Диагностика причины болей в спине. Лазерная вапоризация.
Добавил пользователь Владимир З. Обновлено: 21.11.2025
Операция на спине - это сложное хирургическое вмешательство, которое назначают в тех случаях, когда консервативное лечение не принесло результата или состояние пациента достигло тяжелой стадии. Успех операции зависит от своевременного обращения пациента, вовремя выполненной процедуры и неукоснительному следованию рекомендациям врача в период реабилитации. Так как позвоночник отвечает за двигательную функцию организма, любые травмы или заболевания этой части тела могут привести к физическим ограничениям, вплоть до инвалидности.
За последнее десятилетие в России значительно улучшились условия для проведения комплексных хирургических вмешательств на позвоночнике. Цель хирургического лечения - купировать боль, восстановить двигательную функцию и тем самым улучшить качество жизни пациента.
Какие виды операций проводятся на позвоночнике
Существует несколько видов операций, которые проводятся на позвоночнике:
- Эндоскопическое удаление грыжи диска. Такая операция показана пациентам, у которых была обнаружена грыжа межпозвонкового диска. Патология возникает при выпадении фрагмента ядра диска, ведет к воспалению мягких тканей и болевым ощущениям. Операция длится около двух часов под общей анестезией. Через небольшой надрез кожи в области пораженного участка вводят эндоскопическое оборудование, с помощью которого удаляют образовавшуюся грыжу. Уже через несколько часов пациент может свободно двигаться.
- Нуклеопластика (плазменная, лазерная и гидромеханическая). Данный вид операций применяется как для удаления грыж, так и при межпозвонковых протрузиях. Боли, которые возникают в результате таких диагнозов, бесполезно лечить мазями, а болеутоляющие средства носят временный эффект и только усугубляют ситуацию, потому что пациент оттягивает со своевременным визитом к врачу. Операция длится не более двух часов и, в зависимости от сложности случая и стадии деформации, применяется плазменная, лазерная или гидромеханическая нуклеопластика.
- Микродискэктомия. Микродискэктомия - это малоинвазивная процедура по удалению грыжи, которая проводится под местной или общей анестезией через небольшой надрез на коже в месте пораженного сегмента.
- Радиочастотная термоаблация. Радиочастотная термоабляция позвоночника применяется для купирования болей в спине и для лечения онкологических заболеваний. Основной принцип работы метода заключается в том, чтобы прервать передачу ноцицептивных сигналов в центральную нервную систему, которые являются источником боли. Метод применяют при подиатрии, фасеточном синдроме, радикулопатии, дисфункции крестцово-подвздошного сустава.
- Лазерная вапоризация. Лазерная вапоризация - это один из способов лечения небольших грыж межпозвоночного диска. Методика считается безболезненной и эффективной. Для удаления грыж применяется специальное устройство с лазерным лучом, который направляют непосредственно на грыжу.
Есть и другие виды операций на позвоночнике. Например, вертебропластика. Процедура проводится посредством ввода в поврежденную костную ткань специального цементного состава для укрепления. А при необходимости закрепления некоторых отделов позвоночника применяется межостистая фиксация (для этого используются специальные конструкции).
Показания к проведению операций на позвоночнике
Реабилитация и результат хирургического вмешательства на позвоночнике
В зависимости от того, насколько сложным было хирургическое вмешательство, сроки реабилитации могут колебаться от нескольких дней до нескольких месяцев. При малоинвазивных процедурах, когда применяется местная анестезия, пациенты могут возвращаются к привычному образу жизни достаточно быстро. Ограничения, конечно, существуют, о них подробно рассказывает доктор, подбирая каждому пациенту индивидуальный курс реабилитации. В случае сложных операций по восстановлению подвижности позвонков или после установки фиксирующей конструкции позвоночника на восстановление потребуется несколько недель. На период реабилитации пациент ограничен в подвижности, а работать со своим телом и мышцами начинает под контролем специалиста ЛФК.
Лазерная вапоризация грыжи диска

Позвоночный столб - это главная ось нашего тела. На него приходится большая часть наших ежедневных нагрузок.
Именно поэтому с одной стороны позвоночник является самым крепким органом нашей опорно-двигательной системы, а с другой и самым хрупким.
По этой причине подавляющее большинство людей имеют самые разные заболевания позвоночника.
Одним из самых распространенных заболеваний такого рода является межпозвоночная грыжа.
Лечение грыжи может быть довольно трудным, особенно при запущенных случаях, поэтому стоит задуматься о терапевтическом курсе как можно раньше.
Что такое межпозвоночная грыжа?
Для того, чтобы понять, что такое межпозвонковая грыжа, разберемся в строении хрящевого диска.
Диск состоит из двух основных частей - внешней и внутренней. Внешняя часть диска - это фиброзное кольцо, а внутренняя - пульпозное ядро (своеобразная желеобразная масса). Когда диск подвергается изменениям дегенеративного характера, то хрящик диска начинает терять нормальную подвижность и эластичность (он словно «засыхает»). Такая потеря эластичности неминуемо ведет к деформации фиброзного кольца, его разрыву и смещению пульпозного ядра.
Когда пульпозное ядро как бы «выдавливается» сквозь появившиеся щели в кольце, оно начинает давить на нервные корешки спинного мозга. Такое сдавливание вызывает у пациента ярко выраженные боли, ограничение подвижности, а при запущенных случаях и нарушения в работе органов таза.

При грыже позвоночника пульпозное ядро диска выдавливается через трещины, образовавшиеся в фиброзном кольце
Хрящик может смещаться в любую сторону. Считается, что наиболее опасным является заднее смещение хряща, поскольку оно стремится к позвоночному каналу и сдавливает спинной мозг, а такой процесс может привести к параличу.
Наиболее распространенным видом межпозвоночной грыжи является пояснично-крестцовая. Реже встречаются шейные и грудные грыжи.
Из всего сказанного понятно, что грыжа довольно опасное заболевание, запущенность которого может привести к серьезным последствиям, поэтому не стоит откладывать лечение этого заболевания в долгий ящик. Лечение грыжи может быть консервативным и хирургическим (в зависимости от степени развития заболевания. В качестве хирургического метода сейчас широко применяется лечение грыжи лазером, как максимально безопасный способ устранения нарушений.
Лечение грыжи позвоночника лазером
По заверениям современных хирургов, лазер - это технология, которая может при минимуме травматичности избавить человека от многих недугов, в том числе и от грыжи позвоночника.
Видео: "Применение лазерной операции по удалению грыжи"
Суть метода и техника выполнения
Прежде, чем начинать операцию, пациент должен сдать ряд анализов и пройти диагностику. Это позволит учесть все особенности протекания болезни в конкретном клиническом случае, а также избежать неверного диагноза. Если после всех проведенных мероприятий хирург не обнаружит каких-либо противопоказаний к применению лазера, то можно назначать день операции.
За 12 часов до начала операции пациента помещают в стационар, чтобы лечащий врач смог провести необходимые консультации, рассказал пациенту как нужно питаться до операции и как после, а также объяснил особенности поведения после анестезии. За 10 часов до начала операции пациенту нельзя пить и есть.
Сам процесс будет проводиться при местной анестезии, поскольку общий наркоз в данном случае не требуется.
Когда наркоз подействует начнется введение иглы специального диаметра в диск, который подвергся деформации. После этого врач подведет к зоне деформации гибкий световод. Через этот севтовод будет идти особый поток энергии, который будет воздействовать на жидкость поврежденного диска и как бы «выпаривать» её.

При лазерной вапоризации выпаривается влага из диска, уменьшается его объем и следовательно давление на нервные окончания
Пар будет уходить через иглу, а грыжа при этом будет уменьшаться в размерах. Чем меньше будет становиться грыжа, тем меньше будет давление на соседствующие с ней нервные корешки, а это в свою очередь избавит пациента от болевого синдрома. Весь процесс операции будет контролироваться с помощью рентгеноборудования с минимальной лучевой нагрузкой.

Обратите внимание на структуру и состав тканей межпозвоночного диска
После завершения операции, пациент будет находиться в стационаре еще сутки. Врачи будут постоянно вести наблюдение за его состоянием. Ходить разрешат только к вечеру после операции, до этого момента больной должен только лежать.
Через сутки врач проведет необходимый осмотр и диагностические мероприятия, и, если никаких нарушений не выявится, пациента отправят домой на реабилитацию. Реабилитационные мероприятия должны проводиться месяц.
Видео: "Техника выполнения лазерной вапоризации диска"
Плюсы и минусы лазерной операции (риски)
Методы лечения лазером пришли в нашу медицину не так давно, поэтому многие задаются вопросом какие плюсы и минусы имеет такой способ устранения недуга.
- Низкая продолжительность всей операции;
- Хорошая переносимость такого типа лечения пациентами разного возраста;
- Улучшения становятся заметны уже после первой процедуры;
- Риск заражения крови минимален, практически нулевой;
- Позвоночник остается в стабильном состоянии;
- Окружающие повреждение ткани остаются целыми, поэтому у Вас не будет шрамов или рубцов;
- Пациент достаточно быстро возвращает свою способность, особенно после курса физиотерапии.
- Стоимость операции для многих пациентов достаточно высока;
- Высока возможность рецидива, особенно если пульпозное ядро достаточно велико;
- Стресс перед операцией и во время ее проведения, поскольку используется только местный наркоз;
- При слишком запущенных случаях лазерная коррекция не применяется.
Рекомендации к проведению лазерной операции Вам может дать только Ваш лечащий врач, при чем после проведения обширной диагностики и назначения большого числа анализов. Самостоятельно такое решение принимать нельзя, да и никакой хирург не возьмется за пациента, который лично решил прибегнуть к помощи такого типа операции. Поэтому обязательно консультируйтесь с Вашим лечащим врачом.
Показания к применению
Считается, что лазерная операция наиболее эффективна на ранних этапах развития межпозвоночной грыжи. Её применяют тогда, когда консервативные методы борьбы с заболеванием приносят малый прогресс или вовсе неэффективны.
Имеется ряд характерных симптомов, при которых назначают лазерное удаление грыжи:
- ;
- Характерное жжение и ощущение покалывания в области спины;
- Потеря или нарушение чувствительности в пораженной зоне;
- Частые головокружения.
Реабилитация
Любое хирургическое вмешательство требует от пациента в дальнейшем прохождения реабилитации. Реабилитационные меры Вам подберет специалист. Нужно помнить, что реабилитация важна также, как и сама операция (если даже не больше), поэтому обязательно придерживайтесь всех врачебных рекомендаций и следуйте правилам.
Реабилитация, которая проходится пациентом после лазерного воздействия на межпозвоночную грыжу, также имеет ряд основных и общих правил, которых важно придерживаться, если Вы хотите избежать рецидива:

- Ознакомьтесь с правилами реабилитации после лазерной вапоризации Следует пропить курс НПВС (нестероидные противовоспалительные средства), который Вам подберет врач;
- Помимо медикаментозного курса обязательно пройти курс физиотерапии. Такая терапия позволит запустить регенеративные процессы в организме, снять остаточное воспаление; - одно из самых важных реабилитационных мероприятий. Физкультура поможет вернуть нормальную подвижность вашему позвоночнику, при этом не перегружая его и не вызывая рецидив. Упражнения Вам поберет специалист (тоже самое касается физиотерапии);
- Правильный образ жизни тоже будет являться важным правилом при прохождении реабилитации и дальнейшем существовании. Обязательно нужно откорректировать режима труда и отдыха, изменить питание, чаще выбираться на свежий воздух и гулять, отказаться от курения и алкоголя;
Это общие рекомендации, которые назначаются всем пациентам после лазерной операции. Индивидуальные рекомендации Вам даст лечащий врач, в зависимости от конкретно Вашей клинической картины.
Противопоказания к применению лазерной коррекции
Считается, что лечение грыжи лазером показано подавляющему большинству пациентов вне зависимости от особенностей организма или протекания болезни. Однако не следует слепо верить этому утверждению.
Лазеротерапия имеет ряд противопоказаний, при которых ни в коему случае нельзя прибегать к этой операции. Вы должны сами осознавать всю серьезность заболевания, а также прислушиваться к своим ощущениям. Если есть сомнения, то можно проконсультироваться у нескольких врачей, а затем уже принять решение самому.
Итак, вот несколько противопоказаний, при которых не следует делать лазерную операцию:
- Возраст пациента превышает 50 лет;
- Пульпозное ядро окостенело;
- При характерном нарушении целостности фиброзного кольца, при котором ядро диска частично выпадает в канал спинного мозга;
- В организме имеется активный воспалительный процесс (не обязательно на позвоночнике);
- Пациент имеет симптомы поражения спинного мозга.
Это общие противопоказания, которые нужно учитывать всем пациентам. Помимо этих пунктов могут быть индивидуальные запреты, выявляющиеся обычно после проведения соответствующих диагностик или по результатам анализов. О них Вам скажет специалист.
Примерная стоимость лазерной операции
Цена за такое терапевтическое мероприятие варьируется. Обычно вариативность связана с опытностью врача-хирурга, известностью и репутацией клиники, сопутствующими диагностиками (порой требуется консультация врачей разного направления).

Стоимость процедуры по уменьшению грыжи в разных больницах может значительно разница Примерная стоимость операции в Москве:
- Центральная Железнодорожная больница №1 возьмет за такое мероприятие 20 тысяч рублей и больше;
- Центр Клинической Диагностики им. И. М. Сеченова за тоже самое хирургическое мероприятие предъявит пациенту чек в 85 тысяч и больше;
- Центральная больница Российской академии разорит Вас на 65 тысяч и более;
- Нейрохирургическая малоинвазивная клиника запросит более 55 тысяч рублей.
Это лишь примерные цены на услуги подобного рода. За конкретными цифрами Вам придется обращаться непосредственно в соответствующие клиники, но не факт, что Вам сразу дадут точные данные, поскольку в процессе обследования и консультаций могут выявиться моменты, влияющие на изменение цены как в большую, так и в меньшую (что происходит реже) сторону.
Заключение
Лазерная коррекция дефектов разного рода - это относительно новое и «модное» направление в нашей отечественной медицине. Лазер применяется для лечения и устранения множества деформаций и нарушений, начиная от кожных заболеваний и заболеваний глаз, до заболеваний суставов и позвоночника.
Удаление межпозвонковой грыжи при помощи лазера удовольствие достаточно дорогостоящее и неоднозначное, поэтому советуем Вам хорошо подумать прежде, чем решиться на ответственный шаг:
- Лазерное удаление межпозвоночной грыжи займет у Вас очень мало времени. Сама операция длится примерно час, стационарный режим в общей сложности займет примерно двое суток. Это является неоспоримым плюсом метода;
- Такой вид операции имеет ряд характерных преимуществ и недостатков. Вам стоит ознакомиться с ними прежде. чем задумываться о таком способе избавления от ненавистного недуга;
- Прежде, чем назначить пациенту лазерную коррекцию, врач проведет полное обследование и назначит ряд важных анализов, которые покажут можно ли применять лазер в Вашем конкретном случае или стоит прибегнуть к другим методам лечения;
- Лазеротерапия имеет ряд общих противопоказаний, которые касаются всех пациентов без исключения. Советуем Вам ознакомиться с ними, а также проконсультироваться у нескольких врачей, если Вас гложут сомнения;
- Реабилитационный период не менее важен, чем сама операция. Восстановительные мероприятия Вам пропишет специалист. Важно придерживаться всех рекомендаций врача и следовать правилам, чтобы избежать осложнений или рецидива;
- Стоимость такой операции может варьироваться, в зависимости от определенных обстоятельств. Это может быть и рейтинг клиники, и медицинский опыт врача, и количество анализов, которое Вам нужно будет знать. Поэтому к выбору места проведения операции нужно подойти со всей ответственностью.

Проводит комплексную терапию и профилактику заболевания позвоночника, проводит расшифровку рентгенографии и МРТ снимков. Также проводит реабилитацию и восстановления физического состояния после травм. Другие авторы
Неспецифический спондилит как осложнение после лазерной вапоризации межпозвонкового диска
Введение.
Распространенность поясничных болей настолько высока, что 80% всех людей хотя бы раз испытывают приступ острой боли в спине за свою жизнь [2, 3, 4, 5, 6, 7]. Наиболее частыми причинами возникновения хронической поясничной боли и радикулярных болей являются грыжи межпозвонковых дисков, стеноз позвоночного канала, дегенерация межпозвонкового диска без грыжевого выпячивания и синдром оперированного позвоночника, которые приводят к значительным экономическим, социальным и медицинским затратам [1].
Магнитно-резонансная томография позволяет выявить различные патологические изменения позвоночника и оценить степень деформации позвоночного канала. Назначение постельного режима, миорелаксантов, нестероидных противовоспалительных средств, витаминов группы В, антихолинестеразных препаратов, а иногда глюкокортикостероидов, а также физиотерапевтических процедур купируют ишиолюмбалгию в большинстве случаев. Стойкие боли в пояснице и нижних конечностях купируются эпидуральными и паравертебральными инъекциями глюкокортиокстероидов. Неэффективность консервативной терапии является показанием к оперативному вмешательству.
Развитие хирургии дегенеративных заболеваний позвоночника идет по пути разработки малоинвазивных методов лечения, для снижения травматичности операции и сокращения осложнений [8, 9, 10, 11].
Одним из малоинвазивных методов лечения грыж межпозвонковых дисков является метод перкутанной лазерной вапоризации. Энергия лазера переносится в пульпозное ядро посредством волокна. Волокно помещается через тонкую иглу через заднелатеральный чрезкожный доступ под местной анестезией. Поглощение энергии лазера приводит к вапоризации воды внутри пульпозного ядра и изменению структуры его белков, что приводит к уменьшению объема и снижению внутридискового давления и как следствие к декомпрессии компримированного нервного корешка. Первая операция лазерной декомпрессии диска произведена в Европе Choy и коллегами в 1986 году.
На сегодняшний день накоплен достаточный опыт применения лазерной декомпрессии межпозвонковых дисков и в литературе описываются случаи асептических и инфицированных дисцитов после данной процедуры. Мы хотели доложить о случае из нашей практики развития спондилита двух смежных позвонков после лазерной вапоризации межпозвонкового диска VL4-5.
Случай из практики
Больной А.Б. 50 лет, обратился в РСНПМЦ Ф и П с жалобами на резкие боли в поясничном отделе позвоночника, распространение болей в нижние конечности, усиление болей при движении, ограничение движений.
Из анамнеза считает себя больным в течение 8 месяцев. Заболевание началось с болей в поясничном отделе позвоночника. Лечился консервативно с диагнозом: Остеохондроз поясничного отдела позвоночника. Грыжа межпозвонкового диска VL4-5 размером 6 мм. Вторичный стеноз позвоночного канала, радикулярный синдром, принимал НПВС, физиолечение, эпидуральные блокады глюкортикоидами, без эффекта. Общий анализ крови из сопроводительных документов: Нв-117 г/л; эрит-3,5; Цвет.пок.-0,9; лейкоц-5,5; Пал.яд.-1; Сег.яд-60; Эоз.-4; лимф.-34; Мон.-5; СОЭ-5 мм/ч. Через 3 недели неэффективной терапии произведена лазерная вапоризация межпозвонкового диска VL4-5 под местной анестезией, в послеоперационном периоде назначен цефазолин 1,0 в/м 2 раза в день в течение 10 дней. После проведенного вмешательства отмечалось клиническое улучшение. Однако уже через 2 месяца у больного стали отмечаться боли в поясничном отделе позвоночника, повышение температуры тела до 38 градусов, больному проведен курс антибиотикотерапии: антибиотиками широкого спектра действия и НПВС в течение 20 дней, температура нормализовалась и больной выписан на реабилитационное лечение. Спустя 2 месяца больной обращается к нам с вышеуказанными жалобами.
Больной вырос в удовлетворительных социальных условиях. Женат, имеет троих детей. Наследственных заболеваний нет. Наличие хронических заболеваний отрицает. Постоянно принимаемых препаратов нет. Контакт с туберкулезным больным отрицает. 1 рубец БЦЖ 5 мм. Инфекционными заболеваниями не болел и в контакте с таковыми не состоял, кровь и препараты крови не получал, у стоматолога не был. Аллергии на лекарства и пищевые продукты не отмечал. Работает слесарем.
Общее состояние больного относительно удовлетворительное. Сознание ясное, адекватное. Зрачки равновеликие, реакция на свет сохранена. Со стороны черепно-мозговых нервов без патологии. Менингиальных симптомов нет. Кожа и видимые слизистые чистые. Периферические лимфоузлы не увеличены. Подкожно-жировая клетчатка выражена умерено. Грудная клетка астенического типа. Дыхание через нос 20 в мин. Перкуторно легочный звук над всей поверхностью легких. Границы легких в пределах нормы. Аускультативно везикулярное дыхание в обоих легких. Тоны сердца ритмичные, приглушены. А/Д - 120/80 мм рт.ст., пульс - 88 уд. в 1 мин., удовлетворительного наполнения и напряжения. Язык влажный, чистый. Живот мягкий, безболезненный. Печень и селезенка не пальпируются, стул регулярный. Симптом Пастернацкого отрицательный с обеих сторон. Диурез регулярный, свободный.
Локальный статус. Больной передвигаться самостоятельно не может из-за боли в поясничном отделе позвоночника. Оси конечностей правильны. Активные и пассивные движения в суставах свободные. Позвоночник ровный, поясничный лордоз сглажен, паравертебральные мышцы рефлекторно напряжены. Симптом Ласега положителен с обеих сторон при 30 градусах. Симптом Вассермана положительный с обеих сторон. При глубокой пальпации резкая боль в проекции VL4-5 позвонков, боли распространяются в нижние конечности, больше влево. Отмечается парастезия в проксимальных отделах нижних конечностей. Чувствительность кожи, периферическая пульсация и мышечная сила сохранены.
При поступлении общий анализ крови гемоглобин - 140 г/л; эритроциты - 3,8 × 10 12 ; цветной показатель - 0,9; лейкоциты - 5,0× 10 9 ; палочкоядерные - 1; сегментоядерные - 59; эозинофилы - 4; лимфоциты - 32; моноциты - 4; СОЭ - 17 мм/ч. Общий анализ мочи: цвет - желтый; прозрачность - слабомутная; реакция - кислая; белка нет; эпителиальные клетки - 0-1 в поле зрения; лейкоциты - 2-3 в поле зрения; эритроциты - 0-1 в поле зрения, соли - оксалаты. Биохимический анализ: АСТ-0,36 ммоль/л; АЛТ-0,50 ммоль/л, общий билирубин - 10,5 ммоль/л; мочевина - 5,7; креатинин-78 мкмоль/л; сахар в крови - 6,2 ммоль/л. Коагулограмма: гематокрит - 50%; тромботест - VI; протромбин индекси - 84%; фибриноген - 4,25; рекальцификация - 1’55‘‘; ретракция сгустка - 53%; активность фибриногена - 15%. Диаскинтест отрицательный. На ЭКГ: синусовый ритм 88 в мин., ЭОС горизонтальная, дистрофические изменения в миокарде желудочков. На УЗИ брюшной полости и забрюшинного пространства без эхопатологии.
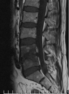
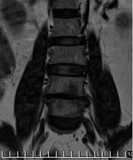
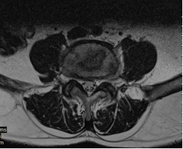
На МРТ в телах VL4-5 сигнал неоднородно снижен. Межтеловая щель сужена. Суставные поверхности неровные с узурацией, с краевыми остеофитами. Мягкие ткани вокруг инфильтрированы, утолщены, абсцессов нет. Спинномозговой канал сужен. За счет протрузии дисков VL4-5, VL5-S1 позвонков. Повышенный сигнал от тел остальных поясничных позвонков.
На рентгенограмме грудной клетки: легочные поля без инфильтративных теней. Корни легких структурны. Синусы свободны. Купола диафрагмы обычной формы. Тень сердца без особенностей.
Больному назначены НПВС, противовоспалительное, противоотечное и дезинтоксикационное лечение: Диклофенак натрия 75 мг в/м 1 раз в день №7; NaCl 0,9% - 200,0 + CaCl 10% - 10,0 в/в 1 раз в день №10; Глюкоза 5% - 200,0+ Вит С 6,0 в/в 1 раз в день №10; фуросемид 1,0 в/м 1 раз в день №10, Витамин В6 1,0 в/м 1 раз в день №10. Левофлоксацин в дозе 750 мг ежедневно №20.
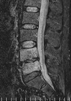
В динамике общий анализ крови гемоглобин - 140 г/л; эритроциты - 4,0 × 10 12 ; цветной показатель - 0,9; лейкоциты - 5,6× 10 9 ; СОЭ-15 мм/ч, остальные анализа без особенностей. На МРТ в динамике через 3 недели инфильтрация уменьшилась, но сохраняется, патологический сигнал от тел VL4-5 сохраняется. Клинически резка боль при движении в поясничном отделе позвоночника с распространением болей в нижние конечности, нестабильность позвоночника.
Больному произведена операция некрэктомия VL4-5, со вскрытием спинномозгового канала, спондилодез титановым сетчатым кейджем из левостороннего переднебокового доступа. При операции отмечается: нестабильность сегмента VL4-5, деструкция и секвестрация костной ткани. Гистологическое заключение операционного материала - спондилит неспецифического характера.
В послеоперационном периоде назначены антибиотики широкого спектра в течение 10 дней для профилактики развития вторичной инфекции. Послеоперационная рана зажила первично.
Больной активизирован в корсете через 3 недели после операции и в удовлетворительном состоянии выписан домой.
Установлен окончательный диагноз: Остеохондроз поясничного отдела позвоночника. Грыжа межпозвонкового диска VL4-5. Вторичный стеноз позвоночного канала, радикулярный синдром. СПО лазерной вапоризации межпозвонкового диска VL4-5. Осл.: спондилит VL4-5 позвонков неспецифического характера.
Рис. 1. МРТ до операции лазерной вапоризации межпозвонкового диска VL4-5
Рис. 2. МРТ при поступлении





Рис. 3. МРТ после 20 дней терапии Левофлоксацином
При чрезкожной лазерной декомпрессии межпозвонкового диска, энергия лазера используется для снижения внутридискового давления путем вапоризации небольшого по объему пульпозного ядра, что уменьшает давление между пульпозным ядром и фиброзным кольцом, таким образом, приводя к ретракции грыжевого выпячивания и освобождая нервный корешок.
Vijay S. et al, 2013 сообщает, что in vitro, повышение внутридискового объема на 1 мл приводит к повышению внутридискового давления на 312 кПа или 2340 mmHg. С другой стороны, уменьшение внутридискового давления приводит к значительному уменьшение внутридискового давления, что по принципу отрицательного давления устремляет грыжевое выпячивание к центру межпозвонкового диска, декомпрессии нервного корешка и избавлению от корешковой боли. Кроме того, вапоризация воды приводит к денатурации белка пульпозного ядра, что не дает в последующем накапливать воду [12].
Считается, что чрезкожная декомпрессия межпозвонкового диска не приводит к серьезным осложнениям, кроме того факта, что последние исследования указывают на минимальный риск если процедура выполняется опытным хирургом. Потенциальные осложнения включают: инфекцию, кровотечение, повреждение нерва, усиление боли, рецидив грыжи, паралич, идиосинкразия, анафилактический шок и смертельный исход. Повреждение нервного корешка может проявиться во время погружения канюли. Опытный хирург проводит процедуру под контролем визуализации в режиме реального времени и при полном сознании пациента для того чтобы это осложнение не имело место. Повреждение кровеносных сосудов может проявиться, если артерия или вена контактирует с устройством, особенно если используется тепловая энергия, что приводит к некрозу стенки сосуда. Также надо быть осторожным, чтобы не погрузить устройство в переднюю часть фиброзного кольца.
В соответствии с данными литературы уровень осложнений после лазерной вапоризации межпозвонкового диска составляет 0.5%. В исследовании Choy и соавт., 1998 [14], у 4 из 518 пациентов процедура осложнялась дисцитом, что составило менее 1%. Farrar и соавт., 1998 [15] сообщает о случае остеомиелита у 50 летнего мужчины после лазерной декомпрессии межпозвонкового диска по поводу грыжи диска VL4-5. В исследовании с наблюдением за больными в течение 3 месяцев после лазерной вапоризации McMillan и соавт., 2004 г. [16], указывает на усиление и рецидив болей в пояснице в 63%. Однако, сообщается, что случаев инфекции, повреждения нервов или клинически значимого кровотечения не отмечалось [13].
Заключение: Использование энергии лазера и другой тепловой энергии, может привести к термической травме не только хрящевых структур, но и костных структур и питающих сосудов, что проявляется их некротизацией и проявляется клинически спустя месяцы после операции.
Основные термины (генерируются автоматически): межпозвонковый диск, поясничный отдел позвоночника, лазерная вапоризация, боль, больной, позвоночный канал, грыжевое выпячивание, лазерная декомпрессия, нервный корешок, общий анализ крови.
Лазерное удаление позвоночной грыжи
Пункционная лазерная денуклеация или вапоризация межпозвонковых дисков - это современный и высокоэффективный метод лечения грыжи межпозвонковых дисков. Лазерное удаление показано пациентам с грыжами в любом отделе позвоночника. Благодаря данному методу м
ДОСТУПНЫЕ ЦЕНЫ НА КУРС ЛЕЧЕНИЯ
Мягко, приятно, нас не боятся дети

Суть метода.
Медицинский лазер воздействует на ядро межпозвонкового диска, которое в результате испаряется и сокращается в размерах. Таким образом уменьшается межпозвонковый диск, грыжа втягивается и уменьшается.
Надежность.
Методика лазерной вапоризации широко известна во всем мире. Ее эффективность подтверждена многократно. Метод используется в мировой практике с восьмидесятых годов двадцатого столетия. За это время специалистам в данной области удалось накопить большое количество информации о безопасности и эффективности подобной процедуры.
Преимущества метода:
- лазер не повреждает мышцы;
- операция проводится через прокол кожи;
- процедура длится всего 15-30 минут;
- прекрасная альтернатива «большой» операции;
- отсутствие разреза, послеоперационных рубцов и швов;
- пациент не нуждается в длительной госпитализации;
- хорошие и отличные результаты в более 75% случаев;
- безопасность и эффективность доказана многолетними мировыми наблюдениями;
- быстрая реабилитация, благодаря которой удается вернуться к нормальной жизни уже на следующий день после операции;
- при отсутствии улучшений есть возможность повторно провести манипуляции или полноценную операцию.
Показания к лазерной денуклеации диска.
Протрузия или грыжа диска поясничного или шейного отдела позвоночника является прямым показанием к лазерной вапоризации. Такая процедура оптимальна для активных и работоспособных людей в возрасте от двадцати до пятидесяти лет. Подобные манипуляции позволяют устранить проблемы с позвоночником, не выпадая при этом из привычного ритма жизни. Людям старшего возраста, у которых наблюдаются выраженные дегенеративные изменения диска, этот метод не всегда подходит.
Техника операции.
Хирургическое вмешательство проводят под местной анестезией. В ядро межпозвонкового диска под контролем рентгеновского аппарата вводят иглу. Через нее проходит световод, по которому передается лазерный луч.
Лазерная вапоризация

К малоинвазивным хирургическим вмешательствам в лечении грыж межпозвонковых дисков относится пункционная лазерная вапоризация ядра пораженного диска.
Она наиболее эффективна при межпозвоночных грыжах размером не более 6 мм. Хотя данная методика отличается высокой безопасностью и достаточной эффективностью, она может рекомендоваться только при небольших размерах грыж.
Лазерная вапоризация является операцией выбора у больных, которым наркоз и открытая вмешательство противопоказаны или сопряжены с высоким риском для жизни (беременность, тяжелая сопутствующая патология и др.).
Техника операции следующая: под местной анестезией производят прокол иглой межпозвонкового диска на глубину около 2 см.
Положение иглы и точную локализацию ее кончика контролируют с помощью компьютерной томографии. Через просвет иглы в диск вводят световод.
Лазерным излучением производят выпаривания воды и денатурацию белка, не испаряя саму ткань студенистого ядра.
Межпозвоночный диск
Это приводит к уменьшению объема диска и грыжа как бы втягивается. Межпозвоночный диск из-за развития соединительной ткани в дальнейшем не смещается и, следовательно, опасность прогрессирования грыжи значительно снижается.
Обычно в полной мере результат - исчезновение болевых ощущений - пациенты ощущают на 3 - 4 день после операции, а иногда - и сразу после ее завершения.
Через 3-4 часа после операции пациентам разрешается ходить в полужестком корсете . После лазерной вапоризации пациенты находятся в стационаре в течение 5 - 7 дней.
Возможными осложнениями данного вида вмешательства могут быть операционные повреждения корешков спинного мозга, кровеносных сосудов и воспалительные процессы.
В случае своевременно проведенной операции на начальных стадиях развития грыжи диска пациенты возвращаются к привычному образу жизни, даже связанному со значительными физическими нагрузками (прыжки с парашютом, профессиональные занятия спортом и др.).
Читайте также:
