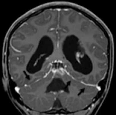
Цитробактерный менингит на УЗИ, МРТ
Добавил пользователь Евгений Кузнецов Обновлено: 28.01.2026
Головная боль боли - рознь. Безусловно, ни одну из них не нужно оставлять без внимания. Однако болезнь, сопровождающаяся сильными головными болями, и о которой мы сегодня будем говорить - из категории действительно грозных.
О такой патологии, как менингит, нам рассказала врач-невролог «Клиника Эксперт Тула» Рощупкина Юлия Владимировна.
- Юлия Владимировна, менингит - что это за заболевание?
Это патология, сутью которой является воспалительный процесс в оболочках головного и спинного мозга (твердой, паутинной и мягкой). Чаще поражаются две последние оболочки.
Менингит - это инфекционное заболевание. Его могут вызывать бактерии, вирусы, простейшие и грибки.
ПОДОЗРЕНИЕ НА МЕНИНГИТ - ЭТО ВСЕГДА
ПОКАЗАНИЕ ДЛЯ БЕЗОТЛАГАТЕЛЬНОЙ
ГОСПИТАЛИЗАЦИИ. ВЫЗЫВАЙТЕ СКОРУЮ
По происхождению эта патология может быть первичной и вторичной.
Инфекционный агент проникает в оболочки через слизистую оболочку полости носа и глотки, продвигаясь контактным путем до конечного места назначения.
Читайте материал по теме: Покажет ли МРТ менингит?
- Многие думают, что менингит - это болезнь, которая поражает людей в зимнее время года. Но из года в год СМИ публикуют информацию о вспышках летнего менингита. Где в летние месяцы нас подстерегает менингит?
Менингит, который регистрируется в летнее время, обычно вирусной природы и вызывается энтеровирусом. Особенно восприимчивы к нему дети и подростки (чаще 2-5 и, соответственно, 14-19 лет). Большая часть заболевших «привозит» его с летнего отдыха на море. Больные отмечают, что мерзли при купании и нередко заглатывали воду.
МЕНИНГИТ - ЭТО ИНФЕКЦИОННОЕ ЗАБОЛЕВАНИЕ.
ЕГО МОГУТ ВЫЗЫВАТЬ БАКТЕРИИ, ВИРУСЫ,
ПРОСТЕЙШИЕ ГРИБКИ
Инфицирование происходит воздушно-капельным путем (например при чихании), через грязные руки. Вирус хорошо сохраняется в почве и воде, «любит» жару и влажность.
- Менингитом можно заразиться от другого человека?
Да, но не всегда. Например, первичные менингиты, вызываемые бактериями, вирусами, заразны.
При вторичном характере воспаления (например на фоне туберкулеза, ВИЧ-инфекции, ЛОР-патологии) больные незаразны. Т.е. тогда, когда менингит является осложнением основного заболевания, а не приобретен извне. Безусловно, что сами по себе возбудители туберкулеза и ВИЧ заразны, но в этом случае речь идет об инфекционности вообще, а не о менингите в частности.
- С чего начинается менингит? Какими симптомами он проявляется?
Может быть насморк и першение в горле (напоминает проявления ОРВИ). К первым характерным признакам менингита относят значительную лихорадку, которую тяжело снизить. Другой типичный ранний симптом - интенсивная головная боль. Иногда она немного облегчается в положении больного на боку, с запрокинутой головой и подведенными к груди ногами.
Раздражают яркий свет, громкие звуки.
Следующий характерное проявление - неукротимая рвота, не приносящая облегчения.
МЕНИНГИТ, КОТОРЫЙ РЕГИСТРИРУЕТСЯ
В ЛЕТНЕЕ ВРЕМЯ, ОБЫЧНО ВИРУСНОЙ
ПРИРОДЫ И ВЫЗЫВАЕТСЯ ЭНТЕРОВИРУСОМ
При менингите энтеровирусного происхождения, помимо этого, может отмечаться послабление стула, боли в животе. На щеках бывает румянец, глаза покрасневшие, губы сухие, ярко-красного цвета, носогубный треугольник бледный.
Если менингит вызван менингококком, может отмечаться появление яркой, красной или красно-фиолетовой сыпи. Она не возвышается над кожей, не исчезает при надавливании (например, можно попробовать придавить сыпь прозрачным стаканом: через дно видно, что она сохраняется).
- Как поступить при первых признаках менингита? К какому врачу обратиться?
Подозрение на менингит - это всегда показание для безотлагательной госпитализации. Вызывайте скорую.
Лечит менингит врач-инфекционист (детский или, соответственно, взрослый).
- С какими заболеваниями можно спутать менингит?
С ОРВИ, гриппом, отравлением грибами, консервами.
НЕ СЛЕДУЕТ САМОСТОЯТЕЛЬНО В ДОМАШНИХ
УСЛОВИЯХ ПЫТАТЬСЯ ПОСТАВИТЬ ИЛИ ИСКЛЮЧИТЬ
ДИАГНОЗ МЕНИНГИТА, ПОСКОЛЬКУ СУЩЕСТВУЕТ
СЕРЬЕЗНЫЙ РИСК УПУСТИТЬ ВРЕМЯ
Очень похож на менингит так называемый менингизм. Это состояние, при котором отмечаются почти идентичные проявления, но мозговые оболочки при этом не воспалены. Развивается менингизм из-за раздражения оболочек при некоторых инфекционных патологиях.
Повторюсь: не следует самостоятельно в домашних условиях пытаться поставить или исключить диагноз менингита, поскольку существует серьезный риск упустить время, и возрастает вероятность смертельного исхода от этого заболевания.
- Кто чаще болеет менингитом - дети или взрослые?
Дети. Более 80% заболевших - дети первых 5 лет жизни.
- Менингит всегда лечится в условиях стационара или допустимо нахождение больного дома?
Его лечат исключительно в стационарных условиях.
- Юлия Владимировна, от чего зависит исход заболевания менингококковой инфекцией?
От своевременности постановки диагноза и адекватности лечения, а также (применительно к менингиту вообще, а не только к вызванному менингококком) формы заболевания.
- Предположим, человек вовремя обратился к врачу и выздоровел. Перенесённый менингит окажет необратимые последствия на организм или нет?
Если менингит выявлен вовремя и грамотно пролечен, то нет. Прогноз в таких случаях хороший. Большей частью заболевание излечивается полностью, негативных последствий не остается.
Если помощь была оказана с опозданием, либо у пациента имеются тяжелые сопутствующие заболевания, могут возникать серьезные последствия.
Среди некоторых неврологических и системных осложнений: повышенное внутричерепное давление, эпилептические припадки, водянка головного мозга, поражение черепномозговых нервов, образование тромбов в артериях или венах (как в головном мозге, так и, в частности, легочной артерии), парезы и параличи, слабоумие, сепсис.
- Как защитить организм от летнего менингита? Расскажите о профилактике этой напасти
Основное значение при этом виде менингита имеет неспецифическая профилактика. Что требуется? Вести здоровый образ жизни: рационально распределять время на сон и бодрствование, заниматься физической культурой и общеукрепляющими процедурами, закаливаться. Важно обеспечить рациональное питание.
Необходимо ликвидировать очаги хронической инфекции. В детском возрасте это часто ЛОР-патология, поэтому следует регулярно показывать ребёнка отоларингологу.
Читайте материал по теме: Аденоиды у детей: удалять или нет?
Следует лечить имеющиеся заболевания пищеварительной системы, в том числе и паразитарные.
Хорошо показали себя в качестве превентивных мер физиотерапия и массаж.
Из медикаментов по назначению доктора могут применяться некоторые адаптогены, защитные мази для внутриносового применения в периоды увеличения заболеваемостью ОРВИ, витамин D, иммуномодуляторы.
Если говорить о специфической профилактике в виде вакцины от менингита, то против энтеровируса таковой не существует.
Подписывайтесь на наши материалы в социальных сетях: ВКонтакте , Одноклассники , Фейсбук
Для предотвращения заболеваемости бактериальным менингитом созданы вакцины, направленные на создание иммунитета против основных «причинных» бактерий - менингококка, пневмококка, гемофильной инфекции. Вакцинацию проводят в группах риска и по эпидемиологическим показаниям.
Другие материалы по темам:
Рощупкина Юлия Владимировна
Выпускница лечебного факультета Курского государственного медицинского университета 2001 года.
В 2002 году окончила интернатуру по специальности «Неврология».
Имеет специализацию по иглорефлексотерапии.
В настоящее время работает врачом-неврологом в «Клиника Эксперт Тула». Принимает по адресу: ул. Болдина, д. 74.
Другие статьи по теме
От него не скроешься. Рано или поздно с ним встречается каждый человек. Паниковать не стоит, но лечиться надо. Что мы знаем о вирусе Эпштейна-Барр?
Коронавирус. Тема сегодня более чем актуальная. Что за напасть появилась в Китае. «Коронованный» вирус. Что такое коронавирус?
Такое заболевание как дифтерия известно с древних времён. О ней упоминают ещё. Коварная «плёнка». Что такое дифтерия?
Менингит на МРТ

Менингитом называют сочетанное воспаление мягкой и паутинной оболочек головного мозга. Заболевание имеет инфекционную природу, часто прогноз неблагоприятный. Менингит развивается в виде осложнения травм, системных вирусных, бактериальных и грибковых инфекций. В редких случаях патология возникает в результате перенесенного инсульта.
Болезнь может протекать в острой и хронической формах. Чаще менингит диагностируют у детей. Малыши в возрасте до 1 года тяжело переносят патологию. В качестве осложнений возможно развитие гидроцефалии, абсцесса головного мозга, эмпиемы (разлитого гнойного процесса), тромбоза вен, инфарктов и геморрагических инсультов.

Признаки менингита на МР-скане головы
Прогноз зависит от формы, этиологии, особенностей течения, стадии болезни, общего состояния организма. Раннее обнаружение патологии и правильно назначенное лечение повышают шансы на выздоровление.
Основную диагностическую ценность имеет пункция с бактериологическим анализом спинномозговой жидкости. Визуализацию головного мозга методом МРТ применяют в качестве дополнительной процедуры. Исследование дает информацию о локализации и масштабах патологического процесса, позволяет выявить осложнения и вовремя предпринять соответствующие меры.
Признаки менингита

Криптококковый менингит на фоне ВИЧ-инфекции на МР-снимках
Проявления зависят от возбудителя и формы заболевания. На первом плане - общеинфекционные симптомы, как результат интоксикации организма. К таковым относят лихорадку, слабость, сонливость, озноб, отсутствие аппетита.
Признаками воспаления мозговых оболочек являются головные боли, светобоязнь, чувствительность к звукам, болезненность глазных яблок, раздражительность. Ригидность затылочных мышц заставляет пациента принимать вынужденную позу (на боку, с запрокинутой головой).
Распространение инфекционного процесса на мозговую ткань провоцирует яркую неврологическую симптоматику. У больного развивается психомоторное возбуждение, переходящее в апатию и сонливость. Как правило, появляются постоянная тошнота и не приносящая облегчения рвота. Мышечные боли вскоре сменяются судорогами.
Покажет ли МРТ менингит?
Магнитно-резонансную томографию применяют в комплексной диагностике инфекционно-воспалительных заболеваний головного мозга. Процедура позволяет получить послойные снимки органа в трех плоскостях. На изображениях врач может выявить признаки, характерные для воспалительного процесса в оболочках и нервной ткани.
Информация об особенностях патологических изменений помогает определить стадию болезни, подобрать правильную терапевтическую тактику, предотвратить осложнения. Повторные МР-сканирования головного мозга позволяют оценить эффективность лечения, выявить очаги гнойных изменений. Ангиорежим и контрастирование информативны относительно тромбоза сосудов, отека мозга, ранней диагностики инфарктов и инсультов. На вопрос «покажет ли МРТ менингит?» рентгенологи дают утвердительный ответ. Каждый этап развития заболевания имеет характерные МР-признаки. Но диагноз устанавливают на основании результатов люмбальной пункции и анализа ликвора.

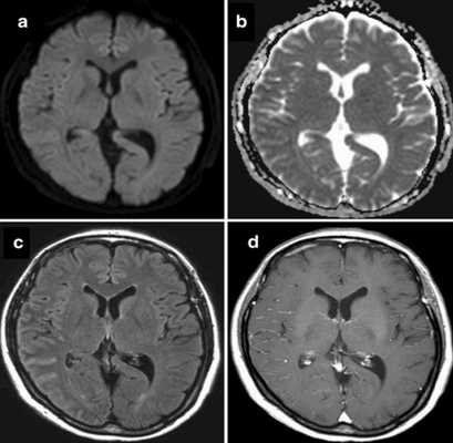
Ревматоидный менингит с инсультоподобными нарушениями на МРТ: DWI (a), карта ADC (b), FLAIR (c), T1 ВИ с контрастом (d)
МРТ при менингите, что показывает?
Результатом магнитно-резонансной томографии является серия монохромных снимков мозгового вещества, сделанных послойно с шагом от 1 мм. На изображениях чередуются темные и светлые участки различной степени интенсивности. Переходы оттенков соответствуют контурам внутренних тканей. Знание анатомии и опыт в сфере рентгенологии позволяет врачу отличить одни анатомические структуры от других, оценить соответствие норме их границ и размеров.
При менингите развивается воспаление в мозговых оболочках, сопровождающееся утолщением последних, нарушениями тока ликвора, экссудацией, расширением борозд и межполушарной щели и другими неспецифическими изменениями. Сканирование с контрастом показывает характерное окрашивание очагов воспаления и патологического выпота. МРТ после менингита дает информацию о наличии или отсутствии осложнений, позволяет оценить полноценность восстановления мозговой ткани.
Как выглядит менингит на МРТ?

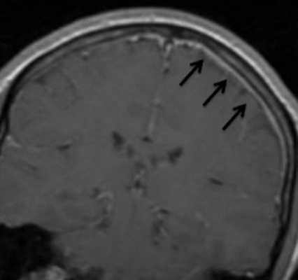
Пневмококковый менингит с миелитом (патологические изменения указаны стрелками)
Рентгенологи проводят расшифровку снимков, исходя из интенсивности сигнала от определенных тканей при применении разных режимов сканирования. МРТ-признаками менингита считают:
- изоинтенсивный ответ от экссудата на Т1 ВИ;
- гиперинтенсивный сигнал от тех же зон на Т2 ВИ;
- признаки гидроцефалии или повышение интенсивности импульсов от борозд и цистерн;
- характерное окрашивание структур, окружающих гнойники, после контрастирования;
- гиперинтенсивный сигнал от абсцессов, визуально заметная капсула;
- сужение просвета артерий или окклюзионные изменения при ангиорежиме сканирования;
- тромбоз вен при магнитно-резонансной венографии.
Подобные отклонения может выявить рентгенолог с практическим опытом и специальными навыками. Обычный человек на МР-снимках увидит только серые и белые пятна. Поэтому при подозрении на менингит больному не стоит самостоятельно назначать томографию и пытаться делать выводы по результатам процедуры. Основными критериями в диагностике патологии считаются клинические проявления и данные лабораторных тестов. Нейровизуализационные методы задействуют в качестве дополнения.
КТ головного мозга при менингите - что покажет

Менингит - это инфекция мозговых оболочек головного и спинного мозга, вызванная вирусом или бактериями. Это заболевание может развиться у любого пациента, но чаще всего встречается у младенцев, маленьких детей, подростков и молодых людей. Без должного лечения бактериальный менингит может быть очень опасным состоянием, представляющим потенциальный риск жизни человека. Он может вызвать опасное для жизни заражение крови и привести к необратимому повреждению мозговых тканей или нервов. В раннем возрасте детям доступен ряд прививок, обеспечивающих некоторую защиту от менингита.
Симптомы менингита
Симптомы менингита развиваются внезапно и могут включать:
- высокая температура (лихорадка) 38 C или выше
- головная боль
- сыпь
- ригидная шея
- светобоязнь
- сонливость
- судороги.
Эти симптомы могут появляться в любом порядке и в любой комбинации.
Признаки вирусного и бактериального менингита поначалу могут быть похожи. Однако симптомы бактериального менингита обычно более тяжелые и зависят от возраста.
Симптомы вирусного менингита
Вирусный менингит у младенцев вызывает:
- снижение аппетита
- раздражительность
- рвоту
- диарею
- сыпь
- респираторные симптомы.
У взрослых вирусный менингит вызывает:
- головные боли
- лихорадку
- ригидность мышц шеи
- судороги
- чувствительность к яркому свету
- сонливость
- тошноту и рвоту
- потерю аппетита.
Причины менингита
Менингит обычно вызывается бактериальной или вирусной инфекцией. Бактериальный менингит встречается реже, но более опасен, чем вирусный менингит. Инфекции, вызывающие менингит, могут передаваться через:
- чихание
- поцелуй
- совместное использование посуды, столовых приборов и зубных щеток.
Осложнения
Следующие осложнения обычно связаны с менингитом:
- судороги
- потеря слуха
- потеря зрения
- забывчивость
- мигрень
- повреждение мозга
- гидроцефалия
- субдуральная эмпиема.
Менингит и пневмония
Пневмококковый менингит - это редкая, но серьезная и опасная для жизни форма бактериального менингита. Иногда бактериям удается преодолеть гематоэнцефалический барьер и вызвать воспаление и инфекцию в головном и спинном мозге или непосредственно в окружающих жидкостях. Симптомы включают:
- озноб
- высокая температура
- рвота
- светочувствительность
- головная боль
- ригидные мышцы шеи
- слабость
- дезориентация.
Факторы риска
Факторы риска развития менингита включают:
- снижение иммунитета
- ВИЧ/СПИД
- аутоиммунные заболевания
- химиотерапия
- трансплантация органов или костного мозга
- рак
- иммунодепрессанты
- беременность
- возраст.
КТ головного мозга при диагностики менингита
Пациенты с подозрением на менингит обычно госпитализируют по скорой помощи и сдают анализы в больнице для подтверждения диагноза и проверки, является ли состояние результатом вирусной или бактериальной инфекции. Диагностика менингита начинается со сбора анамнеза и физического обследования. Инфекционист или невролог обратит внимание на следующее: лихорадка, проблемы с кожей, учащенный пульс, ригидность шеи, снижение сознания. Врач также назначит люмбальную пункцию, которая позволяет проанализировать спинномозговую жидкость, содержащую ряд признаков инфекции.
Для дифференциальной диагностики заболевания врач назначит и другие анализы:
- культуры крови выявляют бактерии, которые могут попасть из крови в мозг
- рентген грудной клетки показывает наличие пневмонии, туберкулеза или грибковых инфекций
КТ головного мозга показывает такие проблемы, как абсцесс мозга или внутричерепное давление, наличия мозгового отека.
Диагностика осложнений менингита
Диагностика осложнений менингита потребует дополнительных обследований:
- потеря слуха или зрения, которая может быть частичной или полной - диагностика: прием у ЛОР врача и КТ уха
- проблемы с памятью и концентрацией - диагностика: прием у невролога и МРТ головного мозга
- рецидивирующие припадки - диагностика: прием у невролог и МРТ головного мозга
- координация, движения и проблемы с балансом - диагностика: прием у невролога и МРТ головного мозга
- потеря конечностей - иногда необходима ампутация пораженных конечностей - диагностика: прием у хирурга и КТ мягких тканей конечностей.
Перспективы менингита
Вирусный менингит обычно проходит сам по себе и редко вызывает какие-либо долгосрочные проблемы. Большинство людей с бактериальным менингитом, которых лечат быстро, также полностью выздоравливают, хотя у некоторых остаются серьезные долгосрочные проблемы. В целом, по оценкам, до 1 из 10 случаев бактериального менингита приводит к летальному исходу.
Частая рвота? Сильные головные боли? Думаете, что это - признаки отравления?
Не всегда эти симптомы связаны с употреблением недоброкачественной пищи или болезнями системы пищеварения. Сегодня с врачом-рентгенологом ООО «МРТ Эксперт Липецк» Самаевым Александром Константиновичем мы говорим о таком грозном заболевании, как менингит.
- Александр Константинович, скажите, пожалуйста, что это за заболевание - менингит и чем он опасен?
Головной и спинной мозг покрыты несколькими оболочками. Их воспаление и называют менингитом.
Опасность данной патологии - в возникновении различного рода осложнений, прежде всего, со стороны центральной нервной системы. Это может быть, например, абсцесс или инфаркт головного мозга, тромбоз венозного синуса, гидроцефалия.
- Что является причиной такого воспаления оболочек?
Главным образом это различные бактерии, вирусы, грибки. Одним из распространенных возбудителей, вызывающих менингит, является менингококк (N. meningitidis).
- А какова распространенность менингита? Велика ли смертность при этом заболевании?
Существует мнение, что в мировом масштабе от 10 до 20% людей являются носителями менингококковой инфекции в любой момент времени.
В России на 100 тысяч населения отмечается порядка 3 случаев заболевания, вызванного данным возбудителем, и около 10 случаев, если речь идет о возбудителе вирусной природы.
Уровень летальных исходов при бактериальных менингитах - 14%.
- Как распознать менингит, каковы его симптомы?
Проявления заболевания разнообразны. Помимо общих признаков, таких как повышение температуры тела, общая слабость, встречаются симптомы, достаточно характерные для этой патологии. Это, например, выраженная головная боль, не снимающаяся распространенными обезболивающими средствами, резкое напряжение мышц-разгибателей шеи (в силу чего голова как бы запрокинута назад и ее трудно наклонять), выгибание спины. Также часто встречается тошнота и рвота, которая не приносит облегчения и не связана с приемом пищи и патологией органов пищеварения.
Может отмечаться появление на коже сыпи розоватого или красного цвета.
У детей нередко встречается расширение вен головы, век. У грудничков - выбухание родничков.
- Каковы пути передачи менингита? Он передаётся воздушно-капельным путём или нет?
Это зависит от конкретного возбудителя инфекции. Если говорить собственно о менингококке, то он передается воздушно-капельным путем. Микроорганизм при этом сначала попадает в носоглотку, а оттуда уже с кровью заносится в оболочки головного мозга.
Распространение может быть и контактным: например, при гнойных процессах в придаточных пазухах носа или полости среднего уха, когда гной расплавляет костную стенку и прорывается в полость черепа.
- Что делать при первых признаках менингита?
Немедленно обратиться к врачу для дальнейшей диагностики и лечения. Бактериям свойственно очень быстро размножаться, поэтому инфекционный процесс будет только прогрессивно усиливаться.
- Как проводится диагностика менингита?
Важную информацию доктор получает уже на этапе осмотра больного и выявления перечисленных выше симптомов.
Но для подтверждения диагноза необходимы дополнительные лабораторно-инструментальные методы исследования.
Это, в первую очередь, так называемая люмбальная пункция, когда с помощью иглы делают прокол оболочек спинного мозга в поясничном отделе позвоночника и берут на исследование немного спинномозговой жидкости (ликвора). Может возникнуть закономерный вопрос: зачем и почему при подозрении на менингит делают пункцию в области поясничного отдела позвоночника? Дело в том, что спинномозговая жидкость циркулирует между оболочками как головного, так и спинного мозга, и воспаление в оболочках головного мозга обычно дает о себе знать изменениями ликвора везде, где он есть.
Также параллельно определяется давление спинномозговой жидкости - при менингите оно повышается.
Саму жидкость подвергают микробиологическим и биохимическим исследованиям для обнаружения причинного микроорганизма и признаков воспаления.
- То есть фактически делаются попытки обнаружить возбудитель инфекции. А можно ли как-то «увидеть» сами оболочки головного мозга и их воспаление?
Да, это возможно. Покажет ли МРТ менингит? Безусловно. Более того, наиболее подходящим исследованием для «визуального» выявления менингита является магнитно-резонансная томография . Ее же с успехом можно применять для диагностики осложнений этой патологии.
Также для обнаружения воспаления оболочек может применяться и компьютерная томография.
Отмечу, что менингит - это грозное инфекционное заболевание нервной системы, и выбор метода (методов) исследования при нем осуществляется чаще всего лечащим врачом, в зависимости от состояния конкретного больного. Поэтому при появлении его симптомов, о которых мы говорили ранее, задавать себе вопрос «какой метод применим для выявления менингита: МРТ или КТ?» - серьезная тактическая ошибка. Следует незамедлительно обращаться к врачу и уже ему доверить дальнейший диагностический алгоритм.
- Как проводится лечение менингита? Это заболевание лечится или нет?
Конечно, лечится. Обязательно осуществляется воздействие на причинный фактор, т.е. бактерии, вирусы и т.д. Соответственно, назначаются антибактериальные, противовирусные препараты. Если менингит вызван занесенной инфекцией, например, из гнойного очага - проводится его поиск и ликвидация (например, при ЛОР-патологии: гнойном воспалении лобной пазухи, полости среднего уха и т.д.).
Также проводится терапия, направленная на снятие отека оболочек головного мозга, устранение судорог, симптомов интоксикации.
- Александр Константинович, какими могут быть последствия менингита и как их избежать?
О части из них мы говорили ранее: это развитие абсцесса или инфаркта головного мозга, тромбоза венозного синуса, гидроцефалии.
Кроме того, может отмечаться потеря слуха, занос инфекции в другие органы, появление эпилепсии, отставание ребенка в психическом развитии, повышенная возбудимость и быстрая утомляемость.
- Каковы основные меры профилактика менингита?
Укрепление иммунитета, плановые вакцинации, соблюдение санитарно-гигиенических мероприятий для недопущения заболевания ОРВИ и другими инфекционными патологиями.
Самаев Александр Константинович
Выпускник лечебного факультета Северо-Осетинской государственной медицинской академии 2008 года.
Покажет ли МРТ головного мозга менингит

Мозговые оболочки - это важные анатомические структуры головы, обеспечивающие защиту, кровоснабжение, ликвородинамику, фиксацию головного мозга. МРТ отражает виды патологий мозговых оболочек, их локализацию и распространение. Менингит - это наиболее частая форма воспалительной патологии мозговых оболочек. Его спровоцировать может обычная инфекция, дефект самой оболочки головного мозга, черепно-мозговые травмы или заражения после черепно-мозговой операции, иммунодефицит, в том числе СПИД.
Возбудителями воспалительных процессов в оболочке мозга могут стать бактерии и микобактерии, грибки, паразиты и вирусы (вирус Эпштейна-Барра). В практике врачей медицинских центров Санкт-Петербурга менингиты встречаются довольно часто. Это связано не только с укусами клещей (энцефалитные менингиты) и вирусом герпеса, но и с распространением ВИЧ инфекции.
Видно ли менингит на МРТ головного мозга?
Чтобы диагностировать и визуализировать последствия менингита, неврологи и инфекционисты назначают пациенту сделать МРТ головы. Чаще всего менингит не дифференцируются на обычных нативных МРТ снимках головного мозга, поэтому проводить МРТ при менингите нужно с использованием контрастного усиления. Контраст имеет свойство накапливаться при воспалении и в местах утолщения оболочек, что дает возможность врачам увидеть форму и контур повреждения оболочек и оценить распространенность поражения.
При некоторых формах менингита под оболочкой располагаются абсцессы - гнойные, ограниченные участочки, которые при контрастировании хорошо визуализируются. Гнойный менингит с помощью результатов томографии головного мозга дифференцируют от субдуральной или эпидуральной эмпиемы. Эмпиема - значительное скопление гноя внутри головного мозга. Причинами ее возникновения могут служить гнойные синуситы, средние отиты, мастоидиты, открытые черепно-мозговые травмы, осложнения от операции на головном мозге, нагноения гематом. Уточнить, что же стало истинной причиной нагноения, можно с помощью томографии. МРТ признаками этого поражения станут:
- Гиперинтенсивный сигнал на всех режимах
- Интенсивное накопление контрастного вещества по периферии
- Могут быть выявлены инфаркты и тромбозы в окружающем веществе головного мозга.
После менингита лучше сделать КТ или МРТ?
Ответ на этот вопрос зависит от целей обследования. Для диагностики самого менингита или дифференциальной диагностики следует сделать МРТ головного мозга с контрастом. КТ очень плохо визуализирует структуры мозговых оболочек. Однако, если менингит вызван инфекцией при черепно-мозговой травме, или есть поражения костей черепа при менингите, необходимо сделать комплексное обследование головы, включающее КТ и МРТ головного мозга.
Патологические изменения мозговых оболочек на МРТ, схожие с менингитом
Кроме менингитов типичными патологиями мозговых оболочек, с которыми врачи медицинских центров Санкт-Петербурге сталкиваются в своей ежедневной практике, являются:
- пороки развития - это заболевания или изменения, с которыми человек родился
- повреждения от черепно-мозговых травм
- кисты оболочек
- воспалительные заболевания
- опухолевые поражения.
Все эти патологии могут иметь схожую клиническую симптоматику с менингитом. Благодаря МРТ головного мозга с контрастом у врачей есть возможность безошибочно диагностировать, какое же именно заболевание привело к аномалиям в области мозговых оболочек. От точности поставленного диагноза зависит тактика лечения и шансы человека на успешную реабилитацию.
Один из актуальных вопросов неврологии - это быстрая дифференциация менингита от злокачественных опухолей мозговых оболочек, особенно метастазного рака. Здесь врачи по характеру накопления контрастна и географии распространения новообразований могут сразу сказать, с чем они имеют дело - воспалением оболочек мозга в виде менингита или же злокачественным процессом. Перечень злокачественных образований мозговых оболочек включает в себя менингосаркомы, хондросаркомы, рабдомиосаркомы и гемангиоперицитомы. Вторичные опухоли мозговых оболочек обычно на МРТ изображениях выглядит в виде узлов, накапливающих красное вещество. Чаще всего в оболочку головного мозга метастазирует рак легких, рак молочной железы, лимфомы и меланомы.
| МРТ здорового головного мозга | менингит на МРТ |
Процедура МРТ головного мозга при менингите
Томография головы - весьма простая форма диагностики для пациента. Она не требует особых усилий или подготовки со стороны обследуемого. Человеку необходимо записаться на МРТ головного мозга и желательно подойти в диагностический центр за 15 минут до назначенного времени для оформления медицинских документов.
Чтобы сканирование прошло максимально информативно, с собой на процедуру лучше всего взять все результаты предыдущих исследований и, если есть, направление от врача. Одеться удобнее всего будет в комфортную для лежания одежду без металлических компонентов. Если в теле пациента есть какие-либо вшитые неорганические объекты: импланты, пластины, стенты, скобы, нейро или кардиостимуляторы, на томографию необходимо принести паспорт импланта, чтобы врач смогу убедиться, что он сделан из неферромагнитных сплавов. Наличие металлических конструкций в теле из магнитящихся составов является противопоказанием к МРТ исследованию.
Если МРТ головного мозга назначено с введением контрастного вещества, следует воздержаться от приема пищи за 2 часа до сеанса сканирования. Так Вы минимизируете шансы рвоты или тошноты при внутривенном введении контраста.
Решение о применении контрастного препарата в ходе МРТ головного мозга при менингите принимает либо лечащий врач, указывая контрастный протокол обследования в направлении на диагностику, либо рентгенолог, если во время обследования визуализировались признаки воспалительных или опухолевых процессов.
Процедура бесконтрастной МР-диагностики занимает 10-15 минут. Контрастное МРТ потребует 30-40 минут, в ходе которого пациент будет находиться в лежачем положении в зоне сканирования томографа. По шуму работающей машины в виде характерного стука обследуемому будет понятно, когда аппарат делает сканы, и нужно лежать максимально неподвижно, а когда можно расслабиться в перерывах между сериями сканирования. Если шум томографа сильно раздражает, у пациента всегда есть возможность воспользоваться берушами или шумоподавляющими наушниками.
По окончании диагностики во многих МРТ центрах СПб клиент сразу сможет получить результаты, подождав в комнате отдыха 30-40 минут. В стоимость МРТ обследования обычно уже включено само сканирование, расшифровка данных опытным рентгенологом, запись томограмм на электронный носитель и подготовка письменного заключения и рекомендации к дальнейшим шагам для пациента.
Противопоказания к МРТ
При МРТ исследовании на пациента действует магнитное поле, и все абсолютные противопоказания будут связаны с этим фактом:
Магнитное поле может привести в движение объекты, которым свойственно с ним взаимодействовать, это могут быть: клипсы на сосудах, металлоконструкции в любом участке тела. Поэтому если в организме установлен имплант, пациенту нужно будет предъявить документы, в которых указан состав материала. В случае, если это неферромагнитный материал (например, титан), проведение МРТ разрешено.
Магнитное поле может повлиять на работу электронных устройств: электокардиостимуляторы, инсулиновые помпы, слуховые протезы. Если в паспорте импланта не указано, что он совместим с МРТ, необходимо подобрать альтернативный метод диагностики.
Следует отметить, что иногда проведение МРТ не возможно в следующих случаях:
Читайте также:
- Лучевая анатомия суставов, связок, мышц
- Операции при геморрое. Перевязка геморроидальных узлов. Операции при трещине заднего прохода.
- Стимуляция задних столбов. Интраспинальное программируемое введение опиоидов. Хирургическая симпатэктомия.
- Медленная активность головного мозга. Антирекрутирующие влияния при эпилепсии
- Амфетамины. Опиоиды. Влияние амфетаминов и опиоидов на нервную систему.
