Диагностика эластофибромы грудной клетки на КТ, МРТ, ПЭТ
Добавил пользователь Валентин П. Обновлено: 11.12.2025
ПЭТ/КТ (PET/CT) — эффективный и современный метод диагностики онкологических заболеваний. Метод сочетает возможности позитронно-эмиссионной (ПЭТ) и компьютерной (КТ) томографий и позволяет с высокой долей уверенности установить наличие злокачественного образования.
Для выявления патологических клеток применяются различные радиофармпрепараты. ПЭТ/КТ всего тела проводится с введением 18F-фтордезоксиглюкозы (18F-ФДГ) - это препарат, который готовится накануне исследования, с учетом индивидуальных особенностей пациента. Диагностика основана на оценке скорости обмена веществ клеток на молекулярном уровне, поэтому позволяет выявить злокачественную опухоль размером от 4-5 мм. Опухоли меньших размеров не позволяют выявить разрешающие способности современных ПЭТ/КТ-сканеров.
ПЭТ/КТ способна диагностировать те опухолевые очаги, которые невозможно выявить с помощью других средств визуализации - УЗИ, рентгена, КТ, МРТ.
Алексей Бутенко, онколог, профессор, д.м.н.
Процедура обладает рядом преимуществ:
- возможность выявления онкологических опухолей на бессимптомной стадии;
- безопасность методики, отсутствие болезненных ощущений;
- амбулаторное проведение без хирургического вмешательства;
- получение полной информации о распространенности злокачественного процесса в организме.
ПЭТ/КТ с 18F-фтордезоксиглюкозой: особенности
Радиофармпрепарат 18F-фтордезоксиглюкоза универсален: он поглощается всеми клетками, так как по строению близок к обычной глюкозе. Опухолевые клетки реагируют на препарат быстрее обычных, поэтому их хорошо видно при сканировании. Вещество выводится из организма пациента в течение суток.
У 18F-ФДГ есть ряд достоинств:
- длительная стабильность - его можно доставлять в диагностические учреждения, где нет возможности производить нужные соединения на месте;
- позволяет детально обследовать пациента без спешки;
- универсальность - подходит для выявления большинства злокачественных опухолей (за исключением нейроэндокринных новообразований и некоторых других форм рака), позволяет получить точные результаты.
На полученном при сканировании тела пациента изображении клетки опухоли видны как яркие пятна, так как они поглощают больше 18F-ФДГ, чем здоровые ткани. Врач имеет возможность сделать выводы о злокачественности образования, размерах и стадии процесса по насыщенности цвета, размеру, локализации и количеству «горячих очагов».
Разновидности радиофармпрепаратов для ПЭТ/КТ в центрах «ПЭТ-Технолоджи»
- 18 ФДГ - фтордезоксиглюкоза, меченая атомом фтора-18, является самым распространенным радиофармпрепаратом (РФП), используемым в ПЭТ/КТ диагностике.
РФП 18F-фтордезоксиглюкоза универсален и поглощается всеми клетками, так как по строению близок к обычной глюкозе. Опухолевые клетки поглощают препарат быстрее обычных, поэтому их хорошо видно при сканировании.
ПЭТ/КТ диагностику всего тела с 18 ФДГ проводят во всех центрах «ПЭТ-Технолоджи».
- В Ставрополе, помимо 18 ФДГ, для ПЭТ/КТ диагностики используют следующие радиофармпрепараты:
- 18F-ПСМА - при опухоли предстательной железы
- 18F-ФЭТ - при новообразованиях головного и спинного мозга
- В Екатеринбурге также проводят ПЭТ/КТ диагностику со следующими РФП:
- 68GaPSMA - при раке предстательной железы у мужчин
- 68Ga-DOTA-TATE - при нейроэндокринных опухолях
- В Балашихе ПЭТ/КТ диагностика со следующими РФП:
- 18F-Флюороэстрадиол - данный РФП наиболее широко применяется у больных раком молочной железы
Показания к ПЭТ/КТ всего тела
ПЭТ/КТ позволяет оценить масштабы опухолевого поражения пациента и верно определить стадию заболевания. Сведения о том, как далеко распространились злокачественные клетки, крайне важны для выбора тактики лечения. Обследование пациентов, проходящих курс радиотерапии и химиотерапии или перенесших, необходимо для мониторинга результатов назначенного лечения - ПЭТ/КТ-сканирование покажет, как изменяется опухоль, позволит увидеть новые очаги и рецидивы.

ПЭТ/КТ с 18F-фтордезоксиглюкозой: рак прямой кишки
ПЭТ/КТ всего тела с 18F-фтордезоксиглюкозой
проводят для:
- выявления метастазов и первичных очагов опухоли;
- определения степени распространенности опухолевого процесса;
- оценки эффективности лечения;
- дифференциации доброкачественных и злокачественных опухолей;
- планирования тактики терапии.
В центрах «ПЭТ-Технолоджи» диагностику с 18F-ФДГ проводят при следующих заболеваниях: злокачественные опухоли скелета, меланома, болезнь Ходжкина и неходжкинские лимфомы, саркомы мягких тканей, рак щитовидной железы, молочных желез, шейки матки, тимуса, яичек, легких, поджелудочной железы, яичников, желудка и кишечника.
Противопоказания и ограничения:
- беременность,
- грудное вскармливание,
- сахарный диабет (уровень гликемии более 11 ммоль/л),
- тяжелое общее состояние пациента, декомпенсация сопутствующей патологии (хроническая почечная, печеночная недостаточность),
- невозможность выжидания процедуры сканирования (болевой синдром, психоневрологическое расстройство, клаустрофобия и т.д.),
- острые инфекционные заболевания и обострения хронических воспалительных процессов.
При записи на ПЭТ/КТ рекомендуется предоставить результаты гистологического исследования опухоли, которое было проведено после биопсии
При записи на ПЭТ/КТ рекомендуется предоставить результаты гистологического исследования опухоли, которое было проведено после биопсии. Диагностические возможности ПЭТ/КТ с 18F-ФДГ ограничены при редко встречающихся клеточных формах злокачественных опухолей (например, нейроэндокринные опухоли, карциноид, бронхоальвеолярный рак легкого, светлоклеточный рак почки, рак предстательной железы, гепатоцеллюлярный рак, муцинозные опухоли, медуллярный рак щитовидной железы, перстневидно-клеточный рак, гастроинтестинальные опухоли).
Диагностическая ценность ПЭТ/КТ с 18F-фтордезоксиглюкозой повышается при соблюдении следующих временных интервалов:
- через 7-10 дней после проведения биопсии опухоли;
- через 3-3,5 месяца после завершения лучевой терапии;
- через 21 день после завершения курса химиотерапии;
- через 1-1,5 месяца после операции по удалению опухоли.
Специалисты центра расскажут вам о возможностях и ограничениях метода при записи на исследование. Доступна бесплатная предварительная консультация для определения необходимости диагностики в вашем случае.
Подготовка к ПЭТ/КТ всего тела
ПЭТ/КТ-диагностика основана на анализе обмена веществ клеток, а на него влияет ряд внешних факторов. Для того чтобы врач получил точные данные, к обследованию нужно правильно подготовиться.
- за двое суток до процедуры исключите алкоголь и углеводистую пищу (все, что содержит глюкозу, фруктозу, лактозу и сложные углеводы: сладости, крупы, мучное, молоко, сладкие напитки);
- прекратите прием пищи за 6 или более часов до визита в центр. Сканирование проводят натощак, по возможности в утренние часы;
- перед исследованием нужно употреблять больше жидкости;
- за два дня до ПЭТ/КТ нельзя переохлаждаться, запрещены физические нагрузки: холод и интенсивное движение влияют на метаболизм в тканях организма;
- возьмите с собой теплую комфортную одежду без металлических элементов (молний, пуговиц и т.д.), сменную обувь. Вещи не должны обтягивать или сдавливать;
- принесите на обследование данные прошлых исследований и осмотров, заключения специалистов о вашем заболевании.
Важно: пациентам с сахарным диабетом нужно предварительно проконсультироваться у врача-эндокринолога. Наличие в применяемом радиофармпрепарате глюкозы может вызвать осложнения заболевания или снизить достоверность результатов. Также врача нужно предупредить о беременности, кормлении грудью, наличии аллергии на лекарственные препараты, клаустрофобии, невозможности лежать неподвижно в течение 40 минут.
Во время записи на исследование вам подробно расскажут о подготовке к позитронно-эмиссионной томографии, подберут удобную дату и время визита.
Порядок проведения исследования
ПЭТ/КТ длится не более часа, но в центре вы проведете от 2 до 5 часов - сюда входит предварительная подготовка, оформление документации, отдых после процедуры. Перед обследованием нужно переодеться в комфортную одежду и снять все изделия, содержащие металл.

