Диагностика опухоли паренхимы эпифиза промежуточной дифференцировки по КТ, МРТ
Добавил пользователь Евгений Кузнецов Обновлено: 21.11.2025
Опухоли паренхимы шишковидной железы (ОПШЖ) развиваются из предшественников пинеалоцитов (клеток с фоточувствительной и нейроэндокринной функциями) разной степени дифференцировки. Для них характерна локализация в пинеальной области (задние отделы III желудочка). ОПШЖ составляют порядка 14-30% всех опухолей пинеальной области (другую большую группу этой локализации составляют герминативноклеточные опухоли (см. Опухоли ЦНС герминативноклеточные).
Классификация: выделяют три типа опухолей • Пинеоцитома (ВОЗ-2) — медленно растущая опухоль, состоящая из зрелых пинеалоцитов. Составляет примерно 45% всех ОПШЖ. Одинаково часто выявляют у мужчин и женщин, пик заболеваемости приходиться на возраст 25-30 лет • Пинеобластома (ВОЗ-4) — высокозлокачественная опухоль, состоящая из низкодифференцированных клеток пинеоцитарного ряда. Составляет примерно 45% всех ОПШЖ. По своим биологическим свойствам и агрессивности весьма схожа с супратенториальной примитивной неэйроэктодермальной опухолью (см. Опухоли ЦНС эмбриональные), в частности, обладает тенденцией к метастазированию по субарахноидальным пространствам. Опухоль выявляют преимущественно в детей, хотя описаны случаи возникновения практически в любом возрасте. Несколько чаще развивается у лиц мужского пола • Опухоль паренхимы шишковидной железы промежуточной дифференцировки (ВОЗ-3) характеризуется наименее предсказуемым течением. Составляет примерно 10% всех ОПШЖ. Чаще развивается у взрослых.
Анатомическая локализация: пинеальная область (задние отделы III желудочка, область четверохолмной цистерны).
Клиническая картина: зависит как от локализации опухоли, так и от её гистологического типа. Характерны симптомы окклюзионной гидроцефалии и среднемозговой синдром (глазодвигательные нарушения). Для медленно растущей пинеоцитомы характерны медленное нарастание выраженности симптоматики, длительное относительно удовлетворительное самочувствие пациента; для пинеобластомы — быстрое прогрессирование заболевания и ухудшение неврологического статуса. Множественная неврологическая симптоматика (в т.ч. и спинальная) развивается при метастазировании опухоли по субарахноидальным пространствам.
Диагностика: МРТ с контрастным усилением — стандартное исследование при опухолях этой локализации. При пинеоцитоме обнаруживают небольших размеров округлое образование в пинеальной области, с чёткими границами, активно и гомогенно накапливающее контраст и вызывающее компрессию пластинки четверохолмия. Для пинеобластомы характерны все признаки злокачественной быстро прогрессирующей опухоли (инфильтративный характер роста, гетерогенный сигнал с признаками некроза и кровоизлияний, большие размеры, субарахноидальные метастазы).
Лечение зависит от гистологического диагноза • Пинеоцитома — радикальное удаление опухоли • Пинеобластома — резекция опухоли (максимально радикальная, но не в ущерб неврологическому статусу пациента) в сочетании с лучевой терапией. При необходимости проводят шунтирующую операцию или эндоскопическую вентрикулостомию III желудочка. Эффективность химиотерапии не доказана • При ОПШЖ промежуточной дифференцировки лечебная тактика аналогична таковой при пинеобластоме.
Прогноз. При пинеоцитоме радикальное хирургическое удаление опухоли приводит к излечению пациента. При субтотальном/частичном удалении 5-летняя выживаемость составляет 86%. При комплексном лечении пинеобластомы 1, 3 и 5-летняя выживаемость составляет 88%, 78% и 58% соответственно. Прогноз при ОПШЖ промежуточной дифференцировки наименее предсказуем, но ближе к таковому при пинеобластоме.
Сокращения: ОПШЖ — опухоли паренхимы шишковидной железы
Синоним. Аденома шишковидного тела
МКБ-10 • C71 Злокачественное новообразование головного мозга • D33 Доброкачественное новообразование головного мозга и других отделов центральной нервной системы
Код вставки на сайт
Опухоли паренхимы шишковидной железы
Опухоль эпифиза
Опухоль эпифиза — доброкачественное или злокачественное новообразование области шишковидной железы. Клинически проявляется симптомами гидроцефалии, глазодвигательными расстройствами, мозжечковыми нарушениями, признаками поражения гипоталамуса, гипогонадизмом или преждевременным пубертатом. Диагностировать опухоль эпифиза помогает неврологический и офтальмологический осмотр, эхоэнцефалография, КТ или МРТ головного мозга, церебральная ангиография, исследование спинномозговой жидкости и вентрикулография. Лечение может быть проведено хирургическим способом, методом радиохирургии, путем лучевой терапии или системной химиотерапии. Зачастую оно сводится к сочетанию нескольких указанных методов.

Общие сведения
Эпифиз, или шишковидная железа, представляет собой железистое образование длиной до 12 мм и шириной до 8 мм. Располагается между мозговыми полушариями сразу за III желудочком над задней частью среднего мозга в непосредственной близи от сильвиева водопровода — канала, соединяющего полости III и IV желудочков. Секрет эпифиза носит название мелатонин. В него входит целая группа веществ, обуславливающих тормозящие воздействия эпифиза на различные железы внутренней секреции: половые железы, щитовидную железу, секрецию гонадо- и соматотропного гормонов гипофиза. Исследования показали, что секреторная активность эпифиза варьирует в зависимости от степени освещенности. В связи с этим, предполагают, что основной функцией шишковидной железы является синхронизация работы эндокринного аппарата соответственно суточному ритму, тесно связанному с изменениями освещенности.
Опухоль эпифиза — редко встречающееся новообразование. На ее долю приходится всего 1% от всех опухолей ЦНС у взрослых. У детей новообразования шишковидной железы встречаются чаще и составляют по различным данным до 8% внутричерепных опухолей. Пик диагностирования опухоли эпифиза приходится на возраст от 10 до 18 лет. Однако она может встречаться и у пожилых пациентов.
Классификация опухолей эпифиза
Все новообразования шишковидной железы классифицируют на 3 вида: герминомы, пинеаломы и глиомы. Наиболее часто встречается герминома (тератома) — опухоль эпифиза, возникающая из герминативных клеток, в ходе эмбриогенеза не занявших свое нормальное расположение в семенниках и яичниках. По своему строению герминома сходна с новообразованиями, берущими начало в герминативных клетках половых желез (герминогенными опухолями яичников, хориокарциномой, эмбриональным раком яичка). В 20% случаев опухоль эпифиза развивается непосредственно из клеток его паренхимы. Такое новообразование получило название пинеалома. Доброкачественная пинеалома (пинеоцитома) представляет собой отграниченный узел, медленно увеличивающийся в размере. Злокачественная пинеалома (пинеобластома) отличается агрессивным ростом. Глиомы эпифиза составляют около четверти всех его опухолей. Они начинается из глиальных клеток эпифизарной области, отличается интенсивным инфильтративным ростом без склонности к метастазированию.
Симптомы опухоли эпифиза
Одним из наиболее ранних симптомов является головная боль с характерной для повышенного внутричерепного давления тошнотой и рвотой на пике цефалгии. В ее основе лежит окклюзионная гидроцефалия, связанная с тем, что опухоль эпифиза сдавливает сильвиев водопровод и блокирует циркуляцию ликвора. Внутричерепная гипертензия сопровождается типичной картиной отека сосков зрительных нервов при офтальмоскопии. Со временем может наблюдаться ухудшение зрения из-за постепенной атрофии зрительных нервов.
Другие проявления, сопровождающие опухоль эпифиза, зависят от направления ее роста и распространения опухолевого процесса. Поражающее воздействие опухоли на ткани мозжечка обуславливает появление шаткости, двигательной дискоординации, мышечной гипотонии и тремора. Давление опухоли на верхние бугорки четверохолмия приводит к возникновению пареза взора кверху и конвергирующего нистагма (синдром Парино). Возможно косоглазие, двусторонний птоз, диплопия. В отдельных случаях манифестируют гипоталамические симптомы: анорексия или булемия, расстройство терморегуляции. Может наблюдаться несахарный диабет, ожирение, гиперсомния. Если опухоль эпифиза распространяется на турецкое седло, в клинике наблюдаются признаки, типичные для опухоли гипофиза.
Преждевременное половое созревание, связанное с уменьшением гонадотормозящего влияния эпифиза, отмечается менее, чем в 10% случаев. Ряд специалистов в области неврологии и эндокринологии считает, что подобные клинические случаи обусловлены сдавлением и разрушением клеток шишковидной железы растущей опухолью, в то время как в других случаях, по-видимому, происходит дополнительная секреция мелатонина клетками новообразования, приводящая к гипогонадизму.
Диагностика
Слабая выраженность клинических симптомов, дебют заболевания с широко распространенного синдрома внутричерепной гипертензии, отсутствие патогномоничных очаговых симптомов, медленное нарастание клиники — все это не способствует ранней диагностике новообразований шишковидной железы. Неврологический осмотр может выявить глазодвигательные нарушения, признаки мозжечковой атаксии, гипоталамический синдром. Осмотр офтальмолога определяет отек дисков зрительных нервов. При проведении Эхо-ЭГ могут быть получены данные о смещении М-эхо. Исследование цереброспинальной жидкости, взятой путем люмбальной пункции, выявляет повышенное содержание белка и цитоз. В ликворе, как и в крови, обычно определяется увеличение содержания бета-ХГЧ и альфафетопротеина (АФП).
Наиболее информативным методом обследования выступает МРТ головного мозга. Послойные срезы мозговых тканей позволяют сориентироваться в размерах, месторасположении и распространенности опухолевого процесса. При отсутствии возможности проведения МРТ ее может заменить МСКТ или КТ головного мозга. По рекомендации нейрохирурга для оценки распространения опухоли на сосуды и в желудочки мозга возможно проведение церебральной ангиографии или МР-ангиографии, вентрикулографии.
Лечение и прогноз
При всех видах опухолей шишковидной железы предпочтительным методом лечения является хирургический. Удаление опухолей эпифиза проводится путем трепанации черепа. Доступ к этой области мозга сильно затруднен и имеет высокий риск осложнений (по некоторым данным послеоперационная летальность достигает 60-70%). Интраоперационно проводится забор и гистологический анализ тканей новообразования. При выявлении злокачественного характера опухоли назначается радиотерапевтическое адъювантное лечение. Удаление небольших опухолей возможно методом стереотаксической радиохирургии — сочетанным радиактивным воздействием на опухоль множества лучей, каждый из которых несет невысокую дозу, практически безопасную для тканей, через которые он проходит. При распространенном характере опухоли эпифиза возможно комбинированное лечение — сочетание нескольких сеансов радиохирургии с курсом лучевой терапии.
К сожалению, в большинстве случаев пациенты обращаются к неврологу, когда опухоль эпифиза достигает неоперабельной стадии. Как правило, им рекомендуется лучевая терапия. Наиболее радиочувствительны герминомы эпифиза. Длительность курса может составлять от 5 до 35 сеансов, в среднем в неделю рекомендуется 5 сеансов. Сроки и количество повторных курсов определяется клинической картиной и результатами контрольных томограмм. При невозможности проведения лучевой терапии из-за больших размеров образования прибегают к системной химиотерапии. После уменьшения объема опухоли возможна радиотерапия. В отдельных случаях облучение входит в предоперационное лечение и направлено на сокращение размеров опухоли.
В качестве паллиативных мер для снятия ликворного блока и уменьшения гидроцефалии, применяют шунтирующие операции с созданием альтернативных путей оттока цереброспинальной жидкости.
Прогноз определяется операбельностью и гистологическим типом эпифизарного новообразования. При обширном разрастании даже доброкачественная опухоль эпифиза представляет угрозу для жизни пациента. Отдельные статистические сведения говорят о 85% 5-летней выживаемости при своевременно проведенном лечении гермином эпифиза. Пинеобластомы имеют неблагоприятный прогноз, обусловленный их быстрым распространением с разрушением важных церебральных структур.
"Солидные опухоли поджелудочной железы и их диагностика "
Дифференциальная диагностика опухолей поджелудочной железы вызывает определённые сложности. И виной тому - многообразие причин, в том числе вызывающих однотипные проявления и симптоматику на компьютерных томограммах.
Здесь и сейчас речь пойдёт о солидных опухолях поджелудочной железы и их диагностике.
Что такое опухоли ПЖ (поджелудочной железы) солидной структуры? Ими могут быть: протоковая аденокарцинома, солидно-псевдопапиллярная опухоль, нейроэндокринные опухоли, метастазы в поджелудочную железу, а также хроническое воспаление, имитирующее опухоли.
Протоковая аденокарцинома поджелудочной железы
Что это? Самая частая из опухолей ПЖ. Известно, что она вызывает расширение дистальных отделов главного панкреатического протока (вернее, протока, расположенного дистальнее опухоли).
УЗИ, МРТ и КТ в диагностике протоковой аденокарциномы
Как проводить диагностику? Во время УЗИ брюшной полости ищем расширение общего желчного протока и главного панкреатического протока.
Как выглядит протоковая аденокарцинома на МРТ? Если проводится КТ или МРТ-диагностика, то расширенный проток при диаметре более 3 мм лучше всего видно при МРПХГ. При размерах опухоли более 2 см, она может деформировать контур железы (впрочем, это относится к любой очаговой патологии железы). Помним, что хвост-тело-головка ПЖ или равны в диаметре друг другу, или хвост самый тонкий. Наоборот быть не может.
Если хвост толще тела - ищем патологию! То, что раньше называли некрозом опухоли, в настоящее время, когда можно применить контрастное усиление, оказывается соединительной тканью в структуре опухоли, которая накапливает контрастное вещество (лучше всего, в отсроченную фазу). Если «зона некроза» контрастировалась - стала не видна, то это не некроз, а соединительная ткань. Настоящий некроз, естественно, свою плотность не меняет.
Идеальным является вариант диагностики высокодифференцированной протоковой аденокарциномы. Соединительной ткани в изобилии, в артериальную фазу она не успевает контрастироваться на фоне очень хорошо кровоснабжаемой паренхимы ПЖ, и отчетливо видна.
Пока нет однозначной трактовки, но уже есть работы, указывающие, что низкодифференцированные раки плохо видны в артериальную фазу (не видны границы, а значит мы можем ошибиться как в выявлении опухоли, так и определении её размеров). Не нашли опухоль, которая должна быть - не ваша вина, вся проблема в морфологии опухоли. При «невидимой» опухоли вероятность низкодифференцированного рака очень высока. Так ли это важно - наши рассуждения относительно дифференцировки опухоли?
Очень! Потому что прогноз при низкодифференцированных раках хуже. Что влияет на прогноз? Если опухоль в пределах ткани поджелудочной железы - это благоприятный фактор. Опухоль вышла за границы органа - ищем признаки инвазии в магистральные сосуды. Сосудов вокруг ПЖ много, но не все они равнозначны с точки зрения прогноза резектабельности опухоли. Важны чревный ствол и его ветви и верхняя брыжеечная артерия. Если опухоль их не проросла - шанс на успех есть.
Бывает, что после исследования мы выполняем трехмерную реконструкцию артерий, и видим - имеется дополнительная артерия, компенсирующая кровоток, который идет по артерии, вовлеченной в опухоль. И это улучшает прогноз. При такой картине, несмотря на кажущуюся нерезектабельность опухоли, можно выполнить операцию.
Отдаленные метастазы на МРТ и КТ
И последнее, что рассмотрим - отдаленные метастазы. Традиционно ищем их в печени (оцениваем все фазы контрастного усиления). Но помним - на то они и «отдаленные». Метастазы гематогенные, а значит, с током крови опухолевые эмболы могут оказаться в любом органе.
В идеале, перед операцией каждому пациенту следует выполнять ПЭТ/КТ и искать зоны «свечения».
Заканчиваем исследование и описание протокола дифференциальным рядом - о нем читаем здесь.
Пинеалома
Пинеалома (pinealoma, пинеоцитома, аденома шишковидного тела) - чаще доброкачественная опухоль головного мозга, исходящая из паренхимы шишковидного тела (эпифиза).
Патогенез (что происходит?) во время Пинеаломы:
Опухоль представляет собой плотный узел серо-красного цвета. Наиболее характерным для астроцитомы является медленный, инфильтративный рост. Часто встречается злокачественная форма - пинеобластома.
Локализуется в пинеальной области (задние отделы III желудочка, область четверохолмной цистерны). Развитие пинеаломы может быть связано с распространением пинеалоцитов, астроцитов или геноцитов.
распространением пинеалоцитов, астроцитов или геноцитов.
Различают следующие виды пинеалом
- Пинеоцитома II степени. Растут медленно, чаще возникают у взрослых в возрасте 25-35 лет.
- Пинеобластома IV степени. Злокачественная опухоль, встречается редко, в основном возникают у детей.
- Опухоль паренхимы шишковидной железы промежуточной дифференцировки III степени. Практически не предсказуемое течение. Составляет около 10% всех ОПШЖ, обычно диагностируется у взрослых.
Симптомы Пинеаломы:
Чаще встречается в детском возрасте, преимущественно у мальчиков.
Симптомы опухоли разнообразны, они зависят от возраста и места ее расположения. Наиболее частыми симптомами этого заболевания являются:
- головные боли;
- тошнота и рвота;
- потеря равновесия и затрудненная ходьба;
- нарушение письма, замедленная речь;
- припадки;
- слабость, сонливость;
- снижение или увеличение веса.
Диагностика Пинеаломы:
Пинеалому диагностируют и удаляют только хирургическим путем. Для обнаружения опухоли делают компьютерную томографию (КТ) и магнитно-резонансную томографию (МРТ). При подозрении на опухоль обязательно проводят биопсию. Для этого вскрывают череп, затем удаляют образец ткани мозга, который изучают под микроскопом на наличие раковых клеток, и если они обнаружены, то удаляется как можно большая часть опухоли.
Лечение Пинеаломы:
Основой лечения астроцитом является хирургическое вмешательство - удаление опухоли. После операции проводят радиотерапию, в случае развития гидроцефалии делают вентрикуло-перитонеальное шунтирование.
Прогноз
При комплексном лечении 3-летняя выживаемость равна 78%, 5-летняя - 58%
К каким докторам следует обращаться если у Вас Пинеалома:
Вас что-то беспокоит? Вы хотите узнать более детальную информацию о Пинеаломы, ее причинах, симптомах, методах лечения и профилактики, ходе течения болезни и соблюдении диеты после нее? Или же Вам необходим осмотр? Вы можете записаться на прием к доктору .
МРТ в диагностике патологий шишковидной железы
Эпифиз (пинеальная или шишковидная железа) - это железа, расположенная между передними бугорками четверохолмной пластинки, соединяющаяся посредством ножки с III желудочком.
Среди заболеваний шишковидной железы, выявляемых при МРТ исследовании, проявляющихся определенной клинической симптоматикой и безсимптомных, большую часть занимают опухоли пинеальной области.
Различают несколько видов новообразования, поражающих эпифиз:
1. Опухоли, исходящие из паренхимы шишковидной железы (пинеоцитомы, пинеобластомы)
Патологические процессы, возникающие в эпифизе, в большей части случаев проявляются преждевременным половым созреванием, что является указанием на эндокринную функцию этого органа.

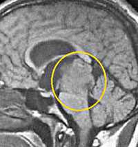
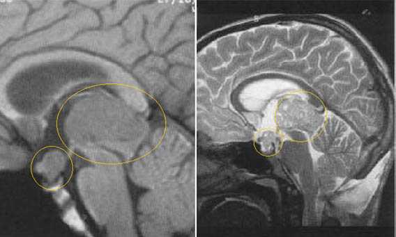
Пинеоцитома. На Т2 ВИ опухоль состоит из двух участков разной интенсивности МР-сигнала: высокой в передних отделах и низкой в задних. Четкость и линейность перехода свидетельствует о кистозном характере строения опухоли. Различия интенсивности МР-сигнала от жидкости в передних и задних отделах опухоли обусловлены эффектом «седиментации» белковых компонентов (вероятнее компонентов крови), опускающихся вниз при положении головы пациента на затылке.

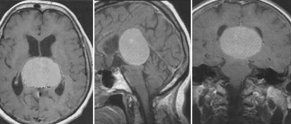
Пинеоцитома. МРТ в режиме Т2 и Т1 выявляется солидного строения опухоль задних отделов III желудочка мозга. На фоне в/в контрастирования определяется выраженный и достаточно гомогенный характер контрастирования опухоли.

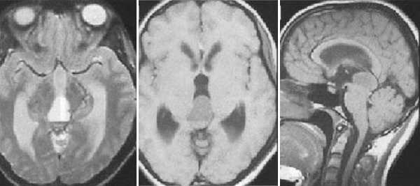
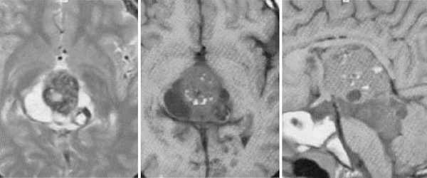
Пинеобластома. В режиме Т2 и Т1 выявляется опухоль задних отделов III желудочка мозга с развитием окклюзионной гидроцефалии. В строме опухоли небольшой участок подострого кровоизлияния. После в/в контрастирования опухоль интенсивно и достаточно гомогенно накапливает контрастирующее вещество.
2. Герминативноклеточные опухоли эпифиза (герминома, тератома, смешанные герминативноклеточные опухоли)
Данные образования развиваются из герминативных клеток, которые в процессе эмбриогенеза не достигли своего нормального местоположения в половых железах и по своей структуре и функции сходны с опухолями, исходящими из клеток семенников и яичников.
Герминативноклеточные опухоли прорастают в стенки III желудочка и гипоталамус, что определяет типичную триаду признаков: гипогонадизм, атрофия зрительных нервов и несахарный диабет.
Кроме того опухоль может сдавливать водопровод мозга, что приводит к развитию окклюзионной гидроцефалии, проявляющейся сильными головными болями, рвотой, нарушением сознания, отеком соска зрительного нерва.
Компрессия бугорков четверохолмной пластинки может вызывать синдром Парино (сочетанный паралич взора вверх), а давление на мозжечок или ствол мозга может проявляться нарушением походки.

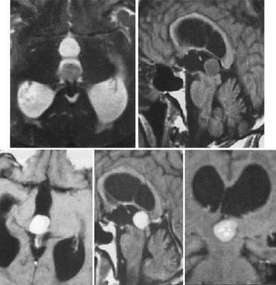
Герминома пинеальной области. На Т2 ВИ опухоль имеет слабо гиперинтенсивный сигнал по сравнению с тканью мозга, тогда как на Т1 опухоль практически изоинтенсивна с мозгом. Желудочковая система гидроцефально расширена. III желудочек деформирован. Четверохолмная пластинка оттеснена кзади.

Герминома пинеальной области. Опухоль имеет гетерогенное строение с множеством мелких и крупных кист. Вокруг опухоли определяется перифокальный отек.
Иногда на первый план в клинической картине выступают гипоталамические симптомы: гиперфагия, анорексия, нарушение терморегуляции.
Герминативноклеточный опухоли эпифиза могут метастазировать в другие области. В некоторых случаях герминомы распространяются в область турецкого седла, проявляясь симтоматикой опухолей гипофиза.

Герминома пинеальной области с метастазированием в хиазмально-селлярную область.

Герминома подкорковых образований слева. Мультикистозного строения опухоль с признаками окклюзии отверстия Монро слева.

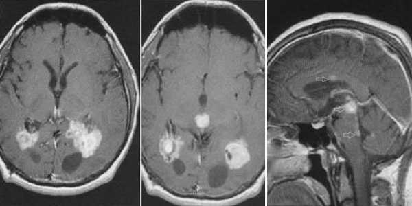
Злокачественная смешанная герминативноклеточная опухоль. В боковых желудочках и пинеальной области определяются множественные опухолевые узлы с выраженным перитуморальным отеком. Внутрижелудочковые образования с признаками кровоизлияний. При в/в контрастировании определяется выраженное контрастирование узлов. Дополнительно визуализируется метастазирование по эпендиме боковых и IV желудочков мозга.
3. Глиальные опухоли шишковидной железы (астроцитома, эпендимома, глиобластома и др.)
Данный тип опухолей исходит из глиальных клеток соседних мозговых структур, таких как таламус, средний мозг, четверохолмная пластинка, валик мозолистого тела, с последующим распространением в пинеальную область.


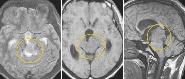
Пиллоидная астроцитома задних отделов III желудочка. Определяется небольших размеров образование с развитием окклюзионной гидроцефалии. Опухоль практически не отличается по сигналам от вещества головного мозга. После в/в контрастирование отмечается усиление МР-сигнала от образование, что позволяет уточнить расположение опухоли, степень компрессии четверохолмной пластинки и водопровода мозга.


Глиобластома зрительного бугра справа. До и после в/в контрастирования определяется объемное образование с некротическим центром и контрастируемой периферической инфильтративной частью. Деформированы задние отделы III желудочка, начальный проявления окклюзионной гидроцефалии.

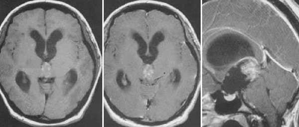
Эпендимома задних отделов III желудочка. Определяется объемное образование в задних отделах шишковидной железы. Передние бугорки четверохолмия оттеснены вниз. Водопровод мозга сдавлен.
4. Смешанные опухоли и неопухолевые образования.

Дермоидная опухоль пинеальной области.

Липома пинеальной области.

Кавернома пинеальной области.

Менингиома пинеальной области.

Киста эпифиза. Компрессия четверохолмной пластинки и частичное сдавление водопровода мозга.
В настоящее время МРТ является главным диагностическим методом, позволяющим дать достаточно полную характеристику патологического процесса, расположенного в пинеальной области.
Полипроекционность исследования - получение изображений в разных плоскостях и трехмерное изображение (3D) помогают определять расположение опухоли по отношению к III желудочку и окружающим тканям, преимущественное направление роста, взаимоотношение с венозными и другими тканевыми образованиями пинеальной области, степень инвазии прилежащего мозгового вещества.
Читайте также:
