Диагностика невестибулярной шванномы по КТ, МРТ
Добавил пользователь Владимир З. Обновлено: 02.11.2025
Невринома слухового нерва — доброкачественное новообразование VIII черепного нерва, состоящее из клеток шванновской оболочки. Клинически проявляется понижением слуха, шумом и звоном в ухе, вестибулярными расстройствами на стороне поражения, симптомами сдавления лицевого, тройничного, отводящего нервов, мозгового ствола и мозжечка, признаками внутричерепной гипертензии и гидроцефалии. Невринома слухового нерва диагностируется благодаря рентгенографии височных костей, МРТ или КТ головного мозга. В зависимости от размеров образования возможно его хирургическое и радиохирургическое удаление, радиотерапия. В отдельных случаях целесообразно наблюдение за опухолью в динамике и решение вопроса о тактике лечения только при выявлении прогрессирующего роста образования.


Общие сведения
VIII пара ЧМН — преддверно-улитковый, или слуховой, нерв состоит из вестибулярной и слуховой частей. Первая несет в церебральные центры информацию от вестибулярных рецепторов улитки, вторая — от слуховых. В подавляющем большинстве случаев невринома развивается в вестибулярной части преддверно-улиткового нерва, а симптомы поражения слухового отдела связаны с его сдавлением опухолью. Вблизи преддверно-улиткового нерва проходят: ствол лицевого нерва, тройничный нерв, отводящий, языкоглоточный и блуждающий нервы. По мере роста невриномы в клинической картине могут возникать симптомы сдавления этих нервов, а также прилежащих структур ствола мозга.
Невринома слухового нерва берет начало из шванновских клеток, окружающих аксоны нервных волокон. В связи с этим в практической неврологии она также известна как вестибулярная (акустическая) шваннома. Частота встречаемости опухоли примерно 1 заболевший на 100 тыс. человек. При этом невринома слухового нерва составляет 12-13% всех церебральных опухолей и примерно 1/3 от опухолей задней черепной ямки. Она развивается преимущественно в возрасте 30-40 лет. Не отмечено ни одного случая заболевания у детей допубертатного периода.

Этиопатогенез
Этиология неврином слухового нерва пока остается неопределенной. Односторонние невриномы носят спорадический характер, их прямая связь с какими-либо этиофакторами не прослеживается. Двусторонние невриномы наблюдаются у многих пациентов с нейрофиброматозом II типа — генетически обусловленном заболевании, для которого типичны доброкачественные опухолевые процессы различных тканевых структур нервной системы (нейрофибромы, глиомы, менингиомы, невриномы). Нейрофиброматоз наследуется аутосомно-доминантным путем, риск заболевания потомства при наличии патологического гена у обоих родителей составляет 50%.
Патогенетически выделяют 3 стадии развития вестибулярной шванномы. В первой небольшие размеры образования (до 2,5 см) приводят к нарушению слуха (тугоухости) и вестибулярным расстройствам. Во второй новообразование вырастает до размеров грецкого ореха, оказывает давление на ствол мозга, что приводит к появлению нистагма, дискоординации движений и расстройства равновесия. В третьей стадии, когда невринома достигает размеров куриного яйца, она вызывает резкое сдавление церебральных структур, гидроцефалию, нарушения зрения и глотания. На этой стадии в тканях головного мозга происходят необратимые изменения, опухоль иноперабельна и является причиной летального исхода.
Морфология
Макроскопически новообразование представляет собой округлый или неправильной формы плотный узел с бугристой поверхностью. Снаружи оно имеет соединительнотканную капсулу, внутри могут встречаться локальные или диффузные кистозные полости, наполненные коричневатой жидкостью. Цвет образования на срезе зависит от его кровоснабжения: обычно бледно-розовый с ржавыми участками, при венозном застое — синюшный, при кровоизлияниях в ткань невриномы — буро-коричневый.
Микроскопически невринома слухового нерва состоит из клеток, ядра которых напоминают палочки. Эти клетки образуют структуры по типу палисадов, между которыми наблюдаются участки, состоящие из волокон. По мере роста опухоли в ней наблюдаются процессы фиброзирования, образование отложений гемосидерина.
Симптомы
Медленный рост вестибулярной шванномы обуславливает наличие некоторого бессимптомного периода и постепенное развитие клиники. У 95% заболевших первым признаком является постепенно прогрессирующее ухудшение слуха. В отдельных случаях снижение слуха происходит резко и внезапно. У 60% пациентов первой жалобой является появление шума или звона в ушах. При его отсутствии и одностороннем характере поражения слухового нерва больные зачастую длительно не замечают происходящего ухудшения слуха. Вестибулярные расстройства отмечаются в 2/3 случаев. Они характеризуются ощущением неустойчивости или головокружением при поворотах туловища и головы, возникновением нистагма. Иногда наблюдаются вестибулярные кризы, при которых на фоне головокружения возникает тошнота и может быть рвота. Невринома слухового нерва в начальной стадии может быть ошибочно принята за кохлеарный неврит, болезнь Меньера, отосклероз, лабиринтит.
Прогредиентный рост опухоли со временем приводит к полной глухоте на стороне поражения, присоединению симптомов поражения близрасположенных структур. Однако следует помнить, что выраженность симптомов не всегда коррелирует с размерами опухоли. В зависимости от локализации невриномы и направления ее роста, при малых размерах она может давать более тяжелую картину, чем крупное новообразование, и наоборот.
В первую очередь невринома слухового нерва вызывает сдавление тройничного нерва, что сопровождается лицевыми болями и парестезиями на стороне опухоли. Боли в лице имеют тупой, ноющий характер; вначале протекают по типу пароксизмов, а затем становятся постоянными. Иногда их принимают за зубную боль или невралгию тройничного нерва. Немного позже или одновременно с лицевой болью возникают симптомы периферического поражения лицевого нерва (парез мимических мышц и связанная с этим лицевая асимметрия, нарушение саливации, утрата вкуса на передних 2/3 языка) и отводящего нерва (диплопия, сходящееся косоглазие). Если невринома слухового нерва располагается во внутреннем слуховом проходе, то симптомы сдавления лицевого нерва могут манифестировать в ранний период заболевания. В подобных случаях необходимо исключение неврита лицевого нерва.
Дальнейшее увеличение невриномы приводит к поражению блуждающего и языкоглоточного нервов с нарушением фонации, дисфагией, утратой вкуса на задней 1/3 языка и угасанием глоточного рефлекса. При сдавлении мозжечка появляется мозжечковая атаксия. Даже в запущенных случаях, при сдавлении мозгового ствола, сенсорные и моторные проводниковые нарушения выражены крайне слабо; парезы отмечаются в исключительных случаях.
В третьей стадии невринома слухового нерва характеризуется признаками внутричерепной гипертензии. Возникает головная боль в затылке и лобной области, сопровождающаяся рвотой. При офтальмоскопии отмечаются застойные диски зрительных нервов. Периметрия может выявлять отдельные скотомы или гемианопсию, что связано со сдавлением хиазмы и оптических трактов.
Диагностика
Диагностику проводит отоневролог, при его отсутствии невролог совместно с отоларингологом. В некоторых ситуациях дополнительно требуется консультация вестибулолога, офтальмолога и стоматолога. Пациенту проводят неврологическое обследование, аудиометрию, отоскопию, электрокохлеографию, электронистагмографию, исследование слуховых ВП, вестибулометрию, стабилографию.
Более точно установить диагноз «невринома слухового нерва» помогает рентгенография и методы нейровизуализации. На ранних стадиях при малых размерах невриномы (до 1 см) она, как правило, не визуализируется при помощи КТ головного мозга. Поэтому проводят рентгенографию черепа с прицельным снимком височной кости. В подтверждение диагноза вестибулярной шванномы свидетельствует расширение внутреннего слухового прохода. Поскольку невриномы хорошо поглощают контраст, возможно использование КТ с контрастированием. При этом визуализируется образование с четкими гладкими контурами.
МРТ головного мозга в случае невриномы выявляет на Т1-взвешенных снимках гипо- или изоинтенсивное, а на Т2-взвешенных - гиперинтенсивное образование. Для опухолей размером 3 и более см характерна гетерогенность сигнала, связанная с наличием в них кистозных участков. Возможна визуализация деформации ствола мозга и мозжечка. При проведении контрастной МР-томографии в 70% наблюдается гетерогенное накопление контраста.

Лечение
Радикальным методом лечения является удаление невриномы, которое может быть проведено открытым хирургическим способом или методами радиохирургии. Хирургическое удаление целесообразно при большой опухоли, при выявлении увеличения ее размеров в динамике наблюдений, при росте невриномы после радиохирургического вмешательства. Зачастую следствием операции являются глухота и парез лицевого нерва. Стереотаксическое радиохирургическое удаление возможно для неврином размером менее 3см. Также оно проводится у пожилых больных при продленном росте после субтотальной резекции и в случаях, когда риск операции значительно повышен из-за соматической патологии.
Лучевая терапия невриномы имеет показания, сходные с показаниями к радиохирургии. Облучение не является способом удаления образования, но предотвращает его дальнейший рост и позволяет избежать операции. Пациентам со случайно выявленной при КТ или МРТ невриномой без клинической симптоматики, больным с длительно существующими расстройствами слуха и пожилым больным с слабой симптоматикой показана выжидательная тактика с постоянным контролем размеров образования и динамики клинических симптомов.
Прогноз
Исход невриномы во многом зависит от своевременности диагностики и размеров опухоли. Прогноз благоприятен при адекватном лечении вестибулярной шванномы в I и II стадиях. При радиохирургическом удалении на ранних стадиях в 95% отмечается прекращение роста и полное восстановление трудоспособности пациента. При хирургическом вмешательстве высок риск потери слуха и повреждения лицевого нерва. В III стадии невриномы прогноз неблагоприятен: пациент может погибнуть при сдавлении жизненноважных церебральных структур увеличивающейся опухолью.
МРТ и КТ при нарушении слуха

МРТ головного мозга. Слуховые нервы в норме. Цветовая обработка изображения.
Нарушение слуха (тугоухость) может быть сенсоневральная - в связи с повреждением внутреннего уха, внутреннего слухового прохода, мосто-мозжечкового ушла и вестибулокохлеарного нерва.
- Во внутреннем ухе отосклероз или травматическое повреждение височной кости, редко - врожденные недоразвития улитки (дисплазия Мондини), полукружных каналов, вестибулярного водопровода
 - В мембранной части лабиринта - лабиринтит (инфекционное поражение), в том числе и склерозирующий, внутриулитковая Шваннома(невринома), болезнь Меньера (гипоплазия водопровода)
 - Внутренний слуховой проход и мостомозжечковый угол - шваннома 8 нерва, менингиома височной кости, эпидермоидные (холестеатомы) и арахноидальные кисты, редко - гломусная тимпаническая опухоль.
 
