Диагностика кисты эпифиза по КТ, МРТ
Добавил пользователь Евгений Кузнецов Обновлено: 01.11.2025
Субстанция человеческого мозга тонкая и нежная. Любые посторонние образования, будь то опухоль или жидкость, ведут к нарушению функционирования этого органа, порой угрожая жизнедеятельности человеческого организма.
Что такое киста головного мозга и насколько она опасна? Всегда ли необходима операция при кисте головного мозга или можно обойтись без хирургического вмешательства? Эти вопросы беспокоят многих. Ответы на них узнаем у исполнительного директора и главного врача ООО «МРТ Эксперт Липецк» Волковой Оксаны Егоровны.
- Оксана Егоровна, что такое киста головного мозга?
Киста (в переводе с греческого - пузырь) - одно из самых распространённых патологических образований, которое может возникнуть в любом месте нашего организма. Действительно, киста похожа на воздушный шарик, заполненный водой, увеличивающийся по мере поступления жидкости.
Такая патология действительно довольно часто появляется в головном мозге. Если говорить прицельно о кисте головного мозга, то чаще это - полость, заполненная спинномозговой жидкостью (ликвором), омывающей головной и спинной мозг.
Симптомы кисты головного мозга весьма разнообразны и зависят от месторасположения и сдавливания зоны черепной коробки. Однако, в течение долгого времени пузырь, наполненный жидкостью, может не доставлять беспокойства и обнаружиться только при проведении МРТ головного мозга.
Записаться на МРТ головы можно здесь
- Чем киста отличается от абсцесса?
Абсцессы на МРТ выглядят как крупные или мелкие кисты, но заполнены гнойным содержимым и окружённые зоной выраженного отека вещества мозга.
- Какими бывают кисты головного мозга и по каким причинам они возникают?
Кисты подразделяются на врождённые и приобретённые.
Врождённые кисты головного мозга являются результатом нарушения внутриутробного развития оболочек головного мозга. Чаще такого рода кисты локализуются в височных областях, в задней черепной ямке, так называемой пинеальной области (или области эпифиза). Врождёнными бывают и внутрижелудочковые кисты.
Приобретённые кисты, как правило - опухолевые кисты, и в таком случае киста - это «продукт» роста опухоли. Местами локализации таких кист являются доли мозга: лобная, височная, теменная, затылочная; полушария мозжечка.
Приобретённые кисты могут носить и посттравматический характер и возникать после излечения очагов ушиба головного мозга.
Также в своей практике мы встречаемся с кистами, возникающими после инсультов. В этом случае отмечается трансформация ишемического очага. Если ишемический инсульт был обширным и по локализации произошёл ближе к коре, его исходом являются кистозно-глиозные изменения, представляющие несколько мелких или крупных кист, как виноградная гроздь. Отмечу, что подобные изменения могут быть и последствием травм головного мозга, в том числе у детей.
Чем отличаются инсульт ишемический и геморрагический? Узнать здесь
В некоторых районах нашей страны, эндемичных по ряду инфекционных заболеваний, распространены паразитарные кисты, например, эхинококковые. Такие кисты заполнены жидкостью, представляющей продукт жизнедеятельности данного паразита.
- Кистозно-глиозные изменения бывают случайной находкой?
Да, если человек перенёс инсульт «на ногах». Не так давно в наш центр обратилась молодая пациентка, которую в течение трёх недель лечили от гипертонической болезни. Она жаловалась на шаткость походки, головокружение, слабость, головные боли и высокое давление. Участковый врач, решив, что симптоматика указывает на гипертонический криз, назначил соответствующее лечение.
Решение пройти МРТ головного мозга пациентка приняла самостоятельно. Мы выявили достаточно обширную зону недавних кистозно-глиозных изменений, что позволило сделать вывод, что в тот момент, когда у женщины произошёл резкий скачок давления, случился инсульт. Следовательно, и тактика лечения должна была быть иной. От серьёзных последствий пациентку спасло то, что инсульт произошёл в той области мозга, в которой нет жизненно важных центров. Можно сказать, что она «родилась в рубашке». Но так бывает не всегда. Поэтому если вы неважно себя чувствуете - скачет давление, кружится и болит голова, вы испытываете слабость - не тяните с обращением в центр МРТ-диагностики. Основываясь только на симптомах, поставить правильный диагноз зачастую бывает сложно.
- С какими типами так называемых «неопасных кист» головного мозга врачи центров «МРТ Эксперт» сталкиваются чаще всего?
Нередко мы находим у наших пациентов, как вариант врождённых образований, арахноидальные ликворные кисты. На снимках мы видим, что одна из долей мозга больше другой, а свободное место заполнено ликвором. Такие кисты появляются по причине того, что во время внутриутробного развития мозг формировался несимметрично и не влекут за собой никаких проблем для здоровья человека.
Я встречала пациентов, у которых с одной стороны не хватало четвёртой части мозга. Но при этом такая арахноидальная ликворная киста никак не отразилась на их самочувствии и мыслительной деятельности. Это происходит потому, что компенсаторные возможности центральной нервной системы высоки. Поэтому говорить о размерах, являющихся нормой для такого вида кисты, не совсем корректно. Из случая, который я описала, видно - даже огромная арахноидальная ликворная киста может не доставлять человеку никакого дискомфорта, кроме головных болей в случае повышения внутричерепного давления. Назначение лекарственных препаратов с целью нормализации оттока ликвора помогает таким пациентам снять головную боль.
Микрокисты эпифиза - другой вид неопасных кист, достаточно часто выявляемых при МРТ-исследованиях. Их размер обычно составляет от 3 до 5 мм. Если образование больше указанных параметров, мы рекомендуем провести МРТ с контрастным усилением. Это необходимо для того, чтобы исключить онкологию.
Когда применение контраста при МРТ - необходимость? Узнать здесь
Крупные кисты эпифиза нужно наблюдать в динамике, микрокисты не требуют такого внимания.
- Какими симптомами проявляют себя кисты головного мозга?
Что касается врождённых, то это, в основном, «молчащие» кисты, крайне редко увеличивающиеся в размерах и приводящие к какой-то симптоматике. Этот вид кист не представляет никаких угроз и в плане озлокачествления.
Вторичные кисты могут давать симптомы, порой достаточно грозные. Чаще это - головные боли, при нарушении ликвородинамики бывает тошнота и рвота, возможно появление фокальных судорог - в лице, руке или ноге. Если размер кисты настолько велик, что приводит к смещению определённых структур головного мозга, это может привести к парезам, параличам, угнетению сознания.
Как снять головную боль напряжения? Узнать здесь
- МРТ позволяет определить вид кисты?
МРТ головного мозга с внутривенным контрастированием на аппарате мощностью не менее 1,5 Тесла позволяет определить тип кисты с высокой точностью. Каждый вид кисты по-своему накапливает контрастное вещество.
- Диагноз «киста головного мозга» - это всегда показание для операции?
Нет. При врождённых кистах, не дающих симптоматику, операции не проводятся. Эти кисты показано наблюдать с выполнением МРТ-исследования раз в 6 или 12 месяцев.
При приобретённых кистах, если речь идёт о кистозных формах метастатических опухолей, первичных глиальных опухолях, паразитарных кистах или абсцессах, нейрохирург часто принимает решение в пользу хирургического вмешательства. А коллоидные кисты третьего желудочка представляют собой ургентные ситуации, требующие срочного оперативного вмешательства.
- При проведении хирургического вмешательства по поводу кист головного мозга всегда проводится трепанация черепа?
Нет. Это зависит от локализации и типа кисты. При некоторых видах кист показано кистоперитонеальное шунтирование или микрохирургическая фенестрация базальных цистерн.
- К врачу какой специальности необходимо обратиться за консультацией, если в заключении после проведения магнитно-резонансной томографии указан диагноз «киста головного мозга»?
К неврологу или нейрохирургу. Как правило, в рекомендациях, как письменных, так и устных, мы указываем, консультация врача какой специализации нужна пациенту.
МРТ эпифиза
Магнитно-резонансная томография эпифиза позволяет выявить или исключить патологические изменения сложно диагностируемой области шишковидной железы, располагающейся в головном мозге - эпифиза.
Опереди болезнь
Своевременное проведение МРТ эпифиза позволит исключить или вовремя приступить к лечению таких заболеваний как:
Показания к исследованию
Противопоказания
- Кардиостимуляторы, водители ритма
- Нейростимуляторы
- Электронные и металлические импланты, стенты
- Нефиксированные ферромагнитные материалы в теле (дробь, шрапнель, осколок)
- Катетеры в легочной артерии
- Аппараты для внутриаортальной балонной контрпульсации
- Кровоостанавливающие клипсы на сосудах
Подготовка к исследованию
Не требует специальной подготовки.
Рекомендуем также
Детальное тонкосрезовое МРТ исследование головы
МР артериография интракраниальных сосудов
Дополнительное контрастное усиление 10 мл
МР венография интракраниальных сосудов
МРТ-диагностика рассеянного склероза
Обследование головы и нейро-васкулярного конфликта
МРТ Эксперт в Москве
На Щукинской
На Киевской
Отзывы
Делала про первый раз в жизни. Процедура прошла комфортно. Сотрудники клиники компетентные, понимающие и поддерживающие. Пришла по рекомендации, советую данную клинику.
Ужасное отношение к клиентам. Звонил 3 раза заранее, никто ни о чем не предупредил. В результате, когда я приехал, мне сказали что задержка на час. Безобразие! Можно было предупредить по телефону о задержке и что передо мной ещё есть люди в очереди. В результате дорога час по пробкам, упущенное в.
Посетила это место 7 июля, по записи от страховой. От метро очень далеко и где то в о дворе, просто так не найдешь. Запись была на 19-30.Учитывая ливень и не знание где это находится,взяла такси. Перед этим мне звонили дважды и я перезванивала сама сказать, что да, я приду в назначенное время.
Записалась заранее. Персонал вежливый, делала мрт второй раз в Адлерском районе на Кирова. Все на ресепшене девушка объяснила, все показала, проводила.. Получила результат через 10 минут и даже консультацию по результату МРТ. Очень довольна центром и в материальном плане так же!
Делал МРТ по ДМС. Диск дали как только вышел. Описание обещали 3 раза прислать на электронную почту, 4 раза уточнял электронную почту, прошло 9 до сих пор жду. Терзает сомнение: а МРТ то вообще было или это просто муляж, может это развод а не клиника?.
Центр Супер! Регистратура Супер! Маша-рентген-лаборант Супер! Работают экстра-класс! Доброта,отзывчивость тоже супер!
Посещал центр в Адлере, понравилось отношение во всех моментах от записи на прием администратором до комментария врача ренгенолога. Рекомендую!
Благодарю сотрудников центра на Щукинской за внимательное,чуткое отношение к пациентам.Особая благодарность Гениной Марии Константиновне и Казаковой Ольге Юрьевне! Мне помогли спокойно пройти обследование,подробно проинформировали о подготовке к процедуре. Профессионалы своего дела. Всем буду ре.
Киста шишковидной железы
Кисты шишковидной железы (эпифиза) встречаются часто, протекают бессимптомно, и в большинстве случаев являются случайной находкой. Кисты, особенно большие и нетипично выглядящие, сложно отличить от кистозных опухолей, вследствие чего пациенты с подозрительными изменениями должны подвергаться длительному наблюдению. На КТ или МРТ киста шишковидной железы выглядит как однокамерное жидкостное образование с плотностью ликвора или с интенсивностью сигнала, как у ликвора. Периферическое контрастное усиление типично для большей части кист, кальцинаты в виде «ободка» обнаруживаются в 25% случаев.
Сделать МРТ шишковидной железы в Санкт-Петербурге
Причины кисты шишковидной железы?
Причины возникновения кисты шишковидной железы точно не известны. Она представляет собой врожденное состояние или может быть обусловлена нарушениями гормонального баланса.
Распространенность кисты шишковидной железы
Кистозная трансформация шишковидной железы обычно обнаруживается у молодых взрослых людей 20-30 лет, в три раза чаще у женщин. Как случайная находка кисты выявляются на МРТ головного мозга в 5% случаев и в 20-40% случаев при посмертном исследовании. В одном из исследований с использованием высокоразрешающей МРТ головного мозга бессимптомные кисты шишковидной железы были выявлены у 23% здоровых людей.
Симптомы кисты шишковидной железы
Подавляющее большинство кист шишковидной железы имеют малые размеры (в 80% случаев меньше 1 см) и характеризуются бессимптомным течением. Кисты, обуславливающие симптоматику, преимущественно возникают у женщин во второй половине жизни. Кисты большего размера могут обуславливать объемное воздействие на пластинку четверохолмия, приводя к сдавлению верхнего двухолмия и возникновению синдрома Парино. При сдавлении водопровода мозга, расположенным между третьим и четвертым желудочком, возможно развитие обструктивной гидроцефалии. Редко, в случае кровоизлияния в кисту, она может быстро увеличиваться в размерах. Это состояние называется апоплексией кисты шишковидного тела.
Киста шишковидной железы может обуславливать головную боль, нарушения зрения, невозможность перевести взгляд кверху или книзу. Редкие симптомы: атаксия, эмоциональные расстройства, нарушения мыслительной деятельности, головокружение, нарушения сна, тошнота, гормональный дисбаланс (раннее половое созревание, вторичный паркинсонизм).
Строение
Стенка кисты шишковидной железы состоит из трех концентрических слоев:
- Внутренний слой представлен фибриллярной глиальной тканью, часто с включениями гемосидерина
- Средний слой представляет собой паренхиму шишковидной железы с обызвествлениями или без таковых
- Тонкий наружный слой состоит из соединительной (фиброзной) ткани
Предполагается, что в образовании кист играют роль гормональные изменения, поскольку они чаще всего обнаруживаются у молодых женщин. С возрастом кисты вначале увеличиваются в размерах, а затем «сморщиваются». У мужчин эти образования остаются в стабильном состоянии длительное время. Кисты обычно содержат белковую жидкость, которая отличается от ликвора на томограммах; иногда в них обнаруживается кровь. Стенки кисты интенсивно накапливают контраст.
Как выглядит киста шишковидной железы на КТ и МРТ?
При компьютерной томографии визуализируется объемное образование с плотностью жидкости, с четко очерченными краями, и периферическими кальцинатами, обнаруживаемыми у 25% пациентов. Во многих случаях также наблюдается периферическое накопление контраста в кисте в виде тонкого и ровного «ободка». Киста нарушает ход внутренних вен мозга, смещает их кверху.

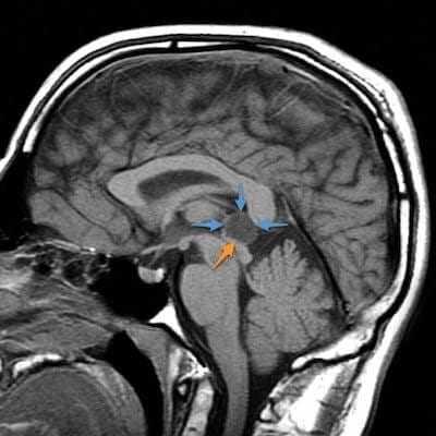
Киста шишковидной железы с типичным гиперинтенсивным сигналом на МРТ (Т2 ВИ) (отмечена синей стрелкой). Слева: аксиальная томограмма, справа - сагиттальная
На МРТ наблюдаются следующие признаки:
- Типичный изо- или гипоинтенсивный сигнал по сравнению с паренхимой головного мозга
- В 55-60% случаев гиперинтенсивный сигнал по сравнению с ликвором
- Сигнал обычно однородный
- Сигнал высокой интенсивности
- Обычно слегка менее интенсивный по сравнению с ликвором
- Сигнал высокой интенсивности, который часто не подавляется полностью
- Рестрикция диффузии отсутствует
- Примерно 60% кист накапливают контраст
- Накопление контраста в большинстве случаев происходит в виде тонкого (меньше 2 мм) и ровного «ободка» (полного или неполного)
- Возможно диффузное контрастное усиление жидкостного содержимого кисты препаратами на основе гадолиния в отсроченной фазе (60-90 минут), вследствие чего киста становится похожей на солидное объемное образование
- Редко может обнаруживаться нетипичное узловое контрастное усиление, также могут определяться признаки кровоизлияния в кисту
Как отличить кисту шишковидной железы от опухоли?
Кисту шишковидной железы, особенно в случае узлового контрастного усиления, невозможно отличить кистозной пинеоцитомы только на основании методов визуализации. В области шишковидного тела могут возникать также другие образования: папиллярная опухоль, герминома, эмбриональный рак, хориокарцинома, тератома, эпидермоидная киста, арахноидальная киста, аневризма вены Галена, метастазы.
Несмотря на то, что подобные случаи возникают редко, всегда лучше показать результаты исследования опытному нейрорадиологу. Перепроверка снимков КТ или МРТ поможет точнее разобраться в вопросе, есть ли подозрения на опухоль. Сегодня это можно сделать дистанционно, воспользовавшись сервисами Второго медицинского мнения, такими как Национальная телерадиологическая сеть.
Лечение кисты шишковидной железы
Прогноз
В большинстве случаев долговременный прогноз благоприятный. В одном из исследований, в котором приняли участие 32 человека, наблюдаемые в течение от 6 месяцев до 9 лет, увеличение размеров кист произошло у трех из них, размеры 75% кист остались теми же или уменьшились. Следовательно, кисты шишковидной железы без атипичных признаков не требуют выполнения КТ и МРТ с целью контроля; пациенты наблюдаются клинически. Пациенты с кистами размером 10-12 мм из-за сходства с кистозной пинеоцитомой должны наблюдаться на МРТ.
Опухоль эпифиза
Опухоль эпифиза — доброкачественное или злокачественное новообразование области шишковидной железы. Клинически проявляется симптомами гидроцефалии, глазодвигательными расстройствами, мозжечковыми нарушениями, признаками поражения гипоталамуса, гипогонадизмом или преждевременным пубертатом. Диагностировать опухоль эпифиза помогает неврологический и офтальмологический осмотр, эхоэнцефалография, КТ или МРТ головного мозга, церебральная ангиография, исследование спинномозговой жидкости и вентрикулография. Лечение может быть проведено хирургическим способом, методом радиохирургии, путем лучевой терапии или системной химиотерапии. Зачастую оно сводится к сочетанию нескольких указанных методов.

Общие сведения
Эпифиз, или шишковидная железа, представляет собой железистое образование длиной до 12 мм и шириной до 8 мм. Располагается между мозговыми полушариями сразу за III желудочком над задней частью среднего мозга в непосредственной близи от сильвиева водопровода — канала, соединяющего полости III и IV желудочков. Секрет эпифиза носит название мелатонин. В него входит целая группа веществ, обуславливающих тормозящие воздействия эпифиза на различные железы внутренней секреции: половые железы, щитовидную железу, секрецию гонадо- и соматотропного гормонов гипофиза. Исследования показали, что секреторная активность эпифиза варьирует в зависимости от степени освещенности. В связи с этим, предполагают, что основной функцией шишковидной железы является синхронизация работы эндокринного аппарата соответственно суточному ритму, тесно связанному с изменениями освещенности.
Опухоль эпифиза — редко встречающееся новообразование. На ее долю приходится всего 1% от всех опухолей ЦНС у взрослых. У детей новообразования шишковидной железы встречаются чаще и составляют по различным данным до 8% внутричерепных опухолей. Пик диагностирования опухоли эпифиза приходится на возраст от 10 до 18 лет. Однако она может встречаться и у пожилых пациентов.
Классификация опухолей эпифиза
Все новообразования шишковидной железы классифицируют на 3 вида: герминомы, пинеаломы и глиомы. Наиболее часто встречается герминома (тератома) — опухоль эпифиза, возникающая из герминативных клеток, в ходе эмбриогенеза не занявших свое нормальное расположение в семенниках и яичниках. По своему строению герминома сходна с новообразованиями, берущими начало в герминативных клетках половых желез (герминогенными опухолями яичников, хориокарциномой, эмбриональным раком яичка). В 20% случаев опухоль эпифиза развивается непосредственно из клеток его паренхимы. Такое новообразование получило название пинеалома. Доброкачественная пинеалома (пинеоцитома) представляет собой отграниченный узел, медленно увеличивающийся в размере. Злокачественная пинеалома (пинеобластома) отличается агрессивным ростом. Глиомы эпифиза составляют около четверти всех его опухолей. Они начинается из глиальных клеток эпифизарной области, отличается интенсивным инфильтративным ростом без склонности к метастазированию.
Симптомы опухоли эпифиза
Одним из наиболее ранних симптомов является головная боль с характерной для повышенного внутричерепного давления тошнотой и рвотой на пике цефалгии. В ее основе лежит окклюзионная гидроцефалия, связанная с тем, что опухоль эпифиза сдавливает сильвиев водопровод и блокирует циркуляцию ликвора. Внутричерепная гипертензия сопровождается типичной картиной отека сосков зрительных нервов при офтальмоскопии. Со временем может наблюдаться ухудшение зрения из-за постепенной атрофии зрительных нервов.
Другие проявления, сопровождающие опухоль эпифиза, зависят от направления ее роста и распространения опухолевого процесса. Поражающее воздействие опухоли на ткани мозжечка обуславливает появление шаткости, двигательной дискоординации, мышечной гипотонии и тремора. Давление опухоли на верхние бугорки четверохолмия приводит к возникновению пареза взора кверху и конвергирующего нистагма (синдром Парино). Возможно косоглазие, двусторонний птоз, диплопия. В отдельных случаях манифестируют гипоталамические симптомы: анорексия или булемия, расстройство терморегуляции. Может наблюдаться несахарный диабет, ожирение, гиперсомния. Если опухоль эпифиза распространяется на турецкое седло, в клинике наблюдаются признаки, типичные для опухоли гипофиза.
Преждевременное половое созревание, связанное с уменьшением гонадотормозящего влияния эпифиза, отмечается менее, чем в 10% случаев. Ряд специалистов в области неврологии и эндокринологии считает, что подобные клинические случаи обусловлены сдавлением и разрушением клеток шишковидной железы растущей опухолью, в то время как в других случаях, по-видимому, происходит дополнительная секреция мелатонина клетками новообразования, приводящая к гипогонадизму.
Диагностика
Слабая выраженность клинических симптомов, дебют заболевания с широко распространенного синдрома внутричерепной гипертензии, отсутствие патогномоничных очаговых симптомов, медленное нарастание клиники — все это не способствует ранней диагностике новообразований шишковидной железы. Неврологический осмотр может выявить глазодвигательные нарушения, признаки мозжечковой атаксии, гипоталамический синдром. Осмотр офтальмолога определяет отек дисков зрительных нервов. При проведении Эхо-ЭГ могут быть получены данные о смещении М-эхо. Исследование цереброспинальной жидкости, взятой путем люмбальной пункции, выявляет повышенное содержание белка и цитоз. В ликворе, как и в крови, обычно определяется увеличение содержания бета-ХГЧ и альфафетопротеина (АФП).
Наиболее информативным методом обследования выступает МРТ головного мозга. Послойные срезы мозговых тканей позволяют сориентироваться в размерах, месторасположении и распространенности опухолевого процесса. При отсутствии возможности проведения МРТ ее может заменить МСКТ или КТ головного мозга. По рекомендации нейрохирурга для оценки распространения опухоли на сосуды и в желудочки мозга возможно проведение церебральной ангиографии или МР-ангиографии, вентрикулографии.
Лечение и прогноз
При всех видах опухолей шишковидной железы предпочтительным методом лечения является хирургический. Удаление опухолей эпифиза проводится путем трепанации черепа. Доступ к этой области мозга сильно затруднен и имеет высокий риск осложнений (по некоторым данным послеоперационная летальность достигает 60-70%). Интраоперационно проводится забор и гистологический анализ тканей новообразования. При выявлении злокачественного характера опухоли назначается радиотерапевтическое адъювантное лечение. Удаление небольших опухолей возможно методом стереотаксической радиохирургии — сочетанным радиактивным воздействием на опухоль множества лучей, каждый из которых несет невысокую дозу, практически безопасную для тканей, через которые он проходит. При распространенном характере опухоли эпифиза возможно комбинированное лечение — сочетание нескольких сеансов радиохирургии с курсом лучевой терапии.
К сожалению, в большинстве случаев пациенты обращаются к неврологу, когда опухоль эпифиза достигает неоперабельной стадии. Как правило, им рекомендуется лучевая терапия. Наиболее радиочувствительны герминомы эпифиза. Длительность курса может составлять от 5 до 35 сеансов, в среднем в неделю рекомендуется 5 сеансов. Сроки и количество повторных курсов определяется клинической картиной и результатами контрольных томограмм. При невозможности проведения лучевой терапии из-за больших размеров образования прибегают к системной химиотерапии. После уменьшения объема опухоли возможна радиотерапия. В отдельных случаях облучение входит в предоперационное лечение и направлено на сокращение размеров опухоли.
В качестве паллиативных мер для снятия ликворного блока и уменьшения гидроцефалии, применяют шунтирующие операции с созданием альтернативных путей оттока цереброспинальной жидкости.
Прогноз определяется операбельностью и гистологическим типом эпифизарного новообразования. При обширном разрастании даже доброкачественная опухоль эпифиза представляет угрозу для жизни пациента. Отдельные статистические сведения говорят о 85% 5-летней выживаемости при своевременно проведенном лечении гермином эпифиза. Пинеобластомы имеют неблагоприятный прогноз, обусловленный их быстрым распространением с разрушением важных церебральных структур.
Киста эпифиза

Одна из самых распространенных патологий шишковидной железы - киста. Полое внутри, это образование наполнено жидкостью, образующейся в одном из отделов органа, регулирующего жизнедеятельность нашего организма.
Подобная патология появляется редко. Диагноз «киста шишковидной железы» ставят всего 1,5% людей, страдающих от болезней мозга.
Что такое эпифиз
Эпифиз входит в структуру мозга и выполняет регулирующую функцию относительно эндокринной системы. Эта главная железа имеет небольшие размеры, серовато-красную окраску. Располагается глубоко между полушариями, в зоне межталамического сращения.
Из-за маленьких размеров и глубокого расположения, все функции гипофиза до сих пор не изучены.
Медикам удалось выяснить, что эпифиз регулирует циркадные ритмы (от него зависят фазы сна и бодрствования). Помимо этого, шишковидная железа синтезирует гормон мелатонин.
Сотрудники клиники восстановительной неврологии консультируют и лечат пациентов с различными патологиями шишковидной железы. В том числе и с кистой эпифиза.
Главные функции эпифиза
Среди главных функций эпифиза выделяются:
- Остановка синтеза гормона роста.
- Регулирование полового созревания.
- Затормаживание прогрессирования новообразований.

Киста эпифиза, как правило, является по своей природе доброкачественной и в злокачественную не перерождается.
Образования растут медленно и не влияют на работу органа. В редких случаях воздействуют на прилегающие участки мозга, негативно сказываясь на их работе. Типичный пример - давление кисты эпифиза на зрительные тракты, что проявляется сужением полей зрения.
Причины появления патологии
Появление кистозных образований провоцируют следующие факторы:
- Тромбоз выводящих путей, из-за чего страдает отток вырабатываемого эпифизом гормона мелатонина. Закрытые протоки вызывают скопление секрета и образование кисты.
- Гельминтоз, вызывающей появление паразитарных кистозных образований в разных органах. Эпифиз поражается эхинококком, проникающем в орган с кровью. Гельминт формирует капсулу, защищая себя от атак иммунитета. Кисту заполняют паразитарные продукты жизнедеятельности, приводя к росту ее размеров.
Поскольку эпифиз недостаточно изучен, другие причины появления кистозных образований еще не установлены.
Вероятно, это еще связано с тем, что кисты почти не проявляют себя. Люди могут прожить с ними всю жизнь и не подозревать о наличии такого образования.
Симптоматика болезни
Как правило, симптоматика кисты эпифиза долго отсутствует.

Есть пациенты, которые страдают от головных болей, возникающих, на первый взгляд, беспричинно. Данную патологию зачастую связывают со стрессом, усталостью и артериальным давлением.
Кисты шишковидной железы диагностируют, главным образом, случайно при проведении КТ или МРТ мозга.
Почти у всех пациентов с таким диагнозом, симптоматика отсутствовала или имели место признаки, отмечаемые при широком спектре болезней головного мозга.
- Беспричинно возникающие головные боли, которые невозможно связать с другими факторами.
- Ухудшение зрения (у многих пациентов двоится в глазах, нарушается четкость восприятия окружающих предметов), сужаются поля зрения.
- Нарушения равновесия без явной причины, головокружения.
- Рвотный рефлекс и тошнота, возникающие на фоне головных болей.
- Водянка мозга, она же гидроцефалия. Развивается вследствие давления кисты эпифиза на другие мозговые зоны.
Если размеры кистозного образования становятся критическими, оно способно заблокировать циркуляцию ликвора - мозговой жидкости. Это чревато отрицательными последствиями для здоровья.
При росте кисты усиливается очаговая симптоматика, повышается давление внутримозговой жидкости.
Признаки кисты эпифиза, возникшей из-за гельминтоза, будут слегка другими. Общую симптоматику дополняют нарушения психики: бред, депрессивное состояние, слабоумие. Могут иметь место припадки, характерные для эпилепсии.

Насколько опасна патология, и чего ожидать пациентам с таким диагнозом
Главная опасность кисты шишковидного тела заключается в риске развития одного из серьезных заболеваний мозга - водянки или гидроцефалии.
Пациентам с впервые установленным таким диагнозом и нормальным самочувствием, опасаться не следует. Рекомендуются мониторинговые обследования, позволяющие отслеживать динамику заболевания. Предлагается делать МРТ каждые шесть месяцев.
В осложненных ситуациях, новообразование провоцирует сдавление цереброспинальной субстанцией желудочковых долей мозга. Впрочем, типично, кисты растут медленно и никак не влияют на работу мозговых отделов.
Диагностика и лечение
При такой патологии важно правильно поставить диагноз, так как под маской кисты может протекать злокачественная опухоль гипофиза. Исключить ошибку помогает биопсия и лабораторный анализ, направленный на обнаружение злокачественных клеток. Как правило, пациенты в специфичной терапии не нуждаются.

К хирургическому вмешательству прибегают при высоком риске гидроцефалии, выраженной симптоматике, воздействии кисты на прилегающие мозговые участки с нарушением работы сердца и сосудов.
Операция чревата некоторыми рисками, поэтому к ней прибегают только в крайних случаях. Если проявления выражены слабо, пациентам прописывают медикаментозное лечение, при помощи которого купируют беспокоящие симптомы.
Была ли эта статья полезна?
Вы можете подписаться на нашу рассылку и узнать много интересного о лечение заболевания, научных достижений и инновационных решений:
Если у вас остались вопросы, задайте их врачам на нашем форуме!
Клиника восстановительной неврологии проводит консультации, диагностику, комплексное лечение с индивидуальным подходом для активации и стимуляции мозга.

123182 г. Москва, ул. Маршала Василевского, д. 13, корп. 3, под. 2
357501 г. Пятигорск, ул. Козлова, д. 8 ОФИС 1

Информация на сайте носит исключительно ознакомительный характер. Все материалы и цены, размещенные на сайте, не являются публичной офертой, определяемой положениями ст. 437 ГК РФ. Для получения точной информации обратитесь к сотрудникам клиники или посетите нашу клинику.
18+ Информация, представленная на сайте, не может быть использована для постановки диагноза, назначения лечения и не заменяет прием врача.
Читайте также:
