Выводы:
1) Относительно простым и недорогим методом исследования желудка является рентгеноскопия желудка. Чувствительность определения раннего РЖ составляет 92.3%. В настоящее время рентгенологический метод с помощью контрастного исследования желудочно-кишечного тракта не потерял своей актуальности и как самостоятельный метод имеет отличные результаты в диагностике РЖ. Возможно, рентгеноскопия желудка в определенных случаях имеет преимущество перед эндоскопическим исследованием, но, как правило, рентгенологическое исследование вместе с эндоскопией желудка и морфологической верификацией дает наиболее лучшие результаты в диагностике РЖ.
Что показывает рентген желудка с барием
При заболеваниях желудочно-кишечного тракта проводится ряд обследований. Среди них рентген желудка, гастроскопия, УЗИ, томография, рентгеноскопия. В этой статье мы рассмотрим, что показывает рентген желудка с барием, что лучше рентген желудка или ФГДС, как и зачем эти процедуры проводят. Рентгенография верхних отделов желудочно-кишечного тракта назначается, если доктор предполагает язву желудка, гастрит, новообразования в виде опухоли, полипов, грыжу желудка. А также это незаменимое исследование при подозрении на наличие инородного тела.
Что показывает диагностика?
Обследование позволяет диагностировать воспалительные процессы, смещение или опущение желудка, изменение его размеров, дивертикулы, а также оценить состояние стенок желудка. Процедура проводится именно с барием, так как этот препарат отражает рентгеновские лучи и дает возможность оценить состояние органов пищеварительной системы, увидеть их размер, строение и целостность. При подозрении на грыжу пищеводного отверстия диафрагмы проводят ряд обследований. Среди них рентген на ГПОД, который позволяет установить зону, где нарушена проходимость и дифференцировать грыжу от других патологий, имеющих сходные симптомы.
Если вас беспокоит какая-то проблема со здоровьем, запишитесь на диагностику. Успех лечения зависит от правильно поставленного диагноза.
Как делают рентген желудка и пищевода с барием?
Многим интересно что и как пьют при рентгене желудка с барием. Для проведения диагностики используют сульфат бария, препарат употребляют внутрь, растворяя в воде. Он совершенно безопасен для организма, выглядит как белая взвесь, вкус напоминает мел или кальций. Первый снимок делается до употребления бария. Затем пациент выпивает несколько глотков препарата и начинается исследование пищевода. Через несколько минут больной допивает раствор, после чего рентгенолог продолжает исследование желудка, делая снимки по мере движения бария. Во время проведения диагностики пациента просят лечь на стол и периодически менять положение, следуя инструкциям врача. Для более четкого изображения рентгенолог может попросить больного задерживать дыхание на момент съемки. Исследование длится от 20 минут до часа. Далее врач изучает серию снимков и пишет заключение.
При обнаружении заболеваний многие пациенты интересуются как часто можно делать рентген, ожидая назначения повторного обследования. На этот вопрос нет однозначного ответа, так как врач выбирая метод диагностики руководствуется индивидуальными обстоятельствами конкретного пациента. Учитывается возраст, состояние, доза облучения и целесообразность проведения процедуры.
Что лучше гастроскопия или рентген желудка?
Более популярным обследованием пищевода считается гастроскопия. Гастроскопия, она же ФГДС - эндоскопическое исследование верхних отделов ЖКТ. Исследование проводится с помощью эндоскопа путем введения его через рот, что делает процедуру крайне неприятной. Преимущество гастроскопии в более высокой информативности по сравнению с рентгенографией и отсутствие излучения. Кроме этого, при необходимости врач может взять образец ткани для дальнейшего гистологического анализа прямо во время проведения ФГДС. На самом деле, диагностики имеют разные назначения и целесообразно проведение обеих. Результаты обследования дополняют друг друга и дают полную картину о состоянии пищевода, желудка и двенадцатиперстный кишки.
Данная статья размещена исключительно в познавательных целях, не заменяет приема у врача и не может быть использована для самодиагностики.
Рентгенологическое исследование желудка

Рентгеноскопия - это метод динамического исследования с помощью рентгеновских лучей, позволяет наблюдать за состоянием внутренних органов в реальном времени и выбрать наилучшую проекцию для снимка. Рентгенография - процесс получения снимка органа на специальной фотопленке. Позволяет зафиксировать изображение и разглядеть мелкие детали, которые смазываются при рентгеноскопии.
Рентгенологическое обследование назначается в том случае, если у пациента наблюдаются боли в верхней части живота, трудности при глотании, тошнота и нарушение стула (понос или запор). В большинстве случаев кроме самого желудка обследуются также пищевод и двенадцатиперстная кишка. При этом исследуется форма органов, рельеф слизистой оболочки, а также оценивается успешность выполнения органом своей функции. В качестве подготовки к исследованию при нарушении работы кишечника, запорах, метеоризме за несколько дней до процедуры рекомендуется перейти на бесшлаковую диету, исключить из рациона сладости, свежий хлеб, молоко, капусту, газированные напитки, все жареное и жирное. Можно употреблять яйца, сыры, отварное нежирное мясо, каши на воде и черствый хлеб. Также не лишним будет сделать очистительную клизму за два-три часа до исследования.
Рентген желудка с барием
Для получения достоверных данных, рентген желудка с барием проводится только натощак, поэтому его чаще назначают на утренние часы. В день обследования нельзя принимать медикаменты (особенно снижающие кислотность), запрещено курение и употребление жвачек, т.к. это мешает контрастному веществу равномерно обволакивать слизистую оболочку.
Непосредственно перед обследованием больного просит выпить контрастную жидкость. Обычно используется сульфат бария (густая жидкость бледно-молочного цвета со вкусом мела), а при индивидуальной непереносимости - йодсодержащее вещество. В некоторых случаях бывает необходимо в дополнение к контрасту выпить раствор соды, чтобы желудок заполнился воздухом и расправился.
В ходе обследования рентгенолог наблюдает за прохождением контраста по пищеварительному тракту и делает серию снимков. Чтобы изображение не смазалось, нужно задержать дыхание на время снимка. Сначала больной стоит, и желудок просвечивается в вертикальном положении спереди и слева наискось. Затем он ложится на рентгеновский стол, и органы исследуются горизонтально. В процессе исследования, врач может периодически подходить и надавливать на брюшную полость, чтобы контраст равномерно распределился по внутренней стенке желудка. Обычно рентген желудка с барием длится 20 минут, но иногда процедура может затянуться.
Диагностика заболеваний желудка
Эта акция - для наших друзей в "Одноклассниках", "ВКонтакте", "Яндекс.Дзене", YouTube и Telegram! Если вы являетесь другом или подписчиком стр.
Житель района
В этом месяце жителям районов Савеловский, Беговой, Аэропорт, Хорошевский предоставляется скидка 5% на ВСЕ медицински.
Гастрит и Гастроэзофагеальная рефлюксная болезнь (ГЭРБ)
Мы в Telegram и "Одноклассниках"
Ультразвуковое исследование органов брюшной полости
Как утверждает медицинская статистика, 95% жителей Земли нуждаются в регулярном наблюдении у врача-гастроэнтеролога. Из них более половины (от 53% до 60%) не понаслышке знакомы с хронической и острой формами гастрита (воспалительные изменения слизистой оболочки желудка), а около 7-14% страдают язвенной болезнью.
Развитию заболеваний желудка способствуют нерациональное и нерегулярное питание, эмоциональные потрясения, инфекции и многие другие факторы.
Отсутствие своевременного лечения болезней ЖКТ приводит к развитию опасных, подчас смертельных, осложнений. Среди них - внутренние кровотечения, перитонит, кишечная непроходимость, перфорация желудка и кишки, опухолевый процесс и др.
Предупредить появление проблемы не всегда возможно, но вот проверить желудок и выявить недуг на ранней стадии и остановить дальнейшее его развитие - задача выполнимая. Плановое обследование современному человеку рекомендуется проходить ежегодно. В случае же обнаружения тревожных признаков - не откладывая записаться на прием к гастроэнтерологу.
Симптомы желудочной патологии
О проблемах в этой области могут свидетельствовать следующие проявления:
- боли в желудке, ощущение распирания, тяжести после еды;
- болевые ощущения за грудиной, в эпигастральной области;
- трудности с проглатыванием пищи;
- чувство инородного тела в пищеводе;
- отрыжка с кислым привкусом;
- изжога;
- тошнота, рвота непереваренной пищей;
- рвота с примесью крови;
- повышенное газообразование;
- черный кал, кровотечение при дефекации;
- приступы «волчьего» голода/ отсутствие аппетита.
Конечно же, серьезным показанием к гастроэнтерологическому обследованию являются выявленные ранее патологии органов пищеварения:
- ; ; ; ; ; ; ;
- воспалительные процессы;
- онкологические заболевания и т. д.
Диагностика заболеваний желудка - это целый комплекс исследований, включающий физикальные, инструментальные, лабораторные методы.
Начинается диагностика с опроса и осмотра пациента врачом-гастроэнтерологом. Далее, исходя из собранных данных, доктор назначает необходимые исследования.
Инструментальная диагностика болезней желудка подразумевает применение таких информативных методов, как:
В комплекс лабораторных методов диагностики болезней желудка, как правило, входят:
- общий анализ крови;
- биохимический анализ крови;
- общий анализ мочи, кала;
- гастропанель;
- PH-метрия;
- анализ на онкомаркеры;
- дыхательный тест на хеликобактер пилори.
Общий анализ крови. Это исследование незаменимо для оценки состояния здоровья в целом. При диагностировании болезней ЖКТ по изменению показателей (СОЭ, эритроциты, лейкоциты, лимфоциты, гемоглобин, эозинофилы и др.) можно констатировать наличие воспалительных процессов, разнообразных инфекций, кровотечений, новообразований.
Биохимический анализ крови. Исследование помогает выявить нарушения функций ЖКТ, заподозрить у испытуемого острую инфекцию, кровотечение или рост новообразования.
Общий анализ мочи. По таким характеристикам, как цвет, прозрачность, удельный вес, кислотность и т.д., а также по наличию включений (глюкоза, кровяные или слизистые включения, белок и пр.) можно судить о развитии воспалительного или инфекционного процесса, новообразованиях.
Общий анализ кала. Исследование незаменимо при диагностировании кровотечений, пищеварительной дисфункции.
Онкомаркеры. Для выявления злокачественных опухолей желудочно-кишечного тракта используют специфические маркеры (РЭА, СА-19-9, СА-242, СА- 72-4, М2-РК).
PH-метрия. Этот метод позволяет получить данные об уровне кислотности в желудке с помощью гибких зондов, оснащенных специальными измерительными электродами, которые вводятся в полость желудка через нос, либо через рот.
Проводится в случаях, когда врачу необходим этот показатель для постановки диагноза, для контроля состояния пациента после резекции желудка, а также для оценки эффективности действия препаратов, призванных понизить или увеличить кислотность желудочного сока.
РН-метрия проводится в условиях медицинского учреждения, под постоянным наблюдением врача.
Гастропанель. Специальный комплекс тестов крови, помогающий оценить функциональное и анатомическое состояние слизистой желудка.
В гастроэнтерологическую панель входят наиболее важные показатели для диагностики желудочных патологий:
- антитела к Helicobacter pylori (данные антитела выявляются у пациентов, страдающих гастритами, дуоденитами, язвенной болезнью);
- гастрин 17 (гормон, влияющий на регенераторную функцию желудка);
- пепсиногены I и II (уровень этих белков говорит о состоянии слизистой тела желудка и органа в целом).
Как готовиться к анализам
Анализы мочи, кала. Биоматериал собирают в специальный стерильный контейнер (приобретается в аптеке). Накануне не рекомендуется пить поливитамины и употреблять продукты, способные изменить цвет биоматериала, а также препараты слабительного и мочегонного действия.
Моча собирается утренняя, после тщательной гигиены наружных половых органов. Необходимо слить первую дозу мочи в унитаз, а среднюю порцию (100-150 мл) собрать в емкость.
Кал собирается утром либо не позднее, чем за 8 часов до анализа.
Гастропанель. За неделю до исследования следует отменить прием препаратов, могущих влиять на секрецию желудка. За сутки исключить прием средств, нейтрализующих соляную кислоту. В утро анализа не пить, не есть, не курить.
Исследование заключается в сдаче крови из вены в два приема: сразу по прибытии в процедурный кабинет и через 20 минут, после приема специального коктейля, призванного стимулировать гормон гастрин 17.
Анализы крови (общий, биохимический). Кровь для исследования сдают утром натощак. Накануне анализа следует избегать нагрузок, воздерживаться от употребления тяжелой пищи, спиртного. В утро анализа нельзя есть и курить. Допускается употребление чистой воды.
Рентген желудка с барием: что показывает и как подготовиться?
Контрастной рентгенографией, или рентгеном желудка с барием, называют метод обследования, который позволяет получить серию подробных изображений внутреннего строения органов пищеварения.
Характеристика процедуры
С помощью обследования специалист получает данные о размере, форме и структуре желудка. Поскольку обычный рентген не позволяет сделать четкое изображение мягких тканей и полости желудка, для получения подробных снимков применяется контрастное вещество - сернистый барий. При рентгене желудка с барием врач может оценить динамику заполнения органа, что показывает норму или патологию его моторной функции.
Когда показана процедура?
Обследование проводится при подозрении на заболевания и патологии, которые могут представлять серьезную опасность для пациента. В большинстве случаев рентгенография желудка с барием позволяет подтвердить или уточнить диагноз и назначить правильное лечение.
Подозрение на формирование язвенного заболевания желудка и ДПК
Язвенная болезнь желудка и двенадцатиперстной кишки (ДПК) приводит к периодическому появлению язв. Она может развиваться годам и наносить здоровью серьезный вред. На рентгенографии желудка с барием специалист находит язву и оценивает ее размер, форму и другие параметры, а также устанавливает стадию заболевания и обнаруживает сопутствующие симптомы.
Обнаружение в органе злокачественного процесса
При подозрении на развитие злокачественного процесса рентген желудка с барием рекомендуется делать в обязательном порядке, так как последствия недуга могут быть смертельно опасны для пациента. На снимках раковый процесс выглядит как дефект слизистой оболочки. Часто после рентгена желудка с барием выполняется эндоскопическое исследование, и отбирается образец новообразования для лабораторного исследования.
Дивертикулез и другие деформации желудочных стенок
Для диагностики выпячивания стенок (дивертикулез) рентгенография желудка с барием требует дополнительной подготовки. После введения контрастного препарата пациент попеременно поднимает верхнюю и нижнюю часть туловища, чтобы контраст заполнил всю полость органа.
На рентгене желудка с барием дивертикулез небольших размеров похож на язву, но имеет горизонтальный уровень и шейку.
Любые воспаления желудка
Очаги воспаления в желудке могут появляться в результате различных процессов. В том числе при язвенной болезни или онкологии. Рентген желудка с барием позволяет найти очаг воспаления и по косвенным признакам установить его причину.
Дисфункции глотания
Дисфагия, или дисфункция глотания, часто выражена тем, что пациент жалуется на невозможность проглотить пищу и ее скопление в пищеводе. При этом больной не всегда может точно указать на место препятствия. Поэтому для точной локализации патологии применяется рентгенография желудка с барием.
Болевые ощущения в абдоминальной области или в участке пупка
Боли в области пупка и абдоминальной зоне могут говорить о развитии злокачественных процессов в желудке и двенадцатиперстной кишке. Поэтому при подобных симптомах специалист часто направляет пациента на рентген желудка и ДПК с барием.
Что можно обнаружить при рентгенографии?
Если рентген желудка с барием проведен правильно и с должной подготовкой пациента, обследование может дать достаточно исчерпывающей информации для постановки диагноза в большинстве случаев. При этом для обнаружения того или иного заболевания специалист оценивает ряд параметров.
Нарушения просвета желудка
Нарушения просвета желудка могут говорить о развитии злокачественного процесса либо о дивертикулезе. Если на рентгене желудка с барием просвет сужен, возможен диффузный фибропластический рак. При дивертикулезе на рентгене желудка с барием просвет выглядит большим, чем должен быть в норме.
Нарушение размещения желудка
Гастроптоз (опущение желудка) часто диагностируют при грыже брюшной стенки или диафрагмальной грыже. Недуг хорошо просматривается с помощью рентгенографии желудка с барием.
Симптом ниши
Нишей называют тень контрастной массы, которая заполняет дефект при язве или развитии злокачественного процесса. В зависимости от расположения дефекта, на рентгене желудка с барием различают контурную и рельефную нишу. В первом случае силуэт дефекта виден анфас, во втором - в профиль.
Недостаток наполнения виден на снимке в виде темной области
Темная область на рентгене желудка с барием говорит о наличии места, в которое контраст не смог попасть. Как правило, это случается при атрофическом гастрите или опухоли.
Как подготовится пациенту к процедуре?
Так как пациенту требуется время, чтобы подготовиться к рентгену желудка с барием, начинать лучше за несколько дней до обследования. Первым делом следует исключить из рациона продукты, вызывающие повышенную перистальтику и газообразование. За 8 часов до обследования следует полностью отказаться от пищи.
Чтобы перед рентгеном расслабить желудок и подготовить его к заполнению барием, врач может рекомендовать принять за полчаса до обследования специальный препарат. Контраст вводится перорально за несколько минут до процедуры.
Когда требуется проведение обследования с двойным контрастом, после того как пациент подготовится к рентгену желудка и примет барий, ему потребуется выпить газообразующую смесь.
Вреден ли барий для организма?
Раствор сульфата бария, который используется при проведении рентгенографии, не всасывается в кровь и выводится из организма естественным путем. Поэтому на вопрос, вреден ли барий, который используется при рентгене желудка, ответ очевиден: нет.
Когда запрещен рентген?
Рентген желудка с барием - безопасное обследование, но так как его делают с применением ионизирующего излучения и контрастного вещества, у метода есть ряд противопоказаний.
Нарушения кроветворения, вызванные патологическими состояниями костного мозга
Ионизирующее излучение может усугубить недуг. Поэтому при нарушении кроветворения рентген желудка с барием не проводится.
Катаракта
При рентгене желудка с барием доза облучения не превышает допустимых норм. Однако при катаракте даже ограниченного количества ионизирующего излучения может оказаться достаточно, чтобы оказать негативное влияние на состояние хрусталика.
Злокачественные новообразования бронхов и легких
Обследование противопоказано, если пациент проходит лечение методом лучевой или химиотерапии.
Беременность
В период беременности даже незначительное излучение может оказать пагубное влияние на развитие плода. Поэтому рентген с желудка с барием будущим мамам противопоказан.
Детский возраст (до момента начала полового созревания)
В детском возрасте организм плохо реагирует на воздействие даже небольших доз ионизирующего излучения. Поэтому врачи направляют детей на рентген желудка с барием только при острой необходимости.
Заболевания щитовидной железы
Воздействие рентгена на нездоровую щитовидную железу может нарушить ее функцию.

Наши медицинские центры
- Взрослое отделение
- Диагностика
- Консультации
- Центр лечения боли
- Центр здоровья сердца
- Центр здоровья женщины
- Центр эндокринологии
- Детское отделение
- Массаж
- Нефрология
- Оториноларингология
- Офтальмология
- Эндокринология
Запись по ОМС на МРТ и КТ
Включить версию для слабовидящих?
Настоящим я даю своё согласие ООО «Диагностический центр «Энерго» (далее - Общество) (ИНН: 7810812758, юридический адрес - 196084, город Санкт-Петербург, ул. Киевская, д. 5 к. 4, помещ. 20-н), далее - «Оператор», и третьим лицам, осуществляющим обработку моих персональных данных по поручению Оператора, на обработку указанных сведений обо мне, в целях содействия в трудоустройстве.
Я соглашаюсь на сбор, запись, систематизацию, накопление, хранение, уточнение (обновление, изменение), извлечение, использование, передачу (предоставление, доступ), блокирование, удаление, уничтожение моих персональных данных, а также на осуществление любых других действий, предусмотренных действующим законодательством Российской Федерации, совершаемых с использованием средств автоматизации или без использования таких средств.
Настоящее согласие дано мною лично и добровольно. Настоящее согласие действует до момента его отзыва при отсутствии у Оператора других законных оснований для обработки персональных данных и может быть отозвано мной в любой момент в письменной форме путем направления уведомления Оператору по адресу, указанному выше.
Мы используем cookie-файлы, IP-адреса и данные об устройствах для аналитики, чтобы Ваше посещение сайта было удобным и персонализированным. Вы можете отключить cookie-файлы в настройках вашего браузера. Продолжая пользоваться нашим сайтом, Вы даете согласие на обработку перечисленных данных и принимаете условия Политики обработки и обеспечения безопасности ПДн.
Читайте также:
- Эндокринные клетки в составе неэндокринных органов. Диффузная эндокринная система
- Менопаузальный индекс. Осложнения климакса
- Выбор операции при разрыве акромиально-ключичного сустава
- Взаимоотношения бактерий. Типы взаимоотношений микробов в биоценозах. Симбиоз. Мутуализм. Комменсализм.
- Грибовидный микоз. Причины появления и клиника
