Диагностика плеоморфной ксантоастроцитомы по КТ, МРТ, ангиограмме
Добавил пользователь Владимир З. Обновлено: 01.01.2026
Относительно новая нозологическая единица в нейроонкологии, включенная в классификацию опухолей мозга WHO classification of CNS tumours в 2016 году при очередном ее пересмотре (актуальный вариант). Это не означает, что ранее этой опухоли не было. Дело в том, что она встречается очень редко (к настоящему времени описано не более 100 подобных опухолей, суммарно как первично развывшихся, так и возникших в результате озлокачествления плеоморфной ксантоастроцитомы (РХА) grade II). Эти случаи регистрировались морфологами как «плеоморфная ксантоастроцитома с анапластическими чертами» или в схожей формулировке. Мне удалось собрать и проанализировать наибольшую мировую серию пациентов с аРХА (более 40 наблюдений).
Клиническая симптоматика анапластической плеоморфной ксантоастроцитомы
Манифестация аРХА зависит от локализации опухоли и природы ее возникновения. Если речь идет о малигнизации (озлокачествлении) имеющейся РХА, то обычно эти опухоли проявляются симптоматической эпилепсией. В случае первично возникшей аРХА, неврологический дефицит проявляется «выпадением» той функции, в представительстве которой локализуется опухоль и зона ее перифокального отека - двигательной, чувствительной, речевой, зрительной.
Общим для каждого из этих вариантов является общемозговая симптоматика - головная боль с возможной тошнотой и рвотой на высоте боли.
Диагностика анапластической плеоморфной ксантоастроцитомы
Наиболее информативным методом диагностики аРХА является МРТ головного мозга с контрастным усилением.
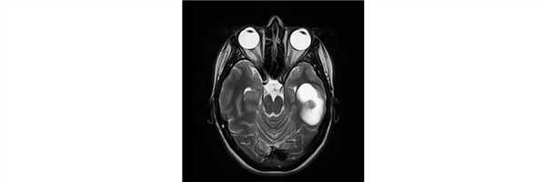
Анализ всех доступных снимков совместно с моими коллегами нейрорентгенологами позволил установить, что аРХА не имеет каких-либо специфических признаков при МРТ и ПЭТ-исследовании и не отличима по данным нейровизуализации от других злокачественных глиом (напр., анапластическая астроцитома или глиобластома). Это опухоль, которая примерно в 40% случаев имеет кистозный компонент; солидная ее часть интенсивно накапливает контрастный препарат. Опухоль окружена зоной перифокального отека.
Морфо-генетическая диагностика анапластической плеоморфной ксантоастроцитомы
выявляет картину злокачественной глиомы, состоящей из клеток с плеоморфными ядрами и многоядерных гигантских клеток.
Важной особенностью этих опухолей является наличие более чем в половине случаев мутации BRAF V600E, которая определяет возможность проведения таргетной терапии.
Лечение анапластической плеоморфной ксантоастроцитомы
Основной целью операции является максимально радикальное удаление опухоли, которое не приведет к возникновению нового/усугублению имеющегося неврологического дефицита. Для этой цели используются различные методики, например, интраоперационный нейрофизиологический мониторинг или операции с пробуждением пациента.
Операция служит цели уменьшения объема опухоли (в идеале - тотального удаления) для оптимизации и повышения эффективности дальнейшей адъювантной (лучевой и химиотерапии).
В большинстве случаев операция не сопровождается кровотечением; ткань опухоли обычно мягкая и при ее локализации вне функционально значимой зоны хирургическое вмешательство не сопряжено со значительными трудностями.
Полученная ткань опухоли подвергается морфо-генетическому исследованию, на основании которого устанавливается диагноз аРХА и ее принадлежность к группе BRAF-позитивных или негативных опухолей.
Поскольку мировой опыт в лечении пациентов с аРХА невелик и ограничивается примерно сотней случаев (согласно опубликованным данным), в настоящее время не существует утвержденного протокола ведения таких больных.
Послеоперационное лечение проводится по схеме, принятой для злокачественных глиом grade IV: комбинированная химиолучевая терапия (лучевое лечение в дозе 54-60 Гр за 30 сеансов + химиотерапия темозоломидом с последующей сменой на бевацизумаб или препараты другого действия).
В группе BRAF-позитивных пациентов также возможно проведение таргетной терапии (напр., вемурафениб), результаты лечения в этой группе больных более благоприятные.
Клинические случаи лечения анапластической плеоморфной ксантоастроцитомы из практики Беляева А.Ю.:
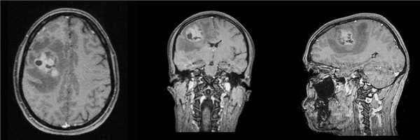
Пациентка 32 лет в течение месяца отмечает появления головной боли, сопровождающейся тошнотой и головокружением. Консультирована неврологом, направлена на МРТ, при которой выявлена внутримозговая опухоль правой заднелобной области, накапливающая контрастное вещество, с выраженным перифокальным отеком.

Пациентке проведена операция - микрохирургическое удаление опухоли правой лобной доли с использованием интраоперационного нейрофизиологического мониторинга.
Гистологический диагноз - морфологическая картина и иммунофенотип в большей степени соответствуют анапластической плеоморфной ксантоастроцитоме, WHO Grade III.
Молекулярно-генетическое исследование мутационного статуса методом ПЦР в режиме реального времени мутации гена BRAF V600E не выявлено.
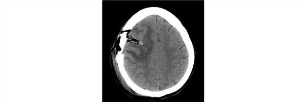
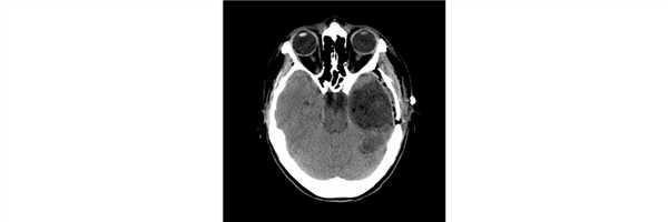
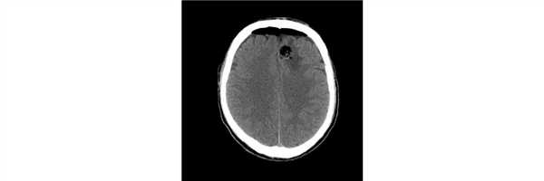
При контрольной СКТ данных за остатки опухоли/послеоперационные осложнения не получено.

В послеоперационном периоде отмечается появление легкой асимметрии лица за счет левой его половины, практически полностью регрессировавшее к моменту выписки из стационара на 6 сутки.
При контрольной МРТ с контрастным усилением через 2 месяца данных за остатки опухолевой ткани не получено.

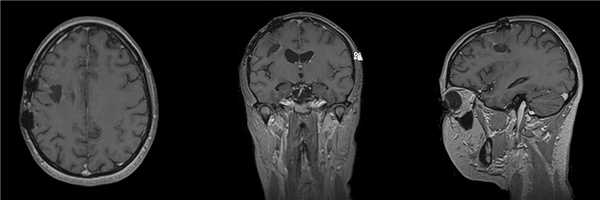
Пациентка 31 года, приступы утраты сознания с частотой около 2 раз в месяц беспокоят в течение 1,5 лет.
При МРТ выявлена опухоль левой височной доли с небольшим кистозным компонентом.


Пациентке проведена операция - микрохирургическое удаление внутримозговой опухоли левой височной доли
Гистологический диагноз - анапластическая плеоморфная ксантоастроцитома WHO grade III, BRAF-позитивная.
В послеоперационном периоде появления неврологического дефицита не отмечено.
При контрольной СКТ данных за остатки опухолевой ткани/ послеоперационные осложнения не получено.
Пациентка выписана на 7 сутки после операции.
В послеоперационном периоде проводилась лучевая, химиотерапия и таргетная терапия.

Пациент 38 лет дважды оперирован по месту жительства по поводу опухоли правой теменно-затылочной области, выполнена резекционная трепанация черепа (гистологический диагноз - SEGA - субэпендимарная гигантоклеточная астроцитома). Вторая операция осложнилась развитием раневой ликвореи и менингита. Дефект черепа не закрыт. Адъювантная терапия не проводилась. При контрольной МРТ картина рецидива опухоли с крупным кистозным и солидным компонентом.
Проведена операция - микрохирургическое удаление опухоли правой теменно-затылочной области с использованием нейрофизиологического мониторинга
Послеоперационный период протекал без осложнений. При контрольной СКТ картина радикального удаления опухоли.
Гистологический диагноз - морфологическая картина, иммунофенотип и данные молекулярно-генетического исследования в большей степени соответствуют анапластической плеоморфной ксантоастроцитоме, WHO Grade III, BRAF-мутантной. Рекомендуется предоставить препараты от первых операций.
В препаратах от предыдущих операций идентичная преимущественно веретеноклеточная опухоль с участками выраженного полиморфизма ядер и клеток. Проведено сравнение препаратов предыдущих операций с препаратами от настоящего вмешательства - картина опухолей идентична и соответствует анапластической плеоморфной ксантоастроцитоме.
Пациент после выписки направлен на проведение адъювантной терапии (в т.ч. тартегтной терапии).
Плеоморфная ксантоастроцитома
- оптимальный метод лечения - радикальное удаление опухоли. Лучевая и химиотерапия не показали статистически достоверных результатов в улучшении прогноза лечения, однако могут быть назначены в случаях рецидива или неполного удаления ТОЛЬКО решением консилиума врачей
Что такое плеоморфная ксантоастроцитома?
Плеоморфная ксантоастроцитома - редкая доброкачественная (grade II) опухоль центральной нервной системы. Она может локализоваться во всех отделах ЦНС, но наиболее часто обнаруживается в височной доле; при этом инфратенториально (в мозжечке и стволе мозга) она встречается крайне редко - лишь в 8% случаев. В четверти случаев имеет кистозный компонент.
Средний возраст, в котором диагностируется плеоморфная ксантоастроцитома (РХА) - 20 лет. В половине случаев пациенты отмечают головную боль как первый симптом заболевания, еще почти в 30% опухоль манифестирует эпилептическим синдромом.
Диагностика плеоморфной ксантоастроцитомы
Оптимальным методом диагностики является МРТ головного мозга с контрастным усилением: плохо дифференцируемый узел опухоли в стандартных режимах МРТ (T1WI и T2WI) ввиду его изоинтенсивности мозговой ткани активно накапливает контрастный препарат при введении.
Вследствие активного контрастирования и частого вовлечения оболочек мозга, бескисктозные РХА часто могут быть приняты за менингиомы.
Гистологическая и молекулярно-генетическая диагностика: с учетом крайней редкости встречаемости РХА (около 1% от всех астроцитом), исследование биопсии опухоли предпочтительно выполнять в референсных центрах. Зачастую диагноз может быть установлен неверно (чаще всего выставляется более злокачественная форма другой опухоли - анапластическая астроцитома, хотя возможен ряд других неточных диагнозов).
РХА в 70% случаев характеризуется наличием мутации BRAF V600E, что позволяет уточнить диагноз (в тех лабораториях, где подобные исследования проводятся).
Как и для других доброкачественных опухолей, оптимальной тактикой является радикальное удаление опухоли. Этот вариант не всегда возможен, если опухоль расположена вблизи функционально значимых зон мозга или прорастает их. Ряд исследований однозначно показал существенно более высокие результаты лечения у пациентов после радикального удаления опухоли.
Проводится в случае рецидива при частично удаленной опухоли. При этом статистически достоверного влияния на продолжительность жизни данный вид лечения не продемонстрировал.
Проводилась незначительному количеству пациентов с РХА. Редкость встречаемости данной патологии не позволяется провести мультицентровое исследование эффективности применения химиотерапевтических агентов. Следует отметить, что на основании ограниченного объема данных, химиотерапия, как и лучевая терапия, не показала влияния на прогноз лечения в группе пациентов с РХА.
Плеоморфная ксантоастроцитома обладает потенциалом к малигнизации - переходу в более злокачественную форму - анапластическую плеоморфную ксантоастроцитому (аРХА). Частота подобной трансформации установлена неточно ввиду крайне редкой встречаемости этих опухолей, но, по данным отдельных работ, может достигать 20%.
аРХА более злокачественная форма опухоли и ее лечение обычно включает лучевую, химиотерапию и (при наличии мутации BRAF V600E) ингибиторы BRAF, например вемурафениб или дабрафениб. Возможность применения этих препаратов у пациентов с РХА должна обсуждаться индивидуально с лечащим врачом (химиотерапевтом/онологом).
ВАЖНО! Несмотря на доброкачественный характер плеоморфной ксантоастроцитомы, крайне важно продолжать активное наблюдение после хирургического лечения, регулярно выполняя контрольные МР-исследования. Решение о проведении адъювантной терапии, ее сроках и видах должно приниматься исключительно на консилиуме в составе нейрохирурга, радиолога и химиотерапевта (онколога).
Клинические случаи лечения плеоморфной ксантоастроцитомы из практики Беляева А.Ю.:
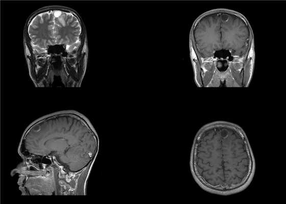
Пациент 20 лет дважды перенес эпилептический приступ - за 2 из 6 месяцев до консультации. По рекомендации невролога после второго приступа выполнил МРТ головного мозга, при которой выявлена внутримозговая опухоль левой лобной доли.

Проведена операция - радикальное удаление опухоли. Гистологический диагноз - плеоморфная ксантоастроцитома. Контрольная СКТ головного мозга не выявила остатков опухоли/послеоперационных осложнений.
Пациент выписан на 5 сутки после операции без неврологического дефицита.

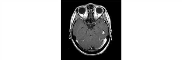
Пациентка 45 лет. Начало заболевания 9 месяцев назад в виде первично-генерализованного приступа. За медицинской помощью не обращалась. Повторный приступ 10 дней назад. Консультирована неврологом, направлена на МРТ, при которой выявлена внутримозговая опухоль левой височной доли с перифокальным отеком
Проведена операция - микрохирургическое удаление опухоли левой височной доли с УЗ-сканированием.
В послеоперационном периоде появления неврологического дефицита отмечено не было.
При контрольной СКТ данных за остатки опухолевой ткани/послеоперационные осложнения не получено.
Гистологический диагноз: плеоморфная ксантоастроцитома, WHO Grade II без мутаций генов IDH1/2, BRAF, H3F3A, TERT и без амплификации EGFR.
Пациентка выписана на 3 сутки после операции.
Диагностика плеоморфной ксантоастроцитомы по КТ, МРТ, ангиограмме
Анапластическая плеоморфная ксантоастроцитома (аПКСА) — редко выявляемая опухоль, и объективных данных о частоте этой патологии к настоящему времени в литературе нет.
ЦЕЛЬ ИССЛЕДОВАНИЯ
Изучить нейровизуализационные и морфологические особенности аПКСА, а также факторы, влияющие на лечение и прогноз.
МАТЕРИАЛ И МЕТОДЫ
Данное ретроспективное исследование базируется на результатах изучения серии из 42 пациентов, оперированных в ФГАУ «НМИЦ нейрохирургии им. акад. Н.Н. Бурденко» Минздрава России за период 2003—2020 гг. Проанализированы магнитно-резонансные характеристики аПКСА. Всем пациентам проведена операция по удалению опухоли, при этом в 83,3% случаев — радикально. Повторные операции выполнены примерно у 30% больных. Всем больным проведено исследование мутационного статуса BRAF V600E. Адъювантная лучевая и химиотерапия выполнена более чем в 80% случаев, применение ингибиторов протеинтирозинкиназы — в 19%. Глубина катамнеза составила 152 мес, медиана катамнеза — 34 мес.
РЕЗУЛЬТАТЫ
При анализе магнитно-резонансных изображений не удалось выявить патогномоничные для этой нозологии особенности, поскольку аПКСА имеют те же сигнальные характеристики, что и другие злокачественные глиомы. Статус мутации V600E BRAF оказался положительным в 54,8% случаев; ни в одном из исследуемых случаев не обнаружена мутация IDH1. Среднее значение индекса пролиферативной активности KI-67 составило 12,5%, медиана общей выживаемости — 79 (4—152) мес, при этом 7 (17%) пациентов оставались живы >90 мес. Статистически значимо влияли на прогноз лечения и общую выживаемость только пролиферативная активность опухоли (оцениваемая с помощью индекса Ki-67) и наличие мутации BRAF вне зависимости от применения ингибиторов протеинтирозинкиназы.
ЗАКЛЮЧЕНИЕ
Возраст, радикальность резекции и применение адъювантной терапии статистически значимо не влияли на общую выживаемость пациентов со злокачественными глиомами. Возможно, поиск новых молекулярно-генетических особенностей позволит выявить дополнительные значимые факторы, определяющие прогноз лечения пациентов с анапластическими плеоморфными ксантоастроцитомами.
Плеоморфная ксантоастроцитома (ПКА) - тип редких астроцитом низкой степени злокачественности (2 тип по ВОЗ), выявляемый у пациентов младшего возраста, страдающих височной эпилепсией.
ПКА представляют собой кортикальные опухоли с кистозным компонентом и ярко выраженным накоплением контрастного вещества. Могут иметь место признаки медленного роста, проявляющиеся в отсутствии окружающего отека и фестончатым краем прилегающей кости. Возможно реактивное вовлечение твердой мозговой оболочки, что выражается в виде «дурального хвоста». Кальцификация встречается редко.
Эпидемиология
Данный тип опухолей является редким и составляет примерно 1% от всех опухолей головного мозга. Обычно ПКА выявляются у пациентов младшего возраста (дети или молодые люди) с пиковой частотой, приходящейся на вторую-третью декаду жизни (период 10-30 лет).
Клиническая картина
Поскольку у ПКА существует предрасположенность к локализации в височной доле, наиболее часто пациенты имеют в анамнезе эпилептические приступы (75%). Среди других симптомов можно выделить головокружения, головные боли, и в некоторых случаях течение может быть бессимптомным.
Патология
Степень злокачественности
ПКА являются опухолями 2 степени злокачественности по классификации ВОЗ. Если наблюдается большее количество митозов (>5 митозов в 10 полях зрения), то в таком случае стоит рассматривать диагноз анапластической плеоморфной ксантоастроцитомы.
Локализация
Подавляющее количество ПКА располагаются супратенториально (98%), обычно поверхностно, примыкая к лептоменинксу, с вовлечением коры, но фактическое вовлечение твердой мозговой оболочки встречается редко. Примерно половина ПКА расположены в височной доле; при вневисочной локализации расположение в лобных долях превалирует над таковым в теменных.
Макроскопические признаки
Макроскопически данный тип опухолей хорошо отграничен от мозговой паренхимы, с кистозным компонентом и вовлечением выжележащего лептоменинкса.
Микроскопические признаки
Микроскопически края опухоли визуализируются не так хорошо. Гистологические признаки варьируют (отчего и названы «плеоморфными»); определяются веретенообразные, полигональные, многоядерные клетки, ксантоматозные астроциты, загруженные липидами. Еще более плеоморфным является появление ядер с нетипичными включениями, размеры ядер варьируют.
Иммунофенотип
Иммуногистохимические исследования образцов ПКА выявляют реактивность на глиальные маркеры. Также имеет место вариабельная реактивность на маркеры нейронов.
- GFAP: положительны, хотя часто достаточно слабо;
- S100: положительны;
- нейрональные маркеры, включая синаптофизин, МАР2 и нейрофиламент: вариабельны.
- Пролиферативный индекс Ki-67:
Генетика
Плеоморфные ксантоастроцитомы, также как в случае с пилоцитарными астроцитомами (и другие опухоли происхождения вне ЦНС), ассоциированы с мутациями в гене BRAF. Существует единственный случай, ассоциированный с нейрофиброматозом 1 типа.
Диагностика
ПКА визуализируются в виде солидных узлов, накапливающих контрастное вещество, часто с периферическим эксцентрично расположенным кистозным компонентом (50-60%). Вследствие их периферического расположения и вовлечения лептоменинкса ПКА могут демонстрировать признак «дурального хвоста». Данный признак является следствием реактивности, а не истинного вовлечения твердой мозговой оболочки, что бывает достаточно редко. Поскольку данному типу опухоли характерен медленный рост, имеет место поверхностное ремоделирование прилегающей кости; степень вазогенного отека варьирует.
Компьютерная томография
ПКА обычно гипо- или изоденсны, демаркация выражена в разной степени, обычно с минимальным отеком (или его отсутствием). Кальцификация встречается редко. Вследствие поверхностного расположения может наблюдаться фестончатый край внутренней поверхности прилегающей кости.
- Т1: солидный компонент изо- или гипоинтенсивный по отношению к серому веществу; кистозный компонент имеет низкую интенсивность сигнала, лептоменингеальное вовлечение в 70% случаев;
- Т1 с парамагнетиками: выраженное накопление контрастного вещества в солидном компоненте;
- Т2: солидный компонент изо- или гиперинтенсивный по отношению к серому веществу; кистозный компонент имеет высокую интенсивность сигнала; на Т2 FLAIR кистозные компартменты гиперинтенсивны по отношению к ЦСЖ из-за высокого содержания белков; небольшой вазогенный отек;
Цифровая субтракционная ангиография
Несмотря на ярко выраженное накопление контрастного вещества, при ангиографическом исследовании область, соответствующая ПКА, является аваскулярной.
Лечение и прогноз
Несмотря на то, что при хирургической резекции опухоли прогноз благоприятный, с 5-летней выживаемостью пациентов в 90% и с 5-летней безрецидивной выживаемостью в 70%, возможны рецидив и злокачественная трансформация (в опухоли 3 степени злокачественности по ВОЗ или глиобластому), что составляет примерно 20% случаев.
Ни лучевая терапия, ни химиотерапия не оказывают существенного влияния на эти опухоли, хотя лучевая терапия может играть определенную роль у пациентов с неполной резекцией или с рецидивами.
Статья написана по книге Власова Е.А. "Опухоли мозга. КТ- и МРТ-диагностика" посмотреть / заказать
Номенклатура
Опухоли нейроэпителиальной ткани / Плеоморфная ксантоастроцитома МКБ/О / 9424/3 (G II)
Определение
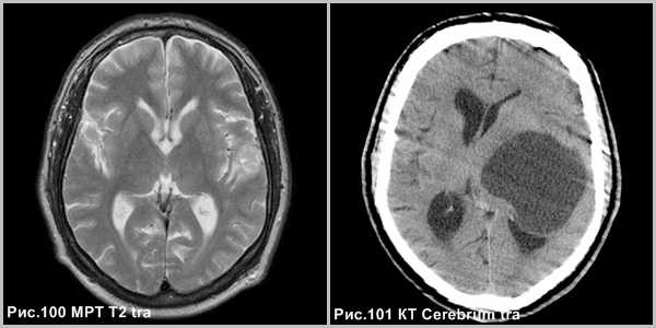
Плеоморфная ксантоастроцитома чаще кистозная (рис.101), реже солидная опухоль (рис.100) с излюбленной локализацией в височной доле, встречается в молодом возрасте.

Эпидемиология
Менее 1% от всех глиом. Возрастной интервал встречаемости: молодой, но не детский возраст. Пиковый возраст 20 лет.
Морфология и биологическое поведение
КТ и МРТ проявления плеоморфной ксантоастроцитомы (ПКА): большая полушарная масса, тесно связанная с поверхностью мозга, с возможным участием ТМО. Поражение может быть неоднородным из-за образования кисты и кальцификации. В большинстве случаев, опухоль будет иметь вид кисты с пристеночным узлом, похожий на пилоцитарную астроцитому, с узелком, примыкающим к поверхности мозга. Хотя и в исключительных случаях, имеются чисто солидные ПКА [137]. Кистозное содержимое не отличается сигналом от ликвора [2].

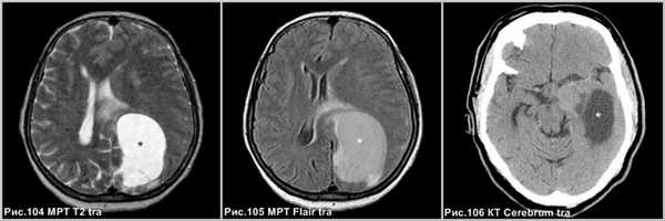
Крупная опухолевая киста, расположенная в теменно-затылочной области левого полушария большого мозга изоинтенсивная ликвору по Т2 и имеющая повышенный МР-сигнал по Flair (звёздочки на рис.104, 105), не сопровождающаяся перифокальным отёком. Кистозная опухоль левой височной доли, незначительно гиперденсна относительно ликвора (звёздочка на рис.106).
Поверхностная часть опухоли обычно простирается в субарахноидальное пространство. Ангиография показывает, что эти опухоли гиперваскуляризированны и получают кровоснабжение от менингеальных артерий. Характеристики МР-сигнала: →T1 и↑Т2 по отношению к серому веществу. Визуализационные особенности: отсутствие перитуморального отека и атрофия смежных поверхностей свода черепа [48].

Локализация
Локализуется в коре и прилежащем белом веществе, прорастая в мягкие мозговые оболочки, в 98% супратенториально [2]. Примерно половина находится в височной доле с пристрастием [83]. Редко, эти опухоли могут возникать в мозжечке и спинном мозге [48].
Контрастное усиление

ПКА интенсивно накапливает контрастный препарат (стрелки на рис.110, 111 и 112). “Дуральный хвост” характерная особенность ПКА (головки стрелок рис.110, 112). Стенка кисты опухоли интенсивно накапливает контраст (стрелки на рис. 113-115).

Неравномерное и неоднородное накопление контрастного препарата. Может наблюдаться отсутствие контрастирования некоторых участков стромы опухоли. Патогномонично контрастирование прилежащей ТМО ("дуральный хвост") - как признак инфильтрации мозговых оболочек [2], Другое мнение, что это реактивные изменения, а не следствие прямого дурального вторжения, которое бывает редко [148]. Стенки кисты могут быть усилены или не накапливают контрастный препарат [48].
Дифференциальная диагностика
Поверхностное расположение ПКА и вовлечение ТМО являются основной дифференциальной особенностью этой опухоли [137].
Диффузная астроцитома
Низкосортная астроцитома не накапливает контрастный агент, не имеет узла, может поражать кору и белое вещество, но не вовлекает лептоменинкс.

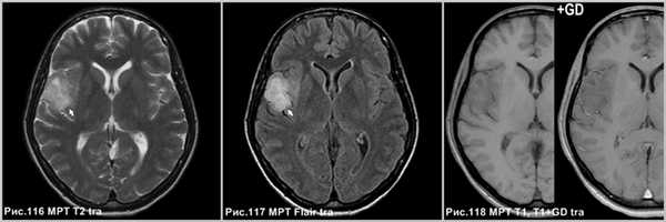
Фибриллярная астроцитома в виде диффузного поражения правой височной доли (стрелки на рис.116-117), не накапливающее контраст (рис.118).
Глиобластома
Глиобластома - злокачественная опухоль с быстрыми темпами роста, центральным некрозом, кольцевидным типом контрастирования, а так же выраженным перифокальным отёком.

Глиобластома представлена образованием с центральным некрозом (звёздочка на рис.119) и перифокальным отёком (головка стрелки на рис.119), интенсивно накапливающее контраст (головка стрелки на рис.120) по периферии с отсутствием в центре (звёздочка на рис.121) из-за некротического распада. ПКА накапливает контраст интенсивно и обозначает кисту с гладкими стенками (головки стрелок на рис.121).
Менингиома
В отличии от ПКА - менингиома чаще солидная опухоль, и лишь в редких случаях содержит кисты; контрастируется гомогенно, так же имеет “дуральный хвост”, редко сопровождается перифокальным отеком.

Менингиома чаще не сопровождается отёком (стрелка на рис.122) и гомогенно накапливает контрастный агент (звёздочка на рис.124), а так же имеет “дуральные хвосты” (стрелки на рис.124), подобно ПКА (головка стрелки на рис.124). Менингиома и ПКА в режиме Flair (рис.123).
Олигодендроглиома
Отличительной особенностью олигодендроглиомы является содержание петрификатов, которое почти никогда не встречается в ПКА, при этом ОДГ почти не накапливает контрастный препарат при в/в усилении.

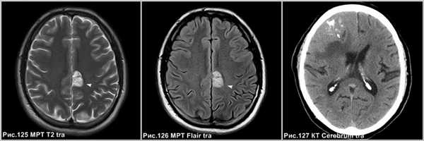
Олигодендроглиома в лобной доле левого полушария, имеющее повышенный МР-сигнал по Т2 и Flair (головка стрелки на рис.125-126) и содержит петрификаты (стрелки на рис.127).
Клиническая картина, лечение и прогноз
Клиническое течение является вялым, долгосрочный прогноз в большинстве случаев оправдан [48]. Наиболее часто в клинике присутствуют эпилептические припадки (в 71 - 78% случаев) [83].
Не смотря на то, что прогноз после хирургической резекции хороший (5-летняя выживаемость 70 -80%), местные рецидивы и злокачественная трансформация составляет до 20% случаев. Ни лучевая терапия, ни химиотерапия не оказывает значительного влияния на эти опухоли, хотя лучевая терапия может использоваться у пациентов с неполной резекцией или с рецидивом заболевания [91].
На ФДГ-ПЭТ ПКА являются гиперметаболическими по отношению к белому веществу. Это в основном используется для диагностики рецидив ПКА и позволяет прогнозировать агрессивное клиническое поведение. Стоит учитывать возможность злокачественной трансформации ПКА , даже если гистологические данные показывают доброкачественную опухоль. Последующие ФДГ-ПЭТ является обязательным в целях выявления рецидивов [48].
Источник
Полная или частичная перепечатка данной статьи, разрешается при установке активной гиперссылки на первоисточник
- вы потеряли описание вашего МРТ или КТ,
- врача не устроило описание вашего МРТ или КТ
- вы сомненеваетесь в выводах по результатам вашего МРТ,
Похожие статьи
Диффузная астроцитома - инфильтративная опухоль без четких границ в действительности, при относительной четкости границы макроскопической картины, распространенность ее клеток шире, медленно, однако неуклонно прогрессирующая до анапластической формы, поражающая любые отделы ЦНС, реже ствол мозга и затылочные доли.
Олигодендроглиома - диффузно растущая глиома с нечёткими контурами, характерной чертой которой является наличие обызвествлений в строме.
Глиобластома - опухоль высокой степени злокачественности, гетерогенного строения с центральным некрозом, быстрым инфильтративным ростом, перифокальным отеком и наихудшим прогнозом среди всех глиом.
Менингиома - округлое объемное образование с четкими и ровными контурами, исходящее из клеток твердой мозговой оболочки, чаще расположенное на широком основании и наличием петрификатов в строме, редко сопровождающееся перифокальным отеком.
Первичная лимфома ЦНС
Первичная лимфома ЦНС (ПЛЦНС) - инфильтрация лимфоцитами белого вещества головного мозга с формированием облаковидных зон и типичным поражением валика и колена мозолистого тела
Метастазы опухолей в мозг
Метастазы - очаги периферического распространения злокачественной опухоли с характерными чертами округлого образования, множественности поражения, перифокального отёка и масс-эффекта.
Читайте также:
- Всасывание. Функция всасывания кишечника. Транспорт питательных веществ. Щеточная кайма энтероцита. Гидролиз питательных веществ.
- Концепция вестибулярного тонуса. Значение вестибулярного тонуса в развитии головокружения
- Способы определения объема кровопотери
- Синдром Познера-Шлоссмана (Posner-Schlossman)
- Интенсивность и рисунок тени на рентгеновском снимке
