Ишемическая болезнь сердца. Диагностика коронарной недостаточности по ЭКГ
Добавил пользователь Владимир З. Обновлено: 11.12.2025
Информацию из данного раздела нельзя использовать для самодиагностики и самолечения. В случае боли или иного обострения заболевания диагностические исследования должен назначать только лечащий врач. Для постановки диагноза и правильного назначения лечения следует обращаться к Вашему лечащему врачу.
Для корректной оценки результатов ваших анализов в динамике предпочтительно делать исследования в одной и той же лаборатории, так как в разных лабораториях для выполнения одноименных анализов могут применяться разные методы исследования и единицы измерения.
Инфаркт миокарда: причины появления, симптомы, диагностика и способы лечения.
Определение
Инфаркт миокарда (ИМ) - это омертвление участка сердечной мышцы вследствие недостаточного ее кровоснабжения с развитием характерной клинической картины.
Причины появления инфаркта миокарда
Сердце - полый мышечный орган, имеющий форму конуса. Стенки сердца состоят из трех слоев. Внутренний слой - эндокард - выстилает полости сердца изнутри, и его выросты образуют клапаны сердца. Средний слой - миокард - состоит из сердечной мышечной ткани. Наружный слой - перикард. Сердце человека имеет четыре камеры: два предсердия и два желудочка. В правое предсердие поступает кровь из тканей самого сердца и всех частей тела (по верхней и нижней полым венам). В левое предсердие впадают четыре легочные вены, несущие артериальную кровь из легких. Из правого желудочка выходит легочный ствол, по которому венозная кровь поступает в легкие. Из левого желудочка выходит аорта, несущая артериальную кровь в сосуды большого круга кровообращения. Кислород к миокарду сердца доставляется по коронарным артериям.

Сердце очень чувствительно к недостатку кровоснабжения (дефициту кислорода). В случае закупорки крупной коронарной артерии и при отсутствии эффективного альтернативного кровообращения по другим сосудам уже через 30 минут в пораженном участке начинается гибель кардиомиоцитов (мышечных клеток сердца).
Нарушение кровообращения вследствие атеросклеротического поражения коронарных артерий в 97-98% случаев имеет основное значение в возникновении инфаркта миокарда.
Атеросклерозом может поражаться как одна коронарная артерия, так и все три. Степень и протяженность сужения артерии могут быть различными. При повышении артериального давления склерозированный внутренний слой сосуда (эндотелий) легко повреждается, кровь проникает внутрь бляшки, активируется процесс свертывания крови и формируется тромб, который может частично или полностью закупорить сосуд.
Где может формироваться тромб:
- на месте разрыва уязвимой (нестабильной) атеросклеротической бляшки;
- на дефекте (эрозии) эндотелия коронарной артерии, не обязательно локализованном на поверхности атеросклеротической бляшки;
- в месте гемодинамически незначимого сужения коронарной артерии.
Развивающийся некроз миокарда может быть различных размеров, а некроз, проходящий через все слои сердца (трансмуральный) может стать причиной разрыва миокарда.
Образование очагов некроза в миокарде сопровождается изменением размера, формы и толщины стенки сердца, а сохранившийся миокард испытывает повышенную нагрузку и подвергается гипертрофии с увеличением объема и массы.
Такие сопутствующие состояния как: анемия, воспаление, инфекция, лихорадка, метаболические или эндокринные расстройства (в частности, гипертиреоз) могут спровоцировать или утяжелить ишемию миокарда.
К факторам риска развития инфаркта миокарда относятся:
- гиперлипидемия (нарушение нормального соотношения липидов крови);
- курение,
- сахарный диабет,
- артериальная гипертензия,
- абдоминальное ожирение,
- психосоциальные причины (стресс, депрессия и т.д.),
- низкая физическая активность,
- несбалансированное питание и потребление алкоголя.
Классификация инфаркта миокарда
I. Острый инфаркт миокарда.
- Острый трансмуральный инфаркт передней стенки миокарда.
- Острый трансмуральный инфаркт нижней стенки миокарда.
- Острый трансмуральный инфаркт миокарда других уточненных локализаций.
- Острый трансмуральный инфаркт миокарда неуточненной локализации.
- Острый инфаркт миокарда неуточненный.
- Повторный инфаркт передней стенки миокарда.
- Повторный инфаркт нижней стенки миокарда.
- Повторный инфаркт миокарда другой уточненной локализации.
- Повторный инфаркт миокарда неуточненной локализации.
- Гемоперикард.
- Дефект межпредсердной перегородки.
- Дефект межжелудочковой перегородки.
- Разрыв сердечной стенки без гемоперикарда.
- Разрыв сухожильной хорды.
- Разрыв сосочковой мышцы.
- Тромбоз предсердия, ушка предсердия и желудочка сердца.
- Другие текущие осложнения острого инфаркта миокарда.
- Коронарный тромбоз, не приводящий к инфаркту миокарда.
- Синдром Дресслера - постинфарктный склероз.
- Другие формы острой ишемической болезни сердца.
- Острая ишемическая болезнь сердца неуточненная.
Симптомы инфаркта миокарда
При инфаркте миокарда в результате нарушения кровообращения в пораженном участке сердца накапливаются продукты обмена, которые раздражают рецепторы миокарда и коронарных сосудов, что проявляется острой болью. Болевой приступ приводит к выбросу адреналина и норадреналина корой надпочечников.
Боль при типичном течении инфаркта миокарда является основным его признаком. Она возникает за грудиной, иногда может отдавать в левую руку, левое плечо, горло, нижнюю челюсть, в подложечную область.
По интенсивности и длительности такая боль в значительной степени превосходит обычный приступ стенокардии. Боль не снимается приемом нитроглицерина. Длительность болевого синдрома может быть различной - от 1 часа до нескольких суток. Иногда инфаркт миокарда сопровождается резкой слабостью, головокружением, головной болью, рвотой, потерей сознания. Больной выглядит бледным, губы синеют, наблюдается потливость.
В первые сутки развития инфаркта миокарда может регистрироваться тахикардия (учащенное сердцебиение), нарушение ритма, повышение температуры до 37-38℃.
Выделяют следующие клинические варианты:
- астматический - протекает как приступ бронхиальной астмы (присутствуют одышка, затрудненное дыхание, чувство нехватки воздуха);
- гастралгический - характеризуется болями в области желудка с распространением в загрудинное пространство, может быть отрыжка, икота, тошнота, многократная рвота, вздутие живота;
- аритмический - возникают нарушения ритма сердца, угрожающие жизни;
- церебральная - характеризуется нарушением мозгового кровообращения (наблюдаются тошнота, головокружение, нарушение сознания с развитием обморока);
- бессимптомный - инфаркт миокарда без типичного болевого приступа. В связи с несоблюдением постельного режима и отсутствием должного лечения протекает неблагоприятно.
Существуют четкие критерии диагностики инфаркта миокарда:
- клиническая картина инфаркта миокарда;
- картина инфаркта миокарда по данным ЭКГ;
- наличие новых участков миокарда со сниженным кровообращением или нарушение сократимости миокарда по данным инструментальных исследований;
- выявление тромбоза коронарных артерий по данным ангиографии.
- определение уровня биохимических маркеров повреждения кардиомиоцитов в крови;
Синонимы: Тн I вч; сердечный Тн I вч; сТн I вч. Tn I hs; cardiac-specific troponin I, high sensitivity; cTn I hs. Краткая характеристика определяемого вещества (Тропонин) Тропонины - небольши�.
Ишемическая болезнь сердца (ИБС)
Ишемическая болезнь сердца (ИБС): причины появления, симптомы, диагностика и способы лечения.
Определение
Ишемическая болезнь сердца (ИБС) - острое (преходящее) или хроническое (стабильное) поражение сердечной мышцы (миокарда), вызванное уменьшением или прекращением кровотока по коронарным артериям.
Причины появления ишемической болезни сердца
Ишемия миокарда возникает, когда потребность миокарда в кислороде превышает возможности его доставки с кровотоком по коронарным артериям. В норме у коронарных артерий существует резерв для расширения, обеспечивающий пятикратное увеличение коронарного кровотока, и, как следствие, доставки кислорода к сердечной мышце. Несоответствие между доставкой кислорода и потребностью мышцы может возникать под действием разнообразных факторов.
В 95% случаев причиной развития ишемической болезни сердца становится снижение его кровоснабжения (недостаточное поступление кислорода) по коронарным артериям вследствие атеросклеротического сужения просвета сосуда.
Течение болезни определяется наличием и дальнейшим ростом атеросклеротической бляшки, которая может перекрывать сосуд полностью или частично. При повышении артериального давления склерозированный эндотелий сосуда легко повреждается, кровь проникает внутрь бляшки, активируется процесс свертывания крови и формируется тромб, который может частично или полностью закупорить сосуд.

Немалую роль в развитии ИБС играют нарушения движения крови по сосудам и изменения реологических свойств крови (способности крови к текучести).
Образование тромба, особенно на фоне спазма сосуда, может привести к полной или частичной его закупорке.
В 5% случаев причиной ИБС становятся врожденные аномалии отхождения коронарных артерий, синдромы Марфана и Элерса-Данло с расслоением корня аорты, коронарные васкулиты при системных заболеваниях соединительной ткани, болезнь Кавасаки и синдром Гурлер, инфекционный эндокардит, передозировка сосудосуживающих препаратов и некоторых наркотических средств, сифилитический мезаортит и другие состояния.
Выделяют факторы, провоцирующие развитие ишемической болезни сердца, на которые можно повлиять: дислипопротеидемия (нарушение нормального соотношения липидов крови); артериальная гипертония; сахарный диабет; курение; низкая физическая активность; ожирение; стресс. А также те факторы риска развития ИБС, которые невозможно изменить: мужской пол, возраст, отягощенный семейный анамнез по сердечно-сосудистым заболеваниям (инфаркт миокарда или ишемический инсульт у ближайших родственников: у женщин - до 65 лет, у мужчин - до 55 лет).
Классификация ИБС
I. Острый инфаркт миокарда (ИМ).
- По стадии заболевания:
- развивающийся - от 0 до 6 часов;
- острый - от 6 часов до 7 суток;
- заживающий (рубцующийся) - от 7 до 28 суток;
- заживший - начиная с 29-х суток.
- По глубине поражения:
- трансмуральный ИМ (некроз всей толщи сердечной мышцы);
- Q-образующий (на ЭКГ появляется зубец Q);
- не Q-образующий.
- По локализации:
- передний;
- нижний;
- инфаркт миокарда других уточненных локализаций;
- инфаркт миокарда неуточненной локализации.
- По наличию или отсутствию стойкого подъема сегмента ST на ЭКГ:
- инфаркт миокарда с подъемом сегмента ST на ЭКГ;
- инфаркт миокарда без подъема сегмента ST на ЭКГ.
- Впервые возникшая стенокардия.
- Прогрессирующая стенокардия.
- Вариантная стенокардия (стенокардия Принцметала).
- Стенокардия напряжения I-IV ФК (функциональный класс).
- Перенесенный в прошлом инфаркт миокарда.
- малоподвижный образ жизни;
- лишний вес;
- неправильное питание - большое количество в рационе жирной и калорийной пищи;
- психоэмоциональный стресс;
- вредные привычки, особенно - курение;
- высокое содержание «вредного» холестерина и триглицеридов в крови;
- повышенное кровяное давление - артериальная гипертония;
- сахарный диабет;
- эндокардит и пороки сердца;
- снижение концентрации липопротеидов высокой плотности в крови.
- мужской пол;
- возраст старше 65 лет;
- ИБС, особенно инфаркт миокарда в прошлом у близких родственников больного;
- наступление менопаузы.
- слабостью;
- головокружением;
- потерей сознания;
- шумным и частым дыханием;
- расширением зрачков;
- урежением частоты дыхательных движений;
- отсутствием сердечных сокращений.
- дезагреганты - препараты, разжижающие кровь;
- бета-блокаторы;
- ингибиторы АПФ или сартаны;
- статины.
- Аортокоронарное шунтирование - создание обхода для крови места сужения коронарных артерий с помощью сосудистых протезов.
- Коронарная ангиопластика и стентирование - восстановление диаметра сосуда, а соответственно и кровотока в нем, с помощью установки специального расширителя.
- Нарушения энергетического снабжения кардиомиоцитов.
- Изменения свойств и структуры клеточных мембран, активности ферментов и электролитного дисбаланса.
- Сбои генетической программы клеток миокарда.
- Расстройства вегетативной иннервации сердечной деятельности.
- Ремоделирование миокарда (неупорядоченный рост кардиомиоцитов, увеличение массы соединительной ткани).
- Стенокардия:
- Стабильная.
- Нестабильная.
- Со спазмом сосудов.
- Неуточненная.
- Острый инфаркт миокарда (ИМ):
- Трансмуральный.
- Субэндокардиальный.
- Повторный.
- Осложнения ИМ.
- Другие формы:
- Безболевая ишемия.
- Тромбоз венечных сосудов.
- Острая ИБС.
- Синдром Дресслера.
- Простая ЭКГ на 12 отведений.
- С дополнительными отведениями - для диагностики определенных локализаций ишемии, которые не регистрируются при обычном ЭКГ.
- Холтеровский мониторинг (запись кардиограммы на протяжении 24-48 часов).
- ЭКГ с физическими нагрузками (стресс-тест) - для определения скрытой патологии.
- С лекарственными пробами.
- выявление скрытой коронарной недостаточности;
- регистрация мимолетных нарушений ритма;
- обозначение порога толерантности к физическим нагрузкам.
- на ЭКГ изменения сегмента ST;
- приступ загрудинных болей;
- падение артериального давления;
- повышение АД более 200 мм рт. ст.;
- достижение пороговой ЧСС для данного возраста;
- сильная одышка;
- серьезные нарушения ритма;
- головокружение, резкая слабость, тошнота;
- отказ пациента.
- остром коронарном синдроме;
- нестабильном течении стенокардии;
- тяжелой недостаточности кровообращения;
- инсульте;
- тромбофлебите;
- гипертоническом кризе;
- тяжелых аритмиях;
- декомпенсированных пороках сердца;
- выраженных болях при заболеваниях опорно-двигательного аппарата.
- гипертрофии желудочков;
- миокардите;
- перикардите;
- терапии «Дигиталисом»;
- гипокалиемии;
- миокардиодистрофии;
- блокаде ножек пучка Гисса, синдроме WPW;
- остром панкреатите, холецистите, желчнокаменной болезни, диафрагмальной грыже (рефлекторная реакция);
- легочной недостаточности;
- тромбоэмболии легочной артерии;
- отравлении никотином;
- стенокардии Принцметала;
- вегетососудистой дистонии.
- левых грудных отведениях;
- I;
- aVL;
- III;
- aVF.
- тромбоэмболии легочной артерии;
- миксоме;
- миокардите;
- констриктивном перикардите;
- гипертрофии желудочков;
- блокадах сердечной проводимости;
- электролитном дисбалансе;
- чрезмерном курении;
- гипокалиемии;
- дисгормональных процессах;
- стрессе;
- употреблении некоторых лекарств.
- экстрасистолии;
- синусовые тахи-, брадикардии;
- трепетания предсердий;
- пароксизмальные тахикардии;
- атриовентрикулярные блокады;
- блокады ножек пучка Гисса.
- нетипичных для конкретного больного болевым приступам;
- длительных эпизодах стенокардии;
- возникновении нарушений ритма.
- нагрузочный тредмил-тест;
- велоэргометрия;
- спироэргометрия.
- мультиспиральная компьютерная томография коронарных артерий с контрастированием;
- перфузионная сцинтиграфия миокарда с нагрузкой;
- стресс-эхокардиография миокарда (с нагрузочной стресс-системой или с использованием добутамина).
