Диагностика острой субдуральной гематомы по КТ, МРТ
Добавил пользователь Евгений Кузнецов Обновлено: 22.01.2026
Череп представляет собой соединение нескольких тонких костей между собой. Каждая из них имеет трехслойную структуру - толстая наружная компактная костная ткань - губчатая дипдоидная - тонкая внутренняя компактная костная ткань. К внутренней костной пластинке плотно прилежит твердая мозговая оболочка. Переломы костей черепа происходят вследствие прямого удара и обычно в месте удара. Мозг при травмирующем действии может быть поврежден необязательно в сочетании с переломом костей черепа и необязательно в месте приложения внешней силы. Переломы костей как таковые неопасны для жизни, однако они нередко сопровождаются внутричерепными изменениями - кровоизлияниями, отеком мозга и повреждением вещества мозга. Перелом может быть в любой части черепа, но наиболее тонкие кости, такие как чешуя теменной и височной костей, клиновидный синус и крылья клиновидной кости, повреждаются чаще других. В нейродиагностике нуждается примерно 10% пациентов с ЧМТ и 1% нуждается в хирургическом лечении. Обычно критериями к КТ или МРТ служат меньше 13 баллов по шкале комы Глазго, головные боли и рвота, повторная рвота, утрата сознания (Новоорлеанские критерии и Канадские критерии для КТ), алкогольное опьянение, детский возраст.
Черепно-мозговые травмы (ЧМТ) бывают открытыми и закрытыми. При открытой ЧМТ наблюдается нарушение целостности костей черепа и оболочек мозга.
Переломы костей черепа могут быть линейными, диастатическими (вдоль шва), вдавленными и выпуклыми. Последние встречаются у детей при вовлечении нижележащих оболочек и вещества мозга. При тяжелой ЧМТ частота переломов костей свода черепа доходит до 1,5-2,7%. Тяжелые переломы часто сочетаются с пневмоцефалией, проходят через придаточные пазухи и сочетаются с повреждением мягких тканей головы. Линейные переломы могут визуализироваться уже на топограммах, по которым производится выбор зоны интереса при проведении КТ. По мере заживления линию перелома становится труднее различать. Линейные перелома у детей заживают меньше чем за 3-6 месяцев, в то время как у взрослых от 2 до 3 лет.
Повреждения при закрытой ЧМТ бывают локальными, диффузными и вторичными. К локальным повреждениям при ЧМТ относят оболочечное и внутримозговое кровоизлияние, контузию и прямое повреждение ствола мозга, артерий, гипоталамуса и (или) черепных нервов. Диффузное аксональное повреждение напрямую не коррелирует с силой внешнего воздействия и связано, по-видимому, с ротационным действием. При диффузном аксональном повреждении выявляются кровоизлияния и очаги некроза в мозолистом теле, задних отделах Варолиева моста и, иногда, в глубинных отделах мозга. К вторичным посттравматическим повреждениям относят некроз медиальных отделов (парагиппокампальных) височной доли, локальный инфаркт вследствие компрессии артерии, инфаркт пограничных зон и гипоксические изменения вследствие общей гипотензии, диффузный ишемический некроз в связи с внутричерепной гипертензией, вторичные кровоизлияния в ствол в связи с повышением внутричерепного давления и грыжей через намёт мозжечка.
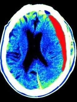
Наибольшей информативностью КТ обладает в диагностике острых кровоизлияний, возникающих вследствие родовой и постнатальной травм. После ЧМТ САК, в отличие от разрывов аневризм, чаще бывают локальными . На КТ можно отчётливо визуализировать скопления крови в межполушарной щели и в прилежащих бороздах, за счет чего определяется увеличение плотности и толщины задних отделов серповидного отростка. На КТ они представляют собой серповидной, иногда плосковыпуклой или неправильную формы полосу измененной плотности. СГ в острой стадии встречаются в 3-5 раз реже САК. СГ обычно распространяются на все полушарие или большую его часть и имеют серповидную форму. Определенные сложности в дифференциации оболочечных гематом вызывают ушибы полушарий мозга, сдавленные гематомой, в связи с чем субдуральная гематома может иметь как вогнутый, так и выпуклый край. Изменение формы СГ от серповидной до двояковыпуклой связывается также с её увеличением в результате повторных кровоизлияний. Субдуральные скопления крови, имеющие большую толщину и локализующиеся в области боковой щели, схожи с эпидуральной гематомой. Форма и распространение эпидуральной гематомы зависит от анатомических взаимоотношений костей черепа и твердой мозговой оболочки, места её локализации и объема излившейся крови. При КТ определяется двояковыпуклая, реже плосковыпуклая зона измененной плотности, прилегающей к своду черепа. СГ имеет ограниченный характер и обычно локализуется в пределах 1-2 долей.
В динамике происходит постепенное снижение плотности гематомы, начиная с 3-5 дня после травмы. Хронические гематомы при КТ могут характеризоваться низкой или смешанной плотностью .
Сотрясение головного мозга при КТ не дают очаговых и диффузных изменений. Контузионные очаги в зависимости от выраженности деструктивных изменений, отека мозга и количества излившейся крови могут выглядеть следующим образом:
- В виде зоны пониженной плотности, как проявление локального отека мозга. Этот вид поражения не исключает наличия в нем диапедезных кровоизлияний;
- В виде зоны пониженной плотности, включающей мелкоточечные повышения плотности, соответствующие кровоизлияниям;
- В виде одиночных или множественных очагов округлой или овальной формы интенсивного гомогенного повышения плотности до 60-80HU (рис.), что соответствует гематомам в деструктивных очагах.
Диффузное аксональное повреждение мозга, характеризуется небольшими (5-9мм) очагами повышенной плотности, локализующиеся в семиовальных центрах обоих полушарий, мозолистом теле, подкорковых ядрах и перивентрикулярном веществе мозга.
Внутримозговые гематомы на КТ выявляются в виде облаковидных зон гомогенного интенсивного повышения плотности различных размеров, с четко очерченными краями, часто с перифокальным отеком .
Диффузное увеличение объема мозга в связи с его отёком проявляется умеренным или выраженным сдавлением или желудочковой системы и субарахноидильных пространств, не сопровождающееся грубыми очаговыми поражениями мозга.
Обычно в первые 24 часа после травмы используют КТ, так как она осуществляется быстрее МРТ, доступнее, менее чувствительна к двигательным артефактам, хорошо выявляет кровоизлияние и костные повреждения. Однако в первые 3 часа КТ может недооценивать тяжесть повреждения мозга. МРТ при ЧМТ демонстрирует признаки повреждения уже на самой ранней стадии, включая сверхострую стадию кровоизлияния. Помимо стандартных Т1- и Т2-ВИ МРТ головного мозга в остром периоде травмы хорошо себя зарекомендовали МРТ типа FLAIR и диффузионно-взвешенные МРТ. МРТ контузий головного мозга применимо уже в первые сутки, но оптимально на 2-3 сутки, когда состояние больного уже не столь критично.
После 72 часов МРТ головного мозга предпочтительнее, чем КТ, так как она точнее в выявлении гематом, контузий коры, а также мелких повреждений - петехиальных кровоизлияний, аксонального и нейронального повреждения.
Отек и смещение срединных структур могут привести к компрессии сосудов, вторичной ишемии и инфарктам, хорошо определяемым при МРТ. Контузия головного мозга может быть следствием прямой травмы, либо нарастающего повреждения. В острой стадии КТ более чувствительна к контузиям чем МРТ, так как МРТ хуже визуализирует кровоизлияние в этот период. Однако по мере трансформации молекулы гема МРТ становится чувствительнее. МРТ диагностика кровоизлияний в мозг - важнейшая задача нейровизуализации.
Субдуральные гематомы наблюдаются у 10-20% пациентов с ЧМТ и сопровождаются высокой (50-85%) летальностью. В подострой стадии субдуральные гематомы хорошо определяются при МРТ. Субарахноидальные кровоизлияния (САК) чаще встречаются у детей и пожилых. Обычно они прилежат к месту контузии. Эпидуральные гематомы наблюдаются в 1-4% случаев ЧМТ и обычно сопровождают переломы костей черепа. Внутрижелудочковые кровоизлияния достигают 3% и связаны с высокой летальностью.
Диффузный отек, определяемый при МРТ головного мозга, может привести к вклинению. Степень продольной и поперечной дислокации определяется при МРТ. На основании выполненного КТ и МРТ, а также клинической картины решается вопрос об экстренном хирургическом вмешательстве..
Переломы костей основания черепа могут приводить к пневмоцефалии, что одинаково хорошо видно при КТ и МРТ головного мозга.
Инородные тела обычно определяются с помощью КТ, так как возможности МРТ здесь очень ограничены.
При травме может наблюдаться повреждение сосудов. МРА и КТА могут помочь в выявлении разрывов, расслоений и аневризм. При тяжелой ЧМТ при МРТ может встретиться диффузное аксональное повреждение. Под ним понимают точечные кровоизлияния и очажки непосредственно в белом веществе трактов. Типичны такие очаги на МРТ головного мозга на границе белого и серого вещества, мозолистом теле, стволе мозга. Клиническое течение травмы у таких пациентов более тяжелое и в последствие нередки психические отклонения. взвешенная МРТ. Очаги в мозолистом теле. Очаги могут быть мелкими и плохо видными на обычных МРТ головного мозга.
КТ нативные срезы. Двойной перелом затылочной кости, перелом чешуи височной кости и верхушки пирамиды. имеется умеренное суженые боковых желудочков и субарахноидальных пространств по конвекситальной поверхности. Диффузный умеренный отек головного мозга.
МРТ и КТ при субдуральной гематоме - что покажет

МРТ головного мозга, КТ черепа являются аппаратными методами диагностики субдуральной гематомы. Исходя из первичных симптомов, истории болезни, противопоказаний и диагностических целей, врач невролог назначает необходимые способы обследования.
В большинстве случаев, МРТ головного мозга выбирается как первичный метод диагностики. Если результаты исследования носят тревожный или неясный характер, дополнительно назначается:
Субдуральная гематома - тип гематомы, обычно ассоциированный с черепно-мозговой травмой. Обычно возникает после травмы головы и может быть внезапным или хроническим. Субдуральные гематомы возникают при разрыве вены между черепом и поверхностью мозга. Сгусток крови на поверхности мозга также называется субдуральной гематомой. Субдуральные гематомы опасны для жизни, особенно если они возникают после тяжелой черепно-мозговой травмы. Восстановление после любой тяжелой черепно-мозговой травмы происходит по-разному, а исходы после субдуральных гематом зависят от возраста, типа гематомы и того, как быстро было оказано лечение.
Типы субдуральной гематомы
Острая субдуральная гематома
Если есть серьезная черепно-мозговая травма, поврежденная область может заполниться кровью и вызвать симптомы, угрожающие жизни. Это называется острой субдуральной гематомой - самый опасный тип. Острые субдуральные гематомы обычно образуются из-за тяжелой травмы головы. Они появляются быстро, и признаки появляются сразу же. Около 20-30 % больных полностью или частично восстанавливают функции мозга после острой субдуральной гематомы. От 50 до 90 % пациентов с острой субдуральной гематомой умирают от этого состояния или его осложнений.
Хроническая субдуральная гематома
Хронические субдуральные гематомы развиваются из-за незначительных травм головы. Многие пациенты, которым ставят этот диагноз, даже не помнят точного события, которое вызвало кровотечение. У пожилых частота хронических субдуральных гематом выше. Это связано с тем, что с возрастом мозг уменьшается, оставляя дополнительное пространство в черепе и позволяя венам легче повреждаться при травме головы. Симптомы хронических субдуральных гематом заметны не сразу и могут не проявляться в течение нескольких недель. Наиболее распространенным признаками является головная боль, которая отмечается в 80 % случаев. Хронические субдуральные гематомы легче поддаются лечению, чем острые субдуральные. Однако они могут вызывать опасные для жизни осложнения.
Симптомы субдуральной гематомы мозга
Острые субдуральные гематомы вызывают симптомы сразу. Хронические субдуральные гематомы сначала могут не проявляться, но со временем приводят к серьезным осложнениям. Общими симптомами субдуральной гематомы являются:
- невнятная речь
- потеря сознания
- кома
- потеря функции одной стороны тела
- судороги
- онемение
- сонливость
- сильные головные боли
- слабость
- нарушения ходьбы
- нарушения зрения
- изменения личности
- тошнота или рвота.
Причины острой и хронической субдуральной гематомы
Острые субдуральные гематомы обычно вызываются:
- автомобильной аварией
- ударом по голове
- серьезным падением.
Хронические субдуральные гематомы обычно вызваны легкой или повторяющейся травмой головы. Некоторые хронические субдуральные гематомы образуются без видимых причин.
Факторы риска
Острые субдуральные гематомы обычно возникают у пациентов, недавно перенесших травму головы. До 20 % больных с черепно-мозговыми травмами также имеют субдуральную гематому. Хронические субдуральные гематомы чаще всего встречаются у:
- пожилых пациентов
- больных, принимающие антикоагулянты
- пациентов с историей алкоголизма или злоупотребления алкоголем.
Осложнения
Осложнения субдуральных гематом могут возникнуть вскоре после травмы или через некоторое время после ее лечения. К ним относятся:
- грыжа головного мозга
- судороги
- постоянная мышечная слабость или онемение.
Уровень осложнений зависит от того, насколько сильно был поврежден мозг. Пациенты, принимающие антикоагулянты, подвержены более высокому риску осложнений. Больные старше 65 лет также имеют повышенный риск осложнений, особенно при хронических субдуральных гематомах. Осложнения субдуральных гематом, включая судороги, возникают даже после их удаления и восстановления непосредственных симптомов.
МРТ и КТ в диагностике субдуральной гематоме
Субдуральная гематома может быть диагностирована с помощью визуализационных исследований, таких как КТ головного мозга или МРТ головного мозга . Эти сканирования позволяют врачу получить подробное представление о состоянии: мозга, черепа, кровеносных сосудов. Врач может также назначить полный анализ крови, который измеряет количество эритроцитов, лейкоцитов и тромбоцитов.
Признаки острой субдуральной гематоме на КТ снимках
- имеют смешанную гипер-, гиподенсную структуру за счетактивного кровотечения (симптом водоворота), скопления СМЖ вследствие разрыва паутинной оболочки, а также ретракции кровяного сгустка
- при отсутствии нового кровоизлияния плотность уменьшается + 1,5 HU/день
- смещение кнутри корковых вен и границы перехода серое-белое вещество
- твердая мозговая оболочка и мембраны контрастируются в подострой стадии.
Признаки острой субдуральной гематоме на МРТ снимках
- сигнал от изо- до умеренно гиперинтенсивного
- гипоинтенсивный сигнал • FLAIR
- интенсивность сигнала изменяется в зависимости от относительных эффектов на время Т1 и Т2
- острые гематомы могут быть изоинтенсивны ликвору вследствие эффекта укорочения времени Т2, вызванного внутриклеточным метгемоглобином
- часто развиваются повторные кровоизлияния; при первичном обследовании возможно обнаружение продуктов как острого, так и хронического кровоизлияния
- разрыв мембран, образованных мягкой и паутинной оболочками, может привести к просачиванию СМЖ в СДГ и изменению интенсивности сигнала путем «разведения» крови ликвором.
Разница между МРТ и КТ
Компьютерная томография и магнитно-резонансная томография используются для получения изображений органов и тканей в трехмерной проекции. Разница в томографии заключается в том, что при МРТ используются радиоволны, а при КТ - рентгеновские лучи для получения изображения. Хотя оба томографических метода имеют высокую информативность, есть диагностические различия, которые могут сделать каждый из них более подходящим вариантом в зависимости от обстоятельств.
КТ-сканирование более быстрая форма диагностики, чем магнитно-резонансная томография, и обычно используется для экстренного обследования. При использовании как КТ, так и МРТ существуют определенные риски. Они зависят от типа визуализации, а также от способа ее проведения. К рискам КТ относятся: вред для внутриутробного ребенка при беременности и доза радиации. Риски МРТ включают реакции на металлические импланты в теле из-за сильного магнитного поля, громкий шум от аппарата, повышенная, клаустрофобические риски.
Если врачу нужны более детальные изображения мягких тканей, связок или органов высоким состоянием воды, обычно назначается магнитно-резонансная томография. Если необходимо получить хорошие изображение костных структур и полых органов, обычно рекомендуется компьютерная томография.
Субдуральная гематома
Субдуральная гематома — ограниченное внутричерепное скопление крови, локализующееся между твердой и арахноидальной мозговыми оболочками. В большинстве случаев является следствием травмы. Проявляется вариативными по форме и длительности нарушениями сознания и психики, головной болью, рвотами, очаговым неврологическим дефицитом (мидриаз, гемипарез, экстрапирамидные расстройства). Решающую роль в диагностике имеют данные КТ или МРТ. В легких случаях достаточным является консервативное лечение (антифибринолитическое, противоотечное, симптоматическое), но чаще требуется хирургическое удаление гематомы.



Общие сведения
Субдуральная гематома — локальное скопление крови, находящееся между твердой и паутинной (арахноидальной) церебральными оболочками. Составляет около 40% от всех внутричерепных кровоизлияний, к которым также относятся эпидуральные и внутримозговые гематомы, желудочковые и субарахноидальные кровоизлияния. В преобладающем большинстве наблюдений субдуральная гематома выступает следствием черепно-мозговой травмы, частота ее встречаемости при тяжелой ЧМТ доходит до 22%. Гематомы субдуральной локализации могут возникать в любом возрасте, но чаще наблюдаются у людей старше 40 лет. Среди пациентов соотношение мужчин к женщинам составляет 3:1.
Субдуральные гематомы классифицируют на острые (проявляющиеся в первые 3-е суток ЧМТ), подострые (проявляющиеся в период от 3-х суток до 2-х недель с момента травмы) и хронические (проявляющиеся позднее 2-х недель). Согласно МКБ-10, выделяют нетравматическое и травматическое субдуральное кровоизлияние с наличием/отсутствием проникающей в череп раны. В клинической практике субдуральная гематома является предметом изучения для специалистов в области травматологии, нейрохирургии и неврологии.

Причины
Субдуральная гематома формируется преимущественно вследствие возникающего в результате ЧМТ разрыва интракраниальных вен, проходящих в субдуральном пространстве. Гораздо реже она возникает вследствие сосудистой церебральной патологии (артерио-венозных мальформаций и аневризм церебральных сосудов, гипертонической болезни, системного васкулита) и нарушений свертывания крови (коагулопатии, терапии антикоагулянтами). Отличием от эпидуральной гематомы является возможность двустороннего образования субдуральной гематомы.
Субдуральная гематома на стороне действия повреждающего агента (гомолатеральная гематома) образуется при малоподвижной голове и небольшой площади контакта с травмирующим предметом. Формирование гематомы возможно и без прямого контакта черепа с травмирующим фактором. Это может произойти при резкой остановке или перемене направления движения. Например, во время езды в транспорте, при падении на ягодицы или на ноги. Происходящее при этом резкое встряхивание головы обуславливает смещение полушарий мозга внутри черепной коробки, влекущее за собой разрыв интракраниальных вен.
Субдуральная гематома, противоположная стороне повреждения, носит название контрлатеральной. Она формируется при ударе черепа о массивный малоподвижный объект или при действии на неподвижную голову травмирующего предмета с большой площадью контакта. Контрлатеральная субдуральная гематома часто связана с разрывом вен, которые впадают в сагиттальный венозный синус. Намного реже гематомы субдурального пространства обусловлены непосредственным травмированием вен и артерий мозговой коры, происходящем при разрыве твердой церебральной оболочки. На практике часто наблюдаются двусторонние субдуральные гематомы, что связано с одновременным приложением нескольких механизмов травмирования.
Острая субдуральная гематома формируется преимущественно при тяжелой ЧМТ, подострая или хроническая — при легких формах ЧМТ. Хроническая субдуральная гематома заключена в капсулу, которая образуется спустя неделю после травмы благодаря активации фибробластов твердой оболочки мозга. Ее клинические проявления обусловлены нарастающим увеличением объема.

Симптомы
Общемозговые симптомы
Среди общемозговых проявлений отмечаются расстройства сознания, нарушения психики, цефалгия (головная боль) и рвота. В классическом варианте характерна трёхфазность нарушений сознания: утрата сознания после ЧМТ, последующее восстановление на какое-то время, обозначаемое как светлый промежуток, затем повторная утрата сознания. Однако классическая клиника встречается достаточно редко. Если субдуральное кровоизлияние сочетается с ушибом головного мозга, то светлый промежуток вообще отсутствует. В других случаях он имеет стертый характер.
Длительность светлого промежутка весьма вариабельна: при острой гематоме — несколько минут или часов, при подострой — до нескольких суток, при хронической — несколько недель или месяцев, а иногда и несколько лет. В случае длительного светлого промежутка хронической гематомы его окончание может быть спровоцировано перепадами артериального давления, повторной травмой и др. факторами.
Среди нарушений сознания преобладают дезинтеграционные проявления: сумеречное состояние, делирий, аменция, онейроид. Возможны расстройства памяти, корсаковский синдром, «лобная» психика (эйфория, отсутствие критики, нелепое поведение). Зачастую отмечается психомоторное возбуждение. В ряде случаев наблюдаются генерализованные эпиприступы.
Пациенты, если возможен контакт, жалуются на головную боль, дискомфорт при движении глазными яблоками, головокружение, иррадиацию боли в затылок и глаза, гиперчувствительность к свету. Во многих случаях больные указывают на усиление цефалгии после рвоты. Отмечается ретроградная амнезия. При хронических гематомах возможно снижение зрения. Острые субдуральные гематомы, приводящие к компрессии мозга и масс-эффекту (дислокационному синдрому), сопровождаются признаками поражения мозгового ствола: артериальной гипотонией или гипертензией, дыхательными нарушениями, генерализованными расстройствами тонуса мышц и рефлексов.
Очаговые симптомы
Наиболее важным очаговым симптомом выступает мидриаз (расширение зрачка). В 60% случаев острая субдуральная гематома характеризуется мидриазом на стороне ее локализации. Мидриаз противоположного зрачка встречается при сочетании гематомы с очагом ушиба в другом полушарии. Мидриаз, сопровождающийся отсутствием или снижением реакции на свет, типичен для острых гематом, с сохранной реакцией на свет — для подострых и хронических. Мидриаз может сочетаться с птозом и глазодвигательными нарушениями.
Среди очаговой симптоматики можно отметить центральный гемипарез и недостаточность VII пары (лицевого нерва). Нарушения речи, как правило, возникают, если субдуральная гематома располагается в оболочках доминантного полушария. Сенсорные расстройства наблюдаются реже пирамидных нарушений, затрагивают как поверхностные, так и глубокие виды чувствительности. В ряде случаев имеет место экстапирамидный симптомокомплекс в виде пластического тонуса мышц, оральных автоматизмов, появления хватательного рефлекса.
Диагностика
Вариабельность клинической картины затрудняет распознавание субдуральных кровоизлияний. При диагностике неврологом учитываются: характер травмы, динамика нарушения сознания, наличие светлого промежутка, проявления «лобной» психики, данные неврологического статуса. Всем пациентам в обязательном порядке проводится рентгенография черепа. В отсутствие других способов распознаванию гематомы может способствовать Эхо-ЭГ. Вспомогательным методом диагностики хронических гематом выступает офтальмоскопия. На глазном дне офтальмолог зачастую определяет застойные диски зрительных нервов с их частичной атрофией. При проведении ангиографии церебральных сосудов выявляется характерный «симптом каймы» - серповидная зона аваскуляризации.
Решающими методами в диагностике субдуральной гематомы являются КТ и МРТ головного мозга. В диагностике острых гематом предпочтение отдается КТ головного мозга, которая в таких случаях выявляет однородную зону повышенной плотности, имеющую серповидную форму. С течением времени происходит разуплотнение гематомы и распад кровяных пигментов, в связи с чем через 1-6 нед. она перестает отличается по плотности от окружающих тканей. В подобной ситуации диагноз основывается на смещении латеральный отделов мозга в медиальном направлении и признаках сдавления бокового желудочка.

При проведении МРТ может наблюдаться пониженная контрастность зоны острой гематомы; хронические субдуральные гематомы, как правило, отличаются гиперинтенсивностью в Т2 режиме. В затруднительных случаях помогает МРТ с контрастированием. Интенсивное накопление контраста капсулой гематомы позволяет дифференцировать ее от арахноидальной кисты или субдуральной гигромы.
Лечение
Консервативная терапия осуществляется у пациентов без нарушений сознания, имеющих гематому толщиной не более 1 см, сопровождающуюся смещением церебральных структур до 3 мм. Консервативное лечение и наблюдение в динамике с МРТ или КТ контролем показано также пациентам в коме или сопоре при объеме гематомы до 40 мл и внутричерепном давлении ниже 25 мм рт. ст. Схема лечения включает: антифибринолитические препараты (аминокапроновую кислоту, викасол, апротинин), нифедипин или нимодипин для профилактики вазоспазма, маннитол для предупреждения отека мозга, симптоматические средства (противосудорожные, анальгетики, седативные, противорвотные).
Острая и подострая субдуральная гематома с признаками сдавления головного мозга и дислокации, наличием очаговой симптоматики или выраженной внутричерепной гипертензии являются показанием к проведению срочного хирургического лечения. При быстром нарастании дислокационного синдрома проводится ургентное эндоскопическое удаление гематомы через фрезевое отверстие. При стабилизации состояния пациента нейрохирургами осуществляется широкая краниотомия с удалением субдуральной гематомы и очагов размозжения. Хроническая гематома требует хирургического лечения при нарастании ее объема и появлении застойных дисков при офтальмоскопии. В таких случаях она подлежит наружному дренированию.
Прогноз и профилактика
Число смертельных исходов составляет 50-90% и наиболее высоко у пожилых пациентов. Следует отметить, что летальность обуславливает не столько субдуральная гематома, сколько травматические повреждения тканей мозга. Причиной смерти также являются: дислокация мозговых структур, вторичная церебральная ишемия, отек головного мозга. Угроза смертельного исхода остается и после хирургического лечения, поскольку в послеоперационном периоде возможно нарастание церебрального отека. Наиболее благоприятные исходы отмечаются при проведении операции в первые 6 ч. с момента ЧМТ. В легких случаях при успешном консервативном лечении субдуральная гематома рассасывается в течение месяца. Возможна ее трансформация в хроническую гематому.
Профилактика субдуральных кровоизлияний тесно связана с предупреждением травматизма вообще и травм головы в частности. К мерам безопасности относятся: ношение шлемов при езде на мотоцикле, велосипеде, роликах, скейте; ношение касок на стройке, при восхождении в горах, занятии байдарочным спортом и другими видами экстрима.
Эпидуральная гематома
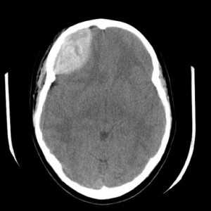
Эпидуральная гематома представляет собой скопление крови между внутренней поверхностью черепа и наружным слоем твердой мозговой оболочки, который называется периостом. При эпидуральной гематоме, как правило, в анамнезе имеется травма и сопутствующий перелом черепа. Источником кровотечения обычно является разрыв острыми краями перелома черепа ветвей менингеальной артерии (чаще всего, средней менингеальной артерии). Эпидуральные гематомы, как правило, имеют двояковыпуклую форму, могут иметь объемное воздействие вызывая вклинение головного мозга. Как правило, эпидуральные гематомы ограничены черепными швами. КТ и МРТ являются подходящими модальностями для диагностики эпидуральных гематом. При своевременно оказанном лечении, прогноз при эпидуральной гематоме хороший.
Эпидемиология
Обычно эпидуральные гематомы встречаются у молодых пациентов с травмой головы и переломом костей черепа в анамнезе.
Патофизиология
Источником кровотечения обычно является разрыв менингеальной артерии, как правило, средней менингеальной артерии. Сопутствующий перелом костей черепа встречается в ~ 75% случаев [2]. Болевой синдром вызывается за счет сепарацией твердой мозговой оболочки от костей черепа при кровотечении . Эпидуральные гематомы в задней черепной ямке редки, но потенциально более жизнеугрожающие 2. Иногда источником эпидуральной гематомы является разрыв венозных синусов.
Локализация
В 95% случаев эпидуральные гематомы односторонние, однако встречаются двусторонние и множественные эпидуральные гематомы.
Особые локализации ассоциированные с венозным кровотечением, включают в себя:
- в области vertex— центрально расположенной наивысшей точки свода черепа (смещают верхний сагиттальный синус) [5]
- передняя черепная ямка [6]
- возможно венозное кровотечение из сфенопариетального синуса
- не вызывают смещение срединных структур или дислокации
- редко увеличиваются в размерах
Диагностика
Для понимания морфологии эпидуральных гематом полезно понимать ее отношение к костям свода черепа и твердой мозговой оболочке. Эпидуральная гематома по сути является субпериостальной гематомой расположенной в черепе, между внутренней поверхностью черепа и париетальным слоем твердой мозговой оболочки (периостом). В результате эпидуральная гематома ограничена черепными швами, поскольку внутренний слой периоста через швы переходит в наружный слой периоста у детей и плотно срастаеться с ними у взрослых. Это позволяет дифференцировать эпудиральные гематомы от субдуральных - последние не ограничены черпными швами. Однако эпидуральные гематомы могут пересекать и смещать венозные синусы в областях где нет швов, поскольку венозные синусы расположены между париетальным и висцеральным слоями твердой мозговой оболочки. Редко эпидуральные гематомы могут пересекать швы. В исследовании Huisman TA, Tschirch FT [4] отмечено что до 11% эпидуральных гематом у детей пересекают швы в случаях:
- линия перелома пересекает линию шва
- при наличии диастаза шва
- гематома в области vertex, обычно венозного генеза, часта пересекает срединную линию локализуясь над верхним сагиттальным синусом [5]
Компьютерная томография
Эпидуральные гематомы хорошо визуализируются при КТ головного мозга. Они имеют двояковыпуклую (чечевицеобразную, линзовидную) форму, часто локализуются в области чешуйчатой части височной кости. Эпидуральные гематомы имеют гиперденсивную плотность, несколько неоднородны и имеют четкие границы. В зависимости от размера, могут иметься признаки вторичного объемного воздействия (напр., смещение срединных структур, subfalcine грыжа, UNCAL грыжа).
При остром кровотечение могут иметь неоднородную структуру за счет менее гиперденсивной свежей крови. Периферическое контрастное усиление встречается при визуализации хронических эпидуральных гематом и обусловленно грануляциями и неоваскуляризацией.
Магнитно-резонансная томография
МРТ позволяет четко визуализировать смещенную твердую мозговую оболочку, в виде гипоинтесивной линии на Т1 и Т2 последовательностях, что помогает отдифференцировть эпидуральную гематому от субдуральной.
Остая эпидуральная гематома имеет изоинтенсивный МР сигнал на Т1 ВИ и может иметь различную интенсивность МР сигнала на Т2 последовательностях.
Ранняя подострая эпидуральная гематома гипоинтенсивна на Т2 изображениях, в то время как поздняя и хроническая эпидуральная гематома будут иметь гиперинтесивный МР сигнал как на Т1 так и на Т2 последовательностях.
Внутривенное введение контраста позволяет визуализировать смещенные или окклюзированные венозные синусы в случаях венозного источника эпидурального гематомы.
Дифференциальный диагноз
При больших размерах гематомы обычно не возникает сложности с постановкой правильного диагноза. При небольших размерах, особенно с сопутствующим поражением паренхимы (напр. ушиб головного мозга, травматическое субарахноидальное кровоизлияние, субдуральная гематома) дифференциальная диагностика может быть затруднительна.
МРТ диагностика кровоизлияний в мозг
![субдуральная гематома]()
МРТ головного мозга. Т1-взвешенная аксиальная МРТ. Субдуральная гематома. Цветовая обработка изображения.
Все кровоизлияния в мозг могут быть разделены на следующие типы:
- интрапаренхимальное
- субарахноидальное
- субдуральное
- эпидуральное
- внутрижелудочковое
- внутриопухолевое
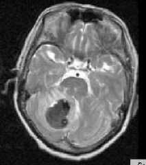
Интрапаренхимальные кровоизлияния являются следствием гипертонии и проявляются в виде кровоизлияний в вещество мозга (геморрагический инсульт) и гипертензивных синдромах. Геморрагический инсульт возникает вследствие разрыва изменённых (гиалиноз, микроаневризмы) сосудов при повышении артериального давления. Частота геморрагического инсульта составляет около 9 случаев на 100 тысяч населения. Это 10-18% от всех смертей. По отношению к всем острым нарушениям мозгового кровообращения (ОНМК) на геморрагический инсульт приходится 10-20%. Кроме того, еще наблюдаются вторичные диапидезные кровоизлияния при ишемическом типе ОНМК. Также кровоизлияния типичны для венозных инфарктов. Возраст пациентов обычно старше 45 лет. Локализация геморрагического инсульта может быть почти любой, но чаще это базальные ядра, таламус, мозжечок.
Диагностика состоит в выполнении КТ и МРТ головного мозга. Отображение крови на МРТ зависит от сроков.
![геморрагический инсульт]()
МРТ головного мозга. Аксиальная Т2-взвешенная МРТ. Кровоизлияние в мозжечок.
![смешанный]()
МРТ головного мозга. Т1-взвешенная корональная МРТ. Смешанный ишемический инсульт. Ранняя подострая стадия.
Субарахноидальное кровоизлияние (САК) - это кровоизлияние между арахноидальной и мягкой мозговыми оболочками. Эпидемиология САК отличается в разных странах, в России около 6 на 100 тысяч населения. Самой частой причиной САК является травма, затем разрыв мешотчатой аневризмы (85% от нетравматических спонтанных кровоизлияний). На оставшиеся 15% нетравматических кровоизлияний приходятся доброкачественное перимезэнцефальное кровоизлияние неясной этиологии и разрыв вен. Смертность от САК очень высокая, и зависит от массивности и расположения кровоизлияния.
Клинические проявления состоят из:
- Неожиданно приступ тяжёлой головной боли
- Фотофобия, тошнота, рвота
При неврологическом осмотре выявляются менингеальные знаки - часто единственный признак САК. Ксантохромия СМЖ появляется через 12 и более часов после САК и может быть только методом позднего его подтверждения. Предлагаются разные подходы к лучевой диагностике САК. В первые сутки предпочтительна МРТ, так как кровь уже может быть видна на Т2-МРТ градиентного типа или FLAIR. В более поздние сроки, до 3-5 дня предпочтительнее КТ. Затем опять МРТ, которая чувствительнее КТ в подострую и хроническую фазы кровоизлияния.
Количество крови оценивается по шкале Фишера. Она делит кровоизлияние на 4 группы:- Не визуализируется кровь
- Диффузное САК с толщиной до 1 мм, без сгустков
- Сгустки крови и (или) толщина САК больше 1 мм
- Внутримозговое или внутрижелудочковое кровоизлияние в сочетании с САК
![САК-обр]()
МРТ головного мозга. Аксиальная МРТ типа FLAIR. Аневризма и САК, внутрижелудочковое кровоизлияние.
Субарахноидальное кровоизлияние опасно вазоспазмом, который наблюдается на 5-7 сутки. Сам спазм хорошо определяется при дуплексном сканировании. При МРТ головного мозга можно выявить ранние признаки ишемического инсульта.
![вазоспазм при САК]()
МРТ головного мозга. Диффузионно-взвешенная МРТ последовательность. ОНМК в острой стадии вследствие вазоспазма.
Субдуральная гематома обычно возникает вследствие разрыва вен. Причины субдуральной гематомы - травма, антикоагулянтная терапия, резкая декомпрессия при шунтировании желудочков по поводу гидроцефалии. Очень редко встречаются субдуральные гематомы при разрыве аневризм и АВМ. Клинические проявления связаны смасс-эффектом. Частота субдуральных гематом составляет около 1 случая на 10 тысяч населения. Располагаются субдуральные гематомы по конвекситальной поверхности, изредка, вдоль межполушарной щели и намёта, в области задней черепной ямки. Может быть сочетание субдуральной гематомы с кровоизлиянием в соседние участки мозга. прогноз в этих случаях неблагоприятный. Отображение гематомы на КТ и МРТ зависит от их давности. Субдуральные гематомы имеют форму серпа.
![Субдуральная гематома подострая]()
МРТ головного мозга. Аксиальная Т2-взвешенная МРТ. Подострая субдуральная гематома.
Эпидуральная гематома (экстрадуральная гематома) имеет травматическое происхождение. Это скопление крови внутренний костной пластинкой и твердой мозговой оболочкой. Обычно гематома расположена под областью перелома костей черепа. Причиной кровоизлияния является разрыв оболоченной артерии. Встречаются эпидуральные гематомы вдвое реже субдуральных. По форме гематома двояковыпуклая. Чаще всего диагностируется в неотложных условиях методом КТ. МРТ обычно применяется при спинальных эпидуральных гематомах.
![КТ - эпидур гематома]()
КТ. Эпидуральная гематома.
Внутрижелудочковые кровоизлияния бывают первичные и вторичные. Первичные кровоизлияния наблюдаются при внутрижелудочковых опухолях, некоторых аневризмах (задней нижней мозжечковой со скоплением крови в 4 желудочке) и субэпендимальных кавернозных ангиомах. Вторичные кровоизлияния возникают как следствие прорыва крови в желудочки при интрапаренхимальных кровоизлияниях и САК.
![внутрижел кровоизл]()
МРТ головного мозга. Аксиальная Т2-взвешенная МРТ типа FLAIR. Внутрижелудочковое кровоизлияние.
Внутриопухолевые кровоизлияния встречаются редко. обычно они не обширные, как, например, при апоплексиях аденом гипофиза. Апоплексия - это острое нарушение кровоснабжения гипофиза с некрозом или кровоизлиянием. Частота около 10% случаев макроаденом. Клинически апоплексия появляется головными болями, рвотой и зрительными нарушениями. Изредка обширные кровоизлияния наблюдаются в метастазах.
![Апоплексия аденомы]()
МРТ головного мозга. Корональная Т1-взвешенная МРТ. Апоплексия макроаденомы гипофиза с кровоизлиянием.
Внутримозговое кровоизлияние любого типа относится к экстренным состояниям и МРТ в СПб выполняется, как правило в приемном покое больницы, либо делают срочно КТ. В подострую стадию возможности МРТ СПб позволяют выполнять исследование стационарных условиях и в хронической на открытом МРТ.
Читайте также:
- Симптоматическая терапия делирия. Вопросы госпитализации при делирии. Когда госпитализировать если у больного делирий?
- Рентгенограмма, КТ, МРТ, УЗИ при остеохондроме
- Появление систолического шума при инфаркте миокарда. Разрыв межжелудочковой перегородки, папиллярных мышц
- Полигенные болезни. Многофакторный тип наследования
- Фотографии операций при опухолях легких.









