Диагностика кисты кармана Ратке по КТ, МРТ
Добавил пользователь Евгений Кузнецов Обновлено: 22.11.2025
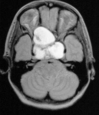
МРТ головного мозга. Т2-взвешенная аксиальная томограмма. Арахноидальная киста. Цветовая обработка изображения.
Кисты головного мозга в большинстве своем относятся к аномалиям развития. Некоторые образования, возникшие на почве нарушения развития, имеют сходные с кистами черты.
Эпидермоидные кисты (эпидермоиды) - доброкачественные врождённые образования. Они происходят из эктопических эпидермальных клеток и развиваются в период закрытия, в 3-5 нед. эмбриогенеза, как следствие неполного разделения нейрональной и покровной эктодермы. Частота составляет около 1% от внутричерепных образований. Обычно диагностируются в возрасте 25 - 45 лет. Локализация эпидермоидов может быть любой, но типичная - мосто-мозжечковый угол (третье по частоте образование этой области), предмостовая цистерна, параселлярная область, четверохолмие и желудочковая система, очень редко в полушариях, спинном мозге и интрадиплоидно. Растут они интра- или экстрадурально, экспансивно, медленно, сдавливая ствол мозга, внутричерепные нервы, но не разрушая кость. Иногда захватывают сосуды и нервы. По характеру роста их можно отнести к опухолевидным образованиям. Вокруг эпидермоидов нередко развивается асептическое воспаление, а при разрыве содержимое (жир, кератин) прорывается в ликворные пространства. Клинические проявления зависят от локализации и масс-эффекта.
При МРТ головного мозга картина неспецифическая и зависит от содержимого кисты. Если она не содержит жира, то имеет ликворную интенсивность сигнала . В таком случае эпидермоидная киста трудно отличима от арахноидальной, хотя, как правило, не столь однородная. На МРТ типа FLAIR и диффузионно-взвешенных МРТ изображениях содержимое эпидермоидов светлее ликворного. Жировое содержимое, такие эпидермоиды еще называют холестеатомой, приводит к высокому сигналу на Т1-взвешенных МРТ головного мозга. Видимо, он обусловлен липидами, но не холестеролом. На Т2-взвешенных МРТ головного мозга он менее интенсивен чем ликвор. Контуры эпидермоидов всегда четкие. Холестеатомы составляют всего 3-5% от эпидермоидов. В 15-20% случаев встречается кальцификация по переферии кисты. Редко наблюдается контрастирование стенок.
МРТ головного мозга. Т1-взвешенные корональная и сагиттальная МРТ. Эпидермоидная киста левой височной доли.
Дермоидные кисты встречаются реже эпидермоидных, составляя около 0,3 % от внутричерепных образований. Обычно выявляются в возрасте между 10 и 20 годами. Морфологически от эпидермоидов их отличает наличие эктодермальных элементов - волосяных фолликулов, потовых желёз и т.д. Типично они расположены по средней линии (в отличие от эпидермоидов, которые чаще внеосевые): в супраселлярной цистерне, субфронтально, вокруг моста и, очень редко парапиниально, периорбитально, в IV желудочке, в области конского хвоста и интрадиплоидно. От эпидермоидных кист на МРТ головного мозга их отличает только выраженная неоднородность структуры, кроме того, они всегда яркие на Т1-взвешенных МРТ головного мозга за счёт большого содержания липидов. При разрыве и прорыве в субарахноидальное пространство в нём появляется уровень, на Т1-взвешенных МРТ головного мозга светлый жир плавает на ликворе.
Липома представляет собой скопление в субарахноидальном пространстве зачаточных жировых клеток с примесью коллагена. Происходят липомы из остатков примитивной эмбриональной оболочки. Эта мальформация оболочек мозга связана с нарушением дифференцировки мезенхимы на мягкую мозговую оболочку и субарахноидальное пространство. Частота липомы составляет менее 0.5% от внутричерепных образований. Обычно липомы локализуется в мозолистом теле, в межполушарной щели, воронке гипофиза и гипоталамусе, реже вокруг червя мозжечка и пластины четверохолмия и мосто-мозжечковом углу и Липомы мозолистого тела сочетаются с его агенезией и в 60% случаев с распространением на сосудистое сплетение. При МРТ головного мозга липома четко очерчена, без отека вокруг и масс-эффекта, кость не разрушает. Структура образования чаще однородная, жировой интенсивности сигнала - то есть выраженно гиперинтенсивная на Т1-взвешенных МРТ и немного менее интенсивная по отношению к ликвору на Т2-взвешенных МРТ. Иногда встречаются неоднородные липомы с участками низкого сигнала от кальцинатов и сосудов, проходящих ее насквозь. При сомнениях в диагнозе надо выполнить МРТ головного мозга с подавлением жира или можно сделать КТ. На КТ липома всегда резко гиподенсна и может содержать включения кальция.

МРТ головного мозга. Сагиттальная Т1-взвешенная МРТ. Липома мозолистого тела.
Эпендимальные кисты встречаются очень редко. Они представляют собой врождённую отшнуровку внутри желудочков или цистернах . На МРТ головного мозга контур кисты четкий, сигнал ликворной интенсивности или чуть светлее за счет отсутствия пульсации и примеси белка, структура однородная. В отличие от кист прозрачной перегородки она не расщеплена, а смещена.
Арахноидальные кисты представляют собой скопление ликвора между листками расщепленной паутинной оболочки. Арахноидальная киста обычно не сопровождается другими мальформациями. Незначительная часть арахноидальных кист имеет приобретенное происхождение - следствие лептоменингита, операции или кровоизлияния. Частота составляет около 1% от внутричерепных образований. Соотношение полов М:Ж, как 4:1. Типичная локализация - средняя черепная ямка (в области Сильвиевой борозды 50%), межполушарная щель, мосто-мозжечковый угол (11%), за скатом или на уровне четверохолмия (10%), в области червя мозжечка (9%), реже в области межножковой и предмостовой цистерн (3%), а также супраселлярной и хиазмальной цистерн. Ретроцеребеллярная арахноидальная киста довольно часто встречаются за мозжечком и отличима от mega cisterna только по неизменённой задней черепной ямке. Содержимое кисты чисто ликворное, стенки гладкие, чётко очерченные, внутри кисты могут быть перегородки. Мелкие арахноидальные кисты очень трудно увидеть. Меняя ширину окна и его уровень на Т1-взвешенных МРТ изображениях можно заметить, что киста чуть светлее ликвора. Дифференциальная диагностика с эпидермальными кистами лучше осуществляется с помощью МРТ последовательности FLAIR. Эпидермальные кисты становятся яркими, в отличие от гипоинтенсивных арахноидальных.
Нейроглиальные (нейроэпителиальные) кисты - врождённые кисты различной этиологии, локализующиеся в паренхиме мозга или в области сосудистого сплетения желудочков. Обычно округлые, с гладкими стенками. Очень часто такие кисты сочетаются с аномалиями развития: отсутствием прозрачной перегородки и полимикрогирией. При МРТ головного мозга содержимое кист ликворное, иногда с небольшой примесью белка.
Коллоидная киста - это врождённое нейроэпителиальное образование. Коллоидная киста выстлана эпителием и имеет фиброзную капсулу. Она составляют около 1-2% объемных внутричерепных образований. Обычно диагностируются в возрасте между 30 и 50 годами. При МРТ головного мозга видно, что киста всегда расположена в переднее-верхнем отрезке III желудочка между отверстиями Монро. Контур ее четкий, форма округлая, содержимое бывает неоднородное. Размер от 3 мм до 4 см, при больших размерах она закрывает отверстия Монро и вызывает окклюзионную гидроцефалию. Сигнал зависти от примеси белка к ликвору. При наличии белкового мукоидного содержимого киста гиперинтенсивна на Т1-взвешенных МРТ и гипоинтенсивна на Т2-взвешенных МРТ, но встречаются варианты гиперинтенсивные на томограммах обоих типов кольцевидные или смешанные . Контрастирования не наблюдается.
КТ и МРТ головного мозга. Коллоидная киста III желудочка.
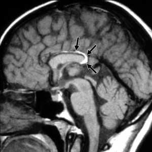
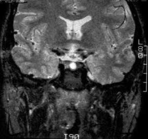
Киста кармана Ратке представляет собой редко встречающееся образование из остатков эмбриональной эктодермы (щель Ратке), расположенное между долями гипофиза. Выявляется в любом возрасте, но чаще в 50-60 лет. Клинические проявления связаны с масс-эффектом. При головного мозга выявляется небольшая (3-5 мм) киста с четким контуром, без отека вокруг, однородная по структуре. Сигнал зависит от содержимого. При серозном содержимом сигнал типично жидкостный, при мукоидном киста светлая на Т1-взвешенных МРТ. В редких случаях киста достигает больших размеров и даже выходит за пределы седла. Стенка кисты иногда усиливается при контрастировании.
МРТ головного мозга. Т2-взвешенная корональная МРТ. Киста кармана Ратке.
Пинеальная киста расположена в проекции шишковидной железы. Встречается с частотой 4-11%. Размеры обычно не превышают 1 см, но изредка встречаются больших размеров. В таких случаях она вызывает окклюзионную гидроцефалию. При головного мозга она имеет все признаки кисты с примесью белка в жидкости, то есть немного светлая на Т1-взвешенных. Изредка встречается геморрагическое содержимое. Киста может контрастироваться по периферии.

МРТ головного мозга. Сагиттальная Т1-взвешенная МРТ. Пинеальная киста.
Кисты средней линии - киста прозрачной перегородки (cavum septi pellucidi), полость Верге (cavum Vergae) и киста промежуточного паруса (cavum veli interpositi) - являются нормальными структурами головного мозга плода. В течение 6 месяцев после рождения у большинства людей они запустевают, но могут и сохраниться, визуализируясь при этом на МРТ головного мозга. По-видимому, эти полости не имеют клинического значения и относятся к случайным находкам при томографии. Киста прозрачной перегородки (еще называют V желудочком) является медиальной стенкой боковых желудочков и ограничена спереди коленом мозолистого тела, сверху мозолистым телом и сзади столбами свода . Полость Верге представляет собой продолжение кисты прозрачной перегородки кзади и расположена между телами желудочков . Обычно обе кисты сочетаются. Киста промежуточного паруса расположена в крыше III желудочка (tela choroidea), между треугольниками боковых желудочков на уровне отверстий Монро. Она ограничена сверху мозолистым телом, cзади цистерной четверохолмия и снизу III желудочком.
При МРТ в СПб мы обращаем внимание на возможность не только врожденных, но и редких состояний, к которым относятся приобретенные кисты головного мозга, причиной которых могут быть:
- последствия ОНМК
- опухолевые кисты
- паразитарные кисты

МРТ головного мозга. Корональная Т1-взвешенная МРТ. Многокамерные эхинококковые кисты.
Кисты головного мозга одинаково хорошо видны в высоких полях и низкопольных открытых МРТ. МРТ СПб дает место выбора выполнения МРТ.
Диагностика кисты кармана Ратке по КТ, МРТ

Заболевания
Киста кармана Ратке
Карман Ратке (КР) представляет собой анатомическую структуру, которая образуется в процессе эмбрионального развития и со временем формирует воронку, переднюю и заднюю части гипофиза. Он назван в честь Мартина Генриха Ратке (1793-1860), немецкого профессора зоологии и анатомии. Это карман, как правило, исчезает (облитерируется, заполняясь развивающимся гипофизом) на раннем этапе развития плода, но некоторые клетки кармана нередко остаются в виде щели или небольших заполненных коллоидом кист, которые у детей выражены четче, чем у взрослых.
Киста кармана Ратке (ККР) представляет собой доброкачественную четко отграниченную анатомическую структуру округлой или овальной формы, формирующуюся в результате аномальной инволюции КР с развитием кист (располагающиеся чаще интраселлярно или супраселлярно) между адено- и нейрогипофизом (т.е. между передней и задней долями гипофиза) или кпереди от воронки гипофиза. Патогенетически ККР схожи с краниофарингиомами. Размеры ККР варьируют от нескольких миллиметров до 4 - 5 см, содержимое, как правило, незначительно по объему и обычно мукозное (смесь белка и холестерина), реже она заполнена серозной жидкостью или остатками десквамированных клетоки. ККР - вторая по распространенности патология гипоталамо-гипофизарной области после аденом гипофиза, популяционная частота по данным аутопсий составляет от 13 - 33% (соотношение женщин и мужчин приблизительно 2 : 1).
В большинстве случаев ККР гормонально неактивны и клинически асимптомны и являются случайной находкой при аутопсии). Кисты становятся симптоматичными только тогда, когда они, вследствие своего большого размера, компримируют ткань гипофиза, структуры кавернозного синуса или хиазму (перекрест) зрительных нервов, вызывая соответствующую симптоматику: головные боли (33 - 81%), нарушение зрения (33 - 75%), гипофизарную дисфункцию (19 - 81%). В ряде случаев первым клиническим проявлением ККР являются: кровоизлияние в полость ККР или апоплексия гипофиза (сопровождающиеся выраженными головными болями, нарушением зрительной функции, тошнотой или рвотой). Среди эндокринных нарушений наиболее распространены гипопитуитаризм, гиперпролактинемия, водно-электролитные расстройства.
Осложнением ККР может быть ее трансформация в краниофарингиому (то есть в доброкачественную эпителиальную опухоль), когда остатки КР (и/или фарингеального эпителия) претерпевают опухолевую трансформацию в процессе развития аденогипофиза. Полагают, что именно так формируются адамантиноподобные краниофарингиомы, чаще проявляющиеся в детском возрасте. Краниофарингиомы сходны с ККР по возрастным и демографическим признакам, но, в отличие от ККР, обычно имеют обызвествления и супраселлярное распространение образования. Также ККР необходимо дифференцировать от кистозных аденом гипофиза, эпидермоидных кист, а также от арахноидальных кист.
Диагностика
Диагностика кисты кармана Ратке включает в себя: обследование неврологом и офтальмологом на наличие симптомов давления на структуры головного мозга, консультация эндокринолога (в том числе, лабораторные исследования гормональной функции гипофиза), ну и конечно нейровизуализацию в виде магнитно-резонансной томографии и/или рентгеновскую компьютерную томографию, а при необходимости ангиографию сосудов головного мозга (в некоторых случаях необходима консультация онколога для исключения злокачественного перерождения кисты).
Общепринятым и стандартным способом диагностики ККР является метод МРТ. Данный способ позволяет определить место локализации кисты, ее размеры и контакты с функционально значимыми зонами мозга, а также основными магистральными сосудами. В зависимости от состава содержимого ККР представлены гипо-, изо- или гиперинтенсивными на Т1- и Т2-ВИ. Кальцификация стенок кисты встречается крайне редко. При болюсном введении парамагнетика эти образования не накапливают контрастное вещество. ККР с мукозным содержимым представляются гиперинтенсивными как на Т2-ВИ, так и на Т1-ВИ; серозное содержимое ККР соответствует сигналу ликвора, т. е. гипоинтенсивный сигнал на Т1-ВИ и гиперинтенсивный сигнал на Т2-ВИ. Однако ККР с высоким содержанием белка являются гиперинтенсивными на Т1-ВИ и гипоинтенсивными на Т2-ВИ. На основе многочисленных МР-исследований и гистологических верификаций кистозных образований гипофиза можно предположить, что наличие внутрикистозного муцинозного включения патогномонично для ККР в 70 - 80% случаев. При контрастном усилении в большинстве случает накопление отсутствует, однако может быть виден тонкий контрастирующий ободок окружающей сжатой гипофизарной ткани. Примерно в 75% случаев можно выявить небольшой неконтрастирующий внутрикистозный узелок, который фактически является патогномоничным признаком кисты расщелины Ратке. Иногда можно увидеть уровень жидкости-жидкости (особенно если было кровоизлияние).
Также часто совместно с МРТ применяется КТ - метод, который позволяет обеспечить лучшую визуализацию костных структур черепа. КТ помогает уточнить топографические соотношения ККР со структурами черепа и сосудами головного мозга. Когда в качестве первичной диагностики невозможно применить МРТ ( при наличии противопоказаний для проведения МРТ), то применяют КТ и КТ с контрастированием.
Учитывая различную тактику ведения пациентов с аденомами (пролактиномами) и ККР, в ряде случаев во избежание диагностических ошибок целесообразно повторное проведение радиологического исследования в специализированном медицинском учреждении. Так, по данным ФГБУ Эндокринологический научный центр у 21% пациентов с первичным диагнозом «аденома гипофиза» подтверждалось наличие ККР или других неопухолевых образований КР.
Патология селлярной и параселлярной областей
Данный подход основан на презентации Walter Kucharczyka и адаптирован для Radiology Assistant Marieke Hazewinkel. В статье рассматривается системный подход к образованиям селлярной и параселлярной областей.

Дифференциальный диагноз: анатомический подход
Анатомический подход используется для того, чтобы определить локализацию образования (селлярная или параселлярная области).
- Во-первых, найдите на изображениях турецкое седло и гипофиз.
- Затем определите, где расположена патология в селлярной, параселлярной (супра- (выше), инфра- (ниже), латерально- (по бокам)).
- Если патология локализуется в турецком седле, то важно оценить увеличено ли турецкое седло в размерах или нет?
- После того, как определись с локализацией патологического процесса, оцените структуру образования (кистозная или солидная).
- Далее, содержит или не содержит опухоль аномальные сосуды.
- А также есть или нет в структуре кальцинаты? И тд.
- В конце определитесь с дифференциальным диагнозом.
Гипофиз:
Справа на коронарном срезе представленная структура, расположенная в турецком седле, является гипофиз.
Гипофиз обычно у женщин больше в размерах, чем у мужчин так, как у женщин гипофиз имеет более выпуклые верхние края, а мужчин верхние края вогнутые.
Патологии гипофиза (наиболее частые):
- Аденома
- Краниофарингиома
- Киста кармана Ратке
Воронка гипофиза:
Анатомическая структура, которая оценивается далее, это воронка гипофиза, которая расположена вертикально и соединяет гипофиз и мозг. В норме воронка гипофиза в основании тоньше, чем в верхней части. Стебель гипофиза эмбриологически свое начало берет из эпителия кармана Ратке, что объясняет схожесть развивающихся патологий, исходящих из воронки гипофиза, с патологиями гипофиза.
Детский возраст
Взрослый возраст

Перекрёст зрительных нервов (хиазма)
Перекрёст или хиазма зрительных нервов является также важно анатомической структурой для оценки в супраселлярной цистерне. Хиазма визуализируется в форме перевернутой восьмерки и является продолжением головного мозга, состоящая из глиальной ткани, поэтому глиома наиболее частая опухоль этой анатомической структуры.
В США и ЕС также часто выявляют демиелинизирующие заболевания, поражающие перекрест зрительных нервов в особенности рассеянный склероз (РС), что тоже может с некоторым увеличением хиазмы зрительных нервов в размерах.

Гипоталамус
Следующей анатомической структуры для оценки является гипоталамус, расположенный книзу от таламуса, формируя латеральные стенки и дно третьего желудочка.
Самая распространенная опухоль данной локализации является глиома.
Дифференциальный диагноз в детском возрасте:
- гамартома
- герминома
- эозинофильная гранулема

Внутренняя сонная артерия (ВСА)
Далее оцениваются внутренние сонные артерии, которые имеют сложный анатомический ход, проходя сперва через основание черепа, визуализируясь в виде буквы S на боковых срезах, а далее через кавернозные синусы.
Краниальные сегменты ВСА также называют супракавернозными сегменты.
ВСА бифуркируется на ветви:
- передней мозговой артерии (ПМА), проходящие вдоль перекреста зрительных нервов
- средней мозговой артерии (СМА), проходящие латеральнее.
Наиболее частые патологии:
- аневризма
- эктазия
- аномалия развития сосудов, в том числе медиальное расположение ВСА (практически по медиальной линии).

Кавернозный синус
Кавернозный или пещеристый синус является парным и располагается на основании черепа по бокам от турецкого седла.
Боковая стенка пещеристого синуса содержит следующие пары черепных нервов:
- глазодвигательная (3 пара)
- блоковидная (4 пара)
- тройничная (5 пара) - верхняя (V1) глазничная ветвь, средняя (V2) верхне-челюстная ветвь.
Отводящая (6) пара проходит медиальнее и каудальнее по отношению к сонной артерии.

Мозговые оболочки:
Оболочки покрывают пещеристый синус и обычно толще с латеральных сторон и сверху, чем с медиальных сторон снизу.
- менингиома - опухоль, исходящая из оболочек мозга
- дуральный метастаз - вторичная опухоль, которая по частоте встречаемости в данной локализации на втором месте.
- воспалительный процесс
- инфекционная этиология - туберкулезный менингит (базальная часть мозговых оболочек)
- не-инфекционная этиология - саркоидоз
![]()
Клиновидная пазуха:
Ниже гипофиза расположена клиновидная пазуха, содержащая воздух и выстланая слизистой оболочкой. Кзади от клиновидной пазухи расположен скат (не показан на данном корональном срезе).
- карцинома (плоскоклеточная, аденокистозная), возникающая из слизистой оболочки клиновидной пазухи.
- хордома, хондросаркома, остеосаркома, возникающие в области ската.
- метастатическое поражение, возникающее в любой локализации.
- воспалительный процесс, обусловленный бактериальной или грибковой этиологиями, интракраниально распространившийся через кавернозный синус.
![]()
Микроаденома гипофиза
Микроаденома гипофиза - это опухоль, локализующаяся в гипофизе, размерами менее 10 мм в диаметре.
На данных изображениях представлен классический случай микроаденомы. На Т1 взвешенных изображениях в гипофизе визуализируется опухоль 3-4 мм в диаметре, незначительно гипоинтенсивнее по отношению к нормальной ткани гипофиза, а на Т2 взвешенных изображениях незначительное гиперинтенсивное.
Следовательно, дифференциальный диагноз выглядит следующим образом:
- микроаденома гипофиза
- киста карма Ратке
NB! Данные две патологии не всегда возможно отдифференцировать друг от друга.
Безконтрастная МРТ в диагностике микроаденом гипофиза имеет чувствительность в 70%. Контрастирование не всегда необходимо, даже если на нативных изображениях патология не выявлена так, как пациентам проводят схожее симптоматическое лечение, как и пациентам с выявленной микроаденомой (чаще это женщины с гиперпролактинемией).
Цель исследования, соответственно, поиск опухоли размерами более, чем 10 мм.
Контрастирование необходимо в случаях, когда необходимо установить точную локализацию патологического процесса для последующего оперативного вмешательства. Контрастирование обязательно при неэффективном симптоматическом лечении у пациентов с опухолью гипофиза (например, при болезни Кушинга).
Киста кармана Ратке — симптомы и диагностика
Киста кармана Ратке — доброкачественное образование, расположенное внутри турецкого седла основания черепа. Они являются выстланными эпителием интраселлярными кистами, которые, как считается, развиваются из остаточных структур зародышевого кармана Ратке. Обычно они представляют собой образования округлой, овоидной или гантелевидной формы. Они встречаются часто и имеются у 13-33% людей и иногда вызывают компрессию подлежащих структур, что приводит к появлению таких симптомов, как головные боли, нарушения зрения или дефицит гормонов гипофиза.
Исследования показали, что выявленные при помощи лучевых методов кисты не изменяются со временем или же несколько уменьшаются в размерах; это позволяет предположить, что при отсутствии симптомов сдавления предпочтительным является консервативный подход в лечении.
Визуализация значительно улучшилась с внедрением в клиническую практику компьютерной томографии (КТ) и магнитно-резонансной томографии (МРТ).
Сделать МРТ гипофиза в Санкт-Петербурге
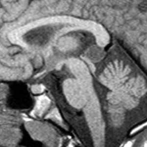
На изображениях ниже можно посмотреть, как киста Ратке выглядит на снимке .
![f1]()
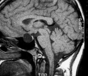
МРТ: киста кармана Ратке. На Т1-взвешенном сагиттальном изображении, полученном до введения контраста, заметно четко очерченное образование в области турецкого седла - с распространением в супраселлярную цистерну. Отмечается гомогенно высокая интенсивность сигнала в образовании по сравнению с паренхимой головного мозга.
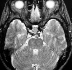
![f2]()
Т2-взвешенное аксиальное изображение (тот же пациент, что и на предыдущем изображении).
![f3]()
Т2-взвешенное аксиальное изображение: изоинтенсивное коре образование (тот же пациент, что и на предыдущем изображении).
Почему образуется киста кармана Ратке
Как установили Voelker с соавторами, по наиболее общепринятой теории происхождения, эти образования развиваются из истинных остаточных структур кармана Ратке, существовавшего во внутриутробном периоде.
Карман Ратке возникает примерно на 24й день эмбрионального развития в виде дорсального дивертикула ротовой ямки; это образование выстлано эпителиальными клетками эктодермального происхождения. Примерно в это же время формируется воронка гипофиза в виде выроста нейроэпителия из диэнцефалона. К пятой неделе он дорастает до воронки и облитерируется у щечно-глоточной перепонки. В течение шестой недели он отделяется от орального эпителия. Затем из его передней стенки развивается дистальная часть гипофиза. Задняя стенка не пролиферирует и остается в виде плохо различимой промежуточной части гипофиза.
Остаточный просвет кармана уменьшается до узкой щели, которая, в большинстве случаев, исчезает. Считается, что персистенция и расширение этой щели приводит к возникновению кисты Ратке.
Схема развития кисты из зародышевого кармана Ратке.
Некоторые авторы придерживаются иных теорий касательно формирования этих кист: в частности, по некоторым теориям, источником развития является нейроэпителий или эндодерма, или же предполагается их развитие путем метаплазии клеток передней доли гипофиза.
Анатомия
При патологоанатомическом исследовании размер кист варьирует от 2 до 40 мм. Её капсула часто тонкая и может быть прозрачной, голубоватой, серой, белой, желтой, розовой, коричневой или зеленоватой. Кистозная жидкость внутри обычно густая или желеобразная (коллоидная), но также может быть водянистой, серозной или напоминающей по консистенции машинное масло. Чаще всего жидкость желтого цвета, но иногда описывается и белесое, прозрачное, серое или зеленоватое содержимое.
При гистологическом исследовании кисты обычно состоят из васкуляризированной соединительнотканной стромы и трех типов эпителиальных клеток: реснитчатого эпителия, нереснитчатого эпителия и секретирующих слизь клеток. Нереснитчатый эпителий представлен одним слоем плоских клеток или же в виде нескольких рядов цилиндрического эпителия. Fager и Carter пришли к выводу, что наличие реснитчатого эпителия и секретирующих слизь клеток в ткани гипофиза является патогномоничным признаком кисты этого типа.
В ходе ретроспективного анализа Shin с соавторами обнаружили, что все исследованные были интраселлярными по происхождению в месте их изначальной локализации. Вследствие своей кистной природы, большинство из исследованных в данной работе проникали в супраселлярную цистерну через щель в диафрагме турецкого седла. Как сообщает Voelker по результатам ретроспективного анализа 155 клинических случаев с симптоматическими, кисты характеризовались интраселлярным и супраселлярным расположением у 71% пациентов. Область турецкого седла была расширена у 80%.
Симптомы
В 80% случаев, нет никаких симптомов и патология обнаруживается случайно при проведении КТ или МРТ. Размер подавляющего большинства кист составляет менее 2 см в диаметре. Симптоматически они встречаются редко, но могут увеличиваться в размерах и вызывать сдавление гипофиза, ствола гипофиза, зрительного перекреста или гипоталамуса.
Симтоматически они весьма различны по клиническим проявлениям. В исследовании симптоматики у 11, проведенном Rao с коллегами, у 8 пациентов развились зрительные симптомы. В другом исследовании, проведенном Eguchi с соавторами, зрительные признаки имелись у 47% пациентов. К ним относилось снижение остроты зрения, атрофия зрительного нерва, нарушения полей зрения и хиазмальный синдром. В исследование Eguchi были включены 19 пациентов, у 4 из которых был несахарный диабет, у 3 - аменорея и/или галакторея, а у 2 — пангипопитуитаризм. При систематическом эндокринологическом обследовании наблюдалась дисфункция гипофиза различной степени. К прочим нарушениям относились головные боли и, реже, эпилепсия.
В исследовании Voelker с коллегами, чаще всего отмечалась гипофункция гипофиза со множественными эндокринопатиями. У более молодых пациентов, в возрасте от 4 до 22 лет, признаки гипопитуитаризма наблюдались с раннего возраста и сопровождались задержкой развития. Вторым наиболее частым признаком являлись нарушения зрения, включавшие в себя нарушения полей зрения вследствие компрессии зрительного перекреста. Другим частым симптомом была головная боль, лобной локализации в 57% случаев. Shin с соавторами описали также импотенцию или пониженное либидо в качестве наиболее частой эндокринологической патологии у мужчин; у женщин чаще всего имелась гиперпролактинемия. В добавление к описанным выше симптомам, эндокринологические развиваются вторично вследствие аденомы гипофиза. Среди редких или необычных признаков, связанных с темой исследований, отмечалась апоплексия гипофиза, гипофизит, гигантские кисты, обширное распространение во фронтальную область и необычные формы кист, асептический менингит, внутрикистный абсцесс, сфеноидит и синдром пустого турецкого седла.
Методы диагностики
Методом выбора в диагностики является МРТ хиазмально-селлярной области (гипофиза). Должны быть получены тонкие срезы в сагиттальной и корональной плоскостях, проведенные через турецкое седло. Исследование должно сопровождаться контрастным усилением. КТ-снимки также могут быть полезными при их оценке. Результаты КТ особенно полезны в диагностике сопутствующих костных изменений и отложений кальцинатов.
Ограничения методов
МРТ превосходит КТ по качеству визуализации и оценки размеров кисты Ратке. Сагиттальные и корональные МРТ-снимки позволяют получить достоверную информацию о взаимном расположении образования и зрительных нервов, зрительного перекреста и гипоталамуса. МРТ в корональной проекции также позволяет выявить латеральное распространение кисты за пределы турецкого седла и оценить ее расположение относительно внутренних сонных артерий и кавернозных синусов. Метод Магнитно резонанстной томографии превосходит КТ по возможностям мультипланарной визуализации и контрастного разрешения.
Преимуществом КТ является лучшее отображение небольших кальцинатов. Это преимущество значимо, потому что наличие кальцинатов может указать на альтернативный диагноз, например, на краниофарингиому, хотя кальцинаты небольших размеров иногда определяются при этом заболевании. КТ также превосходит МРТ в оценке ассоциированной перестройки костной ткани.
Что важно знать
Важно не перепутать Ратке с кистозной аденомой гипофиза. В случае аденомы среди жалоб отмечаются симптомы гормональных нарушений, нарушения зрения и головные боли. Нередко диагноз аденомы ставится тогда, когда у пациента Ратке, и наоборот. Для достоверного разграничения этих двух состояний бывает полезной экспертная расшифровка МРТ, проведенная опытным нейрорадиологом. Второе мнение помогает поставить точный диагноз.
Рентгенография турецкого седла
Кисты кармана обычно не вызывают увеличения области турецкого седла на обзорном рентгенографическом снимке черепа. У пациентов с симптоматическими кистами на обзорном рентгеновском снимке обычно определяется необычная конфигурация турецкого седла, от легкой асимметрии дна турецкого седла до массивных эрозий на кости. У некоторых пациентов отмечаются интра- или супраселлярные кальцинаты.
Достоверность диагностических данных, полученных при стандартной рентгенографии, достаточно низкая. Выявляемые изменения неспецифичны: им могут соответствовать другие часто встречающиеся изменения области турецкого седла, например, аномалии конфигурации турецкого седла или аденома гипофиза.
КТ при кисте Ратке
На КТ киста обычно выглядит в виде хорошо очерченного гиподенсного образования турецкого седла, иногда с распространением в супраселлярное пространство. Вследствие различного содержимого, они могут быть изоденсны или гиперденсны относительно паренхимы головного мозга.
Они обычно характеризуются тонкой стенкой, которая может накапливать контраст. Значительные различия в контрастном усилении разных кист на КТ-снимках могут отражать плоскоклеточную метаплазию стенки или смещение к периферии ткани гипофиза в виде ободка. Экстравазация кистного содержимого может вызывать воспаление подлежащих структур, что приводит к накоплению контраста.
Кальцинаты бывают редко. Сложные кисты могут иметь внутренние перегородки. Крупные могут вызывать перестройку костной ткани, расширение турецкого седла, остеопороз его спинки.
Снимков КТ недостаточно для подтверждения диагноза, поскольку полученные данные не позволяют однозначно исключить другую патологию. Простые могут быть неотличимы от арахноидальных или эпидермоидных кист. Более сложные бывает сложно отличить от краниофарингиомы или аденомы гипофиза. Поэтому диагноз должен быть поставлен на основании сочетания клинических, биохимических, патологоанатомических и радиологических данных.
МРТ при кисте кармана Ратке
МР-картина может быть очень различной (см. изображения ниже). Несмотря на то, что не было определено никаких специфичных МРТ-признаков, большинство можно разделить на следующие две группы:
1) С низкой интенсивностью сигнала на Т1-взвешенных изображениях и высокой интенсивностью на Т2-ввешенных изображениях
2) С высокой интенсивностью сигнала на Т1-взвешенных изображениях и вариабельной интенсивностью сигнала на Т2-взвешенных изображениях
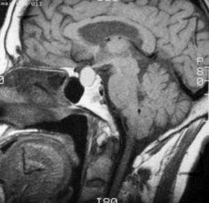
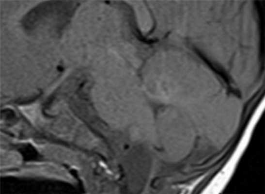
![f4]()
Т1-взвешенное сагиттальное изображение, полученное до контрастного усиления: видна хорошо определяемая киста в зоне турецкого седла, изоинтенсивная спинно-мозговой жидкости. Отмечается соответствующая норме высокая интенсивность сигнала задней доли гипофиза сзади.
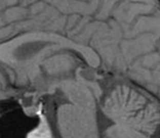
![f5]()
На Т1-взвешенном корональном изображении она видна рамером чуть менее сантиметра в центральной части турецкого седла. Слегка гиперинтенсивна по сравнению со спинно-мозговой жидкостью.
![f6]()
На этом Т2-взвешенном изображении она изоинтенсивна спинно-мозговой жидкости.
![f7]()
Крупная гиперинтенсивна по сравнению со спинно-мозговой жидкостью на аксиальном протонно-взвешенном изображении. Отмечается расширение турецкого седла с латеральным отклонением чуть заслоненной, но проходимой кавернозной частью внутренней сонной артерии.
Содержимое первой группы напоминает спинномозговую жидкость (СМЖ). Во второй группе усиление сигнала на Т1-взвешенных изображениях связано с высоким уровнем содержания мукополисахаридов, что, как считается, является следствием увеличения числа муцин-секретирующих клеток в стенке, а также повышенной активности этих клеток.
Редкие случаи высокой интенсивности сигнала на Т1-взвешенных изображениях и низкой интенсивности на Т2-взвешенных изображениях связаны с сочетанием различных факторов, включающих в себя наличие мукополисахаридов, застарелое кровоизлияние, значительное содержание холестерина или клеточного детрита стенки кисты. Они практически всегда однородны по интенсивности сигнала, в то время как для других патологических образований, таких как краниофарингеомы и геморрагические аденомы, чаще характерна гетерогенность интенсивности сигнала.
Имеют тонкую стенку, которая может контрастироваться при вводе контрастных веществ на основе гадолиния. Различные варианты контрастирования гадолинием могут отражать плоскоклеточную метаплазию стенки или смещенную к периферии в виде ободка ткань гипофиза.
Данные по связи интенсивности сигнала и ее клинических проявлений очень редки. В 1997 году Takeichi с коллегами исследовали 78 пациентов, включая 9 собственных пациентов, и сообщили, что с интенсивностью сигнала, соответствующей спинно-мозговой жидкости, характеризовались медленным ростом, большим размером и часто вызывали зрительную симтоматику. Симптоматические с другой интенсивностью сигнала были меньшего размера.
Режим DWI-SSFSE со значениями ИКД может также быть использован в дифференциальной диагностике, краниофарингеом и геморрагических аденом гипофиза.
Насколько достоверна МРТ?
Нет ни одного характерного МРТ-признака, который можно было бы использовать для достоверной дифференциальной диагностики кист кармана Ратке и других кистозных образований селлярной или супраселлярной области. Простые могут быть неотличимы от арахноидальных или эпидермоидных кист. Более сложные может быть трудно отличить от краниофарингеомы или аденомы гипофиза.
Кистозные аденомы гипофиза могут напоминать первые при отсутствии солидного контрастируемого компонента на МРТ. Такие признаки, как наличие уровня жидкость-жидкость, гипоинтенсивного ободка на Т2-взвешенных изображениях, внутренних перегородок (септ), и расположение латеральнее срединной линии, чаще соответствуют аденомам гипофиза, в то время как наличие внутрикистного узла может быть чаще ассоциировано с темой исследований.
Вследствие значительного варьирования данных КТ и МРТ, для предоперационного установления диагноза требуется сочетание клинических, биохимических и радиографических данных. Дифференциальный диагноз очень важен, поскольку лечение и хирургический подход значительно отличаются от таковых при других возможных патологиях. При сомнениях в диагнозе можно получить второе мнение по МРТ гипофиза.
Лечение
Если не сопровождается клиническими симптомами, она не требует лечения. Рекомендуется наблюдение за ней в течение некоторого времени, при отсутствии роста — её можно оставить в покое.
При доказанной клинической симптоматике самым частым подходом в лечении является транссфеноидальная резекция, в ходе которой она частично иссекается и дренируется. Этот метод достаточно эффективен и помогает сохранить функциональную активность гипофиза. Радикальное иссечение может повлечь за собой дополнительное лишнее повреждение гипофиза и, таким образом, не является методом выбора. При транссфеноидальной резекции её вскрывают, получают образец биопсийного материала из стенки и устанавливают дренаж через клиновидную пазуху. Реконструктивные операции турецкого седла не требуются, за исключением тех случаев, когда имеет место интраоперационное истечение спинномозговой жидкости (ликворея). У тех пациентов, у которых этот метод неприменим вследствие затрудненного доступа, проводится краниотомия, обычно с использованием правого лобного лоскута.
Сроки постоперационного динамического наблюдения варьируют у разных пациентов от 1 недели до 26 лет (в среднем, 34 месяца). Исходом операции для большинства пациентов является разрешение или уменьшение выраженности симптомов. У пациентов с гипопитуитаризмом или с несахарным диабетом обычно не удается добиться улучшения. После операции наиболее значимое улучшение наступает со стороны исчезновения неврологической симптоматики (71%), а затем - офтальмологической (70% пациентов). У более, чем 65% наступает улучшение с аменореей, галактореей, олигоменореей. Головные боли и нарушения полей зрения исчезают у 82% и 70% пациентов, соответственно.
К хирургическим осложнениям относится истечение СМЖ через нос (у 7% пациентов), несахарный диабет (4% пациентов) и менингит (4% пациентов). Редким хирургическим осложнением, отмеченным Baskin, являлась перфорации носовой перегородки. Образование внутрикистного абсцесса является излечимым осложнением; его развитие следует заподозрить при радиологических признаках даже при отсутствии лихорадки. Хирургическое лечение и назначение антибиотиков являются эффективными у большинства пациентов.
Частота рецидивов после краниотомии в два раза превышает таковую после транссфеноидальной резекции. Кроме этого, отдельно отмечалось попадание содержимого в субарахноидальное пространство; это приводит к асептическому менингиту. В случае рецидива, наиболее оправданным методом является обширное удаление кисты; некоторые специалисты рекомендуют облучение гипофиза, хотя роль этого метода в предотвращении рецидивов остается неясной. Fager и Carter рекомендуют полную эвакуацию содержимого со свободным вскрытием ее стенки для лечения симптоматических кист кармана Ратке. Рецидивы после такой операции происходят редко.
Интересным аспектом лечения является её уменьшение в размерах под действие высокодозной терапии стероидными гормонами. Несмотря на то, что патофизиологический механизм такого лечения не ясен, достоверно показано, что стероидные гормоны оказывают эффект на секрецию и абсорбцию внутрикистной жидкости, что позволяет предположить, что терапия с использование глюкокортикостероидов может быть полезна пациентам с этим диагнозом, сопровождающимися воспалительными изменениями. Необходимы дальнейшие исследования для оценки эффективности этого метода в лечении.
Другим вариантом хирургического лечения является удаление интра- или супраселлярной кисты кармана Ратке эндоскопическим эндоназальным доступом под прямым зрительным контролем с целью хорошей визуализации и сохранения ткани гипофиза. Этот подход может улучшить течение постоперационного периода поскольку не вызывает заложенности носа и возможных проблем с дыханием.
МРТ кист головного мозга
![Киста]()
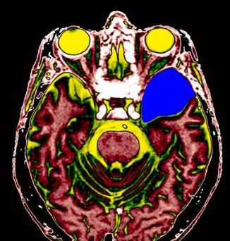
МРТ головного мозга. Арахноидальная киста полюса левой височной доли. Цветовая обработка.
Кисты головного мозга - это аномалии его развития. При МРТ в СПб мы видим задачу в дифференциальной диагностике с кистозными формами опухолей. При МРТ головного мозга некоторые виды кист, особенно дермоидные, сами напоминают опухоль.
При МРТ головного мозга картина неспецифическая и зависит от содержимого кисты. Если она не содержит жира, топри МРТ головного мозга эпидермоидная киста имеет ликворную интенсивность сигнала. В таком случае эпидермоидная киста трудно отличима от арахноидальной, хотя, как правило, не столь однородная. На FLAIR томограммах и диффузионно-взвешенных МРТ головного мозга содержимое эпидермоидов светлее ликворного. Жировое содержимое, такие эпидермоиды еще называют холестеатомой, приводит к высокому сигналу на Т1-зависимых МРТ головного мозга. Видимо, он обусловлен липидами, но не холестеролом. На Т2-взвешенных МРТ головного мозга он менее интенсивен чем ликвор. Контуры эпидермоидов на МРТ всегда четкие. Холестеатомы составляют всего 3-5% от эпидермоидов. В 15-20% случаев встречается кальцификация по переферии кисты. Редко наблюдается усиление стенок кисты при МРТ головного мозга с контрастированием.
![Epidermoid cyst]()
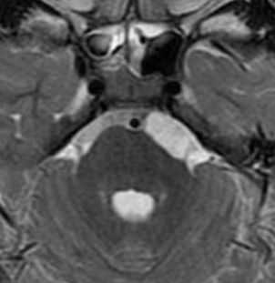
МРТ головного мозга. Т2-взвешенная аксиальная МРТ. Эпидермоидная киста в области предмостовой цистерны слева.
Дермоидные кисты встречаются реже эпидермоидных, составляя около 0,3 % от внутричерепных образований. Обычно выявляются в возрасте между 10 и 20 годами. Морфологически от эпидермоидов их отличает наличие эктодермальных элементов - волосяных фолликулов, потовых желёз и т.д. Типично они расположены по средней линии (в отличие от эпидермоидов, которые чаще внеосевые): в супраселлярной цистерне, субфронтально, вокруг моста и, очень редко парапинеально, периорбитально, в IV желудочке, в области конского хвоста и интрадиплоидно. От эпидермоидных кист на МРТ головного мозга их отличает только выраженная неоднородность структуры, кроме того, они всегда яркие на Т1-зависимых МРТ головного мозга за счёт большого содержания липидов. При разрыве и прорыве в субарахноидальное пространство в нём появляется уровень, на Т1-зависимых МРТ головного мозга светлый жир плавает на ликворе.
![Dermoid rupture]()
МРТ головного мозга. Т1-взвешенная аксиальная МРТ. Прорыв дермоидной кисты в субарахноидальное пространство.
Эпендимальные кисты встречаются очень редко. Они представляют собой врождённую отшнуровку внутри желудочков или цистернах. При МРТ головного мозга контур кисты четкий, сигнал ликворной интенсивности или чуть светлее за счет отсутствия пульсации и примеси белка, структура однородная. В отличие от кист прозрачной перегородки при МРТ головного мозга видно, что она не расщеплена, а смещена.
![Ependimal cyst]()
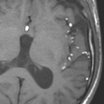
МРТ головного мозга. Т2-взвешенная аксиальная МРТ. Эпендимальная киста.
Арахноидальные кисты представляют собой скопление ликвора между листками расщепленной паутинной оболочки. Арахноидальная киста обычно не сопровождается другими мальформациями. Незначительная часть арахноидальных кист имеет приобретенное происхождение - следствие лептоменингита, операции или кровоизлияния. Частота составляет около 1% от внутричерепных образований. Соотношение полов М:Ж, как 4:1. Типичная локализация - средняя черепная ямка (в области Сильвиевой борозды 50%), межполушарная щель, мосто-мозжечковый угол (11%), за скатом или на уровне четверохолмия (10%), в области червя мозжечка (9%), реже в области межножковой и предмостовой цистерн (3%), а также супраселлярной и хиазмальной цистерн. В зависимости от размера предложено делить кисты на 3 типа (Galassi, 2006), что однако, не имеет практического значения. Ретроцеребеллярная арахноидальная киста довольно часто встречаются за мозжечком и отличима от mega cisterna только по неизменённой задней черепной ямке. При МРТ головного мозга содержимое кисты чисто ликворное, стенки гладкие, чётко очерченные, внутри кисты могут быть перегородки. Мелкие арахноидальные кисты очень трудно увидеть при МРТ головного мозга. Меняя ширину окна и его уровень на Т1-зависимых МРТ изображениях можно заметить, что киста чуть светлее ликвора. Дифференциальная диагностика с эпидермальными кистами лучше осуществляется с помощью МРТ последовательности FLAIR. На них при МРТ головного мозга эпидермальные кисты становятся яркими, в отличие от гипоинтенсивных арахноидальных. Вероятно, вариантом арахноидальной кисты является нейроэпителиальная киста, которая при МРТ головного мозга имеет типичное расположение в области хориоидальной щели.
![Arachnoid cyst]()
МРТ головного мозга. Т1-взвешенная сагиттальная МРТ. Арахноидальная киста в области большого затылочного отверстия.
Порэнцефалические кисты - врождённые кисты различной этиологии, локализующиеся в паренхиме мозга или в области сосудистого сплетения желудочков.При МРТ головного мозга они обычно округлые, с гладкими стенками. Очень часто такие кисты сочетаются с аномалиями развития: отсутствием прозрачной перегородки и полимикрогирией. Содержимое порэнцефалической кисты при МРТ головного мозга ликворное, иногда с небольшой примесью белка.
Коллоидная киста - это врождённое нейроэпителиальное образование. Коллоидная киста выстлана эпителием и имеет фиброзную капсулу. Она составляют около 1-2% объемных внутричерепных образований. Обычно диагностируются в возрасте между 30 и 50 годами. Всегда расположена в переднее-верхнем отрезке III желудочка между отверстиями Монро. Контур ее четкий, форма округлая, содержимое бывает неоднородное. Размер от 3 мм до 4 см, при больших размерах она закрывает отверстия Монро и вызывает окклюзионную гидроцефалию. Сигнал зависти от примеси белка к ликвору. При наличии белкового мукоидного содержимого киста гиперинтенсивна на Т1-взвешенных МРТ головного мозга и гипоинтенсивна на Т2-взвешенных МРТ, но встречаются варианты гиперинтенсивные на МРТ головного мозга обоих типов взвешенности кольцевидные или смешанные. При МРТ головного мозга с контрастированием усиления сигнала не наблюдается.
Киста кармана Ратке представляет собой редко встречающееся образование из остатков эмбриональной эктодермы (щель Ратке), расположенное между долями гипофиза. Выявляется в любом возрасте, но чаще в 50-60 лет. Клинические проявления связаны с масс-эффектом. При МРТ головного мозга выявляется небольшая (3-5мм) киста с четким контуром, без отека вокруг, однородная по структуре. Сигнал на МРТ головного мозга зависит от содержимого. При серозном содержимом сигнал типично жидкостный, при мукоидном киста светлая на Т1-взвешенных МРТ головного мозга. В 70-80% случаев внутри кисты выявляется неконирастирующийся узелок («пятно») - признак патогномоничный для кисты кармана Ратке. В редких случаях киста достигает больших размеров и даже выходит за пределы седла. Стенка кисты иногда усиливается при МРТ головного мозга с контрастированием. Дифференциальная диагностика при МРТ головного мозга должна проводиться с арахноидадьной и эпидермоидной кистами, тератомой, кистозной аденомой гипофиза и краниофарингиомой. Иногда при МРТ головного мозга киста кармана Ратке напоминает “пустое” турецкое седло. При маленьких размерах кисты ее на до дифференцировать на МРТ с микроаденомой гипофиза.
![Ratke cleft cyst]()
МРТ головного мозга. Т1-взвешенная сагиттальная МРТ. Киста кармана Ратке.
Пинеальная киста расположена в проекции шишковидной железы. Встречается с частотой 4-11%. Размеры обычно не превышают 1 см, но изредка встречаются больших размеров. В таких случаях она вызывает окклюзионную гидроцефалию. При МРТ головного мозга она имеет все признаки кисты с примесью белка в жидкости, то есть немного светлая на Т1-зависимых МРТ. Изредка встречается геморрагическое содержимое. Киста может по усиливаться периферии при МРТ головного мозга с контрастированием.
![Pineal cyst]()
МРТ головного мозга. Т1-взвешенная сагиттальная МРТ. Пинеальная киста.
Кисты средней линии - киста прозрачной перегородки (cavum septi pellucidi), полость Верге (cavum Vergae) и киста промежуточного паруса (cavum veli interpositi) - являются нормальными структурами головного мозга плода. В течение 6 месяцев после рождения у большинства людей они запустевают, но могут и сохраниться. По-видимому, эти полости не имеют клинического значения и относятся к случайным находкам при МРТ головного мозга . Киста прозрачной перегородки (еще называют V желудочком) является медиальной стенкой боковых желудочков и ограничена спереди коленом мозолистого тела, сверху мозолистым телом и сзади столбами свода. Полость Верге представляет собой продолжение кисты прозрачной перегородки кзади и расположена между телами желудочков (рис.105). Обычно обе кисты сочетаются. Киста промежуточного паруса расположена в крыше III желудочка (tela choroidea), между треугольниками боковых желудочков на уровне отверстий Монро. Она ограничена сверху мозолистым телом, cзади цистерной четверохолмия и снизу III желудочком.
Читайте также:
- Временные параметры функции левого желудочка при эхокардиографии
- Болезнь Меньера как причина головокружения. Клиника головокружения при болезни Меньера
- Ушные шумы при болезнях внутреннего уха. Шум в ухе при лабиринтите
- Талассемии у детей: клиника, диагностика, лечение
- Дефицит алкоголя. Алкоголь в организме при однократном поступлении
















