Диагностика атретического цефалоцеле по КТ, МРТ
Добавил пользователь Владимир З. Обновлено: 31.10.2025
Кафедра оториноларингологии Российской медицинской академии последипломного образования, Москва
Рентгенодиагностическое отделение ЦКБ гражданской авиации
Кафедра оториноларингологии учебно-научного медицинского центра Управления делами Президента России, Москва
Кафедра оториноларингологии РМАПО
МРТ в предоперационном обследовании и послеоперационном контроле при хроническом среднем отите с холестеатомой
Журнал: Вестник оториноларингологии. 2012;77(5): 14‑19
Косяков С.Я., Лазебный В.В., Коршок В.В., Пчеленок Е.В. МРТ в предоперационном обследовании и послеоперационном контроле при хроническом среднем отите с холестеатомой. Вестник оториноларингологии. 2012;77(5):14‑19.
Kosiakov SIa, Lazebnyĭ VV, Korshok VV, Pchelenok EV. The role of MRI in the preoperative examination and postoperative follow up of the patients presenting with a combination of chronic otitis media and cholesteatoma. Vestnik Oto-Rino-Laringologii. 2012;77(5):14‑19. (In Russ.).
Цель работы - изучить возможности определенных режимов МРТ в диагностике холестеатомы, а также определить критерии предлагаемых протоколов. Исследование проводилось в стандартных режимах Т1, Т2, а также в режиме non-EPI DWI. Нами были обследованы пациенты как с первичной холестеатомой, так и с резидуальной и рецидивирующей холестеатомой. Основной алгоритм радиологической диагностики холестеатомы заключался в следующем: низкоинтенсивный сигнал в режиме Т1, сигнал высокой интенсивности в режимах Т2 и non-EPI DWI. В статье представлены 3 клинических наблюдения. Всем пациентам была выполнена МРТ в режимах Т1, Т2 и non-EPI DWI. У 2 пациентов было подтверждено наличие холестеатомы и верифицирован данный факт на операции, а в одном из примеров данный метод позволил исключить наличие холестеатомы.
Холестеатома — это скопление кератина в матриксе чешуйчатого эпителия в полости среднего уха. Только в 2% случаев холестеатома может быть врожденной. В остальных же случаях это приобретенное заболевание, развивающееся на фоне хронического среднего отита в результате ретракции барабанной перепонки [1].
Холестеатома разрушает структуры среднего уха, нарушает такие функции последнего, как слух, равновесие, функцию лицевого нерва и вызывает осложнения.
Осложнения холестеатомы связаны с костной деструкцией в полости среднего уха, что обусловлено механическим давлением и активностью медиаторов воспаления, которые стимулируют остеокласты. Костная деструкция приводит к разрушению цепи слуховых косточек, развитию лабиринтных фистул, эрозиям канала лицевого нерва с развитием пареза и, наконец, к тяжелым внутричерепным осложнениям.
Лечение холестеатомы всегда только хирургическое. Хирургические подходы могут быть различными и включать операции с сохранением задней стенки наружного слухового прохода и ее удалением, с реконструкцией цепи слуховых косточек и стенок паратимпанальных пространств [2]. Закрытые типы операций длительное время применяли с большой осторожностью по причине высокого процента развития как резидуальных заболеваний, так и рецидива холестеатомы. В связи с этим «золотой стандарт» лечения включал обязательную ревизию через год после операции. Например, по данным клиники в Антверпене, повторные оперативные вмешательства у взрослых составляют 57%, из которых только в 7,2% случаев обнаружена резидуальная холестеатома, а в остальных случаях (92,8%) проводились необоснованные оперативные вмешательства [3].
В настоящее время для предоперационного обследования больных широко используется компьютерная томография (КТ) височных костей. Данный метод позволяет определить состояние слуховых косточек, сосцевидного отростка, надбарабанного пространства, стенок барабанной полости, состояние окон лабиринта и внутреннего уха [4]. Однако специфичность КТ в диагностике холестеатомы низка. В связи с этим КТ можно рассматривать только как «дорожную карту» для оценки состояния различных структур среднего уха (сохранены, повреждены, разрушены). Это дает возможность ориентироваться в наличии анатомических структур, определить костную деструкцию, но ни в коем случае не определить, за счет чего произошла деструкция. На КТ невозможно дифференцировать холестеатому, грануляционную, рубцовую ткань и опухоль. Исследования последних 15 лет это подтверждают [5]. Для послеоперационного контроля КТ имеет еще меньшее значение, так как вследствие низкой специфичности не позволяет дифференцировать послеоперационные рубцовые изменения от экссудата или резидуальной холестеатомы. КТ наиболее значима при определении аэрации среднего уха и сосцевидного отростка, но значимость ее снижается при наличии мягкотканных образований [6].
В течение последних нескольких лет было опубликовано несколько работ [5, 7—10] о диагностике холестеатомы с применением магнитно-резонансной томографии (МРТ) в различных режимах (Т1, Т2, EPI DWI и non-EPI DWI). Эти работы были опубликованы в основном врачами-радиологами в соавторстве с оториноларингологами и носят специфический характер, так как информация в них излагается с позиций рентгенологов с указанием массы технических характеристик оборудования и протоколов обследования.
Цель нашей работы — изучить возможности определенных режимов МРТ в диагностике первичной холестеатомы различных размеров в диагностически сложных случаях, резидуальной холестеатомы у пациентов, подвергнутых множественным оперативным вмешательствам. В конечном счете, предполагается популяризировать данный метод и сделать его доступным для лечебной практики.
Методика исследования
Все пациенты были обследованы на МР-томографе Signa HD GE («Helthcare», США) с напряженностью магнитного поля 1,5 Тесла. Обследование выполнялось без контрастирования в импульсных последовательностях:
— Т1 во фронтальной плоскости с подавлением сигнала от жировой ткани с толщиной среза 3 мм;
— Т2 во фронтальной и сагиттальной плоскостях с толщиной среза 3 мм;
— non-EPI DWI в аксиальной плоскости с толщиной среза 2 мм.
При наличии холестеатомы характерны следующие МРТ-признаки:
1. Сигнал низкой интенсивности в режиме Т1.
2. Гиперинтенсивный сигнал или сигнал средней интенсивности в режиме Т2.
3. Сигнал высокой интенсивности в режиме non-EPI DWI.
При наличии воспаления и грануляционной ткани выявляются следующие МРТ-признаки:
1. Сигнал низкой интенсивности в неконтрастном режиме Т1.
2. Cигнал высокой интенсивности в режиме T2.
3. Сигнал низкой интенсивности в режиме non-EPI DWI.
Для холестерол-гранулемы характерны следующие МРТ-признаки:
1. Сигнал высокой интенсивности в режиме Т1.
2. Сигнал высокой интенсивности в режиме Т2.
Основная проблема закрытых методов хирургии уха заключается в необходимости длительного наблюдения. Развитие резидуальной холестеатомы после первичной операции до момента клинических проявлений, как правило, занимает около 12—18 мес [7]. Учитывая огромные пространства нашей страны, повторная ревизия для иногороднего пациента часто представляет финансовую нагрузку. В то же время с широким распространением диагностического оборудования и, в частности, магнитно-резонансных томографов, появляется возможность, применив описанный метод, контролировать состояние заболевания, не прибегая к повторному хирургическому вмешательству.
Идеальным методом скрининга на сегодняшний день является применение МРТ в режиме non-EPI DWI. Преимуществом является отсутствие необходимости применения дорогого контраста (например, гадолиниума) и связанного с его применением возможного нефротоксического действия, сокращение времени обследования на 45 мин (ожидание поздней фазы контрастирования). Обследование только в режиме non-EPI занимает всего 3—6 мин [8].
Существует два диагностических исключения, которые могут маскироваться под наличие холестеатомы и демонстрировать те же закономерности. Это абсцесс (как правило, имеющий клинические признаки) и скопление серы в наружном слуховом проходе.
Метод МРТ обеспечивает высокую безопасность при хирургических вмешательствах, использующих облитерацию паратимпанальных пространств, что дает возможность контроля резидуального заболевания и позволяет диагностировать рецидивы холестеатомы. Проведение МРТ-исследования в режиме non-EPI DWI через 1 год и 5 лет позволяет, в зависимости от результата, планировать хирургическое вмешательство [10, 12].
Послеоперационный контроль заключается в тщательной отоскопии и наблюдении в течение 10 лет, при подозрении на рецидив холестеатомы необходимо проводить МРТ-исследование (в том числе в режиме non-EPI DWI).
Под нашим наблюдением находились 30 пациентов с подозрением на первичную холестеатому (где клиническая картина не была однозначна) и пациенты со сложностями в диагностике, ранее подвергнутые оперативным вмешательствам. Всем пациентам была проведена МРТ основания черепа в стандартных режимах (во фронтальной проекции) и режиме non-EPI DWI (в аксиальной проекции), без контрастного усиления.
Больная Ф., 30 лет, обратилась с жалобами на головокружение, снижение слуха на правое ухо, слизистое отделяемое из правого уха. Болеет в течение 6 лет, лечилась консервативно. При отомикроскопии визуализируется перфорация в верхнем отделе барабанной перепонки.

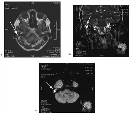
Пациентке была выполнена МРТ основания черепа по описанной методике (рис. 1). Рисунок 1. МРТ основания черепа больной Ф. с хроническим правосторонним гнойным средним отитом. Фистула лабиринта. Холестеатома. а — исследование в режиме Т1; б — в режиме Т2; в — в режиме non-EPI DWI.
В режиме Т1 справа определяется образование с низкой интенсивностью сигнала, а в режиме Т2 и non-EPI DWI — образование с гиперинтенсивным сигналом. Диагноз: хронический правосторонний гнойный средний отит; холестеатома; фистула лабиринта. Пациентка была подвергнута санирующей операции на правом ухе с тимпанопластикой и облитерацией паратимпанальных пространств. Были выявлены холестеатома, заполняющая аттик, адитус, антрум, деструкция цепи слуховых косточек, фистула латерального полукружного канала. Послеоперационный период протекал без особенностей, на 15-е сутки была удалена гемостатическая губка и силиконовая выстилка. При контрольном осмотре ухо сухое, отмечает улучшение слуха, головокружения нет. Через 12 мес проведено повторное МРТ-исследование. Признаков холестеатомы не обнаружено. Получен хороший функциональный результат — ухо толерантно к воде, самоочищается.
Больная У., 25 лет, обратилась с жалобами на снижение слуха на правое ухо, периодические выделения из правого уха. 18 лет назад была выполнена радикальная операция по поводу острого мастоидита, острого гнойного среднего отита справа. После операции развился парез лицевого нерва. В связи с продолжающимися обострениями через 8 лет была выполнена повторная операция с тимпанопластикой и мастоидопластикой. Частота обострений снизилась, но периодические выделения из уха продолжались. При отомикроскопии визуализируется неомембрана на задней стенке наружного слухового прохода с отверстием 2×4 мм, которое ведет в мастоидальную полость. Дно и стенки полости необозримы.

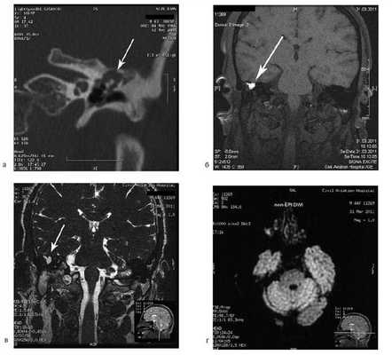
На КТ височных костей справа послеоперационная полость, заполненная мягкотканным образованием, определяется большой костный дефект в направлении сигмовидного синуса и мозжечка (рис. 2, а). Рисунок 2. КТ и МРТ височных костей больной У. с хроническим правосторонним средним отитом. Состояние после радикальной операции (1993 г.), санирующей операции с мастоидопластикой и тимпанопластикой (2003 г.). Холестеатома. Парез лицевого нерва. а — КТ; б — МРТ основания черепа в режиме Т1; в — в режиме Т2; г — в режиме non-EPI DWI.
Больной была выполнена МРТ (рис. 2, б—г).
В режимах Т2 и non-EPI DWI определяется сигнал высокой интенсивности, в режиме Т1 — низкоинтенсивный сигнал. Это может свидетельствовать о наличии холестеатомы мастоидальной полости и пирамиды височной кости. Диагноз: хронический правосторонний средний отит; состояние после радикальной операции в 1993 г. и санирующей операции с мастоидопластикой и тимпанопластикой в 2003 г.; холестеатома; парез лицевого нерва.
Больной произведена санирующая реоперация, в ходе которой удалена холестеатома больших размеров, заполняющая отшнурованную послеоперационную полость. Эта полость распространялась до верхушки сосцевидного отростка, граничила с твердой мозговой оболочкой и достигала верхушки пирамиды височной кости. Полость облитерирована. В послеоперационном периоде получен хороший функциональный результат. Ухо толерантно к воде, не было обострений, гноетечения, головокружений. Сохранилась кондуктивная тугоухость I степени. МРТ через 9 мес подтвердила отсутствие холестеатомы.
Больной А., 44 лет, обратился с жалобами на периодические (2 раза в год) гноетечения из правого уха. Ранее пациенту неоднократно предлагалось оперативное вмешательство.
При отомикроскопии определяется утолщение барабанной перепонки, перфорация не визуализируется, признаков холестеатомы нет.

На КТ правой височной кости определяется затемнение в области аттика и антрума, цепь слуховых косточек сохранена (рис. 3, а). Рисунок 3. КТ и МРТ височных костей больного А. с адгезивным средним отитом справа, фиброзной облитерацией аттика. а — КТ; б — МРТ основания черепа в режиме Т1; в — в режиме Т2; г — в режиме non-EPI DWI.
Пациенту выполнена МРТ основания черепа по описанной методике (рис. 3, б—г).
В режиме Т1 и Т2 справа определяется очаг с высокой интенсивностью сигнала, тогда как в режиме non-EPI DWI патологических образований не выявлено. Диагноз: адгезивный средний отит справа, фиброзная облитерация аттика.
В связи с отсутствием данных о холестеатоме операция не производилась, выявленные изменения расценены как фиброзные изменения, оторея была обусловлена периодическим возникновением наружного отита. Больной получал консервативное лечение.
Результаты и обсуждение
Приведенные примеры характеризуют диагностически сложные ситуации, когда пациент перенес, например, несколько обострений, не было четко обозримой перфорации, когда можно было только заподозрить развитие холестеатомы, учитывая данные анамнеза, и, напротив, несколько перенесенных операций затрудняли дифференцирование холестеатомы от послеоперационных изменений.
Проведение пациентам КТ позволило определить мягкотканные образования, но они могли быть обусловлены грануляциями, полипами, рубцовой тканью, мозговой грыжей, а также холестеатомой. Предложенные нами клинические примеры можно разделить на 2 группы. 1-ю группу составили пациенты с хроническим гнойным средним отитом, где была заподозрена первичная холестеатома. Диагностическая сложность состояла в отсутствии явных клинических признаков, наличии косвенных признаков холестеатомы на КТ. 2-ю группу составили пациенты, которые были подвергнуты неоднократным оперативным вмешательствам, однако полного выздоровления не было достигнуто и было подозрение на развитие резидуальной холестеатомы в отшнурованных областях. Для определения наличия и точной локализации распространения резидуальной холестеатомы КТ не могла дать нам достоверной информации, потому что все патологические изменения выглядели абсолютно одинаково. Кроме того, у этих больных периодически возникали обострения, а это само по себе может давать затемнение на КТ. Поэтому нами было принято решение выполнить МРТ основания черепа. Это позволило в большинстве случаев с высокой степенью достоверности подтвердить наличие холестеатомы и верифицировать данный факт на операции, а в одном из примеров отвергнуть ее наличие.
В исследовании, проведенном P. Aikele и соавт. [9], была проведена оценка эффективности МРТ-исследования у пациентов, ранее оперированных по поводу холестеатомы. Из 17 пациентов у 13 холестеатома была выявлена на МРТ и верифицирована при повторном оперативном вмешательстве. Наименьший размер диагностированной холестеатомы составил 5 мм.
Согласно исследованиям B. De Foer и соавт. [10], режим non-EPI DWI позволяет определять холестеатому размером до 2 мм. По данным авторов, повторные оперативные вмешательства в послеоперационном контроле проводились в 62% случаев. С использованием новой методики этот процент снизился до 10%.
У нас в стране пока данный метод не получил широкого распространения, но результаты даже предварительных исследований показали, что МРТ — достоверный метод диагностики холестеатомы, но требуются дальнейшие исследования по определению его чувствительности и специфичности.
Заключение
Метод МРТ, особенно в режиме non-EPI DWI, эффективен в диагностически сложных случаях — при отсутствии явных клинических признаков холестеатомы, но существующем подозрении на нее. Метод также эффективен для диагностики резидуальной холестеатомы и рецидива и может применяться в качестве контроля у пациентов, ранее оперированных по поводу холестеатомы, не прибегая к повторным ревизиям.
Использование метода МРТ изменяет взгляд за закрытые типы операций, снимая последний сдерживающий фактор — трудность контроля. МРТ позволяет диагностировать рецидив холестеатомы и резидуальное заболевание и является абсолютно экономически эффективным методом [11].
Энцефалоцеле
Энцефалоцеле (менингоэцефалоцеле) является вариантом цефалоцеле, в результате которого интракраниальные структуры (оболочки и вещество головного мозга) выпячиваются за пределы нормального контура черепа.
Терминология
Энцефалоцелле следует отличать от менингоцеле, которое содержит только мозговые оболочки, а так же от экстракраниального выпячивания головного мозга через дефекты свода черепа (например, после травмы или операции).
Классификация Suwanwela and Suwanwela
- затылочное: часто включает сосудистые структуры
- свода черепа: составляют 80% случаев энцефалоцеле в западном полушарии
- межлобное
- переднего родничка
- межтеменное
- височное
- заднего родничка
- носо-лобное: наружный дефект в области назиона
- носо-решетчатой: дефект находится между носовой костью и носовым хрящом
- носо-орбитальной: дефект в передне-нижней части медиальной стенки орбиты
- трансэтмоидальное: выпячивание в носовую полость через дефект продырявленной пластинки
- сфено-этмоидальное: выпячивание в задней части носовой полости
- фронто-сфеноидальное или сфено-орбитальное: выпячивание в орбиту через верхнюю орбитальную щель
- транссфеноидальное: выпячивание в основную пазуху или носоглотку через сохраненный кранио-фарингеальный канал (слепое отверстие)
Диагностика
КТ / МРТ
МРТ является лучшим методом визуализации для определения содержимого энцефалоцеле перед хирургическим вмешательством. КТ высокого разрешения может быть использована для визуализации костной анатомии, а взаимосвязь с интракраниальными структурами лучше всего визуализируется с помощью МР-томографии. Мозговая ткань в энцефалоцеле также лучше определяется с помощью МР-томографии, которая помогает в прогнозировании и планировании хирургического лечения.
Диагностика энцефалоцеле основания черепа на снимках КТ и МРТ головы
Выпячивание мозговых оболочек через дефект свода черепа, содержащее или не содержащее вещество головного мозга.
Дефекты нервной трубки:
- Затылочное энцефалоцеле : Миеломенингоцеле.
- Теменное энцефалоцеле : Дефекты срединных структур головного мозга, такие как агенезия мозолистого тела и голопрозэнцефалия.
- Лобно-решетчатое энцефалоцеле: Нет сопутствующих пороков развития.
Отличительные признаки энцефалоцеле черепа
- Выбухание оболочек и вещества головного мозга через костный дефект.
Что хотел бы знать лечащий врач
- Диагноз или дифференциальный диагноз
- Сопутствующие пороки развития.
Какие патологии имеют общие с энцефалоцеле проявления
Эпидермоид
- Связан с субарахноидальным пространством посредством соединительной ткани, без ликворного свища
- Распространяется на расширенное слепое отверстие
- Вещество головного мозга не выходит за пределы черепа
Гемангиома
- Отсутствует дефект кости, вещество головного мозга не лимфангиома выходит за пределы черепа
Глиома носа
- Опухоль состоит из астроцитов и нейроглии, сообщается с субарахноидальным пространством
Лечение
Врачи каких специальностей диагностируют и лечат энцефалоцеле
- Нейрохирург (при операции на черепе)
- Пластический хирург ( устранение дефекта)
- Челюстно-лицевой хирург (стоматологическая часть операции)
- Врач функциональной диагностики (проведенеие дополнительных методов исследования, подбор приемлемой тактики лечения)
Прогноз
- Хороший прогноз при отсутствии других пороков развития
- В противном случае прогноз зависит от результатов хирургического лечения и сопутствующих неврологических нарушений.
Возможные осложнения и последствия
- Нарушение слуха, глотания, речи, зрения, дыхания
- Задержка умственного развития
![Снимки МРТ и КТ. Энцефалоцеле основания черепа]()
Лобно-базальное менингоэнцефалоцеле. КТ: дефект кости (a,b), протрузия тканей головного мозга в параназальные мягкие ткани лица (с). МРТ, Т2-взвешенное изображение (d): четко дифференцируются вещество и оболочки головного мозга.
Кисты на МРТ головного мозга - что покажет
![]()
Киста головного мозга - это нередкое новообразование, которое врачи обнаруживают в ходе МРТ головного мозга. Локализация кисты бывает разной - в белом веществе головного мозга, в оболочке, железах. Наиболее часто по статистике кисты поражают шишковидную железу, прозрачные перегородки, промежуточный парус головного мозга, мосто-мозжечковый угол.
Проблема с диагностикой кистозных образований заключается в том, что когда они маленького размера, они не проявляют себя никакой симптоматикой. С этими молчащими кистами человек может жить и не тужить годами. Они, как правило, становятся случайными находками при томографии головного мозга и не требуют активных лечебных действий. Основная угроза, исходящая от кист, это возможность их роста. Структуры большого кистозного образования начинают сдавливать или препятствовать нормальной работе мозговых систем. Это чревато проявлением неврологической симптоматики и в крайних случаях даже угрозой жизни человека.
Арахноидальные кисты на МРТ
МРТ оболочек головного мозга может показать арахноидальные кисты. Это врожденные внемозговые объемные образования, содержащие ликвор. Клинические проявления арахноидальной кисты зависят от локализации новообразования, но зачастую ее формирование протекает бессимптомно. Поскольку данное новообразование может вызывать нарушение ликвородинамики, оно часто сопровождается гидроцефалией. Крупные арахноидальные кисты иногда начинают сдавливать соседние участки головного мозга, вызывая атрофию и болевой синдром. Такие крупные кистозные образования требуют оперативного вмешательства. И здесь МРТ головного мозга позволит не только поставить точный диагноз, но и выработать план проведения операции. Если киста имеет малые размеры, тактика её лечения будет сводиться к наблюдению. Невролог или нейрохирург в такой ситуации будет рекомендовать пациенту делать МРТ головного мозга один раз в 6 месяцев, чтобы не пропустить момент роста.
МРТ головного мозга - киста прозрачной перегородки
Киста прозрачной перегородки - это вид арахноидальной кисты, когда жидкость скапливается между пластинками прозрачной перегородки мозга. Они могут носить как приобретенный характер из-за черепно-мозговых травм или инфекций, так и врожденный характер. Поскольку эти кисты локализуются в самом безопасном месте, их появление практически никогда не сопровождается неврологической симптоматикой. В подавляющем большинстве случаев такие кисты не требует ни оперативного, ни медикаментозного лечения. Пациентам с выявленной кистой прозрачной перегородки необходимо ходить на прием к неврологу и проверять результаты свежего шестимесячного МРТ головного мозга.
МРТ здорового головного мозга киста на МРТ головного мозга МРТ головного мозга - киста шишковидной железы
Шишковидная железа - это маленькое образование в человеческом мозге размером меньше полсантиметра, которое выделяет гормоны, отвечающие за регуляцию таких важных областей жизни человека, как рост, сон и иммунитет. Поскольку эта структура головного мозга очень маленького размера, любое давление со стороны новообразования приводит к сбою в гормональных функциях - нарушается секреция мелатонина. Кроме того, увеличение кисты этой железы может перекрыть ток ликвора - внутримозговой жидкости, что приводит к сильным головным болям. Основная опасность данного кистозного образования именно в этом и заключается. Визуализировать кисту шишковидной железы можно только на МРТ головного мозга. Чаще всего её проводят с контрастом, чтобы максимально четко отобразить такие мини структуры головы. МРТ головы, помимо выявления кисты шишковидной железы, позволяет дифференцировать ее от опухолевого образования - пинеаломы.
Суммируя, хотелось бы сказать, что если МРТ показала наличие кист в головном мозге, пугаться и паниковать здесь не нужно. Если кисты маленького размера, они вряд ли составляют угрозу здоровью человека. Сама структура кисты носит доброкачественный характер, и у нее нет злокачественного потенциала. Она не перерождается в раковых клетки. Самое важное, чтобы киста не продолжила свой рост и не начала оказывать давление на соседние ткани. Именно это приводит к возникновению симптомов боли и нарушения функций головного мозга.
Дифференциальная диагностика кист на МРТ головного мозга с контрастом
У пациентов детского возраста дифференцированную диагностику кист проводят в отношении пороков развития. Пороки развития обычно проявляются недоразвитием твердой мозговой оболочки. Эта патология в изолированном виде встречается редко, обычно она сочетается с пороками развития головного и спинного мозга. Нередко такая патология у детей сопровождается дефектами черепа или расщеплением дужек позвонков с образованием грыж. В зависимости от содержимого грыжевого мешка врачи выделяют:
- менингоцеле - ТМО + ликвор
- менингоэнцефалоцеле - ТМО + ликвор + мозговая ткань
- энцефалоцистоцеле - ТМО + ликвор + мозговая ткань с частью желудочков системы
- атретическое цефалоцеле - ТМО + ликвор+фиброзная ткань + дегенеративно измененная мозговая ткань глиальная киста.
При наличии щели содержимое черепной коробки начинает выходить из мозга, образуя различные менингоцеле или кистозные пузыри с содержанием ликвора. Такие изменения можно увидеть визуально у ребенка в виде выпячивания или шишки, но доказать, какой вид аномалии, можно только при МРТ головного мозга с контрастом.
Подобные изменения также могут быть со стороны позвоночника, когда есть расщелина в дужке позвонка и имеется расщелина в твердомозговой оболочке. Тогда содержимое начинает выпячиваться в виде позвоночных кист.
Опухоли головного мозга - еще одна патология, с которой проводят дифференциальную диагностику при подозрении на кисту. Здесь также важно применение контрастирования. Именно поведение тканей головного мозга в отношении контрастного препарата покажет, является ли новообразование опухолью или кистой, а если является опухолью, то какого качества - доброкачественной или злокачественной. Кроме того, контраст помогает улучшить контрастность ткани и точнее выявить размеры опухоли, нахождения областей распространения метастазов даже очень мелкого размера - 0,5-1 мм.
Киста головного мозга снимок МРТ
Киста прозрачной перегородки на МРТ Арахноидальная киста на МРТ ![Киста прозрачной перегородки на МРТ]()
![Арахноидальная киста на МРТ]()
МРТ процедура головного мозга с контрастом при кистах
Никакой особой подготовки томография головного мозга с контрастам не требует и проходит она безболезненно и комфортно для обследуемого. Пациент записывается на МРТ в клинику, приходит на сканирование, в комнате для подготовки оставляет все металлические и электронные объекты, заходит в диагностический кабинет, ложится на стол томографа, лежит неподвижно в ходе сканирования и через 30-40 минут по окончании обследования получает его результаты в виде МРТ снимков и заключения врача с подробным описанием и рекомендациями. Основную работу в ходе МР-диагностики делает высокотехнологичный томограф и высококвалифицированный врач. Именно аппарат МРТ в ходе сканирования сделает около 2000 снимков с шагом сканирования в 1-2 мм, сопоставит все данные и превратит их в четкие трехмерные изображения обследуемой области. Именно опытный врач в ходе процесса расшифровки скрупулезно оценит анатомию пациента, отметит все отклонения, аномалии и даст им медицинскую интерпретацию. Данные томографии лягут в основу окончательного диагноза, который поставит Ваш лечащий врач и определит тактику лечения кисты.
Чтобы обследования на томографе прошло безопасно, пациент обязательно должен рассказать врачу обо всех имплантах, которые есть в его теле. Если обследования проводят с введением контраста, обязательно нужно сообщить, имеются ли у Вас тяжелые заболевания почек, печени или есть ли вероятность беременности. Контрастное вещество при томографии головы пациенту вводят через вену, и оно не токсично. Однако этот состав - дополнительная нагрузка для выделительной системы организма, и если человек уже имеет серьезные почечные патологии, он может вызвать нежелательные осложнения. Действие контраста на плод до конца не изучено, поэтому МРТ головного мозга с контрастным усилением в медицинских центрах Санкт-Петербурга не делают беременным женщинам без жизненно важных показаний.
Противопоказания к МРТ
При МРТ исследовании на пациента действует магнитное поле, и все абсолютные противопоказания будут связаны с этим фактом:
Магнитное поле может привести в движение объекты, которым свойственно с ним взаимодействовать, это могут быть: клипсы на сосудах, металлоконструкции в любом участке тела. Поэтому если в организме установлен имплант, пациенту нужно будет предъявить документы, в которых указан состав материала. В случае, если это неферромагнитный материал (например, титан), проведение МРТ разрешено.
Магнитное поле может повлиять на работу электронных устройств: электокардиостимуляторы, инсулиновые помпы, слуховые протезы. Если в паспорте импланта не указано, что он совместим с МРТ, необходимо подобрать альтернативный метод диагностики.
Следует отметить, что иногда проведение МРТ не возможно в следующих случаях:
Лучевая диагностика энцефалитов: герпетический энцефалит
![]()
Вирусный энцефалит — это поражение паренхимы мозга вирусом, которое может сочетаться с воспалением мозговых оболочек (менингоэнцефалит) или с поражением спинного мозга (энцефаломиелит).
Лучевая диагностика критически важна в ведении пациентов с энцефалитом. Данные визуализационных методик помогают определить диагноз (и имеют особую ценность в ранней диагностике), обнаружить осложнения основного процесса (например, масс-эффект), предположить этиологию заболевания, отслеживать ответ на проведенную терапию и проводить динамическое наблюдение в случае перехода процесса в хроническую форму.
У возбудителей вирусных энцефалитов есть два основных пути «попадания» в ЦНС: гематогенное распространение и нейрональная трансмиссия (ретроаксональный путь). Первый путь более характерен для арбовирусов, второй предпочитают представители семейства герпесвирусов и возбудитель бешенства.
Вирусы-возбудители энцефалита в подавляющем большинстве случаев обладают тропностью к нервной ткани. Такая тропность может иметь несколько форм: одни вирусы поражают отдельные виды клеток (например, олигодендроциты), другие «предпочитают» определенные области головного мозга.
Энцефалит, вызванный герпесвирусами
В первую очередь подразумевается вызванный вирусом простого герпеса (ВПГ) герпетический энцефалит, однако позже мы поговорим в том числе и о цитомегаловирусном и варицелловирусном энцефалитах.
Серопревалентность (наличие антител) к вирусу простого герпеса первого и/или второго типов в разных странах мира оценивается в пределах 60-95 % у взрослых, однако энцефалит — редкий вариант инфекционного поражения ВПГ.
Попадание в ЦНС обеспечивает ретроаксональный путь передачи; данные, полученные с использованием экспериментальных моделей (кролики, мыши) показали возможность передачи по волокнам обонятельного пути. Считается также, что у взрослых ВПГ-1 энцефалиты вызываются реактивацией латентной инфекции в тройничном ганглии с распространением по ветвям V пары черепных нервов на оболочки передней и средней черепных ямок.
Герпетический энцефалит стал одним из первых инфекционных заболеваний, диагностируемых с использованием методов молекулярной биологии (ПЦР для обнаружения ДНК ВПГ в цереброспинальной жидкости) и одной из первых вирусных инфекций, в лечении которых была успешно применена противовирусная химиотерапия. В США ВПГ является наиболее распространенной причиной неэпидемического острого энцефалита.
Наиболее частые клинические признаки: высокая (более 38°С) температура, головная боль, дезориентация, афазия, угнетение сознания, судороги, нарушения поведения, тошнота и рвота.
Для данной патологии не характерна сезонность. Можно выделить два основных паттерна:
- герпетический энцефалит у детей и взрослых (чаще — ВПГ 1 типа);
- неонатальный герпетический энцефалит (в большинстве случаев обусловленный ВПГ 2 типа).
ВПГ-энцефалит у взрослых
Протекает с неспецифическими симптомами угнетения сознания, лихорадкой, головной болью и очаговой неврологической симптоматикой. Анализ ЦСЖ неспецифичен, часто удается выделить ДНК вируса методом ПЦР.
У иммунокомпетентных взрослых ВПГ обычно приводит к поражению:
- медиобазальных отделов полушарий: очаги некроза и кровоизлияний наблюдаются в височных областях, орбитальной поверхности лобных долей;
- островковых долей;
- могут поражаться также задние отделы затылочной коры;
- вовлечение теменных областей более характерно у детей, чем у взрослых;
- базальные ганглии обычно интактны (что при визуализации помогает дифференциировать энцефалит от ОНМК в бассейне средней мозговой артерии);
Иммуноскомпроментированные пациенты демонстрируют более диффузное поражение с распространением на стволовые структуры мозга.
Лучевые проявления
КТ
Ранняя диагностика при помощи КТ затруднительна, потому при наличии характерной клинической картины «нормальная» КТ не исключает вероятности энцефалита. Если же изменения присутствуют — это, как правило, участки нерезко выраженного понижения плотности паренхимы мозга в передних и медиальных отделах височной области и в островковой доле. Кровоизлияния на ранней стадии увидеть обычно не удается.
При исследовании с контрастированием в первую неделю можно не обнаружить зон контрастного усиления; они появляются позже, в виде слабо выраженного «пятнистого» контрастного усиления.
МРТ
Гораздо чувствительнее на ранней стадии как к непосредственным, так и к косвенным (отек мозга) признакам энцефалита.
Лучевые симптомы в разных МР-последовательностях:
Т1
- может демонстрировать неспецифические признаки отека в пораженном регионе в виде сглаженности извилин и признаков масс-эффекта;
- очаги острого/подострого кровоизлияния проявят себя областями повышенного сигнала.
Т2
- пораженные области демонстрируют повышение сигнала;
- области «давнего» кровоизлияния так же будут выглядеть гиперинтенсивными в Т2;
- очаги накапливают контраст в последовательности Т1, однако накопление контраста в пораженной области может отсутствовать на ранней стадии (3-5 дней после появления симптомов);
- контрастное усиление может быть гириформным (по ходу извилин), лептоменингеальным (по ходу субарахноидальных пространств), кольцевидным и диффузным.
DWI/ADC (ИКД)
- часто демонстрирует ограничение диффузии вследствие цитотоксического отека.
GRE/SWI
- кровоизлияние проявит себя областью «выпадения» МР-сигнала из-за продуктов распада гемоглобина.
![]()
Рисунок 1 | Асимметричные области патологически повышенного МР сигнала в медиальных отделах обеих височных долей, больше выраженные в корковом веществе
![]()
Рисунок 2 | В последовательности DWI у того же пациента определяются области повышения сигнала в обоих лобно-височных областях. ИДК подтвердила ограничение диффузии
![]()
Т1-взвешенное корональное изображение после введения контраста демонстрирует асимметричное двустороннее гириформное и лептоменингальное контрастное усиление больше в области коры островка (большие стрелки) и поясной извилины (меньшая стрелка)
Неонатальный герпетический энцефалит
Как уже было сказано, чаще вызывается ВПГ 2 типа.
Развитие неонатального герпеса может происходить при контакте новорожденного с ВПГ в половых путях во время родов. Это заболевание является редким, составляя примерно 10 случаев на 100 000 деторождений в мире. Смертность при данной форме энцефалита достигает 50 %, также около 50 % выживших будут иметь тяжелые неврологические нарушения. Риск развития неонатального герпеса особенно высок, если первичное инфицирование матери ВПГ происходит на поздних сроках беременности. У женщин, перенесших генитальный герпес до беременности, риск передачи ВПГ детям крайне низок.
В клинической картине преобладают сонливость, лихорадка или гипотермия, судороги; менее частыми проявлениями являются апноэ, потеря веса, раздражительность, выпуклый передний родничок, везикулярная сыпь в области лба, фокальные клонические судороги конечностей.
Лучевые признаки
Герпетический энцефалит у младенцев характеризуется более диффузным поражением, причем эти изменения сложнее заметить на фоне незавершенной миелинизации; поражение типично затрагивает кору полушарий, глубокие слои белого вещества, включая перивентрикулярные области и таламусы. Медиальные области височных и нижние области лобных долей часто интактны. Геморрагии встречаются реже и появляются в более поздних стадиях.
- на ранней стадии изменения могут отсутствовать;
- в более поздних сроках определяются обширные зоны гиподенсивности (отвечающие отеку и/или некрозу) коры и белого вещества;
- при контрастировании чаще наблюдается гириформное контрастное усиление.
Сигнальные характеристики аналогичны энцефалиту у взрослых:
- области повышенного сигнала в Т2-взвешенных последовательностях могут быть плохо заметными на фоне незрелой миелинизации;
- кровоизлияния (редко) визуализируются как области повышения в Т1 и «выпадения» сигнала в GRE/SWI последовательностях;
- рестрикция диффузии (повышение сигнала в ДВИ последовательностях, подтвержденное при ИКД), как правило, диффузная и двусторонняя;
- гириформное накопление контрастного вещества;
- МР-картина последствий перенесенного процесса включает зоны лейкомаляции, диффузную кистозную энцефаломаляцию и кальцификаты, расположенные диффузно либо по ходу извилин.
В группе пациентов, у которых развился неонатальный герпетический энцефалит в течение 28 дней после рождения, основными признаками при использовании DWI-последовательности были кортикальные поражения. Двустороннее поражение глубоких слоев коры и белого вещества мозга, визуализируемые на 7-й день, были предикторами плохого прогноза и высокой вероятности развития двигательных и когнитивных расстройств.
![]()
С рождения наблюдалась везикулезная сыпь в области лба. На аксиальной Т2-взвешенной томограмме определяется «missing cortex» симптом: потеря нормального изменения сигнала от коры (кора и белое вещество неразличимы) в обеих затылочных областях, больше слева.
![]()
Т1-взвешенная аксиальная томограмма: диффузная кистозная энцефаломаляция с компенсаторной вентрикуломегалией
Современные методики МРТ не ограничиваются классической томографией. Все чаще для диагностики герпетического энцефалита используется протонная МР-резонансная спектроскопия. Сообщается о снижении пика NAA (N-ацетиласпартата) по отношению к холину через 7-14 недель после первых симптомов заболевания; в некоторых случаях наблюдается повышенный пик холина. Иногда может быть повышен пик лактата. Считается, что уменьшение пика NAA отражает повреждение нейронов. Было отмечено, что восстановление нормальных значений NAA происходит одновременно с клинически значимым улучшением состояния пациента.
Читайте также:










