Дермоидная, эпидермоидная кисты головы и шеи - лучевая диагностика
Добавил пользователь Дмитрий К. Обновлено: 01.11.2025
С диагнозом «киста» сталкивается немало пациентов, среди них большинство - женщины. Однако киста кисте рознь.
Об одной из ее разновидностей - дермоидной кисте - мы попросили рассказать исполнительного директора ООО «Клиника Эксперт Оренбург» Подлевских Юрия Андреевича.
- Юрий Андреевич, что же такое дермоидная киста и стоит ли опасаться этого диагноза?
Это одна из разновидностей доброкачественных опухолей, развивающаяся в процессе эмбрионального развития человека.
Тревога пациентов, которым установлен этот диагноз, понятна. Но паниковать не стоит. По характеру это доброкачественное образование, что уже успокаивает. Но, тем не менее, в норме его быть не должно.
- Дермоидная киста может возникнуть в любом органе?
Она может быть практически везде. Однако есть области, где дермоидная киста встречается чаще. Например, это малый таз у женщин (в частности, дермоидная киста яичника).
- Что является причинами возникновения дермоидных кист?
- Дермоидная киста - чаще случайная находка или пациента что-то беспокоит?
Часть пациентов специфичных жалоб не предъявляет: образование выявляется случайно (например при профилактическом, скрининговом исследовании).
У ряда больных можно обнаружить ее при обычном осмотре (в частности под кожей).
Симптомы дермоидной кисты также зависят от области тела, где она располагается.
Если это, например, дермоидная киста головного мозга, то могут отмечаться неспецифические признаки - например, головные боли, головокружение. При расположении ее в малом тазу также возможен болевой синдром (в ряде случаев, интенсивный - в частности при разрыве кисты), нарушение мочеиспускания, признаки кишечной непроходимости, при воспалении - повышение температуры тела. Сделать однозначный вывод по таким признакам о том, что это именно дермоидная киста, в большинстве случаев невозможно. Уточнить диагноз можно только после дополнительных исследований.
- Как проводится диагностика дермоидных кист?
Помимо клинических методов в виде опроса, осмотра, пальпации широко используются инструментальные методы диагностики. Чаще всего применяются ультразвуковое исследование, магнитно-резонансная и компьютерная томография.
На практике статистически более часто люди проходят скрининговое УЗИ, которое впервые и выявляет это образование, после чего для уточнения диагноза они направляются на МРТ или КТ. Дермоидная киста хорошо выявляется обоими методами, однако несколько более предпочтительной является МРТ - разумеется, если к нему нет противопоказаний. Главное преимущество в данном случае - отсутствие лучевой нагрузки, в определенной степени присущей КТ.
- Юрий Андреевич, если МРТ выявило дермоидную кисту, что делать такому пациенту?
Обращаться к доктору, специальность которого зависит от области расположения образования. Если оно находится интракраниально (внутри черепа), то необходима консультация нейрохирурга; если в малом тазу - гинеколога; в брюшной полости - хирурга.
- Как лечат дермоидные кисты?
Обычно лечение хирургическое. В зависимости от конкретной ситуации, дермоидная киста либо иссекается, либо сначала дренируется и освобождается от содержимого, а затем удаляется.
По решению доктора иногда производится динамическое наблюдение за ними.
- Какими могут быть осложнения, если дермоидную кисту не лечить?
Это, например, воспаление, разрыв кисты. Также описано ее озлокачествление: по разным данным, дермоидная киста перерождается примерно у 8% пациентов.
Подлевских Юрий Андреевич
Выпускник Оренбургской государственной медицинской академии 2012 года по специальности «Педиатрия».
В 2013 году на базе вышеназванного учебного заведения окончил интернатуру по специальности «Рентгенология». В этом же году прошел усовершенствование по магнитно-резонансной томографии.
В настоящее время занимает должность исполнительного директора ООО «Клиника Эксперт Оренбург».
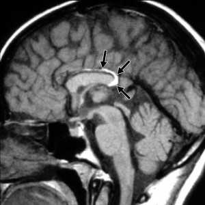
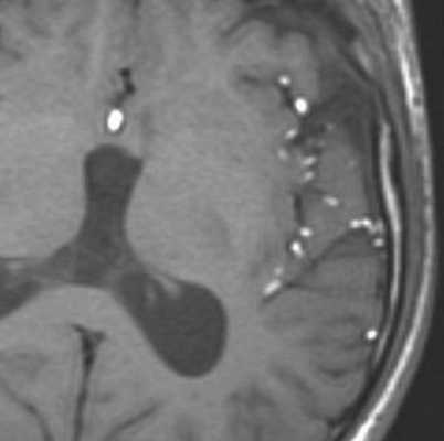
Интракраниальные эпидермоидные кисты
Являются относительно распространенными врожденными образованиями, на долю которых приходится около 1% от всех внутричерепных опухолей. Очень медленно растут и, как правило, требуется много лет, чтобы появилась клиника. Возраст пациентов от 20 до 40 лет. Редко ассоциированы с триадой Currarino (аноректальная, сакральная аномалии и пресакральные образования (переднее сакральное менингоцеле, тератома, гамартома)).
Клинические проявления
Симптомы обусловлены постепенно нарастающим масс-эффектом и представлены:
- головными болями (наиболее распространенный симптом)
- дефицитом черепных нервов
- мозжечковыми симптомами
- припадками
- повышением внутричерепного давлени
Редко, рецидивирующий асептический менингит, похожий на таковой при менее распространенных дермоидных кистах.
Патология
Эпидермоидные кисты могут быть врожденными (наиболее часто, являются результатом неполного разделения эктодермы во время закрытия невральной трубки) или приобретенными (послеоперационная или посттравматическая имплантация). Патологически, внутричерепные эпидермоидные кисты идентичны врожденным холестеатомам верхушки пирамиды височной кости, среднего уха. Они отличаются от дермоидных кист, которые имеют эпидермальные и кожные придатки, такие как волосы и сальные железы, и зрелых тератом, которые имеют все три слоя.
Они имеют тонкую капсулу, представленную тонким слоем плоского эпителия, который макроскопически белый и жемчужный, и может быть гладким, дольчатым или узловым. Содержимое кистозного компонента обычно представлено воскообразным материалом из десквамированных кератиновых производных и кристаллами холестерина. Следует отметить, что некоторые авторы, указывают на то, что эпидермоидные кисты имеют некоторое гистологическое сходство с кистозными (адамантиноматозными) краниофарингиомами.
Локализация
- интрадурально: 90%
- мостомозжечковый угол: 40-50%
- третие по частоте встречаемости образования мостомозжечкового угла (после вестибулярных шванном и менингиом), на долю которых приходится около 5-10% всех опухолей в этом регионе
- большинство в черепе
Особенности визуализации
Дольчатые образования, которые заполняют, расширяют ликворные пространства, оказывают постепенно нарастающий масс-эффект, проникают между структурами и охватывают соседние нервы и сосуды. Частой особенностью кист задней черепной ямки является смещение основной артерии в сторону от моста.
Сочетание клеточных остатков вместе с высоким содержанием холестерина понижают плотность эпидермоидов приблизительно до 0 HU; таким образом, эпидермоидные кисты могут быть идентичными по плотности с ликвором, и выглядеть так же, как арахноидальные кисты.
Кальцификация не часто (10-25% случаев); редко эпидермоидная киста может быть гиперденсной вследствие кровотечения, омыления или высокого содержания белка ("белые эпидермоиды").
Они не копят контраст, и только в очень редких случаях демонстрируют накопление контраста стенкой.
Могут вызывать эрозию костей, а при интрадиплоическом расположении имеют выраженный склеротический ободок по краям кисты [2].
Проявления на МРТ схожи с таковыми на КТ; эпидермоиды часто неотличимы от арахноидальных кист или расширенных ликворных пространств на многих последовательностях.
- T1
- обычно изоинтенсивны ликвору
- часто наблюдается более интенсивный сигнал по сравнению с ликвором по периферии образования
- редко могут иметь гиперинтенсивный сигнал ("белые эпидермоиды")
- редко внутреннее кровоизлияние может привести к повышению интенсивности сигнала
- иногда может быть тонкое накопление контраста по периферии
- в редких случаях злокачественного перерождения, накопление становится более выраженным
- обычно изоинтенсивны ликвору (65%)
- слегка гиперинтенсивнее (35%)
- редко гипоинтенсивные, как правило , в случаях так называемых "белых эпидермоидов"
- обычно неоднородный / "грязный" сигнал; выше, чем от ликвора
- остерегайтесь потоковых артефактов от пульсации ликвора, которые могут имитировать подобные изменения
Лечение и прогноз
При наличии симптоматики хирургическое иссечение является методом выбора. Полная резекция затруднительна, так как не все ткани могут быть удалены, особенно расположенные около черепномозговых нервов и сосудов. Поэтому рецидив не редкость, хотя рост, как правило, медленный и може пройти много лет без появления новых симптомов.
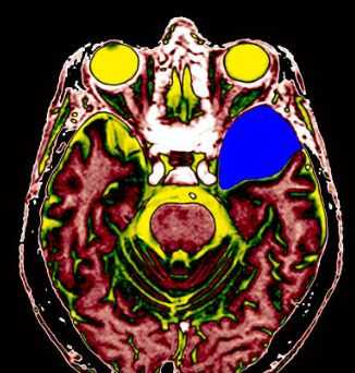
Кисты головного мозга и их диагностика
МРТ головного мозга. Т2-взвешенная аксиальная томограмма. Арахноидальная киста. Цветовая обработка изображения.
Кисты головного мозга в большинстве своем относятся к аномалиям развития. Некоторые образования, возникшие на почве нарушения развития, имеют сходные с кистами черты.
Эпидермоидные кисты (эпидермоиды) - доброкачественные врождённые образования. Они происходят из эктопических эпидермальных клеток и развиваются в период закрытия, в 3-5 нед. эмбриогенеза, как следствие неполного разделения нейрональной и покровной эктодермы. Частота составляет около 1% от внутричерепных образований. Обычно диагностируются в возрасте 25 - 45 лет. Локализация эпидермоидов может быть любой, но типичная - мосто-мозжечковый угол (третье по частоте образование этой области), предмостовая цистерна, параселлярная область, четверохолмие и желудочковая система, очень редко в полушариях, спинном мозге и интрадиплоидно. Растут они интра- или экстрадурально, экспансивно, медленно, сдавливая ствол мозга, внутричерепные нервы, но не разрушая кость. Иногда захватывают сосуды и нервы. По характеру роста их можно отнести к опухолевидным образованиям. Вокруг эпидермоидов нередко развивается асептическое воспаление, а при разрыве содержимое (жир, кератин) прорывается в ликворные пространства. Клинические проявления зависят от локализации и масс-эффекта.
При МРТ головного мозга картина неспецифическая и зависит от содержимого кисты. Если она не содержит жира, то имеет ликворную интенсивность сигнала . В таком случае эпидермоидная киста трудно отличима от арахноидальной, хотя, как правило, не столь однородная. На МРТ типа FLAIR и диффузионно-взвешенных МРТ изображениях содержимое эпидермоидов светлее ликворного. Жировое содержимое, такие эпидермоиды еще называют холестеатомой, приводит к высокому сигналу на Т1-взвешенных МРТ головного мозга. Видимо, он обусловлен липидами, но не холестеролом. На Т2-взвешенных МРТ головного мозга он менее интенсивен чем ликвор. Контуры эпидермоидов всегда четкие. Холестеатомы составляют всего 3-5% от эпидермоидов. В 15-20% случаев встречается кальцификация по переферии кисты. Редко наблюдается контрастирование стенок.
МРТ головного мозга. Т1-взвешенные корональная и сагиттальная МРТ. Эпидермоидная киста левой височной доли.
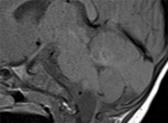
Дермоидные кисты встречаются реже эпидермоидных, составляя около 0,3 % от внутричерепных образований. Обычно выявляются в возрасте между 10 и 20 годами. Морфологически от эпидермоидов их отличает наличие эктодермальных элементов - волосяных фолликулов, потовых желёз и т.д. Типично они расположены по средней линии (в отличие от эпидермоидов, которые чаще внеосевые): в супраселлярной цистерне, субфронтально, вокруг моста и, очень редко парапиниально, периорбитально, в IV желудочке, в области конского хвоста и интрадиплоидно. От эпидермоидных кист на МРТ головного мозга их отличает только выраженная неоднородность структуры, кроме того, они всегда яркие на Т1-взвешенных МРТ головного мозга за счёт большого содержания липидов. При разрыве и прорыве в субарахноидальное пространство в нём появляется уровень, на Т1-взвешенных МРТ головного мозга светлый жир плавает на ликворе.
Липома представляет собой скопление в субарахноидальном пространстве зачаточных жировых клеток с примесью коллагена. Происходят липомы из остатков примитивной эмбриональной оболочки. Эта мальформация оболочек мозга связана с нарушением дифференцировки мезенхимы на мягкую мозговую оболочку и субарахноидальное пространство. Частота липомы составляет менее 0.5% от внутричерепных образований. Обычно липомы локализуется в мозолистом теле, в межполушарной щели, воронке гипофиза и гипоталамусе, реже вокруг червя мозжечка и пластины четверохолмия и мосто-мозжечковом углу и Липомы мозолистого тела сочетаются с его агенезией и в 60% случаев с распространением на сосудистое сплетение. При МРТ головного мозга липома четко очерчена, без отека вокруг и масс-эффекта, кость не разрушает. Структура образования чаще однородная, жировой интенсивности сигнала - то есть выраженно гиперинтенсивная на Т1-взвешенных МРТ и немного менее интенсивная по отношению к ликвору на Т2-взвешенных МРТ. Иногда встречаются неоднородные липомы с участками низкого сигнала от кальцинатов и сосудов, проходящих ее насквозь. При сомнениях в диагнозе надо выполнить МРТ головного мозга с подавлением жира или можно сделать КТ. На КТ липома всегда резко гиподенсна и может содержать включения кальция.
![glipoma_cns_fig2a]()
МРТ головного мозга. Сагиттальная Т1-взвешенная МРТ. Липома мозолистого тела.
Эпендимальные кисты встречаются очень редко. Они представляют собой врождённую отшнуровку внутри желудочков или цистернах . На МРТ головного мозга контур кисты четкий, сигнал ликворной интенсивности или чуть светлее за счет отсутствия пульсации и примеси белка, структура однородная. В отличие от кист прозрачной перегородки она не расщеплена, а смещена.
Арахноидальные кисты представляют собой скопление ликвора между листками расщепленной паутинной оболочки. Арахноидальная киста обычно не сопровождается другими мальформациями. Незначительная часть арахноидальных кист имеет приобретенное происхождение - следствие лептоменингита, операции или кровоизлияния. Частота составляет около 1% от внутричерепных образований. Соотношение полов М:Ж, как 4:1. Типичная локализация - средняя черепная ямка (в области Сильвиевой борозды 50%), межполушарная щель, мосто-мозжечковый угол (11%), за скатом или на уровне четверохолмия (10%), в области червя мозжечка (9%), реже в области межножковой и предмостовой цистерн (3%), а также супраселлярной и хиазмальной цистерн. Ретроцеребеллярная арахноидальная киста довольно часто встречаются за мозжечком и отличима от mega cisterna только по неизменённой задней черепной ямке. Содержимое кисты чисто ликворное, стенки гладкие, чётко очерченные, внутри кисты могут быть перегородки. Мелкие арахноидальные кисты очень трудно увидеть. Меняя ширину окна и его уровень на Т1-взвешенных МРТ изображениях можно заметить, что киста чуть светлее ликвора. Дифференциальная диагностика с эпидермальными кистами лучше осуществляется с помощью МРТ последовательности FLAIR. Эпидермальные кисты становятся яркими, в отличие от гипоинтенсивных арахноидальных.
Нейроглиальные (нейроэпителиальные) кисты - врождённые кисты различной этиологии, локализующиеся в паренхиме мозга или в области сосудистого сплетения желудочков. Обычно округлые, с гладкими стенками. Очень часто такие кисты сочетаются с аномалиями развития: отсутствием прозрачной перегородки и полимикрогирией. При МРТ головного мозга содержимое кист ликворное, иногда с небольшой примесью белка.
Коллоидная киста - это врождённое нейроэпителиальное образование. Коллоидная киста выстлана эпителием и имеет фиброзную капсулу. Она составляют около 1-2% объемных внутричерепных образований. Обычно диагностируются в возрасте между 30 и 50 годами. При МРТ головного мозга видно, что киста всегда расположена в переднее-верхнем отрезке III желудочка между отверстиями Монро. Контур ее четкий, форма округлая, содержимое бывает неоднородное. Размер от 3 мм до 4 см, при больших размерах она закрывает отверстия Монро и вызывает окклюзионную гидроцефалию. Сигнал зависти от примеси белка к ликвору. При наличии белкового мукоидного содержимого киста гиперинтенсивна на Т1-взвешенных МРТ и гипоинтенсивна на Т2-взвешенных МРТ, но встречаются варианты гиперинтенсивные на томограммах обоих типов кольцевидные или смешанные . Контрастирования не наблюдается.
КТ и МРТ головного мозга. Коллоидная киста III желудочка.
Киста кармана Ратке представляет собой редко встречающееся образование из остатков эмбриональной эктодермы (щель Ратке), расположенное между долями гипофиза. Выявляется в любом возрасте, но чаще в 50-60 лет. Клинические проявления связаны с масс-эффектом. При головного мозга выявляется небольшая (3-5 мм) киста с четким контуром, без отека вокруг, однородная по структуре. Сигнал зависит от содержимого. При серозном содержимом сигнал типично жидкостный, при мукоидном киста светлая на Т1-взвешенных МРТ. В редких случаях киста достигает больших размеров и даже выходит за пределы седла. Стенка кисты иногда усиливается при контрастировании.
МРТ головного мозга. Т2-взвешенная корональная МРТ. Киста кармана Ратке.
Пинеальная киста расположена в проекции шишковидной железы. Встречается с частотой 4-11%. Размеры обычно не превышают 1 см, но изредка встречаются больших размеров. В таких случаях она вызывает окклюзионную гидроцефалию. При головного мозга она имеет все признаки кисты с примесью белка в жидкости, то есть немного светлая на Т1-взвешенных. Изредка встречается геморрагическое содержимое. Киста может контрастироваться по периферии.
![gpineal_cyst_fig1a]()
МРТ головного мозга. Сагиттальная Т1-взвешенная МРТ. Пинеальная киста.
Кисты средней линии - киста прозрачной перегородки (cavum septi pellucidi), полость Верге (cavum Vergae) и киста промежуточного паруса (cavum veli interpositi) - являются нормальными структурами головного мозга плода. В течение 6 месяцев после рождения у большинства людей они запустевают, но могут и сохраниться, визуализируясь при этом на МРТ головного мозга. По-видимому, эти полости не имеют клинического значения и относятся к случайным находкам при томографии. Киста прозрачной перегородки (еще называют V желудочком) является медиальной стенкой боковых желудочков и ограничена спереди коленом мозолистого тела, сверху мозолистым телом и сзади столбами свода . Полость Верге представляет собой продолжение кисты прозрачной перегородки кзади и расположена между телами желудочков . Обычно обе кисты сочетаются. Киста промежуточного паруса расположена в крыше III желудочка (tela choroidea), между треугольниками боковых желудочков на уровне отверстий Монро. Она ограничена сверху мозолистым телом, cзади цистерной четверохолмия и снизу III желудочком.
При МРТ в СПб мы обращаем внимание на возможность не только врожденных, но и редких состояний, к которым относятся приобретенные кисты головного мозга, причиной которых могут быть:
- последствия ОНМК
- опухолевые кисты
- паразитарные кисты
![эхинококк головного]()
МРТ головного мозга. Корональная Т1-взвешенная МРТ. Многокамерные эхинококковые кисты.
Кисты головного мозга одинаково хорошо видны в высоких полях и низкопольных открытых МРТ. МРТ СПб дает место выбора выполнения МРТ.
МРТ кист головного мозга
![Киста]()
МРТ головного мозга. Арахноидальная киста полюса левой височной доли. Цветовая обработка.
Кисты головного мозга - это аномалии его развития. При МРТ в СПб мы видим задачу в дифференциальной диагностике с кистозными формами опухолей. При МРТ головного мозга некоторые виды кист, особенно дермоидные, сами напоминают опухоль.
При МРТ головного мозга картина неспецифическая и зависит от содержимого кисты. Если она не содержит жира, топри МРТ головного мозга эпидермоидная киста имеет ликворную интенсивность сигнала. В таком случае эпидермоидная киста трудно отличима от арахноидальной, хотя, как правило, не столь однородная. На FLAIR томограммах и диффузионно-взвешенных МРТ головного мозга содержимое эпидермоидов светлее ликворного. Жировое содержимое, такие эпидермоиды еще называют холестеатомой, приводит к высокому сигналу на Т1-зависимых МРТ головного мозга. Видимо, он обусловлен липидами, но не холестеролом. На Т2-взвешенных МРТ головного мозга он менее интенсивен чем ликвор. Контуры эпидермоидов на МРТ всегда четкие. Холестеатомы составляют всего 3-5% от эпидермоидов. В 15-20% случаев встречается кальцификация по переферии кисты. Редко наблюдается усиление стенок кисты при МРТ головного мозга с контрастированием.
![Epidermoid cyst]()
МРТ головного мозга. Т2-взвешенная аксиальная МРТ. Эпидермоидная киста в области предмостовой цистерны слева.
Дермоидные кисты встречаются реже эпидермоидных, составляя около 0,3 % от внутричерепных образований. Обычно выявляются в возрасте между 10 и 20 годами. Морфологически от эпидермоидов их отличает наличие эктодермальных элементов - волосяных фолликулов, потовых желёз и т.д. Типично они расположены по средней линии (в отличие от эпидермоидов, которые чаще внеосевые): в супраселлярной цистерне, субфронтально, вокруг моста и, очень редко парапинеально, периорбитально, в IV желудочке, в области конского хвоста и интрадиплоидно. От эпидермоидных кист на МРТ головного мозга их отличает только выраженная неоднородность структуры, кроме того, они всегда яркие на Т1-зависимых МРТ головного мозга за счёт большого содержания липидов. При разрыве и прорыве в субарахноидальное пространство в нём появляется уровень, на Т1-зависимых МРТ головного мозга светлый жир плавает на ликворе.
![Dermoid rupture]()
МРТ головного мозга. Т1-взвешенная аксиальная МРТ. Прорыв дермоидной кисты в субарахноидальное пространство.
Эпендимальные кисты встречаются очень редко. Они представляют собой врождённую отшнуровку внутри желудочков или цистернах. При МРТ головного мозга контур кисты четкий, сигнал ликворной интенсивности или чуть светлее за счет отсутствия пульсации и примеси белка, структура однородная. В отличие от кист прозрачной перегородки при МРТ головного мозга видно, что она не расщеплена, а смещена.
![Ependimal cyst]()
МРТ головного мозга. Т2-взвешенная аксиальная МРТ. Эпендимальная киста.
Арахноидальные кисты представляют собой скопление ликвора между листками расщепленной паутинной оболочки. Арахноидальная киста обычно не сопровождается другими мальформациями. Незначительная часть арахноидальных кист имеет приобретенное происхождение - следствие лептоменингита, операции или кровоизлияния. Частота составляет около 1% от внутричерепных образований. Соотношение полов М:Ж, как 4:1. Типичная локализация - средняя черепная ямка (в области Сильвиевой борозды 50%), межполушарная щель, мосто-мозжечковый угол (11%), за скатом или на уровне четверохолмия (10%), в области червя мозжечка (9%), реже в области межножковой и предмостовой цистерн (3%), а также супраселлярной и хиазмальной цистерн. В зависимости от размера предложено делить кисты на 3 типа (Galassi, 2006), что однако, не имеет практического значения. Ретроцеребеллярная арахноидальная киста довольно часто встречаются за мозжечком и отличима от mega cisterna только по неизменённой задней черепной ямке. При МРТ головного мозга содержимое кисты чисто ликворное, стенки гладкие, чётко очерченные, внутри кисты могут быть перегородки. Мелкие арахноидальные кисты очень трудно увидеть при МРТ головного мозга. Меняя ширину окна и его уровень на Т1-зависимых МРТ изображениях можно заметить, что киста чуть светлее ликвора. Дифференциальная диагностика с эпидермальными кистами лучше осуществляется с помощью МРТ последовательности FLAIR. На них при МРТ головного мозга эпидермальные кисты становятся яркими, в отличие от гипоинтенсивных арахноидальных. Вероятно, вариантом арахноидальной кисты является нейроэпителиальная киста, которая при МРТ головного мозга имеет типичное расположение в области хориоидальной щели.
![Arachnoid cyst]()
МРТ головного мозга. Т1-взвешенная сагиттальная МРТ. Арахноидальная киста в области большого затылочного отверстия.
Порэнцефалические кисты - врождённые кисты различной этиологии, локализующиеся в паренхиме мозга или в области сосудистого сплетения желудочков.При МРТ головного мозга они обычно округлые, с гладкими стенками. Очень часто такие кисты сочетаются с аномалиями развития: отсутствием прозрачной перегородки и полимикрогирией. Содержимое порэнцефалической кисты при МРТ головного мозга ликворное, иногда с небольшой примесью белка.
Коллоидная киста - это врождённое нейроэпителиальное образование. Коллоидная киста выстлана эпителием и имеет фиброзную капсулу. Она составляют около 1-2% объемных внутричерепных образований. Обычно диагностируются в возрасте между 30 и 50 годами. Всегда расположена в переднее-верхнем отрезке III желудочка между отверстиями Монро. Контур ее четкий, форма округлая, содержимое бывает неоднородное. Размер от 3 мм до 4 см, при больших размерах она закрывает отверстия Монро и вызывает окклюзионную гидроцефалию. Сигнал зависти от примеси белка к ликвору. При наличии белкового мукоидного содержимого киста гиперинтенсивна на Т1-взвешенных МРТ головного мозга и гипоинтенсивна на Т2-взвешенных МРТ, но встречаются варианты гиперинтенсивные на МРТ головного мозга обоих типов взвешенности кольцевидные или смешанные. При МРТ головного мозга с контрастированием усиления сигнала не наблюдается.
Киста кармана Ратке представляет собой редко встречающееся образование из остатков эмбриональной эктодермы (щель Ратке), расположенное между долями гипофиза. Выявляется в любом возрасте, но чаще в 50-60 лет. Клинические проявления связаны с масс-эффектом. При МРТ головного мозга выявляется небольшая (3-5мм) киста с четким контуром, без отека вокруг, однородная по структуре. Сигнал на МРТ головного мозга зависит от содержимого. При серозном содержимом сигнал типично жидкостный, при мукоидном киста светлая на Т1-взвешенных МРТ головного мозга. В 70-80% случаев внутри кисты выявляется неконирастирующийся узелок («пятно») - признак патогномоничный для кисты кармана Ратке. В редких случаях киста достигает больших размеров и даже выходит за пределы седла. Стенка кисты иногда усиливается при МРТ головного мозга с контрастированием. Дифференциальная диагностика при МРТ головного мозга должна проводиться с арахноидадьной и эпидермоидной кистами, тератомой, кистозной аденомой гипофиза и краниофарингиомой. Иногда при МРТ головного мозга киста кармана Ратке напоминает “пустое” турецкое седло. При маленьких размерах кисты ее на до дифференцировать на МРТ с микроаденомой гипофиза.
![Ratke cleft cyst]()
МРТ головного мозга. Т1-взвешенная сагиттальная МРТ. Киста кармана Ратке.
Пинеальная киста расположена в проекции шишковидной железы. Встречается с частотой 4-11%. Размеры обычно не превышают 1 см, но изредка встречаются больших размеров. В таких случаях она вызывает окклюзионную гидроцефалию. При МРТ головного мозга она имеет все признаки кисты с примесью белка в жидкости, то есть немного светлая на Т1-зависимых МРТ. Изредка встречается геморрагическое содержимое. Киста может по усиливаться периферии при МРТ головного мозга с контрастированием.
![Pineal cyst]()
МРТ головного мозга. Т1-взвешенная сагиттальная МРТ. Пинеальная киста.
Кисты средней линии - киста прозрачной перегородки (cavum septi pellucidi), полость Верге (cavum Vergae) и киста промежуточного паруса (cavum veli interpositi) - являются нормальными структурами головного мозга плода. В течение 6 месяцев после рождения у большинства людей они запустевают, но могут и сохраниться. По-видимому, эти полости не имеют клинического значения и относятся к случайным находкам при МРТ головного мозга . Киста прозрачной перегородки (еще называют V желудочком) является медиальной стенкой боковых желудочков и ограничена спереди коленом мозолистого тела, сверху мозолистым телом и сзади столбами свода. Полость Верге представляет собой продолжение кисты прозрачной перегородки кзади и расположена между телами желудочков (рис.105). Обычно обе кисты сочетаются. Киста промежуточного паруса расположена в крыше III желудочка (tela choroidea), между треугольниками боковых желудочков на уровне отверстий Монро. Она ограничена сверху мозолистым телом, cзади цистерной четверохолмия и снизу III желудочком.
Тимофеев 1-3 том / том 3 / 26. КИСТЫ МЯГКИХ ТКАНЕЙ / 26.1. ДЕРМОИДНЫЕ (ЭПИДЕРМОИДНЫЕ) КИСТЫ
Развиваются в результате порока развития эктодермы. В связи с особенностями патогенеза данные кисты имеют определенную локализацию: в области мягких тканей дна полости рта и шеи (встречаются чаще), поднижнечелюстной, периорбитальной и периназальной областях. Крайне редко дермоидные (эпидермоидные) кисты располагаются в околоушно-жевательной, височной и щечной областях. Встречаются в любом возрасте, однако чаще в более молодом.
![]()
Рис. 26.1.1 Внешний вид больных с дермоидными кистами: а — мягких тканей нижнего отдела дна полости рта; б — верхней трети шеи справа.
Патоморфология. Стенка дермоидной кисты (тератомы) состоит из всех слоев кожи (дермы и эпидермиса) и ее производных (сальных и потовых желез, волос). Дерма представлена сосочковым (находится ближе к эпидермису) и сетчатым (ретикулярным) слоями. Оболочка дермоидной кисты плотная (толщиной от 1 мм до 2 мм), наружная поверхность кисты гладкая, цвет — желтовато-белый. Макроскопически стенка представлена плотной фиброзной тканью с выраженным сосочковым слоем, в котором находятся сальные и потовые железы, волосяные луковицы. Внутренняя поверхность кисты выстлана многослойным плоским эпителием. Содержимое дермоидов (кистозных тератом) представляет собой кашицеобразную (салоподобную) массу серого цвета с неприятным запахом (образуется в результате секреции сальных и потовых желез, слущивания эпителия). В кашицеобразной массе часто можно обнаружить волосы свернутые в колечки.
Оболочка эпидермоидной кисты более тонкая чем дермоида и представлена только эпидермисом со всеми свойственными ему слоями (базального, шиповатого, зернистого, блестящего и рогового). Дермы и кожных придатков в стенке эпидермоидной кисты нет. Содержимое эпидермоидных кист представлено роговыми чешуйками, которые подвергаются дегенерации (особенно при нагноении). При разрушении стенки кисты ее содержимое может проникнуть в окружающие ткани с развитием в них хронического воспаления с наличием в грануляционной ткани гигантских клеток инородного тела. В нагноившихся кистах эпителиальная выстилка может отсутствовать. В этих случаях патогистологический диагноз устанавливают на основании выявленных роговых чешуек, окруженных гигантскими клетками. При микроскопическом исследовании жидкого содержимого эпидермоидных кист в пунктате обнаруживают лейкоциты, слущенные эпителиальные клетки, ороговевшие чешуйки, кристаллы холестерина.
Клиника. Дермоидные (эпидермоидные) кисты растут медленно и безболезненно. Больные обращаются за медицинской помощью из косметических соображений или при нагноении кисты (появляется боль, припухлость и другие симптомы воспаления).
Клинически дермоидная (эпидермоидная) киста проявляется в виде опухолевидного, безболезненного образования округлой или овальной формы, величиной от 1 см. до 4 см. и более в диаметре. Располагается в толще мягких тканей. Консистенция образования — плотноэластичная (упругая) или тестоватая, поверхность — гладкая, с четкими границами. При отсутствии воспаления в окружающих мягких тканях киста легко смещается. Кожа над кистой обычно не изменена, в случае присоединения вторичной инфекции — становится гиперемированной.
Диагностика. Дермоиды (эпидермоиды) ошибочно можно принять за хронические лимфадениты, а при нагноении кисты - за острые и обострившиеся хронические лимфадениты. Пункция кисты и микроскопическое исследование содержимого помогает уточнить диагноз. Гнойное содержимое, полученное из нагноившегося лимфатического узла всегда более вязкое (сливкообразное) с наличием в пунктате большого количества типичных и атипичных форм лимфоцитов. Одонтогенные лимфадениты имеют причинную связь с периодонтитным (разрушенным зубом). В сомнительных случаях диагноз уточняется после проведения эксцизионной биопсии (полного удаления патологического очага).
Дермоиды дна полости рта, которые растут в сторону языка, можно принять за ранулу. В отличие от последней дермоидные кисты чаще локализуются по средней линии и просвечиваются через слизистую оболочку желтоватым цветом. Ранулы располагаются асимметрично к средней линии и просвечиваются через слизистую оболочку в виде полупрозрачного голубоватого образования, при пункции можно получить прозрачную тягучую жидкость с содержанием муцина и следов амилазы, а при цитологическом исследовании — клеток железистого эпителия.
Локализуясь на шее дермоидные (эпидермоидные) кисты имеют большое сходство со срединными или боковыми кистами. Пунктат последних жидкий, прозрачный, соломенно-желтого цвета, иногда бурый (с примесью крови). Более подробная дифференциальная диагностика этих опухолеподобных образований будет рассмотрена в следующих разделах этой главы.
Клинически метастазы злокачественных опухолей могут напоминать дермоиды. Для метастазов характерна малая болезненность, плотность на ощупь, отсутствие четких границ, ограниченная подвижность. Уточнить диагноз может помочь пункционная биопсия.
Дермоидные кисты следует дифференцировать со специфическими лимфаденитами (туберкулезными и др.) и злокачественными опухолями ретикулоэндотелиальной системы (лимфо- и ретикулосаркомой). Диагноз устанавливается на основании пункции и морфологического исследования биопсийного материала.
Лечение заключается в удалении кисты оперативным путем. При нагноении кисты ее вскрывают, эвакуируют содержимое и дренируют полость. Иссечение стенок кисты (цистэкто-мию) выполняют после стихания воспалительных явлений.
Читайте также:
- Иммунодиагностика опухолей. Иммунотерапия опухолей. Методы иммунотерапии при опухолях. Адъюванты. Иммуномодуляторы. Особенности иммунотерапии опухолей.
- Дисфункция гипофизарно-надпочечниковой системы при язвенной болезни
- Головная боль и давление при предменструальном синдроме. ЭКГ при ПМС и вегетативно-дизовариальная миокардиодистрофия
- Статьи по нейрохирургии позвоночника и спинного мозга
- Синдром Тевенара (Thevenard)
- мостомозжечковый угол: 40-50%











