Диагностика хронической гипертензивной энцефалопатии по КТ, МРТ
Добавил пользователь Евгений Кузнецов Обновлено: 01.11.2025
ГЭ - возникает на фоне тяжелой длительной АГ или в результате быстрого подъема АД до очень высоких цифр. В некоторых случаях это происходит в результате неоправданной отмены гипотензивных препаратов или при приеме больными АГ препаратов, повышающих АД, а иногда при заболеваниях, которые могут приводить к неожиданным подъемам АД до высоких цифр (остром нефрите, феохромоцитоме, токсикозе беременных, расслоении аорты) [1]
Пользователи протокола: терапевты, врачи общей практики, невропатологи, реаниматологи, кардиологи, врачи скорой и неотложной медицинской помощи.
Класс I - польза и эффективность диагностического метода или лечебного воздействия доказана и/или общепризнаны
Класс III - имеющиеся данные или общее мнение свидетельствуют о том, что лечение неполезно/неэффективно и, в некоторых случаях может быть вредным
В - результаты одного рандомизированного клинического исследования или крупных нерандомизированных исследований
С - общее мнение экспертов и/или результаты небольших исследований, ретроспективных исследований, регистров

Автоматизация клиники: быстро и недорого!
- Подключено 300 клиник из 4 стран
- 800 RUB / 4500 KZT / 27 BYN - 1 рабочее место в месяц

Автоматизация клиники: быстро и недорого!
- Подключено 300 клиник из 4 стран
- 1 место - 800 RUB / 4500 KZT / 27 BYN в месяц
Мне интересно! Свяжитесь со мной
Классификация
Диагностика
II. МЕТОДЫ, ПОДХОДЫ И ПРОЦЕДУРЫ ДИАГНОСТИКИ И ЛЕЧЕНИЯ
Минимальный перечень обследования, который необходимо провести при направлении на плановую госпитализацию: плановая госпитализация не проводится.
- зрительные расстройства (фотопсии, скотомы, снижение остроты зрения и др.), ассоциированные с повышением АД (250/130 мм.рт.ст. и выше); и быстро регрессирующие на фоне снижения АД.
Анамнез: наличие в анамнезе злокачественной артериальной гипертензии.
- протеинурия - появление белка в моче.
Офтальмоскопия (исследование глазного дна): застойные изменения дисков зрительных нервов в сочетании с ретинопатией.
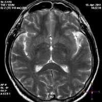
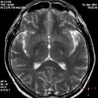
КТ или МРТ: определяются симметричные множественные очаговые изменения и умеренно выраженные признаки «масс-эффекта», иногда признаки компрессии боковых желудочков, фокальный или диффузный отек головного мозга, микрогеморрагии.
Дифференциальный диагноз
Лечение
Профилактика АГ. Смотрите протокол «Артериальная гипертония»
- салуретики (при ОГЭ, но не при инсульте): фуросемид - 20,0 - 40,0 мг в/в в 10.0 мл физиологического раствора 2-3 дня.
- ницерголин - внутримышечно по 2-4 мг (2-4 мл) 2 раза/сут. или внутривенно капельно в дозе 4-8 мг в 100 мл 0.9% раствора натрия хлорида № 7-10.
- противорвотные препараты - метоклопрамид 2 мл в/в или в/м, витамин В6 5% р-р - 2,0-3,0 мл в/в на 10.0 мл физиологического раствора;
- антидепрессант: флуоксетин 20 мг - 1раз в сутки.
- противосудорожные препараты: диазепам 10 мг (ампулы).
- антигипертензивная терапия (смотрите протокол «артериальная гипертония»)
- дексаметазон (ампулы);
- магния сульфат (ампулы);
- При резком повышении АД обычно выше 220/120мм.рт.ст.(Смотрите протоколы «Артериальная гипертония»);
- диазепам 10 мг в/в или в/м, при некупировании судорог повторить введение (при возбуждении эпилептических припадках);
- магния сульфат внутривенно или внутримышечно медленно (первые 3 мл — в течение 3 мин), по 5-20 мл 20-25 % раствора.
Другие виды лечения, оказываемые на этапе скорой неотложной помощи: подача кислорода.
Хирургическое вмешательство: не проводятся.
Препараты (действующие вещества), применяющиеся при лечении
| Дексаметазон (Dexamethasone) |
| Декстран (Dextran) |
| Депротеинизированный гемодериват из крови молочных телят (Bos taurus), стандартизованный химически и биологически |
| Диазепам (Diazepam) |
| Зопиклон (Zopiclone) |
| Комплекс пептидов, полученных из головного мозга свиньи (The complex of peptides derived from porcine brain) |
| Магния сульфат (Magnesium sulfate) |
| Маннитол (Mannitol) |
| Метоклопрамид (Metoclopramide) |
| Натрия хлорид (Sodium chloride) |
| Ницерголин (Nicergoline) |
| Пентоксифиллин (Pentoxifylline) |
| Пиридоксин (Pyridoxine) |
| Флуоксетин (Fluoxetine) |
| Фуросемид (Furosemide) |
| Холина альфосцерат (Choline alfostserat) |
| Цитиколин (Citicoline) |
Госпитализация
- неврологические нарушения (нистагм, нарушение аккомодации и конвергенции, менингизм, оживление сухожильно-рефлекторных сфер, диссоциация рефлексов на верхних и нижних конечностях).
Информация
Источники и литература
Информация
1) Мазурчак Михаил Дмитриевич -КГП на ПХВ «Областной медицинский центр» Управления здравоохранения Карагандинской области, заведующий неврологическим отделением, врач-невропатолог высшей категории, главный внештатный невропатолог МЗ РК
2) Каменова Салтанат Уалихановна - доктор медицинских наук, профессор, РГП на ПХВ «Казахский Национальный Медицинский Университет имени С.Д. Асфендиярова» заведующая кафедрой интернатуры и резидентуры по неврологии
3) Клипицкая Нина Константиновна - доцент кафедры интернатуры и резидентуры по неврологии РГП на ПХВ «Казахский Национальный Медицинский Университет имени С.Д. Асфендиярова»
4) Худайбергенова Махира Сейдуалиевна - клинический фармаколог АО «Национальный научный центр онкологии и трансплантологии».
Абдрахманова Майра Галымжановна - доктор медицинских наук, профессор РГП на ПХВ «Карагандинский Государственный Медицинский Университет», заведующая кафедрой нервных болезней
Указание условий пересмотра протокола: пересмотр протокола через 3 года и/или при появлении новых методов диагностики/ лечения с более высоким уровнем доказательности.
Гипертоническая энцефалопатия
Гипертоническая энцефалопатия — это хроническое прогрессирующее поражение мозговых тканей, обусловленное нарушениями церебральной гемодинамики у пациентов с длительно протекающей, плохо контролируемой артериальной гипертензией. Клинически проявляется симптомами дисциркуляторной энцефалопатии. Диагностируется гипертоническая энцефалопатия при сопоставлении данных неврологического осмотра, заключения кардиолога и психиатра, результатов исследований мозговой гемодинамики и церебральной МРТ. Лечение проводится на фоне приёма антигипертензивных средств, включает сосудистые, ноотропные, нейропротекторные и симптоматические фармпрепараты.
МКБ-10

Общие сведения
Среди причин дисциркуляторной энцефалопатии артериальная гипертензия занимает второе место после атеросклероза. В МКБ-10 гипертоническая энцефалопатия (ГЭ) выделена как отдельный вид энцефалопатии, развивающийся у больных с гипертонической болезнью или длительно текущими симптоматическими гипертензиями. Термин введён в 1985 году отечественными нейрофизиологами И.В. Ганушкиной и Н.В. Лебедевой. В отличие от атеросклеротической энцефалопатии гипертоническая протекает с преимущественным поражением мозговых сосудов мелкого калибра. Однако разделение данных энцефалопатий весьма условно, поскольку гипертоническая энцефалопатия сопровождается быстрым развитием атеросклеротических изменений церебральных сосудов.

Причины
Основным этиологическим фактором ГЭ выступает высокий уровень артериального давления (АД). Артериальная гипертензия может иметь первичный характер (гипертоническая болезнь) и развиваться вторично вследствие поражения почек (хронического пиелонефрита, гломерулонефрита, гидронефроза), эндокринных расстройств (феохромоцитомы, гиперкортицизма, первичного гиперальдостеронизма), атеросклероза аорты. Повышенный риск развития ГЭ у гипертоников обуславливают следующие факторы:
- Неконтролируемые высокие цифры АД. Патологические изменения в сосудах наступают быстрее у пациентов, не получающих гипотензивную терапию или получающих её в недостаточном объёме. В ряде случаев не удаётся полностью скорректировать гипертонию при помощи медикаментозной терапии.
- Гипертонические кризы. Каждый резкий подъём АД негативно отражается на состоянии сосудистой стенки, приводит к её истончению, увеличению проницаемости. Подобные изменения обуславливают последующее геморрагическое пропитывание церебральных тканей в месте истончения.
- Перепады АД. Резкие колебания артериального давления обуславливают гипертрофию сосудистой стенки с сужением её просвета, увеличивают износ сосудистых тканей. Гипотония, в том числе обусловленная ятрогенной дилатацией сосудов, приводит к замедлению и недостаточности церебрального кровотока.
- Ночная гипертензия. Ночные подъёмы артериального давления зачастую имеют скрытый характер. Отсутствие своевременной коррекции давления приводит к продолжительному спастическому состоянию мозговых сосудов с развитием ишемических процессов в кровоснабжаемых ими тканях.
- Большое пульсовое давление. Исследования показали, что разница между систолическим и диастолическим давлением 40 мм рт. ст. усугубляет течение сердечно-сосудистой патологии. Постоянное увеличение пульсового давления обуславливает дополнительную нагрузку на сосудистую стенку и мышечный аппарат.
Патогенез
Компенсаторной реакцией на повышение АД является сужение мелких артериол, предупреждающее их разрыв и выравнивающее пульсовое давление. Постоянная гипертония, частые подъёмы давления обуславливают гипертрофию мышечного слоя стенок артериол. В результате происходит утолщение сосудистой стенки и сужение просвета. Указанные процессы наблюдаются в сосудах всех тканей, но более выражены в органах-мишенях: головном мозге, почках, сердце. Уменьшение просвета церебральных артериол вызывает падение мозговой перфузии, развитие хронической ишемии головного мозга. Вследствие постоянного дефицита кислорода и питательных веществ в церебральных структурах происходят дегенеративные процессы. Присоединение атеросклеротических изменений усугубляет недостаточность мозгового кровообращения и её клиническую симптоматику.
Морфологически отмечается раннее поражение белого мозгового вещества, демиелинизация нервных волокон, расширение периваскулярных пространств. Изменения носят диффузный характер, наблюдаются симметрично в обоих полушариях, первоначально локализуются вдоль боковых желудочков, распространяются перивентрикулярно. Наряду с диффузными дегенеративными процессами в белом церебральном веществе отмечаются отдельные локальные фокусы — лакунарные инфаркты.
Гипертоническая энцефалопатия отличается постепенным прогрессированием дегенеративных изменений в церебральных тканях и усугублением симптоматики. Понимание, на каком этапе течения находится патологический процесс, необходимо для корректного подбора терапии и оценки прогноза заболевания. Поэтому специалисты в области практической неврологии выделяют 3 основные стадии ГЭ:
- I стадия — преобладают субъективные жалобы на утомляемость, невнимательность, головные боли, ухудшение памяти. Объективная симптоматика скудная, когнитивные отклонения выявляются лишь при тщательном проведении специального тестирования.
- II стадия — в клинической картине появляются чёткие неврологические синдромы: вестибулярный, пирамидный, атактический, дисмнестический, подкорковый. В большинстве случаев отмечается преобладание одного из указанных синдромов. Когнитивные нарушения умеренные. Профессиональная деятельность затруднительна, социальная адаптация снижена.
- III стадия — наблюдается сочетание и одновременное нарастание нескольких неврологических синдромов. Возможно присоединение паркинсонизма, эпилептических приступов, псевдобульбарного синдрома. Отмечаются грубые когнитивные расстройства вплоть до деменции. Работа по профессии невозможна. Бытовая адаптация нарушена.
Симптомы гипертонической энцефалопатии
Заболевание начинается с медленно прогрессирующей неспецифической симптоматики. Пациенты жалуются на затруднения концентрации внимания, снижение памяти, повышенную утомляемость, частые цефалгии, иногда — головокружения. По мере прогрессирования жалобы усложняются, формируется симптоматика отдельных неврологических синдромов. При вестибулярной атаксии больные указывают на шаткость при ходьбе, нарушение координации. При дисмнестическом синдроме доминирует расстройство памяти, при пирамидном — мышечная слабость, чаще по типу лёгкого гемипареза. Подкорковые нарушения приводят к возникновению тремора, гиперкинезов, вторичного паркинсонизма.
Наблюдается снижение скорости и продуктивности мышления, сужение круга интересов, сложности организации собственной деятельности (апраксия), нарушение мотивации. Дисфункция когнитивной сферы обуславливает отсутствие адекватной критики по отношению к своему состоянию. Наблюдается повышенная эмоциональная лабильность, иногда поведенческие и аффективные расстройства. Клиническая картина отличается «мерцанием» симптомов, периодическим транзиторным улучшение состояния.
Гипертоническая энцефалопатия III стадии характеризуется грубой органической и когнитивной симптоматикой. Отмечается апраксия, агнозия, амнезия, распад интеллектуальных способностей, изменение личности, полная потеря профессиональных навыков. Развивается сосудистая деменция, сопровождающаяся неадекватным поведением, психическими изменениями. Усугубляется неврологическая симптоматика, возможен псевдобульбарный паралич: дизартрия, расстройство глотания, насильственный плач. Вследствие лакунарного инфаркта возможно возникновение эпилептических пароксизмов, синкопальных состояний. Нарастание пирамидного, атактического, паркинсонического синдромов ограничивает возможность самообслуживания и самостоятельного передвижения.
Осложнения
Хронически протекающая гипертоническая энцефалопатия зачастую сопровождается отдельными острыми эпизодами, возникающими на фоне быстрого нарастания АД. Они обусловлены срывом сосудистой регуляции и гипотонической дилатацией интрацеребральных сосудов, следствием которой является пропотевание плазмы крови с образованием периваскулярного отёка. При отсутствии своевременного лечения острая гипертоническая энцефалопатия может осложниться лакунарным инфарктом, ишемическим или геморрагическим инсультом. Попёрхивание пищей вследствие дисфагии при псевдобульбарном синдроме опасно возникновением асфиксии, забросом пищевых частиц в дыхательные пути с развитием аспирационной пневмонии.
Гипертоническая энцефалопатия предполагается в каждом случаев возникновения характерной неврологической симптоматики на фоне хронической артериальной гипертензии. Диагностический поиск направлен на исключение иной церебральной патологии, оценку степени имеющихся сосудистых и церебральных изменений. Основными этапами диагностики являются:
- Осмотр невролога. В начальной стадии неврологический статус без особенностей, возможна анизорефлексия. Специальное когнитивное тестирование определяет лёгкие мнестические, праксические и гностические изменения.
- Консультация кардиолога. Необходима для подтверждения диагноза гипертонической болезни. По показаниям проводится ЭКГ, ЭхоКГ, суточный мониторинг АД
- Обследование психической сферы. Производится психиатром, нейропсихологом при подозрении на наличие психических отклонений. Психический статус оценивает путём беседы, наблюдения и тестирования.
- Лабораторные исследования. Важное значение имеет определение уровня холестерина, липидного спектра крови. В комплексном обследовании для оценки функции почек необходим общий анализ мочи, биохимия крови, проба Реберга.
- Исследование церебральной гемодинамики. Применяется дуплексное сканирование церебральных сосудов, транскраниальная УЗДГ, МРТ сосудов головного мозга. Обследования позволяют выявить сужение просвета артериол, оценить его степень, определить локализацию и распространённость наиболее выраженных изменений.
- Томография.МРТ головного мозга - наиболее информативный метод в диагностике морфологических изменений мозговых тканей. Позволяет выявить диффузные дегенеративные изменения, очаги перенесённых лакунарных инфарктов у пациентов с II - III стадией ГЭ, исключить прочую органическую патологию мозга.
При наличии пароксизмальной активности показано проведение электроэнцефалографии, консультация эпилептолога. Выявление почечной дисфункции по результатам лабораторных анализов является поводом для включения в перечень необходимых обследований УЗИ почек и консультации нефролога. Дифференцируется энцефалопатия гипертонического генеза от опухоли головного мозга, энцефалита, медленных инфекций ЦНС, болезни Паркинсона, демиелинизирующих заболеваний, болезни Крейтцфельдта-Якоба, Альцгеймера. На сосудистый характер поражения указывают данные цереброваскулярных исследований, обнаружение на МРТ следов лакунарных инфарктов.
Лечение гипертонической энцефалопатии
Успешность терапии ГЭ напрямую зависит от эффективности коррекции артериальной гипертонии. Неврологическое лечение осуществляется на фоне гипотензивной терапии, лечения заболевания, обуславливающего высокий уровень давления. Основными направлениями лечения выступают: улучшение церебральной перфузии, поддержание метаболизма мозговых тканей, восстановление функции ЦНС. Базовыми группами препаратов являются:
- Сосудорасширяющие средства. Позволяют купировать основное патогенетическое звено ГЭ — спазм артериол. Применяются фармпрепараты без побочного синдрома «обкрадывания»: блокаторы кальциевых каналов, антагонисты a2-адренорецепторов, ингибиторы фосфодиэстеразы.
- Препараты, улучшающие микроциркуляцию. Показан длительный приём антикоагулянтов: ацетилсалициловой кислоты, дипиридамола. Улучшению циркуляции крови способствует приём пентоксифиллина.
- Нейропротекторы. Необходимы для повышения устойчивости нервных клеток к хронической гипоксии и уменьшенному поступлению питательных веществ. Применяются антиоксиданты (этилметилгидроксипиридина сукцинат, липоевая кислота), аминокислотные препараты (гамма-аминомасляная кислота, глицин).
- Симптоматические средства. Назначаются в зависимости от текущих нарушений и симптомов, которыми сопровождается энцефалопатия. При когнитивном снижении показаны ноотропы, при гиперлипидемии — фармпрепараты группы статинов, при психических отклонениях — седативные, нормотимики, транквилизаторы, при эпилептических пароксизмах — антиконвульсанты.
Прогноз и профилактика
Эффективность лечебных мероприятий зависит от стадии ГЭ, причинного заболевания, возможности полноценной коррекции АД, наличия сопутствующей патологии (атеросклероза, эндокринных нарушений). Комплексное неврологическое лечение на фоне стабилизации артериального давления в I стадии обеспечивает длительную интеллектуальную сохранность и работоспособность пациентов. Если гипертоническая энцефалопатия находится в III стадии, терапия способна только облегчить неврологические проявления и несколько замедлить прогрессирование заболевания.
Основной профилактической мерой, способной предупредить развитие энцефалопатии у гипертоников, выступает поддержание оптимального уровня АД. Необходимо постоянное диспансерное наблюдение пациента кардиологом. Важным моментом антигипертензионной терапии является исключение резких колебаний и ночных подъёмов АД. Вторичная профилактика заключается в регулярном наблюдении у невролога, прохождении повторных курсов сосудистой и нейропротекторной терапии.
1. Гипертоническая энцефалопатия: возможности профилактики/ Ощепкова Е.В.// АтмосферА. Кардиология. - 2003 - №3.
3. Гипертоническая энцефалопатия как общетерапевтическая проблема/ Фонякин А.В., Гераскина Л.А.// АтмосферА. Нервные болезни. - 2009 - №3.
4. Артериальная гипертония и дисциркуляторная энцефалопатия: алгоритм лечения/ Строков И.А., Моргоева Ф.Э.// Русский медицинский журнал. - 2004. - №7.
Энцефалопатия
Энцефалопатия — это обобщающее название разнообразных по своему генезу патологических процессов, основу которых составляет дегенерация нейронов головного мозга вследствие нарушения их метаболизма. Энцефалопатия проявляется полиморфными неврологическими расстройствами, нарушениями в интеллектуально-мнестической и эмоционально-волевой сфере. Диагностический поиск состоит из комплексного неврологического обследования и установления причинной патологии. Лечение энцефалопатии сводится к устранению вызвавшего ее патологического состояния, терапии причинного заболевания и поддержанию оптимального метаболизма церебральных нейронов.

Энцефалопатия — комплексное понятие, объединяющее в себе многочисленные синдромы диффузного церебрального поражения, в основе которого лежит дисметаболизм и гибель нейронов. Идея объединения полиэтиологичных церебральных заболеваний в одну группу возникла в связи с общностью их патогенеза и морфологических изменений. Термин образован путем слияния греческих слов «encephalon» - головной мозг и «pathos» - болезнь. Энцефалопатия включает 2 группы заболеваний: перинатальную и приобретенную энцефалопатии.
Причины энцефалопатии
Перинатальная энцефалопатия
К триггерным факторам, в результате воздействия которых может возникнуть перинатальная энцефалопатия, относятся:
- гипоксия плода;
- внутриутробные инфекции и интоксикации;
- резус-конфликт;
- асфиксия новорожденного;
- родовая травма;
- генетически детерминированные метаболические нарушения и аномалии развития (например, врожденные пороки сердца).
Риск перинатальной патологии возрастает при аномалиях родовой деятельности, крупном плоде, преждевременных родах и недоношенности новорожденного, узком тазе, обвитии пуповиной.
Приобретенная энцефалопатия
Приобретенная форма патологии может развиваться вследствие:
- перенесенной черепно-мозговой травмы;
- воздействия ионизирующего излучения;
- интоксикации нейротропными химическими (этиловым спиртом, свинцом, хлороформом, наркотиками, барбитуратами) и бактериальными (при дифтерии, столбняке, ботулизме и др.) токсинами;
- сосудистых нарушений: атеросклероза, артериальной гипертензии, венозной дисциркуляции, ангиопатии церебральных сосудов при амиломидозе, приводящих к хронической ишемии головного мозга;
- осложнения различных заболеваний внутренних органов: острого панкреатита, острой и хронической почечной недостаточности, цирроза печени и печеночной недостаточности;
- болезней легких, приводящих к расстройству легочной вентиляции (туберкулез легких, абсцесс легкого, бронхоэктатическая болезнь, ТЭЛА). Аналогичный гипоксический генез имеет энцефалопатия, наблюдаемая у ряда пациентов после проведения реанимационных мероприятий;
- метаболических расстройств: энцефалопатия может развиться как при понижении уровня глюкозы (гипогликемии), так и при его повышении (гипергликемии), что часто наблюдается при сахарном диабете. Причиной метаболических церебральных расстройств бывает гиповитаминоз (в первую очередь недостаток витаминов гр. В);
- падения осмотического давления и гипонатриемии, возникших из-за задержки воды при гиперсекреции антидиуретического гормона (при гипотиреозе, надпочечниковой недостаточности, опухолевых процессах и пр.);
- к редко встречающимся относится лейкоэнцефалопатия, имеющая вирусную этиологию и отмечающаяся у иммунокомпрометированных пациентов.
Энцефалопатия любого генеза является диффузным, т. е. затрагивающим различные церебральные структуры, процессом. В ее основе лежит кислородная недостаточность (гипоксия) и обменные нарушения нейронов. Последние могут быть обусловлены самой гипоксией (при дисциркцуляторных и гипоксических энцефалопатиях), дефицитом отдельных метаболитов и воздействием токсинов (при метаболических и токсических энцефалопатиях). Указанные нарушения приводят к дегенерации и гибели церебральных нейронов.
К морфологическим признакам, которыми характеризуется энцефалопатия, относятся: дегенерация и уменьшение количества нейронов в мозговом веществе, а значит его диффузная атрофия; очаги демиелинизации и некроза, а также глиальные разрастания, локализующиеся в белом веществе; микрогеморрагии и отечность церебральных тканей; полнокровие церебральных оболочек. Преимущественная локализация указанных изменений и степень их выраженности может варьировать в зависимости от вида энцефалопатии.
В соответствии с этиологическим фактором, энцефалопатия классифицируется на посттравматическую, токсическую, метаболическую, сосудистую (дисциркуляторную), лучевую.
- Посттравматическая энцефалопатия относится к отдаленным последствиям ЧМТ и может развиваться через несколько лет после нее.
- Токсические варианты включают алкогольную энцефалопатию, наблюдающуюся при хроническом алкоголизме, а также церебральные нарушения, возникающие у наркоманов.
- Метаболические варианты: печеночная (портосистемная, билирубиновая), уремическая (азотемическая), диабетическая, панкреатическая, гипогликемическая, гипоксическая, аноксическая энцефалопатии и синдром Гайе-Вернике.
- Дисциркуляторная энцефалопатия подразделяется на атеросклеротическую, гипертоническую, венозную. Отдельной формой гипертонической энцефалопатии выступает болезнь Бинсвангера.
В клинической практике используют градацию энцефалопатии по тяжести, однако это разграничение весьма условно:
- I степень тяжести подразумевает субклиническое течение, т. е. отсутствие проявлений при наличии церебральных изменений, фиксируемых инструментальными методами диагностики. В этой стадии патология может диагностироваться при проведении диспансерного обследования пациентов с хроническими, в первую очередь сосудистыми, заболеваниями.
- II степень тяжести характеризуется наличием легкой или умеренной неврологической симптоматики, зачастую имеющей преходящий характер.
- При III степени наблюдаются тяжелые неврологические расстройства, в большинстве случаев выступающие причиной инвалидизации пациента.
Симптомы энцефалопатии
Более распространена хроническая энцефалопатия, отличающаяся малосимптомным началом и постепенным развитием. Наиболее часто она имеет дисдиркуляторный и посттравматический характер. Острая энцефалопатия характеризуется внезапным дебютом и быстрым усугублением состояния пациента, наличием нарушений сознания. Она может возникнуть при интоксикациях и дисметаболических расстройствах. Примерами являются острая панкреатическая, уремическая, печеночная энцефалопатия, синдром Гайе-Вернике, гипоксическая энцефалопатия при ТЭЛА.
Хроническая энцефалопатия
На ранних стадиях проявляется затруднениями при попытке вспомнить недавние события или недавно полученную информацию, снижением внимательности и умственной работоспособности, утомляемостью, нарушением сна, недостаточной гибкостью при перемене вида деятельности, психоэмоциональной лабильностью. Пациенты могут отмечать повышенную раздражительность, дневную сонливость, шум в голове, головную боль, не имеющую определенной локализации.
Симптомы могут варьировать у разных больных. В неврологическом статусе возможен нистагм, умеренная гиперрефлексия и мышечная гипертония, наличие рефлексов орального автоматизма и стопных знаков, неустойчивость в позе Ромберга, дискоординация, недостаточность ЧМН (понижение зрения, тугоухость, легкий птоз, парез взора), признаки вегетативной дисфункции.
Прогрессирование энцефалопатии сопровождается усугублением симптомов с формированием того или иного четко доминирующего неврологического синдрома: вестибуло-атактического, паркинсонического, гиперкинетического, псевдобульбарного. Нарастание нарушений интеллектуальной и эмоционально-волевой сферы приводит к формированию деменции. Возможны психические расстройства.
Острая энцефалопатия
Дебютирует внезапным психомоторным возбуждением с интенсивной головной болью, зрительными нарушениями, тошнотой и рвотой, шаткостью, в некоторых случаях — онемением языка, дистальных отделов кистей и стоп, психическими расстройствами. Достаточно быстро возбуждение сменяется апатией, зачастую происходит нарушение сознания различной глубины: оглушенность, дезориентация, сопор и кома. Могут наблюдаться различные виды эпиприступов. Острая энцефалопатия относится к ургентным состояниям и без оказания срочной медицинской помощи может привести к смертельному исходу вследствие отека мозга, нарушения функции жизненно важных церебральных центров.
Первичная диагностика энцефалопатии осуществляется неврологом по результатам опроса и неврологического осмотра. Дополнительно проводится комплексное инструментальное неврологическое обследование:
- Электроэнцефалография. ЭЭГ, как правило, выявляет диффузную дезорганизацию биоэлектрической активности мозга с появлением медленных волн. Возможно выявление эпи-активности.
- Эхоэнцефалография. Эхо-ЭГ позволяет оценить внутричерепное давление.
- Сосудистые исследования.Реоэнцефалография или УЗДГ сосудов головы дают информацию о состоянии церебрального кровообращения.
- Томография. Проанализировать степень морфологических изменений можно при помощи МРТ головного мозга. Этот метод также позволяет дифференцировать энцефалопатию от других церебральных заболеваний: болезни Альцгеймера, внутримозговой опухоли, энцефалита, рассеянного энцефаломиелита, инсульта, кортикобазальной дегенерации, болезни Крейтцфельдта — Якоба и пр.
Важнейшее значение в понимании этиологии энцефалопатии имеет сбор анамнеза, обследование соматических органов и консультации смежных специалистов: кардиолога, нефролога, гастроэнтеролога, эндокринолога, пульмонолога, нарколога. По показаниям проводятся гормональные исследования, определение уровня холестерина и сахара крови, анализ мочи, биохимия крови и мочи, УЗИ печени, УЗИ поджелудочной железы, экскреторная урография, УЗИ мочевыделительной системы, КТ почек, рентгенография грудной клетки, КТ легких и т. п.
Лечение энцефалопатии
Острая энцефалопатия является показанием к срочной госпитализации и ургентной терапии. Она может потребовать таких мер, как ИВЛ, гемодиализ, парентеральное питание. В лечении как острой, так и хронической энцефалопатии, ведущее место принадлежит терапии причинного заболевания.
Фармакотерапия
При интоксикациях производится дезинтоксикация, в т. ч. введение инфузионных растворов; при дисметаболических нарушениях — коррекция метаболизма (подбор дозы сахароснижающих препаратов или инсулина, введение р-ра глюкозы, в/в введение тиамина). Осуществляется лечение гепатита, цирроза, панкреатита, нефрита, заболеваний легких, гипертонической болезни, атеросклероза. Рекомендуется соблюдение диеты, соответствующей основной патологии, и режима, адекватного состоянию пациента.
Наличие ишемического компонента в патогенезе энцефалопатии является показанием к назначению сосудистой терапии: пентоксифиллина, тиклопидина, винпоцетина, ницерголина. Атеросклеротическая энцефалопатия требует включения в схему лечения гиполипидемических фармпрепаратов (например, симвастатина, гемфиброзила). Терапия гипертонической энцефалопатии проводится с назначением гипотензивных средств и мониторированием цифр АД.
В обязательном порядке проводится нейропротекторная и метаболическая терапия. В нее входят ноотропы (к-та гопантеновая, пирацетам, пиритинол, луцетам), аминокислоты (глицин, глутаминовая кислота), витамины (В1, В6, С, Е), препараты ГАМК (пикамилон, фенибут). При психических расстройствах необходимы психотропные средства: диазепам, бромиды, дроперидол, фенозепам. При судорогах проводится антиконвульсантная терапия, ноотропы противопоказаны.
Фармакотерапия осуществляется повторными курсами 2-3 раза в год. В качестве вспомогательного лечения используются методы физиотерапии: рефлексотерапия, электрофорез, магнитотерапия.
Хирургическое лечение
Во многих случаях прогноз вторичной энцефалопатии определяет то, насколько эффективно можно лечить причинную патологию. Исход терапии также зависит от степени произошедших церебральных изменений. В ряде случаев положительным эффектом считается стабилизация энцефалопатии. При дальнейшем прогрессировании энцефалопатия достигает III степени и приводит к тяжелым неврологическим и эмоционально-психическим нарушениям, инвалидизирующим пациента. В случае перинатальной или острой энцефалопатии исход зависит от массивности и тяжести поражения мозговых тканей. Зачастую острые токсические энцефалопатии сопровождаются глубоким и необратимым поражением мозга.
Профилактика перинатальной энцефалопатии — это вопрос корректного выбора способа родоразрешения, адекватного ведения беременности, соблюдения правил ухода за новорожденным. Профилактика вторичной энцефалопатии заключается в своевременном выявлении и адекватном лечении сосудистых, урологических, гастроэнтерологических заболеваний, легочной патологии, эндокринных и метаболических нарушений. В качестве профилактических мер можно рассматривать правильное питание, активный образ жизни, отказ от курения, наркотиков и алкоголя.
Прогрессирующая сосудистая лейкоэнцефалопатия (I67.3)
Также: хроническая прогрессирующая субкортикальная энцефалопатия, подострая артериосклеротическая энцефалопатия Бинсвангера, артериосклеротическая энцефалопатия, гипертоническая энцефалопатия бинсвангеровского типа
Версия: Справочник заболеваний MedElement
Общая информация
Краткое описание
Примечание. Из данной подрубрики исключена "Субкортикальная сосудистая деменция (F01.2).
Этиология и патогенез
Описаны семейные случаи заболевания с началом до 40 лет, без артериальной гипертензии. Более чем в 80% случаев болезнь дебютирует в возрастном промежутке от 50 до 70 лет.
Страдают также и более крупные артерии диаметром до 500 мкм, и все микроциркуляторное русло.
Эпидемиология
Болезнь (энцефалопатия) Бинсвангера встречается довольно часто. По данным клинико-компьютерно-томографического исследования, она составляет около 1/3 всех случаев сосудистой деменции.
Возраст. Более чем в 80% случаев болезнь дебютирует в возрастном промежутке от 50 до 70 лет.
Факторы и группы риска
Клиническая картина
Cимптомы, течение
Клиническая картина болезни Бинсвангера характеризуется прогрессирующими когнитивными нарушениями, нарушениями функции ходьбы и тазовыми расстройствами. На последнем этапе заболевания клиническая картина представлена слабоумием, полной беспомощностью больных (не ходят, не обслуживают себя, не контролируют функцию тазовых органов).
Картина слабоумия может значительно варьироваться по степени тяжести и особенностям симптоматики.
В целом для болезни Бинсвангера характерно неуклонно-прогредиентное течение, но возможны и периоды длительной стабилизации. Причинами слабоумия в этих случаях считаются разобщение корково-подкорковых связей, наступающее в результате поражения подкоркового белого вещества, а также дисфункция базальных ганглиев и таламуса.
Изменение походки на начальных стадиях болезни Бинсвангера заключаются в следующем: походка шаркающая или семенящая, мелкими шажками, «магнитная» (ноги как бы прилипают к полу). На следующей стадии она становится «осторожной», увеличивается опорная площадь стояния, распадается автоматизм ходьбы (диспраксия или апраксия ходьбы) и все более включается произвольный контроль за ходьбой - походка такого больного напоминает походку здорового человека, оказавшегося на ледяном поле.
Основные характеристики лобной диспраксии ходьбы, связанной с дезавтоматизацией ходьбы, следующие:
• замедление ходьбы;
• укорочение шага;
• затруднение в начале ходьбы (инициация ходьбы);
• неустойчивость при поворотах (постуральная дисфункция);
• расширение базы опоры;
• снижение длины шагов.
Для нарушения тазовых функций при болезни Бинсвангера характерно развитие «гиперактивности» («гиперрефлекторности») мочевого пузыря, что проявляется повышенной сократительной активностью детрузора. Гиперактивность мочевого пузыря характеризуется: учащенным мочеиспусканием; императивными позывами на мочеиспускание, которые по мере прогрессирования заболевания переходят в случаи императивного недержания мочи.
Двигательные нарушения могут также характеризоваться (помимо нарушения ходьбы): другой экстрапирамидной патологией в виде паркинсоноподобной симптоматики, а также легкими или умеренными центральными моно- или гемипарезами, часто быстро регрессирующими (регресс очаговой двигательной симптоматики становится неполным по мере прогрессирования заболевания). Характерен псевдобульбарный синдром.
Эмоционально-волевые нарушения представлены астеническим, неврозоподобным или астено-депрессивным синдром. По мере прогрессирования заболевания на первый план выходят не астения и депрессия, а нарастание эмоционального оскудения, сужение круга интересов и спонтанности.
В критериях подчеркивается, что у пациента должны отсутствовать множественные или двухсторонние корковые очаги по данным КТ и МРТ, и тяжелая деменция.
На КТ, МРТ отмечается снижение плотности белого вещества, особенно выраженное вокруг передних рогов боковых желудочков; феномен «лейкоареоза» и множественные постинфарктные кисты (после лакунарных инфарктов, иногда клинически «немых») в белом веществе и подкорковых узлах.
Транзиторные ишемические атаки (ТИА, преходящие нарушения мозгового кровообращения) характеризуются кратковременными симптомами локальной ишемии мозга.
ТИА обычно связаны с гемодинамической недостаточностью, возникающей при выраженном атеросклеротическом стенозе сонных или позвоночных артерий в их дистальных ветвях или артериальной эмболией.
В большинстве случаев транзиторные ишемические атаки разрешаются в течение 5-20 минут.
Клиническое значение ТИА состоит в том, что они служат предвестниками не только инсульта, но и инфаркта миокарда и представляют собой сигналы опасности, требующие от врача быстрых действий. Больных с ТИА необходимо госпитализировать в инсультное отделение для наблюдения, всестороннего обследования и проведения профилактики ишемического инсульта.
ТИА часто проявляются при снижении АД, физической нагрузке, натуживании, приеме пищи; при этом очаговые неврологические симптомы нередко проявляются на фоне предобморочного состояния, иногда по нескольку раз в день. Больные часто жалуются на предобморочное состояние, головокружение, нарушения зрения, слабость в конечностях, тошноту и рвоту, нарушения памяти, шум в ушах, нарушения чувствительности, неожиданную утрату равновесия.
Различают инсульты - ишемический инсульт и внутримозговое (паренхиматозное) кровоизлияние .
Ишемический инсульт возникает в результате критического снижения или прекращения кровоснабжения участка мозга с последующим развитием очага некроза мозговой ткани.
Внутримозговое кровоизлияние возникает в результате разрыва патологически измененных сосудов мозга, приводящего к кровоизлияниям.
Лечение болезни Бинсвангера должно включать воздействия, направленные на основное заболевание, на фоне которого она развивается - артериальная гипертония и др. (этиопатогенетическая терапия), улучшения церебральной циркуляции, метаболических процессов (патогенетическая терапия), устранение неврологических и психопатологических синдромов (симптоматическая терапия). Учитывая, что большая часть больных с болезнью Бинсвангера находится в пожилом и старческом возрасте, необходимо проводить адекватную терапию сопутствующих соматических заболеваний, течение которых по физиогенным или психогенным механизмам оказывает существенное влияние на нервно-психический статус больных. Лечение атеросклероза, артериальной гипертонии, сопутствующих соматических заболеваний должно проводиться совместно с соответствующими специалистами.
1. Верещагин Н.В., Моргунов В.А., Гулевская Т.С. Патология головного мозга при атеросклерозе и артериальной гипертонии. М., Медицина, 1997, с. 288
2. Гудкова В.В., Стаховская Л.В., Кирильченко Т.Д. и др. Применение Актовегина на разных этапах лечения больных с ишемическим инсультом. Ж. CONSILIUM MEDICUM/ т. 9 / № 8 с 22-25.
3. Гусев Е.И., Белоусов Ю.Б., Бойко АН. и др. Общие принципы проведения фармакоэкономических исследований в неврологии: Метод. рекомендации. М.; Издатель Е. Разумова, 2003.-56 с.
4. Камчатнов ПР., Чугунов А.В., Воловец С.А., Умарова Х.Я. Комбинированная терапия дис циркуляторной энцефалопатии. Сonsilium medicum. 2005; 7 (8): 686-92
5 Камчатнов П.Р Хронические расстройства мозгового кровообращения возможности метаболической терапии. - РМЖ, том 16, № 5, 2008 - с. 274-276.
6. Пирадов М.А. Антиагрегантная терапия в профилактике повторных ишемических инсультов. - РМЖ, 2003 г, том 11, № 12 с. 696-698
7. Рекомендации Российского медицинского общества по артериальной гипертонии и Всероссийского научного общества кардиологов. - Приложение 2 к журналу “Кардиоваскулярная терапия и профилактика” 2008; 7(6).
8 Янсен В., Брукнер Г.В. Лечение хронической цереброваскулярной недостаточности с использованием драже Актовегин форте. Рос. мед. журн. 2002; 10 (12): 1-4.
Гипертензивная энцефалопатия
Гипертензивная энцефалопатия - синдром нарушения мозгового кровообращения с неврологическим дефицитом, вызванный тяжелой артериальной гипертонией.
Это одна из угрожающих жизни форм поражения органов-мишеней, которая может развиться при критическом гипертензивном состоянии.
Клиническими симптомами являются головная боль, беспокойство, тошнота, рвота, спутанность сознания и судорожные припадки. Снижение АД обычно приводит к быстрому улучшению состояния. Диагноз представляется сомнительным до исчезновения неврологических нарушений на фоне снижения системного АД. При этом состоянии поражение головного мозга обусловлено, главным образом, быстро развивающимся его отеком.
Код протокола: H-Т-031 "Гипертензивная энцефалопатия"
Для стационаров терапевтического профиля
Код (коды) по МКБ 10: I67.4 Гипертензивная энцефалопатия
- преходящие нарушения мозгового кровообращения (ПНМК), которые разделяют транзиторные ишемические атаки и гипертонические церебральные кризы (ГЦК).
- зрительные расстройства (фотопсии, скотомы, снижение остроты зрения и др.), ассоциированные с повышением АД и быстро регрессирующие на фоне снижения АД;
- наличие в анамнезе злокачественной артериальной гипертензии.
1. Необходимо двукратное или более измерение АД с интервалами 2 минуты в положении больного лежа или сидя и после пребывания в положении стоя в течение не менее 2 минут.
2. АД на противоположной руке (если результаты отличаются более чем на 4 мм.рт.ст., то учитываются более высокие показатели).
4. Неврологическое исследование для оценки исходного состояния: общемозговой и гипертензивный синдромы, нарушение аккомодации и конвергенции, явление менингизма, оживление сухожильно-рефлекторных сфер. Эмоционально-волевые нарушения.
ЭЭГ картина соответствует клиническим проявлениям: на фоне дезорганизации основных ритмов появляются медленные волны, регистрируются эпизодически возникающие эпилептиформные разряды. При зрительных нарушениях ЭЭГ-изменения доминируют в затылочной области.
При КТ и МРТ головы определяются симметричные множественные очаговые изменения или сливающиеся гиподенситивные поля, соответствующие субкортикальному белому веществу затылочной или теменно-затылочной локализации. Много реже аналогичные изменения выявляются в мозжечке, стволе мозга, других областях больших полушарий.
Можно обнаружить умеренно выраженные признаки "масс-эффекта", иногда - компрессию боковых желудочков. Приоритетным методом нейровизуализации является МРТ головы в Т2 режиме.
Для выявления поражений органов-мишеней: консультации терапевта, кардиолога, офтальмолога, эндокринолога, нефролога (гипертрофия левого желудочка, почечная недостаточность, ишемические изменения на ЭКГ, изменения в крови уровня глюкозы).
- ультразвуковые или рентгеноангиографические признаки атеросклеротического поражения сонных, подвздошных и бедренных артерий, аорты.
Лабораторная диагностика
Для выявления поражений органов-мишеней определяют:
- креатинин сыворотки крови;
- содержание белка и клеток в моче.
Для выявления факторов риска сердечно- сосудистых заболеваний определяют:
- уровень глюкозы крови натощак;
- общий холестерин.
Определение уровня кальция в сыворотке крови, мочевой кислоты, липидного профиля натощак, тиреотропного гормона.
Давление спинномозговой жидкости обычно превышает 180 мм вод. ст., а иногда достигает 300-400 мм вод.ст.
Содержание белка и клеточный состав могут оставаться в пределах физиологической нормы, однако в ряде случаев эти показатели (особенно белок) повышены.
Общемозговая и очаговая симптоматика нарастает ступенеобразно во время повторяющихся гипертонических кризов
исходом ОГЭ могут быть инфаркты мозга по типу лакунарных и кровоизлияния оболочечные и паренхиматозные
Обязательная госпитализация в палату интенсивной терапии (реанимационное отделение) для проведения неотложного лечения и непрерывного мониторинга витальных функций.
Пациенты с ОГЭ должны наблюдаться неврологом и реаниматологом, по показаниям - врачами других специальностей.
От экстренного парентерального введения антигипертензивных препаратов следует воздержаться, если систолическое АД не превышает 200 мм рт.ст., диастолическое АД не превышает 120 мм рт. ст. Только при АД систолическом выше 210-200 мм.рт.ст. можно назначать клонидин, дибазол, каптоприл. Снижать АД не следует более чем на 20-25% от исходных величин, АД не должно снижаться больше чем 160 мм.рт.ст. Чрезмерное снижение АД, может спровоцировать ишемию головного мозга.
Постепенное снижение АД на 25% от исходного уровня (предпочтительно применение легко дозируемых ингибиторов АПФ, альфа-бета-адреноблокаторов, бета-адреноблокаторов, противопоказано использование препаратов вазодилатирующего действия).
Гемангиокорректоры (преимущественно биореологические препараты - плазма, низкомолекулярные декстраны.
Симптоматическое лечение (противосудорожные, противорвотные препараты, анальгетики, снотворные и др.).
1. Лицам с легкой гипертензией для снижения кровяного давления рекомендуются умеренные физические упражнения продолжительностью 50-60 мин. 3-4 раза в неделю, включая пешие и велосипедные прогулки, плавание. (Градация рекомендаций B)
2. Потребление алкоголя не должно превышать 2 дозы в день для здорового человека и 14 стандартных доз за неделю для мужчин и 9 для женщин (одна доза равна 15 мл чистого этанола). (Градация рекомендаций B)
3. Пациентам с индексом массы тела больше 25, особенно гипертоникам, рекомендуется снизить вес. (Градация рекомендаций B)
4. Гипертоникам старше 44 лет следует ограничить потребление соли до конечного количества 90-130 ммол/л в день. (Градация рекомендаций B)
5. Для снижения кровяного давления рекомендуется диета с низким содержанием жиров, богатая свежими фруктами и овощами. (Градация рекомендаций B)
Медикаментозное лечение
В особо тяжелых случаях может понадобиться проведение ИВЛ в режиме умеренной гипервентиляции.
Антигипертензивная терапия: показано применение ингибиторов АПФ, например, эналаприл до 10-20 мг/сут.; периндоприл до 4-8 мг/сут.; рамиприл до 5 мг/сут., а также селективного бета блокатора - бисопролола от 2,5 до 10 мг/сут., конкор - таблетки, покрытые оболочкой, 5 мг, 10 мг.
Дегидратирующая терапия: Маннитол или маннит из расчета 0,5-1,5 г/кг - 15% во флаконах 200-400 мл внутривенно капельно. Кортикостероиды применяются как противоотечные средства, однако при высоком АД к их назначению следует относиться с осторожностью. Наиболее часто применяют дексаметазон внутривенно или внутримышечно 4 мг в 1 мл, в течение 5-6 дней с постепенным снижением дозы.
Метаболическая терапия: депротеинизированный дереват телячей крови по 200-400 мг внутривенно капельно на физиологическом растворе 1 раз в сутки в течение 10 дней; затем по 1 таблетке 200 мг 3 раза в день, в течение 6 недель. Инстенон по 2 мл внутривенно капельно на физиологическом растворе 1 раз в сутки в течение 10 дней, затем по 1 таблетке 3 раза в день, в течение 6 недель.
Противосудорожная терапия. Диазепам 10 мг (седуксен, реланиум 2 мл внутривенно на физиологическом растворе 0,9% -10 мл, или внутримышечно - 2 мл).
Дальнейшее ведение (реабилитация)
Раннее начало реабилитации способствует полному и более быстрому восстановлению нарушенных функции (физиолечение, ЛФК, массаж избирательный).
Длительность и этапы реабилитации. Восстановление нарушенных функций происходит в основном в первые месяца после ОГЭ; в этот период наиболее эффективно проведение двигательной, психологической реабилитации.
- реабилитация начинается во время пребывания больных в отделении для лечения ОГЭ, куда доставляются машиной скорой помощи;
- амбулаторное восстановительное лечение: плановый диспансерный осмотр (тщательное измерение АД, включая - ортостатической реакции у пожилых; оценка возможных побочных эффектов; определение изменений биохимии крови).
Комплексность реабилитации включает методы кинезотерапии, медикаментозное лечение несколько раз в год.
Работа с семьей и родственниками - корригировать взаимоотношения родственников с больным.
7. Инстенон по 2 мл внутривенно капельно на физиологическом растворе 1 раз в сутки, в течение 10 дней; затем по 1 таблетке форте 3 раза в день, в течение 6 недель
9. Сомнол 7,5 мг/сутки не более 4 недель (учитывая взаимодействие с другими препаратами, нельзя назначать с антидепрессантами, транквилизаторами)
- неврологические нарушения (диссоциация рефлексов на верхних и нижних конечностях, нистагмоидные движения глазных яблок).
Профилактика
- индивидуальный подбор антигипертензивных средств с учетом не только тяжести и характера АГ, но и наличия и характера поражения различных органов, а также присутствия других факторов риска сердечно-сосудистых осложнений и сопутствующих заболеваний;
Читайте также:
