Диагностика микроаденомы гипофиза по КТ, МРТ
Добавил пользователь Евгений Кузнецов Обновлено: 22.11.2025
Магнитно-резонансная томография или МРТ гипофиза - современный, безопасный, безболезненный и высокоинформативный метод исследования мягкотканных структур головного мозга, который с высокой точностью показывает малейшие отклонения от нормы в их строении, особенностях кровоснабжения. Когда исследование завершено, его результат оформлен в виде снимков послойных срезов головного мозга. Эти фото позволяют специалисту точно разобраться, что показывает МРТ гипофиза и дать подробное заключение.
МРТ гипофиза, что показывает: показания, противопоказания, расшифровка МРТ гипофиза
МРТ гипофиза позволяет обнаружить патологические изменения на самых ранних этапах, начиная от аномалий развития, сосудистых нарушений, воспалительных процессов и заканчивая опухолями разной природы.
Дата загрузки: 2019-01-21
Видео — МРТ гипофиза, что показывает
Поскольку гипофиз имеет очень маленькие размеры и расположен в глубине головы, досконально изучить его структуру можно только с помощью МРТ. Ни один другой из существующих методов не способен дать настолько четкие фото и данные о состоянии гипофиза. Расшифровка результатов выполняется рентгенологом.
С помощью снимков МРТ гипофиза можно создать его трехмерное изображение с высокой степенью детализации. Это позволяет обнаружить патологические изменения на самых ранних этапах, начиная от аномалий развития, сосудистых нарушений, воспалительных процессов и заканчивая опухолями разной природы.
МРТ гипофиза выполняется с контрастом или без. Максимум информации предоставляет диагностика, проведенная с введением контрастного вещества на основе гадолиния. Это повышает четкость получаемых фото, а по особенностям его распределения в тканях можно с высокой точностью не только обнаружить доброкачественные и злокачественные опухоли, но и исследовать их локализацию, структуру, определить границы и заметить метастазы.
Чаще всего исследование проводится для диагностирования аденомы гипофиза и определения ее величины: микроаденомы (до 10 мм), макроаденомы (10—30 мм) и гигантской аденомы (более 30 мм). Также с его помощью обнаруживаются неоднородности структуры, асимметрия границ, изменения положения воронки гипофиза и ее структуры, а также деформации окружающих костных тканей.

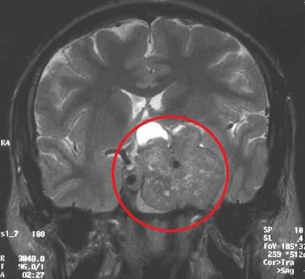
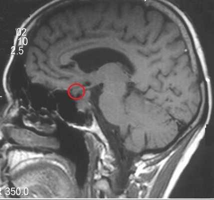
МРТ гипофиза. На МР-томограмме определяется гигантское образование неоднородной структуры (обведено) — макроаденома гипофиза.
Норма размер гипофиза на МРТ снимке
Нормальное МРТ гипофиза показывает отсутствие отклонений в его величине и структуре. Нормальными показателями для взрослого человека средней комплекции считаются:
- ширина - 6—8 мм;
- длина - 5—13 мм;
- высота - 3—5 мм.
В период физиологических гормональных колебаний (во время беременности или в пубертатном возрасте) эти показатели могут незначительно колебаться, что не является признаком патологии. Но если любой из этих параметром превышает 10 мм, это является признаком микроаденомы. Особое внимание при магнитно-резонансной томографии области турецкого седла уделяется показателям высоты гипофиза, поскольку другие изменяются значительно реже.
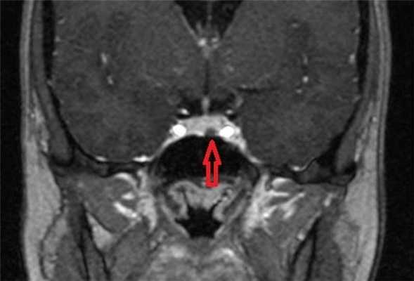
В норме воронка гипофиза должна располагаться на срединной линии, а сама железа - иметь однородную структуру и близкую к прямоугольной форму. Его нижний край должен напоминать изгиб турецкого седла, а верхний может быть выпуклым, прямым или вогнутым. На фронтальной проекции его части должны быть симметричны, но легкие отклонения не считаются патологией.

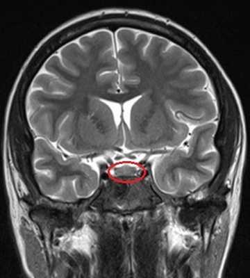
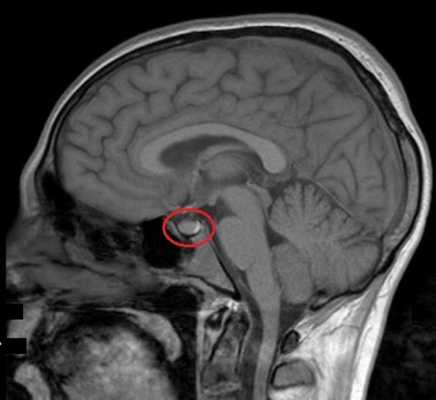
МРТ гипофиза в норме
Что такое и где находится гипофиз?
Гипофиз - центральный орган эндокринной системы, представляющий собой соединенную с головным мозгом округлую железу крошечных размеров (14—15 мм). Он расположен в костном кармане черепа, называемом турецким седлом.
Гипофиз имеет 2 основные доли: переднюю и заднюю. Передняя доля называется еще аденогипофизом и отвечает за продукцию:
- тиреотропного гормона (ТТГ);
- адренокортикотропного (АКТГ);
- фолликулостимулирующего (ФСГ);
- лютеинизирующего (ЛГ);
- соматотропного гормона (СТГ);
- пролактина (лютеотропного).
Задняя доля или нейрогипофиз в основном ответственна за накопление и поступление в кровь синтезированных гипоталамусом гормонов вазопрессина (АДГ) и окситоцина. Задняя и передняя доля гипофиза разделены тонким слоем клеток, синтезирующим меланоцитостимулирующие гормоны. Он называется промежуточной долей гипофиза.
Нарушения в работе этого органа приводят к возникновению серьезных гормонозависимых заболеваний, вызывая отклонения от нормы в росте, расстройства обмена веществ и нарушения репродуктивной функции. При патологиях задней доли могут наблюдаться изменения артериального давления, отклонения в работе сердца, дыхательной и выделительной системы. Поэтому изменениям гипофиза на МРТ уделяют особое внимание.
Показания и противопоказания к МРТ гипофиза
МРТ гипофиза с контрастом или без рекомендуется проводить при возникновении:
- частых головных болей;
- нарушений зрения, выпадений полей;
- признаков отставания в росте или, наоборот гигантизма;
- резкого беспричинного похудения;
- нарушений менструального цикла у женщин на фоне отсутствия инфекционно-воспалительных и других гинекологических заболеваний;
- бесплодия;
- нарушений обмена веществ;
- постоянной жажды, сопровождающейся обильным выведением мочи;
- эректильной дисфункции у мужчин, импотенции;
- резком ухудшении состояния кожи, волос;
- повышенной потливости;
- обнаружении изменений в показателях уровня гормонов в крови;
- повышенной утомляемости;
- колебаний артериального давления.


МРТ гипофиза (обведено) без контраста и с с контрастом. В норме гипофиз равномерно накапливает контрастное вещество — становится светлым.
Исследование в таких ситуациях назначает врач или пациент может самостоятельно записаться на диагностику. Но даже при наличии показаний к проведению МРТ головного мозга процедура может быть выполнена не всегда. Она противопоказана при наличии:
- встроенного кардиостимулятора или других имплантатов, сделанных из намагничивающихся материалов;
- металлических инородных тел в организме;
- крупных татуировок, сделанных с помощью красок с металлическими включениями.
Использование контрастного вещества недопустимо при аллергии на его компоненты, а также при беременности и почечной недостаточности. С соблюдением мер осторожности МРТ гипофиза с контрастом или без может проводиться при:
- эпилепсии;
- тяжелых состояниях, требующих постоянного контроля над жизненно важными показателями;
- психических расстройствах;
- сложностях с длительным сохранением неподвижного положения тела.
Но процедура не может быть проведена, если вес пациента превышает 120—200 кг, что обусловлено техническими возможностями конкретного томографа.
Особенности выполнения МРТ гипофиза с контрастом
МРТ гипофиза с контрастом или без не требует специальной подготовки. Но на исследование стоит приходить в одежде, на которой полностью отсутствуют любые металлические детали, включая пуговицы, косточки в бюстгальтере и т. д. Поскольку чаще всего рекомендуется делать МРТ с контрастом (при условии отсутствия противопоказаний), за час до него следует отказаться от употребления пищи.

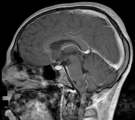
МРТ гипофиза с контрастом. После введения контрастного вещества в гипофизе происходит его накопления и он выглядит светлым. Только участок опухоли не накапливает контрастное вещество и выглятит темным (стрелка).
С собой следует взять:
- паспорт или свидетельство о рождении при выполнении обследования ребенку;
- направление от врача, в котором будет указана цель, зачем было назначено МРТ (не обязательно);
- результаты предыдущих исследований (при наличии).
Непосредственно перед процедурой пациент снимает все металлические украшения и другие предметы, оставляет мобильный телефон и направляется при необходимости в манипуляционный кабинет для установки внутривенного катетера. После этого его направляют в помещение где стоит томограф (процедурная МРТ).
Человек ложится на спину на специальную кушетку (выдвижной стол) аппарата, его тело и голова фиксируются мягкими лентами. Зачем это делается, объясняется необходимостью сохранять абсолютную неподвижность во время исследования. Так как во время работы томографа создается ритмичный шум, больному предлагают надеть наушники или использовать беруши. Также ему в руку дают “грушу”, позволяющей подать сигнал, если в ходе процедуры он почувствует себя плохо.
Если требуется провести магнитно-резонансную томографию человеку, страдающему клаустрофобией или испытывающему сильные переживания, предварительно ему дают седативное средство. В особенно сложных случаях, а также при обследовании детей используют седацию или общий наркоз.
После окончания всех приготовлений стол задвигается внутрь тоннеля МР-аппарата, медперсонал покидает помещение и включает томограф в режим сбора данных. Процедура длится 20—60 минут.
Когда обследование закончено, кушетка выезжает из томографа, пациента освобождают от фиксаторов и помогают подняться. Обычно после процедуры сохраняется нормальное самочувствие, но иногда может присутствовать незначительное головокружение, головная боль или тошнота. Эти ощущения связаны с действием контрастного вещества и проходят самостоятельно.
Когда назначают МРТ гипофиза
Существуют четкие показания, зачем назначают МРТ гипофиза. Чаще всего исследование делают с целью обнаружения опухолей, оценки их размеров, происхождения и степени опасности для жизни человека. Также МРТ делают, когда клиническая картина и результаты других исследований показывают нарушения уровня гормонов вырабатываемых гипофизом.
Поэтому прицельное сканирование области турецкого седла назначают для диагностики:
- аденомы гипофиза, представляющей собой доброкачественное новообразование, формирующееся из клеток железистого эпителия и способное сдавливать окружающие ткани (приводит к серьезным отклонениям от нормы в работе гипофиза);
- кист;
- злокачественных опухолей и их метастаз;
- несахарного диабета;
- синдрома Иценко-Кушинга;
- первично или вторично пустого турецкого седла;
- гиперпролактинемического гипогонадизма.
Процедуру назначают также, когда у пациента диагностированы нарушения работы эндокринных желез, и они не поддаются лечению в течение длительного периода времени. Еще одним показанием к тому, зачем проводят МРТ гипофиза, являются травмы головы, после которых возникли любые из описанных выше нарушений. Это позволит обнаружить гематомы, оказывающие механическое давление на орган. Исследование проводится также в рамках подготовки к нейрохирургическому вмешательству и для оценки его эффективности.


МРТ гипофиза до и после операции по удалению макроаденомы гипофиза
Расшифровка МРТ гипофиза
Расшифровка снимков занимает от 30 до 90 минут. В это время рентгенолог сравнивает полученные показатели с нормальными, что позволяет обнаружить патологические изменения любого характера.
В выдаваемом специалистом заключении обязательно указывается локализация, форма и измеренные на МРТ размеры гипофиза. Радиолог описывает структуру железы, расположение воронки, толщину задней стенки турецкого седла, а также особенности окружающих тканей и кровеносных сосудов. Если в ходе МРТ обнаружена патология гипофиза или опухоль, врач внесет подробные данные о ее локализации, предполагаемой природе, величине и структуре в протокол.
Пациент может дождаться расшифровки результата и получить заключение на руки вместе со снимками или цифровым носителем или же они могут быть направлены сразу же лечащему врачу. Окончательный диагноз ставится доктором на основании обнаруженных при магнитно-резонансной томографии патологических изменений с учетом других данных и клинической картины.
Что покажет МРТ гипофиза - процедура, подготовка, расшифровка

МРТ гипофиза - это высокоинформативный метод томографического, то есть, послойного сканирования области турецкого седла, в котором находится питуитарная железа. Альтернативное название МРТ турецкого седла или МРТ питуитарной железы. Принцип работы магнитно-резонансного томографа заключается в послойном сканировании тканей головного мозга в различных проекциях и создания объемных 3D изображений. Процедура достаточно проста в применении - она не требует сложной подготовки, выполняется в короткие сроки, безболезненна, имеет минимальные побочные явления и противопоказания.
Показания
Сделать томографию данного участка головного мозга в диагностических центрах Санкт-Петербурге можно как по рекомендации невролога, гинеколога, эндокринолога, так и по личной инициативе пациента. Обычно направление на МРТ гипофиза выдается лечащим врачом пациента при наличии:
- нарушений в работе гормональной системы;
- сахарного диабета;
- черепно-мозговых травм;
- расстройства функционирования эндокринной системы;
- подозрения на кисту или микроаденому гипофиза.
Что покажет МРТ гипофиза с контрастом
Поскольку данный орган головы очень мал в размерах (в среднем от 5 до 13 мм), для получения максимально точных томограмм в большинстве случаев МРТ гипофиза делают с контрастом. В ходе обследования получаются изображения области турецкого седла в корональной, аксиальной и сагиттальной проекциях. Рентгенолог по данным снимках в своем заключении отметит следующие особенности:
- размеры гипофиз в турецком седле и возможные увеличения структур;
- расположение воронки гипофиза;
- признаки деформации хиазма и супраселлярной цистерны;
- расстояние от хиазмы до верхнего контура гипофиза;
- однородность или неоднородность структур аденогипофиза;
- состояние медиобазальных отделов височных долей;
- качество внутренних сонных артерий;
- состояние соседних структур головного мозга - боковые желудочки;
- признаки патологии в зоне зрительного перекреста;
- состояние медиобазальных отделов височных долей.
МРТ гипофиза видео
МРТ при микроаденоме гипофиза
Микроаденома гипофиза - это частный случай доброкачественного очагового образования небольших размеров. По данным медицинской статистики подобные изменения ткани железы встречаются у 10-15% населения Санкт-Петербурга. В подавляющем большинстве случаев такое новообразование не имеет никаких клинических проявлений. Свое влияние на состояние здоровья пациента аденома гипофиза может оказывать в том случае, если ее размеры увеличиваются, и она начинает давить на соседние структуры, вызывая неврологические патологии или гормональные сбои.
Поскольку диагностировать микроаденому по клиническим симптомам сложно, ее визуализация возможна только с помощью магнитно-резонансной томографии. Признаками микроаденомы на МРТ станут:
- При нативном сканировании в отделах аденогипофиза определяется зона гипоинтенсивного МР-сигнала на Т1-ВИ, округлой формы, с четкими, неровными контурами.
- После внутривенного введения парамагнитного контрастного препарата контрастное усиление выражено неравномерно, определяется равномерное накопление контрастного препарата неизмененной тканью гипофиза с задержкой контрастирования от выявленного участка в аденогипофизе.
МРТ гипофиза - киста кармана Ратке
Область гипофиза также подвержена кистозным изменениям. Кистозные образования в зоне турецкого седла встречаются существенно реже, чем в мозговом веществе и оболочках. Известны следующие разновидности гипофизарных кист:
- Кармана Ратке
- Интермедиальная
- Эпидермальная
- Коллоидная
- Паразитарная
- Арахноидальная
Киста — это полое новообразование, заполненное жидкостью. Она носит доброкачественный характер и редко увеличивается в размерах. Самой распространенной формой кист гипофиза является киста кармана Ратке - образование, развивающееся между двумя долями гипофиза у основания головного мозга. Чаще всего киста кармана Ратке образуется во время эмбриологического развития из предшественника гипофиза. Диагностика данного кистозного образования возможна с помощью МРТ гипофиза. Признаками кисты Ратке на МРТ будет:
- на нативных изображениях между нейро- и аденогипофизом определяется зона измененного МР-сигнала с ровными четкими контурами, гипоинтенсивного МР-сигнала на Т1-ВИ, гиперинтенсивного на Т2-ВИ.
Процедура
МРТ гипофиза проходит абсолютно безболезненно и не вызывает чувства дискомфорта. Обследование осуществляется с помощью магнитно-резонансного томографа со сканирующим блоком, компьютером и выдвижной частью для размещения пациента. Внутри сканирующего блока расположен мощный магнит и радиочастотный датчик. Когда голова пациента попадает в зону обследования, под воздействием электромагнитного поля в клетках тканей головы атомы водорода начинают совершать колебательные движения. Специальные датчики томографа преобразуют данные об этом резонансе в трехмерные изображения на экране компьютера. Эти томограммы просматривает и интерпретирует диагност. На их основании он составляет свое рентгенологическое заключение.
Сколько длится МРТ гипофиза
- Средняя продолжительность томографии составляет 10 -15 минут в нативной бесконтрастной версии. потребует 35-45 минут.
- Подготовка рентгенологического заключения занимает 30-40 минут. В сложных случаях анализ томограмм и процедура второго независимого мнения может занять до 48 часов.
Результаты
Итогом магнитно-резонансной томографии гипотеза станет серия снимков зоны турецкого седла, записанная на электронный или пленочный носитель, и заключение врача.
Пример МРТ заключения гипофиза
- На серии МР-томограмм расположение и форма турецкого седла в пределах нормы. Края его дна и стенок четко ограничены от окружающих тканей.
- Гипофиз нормального положения, равномерной однородной структуры, с ровными контурами, верхний контур слегка вогнут. Размеры железы: переднезадний 9мм, высота 4мм, латеральный 16мм. Патологически измененного сигнала от ткани гипофиза не выявлено.
- После внутривенного введения контрастного вещества определяется равномерное его накопление в ткани железы, участков задержки его накопления, патологического накопления в ткани железы не определяется.
- Воронка симметрична, нормальных размеров, расположена по срединной линии. Хиазма не изменена. Расстояние от верхней поверхности гипофиза до хиазмы 9мм. Расстояние между медиобазальными отделами височных долей 31мм.
- Кавернозные синусы не деформированы. Зрительный перекрест, сифоны сонных артерий не изменены.
- Прилежащие отделы головного мозга не изменены.
- Пазуха клиновидной кости четко прослеживается, пневматизация ее не изменена.
Заключение: МР-признаков микроаденомы гипофиза не определяется.
Противопоказания
МР-томография имеет ряд ограничений. Пациенты, у которых стоят несъемные стальные протезы или железные штифты, не смогут пройти данное обследование, поскольку сильное магнитное поле томографа может нагреть или сдвинуть эти импланты, создав угрозу кровотечения или ожога.
Ограничением к МРТ могут стать кардиостимуляторы или другие электронные приспособления в теле. Магнитное поле томографа может вывести из строя эти искусственные водители ритма. Чтобы ответить, можно ли делать с вашим имплантом диагностику, нужно посмотреть в паспорте изделия наличие отметки - “совместим с МРТ”.
Иногда противопоказанием к МР-исследованию является боязнь закрытого пространства, хотя, если клаустрофобия находится в легкой степени, седативное средство, применяемое до исследования, упростит прохождение процедуры таким пациентам.
От чего зависит стоимость томографии гипофиза
| Вид исследования | Минимальная Цена | Цена на 3 Тесла |
|---|---|---|
| МРТ головного мозга | от 2800 руб. | от 5200 руб. |
| МРТ сосудов головного мозга | от 2800 руб. | от 8200 руб. |
| МРТ гипофиза | от 2800 руб. | от 5200 руб. |
| МРТ пазух носа | от 2800 руб. | от 5200 руб. |
| МРТ орбит и зрительных нервов | от 3200 руб. | от 5200 руб. |
| МРТ уха и слуховых нервов | от 3200 руб. | от 5200 руб. |
| МРТ черепно-мозговых нервов | от 3200 руб. | от 5200 руб. |
| Стоимость введения контрастного вещества | от 3500 руб. | от 3500 руб. |

Разница между МРТ головного мозга и гипофиза
МРТ гипофиза не следует путать с МРТ головного мозга. В ходе томографии мозга гипофиз визуализируется, но менее прицельно, и врач может провести только обзорную оценку железы. Магнитно-резонансная томография гипофиза - это узконаправленное исследование, когда фокусом сканирования становится именно сама питуитарная железа и зона турецкого седла. Иногда врачи могут назначить комплексную МРТ головного мозга и гипофиза. Обычно поводом для такого обследования являются подозрения на обширные опухолевые поражения.
МРТ или КТ гипофиза - что лучше
МРТ гипофиза является приоритетным методом сканирования зоны турецкого седла и питуитарной железы. Магнитно-резонансное обследование структур головного мозга обладает большей информативностью и не оказывает лучевого влияния на организм обследуемого. КТ гипофиза используют в основном в качестве альтернативы магнитно-резонансной томографии, когда у пациента есть противопоказания к МРТ. Выбор между МРТ и КТ зависит исключительно от наличия соответствующих показаний для обследования тем или иным образом. КТ гипофиза не рекомендуется проводить чаще одного раза в полгода, поэтому, в случае необходимости повторного исследования, назначают магнитно-резонансную томографию.
КТ гипофиза с контрастом и без: как подготовиться, кому противопоказана, что показывает?
КТ гипофиза (с контрастомили без) - это неинвазивный диагностический метод исследования одной из желёз эндокринной системы организма человека, а также тканей, её окружающих. Расположен гипофиз в головном мозге. Его размер варьируется от 15 до 17 мм в поперечном сечении, а вес составляет примерно 1 гр. Несмотря на такие скромные размеры, гипофиз выделяет огромное количество гормонов, и сбой в его работе всегда отражается на самочувствии человека.
Что показывает компьютерная томография гипофиза?
С помощью КТ гипофиз можно увидеть в разрезе в различных проекциях. По снимкам оценивается состояние и структура костных образований (например, турецкого седла, находящегося в непосредственной близости с железой), а также мягких тканей. Изменённая структура костных образований косвенно свидетельствует о возникновении объёмного образования (опухоли) в области гипофиза.
Существует несколько вариантов изменения структуры костей:
- турецкое седло увеличилось;
- разрушились отростки и спинка турецкого седла;
- разрушилось турецкое седло, а также костная ткань основания черепа.
Показания и противопоказания для проведения КТ гипофиза
Существуют следующие показания для проведения КТ гипофиза: частые головные боли, нарушение обмена веществ (и как следствие - ожирение), нарушение менструального цикла, зрения, подозрение на аденому гипофиза, на наличие гормонально неактивных новообразований или сосудистых патологий.
Существую и противопоказания для КТ, их можно разделить на:
- Абсолютные: беременность, чрезмерная масса тела человека (в зависимости от максимально допустимой нагрузки на рабочий стол аппарата КТ).
- Относительные: грудное вскармливание, почечная недостаточность (тяжёлая форма), детский воздаст до 14 лет, множественная миелома (онкозаболевание крови).
Как подготовиться к КТ гипофиза?
Стоит ограничить стрессы и волнения, подойти к процедуре спокойно. Непосредственно перед КТ-сканированием нужно снять с себя все металлсодержащие элементы, например серьги, браслеты, часы и так далее.
Как проходит обследование?
Аппарат КТ состоит из выдвижного стола и самого томографа. Перед процедурой пациент ложится на стол. Для фиксации тела и удобства используются специальные ремни и подушки. Далее рабочий стол задвигают в кольцо томографа. Специалист-рентгенолог выходит из комнаты, включает аппарат и ведёт наблюдение за пациентом через специальное окно. О своих ощущениях и самочувствии пациент может сообщить медперсоналу при помощи голосовой связи. Длится процедура КТ примерно 15-20 минут. После этого рентгенолог оценивает полученные снимки и приступает к их расшифровке.
КТ гипофиза с контрастом
Если костные ткани на снимках КТ визуализируются достаточно хорошо, то правильно оценить структуру мягких тканей, окружающих гипофиз, можно только с использованием контрастного усиления. Для этого перед КТ пациенту внутривенно вводятся вспомогательные йодсодержащие препараты. Также возможен вариант, когда контраст подаётся в кровь пациента в течение всей процедуры сканирования (болюсное введение). Для этого используются специальные приборы, называемые инжекторами.
Для использования контрастного усиления существует ряд противопоказаний:
- аллергия на йодсодержащие препараты;
- почечная или печёночная недостаточность;
- беременность и лактация;
- сахарный диабет.
Расшифровка КТ гипофиза
В процессе расшифровки снимков КТ специалист анализирует размеры, структуру гипофиза, а также оценивает состояние мягких и костных тканей, окружающих железу. Выявленные патологические изменения соотносятся с симптоматикой возможных заболеваний. Проводится расшифровка в течение часа после получения снимков. Затем снимки вместе с заключением врача передаются пациенту.
Как часто можно делать КТ гипофиза?
В процессе сканирования КТ-аппарат создаёт ионизирующее излучение, которое может оказать негативное влияние на здоровье человека. Конечно, в рамках одной процедуры КТ ущерба здоровью пациента не причиняется, но повторять такое исследование многократно в течение года нельзя. Специалисты рекомендуют проходить КТ один раз в полгода. Если требуется более детальное исследование гипофиза и постоянная оценка динамики развития заболевания, используется другой метод диагностики - магнитно-резонансная томография (МРТ).
Заболевания гипофиза: кисты, аденомы гипофиза
Гипофиз - это участок головного мозга, который отвечает за выработку гормонов, регулирующих многие важные для полноценной работы организма человека функции. Иногда клеточная структура гипофиза под воздействием различных факторов начинает меняться, что приводит к появлению новообразований. Новообразования могут носить доброкачественный и злокачественный характер (также доброкачественные образования могут перерождаться в злокачественные).
Что же это такое, аденома гипофиза головного мозга? Чаще всего встречаются доброкачественные опухоли, которые поражают переднюю долю гипофиза. Данный тип опухоли головного мозга относится к категории первичных и встречается относительно часто у мужчин и женщин в возрасте 20-40 лет, характеризуется медленным ростом, доброкачественной структурой, часто ее невозможно выявить без глобального обследования и глубокой диагностики у хорошего специалиста.
Если опухоль гипофиза имеет малые размеры (до 1 см), ее наличие никак себя не проявляет. Такое бессимптомное течение может или не отражаться на жизни человека, или медленно влиять на некоторые функции организма. Основное влияние опухоли проявляется, когда она является гормонально активной или имеет большие размеры, что приводит к воздействию на соседние с гипофизом структуры мозга или утрате активности гормонально-активных структур самого гипофиза.
Симптомы аденомы гипофиза головного мозга и виды у женщин и мужчин
Опухоль может быть гормонально-активной, то есть производить те или иные гормоны и гормонально-неактивной, то есть не синтезировать никакие гормоны. Существуют разные критерии классификации опухоли.
Среди них три основных:
- размер опухоли и ее месторасположение (относительно турецкого седла);
- происходит ли выработка гормонов;
- по типу гормонов, которые производятся в избытке.
Например, если опухоль имеет размер меньше 10 мм, то речь идет о микроаденоме, такая опухоль не выходит за пределы костного вместилища гипофиза - турецкого седла. Опухоль способна провоцировать выработку таких гормонов, как пролактин, АКТГ, гормон роста, ТТГ и т.д. В зависимости от типа вырабатываемого гормона опухоль проявляет себя теми или иными симптомами.
Гормонально активные аденомы гипофиза делятся на следующие виды:
- аденома, продуцирующая гормон роста (соматотропинома);
- аденома, продуцирующая пролактин (пролактинома);
- аденома, осуществляющая секрецию адренокортикотропного гормона (кортикотропинома);
- аденомы, продуцирующия тиреотропный гормон (тиреотропинома) и гонадотропные гормоны - лютеинизирующий и фолликулостимулирующий гормоны (гонадотропиномы)- встречаются крайне редко.
Каковы симптомы аденомы гипофиза?
Наличие опухоли может протекать совершенно бессимптомно или, наоборот, проявляться следующими признаками:
- изменения гормонального фона и нарушение деятельности гормональной системы
- сильные головные боли и проблемы со зрением;
- повышение активности эндокринных желез;
- снижение либидо, импотенция, сексуальные расстройства;
- быстрая утомляемость, слабость, депрессия;
- увеличение веса, стрии;
- сухость кожи;
- снижение аппетита, тошнота, головокружения.
У детей аденома гипофиза с повышением продукци гормона роста вызывает гигантизм.
Гормонально-неактивные аденомы не вызывают эндокринных нарушений и иногда могут вообще не проявлять себя никакими симптомами. Обнаружение опухоли может произойти случайно при проведении каких-либо обследований или подозрении на другие заболевания.
Аденома (киста) гипофиза у женщин при беременности
Этот тип опухоли относится к категории пролактосекретирующих, то есть вырабатывающих излишнее количество гормона пролактина, который в данном состояни у женщин и так значительно повышен физиологически. При любых признаках и подозрениях пациентке необходимо обратиться к врачу.
К какому врачу обращаться при аденоме гипофиза?
Все зависит от конкретного пациента и его истории болезни, но лечением и наблюдением за пациентами с опухолями мозга занимаются в основном такие специалисты, как эндокринолог, нейрохирург.
В медицинской центре «Энерго» в Санкт-Петербурге вы можете получить профессиональную помощь в диагностике и лечении аденомы гипофиза. В нашей клинике используют современное оборудование для проведения диагностических и исследовательских процедур, а также работают специалисты высокой категории.
Последствия и осложнения аденомы (кисты) гипофиза головного мозга
В большинстве своем аденомы носят доброкачественный характер и никак себя не проявляют. Но увеличение опухоли в размерах может привести к механическому повреждению и сдавливанию близлежащих участков головного мозга. Чем опасна аденома гипофиза?
Тем, что она приводит к одному или нескольким последствиям в виде эндокринных, зрительных или неврологических нарушений:
- избыточная продукция некоторых гормонов может привести к замедленному развитию детей и подростков или напротив к преждевременному половому созреванию, появлению симптомов различных эндокринных нарушений, в зависимости от того, какой гормон вырабатывается в избытке или наоборот, не вырабатывается из-за влияния опухоли;
- перерождение в кистозную аденому гипофиза (ликворная, коллоидная и т.д. киста головного мозга);
- в некоторых случаях развивается несахарный диабет, что проявляется выраженной жаждой и частым мочеиспусканием;
- при аденоме гипофиза с кровоизлиянием в нее возникают проблемы со зрением и различные по интенсивности и типу нарушения сознания, неврологические нарушения.
В любом случае, какие бы симптомы и признаки опухоли вы ни отмечали у себя или близких, консультация врача-эндокринолога необходима. Ранняя диагностика признаков и причин позволит свести последствия и опасность опухоли к минимуму и не допустить рецидивов.
Причины возникновения аденомы гипофиза
Причины возникновения этого вида опухоли головного мозга сегодня до конца не установлены и не изучены, но есть ряд факторов, которые могут спровоцировать возникновение новообразования:
- повреждение тканей гипофиза;
- генные нарушения;
- инфекционные заболевания нервной системы;
- травмы головы.
Аномальное развитие клеток гипофиза может быть вызвано разными факторами. Иногда причиной называют частое применение оральных контрацептивов. Необходимо отметить, что роль наследственности в возникновении опухоли гипофиза однозначно не доказана.
Первичный прием при лечении аденомы (кисты) головного мозга подразумевает полную консультацию у врача, то есть сбор жалоб пациента, сбор анамнеза, а также осмотр пациента (измерение роста, веса, давления и т.д.). Кроме этого, могут быть проведены необходимые фоновые гормональные исследования и функциональные пробы. Также доктор отправляет пациента на обследование.
Один из эффективных и часто назначаемых методов диагностики аденомы гипофиза - это МРТ (магнитно-резонансная томография с применением контрастного вещества).
Также могут быть назначены следующие анализы и обследования:
- компьютерная томография
- анализ крови на гормоны;
- неврологическое исследование;
- консультация офтальмолога при нарушениях зрения.
Для каждого пациента с аденомой гипофиза составляется свой план обследования, которое нужно пройти обязательно, и которое позволяет понять, как лечить пациента.
В выборе тактики лечения играют роль:
- размер и локализация опухоли;
- давление на окружающие структуры, в частности, изменения со стороны турецкого седла;
- характер роста образования;
- выявление эндокринных расстройств,
- наличие офтальмологических нарушений.
Правильно подобранный план диагностики позволит поставить точный диагноз (или опровергнуть его), выявить все необходимые данные (признаки и причины аденомы или кисты гипофиза у женщин и мужчин) и разработать эффективный план удаления опухоли.
Повторный прием
Повторный прием подразумевает начало лечения (удаление аденомы гипофиза или консервативная терапия без операции), определение сроков и методов, а также составление индивидуального плана посещений. В план лечения обязательно входит определение противопоказаний при данном заболеваний и постоянный контроль за пациентом.
Какие методы может включать план лечения:
- хирургическое удаление аденомы гипофиза (эндоскопическое трансназальное (удаление через нос) или транскраниальное вмешательство): кардинальный метод решения проблемы, как правило в послеоперационном периоде требуется назначение заместительной гормональной терапии, а также наблюдение эндокринолога;
- лучевая терапия или радиохирургия, которая имеет ограничение по размерам опухоли: назначается в качестве основного или вспомогательного метода лечения (часто назначается пожилым пациентам);
- медикаментозное лечение (лекарственная терапия), также медикаменты могут быть назначены в качестве подготовки к основным этапам лечения.
Лечение пациента напрямую зависит от симптоматики и размера опухоли гипофиза, при ярко выраженных симптомах гормональной дисфункции, а также зависит от возраста пациента и общего состояния здоровья.
Контрольный прием
В зависимости от метода лечения и сложности случая, определяется срок нахождения пациента в стационаре. После выписки пациент должен строго следовать программе реабилитации, чтобы избегать рецидивов и появления симптомов аденомы гипофиза, посещать врача согласно индивидуальному плану визитов.
В зависимости от случая, происходит полное или частичное восстановление пациента (зрительные функции восстанавливаются полностью только на ранних стадиях). Если пациенту диагностировали опухоль гипофиза, к полноценной деятельности и физическим упражнениям пациент может приступать не ранее чем через несколько месяцев и только с разрешения врача.
В особо тяжелых случаях (при необратимых зрительных и эндокринных расстройствах) пациенту определяется бессрочная инвалидность. В любом случае пациент должен находиться под контролем специалистов.
Предотвратить появление аденомы в первый раз практически невозможно, поскольку причины возникновения опухоли точно не установлены и до конца не изучены. Поэтому желательно при появлении любых вышеописанных симптомов (например, при нарушении зрения, симптомах Кушинга и т.д.) обязательно обращаться к врачу. Чем раньше будет поставлен диагноз, тем быстрее и легче будет проходить лечение и восстановление.
Что делать, чтобы избежать рецидивов и быстрее восстановиться после лечения?
На этот вопрос может ответить только лечащий врач, поскольку только он знает историю болезни и начальное состояние пациента.
Тем не менее есть ряд мер, которые могут быть упомянуты в качестве профилактики:
- регулярные профилактические осмотры у врача;
- избегать черепно-мозговых травм;
- своевременное и полноценное лечение инфекционных заболеваний;
- своевременное лечение гормональных нарушений.
При подозрении на опухоль головного мозга нельзя откладывать визит к врачу.

Наши медицинские центры
- Взрослое отделение
- Диагностика
- Консультации
- Центр лечения боли
- Центр здоровья сердца
- Центр здоровья женщины
- Центр эндокринологии
- Детское отделение
- Массаж
- Нефрология
- Оториноларингология
- Офтальмология
- Эндокринология
Запись по ОМС на МРТ и КТ
Включить версию для слабовидящих?
Настоящим я даю своё согласие ООО «Диагностический центр «Энерго» (далее - Общество) (ИНН: 7810812758, юридический адрес - 196084, город Санкт-Петербург, ул. Киевская, д. 5 к. 4, помещ. 20-н), далее - «Оператор», и третьим лицам, осуществляющим обработку моих персональных данных по поручению Оператора, на обработку указанных сведений обо мне, в целях содействия в трудоустройстве.
Я соглашаюсь на сбор, запись, систематизацию, накопление, хранение, уточнение (обновление, изменение), извлечение, использование, передачу (предоставление, доступ), блокирование, удаление, уничтожение моих персональных данных, а также на осуществление любых других действий, предусмотренных действующим законодательством Российской Федерации, совершаемых с использованием средств автоматизации или без использования таких средств.
Настоящее согласие дано мною лично и добровольно. Настоящее согласие действует до момента его отзыва при отсутствии у Оператора других законных оснований для обработки персональных данных и может быть отозвано мной в любой момент в письменной форме путем направления уведомления Оператору по адресу, указанному выше.
Мы используем cookie-файлы, IP-адреса и данные об устройствах для аналитики, чтобы Ваше посещение сайта было удобным и персонализированным. Вы можете отключить cookie-файлы в настройках вашего браузера. Продолжая пользоваться нашим сайтом, Вы даете согласие на обработку перечисленных данных и принимаете условия Политики обработки и обеспечения безопасности ПДн.
МРТ, УЗИ или КТ при опухоли гипофиза - что покажет

МРТ гипофиза с контрастом является аппаратным методом диагностики опухоли гипофиза. Исходя из первичных симптомов, истории болезни, противопоказаний и диагностических целей, врач эндокринолог назначает необходимые способы обследования.
В большинстве случаев, МРТ гипофиза с контрастом выбирается как первичный метод диагностики. Если результаты исследования носят тревожный или неясный характер, дополнительно назначается:
Что лучше сделать УЗИ, МРТ или КТ?
Выбор необходимого способа обследования должен осуществлять опытный врач. Назначение метода диагностики специалист делает исходя из самочувствия пациента, симптомов заболевания, противопоказаний и целей диагностики.
С точки зрения лучевой нагрузки
Лучевую нагрузку имеет КТ (МСКТ) и рентгенография. Получаемая доза облучения при обследовании — это не постоянная величина. Она зависит от нескольких факторов: какой участок обследуется (доза облучения для разных протоколов отличается), мощности КТ или рентген аппарата. Средняя доза при КТ-исследовании составляет от 2 до 15 мЗв. Средняя доза при рентгенологическом исследовании варьируется от 0.03 до 7 мЗв.
Из-за негативного влияния облучения на ткани и уже существующих патологических процессов в организме специалисты рекомендуют проходить КТ-исследование только по назначению лечащего врача. Пациентам младше 18 лет в медицинских клиниках Санкт-Петербурга компьютерную томографию возможно сделать только при наличии направления врача и в сопровождении родителей или законных представителей.
МРТ и УЗИ — это методы диагностики, которые не имеют лучевой нагрузки. Поэтому эти обследования пациент может осуществлять по личной инициативе.
С точки зрения доступности
В медицинских центрах Санкт-Петербурга самым доступным методом диагностики является УЗИ и рентген. МРТ и КТ — это экспертные и дорогостоящие виды обследования. Поэтому их врачи обычно назначают в качестве дополнительной диагностики, если первичные сканирования выявили серьезную патологию или пациенту нужно дообследование.
С точки зрения стоимости
Самыми экономичными видами исследования являются УЗИ и рентгенография. Компьютерная томография и магнитно-резонансная томография — это высокотехнологичные способы обследования, поэтому их стоимость будет существенно выше УЗИ или рентгена.
С точки зрения противопоказаний
УЗИ является безвредным методом диагностики, у него нет противопоказаний. Оно доступно для всех пациентов вне зависимости от возраста. МРТ имеет два основных противопоказания - это наличие металла и электронных приборов в теле пациента. Из-за лучевой нагрузки компьютерная томография имеет самые строгие противопоказания. Ее нельзя проводить беременным женщинам и не рекомендуется делать детям до 5 лет.
Читайте также:
- Синдром Паннера (Panner)
- Техника, этапы операции реконструкции связок по поводу хронической медиальной нестабильности голеностопного сустава
- Диабетическая стопа: причины, симптомы и лечение
- Фотографии ретинобластом среднего размера
- Диагностика легионеллезов. Принципы микробиологической диагностики легионелл. Лечение легионеллезов. Методика лечения легионеллезов.