Во время отдыха пациенту следует расслабиться, лежать неподвижно, нельзя разговаривать, читать, пользоваться мобильным телефоном.
В период отдыха важно сохранять неподвижность - это способствует правильному распределению радиофармацевтического препарата и в конечном результате качественному отображению патологического очага. Для получения точных результатов диагностики необходимо оставаться неподвижным в течение всей процедуры сканирования, которая может занимать от 20 до 40 мин.
Если длительное пребывание в неподвижном состоянии вызывает болезненные ощущения (боль в костях, суставах или в мышцах), сообщите врачу об этом заранее (!), чтобы врач смог подобрать оптимальный режим сканирования.
Обследование проходит в два этапа:
- Введение препарата. Пациенту делают внутривенную инъекцию. Процедура безболезненна, иногда сопровождается ощущением жара. Препарат распределяется по всем клеткам в течение часа. Важно: После введения препарата нужно спокойно лежать, не двигаться, не разговаривать, не читать: 18F-ФДГ накапливается в активно работающих мышцах, что может сказаться на результатах. Пейте чистую воду, чтобы улучшить визуализацию клеток.
- ПЭТ/КТ-сканирование. Пациента помещают в томограф, где сначала делают компьютерную томографию всего тела, после нее - позитронно-эмиссионную томографию всего тела. В некоторых случаях дополнительно вводится контрастное вещество, которое улучшает визуализацию полых органов - кишечника и сосудов. Программное обеспечение аппарата накладывает КТ-снимки на ПЭТ-снимки, в результате можно оценить структурные, физиологические и метаболические изменения в тканях.
После завершения процедур не покидайте территорию центра, так как в некоторых случаях сканирование требуется провести повторно.
Где сделать ПЭТ/КТ всего тела
ПЭТ/КТ-центры компании «ПЭТ-Технолоджи» находятся в городах:
В «ПЭТ-Технолоджи» работают квалифицированные врачи, профессионалы в области онкологии и ядерной медицины. Они обучаются и проходят стажировку в специализированных учреждениях России, США, Германии и Израиля.
Преимущества диагностики в в ПЭТ/КТ-центрах компании «ПЭТ-Технолоджи»:
- отсутствие очередей и длительного ожидания процедуры - прием пациентов по записи на следующий или в любой удобный день;
- гарантия качества диагностики;
- удобство для пациентов, приезжающих из других регионов и стран СНГ - помощь с размещением и решением других организационных вопросов;
- оперативное получение результатов исследования .
Цена ПЭТ/КТ в центрах ядерной медицины «ПЭТ-Технолоджи» ниже, чем за границей - от 44 000 рублей, на исследование предоставляется скидка 25%. Со стоимостью процедуры в различных ПЭТ/КТ-центрах и специальными предложениями вы можете ознакомиться здесь.
Эти сведения критически важны при уточняющей диагностике злокачественного образования, планировании операции, лучевой или химиотерапии, контроле за эффективностью лечения.
В Центрах ядерной медицины «ПЭТ-Технолоджи» проводятся ПЭТ/КТ исследования с использованием следующих радиофармпрепаратов:
- 18F-фтордезоксиглюкоза (Все Центры сети),
- 18F-фторметилхолин (г. Уфа),
- 18F-фторэтилтирозин (г. Уфа).
ПЭТ/КТ способна диагностировать те опухолевые очаги, которые невозможно выявить с помощью других средств визуализации - УЗИ, рентгена, КТ, МРТ.
Алексей Бутенко онколог, профессор, д.м.н.
Для проведения диагностики с высочайшей точностью, безопасностью и комфортом мы собрали команду лучших специалистов в различных областях онкологии, ядерной медицины, медицинской физики, химии и фармакологии. Врачи зарубежных клиник Германии, Израиля и США, где проходили лечение наши клиенты, отметили высокое качество исполнения стандарта исследования ПЭТ-КТ в Центрах «ПЭТ-Технолоджи». С учетом текущего курса валют и цены ПЭТ-КТ исследования в Израиле, стоимость диагностики в «ПЭТ-Технолоджи» значительно ниже.
Благодаря уникальным техническим характеристикам нашего оборудования время исследования сокращено в среднем до 18 минут, при этом достигается самая высокая точность, доступная для метода на сегодняшний день.
Для Вашего удобства алгоритм проведения всех процедур детально продуман, благодаря чему исключены очереди и ненужное ожидание, а усилия персонала направлены на то, чтобы создать атмосферу уюта и заботы. Разработаны удобные и недорогие планы поездок из Белоруссии и Казахстана .
После проведения исследования пациент получает на руки протокол исследования с заключением специалиста и диск со всем массивом данных, полученных при сканировании. Бесплатная консультация у наших опытных специалистов помогает определить необходимость исследования. Универсальность протокола и формата сохранения изображений позволяет специалистам из любого медицинского учреждения использовать эти данные для планирования и оценки эффективности лечения.
Выражаю огромную благодарность врачам центра ядерной медицины в Уфе и лично Нагаевой Д.В. - настоящему мастеру своего дела. Дина Валерьевна внимательно обследовала меня на ПЭТ/КТ и обнаружила на ранней стадии опухоль в ректо-сигме, о которой специалисты из поликлиники и из онкологического диспансера даже не подозревали.
Анатолий Григорьевич, 72 года , Москва
Хочу поблагодарить всех сотрудников центра ядерной медицины за неравнодушие и спасенное здоровье! Спасибо вам за то, что обнаружили болезнь в самом начале. Но ещё больше - спасибо за доброе сердце и чуткость! Когда настигает беда, очень важно, чтобы тебя окружали такие же надежные и готовые помочь люди, как специалисты из центра в Уфе!
Фазиля, 22 года , Уфа
Уровень подготовки специалистов позволяет компании «ПЭТ-Технолоджи» использовать весь потенциал метода ПЭТ/КТ. Штат компании полностью укомплектован высококвалифицированными специалистами, прошедшими обучение и подготовку в ведущих научных и образовательных центрах России.
Высокотехнологичное и современное оборудование. Все центры «ПЭТ-Технолоджи» оснащены единой линейкой медицинской техники производства компании GE Healthcare - подразделения General Electric, работающего более чем в 100 странах мира. Новейшие ПЭТ/КТ-сканеры, циклотроны, уникальные автоматизированные модули синтеза радиофармпрепаратов от одного из мировых лидеров в области медицинского оборудования обеспечивают эффективную и слаженную работу.
Безопасность проводимого исследования. За несколько десятков лет применения ПЭТ/КТ в клинической практике не выявлены какие-либо отрицательные воздействия метода на здоровые органы и ткани пациентов. А высокая квалификация и современное оборудование позволяют оптимизировать уровень лучевой нагрузки при проведении диагностики.
Европейский уровень сервиса и доступные цены. Один из основных приоритетов работы персонала - ориентация на нужды и комфорт пациентов. Стоимость диагностики ПЭТ/КТ в «ПЭТ-Технолоджи» составляет от 44 000 рублей — дешевле на несколько тысяч, чем в других российских центрах, и в два-три раза выгоднее, чем в медицинских центрах за рубежом.
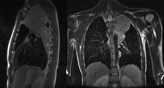
Что показывает МРТ органов грудной клетки
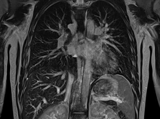
В грудной клетке расположено множество жизненно важных органов, патологии которых сложно диагностировать классическими способами: они скрыты за костями грудины, ребрами, позвоночником, мягкими тканями. Информативным способом, который способен показать структуру, а также функциональность органов, расположенных здесь, врачи называют МРТ — магнитно-резонансную томографию с контрастом или без него. Метод идеально подходит для исследования находящихся внутри грудины органов, сосудов, желез, лимфоузлов, но наиболее эффективным его считают в диагностике опухолевых процессов.
Какие органы проверяют на МРТ грудной клетки?
Чтобы понять, что показывает МРТ грудной клетки, важно понимать суть метода. Он состоит в способности мощного магнитного поля провоцировать резонанс молекул водорода, который в больших количествах содержится в органах грудной клетки (сокращенно ОГК). Магнитно-резонансный томограф улавливает резонансные колебания и отображает их на теле-экране в виде серии монохромных снимков, представляющих собой срезы обследуемой области определенной толщины: чем мощнее МР-аппарат, тем «тоньше» срезы и точнее результаты. Также на основе полученных данных можно сделать трехмерную модель любой структуры, находящейся в полости груди.

Магнитно-ядерная томография не очень информативна при исследовании костных тканей. Плохо видны на снимках и легкие, в которых слишком много воздуха. В процессе дыхания они двигаются, что не позволяет получить четкие изображения легочных тканей. Чтобы повысить четкость картинки, врач может попросить пациента во время сканирования периодически задерживать дыхание на вдохе. Та же проблема наблюдается при попытке проверить сердечную мышцу — ее ритмичные сокращения мешают обследовать миокард на патологии. Однако временно остановить сердце невозможно, поэтому оно фактически является единственным органом в груди, который проверяют с помощью так называемой синхронизации с пульсом/ЭКГ.
В медицинской практике МРТ грудной клетки делают, чтобы визуализировать следующие органы:
- плевру и ее полость;
- среднюю и нижнюю часть трахеи;
- легкие;
- перикард и сердце;
- диафрагму;
- лимфатические сосуды и узлы средостения;
- вилочковую железу;
- межпозвоночные диски грудного отдела позвоночника;
- спинной мозг в области грудного отдела позвоночника.
При использовании контрастного вещества список диагностируемых органов и структур расширяется за счет крупных и мелких кровеносных сосудов. С помощью этого дополнения МР-сканирование показывает не только строение кровеносной сети, но также особенности ее функционирования и изменения в скорости и направлении кровотока. Благодаря тому, что контраст хорошо накапливается в патологических новообразованиях, контрастное МРТ обладает высокой информативностью в диагностике опухолей органов средостения, включая легкие и лимфатическую систему.
Когда назначают МРТ органов грудной клетки?
Показаниями к проведению МРТ ОГК является подозрение на возникновение в этой области патологических процессов: воспалений, дегенеративных и атрофических изменений, опухолей, нарушений кровоснабжения и очагов инфекций, травм и врожденных пороков развития. Чаще всего магнитно-ядерное сканирование является очередным этапом диагностики, когда проведенные ранее исследования (УЗИ, КТ или рентгенография) выявили аномалии, но не помогли врачу определить конкретное заболевание.
В число прямых показаний к проведению диагностики этим методом включены:
- состояния, указывающие на пороки клапанной системы сердца, атрофию или дистрофию миокарда, прочие врожденные или приобретенные кардиопатологии;
- явные гемодинамические нарушения, которые являются симптомом атеросклероза крупнейших артерий, аневризмы аорты и других сосудистых заболеваний;
- симптомы воспалительных и инфекционных процессов в дыхательной системе — хронический кашель, отхаркивание мокроты с кровью или гноем, затрудненное дыхание, одышка или приступы удушья;
- симптомы опухолевых процессов в грудной клетке — тупые хронические боли, затрудненное дыхание, сухой хронический кашель, резкая потеря веса и т. д.;
- признаки патологий спинного мозга в грудном отделе позвоночника — нарушение чувствительности и двигательной активности верхнего плечевого пояса, хронические головные боли, опоясывающие боли в области груди, нарушения дыхания, не связанные с заболеваниями легких;
- подозрение на заболевания лимфатической системы в области исследования.
В ряде случаев даже при наличии показаний МРТ груди из-за противопоказаний. К абсолютным относятся:
- наличие в организме несъемных металлических элементов — кардиостимулятора, инсулиновой помпы, стентов и клипс на сосудах;
- несъемные металлические зубные протезы из ферромагнитных сплавов;
- первая треть беременности;
- психические нарушения, при которых человек не может соблюдать неподвижность или находиться в замкнутом пространстве;
- вес обследуемого больше 120 кг.
В число относительных противопоказаний включены клаустрофобия, состояние сразу после получения травмы, когда больного беспокоит сильная боль, не дающая соблюдать спокойствие. Чтобы боль прошла, а пациент смог расслабиться и сохранять неподвижность, перед проведением процедуры ему вводят седацию или наркоз. Есть у метода и другие относительные противопоказания. Узнать, делают ли МРТ органов грудной клетки при имеющихся проблемах со здоровьем, можно у рентгенолога накануне исследования.
Подготовка к МРТ грудной полости
Стандартное обследование без контрастирования не требует специальной подготовки. Достаточно консультации с врачом, который будет проводить диагностику. Во время нее ему необходимо проверить, есть ли у пациента безусловные или относительные противопоказания к проведению сканирования. Женщинам дополнительно рекомендуется сделать незадолго до МРТ тест на беременность, чтобы убедиться в ее отсутствии. Пациентам с неуравновешенной психикой, страхом замкнутого пространства, повышенной тревожностью врач посоветует за 1-2 часа до МРТ принять успокоительное средство.

В отличие от описанного выше случая, подготовка к контрастной томографии выглядит не так просто. Так как вводимый препарат может спровоцировать тошноту, за несколько часов до диагностики пациентам рекомендуется воздержаться от еды и питья. Также следует проконсультироваться с рентгенологом относительно постоянно принимаемых лекарств: некоторые препараты могут быть несовместимыми с контрастирующими веществами.
Непосредственно перед процедурой специалист расскажет, как проходит МР-сканирование, сколько по времени оно занимает, что можно почувствовать во время работы томографа. Также он попросит снять сковывающую движения, имеющую металлическую фурнитуру одежду, аксессуары, украшения и пирсинг, оставить в раздевалке телефон, часы и другие устройства.
Как делают МРТ грудной клетки?
Если в процессе подготовки не выявлено противопоказаний, приступают к проведению МР-сканирования. Пациента укладывают на подвижный стол томографа и фиксируют его в нужном положении с помощью ремней и мягких валиков. При необходимости обследуемому вводят необходимое количество контраста (рассчитывается исходя из массы тела).
Медсестра подтверждает, что посмотрела и убедилась в отсутствии на теле пациента металлических предметов, после чего она с врачом покидает помещение с томографом. Общение с обследуемым с этого момента продолжается по громкой связи. Врач включает томограф, стол задвигается в кольцо аппарата и начинается сканирование.
Диагностика без контрастирования длится около получаса. При введении контраста МРТ грудной клетки продолжается на 15 минут дольше. В редких случаях врачу потребуется сделать повторное сканирование, если снимки получились смазанные, что удлинит время процедуры еще на 10-15 минут.
После окончания сканирования пациент может сразу встать, одеться и покинуть кабинет. Заключение и расшифровка МРТ патологий в области грудной клетки обычно занимают около часа. Получить их можно в электронном виде на флешке или в распечатанном виде. Получить их можно как на руки, так и по электронной почте.
Что лучше МРТ или КТ грудной клетки?
Однозначно назвать один из методов — МРТ или КТ — лучшим для диагностики патологий органов грудной клетки, нельзя. Они имеют принципиальные отличия и используются для обследования разных по структуре тканей и органов.
МРТ идеально определяет отклонения мягких тканей и находящихся в грудной клетке органов. Наиболее информативен этот метод для выявления опухолей, особенно злокачественных, нарушений гемодинамики. Преимуществами метода врачи называют:
- отсутствие лучевой нагрузки, благодаря чему метод можно использовать несколько раз подряд, например, для отслеживания динамики после курса лечения и операции;
- высокая четкость картинки;
- возможность дифференцировать доброкачественные и злокачественные опухоли.
В список недостатков МРТ при обследовании грудной клетки входят неэффективность метода при диагностике патологий костных тканей (ребер и позвоночника), а также легких — на снимках не видны признаки пневмонии, переломы и трещины костей. При подозрении на наличие аномалий в этих структурах лучше делать компьютерную томографию.
Диагностика рака легких ПЭТ-КТ
Рак легкого является ведущей причиной смерти от рака во всем мире и обусловливает 1,59 миллионов смертей в год. Несмотря на прогресс, достигнутый в лечении пациентов, страдающих этой болезнью, пятилетняя выживаемость все еще остается невысокой, составляя приблизительно 15-16%. Основным фактором риска развития рака является табакокурение, повышающим вероятность его возникновения более чем в десять раз по сравнению с некурящими людьми. Другими состояниями, при которых повышен развития новообразования, являются идиопатический легочный фиброз и воздействие канцерогенов, например, асбеста.
Правильное определение стадии является крайне важным и необходимым моментом, позволяющим правильно спланировать лечение и оценить выживаемость. У больных раком легких является методом выбора при определении стадии опухоли, более эффективным, чем другие лучевые методы, такие как КТ или рентгенография. Благодаря возможности одновременной оценки анатомических и функциональных изменений, ПЭТ-КТ позволяет добиться большей точности по сравнению с ПЭТ и КТ в отдельности.
Этот метод диагностики позволяет более четко определить первичную опухоль, отличить опухолевую ткань от участков ателектаза и фиброзных изменений, расположенных рядом. Доказана высокая эффективность в оценке состояния лимфоузлов, а также обнаружения отдаленных метастазов. Также была подтверждена ценность этого метода как инструмента прогнозирования выживаемости путем оценки метаболизма в опухоли при первичном исследовании и в определении раннего (промежуточного) и завершающего ответа на химиотерапию. В последних литературных источниках этот метод был упомянут как рекомендуемый с экономической точки зрения.
Что такое ПЭТ-КТ?
Стадии рака легкого
В первичном обследовании пациента, страдающего раком легкого, должны принимать участие несколько специалистов: опытный рентгенолог, специалист по ядерной медицине (радионуклидным методам — сцинтиграфии и ПЭТ), рентгенохирург (специалист в области интервенционной радиологии), пульмонолог, торакальный хирург; необходимо также использовать точные и экономически эффективные методы диагностики. Существующие на данный момент руководства содержат рекомендации, что методы нужно выполнять любому пациенту, у которого имеется высокий риск рака, предпочтительно с выполнением гистологического исследования и взятием образцов ткани. Это позволяет не только установить точный гистологический вариант опухоли, но и правильно стадировать заболевание. Во многих случаях предпочтительнее выполнить биопсию подозрительных лимфоузлов средостения, а не первичной опухоли, что позволяет лучше оценить стадию (например, при биопсии лимофузла с выполнением ПЭТ ставится стадия T2N2, в то время как без ее использования - T2Nx). Кроме того, для опухолей, осложненных обструктивной пневмонией, и образований с выраженными некротическими изменениями, данные играют важную роль для определения области биопсии.

Опухоль левого легкого с частичным некрозом и деструкцией ребер. Визуализируются два метастаза в подключичных лимфоузлах и в мышцах (стрелки), которые на КТ не видны. Необходимо выполнить трансторакальную биопсию той части опухоли, которая расположена в периферических отделах, чтобы получить образец жизнеспособных тканей.
Варианты рака легкого
Остальные 10-15% случаев обусловлены мелкоклеточным раком, биологически более агрессивным, при котором стадирование, лечение и прогноз отличаются от таковых при немелкоклеточном раке. Этот тип рака очень тесно связан с курением. Выделяют две стадии заболевания: ограниченную, при которой опухоль располагается в половине грудной клетки на стороне поражения, в том числе в средостении и ипсилатеральной надключичной области; и распространенную, когда опухоль распространяется за пределы одной половины грудной клетки. Поскольку мелкоклеточный рак легочной ткани в корне отличается от немелкоклеточного, его диагностика при помощи будет обсуждаться в специально отведенной главе в конце этой статьи.
Визуализация первичной опухоли: Т-стадия
С помощью КТ можно достоверно оценить размер опухоли практически во всех случаях. Тем не менее, при наличии обусловленных опухолью осложнений, например, ателектаза легкого или обструктивной пневмонии, истинный размер первичной опухоли оценить сложнее. Позволяет отличить паренхиму спавшегося участка легочной ткани от злокачественной опухоли, т. к. опухоль характеризуется интенсивным захватом ФДГ, а спавшееся легкое — нет. Также он помогает оценить опухолевую инвазию (прорастание) в плевру и средостение. Накопление плеврой ФДГ всегда является патологическим, и при наличии новообразования органов дыхания крайне подозрительно на метастатическое поражение. При прорастании опухоли в средостение необходимо выполнять КТ с внутривенным введением йодсодержащего контрастного вещества с целью определения взаимоотношения опухоли, крупных кровеносных сосудов и перикарда.
Интенсивный захват ФДГ первичной опухолью обусловлен ее биологическим типом и степенью «агрессивности» опухолевых клеток; повышенный захват ФДГ может становиться прогностическим фактором рецидива. В исследовании Kim et al. была продемонстрирована группа пациентов, подвергшихся оперативному вмешательству по поводу новообразований легких, у которых при патологическом исследовании была установлена стадия N0. У пациентов, у которых возник рецидив опухоли, максимальный стандартизированный уровень накопления (SUV max) первичной опухолью легкого был выше, чем у пациентов, у которых рецидива не было. Пороговое значение SUV max, отделяющее пациентов с высоким уровнем рецидива, было определено равным 6,9. Было также сделано заключение, что для пациентов высокой группы риска по развитию рецидива предпочтительна изначально более «агрессивная» терапия. Таким образом, помогает точно спрогнозировать, как будет вести себя опухоль после лечения.
ПЭТ-КТ лимфоузлов: N-стадия
С помощью ПЭТ можно обнаружить метастатическое поражение лимфоузлов корней легких и средостения лучше, чем с помощью любого другого метода, так как метаболически активные лимфоузлы при ПЭТ-КТ, даже малого размера, характеризуются повышенным захватом ФДГ. Это справедливо и для тех случаев, когда морфологические признаки злокачественного поражения узлов могут не обнаруживаться на КТ-изображениях. Также метод позволяет оценить увеличенные лимфоузлы, не накапливающие или минимально накапливающие радиофармпрепарат, которые часто носят реактивный характер или отражают остаточные изменения в отсутствие опухолевого поражения. При определении стадии N чувствительность составляет 81% против 61% у КТ, и специфичность 90%, в то время как КТ характеризуется специфичностью 79%.
Наибольшее преимущество в оценке средостения — это возможность исключить злокачественное поражение любого лимфоузла с высокой степенью точности. То есть, отсутствие интенсивного захвата ФДГ лимфоузлом достоверно говорит об истинном отсутствии метастазов (прогностическое значение отрицательного результата равно 99%). В то же время не все лимфоузлы средостения, характеризующиеся повышенным метаболизмом, обязательно являются злокачественными; ложноположительный результат может быть обусловлен воспалительными изменениями. Это объясняет, почему изменения со стороны средостения должны оцениваться количественно с использованием SUV (стандартизированного уровня накопления). Пороговое значение SUV max в пределах 4,0-5,3 позволяет рассматривать изменения со стороны лимфоузлов средостения как положительные (то есть, метастатическое поражение есть).
Лучшее картирование лимфоузлов средостения позволяет избежать медиастиноскопии, ограничившись трансбронхиальной игольной аспирацией под контролем УЗИ, особенно в труднодоступных областях, таких как аортопульмональное окно или область, находящаяся позади бифуркации трахеи.
Особенное значение в стадировании поражения лимфатических узлов имеет на ранних стадиях заболевания (I и II), что позволяет избежать ненужной торакотомии.
Оценка метастазов: M-стадия
У 40-50% пациентов, страдающих раком органов дыхания, в момент установления диагноза присутствуют метастазы. Наличие отдаленных метастазов в корне меняет план лечения этих пациентов, делая оперативное вмешательство намного более сложным, что приводит к гораздо более неблагоприятному прогнозу. ПЭТ-КТ имеет неоспоримые преимущества в диагностике метастазов по сравнению с традиционными методами исследования, особенно в случаях одновременного метастатического поражения множества органов, часто без какой-то определенной локализации вследствие диссеминации процесса. Повышенное накопление ФДГ в метастазах рака легкого и возможность исследования всего тела делают методом выбора при выявлении метастазов (вне головного мозга). Также метод позволяет выявить отдаленные метастазы, о которых до проведения исследования ничего не было известно, вплоть до 30% всех случаев.
Самые частые вторичные изменения при раке легкого - метастазы в кости, которые имеют место у 8-27% пациентов на момент установления диагноза. Вторичные изменения костей лучше обнаруживаются при помощи ПЭТ, чем при использовании других методов диагностики. Так, больше чем в половине случаев костных метастазов поражается только костный мозг и не происходит существенного нарушения костной структуры, из-за чего при помощи рентгенографии и КТ их не удается обнаружить, и даже сцинтиграфия скелета с использованием метилендифосфоната Tc-99m оказывается малоспецифичной при обнаружении этого типа поражений. Метастазы в кости могут иметь исключительно литический характер и интенсивно накапливать ФДГ, но в то же время гиперфиксация препарата в очагах поражения может и не определяться.

Типы метастазов в кости при раке легкого. (a) Остеобластический. (b) Остеолитический. (c) Смешанный. (d) Поражение костного мозга.
У пациентов, страдающих раком легкого, часто возникают метастазы в органы брюшной полости. Чаще всего поражаются печень и надпочечники. Поскольку также могут встречаться доброкачественные изменения печени и надпочечников, необходимо использовать диагностические методы, позволяющие распознать их и отличить от метастазов. В случаях изменений со стороны надпочечников, умеренное или выраженное накопление ФДГ обладает высокой прогностической ценностью положительного результата для метастазов. Чувствительность и специфичность ПЭТ с использованием SUV (стандартизированного уровня накопления) в целом в популяции составляет 87% и 87%, в то время как у пациентов с раком легкого 94% и 82% соответственно. Лучшим пороговым значением SUV max, позволяющим дифференцировать злокачественные и доброкачественные поражения, по-видимому, является 2,5.
В случаях метастазов в печень, практически все доброкачественные поражения (кисты, гемангиомы, фокальная нодулярная гиперплазия) характеризуются меньшим или идентичным по сравнению с паренхимой печени уровнем накопления ФДГ. Любой узел, любые объемные образования, накапливающие ФДГ интенсивнее, чем нормальная паренхима печени, крайне подозрительны на злокачественные изменения.
Метастазы в печени при аденокарциноме правого легкого. Определяется один метастаз в печени, который не виден на КТ с контрастным усилением.
Для обнаружения метастазов в надпочечники, почки и кости, в случаях, когда невозможно проведение, приемлемой альтернативой является МРТ всего тела с выполнением программы DWI. Позволяет оценить метастазы в областях, изменения в которых не стадируются при традиционных методах диагностики, например, в коже, скелетных мышцах, мягких тканях, поджелудочной железе, почках.
Второе мнение по ПЭТ-КТ
Необходимым условием достоверного определения стадии злокачественного новообразования является правильная оценка результатов ПЭТ-исследования. При неоднозначных или противоречивых результатах рекомендуется получить второе мнение специализированного радиолога. Повторный экспертный анализ исследования в профильном центре позволяет избежать ошибки интерпретации снимков, сделать более обоснованные выводы о стадии процесса, наличии или отсутствии метастазов, вторичных очагов в лимфатических узлов. Это исключительно важно и планировании тактики операции, химио- и лучевого лечения.
Стадирование метастазов в головной мозг
Даже несмотря на то, что вторичные изменения головного мозга не так часто встречаются у пациентов с раковыми опухолями легких, они имеют большое значение, поскольку их наличие приводит к высокому уровню заболеваемости и смертности, чего в некоторых случаях можно избежать или минимизировать путем подбора соответствующего лечения. Поскольку головной мозг характеризуется высоким базовым метаболизмом глюкозы, вторичные очаги в нем могут быть замаскированы, а чувствительность ПЭТ-исследования в обнаружении метастазов - ограничена. В связи с этим, в соответствии с существующими на данный момент протоколами рекомендуется дополнительное использование МРТ. В случаях, когда провести МРТ невозможно, можно сделать КТ с внутривенным контрастным усилением. Это дает схожие результаты с МРТ головного мозга.
Одновременное присутствие легочной и внелегочной опухоли
У 1-8% пациентов, страдающих раком легкого, на момент установления диагноза обнаруживается рак иной локализации. Большинство этих новообразований также тесно связаны с табакокурением. И, действительно, у 6,5% хронических курильщиков, которым была выставлена та или иная стадия рака любого типа, на момент установления диагноза обнаруживался одновременно существующий рак других органов и систем.
В случаях множественного рака используемые диагностические критерии являются следующими:
- Оба очага гистологически различны.
- Гистологический тип один и тот же, но нет поражения лимфоузлов и экстраторакальных метастазов.
На основании этих критериев, частота синхронного множественного рака легкого, описанная в литературе, составляет 0,5-3,3%. Наиболее часто одновременно существующие раковые опухоли, обнаруживаемые у пациентов, страдающих раком легкого, располагается в молочных железах, в голове и шее, пищеводе и щитовидной железе. Более чем 80% этих синхронных поражений обнаруживаются на ранней стадии, что предполагает возможность лечения, устраняющего причину заболевания. Тем не менее, возможность лечения в значительной степени зависит от того, насколько далеко зашла раковая опухоль на момент установления диагноза.
ПЭТ-КТ: планирование лучевой терапии
Возможность ПЭТ различить метаболически активную ткань опухоли от ателектаза, обструктивной пневмонии или фиброзных изменений имеет решающее значение в определении объема опухоли. Это очень полезно при планировании лучевой терапии, так как позволяет скорректировать форму и размер облучаемого объема тканей и уменьшить степень облучения непораженных опухолью органов (например, пищевода, сердца, спинного мозга), находящихся вблизи опухоли. Кроме того, использование ПЭТ значительно изменяет поле облучения по сравнению с КТ. Так, использование ПЭТ в дополнение к традиционным методам диагностики приводило к изменению объема облучаемых тканей более чем у 20% пациентов, и изменение стадии происходило в 20-50% случаев. В различных источниках описывается, что изменения планируемого целевого объема достигают 50% у пациентов с немелкоклеточным раком.
Контроль лечения и прогноз рака легкого
Наиболее важный прогностический фактор опухоли, подвергаемой хирургическому лечению — это степень ее диссеминации на время установления диагноза. В случает отсутствия метастазов пятилетняя выживаемость равна 57-67%; в случае вторичного поражения лимфоузлов ворот легкого — 47% , при поражении лимфоузлов средостения на стороне, противоположной опухоли — 23%. Обнаружение отдаленных метастазов является одним из основных критериев невозможности удаления опухоли хирургическим путем. Ввиду важности изложенных фактов особое значение принимает второе мнение по ПЭТ.
Рак груди (молочной железы) — лечение и диагностика

Позитронно-эмиссионная томография (ПЭТ) в последнее время становится все более популярным методом исследования, используемым для обнаружения, стадирования и контроля различных злокачественных опухолей. Метод основан на регистрации гамма-излучения, испускаемого радиоактивными элементами (радионуклидами), которые вводятся в организм человека в составе специальных меченых веществ — радиофармпрепаратов (РФП). При совмещении ПЭТ-сканера с компьютерным томографом (КТ) говорят о комбинированной позитронно-эмиссионной и компьютерной томографии (ПЭТ-КТ).
Комбинация ПЭТ и КТ позволяет совместить «функциональные» (ПЭТ) и «анатомические» (КТ) томограммы, что дает преимущества перед использованием только КТ, ведь анатомические срезы дополняются информацией, отражающей функциональные изменения. Так, при сравнении изменений, обнаруженных при ПЭТ-КТ (в исследовании приняло участие 58 пациенток) с данными, полученными только на основании КТ, комбинированная ПЭТ-КТ показала лучшие результаты в выявлении маленьких опухолей и множественных метастазов; а также в обнаружении лимфоузлов, пораженных опухолью, и в оценке ответа на химиотерапию по поводу рака молочной железы.
В чем разница КТ и ПЭТ-КТ при раке груди
Ранняя диагностика рака молочной железы
Рак молочной железы является самой распространенным новообразованием у женщин во всем мире и ведущей причиной женской смертности в результате рака. Во всем мире каждый год насчитывается примерно 1,38 миллионов вновь возникших случаев заболевания, а также 458 тысяч летальных исходов в течение года, обусловленных этой болезнью. Многие факторы риска хорошо известны. Тем не менее, точные причины возникновения рака молочной железы не определены. Например, наличие заболевания у родственников и предков является хорошо известным фактором риска: при нем вероятность развития рака возрастает в два или три раза. Также предполагается, что мутации в гене BRCA (1 и 2) и мутации белка p53 в значительной степени повышают риск развития опухоли. Ранняя диагностика является основополагающим способом контроля, так как определяет способ лечения, а также прогноз и шансы пациентки на выживание.
Как обнаружить рак груди
К методам диагностики, основанным на обнаружении анатомических изменений, относятся маммография, ультразвуковое исследование (УЗИ), компьютерная (КТ) и магнитно-резонансная томография (МРТ). Они широко используются в клинической практике для выявления первичной опухоли и определения стадии рака молочной железы. Эти методы диагностики постоянно улучшаются, кроме того, в практику также внедряются новые способы исследования молочных желез: оптическая маммография, однофотонная эмиссионная томография (ОФЭКТ) и позитронно-эмиссионная томография (ПЭТ), которые позволяют перенести информацию относительно анатомических изменений, функции, метаболизма с макроскопического на молекулярный уровень.
Радионуклидные методы исследования, включающие в себя ОФЭКТ и ПЭТ, позволяют оценить in vivo клеточные, молекулярные и биохимические особенности новообразований и нормальных тканей. В то время как в «анатомических» методах диагностики происходит упор на повышение пространственного разрешения и качества изображения, цель использования радионуклидных методов является более специфической - увеличение контраста между опухолью и нормальными тканями.
В сочетании с традиционными методами лучевой диагностики, радионуклидные методы исследования, позволяющие визуализировать биологические процессы, позволили сделать шаг вперед в обнаружении рака. И теперь новыми целями использования радионуклидных методов является разделение различных биохимических изменений в тканях.
Оценка первичной опухоли
Возможность обнаружения рака молочной железы посредством ПЭТ зависит от размера и тканевого строения опухоли. Сообщается, что чувствительность ПЭТ составляет 68% для малых опухолей (меньше 2 см), и 92% для опухолей большего размера (2-5 см), однако, общая точность при выявлении рака in situ является низкой (чувствительность составляет 2-25%). Таким образом, главным фактором, ограничивающим использование ПЭТ при визуализации молочной железы, является низкий уровень обнаружения маленьких опухолей и неинвазивного рака.

Протоковый рак in situ у 49-летней женщины. А: на УЗИ определяется гипоэхогенное объемное образование размером 2,5 см с нечеткими краями, расположенное в верхних отделах левой молочной железы (отмечено стрелками). В: на ПЭТ-КТ скане не выявлено признаков повышенного захвата ФДГ в левой молочной железе. При оперативном вмешательстве подтвердился неинвазивный протоковый рак.
Тем не менее, метод играет важную роль для некоторых групп пациенток, например, с плотными молочными железами либо с наличием имплантов. Позитронно-эмиссионная томография используется для определения множественности опухолевого поражения; для выявления локализации первичной опухоли у пациенток с метастазами, когда маммография неинформативна; а также у тех пациенток, которым противопоказана биопсия. ПЭТ-КТ имеет потенциальные преимущества перед изолированной ПЭТ при оценке поражений малого размера, в которых может быть выявлен пониженный захват ФДГ вследствие эффекта частичного объема при ПЭТ, так как гиперметаболизм глюкозы может быть характерен и для патологических, и для нормальных анатомических структур.

Инвазивный рак молочной железы у 57-летней женщины. А: на скрининговой рентгенограмме левой молочной железы в косой медиолатеральной проекции определяется объемное образование со спикулообразными краями, размером около 1,1 см (отмечено стрелкой). В: при ПЭТ обнаружен очаг слабо выраженного гиперметаболизма ФДГ (стандартизированный уровень накопления = 1,2) в левой молочной железе. Очаг поражения сложно обнаружить в результате эффекта частичного объема. С: на ПЭТ-КТ определяется очаг гиперметаболизма ФДГ на ограниченном участке (отмечен стрелкой) в левой молочной железе.
Оценка вторичного поражения лимфатических узлов
Вторая задача метода — это обнаружение метастазов рака молочной железы в лимфатических узлах. Метастатическое поражение подмышечных лимфоузлов является важным фактором, определяющим прогноз. У пациенток, страдающих раком молочной железы, при вторичном поражении четырех и большего количества лимфоузлов подмышечной группы, имеется значительно более высокий риск рецидива. Сообщается о чувствительности ПЭТ при визуализации подмышечных лимфоузлов у пациенток с раком молочной железы в пределах 79-94%, и специфичности 86-92%. При ПЭТ-КТ можно точно определить местоположение и отличить друг от друга лимфатические узлы, вторично пораженные опухолью, и реактивно измененные (незлокачественные) лимфоузлы, в то время как на КТ будут обнаруживаться лишь множественные увеличенные лимфоузлы подмышечной группы без четких дифференциальных признаков.

Метастазы в подмышечные лимфатические узлы у 45-летней женщины с инвазивным протоковым раком молочной железы. А: на ПЭТ визуализируется очаг гиперметаболизма ФДГ в правой железе (черная стрелка) и в подмышечной области (белая стрелка). В: на КТ определяются два увеличенных подмышечных лимфоузла справа (отмечены стрелками). С: ПЭТ-КТ позволяет определить точную локализацию лимфоузлов, вторично пораженных опухолью (белая стрелка, стандартизированный уровень накопления РФП = 9,9), визуализируется также реактивно измененный лимфоузел (черная стрелка). Среди 21 лимфоуза, удаленного во время операции, метастазы были выявлены только в одном.
Метастазы рака молочной железы во внутригрудные или медиастинальные лимфоузлы часто клинически ничем себя не проявляют. Количество обнаруживаемых патологических изменений со стороны внутригрудных или медиастинальных узлов (у пациенток с метастатическим либо рецидивным раком молочной железы) при ПЭТ почти в два раза больше по сравнению с традиционной КТ. Кроме того, ПЭТ-КТ выглядит более применимой по сравнению с КТ для оценки внутригрудных лимфатических узлов и лимфоузлов средостения, поскольку возможности КТ в обнаружении метастазов в лимфоузлы малого размера довольно ограничены.

Метастазы в лимфоузлы средостения у женщины, 10 месяцев назад перенесшей модифицированную радикальную левостороннюю мастэктомию. А: на ПЭТ определяются множественные участки гиперметаболизма РФП в верхних отделах грудной клетки слева. В: на КТ визуализируется небольшой участок мягкотканной плотности в переднем средостении (отмечен стрелкой). В: на ПЭТ-КТ обнаружено, что мяготканный участок в переднем средостении, выявленный при КТ, соотносится с зоной гиперметаболизма ФДГ, что позволяет предположить метастазы во внутригрудные лимфатические узлы.
Оценка отдаленных метастазов
Рак молочной железы часто дает отдаленные метастазы в легкие, печень и кости. Преимуществом ПЭТ всего тела перед традиционными методами диагностики, такими как рентгенография органов грудной клетки, сцинтиграфия скелета и УЗИ органов брюшной полости, является возможность обнаружения отдаленных метастазов в различных областях тела и органах во время одного исследования. Было обнаружено (Moon et al.), что ПЭТ всего тела обладает высокой диагностической точностью в отношении пациенток, у которых имеется подозрение на рецидив рака или на метастатическое поражение. На основании количества обнаруженных очагов чувствительность метода в обнаружении отдаленных метастазов составила 85%, а специфичность 79%.

Множественные отдаленные метастазы у 44-летней пациентки, страдающей раком обеих желез. А: на ПЭТ определяются множественные зоны гиперметаболизма ФДГ в грудной клетке и брюшной полости. B, C: на ПЭТ обнаружены также зоны гиперметаболизма ФДГ в обеих молочных железах (отмечены белыми стрелками на томограмме B), в лимфоузлах средостения (отмечены черными стрелками на томограмме B), и во внутренних органах (отмечены стрелками на томограмме C).
В исследовании (Cook et al.) было обнаружено, что ПЭТ превосходит сцинтиграфию скелета при выявлении остеолитических метастазов рака молочной железы. И, наоборот, остеобластические метастазы характеризуются низкой метаболической активностью и часто не обнаруживаются посредством ПЭТ. Однако ПЭТ-КТ позволяет преодолеть это ограничение: остеобластические метастазы, даже если они не видны на ПЭТ, будут визуализироваться на КТ-сканах.

Метастазы в кости у 64-летней женщины, которой была выполнена правосторонняя модифицированная радикальная мастэктомия 36 месяцев назад. A: при сцинтиграфии скелета обнаруживаются очаги гиперфиксации ФДГ в первом ребре справа и седьмом ребре слева (стрелки), которые, скорее всего, связаны с метастатическим поражением ребер. B: на ПЭТ-КТ не определяется гиперметаболизма ФДГ в седьмом ребре слева (стрелка). C: на КТ определяется остеобластическое поражение седьмого ребра слева (стрелка).
Лечение рака молочной железы
Для лечения пациенток, у которых опухоль имеет большой размер, либо наблюдается ее локальное распространение, используется неоадъювантная химиотерапия с целью уменьшения стадии первичной опухоли перед оперативным вмешательством и устранения метастазов. Кроме того, в нескольких исследованиях было продемонстрировано, что выживаемость пациенток с резистентными опухолями может увеличиваться при использовании альтернативной химиотерапии и (или) при удлинении курсов химиотерапии. Так как химиотерапия имеет побочные эффекты, необходимо как можно скорее выделить пациенток, которые не получают эффекта от применяемого лечения.
В настоящее время лучевые методы диагностики часто используются для определения ответа на терапию путем оценки изменений размеров опухоли. Тем не менее, последовательные измерения размера опухоли во многих случаях не позволяют сделать вывод о наличии раннего ответа. Эффективность ПЭТ при оценке ответа на терапию была подтверждена для различных типов новообразований. В исследовании (Smith et al.) было показано, что средняя редукция захвата ФДГ после первого курса химиотерапии была в большей степени выражена в очагах, для которых макроскопически был обнаружен частичный или полный ответ, или полный ответ при микроскопическом исследовании, по сравнению с резистентными поражениями при гистопатологическом исследованиях. По данным (Rose et al.) после единственного курса химиотерапии при помощи позитронно-эмиссионной томографии было возможно спрогнозировать полный ответ на терапию при патогистологическом исследовании, чувствительность при этом составляла 90%, а специфичность 74%. Если принять степень снижения захвата ФДГ меньше 55% от первоначального значения за пороговое значение, свидетельствующее о наличии реакции на лечение, изменения на ПЭТ у всех респондентов в данном исследовании были корректны и подтвердились патогистологически (100% чувствительность и 85% специфичность).

Изображения иллюстрируют контроль химиотерапии у 35-летней пациентки, страдающей раком молочной железы с метастазами в кости. A-C: на ПЭТ, выполненной изначально (A, B) и ПЭТ-КТ (C) определяется в значительной степени выраженный гиперметаболизм ФДГ в обоих молочных железах и во многих позвонках. D-F: на контрольной ПЭТ (D, E) и ПЭТ-КТ (F), выполненных спустя три курса химиотерапии, определяется существенное снижение гиперметаболизма ФДГ в обоих молочных железах и позвонках.
ПЭТ-КТ также играет роль для лучевой терапии, т. к. позволяет точно оценить распространенность опухоли.
Контроль рецидива опухоли
Раннее распознавание рецидива опухоли является важным моментом, улучшающим выживаемость, поскольку подталкивает клиницистов к использованию различных способов лечения. Однако отличить истинный рецидив от постоперационных и лучевых изменений сложно при использовании лишь традиционных методов лучевой диагностики. При ограниченном, регионарном рецидиве преимущественно поражается молочная железа, кожа, подмышечные и надключичные лимфоузлы, а также грудная стенка.
Было обнаружено, что чувствительность и специфичность ПЭТ при обнаружении рецидива составляет 84% и 78% соответственно, в то время как чувствительность и специфичность традиционных методов исследования 63% и 61% соответственно. Предполагается, что ПЭТ является более эффективным методом оценки рецидива рака молочной железы по сравнению с традиционными методами визуализации в плане обнаружения изменений всего тела. Данные КТ, полученные при ПЭТ-КТ, позволяют установить соответствие анатомических структур и очагов гиперметаболизма ФДГ.

Локальный рецидив опухоли у 74-летней женщины, которой была выполнена модифицированная правосторонняя радикальная мастэктомия 8 лет назад. А: на УЗИ выявлено объемное образование овоидной формы, 1,4 см, с усиленным кровотоком, расположенный в правой грудной мышце в зоне мастэктомии. B, C: на ПЭТ определяется ограниченный очаг гиперметаболизма ФДГ (стандартизированный уровень накопления = 3,3) (стрелки) в правой половине грудной клетки. D: на ПЭТ-КТ определяется очаг гиперметаболизма ФДГ (стрелка) в правой грудной мышце, в то время как при использовании только ПЭТ определение точной локализации очага является затруднительным.
Расшифровка ПЭТ-КТ при раке молочной железы
В ряде случаев для повышения достоверности оценки результатов ПЭТ-КТ рекомендуется получить второе мнение специализированного радиолога. Это бывает необходимо при сомнительных или неоднозначных результатах первичного прочтения снимков. Второе мнение по ПЭТ-КТ помогает решить следующие задачи: снижение риска врачебной ошибки, более достоверная оценка первичной опухоли, уточнение стадии заболевания, достоверное исключение признаков метастатического поражения костей, печени или легких. Кроме того, в результате такой консультации онколог получает более подробное описание исследования, что помогает ему выбрать наиболее подходящий протокол лечения.
Заключение
ПЭТ/КТ играет важную роль в диагностике рака молочной железы, которая заключается в обнаружении и определении местоположения метастазов, контроле лечения и раннем выявлении рецидивов. Тем не менее, ограничивающим фактором ПЭТ/КТ в выявлении рака молочной железы является недостаточная способность обнаруживать опухоли малого размера.
Читайте также:
