МРТ, УЗИ при вывихе сухожилия двуглавой мышцы плеча
Добавил пользователь Евгений Кузнецов Обновлено: 22.01.2026
Ультрасонография (УЗИ) — это обычно выполняемое исследование при боли в плече, рекомендованное международной медицинской практикой в качестве метода первого выбора для оценки различных заболеваний ротаторной манжеты и заболеваний плечевого сустава не связанный с ротаторной манжетой. Когда УЗИ проводит опытный врач, то его диагностическая чувствительность и специфичность обнаружения разрывов ротаторной манжеты сопоставимы с таковыми при магнитно-резонансной томографии (МРТ).
Преимущества УЗИ включают не только превосходную точность диагностики, но также высокое разрешение и возможность динамической оценки. Чтобы оценить все возможные причины боли в плече, лучше следовать стандартному протоколу и провести всестороннюю оценку плеча, чем проводить целенаправленное обследование. Более того, правильное динамическое исследование может улучшить диагностическое качество УЗИ, особенно когда патология не выявляется при статической оценке. Целью данного обзора является изучение общих показаний для динамического ультразвукового исследования плеча и представление основных методов и характерных результатов ультрасонографии.

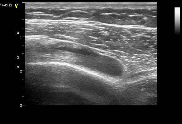
Подвывих сухожилия длинной головки бицепса при ультразвуковом исследовании
Длинную головку сухожилия бицепса (СДГБ) можно оценить, когда пациент находится в нейтральном положении, его локоть согнут, а тыльная сторона кисти находится на ипсилатеральном бедре. СДГБ видена как «шнуроподобная» гиперэхогенная структура, которая лежит внутри биципитальной борозды между большим и малым бугорком проксимального отдела плечевой кости и покрыта поперечной плечевой связкой. В нормальном плечевом суставе СДГБ закрепляется сухожильной оболочкой и биципитальной бороздой, а также поперечной плечевой связкой, так что оно не подвисает и не вывихивается при внутреннем или внешнем вращении плеча.
Динамическая оценка подвывиха или вывиха СДГБ была впервые введена на УЗИ в 1995. Во время исследования было обнаружено, что максимальное внешнее вращение плеча было полезно для диагностики преходящего подвывиха сухожилия бицепса, и чувствительность динамической оценки составила 86%. Также было предложено, чтобы динамическое исследование для подвывиха СДГБ должно включаться в рутинные исследования плечевого сустава. Подвывих и вывих сухожилия бицепса часто сообщается с неглубокой биципитальной бороздой и разрывом ротаторной манжеты, особенно при разрыве сухожилия подлопаточной мышцы. Биципитальная борозда глубиной менее 3 мм на УЗИ считается неглубокой. Диагноз подвывиха или вывиха может быть поставлен, когда СДГБ выходит за стенку своей канавки или выходит из нее при осмотре по короткой оси, когда рука находиться в нейтральном, либо в положении внешнего вращения.
Также сообщается о подвывихах сухожилия длинной головки бицепса, сопровождаемые частичным его разрывом. Это позволило сделать вывод о том, что подвывих СДГБ, связанный с неровностями поверхности при ультразвуковом исследовании, должен вызывать подозрения на его частичный разрыв.
Внутрисуставной захват сухожилия длинной головки бицепса на УЗИ
Внутрисуставный захват СДГБ, известный как «бицепс типа песочных часов». Это новое механическое нарушение движения сухожилия бицепса, которое представляет собой боль и фиксацию плеча. Скользящее движение сухожилия бицепса в ограниченном пространстве биципитальной бороздки блокируется сильным отеком внутрисуставной его части во время отведения плеча, что впоследствии вызывает деформацию внутрисуставного отдела сухожилия и приводит к боли в переднем плече. Критерии при проведении УЗИ для внутрисуставного захвата СДГБ включают в себя увеличение диаметра внутрисуставного его сегмента или деформации сухожилия с утолщение на 10%, которое видно во время отведения плеча. Чувствительность динамической оценки (50%) не была удовлетворительной, но специфичность составила 100%.
Подклювовидный импинджмент на ультрасонографии
Клювовидный или подклювовидный импинджмент - редко диагностируемая, но хорошо известная причина боли в переднем плече. Известны этиологии подклювовидного импинджмента: анатомические изменения лопаток (клювовидного отростка), окостенение сухожилия подлопаточной мышцы, кисты ганглия и другие костные деформации, вызванные хирургическим вмешательством или травмой, которые приводят к чрезмерным давление на СДГБ или сухожилие подлопаточной мышцы.
Основным диагностическим критерием поражения подклювовидного пространства при ультразвуковом исследовании является клювовидно-плечевая дистанция, хотя в литературе сообщалось о противоречивых мнениях относительно ее диагностической ценности. Известно, что клювовидно-плечевое расстояние у пациентов с симптомами меньше, чем у бессимптомных добровольцев. Поскольку известно, что клювовидно-плечевое расстояние на МРТ у женщин меньше, чем у мужчин, то был предложен критерий с поправкой на пол (11,5 мм у мужчин), но он показал плохую прогностическую ценность. В последнее время подклювовидный бурсит и синдром столкновение наблюдались при динамическом УЗИ во время внутреннего / внешнего вращения плеча, что является одним из хорошо известных проявлений субакромиального воздействия. Поскольку анатомические или биомеханические свойства у каждого пациента различны, наблюдение механической блокировки в режиме реального времени может иметь возможность диагностировать это патологическое состояние, хотя необходима дополнительная проверка другими методами.
Субакромиальный импинджмент на УЗИ
Субакромиальное ущемление является наиболее распространенным и общепризнанным показанием для динамического проведения УЗИ в плече. Остеофиты, или аномальная форма акромиона, субакромиальных остеофитов и акромиально-ключичного сустава, являются частыми причинами сдавливания манжеты ротатора и вышележащей субакромиально-субдельтовидной бурсы. Динамическая оценка может быть выполнена путем отведения плеча или сгибания с помощью датчика, размещенного на конце акромиона в корональной плоскости или в сагиттальной плоскости. Двумя важными моментами, которые необходимо проверить на предмет субакромиального импинджмента, являются депрессия головки плечевой кости и компрессия сухожилия / бурсы. Поскольку углубление головки плечевой кости необходимо для того, чтобы обеспечить достаточное пространство для скольжения вращающейся манжеты под акромионом, центр головки плечевой кости обычно перемещается в меньшей степени во второй половине цикла во время отведения плеча. Когда головка плеча не движется свободно ниже подакромиального пространства или патологически подвижно, пространство для вращательной манжеты и субакромиально-субдельтовидной сумки уменьшается, и может возникнуть субакромиальный импинджмент. Иногда можно наблюдать проксимальную миграцию головки плечевой кости при динамическом УЗИ и классифицироваать этот костный удар как наиболее тяжелую (степень 3) форму субакромиального импинджмента. Также описана возможность вовлечения мягких тканей (бурсы или сухожилия) под акромион, возможно, в сочетании с отсутствием депрессии головки плечевой кости, как импинджмент 2 степени.
Динамическая оценка субакромиального воздействия при проведении ультразвуковой диагностики обычно сосредоточена на конец акромиона. Однако субакромиальное воздействие происходит не только под акромионом, но и во всех возможных местах ниже клювовидно-акромиальной дуги, в том числе в любом месте между сгибанием и отведением плеча. Клювовидно-акромиальная связка является центральной частью свода плеча, которая может быть основной структурной причинной для субакромиального импинджмента, и в последнее время она привлекает все большее внимание в рамках ультразвуковых исследований. Клювовидно-акромиальную связку можно визуализировать, поместив один конец датчика у акромиона, а другой конец у клювовидного отростка.
Субакромиальный импинджмент под клювовидно-акромиальной связкой можно также визуализировать, повернув зонд на 90° от продольной оси клювовидно-акромиальной связки, которая находится немного впереди от акромиона, и вдоль направления сухожилия надостно мышцы. Толщина и длина клювовидно-акромиальной связки обычно не отличаются у нормальных субъектов и у тех, кто имеет синдром субакромиального импинджмента на УЗИ, но сильное смещение клювовидно-акромиальной связки значительно увеличивается во время отведения плеча - внутреннего вращения (бросательное движение).
УЗИ плечевого сустава: когда назначают, что можно обнаружить?

УЗИ сустава плеча - информативный метод исследования, который может помочь при диагностике ревматологических, травматических и некоторых других заболеваний костей сочленения, его капсулы, менисков, локтевого хряща, связок и мышц.
Показания для проведения УЗИ плечевого сустава
УЗИ плечевого сустава назначается, если присутствуют:
- постоянные болевые ощущения и проблемные движения в области плеча;
- травмирование или патология, обнаруженная другим способом;
- начальная стадия заболевания опорно-двигательного аппарата, которое не может определить обычный рентген;
- болевой синдром в мышцах;
- необходимость определить объем выпота перед проведением пункции.
Что позволяет увидеть УЗИ?
УЗИ плечевого сустава, что можно обнаружить:
- Воспалительные процессы - бурситы. Характерными признаками этого состояния являются изменение размеров суставной сумки и качественные изменения её стенок.
- Тендинит - воспаление, затрагивающее связочный аппарат. При этом определяется гиперэхогенный тяж на месте повреждения.
- Переломы плеча, которые характеризуются нарушением структурной целостности костной ткани.
- Повреждение суставных губ.
- Диагностические симптомы ревматоидного артрита в виде эрозий неправильной формы и выпота в полость повреждённого сустава.
Как подготовиться к процедуре?
Данный диагностический метод не требует специальной подготовки. Накануне и непосредственно перед ним не требуется соблюдать специализированную диету, принимать или отменять лекарственные препараты. Лечащий врач может порекомендовать приостановить прием мочегонных средств лишь в том случае, когда ультразвуковая диагностика необходима пациенту для контроля проведения пункции с лечебной или диагностической целью.
Как проводится УЗИ плечевого сустава?

Во время процедуры стоит придерживаться определенной техники УЗИ плечевого сустава и обязательных позиций верхней конечности по отношению к датчику аппарата.
Процедуру выполняют в сидячем положении, если это позволяет общее состояние пациента. Для достоверной картины необходимо получить изображения сустава в нескольких плоскостях.
Отдельно просматриваются все компоненты плеча: от синовиальной сумки и мышечных сухожилий и до нервных волокон. Для этого верхнюю конечность вращают и просят пациента отвести руку назад или в сторону. В некоторых случаях обосновано исследование и здорового сустава для сравнительной диагностики.
УЗИ связок плечевого сустава
В процессе УЗИ связок плечевого сустава могут быть обнаружены два варианта разрыва:
- Полный - максимально нарушена целостность связочного аппарата, при которой повреждаются все волокна связки или связка полностью отрывается от участка, на котором она была зафиксирована.
- Неполный, или частичный, (растяжение) - травма предполагает частичный разрыв волокон, растяжение происходит без нарушения работы связочного аппарата.
Расшифровка результатов
УЗИ плечевого сустава, что показывает:
- Повреждения ротаторной (вращательной) манжеты. Выделяют частичные и полные разрывы. В зависимости от того, на каком расстоянии будут находиться оторванные части, существует три степени разрыва.
- Переломы плеча.
- Теносиновит, тендинит: гиперэхогенное сухожилие окружено гипоэхогенным ободком.
- Бурсит: увеличение в размерах суставной сумки, она может иметь неровную толщину стенок, кальцификаты, неоднородную эхоструктуру.
- Разрывы сустава между отростком лопатки и ключицей: увеличение расстояния между этим двумя костями.
- Повреждение задней или передней суставной губы: разрыв хрящевой ткани, выпот в сустав.
- Ревматоидный артрит. Обнаруживаются мелкие дефекты костной ткани с острыми краями, имеющие неправильную форму (эрозии). Есть жидкость в одной из суставных сумок. Имеется атрофия мышц.
Нормальные показатели на УЗИ плечевого сустава
Если все в норме, то в процессе обследования в суставной полости будет отсутствовать жидкость, но все же ее минимальное количество может находиться в синовиальной оболочке, покрывающей сухожилие длинной головки бицепса.
Если соединение плечевой кости пациента в норме, то в его структуре не будут замечены признаки повреждения связок, мышц, соединительной хрящевой ткани и суставной капсулы.
Плечевой нерв должен быть длиной 2,3 мм, шириной 4,6 мм.
Есть ли противопоказания для проведения УЗИ?
Ультразвуковое исследование не имеет противопоказаний. Проведение такой диагностической процедуры может быть затруднено, только если имеется выраженный болевой синдром в плечевом суставе. При этом состоянии показано только статическое исследование, не предполагающее движений пораженной конечностью.

Наши медицинские центры
- Взрослое отделение
- Диагностика
- Консультации
- Центр лечения боли
- Центр здоровья сердца
- Центр здоровья женщины
- Центр эндокринологии
- Детское отделение
- Массаж
- Нефрология
- Оториноларингология
- Офтальмология
- Эндокринология
Запись по ОМС на МРТ и КТ
Включить версию для слабовидящих?
Настоящим я даю своё согласие ООО «Диагностический центр «Энерго» (далее - Общество) (ИНН: 7810812758, юридический адрес - 196084, город Санкт-Петербург, ул. Киевская, д. 5 к. 4, помещ. 20-н), далее - «Оператор», и третьим лицам, осуществляющим обработку моих персональных данных по поручению Оператора, на обработку указанных сведений обо мне, в целях содействия в трудоустройстве.
Я соглашаюсь на сбор, запись, систематизацию, накопление, хранение, уточнение (обновление, изменение), извлечение, использование, передачу (предоставление, доступ), блокирование, удаление, уничтожение моих персональных данных, а также на осуществление любых других действий, предусмотренных действующим законодательством Российской Федерации, совершаемых с использованием средств автоматизации или без использования таких средств.
Настоящее согласие дано мною лично и добровольно. Настоящее согласие действует до момента его отзыва при отсутствии у Оператора других законных оснований для обработки персональных данных и может быть отозвано мной в любой момент в письменной форме путем направления уведомления Оператору по адресу, указанному выше.
Мы используем cookie-файлы, IP-адреса и данные об устройствах для аналитики, чтобы Ваше посещение сайта было удобным и персонализированным. Вы можете отключить cookie-файлы в настройках вашего браузера. Продолжая пользоваться нашим сайтом, Вы даете согласие на обработку перечисленных данных и принимаете условия Политики обработки и обеспечения безопасности ПДн.
УЗИ плечевого сустава при повреждении сухожилий
Полный разрыв по толщине сухожилия на УЗИ плечевого сустава, в основном, представляет конечный результат дегенеративных изменений и хронического разрыва частичного по толщине. Травматические разрывы с участием здоровых сухожилий происходят намного реже. Распространенность разрывов на УЗИ плечевого сустава увеличивается с возрастом, хотя многие из них протекают бессимптомно или вызывают минимальную функциональную инвалидность.
УЗИ плеча это точный метод диагностики, известно о его чувствительности и специфичности, похожими на МРТ и оценивается в 85% и 86%, соответственно. Хотя МР-артрографии является золотым стандартом визуализации разрывов сухожилий вращательной манжетки, повышение чувствительности и специфичности в 7-8% по сравнению с УЗИ, но само исследование достаточно дорогое и приходит по более высокой цене.

Основной находкой на УЗИ плеча при разрыве сухожилия надостной мышцы на всю толщину - это потеря объема и фокусная зона с отсутствием структуры сухожилия. Это пространство разрыва, оставленное без ткани сухожилия, заполняется жидкостью. Самые полные разрывы по толщине возникают в месте дистальной имплантации надостной мышцы, но некоторые из них могут возникнуть более проксимально и оставляют от дистального сухожилия обрубок, который крепится к большой бугристости. У давних разрывов на УЗИ плечевого сустава, жидкость, как правило, отсутствует и зазоры, связанные с дефектами заполнены фиброзной тканью и пролиферирующей синовиальной оболочкой. Градуированная компрессия во время проведения УЗИ плеча должна быть правильно использована, чтобы увидеть повреждение на всю толщину, потому что сложный состав жидкости, фиброзная ткань, и пролиферирующей синовиальной оболочки может создавать картинку гетерогенной зоны, похожую на целое сухожилие при статических изображениях. Динамическое сжатие ультразвуковым датчиком вызывает смещение этих материалов от разрыва и позволяет врачу на УЗИ плечевого сустава для точной постановки диагноза. Ультразвуковые проявления более крупных хронических разрывов является достаточно наглядными, поскольку вытянутое из своего типичного места сухожилие создает ненормальное тесное соприкосновении дельтовидной мышцы с большим бугорком плечевой кости.
Частой причиной ложноотрицательных результатов на УЗИ плеча, является неполная оценка наиболее плохо доступного переднемедиального сегмента надостной мышцы, рядом с вращательным интервалом, в регионе, также известный как кладбище разрывов, потому что разрывы сухожилия образно незаметно накапливаются в этом месте и часто остаются незаметными для диагностики. Следовательно, важно, чтобы весь объем надостной мышцы был полностью оценен, и это может быть обеспечено путем перемещения зонда кпереди от большого бугорка до внутрисуставной части длинной головки двуглавой мышцы плеча.
Полный по толщине разрыв может также повлиять на подлопаточное, подостное, а малое круглое сухожилия. Эти два последние сухожилия, как правило, связаны с расширением разрыва задней зоны надостной мышцы. Для динамической оценки на УЗИ плечевого сустава в процессе внутренней и наружной ротации плеча полезно осмотреть всю толщину разрыва сухожилия подостной, который становиться более заметным и этот маневр также помогаем визуализировать острые и хронической надрывы сухожилия подлопаточной мышцы.
Что еще видят при ультразвуковой диагностике плеча?
В дополнение к потере объема и фокусному отсутствию сухожилия, на УЗИ плеча описаны несколько вторичных признаков полнослойного разрыва. Из них наиболее значительным является сосуществование жидкости, вздутие субакромиальной-поддельтовидной бурсы и выемки плечевого сустава. Другой вторичной находкой, является наличие линейного яркого отражения на поверхностном отрыве возле суставного хряща плечевой головки. Это вызвано снижением шума через разрыв, часто упоминается как знак хрящевой границы. Однако, этот вывод не является специфичным для полнослойного разрыва и появляется на УЗИ плечевого сустава только тогда, когда ультразвуковой луч находиться перпендикулярно поверхности гиалинового хряща. Третья крупная находка является выявление внутримышечного ганглия, поскольку дефект в поверхности сухожилия может позволить жидкости рассекать волокна вдоль и собраться в мышце. Четвертая и редкая вторичная находка на УЗИ плеча - это признак Гейзера. Этот обнаруженный знак связан с коммуникацией между субакромиальной-поддельтовидной и бурсой плечевого и акромиально-ключичного суставов. Есть много других вторичных выводов, описанных в литературе для врачей, но следует иметь в виду, что УЗИ диагностика полнослойного разрыва требует прежде всего оценку объема потерь в месте очагового дефекта сухожилия. К сожалению, ни один из этих вторичных выводов не имеет решающего значения не должен использоваться в качестве единственного критерия для постановки диагноза.
Важная информация для лечения и прогноза включает в себя степень сухожильной ретракции, состояние мышц манжета и акроиально-плечевого расстояния. Различные схемы для УЗИ плечевого сустава были использованы для того чтобы классифицировать степень ретракции сухожилий, но каждая методика имеет ограничения. Классификация Бейтман по разрыву вращательной манжеты подразделяет как мелкие (5 см). Кроме того, модель и предложенная классификация, основанная на стягивание сухожилия во фронтальной плоскости. Тауро предложен индекс, который рассчитывается путем умножения медиалатерального по передне-заднего размера повреждения. С практической точки зрения, это может быть полезно, чем просто отчитаться о наибольшем размер разрыва в двух взаимно перпендикулярных плоскостях, поэтому лечащим врачом можно использовать систему классификации, которая ему больше всего понравилась. Разрыв сухожилия надостной мышцы на УЗИ плеча более 3 см бывает проблематично измерить, потому что проксимальный конец сухожилия является смещенным и, как правило, скрыт под акромионом.
Разрыв на всю толщину, который охватывает всю ширину сухожилия может быть назван полным разрывом. Однако, начиная с дистальных волокон надостной мышцы, когда они локализованы рядом с подостной вблизи большого бугорка, это может создать точность отличить полный и неполный разрывы при оценке этих сухожилий. В таких случаях главное не классифицировать травмы, как полный или неполный, но точно сообщить о сухожильной ретракции. Сухожилие подлопаточной это совсем другая история, потому что она явно отличается от соседних сухожилий. Кроме того, врач УЗИ сообщит о ретракции сухожилия, на полную толщину разрыва сухожилия подлопаточной мышцы, идеально также описать как полное или неполное повреждение этой зоны.
О состоянии мышц плеча при ультразвуковой диагностике
Состояние мышц вращательной манжеты должна регулярно оцениваться при таких ситуациях как жировая инфильтрация, атрофия мышц и жировая атрофия. Эти явления дают сделать вывод о хроническом процессе, что считают плохим прогностическим маркером для хирургического и консервативного лечения. Эти термины часто применяются при ультразвуковом исследовании плечевого сустава и взаимозаменяемы, чтобы описать повышенную эхогенность мышечной ткани на УЗИ, атрофию мышц или жировую атрофию. Эти процессы, как правило, развиваются, когда наблюдается грубое снижение мышечной массы. Аномальную эхогенность мышцы оценивают субъективно по сравнению с трапециевидной. Как правило, замена жиром мышц при вторичном разрыве сухожилия является основной причиной гиперэхогенного вида манжеты плеча по отношению к трапециевидной. При этом, травма, денервация и миозит менее вероятные диагнозы. С увеличением мышечной эхогенности, резкий контраст между гиперэхогенным фасциями и гипоэхогенными мышечными пучками становятся менее четкими, ведущего сначала к стиранию, а затем к исчезновению перистого рисунка. Атрофия подостной мышцы может развиться после разрыва вращательной манжеты плеча с неповрежденным сухожилием подостной и то же самое относится к подлопаточной мышцы. Изолированная или более выраженная атрофия подостной мышцы в условиях ограниченного разрыва надостной может быть связана с поражением надлопаточного нерва и изменением биомеханики. Жировая инфильтрация при вторичных разрывах сухожилия не является истинным дегенеративным процессом, но скорее вынужденная перестройка ткани при изменении угла брюшка, которое вызывает стягивание мышц. Успешному лечению разрыва сухожилия часто препятствует дальнейшее развитие атрофии и жировой инфильтрации, на фоне значительных уже имеющихся нарушений.
Важно признать, что гиперэхогенные мышцы на УЗИ не синоним разрыва вращательной манжеты. Надо иметь ввиду, что паралабарные кисты могут привести к защемлению надлопаточного нерва. Денервация мышцы может произойти, когда киста находится в надостной вырезке, или создает изолированную денервацию подостной мышцы, когда находится в вырезке суставной губы. Незначительная атрофия круглой мышцы может наблюдаться до 3% на УЗИ плечевого сустава и часто протекает бессимптомно, хотя это иногда связано с синдромом четырехугольного пространства.
Гиперэхогенные мышцы вращательной манжеты не обязательно патологическое состояние и может развиться в меньшей степени в результате процесса старения, известный как саркопения. Саркопения диффузно влияет на различные мышцы плеча. Использование трапециевидных и контралатеральной мышцы на УЗИ плеча в качестве эталона могут помочь правильно определить ожидаемую старческую замену мышцы жиром и отличить его от патологических изменений.
Наконец, акромиально-плечевое расстояние также обеспечивает важную прогностическую информацию и определяется как кратчайшее расстояние между акромионом и плечевой костью. Когда определяют на стандартной переднезадней рентгенограмме, то акромиально-плечевое расстояние 7 мм или меньше, предполагают большой разрыв вращательной манжеты. Это еще коррелирует с мышечной атрофией вращательной манжеты, и предсказывает плохой результат хирургического лечения. На безальтернативной основе действия дельтовидной мышцы активно тянут плечевую кость вверх при отсутствии функции надостной мышцы из-за разрыва,что является основанием для снижения акромиально-плечевого расстояния.
Сухожилия двуглавой мышцы плеча (бицепса)
Двуглавая мышца плеча (бицепс) выполняет ключевую функцию в процессе сгибания верхней конечности в локтевом суставе, располагается на передней поверхности плеча между плечевым и локтевым суставами. Мышца имеет 2 проксимальных сухожилия (длинная головка и короткая головка), которые прикрепляются к лопатке, и дистальное сухожилие бицепса, которое крепится к лучевой кости. Чаще всего наблюдаются разрывы сухожилия длинной головки бицепса, другие травмы встречаются гораздо реже. В основную группу риска попадают мужчины старше 40 лет, занимающиеся любительским спортом.
Виды травм
- Растяжение (сильное растягивание мышц без какого-либо разрыва) или ушиб
- Частичный разрыв
- Полный разрыв
Данные разрывы могут возникнуть в месте прикрепления сухожилия к кости, в месте соединения мышцы с сухожилием или в самом сухожилии. При отрыве небольших кусочков кости вместе с сухожилием констатируется отрывной перелом.
Основные причины травматизации
К травматизации бицепса могут привести следующие факторы:
- Чрезмерная силовая нагрузка на плечо при занятиях спортом, подъеме и переносе тяжелых предметов
- Возрастные изменения (у лиц старше 40 лет сухожилия теряют свою прочность)
- Хронические воспаления в этой области (ревматоидный артрит, импинджмент, локтевой бурсит и др.) ведут к изнашиванию сухожилий, и как следствие, увеличивается риск получения травм даже после незначительных повреждений
- Прием некоторых медикаментов (например, статинов)
- Микротравмы
Признаки травматизации.
- Резкая боль в момент травмы
- Характерный щелчок, хлопок
- Мышечные судороги и спазмы (при растяжениях)
- Припухлость и отечность
- Возможно подкожное кровоизлияние
- Наблюдается отвисание мышцы при напряжении бицепса (в верхней трети плеча)
- Шарообразное уплотнение в верхней части плеча
- Снижение силы конечности
Диагностика
Диагностика повреждений двуглавой мышцы плеча включает:
- Детальный осмотр врача
- Рентгенографию
- УЗИ
- МРТ
Специалисты:
Лечение
При обнаружении вышеперечисленных симптомов пострадавшему необходимо обеспечить покой и незамедлительно доставить его в отделение травматологии, где осмотр проведет квалифицированный врач и составит дальнейший план лечения.
Выбор консервативного или хирургического лечения зависит от вида и тяжести травмы, а также от возраста пациента. Для людей в возрасте старше 50-60 лет назначают консервативный способ восстановления, который предполагает:
- Местное обезболивание
- Медикаментозное лечение (прием противовоспалительных средств)
- Иммобилизацию конечности с помощью ортезов
- Лечебно-оздоровительную физкультуру
- Физиотерапевтическое лечение
Оперативное вмешательство необходимо для сшивания тканей сухожилий (артроскопические операции), они показаны для людей молодого возраста. Реабилитация в послеоперационный период включает: ношение компрессии, соблюдение диеты (богатой белками), поддерживающую лечебную гимнастику, массаж и физиотерапевтические процедуры.
Для скорейшего выздоровления и полного восстановления физической активности следует строго соблюдать все рекомендации лечащего врача. В среднем выздоровление наступает через 5-6 месяцев.
За квалифицированной врачебной помощью в Москве Вы можете обратиться в ЦКБ РАН.
Сухожилия большой грудной мышцы
Большая грудная мышца составляет основной рельеф груди, она образована из самых крупных скоплений волокон. Это очень сильная и мощная мышца. Большая грудная мышца состоит из трех частей или пучков: грудино-реберной, ключичной и абдоминальной (брюшной).Все три ее части сливаются вместе и формируют одно короткое плоское сухожилие, которое к плечевой кости крепится чуть ниже большого бугорка. Она отвечает за способность производить движения рукой перед грудной клеткой (вращение руки внутрь, опускает поднятую руку, приводит плечо (руку) к телу), а также участвует в акте дыхания как дополнительная мышца. Повреждения большой грудной мышцы случаются крайне редко и обычно встречаются у спортсменов-тяжелоатлетов и людей, занимающихся тяжелым физическим трудом, как правило, мужчин.

Виды травм: ушибы, растяжения, разрывы
Классификация повреждений большой грудной мышцы:
- Ушиб или растяжение мышцы
- Частичный разрыв
- Полный разрыв:
- отрыв сухожилия от места прикрепления к плечевой кости
- разрыв в месте перехода мышцы в сухожилие
- разрыв самих мышечных волокон
- отрыв сухожилия большой грудной мышцы с костным блоком
- отрыв от места прикрепления к грудине, ребрам
- Чрезмерные физические нагрузки (например, при занятиях спортом (работа с гантелями или штангой))
- Поднятие тяжестей, падения (при растяжениях)
- Прямой удар в область груди
- Прием стимулирующих препаратов (стероидов)
- Мышечная усталость и микротравмы

Симптомы травматизации
- Появление боли, слабости и жжения
- Снижение подвижности плечевого пояса
- Возникает отечность, припухлость и гематома
- Характерный звук разрыва мышц - щелчок или хлопок (в момент травмы)
- Наблюдается деформация мышцы и нарушение ее естественных контуров (при полном разрыве)
Диагностика травм сухожилий включает:
- Медосмотр у врача
- Рентгенографическое исследование
- Ультразвуковое исследование (УЗИ)
- Магнитно-резонансную томографию (МРТ)
Специалисты, к которым следует обратиться в случае появления указанных симптомов:
Лечение и восстановление
При любом повреждении большой грудной мышцы необходимо обратиться в отделение травматологии за квалифицированной помощью.
При растяжении мышц применяется консервативное лечение. Больному необходимо обеспечить полный покой, прикладывать холод к травмированному месту, врач назначает прием обезболивающих средств и разогревающих мазей. Длительность реабилитации зависит от серьезности полученной травмы (от 3-х недель до 3-х месяцев). Во время восстановительного периода пациенту назначаются умеренные физические нагрузки, массаж, рефлексотерапия. При соблюдении всех рекомендаций наблюдается полное выздоровление.
Хирургическое лечение предпочтительнее при частичном и полном разрыве сухожилий. Выбор типа оперативного вмешательства зависит от расположения разрыва.Основная задача любой операции - соединение сухожилия с костью.

- применение фиксирующей повязки (иммобилизация плечевого сустава)
- криотерапия
- прием обезболивающих препаратов
- лечебная физкультура
- интенсивный массаж.
Читайте также:

