Частота опухолей органов у детей. Опухоли органов грудной клетки у ребенка
Добавил пользователь Евгений Кузнецов Обновлено: 22.11.2025
Объемные образования органов грудной клетки и средостения - это доброкачественные и злокачественные новообразования, происходящие из разнородных тканей.
У детей и подростков объемные образования органов грудной клетки и средостения в большинстве случаев являются случайной находкой при проведении рентгенографии органов грудной клетки в рамках диспансеризации. Иногда обнаруживаются при рентгенографии позвоночника в связи с его искривлением. Реже объемные образования выявляются на рентгенограммах органов грудной клетки, выполненной в связи с жалобами ребенка на длительный кашель, не поддающийся лечению, или на болевые ощущения в грудной клетке. Подозрение на объемное образование органов грудной клетки и средостения у ребенка - это абсолютное показание для незамедлительной консультации детского онколога.
В детском возрасте из доброкачественных объемных образований средостения чаще встречаются опухоли и кисты вилочковой железы, бронхогенные кисты, ганглионеврома (условно доброкачественная опухоль). Из злокачественных новообразований распространены нейрогенные, герминогенные, мезенхимальные опухоли. Также поражение лимфатических узлов средостения часто встречается при лимфомах.
Объемные образования органов грудной клетки у детей могут быть очень разными - образования бронхов, легких, мягких тканей, хрящей или костей различного характера, как доброкачественного, так и злокачественного.
На этапе диагностики объемные образования органов грудной клетки и средостения у детей всегда сопряжены со значительными сложностями - необходимо решить важный вопрос, является ли объемное образование опухолью средостения или иным патологическим изменением (увеличением лимфатических узлов, заболеванием пищевода, сердца, сосудов). Определяет объем обследования при образованиях органов грудной клетки детский онколог. Как правило, выявляется объемное образование органов грудной клетки при проведении рентгенографии органов грудной клетки. Для уточнения характера изменения проводится компьютерная томография органов грудной клетки, однако могут потребоваться и иные методы диагностики, необходимость в которых определит детский онколог.
После проведения полноценного обследования детский онколог определяет показания к проведению биопсии объемного образования органов грудной клетки или средостения. Установить верный диагноз позволяет гистологическое заключение.
После установления точного диагноза детский онколог формирует дальнейшую тактику наблюдения или лечения ребенка с объемным образованием органов грудной клетки или средостения.
Онкологический центр предлагает помощь лучших врачей
Мы являемся партнером передовых американских и израильских центров. Наши врачи повышали квалификацию в лучших онкоцентрах мира, благодаря чему наши клиенты получают качественное лечение по зарубежным стандартам, не покидая пределов Российской Федерации.

Врач-онколог, член Российского общества маммологов, член RUSSCO (Профессиональное общество онкологов-химиотерапевтов), член Европейского онкологического общества ESMO, Американского общества исследования меланомы -SMR

Профессор, директор онкогематологической клиники университета Мартина Лютера (Галле, Германия), автор более 355 публикаций по проблемам лекарственного лечения опухолей

Заведующий отделением радиотерапии - врач- радиотерапевт.

Онколог, радиолог, заведующий отделением радиотерапии и радиохирургии, профессор медицины и исследователь.
Объемные образования ОГК и средостения у детей
Ранняя диагностика рака у детей
Иммунная система ребенка более развита, чем у взрослого человека, поэтому вероятность заболеть раком меньше, но исключать такие ситуации нельзя. В зоне риска как дети до года, так и малыши старшего возраста. У детей, как и у взрослых, диагностируется доброкачественная опухоль и злокачественная. Первый тип лечится хирургическим вмешательством, второй требует длительного лечения и тщательного подхода. Первая симптоматика протекает без проявления, ранний период легко пропустить. Четкого возрастного порога нет, онкология у детей может развиваться как внутри утробы матери, так и на любом этапе жизни.
Почему развивается онкология у ребенка
На развитие онкологии у детей влияет несколько факторов - генетическая предрасположенность, заболевания, относящаяся к группе врожденных, внешняя среда (экологический фактор). Если мама во время вынашивания крохи находилась в радиационной зоне, употребляла в больших количествах алкоголь, курила, увлекалась наркотиками, много времени проводила под солнцем, то все это влияет на развитие ребенка, ослабляет его иммунную систему что приводит к образованию раковых клеток.
Еще один фактор, влияющий на появление первых признаков рака у детей - травмы, полученные в ходе родов, воспалительные процессы, переходящие в хроническую стадию, инфекция. Если у ребенка констатировали генетическую предрасположенность, на развитие заболевания дополнительно воздействует внешняя среда, экология, различные заболевания, приводящие к ослаблению иммунитета. Также значение имеют и такие врожденные болезни, как анемия Фанкони, синдром Дауна, синдром Кляйнфельтера - все это может выступать причиной образования раковых клеток.
Основная задача - диагностирование болезни на ранней стадии развития. Ранняя диагностика рака у детей помогает полностью вылечить ребенка, своевременно оказав нужное воздействие на заболевание. Родителям рекомендуется следить за здоровьем ребенка, своевременно реагировать на любые изменения, посещать врача, проходить профилактические осмотры.
Симптомы онкологии у детей
К общей симптоматике первых признаков рака у детей относят:
- утомляемость без весомых на то причин;
- раздражительность (ребенок постоянно плачет, капризничает без поводов);
- кожа приобретает бледный оттенок (возникает чувство интоксикации);
- плохой сон, развитие бессонницы;
- повышение температуры тела (она будет сама стабилизироваться, потом резко повышаться и снова падать);
- тошнота и рвота;
- увеличение лимфатических узлов.
Ребенок будет всего бояться, перестанет общаться с незнакомыми людьми, станет замкнутым. У каждого вида заболевания есть своя симптоматика, рассмотрим основные.
Лейкоз
Если в крови снижается уровень определенных клеток, это приводит патологическим разрастаниям костного мозга. Симптоматика:
- плохой аппетит;
- раздражительность;
- кожа приобретает бледный оттенок;
- потеря в весе;
- одышка;
- рвота.
С такой проблемой встречается до 35% детей. У некоторых пациентов наблюдается потеря координации, симптомы сопровождаются кровотечением, увеличением лимфоузлов. На коже могут появляться покраснения, гематомы.
Опухоль мозга
Первыми подвергаются опасности мозжечка головного мозга и ствол. Симптоматика:
- головные боли;
- потеря координации;
- бессонница;
- нарушение зрения;
- нарушения слуха.
У ребенка меняется почерк, особенно головные боли, они мучают кроху с утра. Могут появиться такие движения, как трение головой о стенку, так малыш пытается избавиться от дискомфорта. Сильные головные боли возникают при наклонах головой назад и вперед. Также заболевание сопровождается судорогами, галлюцинациями, рвотными позывами с утра.
Нефробластома
Поражение почек, характерно для детей возрастом до 3 лет. Симптоматика:
- жесткое дыхание;
- повышение температуры тела;
- потеря аппетита;
- появление болевых ощущений.
Прощупать изменения в области чревной полости родители могут и сами, при появлении первых признаков рекомендуется обратиться к врачу. Еще один признак - диарея, которая первоначально родителями оценивается как обычное расстройство желудка.
Нейробластома
Признаки характерны как для новорожденных, так и для детей возрастом до 9 лет. Симптоматика:
- увеличение в объемах живота;
- болевые ощущения в области живота;
- поражение костей.
Болевые ощущения сосредоточены только в одном месте - в области живота, на другие органы и участки болезнь не распространяется. У ребенка могут быть оттекшие конечности, во время пальпации врач может определить очаг заболевания, происходит сбой в работе ЖКТ, мочевого пузыря.
Ретинобластома
Это злокачественная опухоль, поражающая область глаз. Симптоматика:
- упадок зрения;
- болевые ощущения в области глаз;
- покраснение глаз (заболевание сопровождается частыми кровоизлияниями);
- выпучивание глаз.
Симптомы характерны для детей до 6-7 лет. Последняя стадия заболевания выражается в полной потере зрения. У детей развивается косоглазие, слаживается впечатление появления «кошачьего глаза» - свечение зрачка, заметить которое родители и врач не могут.
Остеосаркома
Поражение костей, заболевание характерно для детей подросткового возраста. Симптоматика:
- болевые ощущения;
- небольшая припухлость;
- бессонница.
Особенно боль усиливается ночью, ранняя стадия заболевания длится недолго, болевые симптомы и припухлость в месте локализации проходят сами по себе, но потом появляются уже в более острой форме.
Саркома Юинга
Заболеть этим заболеванием могут дети возрастом до 16 лет. В зоне поражения лопатки и ключица. Симптоматика:
- болевые ощущения в области поражения;
- повышение температуры тела;
- потливость (особенно ночью);
- увеличение лимфатических узлов.
Ребенок станет раздражительным, агрессивным, будет быстро уставать, проявлять беспричинные перепады настроения.
Лимфома Ходжикина
Заболевание характерно для подросткового возраста. К основной симптоматике относят:
- повышение температуры тела;
- чрезмерную потливость;
- слабость;
- быструю утомляемость.
У ребенка увеличатся лимфатические узлы, этот синдром выражается безболезненно, может со временем исчезнуть, а потом снова появиться.
Диагностирование онкозаболеваний у детей на ранних стадиях развития
Ранняя диагностика рака у детей помогает своевременно обратить внимание на заболевание, оказать медицинскую помощь и избавиться от недуга. Основная роль отведена родителям, они должны следить за состоянием здоровья малыша, вовремя реагировать на все изменения, обращаться к специалистам при любой потребности. Также нужно прислушаться к жалобам ребенка и не пускать все на самотек. Есть случаи, когда первые симптомы характерны и для других заболеваний, к примеру, тошнота, рвота, диарея, головная боль.
Родители не до конца оценивают серьезность, принимая проявленные симптомы, как легкое расстройство организма. Не занимайтесь самолечением, покажите ребенка врачу. Специалист проведет осмотр, при появлении признаков онкологии назначит обследование. Это может быть:
- осмотр;
- пальпация того места, где малышу болит;
- рентген;
- ультразвуковое исследование;
- МРТ;
- КТ;
- сдача анализов.
Задача доктора определить причину проявленных симптомов, понять, почему ребенок жалуется на боль и другие изменения. Если боль беспокоит в области живота, назначается эндоскопия желудка, пищевода, 12-перстной кишки. Для лучшего изучения состояния внутренних органов проводится сцинтиграфия с радиоизотопами, благодаря чему удается изучить органы и увидеть все изменения в двухмерном положении.
Обязательно назначается анализ крови, помогающий определить, есть ли изменения состава клеточного соотношения. Если требуется хирургическое вмешательство, в большинстве случаев маленьким пациентам назначается биопсия, также это может быть как отдельный дополнительный вид обследования.
Своевременная помощь - залог успешного выздоровления
Вовремя обратившись к врачу, можно успешно разрешить проблему и избавиться от заболевания. Специалисты онкологического центра «София» готовы помочь вам. Доктора отмечают, что детский организм лучше переносит химиотерапию, ему проще восстановиться после всех процедур, что увеличивает шансы на выздоровление.
Врачи-онкологи центра проконсультируют, окажут своевременную помощь, подберут правильный курс лечения. Медицинский персонал найдет подход к ребенку, поможет ему быстро реабилитироваться после пройденного курса лечения.
Среди основных преимуществ онкологического центра «София» нужно выделить:
- мировые стандарты лечения;
- увеличение продолжительности жизни после постановления диагноза;
- социальную адаптацию;
- реабилитацию.
При проявлении первых признаков без помощи квалифицированного врача не обойтись. Он поможет определить стадию рака, размер опухали, проконсультирует родителей, назначит обследование, проведет лечение. Весь курс лечения проходит под строгим контролем докторов, в центре для этого есть все необходимые условия. Записаться на прием к детскому врачу-онкологу можно по телефону, указанному на сайте. Также можно заказать обратный звонок или воспользоваться формой на сайте, отправив специалисту центра обращение.
Злокачественные опухоли грудины у детей (редкие клинические наблюдения и краткий обзор литературы)

Деструктивные поражения осевого скелета встречаются относительно редко в повседневной практике детского травматолога-ортопеда. Вместе с тем, клинико-лучевая симптоматика деструктивных изменений костной ткани характерна для опухолевых и инфекционно-воспалительных поражений костей. Данная симптоматика не всегда четко указывает на конкретную нозологическую единицу, а дифференциальная диагностика без исследования биологического материала из патологической зоны сложна. Данные утверждения особенно актуальны для поражений грудины, опухолевые процессы которой в 85 % имеют злокачественный характер.
В статье представлены два редких клинических наблюдения детей с первичным злокачественным новообразованием грудины. Проведен анализ клинико-лучевых и патоморфологических данных. Показана важность ранней гистологической верификации процесса для определения тактики и выбора адекватного лечения. Проведен краткий обзор литературы, посвященной злокачественным опухолям грудины у детей.
Ключевые слова
Полный текст
Хронические деструктивные поражения скелета относительно редко встречаются в практике детских хирургов и ортопедов. Возможно, именно поэтому каждый случай такого заболевания представляет серьезную проблему, сопровождается длительным наблюдением, поздно диагностируется, нередко при этом выполняются неоднократные и не всегда оправданные хирургические вмешательства. Дифференциальный ряд таких деструкций, как правило, ограничивается инфекционными (чаще — туберкулезными) и опухолевыми процессами, и, хотя первые встречаются несравнимо чаще, именно онкологическая настороженность позволяет раньше диагностировать опухоли, прежде всего благодаря лучевым и морфологическим методам.
Особое место среди хронических деструкций занимают поражения грудины, диагностика которых при туберкулезном поражении описана достаточно подробно [1]. Вместе с тем случаи манифестации злокачественного процесса первичным поражением грудины у детей представляют огромную редкость, что и послужило поводом к описанию двух наших наблюдений.
Цель исследования: представить клинико-лучевые признаки манифестации злокачественных поражений грудины у детей, позволяющие снизить риск пропуска подобной патологии, и принципиальность ранней морфологической верификации.
Пациенты подписали добровольное информированное согласие на участие в исследовании и/или использовании персональных данных.
Клиническое наблюдение № 1
Больная П., 17 лет, поступила в клинику c жалобами на безболезненное уплотнение в области грудины. По словам пациентки, уплотнение определялось в течение последних двух месяцев без видимой динамики. При осмотре: на фоне неизмененного общего самочувствия в области грудины в проекции 4-го ребра слева выявляется плотное объемное образование без воспалительных изменений кожи. По данным лабораторного исследования обращало на себя внимание только повышение уровня С-реактивного белка до 53 мг/л, остальные показатели находились в пределах нормы.
Поводом к направлению пациентки в СПбНИИФ стало подозрение на туберкулезный остит тела грудины, высказанное на основании результатов компьютерной томографии грудной клетки, на которой выявлена деструктивная полость размером 21 × 11 × 10 мм в дистальном отделе тела грудины с четким, частично склерозированным контуром в нижнем отделе и интактными окружающими мягкими тканями (рис. 1).

Рис. 1. Больная П., 17 лет. КТ-срезы грудной клетки (костный режим): а — фронтальный, б — аксиальный и в — сагиттальный. Стрелкой указана полость деструкции в теле грудины
С учетом клинико-лучевых данных с целью верификации диагноза принято решение о проведении открытой резекционной биопсии грудины. При операции (30.06.2015) выявлена костная полость со склерозированными краями размером 30 × 15 мм, занимающая всю толщину кости, располагающаяся слева от центральной линии в нижней части тела грудины, заполненная бурой грануляционно-некротической тканью. Патологические ткани удалены полностью, стенки полости обработаны острыми ложками. Рана послойно ушита наглухо. Гладкий послеоперационный период. Заживление раны первичным натяжением.
Бактериологическое исследование операционного материала: посев на неспецифическую микрофлору, молекулярно-генетическое и культуральное исследование на микобактерии туберкулезного комплекса отрицательные. По данным гистологического исследования операционного материала заподозрена хондросаркома грудины, диагноз подтвержден при пересмотре онкоморфологами. В специализированном детском онкологическом отделении одного из федеральных НИИ начата противоопухолевая терапия. Однако по достижении 18 лет пациентка переведена под наблюдение онкологической службы по месту проживания, проследить катамнез не удалось.
Клиническое наблюдение № 2
Больная Г., 12 лет, поступила в клинику с жалобами на опухолевидное образование с гнойным отделяемым в области грудины. Из анамнеза известно, что образование появилось шесть месяцев назад, после травмы (падение с высоты собственного роста на спину), не сопровождалось местными воспалительными явлениями. При обращении за медицинской помощью ситуация расценена как ушиб грудной клетки, проведено местное лечение с использованием физиотерапии (УВЧ № 7), мазей с противовоспалительными препаратами (НПВП, бепантен, акридерм) без положительной динамики. В дальнейшем появились периодические подъемы температуры, гиперемия, локальный отек тканей в области образования. При повторном обращении к хирургу диагностирован «абсцесс грудной клетки», который вскрыт и дренирован, при этом, по описанию, получен гной и патологические массы, расцененные как «казеозные». По результату цитологического исследования мазка кислотоустойчивых бактерий (КУБ) не выявлено. Проведен курс неспецифической антибактериальной терапии (цефтриаксон, метрагил, амикацин, гентамицин), на фоне которой сформировался свищ со скудным слизистым отделяемым. Выполнена компьютерная томография органов грудной клетки, при которой обнаружены деструкция в рукоятке и теле грудины с парастернальным жидкостным компонентом (рис. 2) и инфильтративные изменения в третьем сегменте левого легкого (рис. 3).

Рис. 2. Больная Г., 12 лет. КТ-срезы грудной клетки (костный режим): а —фронтальный; б — аксиальный; в — сагиттальный. Стрелкой указана область деструкции грудины

Рис. 3. Больная Г., 12 лет. Компьютерные томограммы грудной клетки (легочной режим): а — фронтальный срез; б — сагиттальный срез; в — аксиальный срез. Стрелкой указана зона инфильтративных изменений в S3-сегменте слева
С подозрением на туберкулез грудины пациентка госпитализирована в СПбНИИФ. При осмотре: в области грудины слева определялся выраженный отек, зона гиперемии до 10 см в диаметре со свищом диаметром до 1 см в центре (рис. 4) со скудным серозно-гнойным отделяемым. В общем анализе крови: повышение числа лейкоцитов (15,3 × 109/л) без сдвига формулы, гемоглобин — 103 г/л, СОЭ — 46 мм/ч. В биохимическом анализе крови: повышение С-реактивного белка до 93,8 мг/л, фибриногена — до 5,312 г/л. Посев отделяемого свища на неспецифическую флору роста не дал.

Рис. 4. Внешний вид больной Г., 12 лет: опухолевидное образование в области грудины со свищом
Фибробронхоскопия: справа компрессионный стеноз среднедолевого бронха 1-й ст. (до 1/2 диаметра), отек слизистой. Посев смыва на флору: роста нет; люминесцентная микроскопия: микобактерии не выявлены.
С лечебно-диагностической целью с учетом распространенности поражения и его осложнений 27.12.2016 выполнена операция в объеме фистулоабсцесснекрэктомии. При вмешательстве выявлена субтотальная деструкция тела и рукоятки грудины; хрящевой конец 3-го ребра располагался свободно; парастернальные патологические ткани представляли собой жидкий гной и грануляционно-некротический детрит (рис. 5, а). После некрэктомии размеры полости составили 100 × 40 × 30 мм, дном полости являлся перикард (рис. 5, б). Рана ушита в условиях дефицита мягких тканей с их натяжением, в связи с чем на 7-е сутки отмечалось частичное расхождение швов с обильным серозным отделяемым (посев стерилен). На фоне местного лечения достигнуто вторичное заживление раны на двадцатые сутки после операции.

Рис. 5. Вид операционной раны: а — полость деструкции, заполненная грануляционно-некротической тканью; б — вид полости после остеонекрэктомии. Дно полости (обозначено стрелкой) — перикард
Бактериологическое исследование операционного материала на неспецифическую микрофлору (посев) и на Mycobacterium tuberculosis complex (молекулярно-генетическое исследование) дали отрицательный результат.
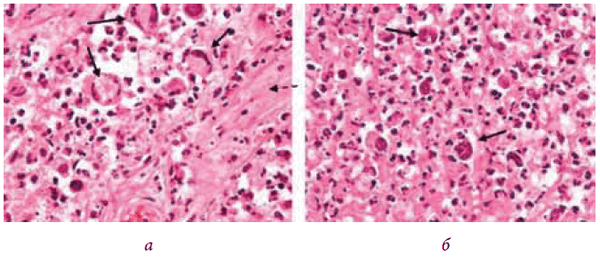
Гистологическое заключение: «Материал представлен опухолевой тканью, состоящей из крупных, в том числе многоядерных, клеток, часть из них со светлой цитоплазмой; основная масса материала в виде некротической ткани, лимфоидная ткань практически отсутствует» (рис. 6).

Рис. 6. Морфологические препараты (окраска гематоксилином и эозином, . 400): а, б — среди обширных участков некроза (прерывистая стрелка) — гигантские многоядерные клетки Ходжкина и Рида - Штернберга (сплошные стрелки), лимфоциты, макрофаги, эозинофильные лейкоциты

Рис. 7. Иммуногистохимия препаратов больной Г., 12 лет: а — экспрессия CD15 (встречается при болезни Ходжкина, при некоторых хронических В-лимфобластных лейкемиях); б — экспрессия CD30 (маркер клеток Рида - Штернберга в лимфоме Ходжкина); в — референтный ИГХ-препарат при классическом варианте лимфомы Ходжкина: опухолевые клетки имеют фенотип PAX 5+, CD45-, CD15+, CD30+
Материал пересмотрен в трех независимых патоморфологических лабораториях с совпадением заключения. Пациентка переведена в отделение химиотерапии онкогематологических заболеваний и трансплантации костного мозга для детей ФГБУ «СЗФМИЦ им. В.А. Алмазова», где получает лечение в настоящее время.
Попытки сопоставить наши наблюдения с данными литературы оказались затруднительными, прежде всего, не только из-за упоминания о первичных опухолевых поражениях грудины у детей как о крайне редких [2], но и из-за того, что при типичных для этой возрастной группы системных лимфопролиферативных заболеваниях — неходжкинской лимфоме и лимфоме Ходжкина 5 — поражение грудины крайне редко выступает как первично манифестирующий очаг. Вместе с тем нельзя не отметить, что в структуре злокачественных новообразований человека первичные опухоли грудной стенки составляют 0,2-2 % [6], а среди всех опухолей грудины злокачественный характер имеют 85 % поражений, значительная часть из которых приходится именно на хондросаркому и злокачественные лимфомы 9.
Неспецифичность клинических проявлений опухолей грудины, зачастую отсутствующий или умеренный болевой синдром, появление локальной гиперемии и медленно прогрессирующего объемного образования, достигающего значительных размеров, — все это на фоне редкости патологии и отсутствия достаточной информированности врачей (детских хирургов и ортопедов) ведет к продолжительному неадекватному лечению и поздней диагностике [2, 5, 10, 11]. Активная хирургическая тактика при этом имеет два принципиальных преимущества:
- бактериологическое исследование операционного материала позволяет исключить инфекционную этиологию процесса, а морфологическое — верифицировать опухоль. При этом наличие кажущегося патогномоничным для специфического туберкулезного процесса детрита не должно позволять отказаться от этих исследований: во втором наблюдении, обнаружив патологические ткани, расцененные как «казеозно-некротические», врачи необоснованно отказались от указанных исследований, что и привело к поздней диагностике лимфомы Ходжкина;
- раннее лечебно-диагностическое вмешательство при ограниченной деструкции грудины позволяет значительно проще решить вопрос о закрытии костного дефекта и восстановлении каркасности грудной клетки, в том числе с использованием различных вариантов пластики и металлоостеосинтеза [8, 12, 13].
Опыт нашей клиники, базирующийся к настоящему времени более чем на 100 операциях, проведенных при деструктивных поражениях грудины у детей, свидетельствует о том, что подавляющее большинство из них представлены инфекционным, прежде всего туберкулезным, процессом. Тем не менее даже крайняя редкость опухолевых поражений не исключает необходимости настороженности в отношении онкологической патологии.
Заключение
Представленные клинические наблюдения, на наш взгляд, интересны с нескольких точек зрения:
Детское онкологическое отделение
Трудно представить, какой удар обрушивается на семью, впервые переступающую порог детской консультативной поликлиники любого онкологического центра. Даже намек на возможность грозного заболевания ребенка становится трагедией для родителей. Рушатся стереотипные представления о жизни, слабеют или крепнут семейные отношения. Лечение в детской онкологии и онкогематологии напоминает сражение с невидимым врагом. Это сложный и не всегда понятный непосвященному процесс. Здесь свои стратегии и тактика, выигранные сражения и проигранные бои.

В настоящее время среди основных причин смерти у детей занимают первое место - травмы, второе - злокачественные опухоли, третье - вирусные инфекционные заболевания. К счастью, у детей опухоли развиваются значительно реже, чем у взрослых. По данным ВОЗ из 100 000 ежегодно заболевают 14-17 детей. Рассказ о крайне редком поражении детей злокачественными новообразованиями будет, несомненно, способствовать настороженности родителей, раннему обращению к врачу и своевременной госпитализации в специализированное отделение, где применяются современные методы диагностики и лечения, работают квалифицированные врачи.
Опухоли у детей представляют собой большую группу доброкачественных и злокачественных новообразований. При этом, как правило, истинные раковые опухоли, которые мы у взрослых привыкли называть «рак», не встречаются. Детские опухоли, по сравнению с опухолями взрослых имеют ряд особенностей, но в целом подчиняются общим закономерностям, присущим злокачественным новообразованиям. Большинство опухолей возникают в период внутриутробного развития, когда происходит формирование органов. Остановимся на злокачественных новообразованиях. Наиболее часто поражаются костный мозг, лимфатические узлы, головной мозг, мягкие ткани, надпочечник, почка, кости, глаз.
Лейкоз
Среди всех злокачественных опухолей детского возраста высока доля лейкозов-до 35-50%. Пик заболеваемости в возрасте от 2 до 4 лет. Мальчики болеют в 1,5 раза чаще, чем девочки. Вялость, слабость, раздражительность, повышенная утомляемость, неясное повышение температуры, бледность, снижение аппетита, кровоизлияния на коже, кровотечения (чаще носовые), боли в костях и суставах, увеличение периферических лимфоузлов, увеличение живота за счет увеличения селезенки и печени, стоматит, гингивит часто является поводом для первичного обращения к медицинскому работнику. В клиническом анализе крови сочетание резкого снижения эритроцитов, гемоглобина при нормальном цветовом показателе (нормохромная анемия), повышение или снижение лейкоцитов, снижение тромбоцитов, увеличение СОЭ, увеличение лимфоцитов за счет недифференцированных лимфоидных клеток (бласты). При малейшем подозрении на острый лейкоз показана костномозговая пункция, позволяющая выявить изменения в костном мозге, присущие данному заболеванию.
Различают острый и хронический лейкоз (лейкемию или белокровие), у детей преобладает острый. Выделяют 3 основные варианта:
Острый лимфобластный лейкоз;
Острый миелобластный лейкоз и его варианты:
а) острый промиелоцитарный лейкоз;
б) острый миеломонобластный лейкоз;
в) острый эритромиелобластный лейкоз;
3) острый монобластный лейкоз.
При установлении диагноза ребенок подлежит срочной госпитализации для проведения специальной и сопроводительной терапии. Общие принципы лечения: раннее начало, радикальность за счет назначения сразу несколько цитостатических средств в полных терапевтических дозах в строго определенные дни. Строго регламентированные дни лечения составляют один цикл, несколько циклов- полихимиотерапевтический курс лечения. Каждому цитологическому (цитохимическому) варианту лейкоза соответствует своя оптимальная программа. В процессе лечения различают несколько фаз:
- индукция ремиссии (ослабление);
- консолидация (укрепление) ремиссии;
- реиндукция ремиссии (противорецидивное лечение);
Лимфогрануломатоз (болезнь Ходжкина).
Является злокачественны новообразованием лимфатической системы. У детей и подростков наблюдается двугорбая кривая заболеваемости: первый пик - 4-6 лет и второй 12-14 лет. В дошкольном возрасте соотношение мальчиков и девочек 3:1, в подростковом 1:1.
Основным симптомом является ассиметричное увеличение периферических лимфатических узлов и наиболее часто - локальное. Чаще отмечается поражение на шее и шейно-надключичной области, редко - в подмышечной, паховой области, переднем средостении. Лимфатические узлы увеличиваются постепенно, могут достигать огромных размеров, образуя конгломерат. Каждый узел прощупывается отчетливо («картошка в мешке»), не спаяны с кожей, местные признаки воспаления: жар, боль, припухлость, краснота, флюктуация, отек отсутствует. Увеличение медиастинальных лимфатических узлов и сдавление верхней полой вены может привести к развитию компрессионного синдрома: одутловатость лица с бледно-синеватым оттенком кожи, мучительный кашель, одышка боли за грудиной. Обычно общее состояние ребенка страдает редко. По мере генерализации процесса появляются лихорадка, потливость, снижение веса (более 6 % за 1 месяц), редко зуд кожи.
Для ранней диагностики заболевания необходимо проведение:
- пункция (выявление клеток Березовского- Штернберга-Рид);
- рентгенограмма грудной клетки в 2-х проекциях (увеличение медиастинальных лимфатических узлов- симптом «дымящей трубы»), РКТ, МРТ с внутривенным контрастированием, ПЭТ;
Современная комбинированная програмная терапия, включаящая лекарственный, лучевой методы лечения позволяет вылечить больного, приближая общую выживаемость к 100%.
Неходжкинские лимфомы
Опухоль лимфатической ткани с возможным распространением процесса на кроветворную и любую подлежащую ткань. Возрастной пик отсутствует, до 2-х лет дети болеют редко. Мальчики заболевают в 3-5 раз чаще, чем девочки. При лимфоме Беркита отмечается этиологический фактор вирус Эпштейна - Бара.
Основные преобладающие первичные локализации: в брюшной полости и органах желудочно-кишечного тракта, периферические лимфатические узлы, лимфатические узлы средостения, глоточного кольца. Клиника проявляется в зависимости от локализации опухоли. В начале заболевания общая слабость, снижение успеваемости в школе, бледность кожных покровов. Далее клиника острого живота, плеврита, увеличение периферических лимфатических узлов. По данным многих специалистов, родители не придают вниманию увеличению лимфатических узлов, проводят тепловые процедуры (при злокачественном поражении любые физиотерапевтические процедуры способствуют генерализации процесса). Диагностика и лечение аналогично лимфогранулематозу.
Опухоли головного мозга
Составляют 16% всех злокачественных образований у детей. Заболевают 3-4 ребенка на 100 000 человек.
Разные опухоли имеют ряд общих черт. Они располагаются внутри замкнутого пространства черепа, оказывая воздействие на клетки вещества мозга. У детей раннего возраста наиболее ранним признаком является увеличение головы с набуханием и напряжением родников. Это приводит к длительной компенсацией явлений повышение внутричерепного давления. Дети перестают интересоваться окружающим миром, играть, становятся сонливыми. У школьников появляется раздражительность, замкнутость, отказ от пищи. При дальнейшем развитии заболевания появляется общемозговая симптоматика: пристуобразные распирающие головные боли, тошнота, рвота по утрам, нарушение походки, координации движений, судороги, нарушение психики. Клинические признаки связаны с локализацией опухоли в области мозга.
- МРТ головного мозга с в/в контрастированием;
Основным видом лечения является хирургический, также лучевая терапия, химиотерапия в зависимости от разновидности опухоли (медуллобластома, эпендимома, АТРО). Результаты лечения зависят от ранней диагностики, радикальности оперативного вмешательства.
Опухоли почек
Среди различных опухолей почек наиболее часто (98%) встречается нефробластома или опухоль Вильмса. Составляют 6% всех злокачественных образований у детей. Заболевает 1 ребенок на 100 000 человек. Наиболее часто встречается у детей 2-5 лет.
Нефробластома - эмбриональная опухоль. Она нередко появляется на фоне врожденных пороков развития. Одностороннее поражение почек отмечается в преобладающем случае, в 10%-двухсторонее. Клинически, первым признаком, который заставляет обратиться родителей к врачу, пальпируемая опухоль в области живота. Опухоль располагается в левом или правом подреберье, очень плотная на ощупь, болезненная, с гладкой поверхностью. В начале заболевания общая слабость, раздражительность. Далее боль в области живота, поясницы, кровь в моче.
- УЗИ брюшной полости и забрюшинного пространства;
- РКТ, МРТ брюшной полости;
- РКТ органов грудной клетки;
- пункция образования с цитологическим исследованием.
После установления диагноза проводится комплексное лечение: предоперационная химиотерапия, оперативное вмешательство, в зависимости от группы риска лучевая терапия, послеоперационная полихимиотерапия.
Нейробластома
Возникают из волокон крупных узлов симпатической нервной системы, располагающихся в стенках внутренних органов, мозгового вещества надпочечников. Составляют 6% всех злокачественных образований у детей. Заболевает 1 ребенок на 100 000 человек. Наиболее часто встречается у детей раннего возраста.
Наиболее частые локализации: забрюшинные (надпочечники и параганглии) и заднее средостение. Вначале заболевания снижение аппетита, вялость, плаксивость, бледность кожных покровов, субфебрилитет. При прощупывания живота в верхних и средних отделах живота пальпируется малоподвижная и бугристая опухоль (в отличии от нефробластомы), иногда определяется асцит. Однако нередко клинические признаки обусловлены метастазами. При метастазах в кости черепа определяются опухолевидные бугорки в области лба, волосистой части головы, экзофтальм. Наиболее часто метастазы в костный мозг.
- УЗИ брюшной полости и забрюшинного простраства;
- кровь на онкомаркеры (NSE, ферритин), моча (катехоламины).
После установления диагноза проводится комплексное лечение: полихимиотерапия, оперативное вмешательство, в зависимости от группы риска лучевая терапия, MIBG-терапия.
Необходимо знать, что нейробластома может подвергаться спонтанной регрессии (самоизлечение), путем перехода в доброкачественную нейрогенную опухоль (ганглионеврома).
Опухоли костей
Составляют 6% всех злокачественных образований у детей. Заболевает 1 ребенок на 100 000 человек. Поражают преимущественно детей 12-17 лет.
Наиболее часто встречаются остеогенная саркома, саркома Юинга, синовиальная саркома.
Основные симптомы: опухоль, боль, нарушение движений.
Остеосаркома наиболее часто локализуется в области коленного сустава с поражением бедренной и большеберцовых костей, плечевой кости. Рентгенологическая картина: симптом «козырька» (отслоение надкостницы) и игольчатый периостит. Саркома Юинга наиболее часто поражает малоберцовую и бедренную кости, кости таза, позвонки. Рентгенологическая картина: луковичный периостит.
- РКТ, МРТ пораженной конечности;
- Сцинтиграфия костей, мягких тканей.
- Пункция, открытая биопсия опухоли.
После установления диагноза проводится комплексное лечение: предоперационная химиотерапия, оперативное вмешательство (наиболее важно - радикальность операции) , лучевая терапия при саркоме Юинга, послеоперационная полихимиотерапия. Преимущественно проводят сохранные операции- эндопротезирование. В некоторых случаях калечащая операция-ампутация.
Опухоли мягких тканей
Составляют 6% всех злокачественных образований у детей. Заболевает 1 ребенок на 100 000 человек. До 70% злокачественных мягкотканых образований составляет рабдомиосаркома. Опухоль может располагаться в различных областях- конечности, туловище, орбита глаз, мочевой пузырь, предстательная железа, влагалище, яичко, параменингиальная локализация.
Клиническая картина определяется локализацией опухоли. Прежде всего определяется объем и различные нарушения со стороны органов и систем. При опухолях орбиты - опущение верхнего века, при поражении носоглотки -насморк, боль, паралич лицевого нерва. При опухоли влагалища - кровотечение, мочевого пузыря-цистит.
- МРТ пораженной области;
После установления диагноза проводится комплексное лечение: предоперационная химиотерапия, оперативное вмешательство (наиболее важно - радикальность операции) , лучевая терапия, послеоперационная полихимиотерапия.
Другие опухоли встречаются значительно реже (синовиальная саркома), диагностика и лечение аналогично.
Ретинобластома
Опухоль глаз, развивающиеся из сетчатки глаза. В 15 % встречается двухстороннее поражение.
Начальные признаки - косоглазие, глаукома, снижение остроты зрения, воспалительные явления (покраснение глаза, светобоязнь, слезотечение). Поздний и яркий признак лейкокория или «кошачий глаз» проявляется расширением зрачка и золотисто-желтым свечением.
- УЗИ глазного яблока.
- МРТ головного мозга;
После установления диагноза проводится комплексное лечение. Ретинобластома является наследственным заболеванием. Родители, у которых в семье есть случаи ретинобластомы, должны периодически показывать детей офтальмологу.
Читайте также:
- Стрессовые ситуации у ребенка. Как защитить своего ребенка?
- Техника, этапы медиального оперативного доступа к локтевому суставу (хирургического доступа)
- Патология верхних дыхательных путей. Деформация челюсти при патологии дыхательных путей.
- Устойчивость легких к кислороду. Теория единичной дозы интоксикаци легких кислородом
- Моделирование эпидемиологического процесса. Классы моделирования эпидемиологического процесса.
