Диагностика приобретенного ВИЧ-энцефалита по КТ, МРТ
Добавил пользователь Владимир З. Обновлено: 28.01.2026
ВИЧ-энцефалопатия развивается в результате действия ВИЧ на ЦНС. В отсутствие антиретровирусной терапии ВИЧ-энцефалопатия возникает 15-20% ВИЧ-инфицированных. С появлением высокоактивной антиретровирусной терапии (ВААРТ) частота этого осложнения сократилась. Такие термины, как СПИД-дементный комплекс, СПИД-дементный синдром, СПИД-деменция и ВИЧ-ассоциированный когнитивно-моторный комплекс по сути являются синонимами ВИЧ-энцефалопатии. ВИЧ- энцефалопатия развивается только на поздней стадии ВИЧ-инфекции, на фоне глубокого иммунодефицита (при числе лимфоцитов CD4 менее 200 мкл-1). Ожидается, что в развивающихся странах в связи с продлением ожидаемой продолжительности жизни заболеваемость ВИЧ-энцефалопатией будет расти (Valcour, 2004).
При ВИЧ-энцефалопатии происходит активная репликация ВИЧ в макрофагах и клетках микроглии головного мозга. В нейронах вирус не обнаруживается, однако в результате различных иммунопатологических механизмов они претерпевают функциональные и структурные изменения. В отношении репликации вируса и образования его новых штаммов ЦНС частично обособлена от гематолимфатической системы (Eggers, 2003). Вирусная нагрузка при ВИЧ-энцефалопатии в паренхиме головного мозга и спинномозговой жидкости высокая, но слабо коррелирует с тяжестью заболевания.
Клиническая картина
ВИЧ-энцефалопатия представляет собой подкорковую деменцию, которая обычно развивается в течение нескольких недель или месяцев. Острая симптоматика указывает на другую этиологию энцефалопатии. Лихорадка, истощение, действие транквилизаторов, а также плохое физическое состояние, например при оппортунистической инфекции, могут сопровождаться картиной деменции. В этих случаях диагноз ВИЧ- энцефалопатии можно поставить только после повторных осмотров, после того состояние будет оценено в динамике.
Иногда проявления энцефалопатии сначала замечают родственники, а не сам пациент, поэтому расспросить их очень важно. Обычные жалобы — замедленность мышления, забывчивость, затруднение концентрации внимания, недостаток мотиваций, легкие симптомы депрессии, эмоциональная холодность. Жалобы и симптомы перечислены в табл. 1 и 2.
| Таблица 1. Симптомы ВИЧ-энцефалопатии, включая данные анамнеза, собранные со слов близких пациента | |
| Когнитивные | Забывчивость, затруднение концентрации внимания, замедленность мышления (восприятия, обработки информации). |
| Эмоциональные | Утрата мотиваций, безынициативность, отстранение от общества, неспособность распоряжаться своими финансами и организовывать свою жизнь, подавленность, эмоциональная холодность. |
| Двигательные | Замедленность и нарушение тонких движений (например, письма, застегивания пуговиц), нарушения походки. |
| Вегетативные | Нарушения мочеиспускания (императивные позывы), утрата полового влечения, эректильная дисфункция. |
Нарушения сознания, ригидность затылочных мышц, очаговые и асимметричные неврологические симптомы (например, гемипарез, афазия) для ВИЧ-энцефалопатии не характерны. Психотические симптомы без когнитивных или двигательных нарушений опровергают диагноз ВИЧ-энцефалопатии. Психоз и ВИЧ-энцефалопатия редко развиваются одновременно. Редко бывают проявлением ВИЧ-энцефалопатии и парциальные и генерализованные эпилептические припадки.
| Таблица 2. Проявления ВИЧ-энцефалопатии | |
| Неврологические симптомы | На ранней стадии: нарушения походки, замедление быстро чередующихся движений, гипомимия; возможны также тремор и старческая походка маленькими шажками. На поздней стадии: усиление сухожильных рефлексов, симптом Бабинского, замедление саккад, нарушения функции сфинктеров, включая недержание мочи и кала. Ладонноподбородочный, хватательный и глабеллярный рефлексы. Возможна сопутствующая полинейропатия. В терминальной стадии: спастическая тетраплегия и недержание мочи и кала. |
| Психоневрологические симптомы | Замедление психомоторики (например, перечисления месяцев в обратном порядке), нарушение кратковременной памяти (затруднено воспроизведение на слух перечисленных предметов, чисел), нарушение гибкости мышления (затруднено произношение по буквам простых слов в обратном порядке). |
| Психиатрические симптомы | На ранней стадии: эмоциональная холодность, утрата сильных личностных черт, повышенная отвлекаемость, безынициативность. На поздней стадии: затруднено перечисление событий в прямом порядке, дезориентация во времени, пространстве и ситуации. В терминальной стадии: мутизм. |
Для градации ВИЧ-энцефалопатии по степени функциональных нарушений можно использовать классификацию Мемориального центра Слоуна и Кеттеринга (Price, 1988).
| Классификация ВИЧ-энцефалопатии по степени тяжести | |
| Стадия 0 | (Норма). Нормальные психические и двигательные функции. |
| Стадия 0,5 | (Сомнительная/субклиническая энцефалопатия). Нет нарушений работоспособности и повседневной активности; нормальная походка; возможны замедление движений глаз и конечностей. |
| Стадия 1 | (Легкая энцефалопатия). Работоспособность и повседневная активность сохранны, за исключением трудных задач, однако имеются несомненные признаки функциональных, интеллектуальных или двигательных нарушений; ходьба без посторонней помощи возможна. |
| Стадия 2 | (Умеренная энцефалопатия). Способность к самообслуживанию сохранна, но выполнение более сложных бытовых задач затруднено; для ходьбы может требоваться трость. |
| Стадия 3 | (Тяжелая энцефалопатия). Серьезные нарушения интеллекта (больной не способен следить за новостями и запоминать события, касающиеся его лично, не может поддерживать разговор, имеется выраженная заторможенность); двигательные нарушения (не может ходить без посторонней помощи, обычно замедляются движения рук и появляется скованность рук. |
| Стадия 4 | (Терминальная стадия). Состояние, близкое к мутизму. Интеллектуальные и социальные навыки на рудиментарном уровне; речь почти или полностью отсутствует; парапарез или параплегия с недержанием мочи и кала. |
Диагностика
Диагноз ВИЧ-энцефалопатии ставится на основании клинической картины и результатов лабораторных исследований. Какого-либо лабораторного исследования, достаточного для постановки диагноза ВИЧ- энцефалопатии, не существует: диагноз по большей части ставится методом исключения (табл. 3).
В клинической картине когнитивные и психические нарушения всегда сочетаются с двигательными, хотя последние могут быть слабыми (см. табл. 2). Для выявления и оценки тяжести когнитивных нарушений при ВИЧ-энцефалопатии удобно пользоваться шкалой ВИЧ-деменции (Power, 1995).
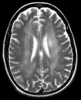
Лабораторные и инструментальные исследования направлены в основном на исключение других причин неврологических нарушений. МРТ предпочтительнее, чем КТ; нередко она выявляет очаговые диффузные изменения повышенной плотности в белом веществе головного мозга. Эти изменения указывают на лейкоэнцефалопатию.
Кроме того, иногда наблюдаются атрофия вещества мозга с расширением желудочков и борозд мозга. Однако ни один из этих симптомов не специфичен для ВИЧ-энцефалопатии. Кроме того, иногда МРТ при ВИЧ-энцефалопатии никаких изменений не выявляет. В отличие от прогрессирующей мультифокальной лейкоэнцефалопатии очаги в белом веществе не распространяются на корковые U-волокна, т.е. не достигают коры. Отек, сдавление тканей и усиление контраста для ВИЧ-энцефалопатии не характерны и должны навести на мысль о других заболеваниях.
При исследовании СМЖ обнаруживается нормальное или сниженное число лейкоцитов. Общий белок и уровень альбумина могут быть немного повышены (вследствие повреждения гематоэнцефалического барьера). Олигоклональные иммуноглобулины и повышенный индекс IgG свидетельствуют об аутохтонном образовании иммуноглобулинов в ЦНС. Однако эти симптомы не специфичны и часто обнаруживаются на бессимптомной стадии ВИЧ-инфекции.
Хотя существует статистически значимая связь между высокой вирусной нагрузкой в СМЖ и ВИЧ- энцефалопатией, диагностического значения в каждом конкретном случае она почти не имеет. На электроэнцефалограмме отклонений нет или обнаруживаются лишь легкие признаки генерализованного замедления электрической активности. Умеренное или сильное генерализованное замедление активности, а также очаговые неправильные дельта-волны для ВИЧ-энцефалопатии не характерны.
Лечение
Таблица 3. Дифференциальный диагноз ВИЧ-энцефалопатии и методы обследования
| Заболевание | Метод диагностики и комментарии |
| Нейросифилис | Исследование на антитела и исследование СМЖ (плеоцитоз > 45/3). (серологические данные могут быть нетипичными для активного нейросифилиса). |
| Цитомегаловирусный энцефалит | СМЖ (плеоцитоз, иногда нейтрофильный; снижен уровень глюкозы, повышен уровень общего белка). Исследование СМЖ методом ПЦР на цитомегаловирус, выявление антигена цитомегаловируса (pp65) в крови. Исследование крови и СМЖ на антитела (уровень и индекс IgG могут быть повышены). МРТ (возможно субэпендимальное усиление плотности и накопление контраста). Развивается в основном на фоне поражения других органов (ретинита, колита, пневмонии, эзофагита). |
| Токсоплазмоз | КТ/МРТ (один или несколько очагов, чаще всего в области базальных ядер или таламуса, давление на соседние ткани, отек, нередко усиление контраста (очаговое или кольцевидное). Специфичные к токсоплазме IgG в крови и СМЖ (полное отсутствие антител бывает редко). (Иногда токсоплазмоз протекает как диффузный микроглиальный узловой энцефалит). |
| Первичная лимфома ЦНС | КТ/МРТ (один или несколько очагов, чаще всего рядом с желудочками, объемное образование, отек, почти всегда усиление контраста (чаще очаговое, чем кольцевидное). Цитологическое исследование СМЖ. Исследование СМЖ методом ПЦР на вирус Эпштейна-Барр (ВИЧ-ассоциированная лимфома ЦНС, вызванная вирусом Эпштейна-Барр). Позитронно-эмиссионная томография или однофотонная эмиссионная томография (очаговое накопление изотопа). |
| Энцефалит, вызванный вирусом varicella-zoster | СМЖ (выраженные признаки воспаления). IgG, специфичные к вирусу varicella-zoster, в крови и СМЖ (IgM могут отсутствовать). Исследование СМЖ методом ПЦР на вирус varicella-zoster. У большинства больных имеется опоясывающий лишай (в настоящее время или в анамнезе). |
| Криптококковый менингит | СМЖ (давление нередко повышено, число клеток и уровень белка могут быть нормальными), контрастирование мазка тушью. Выявление криптококкового антигена в крови и СМЖ, посев на среды для грибов. |
| Туберкулезный менингит и другие бактериальные инфекции | СМЖ, посев, ПЦР на микобактерии. Исследования в зависимости от ситуации. |
| Прогрессирующая мультифокальная лейкоэнцефалопатия | МРТ (один или несколько очагов в белом веществе, объемного образования нет, отека нет, усиления контраста нет). Исследование СМЖ методом ПЦР на вирус JC. |
| Интоксикация | Определение уровней препаратов в крови/скрининг на наркотики. |
| Метаболическая энцефалопатия и плохое общее состояние | Определение уровней электролитов, показателей функции почек и печени, гормонов (щитовидной железы, кортизола), анализ крови. Гипоксемия? (газы крови). Плохое общее состояние? (постельный режим, истощение, гипертермия). |
| Депрессия с псевдодеменцией | Психиатрическое обследование. |
| Другие формы подкорковой деменции | Нормотензивная гидроцефалия, паркинсонизм, другие нейродегенеративные состояния, подкорковая атеросклеротическая энцефалопатия. |
Учитывая патогенез ВИЧ-энцефалопатии, лечение должно быть направлено на подавление репликации вируса в ЦНС. Необходимость проникновения противовирусных средств в СМЖ пока не доказана. Ряд клинических (Letendre, 2004), вирусологических (de Luca, 2002), патологоанатомических и электрофизиологических исследований показал, что препараты, достигающие в СМЖ высоких концентраций, более эффективны. Однако авторы не обнаружили связи между числом препаратов, проникающих в СМЖ, и их концентрацией в СМЖ со степенью подавления вирусной нагрузки в СМЖ (Eggers, 2003). Неврологическое и когнитивное улучшение на фоне ВААРТ сильнее зависит от подавления вирусной нагрузки в СМЖ, чем в плазме (Marra, 2003).
За отсутствием проспективных контролируемых клинических испытаний авторы считают, что у больных с ВИЧ-энцефалопатией очень важно включать в антиретровирусную схему как можно больше препаратов, проникающих в ЦНС. Авторы предлагают любой из следующих препаратов: зидовудин, ламивудин (достигает высоких концентраций в СМЖ в желудочках головного мозга; неопубликованные данные), невирапин и индинавир.
В нескольких небольших исследованиях при ВИЧ-энцефалопатии изучалось применение селегелина, нимодипина, лексипафанта и антиоксидантного средства CPI-1189. Эти препараты действуют на молекулярные механизмы патогенеза ВИЧ-энцефалопатии и используются в сочетании с антиретровирусной терапией. На фоне некоторых из этих препаратов отмечена тенденция к клиническому и нейропсихическому улучшению, однако ни один из них пока нельзя рекомендовать для всех больных.
Прогноз
Правильно подобранная ВААРТ может привести к значительному клиническому улучшению у больных с ВИЧ-энцефалопатией. Улучшение может проявляться восстановлением работоспособности у больных, которые до лечения не могли обходиться без посторонней помощи. Авторы наблюдали такой эффект в течение всего периода наблюдения (четыре года), параллельно с сохранением достаточно низкой виремии в плазме. В первые месяцы лечения рентгенологические признаки лейкоэнцефалопатии могут усиливаться, однако со временем, в течение одного-двух лет постепенно уменьшаются.
В то же время данные аутопсий и клинический опыт показывают, что у некоторых больных развивается клинически выраженное поражение ЦНС несмотря на эффективную ВААРТ и снижение вирусной нагрузки в крови (Brew, 2002; одно неопубликованное наблюдение). Даже при быстром снижении вирусной нагрузки на фоне ВААРТ у многих больных с ВИЧ-энцефалопатией отмечается очень медленное снижение вирусной нагрузки в СМЖ (Eggers, 2003). Исходя из этого, мы рекомендуем у больных с ВИЧ- энцефалопатией в течение первого-второго года ВААРТ измерять вирусную нагрузку в СМЖ. Если на фоне полного подавления вирусной нагрузки в крови репликация вируса в ЦНС будет сохраняться, следует подумать о пересмотре схемы антиретровирусной терапии.
МРТ при синдроме приобретенного иммунодефицита
Заболевание вызывается вирусами ВИЧ. Неврологические нарушения наблюдаются у более, чем 80% больных, причем примерно у 10% они являются первыми проявлениями заболевания.
Следует различать признаки собственно ВИЧ инфекции и симптомы наслоившейся (оппортунистической) инфекции.
К ним относят:
- цитомегаловирусная инфекция;
- криптококкоз;
- токсоплазмоз;
- сифилис;
- прогрессирующая мультифокальная лейкоэнцефалопатия;
- наслоившиеся опухоли: лимфомы и саркомы Капоши.
На ранней стадии развития ВИЧ магнитно-резонансная томография патологии не обнаруживает.
По мере прогрессирования ВИЧ происходят изменения:
- поражается серое вещество, что принято называть комплексом деменции, что отмечается только на перфузионных МРТ и при МРС;
- на следующем этапе проявляется подострый энцефалит, который виден как генерализованный процесс в белом веществе (лейкоэнцефалопатия);
- развивается атрофия мозга.
На Т2-зависимых томограммах в белом веществе обнаруживаются:
- диффузные поля гиперинтенсивного сигнала без четких границ, одно- или двухсторонние;
- либо очаги 1-3 см в диаметре.
Типично расположение очагов воспаления в валике мозолистого тела. Дифференциальную диагностику необходимо выполнять с прогрессирующей мультифокальной лейкоэнцефалопатией и лимфомой.

Токсоплазмоз - самая частая из инфекций, наслаивающихся на СПИД. Он представляет собой реактивацию инфекции и поражает головной мозг по типу некротизирующего кальцифицирующегося менингоэнцефалита.
При МРТ выявляются множественные очаги, гиперинтенсивные на Т2-зависимых томограммах, со слабым отеком вокруг них.
Типичная локализация - белое вещество перивентрикулярных зон, области водопровода, стык коры и белого вещества, базальные ганглии. Последнее отличает токсоплазмоз от цитомегаловируса, который не вовлекает подкорковые ядра.
Очаги могут быть неоднородными за счет кальцификации, реже кровоизлияний в очаг. Контрастирование хорошее, по кольцевому типу, реже узловому. Учитывая, что токсоплазмоз легко принять за лимфому, нередко практикуют пробный курс приема противопаразитарных препаратов. Очаги токсоплазмоза уменьшаются в течение 1-2 недель, в то время как лимфома остается без изменения.

Криптококкоз диагностируется ~ у 6-7% больных нейроСПИДом. Он относится к грибковым инфекциям и при СПИДе протекает в паренхимальной форме.
При МРТ СПИДа выявляются:
- множественные очаги, кисты и псевдокисты;
- диффузная атрофия мозга;
- гидроцефалия;
- расширение пространств Вирхова - Робена.
В отдельных наблюдениях описаны другие микозы при СПИД - кандидиаз и кокцидоидомикоз.

Прогрессирующая мультифокальная энцефалопатия наблюдается у 0,7-7,7% больных СПИДом.
При МРТ картина ПМЛ типичная:
- выявляются несимметричные участки высокого сигнала на Т2-зависимых томограммах, преимущественно, в теменных и затылочных долях;
- поражение распространяются до подкорковых зон;
- масс-эффекта нет;
- контрастирование бывает редко, с быстрым увеличением и слиянием очагов.

Цитомегаловирусная инфекция приводит к энцефалиту и вентрикулиту. Очаги двухсторонние с характерной локализацией в полуовальных центрах. Вентрикулит виден при контрастировании гадолинием как усиление стенок желудочков.
К редким вторичным инфекциям при СПИД можно отнести нейротуберкулез и сифилис, характеризующмеся быстрым прогрессированием. Описаны туберкулезные абсцессы при СПИД. Сифилитическая гумма может вызвать инсультоподобную клинику.
Лимфома при СПИДе чаще всего множественная:
- типично локализуется перивентрикулярно, вовлекая серое вещество подкорковых ядер;
- на Т2-зависимых томограммах лимфома слабо гиперинтенсивна;
- отек и масс-эффект умеренно выражены;
- усиление гадолинием всегда хорошее.
Сложность представляет дифференциальная диагностика лимфомы и токсоплазмоза. Быстрое прогрессирование узла свидетельствует в пользу лимфомы.
ВИЧ-энцефалит
При ВИЧ-инфекции нередко наблюдается поражение нервной системы, которое может быть вызвано как самим вирусом, так и его осложнениями — оппортунистическими инфекциями, нарушениями кровоснабжения головного мозга, токсическим воздействием антиретровирусных препаратов. Нервная ткань имеет повышенную чувствительность к вирусу: если из лимфоцитов в среднем каждая десятитысячная клетка поражается ВИЧ, то в головном мозге — примерно каждый сотый нейрон.
Симптомы заболевания
Для ВИЧ-энцефалита характерна неспецифическая клиническая картина, которая возможна и при других формах энцефалита. У пациентов развиваются двигательные нарушения, расстройства координации, сложности при выполнении точных целенаправленных действий. Возможно развитие судорожного синдрома, нарушение слуха и зрения, галлюцинации и другие психические симптомы. Общемозговые проявления представлены головной болью, угнетением сознания.


Консультация врача
Если у пациента с ВИЧ-позитивным статусом возникают признаки поражения нервной системы, ему требуется как можно быстрее получить консультацию инфекциониста. Поскольку симптомы энцефалита наслаиваются на клиническую картину ВИЧ-инфекции, врачу необходимо провести детальное обследование здоровья. При первичном осмотре удается выявить очаговые симптомы, которые указывают на поражение определенных участков мозга, что помогает заподозрить диагноз.
Угрожающие симптомы
При высокой лихорадке, которая не сбивается жаропонижающими препаратами, потере сознания, развитии параличей, нарушениях речи или других опасных признаках, следует вызывать врачей неотложной помощи. В такой ситуации промедление недопустимо, поскольку в считанные часы могут возникнуть критические осложнения.


Диагностика ВИЧ-энцефалита
Чтобы определить поражение структур центральной нервной системы, проводятся специальные методы визуализации: КТ или МРТ головного мозга, спинномозговая пункция, микробиологическое и биохимическое исследование ликвора. Чтобы оценить стадию ВИЧ-инфекции, изучается уровень вирусной нагрузки, а также проводится иммунограмма. По показаниям делают анализ на типичные вторичные инфекции: герпес, токсоплазмоз, криптококкоз.
Лечение ВИЧ-энцефалита
Лечение неврологических осложнений ВИЧ-инфекции представляет сложную задачу, требует участия инфекциониста и невролога. С учетом степени тяжести заболевания назначаются лекарства для ликвидации отека и воспаления ткани мозга, восстановления водно-солевого баланса, ликвидации кислородного голодания мозга. При этом продолжается стандартная терапия ВИЧ-инфекции по индивидуально подобранной схеме.


Записаться к врачу
Не стоит откладывать визит к врачу ID-Clinic при появлении настораживающих симптомов. Оставьте заявку через онлайн-форму на странице, и мы с вами свяжемся в ближайшее время.
Стоимость услуг клиники
Прием (осмотр, консультация) врача-инфекциониста первичный
Online консультация врача-инфекциониста



















Комплекс УЗИ “Женское здоровье”
УЗИ всего организма для мужчин
Комплексная вакцинация перед путешествием или командировкой за один день
Гликированный гемоглобин бесплатно
Комплекс перед операцией
УЗИ всего организма для женщин
Комплекс перед поездкой в санаторий
COVID19 и Грипп 2022 - скидка 35%

Вакцинация “Инфлювак Эббот (Нидерланды)”
Вианвак от брюшного тифа со скидкой 40%

Истории и отзывы наших пациентов

Огромная благодарность Наталье Викторовне Сизовой за прием и консультацию. У нее как раз та специализация по инфекционным болезням, которую я искала, далеко не все специалисты занимаются такими вопросами, а у нее опыт. Как человек она мне тоже понравилась, успокоила и смогла сделать так, что прием проходил в комфортной и теплой обстановке. Опыт врача - это, конечно, первостепенное, но также и важно как он с тобой общается, и чтобы было доверие. Наталья Викторовна - именно тот человек, которому доверяю как профессионалу.
У меня сложилось хорошее впечатление о докторе Савченко. Он говорит профессиональным языком, и, я так понимаю, практика Боткина тоже помогает ему в его сфере становится лучшим специалистом. Единственный вопрос к возрасту доктора - очень молодой, остальное на уровне. Возможно, к нему ещё обращусь. На данный момент уже все назначения доктора выполнены, осталось только дождаться результатов анализов. В принципе, при какой-то необходимости следующей, первым делом будем иметь в виду эту клинику. Клиника показалась нам хорошей, только дороговато.
Моя мама лежала в онкологическом диспансере на 5 отделении, лечащим врачом у нее был Кротов. Мне хотелось бы выразить благодарность врачу за грамотную медицинскую помощь моей матери и моральную поддержку, которую он оказал ей за время длительного пребывания в больнице. Мама считает, что с лечащим врачом ей повезло, и я разделяю это мнение, поскольку сама лично также общалась несколько раз с Кириллом Юрьевичем, справлялась о состоянии матери. Он прекрасный профессионал и человек с большой буквы.
Прием прошел чудесно, о Кротове К.Ю. могу сказать, что он хороший доктор, тактичный, корректный. У меня был диагноз поставлен - начальная стадия рака, врач меня обследовал, посмотрел анализы и сказал, что нет у меня рака, никакой стадии, таким образом, избавил меня от ненужного диагноза. Сейчас у меня проходит верное лечение по другому диагнозу.
Очень профессионально и внимательно проведён Прием
Оказались в клинике впервые, необходимо было сдать срочно пцр-тест. Быстро, качественно, персонал очень внимательный и вежливый. Рекомендую к посещению.
Огромное спасибо за профессионализм и оперативность оказания услуг. Очень отзывчивые и внимательные администраторы.
Чудесная клиника профисионально , качественно , врач вирусолог Звонцова Светлана Александровна чуткий Доктор профессиональный внимательный подход к пациенту !! Будем лечиться в клинике.
Внимательный и вежливый, опытный доктор. Заключение могут отдать в руки, а могут прислать на электронную почту, что удобно.
Так внимательно еще никто не делал мне УЗИ. Объяснил все, что смотрит и что видит, какие размеры органов у меня и какие в норме, не сидел с отстраненным видом, а все комментировал по ходу обследования и сразу объяснял, норма или нет. Теперь УЗИ буду делать только у него. Он, оказывается, много лет работал хирургом, что дает о себе знать по его подробным объяснениям и рекомендациям.
Приём прошёл хорошо. Врач отвечала на все вопросы. Дала рекомендации по лечению, объяснив что, для чего и как действует (считаю важным). Профессионал своего дела.
МРТ диагностика при СПИДе
У 40% пациентов со СПИДом имеются неврологические проявления. Задачей МРТ головного мозга является уточнение тяжести поражения и выявление оппортунистической инфекции.
МРТ проявлениями первичного симптомокомплекса является диффузная атрофия с расширением желудочков, что приводит к прогрессирующей деменции и смерти.

МРТ головного мозга. Аксиальная Т2-взвешенная МРТ. Расширение борозд и диффузные очаги.
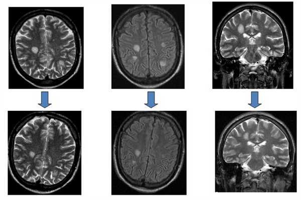
Прогрессирование атрофии при прослеживании МРТ головного мозга в динамике происходит очень быстро.
МРТ головного мозга. Т2-взвешенные аксиальные МРТ типа FLAIR. Динамика очагов за полгода.
При СПИДе на фоне иммунодефицита появляются также объемные образования:
- опухоли - лимфома, саркома Капоши, глиомы, метастазы;
- инфекции - токсоплазмоз, туберкулез, криптококкоз, кандидиаз и бактериальные абсцессы
Инфекции быстро прогрессируют, особенно токсоплазмоз. При МРТ виден выраженный отек вокруг очага. Контрастируется при МРТ токсоплазмоз обычно по кольцевому типу.
МРТ головного мозга. Т2-взвешенная аксиальная МРТ. Токсоплазмоз.
Лимфома также контрастируется на МРТ по кольцевому типу, но гипоинтенсивна на Т2-взвешенных МРТ головного мозга. По локализации лимфома чаще располагается перивентрикулярно, в то время как очаги токсоплазмоза в области базальных ганглиев и сопровождаются значительным отеком.

МРТ головного мозга. Т2-взвешенная аксиальная МРТ. Лимфома.
При нейроцистицеркозе на МРТ головного мозга наблюдается гидроцефалия и “разбросанные” мелкие очаги, часто с кальцификацией.

МРТ головного мозга. Т1-взвешенная аксиальная МРТ. Нейроцистицеркоз.
Туберкулемы имеют вид “мишеней” с кальцификацией в центре. При МРТ с контрастированием хорошо усиливаются по периферии.

МРТ головного мозга с контрастированием. Туберкулема.
МРТ в СПб при СПИДе выполняется редко, так как развернутая форма заболевания концентрируется только в специализированных центрах. Мы сталкивались с единичными случаями поражения мозга при СПИДе
Поражение головного мозга при ВИЧ инфекции
ВИЧ-инфекция — тяжелое заболевание, характеризующееся медленным прогрессирующим течением, вызываемое РНК содержащим вирусом иммунодефицита человека, относящийся к семейству ретровирусов.
Рассмотрим поражение головного мозга при ВИЧ на КТ И МРТ.

Строение вируса

Строение Т-лимфоцита ВИЧ
- патоморфологически поражение нервной системы выявляется у 90 % больных СПИДом
- клинически неврологические осложнения выявляются у 50—70 % больных nв 10 % случаев они бывают первым клиническим проявлением заболевания.

Заболевания центральной нервной системы в сочетании с ВИЧ инфекцией
Первичное поражение нервной системы при ВИЧ-инфекции
- ВИЧ-ассоциированный познавательно-двигательный комплекс:
— ВИЧ-ассоциированная деменция
— ВИЧ-ассоциированные минимальные познавательно-двигательные расстройства
— ВИЧ-ассоциированная миелопатия - дистальная сенсорная полиневропатия и миопатия
- другие ВИЧ — ассоциированные поражения нервной системы (асептический менингит, множественные невриты, сенсорные полиневропатии, миопатии, прогрессирующая энцефалопатия у детей).
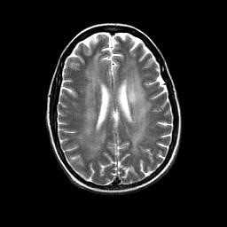
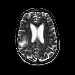
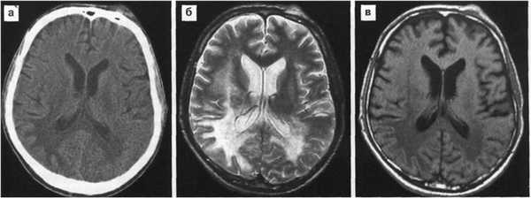
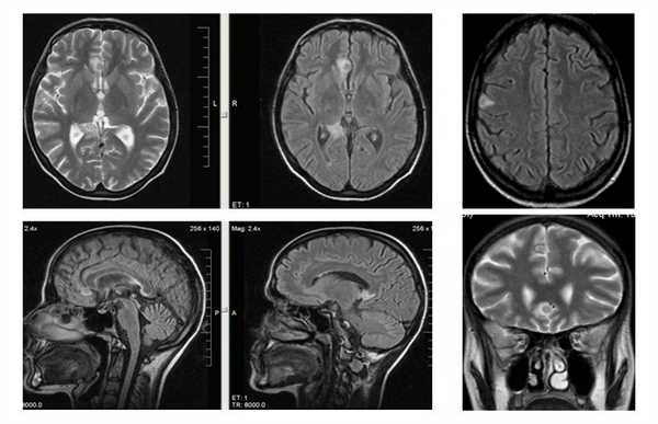
ВИЧ-ассоциированная деменция (ВИЧ-энцефалопатия, подострый ВИЧ-энцефалит)
МРТ картина:
относительно симметричные диффузные или мультифокальные гиперинтенсивные изменения белого вещества в перивентрикулярной области и семиовальном центре с неровными краями, без масс-эффекта, не накапливающие контраст, либо более мелкие асимметричные очаги в белом веществе и базальных ядрах.

а-аксиальная КТ головного мозга
б,в,г -аксиальные МРТ в режимах Т2, Т1

аксиальная Т1 с контрастным усилением
Острый асептический менингит
- Практически у всех ВИЧ-инфицированных
- Неспецифические симптомы острого воспаления оболочек (умеренно выраженный общемозговой и менингеальный синдромы), иногда с поражением черепных нервов
- КТ и МРТ выявляют контрастное усиление оболочек и подпаутинного пространства, черепных нервов, признаки отека мозга (сдавление корковых борозд и желудочков), сообщающуюся гидроцефалию, инфаркты мозга, вызванные тромбозом артерий и вен.
Оппортунистические заболевания нервной системы при ВИЧ-инфекции
- церебральный токсоплазмоз
- прогрессирующая мультифокальная энцефалопатия
- криптококковые менингиты
- цитомегаловирусная инфекция
- герпетическая инфекция
- туберкулез с поражением мозга
- первичная лимфома ЦНС.
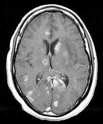
Токсоплазменный энцефалит
На КТ без усиления:
- Множественные изо- и гиподенсные участки, преимущественно в базальных ганглиях (76-88%) и в интра-субкортикальном слое.
- Размеры образований варьируют от 1см и менее до 3 см и более.
- Возможно распространение в заднюю черепную ямку.
- Перифокальный отек различной степени
- Масс-эффект.
- Кровоизлияния очень редко.
На постконтрастных КТ:
- Кольцевидное или узловое контрастирование.
Ободок усиления обычно тонкий и гладкий, но при больших поражениях встречаются толстые и неровные ободки. - Кольцевидное усиление -это зона интенсивной воспалительной реакции
Центральная область снижения плотности - некроз
По периферии расположена зона отека.
МРТ без и с контрастным усилением
- Более чувствительная как к новым, так и к хроническим проявлениям токсоплазмозного энцефалита и выявляет большее количество образований, чем КТ.
- На МРТ в режиме Т2 активные очаги имеют вариабельный МР сигнал:
- — гиперинтенсивнее вещества мозга и не отличаться от зоны отека.
- — изо- или гипоинтенсивный в центре очаг поражения, окруженный зоной отека, получивший название «мишени».
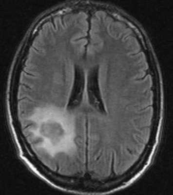
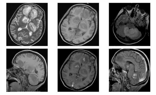
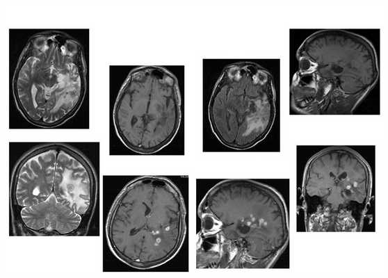
Токсоплазмоз у ВИЧ-инфицированного больного
![Поражение головного мозга при ВИЧ инфекции]()
МРТ в режиме Т2 (а,б) и Т1 с контрастированием (в-е) выявляет множественные очаговые изменения с накоплением контраста - симптом «мишени». В правом полушарии мозжечка образование по характеристиками похожее на абсцесс.
![Поражение головного мозга при ВИЧ инфекции]()
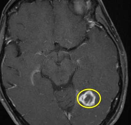
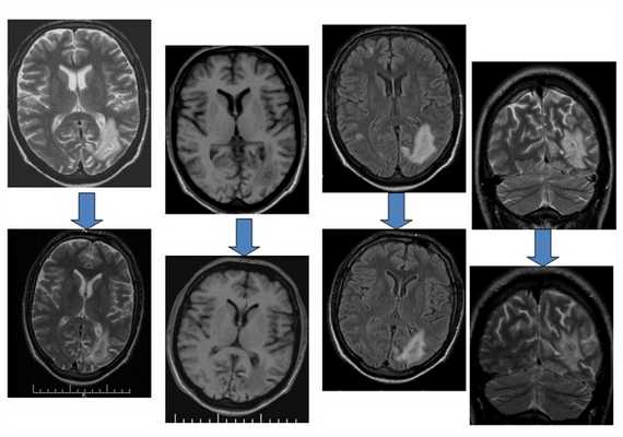
Пациент Н., 30 лет.
Динамика МРТ картины от 22.08.2008 к 12.11.2008![Поражение головного мозга при ВИЧ инфекции]()
![Поражение головного мозга при ВИЧ инфекции]()
Пациентка П.
Тяжелый токсоплазмоз+ВИЧ (летальный исход через 3 дня после исследования)Прогрессирующая мультифокальная лейкоэнцефалопатия
- Это прогрессирующее заболевание, характеризующееся множественными очагами демиелинизации разного размера, разбросанными по всей ЦНС.
- ПМЛ обычно развивается на фоне выраженной иммуносупрессии, у части больных она бывает начальным проявлением СПИДа
- Заболевание вызывается папова-СJ-вирусом и характеризуется подострым или постепенным развитием сначала фокальных, а затем мультифокальных неврологических нарушений, которые отражают поражение полушарий большого мозга, базальных ядер, мозжечка, мозгового ствола.
КТ
Неконтрастируемые очаги в белом веществе пониженной плотности, без отека и смещения прилежащих структур.
Очаги чаще располагаются в перивентрикулярных областях, полуовальных центрах, теменно-затылочных областях и в мозжечке.МРТ
Множественные асимметричные очаговые изменения глубинных отделов белого вещества с зубчатыми контурами, преимущественно локализующиеся в теменно-затылочной области, не оказывающие масс-эффекта и не накапливающие контраст.
Восстановление иммунитета на фоне ВААРТ может привести к выраженному воспалительному компоненту с существенным усилением контрастирования.
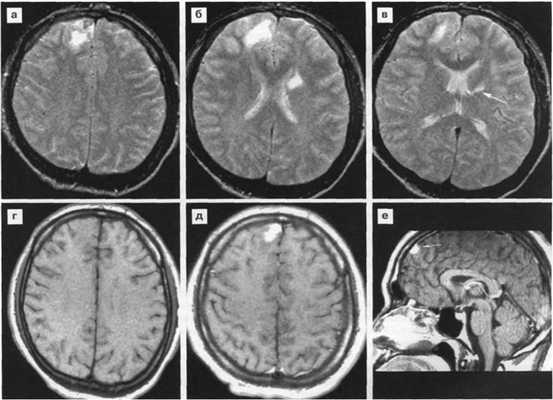
Поражения серого вещества не типичны.![Поражение головного мозга при ВИЧ инфекции]()
Очагово-диффузные изменения белого вещества мозжечка, ствола мозга и больших полушарий (а,в)
Участки накопления контраста в отдельных очагах демиелинизации (б,г)Криптококковая инфекция
- Проявляется у 6-7% больных СПИДом
- Выявляются 4 формы поражения мозгового вещества: -криптококкомы (внутримозговые объемные образования), -расширение пространств Вирхова-Робина -паренхимальные/лептоменингеальные узелки -смешанная форма.
- У ВИЧ инфицированных пациентов КТ и МРТ картина криптококкоза стерта.
Криптококкома хиазмально-селлярной области
Цитомегаловирусная инфекция
- Острый или подострый энцефалит (менингоэнцефалит)
- Относительно специфичные изменения эпендимы, прилегающей перивентрикулярной зоны и нижних отделов семиовального центра:
КТ — гиподенсные зоны в субэпендимарных отделах
— множественные петрификаты в стенках боковых желудочков.
МРТ — гипоинтенсивные по Т1 и гиперинтенсивные по Т2 ВИ зоны в субэпендимарных и перивенрикулярных отделах
В отличие от изменений при ВИЧ-энцефалопатии, они накапливают контраст. - Возможно только резкое расширение желудочков и диффузные изменения перивентрикулярного белого вещества
- ЦМВ ретинит:
при МРТ с контрастированием определяется утолщение и выраженное накопление контраста оболочками глазных яблок.
Герпетическая инфекция
![Поражение головного мозга при ВИЧ инфекции]()
КТ картина
- Участки сниженной плотности в височных долях иногда с захватом лобных или затылочных долей.
- Контрастирование маловыражено
- Кровоизлияния визуализируются редко.
- Масс-эффект.
- Распространение процесса по сильвиевым щелям к островку.
![Поражение головного мозга при ВИЧ инфекции]()
МРТ картина
- Ранние проявления отека в лобных и височных долях
- (гиперинтенсивные на Т2 гипоинтенсивные на Т1 зоны)
- Разнообразные признаки масс-эффекта.
- Деструктивные изменения
- Очаги подострого кровоизлияния - гиперинтенсивные по Т1.
- Локализованная или генерализованная атрофия мозга
- Контрастирование по извилинам мозга
Нейросифилис (проявления менингита, васкулита)
- На Т2 ВИ выявляются множественные очаги гиперинтенсивности в сером и в белом веществе и в подкорковых ядрах - мелкие зоны ишемии.
- Инфаркты в крупных артериальных бассейнах (инфратенториально, супратенториально, с вовлечением базальных ганглиев.
- На постконтрастных МРТ очаги усиления в областях подострого инфаркта.
- патологическое менингеальное контрастирование.
- Гуммы выглядят как массы пораженного вещества у поверхности мозга, с узловым или кольцевидным усилением
![Поражение головного мозга при ВИЧ инфекции]()
Нейросифилис. Гумма в правой лобной области.
Т2 ВИ (а-в) участок неоднородного повышения МР сигнала конвекситально в правой лобной доле. В проекции подкорковых образований слева небольшой старый инфаркт (стрелка).
Т1 ВИ без контраста (г) сигнал слабогипоинтенсивный, рисунок коры стерт
Т1 ВИ с контрастированием (д,е) зона накопления контраста с выходом на поверхность коры (стрелка).Туберкулез
- Менингит
- Абсцесс
- Туберкулема
- Хотя ВИЧ-инфекция повышает вероятность заболевания туберкулезом, она не влияет на клинические проявления или реакцию на лечение.
- Диагностику проводят с помощью кожных проб, бактериологического исследования, ПЦР.
![Поражение головного мозга при ВИЧ инфекции]()
Больная К., 28 лет
Подтвержденный туберкулез легких + ВИЧПервичные лимфомы
- При КТ
— одиночные или чаще множественные изоденсивные или гиперденсивные очаги, с перифокальным отеком, чаще в глубинных отделах мозга
— масс-эффект - При МРТ
гипо- или изоинтенсивные очаги (в Т1-режиме) и имеют вариабельные характеристики в Т2-режиме. - При дифференциальной диагностике с токсоплазмозом диагноз лимфомы более вероятен, если пробное лечение противотоксоплазменными препаратами не принесло эффекта.
![Поражение головного мозга при ВИЧ инфекции]()
Больной с ВИЧ
Читайте также:
- Преимущества и недостатки местной анестезии при бронхоскопии. Противопоказания к местной анестезии
- Лечение чесотки, симптомы, пути передачи, признаки
- Синдром Гризеля (Grisel)
- Продолжение кровотечения после перевязки легочной артерии. Смерть при перевязке легочной артерии
- Раздражение дыхательных путей металлами (изоцианатами)