- горизонтальная депрессия сегмента ST не менее 1 мм;
- косонисходящая депрессия сегмента ST не менее 1 мм;
- медленная косовосходящая депрессия сегмента ST не менее 1.5 мм;
- элевация сегмента ST.
- снижение АД на пике нагрузки и в восстановительном периоде или выраженный симпатико-астенический тип реакции на нагрузку;
- индукция желудочковых нарушений сердечного ритма на пике нагрузки или в восстановительном периоде (стресс-индуцированные желудочковые нарушения сердечного ритма), особенно в сочетании с низкой толерантностью к физической нагрузке.
Наиболее распространенной формой ИБС является стенокардия напряжения, при которой самой частой жалобой пациентов является сжимающая или давящая боль в груди. Боль может отдавать в левую руку, спину или шею, нижнюю челюсть, реже - в область под мечевидным отростком, и длиться от 2 до 5 и даже 20 минут. Она возникает во время физических нагрузок или выраженного психоэмоционального стресса. После прекращения физической нагрузки или через 1-3 минуты после приема нитроглицерина боль быстро исчезает.
При прогрессировании заболевания наступает момент, когда для приступа стенокардии достаточно даже минимальной нагрузки, и наконец, приступы начинают возникать в покое. У некоторых пациентов болевой приступ может развиться в положении лежа из-за увеличенного притока крови к сердцу.
Необходимо учитывать, что боль, возникающая при других заболеваниях (невралгии, гастралгии, холецистите и др.) может провоцировать и усиливать имеющуюся стенокардию.
При нарушении кровообращения сердечной мышцы с развитием очага некроза (омертвения ткани) возникает инфаркт миокарда. Инфаркт (от лат. infarcire - начинять, набивать) — омертвление тканей органа вследствие острого недостатка кровоснабжения.
Боль при инфаркте миокарда по интенсивности и продолжительности в значительной степени превосходит обычный приступ стенокардии.
Боль не снимается нитроглицерином и ее продолжительность может быть различной - от 1 часа до нескольких суток. Иногда инфаркт миокарда сопровождается слабостью, головокружением, головной болью, рвотой, обмороком, потерей сознания. Больной выглядит бледным, губы синие, наблюдается потливость.
Диагностика ишемической болезни сердца
Диагноз «ишемическая болезнь сердца» устанавливается по совокупности жалоб, сведений о течении болезни, данных лабораторных и инструментальных методов обследования.
У всех пациентов с подозрением на ИБС уточняются следующие вопросы:
- клинический анализ крови: общий анализ, лейкоформула, СОЭ (с микроскопией мазка крови при наличии патологических сдвигов);
Синонимы: Общий анализ крови, ОАК. Full blood count, FBC, Complete blood count (CBC) with differential white blood cell count (CBC with diff), Hemogram. Краткое описание исследования Клинический анализ крови: общий.
Ишемическая болезнь сердца (ИБС): причины, симптомы, лечение
Ишемическая болезнь сердца - хроническое или остро развивающееся заболевание, характеризующееся частичной или полной остановкой кровоснабжения сердечной мышцы.
Причиной этого явления служит спазм и тромбоз коронарных артерий, как правило, вследствие их атеросклеротических изменений.
Ишемия органа проявляется чаще всего приступообразной болью в груди - стенокардией, при резком и выраженном нарушении кровотока в сосудах развивается инфаркт миокарда.
Распространенность заболевания
В России ИБС страдает около 5,1-5,3% населения. При этом ишемическая болезнь сердца остается основной причиной смертности и инвалидизации населения. Во всем мире на долю смертей от патологий сердечно-сосудистой системы приходится треть диагностированных случаев. В России этот показатель выше и составляет 57%, из которых 29% - летальные исходы вследствие именно ишемии миокарда.
Страдают ишемией миокарда преимущественно лица старше 40 лет. В молодом и среднем возрасте ишемическую болезнь сердца чаще выявляют у мужчин, с повышением возраста соотношение заболевших выравнивается.
Факторы риска развития ишемии миокарда
Предрасполагающие к этому заболеванию факторы условно делятся на две группы - изменяемые и неизменяемые. При устранении или коррекции первых значительно уменьшается риск возникновения ишемической болезни сердца.
Симптомы и формы ИБС
При разной форме ишемической болезни сердца симптоматика может отличаться. Существует несколько форм заболевания.
Стенокардия
Состояние характеризуется приступами сдавливающей или жгучей боли за грудиной, которая появляется обычно при физическом и эмоциональном стрессе. Она может иррадиировать в левую руку, шею, плечо, нижнюю челюсть, подлопаточную область, верхнюю часть живота. За это стенокардию называют также «грудной жабой». Продолжительность боли обычно составляет несколько минут. В зависимости от стабильности течения заболевания выделяют стабильную и нестабильную формы стенокардии.
Первая возникает только после физической или психоэмоциональной нагрузки, при повышении артериального давления, тахикардии. По мере развития заболевания объем доступной человеку активности сокращается, и при четвертом классе патологии он уже не может совершать никакого движения без того, чтобы не развивались приступы загрудинной боли.
Нестабильная стенокардия может быть впервые возникшей - спустя месяц и меньше после появления симптомов, прогрессирующей и ранней постинфарктной. Для прогрессирующей стенокардии характерно снижение переносимой нагрузки, например - уменьшение расстояния, которое человек может пройти без появления симптомов.
Нестабильная стенокардия требует обследования и лечения в условиях больницы, высок риск инфаркта миокарда.
Инфаркт миокарда
Развивается остро. Вследствие продолжительного снижения кровотока или при его полном прекращении к отдельным участкам сердечной мышцы, происходит омертвение участка сердечной мышцы - некроз. Участок поражения может быть разных размеров в зависимости от диаметра пострадавшего сосуда, потому заболевание нередко называют крупноочаговым или мелкоочаговым инфарктом миокарда.
Болевые ощущения при этом состоянии интенсивные, давящего и сжимающего характера, нередки также приступы жгучей «кинжальной» боли. У многих больных она имеет типичную локализацию в загрудинной области, но может также захватывать и зону слева от грудины или распространиться на всю поверхность грудной клетки. При этом пациент испытывает «страх смерти», тоску, возникает чувство обреченности, может быть беспокоен и сильно возбужден.
Локализация болей при инфаркте миокарда может быть практически любой, например, иногда боли возникают даже в животе. Встречается и безболевая форма.
При мелкоочаговом поражении симптомы могут быть «смазаны», а диагностика по ЭКГ бывает затруднена.
Спонтанная ишемия «Принцметалла»
Загрудинная боль возникают на фоне спазма коронарных сосудов и не связана с нагрузкой. Чаще всего состояние развивается ночью, в промежутке времени между полуночью и восемью часами утра. Спастическая стенокардия отличается регулярностью и цикличностью, нередко повторяется несколько приступов подряд с небольшим промежутком.
Постинфарктный кардиосклероз
После перенесенного инфаркта происходит замещение погибших клеток мышечной ткани соединительной. При этом нарушается проводимость в миокарде, что может сопровождаться ощущениями перебоев в работе или длительной остановки сердца, периодическими обмороками и головокружениями. Могут быть также приступы учащенного сердцебиения, боль за грудиной, одышка, побледнение или посинение кожных покровов.
Сердечная недостаточность
Заболевание, при котором сердце не может полноценно выполнять свою функцию по обеспечению тканей различных органов достаточным количеством крови. Состояние проявляется одышкой, отеками, быстрой утомляемостью, плохой переносимостью физической нагрузки.
Нарушения ритма сердца
Аритмии носят разнообразный характер. Сопровождаются ощущением сердцебиения или снижением ЧСС. Больной может испытывать сильную слабость, головокружение, тошноту, возможны потери сознания. Существуют и бессимптомные формы патологии, которые становятся случайной находкой на ЭКГ.
Безболевая ишемия миокарда
Протекает без характерных приступов стенокардии. Выявляется обычно случайно на ЭКГ и после специальных диагностических проб с нагрузкой.
Внезапная сердечная смерть
Диагностика ишемической болезни сердца
Обычно заподозрить заболевание помогают жалобы и симптомы, характерные именно для ишемической болезни сердца. С целью подтверждения ишемии миокарда используют инструментальные и лабораторные методы диагностики.
Позитронно-эмиссионная томография (ПЭТ) применяется для диагностики жизнеспособных клеток сердечной мышцы. Используются радиофармпрепараты, по накоплению которых в клетках сердца выявляют жизнеспособные и некротизированные участки.
Среди инвазивных методик применяется коронарография - рентгенологическое исследование сосудов с помощью контрастного вещества.
Лечение ИБС
Лечение ишемической болезни сердца включает изменение образа жизни, прием медикаментов и в ряде случаев хирургическое вмешательство. Всем больным рекомендуется отказаться от пагубных привычек, проводить больше времени на свежем воздухе, снизить избыточную массу тела. В питании необходимо избегать продуктов с высоким содержанием жира, очень соленых и сладких блюд. Категорически запрещены курение, самовольное прекращение приема назначенных лекарственных препаратов. Все это может привести к резкому ухудшению состояния пациента.
Для купирования приступа стенокардии нужно немедленно прекратить физическую нагрузку, обеспечить доступ свежего воздуха и принять нитроглицерин под язык либо использовать нитрат в виде спрея.
При наличии сопутствующих заболеваний, особенно сахарного диабета и гипертонической болезни, требуется их лечение, достижение целевых уровней давления и глюкозы крови.
Меры по профилактике сердечно-сосудистой патологии
Чтобы избежать развития заболеваний сердца, нужно отказаться от курения и сократить употребление алкоголя.
Сильный стресс - также один из предрасполагающих факторов к возникновению ИБС. Стресс из жизни убрать невозможно, но можно правильно реагировать на него: человек эволюционно устроен так, что после любого стресса необходима мышечная работа. Поволновались или расстроились - после этого надо поприседать, пробежаться, пройтись - мышцы должны устать. При сильных волнениях может потребоваться использование успокоительных, для подбора которых нужно обратиться к врачу.
Полезны для профилактики ишемии регулярные занятия спортом с умеренной физической нагрузкой. Также нужно следить за своим весом и артериальным давлением. Всем лицам старше 40 лет необходимо ежегодно обследоваться - сдавать биохимический анализ крови для проверки уровня холестерина в крови, делать ЭКГ.
Признаки ишемии на ЭКГ: как определить
Самое частое показание к проведению электрокардиографии (ЭКГ) - хроническая ишемическая болезнь сердца (ИБС). Этот метод используют для диагностики ишемических проявлений в миокарде, определения его сократимости, функции клапанов, осложнений, вызванных инфарктом, составления прогноза для пациента.
ЭКГ - процедура регистрации электрических полей, образованных во время работы сердца. Это наиболее доступное, простое, быстрое и информативное исследование в кардиологии.
Что такое ишемия и как она сказывается на миокарде
Ишемией называется снижение кровоснабжения органа или тканей вследствие недостаточного прилива артериальной крови. Кратковременное ограничение тока не приводит к необратимым повреждениям, длительное - вызывает последствия в виде отмирания тканей (некроз) участка, которого снабжает больной сосуд.
Наиболее чувствительны к недостаточности кровотока органы с высоким уровнем кислородопотребления (сердце и головной мозг).
ИБС называется острое или постоянное несоответствие потребностям кардиомиоцитов в кислороде и способностью кровеносной системы обеспечить его доставку вследствие заболеваний венечных артерий. При ишемии снижение кровотока происходит из-за комбинации стеноза сосуда и нарушений тонуса стенок, вызванного эндотелиальной дисфункцией (внутреннего покрытия артериол).
У большинства пациентов с ИБС главный патологический процесс в венечных сосудах - атеросклероз. Специфический симптом заболевания - боли в грудной клетке при физическом и эмоциональном напряжении, которые проходят в покое или после таблетки «Нитроглицерина».
Ишемия миокарда развивается при закупорке просвета венечной артерии холестериновой бляшкой на 70% и более. В таких случаях даже максимальное расширение мелких сосудов не обеспечивает кардиомиоциты кровью в достаточном количестве и признаки кислородного голодания развиваются при физических или эмоциональных нагрузках. Артерии, суженные на 90%, не снабжают сердце кислородом даже в состоянии покоя.

Рисунок. Причины сужения просвета венечных сосудов.
Процесс усугубляется нарушением микроциркуляции вследствие повышения свертываемости крови и образования мелких тромбов в разветвлениях КА.
Ишемическое повреждение кардиомиоцитов вызывает:
Подобные изменения приводят к прогрессивному снижению сократимости миокарда, ограничению его функциональных возможностей и развитию сердечной недостаточности.
Ишемия не сохраняется длительно. Или адекватный кровоток в органе восстанавливается, или происходит повреждение мышечных волокон. Наиболее уязвим субэндокардиальный (внутренний) слой миокарда, который хуже кровоснабжается и подвергается нагрузке давлением.
Классификация ИБС по МКБ-10:
Электрокардиографические признаки ИБС
Изменения на ЭКГ при ишемической болезни сердца обусловлены возникающей вследствие патологии венечных сосудов кислородной недостаточностью и энергетических нарушений в кардиомиоцитах.
Методики для выявления ишемии:

У 50% пациентов с ИБС в покое признаков ишемии на ЭКГ нет. Потому «золотой стандарт» в амбулаторной диагностике подобного заболевания - проба с физической нагрузкой. Эта процедура решает несколько задач одновременно:

Фото 1. Велоэргометрия.
Наиболее часто используют велоэргометрию или тредмил-тест (беговая дорожка). У человека со здоровыми сосудами подобная нагрузка вызывает дилатацию венечных артерий и повышение сократимости миокарда, необходимых для обеспечения адекватного кровотока. В случае с ИБС венечные артерии до нагрузки уже в расширенном состоянии и не компенсируют потребности. Вследствие этого возникают явления стенокардии и регистрируется ишемия на ЭКГ.
Велоэргометрию делают на особом велотренажере. На пациенте фиксируют датчики ЭКГ и манжету тонометра для мониторинга показателей гемодинамики. Процедура длится 15-20 минут. За это время постепенно повышается нагрузка от 25 до 50 Вт. Больным с тяжелыми кардиальными заболеваниями разрешают делать небольшие перерывы.
Тест прекращают, если возникают:

Фото 2. Тредмил-тест.
Тредмил-тест от велоэргометрии отличается только тем, что физическую нагрузку пациент выполняет на беговой дорожке с изменяющимся углом наклона.
Нагрузочные тесты противопоказаны при:
Ишемия замедляет процессы реполяризации в кардиомиоците или изменяет направление электрической волны. На ЭКГ при ИБС эти нарушения соответствуют уширению, депрессии и изменению конфигурации сегмента SТ. При остром коронарном синдроме основные патологические изменения наблюдают в комплексе QRS и сегменте S-T.
Степень изменений на ЭКГ напрямую связана с обширностью процесса и длительностью ишемии. При стабильной стенокардии признаки коронарной недостаточности на кардиограмме, снятой в междуприступном периоде, могут не определятся. А в случае ИМ нарушения регистрируются и в острой фазе, и через несколько лет.
Одним из ранних признаков недостаточности коронарного кровотока выступает появление отчетливой резкой границы перехода сегмента S-T в зубец Т. Дальнейший рост атеросклеротической бляшки усугубляет депрессию S-T ниже изолинии.
Виды депрессии интервала S-T при ИБС:

| Вид смещения | Интервал S-T | Зубец Т |
|---|---|---|
| Горизонтальное | Параллельно и ниже изолинии | Положительный (+), отрицательный (-) или двухфазный |
| Косое нисходящее | По мере удаления от комплекса ORS увеличивается степень депрессии S-T | +/-, сглаженный |
| Дугой, округлостью кверху | Степень смещения разнится на всем протяжении, в форме дуги | Любого вида |
| Косое восходящее | Наибольшая депрессия S-T находится сразу за QRS | Положительный, сглаженный |
| Корытообразное | Форма дуги с выпуклостью, вершиной вниз | Любой вид |
| Подъем сегмента S-T над изолинией | Закругленный, дугой с вершиной книзу | Положительный, сглаженный |
Изменения сегмента S-T при ИБС наиболее четко видны в отведениях:
В отличие от острого коронарного синдрома при ИБС, изменения S-T стабильны на протяжении месяцев и даже лет.
Депрессия сегмента S-T присутствует при:
Наибольшая стабильность при ИБС у изменений зубца Т (так называемый «коронарный»). Это отрицательный, симметричный, амплитудой более 5 мм Т, который сигнализирует о серьезных ишемических повреждениях миокарда. Закругленный и неправильной формы зубец указывает на менее выраженные изменения сердечной мышцы.
Чем дальше установлен электрод от места, которое кровоснабжается поврежденным сосудом, тем менее выражены признаки ишемии на ЭКГ.
Изменения зубцов Т регистрируют в:

Но подобные изменения зубцов Т наблюдают и при:
При длительном течении ИБС на ЭКГ проявляется уширение зубца Р. Это неблагоприятный прогностический признак относительно риска острого коронарного синдрома и мерцательной аритмии.
Также наблюдают замедление электрической проводимости во время систолы желудочков (Q-T). Сердцу в условиях кислородного голодания, которое обусловлено атеросклеротическим кардиосклерозом, требуется все больше времени на сокращение.
Из-за снижения венечного кровотока возникают аритмии и блокады:
Крайняя степень ишемии сердечной мышцы - инфаркт миокарда. Если некроз захватывает все слои мышцы, высока вероятность фатальной аритмии, остановки сердца, разрывов сосочковых мускулов, тромбоэмболии, аневризмы желудочка, острой недостаточности кровообращения и кардиогенного отека легких.
При помощи стандартного ЭКГ уже на догоспитальном этапе получают достоверные данные относительно локализации и площади поражения.
Большие трудности представляет диагностика заднего и базального ИМ, когда поражен левый желудочек в месте прилегания к диафрагме. В таких случаях необходимы дополнительные отведения V7-V9 и дорсальные по Небу.
Как часто надо делать кардиограмму пациенту с ишемической болезнью
Диагноз ИБС устанавливают только на основе детального опроса, осмотра, описания ЭКГ в покое и снятого во время приступа, с физическими нагрузками и при необходимости выполненных ЭхоКГ и коронарографии.
Часто на ранних стадиях ИБС ишемические признаки на ЭКГ, снятой в междуприступный период, не обнаруживают. Патологию находят при проведении функциональных проб с нагрузкой или Холтеровского мониторинга. Эти методы помогают выявить скрытые участки повреждения и зарегистрировать безболевую форму ишемии, которая представляет большую опасность.
Согласно правилам диспансеризации, больные со стабильным течением ИБС выполняют ЭКГ ежегодно.
Пациентам с недавно установленным диагнозом, которым подбирают адекватную терапию, кардиограмму выполняют чаще.
Внеплановое ЭКГ показано при:
Дополнительно ЭКГ при ишемии миокарда показано перед выполнением велоэргометрии, коронарографии, стентирования и аортокоронарного шунтирования.
Выводы
ЭКГ - безопасное и безболезненное исследование, которое можно проводить всем пациентам без исключения. Электрокардиография не требует предварительной подготовки.
Но помнят, что диагностика ИБС по ЭКГ условно достоверна, только если исследование выполнили в момент приступа стенокардии. Сразу несколько патологий имеют схожие показатели при расшифровке. Подтвердить ИБС может комплекс диагностических мер.
Для подготовки материала использовались следующие источники информации.
Современный алгоритм диагностики ИБС: варианты нагрузочного тестирования.
Ранняя диагностика ИБС по-прежнему является одной из наиболее актуальных проблем практической кардиологии, поскольку именно первичная профилактика осложнений приводит к снижению сердечно-сосудистой смертности и случаев нефатальных осложнений. На сегодняшний день «золотым стандартом» диагностики ИБС по-прежнему остается коронароангиография. Это исследование является инвазивным и сопряжено со всеми возможными рисками инвазивных осложнений.
Априорно высокая претестовая вероятность стенозирующего коронарного атеросклероза у мужчин старше 40 лет при наличии типичных ангинозных болей показана в одной из известных таблиц Diamod GA еще в 1979
Рисунок 1. Претестовая вероятность ИБС у мужчин и женщин в зависимости от возраста и клинических проявлений (Diamond GA, 1979)

По сути мужчина старше 40 лет с факторами риска ИБС (гиперхолестеринемия, артериальная гипертензия, отягощенный семейный анамнез) может быть направлен на коронароангиографию для исключения стенозирующего коронарного атеросклероза без предварительного проведения нагрузочного теста. Однако эта таблица становится практически бесполезной при наличии у пациента с множественными факторами риска ИБС немой ишемии миокарда.
Алгоритм диагностики ИБС с использованием визуализирующих методик.
Использование так называемых «визуализирующих методик» позволяет решить вопрос о необходимости проведения коронароангиографии, то есть позволяет учесть такие качества скринингового ЭКГ-теста, как чувствительность, специфичность и воспроизводимость.
В самом начале этого алгоритма
Рисунок 2. Алгоритм диагностики ИБС

в зависимости от клинических проявлений ИБС мы имеем возможность выбора одного из трех вариантов нагрузочного теста:
Нагрузочный тредмил-тест по сути является универсальным скрининговым исследованием и подходит для любого пациента, независимо от возраста и физических возможностей, так как ходьба - наиболее физиологический вид физической активности.
В отличие от этого варианта стресс-системы,велоэргометр занимает гораздо меньше места, но не пригоден для тестирования пожилых людей с выраженной патологией суставов.
В том случае, когда мы подозреваем одышку как эквивалент стенокардии, мы используем особый метод скринингового стресс-теста - спироэргометрию.
К визуализирующим методикам относят три варианта инструментальной диагностики, которые при сомнительном результате нагрузочного теста могут быть доводом в пользу проведения коронароангиографии:
Стоит вернуться к вопросу о том, какую динамику ЭКГ на сегодняшний день принято считать достоверным критерием ишемии миокарда, а какие электрокардиографические изменения могут косвенно свидетельствовать в пользу значимого стенозирующего коронарного атеросклероза.
В соответствии с критериями Darrow M, 2000
Рисунок 3. Наиболее специфичные ЭКГ-критерии ишемии миокарда

и современными пересмотрами, представленными в различных рекомендациях, наиболее достоверными критериями ишемии миокарда в настоящее время являются следующие ЭКГ-критерии:
Следует также отметить, что в связи с низкой специфичностью депрессии сегмента ST у женщин диагностически значимой является значение депрессии 2 мм. Сомнительный результат нагрузочного теста у женщин нередко можно увидеть в виде заключения «проба сомнительная (“женский” ложноположительный тест? немая ишемия миокарда?)». На сегодняшний день можно также видеть обсуждения о высокой чувствительности и не столь высокой специфичности медленной косовосхоящей депрессии сегмента ST cо спорами относительно достаточности ее значения 1.5 мм.
Использование визуализирующих методик возможно в ситуации, когда получен отрицательный результат нагрузочного теста, однако имеющиеся клинические данные и особенности анамнеза позволяют усомниться в высокой воспроизводимости и высокой чувствительности теста у данного больного. Особенностями нагрузочного тестирования, которые должны насторожить лечащего врача в вопросе достаточной воспроизводимости теста могут быть следующие результаты нагрузочного теста при нормальной динамике сегмента ST:
Возможности спироэргометрии как скринингового стресс-теста у пациентов с ИБС.
Для пациентов, предъявляющих жалобу на одышку, которая может быть расценена как эквивалент стенокардии, наиболее оптимальным вариантом скринингового нагрузочного теста является спироэргометрия. Это исследование является одномоментной оценкой функционального состояния сердечно-сосудистой системы, дыхательной системы и клеточного метаболизма. Полученные параметры позволяют оценить степень и место нарушений, а также определить прогноз дальнейшего течения имеющейся патологии.
По сути данный инструментальный метод исследования позволяет провести дифференциальный диагноз одышки по значению пикового потребления кислорода (VO2 peak) и является «золотым стандартом» оценки толерантности к физической нагрузке
Рисунок 4. Спироэргометрия

На самом деле, помимо скринингового исследования этот инструментальный метод является диагностическим методом с широким спектром возможностей
Рисунок 5. Показания к эргоспирометрии

который позволяет его использовать в различных областях медицины. В частности, такой показатель, как пиковое потребление кислорода (VO2 peak), позволяет уточнить риск периоперационных осложнений
Рисунок 6. Прогностическое значение пикового потребления кислорода (VO2 peak).

При этом методика позволяет достоверно оценить тяжесть хронической сердечной недостаточности у пациентов с ИБС
Рисунок 7. Тяжесть хронической сердечной недостаточности у пациентов с ИБС.

На сегодняшний день считается доказанным, что увеличение переносимости нагрузок на 1% приводит к снижению сердечно-сосудистой смертности на 2%, а VO2 peak является независимым предиктором смертности.
Используя систематические индивидуальные физические тренировки, врач-реабилитолог достигает «перехода» пациентов из класса в класс.
Вероятно, в практике любого врача-кардиолога имеются истории, демонстрирующие значимость визуализирующих методик в диагностическом алгоритме некоторых пациентов.
Показательной является история пациента К., 53 лет, который обратился в клинику кардиологии УКБ №1 в октябре 2016 года в связи с регистрацией парной желудочковой экстрасистолии на ЭКГ покоя. Из анамнеза было известно, что с 1996 года в анализе липидного спектра крови регистрировалась гиперхолестеринемия 9-12 ммоль/л. От приема статинов пациент отказывался. Ежедневно посещал фитнесс-клуб, и лишь при активном расспросе отмечал появление одышки в течение последнего года при длительной интенсивной ходьбе. Обращал также на себя внимание отягощенный семейный анамнез (у отца пациента имеется мультифокальный атеросклероз, клинически - немая ишемия миокарда).
Рисунок 8. Результаты холтеровского мониторирования пациента К., 53 лет (одиночная и парная желудочковая экстрасистолия).

Перед проведением нагрузочного тредмил-теста обращала на себя внимание частая одиночная мономорфная желудочковая экстрасистолия с резким учащением на пике нагрузки
Рисунок 9. Стресс-индуцированная мономорфная желудочковая экстрасистолия у пациента К. во время нагрузочного тредмил-теста.

Рисунок 10. Ишемическая динамика сегмента ST у пациента К., 53 лет. А - ЭКГ на пике нагрузки; Б - появление косонисходящей депрессии сегмента ST в восстановительном периоде.


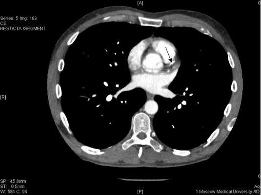
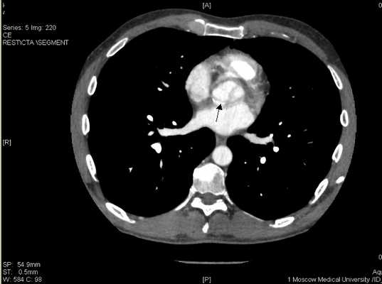
Поскольку от предложенной коронароангиографии пациент вновь отказался, была проведена мультиспиральная компьютерная томография коронарных артерий с контрастированием, которая продемонстрировала протяженный стеноз передней межжелудочковой артерии и окклюзию правой коронарной артерии
Рисунок 11. Стенозирующий атеросклероз коронарных артерий у больного К., 53 лет.
ПМЖВ в проксимальном сегменте имеет кальцинированную протяженную бляшку со стенозированием 50-75% (Указано стрелкой

ПКА в проксимальном сегменте окклюзирована (указано стрелкой), дистальный отдел и ЗМЖВ заполняются контрастным веществом.

Предложенный случай демонстрирует полное соответствие скринингового тредмил-теста и результатов одной из визуализирующих методик, однако в практической кардиологии нередко имеются случаи рассогласования результатов этих методов исследования.
Довольно показательным в этом смысле является случай пациентки М., 63 лет, которая обратилась в клинику кардиологии УКБ №1 ПМГМУ им. И.М. Сеченова по поводу давящих болей в области сердца, возникающих при подъёме в гору в течение последних 6 месяцев. В анамнезе также обращал на себя внимание затяжной эпизод давящих болей в области сердца, возникший около 2 месяцев назад. При стационарном обследовании была выявлена умеренная гиперхолестеринемия (6.8 ммоль/л), лоцирована уплотненная аорта при проведении трансторакальной эхокардиографии. С учетом эпизода затяжных болей в области сердца пациентке была проведена перфузионная сцинтиграфия миокарда с нагрузкой, где выявлен дефект перфузии боковой стенки в покое с переходом на заднюю стенку при нагрузке
Рисунок 12. Результаты перфузионной сцинтиграфии пациентки М., 63 лет: дефект перфузии боковой стенки в покое с переходом на заднюю стенку при нагрузке.

Также демонстративным является случай пациента Л., 54 лет, госпитализированного в стационар в декабре 2016 года с жалобами на давящий дискомфорт в области сердца, возникающий при ходьбе на 200 м с августа 2016 года и усилившийся в холодную погоду в декабре. При проведении трансторакальной эхокардиографии и нагрузочного тредмил-теста значимой патологии выявлено не было. Однако, с учетом наличия множественных факторов риска (мужской пол, возраст старше 40 лет, курение, гиперхолестеринемия 9 ммоль/л, отягощенный семейный анамнез, артериальная гипертензия) пациенту была проведена коронароангиография. Выявлен 90% стеноз передней межжелудочковой артерии (ПМЖА) и 70% стеноз диагональной артерии (ДА). После проведения стентирования ПМЖА на фоне терапии бисопрололом 5 мг/сут, клопидогрелем 75 мг/сут и аторвастатином 20 мг/сут в январе при ходьбе в холодную погоду пациент отметил возобновление болей в области сердца. Проведена перфузионная сцинтиграфия миокарда с нагрузкой
Рисунок 13. Результаты перфузионной сцинтиграфии миокарда пациента Л., 54 лет: стресс-индуцированный передне-боковой дефект перфузии на пике нагрузки при отсутствии значимой динамики сегмента ST.

где выявлены симптомы стресс-индуцированной ишемии миокарда. После стентирования 70% стеноза ДА была получена положительная динамика контрольной перфузионной сцинтиграфии миокарда. Пациент также отметил полное отсутствие болей при ходьбе.
Довольно типичной является история пациента Д, 62 лет, который обратился на амбулаторную консультацию с жалобами на боли в икроножных мышцах при ходьбе. При проведении дуплексного сканирования артерий ног были выявлены множественные значимые стенозы артерий нижних конечностей, что позволяло расценить жалобы как проявление облитерирующего атеросклероза артерий нижних конечностей. У такого пациента, безусловно, было необходимо исключение гемодинамически значимого стенозирующего атеросклероза коронарных артерий и немой ишемии миокарда, однако при попытке проведения тредмил-теста проба была неинформативной: боли в ногах возникли при достижении 60% возрастной нормы. При проведении трансторакальной эхокардиографии была выявлена гипокинезия нижней стенки левого желудочка.
Для решения вопроса о мультифокальности и необходимости проведения коронароангиографии пациенту был проведен добутаминовый тест как вариант стресс-эхокардиографии. Появление двухфазной реакции сократимости (двухфазный добутаминовый ответ) для этого пациента позволило бы не только решить вопрос необходимости проведения коронароангиографии, но и оценить необходимость реваскуляризации миокарда.
Как известно, подтверждением наличия жизнеспособного миокарда является увеличение сократимости сегментов с исходной сниженной сократимостью в ответ на введение низких (5-10 мкг/кг/мин) доз добутамина с последующим ухудшением сократимости в тех же сегментах на фоне введения высоких (20 мкг/кг/мин) доз.
У пациента Д. проба была положительной: как видно из представленной иллюстрации
Рисунок 14. Положительный результат добутаминового теста у пациента Д., 62 лет

имеется сужение полости левого желудочка с последующим ее расширением, что является признаком последовательного улучшения, а затем ухудшения сократимости. При проведении коронароангиографии у пациента было выявлено гемодинамически значимое многососудистое поражение коронарных артерий, а в дальнейшем успешно проведено аорто-коронарное шунтирование.
Таким образом, на сегодняшний день можно сказать, что неинвазивная диагностика ИБС представляет собой отлаженный, но не всегда очевидный алгоритм. Чаще всего мы используем визуализирующие методики диагностики ИБС (перфузионную сцинтиграфию миокарда с нагрузкой, стресс-эхокардиографию, мультиспиральную компьютерную томографию) при сомнительном результате скринингового нагрузочного теста или при невозможности его проведения (пациенты с облитерирующим атеросклерозом артерий нижних конечностей). Однако отсутствие типичной ишемической динамики сегмента ST у пациента с несколькими факторами риска ИБС оправданно позволяет использовать визуализирующие методики диагностики, несмотря на отрицательный результат первичного теста, поскольку именно клинический статус пациента в сочетании с данными его анамнеза позволяют определить единственно верный для каждого конкретного пациента алгоритм диагностики.
Читайте также:
