Временные параметры функции левого желудочка при эхокардиографии
Добавил пользователь Евгений Кузнецов Обновлено: 21.01.2026
Медицинский редактор: Строкина О.А. - терапевт, врач функциональной диагностики.
Июль, 2019.
Синонимы: УЗИ сердца, эхокардиография, эхокардиоскопия, ЭХОКС, ЭХОКГ.
Эхокардиография - ультразвуковое исследование сердца, позволяющее провести оценку всех структур и функциональное состояние органа.
Обследование проводится врачом функциональной диагностики в амбулаторных или стационарных условиях в течение 15-30 минут, редко длительность доходит до 60 минут, но только в очень сложных случаях и совместно с консилиумом врачей.
Показания
Патологий, при которых необходимо провести эхокардиографию довольно много, и все они связаны так или иначе с дифференциальным диагнозом болезней сердца или аорты. К срочным показаниям для трансторакальной ЭХОКГ относятся:
- острые, колющие, режущие боли в области сердца, которые пациент ощущает впервые;
- давящие, сжимающие боли, возникшие в первый раз или усилившиеся по интенсивности и продолжительности;
- внезапно возникшая одышка.
Кроме того обязательно периодическое исследование сердца при его хронических заболеваниях и при наличии факторов риска:
- , в том числе стенокардия, развившийся ранее инфаркт миокарда; ;
- бактериальный эндокардит (воспаление внутренней оболочки сердца);
- пороки сердца - приобретенные и врожденные;
- протезированные клапаны;
- некоторые малые аномалии развития сердца (двустворчатый аортальный клапан, пролапс митрального клапана); ; ;
- опухоли сердца;
- заболевания аорты; ;
- шумы в сердце;
- нарушения ритма сердца;
- травмы грудной клетки;
- профессиональные занятия спортом.
Виды эхокардиографии
Ультразвуковое исследование сердца проводится разными способами:
Трансторакальная ЭХО-КГ

Фото: классическое положение тела при проведении обычного УЗИ сердца.
Через грудную клетку. Используются обычные ультразвуковые датчики небольшого размера, которые специалист прикладывает к коже. Это наиболее часто используемое в практике исследование из-за простоты самой процедуры и доступности оборудования.
Противопоказаний к трансторакальной ЭХО-КГ нет, однако обследование может быть затруднено в при невозможности проведения исследования на левом боку. Например при тяжелой степени сердечной недостаточности, когда пациент не в состоянии находиться в положении лежа из-за возникающей выраженной одышки. Также сложности возникают при наличии у больного заболеваний легких, которые увеличивают их воздушность (хроническая обструктивная болезнь легких - ХОБЛ) и тем самым препятствуют проникновению ультразвука до сердца. Также существуют и другие патологические состояния, которые могут усложнить обследование.
После трансторакального обследования в покое осложнений не бывает.
Стресс-эхокардиография
Это специфическая методика процедуры позволяющая оценить работу сердца в условиях повышенной активности человека. Для этого в начале проводят обычное трансторакальное исследование, а потом дают физическую нагрузку (приседания, велотренажер) или проводят фармакологическую пробу для имитации повышения физической активности. Первый вариант более предпочтителен, поскольку более физиологичен и вероятность проявления какой-либо нежелательной реакции минимальна. Естественно рядом с пациентом необходимо присутствие врача-реаниматолога и кардиолога, которые смогут адекватно и своевременно отреагировать на острые ситуации (выраженный болевой синдром в области сердца, шок, потеря сознания, остановка сердца, аритмии и т.д.).
При исследовании с физической нагрузкой или фармакологической пробой могут появиться:
- аллергия на лекарственный препарат;
- аритмия;
- боли в области сердца;
- потеря сознания;
- шок и др.
Перечисленные реакции возникают крайне редко и быстро купируются (излечиваются) при наличии рядом реаниматолога или кардиолога.
Черспищеводная ЭХО-КГ (ЧПЭХО)
Процедура похожа на ФГДС - используется специальный эндоскоп с ультразвуковым датчиком на конце, который доктор вводит через рот до уровня сердца (на эндоскопе присутствуют специальные отметки с расстоянием). Датчик прижимается к стенке пищевода и изображение органа появляется на экране монитора аппарата. Этот вид обследования проводится реже, так как это более сложная технология, предусматривающая использование отдельного датчика с эндоскопом и специально обученного специалиста функциональной диагностики и медицинской сестры.
ЧПЭХО проводят, когда нет возможности провести трансторакальное исследование: выраженная подкожно жировая клетчатка, серьезные легочные заболевания, или просто в силу конституции человека легкие большей частью прикрывают сердце. Кроме того доступ через пищевод позволяет с большей точностью выявить дефекты межжелудочковой и межпредсердной перегородок, а также обнаружить тромб в ушке левого предсердия, которое не визуализируется при трансторакальном доступе. Такая процедура обязательна к проведению перед лечением (электроимпульсная терапия - восстановление ритма с помощью небольшого разряда дефибриллятора) определенных видов аритмий.
Из-за большей инвазивности ЧПЭХО для его проведения существует ряд противопоказаний:
- крайне тяжелое состояние пациента;
- заболевания пищевода - злокачественные новообразования, стриктуры (сужения), дивертикулы, варикозное расширение вен пищевода, эзофагит 1 .
Во время ЧПЭХО осложнения также крайне редки и связаны в первую очередь с введением эндоскопа. К таковым относятся перфорация пищевода или повреждение его стенки и голосовых связок. Кроме того возможно появление аритмии.

Фото: схема проведения чреспищеводного УЗИ с контрастом
ЭХО-КГ с контрастом (контрастное УЗИ сердца)
Также выделяют эхокардиографию с контрастированием правых камер сердца с использованием обычного физиологического раствора в качестве контрастного вещества и контрастное УЗИ всего сердца с помощью инновационного препарата SonoVue (Соновью). Этот препарат представляет собой микропузырьки с газообразным содержимым. Благодаря свойству ультразвука отражаться от границы сред с разной плотностью (наибольшая разница плотности на границе ткань-газ), контраст “светится”. Такая методика появилась сравнительно недавно и позволяет:
- более четко определить размеры полостей сердца,
- выявить с большей точностью минимальные дефекты перегородок и другие пороки сердца;
- более точно определить функцию левого желудочка за счет проникновения контраста внутрь сердечной мышцы.
ЭХО-КС с контрастированием используется и при доступе через грудную клетку, и через пищевод.
УЗИ с контрастом обычно проводится для диагностики пороков сердца и для подтверждения разрыва миокарда.
Проведение эхокардиографии с контрастированием противопоказано при:
- остром коронарном синдроме;
- нестабильной стенокардии;
- инфаркте миокарда в острой стадии;
- острой сердечной недостаточности III-IV степени;
- тяжелой легочной гипертензии;
- острых стадиях неврологических заболеваний;
- неконтролируемой артериальной гипертензии;
- нахождении пациента на ИВЛ;
- беременности и грудном вскармливании;
- аллергии на компоненты контрастного вещества.
Осложнения при контрастировании ограничиваются локальными реакциями в месте введения препарата в вену или артерию и теоретически непереносимостью препарата. Основную опасность при исследовании с контрастированием представляет то, что его чаще проводят в совокупности с физической нагрузкой или фармакологической пробой, соответственно и осложнения те же.
Как проводится УЗИ сердца
Во время эхокардиоскопии доктор использует различные режимы УЗ аппарата:
- одномерный (М-режим),
- двумерный (В-режим),
- режим допплера (оценка скорости потоков крови в камерах и сосудах),
- цветового допплера - ЦДК (для определения направления потоков крови и выявления патологических),
- энергетический допплер (регистрирует сам факт наличия кровотока в сосудах),
- тканевой допплер (более глубокая оценка сократимости миокарда, основанная на исследовании характера движения стенок от датчика и к нему),
- 3D-эхокардиография (максимальную пользу приносит перед операциями на клапанах - они практически полностью визуализируются до вмешательства, что важно для определения тактики хирургом).
Трансторакальное УЗИ
Эхокардиография через грудную клетку проводится в кабинете ультразвуковой или функциональной диагностики. Иногда в стационаре из-за тяжести пациента и невозможности транспортировки для его обследования используют переносной аппарат УЗИ. Медсестра или врач просят больного раздеться сверху до пояса, в том числе необходимо снять нижнее белье женщинам. Далее пациенту необходимо лечь на кушетку на левый бок и положить левую руку под голову. При этом головной конец кушетки немного приподнят - так достигается максимальное расстояние межреберных промежутков для лучшей визуализации сердца.
Положение больного по отношению к врачу может быть различное, все зависит от предпочтений последнего и обустройства кабинета. Пациент может быть повернут лицом или спиной к доктору, головой к аппарату или от него.
Специалист смазывает датчик УЗ-проводящим гелем для лучшего контакта с кожей, прикладывает его к левой части грудной клетки, визуализирует сердце, выводя стандартные позиции его для произведения измерений.
Чреспищеводное ЭХОКГ
Чреспищеводное ЭХО проводится строго натощак в кабинете УЗИ или функциональной диагностики. Берут согласие пациента на проведение исследования, объяснив перед этим всю его суть и ход событий. Горло орошают лидокаином с помощью спрея, просят удалить зубные протезы и лечь на кушетку на левый бок, согнув ноги в коленях и положив руки под щеку или на живот. В рот вставляется загубник, чтобы пациент не прикусил зонд. Затем врач вводит эндоскоп. В начале просит больного совершить глотательные движения для более легкого продвижения аппарата. Доведя до определенной позиции, врач начинает само обследование. Оно длится 10-20 минут.
ЭХОКГ с контрастом
При использовании контрастного вещества его вводит в одну из вен или артерий на бедре - зависит от вида препарата и цели исследования. При этом УЗ датчик остается на пациенте, чтобы вовремя зарегистрировать все данные и провести измерения.
Расшифровка результатов
Во время исследования врач оценивает линейные размеры и объемы камер сердца, локальную и общую (фракция выброса) сократимость и скорость кровотока через клапаны, в сосудах.
| Показатель | Значение для женщин | Значение для мужчин | ||||||
|---|---|---|---|---|---|---|---|---|
| норма | незначительное нарушение | умеренное нарушение | значительное нарушение | норма | незначительное нарушение | умеренное нарушение | значительное нарушение | |
| Толщина межжелудочковой перегородки | 6-9 мм | 10-12 мм | 13-15 мм | более 16 мм | 6-10 мм | 11-13 мм | 14-16 мм | более 17 мм |
| Толщина задней стенки левого желудочка | 6-9 мм | 10-12 мм | 13-15 мм | более 16 мм | 6-10 мм | 11-13 мм | 14-16 мм | более 17 мм |
| Масса миокарда левдого желудочка (ММЛЖ) | 66-150 г | 151-171 г | 172-192 г | более 193 г | 66-150 г | 151-171 г | 172-192 г | более 193 г |
| Индекс ММЛЖ (более значимый показатель - учитывает рост пациента) | 43-95 г/м2 | 96-108 г/м2 | 109-121 г/м2 | более 122 г/м2 | 49-115 г/м2 | 116-131 г/м2 | 132-148 г/м2 | более 149 г/м2 |
| Фракция выброса | более 55% | 45-54% | 30-44% | менее 30% | более 55% | 45-54% | 30-44% | менее 30% |
| Сократимость | не нарушена | |||||||
В заключении пациент может обнаружить следующие термины:
- акинез - отсутствие сокращения мышцы\стенки;
- гипокинез - минимальное сокращение;
- дискинез - асинхронность сокращений стенок;
- гипертрофия - утолщение;
- диастолическая дисфункция - нарушение расслабления сердечной мышцы;
- систолическая дисфункция - нарушение сократительной способности миокарда;
- дилатация - расширение полости.
Что показывает ЭХОКГ
В процессе проведения процедуры врач проводит структурную визуализацию и гемодинамическую (допплерография) 3 .
Структурная визуализация включает:
- Визуализация перикарда (например, для исключения перикардиального выпота);
- Визуализация левого или правого желудочка и их полостей (для оценки гипертрофии желудочков, аномалии движения стенок, а также для визуализации тромбов);
- Визуализация клапанов (митральный стеноз, стеноз аорты, пролапс митрального клапана);
- Визуализация магистральных сосудов (рассечение аорты);
- Визуализация предсердий и перегородок между камерами сердца (врожденный порок сердца, травматические повреждения).
- Визуализация кровотока через сердечные клапаны (клапанный стеноз и регургитация)
- Визуализация кровотока через камеры сердца (расчет сердечного выброса, оценка диастолической и систолической функции сердца)
ЭХОКГ при сердечной недостаточности
- Дает возможность определить причины развития хронической формы (ХСН)
- Фракция выброса левого желудочка:
- снижена (систолическая ХСН);
- нормальная (диастолическая ХСН).
ЭХОКГ при нарушениях ритма сердца
Важно! Тахикардия затрудняет проведение исследования и точность оценки полученных результатов.
Используется трансторакальная ЭХОКГ и ЧП ЭХОКГ.
- Размеры полостей сердца, особенно предсердий
- Наличие тромбов
- Оценка фракции выброса не всегда достоверна
ЭХОКГ для оценки состояния онкологических больных
Поражение сердца у онкологических больных:
- опухолевая интоксикация;
- кардиотоксичность химиопрепаратов;
- кардиотоксичность лучевой терапии.
Показания к специализированной эхокардиографии для определения кардиотоксичности:
- всем пациентам с онкологическими заболеваниями перед началом лечения;
- получающим химиотерапию или лучевую терапию (после каждого курса);
- получавшим в прошлом химиотерапию или лучевую терапию (регулярность зависит от схемы лечения).
Сравнительная характеристика ЭХОКГ с другими методами
Эхокардиография несмотря на свою огромную пользу остается все-таки субъективным методом. Врачами по-разному проводятся измерения и трактуются некоторые показатели. Порой одной ЭХО-КГ бывает недостаточно или провести ее невозможно в силу каких-либо причин. Тогда на помощь придут другие методики исследования сердца:
- Электрокардиограмма - самый простой способ выявить сердечные проблемы. Аппаратами ЭКГ оснащены все лечебно-профилактические учреждения страны и машины скорой помощи. ЭКГ выявляет нарушения ритма и дает вероятную характеристику локальной сократимости (изменения при инфаркте миокарда), однако при ЭХО-КГ все может выглядеть совершенно по-другому.
- Рентгенография органов грудной клетки позволяет определить границы сердца и выявить кардиомегалию. Для точной диагностики причин необходима визуализация органа. используется для уточнения данных эхокардиографии, изучения морфологии, функций сердечных камер, клапанов. Сейчас она все больше используется для диагностики некоронарогенных болезней миокарда, различных кардиомиопатий.
- Компьютерная томография с контрастированием очень эффективна при исследовании коронарных артерий. Ее стоимость меньше КАГ (коронароангиография) Также можно определить все размеры и объемы сердца, но не даст возможности видеть его работу в реальном времени.
- Коронарная ангиография (КАГ) - “золотой стандарт” в исследовании коронарных артерий с помощью контрастного вещества с выявлением стенозов и последующим возможным их стентированием (способ расширения просвета сосуда). Ее недостатки - очень высокая стоимость и инвазивность процедуры.
- Позитронно-эмиссионная томография - редкое исследование с введением радиофармпрепарата. Прекрасно визуализирует участки с недостаточным кровоснабжением (ишемия) миокарда
Эхокардиография является основным и самым доступным методом визуализации сердца, позволяющим поставить точный диагноз, своевременное лечение, а также оценить его эффективность. Несмотря на субъективность метода, при постоянном обучении, повышении квалификации, обмене опытом с коллегами специалист повышает свою грамотность в обследовании и сводит к минимуму возможность ошибок.
Эхокардиография не стоит на месте. Продолжаются попытки дополнить метод все новыми возможностями визуализации, некоторые из них позволяют максимально объективно проводить исследования и минимизировать различия толкования между разными специалистами.
- Саидова М.А. Чреспищеводная эхокардиография: показания, техника проведения. - Болезни сердца и сосудов, №4 2007. Marwick T.H., пер. с англ.: к.м.н. Крикунова П.В. Рекомендации по применению эхокардиографии при артериальной гипертензии у взрослых: отчет Европейской ассоциации по сердечно-сосудистой визуализации (EACVI) и Американского эхокардиографического общества (ASE). Системные гипертензии. №2 2017. Ishak A Mansi, MD. Echocardiography. - Medscape, Jan 2014.
Важно! Все материалы носят справочный характер и ни в коей мере не являются альтернативой очной консультации специалиста.
Этот сайт использует cookie-файлы для идентификации посетителей сайта: Google analytics, Yandex metrika, Google Adsense. Если для вас это неприемлемо, пожалуйста, откройте эту страницу в анонимном режиме.
Эхокардиография при легочной гипертензии (продолжение)
Допплерэхокардиография сердца при легочной гипертензии
Систолическое и диастолическое давление в легочной артерии на импульсный и непрерывный волновой допплер: методы диагностики и основные диагностические особенности
- Систолическое давление ПА оценивается с использованием упрощенного уравнения Бернулли: ΔP = 4V2; где, [V = пиковая скорость регургитации на трикуспидальном клапане (РTК)] + право предсердное давление
- Время начала пиковой скорости на легочном клапане (время ускорения) является показателем легочной гипертензии на эхокардиографии. Время ускорения 110 мсек). Кривая скорости потока ЛА также может показывать срединно-систолическое снижение кровотока, что соответствует срединно-систолическому закрытию легочного клапана, наблюдаемого в М-режиме.
- Соотношение РТК/ VTI ПЖ, равное 0,175, коррелирует с легочным сосудистым сопротивлением (ЛСС)> 2 единиц Вуда, и ЛСС можно оценить как: ЛСС = 10 × РТК/ VTI ПЖ, где РТК = пиковая скорость регургитации на трикуспидальном клапане в м/с, а VTI ПЖ = интеграл скорости по времени в выводном тракте правого желудочка (ВОПЖ) по импульсному волновому допплеру с парастернальной короткоосевой проекции. ЛСС> 2 единиц Вуда указывает на легочную гипертензию.
- Систолические, диастолические и рестрикционные потоки печеночных вен у пациентов с ЛГ в правом предсердии демонстрируют изменения, аналогичные тем, которые наблюдаются в легочных венах у пациентов с высоким давлением в левом предсердии.
- Большинство пациентов с легочной гипертензией на эхокардиографии имеют регургитацию на легочном клапане.
Таким образом, диастолическое давление ЛА на эхокардиографии может быть оценено как 4V2 + правое предсердное давление, где V = конечная диастолическая скорость легочной регургитации полученной с помощью допплера непрерывной волны. Диастолическая дисфункция правого желудочка на импульсном и непрерывном волновом допплере: основные диагностические особенности:
- Принципы, используемые для оценки диастолической функции левого желудочка, могут быть применены к правому желудочку.
- При легочной гипертензии и гипертрофии правого желудочка наблюдается уменьшение E-волны и увеличение A-волны скорости притока через трикуспидальный клапан в соответствии с аномальной релаксацией правого желудочка.
- При уменьшении податливости правого желудочка волна E становится преобладающей (псевдонормализация) до тех пор, пока не сформируется ограничительный паттерн с отношением волны E к А> 2.
Клапанная регургитация при легочной гипертензии и легочное сердце на эхокардиографии
Трикуспидальная регургитация (ТР): методы диагностики и основные диагностические особенности. Импульсный и непрерывный волновой допплер:
- Трикуспидальный клапан является структурно нормальным, а ТР, как правило, легкой или умеренной.
- Ранняя скорость притока через трикуспидальный клапан ≥1 свидетельствует о тяжелой ТР.
- При умеренном значении TР характер кровотока в печеночных венах свидетельствует о снижении нормального систолического кровотока.
- При тяжелой ТР может наблюдаться отсутствие или обратный систолический кровоток.
- Интенсивность спектрального сигнала при тяжелом ТР аналогична притоку через трикуспидальный клапан, и часто волна «V» или снижение скорости во второй половине систолы рассматривается как выравнивание давления в правом желудочке и правом предсердии.
Цветной допплер при легочной гипертензии
• Следующие параметры на эхокардиографии соответствуют тяжелой регургитации на трехстворчатом клапане:
- Радиус площади проксимальной поверхности (PISA) 10,6 мм для предела Найквиста 28 см/с.
- Радиус PISA 6,8 мм для ограничения Найквиста 41 см/сек.
- Струя площадью 10,6 см2.
- Струя длиной 5,3 см.
- Отношение струи к правой предсердности> 40%.
- Ширина вены контракта составляет ≥6,5 мм.
• Точная оценка степени тяжести ТР по эхокардиографии требует интеграции доплеровских параметров с параметрами давления ЛА, размерами и функции правого желудочка, а также размера и давления в правом предсердии.
Экстренная эхокардиография (часть 1)
Эхокардиографию можно надлежащим образом использовать для диагностики и контроля за лечением в неотложных ситуациях. К опасным для жизни патологиям, при которых оценка с помощью эхокардиографии в реальном времени может иметь решающее значение, относятся тампонада сердца при перикардите, расслоение аорты, острый инфаркт миокарда (ИМ), острая тромбоэмболия легочной артерии (ТЭЛА) и травма сердца. Эти состояния могут вызвать сильную боль в груди, одышку с гипоксией, гипотензию и, в конечном итоге, кардиогенный и респираторный шок.
Даже в тех случаях, когда основная причина ухудшения состояния пациента неясна, например, изолированная глубокая гипотензия, нельзя недооценивать важность эхокардиографии для быстрой оценки функции сердца и исключения этих критических отклонений у нестабильного пациента. Раскрытие этой темы предназначено для использования в качестве руководства по эхокардиографии при сценарии острого состояния пациента. В этих ситуациях врач УЗИ должен быстро понять- клинический сценарий,
- показания к эхокардиографии, то есть конкретный вопрос, который задают клиницисты, и
- ключевые патологии, которые необходимо исключить или выявить.
Если обнаружена конкретная патология, последующие решения по клиническому ведению могут выходить за рамки конкретного специалиста по УЗИ и данного текста, но они затрагиваются в интересах облегчения быстрого установления диагноза у пациента.
Экстренные сердечно-сосудистые ситуации и УЗИ сердца
Кардиогенный шок сопровождается выраженной гипотонией и часто дыхательной недостаточностью. В частности, систолическое артериальное давление падает ниже 80 мм рт.ст. с признаками недостаточности органов-мишеней (прохладные конечности, нарушение мышления), а также одышка, тахипноэ и гипоксия. Это распространенный и убедительный повод для проведения экстренной эхокардиографии.
В самом широком смысле существует четыре очень распространенных острых, угрожающих жизни состояния, при которых эхокардиография может помочь в диагностике и / или отборе больных: ИМ (и связанные с ним осложнения), тампонада сердца, расслоение аорты и ТЭЛА. Каждый из них имеет определенные клинические параметры, признаки и симптомы, которые заставят клинициста заподозрить их наличие у данного пациента. Хотя врач УЗИ может оценить все эхокардиографические признаки за одно обследование, лучше всего иметь представление о наиболее вероятном подозреваемом состоянии (ях), чтобы ускорить соответствующую визуализацию и лечение пациента.
Острый инфаркт миокарда и механические осложнения инфаркта миокарда полностью обсуждаются в других статьях блога. Для быстрого ознакомления наиболее важные эхокардиографические диагнозы воспроизведены в таблице.Глобальный отказ ЛЖ
недостаточность ПЖ / инфаркт ПЖ
Перикардит
Злокачественные опухолиНа фоне аневризмы аорты
Для ясности: у пациента, у которого явно наблюдаются острые симптомы инфаркта миокарда и подъем сегмента ST на электрокардиограмме (ЭКГ), коронарная ангиография и срочная реваскуляризация являются лечением первой линии, и получение эхокардиограммы для подтверждения аномалий движения стенок будет только подспорьем к соответствующему лечению. После стабилизации состояния пациента или реваскуляризации, если происходит острая декомпенсация, основные результаты для оценки с помощью эхокардиографии подробно описаны ниже.
Обратите внимание, что эти механические осложнения обычно возникают через 5-14 дней после фактической окклюзии коронарной артерии. Все они представляют собой некроз ткани сосочковой мышцы по сравнению с гипо-акинезией стенок желудочка разной степени из-за гипоксии. Обычно они возникают у пациентов, перенесших обширные инфаркты, отсроченную или безуспешную реваскуляризацию. Уровень смертности всех высок и зависит от быстрой идентификации, стабилизации и восстановления.![]()
Острая митральная регургитация (молотящая створка МК) на эхокардиографии
Митральная регургитация (МР) может возникать как остро, так и хронически у пациентов с ИМ. Когда в дни после большого инфаркта миокарда возникает внезапная гипотензия и респираторный дистресс, одной из возможных причин может быть разрыв тела, кончика или хорд сосочковой мышцы, вызывающий острую тяжелую МР. Приводим алгоритм действия
Чтобы оценить молотящий митральный клапан:- Получите стандартный вид парастернальной продольной оси, показывающий митральный клапан. Оцените нормально ли встречаются кончики створок митрального клапана (т. е. касаются друг друга чуть ниже фиброзного кольца)? Или кончик одной створки пролабирует или свободно движется и возвращается в левое предсердие в систолу?
- Поместите цветной допплеровский сектор на митральный клапан и левое предсердие. Посмотрите есть ли струя митральной регургитации (высокоскоростной или турбулентный пятнистый поток в систоле)? Во многих случаях он будет направлен эксцентрически либо к передней, либо к задней стенке левого предсердия. Как правило, молотящая створка МК направляет струю MР в сторону от самой поврежденной створки.
- Повторите двумерное (2D) изображение и цветное допплеровское сканирование митрального клапана в апикальном четырехкамерном и апикальном трехкамерном срезе. По техническим причинам низкое качество изображения нередко препятствует абсолютному определению того, есть ли молотящая створка МК, но есть эксцентрическая струя значимой МР или хордальная структура, колеблющаяся в левом предсердии проксимальнее митрального клапана, что повышает вероятность разрыва митрального аппарата.
Неотложное лечение: даже подозрение на молотящую створку митрального клапана обычно должно вызывать немедленную консультацию кардиохирурга. При необходимости чреспищеводная эхокардиография (ЧПЭхоКГ) может быть выполнена в операционной, или, если пациент находится в отделении интенсивной терапии на ИВЛ и вазопрессорной поддержкой, обеспечивающей достаточную стабилизацию, можно рассмотреть возможность проведения ЧПЭхоКГ у постели больного для подтверждения или опровержения диагноза. Вазопрессоры и внутриаортальный баллонный насос (ВАБН) могут обеспечить достаточную стабилизацию перед операцией, чтобы доставить пациента в операционную.
Дефект межжелудочковой перегородки на УЗИ сердца
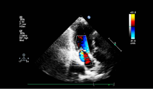
Другой причиной внезапной артериальной гипотензии и отека легких у пациента в пери- и постинфарктном периоде является разрыв межжелудочковой перегородки. Дефект заставляет насыщенную кислородом кровь течь из левого желудочка в правый и смешиваться с деоксигенированной кровью. Дефекты межжелудочковой перегородки (ДМЖП) могут возникать в переднем отделе перегородки (лучше всего видно в парастернальных окнах) из-за переднего ИМ или в нижнем отделе перегородки (лучше всего в апикальном четырехкамерном и субкостальном окнах) в результате нижнего ИМ. Оба типа ДМЖП могут быть проверены на предмет использования парастернальных окон по короткой оси. Использование цветного допплера имеет важное значение для обнаружения этих разрывов на эхокардиографии, потому что разрыв ткани часто имеет щелевидную или змеевидную форму и может быть плохо заметен на одном только 2D-изображении.
![]()
Чтобы оценить ДМЖП придерживайтесь следующего алгоритма:
- Получите стандартный парастернальный вид сердца по длинной оси, показывающий левый желудочек (ЛЖ) и правый желудочек (ПЖ). Имеет ли межжелудочковая перегородка нормальную толщину и сокращается ли она во время систолы?
- Поместите цветное допплеровское окно на межжелудочковую перегородку, особенно на любые акинетические участки или сегменты с пропаданием эхо-сигнала (анэхогенные зоны). Цветовой поток слева направо, проникающий через перегородку, указывает на ДМЖП.
- Проведите линию курсора непрерывноволнового допплера (CW) через цветовой поток. Если измерить пиковую скорость огибающей непрерывного допплеровского потока, градиент межжелудочкового давления (ΔP) = 4 × пиковый градиент 2 (где пиковый градиент выражен в м/с). Чем уже шейка цветного потока и чем выше пиковая скорость потока, тем больше она ограничивает ДМЖП.
- Поверните датчик по часовой стрелке на 90 градусов и получите парастернальные окна по короткой оси ЛЖ и межжелудочковой перегородки. Наклоните датчик апикально, чтобы развернуть плоскость изображения от основания к вершине. Ищите акинетические области или пропадание фокального эхо. Поверните сектор цветного допплера, чтобы покрыть межжелудочковую перегородку, и аналогичным образом проведите датчиком от основания к верхушке, ища цветовой поток слева направо.
- В апикальной четырехкамерной проекции исследуйте межжелудочковую перегородку на 2D-изображениях, затем разместите цветной допплеровский сектор над перегородкой.
- В субкостальной четырехкамерной проекции включите сектор цветного допплера и поместите его над межжелудочковой перегородкой. Опять же, обратите внимание на цветовой поток через перегородку слева направо.
Неотложное лечение - раннее хирургическое закрытие, которое снижает смертность. Разрыв базальной перегородки технически сложнее полностью восстановить, отчасти из-за близости к митральному клапану. У плохих кандидатов на оперативное вмешательство можно рассмотреть возможность чрескожного закрытия окклюдером.
Псевдоаневризма на эхокардиографии
Псевдоаневризма или ложная аневризма — это локально локализованный разрыв всех слоев миокарда, который местно сдерживается только тромбом и спайками перикарда. У них обычно узкая шейка, которая позволяет кровотоку свободно сообщаться с полостью левого желудочка и имеет тенденцию к росту и разрыву.
Для оценки псевдоаневризмы на УЗИ сердца надо помнить, что наиболее частыми локализациями являются базальный нижний или нижнебоковой (для нижнего ИМ) и апикальный сегменты (для переднего ИМ). Они могут сильно различаться по размеру от очень маленьких пространств до больших скоплений жидкости. Поэтому внимательно посмотрите на 2D-изображения:- На верхушке ЛЖ на апикальных четырех- и двухкамерных окнах и
- На базальных нижних и нижнебоковых сегментах на парастернальных и продольных трех- и двухкамерных окнах для любого анэхогенного пространства.
- Если видно какое-либо анэхогенное или неоднородно эхогенное пространство, особенно если оно кажется выпуклым во время систолы, поместите цветной допплеровский сектор над областью, включая ближайший желудочек, и посмотрите, нет ли кровотока из ЛЖ в пространство.
- Если диагноз все еще не определен, а состояние пациента стабильно, использование внутривенного эхокардиографического контраста может продемонстрировать поток в псевдоаневризму.
![]()
Неотложное лечение. Если эхокардиография повышает вероятность псевдоаневризмы, но не может подтвердить ее или не может отличить ее от аневризмы, для постановки точного диагноза может потребоваться МРТ сердца или ангиография ЛЖ. Существует 30-45% риск развития полного разрыва свободной стенки и коэффициент смертности до 50%, поэтому неотложная операция по закрытию или пластике разрыва считается окончательной терапией псевдоаневризмы.
Свободный разрыв стенки желудочка сердца на УЗИ
Полный разрыв свободной стенки желудочка обычно бывает внезапным и катастрофическим и редко позволяет провести эхокардиографию. Его можно заподозрить, если за большим ИМ без реперфузии следует острый кардиогенный шок, особенно при наличии признаков тампонады или электромеханической диссоциации. Обычно разрыв свободной стенки, который быстро перерос в полный разрыв, тампонаду с гемоперикардом и, в конечном итоге, приводит к смерти пациента. Немедленное хирургическое вмешательство - единственная надежда на то, чтобы пережить это с помощью временных мер, включая жидкости, инотропы, ВАБН и / или вспомогательные устройства для периферического желудочка, используемые при необходимости для доставки пациента на операцию.
Немеханические причины кардиогенного шока и эхокардиография
Если вышеуказанные механические причины сердечного шока, включая тампонаду, не обнаруживаются при эхокардиографии, необходимо рассмотреть другие возможные причины, которые могут этому способствовать, например, следующие:
Временные параметры функции левого желудочка при эхокардиографии
Кардиология:
Оценка диастолической функции левого желудочка. Расчеты
Оценка диастолической функции должна быть неотъемлемой частью ЭхоКГ, особенно у больных с одышкой и другими симптомами сердечной недостаточности. Это обусловлено тем, что почти у половины больных с сердечной недостаточностью систолическая функция левого желудочка нормальная и симптомы обусловлены нарушением диастолической функции.
Это так называемая диастолическая сердечная недостаточность или сердечная недостаточность с сохраненной фракцией выброса левого желудочка. Оценка диастолической функции у этих больных имеет первостепенное значение для диагностики этого состояния и его дифференциальной диагностики с другими заболеваниями, сопровождающимися одышкой, для оценки прогноза, определения лежащей в основе патологии сердца и выбора лечения. Наилучшим методом оценки диастолической функции в настоящее время является ЭхоКГ.
Под нормальной диастолической функцией подразумевается способность левого желудочка заполняться необходимым объемом крови в покое и при физической нагрузке с минимальными изменениями его давления наполнения и без развития венозного застоя в легких. Нарушение диастолической функции приводит к повышению давления наполнения левого желудочка.
Давление наполнения левого желудочка считают повышенным при конечном диастолическом давлении в левом желудочке > 16 мм рт. ст. и среднем давлении заклинивания легочной артерии > 12 мм рт. ст.Диастола включает в себя 4 периода:
1) изоволюмического расслабления;
2) быстрого (раннего) диастолического наполнения;
3) медленногодиастолического наполнения (диастазиса);
4) сокращения предсердий.Изоволюмическое расслабление возникает сразу после окончания систолы желудочков, охватывает период от закрытия створок аортального до открытия створок митрального клапана и приводит к быстрому снижению давления в левом желудочке. Когда давление в левом желудочке становится ниже, чем в левом предсердии, открывается митральный клапан и начинается быстрое наполнение за счет разности давлений между камерами.
![диастолическая функция левого желудочка]()
Причем, 75—80% наполнения левого желудочка происходит в эту фазу. Во время быстрого наполнения (в норме в течение приблизительно 100 мс) продолжается расслабление миокарда левого желудочка и давление в нем снижается до минимального. После этого давление в левом желудочке начинает увеличиваться, выравнивается давление между левым предсердием и левым желудочком и снижается скорость наполнения вплоть до его прекращения (фаза диастазиса). Затем в систолу предсердий давление в левом предсердии вновь становится выше, чем в левом желудочке, что приводит к дополнительному притоку крови, который составляет около 20—25% наполнения левого желудочка в норме. Разность между давлением в левом предсердии и левом желудочке называется трансмитральным градиентом давления. Его достаточно точно отражают скорости трансмитрального кровотока, которые легко определяются при допплеровском исследовании.
Во время быстрого наполнения формируется пик Е — пик раннего диастолического наполнения, во время систолы предсердий формируется пик А — пик позднего диастолического наполнения. При исследовании трансмитрального кровотока оценивают максимальную скорость пиков Е и А, отношение Е/А и время замедления кровотока раннего диастолического наполнения левого желудочка (DT), которое является временным интервалом, измеряемым от вершины пика Е до пересечения нисходящей части спектра раннего трансмитрального кровотока с изолинией, и время изоволюмического расслабления левого желудочка (IVRT) — интервал от момента окончания аортального до начала трансмитрального кровотока. 1VRT рассчитывается с помощью одновременной записи аортального и трансмитрального кровотока в постоянно-волновом режиме. Окончание аортального кровотока можно также определить с помощью фонокардиограммы (II тон).
Диастолическая функция миокарда связана с особенностями расслабления и пассивными свойствами миокарда. Расслабление миокарда является активным энергозависимым процессом, связанным с удалением кальция из цитозоля кардиомиоцита при участии кальциевой АТФазы. Скорость расслабления определяется свойствами кардиомиоцитов. Она замедляется при повышении внутриклеточной концентрации кальция, снижении концентрации АТФ, повышении посленагрузки, повышении преднагрузки. Пассивные свойства миокарда, которые связаны с диастолической функцией, — жесткость (AP/AV) и обратная величина — податливость (AV/AP). Повышение жесткости и снижение податливости миокарда связаны с состоянием самих кардиомиоцитов (например, их гипертрофией) и внеклеточного матрикса (избыточным накоплением коллагена — фиброзом).
Помимо допплеровских изменений при ЭхоКГ можно выявить признаки нарушения диастолической функции левого желудочка в М- и В-режимах. В М-режиме при диастолической дисфункции снижаются наклон и скорость движения фиброзного кольца митрального клапана в фазу раннего диастолического наполнения левого желудочка. В М- и В-режимах увеличивается размер и объем левого предсердия. Обычно, хотя и не обязательно, выявляется увеличение толщины стенки и массы миокарда левого желудочка.
При тканевом допплеровском исследовании определяют скорость движения фиброзного кольца митрального клапана в раннюю диастолу (Em), которая коррелирует со способностью миокарда к расслаблению (х — постоянная времени падения давления в левом желудочке в фазу изоволюмического расслабления), и оценивают отношение Е/Ет, увеличение которого свидетельствует о повышении давления в полости левого желудочка.
При диастолической дисфункции давление наполнения при нагрузке повышается. Сердечный выброс у этих больных за счет высокого давления наполнения увеличивается. При этом пик Е увеличивается, тогда как Em не увеличивается вообще или увеличивается незначительно, в результате отношение Е/Ет повышается. Отношение Е/Ет хорошо коррелирует с одновременно измеренным ДЗЛА как при нагрузке, так и в покое, и значения этого отношения > 15 при нагрузке и в покое свидетельствует о ДЗЛА > 20 мм рт. ст.
Оценка типов давления наполнения и степени диастолической дисфункции позволяет выявлять патологию сердца до клинических проявлений (диастолическая сердечная недостаточность, констриктивный перикардит, гипертрофическая кардиомиопатия, болезнь Фабри и амилоидоз), особенно при нормальной фракции выброса левого желудочка.
Параметры диастолической функции, такие как Е, Е/А, DT, E/Em и объем левого предсердия, являются прогностическими факторами при различных состояниях. Даже в отсутствие симптомов диастолическая дисфункция свидетельствует о неблагоприятном прогнозе. Поэтому оценка типа диастолического наполнения позволяет выбрать оптимальную лечебную стратегию.
Основы ЭхоКГ: допплерэхокардиография. Профессор В. А. Изранов. Лекция для врачей
Лекция для врачей "Основы ЭхоКГ: допплерэхокардиография". Лекцию для врачей проводит профессор В. А. Изранов.
На лекции рассмотрены следующие вопросы:
- Основные допплерографические характеристики трансмитрального и транстрикуспидального диастолического потока
- AT (acceleration time) - время ускорения потока, т.е. время от щелчка открытия клапана до пика скорости потока (м\с)
- DT (deceleration time) - время замедления потока, т.е. время от пика скорости до базовой линии (м\с)
- ЕТ (ejection time) - время выброса, т.е. время от щелчка открытия до щелчка закрытия клапана
- Vmax- максимальная скорость потока (м\с)
- Е - раннее диастолическое наполнение (Vmax = 70-100 см\с)
- А - позднее диастолическое наполнение (в момент систолы предсердий, Vmax = 40-70 см\сек)
- Е\А = 1,0-1,5
- Vmean - средняя скорость потока. Вычисляется как сумма скоростей потока, измеренных каждые 2 мс по отношению к числу измерений.
- Основные измерения в допплер эхокардиографическом исследовании
- IVCT (isovolumetric contractility time) время изоволюметрического сокращения - время от щелчка закрытия митрального клапана до щелчка открытия аортального клапана (65±20 мс)
- IVRT (isovolumetric relaxation time) время изоволюметрического расслабления - время от щелчка закрытия аортального клапана до щелчка открытия митрального клапана (65±20 мс). VTI (velocity time integral) - интеграл линейной скорости потока; VTI = Vmean*ET (см)
- Основные уравнения используемые в допплерометрических расчетах
- СО = HR*SV
- SV= CSA*VTI
- VTI = ET*Vmean
- CSA = nD²/4
- ΔР = 4V²(упрощенное уравнение Бернулли)
- CO (cardiac output) - минутный объем кровотока
- HR (heart rate) - частота сердечных сокращений
- SV (stroke volume) - ударный объем
- CSA (crossection area) - площадь поперечного сечения (сосуда или отдела сердца)
- VTI (velocity time integral) - интеграл линейной скорости
- ЕТ (effusion time) - время кровотока
- Vmean - средняя скорость кровотока (вычисляется как сумма скоростей, измеренные каждые 2 мс по отношению к числу измерений)
- ΔР - максимальный градиент давления по разные стороны обструкции (мм рт.ст.)
- V-максимальная скорость кровотока дистальнее обструкции (м\с)
Книга "Эхокардиография от Рыбаковой" - М. К. Рыбакова, В. В. Митьков
![]()
Данное издание представляет собой практическое руководство по эхокардиографии, в котором отражены все современные технологии, применяемые в настоящее время. Исключительный интерес для специалистов представляет CD-ROM с подборкой видеоклипов по всем основным разделам, включающих редкие случаи диагностики.
Особенность издания - попытка объединить и сравнить результаты эхокардиографического исследования сердца и паталогоанатомический материал по всем основным разделам.
Большой интерес представляют разделы, содержащие новые технологии исследования, такие как трех- и четырехмерная реконструкция сердца в реальном времени, тканевая допплерография. Большое внимание уделено также классическим разделам эхокардиографии - оценке легочной гипертензии, клапанных пороков сердца, ишемической болезни сердца и ее осложнений и т.д.
В книге представлены огромный иллюстративный материал, большое количество схем и рисунков, приведены алгоритмы тактики проведения исследования и диагностики по всем разделам эхоКГ.
Руководство помогает разрешить спорные и злободневные вопросы, позволяет ориентироваться в расчетах и измерениях, содержит необходимую справочную информацию.
Книга написана сотрудниками кафедры ультразвуковой диагностики ГБОУ ДПО «Российская медицинская академия последипломного образования'' Министерства здравоохранения Российской Федерации» (база - ГКБ им. С.П. Боткина, Москва).
Издание предназначено для специалистов эхокардиографии, врачей ультразвуковой и функциональной диагностики, кардиологов и терапевтов.Книга "Эхокардиография в таблицах и схемах" - М. К. Рыбакова
![Книга]()
Данная книга содержит большое количество схем и таблиц по всем основным вопросам трансторакального эхокардиографического исследования, помогает разрешить спорные и злободневные вопросы эхокардиографии, позволяет ориентироваться в расчетах и измерениях, содержит необходимую справочную информацию. Подробно описаны нормальная анатомия и физиология сердца, патология клапанного аппарата, мокарда, перикарда, плевральных полостей, аорты, протезированных клапанов сердца, приведены стандартные позиции эхокариографического исследования и расчеты. Особый интерес могут вызвать разделы, посвященные диагностике врожденных пороков сердца у взрослых, объемных образований сердца и средостения и дифференциальной диагностике в эхокардиографии.
Книга УЗИ предназначена для специалистов эхокардиографии, ультразвуковой и функциональной диагностики УЗИ, кардиологов, терапевтов и студентов медицинских вузов.
Книга "Дифференциальная диагностика в эхокардиографии". Издание 2-е. с DVD-ROM - Митьков В. В., Рыбакова М. К.
![Книга]()
Книга написана сотрудниками кафедры ультразвуковой диагностики Российской медицинской академии последипломного образования (база — ГКБ им. С.П. Боткина, Москва) и является 2-м, переработанным и дополненным изданием. Книга является уникальным изданием благодаря представленному дифференциально-диагностическому эхокардиографическому ряду, подкрепленному видеоматериалами и иллюстрациями, которые помогают систематизировать, классифицировать и провести дифференциальную эхокардиографическую диагностику.
Помимо эхограмм, во 2-е издание включены схемы, которые помогают научиться распознавать признаки той или иной патологии сердца или совокупность признаков и оценить характер нарушения гемодинамики, а также в главе 10 добавлен дифференциально-диагностический раздел, посвященный применению контрастных веществ. Книга включает все основные разделы современной кардиологии с позиции дифференциальной диагностики. Прилагаемый диск включает обширный видеоматериал по всем основным разделам с комментариями к нему.
Издание предназначено для специалистов эхокардиографии, врачей ультразвуковой и функциональной диагностики, кардиологов и терапевтов и вызовет интерес как у специалистов со стажем, так и у начинающих эхокардиографистов и студентов медицинских вузов.
Книга "Клиническая эхокардиография" - Шиллер Н. Б., Осипов М. А.
![Книга]()
Книга "Клиническая эхокардиография" написана американским и отечественным специалистами, это самое популярное в России руководство по эхокардиографии. Книга предназначена и для тех кардиологов, которые лишь начинают осваивать эхокардиографию, и для тех, кто уже давно ею занимается.
Изучив руководство, врач сможет выполнять эхокардиографические исследования на самом современном уровне - так, как это делают в Лаборатории эхокардиографии Калифорнийского университета в Сан-Франциско.
Книга "Эхокардиография при врожденных пороках сердца у взрослых" - М. К. Рыбакова, В. В.Митьков
![Книга]()
Диагностика врожденных пороков сердца - один из самых сложных разделов в кардиологии и эхокардиографии. Благодаря современным технологиям в эхокардиографии и пренатальной диагностике сердца плода диагностика врожденных пороков сердца стала более ранней, что способствовало существенному сокращению числа взрослых пациентов с данной патологией. Однако и в настоящее время можно встретить пациентов с различными врожденными пороками сердца даже в весьма почтенном возрасте.
Данное издание содержит историю описания того или иного врожденного порока, подробный анализ гемодинамики, особенностей эхокардиографической диагностики. Книга написана сотрудниками кафедры ультразвуковой диагностики Российской медицинской академии непрерывного последипломного образования (база - ГКБ им. С.П. Боткина, Москва) и включает все основные врожденные пороки сердца у взрослых с позиции эхокардиографии. Большое внимание уделено также дифференциальной диагностике в эхокардиографии при подозрении на врожденный порок сердца у больного, особенностям исследования сердца у детей и подростков, малым аномалиям развития сердца. Издание содержит большое количество иллюстраций и схем, а также примеры эхокардиографических заключений.
Предназначено для специалистов эхокардиографии, врачей ультразвуковой и функциональной диагностики, кардиологов и терапевтов.Читайте также:
- Специфические осложнения бронхологических исследований. Прогрессирование туберкулеза после бронхологических исследований
- Активность туберкулеза при резекции легких. Послеоперационная активность туберкулеза
- Синдром Бонхеффера (Bonhoeffer)
- Генетика мышечной дистрофии Дюшенна и Беккера у детей. Патогенез
- Руководство по получению оптимальной гистограммы цифровой (компьютерной) рентгенограммы









