Фотографии ретинобластом среднего размера
Добавил пользователь Евгений Кузнецов Обновлено: 08.01.2026
Ретинобластома — это редкий тип рака глаз. Чаще всего поражает детей в возрасте до 5 лет. Может быть поражен один или оба глаза.
- «ретино» означает от сетчатки
- «бласт» означает клетки в раннем развитии
- «ома» означает группу клеток или опухоль
При болезни может быть поражен один глаз, заболевание будет называется односторонней ретинобластомой. Двусторонняя ретинобластома — когда поражено оба глаза.
У кого развивается ретинобластома?
Ретинобластома чаще всего поражает детей в возрасте до 5 лет. Ежегодно в мире у 1 из 20 000 новорожденных детей диагностируют ретинобластому. Хотя болезнь может быть очень опасной и пугающей для ребенка и его родителей, более 9 из 10 детей (90%) вылечиваются.
У детей болезнь с поражением обоих глаз обычно диагностируются в первый год жизни. Тем, у кого поражен один глаз, как правило, диагноз ставится чуть позже, часто в возрасте от 2 до 3 лет.
Причины и обследование
Некоторые дети рождаются с изменением (мутацией) в гене ретинобластомы (известный как ген RB1), которое они наследуют от одного из своих родителей. Изменения гена может происходить на самых ранних стадиях их развития в утробе матери.
Около 4 из 10 детей с диагнозом (40%) имеют этот наследственный тип, который часто поражает оба глаза. У детей, у которых нет этого наследственного типа ретинобластома развивается только в одном глазу.
Врачи не знают, что вызывает оставшиеся 60% ретинобластом. Но эти не наследуемые типы почти всегда затрагивают только один глаз.
Дети, у которых есть родитель, брат или сестра, у которых была ранее ретинобластома, должны пройти обследование на наличие ретинобластомы. Ребенку обычно необходимо проходить скрининг после рождения до 3 лет. Обследования включают в себя регулярные осмотры под общим наркозом. Как часто и как долго ребенок проходит обследование, зависит от уровня риска.
У некоторых детей также могут взять кровь на анализ гена RB1. Это возможно, только если член семьи, у которого была ретинобластома провериться первым.
Небольшая анатомия глаза

Чтобы понять, как развивается ретинобластома, нужно немного узнать о глазах и о том, как они работают. На глаз 3 основные части:
- глазное яблоко
- орбита
- вспомогательные структуры (или придаточные структуры), включая слезные железы и веко.
Глазное яблоко заполнено желеобразным веществом под названием стекловидное тело. У него спереди линза. Линза покрыта цветной частью глаза, называемой радужной оболочкой.
Как развивается ретинобластома?
Ретинобластома — это рак сетчатки. Когда ребенок растет в утробе матери, глаза — это одни из первых органов, которым нужно развиваться. На самых ранних стадиях глаза имеют клетки, называемые ретинобластами, которые очень быстро растут. Позже они перестают расти и трансформируются в зрелые клетки сетчатки, которые могут обнаружить свет.
Очень редко незрелые ретинобласты продолжают быстро расти и не трансформируются в зрелые клетки сетчатки. Вместо этого они выходят из-под контроля и превращаются в раковую опухоль под названием ретинобластома.
Если опухоль не лечится, клетки продолжают расти, и рак заполняет большую часть глазного яблока. Он также может распространиться на другие части глаза и начать блокировать поток жидкости внутри глаза. Это приводит к увеличению давления и может привести к потере зрения.
Большинство ретинобластом обнаруживаются на ранних стадиях и успешно лечатся до того, как распространятся за пределы глазного яблока. Если ретинобластомы распространяются (метастазируют), опухоль может попасть в любую точку тела, включая мозг, кости и лимфатические узлы. При распространении их трудно лечить.
Симптомы ретинобластомы
Большинство детей с ретинобластомой кажутся здоровыми. Но два общих признака, которые родители впервые замечают у своего ребенка:

Зрачок может выглядеть белым, как кошачий глаз, отражающий свет. Иногда это замечается на фотографиях, когда используется вспышка, и зрачок выглядит белым, а не типичным красным цветом. Ребенок может и не видеть или глаз может быть красным и воспаленным. Дети обычно не жалуются на боль.
В очень редких случаях ребенок, который не набирает вес или нормально не развивается, может быть направлен к детскому врачу-специалисту (педиатру). Во время обследования ребенка в анализе крови обнаруживается аномальный ген ретинобластомы (RB1).
Срочное направление к специалисту
Стадии ретинобластомы
Стадия рака укажет, насколько она велика и распространилась ли. Как лечится ретинобластома, зависит именно от стадии опухоли.
Ретинобластома имеет 2 основные стадии:
- Внутриглазная ретинобластома: опухоль полностью в глазу и не распространился. Специалист вашего ребенка более точно помещает опухоль в одну из нескольких более точных подгрупп (от A до E) в зависимости от размера и положения опухоли в глазу. У большинства детей диагностируется это локализованное заболевание. Более 9 из 10 этих детей (90%) излечиваются.
- Внеглазная ретинобластома: опухоль распространилась за пределы глаза и в окружающие его ткани. Возможно, он распространился и на другую часть тела.
Лечение
Существуют множество различных методов лечения ретинобластомы.
Небольшие опухоли будут нуждаться в местной терапии. То есть лечение только для самого глаза. Большие опухоли можно лечить с помощью химиотерапии, лучевой терапии или хирургического вмешательства.
Лечение небольших опухолей

Небольшие опухоли нуждаются в местном лечении. Это означает лечение только для самого глаза.
Вашему ребенку могут назначить:
- лазерную терапию;
- криотерапию (заморозка);
- термотерапию (термическая обработка).
Эти процедуры направлены на уничтожение опухоли.
Дети проходят лечение во время сна под общим наркозом. Некоторые дети могут пройти химиотерапию после местного лечения.
Лечение больших опухолей
Большие опухоли можно лечить с помощью:
- радиотерапии;
- хирургии;
- химиотерапии.
Вашему ребенку могут провести комбинацию этих процедур.
Радиотерапия
Некоторые опухоли лечат с помощью типа внутренней лучевой терапии, называемой брахитерапией. Небольшие радиоактивные пластинки (бляшки) сшиваются прямо над опухолью. Излучение разрушает опухоль. Пластины остаются на месте в течение нескольких дней, а затем удаляются.
Для большой опухоли, которая плохо реагирует на другое лечение, специалист вашего ребенка может предложить лучевую терапию всего глаза.
Хирургия
Для очень большой опухоли и когда глаз больше не работает, используется операция по удалению глаза. Ребенку ставят искусственный глаз, чтобы заменить потерянный.
Химиотерапия

Химиотерапия — это терапия с использованием лекарств для уничтожения раковых клеток. Ребенку может быть назначена химиотерапия, чтобы попытаться уменьшить опухоль.
Также врач вашего ребенка может предложить химиотерапию, если есть риск распространения рака.
Химиотерапевтические препараты, которые обычно используют врачи, включают:
- Винкристин;
- Карбоплатина;
- Этопозид.
В некоторых случаях ваш ребенок может пройти химиотерапию путем введения химиопрепарата в кровеносный сосуд (артерии) для пораженного глаза. Это называется внутриартериальной химиотерапией. Врачи чаще всего используют Мелфалан. Применяется обычно для ретинобластомы, которая продолжает расти после лечения, или для ретинобластомы, которая вернулась.
Побочные эффекты терапии
Врач вашего ребенка расскажет вам о возможных побочных эффектах. Побочные эффекты, которые могут возникнуть у ребенка, зависят от типа лечения, которое применялось.
Зрение
Большинство родителей беспокоятся о том, потеряет ли их ребенок зрение. По возможности, врач постарается сохранить зрение глаз. Если поражен один глаз и его необходимо удалить, зрение другого глаза не пострадает. Дети учатся очень быстро адаптироваться и ведут нормальную жизнь, посещая обычную школу.
Если поражены оба глаза, то ребенок, скорее всего, потеряет зрение. Следовательно, им может понадобиться поддержка в связи с нарушением зрения, как в общеобразовательной школе, так и в специализированной школе.
Катаракта
После лучевой терапии на весь глаз у детей может развиться катаракта. Это зависит от типа лучевой терапии, которую им применяли. Катаракта — это помутнение хрусталика глаза, которое приводит к медленной потере зрения. Недавно была разработана новая методика лучевой терапии, которая щадит хрусталик.
Сухие глаза
Сухость глаз — еще один возможный побочный эффект лучевой терапии. Возникает в результате повреждения лучевой терапией слезных протоков. Если у ребенка есть этот побочный эффект терапии, ему нужно использовать глазные капли или искусственные слезы, чтобы сохранить влажность глаз и снизить вероятность заражения.
Длительные побочные эффекты
Длительные проблемы редки. Лучевая терапия может вызвать изменение формы лица. Это связано с тем, что кости в зоне лучевой терапии после могут расти не с той же скоростью, как раньше.
Но важно помнить, что большинство детей без лечения могут пострадать куда больше.
Возвращение ретинобластомы
Очень редко рак может вернуться снова. Или другая опухоль может развиваться в центре мозга. Это называется трехсторонней ретинобластомой и встречается очень редко. Симптомы включают в себя головные боли, чувство и тошноту. Обратитесь к врачу, если вас беспокоят симптомы проявляющееся у ребенка. Ваш ребенок будет находиться под пристальным наблюдением.
Дети с наследственной ретинобластомой также могут заболеть второй раз раком в более позднем возрасте. Но это редко. Врач поговорит с вами об этом, если есть риски.

Ретинобластома - это. Определение, описание заболевания с фото, причины появления, симптомы, особенности диагноза и лечение
Развитие злокачественных новообразований занимает лидирующую позицию по отношению к смертности среди многих стран мира. Только вот данная серьезная проблема затрагивает не только тех людей, которые уже перешли порог старости, определенные разновидности опухоли могут встретиться и среди детей. И ретинобластома - это как раз яркий тому пример.

Данное заболевание несет в себе серьезную опасность для детского организма. А если еще диагностика и сопутствующее лечение не будут проведены вовремя, то под угрозой становится и сама жизнь ребенка. Но даже если все-таки удастся одержать верх над болезнью, то высок риск, что малыш потеряет зрение. Косметического дефекта при этом просто не избежать.
Что такое ретинобластома?
Наши глаза отличаются сложным строением, об этом позаботилась сама матушка природа. При этом органы зрения обладают защитной (фиброзной) оболочкой, предотвращающей отрицательное влияние ряда внешних факторов. Благодаря оптической системе мы распознаем окружающие нас предметы, различаем их оттенки, фактуру и многие другие параметры.
Прежде чем углубиться в суть ретинобластомы (фото будет ниже по ходу текста) - небольшое теоретическое отступление. За восприятие света отвечает сетчатка, покрытая снаружи склерой. Причем эта оболочка охватывает все глазное яблоко. Перед тем как свету достигнуть сетчатки, он проходит сквозь роговицу, хрусталик и стекловидное тело. А видимый образ предметов формируется за счет специальных клеток - палочек и колбочек. Внутри них есть особое вещество, благодаря которому попавший свет способствует возникновению электрического импульса. А он уже по зрительному нерву достигает головного мозга, где происходит обработка входного сигнала.
Под термином "ретинобластома" следует понимать злокачественное новообразование, которое развивается в пигментном слое эпителия сетчатки. Обычно его присутствие вызывает определенные неудобства:
- Потеря зрения.
- Увеличение давления внутри полости глаза.
- Распространение метастаз в другие внутренние органы, в том числе и головной мозг.
В большинстве случаев риску возникновения симптомов ретинобластомы дети подвергаются в первые годы своей жизни. В настоящий момент времени на каждые 10-13 тысяч новорожденных приходится один с такой патологией. При этом из всех случаев обнаруженных злокачественных новообразований среди детей, не достигших возраста 15 лет, конкретно случаи с данной опухолью составляют 5 %.
Разновидности патологии
Существуют самые разнообразные формы и стадии проявления патологии. При этом классификация состоит из нескольких факторов.

Так в зависимости от причин появления опухоли, патологию можно считать:
- Наследственной - когда в семье у нескольких родственников было данное заболевание.
- Спорадической - крайне редкий случай, причины которого до сих так и не выяснены.
Исходя из зоны охвата, ретинобластома тоже имеет следующие формы:
- Монолатеральная или монокулярная - поражается лишь один глаз.
- Билатеральная либо двусторонняя ретинобластома - это развитие патологии в отношении сразу двух глаз.
- Трилатеральная - в этом случае онкологический процесс помимо пигментной оболочки обоих глаз затрагивает шишковидную железу в центре головного мозга.
Также учитывается и характер роста новообразования, который может быть:
- Эндофитным - поражаются структуры глазного яблока, орбиты и соседние ткани.
- Экзофитным - опухоль сосредоточена на наружных слоях сетчатки, что может вызвать ее отслойку.
- Моноцентрическим - для опухоли характерно развитие с одним узлом.
- Мультицентрическим - речь идет о множестве активных очагов.
Что касается стадий протекания заболевания, то здесь учитывается система TNM. При этом латинская буква T подразумевает следующее:
- T1 - новообразование затронуло не более четверти пигментной оболочки глаза.
- T2 - в этом случае ретинобластома занимает от четверти до 50 % всей площади сетчатки.
- T3 - в патологический процесс уже вовлекается более половины площади сетчатки, причем из-за гена ретинобластомы опухоль начинает прорастать в соседние структуры глазного яблока.
- T4 - новообразование затронуло все глазное яблоко, орбиты и соседние ткани.
Если в обозначении присутствует буква N, это говорит о том, что патология затронула близлежащие лимфатические узлы:
- N0 - опухоль пока еще не проникла в ближайшие лимфоузлы.
- N1 - поражение шейных, подчелюстных узлов.
Последняя буква M свидетельствует о появлении метастаз на отдаленных участках в организме:
- М0 - метастазы отсутствуют.
- М1 - сформированы вторичные очаги заболевания.
Ретинобластома относится к той разновидности опухолей, у которой измененные клетки обладают существенным отличием от здоровой окружающей ткани. А такие новообразования носят более агрессивный характер, у них ускоренный рост. Что касается метастазирования, то повторные очаги патологии затрагивают не только спинной, головной мозг, но и костную структуру.
Ретинобластома: фото и причины возникновения
Первопричина появления ретинобластомы кроется в наследственной предрасположенности. И если ребенку достался мутировавший ген RB, то последующие его мутации неизбежно будут способствовать формированию опухоли. И такие случаи составляют до 60 % от общего количества пациентов с таким диагнозом.

Но помимо этого наследственный фактор может приводить и к другим нарушениям внутриутробного развития плода: волчья пасть, пороки сердечных клапанов и прочее.
Развитие спорадических опухолей - это крайне редкий случай, но в то же время здесь все также зависит от генных мутаций. С теоретической точки зрения это может быть связано с возрастом родителей (45 и более лет), неблагоприятной экологической обстановкой. К тому же деятельность многих людей связана с работой на вредном производстве. Данная разновидность патологии обычно развивается среди школьников младших классов и взрослых.
Существует один миф, согласно которому дети с карими глазами находятся в зоне повышенного риска в отношении ретинобластомы. В действительности все не совсем так, и можно сказать, что ретинобластома определяется доминантным аутосомным геном.
Симптоматика
Клиническая картина среди детей во многом определяется размерами новообразований и их локализацией. Характерным признаком патологии служит лейкокория, что в народе прозвана синдромом кошачьего глаза. Его проявление можно заметить, если опухоль разрослась до довольно больших размеров или при расслоении сетчатки. Новообразование в этом случае вылезает за хрусталик, и его можно с легкостью увидеть через зрачок.

В зависимости от стадии патологии симптоматика в каждом случае своя:
- Стадия T1 (покой) - выраженных признаков здесь пока еще нет, однако в ходе осмотра можно заметить лейкокорию, или кошачий глаз (как было отмечено выше), что обусловлено просвечиванием опухоли сквозь зрачок. Также у пациентов можно наблюдать косоглазие и потерю полноценного стереоскопического зрения.
- Стадия T2 (глаукома) - хороший специалист по фото ретинобластомы у детей может обнаружить все признаки воспалительного процесса оболочек глаза (слизистой, радужной, сосудистой), что сопровождается их покраснением. Помимо этого наблюдается слезотечение и светобоязнь. А из-за того что отток внутренней жидкости нарушен, в глазу повышается давление, что, в свою очередь, приводит к появлению боли.
- Стадия T3 (прорастание) - в этом случае опухоль уже приобрела обширные размеры, и глазное яблоко начинает выпирать вперед, за орбиту. К тому же опухоль затронула окружающие ткани, придаточные носовые пазухи, включая пространство между мягкой и паутинной оболочкой головного мозга. Здесь не только таится опасность в отношении потери зрения, но и существует угроза жизни пациента.
- Стадия T4 (метастазирование) - повторные очаги опухоли ретинобластомы могут быть в печени, костной ткани, спином или головном мозге. Распространение метастазов осуществляется посредством кровеносной и лимфатической систем организма, зрительного нерва, тканей головного мозга. В этом случае симптомов куда больше: это и сильная интоксикация, и слабость, и появление рвоты, головной боли.
Зачастую определить наличие опухоли можно еще до того момента, как новообразование покинет область глазницы. Поэтому здесь самое главное - своевременно провести диагностику.
Диагностирование патологии
Выявить развитие опухоли можно даже на самой ранней стадии ретинобластомы, когда признаки в полной мере еще себя не проявляют. В ходе осмотра пациента офтальмолог может определить размеры новообразования даже в том случае, когда они очень малы. Белые зрачки на фотографии (от воздействия вспышки), косоглазие, снижение зрения - все это является серьезным поводом для обращения к специалисту для проведения диагностики. Ему достаточно взглянуть на фото, и симптомы ретинобластомы им тут же будут обнаружены.

Особенное внимание должны уделить те семьи, в которых были случаи такого заболевания у близких родственников. Необходимо тщательнее следить за здоровьем своих детей, поскольку они находятся в зоне повышенного риска.
В настоящее время для выявления патологии используются следующие методики диагностики:
- МРТ. Здесь можно оценить размеры опухоли и их количество.
- КТ. Компьютерная томография позволяет определить, насколько сильно поражен глаз.
- Пункция костного мозга. Ее необходимость в том, чтобы понять, поражена ли костная ткань раковыми клетками.
- УЗИ брюшины. Позволяет подтвердить или опровергнуть наличие повторных очагов патологии в организме.
- Рентген легких. Делается с той же целью, что и ультразвуковое исследование.
- Анализ крови и мочи. Исследование позволяет оценить функциональность внутренних органов.

Используя перечисленные выше способы, врач устанавливает диагноз, исходя из симптомов ретинобластомы. Но помимо этого специалисты могут проводить и дополнительные обследования. К ним можно отнести измерение внутриглазного давления, исследование глазных структур более детально щелевой лампой, диациноскопию, ультразвуковую биометрию, применение радиоизотопов.
При помощи рентгенографии глазных орбит можно выявить выпадение солей кальция в пораженных зонах на фоне отмирания тканей (некроз). Как правило, такое происходит на последних стадиях развития патологии.
Методики лечения патологии
В зависимости от стадии протекания ретинобластомы назначается соответствующий курс лечения, причем комплексно. Но тут стоит учитывать и ряд некоторых факторов. Прежде всего, необходимо выяснить зону охвата опухоли соседних тканей, есть ли метастазы в организме и пр.
Как правило, комплексное лечение включает в себя следующее:
- Хирургическое вмешательство.
- Лучевая терапия.
- Химиотерапия.
Обычно избавиться от новообразования можно при помощи хирургического вмешательства, что является основным лечением ретинобластомы. Раньше с этой целью проводилась энуклеация глаза, но теперь же благодаря современным инновационным решениям медицины стали доступны иные действенные методики.
Лечение методом хирургии
Как выше было упомянуто, операция - это основной способ лечения ретинобластомы. Прямым медицинским показанием для ее проведения является обширная инвазия новообразования, повышенное внутриглазное давление, невозможность вернуть утраченное зрение.
В настоящий момент применяют следующие способы оперативного вмешательства:
- Фотокоагуляция.
- Криодеструкция.
- Энуклеация.
При фотокоагуляции клетки опухоли уничтожаются лазером. Операция по устранению односторонней либо двусторонней ретинобластомы проводится с использованием местной анестезии и легко переносится многими пациентами.
Криодеструкция по сути представляет собой процесс заморозки раковых клеток. Это современная технология по избавлению от ретинобластомы, при которой используется жидкий азот в качестве хладагента.
Энуклеация - это удаление пораженного глаза. Назначается такая операция в том случае, когда новообразование затронуло практически все (или полностью) глазное яблоко. Выживаемость пациентов довольно высока.
Касательно последнего можно отметить, что, несмотря на высокую эффективность такой операции, она представляет собой серьезную психологическую травму не только для ребенка, но и для его родителей. К тому же процедура оставляет после себя выраженный косметический дефект, из-за которого могут быть проблемы.
Дело в том, что у детей процесс формирования глазной орбиты и рост костей черепа пока еще продолжается. В связи с этим юные пациенты нуждаются в частом и многократном протезировании.
Немного хуже обстоит ситуация, когда признаки ретинобластомы указывают на запущенную стадию патологии, при которой опухоль вышла за пределы глазной орбиты. Операция в этом случае еще более травмирующая, поскольку возникает необходимость в удалении костных сегментов черепа.
Особенности лучевой терапии
Если имеется хоть малейшая возможность сохранить орган зрения, то в отношении пораженного глаза применяется радиотерапия. В силу того что опухоль способна активно реагировать на рентгеновское излучение, такой метод лечения вполне оправдывает себя. При этом в зоне воздействия аппарата должны находиться сетчатка, стекловидное тело и передний отрезок зрительного нерва (не менее 1 см).

Благодаря специальным защитным экранам можно избежать помутнения хрусталика, таким образом снижается опасность данного способа терапии ретинобластомы. Это, в свою очередь, сводит к минимуму вредное воздействие терапии на организм.
А если учесть, что пациентами, как правило, являются дети младшего возраста, то такая операция проводится с применением общего наркоза с фиксированием ребенка на специальном столе.
Применение химиотерапии
Здесь обычно в ход идут цитостатики, которые назначаются при обширном внутриглазном поражении с инвазией зрительного нерва. Лечение ведется с использованием следующих препаратов:
- "Навельбина" ("Винорельбина");
- "Винкристина";
- "Карбоплатина";
- "Циклофосфана";
- "Доксорубицина" ("Адриабластина");
- "Фарморубицина" ("Эпирубицина").
Эффективность от химиотерапии довольно высока, и лечение также полностью себя оправдывает. Но в то же время использование этих препаратов негативным образом воздействуют на пациента. В связи с этим, если такая возможность существует, то подача цитостатиков производится непосредственно в зону поражения ретинобластомой. Это позволяет снизить степень ущерба в отношении человеческого организма.
Каковы прогнозы?
Если патология была выявлена на начальной стадии, то вероятность полного выздоровления пациента - это пока еще реальность. Причем зрение и сами глаза будут в сохранности. Здоровью больного также ничего не угрожает, и он может вести свой привычный образ жизни. Плюсом начальной фазы заболевания также можно считать возможность проведения лечения с использованием консервативных и щадящих методик.
Если онкологический процесс затрагивает оболочки головного мозга, придаточные носовые пазухи, а также зрительный нерв, включая и отдаленное метастазирование, то итоговый прогноз не такой уж радостный.

Поэтому для снижения риска возникновения ретинобластомы те дети, которые входят в группу риска, должны быть под постоянным наблюдением специалиста. Только так ретинобластома глаза может быть своевременно обнаружена, что позволит незамедлительно начать лечение.
Ретинобластома у детей
При нарушении внутриутробного развития может образоваться ретинобластома у детей.
Наиболее распространена она у малышей до 5 лет. Это состояние, при котором образуется доброкачественная опухоль в глазах.
Ее клетки могут мигрировать через зрительный нерв в головной мозг. Если образовалось озлокачествление тканей, метастазы распространяются в кости и костный мозг. Заболевание опасно многими осложнениями, поэтому требует лечения.
Причины
Основной причиной патологии является нарушение эмбрионального развития, вследствие которого образуется дефектная нервная трубка. Такое состояние может возникнуть при следующем негативном влиянии на женщину во время беременности:
- бактериальная или вирусная инфекция;
- употребление женщиной наркотиков, никотина, алкоголя;
- патология плаценты;
- гипоксия плода;
- наследственные проявления;
- мутация генов.
Поэтому женщина во время беременности должна соблюдать здоровый образ жизни, правильно питаться, посещать врачей и сдавать лабораторные анализы.
Группа риска
Женщина во время беременности может вести здоровый образ жизни, но все равно у новорожденного может возникнуть патология. Она может появиться в следствие поломки генов во время эмбрионального развития. Такое явление предотвратить нельзя.
Классификация
Формы в зависимости от распространенности на глаза:
- монокулярная - поражен только один орган зрения;
- бинокулярная - поражены оба глаза.
Формы в зависимости от причины возникновения:
- наследственная - причина патологии в передаче мутировавших генов от родителей детям;
- спорадическая - возникающая спонтанно, под воздействием заболевание матери, генетических поломок.
По типу образования опухоли делятся на следующие виды:
- эндофитная - образуется в какой-либо точке глаза, затем прорастает внутрь, вследствие чего образуются поломки внутриглазных элементов;
- экзофитная - распространение происходит только на сетчатую оболочку;
- инфильтративная - прорастает во весь глаз, поэтому он полностью перестает функционировать, такая разновидность встречается редко.
По типу клеток опухоли делятся на:
- дифференцированные - это доброкачественная опухоль, которая наименее опасна для пациента;
- недифференцированные - это злокачественные клетки, которые могут давать метастазы в различные ткани и органы.
Врач обязан классифицировать опухоль, чтобы определить, какой метод лечения подходит для пациента.
Симптомы
Часто такое состояние проявляется сразу после рождения, так как могут возникнуть внешние симптомы. Заболевание проходит в несколько стадий, каждая из которых имеет свою симптоматику:
- Начальная стадия . Визуально у ребенка обнаруживаются изменения зрачка, который представляется в виде кошачьего глаза. Через зрачок можно увидеть опухоль, которая имеет белый цвет. Часто у детей на этом этапе образуется косоглазие.
- Вторая стадия . У ребенка повышается внутриглазное давление, так как опухоль стесняет пространство внутри глаза. Это называется глаукомой. Дополнительно у малыша образуется повышенное слезотечение, фотофобия, покраснение глаз. Ребенок становится беспокойным, часто плачет, потому что образуется головная и глазная боль.
- Прорастание . Опухоль из глаза прорастает в окружающие ткани. Она может проникнуть в пазухи, что опасно для головного мозга. У детей визуально глазное яблоко выпячивается вперед.
- Образование метастазов . Клетки опухоли становятся злокачественными. Они начинают распространяться через кровь по тканям и органам. Также они попадают в зрительный нерв, переходя в головной мозг. У ребенка выражены симптомы интоксикации. Его температура тела поднимается, мышцы и кости ломит, появляется рвота.
У каждой стадии формируется клиническая симптоматика, поэтому болезнь можно выявить на ранних стадиях, и начать лечение.
Диагностика
Если образование появилось у взрослых людей, врач назначит МРТ. Но для детей такое обследование опасно, так как оно облучает весь организм. Поэтому рекомендуется проводить более щадящие методы исследования:
- общеклинические анализ крови и мочи, биохимия крови; ;
- исследование поверхностных структур глаза с помощью щелевой лампы; , предварительно пациентов в глаза закапывают Атропин, врач определяет структурность внутренних элементов, сразу же выявляет наличие опухоли.
МРТ проводится для ребенка только в том случае, если врач хочет провести хирургическое лечение, чтобы полностью извлечь опухоль . На снимках видны все границы образования, поэтому врачу необходимо знать, где именно можно произвести разрез.
Лечение патологического образования заключается в следующих методах:
- химиотерапевтические средства;
- облучение; - воздействие на опухоль с помощью электромагнитного излучения в больших концентрациях;
- криотерапия - физиотерапевтическая процедура, благодаря которой замораживают ткани опухоли, они не могут развиваться и погибают;
- хирургическое лечение опухоли.
Метод лазерной коагуляции и криотерапия считаются самыми щадящими. Их применяют при начальной стадии развития опухоли, когда она достигает размеров не более 7 мм. Если же врач предполагает наличие озлокачествления, поможет только химиотерапия и облучение.
Во время терапии врачу нужно не только спасти жизнь ребенку, но и максимально сохранить целостность глазных яблок, а также зрение . Но если поражена большая область глаза, образуется множество осложнений, врач посоветует полное удаление глазного яблока, чтобы предупредить риск метастазов во всем организме.
Осложнения
Если вовремя не выявить образование, у ребенка могут появиться следующие осложнения:
- снижение остроты зрения, слепота; ;
- сильные головные и глазные боли с образованием глаукомы;
- озлокачествление клеток с переходом рака на головной мозг и внутренние органы, в особенности на печень.
Если болезнь перешла в последнюю степень, чаще всего ребенка не удается спасти жизнь, он погибает. Поэтому в медицинской практике требуется проводить ежегодное профилактическое обследование у офтальмолога для детей.
Прогноз
Если болезнь выявлена на 1 или 2 стадии, чаще всего прогноз состояния будет благоприятным . Врач применит несколько методов терапии, в процессе будет оценивать функцию глаз ребенка.
Если же патология перейдет на последние стадии, жизнь ребенку удается спасти в редких случаях.
Профилактика
Главным методом профилактики является здоровый образ жизни женщины во время беременности . Она не должна употреблять алкоголь, никотин, наркотики, запрещенные лекарственные средства. Также необходимо постоянно сдавать лабораторные анализы, проходить лечение и физиотерапевтические процедуры.
Если болезнь вызвана генетическими поломками, предупредить ее невозможно. Женщинам, входящим в группу риска, рекомендуется сдавать амниотическую жидкость для просмотра генетического материала ребенка.
Ретинобластома — рак сетчатки глаза
Ретинобластома является злокачественной опухолью в глазу, возникающей из незрелых клеток сетчатки.
Встречается редко, ежегодно фиксируется до 40 случаев.
Большинство раковых образований проходит на протяжении первого года жизни ребенка.
Диагноз ставит педиатр или офтальмолог. Ретинобластома наследуется от родителей с дефектными генами. Если заболевание обнаруживается на ранней стадии, есть высокие шансы на выздоровление.
Причины ретинобластомы
Злокачественное образование возникает через определенные постоянные изменения (так называемые мутации) в генетическом материале (ДНК) . Изменения приводят к тому, что незрелые клетки сетчатки бесконтрольно размножаются и приводят к образованию раковой опухоли в оптической системе. Причинные изменения влияют на все клетки тела либо на отдельные клетки ретины.
У некоторых пациентов— около 60 % - это не наследственная форма рака сетчатки, мутация возникает изолированно и находится исключительно в опухолевых клетках. 40% ретинобластомы наследственны.
Каждый десятый ребенок страдает от наследственной формы рака . При таком виде часто поражаются оба глаза и несколько мест сетчатки.
Девять из десяти пациентов страдают от не наследственной формы . Здесь один орган зрения страдает, и болезнь не может быть унаследована дальше. Это так называемые соматические, то есть отдельные мутации, находящиеся в одной и той же клетке.
Часто развивается несколько образований одновременно в различных местах сетчатки одного или обоих глаз . Пострадавшие наследуют врожденную предрасположенность к раку с примерно 50% вероятностью передачи болезни потомкам.
Риск развития заболевания повышен у детей, если у одного из родителей в анамнезе имеются сведения о данном состоянии. В группу риска входят кровные родственники.
Классификация ретинобластомы
Злокачественная опухоль бывает наследственной и спорадической. В первом случае поражаются оба органа зрения, во втором — затрагивается один глаз.

Заболевание одностороннее или двустороннее (эту форму называют билатеральной опухолью). Существует классификация согласно системе TNM. Выделяют следующие степени первичного злокачественного рака сетчатки:
- Т1 — опухоль распространилась на 25%;
- Т2 — злокачественное новообразование занимает более 25%, но менее 50% ретины;
- Т3 — заболевание выходит за пределы сетчатки, но находится в пределах интраокулярного пространства;
- Т4 — злокачественные клетки вышли за пределы глазницы;
- N1 — образуются метастазы в лимфоузлах;
- Ml — распространение клеток обнаруживаются в отдаленных органах;
Клиническая картина злокачественного образования появляется не сразу. Очень маленькие раковые образования не вызывают дискомфорта.
Заболевание часто протекает длительное время без признаков. Жалобы возникают только тогда, когда опухоль становится больше или врастает в другие части органов зрения.
Обычно родители первые замечают изменения у ребенка. Типичными симптомами злокачественного образования являются:
- Амавротический кошачий глаз или лейкокория . Это свечение зрачка желто-белым цветом при попадании на поверхность света.
- Косоглазие является самым заметным внешним признаком заболевания. Данный дефект имеет множество причин. Рассматриваемое злокачественное образование относится к редким факторам. Косоглазие развивается у 25-30% пациентов.
- Длительное воспаление глаза свидетельствует о наличии злокачественной опухоли. В таких случаях увеличивается внутриглазное давление. К воспалению присоединяется отечность и болезненные ощущения, светочувствительность. По причине длительно повышенного ВГД развивается глаукома.
Если ретинобластома проникает в зрительный нерв или приводит к отслоению сетчатки, зрение пораженного глаза ухудшается вплоть до полной утраты зрительного восприятия . Если один глаз поражен раком, эти симптомы у маленьких детей часто остаются незамеченными родителями.
Появление одного или нескольких из указанных признаков не всегда означает наличие злокачественного образования или других заболеваний . Некоторые из признаков могут иметь относительно безвредные причины, не имеющие ничего общего со злокачественными образованиями.

Диагностика ретинобластомы
Диагноз ставят в первый год жизни малыша. Первое подозрение на наличие болезни возникает из-за изменения зрачка . Ребенка переводят в офтальмологический центр на стационар или в детское онкологическое отделение для диагностики и дальнейшей терапии.
Это необходимо, чтобы быстро провести различные исследования, чтобы определить, какая форма раковой болезни у ребенка и как далеко распространилось заболевание.
Основное обследование для обнаружения ракового образования — офтальмоскопическое. С помощью зеркал и сильного источника света рассматривается глазное дно. При обнаружении ретинобластомы, проводят дополнительные тесты для точного определения степени распространения.
К основным методам обследования относят:
В редких случаях, при поздней стадии заболевания и/или до химиотерапии, обследование дополняют рентгеном грудной клетки, проводят исследование жидкости головного или спинного мозга, сцинтиграфию костей.
Диагностика не ограничивается больным ребенком, если форма заболевания наследственная . Если в семье несколько детей, их тоже требуется обследовать, чтобы предотвратить болезни быстрее, чем начнутся осложнения.
Проводят молекулярно-генетический анализ крови. После завершения лабораторных тестов, команда врачей расскажет о способах терапии, которые лучше и быстрее помогут избавиться от заболевания.
Лечение ретинобластомы
Для лечения пациентов с раком сетчатки доступны операции, облучение, лазерная терапия, криотерапия и воздействие на больные участки химическими препаратами.
То, какие методы применяются, зависит, прежде всего, от того, поражен ли один или оба глаза, насколько заболевание прогрессировало на момент постановки диагноза. При планировании методов терапии учитывается и возраст ребенка.
Целью является полное уничтожение или удаление опухоли. При этом важно сохранить зрительное восприятие и повысить качество жизни.
Лечение больных с односторонней ретинобластомой
Если имеется одностороннее злокачественное образование, то энуклеация является лучшим и самым безопасным методом терапии, так как при функционирующем втором глазе получится избежать распространения болезни . При не наследственных формах онкологии эта процедура позволяет достичь полного выздоровления.
Если опухоль небольшая, проводится поддерживающее лечение. Выполняют лазерную коагуляцию, криотерапию или лучевую терапию.
Пациентов с большими опухолями лечат с помощью системной или внутриартериальной химиотерапии. Вызывает побочные эффекты:
- тошноту;
- головокружение;
- головные боли;
- плохое общее самочувствие;
- рвоту;
- плохой аппетит;
- нарушение координации движений.
Односторонние образования обнаруживаются на поздних этапах развития заболевания. Пораженный глаз практически не видит. В таком случае рекомендуется хирургическое иссечение.
Если опухоль метастазировала, проводят химиотерапию после операции, чтобы убить оставшиеся в теле злокачественные клетки. Редко дополнительно требуется чрескожная лучевая терапия.
Лечение пациентов с двусторонней ретинобластомой
Если обнаружилось раковое образование обоих глаз, лечение направляется на контроль злокачественного образования с помощью комбинаций некоторых методов лечения для сохранения зрительных функций.
Сначала проводят местное лечение. Небольшие ретинобластомы удаляют с помощью лазерной коагуляции, криотерапии или брахитерапии. Иногда требуется повторное применение данных способов.
Если злокачественные образования слишком велики, проводят химиотерапию с целью уменьшения размеров опухоли . В дальнейшем проводится удаление вышеперечисленными способами.
Часто в одном из глаз заболевание сильно прогрессировало, сохранение глазного яблока не представляется целесообразным, и, следовательно, проводится энуклеация. Оперативное вмешательство подразумевает полное удаление глазного яблока, при этом другие структуры, расположенные в орбите не затрагиваются.
Удаление опухоли выполняется с пересечением наружных мышц глаза и зрительного нерва. Противопоказана операция при черепно-мозговой травме или тяжелых формах системных заболеваний. Проводится под общим наркозом.
Если есть опухоль зрительного нерва или стекловидного тела, врачи рекомендуют чрескожное облучение. Проводят при условии, что есть надежда сохранить зрительное восприятие. Если нет, глазное яблоко удаляется, чтобы не подвергать жизнь ребенка опасности.
Невылеченная болезнь в дальнейшем вызывает различные осложнения. Она является относительно быстрорастущей опухолью.
- постоянное воспаление;
- отслоение сетчатки; в глазу.
Зрение пораженного глаза все больше ухудшается вплоть до полной слепоты.
Ретинобластома в течение своего роста распространяется преимущественно вдоль зрительного нерва, причем могут быть затронуты и части мозга. Если попадает в сеть кровеносных сосудов глаза, то в других органах образовываются метастазы.
В первую очередь это касается костного мозга, костей и печени. Опасные для жизни осложнения, такие как изменения кроветворения или ограничения функции печени, являются следствием болезни . Кроме того, опухолевые клетки могут распространяться и на окружающие лимфатические узлы.

Если удается вовремя обнаружить и вылечить опухоль, то излечение возможно, а зрение пораженного глаза получится сохранить. При раннем обнаружении и соответствующем лечении в 95% прогноз благоприятный. Если патология уже на продвинутой стадии, и обнаружились метастазы, прогноз неблагоприятен.
В данном случае соответствующая терапия вылечит ретинобластому. При отсутствии лечения опухоль прогрессирует и в 100% случаев приводит к летальному исходу.
Ретинобластому не получится целенаправленно предотвратить. Если в семье имелись случаи злокачественной опухоли, в первые 2 года жизни ребенка необходимо показывать его окулисту или педиатру чаще . Можно провести профилактические обследования, чтобы выявить болезнь на ранней стадии и сохранить зрение малышу.
Кроме того, рекомендуется обращать внимание на возможные признаки ретинобластомы. Если такие признаки имеются, нельзя затягивать с визитом к офтальмологу.
Ретинобластома: клиника, диагностика и лечение
Ретинобластома - эмбриональная детская опухоль сетчатки глаза. Среди всех детских злокачественных новообразований, поражающих глазное яблоко, ретинобластома имеет наибольшее распространение.
На протяжении последнего десятилетия частота выявления данной патологии увеличивается. В настоящее время встречаемость ретинобластомы составляет 1 случай на 10-20 тысяч живых новорожденных.
Шестьдесят процентов выявленных опухолей являются ненаследственными (спорадическими); остальные 40% составляют наследственно-обусловленные формы.

Около 90% случаев ретинобластомы диагностируются до 3 лет. Пик заболевания - 2 года. Заболевание одинаково часто выявляется среди мальчиков и девочек.
Билатеральное (двухстороннее) поражение встречается у четверти больных наследственно-обусловленной формой. У 25% больных с наследственной формой заболевания встречается двухсторонняя (мед. - «билатеральная») локализация.
Причины. Роль наследственности в заболеваемости ретинобластомой.
Ген этого заболевания называется «ген Rb». Это один из первых открытых и более всего изученных генов, отвечающих за развитие онкологических заболеваний. Его характеристики:
- располагается в срединном отделе длинного плеча хромосомы 13q14.1;
- состоит из 27 экзонов;
- занимает 180000 пар нуклеотидов геномной ДНК;
- в норме экспрессируется в клетках всего организма.
Большая часть наследственных и спорадических фактов заболевания обуславливаются делецией в срединном участке длинного плеча хромосомы 13.
В 1971 году Knudson выдвинул гипотезу, согласно которой есть единый механизм формирования ретинобластомы - как наследственной, так и нет, - связанный с инактивацией или утратой двух аллелей гена Rb.
Когда происходит герминальная мутация, все ретинобласты гетерозиготного носителя уже обладают инактивированным аллелем Rb. Чтобы сформировалась ретинобластома, будет достаточно лишь одной телесной мутации, которая затронет оставшуюся копию гена. Переход Rb из гетерозиготного состояния в гомозиготное и является причиной инактивации двух аллелей Rb. Этим и инициируется злокачественное перерождение клетки.
Ненаследственная форма чаще всего проявляется односторонним новообразованием. Ее обнаруживают в 60% случаев. Возникает такая патология в первые 3 года жизни. Данная форма объясняется мутацией в двух аллелях RB1 гена, однако лишь в клетках сетчатки.
Двустороннее поражение может объясняться тем, что в половых клетках родителей присутствует непроявившаяся мутация. Ее они передали ребенку, и возникла болезнь. Также объяснить возникновение такой ретинобластомы можно мутацией de novo, происходящей на ранних стадиях развития эмбриона.
То есть, билатеральные формы патологии при спорадическом типе следует относить к врожденным формам.
Особенности клиники наследственных форм - это:
- ранний возраст заболевающих;
- многофокусность;
- двухстороннее расположение;
- мультицентрический рост новообразования с преобладанием смешанных и экзофитных форм;
- наличие у кого-то в семье такой же опухоли;
- молекулярные и хромосомные аномалии Rb гена.
Если в поколениях не было такого заболевания, характер опухоли односторонний и однофокусный, то можно предполагать, что мутация возникла в родословной впервые.
- сниженная острота зрения;
- лейкокория (вы можете увидеть на рис. 1 этот симптом, называемый также «кошачий глаз»), то есть свечение зрачка бело-желтым цветом, когда от поверхности опухоли отражается свет, это нередко заметно на фотографиях;
- косоглазие;
- ослабление прямой реакции зрачка на свет;
- расширение зрачка.

Рис. 1. Симптом «кошачьего глаза»
По мере того, как новообразование растет и распространяется, формируются: вторичная (на фоне основного заболевания) глаукома, буфтальм (у маленьких детей - увеличение глазного яблока), воспалительные изменения (иридоциклит, увеит). Когда возникает отек орбитальной клетчатки, есть вероятность выпячивания глаза (экзофтальма).
АВС (Амстердам)
В Амстердаме в 2001-м году предложили международную классификацию интраокулярной (внутриглазной) ретинобластомы. Главная цель этой классификации - определить четкие показания к тому, чтобы проводить органосохраняющую терапию. Если поражение двухстороннее, то классификация применяется отдельно к каждому глазу.
Клинические группы, в соответствии с классификацией:
- А - интраретинальные новообразования до 3 мм в размере, располагающиеся в 1,5 мм от диска зрительного нерва и более 3 мм от центральной ямки.
- В - остальные опухоли, располагающиеся отдельно, ограниченные сетчаткой с вероятным наличие субретинальной жидкости в не более чем 3 мм от основы опухоли, не сопровождающееся субретинальным обсеменением (рис. 2).
- С - раздельные опухоли с местным обсеменением стекловидного тела над новообразованием и субретинальным обсеменением в не более чем 3 мм от образования с вероятностью наличия жидкости в субретинальном пространстве в 3-6 мм от основания опухоли.
- D - рассеянные опухоли с крупными опухолевыми массами, разнокалиберными отсевами в стекловидном теле и/или субретинальном пространстве в более чем 3 мм от новообразования с субретинальной жидкостью более 6 мм от образования, включая полную отслойку сетчатки (рис. 3 и 4).
- Е - определяется одним из перечисленных ниже факторов неблагоприятного прогноза:
- новообразование прилегает к хрусталику;
- неоваскулярная глаукома;
- высыхание, утрата функции глаза (фтизис);
- кровоизлияние, ввиду которого утрачена прозрачность стекловидного тела;
- опухоль, располагающаяся кпереди от передней поверхности стекловидного тела и также захватывающая цилиарное тело и переднюю часть глаза;
- некротизированная опухоль с асептическим целлюлитом орбиты;
- ретинобластома в диффузной инфильтративной форме.
![]()
Применяются следующие клинические методы:
- сбор анамнеза;
- оценка жалоб ребенка;
- физикальный осмотр;
- инструментальные обследования.
Особое внимание врач обращает на наличие наследственного фактора.
Проводится окулистом с медикаментозным расширением зрачка. Врач осматривает глаз с боковым освещением, делает биомикроскопию, офтальмоскопию, тонометрию. Если обследуется совсем маленький ребенок, то применяется наркотический сон.
Является обязательным исследованием, в соответствии со стандартом обследования при таком заболевании. Одной из самых информативных методик признана УЗ-биолокация. Благодаря ей, выявляются плюс-ткани, и это позволяет отличить ретинобластому от отслойки сетчатки, эндофтальмита, фиброза стекловидного тела, ретролентальной фиброплазии.
Чтобы определить величину затухания УЗ в опухоли используют квантитативную эхографию. Для получения информации о динамике злокачественного процесса важное значение имеет УЗ-эхобиометрия. С ее помощью определяют степень проминенции (т. е. то, насколько оно выступающее) новообразования.
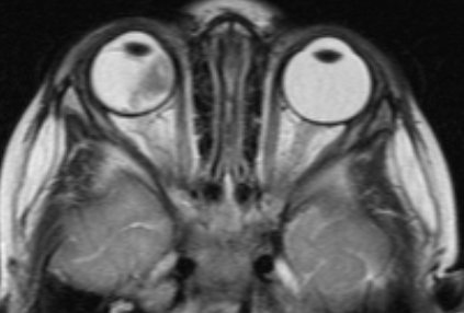
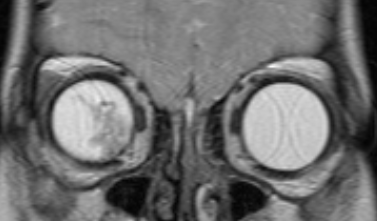
МРТ головного мозга и орбит
Магнитно-резонансная томография дает возможность в деталях увидеть распространение процесса за пределы глазного яблока и точно определить стадию болезни. Такое исследование нужно проводить всем пациентам, у которых ретинобластома диагностирована впервые. Контраст при МРТ повышает информативность.
![Визуализация ретинобластомы с помощью МРТ. Клиническая группа В]()
Рис. 2. Визуализация ретинобластомы с помощью МРТ. Клиническая группа В
![Визуализация ретинобластомы с помощью МРТ. Размеры образования соответствуют клинической группе D]()
Рис. 3. Визуализация ретинобластомы с помощью МРТ. Размеры образования соответствуют клинической группе D
![Визуализация ретинобластомы с помощью МРТ. Фронтальное изображение орбит. Клиническая группа D]()
Рис. 4. Визуализация ретинобластомы с помощью МРТ. Фронтальное изображение орбит. Клиническая группа D
Исследование спинномозговой жидкости, костного мозга
Проводится больным, у которых процесс достаточно сильно распространен, чтобы уточнить, есть ли дистантные (удаленные от очага) метастазы.
Цитология цереброспинальной жидкости при прорастании новообразований в субарахноидальное пространство позволяет обнаружить клетки опухоли.
Методы лечения
Сегодня самое пристальное внимание уделяется органосохраняющим методикам. Кроме местной и системной химиотерапии, лучевой терапии, если есть показания, применяются:- фотокоагуляция (удаление новообразования путем воздействия на него мощным световым потоком);
- криодеструкция (разрушение опухоли холодом);
- лазерная деструкция (удаление опухоли лазером).
Принципы органосохраняющей терапии при лечении ретинобластомы
- Больным из группы А проводят только местное лечение (лазерную коагуляцию, криодеструкцию, диатермокоагуляцию).
- Больным из группы В показано 6 курсов двухкомпонентной ПХТ (полихимиотерапии), а также дополнительно - одна из методик местного лечения (лазерная деструкция, криодеструкция, брахитерапия).
- Тем, кто относится к группам С и D, назначаются 6 курсов ПХТ, состоящей из трех компонентов. Лечение дополняют местной химиотерапией и, если существует необходимость, физическими способами деструкции опухоли.
Пациентам из группы Е показана энуклеация (то есть удаление глазного яблока, предполагающее также пересечение наружных глазных мышц и зрительного нерва). В течение 5-7 дней после хирургического вмешательства выполняют глазное протезирование. Подбор постоянного протеза осуществляется в течение 1,5 месяцев после операции.
Энуклеация глаза имеет четкие показания:
- пациент должен относиться к группе Е по амстердамской классификации АВС;
- двусторонняя форма заболевания, необратимая утрата функции одного глаза;
- отсутствие возможности после консервативного лечения оценить степень поражения глаза ввиду катаракты или кровоизлияния в стекловидное тело;
- если поражение обоих глаз зашло слишком далеко и нет шанса восстановить зрение, проводится двусторонняя энуклеация (удаляются оба глаза).
Хирургическое лечение сочетается с ПХТ, облучением, лазерной деструкцией и др.
ПХТ (консервативная терапия) после энуклеации
Показана в следующих случаях:
- прорастание опухоли в зрительный нерв и экстрабульбарное распространение;
- большие или множественные узлы новообразования, локализация опухоли в перипапиллярной зоне, интраокулярная диссеминация (распространение) процесса в радужку, стекловидное тело и др., вовлечение в злокачественный процесс хориоидеи и зрительного нерва.
Если имеет место ретроламинарное распространение образования, то ПХТ дополняется лучевым лечением.
Если опухоль прорастает до линии резекции зрительного нерва и/или имеет место экстрасклеральное распространение, то таких пациентов относят к группе высокого риска. Им показана дистанционная лучевая терапия в сочетании с ПХТ, а затем - высокодозная ПХТ с последующей аутотрансплантацией (пересадкой собственных) периферических стволовых клеток крови.Предлагаем ознакомиться с несколькими наиболее часто применяемыми схемами ПХТ, которые показаны при данном заболевании:
- «Циклофосфан» в дозировке 400 мг/м2 в день. Если вес ребенка - менее 12 кг, то дозировка рассчитывается как 13 мг на кг веса в сутки. Дни 1-5, внутривенно, капельно.«Карбоплатин» в дозировке 500 мг/м2. Если вес ребенка - до 12 кг, то рассчитывается как 12 мг на кг веса в сутки. 5-й день, внутривенно, капельно.
Локальная (местная) химиотерапия
Данная химиотерапия показана пациентам из групп С и D в сочетании с системной ПХТ. Методика заключается в том, что с помощью супертонкого катетера через внутреннюю сонную и бедренную артерию прямо в устье глазной артерии вводится цитостатический препарат под названием «Мелфалан». Перед этим проводится каротидная ангиография внутренней сонной артерии, чтобы визуализировать строение сосудов.
Химиотерапия «Мелфаланом» (селективная внутриартериальная) проводится через 3-4 недели после 1-го курса системной химиотерапии. Дозировка составляет 5-7,5 мг/м2:
- дозировка 5 мг/м2 показана, когда одновременно лечатся оба глаза;
- если поражен только один, то нужно вводить 7,5 мг/м2.
В стекловидное тело (мед. - «интравитреально») вводится 16 мкг «Мелфалана» (это 0,05 мл). Эта концентрация эффективна по отношению к опухолевым отсевам и безопасна.
Физические методы лечения
К ним относятся:
- лазерная деструкция;
- фотокоагуляция;
- криодеструкция;
- транссклеральная диатермокоагуляция.
Рассмотрим данные методики подробно.
Выполняется на аргоне, может применяться для терапии заболевания в 1-й стадии и при небольших опухолевых узлах. При двусторонних ретинобластомах для терапии оставшегося глаза данную методику применяют в комплексе с другими. Наиболее часто ее сочетают с облучением, химиотерапией. Обычно - на последних этапах лечения.
Преимущество такой технологии - выраженная реакция тканей, находящихся вблизи очага поражения. Это позволяет проводить лазерную деструкцию, когда опухоли располагаются рядом со зрительным нервом.
Сочетается с другими методиками (ПХТ, лучевым лечением и др.) на последних этапах терапии. Рекомендуется применять данный метод при 1-й стадии болезни и небольших опухолях: выстояние узла - до 8 мм, поражение глазного дна - до 25% площади.
Вначале формируют двойной вал коагулянтов вокруг образования, чтобы нарушить его кровоснабжение и создать хориоретинальный барьер. Когда пройдет 3-4 недели, начинают разрушающую коагуляцию («выпаривание») опухолевой ткани. Для этого нужно 2-7 сеансов с перерывом в 3-4 недели. В течение всего курса рассасываются кровоизлияния и отечность.
Методика противопоказана, когда:
- новообразование расположено близко к диску зрительного нерва и макулярной зоне;
- опухоль большая.
Показано применение этой методики в сочетании с фотокоагуляцией. Охлаждающими веществами выступают углекислый газ и жидкий азот.
- размер опухоли от 0,5 до 7 диаметра диска зрительного нерва, образование «вдается, вминается» (то есть «проминирует») на 3-3,5 мм.
Преимущество перед диатермокоагуляцией - меньшее повреждение склеры.
Данная методика направлена на то, чтобы разрушить сосуды, которые питают опухоль, а также коагулировать («выпарить») опухолевую ткань. Применяется в сочетании с фотокоагуляцией.
Показания ограничены только случаями неэффективности других методов. Это связано с малой эффективностью и выраженной послеоперационной реакцией у пациентов.Может проводиться в качестве профилактического воздействия после операции. Делается каждый день со 2-3-го послеоперационных дней. Разовая экспозиционная доза - 1,8 Гр, суммарная очаговая - 35-50 Гр. Курс терапии составляет 1-2 серии облучения с интервалом 1,5-2 месяца.
Чтобы профилактировать появление катаракты в зоне воздействия и лучевой кератит, при двусторонней форме заболевания по каплям вливают 2%-й только что приготовленный раствор «Цистеина» или 1%-й р-р «Тауфона» перед каждым сеансом. Дозировка - 2 капли 6 раз с интервалом 15 минут.
![]()
Наблюдение, объем и сроки обследования
При обнаружении болезни на ранних стадиях выживаемость достигает 100%.
После окончания лечения за детьми с этим заболеванием обеспечивается диспансерное наблюдение у окулиста в поликлинике и в онкодиспансере по месту жительства. Специалист (врач-окулист) должен осматривать ребенка 1 раз в 2 месяца в 1-й год после окончания терапии, а затем:
- во 2-й год - 1 раз в 3 месяца;
- в следующие 2 года - 1 раз в 6 месяцев;
- далее - 1 раз в год.
С такой же периодичностью должны проводиться и осмотры онкологом.
Офтальмологическое исследование проводится с медикаментозным расширением зрачка. Детей младшего возраста обследуют в состоянии наркотического сна.
Если в семье были случаи ретинобластомы, то впервые офтальмолог должен осмотреть ребенка еще в роддоме.
Больные постоянно состоят на учете.
Также под диспансерным наблюдением должны находиться маленькие дети, появившиеся на свет в семьях, в которых есть больные ретинобластомой.
![Ретинобластома: клиника, диагностика и лечение]()
![]()
Авторская публикация:
Иванова Светлана Вячеславовна
Врач-детский онколог, научный сотрудник, кандидат наук
НМИЦ онкологии им Н.Н. Петрова![]()
Под научной редакцией:
Кулева Светлана Александровна
Заведующий отделением, врач- детский онколог, ведущий научный сотрудник, профессор
НМИЦ онкологии им. Н.Н. ПетроваЧто вам необходимо сделать
Если вы хотите узнать побольше о бесплатных возможностях ФБГУ НМИЦ онкологии им. Н.Н. Петрова Минздрава России, получить очную или заочную консультацию по диагностике и лечению, записаться на приём, ознакомьтесь с информацией на официальном сайте.
Если вы хотите общаться с нами через социальные сети, обратите внимание на аккаунты в ВКонтакте и Одноклассники.
Читайте также:
- Трансвагинальная эхография. Методика трансвагинального УЗИ
- Операция кольпопоэза из отрезка прямой кишки. Операция кольпопоэза из брюшины прямокишечно-маточного углубления.
- Метаболиты арахидоновой кислоты в патогенезе воспаления легких и бронхов.
- Правая околоободочная борозда ( канал ). Левая околоободочная борозда ( канал ). Топография околоободочных борозд ( каналов ).
- Ампулярный отдел вестибулярного аппарата. Физиология полукружных каналов








