Диагностика метастатического поражения паренхимы головного мозга по КТ, МРТ
Добавил пользователь Евгений Кузнецов Обновлено: 02.11.2025
У каждого пятого пациента с онкологическим процессом вне центральной нервной системы (ЦНС) в течение процесса лечения выявляется метастатическое поражение головного мозга. Именно поэтому наиболее частое объемное образование в полости черепа - метастаз рака, их количество как минимум в 4 раза превышает число внутримозговых опухолей (то есть первично развивающихся из мозговой ткани).
При этом может поражаться как мозговое вещество (паренхима), в том числе нередко в функционально значимых зонах, так и оболочки мозга (лептоменингеальные метастазы) и кости свода и основания черепа.
Практически любая злокачественная опухоль может метастазировать в головной мозг, однако 3 из них (рак легкого, рак молочной железы и меланома) составляют 75% от всех внутримозговых метастазов. При этом у пациентов с мелкоклеточным раком легкого и у пациентов с меланомой метастазы в головной мозг обнаруживаются ~ в 50% случаев. Четвертое и пятое место по частоте причин развития интрацеребральных метастазов занимают злокачественные опухоли мочеполовой системы и колоректальный рак соответственно. Особенность молодых пациентов заключается в том, что у них чаще всего источником метастазов в головной мозг являются различные виды саркомы и герминативно-клеточные опухоли.
Примерно в половине случаев метастазирование в головной мозг имеет множественный характер, то есть выявляется сразу несколько очагов, подчас их общее число не поддается подсчету. При этом установлено, что метастазы рака почки и колоректального рака чаще одиночные, а меланомы и рака легкого - чаще носят множественный характер.
«Излюбленной» локализацией метастазов является задняя черепная ямка (мозжечок). В ряде случаев наблюдается кровоизлияние в строму метастатического узла (клинический случай №6).
У 15% пациентов с гистологически верифицированными метастазами рака в головной мозг (после операции удаления или - существенно реже - после стереотаксической биопсии) не удаётся выявить первичную опухоль с помощью современных инструментальных методик обследования (клинический случай №1). При катамнестическом наблюдении, однако, у большинства из них выявляется рак легкого.
Гистологическая структура первичной опухоли и ее метастаза в головной мозг идентична (при возможных отличиях в биологическом поведении и генетических характеристиках), поэтому иммуногистохимическое исследование, проводимое в лабораториях крупных специализированных нейрохирургических центров, способно в большинстве случаев с известной точностью установить источник метастазирования при невыявленной первичной злокачественной опухоли.
Нужно помнить, что, к сожалению, одно заболевание не исключает другое. Не все новообразования, имеющие МР-характеристики метастаза в головной мозг, у пациента с верифицированной опухолью другой локализации, обязательно будут ее метастазами (клинический случай №3).
Клинические проявления метастазов рака в головной мозг
Ткань метастаза, окружающий ее отек, а также в ряде случаев кровоизлияния в строму опухолевого узла создают «масс-эффект». Также может наблюдаться препятствие для ликвороциркуляции - обструкция ликворных путей с развитием гидроцефалии (клинический случай №2) и в ряде случаев быстрым нарастанием неврологической симптоматики.
Наиболее частые клинические проявления метастатического поражения головного мозга:
- головная боль
выявляется почти у половины пациентов, чаще при множественном поражении головного мозга или при вовлечении структур задней черепной ямки. Чаще головная боль усиливается в утренние часы, а также при физической нагрузке, натуживании, кашле итд. Зачастую сопровождается тошнотой и рвотой.
- эпилептические приступы
примерно в 20% случаев бывают первым проявлением интрацеребральных метастазов и приблизительно с такой же частотой возникают в процессе лечения заболевания
- фокальный неврологический дефицит
Развитие слабости в руке/ноге, в ряде случаев до полного отсутствия произвольных движений, речевых или зрительных расстройств встречается примерно у 40% больных с метастазами в головной мозг
- интеллектуально-мнестические нарушения, расстройства поведения, личностные расстройства, депрессии встречаются очень часто, однако лишь иногда озвучиваются в виде жалоб пациента и потому зачастую остаются недооцененными
- расстройства походки - даже в отсутствии снижения силы в нижних конечностях и/или поражения мозжечка, часто бывают первым проявлением метастатического поражения головного мозга и возникают в основном при множественных метастазах, локализованных в обоих полушариях
Инструментальная диагностика метастазов в головной мозг
МРТ является методом выбора для всех, пациентов, не имеющих противопоказаний для проведения этого исследования. Пациентам с известной злокачественной опухолью МРТ головного мозга назначается с целью исключения его метастатического поражения; у больных без явного первичного источника МРТ головного мозга позволяет (в известной степени) дифференцировать метастаз от первичной злокачественной опухоли/абсцесса мозга и других патологических состояний.
Несмотря на то, что метастазы не имеют патогномоничных МР-признаков, МРТ все же остается непревзойденной методикой для их диагностики, существенно превосходя возможности компьютерной томографии (КТ), поскольку имеет более высокое разрешение и не ограничено артефактами от костной ткани.
В ряде случаев метастазы могут имитировать другие (первичные) опухоли и зачастую пациенты приходят ко мне с неверными направительными диагнозами, особенно в случаях невыявленного первичного источника. Однако детальный анализ качественных снимков практически всегда позволяет поставить верный диагноз на дооперационном этапе (клинический случай №5).
Метастазы могут локализоваться в любом отделе ЦНС и в ряде случаев их удаление сопряжено с высоким риском развития неврологического дефицита, например, при локализации в функционально значимой зоне или в тесном контакте с магистральными артериями головного мозга (клинический случай №4).
У пациентов с выявленным предположительно метастатическим поражением головного мозга дополнительное инструментальное обследование должно включать тщательный осмотр всей поверхности кожи (на предмет наличия меланомы), КТ грудной клетки и брюшной полости, а также, по возможности, позитронно-эмиссионную томографию с глюкозой (ПЭТ-КТ с 18F-FDG) всего тела с целью поиска первичного источника.
Наиболее информативным исследованием (по статистике) является КТ грудной клетки, поскольку примерно у 60% пациентов с невыявленным первичным источником метастазов в головной мозг при данном исследовании выявляется злокачественная опухоль легкого.
В том случае, если вышеназванные исследования не позволили выявить первичную опухоль, необходимо проведение операции удаления очага в головном мозге, а при невозможности проведения этой операции (по ряду причин: глубинная локализация, большой объем, их сочетание и др., а также вследствие тяжести состояния больного) целесообразно рассмотреть вопрос о проведении стереотаксической биопсии.
Исследование онкомаркеров крови (при опухолях молочной железы, яичников, поджелудочной железы) имеет ориентировочное значение и является более информативным лишь в случае редких - герминативноклеточных - опухолей (альфа-фетопротеин, бета-хорионический гонадотропин человека).
Дифференциальный диагноз метастазов в головной мозг
Несмотря на то, что наиболее вероятным диагнозом при наличии у пациента злокачественной опухоли вне полости черепа и изменений на МРТ головного мозга будет его метастатическое поражение, примерно в 10% случаев природа изменений МР-сигнала может быть иной: первичные опухоли головного мозга и его оболочек, сосудистые, инфекционные, демиелинизирующие и другие заболевания.
Варианты лечения метастазов в головной мозг
В основе выбора тактики лечения пациента с метастатическим поражением головного мозга лежат следующие факторы:
1. природа первичного очага, распространенность онкологического процесса (поражение других органов и систем), контроль заболевания на фоне лечения
2. размер, локализация и количество метастазов в головном мозге
3. проводимая ранее терапии основного заболевания
Протоколы лечение различных метастазов в головной мозг
В общем виде протокол выбора тактики лечения метастатического поражения головного мозга выглядит следующим образом:
Метастатические опухоли мозга
Метастатические опухоли мозга - вторичные очаги, возникающие вследствие местного агрессивного роста, гематогенного и лимфогенного метастазирования злокачественных новообразований других локализаций. У 30% больных протекают бессимптомно. В остальных случаях опухоли головного мозга проявляются головными болями, головокружениями, тошнотой, рвотой, очаговой симптоматикой, психическими и эмоциональными нарушениями. При поражении спинного мозга возникают боли, чувствительные и двигательные расстройства. Диагноз выставляется с учетом анамнеза, симптомов, КТ, МРТ и других исследований. Лечение - радиотерапия, реже оперативное удаление или химиотерапия.


Общие сведения
Метастатические опухоли мозга - группа злокачественных новообразований различного происхождения, возникших в спинном либо головном мозге в результате распространения клеток первичной опухоли. Метастазы в головной мозг выявляются у каждого пятого онкологического больного. Метастатическое поражение спинного мозга по различным данным наблюдается у 30-70% пациентов. По данным исследователей, вторичные поражения ЦНС встречаются примерно в 10 раз чаще первичных.
Пик заболеваемости приходится на 50-70 лет, мужчины и женщины страдают одинаково часто. Иногда симптомы метастатической опухоли мозга становятся первым сигналом о появлении другого новообразования. К примеру, 10% пациентов с раком легких впервые обращаются за помощью из-за возникновения неврологических расстройств. Прогноз обычно неблагоприятный, вторичное поражение мозга является одной из ведущих причин смертности при злокачественных опухолях. Лечение осуществляют специалисты в сфере онкологии и неврологии.

Причины
Метастазы в ЦНС могут возникать при злокачественных новообразованиях любой локализации. От 30 до 60% от общего количества метастатических опухолей мозга появляются при раке легких, от 20 до 30% - при новообразованиях молочной железы. Третье место по распространенности занимают метастазы при меланомах (10%), четвертое - при раке толстого кишечника (5%). Реже метастатические опухоли мозга встречаются при лимфомах, саркоме и новообразованиях щитовидной железы.
Иногда причиной вторичных процессов в головном мозге становится инфильтративный рост новообразований назофарингеальной области. Вторичное поражение спинного мозга в результате агрессивного роста первичного очага может выявляться при новообразованиях позвонков, абдоминальной форме лимфомы Беркитта и других объемных процессах, локализующихся рядом со спинномозговым каналом. В числе редких онкологических заболеваний, иногда осложняющихся метастатическими опухолями мозга - тератома яичка и хориокарцинома. По неизвестным причинам в мозг редко метастазируют злокачественные опухоли яичников, шейки матки и мочевого пузыря.
80% метастатических опухолей головного мозга располагаются в зоне больших полушарий, 15% - в мозжечке, 5% - в стволе мозга. Большинство вторичных очагов в спинном мозге локализуются на уровне нижних грудных либо верхних поясничных позвонков. Поражения твердой мозговой оболочки составляют около 10% от общего количества метастатических опухолей мозга. Более 70% метастазов множественные, что ухудшает прогноз. Гистологическое строение вторичной опухоли - как у первичного новообразования. Симптомы обусловлены как непосредственным давлением узла на нервные структуры, так и перифокальным отеком окружающих тканей.
Симптомы метастатических опухолей головного мозга
Метастатическая опухоль мозга проявляется головными болями, головокружениями, тошнотой, рвотой, припадками, нарушениями сознания, сенсорными расстройствами и очаговой неврологической симптоматикой. Возможны психические и эмоциональные нарушения: эмоциональная неустойчивость, сонливость, заторможенность, когнитивные расстройства, личностные изменения и т. д. Выраженность симптомов метастатической опухоли мозга сильно варьирует - от незначительных нарушений памяти или настроения до тяжелых эпиприпадков.
Распирающие головные боли, тошнота и расстройства сознания свидетельствуют о повышении внутричерепного давления. Особенно упорная тошнота наблюдается у детей. У 30% больных метастатическими опухолями мозга выявляются эпилептиформные судороги, от них страдают преимущественно люди старше 45 лет. Очаговая симптоматика различается. Возможны снижение либо потеря чувствительности, нарушения зрения, нарушения слуха, параличи и парезы конечностей. Расстройства возникают на стороне, противоположной расположению метастатической опухоли мозга.
Динамика неврологических расстройств также различается. У одних пациентов наблюдается постепенное усугубление нарушений, у других расстройства развиваются внезапно, по типу инсульта. Причиной внезапного появления симптомов может стать кровоизлияние в метастатическую опухоль мозга либо эмболия сосуда фрагментом новообразования. Иногда наблюдается ремитирующее течение заболевания, при котором очаговые и внемозговые нарушения волнообразно усиливаются и ослабевают.
Симптомы метастатических опухолей спинного мозга
Первым проявлением метастатической опухоли мозга обычно становятся боли. Вначале болевой синдром неинтенсивный и непостоянный, возникает только при кашле и резких движениях. В последующем боли усиливаются, появляются спонтанно, беспокоят постоянно, не исчезают даже после сна или продолжительного отдыха. Выявляются прогрессирующие нарушения чувствительности и двигательные расстройства. Развивается гиперестезия, сменяющаяся гипестезией, а затем анестезией.
Пациенты с метастатическими опухолями мозга отмечают мышечную слабость и быструю утомляемость при физических нагрузках. Со временем мышечная слабость переходит в парезы, а парезы - в параличи. Зона чувствительных и двигательных нарушений определяется уровнем и локализацией метастатической опухоли мозга. При поражении боковых отделов может выявляться синдром Броун-Секара. При опухолях в задних либо передних отделах обычно наблюдаются симметричные расстройства.
При поражениях шейного отдела возникает спастическая тетраплегия, при новообразованиях грудного отдела - спастическая нижняя параплегия, при процессах в поясничном отделе - вялая нижняя параплегия, при метастазах в зоне крестца - паралич мышц-сгибателей нижних конечностей. Для всех метастатических опухолей мозга характерны нарастающие тазовые расстройства. Возможно быстрое образование пролежней, особенно - при поражении нижних отделов спинного мозга.
Диагностика метастатических опухолей мозга
Диагноз устанавливается онкологом и нейрохирургом с учетом клинических проявлений и данных дополнительных исследований. Важную роль играют анамнестические данные: подозрение на злокачественную опухоль либо наличие уже диагностированного новообразования внемозговой локализации, а также состояние после оперативного или консервативного лечения по поводу данной патологии. Необходимо учитывать, что иногда симптомы метастатической опухоли мозга становятся первым проявлением патологического процесса в другом органе.
Настораживающими признаками в отношении новообразований головного мозга являются головные боли, тошнота, эпилептиформные припадки (обнаруживаются у 35% пациентов) и прогрессирующая очаговая симптоматика. Подозрение на вторичный процесс в спинном мозге возникает при продолжительных нарастающих болях, двигательных и чувствительных нарушениях и расстройствах деятельности тазовых органов. Основные инструментальные методы диагностики метастатических опухолей мозга - КТ и МРТ. Обычно исследования начинают с более доступной КТ головного мозга и КТ позвоночника, а полную информацию о количестве, размере и расположении очагов получают при проведении МРТ с контрастным усилением. При поражении спинного мозга также информативна люмбальная пункция с ликвородинамическими пробами.

Лечение метастатических опухолей
Пациентам назначают противосудорожные препараты, стероиды, обезболивающие и психотропные средства. Основным методом лечения метастатических новообразований головного мозга обычно становится радиотерапия, которая используется отдельно, в сочетании с химиотерапией либо хирургическим вмешательством. Показанием к оперативному лечению является наличие операбельного солитарного метастаза (вторичного очага при невыявляемом первичном процессе) либо одиночного метастаза при контролируемом первичном новообразовании.
Обычно операции выполняют при метастатических опухолях мозга, расположенных в мозжечке, височных и лобных долях, то есть, в зонах с относительно невысоким операционным риском. После операции назначают радиотерапию либо химиотерапию. Иногда целью хирургического лечения является не удаление метастатической опухоли мозга, а экстренное снижение опасного для жизни внутричерепного давления. При необходимости подобные вмешательства могут проводиться многократно.
Химиотерапия обычно неэффективна. Исключением являются ситуации, когда первичное новообразование хорошо реагирует на цитостатики, например, при раке молочной железы, мелкоклеточном раке легкого либо лимфоме. Пациентам с метастатической опухолью мозга, чувствительной к химиотерапии, назначают лекарственные средства, способные проникать через гематоэнцефалический барьер. Химиотерапию обязательно дополняют другими способами лечения (обычно - радиотерапией).
Перспективным современным методом лечения метастатических опухолей мозга является 3D-конформная лучевая терапия - облучение тонкими пучками радиации, направленными на опухоль. Эта методика позволяет обеспечить максимальное воздействие на опухоль при минимальной лучевой нагрузке на здоровые ткани. Процедура проводится под контролем МРТ либо КТ. Метод имеет ряд преимуществ перед традиционными операциями (безболезненность, неинвазивность, отсутствие наркоза и послеоперационного периода). Показан при множественных метастатических опухолях мозга и при высоком операционном риске, обусловленном особенностями расположения метастаза.
При вторичных очагах в спинном мозге применяют те же методы, что при поражении головного мозга. Назначение кортикостероидных препаратов позволяет уменьшить боли у 85% больных, радиотерапия - у 70% больных. У половины пациентов на фоне радиотерапии отмечается улучшение двигательных функций. Оперативные вмешательства осуществляют при нечувствительности метастатических опухолей мозга к радиотерапии, при прогрессировании неврологических расстройств либо сдавлении нервной ткани отломком кости. Выполняют переднюю декомпрессию либо ламинэктомию. После операции назначают локальную радиотерапию (за исключением новообразований, нечувствительных к лучевой терапии).
Прогноз
Прогноз при метастатических опухолях мозга обычно неблагоприятный. Средняя продолжительность жизни с момента выявления вторичного очага составляет 6-8 недель. При солитарных метастазах и одиночных метастазах в сочетании с первичными новообразованиями, хорошо реагирующими на терапию, своевременно начатое лечение позволяет продлить среднюю продолжительность жизни больных с метастатическими опухолями мозга до 10 месяцев с момента постановки диагноза.
Метастазы в головном мозге
Метастатический рак мозга (другое название — вторичный рак мозга) — распространение раковых клеток в головном мозге из злокачественной опухоли, расположенной в другой части тела. Некоторые факты и цифры:
- Вторичный раз могла встречается в 10 раз чаще, чем первичный, то есть тот, который изначально развивается в головном мозге; в головной мозг возникают у 20-40% онкологических больных (в среднем у каждого четвертого);
- Ежегодно метастатический раз мозга диагностируют у 50 000 — 70 000 россиян;

Пару десятилетий назад при множественных метастазах в головной мозг на пациенте можно было ставить крест - нейрохирургические учреждения, делавшие успехи в терапии первичных опухолей головного мозга, таких больных не брали, потому как оперативное лечение в этом случае уже было почти невозможным. Даже в столице не более трёх специалистов готовы были попробовать лучевую терапию, между тем как по данной теме было защищено несколько диссертаций, демонстрирующих очень неплохой результат. Но практическая деятельность сталкивалась с клиническими трудностями, делающими спасение пациента весьма трудоёмким.
Метастазы злокачественных опухолей в головном мозге постигают каждого четвёртого больного, при посмертном исследовании их находят у шести из десяти. Метастазы выявляются на порядок чаще, чем первичные опухоли центральной нервной системы, которыми охотно занимаются нейрохирурги. Российская онкологическая статистика учитывает только первичные опухоли головного мозга и вообще первичные раки, но не знает, сколько больных имеют метастазы куда бы то ни было, а не только в головной мозг.

Метастазы в головном мозге.
Любая опухоль метастазирует в мозг, но чаще всего рак лёгкого, особенно крайне агрессивный мелкоклеточный — до 80% больных, а также рак молочной железы, кишки, почки и меланома, но все они метастазируют много реже рака лёгкого. Сегодня метастазы в головном мозге находят чаще, чем в конце прошлого века, чему весьма способствуют методы нейровизуализации — КТ и МРТ и увеличение выживаемости онкологических больных в результате успехов онкологической науки. Заметно повысилась и активность онкологов, не только решающихся на лечение самых непростых больных, но и имеющих возможность выхаживать таких пациентов.

Андрей Львович Пылёв, главный врач сети "Евроонко", онколог, кандидат медицинских наук
Как правило, большинство больных к моменту выявления внутричерепных метастазов имеют другие, подчас неизлечимые и распространённые, очаги опухоли, состояние их оставляет желать лучшего, а локальная терапия внутричерепных метастазов чревата ранним рецидивом. Внедрение высокотехнологичного лечения, как хирургического, так и лучевого, помогло избавиться от профессионального пессимизма и увеличило 5-летнюю выживаемость пациентов, придав их жизни вполне приемлемое качество.
Почему возникают метастазы в головном мозге?
Метастазирование — довольно сложный процесс. Он состоит из нескольких этапов. Опухоль должна прорасти в соседние ткани, затем ее клетки отрываются и проникают в кровеносные или лимфатические сосуды. Мигрируя с током крови, раковые клетки оседают в разных органах. Какое-то время они «дремлют», затем начинается бурный рост.
Чаще всего — в 48% случаев — метастазы в мозг связаны с раком легких. Наиболее агрессивен немелкоклеточный рак легкого — он метастазирует в мозг в 80% случаев. Реже встречаются метастазы при раке молочной железы (15%), мочеполовой системы (11%), остеогенной саркоме (10%), меланоме (9%), раке головы и шеи (6%).

Метастаз в головном мозге в динамике
Клинические проявления метастазов
Симптоматика зависима от размеров внутричерепных опухолевых очагов, их количества и расположения. Принципиально клинические симптомы можно разделить на две группы:
- локальные, обусловленные расположением опухоли в конкретном отделе мозга, отвечающем за определённые функции определённого органа;
- общемозговые симптомы, связанные с размером дополнительной опухолевой ткани, мешающей функционированию самого мозга.
К примеру, опухоль рядом со структурами, обеспечивающими иннервацию глаза, проявится выпадением полей зрения, когда глазом не воспринимаются отдельные участки сектора обзора. Множество мелких узлов даст картину отёка головного мозга, поскольку лишние граммы опухоли в замкнутой черепной коробке мешают нормальной циркуляции жидкостей и сдавливают нормальные ткани.
У половины больных вторичные новообразования головного мозга откликаются головной болью, очень часто интенсивность боли меняется вместе с положением головы, когда при наклоне под определённым углом частичное восстановление циркуляции ликвора временно приводит к уменьшению боли. К сожалению, со временем рост метастазов сделает боль постоянной, а замкнутость пространства приведёт к невыносимой интенсивности. Нередки головокружения и двоение, если смотреть обоими глазами.

Коридор клиники Евроонко
У каждого пятого пациента развиваются двигательные нарушения вплоть до пареза половины тела. У каждого шестого страдают интеллектуальные способности, столько же мучается от изменений поведения, нарушений движений и походки, чуть реже отмечаются судороги, но и совершенно бессимптомное течение, когда метастатические образования выявляют лишь при обследовании, тоже не редкость. Тем не менее, при увеличении размеров опухоли даже в такой относительно благоприятной ситуации довольно быстро нарушаются функции организма.
Отёк ткани вокруг опухоли — перифокальный отёк вкупе с повышением внутричерепного давления (ВЧД) вызывают общемозговые симптомы с головной болью, головокружением, двоением, рвотой при малейшем движении или даже при открывании глаз, постоянной икотой, приводят к угнетению сознания вплоть до мозговой комы. Снижение частоты сердцебиений и дыханий при очень высоком «верхнем» систолическом давлении свидетельствуют о крайне высоком и чреватом гибелью внутричерепном давлении.
В практике выделяют варианты развития первичной симптоматики при метастазах рака в центральную нервную систему по превалирующему комплексу клинических признаков.
- Похожий на инсульт апоплексический вариант, развивается остро и проявляется очаговыми нарушениями — свидетельством поражения определённого участка мозга. Такой вариант, как правило, связан либо с закупоркой сосуда, либо его разрывом опухолью с последующим кровоизлиянием в головной мозг.
- Ремиттирующий вариант характеризуется волнообразным течением, когда симптомы то уменьшаются, то прогрессируют, напоминая атеросклеротическое поражение сосудов.
У некоторых больных метастазы головного мозга протекают бессимптомно. Обнаруживают их только во время обследования.
Как диагностируют метастазы в головном мозге?
«Золотой стандарт» в диагностике метастатического рака головного мозга — магнитно-резонансная томография (МРТ). Во время этого исследования получают изображения внутренних структур тела, используя сильное магнитное поле. По снимкам врач может судить о количестве, размерах, расположении метастатических очагов.

Биопсия — исследование, во время которого получают фрагмент ткани и исследуют его на предмет раковых клеток. Если у человека уже диагностирован рак в другом органе и обнаружены очаги в головном мозге, потребности в данном методе диагностики обычно нет. Биопсия нужна, если есть очаги в мозге, но не найдена первичная опухоль.
Лечение метастазов
Без лечения продолжительность жизни больного от момента выявления метастатического поражения головного мозга едва ли превышает месяц, но это в среднем. Только добавление высоких доз гормонов способно двукратно увеличить продолжительность жизни и несколько улучшить её качество, но опять только на время, тогда как химиолучевое лечение может дать до полугода жизни.
Тактика лечения зависит от некоторых факторов:
- Количество, размер и расположение метастазов;
- Возможность удалить очаги хирургическим путем;
- Чувствительность первичной опухоли к химиопрепаратам и лучевой терапии;
- Общее состояние больного;
- Наличие других метастазов, возможность бороться с ними.
Прогностически неблагоприятна локализация опухоли в недоступной для манипуляций задней черепной ямке, нарушение циркуляции ликвора и вероятность вклинения опухоли в естественные черепные отверстия.
Несомненно, что только хирургическое пособие вкупе с дополнительным лекарственным и лучевым лечением даёт большие надежды. Но нейрохирургическое вмешательство возможно при одном или единичных опухолевых узлах, и, конечно, технически доступных. Паллиативную операцию выполняют при угрожающем нарастании давления и кровотечении, когда удаление даже одного из множества узлов способно радикально улучшить клиническую картину, чтобы присовокупить в дальнейшем консервативное лечение. Возможны разные варианты удаления опухолевых узлов.

При технически не удаляемых и чувствительных к противоопухолевым лекарствам видах рака, таких как молочная железа, мелкоклеточный рак лёгкого и герминогенные опухоли яичка, на первом этапе прибегают к химиотерапии, к которой в дальнейшем присоединяют облучение всего массива головного мозга. При радиочувствительных опухолях лечение можно начать с тотального облучения мозга. При опухолях не более 3,5 см и менее четырёх узлов как единственный метод эффективна стереотаксическая радиохирургия. К опухоли подводят с разных сторон несколько пучков радиоволн, они пересекаются в одном месте - там, где находится метастаз. В итоге раковые клетки уничтожаются, а окружающие здоровые ткани получают минимальную безопасную дозу. В комплексе с облучением мозга и химиотерапией результат лучше.

Система для стереотаксической радиохирургии
Лучевая терапия всегда сопровождается нарастанием отёчности ткани мозга, поэтому облучение всегда проводится на фоне дегидратации — симптоматической терапии, разгружающей от излишней жидкости. Поэтому радиолог может отказать в лечении пациенту, устойчивому к мочегонным препаратам, а также при уже смещённом головном мозге, поскольку дальнейшее смещение может стать для больного фатальным. Не возьмут на облучение тяжёлого пациента с выраженными клиническими проявлениями, тем более с судорогами или мутным сознанием. Уже после одного-двух сеансов облучения к имеющемуся высокому внутричерепному давлению присоединится лучевой отёк ткани, и без того очень неважное состояние пациента ухудшиться.
Возможны варианты последовательностей и сочетания методов, как при впервые выявленных метастазах в головной мозг, так и при рецидиве после лечения. Во всяком случае, при невозможности активной тактики и прогрессировании процесса клинические руководства рекомендуют прибегнуть к химиотерапии на фоне наилучшей поддерживающей симптоматической терапии (стероиды, обезболивающие, противосудорожные препараты и др.). Схема определяется первичной опухолью, то есть при раке лёгкого помогают одни препараты, при раке почки — другие. Химиотерапию проводят до выявления признаков прогрессии опухоли.
Терапия метастазов злокачественных опухолей в головной мозг не дело энтузиастов-одиночек, это работа команды онкологов, нейрохирургов, радиологов, химиотерапевтов и реаниматологов, вооружённых знаниями и отличным оборудованием для диагностики и лечения, как в клиниках «Евроонко».
Каковы прогнозы при метастазах в головной мозг?
Прогноз зависит от типа первичной опухоли, количества метастазов, возраста и состояния пациента. В среднем пациенты живут 2-3 месяца. Но если метастазы единичные, пациенту меньше 65 лет, и в организме нет других метастазов, средняя продолжительность жизни может составить 13,5 месяцев.
Врачи онкологи и реаниматологи «Евроонко» знают, как помочь пациенту с метастатическим раком. Грамотное лечение избавит от тяжелых симптомов, подарит драгоценное время.
Метастатические опухоли головного мозга
Метастатические опухоли/поражения головного мозга - собирательное понятие, объединяющее различные по происхождению, гистологической структуре, клиническому течению и результатам лечения злокачественные опухоли, первичной локализацией которых являются опухоли вне головного мозга (например, злокачественная опухоль лёгкого или молочной железы). Метастатическое поражение головного мозга - это всегда IV стадия опухолевого процесса по классификации TNM - М1.
Метастатическое поражение головного мозга выявляется примерно у 25-50% пациентов с онкопатологией и встречается в 10 раз чаще чем первичные опухоли. Зачастую головной мозг становится резервуаром заболевания, даже если первичный онкопроцесс процесс находится под контролем, в значительной степени из-за гематоэнцефалического барьера, снижающего эффективность многих химиотерапевтических препаратов.
Эпидемиология
Истинная частота метастатических поражений головного мозга неизвестна, но по последним оценкам составляет около 200 000 случаев в Соединенных Штатах ежегодно [1].
- В 80% метастатическое поражение головного мозга вызывается пятью первичными типами опухолей [2]:
- рак легкого
- меланома
- аденокарцинома желудочно-кишечного тракта (большинство колоректальных раков)
Исследование 169 444 больных раком, с 1973 по 2001 год в Детройте, показало, что примерно у 10% пациентов с первичной опухолью одной из этих пяти зон выявлялись метастазы в головном мозге. В частности, метастазы в головном мозге были вызваны в 19,9% случаев раком легкого, 6,9% меланомой, 6,5% от раком почки, 5,1% случаев раком молочной железы и 1,8% колоректальным раком [3].
Кровоснабжение является важным фактором, определяющим распределение метастазов: 80% метастазов локализуются в больших полушариях головного мозга, 15% локализуются в мозжечке и 3% локализуются в базальных ганглиях [8].
Клиническая картина и прогноз
Клиническая картина характеризуется сочетанием общемозговой симптоматикой и очаговыми симптомами обусловленными локализацией и размерами метастазов, выраженностью перифокального отека вокруг них.
У пациентов могут выявляться головные боли, судороги, изменения психического статуса, атаксия, тошнота и рвота, нарушения зрения. Примерно у 10% пациентов заболевание может протекать бессимптомно.
Патологическая анатомия и патофизиология
Макроскопическая картина/ секционная картина
Обычно метастазы хорошо отграничены от окружающей паренхимы головного мозга, зона перифокального отека обычно пропорциональна размеру опухоли.
Микроскопическая картина
Обычно хорошо отграничены, за исключением метастазов меланомы. Гистологическая картина будет зависеть от первичной опухоли.
Рентгенологические признаки
Существуют различные варианты проявлений опухолей, но при этом могут быть выявлены общие принципы. Следует также отметить, что хотя считается, что метастатическое поражение головного мозга множественное, примерно в 50% случаев на момент постановки диагноза выявляется только одиночный метастаз[4].
Известно, что некоторые злокачественные опухоли более склонны к кровоизлияниям, важно запомнить эту черту. Метастазы в ЦНС с кровоизлиянием могут быть вызваны: меланомой, почечно-клеточным раком, хориокарциномой, раком щитовидной железы, раком легких или молочной железы.
КТ
На нативных изображениях объемное образование может иметь изоденсивную, гиподенсивную или гиперденсивную плотность, окруженное зоной вазогенного отека.
После введения контрастного вещества, изменение плотности в результате накопления препарата, в зависимости от типа кровоснабжения, может быть гомогенно интенсивным, точечным, по типу кольца.
МРТ
- T1
- изо или гипоинтенсивный
- при наличии геморрагического компонента может иметь в свовей структуре зоны с высоким сигналом
- метастазы меланомы также гиперинтенсивны из-за парамагнитных свойств меланина
- Паттерн накопления может быть однородным, точечным или по типу кольца, но, как правило, интенсивный. Отсроченные последовательности может помочь выявить дополнительные очаги, поэтому МРТ с контрастным усилением в настоящее время является стандартом для обнаружения мелких метастазов.
- гиперинтенсивный
- продукты распада гемоглобина могут изменять сигнал
- пик холина (отсутствует в зоне перифокального отека)
- пик липидов - отражает некроз в опухоли
- снижение пика Н-ацетил аспартата (NAA)
Ядерная медицина
ПЭТ С 18F-ФДГ
Считается лучшим методом визуализации метастазов. Однако он может обнаружить только очаги около 1,5 см в диаметре, поэтому МРТ с контрастным усилением остается золотым стандартом, для визуализации небольших метастазов. Метастазы опухолей легких, молочной железы, толстой кишки, головы и шеи, меланомы и щитовидной железы, характеризуются повышенным метаболизмом. Муцинозная аденокарцинома и почечно-клеточный рак, как правило, гипометаболические, а глиомы и лимфомы характеризуются вариабельным метаболизмом. Снижение метаболизма указывает на некроз.
ПЭТ КТ
Может преодолеть некоторые недостатки, предыдущего метода так как обладает более высокой чувствительностью. Тем не менее, золотым стандартом в диагностике МРТ остается7.Метастазы в головной мозг: КТ, МРТ и ПЭТ-КТ диагностика
Метастазы в головной мозг (по данным Б. В. Гайдара, Т. Е. Рамешвили и др.) составляют до 40% всех опухолей, возникающих внутри полости черепа.
Сделать МРТ головного мозга в Санкт-Петербурге
ИСТОЧНИК МЕТАСТАЗОВ В ГОЛОВНОЙ МОЗГ
В головной мозг обычно распространяются злокачественные новообразования почек, легких, молочной железы, щитовидной железы, реже — новообразования мочевого пузыря, яичников и простаты. Самая частая ситуация — рак легкого с метастазами в головной мозг. Также склонность к распространению в полость черепа имеют меланомы, практически никогда не метастазируют саркомы. Примерно в 7,8% случаев определить первичную опухоль не представляется возможным.
Частота метастазирования различных опухолей в головной мозг (Б. В. Гайдар, Т. Е. Рамешвили)
Локализация опухоли Частота метастазирования Аденокарцинома бронха 50% Рак молочной железы 15% Меланома 10,5% Опухоли органов брюшной полости и таза 9,5% ЛОКАЛИЗАЦИЯ МЕТАСТАЗОВ В ГОЛОВНОЙ МОЗГ
Существуют разные типы расположения вторичных опухолей в полости черепа. Эти типы зависят от того, какие именно структуры поражены. Опухоли метастазируют:
1) В кости черепа
2) В твердую мозговую оболочку. Такой тип распределения вторичных опухолей характерен больше всего для аденокарциномы предстательной железы, светлоклеточного рака почки, меланомы.
3) В мягкую оболочку мозга (синонимы: карциноматозный менингит, карциноматоз мягкой оболочки мозга). Опухоли, чаще всего метастазирующие в мягкую мозговую оболочку: аденокарцинома бронха, молочной железы, желудка
4) Метастазы собственно в головной мозг, в паренхиму головного мозга.
- 80% всех вторичных опухолей локализуются в полушариях мозга
- 15% в мозжечке
- 5% в мозговом стволе
МЕХАНИЗМ РАСПРОСТРАНЕНИЯ ОПУХОЛЕЙ В МОЗГ
Существуют несколько путей распространения раковых клеток по организму. Чаще всего распространение опухоли происходит гематогенным путем (через артериальные кровеносные сосуды). Обычно вторичные опухоли происходят из внутрилегочных узлов (причем, это может быть и первичный рак, и метастаз в легкое). Реже происходит распространение опухолей позвоночника через венозную систему позвонков.
Большое значение в распространении опухолевого поражения имеет спинномозговая жидкость (ликворный путь). Таким образом метастазируют первичные опухоли спинного и головного мозга (медуллобластома, глиболастома, пинеобластома). Возможно также контактное распространение метастатической опухоли по мозговым оболочкам. В некоторых случаях встречается и лимфогенный путь распространения.
КЛИНИЧЕСКИЕ ПРОЯВЛЕНИЯ МЕТАСТАЗОВ В ГОЛОВНОЙ МОЗГ
Симптомы при метастазах в головном мозге может быть аналогичны таковым при первичных опухолях, выраженность симптоматики зависит от размера, локализации и количества метастазов, а также от типа их роста, сдавления окружающих мозговых структур, выраженности отека мозговой ткани и т. д.
Наиболее частые симптомы метастазов в головной мозг:
- Парезы и параличи
- Нарушение речи
- Нарушения сознания (помрачнение или отсутствие)
- Судороги (генерализованные или локальные)
- Нарушение психических функций
КТ-ПРИЗНАКИ МЕТАСТАЗОВ В ГОЛОВНОЙ МОЗГ
Как выглядят метастазы в головной мозг на компьютерной томографии (КТ)? Практически во всех случаях выявляется единичное (реже) либо множественные (чаще) объемные образования, которые отвечают следующим параметрам:
- Форма неправильная или сферическая
- Структура неоднородная, в центре очага может обнаруживаться область низкой плотности, обусловленная некрозом и распадом центральной части опухоли. По периферии — более плотный «ободок», который отражает активную часть опухоли, имеющую кровеносные сосуды и обладающую способностью к росту. Этот «ободок» окружен зоной низкой плотности, отражающей отек ткани мозга. Ширина данной зоны может быть различной — от нескольких мм до нескольких десятков см. Относительно однородная структура без наличия участка низкой плотности в центре и без перифокального отека. Такая структура метастаза свидетельствует о его относительной «доброкачественности»
- Отношение к прилежащим мозговым структурам. Очаги могут оказывать объемное воздействие различной степени выраженности на прилежащие отделы мозга, вызывая их смещение. Например, объемное образование в височной доле чаще всего приводит к выбуханию гиппокампа под намет мозжечка (височно-тенториальная дислокация), объемное образование мозжечка может воздействовать на мозговой ствол, приводя к его сдавлению, и т. д. Смерть при метастазах в мозг может наступить в результате сдавления мозгового ствола и нарушения дыхания и сердечной деятельности. В зависимости от локализации, вторичные очаги могут приводить к сдавлению церебральной ликворной системы, приводя к развитию окклюзионной гидроцефалии (резкому расширению центральных ликворных пространств на фоне повышения внутримозгового давления при окклюзии путей оттока ликвора из полости черепа)
- Тип роста. Метастазы могут обладать инфильтративным типом роста (расти, разрушая окружающие ткани) и экспансивным типом (расти, раздвигая окружающие ткани). В первом случае они чаще всего дают осложнения в виде кровоизлияния, то во втором обычно обуславливают возникновение дислокаций.
- Параметры контрастного усиления. Типичные вторичные опухоли в головном мозге увеличивают свою плотность в периферических отделах при внутривенном введении контраста, принимая вид «кольца», «полукольца», «спирали». Гораздо реже наблюдается равномерное контрастное усиление очага. Обычно центральная зона опухоли не усиливается, как и область перифокального отека.
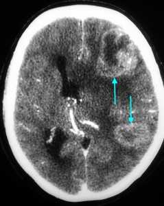
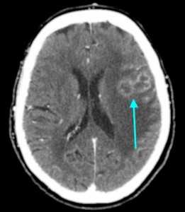
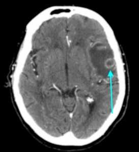
![image001]()
![image003]()
![image005]()
![image007]()
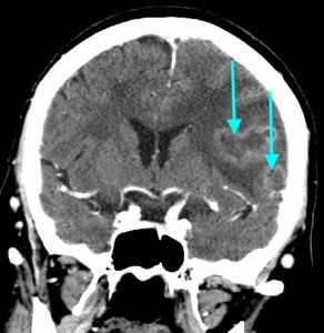
Метастазы головного мозга, фото. На КТ с контрастным усилением у пожилой пациентки (в верхнем ряду слева) с жалобами на головные боли выявлены множественные объемные образования в левом полушарии мозга, интенсивно накапливающие контрастное вещество. Образования имеют характерную форму в виде «кольца». На изображениях в нижнем ряду и вверху справа определяются множественные очаги в головном мозге: отчетливо видны округлые образования с более плотным «ободком» по периферии, располагающиеся в левой теменной доле.
МРТ-признаки метастазов в мозг
МРТ — более чувствительный и специфичный метод в выявлении метастазов ЦНС по сравнению с компьютерной томографией. Вторичные опухоли имеют ряд общих черт при МР-исследовании.
Т1 ВИ (без контрастного усиления)
- Изоинтенсивный либо умеренно гипоинтенсивный сигнал по отношению к белому веществу мозга от активной части опухоли
- Гипоинтенсивный сигнал от центральной зоны (некроза и распада)
Т2 ВИ
- Гиперинтенсивный сигнал от центрального участка метастаза
- Повышение интенсивности сигнала от отечных тканей мозга, окружающих вторичную опухоль, вследствие чего метастазы становятся более четкими на изображениях
МРТ с контрастным усилением
- Выраженное увеличение интенсивности сигнала
- Усиление сигнала по периферии в виде «кольца» или «короны»
- Помогает дифференцировать кровоизлияиния в метастаз от геморрагического инсульта (выраженное усиление сигнала на Т1 ВИ)
![image009]()
![image011]()
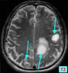
Метастазы головного мозга на МРТ. Фото. Определяются множественные метастазы в мозг при раке легкого: слева в режиме Т1-ВИ в виде гипоинтенсивных образований, справа — в режиме Т2-ВИ виде множественных участков повышенного сигнала, окруженных зоной перифокального отека. У пациента подтверждена первичная опухоль легкого.
Отдельно необходимо рассмотреть МР-признаки метастазов меланомы в головной мозг, которые обладают сигнальными характеристиками, отличающимися от других опухолей вследствие наличия меланина в структуре. Метастазы безамилоидной меланомы выглядят на МРТ аналогично метастазам других опухолей, описанным выше. На Т1-ВИ они имеют резко гиперинтенсивный (высокий, яркий) сигнал, а наТ2-ВИ — изо- либо гипоинтенсивный (пониженный) сигнал.
Позитронно-эмиссионная томография (ПЭТ) в диагностике вторичных опухолей ЦНС
Типичная картина вторичных очагов в головной мозг при ПЭТ — наличие зон повышенного захвата радиофармпрепарата (ФДГ — фтордезоксиглюкоза, либо препаратов меченых аминокислот, таких как метионин) с наличием очагов некроза, протяженных зон отека со сниженным захватом ФДГ.
![метастазы в мозг ПЭТ]()
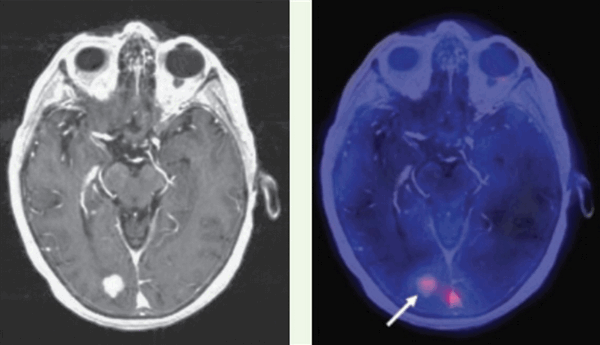
Как выглядят метастазы на ПЭТ-КТ? Здесь виден опухолевый очаг в правой затылочной доле, значительно накапливающий РФП (меченный радиоактивным фтором метионин). ПЭТ-КТ — метод, признанный «золотым стандартом» не только в выявлении метастазов в мозг, но и позволяющий достоверно отличить их от других образований (кисты, абсцессы, гематомы, каверномы и т.п.). От тщательного анализа ПЭТ зависит результат диагностики.
ДИФФЕРЕНЦИАЛЬНАЯ ДИАГНОСТИКА МЕТАСТАЗОВ В ГОЛОВНОЙ МОЗГ
Одиночные метастазы необходимо отличать от абсцесса, паразитарной кисты, первичной опухоли мозга, лакунарного ишемического инсульта, геморрагического инсульта, рассеянного склероза при обострении процесса. С этой целью необходимо принимать во внимание анамнез заболевания, наличие первичной опухоли другого органа, а также данные методов лучевой диагностики. На первый план выходит не только качество аппаратуры, но профессионализм рентгенолога, оценивающего снимки. Иногда отличить метастазы мозга от других образований бывает сложно, поэтому приходится прибегать к помощи Второго мнения.
ПРОГНОЗ И ПРОДОЛЖИТЕЛЬНОСТЬ ЖИЗНИ У ПАЦИЕНТОВ С МЕТАСТАЗАМИ В ГОЛОВНОЙ МОЗГ
В целом, прогноз при выявлении метастазов в головной мозг является неблагоприятным. Тот факт, сколько живут пациенты с метастазами в головном мозге, во многом зависит от наличия острой симптоматики, обусловленной следующими моментами:
- Сдавление, дислокации и вклинения структур головного мозга
- Вторичный ишемический инсульт либо кровоизлияние
- Перекрытие путей оттока ликвора и развитие внутричерепной гипертензии
- Прорастание в оболочки мозга и кости
- Прорастание опухоли в сосуды мозга
При наличии хотя бы одного из состояний, перечисленных выше, возникает значительный риск для жизни пациента. Наоборот, при отсутствии осложнений, продолжительность жизни даже при наличии метастазов в мозге может быть достаточно длительной и достигать нескольких лет.
МЕТАСТАЗЫ ГОЛОВНОГО МОЗГА — ЛЕЧЕНИЕ
Как лечить метастазы в головной мозг?
1) Хирургическое лечение — удаления образования из ткани мозга может быть показано в случае одиночной опухоли. Решение о том, прибегать или нет к такому лечению, принимает только нейрохирург.
2) Химиотерапия. Адекватно подобранное химиолечение способно значительно увеличить продолжиьтельность жизни даже при отсутствии радикального удаления опухоли. Тип выбранного препарата зависит от гистологического типа первичной опухоли и подбирается химиотерапевтом.
3) Облучение головного мозга при метастазах дает хорошие результаты при наличии хорошей аппаратуры и отсутствии противопоказаний. Вариантами лучевой терапии являются кибернож и гамма-нож. Фактически, здесь речь идет о лучевой хирургии: направленный пучок излучения разрушает патологическую ткань. Показания к этому методу определяются совместно лучевым терапевтом и нейрохирургом.
ВТОРОЕ МНЕНИЕ
Повторная расшифровка результатов КТ или МРТ при метастазах имеет смысл при сомнениях в диагнозе, при необходимости экспертной оценки, при выборе специализированного лечения. Консультирование снимков специализированными рентгенологами в сложных или онкологических случаях стало частью дорогостоящего лечения за рубежом. В России действует Национальная телерадиологическая сеть — служба удаленных консультаций ведущих диагностов, с помощью которой можно получить альтернативное заключение по исследованию (КТ, МРТ или ПЭТ).
Василий Вишняков, врач-радиолог
Читайте также:







