Диагностика локализованной фиброзной опухоли плевры (ЛФОП) на рентгене, КТ, МРТ
Добавил пользователь Евгений Кузнецов Обновлено: 01.11.2025
Солитарная фиброзная опухоль (СФО) - веретеноклеточное фибробластическое новообразование мезенхимального происхождения [1]. Впервые сведения о СФО опубликованы P. Klemperer и
C. Rabin в 1931 г. [10], и к настоящему времени описаны наблюдения СФО, локализованной в паренхиме легких, средостении, печени, глазнице, слюнных железах, почках и надпочечниках, мочевом пузыре, коже, влагалище, позвоночном столбе, мягких тканях [3]. Наиболее часто СФО поражает плевру и развивается из ее субмезотелиального слоя. На ее долю приходится менее 5% всех новообразований плевры [1, 10]. Тем не менее, вне зависимости от первичной локализации, СФО остается относительно редким заболеванием и выявляется с частотой 2,8 на 100 000 человек [2, 12]. При этом нет четкой зависимости от возраста (описаны случаи выявления опухоли в возрасте от 5 до 87 лет) и пола. Так, к 2015 г. в литературе описано более 1760 наблюдений СФО плевры (СФОП) [9].
Учитывая относительную редкость СФО, неопределенный потенциал злокачественности, как правило, большие размеры первичной опухоли, до сегодняшнего дня остаются нерешенными подходы к дифференциальной диагностике, возможности и целесообразности дооперационной верификации диагноза, оценке факторов прогноза при разных формах и локализации первичной опухоли. Наряду с клиническими характеристиками в последние годы появились новые иммуногистохимические маркеры СФО, позволяющие более точно определять морфологическую характеристику опухоли. Все это оставляет актуальным описание и анализ отдельных клинических наблюдений. В статье представлены два клинических случая СФО плевры и легкого.
Клиническое наблюдение 1

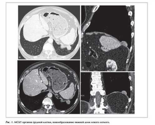
Пациент Ц., 78 лет, обратился в Институт хирургии им. А.В. Вишневского с жалобами на постоянный сухой кашель, который появился около года назад. При рентгенографии органов грудной клетки выявлена очаговая тень в проекции нижней доли левого легкого. При компьютерной томографии (КТ) органов грудной клетки визуализировано новообразование в проекции нижней доли левого легкого с четкими ровными контурами размером 3,8×1,9×3,4 см, интенсивно накапливающее контрастный препарат (рис. 1 ). При обследовании в объеме мультиспиральной компьютерной томографии (МСКТ) брюшной полости и малого таза, ультразвукового исследования (УЗИ) щитовидной железы, сцинтиграфии костей скелета очаговых новообразований в других органах выявлено не было. Учитывая гиперваскулярный характер новообразования, невозможность исключить первичную принадлежность опухоли к диафрагме, отсутствие возможности его трансторакальной биопсии пациенту выполнена эксцизионная биопсия опухоли.

Пациент оперирован торакоскопически. При интраоперационной ревизии выявлено, что опухоль размером 3×3,5 см овоидной формы, с четкими ровными контурами, связи с диафрагмой не имеет, исходит из 9 сегмента нижней доли левого легкого, с которым связана выраженной паренхиматозной ножкой (рис. 2 ). Медиастинальной лимфоаденопатии нет. Выполнена краевая резекция нижней доли левого легкого. При морфологическом исследовании (окраска гематоксилином и эозином, ×400) опухолевый узел вовлекает весь резецированный фрагмент ткани легкого и плевру, имеет веретеноклеточное строение с наличием в периферических участках образования малоклеточных зон со значительно выраженной, местами гиалинизированной стромой, а также, в центральной части узла, - с плотноклеточными полями из пролиферирующих клеток с овальными и веретеновидными ядрами, скудной цитоплазмой, наличием до 2 митозов в 10 полях зрения. Опухоль хорошо васкуляризирована, с многочисленными тонкостенными, частью расширенными капиллярами. По поверхности образования имеются небольшие участки деформации плевры со слабо выраженной гиперплазией мезотелия.
Пациент активизирован в течение первых 24 ч, дренаж удален на 1-е сутки после операции. Выписан в удовлетворительном состоянии на 4-е сутки после операции.
Клиническое наблюдение 2

Пациентка Ж., 43 лет, обратилась в Институт хирургии им. А.В. Вишневского в связи тем, что при плановой рентгенографии органов грудной клетки было выявлено новообразование нижней доли правого легкого больших размеров. Больная на момент осмотра жалобы не предъявляла. До обращения в институт пациентка обследована по месту жительства, где при МСКТ органов грудной клетки визуализировано новообразование нижней доли правого легкого (SVIII-IX) с четкими границами, неправильно округлой формы, размером 7,8×6,1 см, плотно прилежащее к костальной плевре и компренирующее нижнюю и среднюю доли правого легкого (рис. 3 ).

Несмотря на размеры опухоли, клинические проявления заболевания отсутствовали. В связи с гиперваскулярным характером новообразования, хорошо контрастированными сосудами в толще опухоли высказано предположение о сосудистом генезе последней, в связи с чем первично больной отказано в выполнении трансторакальной биопсии. При пересмотре данных МСКТ после обращения в институт отмечена интимная связь опухоли с переднебоковой поверхностью грудной клетки справа, однако убедительно определить органную принадлежность опухоли на дооперационном этапе не представлялось возможным. Выполнена трансторакальная биопсия опухоли под контролем УЗИ. При морфологическом исследовании в биопсийном материале полосовидные столбики опухоли из веретеновидных и частью овоидных клеток со светлыми ядрами, расположенными среди умеренно васкуляризированной, выраженно гиалинизированной стромы. В пределах исследованного материала морфологическая картина наиболее соответствует солитарной фиброзной опухоли (рис. 4 ). Таким образом, на этапе предоперационного обследования был морфологически верифицирован диагноз солитарной фиброзной опухоли.

Учитывая характер кровоснабжения и размеры опухоли, с целью уменьшения риска интраоперационного кровотечения первым этапом выполнена ангиография дуги и грудного отдела аорты, селективная ангиография правых внутренней грудной и задних межреберных артерий. Источники кровоснабжения опухоли: ветви правой внутренней грудной артерии (VI, VII передние грудные артерии) и ветви правых задних межреберных артерий (V, VI и VI). Опухоль визуализирована как гиперваскулярное образование со сбросом контраста в вены на 4-6 с. Выполнена селективная катетеризация и эмболизация афферентных артерий, питающих опухоль гистоакрилом с липиодолом (рис. 5 ). Кровоснабжение опухоли полностью прекращено.

После этапа эндоваскулярной эмболизации пациентка прооперирована. Учитывая отсутствие убедительных данных об органной принадлежности новообразования правого гемиторакса, операция начата с торакоскопической ревизии плевральной полости, при которой выявлено, что опухоль исходит из грудной стенки, соединяясь с последней сосудистой ножкой, отдельными сращениями связана с нижней долей правого легкого. Перифокальных изменений ткани легкого и грудной стенки не выявлено, медиастинальной лимфоаденопатии нет. В пределах здоровых тканей иссечена париетальная плевра. В связи с отсутствием уверенности в инвазии новообразования в паренхиму легкого выполнена краевая резекция нижней доли (рис. 6 ).
При плановом морфологическом исследовании (окраска гематоксилином и эозином, ×400): опухоль почти на всем протяжении представлена малоклеточными широкими пучками коллагеновых волокон, с наличием участков, напоминающих келоид, с многочисленными разнокалиберными тонкостенными кровеносными сосудами. В небольших участках веретеновидные клетки без признаков атипии и митозов формируют короткие разнонаправленные пучки. При иммуногистохимическом исследовании клетки опухоли обнаруживают экспрессию: CD34 (клон QBEnd/10, Cell Marque) - выраженную (+++) мембранно-цитоплазматическую; bcl2 (клон 124, Cell Marque) - диффузную ядерную (++); Vimentin(клон SP20, Cell Marque) - выраженную (+++) цитоплазматическую; CD99 (клон 12E7, DAKO) - слабую/умеренную (+/++) мембранную; PanCytokeratin (клон AE1/AE3, Cell Marque) - очаговую слабую (+) мембранно-цитоплазматическую; Ki67 (клон MIB-1, DAKO) - ядерную (+++), приблизительно в 3%; негативны к: aSMA (клон 1A4, Cell Marque); p63 (клон 4A4,Ventana); S100 (polyclonal, DAKO). Иммунофенотип соответствует солитарной фиброзной опухоли.
Пациентка активизирована в течение первых
24 ч, дренаж удален на 2-е сутки после операции. Выписана в удовлетворительном состоянии на 5-е сутки после операции.
СФО - редкое новообразование мезенхимального происхождения, наиболее часто локализующееся на висцеральной плевре, составляя до 5% от всех первичных опухолей данной локализации [2, 3, 7]. Все публикации, посвященные проблеме СФО торакальной локализации, до сегодняшнего дня носят описательный характер, составляя отдельные или серии клинических наблюдений. Учитывая относительную редкость данной опухоли, отсутствие стандартов диагностики до настоящего времени, описание отдельных наблюдений остается актуальным.
В связи с особенностями кровоснабжения особую проблему представляет сложность дифференциальной диагностики органной принадлежности СФО.
СФОП является доброкачественной опухолью со злокачественным потенциалом (10-20% случаев) [6, 7, 9]. Совершенствование иммуногистохимических методов исследования и электронной микроскопии позволило достоверно дифференцировать СФОП от таких более агрессивных злокачественных новообразований, как мезотелиома и саркома. Несмотря на, как правило, большие размеры опухоли, средний размер которой, по данным литературы, составляет 6-8 см [15], клинические проявления заболевания отсутствуют у большинства пациентов и в 40% новообразование выявляется случайно при рентгенографии органов грудной клетки [7]. Жалобы появляются только на поздних стадиях заболевания, когда опухоль достигает огромных размеров и сдавливает близлежащие органы, отмечается кашель, хрипы, одышка, при вовлечении в процесс париетальной плевры может отмечаться боль в грудной клетке [9, 17]. Опухоль больших размеров может проявляться паранеопластическим синдромом в связи с продукцией инсулиноподобного фактора роста [13].
Выживаемость в течение 5 лет после радикальной операции составляет 79-100% [4], что говорит о недостаточной изученности потенциала злокачественности этих новообразований. Большинством авторов отмечено, что наиболее значимым фактором неблагоприятного прогноза и/или продолженного роста опухоли является ее нерадикальное удаление. В случае малигнизации медиана выживаемости составляет 24-36 мес [4, 7]. По данным C. Park и соавт. [16], рецидив заболевания отмечен в 2-8% случаев при доброкачественных и в 14-63% при злокачественных процессах. Метастазирует СФОП чрезвычайно редко, преимущественно в печень, головной мозг, селезенку, брюшину, надпочечник, почку, кости [3, 4, 7, 9].
Несмотря на то что в течение последних 10 лет в литературе часто появляются отдельные описания СФО плевры, внутрилегочные поражения остаются редкими клиническими наблюдениями. Солитарная фиброзная опухоль легкого (СФОЛ) может произрастать из субплевральной мезенхимы либо непосредственно из субмезотелиальных элементов легочной паренхимы [5]. Опухоль, как правило, имеет выраженную капсулу, тем самым ограничена от окружающих тканей, часто растет на ножке и хорошо кровоснабжается из собственных сосудов. Накопленной клинико-морфологической информации (локализация опухоли, размеры, число митозов и т.д.) недостаточно для формулировки критериев и определения групп потенциально злокачественных опухолей. В то же время, по мнению ряда авторов, предложенный для гемангиоперицитом мягких тканей Enzinger и Smith критерий наличия 4 и более митозов на 10 репрезентативных полей зрения при увеличении 400 позволяет сформировать группы пациентов с повышенным риском прогрессирования. К группе повышенного риска прогрессирования также следует отнести пациентов с наличием опухолей размером более 5 см, а также с наличием клеточной атипии [9].
Описанные наблюдения демонстрируют сложность определения органной принадлежности и определения потенциала злокачественности опухоли на дооперационном этапе. Это диктует целесообразность морфологической верификации диагноза в предоперационном периоде и начало хирургического лечения с торакоскопической ревизии плевральной полости с целью оптимизация доступа и уточнения объема резекции.
Солитарная фиброзная опухоль плевры (СФОП)
Второе по частоте первичное новообразование плевры, < 5% опухолей плевры.
Новообразования с аналогичным гистологическим строением выявляются в легких, средостении, перикарде, молочных железах и прочих органах вне грудной клетки
Синонимы:
- Солитарная фиброзная опухоль плевры (СФОП)
- Локализованная фиброзная опухоль плевры (ЛФОП)
- Фиброма плевры
Терминология:
Термин «локализованная мезотелиома» является некорректны так, как локализованная фиброзная опухоль плевры происходит из субмезотелиальных тканей.
Термин «доброкачественная фиброзная опухоль» является некорректным так, как в 12-37% случаев локализованные фиброзные опухоли плевры являются злокачественными.
Патология:
Этиология:
- Не установлена, развитие не связано с курением, воздействием асбеста и прочих канцерогенных веществ.
Макроскопические патоморфологические и хирургические особенности:
- Мягкотканная опухоль с четким дольчатым краем.
- Различный размер в диапазоне от 1 до 39 см.
- Обычно формируется в висцеральном листке плевры.
- Часто выявляется сосудистая ножка (до 50% случаев).
- На срезе поверхность серовато‐белая,структура извитая или узловатая.
- Зоны некроза, кровоизлияние, кистозная дегенерация; обычно встречаются в крупных или злокачественных ЛФОП.
Микроскопические особенности:
- Происходит из субмезотелиальной соединительной ткани.
- Высокодифференцированное новообразование; вариабельное гистологическое строение.
- Овоидные или веретеновидные клетки, круглые или овальные ядра.
- Скудная цитоплазма, контур клетки неразличим.
- Клетки окружены различным количеством коллагеновых волокон.
- Хаотичное расположение опухолевых клеток.
- Гиперклеточные зоны с крупными сосудами, напоминающими оленьи рога (по типу гемангиоперицитомы).
Критерии злокачественности:
- Гиперклеточность:
- Полиморфизм > 4 митозов в 10 полях зрения под большим увеличением.
- Положительная реакция на CD34 и bcl‐2.
Клиника:
Проявления:
Наиболее частые проявления:
- До 50% опухолей характеризуются бессимптомным течением; небольшие ЛФОП.
- Крупные ЛФОП обычно характеризуются наличием симптомов.
- − Кашель, одышка, боли или дискомфорт в груди.
Другие симптомы:
- Озноб, потливость.
- Слабость.
- Потеря веса.
Паранеопластические синдромы, обычно встречаются при крупных ЛФОП.
Синдром Деге-Поттера: продукция инсулиноподобного фактора роста II.
- Гипертрофическая остеоартропатия, 17-35% случаев.
Синдром Пьера Мари-Бамбергера: продукция вещества, подобного гормону роста.
Мезотелиома плевры
Мезотелиома плевры — это единственная значимая первичная злокачественная опухоль мезотелия плевральный полости.
Эпидемиология
Примерно в 70-80% всех случаев в анамнезе имеется воздействие асбеста.
Патология
Мезотелиома плевры развивается из покровного эпителия плевры (мезотелия), отсюда и название. Опухоль может расти в виде узла в какой-либо части висцеральной или париетальной плевры (узловатая форма) или чаще диффузно распространяется по плевре, инфильтрируя её, как бы футляром окутывая лёгкое (диффузная форма). Если полость плевры остаётся свободной, то в ней наблюдается скопление серозно-фибринозного или геморрагического экссудата.
Гистологически опухоль чаще всего имеет строение аденокарциномы или солидного рака. Кроме того, выделяют фиброзную, тубулярную и смешанную форму мезотелиомы плевры. Злокачественные мезотелиомы метастазируют в регионарные лимфатические узлы (96,5%), в другое лёгкое и плевру (75%), в перикард. Гематогенные метастазы наблюдаются значительно реже.
![патоморфология]()
Клиническая картина
Самыми частыми симптомами являются постоянная боль в груди и одышка.
Радиологические находки
Рентгенография
Изменения на рентгенограмме не являются специфичными. Утолщение плевры. Средостение смещается в сторону поражения. Выявляются деструкция ребер. Также могут быть выявлены увеличенные лимфатические узлы и плевральный выпот.
![1]()
- информативна для уточнения стадии заболевания и динамического наблюдения.
- КТ с в/в контрастированием используется для оценки эффективности химиотерапии.
- В раннюю фазу заболевания определение стадии затруднено.
- Кальцифицированные плевральный наложения указывают на воздействия асбеста в прошлом.
![6]()
Т1 : от изоинтенсивного сигнала до слабо гиперинтенсивного по отношению к мышцам
Т2 :от изоинтенсивного сигнала до слабо гиперинтенсивного по отношению к мышцам
Постконтрастные изображения: повышение обычно присутствуетПрименяется прежде всего для выявления лимфогенных и отдаленных метастазов. Кроме того, выявление метаболически активных участков опухоли помогает в определении зоны для биопсии. Flores R. доказал существенное значение уровня накопления (SUV) РФП как одного из прогностических факторов. Так, у пациентов с SUV4 - лишь 14 мес. Однако использование современных методов лучевой диагностики не всегда позволяет точно стадировать заболевание. Так, по данным Van Meerbeck J. et al., соответствие клинической (с использованием КТ и МРТ) стадии и хирургической составляет лишь 55-75%.
Патология плевры (схемы)
![]()
Плеврой (pleura) называют тонкую, гладкую, богатую эластичными волокнами серозную оболочку, которой покрыты легкие. Различают два вида плевры, одна из которых сростается с тканью легких, а другая с внутренней стороны устилает стенки грудной полости. Легочную плевру называют висцеральной, а ту, которая устилает стенки грудной полости — париетальной. Вокруг каждого легкого образуется герметически замкнутая плевральная полость, которая содержит небольшое количество плевральной жидкости. Эта жидкость, в свою очередь, способствует облегчению дыхательных движений легких. В норме плевральная полость заполнена 20-25 мл плеврозной жидкости.
![]()
Плевральный выпот
Плевральный выпот - патологическое накопление жидкости в плевральной полости.
В зависимости от свойств накопившейся жидкости, а также характера патологического процесса в плевраль ной полости различают:
— гидроторакс — накопление в плевральной полости транссудата, так называемой невоспалительной жидкости; гидротораксом также иногда называют накопление в плевральной полости жидкости неизвестных свойств и происхождения;
— экссудативный плеврит — это воспалительный процесс плевры, который сопровождается накоплением в плевральной полости экссудата — воспалительной жидкости;
— эмпиема плевры (пиоторакс) — гнойный воспалительный процесс плевры, который сопровождается на коплением в плевральной полости гноя;
— гемоторакс — накопление в плевральной полости крови; чаще всего встречается при травмах грудной клетки;
— хилоторакс — накопление в плевральной полости лимфы, которое бывает при травмах грудного лимфатического протока или опухолях средостения.
Доброкачественные опухоли плевры
Доброкачественные опухоли плевры - это новообразования различного тканевого происхождения с относительно благоприятным течением, произрастающие из листков висцеральной и париетальной плевры - серозной оболочки легких. По мере своего роста доброкачественные опухоли плевры вызывают появление болей в грудной клетке, сухого кашля, одышки, субфебрилитета, экссудата в плевральной полости, межреберной невралгии. Диагностическая тактика при опухолях плевры включает рентгенологическое и томографическое обследование, плевроскопию, пункцию новообразования с цитологическим исследованием материала. Во избежание малигнизации любые опухоли плевры подлежат оперативному удалению.
МКБ-10
![Доброкачественные опухоли плевры]()
Общие сведения
Плевра является серозным покровом, выстилающим грудную полость, легкие, средостение, диафрагму. Плевра состоит из двух листков: висцерального (легочного), непосредственно прилежащего с легкому, и париетального (пристеночного), выстилающего внутреннюю поверхность грудной полости. В париетальном листке выделяют реберную, диафрагмальную и медиастинальную плевру, в соответствии с теми участками, к которым прилежит серозная оболочка. Между париетальным и висцеральным листками плевры расположено замкнутое щелевидное пространство - плевральная полость, содержащая 1-2 мл серозной жидкости, за счет которой происходит скольжение плевральных листков относительно друг друга при дыхательных движениях.
Морфологически плевра представлена несколькими слоями: мезотелиальным слоем, пограничной мембраной, поверхностным коллагеновым слоем, поверхностной эластической сетью (окончатой мембраной), глубокой эластической сетью и глубоким решетчатым коллагеновым слоем, содержащим гладкомышечные волокна, лимфатические сосуды, вены, мелкие артерии и капилляры. Такое многослойное строение плевры обусловливает морфологическую неоднородность опухолей плевры, встречающихся в пульмонологии и торакальной хирургии.
![Доброкачественные опухоли плевры]()
Патанатомия
Большинство доброкачественных опухолей плевры являются мезенхимальными по происхождению и развиваются из субмезотелиального слоя плевры. Исходной тканью для опухолей плевры также может служить мезотелий, соединительнотканные волокна, эндотелий лимфатических и кровеносных сосудов. Среди доброкачественных опухолей плевры встречаются мезотелиомы фиброзного типа, фибромы, липомы, фибромиомы, фибролипомы, лимфангиоэндотелиомы, невриномы, хондромы, остеофибромы, ангиомы и др. Доброкачественные опухоли плевры развиваются в 10 раз реже, чем злокачественные.
Доброкачественные опухоли плевры, как правило, имеют вид четко отграниченного одиночного узла; при наличии ножки опухоли обладают достаточной подвижностью. Характер роста определяет особенности хирургической тактики при удалении опухолей плевры. Фиброма плевры чаще исходит из ее висцерального листка, имеет ножку либо связана со своим широким основанием посредством рыхлой соединительной клетчатки. Удаление фибромы обычно не вызывает технических затруднений.
Липома плевры произрастает из подплевральной жировой клетчатки и связана с париетальным листком серозной оболочки. Рост липомы в направлении межреберного пространства сопровождается выбуханием опухоли плевры над поверхностью грудной клетки в виде пальпируемого узла. В этом случае для радикальной резекции необходимо выделение всего конгломерата опухоли до плевры.
Доброкачественная фиброзная мезотелиома, в отличие от злокачественных мезотелиом брюшины, плевры, перикарда, яичка, не имеет этиопатогенетической связи с воздействием асбеста. Макроскопически доброкачественный тип мезотелиомы представлен плотной солитарной инкапсулированной опухолью, имеющей на разрезе желтоватый цвет. Микроскопическое строение доброкачественной мезотелиомы соответствует многоклеточной фиброме. Данный тип опухоли чаще исходит из париетальной плевры. При удалении мезотелиомы прибегают к резекции париетальной плевры на протяжении.
Симптомы
Особенности клинической картины доброкачественных опухолей плевры зависят от локализации и размеров новообразования. Локализованные опухоли плевры небольших размеров обычно протекают бессимптомно. Клинические проявления опухолей плевры, как правило, развиваются при достижении ими больших размеров, что влечет за собой смещение органов грудной полости и средостения. В этом случае возникают боли в грудной клетке, чувство стеснения в груди, одышка, сухой кашель, субфебрильная температура тела.
Нередко у больных с опухолью плевры развивается гипертрофическая остеоартропатия - утолщение ногтевых фаланг по типу «барабанных палочек». Компрессия прилежащих органов большими по величине опухолями плевры сопровождается межреберной невралгией, синдромом верхней полой вены. Эти симптомы самопроизвольно исчезают после удаления опухоли плевры. Экссудативный плеврит при доброкачественных опухолях плевры развивается редко.
Диагностика
Доброкачественные опухоли плевры обычно выявляются при рентгенологическом исследовании (полипозиционной рентгенографии грудной клетки, рентгеноскопии легких). На рентгенограммах определяется полукруглая или полуовальная гомогенная тень с четкими очертаниями, прилежащая своим широким основанием к тени ребер, реже - диафрагмы либо средостения. При рентгеноскопии легких хорошо видно, как опухоль, исходящая из париетальной плевры, при дыхании смещается вместе с ребрами. Структура ребер, как правило, не изменена прилежащими к ним доброкачественными опухолями плевры.
Уточняющая роль в диагностике опухолей плевры отводится КТ и МРТ легких, УЗИ плевральной полости. Под контролем КТ или УЗИ проводится пункционная биопсия плевры с последующим исследованием биоптата; при наличии экссудата выполняется плевральная пункция. При недоступности опухоли плевры для трансторакальной биопсии прибегают к диагностической торакоскопии (плевроскопии).
Проведение бронхоскопии, бронхографии, микроскопического исследования мокроты при опухолях плевры не информативно. На диагностическом этапе доброкачественные опухоли плевры дифференцируют со злокачественными новообразованиями серозной оболочки, периферическим раком легкого, осумкованным плевритом.
Лечение
Ввиду возможности компрессии органов и сосудов грудной полости, а также во избежание риска малигнизации доброкачественные опухоли плевры подлежат оперативному удалению. В последнее время широко применяются малоинвазивные методики оперирования с использованием видеоторакоскопической аппаратуры. В послеоперационном периоде с помощью оставленных в плевральной полости дренажей осуществляют контроль гемостаза и полного расправления легкого.
Прогноз
В дальнейшем пациенты, перенесшие удаление доброкачественных опухолей плевры, не нуждаются в лучевом или химиотерапевтическом лечении. Однако они подлежат периодическому (каждые 6 мес. в течение 2-х лет) рентгенологическому обследованию и наблюдению пульмонолога (торакального хирурга). Это связано с тем, что некоторые опухоли плевры, чаще смешанного строения, а также фиброзные мезотелиомы склонны к рецидиву, иногда - к малигнизации, что требует повторного хирургического вмешательства.
1. Гигантские солитарные фиброзные опухоли плевры: обзор литературы и собственный опыт/ Пищик В.Г., Оборнев А.Д., Зинченко Е.И., Ширинбеков Н.Р.// Клиническая больница. - 2016 - №2 (16).
2. Дифференциальная рентгенодиагностика заболеваний органов дыхания и средостения. В 2-х томах. Т.2/ Розенштраух Л. С, Виннер М. Г. - 1991. Заболевания плевры: диагностика и лечение/ Х Парфри, Э. Р. Чайлверс//Лечащий врач. - 2003.
Читайте также:







