Диагностика хондросаркомы грудной клетки на рентгене, КТ, МРТ
Добавил пользователь Евгений Кузнецов Обновлено: 22.11.2025
Хондросаркома - гетерогенная группа неэпителиальных злокачественных опухолей хрящевой ткани.
На долю хондросаркомы приходится около 20-25% всех сарком костей. Возникает эта опухоль в зрелом и пожилом возрасте, преимущественно в 30-60 лет. Обычно страдают плоские кости, чаще тазового и плечевого поясов, иногда - диафизы длинных трубчатых костей.
Хондросаркомы разделяют на первичные, возникающие в интактных костях, и вторичные - развивающиеся из хондром, хрящевой ткани остеохондром, а также из костно-хрящевых экзостозов или из участков поражения при дисхондроплазии.
Чаще всего вторичные хондросаркомы развиваются у лиц старше 40 лет.
Что провоцирует / Причины Хондросаркомы:
Точные причины первичной хондросаркомы неизвестны. Наиболее склонны к малигнизации хондромы, костно-хрящевые экзостозы, очаги дисхондроплазии.
К факторам, способствующим малигнизации в первую очередь следует отнести:
• неадекватное лечение, в частности проведение экономной резекции при хондроме кости или неполное удаление костно-хрящевого экзостоза;
• длительное наблюдение за выявленным доброкачественным хрящевым образованием. Рентген-контроль за вновь выявленным хрящевым образованием должен производиться в I квартале - ежемесячно. При остутствии признаков роста за этот период - в течение последующего года ежеквартально. Далее - 1 раз в год при отсутствии клинических жалоб.
Наиболее предрасположены к малигнизации экхондромы, особенно плоских костей и межвертельной области бедра. Энхондромы костей кистей и стоп озлокачествляются редко.
Другое редкое онкологическое состояние называется энхондроматозом и может увеличить этот риск.
У людей с такими редкими генетическими заболеваниями как наследственные множественные экзостозы и синдром Маффуччи, тоже может развиться хондросаркома.
При множественных костно-хрящевых экзостозах малигнизация в них развивается асинхронно.
Патогенез (что происходит?) во время Хондросаркомы:
Макроскопически высокодифференцированная хондросаркома напоминает нормальный гиалиновый хрящ. Обычно она имеет дольчатое строение. На разрезе иногда заметны желтоватые участки обызвествления, кистовидные полости с мукоидным содержимым, широкие желеобразные зоны. В высоко злокачественной хондросаркоме встречается также геморрагический некроз. Центральная хондросаркома, дорастающая до кортикального слоя, разрушает его и врастает в окружающие ткани. Периферическая хондросаркома, как правило, инкапсулирована, но не лишена способности к деструирующему росту. Разрушая кортикальный слой, она врастает в подлежащую губчатую кость. Различные участки хондросаркомы выглядят по-разному, поэтому для микроскопического исследования следует выбирать несколько кусочков из разных мест, имеющих разный вид. Особенно важно исследовать ткань на границе опухоли, для того чтобы оценить ее инвазивные свойства. Хондросаркома костей таза прорастает в мочевой пузырь, толстую кишку, реже - в крупные вены. Отдаленные метастазы чаще всего обнаруживаются в легких, реже - в коже и мягких тканях. Метастазы в лимфатических узлах, головном мозге, печени и костях встречаются редко.
Под микроскопом различия в строении той или иной опухоли выражаются, прежде всего, в разном объеме хондроидного матрикса, который в некоторых случаях может даже отсутствовать. Размеры опухолевых долек также варьируют. Дольки имеют неправильную форму и разделяются узкими соединительнотканными прослойками, щелями или неширокими костными перекладинами, которые незаметно переходят в окружающий хрящ. В некоторых соединительнотканных прослойках проходят сосуды, в других - сосудов нет. Опухолевые хондроциты обычно располагаются группами. Некоторые из них имеют нормальный вид, в иных определяются признаки атипии, особенно ядер, приобретающих причудливый вид. Хондроциты могут быть одно- и многоядерными, причем зачастую в опухоли много двуядерных клеток. Ядра нормальных хонлроцитов достигают 4-8 мкм в диаметре, но в хондросаркоме они крупнее, окрашиваются слабее, становясь как бы набухшими, и обладают мелким распыленным хроматином. В таких везикулярных ядрах хорошо видны ядрышки. В редких случаях хондроциты обретают перстневидную форму. Число фигур митоза зависит от степени злокачественности опухоли. В наименее злокачественной опухоли они отсутствуют, в умеренно злокачественной определяются единичные фигуры, а в высоко злокачественной хондросаркоме их много.
Межклеточное вещество представлено по-разному в количественном и качественном отношении. Это может быть матрикс зрелого гиалинового хряща или же миксоидная ткань. В зависимости от вида межклеточного вещества меняется и форма хонлроцитов. В хондроидном матриксе хондроциты овальные, лежат в лакунах. В миксо-идном матриксе хондроциты обладают веретено-видной или звездчатой формой, лакуны не определяются. При отсутствии миксоидной стромы хондроциты также могут быть веретеновидными, что характерно для высоко злокачественных хонд-росарком. Вокруг отдельных долек опухоли местами намечается новообразование реактивной костной ткани, балки которой окаймлены остеобластами. Такой же реактивный остеогенез порою отмечается и в толще опухоли. В интрамедуллярной хондросаркоме осуществляется разрушение нормальной губчатой кости и разрастание опухолевого хряша между балками. При инвазивном росте периферической хондросаркомы происходит разрушение кортикального слоя, а тяжи опухолевых клеток видны в окружающих мягких тканях.
Различают три гистологические степени злокачественности хондросаркомы.
1-я степень злокачественности хондросаркомы. Хондроциты обладают мелкими плотными ядрами, лишь немногие ядра превышают диаметр 8 мкм. Число многоядерных (обычно двуялерных) клеток невелико. Строма представлена, главным образом, хондроидом, миксоидной ткани немного или же нет совсем. В некоторых участках опухоли встречаются группы более крупных клеток с плеоморфными ядрами, но общее число клеток умеренное, фигур митоза нет.
2-я степень злокачественности хондросаркомы. Общее число клеток более значительное, чем в предыдущем случае, и в то же время объем матрикса относительно меньше. В лакуне обычно находится две и более клеток. Особенно много клеток располагается в периферических отделах опухолевых долек, где матрикс может даже отсутствовать. Фигуры митоза, как правило, единичные. Везикулярные или гиперхромные ядра хондроцитов, расположенных в центральных отделах долек, увеличены. Зоны некроза либо мелкие, либо крупные, занимающие всю дольку опухоли. Строма чаще всего миксоидная.
3-я степень злокачественности хондросаркомы. Гиперцеллюлярность и ядерный полиморфизм выражены еще больше, чем при злокачественности 2-й степени. Матрикс почти везде миксоидный, тогда как хондроида мало или же вовсе нет. Хондроциты располагаются тяжами или группами и имеют звездчатую или неправильную форму. В опухоли много зон некроза, часто обширных. Везикулярные, реже веретеновидные ядра хондроцитов в 5-10 раз крупнее ядер нормальных аналогов. Обычно имеется много фигур митоза.
В большинстве случаев все дольки опухоли имеют одну и ту же степень злокачественности, однако в некоторых случаях в разных дольках она варьирует от 1-й до 3-й степени. Поэтому, чтобы составить полное представление о степени злокачественности хонлросаркомы, необходимо исследовать несколько кусочков опухоли и несколько срезов каждого кусочка. Наиболее злокачественные картины обнаруживаются в мягких миксоидных или геморрагических очагах опухоли. При лифференииальной лиагностике хонлросаркомы наибольшие трудности представляют высокодифференцированная форма (1-я степень злокачественности). Она имеет большое сходство с энхондромой, остеохондромой, синовиальным хондроматозом. В таких случаях решающее значение принадлежит результатам рентгенологического исследования. Поскольку в ряде случаев микроскопическое исследование не позволяет провести дифференциальную диагностику, патологоанатом может пользоваться следующими заключениями: «хрящевая опухоль с неопределенным потенциалом злокачественности» или «пограничная хрящеобразующая опухоль».
Симптомы Хондросаркомы:
Начало озлокачествления доброкачественных хрящевых образований клинически установить трудно, так как заболевания имеют длинный латентный период. Прогрессивный рост опухоли, появление и заметное усиление болей дают основание заподозрить малигнизацию хондромы.
Хондросаркомы костей таза нередко достигают больших размеров и проявляются болями с иррадиацией в спину или бедро (по ходу седалищного нерва; вследствие сдавления седалищного сплетения), симптомами, связанными с давлением на шейку мочевого пузыря, односторонним отеком конечности вследствие сдавления подвздошной вены или же наличием безболезненной опухоли брюшной полости.
Метастазирование хондросарком обычно происходит гематогенным путем в следующие органы - в лёгкие, печень, головной мозг, регионарные лимфоузлы.
Отличительной чертой периферических сарком является их способность к прорастанию псевдокапсулы с образованием сателлитных узлов опухоли, называемых также «прыгающими метастазами». Сателлитные узлы представляют собой фокусы опухолевой ткани, которые непосредственно не связаны с основной опухолевой массой и часто возникают в реактивной зоне («псевдокапсуле») или прилегающей нормальной ткани.
Диагностика Хондросаркомы:
Для диагностики хондросаркомы могут быть необходимы различные тесты и исследования. Обычно, рентгена болезненного участка кости достаточно, чтобы идентифицировать это новообразование. Другие диагностические процедуры онкологического скрининга часто выполняются с целью, чтобы проверить степень распространения рака в другие места организма.
Рентгенологическими признаками озлокачествления опухоли хрящевой ткани являются быстрое нарастание деструкции, разрушение кортикального слоя, которое может наблюдаться на небольшом участке, выхода опухоли в прилежащие к кости мягкие ткани. Периостальные наслоения в виде козырька или спикул выражены нерезко.
При костно-хрящевых экзостозах первыми признаками малигнизации являются боли и быстрый рост экзостоза, несоответствие клинически определяемого размера опухоли рентгенологически выявляемому. Малигнизация происходит за счёт хрящевой части, поэтому пальпируемая опухоль бывает больших размеров, чем видимая на рентгенограмме. Рентгенологическая картина характеризуется нечёткостью границ костно-хрящевого экзостоза, смазанностью его контуров, очагами деструкции в костном основании экзостоза.
По локализации хондросаркомы разделяют на центральные и периферические. Центральные возникают внутри кости, периферические - на поверхности кости.
При центральных хондросаркомах рентгенологически выявляются внутрикостные участки деструкции, имеющие обычно неправильную округлую форму и нерезкие очертания. В этих случаях также на фоне опухоли обычно определяются пятнистые вкрапления обызвествлений. При локализации опухоли в длинных трубчатых костях участок поражения может представляться веретенообразно утолщенным.
Периферическая хондросаркома представляется в виде бугристого образования, контрастно выявляемого на фоне прилегающих к кости мягких тканей. В месте непосредственного прилегания опухоли к кости отмечается эрозированность поверхности кортикального слоя или неравномерное склеротическое уплотнение ее. В толще опухолевого образования выявляются очаги обызвествлений, создающие картину крапчатости. По краям опухоли нередко определяются тяжистые обызвествления. Очертания опухоли, как правило, нечеткие и неровные.
МРТ (магнитно-резонансная томография). Этот метод диагностики похож на компьютерную томографию, но вместо рентгеновских лучей в нём используется магнетизм для создания изображения сечений тела пациента.
Проникающая игольчатая биопсия. Для этого исследования отбирается малый образец опухоли из поражённой кости. Затем медицинский специалист изучит образец под микроскопом, чтобы определить точный тип опухоли.
Открытая биопсия. Этот тип биопсии используется редко, так как проникающая игольная биопсия гораздо быстрее и проще. При открытой биопсии кусочек кости удаляется во время незначительной операции, пока пациент находится под общим наркозом. Это онкологическое исследование понадобится, если проникающая биопсия не может быть сделана по каким-то причинам или не даёт чёткого результата.
Остеосцинтиграфия. Это более чувствительный тест, чем простая рентгенография и он отображает какие-либо аномальные участки костной ткани более чётко. Для этого исследования, небольшое количество "мягкого" радиоактивного вещества вводится в вену. Аномалия кости поглощает больше радиации, чем здоровая кость, и эти области выделяются и указываются сканером как "горячие точки".
КT (компьютерная томография). Сканирование КТ захватывает серию рентгеновских лучей, чтобы создать трёхмерное изображение внутренней части тела. Сканирование безболезненно и занимает от 10 до 30 минут. Компьютерная томография использует небольшую радиацию и причинение вреда организму этой процедурой маловероятно.
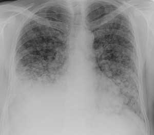
Рентген грудной клетки. У некоторых людей с хондросаркомами, раковая опухоль может распространяться в лёгкие. Рентген грудной клетки обычно делают для того, чтобы проверить так это или нет.
Дедифференцированная хондросаркома (син. хондросаркома с дополнительным мезенхимальным компонентом) является высоко злокачественной опухолью, возникающей из менее злокачественного хрящевого новообразования. Прилагательное «дедифференцированная» выбрано неудачно. Речь идет не о «дедифференцировке» зрелых хрящевых клеток, а о нарушении созревания митотически активных стволовых клеток. Частота находок «дедифференцированной» хонлросаркомы составляет И % от общего числа хондросарком. Пол и возраст пациентов значения не имеют. В среднем в течение 6-10 мес больные предъявляют жалобы на боль, отек и парестезию в месте возникновения опухоли. Локализация: «дедиффеpeнцированная» хондросаркома чаще всего поражает кости таза, проксимального конца бедренной и плечевой костей, листальные концы бедренной кости и ребер. При рентгенологическом исследовании обнаруживается или внутрикостное поражение литического типа с нечеткими контурами, или необызвествленное новообразование, расположенное в мягких тканях, но связанное с хрящевой опухолью. Очень часто имеется деструкция кортикального слоя. Обращает на себя внимание резкий контраст между хондроилной и «дедифферениированной» частями опухоли. «Дедифференцированная» хондросаркома возникает почти всегда из центральной хонлросаркомы, а та, в свою очередь, из энхонлромы. Несколько иная гистогенетическая последовательность имеет место в том случае, если «дедифференцированная» хондросаркома развивается из периферической хонлросаркомы: предшественницей последней является либо солитарная остеохондрома, либо одна из опухолей при наследственном остеохондроматозе.
Внешне «дедифференцированная» хондросаркома имеет вид опухоли из зрелого гиалинового хряща, но на поверхности разреза определяются участки красноватого или бурого цвета, имеющие более мягкую консистенцию, чем хрящ. Именно эти участки соответствуют «дедифференцированному» компоненту опухоли, причем они могут иметь различный объем. Независимо от вила хирургического вмешательства прогноз при «дедифференцированной» хондросаркоме исключительно неблагоприятный. До 90 % больных погибает в течение 2 лет, причем большая часть из них - в течение 1 года после постановки диагноза. При этом имеет место обширное метастазирование опухоли (преимущественно в легкие), а микроскопическая структура метастазов повторяет нехрящевой компонент опухоли. Встречаются также метастазы недифференцированной хондросаркомы в другие кости и во внутренние органы.
Под микроскопом «недифференцированная» хондросаркома состоит из хондроида, такого же, как в высокодифференцированной хондросаркоме, и нехряшевого компонента, четко отграниченных друг от друга. Нехрящевой компонент может быть представлен тканью фибросаркомы, злокачественной фиброзной гистиоцитомы, остео-или рабдомиосаркомы, изредка ангиосаркомы. Чаще всего обнаруживается картина злокачественной фиброзной гистиоцитомы, в которой причудливо переплетающиеся пучки атипичных фибробластов чередуются с гигантскими многоядерными клетками. Фиброзно-гистиоцитарная природа клеток подтверждается при иммуногистохимическом исследовании. В некоторых опухолях обнаруживаются пучки поперечнополосатых мышечных волокон и отложения цитокератина.
При дифференциальной диагностике «дедифференцированной» хондросаркомы следует иметь в виду такие опухоли, как высоко злокачественная хондросаркома, в которой имеется много веретеновидных клеток, мезенхимальная хондросаркома, хондробластическая остеосаркома, злокачественная фиброзная гистиоиитома и фибросаркома.
Лечение Хондросаркомы:
Большинство хондросарком резистентны к химиотерапии, поэтому основным методом лечения хондросарком является иссечение первичной опухоли и ее метастазов. Однако из этого правила есть два исключения:
- Дедифференцированная хондросаркома (высокодифференцированная опухоль, переродившаяся в злокачественную фиброзную гистиоцитому или остеогенную саркому) - опухоль, чувствительная к химиотерапии.
- Мезенхимная хондросаркома (редкий мелкоклеточный вариант хондросаркомы) тоже чувствительна к химиотерапии и лечится, как саркома Юинга.
Тип лечения будет зависеть от ряда факторов, включая размер и расположение опухолей, распространённость процесса, степень рака и общее самочувствие больного.
Так как хондросаркомы очень редки, они обычно лечатся в специализированных онкологических клиниках и центрах. Некоторые пациенты с хондросаркомой должны будут получить сочетание различных методик. Методы лечения, которые могут быть использованы при хондросаркоме: радиохирургия с применением системы стереотаксической роботизированной радиохирургии Кибер-Нож (CyberKnife® G4), хирургическое вмешательство - операция по удалению опухоли (когда это возможно), химиотерапия и лучевая терапия. Однако химиотерапия или лучевая терапия на линейном медицинском ускорителе считаются не очень эффективным средством для большинства хондросарком и, следовательно, радиохирургическое лечение опухоли и операция являются основными формами лечения.
К каким докторам следует обращаться если у Вас Хондросаркома:
Вас что-то беспокоит? Вы хотите узнать более детальную информацию о Хондросаркомы, ее причинах, симптомах, методах лечения и профилактики, ходе течения болезни и соблюдении диеты после нее? Или же Вам необходим осмотр? Вы можете записаться на прием к доктору .
Хондросаркома
Хондросаркома - это злокачественная хрящевая опухоль, составляющая до 25% всех злокачественных опухолей костей. В большинстве случаев они возникают в длинных трубчатых костях у пожилых пациентов. Могут быть как первичными, так и вторичными при малигнизации существующей доброкачественной хрящевой опухоли. При визуализации хондросаркомы характеризуются минерализацией хрящевого матрикса по типу колец и арок, признаки агрессивного роста в виде литических изменений, фестончатости эндоста и инвазии мягких тканей.
Эпидемиология
Возникают в 40-50 лет, с небольшим преобладанием у мужчин 1.5-2:1.
Патология
Классификация
Хондросаркомы могут возникать первично (de novo), или вторично в существующем хрящевом образовании.
Первичные хондросаркомы
- интрамедуллярная хондросаркома (первичная центральная хондросаркома)
- юкстокортикальная хондросаркома
- светлоклеточная хондросаркома
- миксоидная хондросаркома
- мезенхимальная хондросаркома
- внескелетная хондросаркома
- дедифферинцированная хондросаркома
Вторчные хондросаркомы
- из остеохондромы
- солитарная остеохондрома
- наследственные множественные экзостозы
- солитарная энхондрома
- болезнь Олье
- синдром Маффучи
Клиническая картина
Основные жалобы на боли, могут возникать патологические переломы, может определяться пальпаторно. Иногда имеется гипергликемия за счет паранеопластического синдрома.
Диагностика
Выявляемые изменения зависят от подтипа опухоли, но должны включать что-либо из ниже изложенных типичных признаков хондросаркомы. В основном, хондросаркомы, к моменту диагностики имеют крупные размеры, обычно более >4 см в диаметре (более 10 см в 50% случаев).
Рентгенография
- деструкция (50%)
- интраоссальная кальцинация: ~70% (по типу колец и арок или по типу попкорна) : поражение более чем на две трети толщины кортикального слоя (с сравнением с энхондромой, при которой фестончатость распространяется менее чем на две трети)
- рисунок изъеденный молью при высокой степени
- ремоделирование и истончение надкостницы, периостальная реакция являются полезными признаками в дифференциальной диагностике между энхондромой и хондросаркомой низкой степени злокачественности
Обобщено, при компьютерной томографии мы видим те же признаки, что и при рентгенографии, но с лучшей их визуализацией:
Хондросаркома - это злокачественная опухоль скелета, происходящая из хрящевой ткани. Может развиваться на неизмененных костях или образовываться в результате перерождения некоторых доброкачественных опухолей. Проявляется прогрессирующими болями и припухлостью в области поражения. В некоторых случаях отмечается местное повышение температуры, расширение сети подкожных вен над зоной опухоли и ограничение движений в близлежащем суставе. Возможно несколько вариантов течения - от относительно благоприятного, с медленным ростом и поздним метастазированием до неблагоприятного, с быстрым ростом и ранним появлением метастазов. Патология диагностируется по результатам рентгенографии, КТ, МРТ. Лечение хирургическое - резекция кости, ампутация или экзартикуляция.
МКБ-10
![Хондросаркома]()
Общие сведения
Хондросаркома - второе по распространенности злокачественное новообразование скелета. По различным данным составляет от 7 до 16% от общего количества злокачественных опухолей костей. Лечение хирургическое - радикальная операция, при которой производится удаление новообразования вместе с окружающими тканями. Примерно в 60% случаев болезнь выявляется у пациентов среднего и пожилого возраста (40-60 лет). Однако страдать этим заболеванием могут люди всех возрастов. Самое раннее появление опухоли отмечено в возрасте 6 лет, самое позднее - в возрасте 90 лет. У мужчин хондросаркома обнаруживается в 1,5-2 раза чаще, чем у женщин.
Причины хондросаркомы
Причины возникновения новообразования не выяснены. Неоплазия может развиваться первично или выявляться при озлокачествлении ряда диспластических процессов. Возможно поражение любых костных структур, однако чаще страдают кости таза, кости плечевого пояса, ребра, плечевые и бедренные кости.
Классификация
С учетом происхождения все хондросаркомы делятся на первичные и вторичные. Первичные, в свою очередь, подразделяются на центральные (растущие внутри кости) и периостальные или периферические (растущие по наружной поверхности кости). Среди вторичных хондросарком выделяют опухоли, возникшие в результате озлокачествления хондром, хондромиксоидных фибром, хондробластом, костно-хрящевых экзостозов или опухолей при хондроматозе костей (болезни Олье-Маффучи). Первичные хондросаркомы выявляются в 90% случаев, вторичные - 10% случаев.
В зависимости от особенностей строения различают типичные, светлоклеточные, анапластические и недифференцированные хондросаркомы. Кроме того, существует классификация степени злокачественности хондросарком с учетом особенностей опухоли, выявленных во время гистологического исследования:
- 1 степень злокачественности. Межклеточное вещество преимущественно состоит из хондроидной ткани, в которой расположены хондроциты с плотными мелкими ядрами. Многоядерных клеток мало, фигуры митоза отсутствуют.
- 2 степень злокачественности. Межклеточное вещество чаще миксоидное, клеток больше, чем при 1 степени злокачественности, отмечаются скопления клеток по периферии долек. Ядра увеличены, выявляются единичные фигуры митоза. Есть зоны разрушения (некроза).
- 3 степень злокачественности. Межклеточное вещество миксоидное. Клетки располагаются в межклеточном веществе группами или тяжами. Выявляется большое количество клеток неправильной или звездчатой формы. Много многоядерных клеток и клеток с увеличенными ядрами. Наблюдаются фигуры митоза. Есть обширные некротические очаги.
Чем выше степень злокачественности хондросаркомы, тем больше вероятность раннего образования метастазов и возникновения рецидива при хирургическом удалении опухоли.
Симптомы хондросаркомы
Клиническая картина зависит от вида и степени дифференцировки клеток опухоли. При высокодифференцированной хондросаркоме болезнь может развиваться в течение нескольких лет. Как правило, такое течение наблюдается у больных в возрасте 30 лет и старше. При изучении истории болезни выясняется, что пациента длительное время беспокоили сначала неприятные ощущения, а потом слабые, медленно прогрессирующие боли в области поражения. Болевой синдром мог усиливаться в ночное время, ослабевал под действием обезболивающих препаратов, но не исчезал после отдыха.
Опухоль может достигать значительных размеров, вызывать визуально видимую деформацию или определяться при пальпации. В ряде случаев также отмечается повышение температуры кожи и расширение подкожных вен над областью хондросаркомы, хотя эти симптомы выражены не так значительно, как при других злокачественных опухолях костей. Иногда выявляется ограничение движений в близлежащем суставе.
При низкодифференцированных формах хондросаркомы наблюдается более бурное течение. Как правило, до обращения пациента к врачам проходит не более 1-3 месяцев. Основной жалобой, как и в предыдущем случае, является боль в месте поражения, иногда усиливающаяся в ночное время и не исчезающая после отдыха. Однако при низкодифференцированных формах опухоли боли устойчивее к действию анальгетиков.
Болевой синдром отличается постоянством и быстро нарастает. Припухлость также увеличивается быстрее, чем при относительно благоприятном варианте течения. Повышение местной температуры, ограничение движений в расположенном рядом суставе и расширение подкожных вен встречается с той же частотой, что и при высокодифференцированных опухолях. Низкодифференцированные формы хондросаркомы чаще возникают в молодом и юношеском возрасте и отличаются более высокой частотой рецидивов.
При всех видах хондросарком большого размера, расположенных в области костей таза, может наблюдаться ряд характерных симптомов, обусловленных давлением опухоли на соседние органы и ткани. При сдавлении седалищного сплетения возникают боли, отдающие в ягодицу и по задней поверхности бедра. При сдавлении шейки мочевого пузыря возможны затруднения мочеиспускания. При сдавлении подвздошной вены может развиться односторонний отек нижней конечности на стороне поражения.
Отдаленные метастазы чаще возникают при низкодифференцированных формах хондросарком. Злокачественные клетки попадают в другие органы с током крови (гематогенным путем). Обычно поражаются регионарные лимфатические узлы, печень, легкие и головной мозг. Для периостальных хондросарком характерен особый вид метастазирования. Вокруг таких опухолей существует реактивная зона - область, отделяющая новообразование от окружающих тканей. Периферические хондросаркомы прорастают эту зону и образуют так называемые прыгающие метастазы (сателлитные узлы) - очаги злокачественных клеток, не имеющие непосредственной связи с основной опухолью. Такие очаги располагаются либо в самой реактивной зоне, либо поблизости от нее в толще здоровых тканей.
Диагностика
Диагностику заболевания осуществляют врачи-онкологи, к которым больных обычно направляют травматологи и ортопеды. Клинические симптомы при хондросаркоме неспецифичны, поэтому диагноз выставляется на основании дополнительных исследований. При центральных хондросаркомах на рентгеновских снимках обнаруживается очаг деструкции неправильной формы с нечеткими очертаниями, обычно расположенный в метадиафизе. Иногда опухоль выглядит крапчатой из-за мелких очажков обызвествления. Кость вокруг очага вздута.
При периферических хондросаркомах на рентгенограммах выявляется контрастное образование бугристой формы с нечеткими контурами, расположенное на наружной поверхности кости. В переходной зоне между нормальной костью и измененной опухолевой тканью отмечается неравномерное уплотнение. Кортикальный слой кости в этой зоне неровный. Как и при центральной хондросаркоме, может выявляться крапчатость из-за участков обызвествления.
Для уточнения диагноза выполняют трепанобиопсию кости. Забор материала производится из нескольких участков опухоли. В процессе гистологического исследования определяется степень злокачественности хондросаркомы. Как правило, перечисленных исследований достаточно для точной диагностики. В отдельных случаях могут понадобиться дополнительные методы: МРТ кости, компьютерная томография и остеосцинтиграфия. Для выявления метастазов в легких пациентам с хондросаркомой назначается рентгенография грудной клетки.
Лечение хондросаркомы
Пациенты госпитализируются в отделение онкологии. Большинство хондросарком устойчивы к химиотерапии и лучевой терапии, поэтому основным способом лечения при этом заболевании является хирургическая операция. При хондросаркомах 1 и 2 степени злокачественности выполняется удаление новообразования. Хондросаркому иссекают единым блоком вместе с тканями реактивной зоны и некоторым запасом окружающих здоровых тканей, чтобы в ране не осталось опухолевых клеток. В зависимости от размера и локализации опухоли проводится либо резекция части кости, либо ее удаление с последующим эндопротезированием.
При хондросаркомах 3 степени злокачественности может потребоваться радикальное хирургическое вмешательство - ампутация или экзартикуляция пораженной конечности. Если из-за общих противопоказаний или труднодоступности опухоли ее оперативное удаление невозможно, проводится химио- и лучевая терапия. Однако эти методы являются лишь паллиативными, направленными на замедление роста хондросаркомы, и не обеспечивают излечения.
Прогноз и профилактика
Прогноз при хондросаркомах всегда серьезный. Исход зависит от степени злокачественности неоплазии. При 1 степени пятилетняя выживаемость составляет 90%, при 2 степени - 45-60%, при 3 степени - около 30%. Профилактические мероприятия не разработаны.
Диагностика метастазов в легкие: КТ и рентгенография
Компьютерная томография — один из самых чувствительных и распространенных методов диагностики метастазов в легкие. Это исследование позволяет выявить очаги опухоли меньше 1 мм в диаметре. Более чувствительным и специфичным методом является только ПЭТ/КТ, но он меньше распространен, дороже и сложнее в применении.Для выявления мелких очагов лучше использовать спиральную компьютерную томографию. Чтобы определить метастазы в легкие, контрастное усиление не является обязательным, но может быть полезным для дифференцировки легочных сосудов и лимфоузлов при их вторичном поражении.
МЕТАСТАЗЫ В ЛЕГКИЕ: КЛАССИФИКАЦИЯ
Вторичные легочные узлы можно классифицировать по следующим критериям:
Способ распространения
Выделяют гематогенные метастазы, и лимфогенные метастазы, симптомы и прогноз при которых обычно хуже, чем при гематогенных. В первом случае опухолевые клетки попадают в ткань органа с током крови, во втором случае — с током лимфы, например, при раке молочной железы.
Выделяют также контактные метастазы, возникающие при непосредственном прорастании в легочную ткань рака пищевода, гортани, трахеи и других органов. Крайне редко встречаются аспирационные метастазы, возникающие при вдыхании частиц опухоли гортани, глотки, языка, полости носа или рта.
Сделать КТ грудной клетки в Санкт-Петербурге
Источник метастазирования
Наиболее часто в легкие метастазируют рак почки, скелета, молочной железы; встречаются также метастазы саркомы, семиномы. Не существует достоверных КТ-признаков, позволяющих уверенно отличить отсевы одного типа рака от другого — например, вторичный узел при саркоме от такового при раке молочной железы. Пожалуй, исключением являются редкие метастазы липосаркомы, которые имеют «жировую» плотность на компьютерных томограммах — в пределах -50…-100 единиц Хаунсфилда.
Частота метастазирования опухолей различной локализации в легкое (по данным Розенштрауха Р. В.)
Первичная опухоль Частота (%) Хориоэпителиома 55,4 Рак почки 34,7 Остеосаркома 32,3 Семинома 21,5 Меланома кожи 20,5 Рак молочной железы 15,7 Рак легкого 6,6 Карцинома толстого кишечника 5,6 Рак матки, саркома матки 4,2 Рак желудка 1,6 ![image001]()
![image003]()
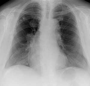
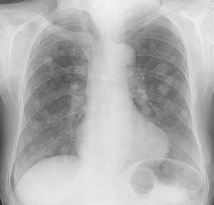
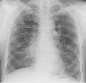
Метастазы в легких — фото рентгенограммы. Округлые тени — метастазы рака пищевода. Хорошо виден большой узел округлой формы вблизи переднего отрезка 2-го ребра. На снимке справа - циркулярное сужение пищевода за счет опухолевого утолщения его слизистой оболочки.
![image005]()
![image007]()
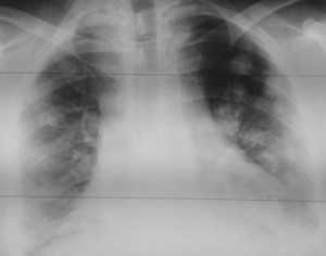
Как выглядят метастазы в легких на рентгене? Слева — узловые образования у пациента с раком яичка. Справа - метастазы рака яичников гематогенного характера с выраженным опухолевым лимфангиитом (обратите внимание на деформированный сетчатый, линейный характер легочного рисунка).
МЕТАСТАЗЫ В ЛЕГКИХ: КЛИНИЧЕСКИЕ СИМПТОМЫ И ПРИЗНАКИ
В подавляющем большинстве случаев вторичные опухоли протекают бессимптомно, по крайней мере, до тех пор, пока не произойдет прорастание в просвет бронха, в плевру, средостение, перикард или сосуды, метастазирование в лимфоузлы средостения. Пациенты предъявляют жалобы на симптомы раковой интоксикации, которые, впрочем, могут быть обусловлены также наличием первичной опухоли.
Одними из первых симптомов являются кашель, одышка, боли в грудной клетке. Наличие крови в мокроте - неблагоприятный признак, который свидетельствует о прорастании бронха опухолью.
Имеет место определенная зависимость между клиническими проявлениями и органной принадлежностью метастазов. Так, по данным Н. И. Рыбаковой, одышка была выявлена в 13% случаев, при этом у большинства пациенток была опухоль молочной железы.
Боли в груди могут быть ранним признаком при субплевральной локализации вторичных очагов.
Рак груди метастазирует лимфогенно в лимфатические узлы средостения, которые, увеличиваясь, нарушают кровообращение. Кроме этого, при раке груди часто возникает опухолевый плеврит. В совокупности эти факторы провоцируют развитие выраженной одышки.
КАК ПОНЯТЬ, ДЕЙСТВИТЕЛЬНО ЛИ В ЛЕГКИХ МЕТАСТАЗЫ?
Иногда дифференциальная диагностика вторичных поражений легких бывает очень сложной и требует глубоких знаний рентгенодиагностики органов грудной клетки. Наиболее профессионально этим занимаются в специализированных легочных учреждениях, например в Санкт-Петербургском НИИ фтизиопульмонологии. Поэтому при сомнениях в диагнозе врачи рекомендуют получить Второе мнение — повторное описание диска КТ, МРТ или рентгенографии с целью подтверждения или опровержения диагноза, а также более точной и детальной оценки изменений. Такую консультацию можно получить с помощью службы консультаций НТРС, которая объединяет известных врачей-диагностов из профильных центров России.
Ниже подробно рассматриваются лучевые признаки легочных метастазов.
КТ-ПРИЗНАКИ МЕТАСТАЗОВ В ЛЕГКИЕ
Метастазы чаще всего представлены узловыми образованиями в легочной ткани вне строгой связи с легочными артериями или венами. Для них характерны следующие КТ-признаки:
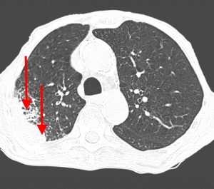
Вторичные узлы гематогенного характера чаще всего имеют ровные края, четкие контуры и однородную структуру. Возможны изменения структуры опухоли вследствие кровоизлияния в паренхиму, обызвествлений, некроза центральной части узла, а также рубцов. Края узла могут стать нечеткими, расплывчатыми, если опухоль провоцирует отек легочной паренхимы, либо «лучистыми», если имеет место опухолевый лимфангиит.
![image009]()
![image011]()
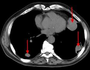
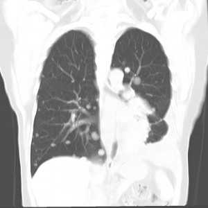
Слева - рак почки с метастазами в легкие, прогноз в данном случае неблагоприятный ввиду метастатического плеврита и дыхательной недостаточности. Определяются очаги с обеих сторон. Справа - мелко- и среднеочаговая диссеминация при раке печени.
![image015]()
Множественные гематогенные вторичные узлы при раке почки, компьютерная томография (КТ).
Лимфогенные метастазы на рентгене и КТ выглядят как множественные мелкие очаги с диссеминированным распространением, локализованные в междольковых перегородках, в плевральных листках. Вокруг можно видеть характерную картину ракового лимфангиита. Кроме того, практически всегда выявляются патологически измененные и увеличенные лимфатические узлы средостения. Лимфогенное метастазирование необходимо дифференцировать с милиарным туберкулезом, саркоидозом. Иногда это требует привлечения Второго мнения.
![image017]()
![image019]()
КТ: метастазы в легких при раке молочной железы. На изображении справа красной звездочкой отмечен опухолевый узел в молочной железе, красными стрелками - область прорастания опухоли в грудную стенку. Синими звездочками отмечен карциноматозный плеврит — скопление жидкости в плевральной полости. Слева стрелкой отмечен вторичный узел.
Контактные метастазы представлены мягкотканным объемным образованием, прорастающим из сопредельного органа. Это может быть пищевод, трахея, гортань, реже опухоль исходит из плевры (мезотелиома), диафрагмы, ребер, позвонков.
![image021]()
![image023]()
Пример контактного распространения опухоли: мезотелиома плевры, прорастающая в верхнюю легочную долю и грудную стенку. Спиральная компьютерная томография (МСКТ).
Чаще всего метастазы выглядят как множественные очаги. Одиночные вторичные узлы крайне редки и встречаются меньше чем в 5% случаев. Чем больше узлов выявлено, тем выше вероятность их метастатической природы. Одиночный метастаз нужно дифференцировать с первичным раком, для этого обычно требуется тканевое исследование после оперативного вмешательства или биопсии.
Гематогенные метастазы наиболее часто локализуются в периферических отделах легких, вдали от крупных сосудисто-бронхиальных пучков, вблизи плевральной оболочки. При множественных поражениях гематогенного характера наблюдается тенденция к увеличению количества очагов в направлении «сверху-вниз». Чаще гематогенные метастазы расположены хаотично, вне четкой связи с бронхами и видимыми легочными сосудами. Практически не бывает такого, чтобы гематогенные вторичные узлы находились только с одной стороны, или занимали только одну долю или сегмент. При наличии такого распределения в первую очередь нужно думать о туберкулезе (верхние доли), множественных абсцессах и т. д.
Лимфогенные метастазы проявляются увеличением лимфатических узлов средостения в сочетании с мелкоочаговой диссеминацией с очагами до 2-3 мм в диаметре вблизи плевры и в междольковых перегородках, а также по ходу бронхов и сосудистых пучков.
![image025]()
![image027]()
Гематогенные метастазы саркомы мягких тканей бедра на КТ (справа) и рентгенограмме (слева).
Контактные метастазы обычно единичны и располагаются на границе с другими органами, реже со стороны диафрагмы.
Отдельно рассматриваются метастазы первичного рака легкого - гематогенного и лимфогенного характера. Гематогенные могут быть локализованы на стороне поражения или с обеих сторон. Лимфогенные — в лимфоузлах корня на стороне поражения, а также на противоположной стороне. Чем дальше расположены метастазы от основной опухоли, тем хуже прогноз.
![image029]()
Обратите внимание на увеличение и нарушение структуры корня правого легкого. Это центральный рак. Кроме того, выявлены очаговые тени в обоих легочных полях (гематогенное распространение), а также «лучи», идущие радиально от опухоли корня (лимфогенное распространение).
КАК ОТЛИЧИТЬ МЕТАСТАЗЫ В ЛЕГКИХ ОТ САРКОИДОЗА ИЛИ ТУБЕРКУЛЕЗА?
Крайне важно уметь отличить на КТ-изображениях метастазы в легких и следующие очаговые образования:
Первичными злокачественными опухолями
- первичным периферическим раком
- бронхиоло-альвеолярным раком
- лимфомой, саркомой Капоши
Доброкачественными опухолями
Гранулематозами
Воспалительными заболеваниями
- септической очаговой пневмонией и множественными абсцессами
Сосудистыми аномалиями
Нормальными анатомическими образованиями
Отличительные признаки гематогенных метастазов при компьютерной томографии (КТ)
Сделать КТ легких в Санкт-Петербурге
Василий Вишняков, врач-радиолог
Кандидат медицинских наук, член Европейского общества радиологов
2 комментария много:
Dorogoi Pavel! zdravstvuite. u menia takoi diletantni vopros k vam . u moego sina posle lechenia seminomi:bili sdelani dve operacii, pravaia orxeqtomia, potom ximioterapia BEP , potom nabludenie 3-x mesiachnoe,
posle, nabludenia okazalos odin limfouzel stal progressirovat a dva naoborot umenshilis. potom spomoshu
laparaskopii dlia diagnostiki udalili limfadenopatiu i sdelali imunohistologiu, kotori pokazal
opiat metastaz seminomi,i pozitivnie kletki razmnojenia 40%-ov. posle naznachili luchevuu terapiu
i cheraz dva mesiaca pozavchera sdelali kate. kate pokazal metastazi v liogkix i vseredinke
shei , a v jivote tishina , limfouzli unichtojilis.
za ves etot period nekogda v liogkix nichego ne bilo, bilo vsio chisto, i vse organi chistii v chom mi vo vremia lechenii dopustili oshibku, i mojno ili net, chtobi sdelali operaciu peresadki moegoego liogkogo,
moemu sinu, i u oboix budet odno liogkoe. ogromnoe spasibo zaraneeЧто показывает КТ грудной клетки, подготовка, показания и противопоказания
![КТ грудной клетки фото]()
КТ органов грудной клетки - усовершенствованный способ рентгенографической визуализации, который использует излучение для создания детальных изображений грудины, грудино-ключичных суставов, ребер, прилежащих мягких тканей и органов (в первую очередь, легких).
Исследование проводят, если после выполненной обычной рентгенографии причина жалоб осталась неясной или есть подозрение на патологический процесс в данной области. Компьютерная томография органов грудной клетки может быть выполнена в качестве альтернативы МРТ, если у пациента есть противопоказания к проведению магнитно-резонансного сканирования. Для лучшей визуализации возможно введение контрастного вещества. Основным преимуществом КТ является его способность одновременно демонстрировать кости, мягкие ткани (при контрастировании) и кровеносные сосуды.Что показывает КТ грудной клетки
![Мультиспиральная КТ грудной клетки, 3D-реконструкция]()
Мультиспиральная КТ грудной клетки, 3D-реконструкция
Специалисты выделяют в средостении три области: центральное (сосудистое пространство с перикардом и его содержимым, сосудами и лимфатическими узлами), переднее (жировая клетчатка, вилочковая железа, внутренние грудные артерии и лимфоидные ткани) и заднее (трахея, пищевод, нисходящая часть грудной аорты, лимфоузлы и паравертебральные пространства грудной клетки). Соответственно, все патологические процессы, которые протекают в данных зонах, могут быть видны.
Грудина, ребра и их сочленения - основные структуры передней стенки грудной клетки - подвержены различным анатомическим аномалиям и патологическим процессам, которые в некоторых случаях требуют лечения. Врач обосновано направит на диагностическую процедуру, если у пациента имеет место необъяснимый длительный кашель, загрудинные боли, кровохарканье, увеличение регионарных лимфоузлов, ограничение в движении плеча, скованность в области грудного отдела позвоночника и др. КТ органов грудной клетки и средостения может показать следующие изменения:
Остеоартроз (остеоартрит) - распространенная патология, затрагивающая чаще грудино-ключичные суставы. На компьютерной томограмме, в отличие от рентгенограммы, можно увидеть субхондральный склероз, кисты, сужение суставной щели и изменения в волокнистой хрящевой ткани диска. Серонегативные артриты, подагра и некоторые иные заболевания также могут затрагивать соединения отделов грудины между собой и с окружающими костными структурами, что убедительно видно на КТ.
Ранняя диагностика септического артрита грудино-ключичного сустава важна для своевременного начала лечения, так как существует высокий риск осложнений - целлюлита, остеомиелита, медиастинита, септического шока. В запущенных случаях можно увидеть абсцесс и формирование свищевого хода. Изменения, которые видны при КТ органов грудной клетки, включают воспалительные процессы в твердых структурах (разрушение суставных поверхностей, расширение суставной щели), в органах и тканях (диффузная инфильтрация, скопление жидкости, газа, размытость границ, реактивное увеличение лимфоузлов). Осложнившуюся пневмонию, плеврит, абсцесс легкого и мягких тканей грудной клетки можно диагностировать с помощью КТ. Исследование также показывает изменения со стороны сердца и клапанного аппарата.
Острые и травматические состояния.
В результате сильного физического воздействия (чаще - вследствие ДТП) возникают один или несколько переломов грудины. Компьютерная томография позволяет диагностировать сочетанные травмы (повреждения ребер, грудного отдела позвоночника, легких и сердца) и осложнения (легочные ателектазы, гемо- и пневмоторакс, гемоперикард). Спонтанные переломы грудины возникают при наличии новообразования (множественная миелома, метастазирование), остеопороза и могут имитировать острые коронарные заболевания. С помощью КТ грудной клетки возможна диагностика врожденных аномалий сосудов или приобретенных патологий: тромбоэмболии легочной артерии, диссекции аорты и пр. По данным КТ ОГК выявляют причины ишемии, дисфункцию сердечных клапанов.
После выполнения стернотомии (операция обеспечивает лучший доступ к сердцу) есть вероятность осложнений: расхождения краев раны, вторичный остеомиелит грудины или ребер, медиастинит и медиастинальная гематома, плевральный выпот. После хирургических вмешательств на сердце и сосудах могут развиться неблагоприятные последствия (инфицирование электродов кардиостимулятора, инфекционно-воспалительные осложнения и пр.). Эти состояния с помощью КТ дифференцируют с нормальными послеоперационными изменениями. У таких пациентов выполняют компьютерное сканирование в динамике. Осложнения могут присутствовать и после вмешательств на легких и прочих структурах. В экстренных ситуациях преимущество КТ - быстрота получения результатов.
Новообразования и метастазирование.
Большинство неопластических процессов грудины носит метастатический характер, что объясняется прямым проникновением из соседних органов или гематогенным путем. Рак молочной и щитовидной желез, легкого, почки, толстой кишки и лимфомы - самые распространенные источники метастазов грудины. КТ грудной клетки с контрастом - золотой стандарт в диагностике рака легких, позволяет увидеть изменения на начальной стадии, при которой возможно радикальное лечение. Компьютерное сканирование показывает также новообразования средостения, которые многообразны по морфологии и генезу. Наиболее часто встречаются тимомы, кисты, нейрогенные опухоли, злокачественные лимфомы. С помощью сканирования при дисфагии можно предположить рак пищевода, но во всех случаях окнчательный диагноз подтверждает морфологическое исследование.
Нередко пациенты задают вопрос: “Что сделать - КТ или МРТ органов грудной клетки?” К каждому исследованию есть свои показания и противопоказания, но способы часто являются взаимодополняющими. Специалисты диагностического центра могут подсказать, что предпочтительнее в каждом конкретном случае, но лучше, если на руках будет направление от лечащего врача.
Как делают КТ органов грудной клетки
![Положение пациента во время КТ грудной клетки]()
Положение пациента во время КТ грудной клетки
На диагностическую процедуру необходимо предварительно записаться, но возможно выполнение в день обращения, по жизненным показаниям. Современные КТ-сканеры могут исследовать большие участки тела всего за несколько секунд, что особенно подходит для пациентов, испытывающих трудности с длительной неподвижностью и маленьких детей. Рентген-техник размещает пациента на столе, для обеспечения неподвижности возможно использование фиксирующих ремней и подушек. Излишняя мобильность приводит к появлению размытости на изображениях. Наблюдение за ходом процедуры ведется из смежного кабинета, через стекло. Для экстренных случаев есть кнопка связи с персоналом. Стол с пациентом скользит вглубь томографа, вокруг тела начинает вращаться множество рентгеновских датчиков, передавая изображения поперечного сечения грудной клетки на экран монитора. Снимки с помощью специальной компьютерной программы могут быть переформатированы в другие плоскости. Полученные в результате диагностики данные легко перенести на любой носитель или распечатать. Неприятных ощущений во время КТ органов грудной клетки и средостения нет, технический шум, который производит работающее оборудование, можно нивелировать, если воспользоваться наушниками. Сканирование длится менее минуты, вся процедура с подготовкой и укладкой занимает не более получаса.
Для улучшения визуализации в некоторых случаях (преимущественно, в диагностике злокачественных новообразований и для оценки динамики после проведения химиолучевой терапии) выполняют КТ органов грудной клетки с контрастом. Препарат вводят внутривенно, перед этим обязательно оценивают уровень креатинина в крови. Усиленная радиофармпрепаратом компьютерная томография помогает уточнить диагноз при туберкулезе (количество очагов, их расположение, состояние лимфоузлов), но окончательная верификация происходит после оценки результатов комплексного обследования (пробы Манту, диаскинтеста, и, при необходимости, биопсии). Воспаление и повреждение паренхимы легких обычно хорошо видны на КТ без контрастного усиления. Если есть опасения по поводу осложнений, радиофармпрепарат может помочь дополнительно определить степень выраженности патологического процесса.
КТ органов грудной клетки детям проводят исключительно по жизненным показаниям в специальных диагностических центрах при педиатрических клиниках.
Подготовка к исследованию
![Перед прохождением диагностики убедитесь в отсутствии противопоказаний]()
Перед прохождением диагностики убедитесь в отсутствии противопоказаний
Каких-либо длительных мероприятий подготовка к КТ грудины не подразумевает, для нативного исследования достаточно выбрать удобную одежду без металла, снять украшения. Если предстоит введение контрастного вещества, за 40-50 минут до начала процедуры необходимо неплотно перекусить, что поможет предотвратить или уменьшить вегетативные реакции (легкую тошноту, слюнотечение, головокружение). Пациенты, страдающие сахарным диабетом и принимающие Метформин, по согласованию с эндокринологом должны отказаться от препарата за 48 часов до процедуры. Во время лактации рекомендуют сделать запас молока на два кормления.
Показания и противопоказания к КТ грудины
КТ грудины входит в компьютерное сканирование грудной клетки. Диагностика не является рутинным методом обследования и выполняется, если причина заболевания остается неясной или изменения на рентгенограммах требуют уточнения.
Перечислим основные показания к КТ грудины и грудной клетки:
подозрение на патологический процесс в легких, плевре, сердце, грудине, суставах, средостении;
пред- и послеоперационное обследование;
определение зоны для лучевого воздействия при злокачественных новообразованиях соответствующей области;
отслеживание динамики после проведенного лечения.
Противопоказания к КТ грудины и грудной полости
Современная аппаратура позволяет минимизировать лучевую нагрузку по сравнению с обычной рентгенографией в 1,5-2 раза: КТ ОГК безопасна для большинства людей. Исключение - беременные женщины и дети в возрасте до 14 лет. По техническим причинам диагностическая процедура невыполнима у пациентов с выраженным ожирением (выше 150 кг).
Противопоказания к выполнению контрастирования:
хроническая почечная недостаточность с повышением уровня креатинина;
Введение индикаторного препарата недопустимо, если во время или после предыдущего контрастирования развилась серьезная реакция гиперчувствительности по типу отека Квинке или анафилаксии. Небольшая тошнота, металлический привкус, головокружение, приливы жара рассматриваются как вариант нормы и не являются противопоказаниями к КТ с усилением.
Фото томографии грудной клетки
Расшифровка снимков происходит в тот же день. Полученные изображения анализирует врач-рентгенолог, который и выдает заключение. Определить верный диагноз непросто, ведь среди нескольких десятков оттенков черного, серого и белого необходимо вычленить несоответствующий норме и интерпретировать результат. Представим Вашему вниманию несколько фото томографии грудной клетки:
КТ без контраста у пациента с интерстициальным заболеванием легких в анамнезе и трансплантацией правого легкого показывает суженный участок анастомоза правого бронха (красная стрелка). Собственное левое легкое уменьшено в размерах, с признаками бронхоэктазов, бронхиолоэктазов (черная стрелка). Сужение центрального дыхательного пути на выдохе у трансплантированного легкого (синяя стрелка).
![Выпот (красные стрелки) в обеих плевральных полостях.]()
Выпот (красные стрелки) в обеих плевральных полостях.
Читайте также:
- Анатомия: Базальные ядра полушарий. Полосатое тело, coprus striatum. Хвостатое ядро, nucleus caudatus.
- Эпидемиология рака гортани и причины, механизмы его развития
- Острые лейкозы
- Длительность течения рака толстой кишки. Множественный рак толстой кишки при полипозе
- Основы профилактики заболеваний. Основы профилактики болезней.



















