Диагностика метастаза в легочную артерию, опухолевого эмбола на КТ, МРТ
Добавил пользователь Евгений Кузнецов Обновлено: 10.01.2026
Компьютерная томография — один из самых чувствительных и распространенных методов диагностики метастазов в легкие. Это исследование позволяет выявить очаги опухоли меньше 1 мм в диаметре. Более чувствительным и специфичным методом является только ПЭТ/КТ, но он меньше распространен, дороже и сложнее в применении.Для выявления мелких очагов лучше использовать спиральную компьютерную томографию. Чтобы определить метастазы в легкие, контрастное усиление не является обязательным, но может быть полезным для дифференцировки легочных сосудов и лимфоузлов при их вторичном поражении.
МЕТАСТАЗЫ В ЛЕГКИЕ: КЛАССИФИКАЦИЯ
Вторичные легочные узлы можно классифицировать по следующим критериям:
Способ распространения
Выделяют гематогенные метастазы, и лимфогенные метастазы, симптомы и прогноз при которых обычно хуже, чем при гематогенных. В первом случае опухолевые клетки попадают в ткань органа с током крови, во втором случае — с током лимфы, например, при раке молочной железы.
Выделяют также контактные метастазы, возникающие при непосредственном прорастании в легочную ткань рака пищевода, гортани, трахеи и других органов. Крайне редко встречаются аспирационные метастазы, возникающие при вдыхании частиц опухоли гортани, глотки, языка, полости носа или рта.
Сделать КТ грудной клетки в Санкт-Петербурге
Источник метастазирования
Наиболее часто в легкие метастазируют рак почки, скелета, молочной железы; встречаются также метастазы саркомы, семиномы. Не существует достоверных КТ-признаков, позволяющих уверенно отличить отсевы одного типа рака от другого — например, вторичный узел при саркоме от такового при раке молочной железы. Пожалуй, исключением являются редкие метастазы липосаркомы, которые имеют «жировую» плотность на компьютерных томограммах — в пределах -50…-100 единиц Хаунсфилда.
Частота метастазирования опухолей различной локализации в легкое (по данным Розенштрауха Р. В.)
| Первичная опухоль | Частота (%) |
| Хориоэпителиома | 55,4 |
| Рак почки | 34,7 |
| Остеосаркома | 32,3 |
| Семинома | 21,5 |
| Меланома кожи | 20,5 |
| Рак молочной железы | 15,7 |
| Рак легкого | 6,6 |
| Карцинома толстого кишечника | 5,6 |
| Рак матки, саркома матки | 4,2 |
| Рак желудка | 1,6 |


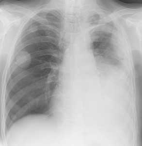
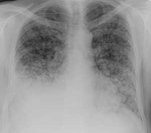
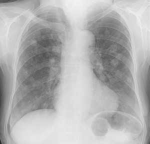
Метастазы в легких — фото рентгенограммы. Округлые тени — метастазы рака пищевода. Хорошо виден большой узел округлой формы вблизи переднего отрезка 2-го ребра. На снимке справа - циркулярное сужение пищевода за счет опухолевого утолщения его слизистой оболочки.


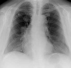
Как выглядят метастазы в легких на рентгене? Слева — узловые образования у пациента с раком яичка. Справа - метастазы рака яичников гематогенного характера с выраженным опухолевым лимфангиитом (обратите внимание на деформированный сетчатый, линейный характер легочного рисунка).
МЕТАСТАЗЫ В ЛЕГКИХ: КЛИНИЧЕСКИЕ СИМПТОМЫ И ПРИЗНАКИ
В подавляющем большинстве случаев вторичные опухоли протекают бессимптомно, по крайней мере, до тех пор, пока не произойдет прорастание в просвет бронха, в плевру, средостение, перикард или сосуды, метастазирование в лимфоузлы средостения. Пациенты предъявляют жалобы на симптомы раковой интоксикации, которые, впрочем, могут быть обусловлены также наличием первичной опухоли.
Одними из первых симптомов являются кашель, одышка, боли в грудной клетке. Наличие крови в мокроте - неблагоприятный признак, который свидетельствует о прорастании бронха опухолью.
Имеет место определенная зависимость между клиническими проявлениями и органной принадлежностью метастазов. Так, по данным Н. И. Рыбаковой, одышка была выявлена в 13% случаев, при этом у большинства пациенток была опухоль молочной железы.
Боли в груди могут быть ранним признаком при субплевральной локализации вторичных очагов.
Рак груди метастазирует лимфогенно в лимфатические узлы средостения, которые, увеличиваясь, нарушают кровообращение. Кроме этого, при раке груди часто возникает опухолевый плеврит. В совокупности эти факторы провоцируют развитие выраженной одышки.
КАК ПОНЯТЬ, ДЕЙСТВИТЕЛЬНО ЛИ В ЛЕГКИХ МЕТАСТАЗЫ?
Иногда дифференциальная диагностика вторичных поражений легких бывает очень сложной и требует глубоких знаний рентгенодиагностики органов грудной клетки. Наиболее профессионально этим занимаются в специализированных легочных учреждениях, например в Санкт-Петербургском НИИ фтизиопульмонологии. Поэтому при сомнениях в диагнозе врачи рекомендуют получить Второе мнение — повторное описание диска КТ, МРТ или рентгенографии с целью подтверждения или опровержения диагноза, а также более точной и детальной оценки изменений. Такую консультацию можно получить с помощью службы консультаций НТРС, которая объединяет известных врачей-диагностов из профильных центров России.
Ниже подробно рассматриваются лучевые признаки легочных метастазов.
КТ-ПРИЗНАКИ МЕТАСТАЗОВ В ЛЕГКИЕ
Метастазы чаще всего представлены узловыми образованиями в легочной ткани вне строгой связи с легочными артериями или венами. Для них характерны следующие КТ-признаки:
Вторичные узлы гематогенного характера чаще всего имеют ровные края, четкие контуры и однородную структуру. Возможны изменения структуры опухоли вследствие кровоизлияния в паренхиму, обызвествлений, некроза центральной части узла, а также рубцов. Края узла могут стать нечеткими, расплывчатыми, если опухоль провоцирует отек легочной паренхимы, либо «лучистыми», если имеет место опухолевый лимфангиит.


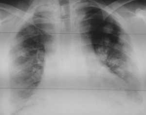
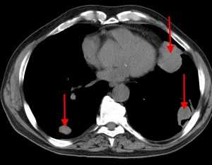
Слева - рак почки с метастазами в легкие, прогноз в данном случае неблагоприятный ввиду метастатического плеврита и дыхательной недостаточности. Определяются очаги с обеих сторон. Справа - мелко- и среднеочаговая диссеминация при раке печени.

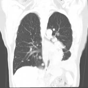
Множественные гематогенные вторичные узлы при раке почки, компьютерная томография (КТ).
Лимфогенные метастазы на рентгене и КТ выглядят как множественные мелкие очаги с диссеминированным распространением, локализованные в междольковых перегородках, в плевральных листках. Вокруг можно видеть характерную картину ракового лимфангиита. Кроме того, практически всегда выявляются патологически измененные и увеличенные лимфатические узлы средостения. Лимфогенное метастазирование необходимо дифференцировать с милиарным туберкулезом, саркоидозом. Иногда это требует привлечения Второго мнения.


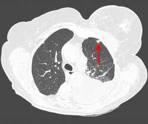
КТ: метастазы в легких при раке молочной железы. На изображении справа красной звездочкой отмечен опухолевый узел в молочной железе, красными стрелками - область прорастания опухоли в грудную стенку. Синими звездочками отмечен карциноматозный плеврит — скопление жидкости в плевральной полости. Слева стрелкой отмечен вторичный узел.
Контактные метастазы представлены мягкотканным объемным образованием, прорастающим из сопредельного органа. Это может быть пищевод, трахея, гортань, реже опухоль исходит из плевры (мезотелиома), диафрагмы, ребер, позвонков.


Пример контактного распространения опухоли: мезотелиома плевры, прорастающая в верхнюю легочную долю и грудную стенку. Спиральная компьютерная томография (МСКТ).
Чаще всего метастазы выглядят как множественные очаги. Одиночные вторичные узлы крайне редки и встречаются меньше чем в 5% случаев. Чем больше узлов выявлено, тем выше вероятность их метастатической природы. Одиночный метастаз нужно дифференцировать с первичным раком, для этого обычно требуется тканевое исследование после оперативного вмешательства или биопсии.
Гематогенные метастазы наиболее часто локализуются в периферических отделах легких, вдали от крупных сосудисто-бронхиальных пучков, вблизи плевральной оболочки. При множественных поражениях гематогенного характера наблюдается тенденция к увеличению количества очагов в направлении «сверху-вниз». Чаще гематогенные метастазы расположены хаотично, вне четкой связи с бронхами и видимыми легочными сосудами. Практически не бывает такого, чтобы гематогенные вторичные узлы находились только с одной стороны, или занимали только одну долю или сегмент. При наличии такого распределения в первую очередь нужно думать о туберкулезе (верхние доли), множественных абсцессах и т. д.
Лимфогенные метастазы проявляются увеличением лимфатических узлов средостения в сочетании с мелкоочаговой диссеминацией с очагами до 2-3 мм в диаметре вблизи плевры и в междольковых перегородках, а также по ходу бронхов и сосудистых пучков.


Гематогенные метастазы саркомы мягких тканей бедра на КТ (справа) и рентгенограмме (слева).
Контактные метастазы обычно единичны и располагаются на границе с другими органами, реже со стороны диафрагмы.
Отдельно рассматриваются метастазы первичного рака легкого - гематогенного и лимфогенного характера. Гематогенные могут быть локализованы на стороне поражения или с обеих сторон. Лимфогенные — в лимфоузлах корня на стороне поражения, а также на противоположной стороне. Чем дальше расположены метастазы от основной опухоли, тем хуже прогноз.

Обратите внимание на увеличение и нарушение структуры корня правого легкого. Это центральный рак. Кроме того, выявлены очаговые тени в обоих легочных полях (гематогенное распространение), а также «лучи», идущие радиально от опухоли корня (лимфогенное распространение).
КАК ОТЛИЧИТЬ МЕТАСТАЗЫ В ЛЕГКИХ ОТ САРКОИДОЗА ИЛИ ТУБЕРКУЛЕЗА?
Крайне важно уметь отличить на КТ-изображениях метастазы в легких и следующие очаговые образования:
Первичными злокачественными опухолями
- первичным периферическим раком
- бронхиоло-альвеолярным раком
- лимфомой, саркомой Капоши
Доброкачественными опухолями
Гранулематозами
Воспалительными заболеваниями
- септической очаговой пневмонией и множественными абсцессами
Сосудистыми аномалиями
Нормальными анатомическими образованиями
Отличительные признаки гематогенных метастазов при компьютерной томографии (КТ)
Сделать КТ легких в Санкт-Петербурге
Василий Вишняков, врач-радиолог
Кандидат медицинских наук, член Европейского общества радиологов
2 комментария много:
Dorogoi Pavel! zdravstvuite. u menia takoi diletantni vopros k vam . u moego sina posle lechenia seminomi:bili sdelani dve operacii, pravaia orxeqtomia, potom ximioterapia BEP , potom nabludenie 3-x mesiachnoe,
posle, nabludenia okazalos odin limfouzel stal progressirovat a dva naoborot umenshilis. potom spomoshu
laparaskopii dlia diagnostiki udalili limfadenopatiu i sdelali imunohistologiu, kotori pokazal
opiat metastaz seminomi,i pozitivnie kletki razmnojenia 40%-ov. posle naznachili luchevuu terapiu
i cheraz dva mesiaca pozavchera sdelali kate. kate pokazal metastazi v liogkix i vseredinke
shei , a v jivote tishina , limfouzli unichtojilis.
za ves etot period nekogda v liogkix nichego ne bilo, bilo vsio chisto, i vse organi chistii v chom mi vo vremia lechenii dopustili oshibku, i mojno ili net, chtobi sdelali operaciu peresadki moegoego liogkogo,
moemu sinu, i u oboix budet odno liogkoe. ogromnoe spasibo zaranee
Тромбоэмболия легочной артерии
Тромбоэмболией легочной артерии (ТЭЛА) называется состояние закупорки легочной артерии или её ветвей тромбами, которые образуются чаще в крупных венах нижних конечностей или правых камерах сердца, и приносятся в легочную артерию с током крови. Более широкий термин «легочная эмболия» означает закупорку сосуда любыми другими возможными субстанциями наряду с тромбом (воздушная эмболия, жировая эмболия, опухолевая эмболия и т.д.). Отсутствие кровотока по закупоренному сосуду приводит через определенное время к инфаркту легкого — некрозу пораженного участка.
Клинические проявления тромбоэмболии легочной артерии (ТЭЛА) впервые были описаны в начале 19 века; впервые связь между венозным тромбозом и ТЭЛА была обозначена фон Вирховым. В 1922 г. Уортон и Пирсон сообщили, что впервые описали рентгеновские признаки ТЭЛА.
Сделать КТ легочных артерий в Санкт-Петербурге
Существуют три основных фактора, предрасполагающих к формированию тромбов, которые также называются триадой Вирхова:
Повреждение эндотелия сосудов.
Стаз или турбулентный ток крови.
Повышенная свертываемость крови.
В более чем 90% случаев тромбы возникают в крупных глубоких венах нижних конечностей, обычно в подколенной вене и крупных венах, расположенных выше. Патофизиологические последствия во многом зависят от состояния сердечно-сосудистой системы, размера эмбола, которым, соответственно, определяется калибр легочной артерии, где происходит закупорка.
Насколько опасна тромбоэмболия?
Опасное состояние, угрожающим жизни пациента и требующим незамедлительных шагов по диагностике и лечению. Летальность, составляет приблизительно 2-6% у пациентов со стабильной гемодинамикой, и достигает 30% и больше у пациентов с нарушениями гемодинамики. С внедрением КТ-ангиографии уровень летальности пациентов, у которых была выявлена ТЭЛА, снизился с 5,7% до 3,3%.
Методы диагностики тэла
Лучевые методы исследования играют важную роль в диагностике ТЭЛА. В течение многих лет основным методом визуализации при исследовании пациентов с этим диагнозом была вентиляционно-перфузионная сцинтиграфия. Однако, в связи с появлением и общедоступностью более быстрых компьютерных томографов, компьютерная томография стала важным методом диагностики не только ТЭЛА, но и тромбоза глубоких вен нижних конечностей.
У пациентов с подозрением на этот диагноз выполняется рентгенография органов грудной клетки; при обнаружении патологических изменений требуется выполнение спиральной КТ, если патологических изменений не выявлено, выполняется вентиляционно-перфузионная сцинтиграфия. Количественный анализ на D -димер, согласно результатам исследований, характеризуется высокой прогностической ценностью отрицательного результата, и в некоторых случаях позволяет исключить необходимость выполнения КТ-ангиографии.

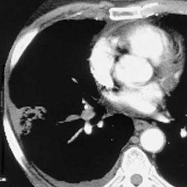
КТ-признаки ТЭЛА. На КТ-ангиограмме, выполненной 53-летнему пациенту, визуализируется внутрипросветный дефект наполнения; имеет место окклюзия артерии переднего базального сегмента нижней доли правого легкого. Определяются также признаки инфаркта правого легкого в виде участка консолидации треугольной формы, широким основанием обращенного к плевре (бугорок Хэмптона).
Традиционная ангиография легочных артерий, выполняемая в условиях рентген-операционной, является инвазивным, долгим, и более дорогим методом исследования. Эта процедура имеет ограниченное применение и должна используется только у пациентов, у которых другие методики не позволяют установить диагноз. У пациентов с подозрением на тромбоз глубоких вен обследование должно начинаться с УЗИ нижних конечностей.
В условиях повышенного риска ухудшения состояния пациента важное значение имеет правильная интерпретация лучевых исследований. В сложных и противоречивых случаях может помочь повторный анализ результатов КТ профильным специалистом: такая консультация повышает точность диагностики и снижает риск диагностической ошибки. В России существует служба удаленных консультаций радиологов — Национальная телерадиологическая сеть.
ОГРАНИЧЕНИЯ МЕТОДОВ ДИАГНОСТИКИ
Метод вентиляционно-перфузионной сцинтиграфии может не показывать достоверных признаков ТЭЛА.
Для проведения спиральной КТ-ангиопульмонографии необходимо использование йодсодержащего контрастного вещества, что может быть невозможно у пациентов с нарушенной функцией почек или аллергическими реакциями на контрастный препарат.
При КТ-ангиографии могут быть пропущены мелкие тромбы в субсегментарных ветвях легочных артерий. Поэтому оценить тромбоэмболию мелких ветвей по КТ бывает сложно.
По сравнению с КТ, выполнение традиционной субтракционной ангиографии (DSA) требует большей компетентности и специальных знаний со стороны персонала. Также этот метод является инвазивным, более дорогим, менее доступным и требующим значительных затрат времени. К тому же, центральные муральные тромбы, легко различимые на КТ, могут быть пропущены при традиционной ангиопульмонографии.
Рентгенография легких при тэла
Патологические изменения на рентгенограммах органов грудной клетки обнаруживаются в большинстве случаев ТЭЛА, однако не являются специфическими. Наиболее часто определяющиеся на рентгенограммах патологические изменения включают в себя ателектаз (спадение) части легкого, плевральный выпот, снижение прозрачности легочной ткани, а также высокое стояние правого или левого купола диафрагмы. Классическими рентгеновскими признаками инфаркта легкого является наличие затемнения клиновидной (треугольной) формы, широким основанием обращенного к плевре, верхушка которого направлена к корню легкого (бугорок Хэмптона), либо уменьшение выраженности сосудистого легочного рисунка в зоне тромбоэмболии (симптом Вестермарка).
Другими изменениями на рентгенограммах, обнаруживаемыми при ТЭЛА, являются расширение центральной легочной артерии с резким ее обрывом - «обрубленные корни», увеличение размеров сердца (особенно его правых отделов), а также признаки отека легких. Эти изменения могут сочетаться с острой клинической симптоматикой легочного сердца. Отсутствие изменений на рентгенограмме органов грудной клетки у пациента с выраженным нарушением дыхания и гипоксемией, но без признаков бронхоспазма, либо атипичного кровотока в сердце, крайне подозрительно на ТЭЛА. В целом, рентгенография органов грудной клетки не может использоваться для того, чтобы подтвердить или опровергнуть диагноз ТЭЛА; тем не менее, рентгенография и ЭКГ могут быть полезны для подтверждения альтернативного диагноза.
Компьютерная томография (КТ) в диагностике тэла
Техническое развитие метода КТ, особенно, появление и внедрение мультидетекторных аппаратов (МСКТ), привело к тому, что компьютерная томография стала важным методом диагностики при подозрении на ТЭЛА. КТ с контрастным усилением все чаще используется в качестве первичного метода исследования при ТЭЛА, особенно у тех пациентов, у которых при рентгенографии органов грудной клетки были выявлены патологические изменения, а результаты сцинтиграфического исследования не представляют диагностической ценности.
При КТ-ангиопульмонографии можно визуализировать эмболы непосредственно, к тому же, этот метод является неинвазивным и несложным в применении. В последние годы компьютерные томографы установлены почти во всех крупных стационарах, поэтому метод является относительно доступным. Также, КТ позволяет получить дополнительную информацию касательно альтернативного диагноза, что является большим преимуществом этого метода диагностики перед классической ангиопульмонографией и сцинтиграфией.

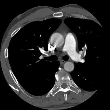
Спиральная КТ с контрастным усилением позволяет законтрастировать просвет легочных сосудов и увидеть тромб в их просвете. У молодого мужчины после межконтинентального перелета возникла острая боль в груди и нарушение дыхания. КТ визуализирует тромб в артерии переднего сегмента верхней доли левого легкого ( LA 2) и артерии переднего сегмента верхней доли правого легкого ( RA 2).

КТ при хронической тромбоэмболии у 69-летнего пациента с легочной артериальной гипертензией. На томограмме визуализируется пристеночный тромб с наличием точечных кальцинатов, располагающийся параллельно передней стенке правой нижней междолевой артерии.
В большинстве случаев, когда на КТ обнаруживаются положительные признаки ТЭЛА, эмболы являются множественными, а внутрипросветные дефекты наполнения сосудов (дефекты контрастирования) визуализируются в более крупных центральных артериях, а также в сегментарных и субсегментарных сосудах. Чаще всего эмболы обнаруживаются с обеих сторон и локализуются в нижнедолевых артериях. Явный дефект наполнения в единственном сегментарном или (особенно) субсегментарном сосуде бывает сложно распознать. Необходимо учитывать, что за дефект наполнения субсегментарной артерии могут приниматься артефакты, связанные с эффектом частичного объема.
Поскольку тромбоз глубоких вен и ТЭЛА являются частными моментами единого заболевания, после КТ-ангиопульмонографии может выполняться КТ-венография без дополнительного введения контрастного вещества. При этом время исследования увеличится всего лишь на несколько минут.
Сделать КТ-ангиопульмонографию в Санкт-Петербурге
Возможные ошибки КТ в диагностике тэла
Что касается ТЭЛА крупных (центральных) ветвей легочных артерий, то чувствительность спиральной КТ в обнаружении тромбоэболии приближается к 100%. Что же касается субсегментарных и мелких ветвей, здесь чувствительность колеблется от 5% (согласно результатам исследования PIOPED ) до 36% в других исследованиях. Истинное значение мелких эмболов точно не подтверждено, тем не менее, тромбоэмболия мелких ветвей легочных артерий может иметь клиническое значение у пациентов с ограниченным кардиопульмональным резервом.
Традиционная ангиопульмонография позволяет более детально оценить субсегментарные сосуды по сравнению с КТ, однако, наложения, возникающие при визуализации мелких сосудов, остаются ограничивающим фактором. В результате, согласованность данных различных исследований для изолированной субсегментарной ТЭЛА составляет только 45%.
Согласно результатам исследований, благоприятный клинический исход достигался у пациентов (с прогностической ценностью отрицательного результата, равной 99%), у которых результаты КТ были интерпретированы как отрицательные в отношении ТЭЛА, и которым не проводилась антикоагуляционная терапия либо катетерный тромболизис. Исход был аналогичен таковому у пациентов, у которых имелось клиническое подозрение, но эмболы не были обнаружены при легочной ангиографии. Следовательно, несмотря на то, что некоторые мелкие эмболы могут быть пропущены на КТ, уровень заболеваемости, обусловленной ТЭЛА, не является высоким.
Современные мультидетекторные компьютерные томографы характеризуются значительно более высокой скоростью сканирования, позволяя выполнять тонкосрезовую (1,25 мм) спиральную КТ-ангиопульмонографию во время непродолжительной задержки дыхания (10-15 секунд). При этом сегментарные и субсегментарные сосуды становятся лучше различимыми, изменения легче интерпретировать; улучшается также согласованность результатов различных исследований.
И, хотя применение МСКТ увеличивает диагностические возможности, большое количество данных (так, при КТ-ангиопульмонографии с использованием тонких срезов, выполненной на томографе с 16 рядами детекторов, получается 500-600 срезов) приводит к повышению нагрузки на любую систему, предназначенную для анализа и архивирования информации. В будущем, появление автоматических алгоритмов обнаружения и более широкое использование реконструкций с использованием проекций максимальной интенсивности ( MIP ) будет полезно для идентификации эмболов в легочных артериях на основании большого объема данных, полученных при МСКТ.
Возможные ошибки при интерпретации результатов КТ обусловлены эффектом частичного объема: наложением периваскулярных мягких тканей, зон ветвления бронхов, и кровеносных сосудов, идущих не в вертикальном направлении. Так, лимфоидная и соединительная ткань, расположенная преимущественно вблизи крупных сосудов, между артерией и стенкой бронха, может быть ошибочно принята за тромб.
Артефакты, обусловленные током крови и движением, могут приводить к возникновению ложных дефектов наполнения: вероятность их наличия необходимо учитывать при оценке качества исследования и анализе полученных данных. Ложные дефекты наполнения, обусловленные током крови, могут также возникать при КТ-венографии, обуславливая ложноположительный результат.
МРТ в диагностике ТЭЛА
Согласно результатам небольшого количества исследований, МРТ можно использовать в диагностике ТЭЛА. В то же время, применение МРТ ограничено; этот метод используется в основном для пациентов с нарушением функции почек или при наличии противопоказаний к введению йодсодержащих контрастных веществ. Применение новейших интраваскулярных контрастных средств и методов, нивелирующих помехи от дыхательных движений, позволяет сделать роль МРТ в диагностике ТЭЛА более значимой.
С целью оценки чувствительности и специфичности МР-ангиографии изолированно и в сочетании с МР-венографией при диагностике ТЭЛА и тромбоза глубоких вен было проведено мультицентровое исследование PIOPED III . Это исследование - первая масштабная попытка оценки использования МРТ для диагностики ТЭЛА. Согласно выводам, полученным в результате исследования, технически правильно выполненная МР-ангиопульмонография изолированно характеризуется чувствительностью 78% и специфичностью 99%, в то время как комбинация МР-ангиопульмонографии и МР-венографии показывает чувствительность, равную 92%, и специфичность 96%, но в то же время у 52% пациентов (у 194 из 370) полученные результаты были некорректны из-за технических причин. По итогам исследования PIOPED III был сделан вывод, что, несмотря на преимущества МРТ, неправильная техника выполнения исследования у 25% всех пациентов ограничивает широкомасштабное применение МР-ангиопульмонографии и МР-венографии в диагностике ТЭЛА.
Сцинтиграфия и ангиография при ТЭЛА
В многоцентровом исследовании PIOPED (1990 г.) изучалось применение вентиляционно-перфузионной сцинтиграфии и ангиопульмонографии; было обнаружено, что нормальные результаты вентиляционно-перфузионной сцинтиграфии практически исключают ТЭЛА, а изменения высокой степени достоверности практически подтверждают диагноз. Тем не менее, диагноз ТЭЛА был подтвержден либо исключен только лишь у 174 пациентов из 713 (24%) - у тех, клинические симптомы которых четко соотносились с изменениями на сканах. У большинства пациентов, в т. ч., у тех, у кого имелись сердечно-легочные заболевания, лежащие в основе возникновения ТЭЛА, результаты вентиляционно-перфузионной сцинтиграфии были сомнительными либо не имели диагностической ценности, что требовало выполнения дополнительных исследований. Исходя из этого, у пациентов с наличием патологических изменений на рентгенограммах органов грудной клетки, предпочтительным первичным скрининговым методом диагностики оказывается КТ, а не сцинтиграфия.
Лечение тэла
Основным лечением тромбоэмболии является применение антикоагулянтов, препятствующих свертыванию крови. Антикоагулянты предотвращают образование тромбов и снижают риск развития новых сгустков.
В более тяжелых случаях могут потребоваться другие методы лечения, направленные на устранение или удаление имеющихся тромбов. Это достигается с помощью тромболитиков, или, реже, хирургическим вмешательством.
Около половины всех случаев легочной эмболии встречаются у пациентов, уже находящихся на стационарном лечении. Если на время обнаружения эмболии пациент еще не находится в больнице, требуется экстренная госпитализация.
При своевременно начатом лечении прогноз при ТЭЛА намного более благоприятный, хотя в целом летальность сохраняется довольно высокой.
Необходимым условием успешного лечения является точная диагностика. При неоднозначных или противоречивых результатах КТ полезным может быть второе мнение.
Метастатические опухоли мозга
Метастатические опухоли мозга - вторичные очаги, возникающие вследствие местного агрессивного роста, гематогенного и лимфогенного метастазирования злокачественных новообразований других локализаций. У 30% больных протекают бессимптомно. В остальных случаях опухоли головного мозга проявляются головными болями, головокружениями, тошнотой, рвотой, очаговой симптоматикой, психическими и эмоциональными нарушениями. При поражении спинного мозга возникают боли, чувствительные и двигательные расстройства. Диагноз выставляется с учетом анамнеза, симптомов, КТ, МРТ и других исследований. Лечение - радиотерапия, реже оперативное удаление или химиотерапия.


Общие сведения
Метастатические опухоли мозга - группа злокачественных новообразований различного происхождения, возникших в спинном либо головном мозге в результате распространения клеток первичной опухоли. Метастазы в головной мозг выявляются у каждого пятого онкологического больного. Метастатическое поражение спинного мозга по различным данным наблюдается у 30-70% пациентов. По данным исследователей, вторичные поражения ЦНС встречаются примерно в 10 раз чаще первичных.
Пик заболеваемости приходится на 50-70 лет, мужчины и женщины страдают одинаково часто. Иногда симптомы метастатической опухоли мозга становятся первым сигналом о появлении другого новообразования. К примеру, 10% пациентов с раком легких впервые обращаются за помощью из-за возникновения неврологических расстройств. Прогноз обычно неблагоприятный, вторичное поражение мозга является одной из ведущих причин смертности при злокачественных опухолях. Лечение осуществляют специалисты в сфере онкологии и неврологии.

Причины
Метастазы в ЦНС могут возникать при злокачественных новообразованиях любой локализации. От 30 до 60% от общего количества метастатических опухолей мозга появляются при раке легких, от 20 до 30% - при новообразованиях молочной железы. Третье место по распространенности занимают метастазы при меланомах (10%), четвертое - при раке толстого кишечника (5%). Реже метастатические опухоли мозга встречаются при лимфомах, саркоме и новообразованиях щитовидной железы.
Иногда причиной вторичных процессов в головном мозге становится инфильтративный рост новообразований назофарингеальной области. Вторичное поражение спинного мозга в результате агрессивного роста первичного очага может выявляться при новообразованиях позвонков, абдоминальной форме лимфомы Беркитта и других объемных процессах, локализующихся рядом со спинномозговым каналом. В числе редких онкологических заболеваний, иногда осложняющихся метастатическими опухолями мозга - тератома яичка и хориокарцинома. По неизвестным причинам в мозг редко метастазируют злокачественные опухоли яичников, шейки матки и мочевого пузыря.
80% метастатических опухолей головного мозга располагаются в зоне больших полушарий, 15% - в мозжечке, 5% - в стволе мозга. Большинство вторичных очагов в спинном мозге локализуются на уровне нижних грудных либо верхних поясничных позвонков. Поражения твердой мозговой оболочки составляют около 10% от общего количества метастатических опухолей мозга. Более 70% метастазов множественные, что ухудшает прогноз. Гистологическое строение вторичной опухоли - как у первичного новообразования. Симптомы обусловлены как непосредственным давлением узла на нервные структуры, так и перифокальным отеком окружающих тканей.
Симптомы метастатических опухолей головного мозга
Метастатическая опухоль мозга проявляется головными болями, головокружениями, тошнотой, рвотой, припадками, нарушениями сознания, сенсорными расстройствами и очаговой неврологической симптоматикой. Возможны психические и эмоциональные нарушения: эмоциональная неустойчивость, сонливость, заторможенность, когнитивные расстройства, личностные изменения и т. д. Выраженность симптомов метастатической опухоли мозга сильно варьирует - от незначительных нарушений памяти или настроения до тяжелых эпиприпадков.
Распирающие головные боли, тошнота и расстройства сознания свидетельствуют о повышении внутричерепного давления. Особенно упорная тошнота наблюдается у детей. У 30% больных метастатическими опухолями мозга выявляются эпилептиформные судороги, от них страдают преимущественно люди старше 45 лет. Очаговая симптоматика различается. Возможны снижение либо потеря чувствительности, нарушения зрения, нарушения слуха, параличи и парезы конечностей. Расстройства возникают на стороне, противоположной расположению метастатической опухоли мозга.
Динамика неврологических расстройств также различается. У одних пациентов наблюдается постепенное усугубление нарушений, у других расстройства развиваются внезапно, по типу инсульта. Причиной внезапного появления симптомов может стать кровоизлияние в метастатическую опухоль мозга либо эмболия сосуда фрагментом новообразования. Иногда наблюдается ремитирующее течение заболевания, при котором очаговые и внемозговые нарушения волнообразно усиливаются и ослабевают.
Симптомы метастатических опухолей спинного мозга
Первым проявлением метастатической опухоли мозга обычно становятся боли. Вначале болевой синдром неинтенсивный и непостоянный, возникает только при кашле и резких движениях. В последующем боли усиливаются, появляются спонтанно, беспокоят постоянно, не исчезают даже после сна или продолжительного отдыха. Выявляются прогрессирующие нарушения чувствительности и двигательные расстройства. Развивается гиперестезия, сменяющаяся гипестезией, а затем анестезией.
Пациенты с метастатическими опухолями мозга отмечают мышечную слабость и быструю утомляемость при физических нагрузках. Со временем мышечная слабость переходит в парезы, а парезы - в параличи. Зона чувствительных и двигательных нарушений определяется уровнем и локализацией метастатической опухоли мозга. При поражении боковых отделов может выявляться синдром Броун-Секара. При опухолях в задних либо передних отделах обычно наблюдаются симметричные расстройства.
При поражениях шейного отдела возникает спастическая тетраплегия, при новообразованиях грудного отдела - спастическая нижняя параплегия, при процессах в поясничном отделе - вялая нижняя параплегия, при метастазах в зоне крестца - паралич мышц-сгибателей нижних конечностей. Для всех метастатических опухолей мозга характерны нарастающие тазовые расстройства. Возможно быстрое образование пролежней, особенно - при поражении нижних отделов спинного мозга.
Диагностика метастатических опухолей мозга
Диагноз устанавливается онкологом и нейрохирургом с учетом клинических проявлений и данных дополнительных исследований. Важную роль играют анамнестические данные: подозрение на злокачественную опухоль либо наличие уже диагностированного новообразования внемозговой локализации, а также состояние после оперативного или консервативного лечения по поводу данной патологии. Необходимо учитывать, что иногда симптомы метастатической опухоли мозга становятся первым проявлением патологического процесса в другом органе.
Настораживающими признаками в отношении новообразований головного мозга являются головные боли, тошнота, эпилептиформные припадки (обнаруживаются у 35% пациентов) и прогрессирующая очаговая симптоматика. Подозрение на вторичный процесс в спинном мозге возникает при продолжительных нарастающих болях, двигательных и чувствительных нарушениях и расстройствах деятельности тазовых органов. Основные инструментальные методы диагностики метастатических опухолей мозга - КТ и МРТ. Обычно исследования начинают с более доступной КТ головного мозга и КТ позвоночника, а полную информацию о количестве, размере и расположении очагов получают при проведении МРТ с контрастным усилением. При поражении спинного мозга также информативна люмбальная пункция с ликвородинамическими пробами.

Лечение метастатических опухолей
Пациентам назначают противосудорожные препараты, стероиды, обезболивающие и психотропные средства. Основным методом лечения метастатических новообразований головного мозга обычно становится радиотерапия, которая используется отдельно, в сочетании с химиотерапией либо хирургическим вмешательством. Показанием к оперативному лечению является наличие операбельного солитарного метастаза (вторичного очага при невыявляемом первичном процессе) либо одиночного метастаза при контролируемом первичном новообразовании.
Обычно операции выполняют при метастатических опухолях мозга, расположенных в мозжечке, височных и лобных долях, то есть, в зонах с относительно невысоким операционным риском. После операции назначают радиотерапию либо химиотерапию. Иногда целью хирургического лечения является не удаление метастатической опухоли мозга, а экстренное снижение опасного для жизни внутричерепного давления. При необходимости подобные вмешательства могут проводиться многократно.
Химиотерапия обычно неэффективна. Исключением являются ситуации, когда первичное новообразование хорошо реагирует на цитостатики, например, при раке молочной железы, мелкоклеточном раке легкого либо лимфоме. Пациентам с метастатической опухолью мозга, чувствительной к химиотерапии, назначают лекарственные средства, способные проникать через гематоэнцефалический барьер. Химиотерапию обязательно дополняют другими способами лечения (обычно - радиотерапией).
Перспективным современным методом лечения метастатических опухолей мозга является 3D-конформная лучевая терапия - облучение тонкими пучками радиации, направленными на опухоль. Эта методика позволяет обеспечить максимальное воздействие на опухоль при минимальной лучевой нагрузке на здоровые ткани. Процедура проводится под контролем МРТ либо КТ. Метод имеет ряд преимуществ перед традиционными операциями (безболезненность, неинвазивность, отсутствие наркоза и послеоперационного периода). Показан при множественных метастатических опухолях мозга и при высоком операционном риске, обусловленном особенностями расположения метастаза.
При вторичных очагах в спинном мозге применяют те же методы, что при поражении головного мозга. Назначение кортикостероидных препаратов позволяет уменьшить боли у 85% больных, радиотерапия - у 70% больных. У половины пациентов на фоне радиотерапии отмечается улучшение двигательных функций. Оперативные вмешательства осуществляют при нечувствительности метастатических опухолей мозга к радиотерапии, при прогрессировании неврологических расстройств либо сдавлении нервной ткани отломком кости. Выполняют переднюю декомпрессию либо ламинэктомию. После операции назначают локальную радиотерапию (за исключением новообразований, нечувствительных к лучевой терапии).
Прогноз
Прогноз при метастатических опухолях мозга обычно неблагоприятный. Средняя продолжительность жизни с момента выявления вторичного очага составляет 6-8 недель. При солитарных метастазах и одиночных метастазах в сочетании с первичными новообразованиями, хорошо реагирующими на терапию, своевременно начатое лечение позволяет продлить среднюю продолжительность жизни больных с метастатическими опухолями мозга до 10 месяцев с момента постановки диагноза.
Метастазы в легкие
Метастазы в легкие - вторичные новообразования, возникшие при миграции злокачественных клеток из другого органа. На начальной стадии проявляются симптомами общей интоксикации и повторяющимися простудными заболеваниями. В последующем появляются одышка, боли в области грудной клетки и кашель с примесью крови. Диагноз выставляется с учетом клинических проявлений, данных рентгенографии, КТ грудной клетки, гистологических и цитологических исследований. Лечение - химиотерапия, радиотерапия, лазерная резекция, радиохирургия и традиционные хирургические вмешательства.


Метастазы в легкие - вторичные злокачественные очаги в легочной ткани. Возможен лимфогенный, гематогенный или имплантационный путь миграции клеток из новообразования, расположенного в другом органе. Являются одними из самых распространенных вторичных опухолей. Среди пациентов преобладают мужчины старше 60 лет. Прогноз при метастазах в легких обычно неблагоприятный. Из-за множественного метастазирования, позднего обнаружения очагов в легочной ткани и сопутствующего поражения других органов радикальное лечение, как правило, невозможно. Исключением являются солитарные метастазы в легких, возникшие спустя долгое время после проведения специфической терапии либо оперативного удаления первичного новообразования. Лечение проводят специалисты в сфере онкологии и пульмонологии.

Этиология и патанатомия метастазов в легкие
Причиной частого поражения легочной ткани при злокачественных новообразованиях различной локализации является хорошо развитая сеть кровеносных и лимфатических сосудов в ткани легкого. Клетки первичной опухоли мигрируют по лимфатической или кровеносной системе, оседают в легочной ткани или под плеврой и дают начало метастазам.
Кроме того, возможно имплантационное (аспирационное) метастазирование, при котором злокачественные клетки распространяются по бронхам из распадающегося новообразования верхних дыхательных путей, бронха, легкого или агрессивно растущей опухоли близлежащего органа. Вторичные опухоли в легочной ткани могут сами становиться источником метастазов в других органах.
Метастазы в легких чаще диагностируются при первичном раке молочной железы, желудка, пищевода, мочевого пузыря, колоректальном раке, раке простаты, печени, меланоме и опухолях почек, но могут выявляться и при других онкологических заболеваниях. Обычно представляют собой узлы диаметром от нескольких миллиметров до 5 и более сантиметров. Чаще бывают множественными. Метастазы в легких при меланоме могут быть коричневыми, буровато-черными, белыми или частично пигментированными. Узлы при саркоме и раке - белыми либо розовато-серыми. Реже метастазы в легких представляют собой диффузную сеть, распространяющуюся под плеврой и в толще легочной ткани - такие вторичные новообразования обнаруживаются при раковом лимфангите, обусловленном миграцией злокачественных клеток по лимфатическим сосудам.
Классификация метастазов в легкие
Метастатические очаги в легких классифицируют по нескольким признакам:
- По типу новообразований: очаговые и инфильтративные формы.
- По количеству вторичных опухолей: солитарные (одиночные), единичные (не более 3), множественные (более 3).
- По диаметру: крупные и мелкие.
- По локализации: односторонние и двухсторонние.
С учетом особенностей распространения различают две формы метастазов в легких: диссеминированную и медиастинальную. При диссеминированной форме в легочной ткани выявляются множественные вторичные опухоли (как правило - преимущественно в нижних отделах). При медиастинальной форме вначале поражаются лимфатические узлы средостения, а потом опухолевые клетки по лимфатическим сосудам мигрируют в ткань легкого. С учетом особенностей рентгенологической картины выделяют четыре формы метастазов в легкие:
- Узловая. Включает в себя солитарную и множественную формы. На рентгенограммах выявляются узлы с четкими контурами, локализующиеся преимущественно в нижних отделах. Легочная ткань за пределами очагов сохраняет свою нормальную структуру.
- Псевдопневматическая (диффузно-лимфатическая). На снимках обнаруживаются множественные тонкие тяжи уплотненной ткани, расположенные в перибронхиальной зоне. Ближе к очагу тяжи имеют расплывчатые контуры, по мере удаления границы уплотнений становятся более четкими.
- Плевральная. Напоминает картину экссудативного плеврита. В плевральной полости может выявляться выпот. На поверхности легких обнаруживаются бугристые напластования.
- Смешанная. Наблюдается сочетание двух или более вышеописанных форм.
При определении тактики лечения метастазов в легких имеет значение степень чувствительности опухоли к различным видам терапии. С учетом этого показателя можно условно выделить следующие типы метастазов в легких:
- Реагирующие на радиотерапию и химиотерапию (при остеогенной саркоме, раке яичника и раке яичка).
- Устойчивые к химиотерапии (при раке шейки матки и меланоме).
- Реагирующие на гормональную терапию (при гормональноактивных новообразованиях половых органов).
Симптомы метастазов в легкие
На начальной стадии метастазы в легкие обычно протекают бессимптомно. Могут выявляться общие признаки онкологического заболевания: немотивированная слабость, апатия, анемия, потеря аппетита, снижение массы тела, повышение температуры тела. Первым проявлением метастазов в легкие обычно становятся повторяющиеся простудные заболевания: грипп, бронхит, пневмония. Иногда симптомы возникают только на заключительной стадии, при множественных узлах в легких, вовлечении бронхов и плевры.
При поражении значительной части легкого либо сдавлении бронха развивается одышка. Кашель при метастазах в легких вначале сухой, чаще возникает по ночам. В последующем появляется слизисто-гнойная мокрота без запаха, нередко - с примесью крови. При сужении бронхов мокрота становится более густой, гнойной. Возможны легочные кровотечения. Метастазы в легкие, распространяющиеся на плевру, ребра и позвоночник, провоцируют развитие болевого синдрома. При метастазах в лимфоузлах левой части средостения может наблюдаться осиплость голоса и афония, при поражении лимфоузлов правой части средостения - отек верхней половины тела, обусловленный сдавлением верхней полой вены.
Диагностика метастазов в легкие
Диагноз выставляется с учетом анамнеза, клинических проявлений, результатов инструментальных и лабораторных исследований. Пациентов с подозрением на метастазы в легких направляют на рентгенографию грудной клетки, позволяющую оценивать состояние легочной ткани, определять тип, характер и количество вторичных новообразований, наличие выпота в плевральной полости. Пациентам также назначают КТ легких - эта современная методика дает возможность выявлять мелкие метастазы диаметром менее 0,5 мм, в том числе расположенные субплеврально.

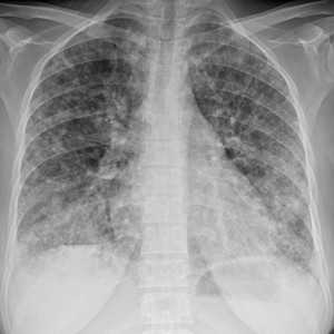
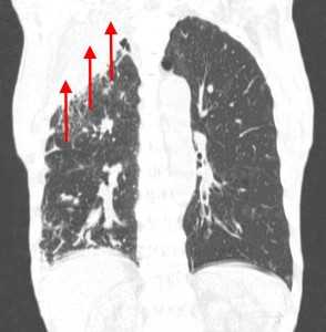
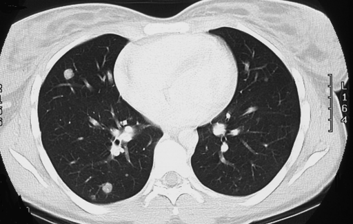
КТ ОГК. Множественные мягкотканные очаги в обоих легких у пациента с первичным раком предстательной железы
При необходимости снизить лучевую нагрузку (при метастазах в легких у детей, при многочисленных исследованиях для выявления первичного очага и метастатических поражений других органов, при продолжительном наблюдении) и подозрении на наличие мелких метастазов проводят МРТ легких - эта методика позволяет обнаруживать вторичные очаги диаметром менее 0,3 мм. Метастазы в легкие подтверждают на основании результатов цитологического исследования мокроты и плеврального выпота или гистологического исследования биоптата, полученного в процессе бронхоскопии, чрескожной пункционной биопсии легкого или (реже) открытой биопсии.
Для выявления метастазов других локализаций проводят расширенное обследование, включающее в себя УЗИ органов брюшной полости, сцинтиграфию костей скелета, КТ и МРТ позвоночника, КТ и МРТ головного мозга, УЗИ органов малого таза, УЗИ забрюшинного пространства и другие исследования. Метастазы в легкие дифференцируют с периферическим раком легких, доброкачественным новообразованием легкого, пневмонией, кистой легкого и туберкулемой.
Лечение при метастазах в легких
Лечебная тактика определяется видом первичной опухоли, ее реакцией на терапию, количеством и диаметром метастазов в легких, наличием или отсутствием метастатического поражения других органов, общим состоянием пациента и некоторыми другими факторами. Основной лечебной методикой обычно является химиотерапия, которая может применяться изолированно или в сочетании с другими методами. При метастазах в легких, возникших при диссеминации гормонозависимых опухолей, назначают гормональную терапию. Наилучший эффект гормонального лечения отмечается при раке простаты и раке молочной железы.
Радиотерапию назначают при вторичных очагах ретикулосаркомы, саркомы Юинга, остеогенной саркомы и некоторых других опухолей, чувствительных к лучевому воздействию. Показания к хирургическому лечению при метастазах в легких ограничены. Оперативное вмешательство целесообразно при одиночных метастазах, изолированном поражении периферической части легкого, контролируемом первичном новообразовании и отсутствии метастазов в другие органы. Иногда двухэтапную резекцию легкого и резекцию печени выполняют при одиночных метастазах в легком и метастатическом раке печени. В ряде случаев применяют радиохирургию либо осуществляют лазерную резекцию вторичного очага. При сдавлении крупных бронхов производят эндобронхиальную брахитерапию.
Прогноз при метастазах в легких
Прогностически неблагоприятными факторами считаются появление метастазов в легких ранее, чем через год после радикального лечения первичного новообразования, диаметр узлов более 5 см, быстрый рост вторичных очагов и увеличение внутригрудных лимфоузлов. Длительное выживание в некоторых случаях возможно после хирургических вмешательств по поводу одиночных метастазов в легких, возникших спустя год и более после радикального лечения первичной опухоли.
К числу факторов, не оказывающих существенного влияния на продолжительность жизни при метастазах в легких, относят локализацию вторичного очага (центральный или периферический), сторону поражения, наличие либо отсутствие метастатического поражения плевры. Пятилетняя выживаемость пациентов с одиночными метастазами в легких после проведения комбинированной терапии составляет около 40%. Наилучшие результаты отмечаются при первичных новообразованиях тела матки, костей, почек, молочной железы и мягких тканей.
Метастазы в легких

Метастазы — это вторичные очаги рака, образованные в результате рассеивания и миграции злокачественных клеток из первичного очага по кровеносной и лимфатической системам. Метастазы в легких представляют собой множественные узлы диаметром от нескольких миллиметров до многих сантиметров.
Обнаружение метастазов в легких — это серьезная проблема, которая требует быстрых и четких действий. Чем раньше выявлены патологические изменения и очаги онкологии в легких, тем более благоприятным для пациента будет прогноз. Метастазы лечат с помощью лучевой, иммунной, гормональной, таргетной терапии.
Легкие, наряду с печенью и лимфоузлами, занимают первое место по частоте обнаружения метастазов. Причина заключается в анатомических особенностях строения легких — дыхательный орган пронизан сетью капилляров, кровеносных и лимфатических сосудов. Фактически вся кровь, циркулирующая в организме человека, проходит через легкие — раковые клетки из других органов (кишечника, почек, молочных желез) застревают в паренхиме или под плеврой и дают начало метастазам.
Метастазы в легких лучше всего визуализируются на КТ-изображениях, поскольку представляют собой участки повышенной плотности в ткани легкого. При этом по наличию других рентгенологических признаков, например, по особенностям кровотока в данной области, врач-рентгенолог сможет определить злокачественный характер изменений.
Причины и источники метастазирования легких
По данным из открытых медицинских источников международной базы PubMed, первичным очагом метастазов в легких более чем в 50% случаев является хориоэпителиома — злокачественная опухоль женской половой системы, которая формируется в верхней части матки, увеличивая орган в размере. Следом по частоте метастазирования легких следуют: рак почки, рак кости (остеосаркома), меланома, рак молочной железы, злокачественная опухоль яичника — семинома, рак органов ЖКТ.
Первичные злокачественные опухоли высвобождают в кровь циркулирующие опухолевые клетки (ЦОК). Многие из этих микрочастиц не рассеиваются в потоке бесследно, а прикрепляются к сосудистой сети легких или самостоятельно мигрируют вдоль внутренних стенок сосудов.*
*Visualization of immediate immune responses to pioneer metastatic cells in the lung, 2016
Миелоидные клетки, поглощающие опухоль, коллективно накапливаются в интерстиции легких вместе с успешными метастатическими клетками, после чего способствуют развитию успешных метастазов из выживших опухолевых клеток.*
*Jacques Robert, Biology of cancer metastasis, 2013
Легочные метастазы бывают лимфогенными (перемещаются с током лимфы) и гематогенными (циркулируют в крови). Наиболее опасным и неблагоприятным с точки зрения прогноза лечения считается первый тип метастазов с инвазией лимфатических узлов, в которых затем развивается вторичный очаг опухоли.
В целом метастазирование является свойством любой примитивной низкодифференцированной опухоли. Особенность таких опухолей заключается в том, что клетки и ткани, из которых они состоят, сильно отличаются от нормальных, ведут себя агрессивно и быстро делятся, увеличивая опухоль в размерах.
Широко известным и признанным является тот факт, что метастазы, как и онкология легких, на ранних стадиях практически никак себя не проявляют и являются преимущественно случайными находками на КТ.
По мере роста метастатических узлов проявляются следующие признаки:
- Одышка и трахеальный кашель (трахея сдавливается железами переднего средостения) — нередко с примесями крови в мокроте;
- Боль и дискомфорт в грудной клетке — при кашле болевой синдром локализуется в груди, но иррадиирует в позвоночник;
- У больного меняется голос — охриплость является признаком поражения голосовых связок, проростаемых метастатическими узлами.
Достоверно определить наличие метастазов в легких без лучевой или инструментальной медицинской диагностики невозможно. Лишь пятая часть пациентов испытывают недомогание в самом начале развития заболевания.
В группе риска находятся пациенты, которые уже ранее получали лечение или были прооперированы в связи с онкологией, а также курильщики, работники вредных производств, люди преклонного возраста. Отягчающим обстоятельством могут быть случаи онкологии дыхательных путей в семье. По данным ВОЗ, именно таким пациентам в первую очередь рекомендуется проходить профилактические обследования.
Наиболее предпочтительным методом диагностики метастазов легких считается КТ. Применение низкодозового скринингового протокола способствует раннему распознаванию заболевания, когда размеры очагов не превышают 1-2 мм. На стандартной рентгенографии выявляют узлы диаметром от 1-2 см, что характерно уже для серьезно прогрессировавшего заболевания.
Метастазы в легких на КТ

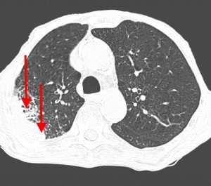
Гематогенные метастатические узлы в легких на КТ имеют довольно четко очерченные и ровные контуры. Нечеткие, расплывчатые или лучистые контуры наблюдаются в том случае, если есть инвазивный рост в окружающую легочную ткань. Локализуются преимущественно в нижних, периферических отделах легких, хаотично, без очевидной связи с бронхами и крупными легочными сосудами.
Лимфогенные метастазы легких на КТ выглядят как множественные мелкие диссеминированные очаги. Они расположены вдоль междольковых перегородок и плевры. Картина напоминает туберкулез и саркоидоз, и в этой связи часто требует уточнения. Вместе с лимфогенными метастазами легких почти всегда обнаруживаются патологические изменения (увеличение) лимфатических узлов средостения.
Часто на КТ-сканах визуализируется характерная дорожка к корню легкого. В динамическом наблюдении отмечается инфильтративный рост опухоли.
Лечение метастазов — довольно сложный и комплексный процесс, который требует времени, терпения и грамотных действий врачей. Прогноз зависит от стадии, на которой заболевание было выявлено, что коррелирует с размером метастатических узлов — чем они меньше, тем более успешно поддаются терапии.
Считается, что прогноз при метастазах в легких наиболее благоприятен, если:
- Вторичный очаг рака (метастазы) расположен недалеко от первичного.
- У пациента в анамнезе отсутствуют хронические заболевания органов дыхания (например, дыхательная недостаточность, обструктивный бронхит);
- Выявлены именно гематогенные метастазы;
- Выраженный симптомокомплекс не сильно снижает качество жизни;
- Химиотерапия или иное лечение хорошо переносится пациентом.
В процессе химиотерапии в связи с метастазами легких у части пациентов наблюдается переломный момент, когда наступает резистентность. Это значит, что необходимо менять тактику лечения и искать новые эффективные методы, иначе исход заболевания будет летальным.
Текст подготовил
Котов Максим Анатольевич, главный врач центра КТ «Ами», кандидат медицинских наук, доцент. Стаж 20 лет
- Котов М.А. Опыт применения компьютерной томографии в диагностике заболеваний органов дыхания у детей / Материалы X Невского радиологического Форума (НРФ-2018). - СПб., 2018, Лучевая диагностика и терапия. 2018. № 1 (9). — С. 149.
- Панов А.А. Пневмония: классификация, этиология, клиника, диагностика, лечение, 2020.
- Бова А.А. Пневмонии: этиология, патогенез, клиника, диагностика, 2016.
- Chl Hong, M.M Aung , K. Kanagasabai , C.A. Lim , S. Liang , K.S Tan. The association between oral health status and respiratory pathogen colonization with pneumonia risk in institutionalized adults, 2018.
- Yang-Pei Chang, Chih-Jen Yang, Kai-Fang Hu, A-Ching Chao, Yu-Han Chang, Kun-Pin Hsieh, Jui-Hsiu Tsai, Pei-Shan Ho, Shen-Yang Lim. Risk factors for pneumonia among patients with Parkinson's disease: a Taiwan nationwide population-based study, 2016.
- Клинические рекомендации по диагностике, лечению и профилактике тяжелой внебольничной пневмонии у взрослых. Министерство здравоохранения РФ, 2019.
Мы перезвоним, подберём удобное для записи время и ответим на вопросы.
Оператор обрабатывает входящие заявки с 8:00 до 22:00
Нажимая на кнопку, вы даете согласие на обработку персональных данных в соответствии с Федеральным законом от 27.07.2006 г. № 152-ФЗ «О персональных данных».
Если вы оставили ее с 8:00 до 22:00, мы перезвоним вам для уточнения деталей в течение 15 минут.
Читайте также:
- Интерпретация прекардиальных сигналов. Сигналы от газовых пузырьков
- Травма сетчатки и сосудистой оболочки глаза у ребенка
- Чинга (моноартрит сустава пальца)
- Ишемическая болезнь сердца. Диагностика коронарной недостаточности по ЭКГ
- Роль факторов роста в патогенезе аденомы (доброкачественной гиперплазии) простаты
