Диагностика фиброматоза и десмоида грудной клетки по КТ, МРТ
Добавил пользователь Владимир З. Обновлено: 28.01.2026
Когда заживление протекает неправильно, могут возникать рубцовые изменения, приводящие к тому, что орган не может функционировать в полном объеме.
Соответственно, фиброз легких представляет собой рубцовые изменения ткани легких. Количество клеток, способных насыщать кровь кислородом, уменьшается. Следовательно, снижается дыхательная эффективность — развивается дыхательная недостаточность, приводящая к интоксикации, сначала при нагрузке, при усугублении течения заболевания — в покое, а далее — даже во сне. Рубцовая ткань в легких не только обладает пониженными функциональными свойствами, но и служит прекрасной средой для развития присоединенных инфекций, например, таких как бактериальная (пневмококковая или стафилококковая) пневмония.
Фиброз легких — это исход воспаления тканей во время интерстициального (то есть с поражением межклеточной соединительной ткани) заболевания легких. К причинам развития подобного заболевания могут относиться травмы легких, высокая загрязненность окружающей среды, курение, вдыхание наркотических веществ, плесени, органической, асбестовой, кварцевой и угольной пыли, инфекционные, аутоиммунные, вирусные заболевания и их осложнения — бронхит, туберкулез, пневмония, COVID-19 и многое другое.
Еще недавно синонимом самих интерстициальных заболеваний был пневмофиброз, но, к счастью, было установлено, что не все варианты таких заболеваний легких являются фиброзирующими.
Самый сложный и практически не поддающийся лечению — первичный, или идиопатический фиброз легких — быстро прогрессирующее фиброзирующее заболевание легких, причина которого неизвестна.
Симптомы фиброза легких
Легочный фиброз характеризуется симптомами одышки и сухого кашля (редко продуктивного — с мокротой) при физической нагрузке, непрекращающейся болью в области грудной клетки, быстрой утомляемостью на фоне затрудненного дыхания, похудением без изменения диеты. При аускультации легких (выслушивании с помощью фонендоскопа) выявляются ранние (в фазе вдоха) инспираторные, то есть дыхательные хрипы, чаще всего локализующиеся в нижних задних зонах легких.
Фиброз может развиваться как в одном легком, так и в двух одновременно. Также возможны очаговая и тотальная формы фиброза. При тотальной форме зачастую требуется оперативное вмешательство, так как поражена большая часть легких. При очаговой форме изменения носят локальный характер.
КТ-диагностика фиброза легких
Золотой стандарт диагностики фиброза легких — компьютерная томография высокого разрешения. КТ-диагностика легочного фиброза позволяет достоверно выявить степень поражения легких, определить локализацию рубцовой ткани. Этот метод диагностики признан одним из самых чувствительных неинвазивных методов выявления легочного фиброза. Так, проведенные сравнительные исследования уже в 1990 году показали, что фиброз легких с помощью компьютерной томографии в режиме высокого разрешения (КТВР) был обнаружен в 91% случаев и только в 39% — с использованием рентгенографии органов грудной клетки.
При наличии фиброза легких в серьезной стадии на КТ виден паттерн (термин, принятый для обозначения патологических признаков в медицине) так называемого «сотового» легкого — это состояние видно на сканах как однотипные, расположенные в несколько рядов кисты, содержащие воздух, в пораженных частях одного или обоих легких. На ранних стадиях легочного фиброза подобная картина не наблюдается, поэтому потребовался поиск признаков на КТ, позволяющих выявить болезнь в ее начале. Одним из таких признаков оказалось наличие на снимках картины «матового стекла» — очагов незначительного уплотнения легочной ткани. Также специфические признаки фиброза у пациента можно обнаружить при проведении КТ легких с функциональными пробами. Так, один из признаков — субплевральное усиление периферического легочного интерстиция — ранее считался признаком отсутствия патологии. Подобные изменения практически невозможно отследить при помощи других методов аппаратной диагностики.
На данный момент точность методов КТ-диагностики растет благодаря введению новых протоколов исследований и тщательного изучения результатов многочисленных исследований. При этом ведущая роль в диагностическом процессе отводится врачу-рентгенологу, который трактует видимые изменения как легочный фиброз или его отсутствие. Поиск ранних лучевых признаков фиброзирующей болезни легких — ключевой момент для своевременного назначения противофибротической терапии.
Также именно мультисрезовая КТ при поставленном диагнозе используется для оценки скорости прогрессирования заболевания, выявления благоприятного и неблагоприятного типов фиброзных изменений, успеха лечения и правильности подбора терапевтический препаратов.
Десмоидные фибромы
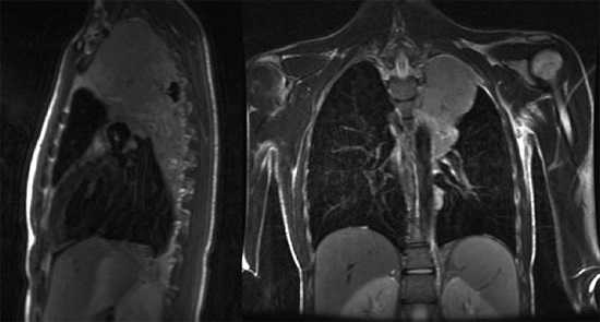
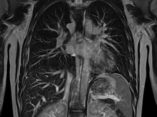
Десмоидные фибромы - это опухоли мезинхимальной природы, которые относятся к классу пограничных опухолей, так как не метастазируют, однако склонны к агрессивному местному росту и частому рецидивированию. Десмоидные фибромы (ДФ) могут развиваться из мышечно-апоневротических структур практически любой анатомической области тела, включая брюшную стенку, грудную стенку, конечности, шею, в ряде случаев наблюдается мультифокальный рост опухолей.
В зависимости от локализации выделяют:
- абдоминальные десмоидные фибромы (опухоли передней брюшной стенки)
- интраабдоминальные (опухоли забрюшинного пространства)
- экстраабдоминальные (опухоли туловища, конечностей)
- мультифокальные (множественные опухоли различных локализаций)
Причины возникновения десмоидных фибром
Как правило, пациенты обращаются к врачу по поводу безболезненного опухолевого образования, болевые ощущения и другие симптомы обычно связаны с вовлечением в опухолевый процесс близлежащих структур. Большинство пациентов с десмоидными фибромами экстраабдоминальной локализации связывают появление опухоли с предшествующей травмой. Десмоидные фибромы абдоминальной локализации зачастую развиваются у женщин после беременности или кесарева сечения. Интраабдоминальные десмоидные фибромы чаще всего сочетаются с полипозом толстой кишки (синдрома Гарднера).
Десмоидные фибромы-диагностика
- Морфологическая верификация опухоли при помощи выполнения трепан-биопсии или открытой биопсии.
- Магнитно-резонансная томография или компьютерная томография опухоли. Эти исследования позволяют адекватно оценить распространенность опухолевого процесса, прилежание опухоли к магистральным сосудисто-нервным структурам, степень вовлечения прилежащих анатомических структур и как следствие сделать вывод о возможности проведения хирургического лечения.
- Также всем пациентам с диагнозом десмоидная фиброма рекомендовано проведение колоноскопии для исключения полипоза толстой кишки.
Десмоидная фиброма-лечение
Группа специалистов (хирурги, радиологи, онкологи, морфологи) задействованы в лечении опухоли. После постановки диагноза десмоидная фиброма вариант лечения подбирается индивидуально для каждого пациента. К числу доступных вариантов лечения пациентов относятся динамическое наблюдение, хирургическое лечение, лучевая терапия и системная терапия (гормональные препараты, химиотерапия).
В зависимости от локализации опухоли возможны различные варианты хирургического лечения. Для достижения лучших онкологических и косметических результатов применяются различные виды пластики послеоперационного дефекта после удаления опухли.
При абдоминальных десмоидных фибромах пластика производится композитной сеткой. При экстраабдоминальной локализации опухоли в качестве пластического компонента могут быть использованы местные ткани, перемещенные или пересажанные лоскуты, а также различные виды модульных эндопротезов в случае вовлечения кости в опухолевый процесс. Помимо хирургического лечения в нашем Институте изучены и внедрены в практику эффективные схемы системного лекарственного лечения, а также лучевая терапия. Все описанные выше методы лечения могут применятся как отдельно, так и в комбинации для достижения наилучшего результата.
Десмоидная фиброма-прогноз заболевания
Так как десмоидные фибромы не относятся к злокачественным опухолям, прогноз заболевания благоприятный. Проведение радикальной операции позволяет снизить риск рецидива.
Филиалы и отделения, где лечат десмоидные фибромы
МНИОИ им. П.А. Герцена - филиал ФГБУ «НМИЦ радиологии» Минздрава России.
Отделение хирургического лечения центральной нервной и костно-мышечной систем
Врач-онколог ЯДРИНА Анна Викторовна
Десмоидная опухоль
Десмоидная опухоль - опухоль, развивающаяся из мышечно-апоневротических структур и занимающая промежуточное положение между доброкачественными и злокачественными новообразованиями. Склонна к прорастанию окружающих тканей, но не дает отдаленных метастазов. Может возникать на любом участке тела, чаще локализуется в области передней брюшной стенки, спины и плечевого пояса. Представляет собой плотное опухолевидное образование, расположенное в толще мышц или связанное с мышцами. При прогрессировании может прорастать сосуды, кости, суставы и внутренние органы. Диагноз выставляется на основании осмотра и данных дополнительных исследований. Лечение - оперативные вмешательства, лучевая терапия, химиотерапия.

Общие сведения
Десмоидная опухоль (десмоид, десмоидная фиброма, мышечно-апоневротический фиброматоз) - редкая соединительнотканная опухоль, развивающаяся из фасций, мышц, сухожилий и апоневрозов. Микроскопически лишена признаков злокачественности и никогда не дает отдаленных метастазов, при этом склонна к местному агрессивному росту и частому рецидивированию (нередко многократному), поэтому онкологи рассматривают десмоид как условно-доброкачественное новообразование. Составляет 0,03-0,16% от общего количества новообразований. В 64-84% случаев страдают женщины.
У представительниц слабого пола десмоидная опухоль обычно возникает на втором или третьем десятилетии жизни, в 94% случаев выявляется у рожавших пациенток, в 6% случаев - у нерожавших. У больных мужского пола десмоид чаще диагностируется в детском или подростковом возрасте. В постпубертатном периоде количество случаев заболевания у мужчин резко уменьшается. Обычно наблюдается медленное прогрессирование. Диагностику и лечение десмоидных опухолей осуществляют специалисты в области онкологии, дерматологии, хирургии, травматологии и ортопедии.
Причины и патанатомия десмоидной опухоли
Причины развития десмоидной опухоли пока остаются невыясненными. В качестве одного из самых вероятных факторов специалисты рассматривают травматические повреждения мышц, связок и апоневрозов (в том числе - в процессе родов у женщин). Кроме того, исследователи указывают на возможную связь десмоидной опухоли с уровнем половых гормонов и некоторыми генетическими нарушениями. По статистике, десмоид диагностируется у 20% пациентов, страдающих семейным аденоматозом - наследственным заболеванием, обусловленным генетической мутацией.
Десмоидная опухоль представляет собой плотный, как правило, одиночный узел, имеющий волокнистое строение. Цвет новообразования на разрезе серовато-желтый. При микроскопическом исследовании десмоидной опухоли видны пучки коллагеновых волокон, расположенные в разных направлениях и переплетающиеся между собой. Выявляются зрелые фиброциты и фибробласты. Митозы возникают очень редко. При исследовании визуально неизмененных окружающих тканей, иссеченных вместе с новообразованием, могут обнаруживаться микроскопические элементы опухоли.
Симптомы десмоидной опухоли
Десмоидная опухоль может развиваться в любой части тела, однако чаще всего располагается на передней поверхности брюшной стенки. К числу достаточно распространенных локализаций также относятся спина и область плечевого пояса. На грудной клетке, верхних и нижних конечностях десмоидные опухоли появляются редко, однако, такие новообразования имеют особое значение, поскольку часто располагаются близко к костям и суставам, интимно спаиваются с близлежащими образованиями или прорастают их, нарушая подвижность суставов, прочность и опорность костей.
Десмоидные опухоли на руках и ногах всегда локализуются на сгибательной поверхности конечности. В зависимости от особенностей поражения тканей различают четыре клинических типа экстраабдоминальных десмоидных опухолей: одиночный узел с поражением окружающей фасции, одиночный узел с поражением фасциальных влагалищ на протяжении, множественные узлы на различных участках тела и злокачественное перерождение десмоида - превращение новообразования в десмоид-саркому.
Наряду с экстраабдоминальными выделяют интраабдоминальные и экстрабрюшные десмоидные опухоли, которые могут располагаться в брыжейке тонкой кишки, в забрюшинном пространстве, области мошонки и мочевого пузыря. Подобные новообразования выявляются реже периферических десмоидов и десмоидов передней брюшной стенки. Десмоидные опухоли в области брыжейки нередко сочетаются с семейным аденоматозом. Симптомы заболевания зависят от локализации и размера новообразования, наличия или отсутствия прорастания близлежащих органов и тканей.
Для десмоидной опухоли характерен медленный рост и малосимптомное течение. При десмоидных опухолях большого размера может наблюдаться болезненность. При прорастании суставов возможны контрактуры, при прорастании костей - патологические переломы, при прорастании внутренних органов - нарушения функции этих органов. В ходе внешнего осмотра обнаруживается плотное малоподвижное новообразование округлой или овальной формы с гладкой поверхностью, располагающееся в толще мышц либо связанное с мышцами и связками.
Диагностика и лечение десмоидной опухоли
Диагноз выставляют на основании осмотра, данных инструментальных исследований и результатов биопсии. Пациентов с десмоидной опухолью направляют на УЗИ, КТ и МРТ. Наиболее информативным методом исследования, позволяющим установить границы опухоли и степень ее инвазии в окружающие ткани, является магнитно-резонансная томография. При необходимости назначают ангиографию сосудов и другие исследования. При прорастании сосудов, нервов, внутренних органов и костных структур может потребоваться консультация сосудистого хирурга, невролога, абдоминального хирурга, торакального хирурга, травматолога, ортопеда и других специалистов.
Из-за высокой вероятности рецидивирования десмоидных опухолей предпочтительным является комбинированное лечение, включающее в себя хирургические операции и лучевую терапию. В ряде случаев применяют химиотерапию и гормональную терапию. По различным данным, десмоидные опухоли рецидивируют в 70-90% случаев после оперативного лечения, использованного в качестве монометодики. Проведение комбинированной терапии позволяет существенно уменьшить частоту рецидивов.
Операция по возможности должна быть радикальной. При наличии одиночного узла его удаляют вместе с пораженной фасцией и окружающими мышцами. При распространении десмоидной опухоли по фасциальному влагалищу иссекают фасцию на протяжении. При прорастании костных структур осуществляют удаление кортикальной пластинки или резецируют костную ткань. При поражении внутренних органов, близком расположении сосудов и нервов тактику операции определяют индивидуально.
Иссечение большого массива тканей при крупных десмоидных опухолях ведет к образованию дефектов. При возможности такие дефекты устраняют сразу после удаления опухоли, осуществляя местную пластику, используя костные ауто- и гомотрансплантаты и т. д. В ряде случаев в отдаленном периоде проводят пластические операции. При поражении близлежащего сустава конечности может потребоваться эндопротезирование. При множественных десмоидных опухолях показано поэтапное хирургическое лечение с особо радикальным удалением окружающих тканей, поскольку такие новообразования проявляют повышенную склонность к рецидивированию.
Взрослым пациентам с десмоидной опухолью назначают предоперационную и послеоперационную лучевую терапию. Недостатком метода являются выраженные постлучевые изменения тканей. Трофические нарушения и крупные рубцы, возникающие после проведения лучевой терапии, могут усложнять повторное хирургическое лечение в случае рецидивирования. В процессе лечения больных детского возраста лучевую терапию не применяют из-за возможного преждевременного закрытия ростковых зон кости в области облучения. При десмоидных опухолях у детей осуществляют оперативные вмешательства на фоне предоперационной и послеоперационной медикаментозной терапии. Пациентам назначают низкие дозы цитостатиков и антиэстрогеновые препараты. Продолжительность медикаментозного лечения десмоидной опухоли может составлять до 2 и более лет.
Прогноз при комбинированном лечении, включающем в себя хирургическое вмешательство и лучевую терапию или хирургическое вмешательство и химио-гормональную терапию, относительно благоприятный. Рецидивы выявляются у 10-15% больных, обычно - в течение 3 лет после удаления десмоидной опухоли. Чаще всего рецидивируют десмоиды, расположенные в области стопы и голени. Отдаленные метастазы не образуются. Летальный исход возможен при прорастании жизненно важных органов, обычно - при расположении десмоидной опухоли в области головы, шеи, живота и грудной клетки.
Что показывает МРТ органов грудной клетки
В грудной клетке расположено множество жизненно важных органов, патологии которых сложно диагностировать классическими способами: они скрыты за костями грудины, ребрами, позвоночником, мягкими тканями. Информативным способом, который способен показать структуру, а также функциональность органов, расположенных здесь, врачи называют МРТ — магнитно-резонансную томографию с контрастом или без него. Метод идеально подходит для исследования находящихся внутри грудины органов, сосудов, желез, лимфоузлов, но наиболее эффективным его считают в диагностике опухолевых процессов.
Какие органы проверяют на МРТ грудной клетки?
Чтобы понять, что показывает МРТ грудной клетки, важно понимать суть метода. Он состоит в способности мощного магнитного поля провоцировать резонанс молекул водорода, который в больших количествах содержится в органах грудной клетки (сокращенно ОГК). Магнитно-резонансный томограф улавливает резонансные колебания и отображает их на теле-экране в виде серии монохромных снимков, представляющих собой срезы обследуемой области определенной толщины: чем мощнее МР-аппарат, тем «тоньше» срезы и точнее результаты. Также на основе полученных данных можно сделать трехмерную модель любой структуры, находящейся в полости груди.

Магнитно-ядерная томография не очень информативна при исследовании костных тканей. Плохо видны на снимках и легкие, в которых слишком много воздуха. В процессе дыхания они двигаются, что не позволяет получить четкие изображения легочных тканей. Чтобы повысить четкость картинки, врач может попросить пациента во время сканирования периодически задерживать дыхание на вдохе. Та же проблема наблюдается при попытке проверить сердечную мышцу — ее ритмичные сокращения мешают обследовать миокард на патологии. Однако временно остановить сердце невозможно, поэтому оно фактически является единственным органом в груди, который проверяют с помощью так называемой синхронизации с пульсом/ЭКГ.
В медицинской практике МРТ грудной клетки делают, чтобы визуализировать следующие органы:
- плевру и ее полость;
- среднюю и нижнюю часть трахеи;
- легкие;
- перикард и сердце;
- диафрагму;
- лимфатические сосуды и узлы средостения;
- вилочковую железу;
- межпозвоночные диски грудного отдела позвоночника;
- спинной мозг в области грудного отдела позвоночника.
При использовании контрастного вещества список диагностируемых органов и структур расширяется за счет крупных и мелких кровеносных сосудов. С помощью этого дополнения МР-сканирование показывает не только строение кровеносной сети, но также особенности ее функционирования и изменения в скорости и направлении кровотока. Благодаря тому, что контраст хорошо накапливается в патологических новообразованиях, контрастное МРТ обладает высокой информативностью в диагностике опухолей органов средостения, включая легкие и лимфатическую систему.
Когда назначают МРТ органов грудной клетки?
Показаниями к проведению МРТ ОГК является подозрение на возникновение в этой области патологических процессов: воспалений, дегенеративных и атрофических изменений, опухолей, нарушений кровоснабжения и очагов инфекций, травм и врожденных пороков развития. Чаще всего магнитно-ядерное сканирование является очередным этапом диагностики, когда проведенные ранее исследования (УЗИ, КТ или рентгенография) выявили аномалии, но не помогли врачу определить конкретное заболевание.
В число прямых показаний к проведению диагностики этим методом включены:
- состояния, указывающие на пороки клапанной системы сердца, атрофию или дистрофию миокарда, прочие врожденные или приобретенные кардиопатологии;
- явные гемодинамические нарушения, которые являются симптомом атеросклероза крупнейших артерий, аневризмы аорты и других сосудистых заболеваний;
- симптомы воспалительных и инфекционных процессов в дыхательной системе — хронический кашель, отхаркивание мокроты с кровью или гноем, затрудненное дыхание, одышка или приступы удушья;
- симптомы опухолевых процессов в грудной клетке — тупые хронические боли, затрудненное дыхание, сухой хронический кашель, резкая потеря веса и т. д.;
- признаки патологий спинного мозга в грудном отделе позвоночника — нарушение чувствительности и двигательной активности верхнего плечевого пояса, хронические головные боли, опоясывающие боли в области груди, нарушения дыхания, не связанные с заболеваниями легких;
- подозрение на заболевания лимфатической системы в области исследования.
В ряде случаев даже при наличии показаний МРТ груди из-за противопоказаний. К абсолютным относятся:
- наличие в организме несъемных металлических элементов — кардиостимулятора, инсулиновой помпы, стентов и клипс на сосудах;
- несъемные металлические зубные протезы из ферромагнитных сплавов;
- первая треть беременности;
- психические нарушения, при которых человек не может соблюдать неподвижность или находиться в замкнутом пространстве;
- вес обследуемого больше 120 кг.
В число относительных противопоказаний включены клаустрофобия, состояние сразу после получения травмы, когда больного беспокоит сильная боль, не дающая соблюдать спокойствие. Чтобы боль прошла, а пациент смог расслабиться и сохранять неподвижность, перед проведением процедуры ему вводят седацию или наркоз. Есть у метода и другие относительные противопоказания. Узнать, делают ли МРТ органов грудной клетки при имеющихся проблемах со здоровьем, можно у рентгенолога накануне исследования.
Подготовка к МРТ грудной полости
Стандартное обследование без контрастирования не требует специальной подготовки. Достаточно консультации с врачом, который будет проводить диагностику. Во время нее ему необходимо проверить, есть ли у пациента безусловные или относительные противопоказания к проведению сканирования. Женщинам дополнительно рекомендуется сделать незадолго до МРТ тест на беременность, чтобы убедиться в ее отсутствии. Пациентам с неуравновешенной психикой, страхом замкнутого пространства, повышенной тревожностью врач посоветует за 1-2 часа до МРТ принять успокоительное средство.

В отличие от описанного выше случая, подготовка к контрастной томографии выглядит не так просто. Так как вводимый препарат может спровоцировать тошноту, за несколько часов до диагностики пациентам рекомендуется воздержаться от еды и питья. Также следует проконсультироваться с рентгенологом относительно постоянно принимаемых лекарств: некоторые препараты могут быть несовместимыми с контрастирующими веществами.
Непосредственно перед процедурой специалист расскажет, как проходит МР-сканирование, сколько по времени оно занимает, что можно почувствовать во время работы томографа. Также он попросит снять сковывающую движения, имеющую металлическую фурнитуру одежду, аксессуары, украшения и пирсинг, оставить в раздевалке телефон, часы и другие устройства.
Как делают МРТ грудной клетки?
Если в процессе подготовки не выявлено противопоказаний, приступают к проведению МР-сканирования. Пациента укладывают на подвижный стол томографа и фиксируют его в нужном положении с помощью ремней и мягких валиков. При необходимости обследуемому вводят необходимое количество контраста (рассчитывается исходя из массы тела).
Медсестра подтверждает, что посмотрела и убедилась в отсутствии на теле пациента металлических предметов, после чего она с врачом покидает помещение с томографом. Общение с обследуемым с этого момента продолжается по громкой связи. Врач включает томограф, стол задвигается в кольцо аппарата и начинается сканирование.
Диагностика без контрастирования длится около получаса. При введении контраста МРТ грудной клетки продолжается на 15 минут дольше. В редких случаях врачу потребуется сделать повторное сканирование, если снимки получились смазанные, что удлинит время процедуры еще на 10-15 минут.
После окончания сканирования пациент может сразу встать, одеться и покинуть кабинет. Заключение и расшифровка МРТ патологий в области грудной клетки обычно занимают около часа. Получить их можно в электронном виде на флешке или в распечатанном виде. Получить их можно как на руки, так и по электронной почте.
Что лучше МРТ или КТ грудной клетки?
Однозначно назвать один из методов — МРТ или КТ — лучшим для диагностики патологий органов грудной клетки, нельзя. Они имеют принципиальные отличия и используются для обследования разных по структуре тканей и органов.
МРТ идеально определяет отклонения мягких тканей и находящихся в грудной клетке органов. Наиболее информативен этот метод для выявления опухолей, особенно злокачественных, нарушений гемодинамики. Преимуществами метода врачи называют:
- отсутствие лучевой нагрузки, благодаря чему метод можно использовать несколько раз подряд, например, для отслеживания динамики после курса лечения и операции;
- высокая четкость картинки;
- возможность дифференцировать доброкачественные и злокачественные опухоли.
В список недостатков МРТ при обследовании грудной клетки входят неэффективность метода при диагностике патологий костных тканей (ребер и позвоночника), а также легких — на снимках не видны признаки пневмонии, переломы и трещины костей. При подозрении на наличие аномалий в этих структурах лучше делать компьютерную томографию.
Выявление опухоли передней брюшной стенки (наблюдение из практики врача лучевой диагностики)

Содержит актуальную клиническую информацию по ультрасонографии и ориентирован на врачей ультразвуковой диагностики, выходит с 1996 года.
Введение
Десмоид - неэпителиальная опухоль, относится к новообразованиям мезенхимального и нейроэктодермального происхождения. Это самая многочисленная и разнообразная по гистологическому строению группа опухолей. В конце 40-х годов по предложению выдающегося американского онкопатолога Stout значительная часть этих новообразований, расположенных между эпидермисом и костной системой, выделена в группу под названием "опухоли мягких тканей". Спустя 20 лет этот термин был принят во всех странах и положен в основу международной классификации ВОЗ. В настоящее время насчитывается 115 отдельных форм опухолей и опухолевидных процессов. При диагностике и классификации неэпителиальных опухолей возникают значительные трудности, связанные с морфологическим сходством различных по происхождению новообразований как в группе доброкачественных, так и злокачественных форм.
Десмоид (десмоидная фиброма) - соединительнотканное образование, по гистологической картине напоминающее фиброму. Отличается инфильтративным ростом. Тканевой и клеточный атипизм выражены слабо. Встречается преимущественно у женщин после родов, в редких случаях - у мужчин и детей.
В зависимости от локализации различают абдоминальный (при локализации в толще передней брюшной стенки) и экстрабдоминальный десмоид. Экстрабдоминальный десмоид, или агрессивный фиброматоз, наблюдается часто в молодом возрасте у мужчин и женщин. Локализуется в зоне апоневрозов и фасций на конечностях, плечевом поясе, ягодицах. Отличается быстрым агрессивным инфильтративным ростом, часто рецидивирует, нередко озлокачествляется. Абдоминальный десмоид протекает относительно доброкачественно, не склонен к малигнизации.
Клиническое наблюдение
Больная З., 23 лет, направлена на УЗД по поводу образования в брюшной полости.
Из анамнеза: 3 недели назад появились боли в животе (ребенок 2-х лет прыгнул на живот). Спустя неделю пациентка самостоятельно обнаружила опухоль в передней брюшной стенке. Осмотрена хирургом, гинекологом, проведены УЗИ в разных учреждениях города, при которых подтвержден факт наличия опухоли в брюшной полости неясного генеза. Не удовлетворившись результатами обследования, хирург поликлиники направил больную на экспертное ультразвуковое исследование в диагностический центр.
При УЗД: органы малого таза и брюшной полости без особенности. Асцита нет. Лимфатические узлы не увеличены. В толще передней прямой мышцы живота справа лоцируется двухузловое гипоэхогенное образование размером 98x64 мм, обычной звукопроводимости, с неровными четкими краями, болезненное при надавливании датчиком. Первоначально образование было расценено как межмышечная посттравматическая гематома. Проведенные КТ и МРТ не уточнили диагноз.
По месту жительства проводилась физиотерапия - без эффекта. При контрольных УЗИ отмечен рост опухолевидного образования до 150x100 мм. Прежняя эхоструктра опухоли сохранена, заинтересованности соседних органов не выявлено. Через 3 мес от начала заболевания в Республиканском онкологическом диспансере проведена биопсия образования, выявившая фиброму - десмоид.
Больная направлена в Московский научно-исследовательский онкологический институт им. Герцена. При поступлении: образование 17x21 см, занимает все области передней брюшной стенки, состоит из 2 опухолевидных узлов.
Проведены 4 курса лечения Золадексом. Учитывая объем опухолевого образования и отсутствие тенденции к уменьшению, выполнена операция: резекция передней брюшной стенки с послойной реконструкцией. Поэтапно произведено удаление опухоли с резекцией мягких тканей передней брюшной стенки, прямых мышц живота, косых наружных и внутренних, всей париетальной брюшины передней стенки. При ревизии брюшной полости выявлено и удалено дополнительное опухолевое образование, фиксированное к париетальной брюшине и большому сальнику слева. Сформированный обширный сквозной тотальный дефект передней брюшной стенки закрыт трупной консервированной твердой мозговой оболочкой путем фиксирования к мышцам брюшной стенки.
Морфогистологическое заключение: фиброма-десмоид с инфильтрацией мышц и жировой клетчатки.
Послеоперационный период осложнился краевым некрозом кожи в области послеоперационного рубца, что потребовало выполнения некрэктомии с наложением вторичных швов. Лечение в послеоперационном периоде проводилось по месту жительства и под эхографическим контролем в диагностическом центре.
В течение последующих 3,5 лет больная находится под наблюдением, регулярно проводится контрольная ультразвуковая диагностика. Рецидивов не выявлено. Швы по передней брюшной стенке состоятельны.
Вывод
Несмотря на яркую клиническую картину, свойственную адбоминальному десмоиду, до выполнения биопсии образования больной не был поставлен верный диагноз ни клиницистами, ни врачами ультразвуковой диагностики, в том числе и нами.
Описанный случай - достаточно редкое наблюдение врача амбулаторной практики. В периодической литературе за последние годы мы нашли только одно клиническое описание экстрабдоминального десмоида у ребенка. Описание ультразвуковой картины данной опухоли мы не встретили ни в одном доступном нам руководстве по эхографии. Но именно такой опыт заставляет врача думать, анализировать ситуации и в повседневной практике уходить от выработанных стандартов, постоянно расширять свой клинический кругозор.
Журнал "SonoAce Ultrasound"
Читайте также:
- ЭКГ при АВ-блокаде третьей степени
- Синдром Тауссиг (Taussig)
- Техника операции при посттравматической кифотической деформации грудного отдела позвоночника
- Синдром Клода-Бернара-Горнера при медиастинальном раке. Кровь при раке легкого
- Пример двустороннего пневмоторакса. Клиника клапанного двустороннего пневмоторакса
