Диагностика глиоматоза головного мозга по КТ, МРТ
Добавил пользователь Евгений Кузнецов Обновлено: 01.01.2026
Диффузные глиомы Grade II - гетерогенная группа опухолей, возникающих обычно у молодых (вторая-четвертая декада жизни) пациентов, имеющих индолентное течение и хороший прогноз лечения (в сравнении со злокачественными глиомами).
Классификация диффузных глиом
1) Астроцитома с мутацией IDH1/2
2) Астроцитома без мутации IDH1/2
3) Астроцитома с неопределенным IDH-статусом (NOS)
4) Олигодендроглиома (с обязательным наличием мутации IDH1/2 и ко-делеции 1p/19q)
Диагностика диффузной глиомы
Диффузные глиомы обычно клинически не проявляются и бывают обнаружены случайным образом при выполнении КТ/МРТ головного мозга по причине черепно-мозговой травмы, мигрени, головокружения итд.
В остальных случаях манифестация заболевания представляет собой пароксизимальную симптоматику (эпилепсию) в самых разнообразных проявлениях. Достаточно редко диффузные глиомы вызывают неврологический дефицит.
Компьютерная томография в диагностике диффузных глиом имеет ограниченный характер. не всегда соответствующие изменения могут быть верно интерпретированы рентгенологом (и нейрохирургом).
«Золотым стандартом» исследования является МРТ. МР-семиотика диффузных глиом достаточно однозначна: они выглядят гипоинтенсивными в Т1WI и гиперинтенсивными в T2WI и FLAIR (NB! в редких случаях несоответствия режимов T2WI и FLAIR практически со 100%-ной вероятностью речь идет об астроцитоме с мутацией IDH1/2). Диффузные глиомы обычно расположены в белом веществе мозга, но олигодендроглиомы чаще вовлекают кору и содержат петрификаты (соли кальция).
Диффузные глиомы редко накапливают контрастный препарат при МР-исследовании, однако и его наличие не может является достоверным признаком принадлежности опухоли к другой гистологической группе (анапластическая астроцитома или анапластическая олигодендроглиома). Для исключения/подтверждения этого диагноза необходимо выполнить ПЭТ-КТ головного мозга с 11С-метионином.
Прогностические маркеры диффузной глиомы
Открытие генетических маркеров диффузных и злокачественных глиом определило необходимость очередного пересмотра всей классификации опухолей ЦНС в 2016 году.
Основным маркером для опухолей этой группы является мутация IDH½. Его присутствие статистически достоверно связано с лучшим прогнозом лечения астроцитарных глиом.
Для постановки диагноза олигодендроглиомы его наличие необходимо (как и ко-делеции 1p/19q).
MGMT-статус: его определение целесообразно только в группе IDH-негативных глиом для выбора схемы адъювантной терапии.
Известный факт биологического поведения диффузных глиом — в течение 7−10 (иногда более) лет они подвергаются малигнизации (озлокачествления), переходя в группу злокачественных глиом grade III-IV. (Клинический случай №4).
Лечение диффузной глиомы
Основной метод лечения пациентов с диффузными глиомами - хирургический. Операция позволяет получить материал для морфологического и генетического исследований и тем самым установить точный диагноз.
Другой задачей хирургического лечения является максимально радикальное удаление опухоли с сохранением функционального статуса пациента.
К сожалению, предсказать по снимку, к какой из 3 групп диффузных глиом относится та или иная опухоль (за исключением редких наблюдений с феноменом T2/FLAIR mismatch, см выше) невозможно. В связи с этим хирургическое вмешательство представляется достаточно обоснованным для определения дальнейшей тактики лечения.
При этом диффузные глиомы обладают низкой скоростью роста и в случае бессимптомного течения (при отсутствии эпиприступов) решиться пациенту на операцию бывает достаточно сложно.
NB! В настоящее время не существует международного протокола относительно выбора времени хирургического вмешательства для пациентов с диффузными глиомами, иными словами, нет статистически достоверного доказательства того, что прогноз лечения пациентов, оперированных непосредственно после установления диагноза диффузной глиомы лучше, чем у тех, у кого вмешательство было отложено до появления признаков прогрессии (увеличения размеров) опухоли.
Зачастую на консультации нейрохирурга вы можете услышать рекомендацию удалять опухоль не откладывая, «поскольку это опухоль, и она будет расти». Безусловно, этот подход обоснован и имеет право на существование. Но, принимая такое решение, нужно обязательно оценить локализацию опухоли, ее взаимоотношение с функционально значимыми зонами мозга, риск развития неврологического дефицита после операции и только после этого определиться со сроками вмешательства.
Противники раннего хирургического лечения основывали свои рекомендации пациентам на гипотезе о том, что хирургическое вмешательство, особенно при неполном удалении опухоли, стимулирует остаточную ее часть к укоренному процессу малигнизации (озлокачествления). Однако проведенные позднее исследования с измерением объемов опухоли в динамике в 2 группах пациентов (не оперированных и оперированных с частичным удалением), показали, что скорость роста опухолей в 2 группах была идентичной.
Мое глубокое убеждение заключается в том, что задача врача - предоставить максимально полную информацию о данном заболевании пациенту, не «подталкивая» его к тому или иному варианту лечения.
При отсутствии клинических проявлений опухоли и особенно в случае локализации ее в функционально значимой зоне (а диффузные глиомы достаточно часто обнаруживаются именно в них) я предлагаю пациенту выполнить как минимум 1 контрольное МРТ и оценить динамику размеров опухоли, а затем, на основании полученных данных, принять решение о тактике лечения. Безусловно, такой подход правомочен в группе молодых пациентов с глиомами, не накапливающими контрастный препарат.
Многие мои коллеги придерживаются схожей тактики, однако не следует забывать, что в этом случае оценка динамики размеров опухоли должна выполняться строго по протоколу:
- исследование должно проводиться на одном и том же аппарате МРТ с одинаковой толщиной срезов
- обязательно введение контрастного препарата
- оценка динамики должна производиться между первым и последним исследованиями, а не между предпоследним и последним!
- следует оценивать не 3 максимальных измерения опухоли, а весь ее объем. К сожалению, эта методика достаточно трудоемка, требует специальных навыков и программного обеспечения, поэтому подавляющее большинство нейрохирургов на консультации оценивает динамику размеров опухоли «на глаз», сравнивая нерелевантные (по срокам) исследования и рискуя получить противоположные результаты.
Глиома хиазмы
Глиома хиазмы — опухолевое образование, берущее свое начало из глиальных клеток, расположенных в области зрительного перекреста. Глиома хиазмы проявляется снижением остроты зрения, сужением или выпадением части полей зрения, симптомами гидроцефалии и нейроэндокринными нарушениями. Комплекс диагностических обследований при глиоме хиазмы включает визиометрию, офтальмоскопию, периметрию, исследование зрительных ВП, МРТ и КТ головного мозга, стереотаксическую биопсию. Лечится глиома хиазмы в зависимости от ее характеристик, локализации и возраста больного. Это может быть хирургическое вмешательство (удаление или частичная резекция глиомы, восстановление ликвороциркуляции), химио- или радиотерапия.
МКБ-10

Общие сведения
Глиома хиазмы составляет около 2% от глиом головного мозга. Наиболее часто она имеет гистологическое строение соответствующей астроцитоме. В отличие от большинства глиом зрительного нерва, глиома хиазмы встречается не только в детском возрасте, но и у пациентов старше 20 лет. Примерно в 33% случаев глиома хиазмы сопровождает нейрофиброматоз Реклингхаузена — факоматоз, характеризующийся образованием пигментных пятен и многочисленных нейрофибром, появлением неврином, глиом и менингиом различной локализации.
Развитие глиомы хиазмы у детей и лиц молодого возраста делает ее своевременную диагностику и эффективное лечения важной задачей, над решением которой совместно работают неврология, офтальмология и нейрохирургия.
Анатомия хиазмы
Хиазма представляет собой расположенный в основании мозга частичный перекрест зрительных нервов. Над хиазмой находится гипоталамус, осуществляющий нейроэндокринную регуляцию и прежде всего влияющий на секреторную активность гипофиза. Вблизи зрительного перекреста локализуется III желудочек.
В области хиазмы перекрещиваются волокна зрительного нерва, идущие от носовых (медиальных) половин сетчатки правого и левого глаза. Волокна, берущие начало в височных (латеральных) половинах сетчатки, остаются на своей стороне. От хиазмы отходят правый и левый зрительные пути, содержащие нервные волокна от медиальной части сетчатки противоположного глаза и латеральной части сетчатки глаза со своей стороны. Поскольку изображение попадает на сетчатку в перевернутом виде (от правого поля зрения в левую половину сетчатки и наоборот), каждый зрительный путь несет в кору головного мозга информацию от противоположных ему половин полей зрения обоих глаз.
Симптомы глиомы хиазмы
Глиома хиазмы может возникать первично и вследствие распространения в область зрительного перекреста глиомы зрительного нерва. Со своей стороны глиома хиазмы способна распространяться по зрительному нерву в полость орбиты, прорастать в гипоталамус и III желудочек. Большинство авторов указывают на то, что глиома хиазмы обычно сопровождается оптохиазмальным реактивным арахноидитом, приводящим к образованию спаек и субарахноидальных кист. Клинические проявления глиомы хиазмы зависят в первую очередь от расположения опухоли и направления ее роста. В основном они представлены снижением остроты зрения, изменениями зрительных полей, эндокринно-обменными нарушениями и ликворно-гипертензионным синдромом (внутричерепной гипертензией).
Нарушения со стороны зрения могут быть вызваны как сдавлением глиомой хиазмы зрительного нерва, так и разрушением прорастающей опухолью его зрительных волокон. При разрастании глиомы хиазмы по ходу зрительного нерва происходит утолщение инфильтрированных опухолью зрительных волокон, что ведет к сдавлению нерва в зрительном канале. Снижение остроты зрения чаще носит двусторонний характер. Иногда в начальном периоде глиома хиазмы дает только одностороннее ухудшение зрения, а поражение второго глаза проявляется спустя несколько месяцев или даже лет. Глиома хиазмы отличается медленно прогрессирующим и зачастую асимметричным понижением остроты зрения. Если глиома хиазмы распространяется до глазницы, то наряду с ослаблением зрения наблюдается прогрессирующий экзофтальм.
Изменение полей зрения напрямую зависит от места расположения глиомы хиазмы. Наиболее часто глиома хиазмы находится в передней части зрительного перекреста и поражает зрительные волокна до их перехода на противоположную сторону. В таких случаях отмечается битемпоральный характер сужения полей зрения обоих глаз. Возможно концентрическое сужение полей зрения и образование центрально расположенных скотом (участков выпадения изображения). Если глиома хиазмы располагается в задней ее части за перекрестом зрительных нервов, то наблюдается выпадение одноименных половин полей зрения (гомонимная гемианопсия).
Эндокринно-обменные расстройства, которыми сопровождается глиома хиазмы при ее прорастании в гипоталамус, могут включать: гипоталамический синдром, несахарный диабет, гиперсомнию, диэнцефальный синдром, ожирение, гиперкортицизм, преждевременное половое созревание, нарушения психики.
Глиома хиазмы может протекать с признаками повышения внутричерепного давления: головная боль, тяжесть в глазных яблоках, тошнота. Зачастую эти симптомы обусловлены реактивным арахноидитом. Наиболее выражены они, когда глиома хиазмы прорастает в область III желудочка и, вызывая окклюзионные ликвородинамические нарушения, приводит к развитию гидроцефалии.
Диагностика глиомы хиазмы
Поскольку глиома хиазмы начинает проявляться с нарушений зрения, то первичное обращение пациентов происходит преимущественно к офтальмологу. Врач проводит офтальмологическое тестирование: определение остроты зрения, обычную или компьютерную периметрию, а также осмотр структур глаза. Важное значение в диагностике глиомы хиазмы имеет проведение периметрии, результаты которой позволяют определить уровень поражения зрительных путей и получить ориентировочное представление о локализации опухоли. В начальном периоде роста глиома хиазмы может не давать никаких изменений на глазном дне. В дальнейшем при офтальмоскопии отмечаются застойные диски зрительных нервов, признаки первичной атрофии зрительного нерва. Определить степень и уровень поражения зрительных нервов позволяет исследование зрительных ВП.
Результаты комплексного офтальмологического исследования, свидетельствующие о наличие внутричерепного объемного процесса зрительных путей, является поводом для консультации невролога и проведения МРТ или КТ головного мозга. При отсутствии возможности томографического исследования проводят рентгенографию черепа, которая выявляет характерную для глиомы хиазмы грушевидную деформацию турецкого седла. Дополнительно проводят рентгенографию орбит в косой проекции. В случаях, когда глиома хиазмы прорастает в орбиту, на рентгенограммах определяется одно- или двустороннее расширение зрительных отверстий до 9 мм.
Томографические методы исследования головного мозга являются намного более информативными. Они позволяют точно определить наличие опухоли, ее расположение, размеры и степень прорастания по ходу зрительных нервов, в ткани головного мозга и гипоталамуса. Однако томография не дает возможности отличить глиому хиазмы от других опухолей этой локализации (ганглионевромы, тератомы, ретикулоэндотелиомы и др.). Это можно сделать лишь путем гистологического исследования клеток опухоли, полученных путем стереотаксической биопсии или в ходе операции.
Лечение глиомы хиазмы
Хирургическое лечение глиомы хиазмы может применяться при ее экзофитном росте, когда нарушения зрения вызваны в основном сдавлением зрительного нерва. Если глиома хиазмы прорастает внутрь зрительного нерва, то к ее полному удалению обычно прибегают лишь в случае развития слепоты. Распространенная глиома хиазмы подлежит лишь частичной резекции, поскольку ее полное удаление приводит к двусторонней слепоте и значительным эндокринным нарушениям. При прорастании глиомы хиазмы в III желудочек оперативное вмешательство необходимо для ликвидации прогрессирующей гидроцефалии. С этой же целью может потребоваться проведение операции по рассечению спаек и вскрытию кист, образовавшихся в результате реактивного арахноидита. Выбор лечебной тактики у пациентов с диагнозом «глиома хиазмы» осуществляется нейрохирургом в зависимости от локализации и размеров опухоли, возраста пациента, гистологического вида опухоли и пр.
Наряду с хирургическим лечением в отношении глиомы хиазмы может применяться лучевая терапия и химиотерапия. Однако в детском возрасте из-за высокой радиочувствительности диэнцефальной области лучевая терапия приводит к выраженным эндокринным расстройствам, поведенческим и интеллектуальным нарушениям. Чем меньше возраст ребенка, тем более выражены у него побочные эффекты облучения опухоли. Поэтому у детей с глиомой хиазмы применяют преимущественно химиотерапию (карбоплатин, винкристин), а лучевое воздействие осуществляют лишь при отсутствии эффекта от химиопрепаратов.
Прогноз глиомы хиазмы
Наиболее благоприятный прогноз имеет экзофитно растущая ограниченная глиома хиазмы, в отношении которой удалось полное хирургическое удаление. Частичная резекция и последующая химиотерапия в большинстве случаев позволяют остановить рост глиомы. Однако в 20-30% случаев после такого лечения наблюдается прогрессирующий рост опухоли.
Глиома головного мозга
Глиома головного мозга — наиболее распространенная опухоль головного мозга, берущая свое начало из различных клеток глии. Клинические проявления глиомы зависят от ее расположения и могут включать головную боль, тошноту, вестибулярную атаксию, расстройство зрения, парезы и параличи, дизартрию, нарушения чувствительности, судорожные приступы и пр. Глиома головного мозга диагностируется по результатам МРТ головного мозга и морфологического исследования опухолевых тканей. Вспомогательное значение имеет проведение Эхо-ЭГ, ЭЭГ, ангиографии сосудов головного мозга, ЭЭГ, офтальмоскопии, исследования цереброспинальной жидкости, ПЭТ и сцинтиграфии. Общепринятыми способами лечения в отношении глиомы головного мозга являются хирургическое удаление, лучевая терапия, стереотаксическая радиохирургия и химиотерапия.

Глиома головного мозга встречается в 60% случаев опухолей головного мозга. Название «глиома» связано с тем, что опухоль развивается из глиальной ткани, окружающей нейроны головного мозга и обеспечивающей их нормальное функционирование. Глиома головного мозга представляет собой в основном первичную внутримозговую опухоль полушарий мозга. Она имеет вид розоватого, серовато-белого, реже темно-красного узла с нечеткими очертаниями. Глиома головного мозга может локализоваться в стенке желудочка мозга или в области хиазмы (глиома хиазмы). В более редких случаях глиома располагается в нервных стволах (например, глиома зрительного нерва). Прорастание глиомы головного мозга в мозговые оболочки или кости черепа наблюдается лишь в исключительных случаях.
Глиома головного мозга часто имеет округлую или веретенообразную форму, ее размер колеблется от 2-3 мм в диаметре до величины крупного яблока. В подавляющем большинстве случаев глиома головного мозга отличается медленным ростом и отсутствием метастазирования. Однако при этом она характеризуется настолько выраженным инфильтративным ростом, что границу опухоли и здоровых тканей не всегда удается найти даже при помощи микроскопа. Как правило, глиома головного мозга сопровождается дегенерацией окружающих ее нервных тканей, что зачастую приводит к несоответствию выраженности неврологического дефицита размерам опухоли.
Классификация
В соответствии с классификацией ВОЗ выделяют 4 степени злокачественности глиом головного мозга.
- К I степени относится доброкачественная медленно растущая глиома (ювенильная астроцитома, плеоморфная ксантоастроцитома, гигантоклеточная астроцитома).
- Глиома II степени злокачественности считается «пограничной». Она отличаются медленным ростом и имеет только 1 признак злокачественности, в основном клеточную атипию. Однако такая глиома может трансформироваться в глиому III и IV степени злокачественности.
- При III степени злокачественности глиома головного мозга имеет 2 из трех признаков: фигуры митозов, ядерную атипию или микропролиферацию эндотелия.
- Глиома IV степени злокачественности отличается наличием области некроза (мультиформная глиобластома).
По месту расположения глиомы классифицируются на супратенториальные и субтенториальные, т. е. находящиеся выше и ниже намета мозжечка.
Симптомы глиомы головного мозга
Подобно другим объемным образованиям глиома головного мозга может иметь разнообразные клинические проявления, зависящие от ее расположения. Чаще всего у пациентов наблюдается общемозговая симптоматика: некупируемые обычными средствами головные боли, сопровождающиеся ощущением тяжести в глазных яблоках, тошнотой и рвотой, иногда судорожными приступами. Наибольшей выраженности эти проявления достигают, если глиома головного мозга прорастает в желудочки и ликворные пути. При этом она нарушает циркуляцию цереброспинальной жидкости и ее отток, приводя к развитию гидроцефалии с повышением внутричерепного давления.
Среди очаговых симптомов глиомы головного мозга могут наблюдаться нарушения зрения, вестибулярная атаксия (системное головокружение, шаткость при ходьбе), расстройство речи, понижение мышечной силы с развитием парезов и параличей, снижение глубоких и поверхностных видов чувствительности, психические отклонения (нарушения поведения, расстройство мышления и различных видов памяти).
Диагностика
Процесс диагностики начинается с опроса пациента по поводу его жалоб и последовательности их возникновения. Неврологический осмотр при глиоме головного мозга позволяет выявить существующие нарушения чувствительности и расстройства координации, оценить мышечную силу и тонус, проверить состояние рефлексов и т. п. Отдельное внимание уделяют анализу состояния мнестической и психической сферы пациента.
Провести оценку состояния нервно-мышечного аппарата неврологу помогают такие инструментальные методы исследования как электронейрография и электромиография. Для выявления гидроцефалии и смещения серединных мозговых структур может применяться эхоэнцефалография. Если глиома головного мозга сопровождается зрительными нарушениями, то показана консультация офтальмолога и комплексное офтальмологическое обследование, включающее визиометрию, периметрию, офтальмоскопию и исследование конвергенции. При наличии судорожного синдрома проводится ЭЭГ.
Наиболее приемлемым способом диагностики глиомы головного мозга на сегодняшний день является МРТ головного мозга. При невозможности ее проведения может применяться МСКТ или КТ головного мозга, контрастная ангиография мозговых сосудов, сцинтиграфия. ПЭТ головного мозга дает сведения о метаболических процессах, по которым можно судить о скорости роста и агрессивности опухоли. Кроме того, с диагностической целью возможно проведение люмбальной пункции. При глиоме головного мозга анализ полученной цереброспинальной жидкости выявляет наличие атипичных (опухолевых) клеток.
Вышеперечисленные неинвазивные методы исследования позволяют диагностировать опухоль, однако точный диагноз глиомы головного мозга с определением ее вида и степени злокачественности можно поставить только по результатам микроскопического исследования тканей опухолевого узла, полученных при проведении оперативного вмешательства или стереотаксической биопсии.
Лечение глиомы головного мозга
Полное удаление глиомы головного мозга представляет собой практически невыполнимую задачу для нейрохирурга и возможно только в случае ее доброкачественности (I степени злокачественности по классификации ВОЗ). Это связано со свойством глиомы головного мозга значительно инфильтрировать и прорастать окружающие ее ткани. Разработка и применение в ходе нейрохирургических операций новых технологий (микрохирургии, интраоперационного картирования головного мозга, МРТ-сканирования) немного улучшило ситуацию. Однако до сих пор хирургическое лечение глиомы в большинстве случаев по сути является операцией по резекции опухоли.
Противопоказаниями к осуществлению хирургического метода лечения является нестабильное состояние здоровья пациента, наличие других злокачественных новообразований, распространение глиомы головного мозга в оба полушария или ее неоперабельная локализация.
Глиома головного мозга относится к радио- и химиочувствительным опухолям. Поэтому химио- и радиотерапия активно применяются как в случае неоперабельности глиомы, так и в качестве пред- и постоперационной терапии. Предоперационная лучевая и химиотерапия может быть проведена только после подтверждения диагноза результатами биопсии. Наряду с традиционными методами радиотерапии возможно применение стереотаксической радиохирургии, позволяющей воздействовать на опухоль при минимальном облучении окружающих тканей. Следует отметить, что лучевая и химиотерапия не могут служить заменой хирургического лечения, поскольку в центральной части глиомы головного мозга зачастую располагается участок, плохо поддающийся воздействию облучения и химиопрепаратов.
Прогноз
Глиомы головного мозга имеют преимущественно неблагоприятный прогноз. Неполное удаление опухоли приводит к ее быстрому рецидивированию и лишь продлевает жизнь пациента. Если глиома головного мозга имеет высокую степень злокачественности, то в половине случаев больные погибают в течение 1 года и только четверть из них живет дольше 2 лет. Более благоприятный прогноз имеет глиома головного мозга I степени злокачественности. В случаях, когда удается произвести ее полное удаление с минимальным послеоперационным неврологическим дефицитом, более 80% прооперированных живут дольше 5 лет.
Церебральный глиоматоз
Церебральный глиоматоз — это диффузная инфильтрация головного мозга атипичными глиальными клетками, охватывающая более двух мозговых долей. Типичными клиническими симптомами являются спастические парезы, прогрессирующее когнитивное снижение, эпилептические приступы, цефалгия, мозжечковый синдром, дисфункция черепных нервов. Необходимые диагностические исследования включают МРТ мозга, электроэнцефалографию и церебральную биопсию. Лечение осуществляется путём комбинирования курсов химиотерапии и диффузного облучения мозга. Параллельно проводится симптоматическая терапия.
Термин «церебральный глиоматоз» впервые был введён в 1938 году. Согласно классификации ВОЗ 2007 года, глиоматоз головного мозга относится к астроцитарным нейроэпителиальным опухолям, новообразованиям с III степенью злокачественности. В новой классификации опухолей ЦНС (ВОЗ, 2016 год) церебральный глиоматоз рассматривается как вариант распространения диффузной глиомы.
Неоплазия относится к редким опухолям головного мозга. В литературе по неврологии данные о заболеваемости колеблются в пределах 0,6-8 случаев в год. Патологии подвержены все возрастные категории, наиболее часто заболевают люди в возрасте 40-60 лет. Мужчины страдают глиоматозом несколько чаще женщин, соотношение составляет 1,3:1.
Причины
Гистохимическое и генетическое изучение опухолей, попытки которого предпринимались с начала XXI века, позволили обнаружить генетические изменения опухолевых клеток по сравнению с нормальными глиоцитами. Наиболее известны генные мутации IDH1, IDH2, встречающиеся в 70% случаев. Мутации обуславливают изменение биохимических процессов внутри здоровой клетки и её трансформацию в опухолевую. Этиофакторы, провоцирующие мутации и запускающие онкогенез, точно не установлены. Возможен мультифакторный механизм возникновения онкологического процесса, включающий следующие составляющие:
- Онкогенные факторы. Предположительно мутагенную роль играют радиоактивное излучение, онкогенные вирусы (цитомегаловирус, полиомавирус, герпетическая инфекция), вредоносные химические вещества, содержащиеся в некоторых продуктах питания (консерванты, красители, эмульгаторы), загрязнённом воздухе. Указанные воздействия способны вызывать изменения в генетическом аппарате клеток, ведущие к трансформации последних в онкоклетки.
- Иммуносупрессия. Иммуносупрессивное состояние организма развивается на фоне терапии кортикостероидами, цитостатиками, длительного течения хронических заболеваний. Приводит к отсутствию активного срабатывания противоопухолевых механизмов, ответственных за ликвидацию претерпевших онкотрансформацию клеток. Результатом является беспрепятственное увеличение числа опухолевых клеток, прогрессивное развитие онкопроцесса.
- Генетическая восприимчивость. Генетически детерминированная склонность к различной онкопатологии ЦНС прослеживается при ряде наследственных заболеваний (нейрофиброматозе, болезни Гиппеля-Линдау, синдроме Ли-Фраумени). Механизмы реализации заложенной в геноме предрасположенности пока не определены.
Патогенез
Гены IDH1/2 кодируют ферменты, катализирующие реакции синтеза альфа-кетоглутарата (пентозы) и его карбоксилирования в изоцитрат. Мутации данных генов приводят к блокированию указанных биохимических реакций, переводу пентозы в онкометаболит 2-гидроксиглутарат. Внутриклеточные дисметаболические процессы обуславливают изменение параметров нормальных глиоцитов, приобретение ими свойственных онкоклеткам характеристик: клеточного атипизма, склонности к неконтролируемому делению. При наличии иных мутаций клеточного генома реализуются аналогичные патогенетические механизмы.
Церебральный глиоматоз отличается диффузным распространением онкоклеток по мозговым тканям без формирования опухолевых узлов. Поражение захватывает не менее двух долей, распространяется в оба полушария. Чаще всего (76%) инфильтрируется большой мозг, мозолистое тело. В половине случаев отмечается вовлечение моста, среднего мозга.
Глиоматоз тканей таламуса наблюдается в 43% случаев, подкорковых ганглиев — в 34%, мозжечка — в 29%. Поражение мозговой коры отмечается у 19% больных. Микроскопически очаги глиоматоза представлены атипичными глиальными клетками, преимущественно сходными с астроцитами. В ряде случаев преобладают онкоклетки, фенотипически идентичные олигодендроглиоцитам.
Поскольку церебральный глиоматоз классифицирован ВОЗ как форма диффузной глиомы, актуальность приобретает его разделение по фенотипическим особенностям морфологии. Информация о типе клеток, составляющих зоны глиоматоза, имеет первостепенное прогностическое значение. В связи с этим выделяют три основных варианта:
- Астроцитарный. Глиоматозные зоны представлены атипичными астроцитами. Наиболее распространённый тип глиоматоза, имеет II-III степень злокачественности. Со временем способен трансформироваться в более злокачественный глиобластомный вариант.
- Олигодендроглиальный. Глиоматозные участки состоят из атипичных олигодендроглиоцитов. Степень злокачественности — II-III. В последующем возможно глиобластомное перерождение опухоли.
- Глиобластомный. Морфологически представлен низкодифференцированными атипичными клетками. Возникает первично или вследствие трансформации предыдущих вариантов. Наиболее агрессивный церебральный онкопроцесс, IV степень злокачественности.
Благодаря введению в медицинскую практику генетического тестирования опухолевых клеток возникло разделение глиом в соответствии с наличием IDH-мутации. При выявлении дефекта генов IDH1/IDH2 опухоль классифицируется как имеющая мутацию IDH. При отрицательном результате генетического анализа новообразование расценивается как IDH-дикого типа. В случаях недоступности IDH-тестирования опухоль относят к категории NOS.
Симптомы церебрального глиоматоза
Симптоматика крайне неспецифична, на начальных стадиях заболевания не отражает массивность поражения. Типичны пирамидные расстройства движений, деменция. Преобладание поражения одного полушария ведёт к развитию гемипареза контрлатеральных конечностей, билатеральный глиоматоз проявляется тетрапарезом различной выраженности. Мышечная слабость сопровождается повышением сухожильных рефлексов, спастическим гипертонусом, придающим конечностям полусогнутое положение.
Нарушения интеллектуальной сферы манифестируют снижением памяти, внимания, замедлением мышления. Неуклонно прогрессирующий характер когнитивной дисфункции приводит к развитию элементов амнезии, акалькулии, агнозии, апраксии с последующим переходом в глубокую органическую деменцию. Возможны психические расстройства: изменение поведения, агрессивность, психомоторное возбуждение, эйфория.
40% пациентов предъявляют жалобы на цефалгию, носящую диффузный характер. Симптомы внутричерепной гипертензии (тошнота без связи с едой, рвота на высоте цефалгии, ощущение давления на глазные яблоки) возникают у 34% больных. В 38% случаев наблюдаются эпилептические пароксизмы. С такой же частотой отмечается дисфункция различных черепно-мозговых нервов.
В 33% случаев церебральный глиоматоз протекает с мозжечковым синдромом. Признаки мозжечковой атаксии включают крупноразмашистый нистагм, неустойчивость ходьбы, сопровождающейся отклонениями тела в стороны, дискоординацию, гиперметрию движений, скандированную речь, макрографию. Сенсорные нарушения отмечаются в 18% случаев, представлены поверхностной и глубокой гипестезией, парестезиями.
Осложнения
Поражение черепных нервов бульбарной группы сопровождается нарушениями глотания. Попёрхивание может осложниться попаданием пищи/жидкости в дыхательную систему с развитием аспирационной пневмонии. Выраженные пирамидные, мозжечковые расстройства делают пациента постельным больным. Ограничение двигательной активности без соответствующего ухода чревато возникновением пролежней, застойной пневмонии. Спастический парез приводит к образованию контрактур суставов. Наиболее тяжёлые жизнеугрожающие осложнения возможны при поражении церебрального ствола, где расположены сосудистый и дыхательный центры.
Диагностические сложности связаны с неспецифичностью клинической картины. В неврологическом статусе определяется разнообразный неврологический дефицит, свидетельствующий о диффузном характере поражения мозговых тканей. До эпохи нейровизуализации церебральный глиоматоз диагностировался исключительно патологоанатомами. Современная прижизненная диагностика заболевания возможна только по результатам МРТ головного мозга и биопсии. Перечень обследований, назначаемых врачом-неврологом в ходе диагностики, включает:
- Электроэнцефалографию. ЭЭГ проводится на начальном диагностическом этапе. Регистрирует диффузные изменения биоэлектрической активности. Пароксизмальные эпилептогенные спайки наблюдаются в случае судорожного синдрома.
- Магнитно-резонансную томографию. В режиме Т1 опухоль изо- или гиподенсивна, что затрудняет оценку её распространённости. Золотым стандартом диагностики является МРТ в режиме Т2, который даёт гиперденсивную визуализацию глиоматозных зон. КТ головного мозга может не выявить опухолевый процесс, поскольку при данном исследовании глиоматоз оказывается изоденсивным по отношению к нормальным мозговым тканям.
- Стереотаксическую биопсию. Несмотря на неоднородность строения различных глиоматозных участков, большинство клиницистов склоняются к необходимости биопсии. Полученный церебральный материал подлежит гистологическому исследованию, что позволяет установить морфологическую принадлежность опухоли, оценить степень злокачественности.
- IDH-типирование. Новый диагностический метод, постепенно внедряемый в нейроонкологическую практику. Осуществляется по технологии генетической ПЦР-диагностики. Результаты типирования учитываются при выборе лечебной тактики, позволяют делать более точные прогностические предположения.
Дифференциальная диагностика
Церебральный глиоматоз необходимо дифференцировать от:
- множественных лимфом ЦНС;
- мультифокальной глиобластомы;
- энцефалита;
- прогрессирующей лейкоэнцефалопатии.
Для энцефалита характерен соответствующий эпидемиологический анамнез, для лейкоэнцефалопатии — развитие на фоне ВИЧ, выявление ДНК вируса JC при исследовании цереброспинальной жидкости. Отличить глиоматоз от многоочаговых поражений (лимфом, глиобластом) позволяет МРТ.
Лечение церебрального глиоматоза
Диффузный характер опухолевого процесса не позволяет произвести радикальное хирургическое лечение. Операция возможна при сочетании глиоматоза с единичным крупным очаговым поражением. В подобных случаях нейрохирургическое вмешательство направлено на удаление очага. Основными методами консервативной терапии являются:
- Радиологическое лечение. Производится серия сеансов лучевой терапии с тотальным церебральным облучением. Лучшие результаты даёт использование IMRT — облучения при помощи компьютеризированных рентгеновских ускорителей. Метод позволяет регулировать интенсивность воздействия в различных участках мозга: направлять излучение в крупные зоны глиоматоза, минимизировать дозу облучения критически важных церебральных структур.
- Химиотерапия. Комбинируется с радиотерапией. Осуществляется путём поэтапного курсового лечения цитостатиками: темозоломидом, кармустином, карбоплатином. Наиболее результативно применение нескольких препаратов с разным механизмом действия. Перерыв между курсами химиотерапии обусловлен выраженным побочным действием химиопрепаратов, необходимостью восстановления организма.
- Симптоматическое лечение. Направлено на купирование основных симптомов заболевания, побочных эффектов цитостатической и лучевой терапии. Применяются противорвотные, анальгезирующие, противоотёчные, психотропные, противоэпилептические фармпрепараты.
Непрерывно производятся попытки разработки новых эффективных способов лечения. Наиболее перспективными выглядят два направления - генетика и биохимия. Исследования в области генной инженерии направлены на поиск методов изменения генома опухолевой клетки, способных вызывать её апоптоз. Изучение биохимических особенностей онкоклеток подразумевает поиск кардинально новых способов фармакологического воздействия на опухолевый процесс.
Прогноз и профилактика
Церебральный глиоматоз — тяжёлое заболевание с летальным исходом. Длительность жизни пациентов после установления диагноза в среднем составляет 2-3 года, в отдельных случаях превышает 10 лет. Прогноз зависит от морфологического варианта, распространённости опухоли. Исследования показывают существенное увеличение продолжительности жизни больных, имеющих глиомы с мутациями IDH1/IDH2, в сравнении с пациентами, опухоли которых свободны от IDH-дефектов. Мерами предупреждения глиоматоза являются исключение онкогенных воздействий, корректное лечение склонных к персистенции вирусных инфекций, поддержание должного уровня иммунитета.
Глиобластома головного мозга
Мультиформная глиобластома (злокачественная глиома) является одной из самых распространённых злокачественных новообразований у взрослых. 20% от всех первичных новообразований головного мозга являются мультиформными глиобластомами.
Сделать МРТ головного мозга в Санкт-Петербурге
Прогноз жизни при глиобластоме крайне неблагоприятный в связи с высокой степенью злокачественности.Смертность, связанная с МФГ превышает 90% в течение 5 лет со средней выживаемостью 12,6 месяцев.

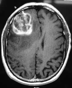
Глиобластома: симптомы, выявляемые с помощью МРТ. Аксиальный срез в режиме Т1 после контрастирования препаратом гадолиния демонстрирует распространенную опухоль правой лобной доли. Изображение предоставлено доктором George Jallo.

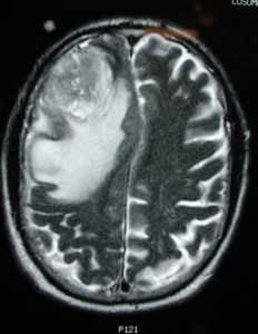
МРТ того же пациента. Т2-взвешенное изображение демонстрирует то же поражение, что и на предыдущем рисунке с заметным отеком и смещением срединных структур. Эти находки соответствуют высокой степени злокачественности опухоли.
Методы диагностики глиобластомы
Компьютерная томография (КТ) выявляет опухоль и связанные с ней изменения. Однако при выполнении КТ может пропустить опухоли небольшого размера. Небольшая глиома низкой степени злокачественности, пропущенная на скрининговом обследовании, может в конечном счете развиться в мультиформную глиобластому. К тому же, на компьютерных томограммах могут быть не видны многоочаговые варианты опухоли. Распространение глиобластомы с током спинномозговой жидкости, особенно раннее распространение, также может быть затруднительным для диагностики при помощи КТ.
Магнитно-резонансная томография (МРТ) — это значительно более чувствительный метод для обнаружения опухоли, а также для выявления связанных с ней изменений, включая перифокальный (перитуморозный) отек. Поэтому МРТ является методом выбора для пациентов с предполагаемой или подтвержденной мультиформной глиобластомой. Так как данная опухоль обладает агрессивным инфильтративным ростом, опухолевые клетки часто находятся за пределами зоны измененной интенсивности сигнала на МРТ. Часто возникают метастазы в центральную нервную систему, но экстрацеребральные метастазы (расположенные за пределами мозга) довольно редки.
После хирургической операции выявление различий между рецидивирующей опухолью и рубцовой тканью только лишь на основании данных МРТ может быть затруднительным. В этом случае более подходящим методом исследования будет позитронно-эмиссионная томография (ПЭТ).
В связи с большим разнообразием проявлений опухоли в некоторых случаях она может имитировать другие состояния, такие как инфаркт, абсцесс или даже опухолеподобную бляшку при рассеянном склерозе, и таким образом, задержать постановку правильного диагноза. Кроме этого, другие патологические процессы головного мозга также иногда принимаются за глиобластому. В таких случаях необходимо получить консультацию опытного нейрорадиолога с целью уточнения истинной природы образования. Повторная расшифровка МРТ в специализированном медицинском центре повышает точность диагноза.
Если говорить о признаках, которыми на магнитно-резонаных томограммах характеризуются опухоли в спектре от астроцитомы низкой степени злокачественности до мультиформной глиобластомы, можно сделать следующее обобщение (хотя возможны и исключения):
- Частота возникновения участков кальцификации в опухоли снижается в спектре от астроцитомы низкой степени злокачественности до мультиформной глиобластомы
- Частота возникновения контрастного усиления опухоли повышается в спектре от астроцитомы низкой степени злокачественности (сдерживается гематоэнцефалическим барьером, имеет низкую частоту контрастного усиления) до мультиформной глиобластомы (проникает через гематоэнцефалический барьер)
- Частота случаев геморрагии, некроза, масс-эффекта и отека также повышается от астроцитомы низкой степени злокачественности до мультиформной глиобластомы
- В том случае, если геморрагические изменения отсутствуют, большинство опухолей гипоинтенсивны на Т1-взвешенных изображениях и гиперинтенсивны на Т2-взвешенных изображениях
- Усиление сигнала на КТ изображениях аналогично таковому на МРТ изображениях
Существуют различные варианты мультиформной глиобластомы. Гигантоклеточная (монстроцеллюлярная) глиобластома является одной из разновидностей мультиформной глиобластомы, но имеет те же особенности на МРТ.
Рентгенография при глиобластоме
Рентгенография не применяется для оценки первичных опухолей. Однако, в случаях, когда опухоль поражает свод черепа, рентгенологические исследования могут выявить патологию в пораженных костях черепа. Кроме того, рентгенография скелета может обнаружить изменения в случае метастатического поражения костей в нетипичных случаях.
Компьютерная томография (КТ) при глиобластоме
Результаты компьютерной томографии позволяют с достаточно высокой степенью уверенности говорить о диагнозе мультиформной глиобластомы. Однако, другие объемные образования могут имитировать мультиформную глиобластому, например, абсцессы мозга, инфаркт с геморрагической трансформацией и новообразования более низкой степени злокачественности. Кроме того, некоторые виды демиелинизирующих поражений (такте как гигантские бляшки при рассеянном склерозе) могут выглядеть, как мультиформная глиобластома. Также многоочаговая форма мультиформной глиобластомы может быть неотличима от диффузного рассеянного склероза. Все эти случаи требуют внимательного отношения врачей с возможным получением второго мнения.
При глиоматозе головного мозга КТ-картина может быть нормальной, либо изображения могут показать распространенные очаги с низкой плотностью без объемного эффекта и усиления сигнала.

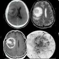
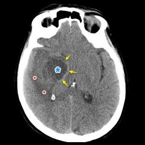
Опухоль головного мозга — глиобластома. Компьютерная томография (КТ). Синяя звездочка в центре обозначает зону центрального некроза опухоли, заполненную жидкостью. Желтые стрелки — окружающий мягкотканный компонент опухоли. Красные звездочки — перифокальный отек мозга. Наблюдается смещение срединных структур и угроза нисходящего транстенториального вклинения мозга.
Сделать КТ головного мозга в Санкт-Петербурге
Проявления опухоли на КТ-сканах без контрастного усиления включают неоднородное образование с нечеткими краями; внутренние области низкой или жидкостной плотности являются очагами некроза (представлены более, чем в 95% МФГ); внутренние области высокой плотности, являющиеся очагами геморрагии или, реже, кальцификациями (они более характерны в тех случаях, когда МФГ является результатом трансформации из астроцитомы низкой степени злокачественности); и значительный масс-эффект и отек (возогенная природа отека).
Исследование КТ с контрастным усилением значительно увеличивает выявление таких признаков, как неровные контуры образрвания, неоднородность, возможное кольцевидное контрастное усиление в периферических отделах патологической зоны.
Магнитно-резонансная томография (мрт) при глиобластоме
МРТ позволяет с высокой степенью уверенности говорить о диагнозе мультиформной глиобластомы и широко используется для определения местоположения и размера опухолей мозга. Фактически, этот метод имеет наивысшую степень достоверности среди других лучевых методов. Некоторые другие процессы, в основном объёмные образования с геморрагическим компонентом, могут имитировать мультиформную глиобластому на МРТ, включая абсцессы мозга и инфаркты. В случае неясной или спорной МРТ-картины может быть полезной экспертная оценка МРТ специализированными радиологами.
Стандартная методика МРТ ограничена в способности определять тип и степень злокачественной трансформации опухолей мозга, но более продвинутые протоколы МРТ, такие как перфузионно-взвешенная томография, могут оценить этот показатель с большей степенью достоперности, так как способны предоставлять более «физиологическую» информацию.
Как выглядит глиобластома на МРТ? Как правило, образование на томограммах представляет собой зону, имеющую в основном пониженный сигнал на Т1-взвешенных изображниях и повышенный сигнал на Т2- взвешенных изображениях. Могут присутствовать внутренние кистозные участки, участки потери сигнала, обусловленные крупными сосудами, внутренние зоны повышенной интенсивности сигнала на Т1-ВИ (геморрагические очаги), новообразованные сосуды, очаги некроза, обширный перитуморозный вазогенный отеком и значительный масс-эффект. Также может выявляться неравномерное, но интенсивное накопление контрастного вещества на основе гадолиния (та же картина наблюдается на КТ после введения йодсодержащего контраста), как в основной опухоли, так и в метастатических очагах, характерных для МФГ. МРТ более чувствительна к этим изменениям, чем КТ.
Глиоматоз головного мозга выглядит как диффузное изменение сигнала от белого вещества, сочетающееся с признаками повышения внутричерепного давления, такими как сдавление мозговых желудочков и сужение субарахноидального пространства.
Глиосаркома обычно представляет собой четко ограниченную опухоль, при этом саркоматозные или инфильтрационные глиоматозные элементы часто имеют сходство с менингиомами. Прочие МРТ-признаки схожи с теми, что характерны для мультиформной глиобластомы.
Позитронно-эмиссионная томография (ПЭТ) при глиобластоме
Ангиография
Ангиографическая картина при мультиформной глиобластоме включают в себя следующие признаки: гиперваскулярное объемное образование с опухолевым «свечением»; значительное кровонаполнение сосудов, артерио-венозные шунты (что может имитировать артерио-венозную мальформацию); аберрантные сосуды, сосудистое депонирование и застой (достаточно часто встречается); масс-эффект, который вызывает смещение сосудов.
Ангиография имеет низкую специфичность при диагностике мультиформной глиобластомы. Хотя снимки могут показать смещение сосудов, вызванное масс-эффектом опухоли, но в действительности любое другое объемное образование мозга может иметь схожие признаки. Кроме того, гиперваскуляризация мультиформной глиобластомы может имитировать сосудистую мальформацию. Таким образом, любое объемное образование или сосудистая мальформация может привести к ложноположительному результату. Небольшие опухоли и опухоли без выраженного смещения сосудов могут быть причиной ложноотрицательного результата.
Читайте также:
