Фотографии операций при опухолях легких.
Добавил пользователь Владимир З. Обновлено: 11.12.2025
Рак легкого - это злокачественная опухоль, источником которой являются клетки бронхиального и альвеолярного эпителия. Это опасное заболевание характеризуется неконтролируемым ростом клеток в тканях лёгкого, склонностью к метастазированию. При отсутствии лечения опухолевый процесс может распространиться за пределы легкого в близлежащие или отдаленные органы. В зависимости от характеристик опухолеобразующих клеток, основными типами рака легких являются мелкоклеточный рак легкого (МРЛ) и немелкоклеточный рак лёгкого (НМРЛ).
По данным ВОЗ эта болезнь занимает одну из лидирующих позиций неинфекционных заболеваний, ставших причиной смерти до 70 лет.
Классификация
По месту первичного очага классифицируют виды опухоли легкого.
Центральный рак локализирован в проксимальных (центральных) отделах бронхиального дерева. Первые признаки рака легких (симптомы), которые должны насторожить, в этом случае выражены ярко:
- сухой продолжительный кашель, не поддающийся лечению.
- начинается кровохарканье с присоединением мокроты.
- закупорка просвета бронха опухолевыми массами приводит к одышке даже в состоянии покоя. В некоторых случаях возможно повышение температуры.

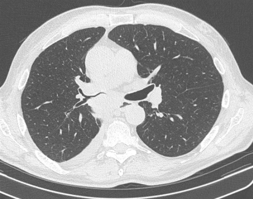
Фото 1 — Центральный рак правого нижнедолевого бронха (1) с обтурацией и метастазами (2) в бифуркационные лимфатические узлы
Периферический рак постепенно сформировывается в боковых отделах легких, медленно прорастая и ничем себя не обнаруживая. Данная опухоль легкого симптомы долгое время может не давать, они появляются при значительном местном распространении, вовлечении соседних органов и структур, прорастания бронхов. Диагностика рака легких этого типа локализации чаще всего возможна при профилактическом обследовании (рентгенографии или компьютерной томографии).

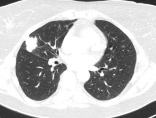
Фото 2 — Периферический рак (1) верхней доли правого легкого
Причины
Причиной рака легких, в подавляющем большинстве случаев (до 85%), становится долгосрочное табакокурение. В 10-15-процентной вероятностью заболевание проявляется у людей, которые не имеют этой вредной привычки. В этом случае можно отметить сочетание генетических факторов и воздействие радона, асбеста, вторичного табачного дыма или других форм загрязнения воздуха.
Диагностика
Онкология легких обычно выявляется при рентгенографическом исследовании грудной клетки и компьютерно-томографическом сканировании (КТ). Диагноз подтверждается биопсией, которая обычно выполняется при трахеобронхоскопии или под КТ контролем.

Профилактика
Профилактикой рака легкого является снижение влияния факторов риска:
- отказ от курения, в том числе и «пассивного» (вдыхание табачного дыма от находящегося рядом курящего человека),
- применение средств индивидуальной защиты (маски, респираторы) при работе с вредными материалами.
Лечение
Лечение онкологии легких и отдаленные результаты зависят от типа рака, степени распространения (стадии), а также общего состояния здоровья человека. При немелкоклеточном раке легкого применяют:
- хирургический
- химиотерапевтический
- лучевой методы лечения
Для мелкоклеточного рака легкого характерна лучшая чувствительность к медикаментозной и лучевой терапии.
Хирургический метод лечения рака легкого
— основной радикальный способ при 1-3 стадии болезни. Операции, выполняемые при данном заболевании классифицируются:
- по объему резекции (лобэктомии (удаление доли легкого), билобэктомии (удаление двух долей легкого), пневмонэктомии (удаление целого легкого)),

Фото 3 — Лобэктомия
Фото 4 — Пневмонэктомия
- по объему удаления лимфатических узлов грудной полости (стандартные, расширенные, сверхрасширенные),
- по наличию резекции соседних органов и структур (комбинированные операции проводятся при прорастании опухоли в перикард, трахею, верхнюю полую вену, пищевод, аорту, предсердие, грудную стенку, позвоночник). Помимо оперативного лечения возможно применение комплексного подхода, включающего лучевую и химиотерпию.

При лечении местнораспространенного злокачественного образования с переходом на главный бронх и лёгочную артерию, в тех случаях, где раньше единственным вариантом оперативного лечения являлась пневмонэктомия, сейчас возможно выполнение органосохранных операций. В этом случае иссекается пораженный участок главного бронха с последующим восстановлением непрерывности (бронхопластические и ангиопластические лобэктомии)

Фото 5 — Схема верхней бронхопластической лобэктомии
Лучевая терапия рака лёгкого
На сегодняшний день активное внедрение получают такие современные методы радиотерапии, как IMRT (радиационная терапия с возможностью изменения дозы излучения), 3Д конформная лучевая терапия (трехмерное компьютерное планирование избирательного облучения) стереотаксическая (точно сфокусированная) лучевая терапия. В проведении этих манипуляций, помимо онкологов, участвуют медицинские физики, врачи-радиологи, физики-дозиметристы и др. специалисты.
- пациентам с резектабельной опухолью лёгкого, которым оперативное лечение выполнить невозможно ввиду противопоказаний со стороны сердечно-сосудистой системы или по другим причинам;
- как альтернатива хирургическому вмешательству;
- для снижения риска рецидива при поражении лимфаузлов средостения, положительном крае резекции по данным гистологического исследования.
Химиотерапия
Планирование курса лечения немелкоклеточного рака лёгкого включает в себя использование фармакологических средств. Применяется в целях профилактики: адъювантная (вспомогательная), послеоперационная химиотерапия при 2-3 стадии заболевания и в терапевтическом курсе.
В зависимости от гистологического типа опухоли, стадии заболевания и предполагаемой чувствительности к воздействию, разработаны различные схемы применения химиопрепаратов.
Таргетная терапия (англ. target - мишень, цель)
Отдельный вид фармакологического лечения, заключающийся в назначении препаратов-ингибиторов, действующих только на опухолевые клетки, в которых выделены различные нарушения, задерживающих или даже блокирующих дальнейший рост.
- ингибиторы тирозинкиназы (гефитиниб, эрлотиниб, афатиниб) используются в лечении больных, в опухолевой ткани которых выявлены мутации в гене EGFR.
- При отрицательном статусе EGFR-мутации — ингибиторы ALK (кризотиниб, алектиниб).
Существуют таргетные препараты, для назначения которых не требуется выявление каких-либо нарушений в опухолевых клетках. К ним относятся бевацизумаб (ингибитор VEGF), ниволюмаб и пембролизумаб (анти PDL1 антитела).
Прогноз жизни
Прогноз онкологии легких при НМРЛ включает симптоматику, размер опухоли (> 3 см), неплоскоклеточный гистологический вариант, степень распространения (стадию), метастазирование в лимфаузлы и сосудистую инвазию. Неоперабельность заболевания, выраженная клиника и потеря веса более, чем на 10% — дают более низкие результаты. Прогностические факторы при мелкоклеточном раке легкого включают в себя статус состояния, пол, стадию заболевания и вовлеченность центральной нервной системы или печени во время диагностики.
Для немелкоклеточного рака легкого прогноз жизни, при полной хирургической резекции стадии IA (ранняя стадия заболевания) — 70% пятилетняя выживаемость.
Рак прямой кишки
Рак прямой кишки - одна из самых серьезных болезней нашей цивилизации, которая занимает 4 место среди всех онкологических патологий и 2-е место среди опухолей желудочно-кишечного тракта.
Рак прямой кишки - что это такое?
Это злокачественное онкологическое заболевание происходит из эпителия прямой кишки. Этой опухоли присущи характерные черты любого злокачественного образования - быстрый рост, прорастание в соседние ткани, метастазирование.
Подвержены болезни мужчины и женщины в равной степени. Рост числа заболевших отмечается с 45 лет, а пик заболеваемости приходится на 75-летних.

О заболевании
Слизистая оболочки конечного участка толстой кишки покрыта цилиндрическим эпителием с большим количеством желез. Их клетки продуцируют слизь. Под влиянием факторов риска появляются патологические клетки с бесконтрольным делением и утратой механизма апоптоза - запрограммированной гибели. Постепенно из них формируется опухоль прямой кишки.
Предположительно установлены причины рака прямой кишки:
- Неправильное питание.
Преобладание в рационе мясной пищи, животных жиров с одновременным дефицитом растительной клетчатки ухудшает прохождение кала, способствует запорам и развитию колоректальных опухолей. - Роль наследственности — замечена при возникновении некоторых форм новообразований.
- Предраковые патологии — полипы, болезнь Крона, неспецифический язвенный колит.
- Иммунодефицитные состояния, карцинома половых органов или молочной железы у женщин.
Виды рака прямой кишки
Тип опухоли определяется ее локализацией:
- Аноректальное расположение характерно для 5-8% случаев.
- Ампулярное встречается чаще других, до 80%. Это патология в самой широкой части кишки.
- Надампулярная локализация до 12% больных.
Характер роста опухоли может быть:
- экзофитный - растет в просвет кишечника;
- эндофитный - прорастает толщу стенки, инфильтрирует ее, может охватывать циркулярно;
- смешанный рост.
По гистологической картине новообразование бывает:
- железистый рак (аденокарцинома);
- солидный;
- перстневидно-клеточный;
- скирр;
- плоскоклеточный.
Симптомы рака прямой кишки, первые признаки
Развитие опухолевого процесса вызывает отдаленные признаки рака прямой кишки:
- слизь и кровь в кале;
- гнойные выделения;
- чувство переполненного кишечника;
- вздутие живота;
- боль в области прямой кишки;
- хроническая усталость, утомляемость;
- анемия;
- потеря веса.
На начальных стадиях проявления болезни может не быть. При выявлении анемии неизвестного происхождения стоит искать причину скрытого кровотечения. Возможно, это рак.
Поздние стадии характеризуются поражением других органов:
- прорастание в соседние органы, образование межорганных свищей;
- гнойно-воспалительные процессы - парапроктит, флегмона малого таза;
- перфорация опухоли надампулярной локализации с развитием перитонита;
- кровотечение.
Как выглядит рак прямой кишки - фото

На фото рака прямой кишки можно заметить, что он значительно сужает просвет кишечника. Это является причиной запоров, переполненного живота, метеоризма.

На этом фото карцинома растет инфильтративно, охватывая стенку.
После обращения к врачу, определяют симптомы, которые беспокоят пациента и позволяют предположить болезнь ректального отдела.
Общий анализ мочи и крови отражают состояние организма, наличие воспаления, анемию, работу почек и мочевого пузыря
Этот метод позволяет выявить опухоли аноректальной локализации. Определяют состояние сфинктера, слизистой оболочки.
Для обследования внутренней поверхности прямой кишки в более удаленных участках:
— ректороманоскопия - изучение кишечника с помощью жесткой трубки с оптическим прибором на конце;
— колоноскопия - исследование с помощью гибкого эндоскопа, позволяет обследовать весь кишечник.
Из подозрительных и измененных участков берут части тканей, которые изучаются на предмет раковых клеток или диспластических предраковых процессов.
Для дифференциальной диагностики рака, обнаружения на ранней стадии изменений, которые могут привести к онкологии.
Для определения распространенности злокачественного процесса. Можно выполнять абдоминально - через брюшную стенку, и трансректально - через анальное отверстие.
Часто возникает сочетание опухолей кишечника с гинекологическими карциномами - раком тела матки, яичников, а также молочной железы.
С применением контрастного вещества. На снимках заметны дефекты наполнения кишечника, патологические разрастания тканей, стенозы, вызванные новообразованием.
Выявляет даже небольшие по размеру патологические очаги, метастазы и инвазию опухоли в соседние органы, ее топографическое положение относительно других структур. Метод безопасен, не создает радиационную нагрузку, в отличие от КТ.
Стадии рака прямой кишки
Течение ракового процесса при отсутствии должного лечения прогрессирует. Стадия определяется по степени поражения самого кишечника, прорастанием ее через стенку, наличием метастазов в лимфоузлах, отдаленных поражениях других органов.
В связи с этим опухоли делят на 4 стадии. Такое распределение универсально для любых злокачественных опухолей.
1 стадия - опухоль небольших размеров, растет на слизистом слое, не поражает соседние органы и лимфоузлы.
2 стадия делится на А и Б. 2А - это поражение от трети до половины окружности кишечной трубки, но растет строго в стенке или просвете, метастазов нет. 2Б - размер очага такой же, но есть метастазы в околокишечных лимфоузлах.
3А - опухоль занимает более половины окружности кишки, прорастает через все слои и околокишечную клетчатку. Могут быть единичные метастазы в ближайших лимфоузлах.
3Б - любой размер опухоли, метастазы в отдаленных лимфоузлах, принимающих лимфу от ректальной области.
4 стадия - метастазы распространяются по внутренним органам и отдаленным лимфатическим узлам. Размер первичной опухоли может быть любой.
Методы лечения рака прямой кишки
Небольшой размер опухоли и ее прорастание только через слизистый и подслизистый слой прямой кишки, не затрагивая мышечный и серозный, позволяет выполнить хирургическое удаление самой опухоли. Иногда возможно проведение операции через кишку с помощью колоноскопа.
Если она проросла в мышечный слой, то показана резекция прямой кишки или экстирпация (полное удаление органа). Также удаляется параректальная клетчатка и лимфоузлы, в которых в 20% случаев уже обнаруживаются метастазы. Для проведения операции используют два доступа - лапаротомия (рассечение брюшной стенки) и лапароскопия (операция с помощью видеооборудования через несколько проколов на животе).
Тип операции выбирается исходя из локализации опухоли. Высокое расположение позволяет провести удаление новообразования и временно вывести конец кишки на брюшную стенку - сформировать колостому для дефекации. Такая манипуляция нужна, если пока сшить между собой концы кишки невозможно. Вторым этапом через некоторое время восстанавливают целостность кишечника.

При низком расположении опухолевого процесса, если ниже ее не осталось здоровых тканей, проводят удаление пораженного участка и анального отверстия, накладывают колостому на брюшную стенку.
Прогноз выживаемости
После проведения радикальной операции выживаемость в течение 5 лет колеблется в пределах 34-68%. На исход лечения влияет стадия, на которой была диагностировна опухоль, состояние самого пациента, его возраст, сопутствующие заболевания.
В зависимости от стадии опухолевого процесса, пятилетняя выживаемость определена следующими цифрами:
- 1 стадия - до 77%;
- 2 стадия - до 73%;
- 3 а стадия - 46%;
- 3 б стадия - 43%.
4 стадия не рассматривается в данной статистике. Радикальные операции зачастую провести невозможно, т.к. метастазы опухоли диссеминрованы по всему организму. Летальный исход зависит от общего состояния больного.
Противопоказания
Операция противопоказана при следующих условиях:
- тяжелые хронические заболевания пациента - артериальная гипертензия, ишемическая болезнь сердца, когда невозможно дать наркоз;
- преклонный возраст пациента;
- запущенные стадии рака.
При распространенном процессе с метастазированием во многие органы применяют паллиативные резекции, направленные на облегчение состояния больного. Симптоматические операции - наложение обходных анастомозов, чтобы разгрузить кишечник и избежать осложнений на последних стадиях рака.
Лечение до и после операции
Химиотерапия и лучевая терапия показаны для больных с опухолями 2 и выше стадиями.
Если до операции были выявлены метастазы в нескольких лимфоузлах, а опухоль проросла мышечный слой, то на этапе подготовки к операции проводят лучевую терапию коротким курсом в течение 5 дней. Это позволяет уничтожить ранние метастазы, уменьшить размер самого образования.

Лечение рака прямой кишки после хирургического вмешательства проводится после получения патоморфологических данных об удаленных тканях. Решается вопрос о проведении облучения или его сочетании с химиотерапией. Лучевая терапия после операции уничтожает оставшиеся клетки в зоне первичной опухоли и предупреждает ее рецидив. У неоперабельных больных она облегчает состояние.
Чувствительность к химиотерапии выявляется у 30% больных. Ее назначают с лечебной целью для уничтожения метастазов.

Также химиотерапию проводят адьювантно - для предупреждения распространения карциномы, если выявлялось поражение нескольких лимфоузлов. Этот способ терапии улучшает качество и продолжительность жизни пациентов с метастазами. Применяют препараты платины, 5-фторурацил, лейковарин, фолинат кальция. Лекарства вводятся внутривенно капельно, курсами по несколько дней. Также применяют химиотерапию в сочетании с лучевой до проведения операции при местнораспространенной форме рака. Такое комбинированное лечение проводят в течение 1-1,5 месяца, а после окончания облучения через 6 месяцев выполняют операцию.

Что вам необходимо сделать
Если вы хотите узнать побольше о бесплатных возможностях ФБГУ НМИЦ онкологии им. Н.Н. Петрова Минздрава России, получить очную или заочную консультацию по диагностике и лечению, записаться на приём, ознакомьтесь с информацией на официальном сайте.
Если вы хотите общаться с нами через социальные сети, обратите внимание на аккаунты в ВКонтакте и Одноклассники.
Таблетки vs капельницы: что лучше?

В России у 3 762 218 человек диагностированы злокачественные новообразования и каждый год эта цифра увеличивается более чем на 600 000 новых случаев [1]. Всем онкопациентам необходимо противоопухолевое лечение, и многим из них - лекарственное.
Большую часть лекарственного противоопухолевого лечения пациенты, как правило, получают с помощью внутривенных инъекций. Это предполагает регулярное посещение онкологического учреждения для проведения очередного цикла терапии. Нередко это приносит неудобства, а инъекции могут быть болезненными. В некоторых случаях количество циклов не ограничено определенным числом, лечение может длиться месяцы или годы, вплоть до прогрессирования или развития непереносимой токсичности [2].
Чтобы пациент мог сократить количество визитов в больницу, все больше новых препаратов производится в пероральной форме.
Что такое пероральная лекарственная противоопухолевая терапия?
- Пероральная терапия - это любая терапия, которая принимается внутрь через рот в виде таблеток или капсул.
Безусловно такое лечение позволяет человеку вести активную жизнь и работать, что особенно актуально при длительной противоопухолевой терапии.
Таблетки - это только химиотерапия?
Не только. Ниже представлены основные препараты, которые можно использовать внутрь перорально:
- Химиотерапия: циклофосфамид, метотрексат, этопозид, капецитабин, винорелбин;
- Гормонотерапия: тамоксифен, торемифен, анастрозол, летрозол, эксеместан, мегестрол, медроксипрогестерон, бикалутамиб, энзалутамид, абиратерон;
- Таргетная терапия: регорафениб, сорафениб, сунитиниб, пазопаниб, акситиниб, гефитиниб, эрлотиниб, афатиниб, осимертиниб, кризотиниб, олапариб, палбоциклиб, рибоциклиб, лапатиниб, дабрафениб, траметиниб, вемурафениб, кобиметиниб.
Почему мне выписали таблетки, а моей знакомой с таким же диагнозом — капельницы?
Если вам назначили таблетки — это не значит, что исчерпаны все возможности вашего лечения.
Таблетки или капсулы могут назначаться как самостоятельное лечение, так и в качестве послеоперационного (после радикального удаления опухоли) профилактического (адъювантного) лечения. Пример таблетированной адъювантной терапии при раке молочной железы - тамоксифен или анастрозол в течение 5 лет [3].

В каких случаях могут назначить «химию» в таблетках?
Таблетки или капсулы назначают по определенным показаниям:
- Гистологический тип опухоли. Например, аденокарцинома.
- Рецепторный статус опухоли. Например, наличие рецепторов к эстрогену и прогестерону [3].
- Другие характеристики опухоли. Например, наличие определенной мутации, степень злокачественности, стадия распространения, наличие лимфоваскулярной инвазии и т.д.
- Важно и состояние вашего желудочно-кишечного тракта, а именно — возможность усвоить и произвести всасывание лекарственного препарата в системный кровоток.
Таблетки также могут применяться в следующих случаях:
- Пораженные вены;
- Невозможность внутривенного введения;
- Отек верхних конечностей;
- Поражение кожи грудной стенки, когда нет возможности установить порт-систему.
Например, пациенту может быть назначена поддерживающая лечебная химиотерапия капецитабином вместо внутривенного 5-фторурацила с лейковорином [4].
При опухолях каких органов могут назначить таблетки?
Рак молочной железы [5]:
- Химиотерапия (метастатический процесс): CMF (циклофосфамид внутрь + метотрексат в/в + 5-фторурацил в/в); Метрономный режим циклофосфамид + метотрексат; Капецитабин; Винорелбин (капсулы); Этопозид (капсулы).
- Гормонотерапия (послеоперационно или при метастатическом процессе): Тамоксифен, Анастрозол, Летрозол, Эксеместан, Мегестрол.
- Таргетная терапия (метастатический процесс): Рибоциклиб, Палбоциклиб, Лапатиниб.
- Остеомодифицирующий агент (при метастазах в костях): Клодроновая кислота.
Рак ободочной и прямой кишки [6,7]:
- Химиотерапия (послеоперационно или при метастатическом процессе): в схеме CapOX (XELOX) - Капецитабин внутрь + Оксалиплатин внутривенно, Капецитабин.
- Таргетная терапия (при метастатическом процессе): Регорафениб.
Рак яичников [8]:
- Химиотерапия (метастатический процесс): этопозид; циклофосфамид + метотрексат (метрономный режим).
- Гормонотерапия (метастатический процесс): летрозол, анастрозол, тамоксифен.
- Таргетная терапия (метастатический процесс или рецидив): Олапариб.
Рак тела матки (метастатический процесс) [9]: гормонотерапия (летрозол, анастрозол, тамоксифен).
Рак шейки матки (метастатический процесс) [10]: капецитабин.
Немелкоклеточный рак легкого (метастатический процесс) [11]: Гефитиниб, Эрлотиниб, Афатиниб, Осимертиниб, Кризотиниб.
Почечно-клеточный рак (метастатический процесс) [12]: Сорафениб, Сунитиниб, Пазопаниб и Акситиниб.
Меланома кожи (послеоперационно или при метастатическом процессе) [13]: Дабрафениб, Траметиниб, Вемурафениб, Кобиметиниб.

Меньше ли осложнений от таблеток или капсул?
Нет, таблетки и капсулы — это все равно противоопухолевая терапия. Она отличается лишь способом доставки лекарственного средства в организм. Осложнения и побочные эффекты такие же, как и при инъекциях.
Потеряю ли я волосы от противоопухолевой лекарственной терапии в таблетках?
Да, в некоторых случая это возможно [14], например:
- Этопозид вызывает обратимую алопецию у 8-66% пациентов, а иногда вызывает полную потерю волос;
- Метотрексат, Винорелбин и Циклофосфамид часто вызывают умеренную алопецию;
- Капецитабин редко вызывает выпадение волос.
Будет ли тошнота и рвота при пероральной противоопухолевой лекарственной терапии?
Да, некоторые препараты больше других вызывают рвоту [15]:
- Для Циклофосфамида, Винорелбина и Кризотиниба характерна умеренная эметогенность, т.е. рвота возникает у 30-90% пациентов. Для профилактики обязательно назначается противорвотная терапия.
- Капецитабин, этопозид и большинство таргетных препаратов относятся к препаратам с низкой эметогенностю, т.е. рвота возникает у 10-30% пациентов
- Метотрексат и Вемурафениб обладают минимальной эметогенностью (рвота у <10%) и не требуют назначения противорвотных средств.
- Еще реже вызывает рвоту гормональная терапия.
Какие еще осложнения возможны при приеме противоопухолевой терапии в таблетках и капсулах?
- Изменения со стороны крови: анемия, лейкопения, нейтропения, тромбоцитопения;
- Изменения кожи (капецитабин - ладонно-подошвенный синдром [16]; регорафениб, сорафениб, сунитиниб и акситиниб - ладонно-подошвенная кожная реакция [17]);
- Стоматит;
- Слабость;
- Диарея;
- Дисменорея, приливы, вагинальное кровотечение (гормональная терапия [18]).
О чем мне стоит знать до начала пероральной противоопухолевой лекарственной терапии?
- В каких дозах и когда принимать (сколько раз в день; после, до или во время еды);
- Сопутствующие мероприятия (пить много жидкости до, во время и после приема циклофосфамида [19]; с какими продуктами совместимо);
- Обязательно сообщить врачу, какие препараты вы принимаете по сопутствующим заболеваниям (артериальная гипертензия, сахарный диабет и т.д.), чтобы предусмотреть возможные взаимодействия;
- Ваш лечащий врач может не помнить все особенности приема всех пероральных средств. Нет ничего зазорного, чтобы уточнить особенности приема вашего препарата. Спрашивать не только можно, но и нужно!
Какие существуют особенности приема внутрь отдельных противоопухолевых препаратов?
- Этопозид: внутрь, натощак (можно принимать, запивая стаканом апельсинового сока). Избегать действий, которые могут привести к травмам и кровотечениям (включая бритье).
- Метотрексат: избегать действий, которые могут привести к травмам и кровотечениям (включая бритье); избегать солнца.
- Винорелбин: внутрь, целиком, не разжевывая и не рассасывая во рту, запивая водой. В связи с наличием сорбита, винорелбин не следует использовать у больных с наследственной непереносимостью фруктозы.
- Тамоксифен: внутрь, не разжевывая, запивая водой. В начале лечения в течение 2 недель возможно увеличение мягкотканных образований и эритема пораженных областей.
- Анастрозол, Летрозол: внутрь целиком, в одно и то же время, запивая водой. Применяется только в постменопаузе или у пациенток с овариальной супрессией.
- Эксеместан: внутрь, желательно после еды. Применяется только в постменопаузе или у пациенток с овариальной супрессией.
- Сунитиниб: внутрь, независимо от приема пищи. Может наблюдаться изменение окраски кожи вследствие наличия в препарате желтого красителя.
- Акситиниб: внутрь целиком, запивая стаканом воды, вне зависимости от приема пищи;
- Сорафениб: внутрь, в промежутках между приемами пищи или вместе с пищей, содержащей низкое или умеренное количество жира, запивая стаканом воды.
- Регорафениб: внутрь целиком, запивая водой, 1 раз в сутки в одно и то же время после приема пищи, содержащей низкое ( <30%) количество жиров.
- Пазопаниб: внутрь целиком 1 раз в сутки, не менее чем за 1 час до или через 2 часа после приема пищи.
- Гефитиниб: внутрь, независимо от приема пищи, 1 раз в сутки. Можно также растворить (в течение 15 минут) в 100 мл питьевой (негазированной) воды и вводить внутрь через назогастральный зонд. N.B! В составе препарата - лактоза (необходимо учитывать непереносимость)!
- Эрлотиниб: внутрь, 1 раз в сутки, не менее чем за 1 час или через 2 часа после приема пищи. Курение снижает концентрацию эрлотиниба в плазме крови на 50-60%
- Афатиниб: внутрь, натощак, не менее чем за 1 ч до приема пищи или спустя 3 часа после приема пищи.
- Осимертиниб: внутрь целиком, 1 раз в сутки, в одно и то же время вне зависимости от приема пищи. Можно растворить в 15 мл питьевой (негазированной) воды и вводить через назогастральный зонд
- Кризотиниб: Внутрь целиком, вне зависимости от приема пищи. Избегать употребления грейпфрута и грейпфрутового сока
- Олапариб (табл., капс.): Внутрь целиком, через 1 час после или за 2 часа до приема пищи. B! Дозы таблеток и капсул не взаимозаменяемы!
- Палбоциклиб: внутрь целиком вместе с пищей в одно и то же время. Избегать грейпфрута или грейпфрутового сока, а также препаратов зверобоя.
- Рибоциклиб: внутрь целиком вне зависимости от приема пищи в одно и то же время.
- Лапатиниб: внутрь, за 1 час до или через 1 час после еды. Суточную дозу нельзя делить на приемы.
- Дабрафениб: внутрь 2 раза в сутки в одно и то же время через 1 час после или за 2 часа до приема пищи. Может быть повышение уровня глюкозы, что потребует изменения доз препаратов для лечения сахарного диабета.
- Траметиниб: внутрь 1 раз в сутки в одно и то же время, через 1 час после или за 2 часа до приема пищи.
- Вемурафениб: внутрь целиком 2 раза в сутки, вне зависимости от приема пищи, однако следует воздержаться от длительного приема обеих доз натощак.
- Кобиметиниб: внутрь целиком 1 раз в сутки, вне зависимости от приема пищи.
- Клодроновая кислота: внутрь. Суточная доза 1600 мг однократно утром натощак (за 1 час до еды), запивая стаканом воды (если >1600 мг, то в 2 приема). Нельзя принимать вместе с молоком, пищей и препаратами, содержащими двухвалентные катионы (кальций, препараты железа, антациды). Избегать стоматологических вмешательств во время приема клодроновой кислоты. До начала приема клодроновой кислоты следует санировать полость рта.
Что делать в случае пропуска приема таблетки(-ок)?
- Сообщить об этом вашему лечащему врачу
- В следующий прием НИКОГДА не принимайте дополнительно пропущенную дозу! *
* За исключением некоторых случаев. Необходимо ознакомиться с инструкцией к препарату.
Как не забыть принять противоопухолевые лекарства?
- Принимать таблетки в одно и то же время и при одних и тех же обстоятельствах каждый день.
- Поставьте напоминание на своем смартфоне.
- В путешествие возьмите с собой достаточно таблеток на случай непредвиденных задержек.
- Ведите дневник с информацией о вашем самочувствии. Держите дневник на видном месте.
- Просите родственников напоминать о приеме лекарств.
Что делать, если выпил двойную (и более) дозу?
- Немедленно сообщить об этом лечащему врачу.
- Тщательно следить за состоянием своего здоровья (вести дневник).
- В некоторых случаях потребуются срочные мероприятия (например, введение кальция фолината при передозировке метотрексата в течение первого часа).
Мне дали пачку таблеток - я могу просто пить таблетки и больше ничего не делать?
Нет, при каждом из препаратов требуется периодически выполнять обследования с целью выявления возможных осложнений лечения. Примеры:
Операции при раке легкого
Рак легкого - это злокачественная опухоль основного органа системы дыхания, способная прорастать в окружающие ее ткани, разрушать их и создавать метастазы - дополнительные очаги заболевания в других органах.
Борьба с ней - задача крайне сложная, поскольку ее клетки быстро развиваются, бесконтрольно размножаются и перемещаются по телу по сосудам кровеносной и лимфатической Лимфатическая система дополняет сердечно-сосудистую. Циркулирующая в ней лимфа - межклеточная жидкость - омывает все клетки организма и доставляет в них необходимые вещества, забирая отходы. В лимфатических узлах, выполняющих роль «фильтров», опасные вещества обезвреживаются и выводятся из тела. систем.
На сегодняшний день существует множество методов, позволяющих уничтожать, сдерживать рост или уменьшать опасные новообразования, но единственным способом их полного удаления из организма остается хирургия.

Кому назначается операция при раке легких?
Хирургия редко используется как основное лечение мелкоклеточных опухолей, составляющих от 15% до 20% всех случаев рака легких. Такой подход объясняется их очень быстрым развитием - в большинстве случаев к моменту выявления они успевают поразить большое количество тканей организма, что крайне затрудняет борьбу с ними. Менее чем у 1 из 20 больных они обнаруживаются как единичный очаг, не распространивший свои клетки в лимфатические узлы Лимфатические узлы - это крошечные органы лимфатической системы, которые выявляют и обезвреживают опасные для организма вещества. или другие органы.
Пациентам с подобным диагнозом на начальных этапах может быть назначена операция с последующим проведением химиотерапии - приемом лекарств, уничтожающих измененные клетки. Кроме того, их проводят не только с целью полного удаления онкологии, но и как часть паллиативной терапии, задачей которой является облегчение симптомов и улучшение качества жизни человека.
В случае немелкоклеточных опухолей перспективы более оптимистичны - обычно на ранних стадиях такие новообразования можно полностью вылечить с помощью хирургии.
Что такое легкое и зачем оно нужно?
В здоровом организме человека есть два таких мягких, эластичных губчатых органа. Правое легкое состоит из 3 основных частей - долей, а менее крупное, расположенное рядом с сердцем левое - из двух.
Как мы дышим?
Воздух попадает в рот или нос, а затем в трахею, которая раздваивается на бронхи, разделяющиеся и образующие небольшие ветви - бронхиолы. На их конце расположены альвеолы - крошечные мешочки, которые поглощают - передают в кровь кислород и удаляют из нее углекислый газ во время выдоха.
Оба органа окружает тонкая защитная пленка - плевра, помогающая им скользить вперед и назад по грудной стенке во время расширения и сжатия.
Под ними находится диафрагма - тонкая, похожая на купол мышца, отделяющая грудную клетку от брюшной полости, которая содержит в себе основные жизненно важные органы, такие как кишечник, печень, почки, селезенка и другие. При дыхании она движется вверх и вниз, что позволяет легким увеличиваться и уменьшаться в объеме, набирая и выпуская воздух.

Можно ли удалить легкое?
Большинство людей могут обойтись только одним легким, если второе здорово, не повреждено, обеспечивает поступление достаточного количества кислорода и справляется с выведением углекислого газа.
Дыхательная система играет очень важную роль, а ее неправильная работа может повлиять на качество жизни человека. Именно поэтому врачи стараются сохранять максимум тканей, а изымать минимум - только небольшую область, или сегмент. К сожалению, такого вмешательства не всегда оказывается достаточно. При серьезных травмах, туберкулезе, тяжелой форме грибковых инфекций, некоторых заболеваниях, а также раке и его метастазах может потребоваться полное удаление легкого.
Подготовка к операции
До проведения хирургического вмешательства необходимо пройти подготовку:
Полное обследование, в ходе которого врачи оценивают состояние здоровья пациента, размер и контуры опухоли, количество пострадавших от заболевания тканей и выявляют метастазы - дополнительные онкологические новообразования в различных органах. Оно включает в себя сдачу анализов и выполнение целого комплекса диагностических процедур:
- анализы крови и мочи, позволяющие выявлять инфекции и сбои в работе внутренних органов;
- биопсия - забор тканей опухоли для изучения свойств ее клеток;
- эзофагоскопия - оценка состояния пищевода;
- бронхоскопия - осмотр бронхов Бронхи - это ответвления трахеи, по которым воздух проходит в легкие. ;
- торакоскопия - исследование органов дыхания через небольшие разрезы на груди и спине;
- КТ или МРТ, в ходе которых доктор получает четкое изображение внутренних органов, определяет размеры опухоли, ее точное местоположение и контуры;
- цитология мокроты - выявление раковых клеток в производимой дыхательными путями слизи;
- медиастиноскопия - изучение состояния лимфатических узлов;
- оценка состояния сердечно-сосудистой системы и других жизненно важных органов;
- функциональные легочные тесты, позволяющие определять качество работы органов дыхания и возможности обеспечения тела кислородом оставшимися после операции тканями;
- при необходимости доктор назначает и другие процедуры.
- О нарушениях свертываемости крови.
- Наличии всех известных пациенту заболеваний.
- Аллергии на йод, латекс и другие вещества, включая анестетики - обезболивающие средства.
- О беременности, в том числе возможной.
- Приеме препаратов, в том числе витаминов и добавок, а также разжижающих кровь лекарств, таких как аспирин.
До начала операции врач рассказывает о планируемом вмешательстве, его ходе, целях, возможных рисках, последствиях и осложнениях. После чего пациент или его законный представитель подписывает документ - информированное добровольное согласие на медицинское вмешательство.

Операции для лечения рака легких
Врачи применяют несколько методов хирургического лечения рака, каждый из которых требует госпитализации в клинику. Выбор типа вмешательства зависит от расположения опухоли, ее размеров, повреждения расположенных рядом с ней тканей и лимфатических узлов - «фильтров» нашего организма, которые задерживают и обезвреживают опасные вещества. Часто специалисты предпочитают делать более обширные операции для изъятия максимального количества измененных клеток, поскольку такой подход повышает шансы на полное выздоровление.
Все подобные процедуры проводятся под общей анестезией - с использованием препарата, погружающего пациента в глубокий сон с потерей сознания, и обычно выполняются через большой разрез между ребрами со стороны грудной клетки или спины.
В их ходе удаляются не только пораженные ткани легкого, но и ближайшие лимфатические узлы. Такое вмешательство необходимо для выявления поражения их измененными клетками и распространения онкологии за пределы тканей дыхательной системы.
В зависимости от типа и размеров опухоли для лечения рака применяются:
Лобэктомия - удаление одной содержащей опасное новообразование доли.
Билобэктомия - изъятие двух долей правого легкого.
Сегментарная резекция - в ее ходе хирург вырезает только пораженный сегмент - небольшую часть доли. Данная процедура подходит для пациентов, чья дыхательная система не справится со своей функцией при удалении всей доли.
Пульмонэктомия - полное удаление легкого. Операция может потребоваться при расположении опухоли рядом с центром грудной клетки.
Рукавная лобэктомия - изъятие крупного очага онкологии, находящегося в главном или долевом бронхе. При ее проведении врач удаляет поврежденную часть дыхательного пути и сшивает оставшиеся ткани, находящиеся выше и ниже пострадавшего участка. Этот тип вмешательства может быть назначен как альтернатива пульмонэктомии, позволяющая сохранять максимум функций легких.
Видеоассистированная торакоскопическая хирургия - VATS
VATS - это малоинвазивная процедура для лечения ранней стадии рака, в ходе которой повреждается минимальное количество тканей.
Традиционные операции проводятся через крупный разрез, а видеоассистированные - через несколько маленьких проколов в грудной клетке. В них вводятся специальные инструменты и торакоскоп - прибор с источником света и камерой, которая выводит четкое изображение на монитор. Хирург контролирует свои движения и управляет ими, ориентируясь на данные видео, транслируемого в режиме реального времени.
Роботизированная торакоскопическая хирургия - RATS
RATS - это малоинвазивное лечение небольших опухолей с помощью роботизированной системы. При ее выполнении специалист сидит за пультом в операционной и управляет действиями манипуляторов, удаляющих новообразования через маленькие проколы в груди пациента.
Процедура обеспечивает даже большую маневренность и точность при перемещении инструментов, чем VATS.
VATS и RATS - сложные операции, результат проведения которых полностью зависит от мастерства хирурга. У них есть несколько важных преимуществ перед традиционными вмешательствами: они позволяют минимально травмировать ткани, сокращать время выздоровления, сроки нахождения в клинике, уменьшают потери крови и болевые ощущения. Кроме того, после них не остается крупных шрамов и рубцов на коже.

Как проходит традиционная операция по удалению опухоли легких?
Подготовленного пациента привозят в операционную, где ему вводят анестезию - препарат, который позволяет не чувствовать боли и погружает в состояние, похожее на глубокий сон.
Затем в его горло вставляется трубка, подключаемая к аппарату искусственного дыхания, а к телу прикрепляются датчики, измеряющие частоту сердечных сокращений, кровяного давления и другие данные. В мочевой пузырь вводится катетер - мягкая гибкая трубка, отводящая мочу.
Кожа в оперируемой области обрабатывается обеззараживающим средством, после чего на передней части груди выполняется разрез, идущий вдоль ребра, и заканчивающийся на спине. Специальный инструмент раздвигает ребра, после чего удаляется доля, ее небольшой фрагмент - сегмент, или все легкое.
В грудную клетку помещается одна или несколько трубок, необходимых для удаления воздуха или жидкости, образующейся при заживлении.
Рана зашивается или закрывается скобами, на нее накладывается повязка, а за пациентом продолжается тщательное наблюдение до того момента, пока он не придет в себя, а все показатели работы его организма не вернутся в норму.
Операции для улучшения качества жизни при раке легких
Хирургия применяется не только для полного удаления рака из организма, но и как часть паллиативного лечения на запущенных стадиях заболевания, задачей которого является облегчение симптомов и улучшение качества жизни.
Например, при появлении плеврального выпота - скоплении жидкости в груди за пределами легких, у пациента затрудняется дыхание.
В таких случаях могут быть назначены:
- Плевроцентез, или торакоцентез - ведение полой иглы в пространство между ребрами для слива жидкости.
- Плевродез - процедура, предотвращающая ее повторное образование. В ее ходе на коже делается небольшой разрез, через который удаляется жидкость, после чего внутрь подается вещество, заставляющее слизистую оболочку легкого и стенку грудной клетки слипаться. Такое вмешательство герметизирует пространство и ограничиввает дальнейшее накопление выпота.
- В части ситуаций удается обойтись введением катетера - тонкой гибкой трубки, которая водится через маленький прокол и выводит жидкость в специальную емкость.
У части пациентов образуется перикардиальный выпот - скопление жидкости в пространстве между сердцем и окружающей его оболочкой, что приводит к нарушению работы главного «насоса», перекачивающего кровь по телу. В таких случаях могут быть проведены:
- Перикардиоцентез - изъятие выпота с помощью иглы, вводимой под контролем УЗИ.
- Создание перикардиального окна - проведение операции по удалению части перикарда - сердечной оболочки. В ее ходе создается отверстие, которое позволяет жидкости не накапливаться, а стекать в грудную клетку или живот.
Удаление метастазов при раке легких
В отличие от обычных, нормальных клеток, раковые умеют перемещаться по организму. Они попадают в сосуды кровеносной и лимфатической Лимфатическая система дополняет сердечно-сосудистую. Циркулирующая в ней лимфа - межклеточная жидкость - омывает все клетки организма и доставляет в них необходимые вещества, забирая отходы. В лимфатических узлах, выполняющих роль «фильтров», опасные вещества обезвреживаются и выводятся из тела. систем, с их помощью распространяются в различные области, закрепляются в них и создают метастазы - дополнительные опухоли. Как правило, их возникает несколько, они повреждают большое количество тканей, и даже самый опытный врач не может удалить все пораженные участки.
Обычно операция имеет смысл только в том случае, если подобный очаг один, он располагается в мозге, его можно изъять без повреждения жизненно важных отделов органа, а основное новообразование в легком - полностью вылечить хирургически или с помощью лучевой и химиотерапии.

Где делают операции по удалению опухолей легких?
Удаление раковой опухоли легких или метастазов - сложное вмешательство, которое может выполняться только опытными хирургами в специализированных клиниках, государственных или частных.
В крупных бюджетных медицинских организациях есть все возможности для проведения подобных операций, но сроки их выполнения и условия пребывания в больнице нередко оставляют желать лучшего.
Тем, кто не хочет терять драгоценное время и дни своей жизни на ожидание, мы предлагаем пройти лечение в онкологическом центре «Лапино-2».
У нас есть все необходимые врачи - настоящие профессионалы своего дела с огромным стажем в области диагностики и борьбы с раком, самое современное оборудование и собственная лаборатория, сокращающая сроки получения результатов исследований до минимума.
Мы не создаем очереди, быстро выполняем все процедуры и проводим не только хирургическое, но и другое лечение онкологии, включая химио-, иммуно- и таргетную терапию с использованием оригинальных препаратов, дающих предсказуемый результат.
Наши специалисты в совершенстве владеют самыми передовыми инновационными техниками и выполняет любые вмешательства, а персонал делает все, чтобы нахождение в Центре было максимально комфортным для каждого посетителя.
Выписка после операции при раке легких
После того, как самочувствие пациента стабилизируется и позволяет проводить выписку, врачи уточняют сроки ближайшего приема и отправляют его домой. Как правило, это происходит на 5-10 сутки после вмешательства.
Сроки реабилитации зависят от типа перенесенной операции и количества удаленных тканей. Например, на возвращение к привычному образу жизни и полное выздоровление после пульмонэктомии может потребоваться от нескольких недель до месяца.
Что нужно делать после возвращения из клиники?
- Вставать и ходить как минимум несколько раз в день - движение крайне важно для восстановления и налаживания правильной работы дыхательной системы.
- Не поднимать ничего тяжелого на протяжении нескольких недель.
- Следовать всем инструкциям врача по приему препаратов, диете, уходу за ранами и дренажом - мягкой трубкой, через которую выходит образующаяся во время заживления жидкость.
- Выполнять назначенные дыхательные упражнения.
- Немедленно звонить врачу при: затруднении дыхания, повышении температуры, отеках - скоплении жидкости в некоторых областях тела, одышке - ощущении нехватки воздуха, тошноте или рвоте, а также кашле с отделением мокроты или без нее.
- Связываться с доктором при появлении любых вопросов - о симптомах, самочувствии и приеме любых лекарств, в том числе витаминов и добавок.
Обращаться за неотложной медицинской помощью необходимо при:
- Появлении кашля с кровью или коричневой мокроты.
- Головокружениях, обмороках или предобморочных состояниях.
- Нарушении частоты сердцебиения.
- Сильной боли в области грудной клетки.
- Опухании, покраснении, боли или повышенной чувствительности в ноге.
- При открытии раны, покраснении, опухании или выделении из нее гноя.
Риски и побочные эффекты операции на легких при раке
Операция по удалению раковой опухоли легких - серьезное вмешательство, которое может привести к развитию серьезных побочных эффектов. Количество и тяжесть таких последствий зависят в том числе от объема удаляемых тканей и общего состояния здоровья человека.
В течение первых нескольких дней после ее проведения пациент может ощущать не только дискомфорт, но и боль - в груди, руке, в области разреза или дренажной трубки, которая выводит жидкость, образующуюся во время заживления раны.
К рискам и возможным побочным эффектам хирургических процедур при онкологии дыхательных путей относят:
Удаление злокачественных опухолей легкого
Операции при злокачественных опухолях легких — сложные хирургические вмешательства, которые сопровождаются риском серьезных осложнений и требуют длительного восстановительного периода. Их могут выполнять только торакальные , имеющие соответствующий опыт, в клиниках, где есть операционные, оборудованные соответствующим образом. Существуют малоинвазивные техники, которые позволяют снизить риски и сократить восстановительный период.

В международной клинике Медика24 для этого есть все необходимое. В наших операционных установлена современная аппаратура экспертного класса от ведущих мировых производителей. У нас работают ведущие врачи, которые могут правильно оценить состояние пациента, определить оптимальный объем хирургического вмешательства, правильно подготовить к нему больного. Они выполняют операции любой степени сложности, в том числе малоинвазивные, торакоскопические.
Радикальные операции являются основным методом лечения при ранних стадиях немелкоклеточного рака легкого (НМРЛ) — это наиболее распространенная форма заболевания, на нее приходится 85% случаев. При мелкоклеточном раке легкого (МРЛ), на который приходятся оставшиеся 15%, показания к хирургическому вмешательству намного более ограничены. Такие злокачественные опухоли на момент установления диагноза обычно уже успевают сильно распространиться в организме и являются неоперабельными. Мелкие единичные новообразования, которые можно удалить, встречаются менее чем у одного из 20 пациентов.
Как пациента готовят к операции по поводу рака легкого?
Перед хирургическим вмешательством больной проходит всестороннее обследование, которое помогает оценить размер, локализацию, количество опухолевых очагов, стадию заболевания, выявить очаги в регионарных лимфатических узлах и отдаленные метастазы. Это помогает разобраться, возможна ли радикальная операция в данном случае, и какой вариант хирургического вмешательства оптимален. Применяют такие методы диагностики, как компьютерная томография, томография, , цитологическое исследование мокроты, биопсия ткани легкого. Могут быть назначены эндоскопические исследования: бронхоскопия, эзофагоскопия (исследование пищевода), эндоУЗИ. Чтобы оценить состояние внутригрудных лимфатических узлов, выполняют медиастиноскопию. Торакоскопия позволяет провести биопсию, оценить состояние плевры.

Также в предоперационное обследование входят:
- Функциональные легочные тесты. Они помогают оценить дыхательную функцию, выяснить, сможет ли ее обеспечить оставшаяся легочная ткань.
- Оценка состояния системы и других внутренних органов.
- Стандартное предоперационное обследование, которое включает общий и биохимический анализы крови, общий анализ мочи, исследование свертываемости, группы крови, , тесты на инфекции (ВИЧ, сифилис, вирусные гепатиты).
Хирург должен выяснить, какими сопутствующими заболеваниями страдает пациент, какие лекарственные препараты он постоянно принимает, есть ли у него аллергические реакции на лекарства.
Предварительно врач объясняет пациенту, какой вид операции планируется, с какой целью, каковы возможные риски, какие могут быть осложнения, последствия. Получив от доктора всю необходимую информацию, пациент или его законный представитель должен подписать информированное письменное согласие.
Как показывает статистика, удаление злокачественных опухолей легких возможно лишь примерно у 30% пациентов. У остальных противопоказаниями к радикальной операции становятся:
- прорастание злокачественной опухоли в соседние органы, в результате чего ее невозможно удалить полностью;
- злокачественная опухоль в пределах легкого, которая неоперабельная размеров, особенностей локализации;
- множественные метастазы;
- выраженная дыхательная, недостаточность;
- тяжелые поражения внутренних органов.
Разновидности операций по удалению злокачественных опухолей легких
Все хирургические вмешательства при злокачественных опухолях легких выполняются под общей анестезией. Объем операций бывает разным, в зависимости от размера, локализации злокачественного новообразования, функционального состояния легких. Обычно хирурги стремятся выполнить вмешательство в максимально возможном объеме, так как за счет этого удается с максимальной вероятностью удалить всю опухолевую ткань и добиться минимального риска рецидива.
- — предпочтительное и наиболее распространенное хирургическое вмешательство при раке легкого. Во время него удаляют долю органа. Анатомически правое легкое состоит из трех долей, левое — из двух долей, разделенных бороздами.
- Пневмонэктомия (пульмонэктомия) — удаление всего легкого. Такое вмешательство может быть показано при центральном раке легкого. — удаление сегмента легкого. Эту операцию также называют клиновидной резекцией, во время нее удаляют часть доли. Таким хирургическим вмешательствам отдают предпочтение, когда нужно максимально сохранить легочную ткань, если есть риск того, что она не сможет полноценно справляться со своей функцией после удаления целой доли.
- Рукавная лобэктомия является альтернативой пневмонэктомии, когда злокачественная опухоль находится в главном или долевом бронхе. Хирург пересекает бронх выше и ниже пораженного участка и удаляет его. Затем соединяют оставшиеся концы.
Во время всех этих операций, помимо легочной ткани, удаляют близлежащие лимфатические узлы, так как в них тоже могут находиться раковые клетки.
Читайте также:

