Диагностика опухолевого перикардита на рентгене, КТ, МРТ
Добавил пользователь Валентин П. Обновлено: 21.11.2025
Какой метод диагностики перикардита выбрать: МРТ, КТ, ЭХО-КГ, ангиографию
Методы выбора
- ЭХО-КГ
- В сомнительных случаях МР-исследование обеспечивает высокую чувствительность при остром перикардите.
Что покажет КТ и рентген грудной клетки
- Часто нормальные признаки
- Возможны признаки перикардиального выпота при остром эксудативном перикардите
- Инфильтраты и лимфомы легких в случае наличия инфекционного агента
- КТ демонстрирует утолщение перикарда.
Для чего проводят УЗИ сердца
- Выпот в полость перикарда
- Диастолическая дисфункция в связи с констрикцией
- Ограниченные возможности для оценки морфологии перикарда.
Что покажут снимки МРТ при остром перикардите
- Сходные с данными ЭХО-КГ
- Лучшая визуализация перикарда
- Утолщение перикарда и выпот в полость перикарда
- Контрастно-усиленное изображение при остром воспалительном процессе (Т1-взвешенная FSE- последовательность с темной кровью либо IRGE).
Какие инвазивные диагностические процедуры необходимы
- Могут быть выполнены в отдельных случаях для исключения острого коронарного синдрома (см. также «Постинфарктный перикардит» и «Синдром Дресслера»).

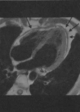
Острый перикардит у мужчины 37 лет. Т1 -взвешенная FSЕ-последовательность с темной кровью в четырехкамерном срезе демонстрирует выраженное утолщение и трудноопределяемый край перикарда (стрелки). Выпот в полость перикарда

Контрастно-усиленная последовательность обратного восстановления GEчерез 15 мин после введения 0,2 ммоль/кг Gd-DTPA. Четырехкамерный срез демонстрирует выраженное усиление перикарда (стрелки).

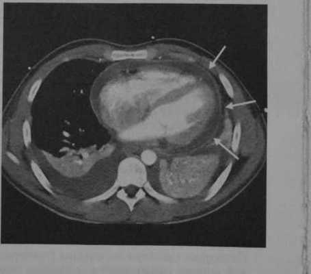
Вторичный тяжелыйперикардит как осложнение тонзиллярного абсцесса у женщины 20 лет. После введенияконтраста на КТ определяется выпот в полость перикарда, выраженное усиление перикарда (стрелки), плевральный выпоти двусторонние ателектазыв базальных сегментах легкихв связи с ОСИ.
Клинические проявления
Типичные проявления острого перикардита
- Системные признаки воспаления (температура, озноб)
- Боль за грудиной, которая уменьшается в положении сидя и при наклоне вперед
- Изменения на ЭКГ у 90% пациентов
- Может иметь бессимптомное течение (например, при коллагенозах или уремии).
Методы лечения острого перикардита
- Стероидные и нестероидные противовоспалительные препараты
- Аспирин
- Антибактериальная терапия
- Пункция перикарда при выпоте в полость перикарда, нарушающем гемодинамику, или тампонаде сердца.
Течение и прогноз заболевания
- Обычно имеет хороший прогноз
- Рецидивирующие перикардиты в 10- 15% случаев
- Тампонада перикарда с ОСН - редкое, но жизнеугрожающее осложнение.
Что хотел бы знать лечащий врач?
- Наличие утолщения перикарда и выпота в полость перикарда
- Воспалительные изменения перикарда (МР-исследование)
- Нарушение функции сердца.
Какие патологии имеют симптомы, схожие с острым перикардитом
Кардиальные причины
Экстракардиальные причины
Хроническая стадия
- Острый коронарный синдром
- Травма грудной клетки
Советы и ошибки
Необходимо рассматривать перикардит в алгоритме дифференциальной диагностики острой боли в грудной клетке у пациентов, которые имеют соответствующий анамнез. Диагноз основывается на клинических и лабораторных признаках, ЭКГ. Первоначальный алгоритм может включать ЭХО-КГ (выпот в плевральную полость).
Перикардит
Перикардит - воспалительный процесс в околосердечной сумке (наружной серозной оболочке сердца). Патология может быть разного генеза и характера воспаления - инфекционной, асептической, ревматической, постинфарктной.
Виды перикардитов
По развитию перикардит может быть первичным или вторичным, осложнением другой патологии. По распространенности различают ограниченный, частичный или общий (разлитой), когда воспалительный процесс распространяется на всю околосердечную сумку.

- сухой (фибринозный);
- экссудативный, который в зависимости от характера выпота может быть серозно-фибринозным, гнойным или геморрагическим.
- гемоперикард (наличие крови в перикарде);
- гидроперикард (скопление серозной жидкости);
- хилоперикард (выпот хилезной лимфы);
- пневмоперикард (наличие воздуха, попавшего в околосердечную сумку при травме грудной клетки);
Причины развития заболевания
- вирусная, бактериальная, паразитарная инфекция, причем в большинстве случаев патогенные микроорганизмы могут мигрировать с током крови или лимфы из очага воспаления;
- заболевания, сопровождающиеся аллергической реакцией;
- ревматические заболевания (системные патологии);
- травма или оперативное лечение сердца;
- нарушение обменных процессов;
- врожденные аномалии развития перикарда;
- нарушение гемодинамики и его следствие - общие отеки;
- злокачественные новообразования;
- перенесенные ранее инфаркт миокарда или воспаление других оболочек сердца.
Симптомы
Клиническая картина зависит от формы заболевания, его стадии и скорости накопления выпота в околосердечной сумке.
При сухом перикардите пациента беспокоят тупые, сдавливающие боли в сердце, которые нередко иррадиируют в плечо, лопатку или шею. Они не купируются нитроглицерином и усиливаются при глотании, глубоком дыхании, кашле или смене положения тела.
Клиническая картина при экссудативной форме очень яркая. Основные симптомы - боль в сердце и чувство стеснения в груди. По мере прогрессирования заболевания в связи с нарушением кровотока появляется одышка. При сдавливании пищевода пациент жалуется на проблемы с глотанием. Если зажат диафрагмальный нерв - возникает икота.
Диагностика
Необходимо быстро и точно диагностировать заболевание, поскольку оно представляет угрозу для жизни пациента. Врач собирает анамнез и осматривает больного. При экссудативном перикардите тот имеет характерный внешний вид - отечное лицо, вздутые вены на шее, бледная кожа с цианозом, сглаживание межреберных промежутков. При аускультации пациента с экссудативной формой тоны сердца приглушены, а при сухом перикардите обнаруживается крепитация - шум от трения листков околосердечной сумки.

- (иммунологический и биохимический). Помогают уточнить причину и характер воспаления.
- ЭКГ. Для перикардитов характерен подъем сегмента ST.
- ФКГ (фонокардиография). Выявляет систолический и диастолический шумы, приглушенные тоны сердца и тахикардию.
- Рентгенография. Проводится при подозрении на экссудативный перикардит. На снимке будет увеличение размеров сердца и изменение его формы (при остром процессе тень будет шаровидной, а при хроническом - треугольной).
- КТ, МРТ и МСКТ сердца. Покажут кальцификацию и утолщение перикарда, выявят спаечный процесс.
- Эхокардиография с допплерографией сосудов. Они позволяют оценить объем скопившейся жидкости и степень угнетенности сократительной способности сердца. При исследовании также можно увидеть спайки и участки утолщения перикарда.
- Диагностическая пункция перикарда. Выполняется при экссудативной форме заболевания. Врач проводит забот выпота для исследования (цитологического, биохимического, иммунологического и бактериологического).
Лечение
Терапия зависит от клинической формы заболевания и его причин. Основная помощь пациенту заключается в симптоматической терапии - приеме анальгетиков, нестероидных противовоспалительных средств и препаратов калия. Дополнительно назначают лекарства, которые нормализуют процессы метаболизма в миокарде.
- при экссудативном перикардите, развившемся на фоне инфекции, пациенту показан прием антибиотиков;
- при перикардите туберкулезного генеза больному назначают 2-3 противотуберкулезных препарата;
- при выявлении опухолевого процесса выполняют дренирование и в перикардиальную полость вводят цитостатики;
- при гемоперикардите также необходимо дренирование для аспирации крови и введения фибринолитиков.
Хирургическую операцию на перикарде проводят больным с констриктивной формой заболевания. В ходе субтотальной перикардэктомии выполняют резекцию рубцово-измененных участков околосердечной сумки и спаек.
Информацию из данного раздела нельзя использовать для самодиагностики и самолечения. В случае боли или иного обострения заболевания диагностические исследования должен назначать только лечащий врач. Для постановки диагноза и правильного назначения лечения следует обращаться к Вашему лечащему врачу.
Для корректной оценки результатов ваших анализов в динамике предпочтительно делать исследования в одной и той же лаборатории, так как в разных лабораториях для выполнения одноименных анализов могут применяться разные методы исследования и единицы измерения.
Перикардит: причины появления, симптомы, диагностика и способы лечения.
Определение
Перикардит - это воспаление серозной оболочки сердца - перикарда. Перикард представляет собой околосердечную сумку, которая окружает сердце и начальные отделы магистральных сосудов. Он состоит из двух листков - висцерального, который прилежит к сердечной мышце (висцеральный листок перикарда еще называют эпикардом), и париетального. Толщина листков перикарда в норме составляет 1-2 мм. Между ними находится полость перикарда, которая содержит 15-35 мл перикардиальной жидкости. Перикард обеспечивает возможность свободного изменения величины, положения и конфигурации сердца, «смазывает» сердце при сокращении, препятствует чрезмерному растяжению сердечной мышцы во время физической нагрузки или при увеличении объема циркулирующей крови, защищает от инфекционных агентов.

Перикардит - наиболее распространенное заболевание перикарда в клинической практике. Частота острого перикардита составляет примерно 27,7 случаев на 100 000 человек в год. Риск заболеть перикардитом выше у мужчин в возрасте 16-65 лет.
Причины возникновения перикардита
Поражение перикарда может обнаруживаться при инфекционных, аутоиммунных, неопластических, метаболических заболеваниях, травмах и в результате медицинского вмешательства (ятрогенные перикардиты). Инфекционные перикардиты могут вызывать вирусы (энтеровирусы, вирусы герпеса, аденовирусы), бактерии (чаще всего микобактерии туберкулеза), реже грибки (гистоплазмы) и очень редко паразиты (эхинококки, токсоплазмы).
К неинфекционным причинам перикардитов относятся аутоиммунные и аутовоспалительные заболевания (системная красная волчанка, ревматоидный артрит, синдром Шёгрена, склеродермия), системные васкулиты, саркоидоз и др. Перикардиты могут стать следствием неопластических процессов - первичных опухолей (мезотелиома) и вторичных, например, при метастазах рака легкого и молочной железы.
Метаболические состояния, лежащие в основе возникновения перикардитов, - уремия (синдром, при котором в результате почечной недостаточности происходит интоксикация организма из-за накопления токсических веществ в крови), анорексия, микседема (крайняя форма гипотиреоза). Перикардит нередко развивается как осложнение амилоидоза, диссекции аорты, легочной артериальной гипертензии, хронической сердечной недостаточности.
Повреждения околосердечной сумки с развитием перикардита могут наблюдаться как результат прямого ранения или непрямого повреждения (непроникающего повреждения грудной клетки, радиации), ятрогенной травмы (в ходе проведения чрескожного вмешательства на коронарных артериях, внедрения электрода водителя ритма, в результате радиочастотной аблации), после инфаркта миокарда.
Редко к поражениям перикарда приводит употребление лекарственных препаратов.

Классификация заболевания
В полости перикарда могут накапливаться невоспалительные выпоты:
- гидроперикард с накоплением жидкости - возникает при застойной сердечной недостаточности, циррозах печени, нефротическом синдроме, при микседеме, нарушениях оттока лимфы;
- гемоперикард с накоплением крови - при разрывах сердца в результате инфаркта, установки кардиостимулятора, при расслоении восходящего отдела аорты, при передозировке антикоагулянтов и др.;
- пневмоперикард, пневмогидроперикард с попаданием воздуха в околосердечную сумку - при свищах, разрывах, в результате медицинских манипуляций;
- хилоперикард с накоплением лимфы - при разрыве грудного лимфатического протока.
Острый перикардит - это воспалительное поражение перикарда с выпотом или без выпота в его полость. В начале заболевания может отмечаться повышение температуры тела (у пожилых и ослабленных пациентов лихорадка нередко отсутствует), слабость и боль в мышцах. В покое и при изменении положения тела отмечается одышка. Отмечены случаи появления сухого кашля, перебоев в работе сердца или учащенного сердцебиения, тошноты, рвоты, озноба.
Примерно в 85-90% случаев острый перикардит сопровождается болью за грудиной, ослабевающей в положении сидя с наклоном вперед. Иногда боль напоминает стенокардическую (отдает в левую руку или лопатку) или при плеврите (имеет колющий характер, усиливается на вдохе или при кашле). Боль при перикардите усиливается во время движения, в положении на спине, при глотании. Интенсивность боли может быть от незначительной до очень сильной, как при инфаркте миокарда. Когда в полости перикарда накапливается выпот, боль уменьшается или может даже исчезнуть.
Накопление большого объема выпота может привести к сдавлению сердца - тампонаде. При быстром развитии тампонады больной испытывает возбуждение или, наоборот, впадает в ступор. Набухают вены шеи, конечности становятся холодными, понижается давление, пульс учащается. При медленном развитии тампонады сердца основной жалобой является одышка даже при минимальной нагрузке и боли в сердце. При хроническом течении отмечается анорексия, выраженная слабость, утомляемость.
В результате перенесенного вирусного перикардита, операции на сердце и ряда других причин может развиться констриктивный перикардит. В этом случае наблюдается утолщение и сращение листков перикарда (в 50% случаев с кальцинацией), что приводит к сдавлению камер сердца. При констриктивном перикардите развиваются одышка во время ходьбы, слабость, неспособность к физическим нагрузкам, тяжесть и боль в правом подреберье, метеоризм, запоры. Позднее снижается аппетит, человек теряет вес, развиваются отеки, накапливается жидкость в брюшной полости - появляется асцит.
Диагностика перикардита
Для диагностики перикардита используют следующие методы:
- общий анализ крови с определением числа лейкоцитов и СОЭ;
Синонимы: Общий анализ крови, ОАК. Full blood count, FBC, Complete blood count (CBC) with differential white blood cell count (CBC with diff), Hemogram. Краткое описание исследования Клинический анализ крови: общий.

Перикардит - это воспалительное заболевание тканевой оболочки сердца (перикарда), инфекционной или неинфекционной природы.
Перикард состоит из наружного и внутреннего листков, между которыми в норме содержится небольшое количество жидкости. Жидкость нужна для облегчения трения при сокращении сердечной мышцы.
Перикардит способен выступать самостоятельным изолированным заболеванием или быть осложнением заболеваний других органов и систем.

Причины развития перикардита
- инфекционные (бактерии, вирусы, грибки, простейшие и др.),
- неинфекционные (аллергические заболевания, системные заболевания соединительной ткани, некоторые заболевания крови, нарушения обмена веществ, травмы, воздействие радиации, лечение некоторыми гормональными препаратами, онкологические заболевания ).
Встречаются идиопатические перикардиты (случаи заболевания перикардитом, когда причину воспаления установить невозможно).
В развитии перикардита играет большую роль изменение состава или количества перикардиальной жидкости под влиянием вышеперечисленных факторов.
Симптомы перикардита
Симптомы перикардита бывают сердечными и общими, степень и выраженность симптомов зависят от формы и стадии заболевания.
Основной сердечный симптом - боль в сердце, ощущается в 90% случаев. Боль обычно локализуется за грудиной или в левой половине грудной клетки, может отдавать в левую руку. Интенсивность боли различна: от почти незаметной до крайне острой, инфарктоподобной. Характер и интенсивность боли меняется в зависимости от положения тела. Боль уменьшается в положении лежа на правом боку с подтянутыми к груди ногами, при наклоне вперед. Происходит это потому, что в таком положении при сокращениях сердца воспаленные стенки сердечной сумки меньше соприкасаются. Боль усиливается при кашле, глубоком вдохе, лежа на спине. При некоторых видах перикардита боли может не быть совсем. Другой частый симптом - появление недостаточности кровообращения (одышка при напряжении и в покое, отеки )
К общим симптомам относят:
- слабость;
- потливость;
- утомляемость отсутствие или снижение аппетита;
- повышенная температура.
Если перикардит развился как осложнение другого заболевания, на первом плане могут присутствовать симптомы поражения других органов и систем.
Виды и формы перикардита
- Острый перикардит - до 1-2 месяцев от начала заболевания. Виды острого перикардита: экссудативный (выпотной), фибринозный (сухой).
- Подострый перикардит - от 2 до 6 месяцев от начала заболевания. Виды подострого перикардита: экссудативный (выпотной); адгезивный (слипчивый); констриктивный (сдавливающий).
- Хронический перикардит - более 6 месяцев от начала заболевания. Виды хронического перикардита: экссудативный (выпотной); адгезивный (слипчивый); констриктивный (сдавливающий); сдавливающий перикардит с кальцификацией («панцирное сердце»).
Экссудативный перикардит.
В результате воспалительного процесса происходит накопление большого количества жидкости в полости перикарда. Жидкость может содержать различные клеточные элементы и вещества, в зависимости от их наличия экссудативный перикардит делиться на некоторые подвиды (гнойный, геморрагический, уремический и т.д.).
Если выпот накапливается очень быстро, наружный листок перикарда не успевает растягиваться, происходит сдавливание камер сердца, резко падает сердечный выброс, развивается острая сердечно- сосудистая недостаточность. Этот процесс называется тампонадой сердца. Тампонада сердца - жизнеугрожающее состояние, требует экстренной госпитализации и лечения.
Если жидкость в полости перикарда накапливается медленно, успевает растянуться внешний листок перикарда, сдавливания стенок сердца и нарушения его работы не происходит. В полости перикарда может накапливаться более 1 литра жидкости. Увеличенная сердечная сумка иногда мешает нормальному функционированию расположенных рядом органов (пищевод, трахея, легкие, возвратный нерв), что проявляется нарушениями глотания, кашлем, осиплостью голоса и другими симптомами.
Фибринозный перикардит.
В перикардиальной полости образуется жидкость (воспалительный выпот), содержащая фибриноген. Часть жидкости отсасывается через лимфатические сосуды, но волокна фибрина оседают на листках сердечной сумки, ограничивая их движение.
Адгезивный перикардит.
При адгезивном перикардите в результате воспалительного процесса на листках перикарда разрастается соединительная ткань, образующая спайки.
Констриктивный перикардит.
При констриктивном перикардите в результате воспалительного процесса вся полость сердечной сумки заполняется рубцовой тканью, вызывая сдавление сердечных камер и нарушая функцию сердца.
Сдавливающий перикардит с кальцификацией («панцирное сердце»).
При «панцирном» сердце в результате воспалительного процесса листки перикарда уплотняются, спаиваются между собой, в них откладывается кальций. Жесткая и малоподвижная сердечная сумка нарушает работу сердца.

Диагностика и лечение перикардитов
Перикардит - заболевание очень «хитрое», в силу своих неспецифичных, на взгляд непрофессионала, симптомов и «маскировки» под некоторые другие заболевания. При подозрении на перикардит обязательна консультация кардиолога. При бессимптомном или малосимптомном течении перикардита диагностика заболевания затруднена. Залог корректного и эффективного лечения - качественная диагностика.
Очень важно, провести все необходимые исследования в максимально быстрые сроки. Может понадобиться:
- анализ крови (клинический, биохимический, иммунологический) - есть ли в крови признаки воспаления; - видно количество жидкости в перикардиальной полости; ; ;
- КТ грудной клетки;
- в некоторых случаях диагностическая пункция или биопсия перикарда.

Часто назначаются дополнительные исследования для уточнения причин перикардита.
Правильно интерпретировать результаты обследования и выработать схему лечения может только опытный врач. При грамотном, своевременном лечении прогноз, как правило, благоприятный. Методы лечения перикардита очень разные и зависят от его природы, течения, сопутствующих заболеваний. Лечение может быть как медикаментозное, так и хирургическое (пункция перикарда, биопсия перикарда, хирургическое лечение рубцов).
Показывает ли МРТ онкологию
Все клиники сети ЦМРТ оснащены современным высокоточным оборудованием. МРТ и другие виды диагностики проводят опытные и квалифицированные специалисты.
Консультация специалиста после диагностики со скидкой 50%.

Магнитно-резонансная томография играет важную роль в обнаружении опухолевых процессов различной локализации. Высокая детализация внутренних структур позволяет выявить рак на ранней стадии, что важно для прогноза. Лечением опухолевой патологии занимается онколог.
Можно ли на МРТ увидеть рак? Магнитно-резонансное сканирование особенно эффективно при обнаружении некоторых типов опухолей головного и спинного мозга, первичных новообразований костей, сарком мягких тканей. При раке шейки матки, мочевого пузыря МР-исследование лучше, чем КТ показывает, насколько глубоко новообразование проникло в соседние структуры, является ли ткань опухолевой или рубцовой.
Рассказывает специалист ЦМРТ
Дата публикации: 10 Ноября 2021 года
Дата проверки: 30 Ноября 2021 года
Содержание статьи
Показывает ли МРТ рак?
Пациенту с подозрением на онкологический процесс МРТ назначают в качестве первичной диагностики, для определения стадии рака, измерения кровотока. Результаты сканирования помогают онкологам планировать лечение — например, хирургическое вмешательство или лучевую терапию, своевременно выявить рецидив: продолженный рост опухоли, метастазирование.
"МРТ — высокочувствительный метод, основанный на анатомической и функциональной информации, поэтому он часто выявляет злокачественные изменения, которые не проявляются в клинических тестах или плохо определяются другими методами визуализации. Таким образом, МРТ является лучшим инструментом для обнаружения и оценки опухоли на начальной стадии заболевания."
Marcos Fernando de Lima Docema, Paulo Aguirre Costa, Felipe Eduardo Martins de Andrade etc. Magnetic resonance imaging-guided occult breast lesion localization and simultaneous sentinel lymph node mapping. World Journal of Surgical Oncology, №12, 2014
Как выглядит злокачественная опухоль на МРТ
По снимкам можно предположить зло- или доброкачественный потенциал новообразования, окончательная верификация диагноза подразумевает биопсию. Косвенные признаки, свидетельствующие об озлокачествлении:
- размытость контура, отсутствие визуализации четкой границы между опухолью и соседними тканями
- неоднородность структуры: очаги некроза, множественные кисты, отложение кальция и пр
- избыточное развитие сосудистой сети, множественные анастомозы, явная задержка контрастного вещества
- перифокальный отек в виде размытого ореола вокруг очагового образования, зоны некроза (омертвения)
- пораженные лимфатические узлы — опухолевая лимфаденопатия
Как выглядят метастазы на МРТ
Видны ли метастазы на МРТ, зависит от их размеров: МР-изображения показывают очаги более 1,5-2 мм, меньшие отсевы опухоли обнаруживает ПЭТ-КТ.
На снимках метастазы выглядят, как очаговые неоднородные образования, единичные или множественные, с тенденцией к слиянию, может присутствовать зона некротизации. Пораженный лимфатический узел чаще округлой формы, увеличен в размерах. Для лучшей визуализации используют контрастное вещество на основе солей гадолиния.
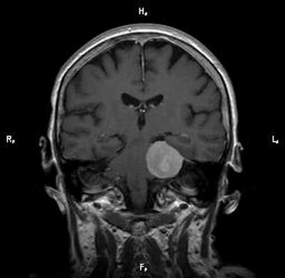
Пациент Р. 62 лет
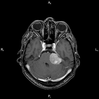
Проблема: жалобы на частые головные боли, снижение слуха (левое ухо), а также шум в ушах (больше слева). Пациент был направлен на МРТ головного мозга в ЦМРТ с целью уточнения диагноза.
Диагноз: Онкология. Менингиома мосто-мозжечкового угла
Врач ЦМРТ
При МРТ головного мозга в левом мосто-мозжечковом углу определялось больших размеров округлой формы внемозговое патологическое образование, с четкими ровными контурами, широким основанием, прилежащее к твердой мозговой оболочке. После внутривенного контрастирования отмечалось равномерное, выраженное усиление интенсивности МР-сигнала от вышеописанного образования, а также твердой мозговой оболочки. Пациенту был поставлен диагноз (менингиома левого мосто-мозжечкового угла).


Какая МРТ покажет онкологию?
Для получения диагностически ценных результатов необходимо пройти обследование на оборудовании экспертного класса с напряженностью магнитного поля 1,5-3,0 Тесла. Наиболее информативна — мультипараметрическая МРТ. Если нет противопоказаний — аллергии на гадолиний, продвинутой стадии почечной недостаточности — магнитно-резонансную томографию в онкологической практике выполняют с контрастированием.
Особенности проведения МРТ при онкологии
Диагностическая процедура безболезненна и обычно длится 30-60 минут, в зависимости от области интереса. Особенной подготовки не требуется. Важно информировать врача о перенесенных операциях, установленном оборудовании: кардио-, мио-, нейростимуляторах, постоянных протезах, помпах для подачи лекарств, металлических имплантатах и пр.
Не забудьте взять с собой результаты ранее выполненных исследований, выписки из стационара, заключение онкоконсилиума.
Описание МРТ- снимка в ЦМРТ
В сети клиник ЦМРТ при неоднозначных результатах магнитно-резонансной томографии можно получить услугу “Второе мнение”: сделанные ранее снимки опишет опытный рентгенолог без учета имеющегося заключения. Мера позволяет уточнить диагноз. В сложных случаях данные анализируют коллегиально.
Читайте также:
- Топография и характеристика оболочек головного мозга
- Какой макияж актуален осенью? Модный осенний макияж
- Лимфатическая система плода. Нервная система эмбриона
- Клинические проявления отека головного мозга. Признаки отека мозга. Клиника отека мозга. Общемозговой синдром.
- Альвеолярные макрофаги в легких. Клетки Купфера печени