Вестибулокохлеарный нерв (VIII) состоит из 4 пучков. Опухоли происходят обычно из вестибулярной его части. Шваннома - инкапсулированная доброкачественная (градация 1) опухоль, происходящая из дифференцированных неопластических шванновских клеток оболочек периферических нервов. Невриномы ММУ составляют около 3% опухолей головного мозга. Часть шванном (двухсторонние слуховых нервов) связана с НФ 2 типа. Пик частоты между 40 и 60 годами. Растут медленно и крайне редко малигнизируются. Клинические проявления связаны с нарушением функции нерва и компрессией ствола. Шваннома может происходить из любого отрезка по ходу нерва и хорошо прослеживается при МРТ области ММУ. Невринома видна как на Т2-взвешенных, так и на Т1-взвешенных МРТ в виде округлого образования. Невриномы хорошо и равномерно усиливаются после МРТ с введением контрастного вещества. Невриномы области цистерны могут иметь компонент во внутреннем слуховом проходе, особенно, хорошо видимый при МРТ головного мозга с контрастированием. Изредка встречаются невриномы полностью расположенные внутри канальца. Они составляют наибольшую диагностическую сложность при МРТ, требуют тонких срезов и контрастирования. Менингиомы ММУ обычно типично расположены и при МРТ имеют характерную форму и типичные черты при МРТ с контрастированием. Однако редко встречаются внутриканальцевые менингиомы. При МРТ они неотличимы от неврином. Холестеатомы при МРТ имеют смешанную интенсивность сигнала, в зависимости от их содержимого. На диффузионно-взвешенных МРТ холестеатомы обычно яркие.
МРТ головного мозга. Аксиальная Т2-взвешенная МРТ. Фрагмент ММУ. Холестеатома слева.
МРТ головного мозга наиболее информативна в плане выявления опухолей мостомозжечкового угла и кист этой области. Некоторое патологии, такие как расширение водопровода и лабиринтит также хорошо видны при МРТ. КТ лучше демонстрирует состояние внутреннего уха.
КТ. Дисплазия Мондини.
КТ. Полная аплазия лабиринта.
КТ. Расширение и укорочение полукружного канала.

КТ. Болезнь Меньера.

КТ. Водопровод в норме (стрелка).

КТ. Увеличенный водопровод (стрелка).

МРТ головного мозга. Т2-взвешенная аксиальная МРТ мосто-мозжечкового угла. Увеличенный водопровод.

КТ. Хронический отит.
КТ. Хронический отит с кальцификацией барабанной перегородки.
КТ. Хронический отит с грануляциями на барабанной перегородке и эрозией стенки тимпанической полости.
При МРТ в СПб в наших клиниках мы при нарушении слуха считаем необходимым применение обоих методов.
Невринома слухового нерва - симптомы и лечение
Что такое невринома слухового нерва? Причины возникновения, диагностику и методы лечения разберем в статье доктора Касаткина Дениса Сергеевича, нейрохирурга со стажем в 11 лет.
Над статьей доктора Касаткина Дениса Сергеевича работали литературный редактор Маргарита Тихонова , научный редактор Сергей Федосов и шеф-редактор Лада Родчанина
Определение болезни. Причины заболевания

Данная опухоль составляет 82 % всех опухолей мостомозжечкового угла, 7 % всех внутричерепных опухолей и до трети опухолей задней черепной ямки. В год невриному обнаруживают примерно у одного человека на 100 тысяч населения. В 97 % случаев опухоль локализуется только с одной стороны. У остальных пациентов — поражение двустороннее [1] .
Невриномы слухового нерва возникают в 40-50 лет. Более часто они встречаются у женщин, чем у мужчин: примерно 3:2 [1] .
Впервые невриному описал Голландский анатом E. Sandifort в 1777 году, как "небольшое патологическое образование, прилежащее к слуховому нерву". Оно было выявлено у пациента, страдавшего глухотой. Позднее, в 1822 году J. Wishart, хирург из Шотландии, при вскрытии больного описал случай двусторонней опухоли вестибулокохлеарных нервов у пациента, страдавшего тугоухостью на оба уха, приступами головной боли и параличом лицевого нерва.
Наибольший вклад в изучение проблемы лечения вестибулярных шванном сделал американский нейрохирург H.Cushing. Он снизил летальность c 80 % до 10 %. Позднее его коллега из Швейцарии M.G. Yasargil внедрил технику работы с операционным микроскопом, разработал микронейрохирургические инструменты. Это позволило более безопасно и радикально удалять опухоли, сохраняя при этом ствол головного мозга, смежные черепно-мозговые нервы и сосудистую структуру [2] .
Причиной появления невриномы, чаще двусторонней, может быть нейрофиброматоз II типа — распространённая наследственная болезнь, которая предрасполагает к возникновению опухоли, а также наследственная генетическая мутация в 22-ой хромосоме.
Риск развития невриномы увеличивают:
- действие ионизирующего излучения;
 - гормональный фон;
 - агрессивные факторы внешней среды — жизнь в местности, загрязнённой промышленными отходами, продуктами сгорания авиационного топлива и пр.;
 - неправильное питание [4][11] .
 
К примеру, беременность или облучение прямыми солнечными лучами могут ускорить рост опухоли и спровоцировать появление первых симптомов болезни.
При обнаружении схожих симптомов проконсультируйтесь у врача. Не занимайтесь самолечением - это опасно для вашего здоровья!
Симптомы невриномы слухового нерва
Первые признаки заболевания:
- Расстройства слуха — шум или звон в ухе, волнообразное, постепенно нарастающее, иногда острое снижение слуха [13] . Чаще эти симптомы связаны с поворотом головы головокружением, иногда со спонтанным нистагмом — непроизвольным ритмичным движением глаз из стороны в сторону.
 - Поражение лицевого нерва — негрубая слабость мимических мышц на стороне опухоли, усиленное слезотечение [14] , изменение вкусовых ощущений на передней 2/3 поверхности языка из-за воздействия на барабанную струну, которая отходит от лицевого нерва.
 - Поражение тройничного нерва свидетельствует о большом размере опухоли. Первый признак такого нарушения — угнетение роговичного рефлекса (нарушение смыкания век при прикосновении к роговице). В дальнейшем развивается покалывание языка [14] , гипестезия на лице (потеря чувствительности) или тригеминальная невралгия — мучительные стреляющие боли в половине лица.
 
В дальнейшем могут появиться симптомы поражения черепных нервов каудальной группы:
- языкоглоточного нерва — нарушение вкусового восприятия на задней трети языка, снижение чувствительности слизистой верхней части глотки, дисфагия (нарушение глотания пищи);
 - блуждающего нерва — асимметрия мягкого нёба, дисфония (голос становится хриплым) [14] ;
 - добавочного нерва — слабость и гипотрофия трапециевидной и грудино-ключично-сосцевидной мышц;
 - подъязычного нерва — атрофия мышц языка на стороне опухоли.
 

Появление тех или иных симптомов зависит от размеров опухоли и стадия её развития. Дальнейший рост невриномы ведёт к компрессии (сдавлению) 4-го желудочка и ствола головного мозга, появляются симптомы, связанные с увеличением внутричерепного давления. Например, пациент с большой опухолью может жаловаться на слабость в конечностях, асимметрию лица, тошноту, рвоту головокружение, глухоту на одно ухо.
Ниже в таблице представлена частота встречаемости неврологических симптомов невриномы слухового нерва [4] .
Патогенез невриномы слухового нерва
Увеличиваться опухоль может в двух направлениях: в сторону слухового прохода и в сторону мостомозжечкового угла. От направления роста зависит, какие органы и нервы будет сдавливать опухоль при дальнейшем увеличении: мозжечок, лицевой, тройничный или каудальная группа черепных нервов [16] .

Рис. Схематичное изображение роста невриномы слухового нерва из внутреннего слухового прохода в заднюю черепную ямку со сдавление ствола головного мозга.
Макроскопически опухоль представляет собой бугристую серую сферу неправильной формы. Она не прорастает в ткань мозга и часто в своей структуре имеет вкраплённые кисты, заполненные жидкостью. Обычно растёт медленно — по 2-5 мм в год — и даёт о себе знать, когда достигает больших размеров.

По данным патоморфологических исследований выделяют два основных типа опухоли:
- Антони А — клетки опухоли формируют группы с вытянутыми ядрами;
 - Антони В — различные узоры звездообразных клеток и их длинных отростков [5] . Обычно этот тип встречается при больших невриномах. Считается, что они возникает в результате ишемии [14] .
 

Симптомы и жалобы при вестибулярной шванноме обусловлены четырьмя основным процессами:
- компрессия сосудов головного мозга, которая ведёт к инсульту;
 - поражение черепных нервов;
 - сдавление и смещение ствола головного мозга;
 - сдавление 4-го желудочка [3] .
 

Классификация и стадии развития невриномы слухового нерва
Все классификации и стадии невриномы слухового нерва учитывают размер опухоли и её положение относительно ствола головного мозга [6] . Активно во врачебной практике используются классификации W. Koos и M. Samii. Они позволяют определить тактику лечения.
Стадии роста невриномы по W. Koos:
- I стадия — опухоль до 10 мм, не выходит за пределы внутреннего слухового прохода;
 - II стадия — опухоль до 20 мм, расширяет внутренний слуховой проход и выходит в мостомозжечковый угол;
 - III стадия — опухоль до 30 мм, достигает ствола головного мозга, но не сдавливает его;
 - IV стадия — опухоль больше 30 мм, сдавливает ствол головного мозга [15][17] .
 

Классификация невриномы слухового нерва по M. Samii:
- Т1 — опухоль, расположенная во внутреннем слуховом проходе;
 - Т2 — опухоль, растущая из внутреннего слухового прохода;
 - Т3а — опухоль, заполняющая цистерну мостомозжечкового угла;
 - Т3b — опухоль, достигающая ствола головного мозга;
 - Т4а — опухоль, сдавливающая ствол;
 - Т4b — опухоль, грубо деформирующая ствол мозга и 4-й желудочек.
 
Также можно выделить четыре стадии клинического течения болезни:
- отиатрическая стадия — шум или глухота на одно ухо;
 - отоневрологическая стадия — присоединяются поражения тройничного и лицевого нервов на стороне опухоли;
 - гипертензионно-гидроцефальная стадия — на этой стадии болезни пациент отмечает головные боли, появляется тошнота, рвота;
 - бульбарная стадия — добавляется дизартрия, дисфагия, дисфония.
 
Осложнения невриномы слухового нерва
Наиболее распространённым осложнением невриномы является односторонняя нейросенсорная тугоухость: с ростом опухоли человек полностью теряет слух. Также часто страдает лицевой нерв, из-за чего развивается односторонний паралич мимической мускулатуры.

Чем больше размер опухоли, тем выше риск поражения каудальной группы черепных нервов. Это может привести к такому опасному для жизни осложнению, как бульбарный синдром — паралич мышц, которые иннервированы каудальной группой нервов (языкоглоточного, блуждающего и др.). Он может привести к тому, что человек не сможет самостоятельно питаться через рот.
Когда опухоль начинает сдавливать ствол головного мозга, развиваются симптомы поражения пирамидного тракта — нарушается походка, возникает слабость в конечностях, параличи и парезы. А при сдавливании водопровода головного мозга может развиваться гидроцефалия. Если на этой стадии болезни не выполнить хирургическое лечение, дальнейшее компрессия ствола головного мозга приводит к смерти пациента из-за поражения дыхательного цента и ретикулярной формации — всей оси ствола головного мозга [7] .
Невриномы слухового нерва не перерождаются в рак, однако учитывая, что локализация опухоли очень сложная для радикального удаления, она может снова появляться или продолжать расти даже после радиохирургического лечения.
Диагностика невриномы слухового нерва
Диагностика невриномы слухового нерва должна включать в себя неврологическое обследование, исследование слуха, а также лучевые методы исследования.
Ранняя диагностика невриномы основана на точной оценке слуха — аудиограмме. Если заболевание есть, то исследование показывает ассиметричную нейросенсорную потерю слуха, при этом одновременно наблюдается диспропорциональное снижение разборчивости речи.
Так как вестибулярные шванномы постепенно приводят к вестибулярным нарушениям со стороны поражённого уха, пациенты редко жалуются на головокружения и чаще испытывают ощущение шаткости при походке. Уловить эти нарушения может самый чувствительный аудиометрический тест — аудиометрия по слуховым вызванным потенциалам (КСВП). С его помощью исследуют ответную реакцию ствола головного мозга на звуковой раздражитель. При обнаружении отклонений прибегают к визуальным методам исследования.
Оптимальными способами визуальной диагностики являются компьютерная томография (КТ) и магнитно-резонансная томография (МРТ) головного мозга. Эти исследования принято проводить с контрастным усилением, так как оно позволяет обнаружить даже небольшие новообразования [14] . Иногда опухоль обнаруживается случайно — при проведении КТ или МРТ головного мозга по другому поводу [13] . По результатам этих исследований можно поставить точный диагноз, выявить локализацию опухоли, её размеры, структуру, отношение к окружающим тканям задней черепной ямки, спланировать тактику хирургического или радиологического лечения [12] .

Дифференциальная диагностика невриномы проводится с заболеваниями, которые могут привести к односторонней нейросенсорной потере слуха:
- менингиомой задней черепной ямки;
 - холестеатомой пирамиды височной кости;
 - внутричерепными метастазами;
 - арахноидальной кисты и других опухолей этой локализации.
 
Лечение невриномы слухового нерва
Алгоритм лечения невриномы зависит от её стадии, симптомов, общего состояния здоровья и возраста пациента. Если опухоль небольшая и не беспокоит больного, то врачи придерживаются выжидательной тактики, так как долгое время они могут не расти или вовсе регрессировать (редко) [17] . При этом необходимо минимум раз в год проходить МРТ, чтобы наблюдать за течением болезни. В других случаях избавиться от невриномы можно либо с помощью хирургического удаления, либо посредством облучения.
Показания к операции:
- молодой возраст больного;
 - быстрый рост опухоли или продолженный рост опухоли после её облучения;
 - прогрессирующая неврологическая симптоматика — возникновение симптомов сдавления ствола головного мозга, гидроцефалии, бульбарного синдрома [2][6] .
 
Цель оперативного лечения — радикальное (полное) удаление опухоли с сохранением жизненно важных структур. Может проводиться из различных доступов: через вскрытый сосцевидный отросток (выполняется чаще всего), за ухом и над ухом. Если операция прошла успешно, пациент находится в клинике под наблюдением ещё 5-7 дней. Швы с операционной раны снимают на 10-15 сутки. Существенных ограничений по образу жизни после восстановительного периода нет. Спустя некоторое время после операции рекомендуется пройти курс лучевой терапии, чтобы предотвратить продолженный рост остатков клеток опухоли.

Если имеются противопоказания к традиционному хирургическому вмешательству, следует рассматривать методы лучевой терапии:
- стереотаксическую радиохирургию — удаление опухоли гамма-ножом (альтернатива стандартному оперативному лечению);
 - фракционную стереотаксическую радиохирургию (FSRS) — радиотерапию [17] .
 
Цель лучевой терапии — приостановить дальнейший рост опухоли. Она показана:
- пожилым пациентам;
 - людям с наличием сопутствующих заболеваний;
 - после частичного удаления опухоли для облучения её остатков.
 
Максимальная доза лучевой терапии — не более 34 Гр, минимальная — 12 Гр [17] . В итоге такого лечения опухоль чаще всего уменьшается, но иногда она не меняется в размерах и продолжает расти. Поэтому радиотерапию рекомендуют как дополнительный метод лечения после традиционного хирургического лечения.

Правильный выбор метода лечения позволяет снизить показатель летальности при невриномах слухового нерва до 1 % [3] [5] [11] . Основными причинами повторного появления опухоли являются нерадикальность операции и отсутствие лучевой терапии в послеоперационном периоде.
Прогноз. Профилактика
Прогноз при невриноме слухового нерва благоприятный, особенно если удаётся выявить опухоль на ранних стадиях. Практически у всех пациентов невриному можно удалить полностью. В таких случаях рецидивы практически не встречаются, а отдалённые осложнения (например, гидроцефалия) развиваются редко.
Наиболее частой и сложной проблемой, с которой сталкиваются пациенты после лечения невриномы, является паралич лицевого нерва. Так как он развивается более чем у 50 % пациентов, разработан целый комплекс методов, которые позволяют восстановить работоспособность мышц лица. Операция на лицевом нерве после удаления вестибулярной шванномы создаёт условия для того, чтобы восстановить нейромышечную проводимость, миодинамическое равновесие и функциональную целостность зон лица. Причём раннее и поэтапное хирургическое лечение лицевого нерва позволяет избежать мышечной атрофии и ускорить выздоровление пациентов с грубой и стойкой асимметрией лица [11] .
Невриномы слухового нерва чаще развиваются спорадически, т. е. случайно в результате трансформации шванновских клеток в слуховом нерве. Поэтому методов первичной профилактики (вакцины) не существует. Однако если среди родственников были люди с нейрофиброматозом II типа или опухолью слухового нерва, человеку нужно быть настороженным в отношении невриномы слухового нерва и периодически выполнять МРТ головного мозга, особенно если появились жалобы на прогрессирующее снижение слуха.
Невринома ( Неврилеммома , Нейринома , Шванноглиома , Шваннома )
Невринома — это доброкачественное новообразование, возникающее из миелиновой оболочки нервного ствола. Становится причиной раздражения и дисфункции поражённого нерва, компрессии прилегающих тканей. Клинические проявления соответствуют расположению опухоли. Наиболее часто встречаются невриномы слухового нерва. Диагностика осуществляется комплексно по результатам неврологического осмотра, УЗИ, МРТ, КТ поражённой области, электронейромиографии, гистологического исследования. Лечение хирургическое, по показаниям проводится открытое или радиохирургическое удаление новообразования.
МКБ-10

Причины невриномы
Шваннома образуется вследствие чрезмерного размножения шванновских клеток в неврилемме. Причины процесса усиленного деления остаются неизвестными. Значимыми факторами считаются:
- ионизирующая радиация
 - плохая экологическая обстановка
 - воздействие канцерогенов, поступающих в организм с пищевыми продуктами, вдыхаемым воздухом.
 
Предполагают наследственную детерминированность развития неврином. Склонность к их образованию отмечается у пациентов с нейрофиброматозом. Возникновение неврином глотки обусловлено хроническим вредоносным воздействием различных химических агентов, пыли, частых и длительных воспалительных процессов при хроническом тонзиллите, фарингите, назофарингите.
Патогенез
Макроскопически невринома является заключённым в капсулу, отграниченным округлым образованием с бугристой поверхностью. На разрезе опухоль имеет светло-серый или буро-коричневый цвет, определяются многочисленные фиброзированные участки, заполненные бурой жидкостью кисты. По мере роста неоплазия начинает сдавливать нервные волокна и окружающие нерв ткани, что вызывает возникновение основных клинических проявлений - нарушения функции нерва и прилегающих к нему структур. Выраженность симптоматики определяется локализацией шванномы. При расположении в узких рамках мосто-мозжечкового угла, костно-мышечного канала симптомы появляются рано, даже при небольших размерах образования.
Микроскопически невринома представляет собой параллельные ряды клеток с палочкообразными ядрами, перемежающиеся с волокнистыми структурами. Периферические участки опухоли окружены сосудистой сетью, центральные бедны сосудами. Вследствие недостаточного кровоснабжения в центральных отделах происходят дистрофические изменения. В результате последних невринома претерпевает различные морфологические трансформации, соответственно которым выделяют три основных гистологических типа неоплазии: эпителиоидный, ангиоматозный, ксантоматозный. Клинического значения указанная классификация не имеет.
Симптомы невриномы
Шваннома отличается медленным развитием симптоматики, может долго оставаться незамеченной. Признаки неоплазии зависят от ее месторасположения, включают две основные составляющие - симптомы расстройства функции поражённого нерва и проявления, обусловленные компрессией близлежащих тканей. При невриноме слухового нерва отмечается прогрессирующее снижение слуха. Поскольку опухоль односторонняя, пациент не сразу замечает развитие тугоухости. При вовлечении вестибулярной порции появляются головокружения с тошнотой и рвотой, вестибулярная атаксия.
Невринома тройничного нерва манифестирует прозопалгией, гипестезией половины лица, иногда - вкусовыми галлюцинациями. Поражение лицевого нерва характеризуется слабостью мимической мускулатуры. В ряде случаев тригеминальная и фациальная симптоматика провоцируются компрессией корешков соответствующих черепных нервов увеличивающейся вестибуло-кохлеарной шванномой.
Невринома спинального корешка протекает с классическим корешковым синдромом: болью, расстройством чувствительности, мышечной гипотонией, слабостью, атрофией в зоне иннервации поражённого корешка. Невринома периферического нерва проявляется аналогичными нарушениями в иннервируемой области. Со временем в денервированных тканях развиваются трофические расстройства. Невринома глотки вызывает чувство дискомфорта, обуславливает дисфагию, затруднение носового дыхания.
Осложнения
Неуклонно увеличивающаяся невринома мосто-мозжечкового угла может приводить к полной потере слуха, стойкому гемипарезу лица, внутричерепной гипертензии, сдавлению стволовых структур с развитием бульбарного синдрома, включающего нарушения глотания, речи, появление двоения в глазах. Компрессия мозжечка обуславливает возникновение мозжечковой атаксии: шаткость ходьбы, дискоординацию, крупноразмашистые движения, скандированную речь, нистагм. Спинальная невринома осложняется сдавлением спинного мозга с развитием компрессионной миелопатии, проявляющейся сенсомоторными нарушениями ниже очага поражения, расстройствами тазовых функций. Осложнением шванномы ветвей блуждающего нерва является нейропатический парез гортани.
Клиническая картина невриномы во многом сходна с поражением нервного ствола воспалительной, компрессионной, дисметаболической этиологии. Клиническая симптоматика, осмотр невролога позволяют определить уровень поражения. Последующая инструментальная диагностика направлена на уточнение морфологического субстрата, явившегося причиной поражения нервного ствола. Перечень необходимых обследований определяется расположением неоплазии, включает:
- Церебральную нейровизуализацию. Применяется при новообразованиях черепных нервов. Контрастная КТ головного мозга способна выявить невриномы размером более 1 см. Церебральная МРТ обладает большей информативностью, лучше визуализирует состояние окружающих опухоль тканей.
 - МРТ. Проводится изолированная МРТ поражённого отдела позвоночника. Исследование позволяет обнаружить невриномы спинномозговых корешков, определить степень спинальной компрессии.
 - Аудиометрия. Наряду с консультацией оториноларинголога и сурдолога, аудиометрия показана пациентам с понижением слуха. Обследование проводится для оценки степени тугоухости, исключения прочих возможных причин ухудшения слуха.
 - КТ или МРТ гортани и глотки. Назначается при подозрении на невриному глотки. Выполняется после фарингоскопии для уточнения диагноза, локализации и размеров неоплазии.
 - Сонография. УЗИ периферических нервов целесообразно при поражении нервных стволов конечностей. Дает возможность определить наличие локального утолщения неврилеммы. Более точно визуализировать образование помогает местная МРТ мягких тканей конечности.
 - Электронейромиография. ЭНМГ необходима для анализа функционального состояния поражённого шванномой нервного ствола. В послеоперационном периоде применяется для контроля восстановления.
 - Гистологическое исследование. Указанные выше обследования позволяют определить наличие опухолевого образования, предположить его доброкачественный характер. Точная верификация неоплазии возможна лишь по результатам исследования строения её тканей. Как правило, биопсия не назначается, проводится гистология операционного материала.
 
Дифференциальная диагностика шванном производится с другими опухолевыми образованиями. Невринома мосто-мозжечковой локализации требует дифференцировки от менингиомы, астроцитомы, опухоли мозжечка, спинальная шваннома — от иных экстрамедуллярных опухолей. Невриномы периферических нервов дифференцируют от компрессионно-ишемической, воспалительной невропатии.

Лечение невриномы
Единственным эффективным способом лечения шванном является их удаление. Выбор лечебной тактики осуществляется нейрохирургом, зависит от локализации неоплазии, возраста и состояния здоровья пациента. Применяются две основные методики:
- Хирургическое иссечение. Требует высвобождения нервных волокон от опухолевых тканей, что сопряжено с высоким риском травмирования, вероятностью сохранения отдельных опухолевых частиц, которые в последующем могут стать причиной рецидива. Для снижения риска указанных осложнений используется микрохирургическая техника. При интракраниальной локализации операция проводится путём трепанации черепа, при спинальной — с ламинэктомией.
 - Радиохирургическое удаление. Выполняется при внутричерепной и спинальной локализации шванномы. Направленное лучевое воздействие вызывает гибель части опухолевых клеток, оставшиеся клетки утрачивают способность к размножению. Радикальная радиохирургическая операция возможна при размере неоплазии менее 30 мм, в остальных случаях радиохирургический метод применяется в качестве паллиативного лечения с целью уменьшения размеров новообразования у больных, имеющих противопоказания к открытой операции.
 
Прогноз и профилактика
Исход заболевания зависит от расположения опухоли, своевременности диагностики и лечения. В большинстве случаев радикальное удаление обеспечивает благоприятный результат. В отдельных случаях наблюдается рецидив новообразования. Отсутствие лечения приводит к необратимой потере функции поражённого нервного ствола, возникновению осложнений. Специфическая профилактика не разработана, общие профилактические меры сводятся к предупреждению воздействия онкогенных факторов, повышению противоопухолевого иммунитета.
1. Магнитно-резонансная томография в нейрохирургии/ Коновалов А.Н., Корниенко В.Н., Пронин И.Н. - 1997.
3. Невриномы нервных стволов конечностей: клиника, диагностика и лечение/ Цымбалюк В.И., Третяк И.Б., Тончев М.Д.// Украинский нейрохирургический журнал. - 2008.
МРТ головного мозга при опухолях черепных нервов
МРТ головного мозга. Т2-взвешенная корональная МРТ. Невринома слухового нерва, цветовая обработка изображения.
Шваннома (невринома) представляет собой инкапсулированную доброкачественную (градация I) опухоль, происходящую из дифференцированных неопластических шванновских клеток оболочек периферических нервов. Растут шванномы медленно и крайне редко малигнизируются. В целом шванномы составляют примерно 8% от внутричерепных опухолей. Пик частоты приходится на возраст 40-60 лет. Чаще всего встречаются шванномы слухового нерва (VIII пара), они составляет около 80 - 90% всех опухолей мосто - мозжечкового угла и около 3% от внутричерепных опухолей. Невриномы происходят из дистального по отношению к входу во внутренний слуховой проход части слухового нерва, обычно из вестибулярной (верхней) его ветви. Двухсторонние невриномы наблюдаются в 5% случаев и связаны с нейрофиброматозом типа II. Поскольку слуховой нерв (VIII пара) и лицевой нерв (VII пара) тесно связаны в начальной части, то на МРТ эти опухоли не дифференцируются. В 7-10% случаев шванноме сопутствует арахноидальная киста. Нейрофибромы отличаются от неврином большим числом соединительнотканных и нервных волокон, а также отсутствием капсулы. Пик частоты приходится на возраст 40-50 лет. Опухоль несколько чаще встречается у женщин. Для неврином слухового нерва характерна сенсоневральная тугоухость, шум в ушах и нарушение равновесия.
На Т2-взвешенных МРТ головного мозга невриномы имеют округлую или овальную форму, изоинтенсивны или слегка гиперинтенсивнее белого вещества, хорошо видны на фоне яркого ликвора цистерны. Крупные опухоли могут подвергаться кистозной дегенерации и включать сосуды. Мелкие невриномы имеют компонент во внутреннем слуховом проходе и как бы “утолщают“ нерв на МРТ изображениях. Как показывает опыт МРТ СПб полностью внутриканальцевые невриномы встречаются редко. МРТ в СПб при шванномах мы проводим обычно с контрастированием. Контрастирование неврином при МРТ с контрастированием хорошее, обычно однородное. Нельзя забывать, что во внутреннем слуховом проходе также может быть воспалительный процесс (неврит), приводящий к сходной клинической симптоматике. При МРТ неврит виден как отёк нерва, имеется контрастное усиление на МР томограммах.



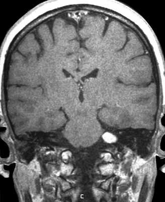
МРТ головного мозга. Невринома слухового нерва слева с внутриканальцевым компонентом. Аксиальные Т1-зависимая МРТ, Т1-зависимая МРТ с контрастированием, и корональная Т1-зависимая МРТ с контрастированием.
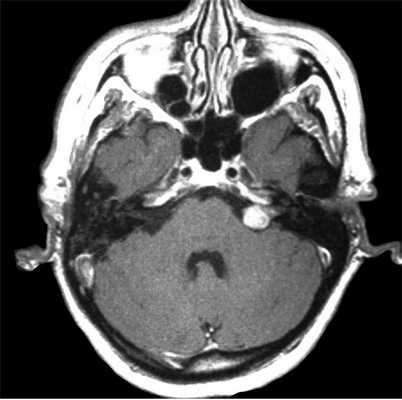
Невринома слухового нерва в цистерне и внутреннем слуховом проходе. Киста (чёрная стрелка). Аксиальная Т1-взвешенная МРТ, неоднородное контрастирование.
МРТ головного мозга. Полностью внутриканальцевая невринома слухового нерва. Аксиальная Т2-зависимая МРТ, дефект на фоне СМЖ.
Нейрофиброматоз тип 2. Двухсторонние невриномы слуховых нервов (стрелки). Поперечная Т1-зависимая томограмма с контрастированием.
Невриномы других пар черепных нервов встречается редко. При росте из V пары (тройничный нерв) могут быть сложности в дифференциальном диагнозе с невриномой VIII пары. В первом случае опухоль нередко имеет вид песочных часов, когда одна часть расположена в задней, а другая в средней черепных ямках. Тройничный нерв (V пара) выходит на уровне среднего мозга и делится на 3 ветка - глазничную (1), верхнечелюстную (2) и нижнечелюстную (3). Все они идут вперёд в Мекелеву полость к тройничному ганглию. Отсюда (3) уходит вниз через овальное отверстие, а (1) и (2) идут через кавернозный синус (вдоль латеральной стенки). Затем (1) входит в орбиту через верхнее отверстие, а (2) выходит из полости черепа через округлое отверстие. Каждая из ветвей делится на конечные нервы. Клинические проявления шванном тройничного нерва состоит из болей и (или) атрофии жевательных мышц. Невринома может локализоваться в любом месте по ходу нерва и ветвей.
VII пара (лицевой нерв) и нервы, проходящие через яремную ямку (IХ, Х и ХI пары) и подъязычный нерв (XII пара) также могут быть источником роста невриномы и нейрофибромы. Клиническая симптоматика невриномы зависит от её локализации по ходу нерва. Обычно это раздражение нерва, нарушение его функции, сенсоневральная тугоухость в связи с поражением или сдавлением слухового нерва, компрессия ствола. Шванномы в средней черепной ямке не сдавливают окружающие структуры и достигают больших размеров никак себя не проявляя.
  
МРТ головного мозга. Невринома тройничного нерва, сегмента в цистерне. Корональные Т2-зависимая и Т1-зависимая томограммы с контрастированием.
МРТ головного мозга. Невринома тройничного нерва в цистерне и Мекелевой полости. Поперечная Т1-зависимая томограмма с контрастированием.
МРТ головного мозга. Невринома тимпанического сегмента тройничного нерва, поперечная Т1-зависимая томограмма. Невринома сосцевидного сегмента, поперечная Т1-зависимая МРТ с контрастированием.
 
МРТ головного мозга. Невринома языкоглоточного нерва. Корональная и поперечная Т1-зависимые МРТ с контрастированием.
Профессор Холин А.В. диагностирует опухоли на высокопольном МРТ и открытом МРТ.
Читайте также:
- Случай успешного лечения пупочной грыжи и контактного дерматита у младенца
 - Диагностика пареза мимических мышц. Поражения ствола мозга.
 - Этапы, техника фундопликации по Ниссену-Розетти и Тупе
 - Различение звуковых образов. Определение направления звука
 - Диагностика гипертрофической дегенерации олив мозга по КТ, МРТ
 
