Диагностика псевдопрогрессирования опухоли по КТ, МРТ головного мозга
Добавил пользователь Евгений Кузнецов Обновлено: 28.01.2026
"Показывает ли МРТ опухоль головы?" - этот вопрос часто задают пациенты, страдающие цефалгией - длительной и регулярной головной болью разной степени интенсивности. На сегодня магнитно-резонансная томография - один из лучших способов выяснить причину подобных жалоб. Более 15% пациентов безуспешно лечатся у разных специалистов с неправильным диагнозом (гипертоническая болезнь, эписиндром, дистония и пр.), и являются недообследованными. При условии медленного прогрессирования образования симптомов нет, так как головной мозг может смещаться. Это приводит к позднему выявлению онкологического процесса и ухудшает жизненный прогноз.
МРТ определяет опухоль на ранней стадии, до развития развернутых клинических проявлений. Окончательная верификация диагноза возможна после гистологического исследования (биопсии), по томограммам можно предположить характер новообразования.
Что такое опухоль головного мозга? Классификатор
Неопластический процесс в головном мозге бывает первичным и вторичным
Опухоль головного мозга - новообразование, которое появляется в результате неконтролируемого деления клеток: собственно церебральных (нейронов или глии) или какой-либо из окружающих структур - черепных нервов, сосудов, лимфоидной ткани, менингеальных оболочек, костей и хрящей черепа. Причины онкогенеза остаются дискутабельными.
Классификация основана на определении патоморфологических аспектов (гистологический тип клеток и дифференциация), взаимоотношения с окружающими тканями, оценки метастазирования, локализации (супратенториальная и субтенториальная). Не так давно для дифференциации в нейроморфологии начали использовать достижения иммуногистохимии и молекулярно-генетического анализа, что позволило более точно предсказать биологическое поведение опухоли, выбрать подходящий способ терапии.

Запишитесь на МРТ со скидкой 30%
Записаться на МРТ
со скидкой 30%
Мозг - орган-мишень для метастатического поражения, в этом случае говорят о вторичном процессе, расположение материнской опухоли вариативно. Диагностический поиск последней должен быть расширен, опираться на локализацию метастатических очагов.
Покажет ли МРТ опухоль?
МРТ с контрастированием - золотой стандарт в нейроонкологии для выявления опухоли головного мозга. Снимки производят в трех проекциях и разных режимах: Т1, Т2, Flair, спектроскопия и др.
МРТ показывает опухоль головного мозга, локализованную в любом, даже в самом труднодоступном его отделе. Объемные изображения, детализирующие анатомическую структуру и патологические процессы в органе, состоят из множества срезов, с толщиной от 1 мм. Магнитно-резонансное сканирование подразумевает выявление прямых и косвенных признаков новообразования. Изменение интенсивности сигнала при МРТ - достоверный показатель опухолевого процесса, как и размытость контуров, тип роста с инфильтрацией (проникновением в соседние структуры), обнаружение зон некроза, отложений кальция, кровоизлияний на фоне несовершенства опухолевого ангионеогенеза. К косвенным признакам относят:
- масс-эффект - дислокация срединных структур или сосудистого сплетения, сдвиг, сдавление, изменение контуров желудочков;
- гидроцефалию на фоне блокады ликворных путей;
- перитуморозный отек - чем больше он выражен, тем вероятнее злокачественность опухоли и пр.
МР-сканирование показывает и вторичные поражения головного мозга. По локализации метастатических очагов можно предположить расположение первичной опухоли, например, при обнаружении изменений в костях черепа и твердой оболочке необходимо дообследование на предмет выявления рака простаты, почки, меланомы; в веществе - смотрят желудок, легкие и т.п.
Можно ли распознать опухоль с помощью МРТ без контраста?
Нативная и контрастная МРТ: после усиления видны множественные мелкие метастазы головного мозга
Распознать опухоль головного мозга с помощью МРТ без контраста можно на продвинутой стадии. Малые новообразования скульптурируются значительно хуже или не видны совсем, что снижает ценность исследования. При высокой напряженности поля можно сделать нативную МРТ, снимки будут хорошего качества. Магнитно-резонансная томография выдает изображения в зависимости от запрограммированного типа сканирования, контрастирование упрощает выявление опухолей на любой стадии развития, проведение дифференциального диагноза между доброкачественным и злокачественным процессом. Побочные эффекты на введение препарата на основе хелатов гадолиния развиваются крайне редко, меньше чем у 1% людей. При наличии показаний отказываться от контрастного усиления не стоит. Пациентам, страдающим почечной или печеночной недостаточностью в декомпенсированной стадии, может быть выполнена обычная МРТ. Магнитно-резонансное сканирование без динамического контрастирования на томографе с небольшой мощностью обнаружит объемное поражение головного мозга значительных размеров. После внутривенного введения парамагнетика можно более точно определить локализацию, объем, степень инвазии, рассмотреть кровоснабжение опухоли, оценить индивидуальные особенности, что имеет значение для планирования лечения.
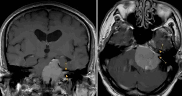
Опухоль головного мозга на МРТ

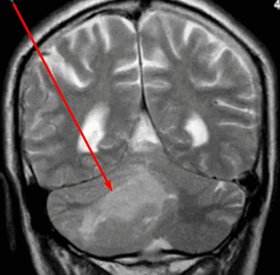
Опухоль мозжечка на МРТ (указана стрелкой)
Опухоли головного мозга долгое время диагностировали исключительно по клиническим признакам, часто слишком поздно. С появлением нейровизуализационных методов стало возможным выявление опасных патологий на ранних этапах их развития. Уже на первых стадиях формирования опухоль головного мозга на МРТ отчетливо видна, а врачи могут планировать дальнейшие действия. Ранняя диагностика увеличивает шансы на выздоровление даже при онкологических заболеваниях.
Симптомы рака головного мозга
Злокачественные опухоли составляют почти половину выявленных внутричерепных новообразований. Общими проявлениями патологических изменений в мозге могут быть:
- головные боли, часто утренние, с тошнотой и рвотой;
- вертиго (головокружение центрального происхождения);
- нарушение координации движений;
- ухудшение зрения, слуха;
- речевые расстройства;
- раздражительность;
- сонливость;
- судороги;
- поведенческие расстройства;
- слабость в мышцах лица или конечностей;
- онемение, парестезии в отдельных частях тела;
- психические нарушения и др.
Клиника опухолей отличается в зависимости от локализации, размеров, типа новообразования. Патологию дифференцируют исходя из данных, полученных при инструментальном и лабораторном обследовании, гистологического анализа тканей.
По тому, как выглядит опухоль мозга на МРТ, врачи делают предположения о ее природе. Однозначных утверждений быть не может, так как верификацию образований осуществляют с помощью гистологического анализа. Характерными признаками злокачественных опухолей головного мозга на снимках МРТ являются:
- неправильная их форма;
- нечеткие контуры новообразований;
- выраженный перифокальный отек;
- масс-эффект (смещение близлежащих структур);
- гидроцефалия;
- неоднородное накопление контраста (иногда вообще не накапливают);
- "пестрота" опухоли (кровоизлияния, некрозы и/или кисты в структуре) и др.

Глиобластома на МРТ головного мозга без контраста
Причины появления опухоли головного мозга
Точный механизм формирования злокачественных образований не установлен. Факторами риска признаны возраст старше 70 лет, принадлежность к мужскому полу. Чаще опухолевые патологии мозга обнаруживают у пациентов, которые имеют:
- отягощенный семейный анамнез;
- контакты с канцерогенными веществами;
- радиационное воздействие;
- черепно-мозговые травмы в анамнезе;
- перенесенные воспалительные патологии головного мозга.
У некоторых пациентов с обнаруженными опухолями врачам не удается выявить ни одного провоцирующего фактора, тогда как у лиц, которые регулярно подвергаются их воздействию, новообразований мозга нет. Такие сведения подвергают сомнению существующие гипотезы о происхождении онкопатологий ЦНС (центральной нервной системы).

Эпендимома при МР-сканировании головного мозга
Опухоли головы часто по своей природе являются вторичными, т.е. метастазами. По локализации образования могут быть расположены в костях черепа, мягкой и твердой мозговых оболочках, в сером и белом веществе. В структуры головы чаще метастазируют меланомы, рак почки, простаты, легкого, молочной железы, желудка.

Метастазы в головном мозге на постконтрастном изображении (указаны стрелками)
Может ли МРТ показать опухоль головного мозга?
По результатам магнитно-резонансной томографии врачи могут выявить изменения структуры тканей. Опухоли головного мозга на МРТ определяют по прямым и косвенным признакам. Врачи подозревают патологическое образование по типу и равномерности изменений МР-сигнала:
- гипо- (более слабый, чем окружающие области) или гиперинтенсивный (отклик сильнее, чем от нормальных зон);
- гетероизмененный (смешиваются разные характеристики);
- изоинтенсивный (опухоль выглядит, как другие ткани, но отличается от нормальной архитектоники мозга).
Существуют и косвенные признаки. Последние дают основания подозревать новообразование головного мозга на фоне изоинтенсивного отклика тканей или подтверждают ее наличие при измененном МР-сигнале.

Множественные метастазы в вещество головного мозга на МРТ без контраста
Вторичными проявлениями патологии могут быть:
- латеральная дислокация срединных структур;
- смещение сосудистого пучка;
- изменение величины и деформации желудочков;
- аксиальная дислокация;
- окклюзионная гидроцефалия при блокаде ликворных путей;
- смещение или деформация базальных цистерн;
- отек мозга в зоне опухоли и вокруг нее (локальный, генерализованный, тотальный, перивентрикулярный).

До- и постконтрастное изображение злокачественной опухоли головного мозга
С помощью МРТ при раке мозга выявляют локализацию опухоли, степень ее инвазии в соседние структуры, особенности кровоснабжения, стадию заболевания и наличие метастазов. Для получения дополнительных сведений, сканирование проводят в различных последовательностях (Т1, Т2, FLAIR, диффузно-взвешенное и пр.), в нативном режиме и после контрастирования.
Заключение МРТ при опухоли головного мозга
Пациент получает результаты сканирования на бумаге и/или на информационном носителе со снимками. Заключение составляет врач-рентгенолог. Он изучает снимки, замечает отклонения от нормы и фиксирует их.

Опухоль головного мозга на МРТ с отсевами (указаны стрелками)
В заключении описывают зоны измененного МР-сигнала, их локализацию, размеры, контуры, наличие масс-эффекта, признаков перифокального отека и дислокационные явления. Выводы рентгенолога нельзя считать диагнозом. Результаты исследования должен изучить врач, который инициировал диагностику, или онколог. На поздних стадиях развития заболевания по структуре и характеристикам опухоли можно с большой долей вероятности определить ее тип. Окончательный диагноз ставят с учетом результатов других исследований.
Если МРТ покажет опухоль мозга, в диагностической клинике «Магнит» пациенты могут воспользоваться услугой «Второе мнение». Она актуальна при длительном анамнезе, в спорных ситуациях, при подозрениях на опасные патологии. Суть услуги заключается в изучении результатов МРТ вторым рентгенологом. Его мнение может подтвердить или опровергнуть выводы первого специалиста и скоординировать действия лечащего врача при назначении дальнейшего обследования.
Рак головного мозга на фото снимке МРТ
В зависимости от типа новообразования отличается его внешний вид. Изучая снимки, врач может лишь предположить природу основных вариантов опухолей по характерным признакам:
- астроцитомы — происходят из глиальной ткани, чаще выявляются в лобных и височных долях. Выглядят как зоны гипоинтенсивного МР-сигнала без четких контуров, плохо или почти не накапливают контраст, нередко содержат в своей структуре обызвествленные зоны и мелкие кисты;
- олигодендроглиомы — плотность снижена неравномерна, контуры относительно четкие, часто сливаются с отеком. Обнаруживаются в лобной или теменной долях.
- эпендимомы — предположительно образуются в эмбриональном периоде. Характеризуются четкими контурами, плотнее, чем здоровые ткани, редко вызывают отек, чаще обнаруживаются в полостях желудочков;
- глиобластомы — злокачественные опухоли, которые отличаются высокой скоростью роста и склонностью к инвазии. Выглядят на снимках, как образования неправильной формы, с нечеткими фестончатыми контурами и выраженным перифокальным отеком. Дают выраженный масс-эффект, смещают головной мозг в полости черепа, повреждая его на отдалении от своего местоположения;
- менингиомы (оболочечные опухоли). На снимках часто дают изоинтенсивный сигнал, отчетливо видны после контрастирования. Имеют четкие контуры, неправильную бугристую форму, обычно нет выраженной зоны перифокального отека;

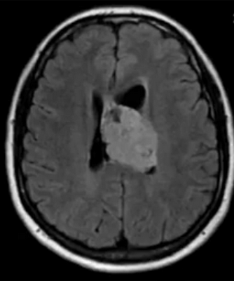
Менингиома на МРТ
- метастазы. Выглядят, как множественные образования в тканях головного мозга различных размеров, неправильной формы, с неровными контурами, накапливающие контраст, с различной интенсивностью отека вокруг;
- невриномы — опухоли черепно-мозговых нервов. Чаще исходят из корешка VIII пары, реже V и остальных. На Т2-взвешенном изображении гиперинтенсивны по сравнению с окружающими тканями. Контуры неправильные, четкие, структура гомогенная, дают масс-эффект.

МР-изображение невриномы VIII пары черепно-мозговых нервов (стрелками указана часть опухоли, растущая из внутреннего слухового прохода)
В некоторых случаях МРТ диагностика опухолей головного мозга бывает затруднена. Гипоэхогенные образования без четких контуров могут быть перепутаны с признаками ишемического инсульта. Аппараты с низкой степенью напряжения магнитного поля и ограниченным пространственным разрешением могут «не увидеть» образование. Для диагностики патологий мозга применяют томографы мощностью от 1,5 Тл. Практически всегда дополнительно проводится МР-сканирование с контрастированием для улучшения визуализации новообразований.
В редких случаях опухоли малого размера не обнаруживают при первом обследовании. При наличии клинических проявлений заболевания врач назначает другие методы исследования или повторное сканирование.
МРТ ― безопасная и высоко информативная диагностическая процедура. Отсутствие лучевой нагрузки позволяет проводить ее столько раз, сколько нужно для контроля состояния больного. Метод актуален для предварительной оценки степени злокачественности образования, повреждения близлежащих структур, особенностей кровоснабжения опухоли. По результатам сканирования врач уточняет сохранность функций мозга, опасности заболевания и составляет план обследования или лечения. Своевременное выявление опухоли в мозге может спасти человеку жизнь. Поэтому роль МРТ в диагностике и лечении онкопатологии ЦНС чрезвычайно велика.
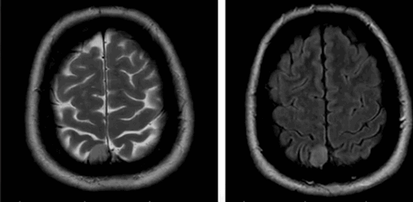
Рассеянный склероз на МРТ головного мозга

Рассеянный склероз представляет собой тяжелое прогрессирующее заболевание нервной системы человека, во время которого больной постепенно теряет двигательные функции и речь. Диагностика рассеянного склероза (РС) - это весьма сложная врачебная задача, требующая времени и данных многократных МРТ исследований головного и спинного мозга. Трудность постановки окончательного диагноза связана с механизмом развития этого демиелинизирующего заболевания. Первичный толчок в развитии РС играет вирус герпеса, полученный в детстве в результате таких инфекционных заболеваний, как корь и краснуха. По неизвестным пока медицине причинам, когда во взрослом возрасте происходит снижение иммунного барьера, в некоторых случаях вирус реактивируется и начинает вызывать сбой в иммунной системе.
Механизм появления РС
Строение этого вируса внешне имеет очень большое сходство с миелином - белком, который обволакивает нервные волокна. При его разрушении происходит нарушение в проводимости импульсов нервными волокнами и возникают разнообразные неврологические патологии. Иммунная система организма отвечает за борьбу с любыми вирусами. Когда идентифицируется реактивированный вирус герпеса, она начинает его атаковать, а поскольку он очень схож с миелином, то атаке подвергается и собственные нервные волокна. Так начинает свое развитие рассеянный склероз.
Факторы, которые могут провоцировать дебют рассеянного склероза или его обострение, очень разнообразны. Это:
- любое инфекционное заболевание - человек перенес грипп, простуду;
- у женщин часто начала заболевания или обострения РС связано с беременностью и родами. Если женщина уже состоит на учете у невролога с подозрением на развитие рассеянного склероза, то таким женщинам иногда даже врачи советуют воздержаться от беременности, потому что часто детовынашивание приводит к быстрому развитию инвалидизации.
- больным с РС нельзя находиться на солнце, это провоцирует стадию обострения. Солнце агрессивно, и люди должны понимать, что, загорая, они резко снижают свой иммунный барьер и становятся открытыми для реактивирования вирусов в организме.



Признаки рассеянного склероза
Первыми признаками рассеянного склероза, которые даже не каждый врач невролог к сожалению может распознать, - это кратковременное быстро проходящее нарушение зрения. Пациент может пожаловаться на то, что внезапно потемнело в глазах, и он вдруг ничего не видит, а потом через несколько часов зрение восстановилось.
Второй признак - внезапно развивающаяся слабость или онемения в конечностях, возможно в какой-то одной руке или ноге.
Третий признак рассеянного склероза - нарушение мочеиспускания. В неврологии это называется по типу императивных позывов. То есть, возникает внезапное желание помочиться, и человек не может воспротивиться этому желанию. Он чувствует, что если он сейчас его не реализует, то произойдет самопроизвольный выпуск мочи.
Иногда на ранних стадиях заболевания наблюдается поражение лицевого нерва. Дело в том, что рассеянный склероз излюбленным местом своей локализации выбирает именно те области головного мозга, которые отвечают за двигательную функцию. В ходе развития РС поражается лицевой нерв, и у человека появляется асимметрия лица. Часто бывают ситуации, когда в холодное время года возникает лицевой тик, человек думает, что он просто простудил лицевой нерв, невролог быстро проводит восстановительное лечение мазью, и только через 5 или 7 лет выясняется, что это был дебют рассеянного склероза.
Рассеянный склероз затрагивает и чувствительную сферу. Нарушается она за счет поражения вибрационной чувствительности, на которую больной вряд ли пожалуется. Это можно выявить только при неврологическом исследовании на приме у врача.
В ходе прогресса болезни у человека возникают проблемы с координацией. У больного появляется шаткость при ходьбе, он идет как пьяный, но при этом у него нет головокружения. Пациент может жаловаться, что когда он сидит, он нормально себя чувствует, но когда он встает, его начинает раскачивать из стороны в сторону, причем происходить это может приступообразно. Таким образом невролог диагностирует мозжечковую атаксию, когда поражается мозжечковые пути при рассеянном склерозе.
Картина рассеянного склероза на МРТ
Признаками рассеянного склероза головного и спинного мозга на МРТ изображениях будут:
- слабовыраженные очаговые изменения, повышение сигнала Т2;
- типичное вовлечение спинного мозга;
- распространенность не более двух сегментов;
- поражения латеральных или задних столбов белого вещества с возможным вовлечением центральных отделов;
- в острой фазе утолщение спинного мозга;
- в хронической фазе слияний очагов;
- атрофические изменения в мозге - заместительная гидроцефалия.
| Признаки РС на МРТ | Норма и очаги рассеянного склероза на МРТ снимках |
![]() |
Пример МРТ заключения с признаками РС
МОЗГОВОЕ ВЕЩЕСТВО: В глубоком и субкортикальном белом веществе. в том числе: юкстакортикально. в перивентрикулярных отделах, мозолистом теле, внутренней капсуле, среднем мозге, ножках и полушариях мозжечка. В стволе головном мозга определяются множественные (более 10> очаги повышенного в Т2 и Т2 Нан: ВИ. Некоторые — пониженного в Т1 ВИ - сигнала, размерами от 5 до 10 мм. Очаги повышенного в Т2 сигнала в верхних сегментах спинного мозга не определяются.
КОНТРАСТИРОВАНИЕ: Внутривенно введено 15мл контрастного препарата Магневиста. Патологического накопления контрастного вещества при динамическом/отсроченном сканировании не выявлено.
ПРИ СРАВНЕНИИ С ПРЕДЫДУЩИМ ИССЛЕДОВАНИЕМ определяются новые очаги в правом полушарии мозга размерами 5 мм.
ЛИКВОРОСОДЕРЖАЩИЕ ПРОСТРАНСТВА: Желудочки мозга не расширены. Конвекситальные субарахноидальные пространства не изменены. Базальные цистерны нормального размера. Смещение срединных структур - нет.
КОСТНЫЕ СТРУКТУРЫ: Кости свода черепа - без изменений. Структуры орбит без видимых патологических изменений.
Диагностика рассеянного склероза на МРТ
Для того, чтобы диагностировать рассеянный склероз, неврологи назначают пациенту сделать сначала МРТ головного мозга. Такое обследование необходимо сделать на высокопольном томографе мощностью магнитного поля не менее 1,5 Тесла. На начальном этапе развития болезни очаги рассеянного склероза могут быть незначительных размеров, поэтому лучше всего для их четкой визуализации осуществить МРТ головного мозга с контрастом. Если томографическое обследование показало наличие симптомов РС, врач назначит дополнительное обследование МРТ спинного мозга, чтобы понять, есть ли распространение очага и на эту зону нервной системы.
Помимо томографического исследования лечащий врач проведет неврологический осмотр и уточнит у больного историю его детских заболеваний и наличия вышеперечисленных клинических проявлений РС.
Данные томографии вкупе с результатами осмотра пациента позволят врачу поставить или опровергнуть первичный диагноз. Затем врач установит режим наблюдения за больным, чтобы оценить степень и скорость развития процесса демиелинизации. Все эти данные позволят выработать адекватную терапию по замедлению прогресса рассеянного склероза и улучшению качества жизни пациента.
Как определить рассеянный склероз по МРТ
Изменения на МРТ при рассеянном склерозе будут включать в себя:
Наличие множественных очагов измененного МР- сигнала.
Размеры очагов варьируются от 0,2 см до 1,1см.
Перифокальные изменения вокруг очагов часто отсутствуют. Продольная ось большинства из них ориентирована перпендикулярно сагиттальной плоскости. В стадии обострения очаги копят контрастный препарат.
Магнитно-резонансная томография также позволяет дифференцировать рассеянный склероз от следующих заболеваний:
- злокачественные и доброкачественные новообразования
- ишемические поражения тканей, кровоизлияния
- другие демиелинизирующие процессы
- воспалительные заболевания, в том числе поражения мозга у больных СПИДом
- наследственные заболевания, связанные с нарушением структуры головного мозга.
Запись в день обращения
Как часто нужно делать МРТ при рассеянном склерозе
Диагностика рассеянного склероза обычно занимает 1,5 - 2 года. Чтобы убедиться в точности диагноза, врачи оценивают, как развивается процесс во времени. Для этого пациенту назначают сделать МРТ головного и спинного мозга с временным интервалом 3-6 месяцев. Сравнительный анализ изменений позволяет оценить динамику образования новых очагов, географию распространения поражения и степень затронутости спинного мозга.
Видно ли на МРТ рассеянный склероз
Признак рассеянного склероза на МРТ снимках будут видны на ранней стадии, однако диагноз РС в ходе томографии врач рентгенолог не ставит. Это задача лечащего невролога, который на основании данных истории болезни, неврологического осмотра и серии МРТ осуществляет окончательную диагностику и определяется со стратегией терапии.
Покажет ли МРТ головного мозга опухоль
Коротко отвечая на вопрос, покажет ли опухоль МРТ головного мозга, можно сказать уверенное ДА. Магнитно-резонансная томография является приоритетным методом дифференциальной диагностики различных объемных образований в головном мозге, оболочке головного мозга, гипофизе, нервных жилах, сосудах. Данная методика активно используется при онкопоиске, поскольку позволяет визуализировать не только первичный очаг образования, но и метастатические поражения вещества головного мозга.
Когда нужно сделать МРТ головного мозга при опухоли
Ранняя диагностика опухолей головного мозга - это трудная задача по двум основным причинам:
- Многие опухоли мозга на ранних этапах не дают никакой клинической симптоматики, поэтому пациенту заподозрить что-то неладное по изменению в своем самочувствии очень сложно;
- Неврологические симптомы опухоли носят разнообразный характер и сильно зависят от локализации новообразования.
Свидетельствовать о возможной патологии могут:
- головные боли непонятного происхождения;
- частые головокружения;
- резкие перепады давления и сопутствующие им тошнота, рвота;
- повторяющиеся боли в шее;
- нарушение зрения и слуха;
- обморочные состояния;
- спутанность сознания, ухудшение памяти;
- мигренеподобные приступы;
- нарушения сознания, эпилепсия и другие припадки.
При клиническом осмотре больного невролог или онколог не сможет диагностировать объемное образование. Для этого потребуется аппаратная диагностика, например, МРТ или КТ головного мозга.
Покажет ли МРТ опухоль головного мозга
В большинстве случаев приоритетным методом выявление опухолевых образований будет магнитно-резонансная томография, поскольку белое и серое вещество очень хорошо визуализируется на снимках МРТ. Физика получения изображений при магнитно-резонансной томографии основывается на эффекте ядерного магнитного резонанса. Когда тело пациента помещается внутрь сканера, на мозговые структуры оказывает влияние сильное магнитное поле и радиочастотные импульсы. Под их воздействием атомы водорода в клетках начинают совершать колебательные движения. Этот резонанс фиксирует компьютер томографа, оцифровывает и переводит в трёхмерные изображения обследуемой области. Поскольку структуры головы на 80% состоят из воды, аппарат поможет сделать снимки очень высокой контрастности и четкости. Это позволяет врачам оценить:
- местоположение опухоли;
- ее размеры и форму;
- степень инвазии в соседние структуры;
- тканевой состав.
Для того, чтобы лучше всего разглядеть очаги при подозрении на объемное образование, МРТ головного мозга проводится с контрастированием. В ходе этой процедуры пациенту через вену на локтевом сгибе вводят специальный контрастный препарат на базе солей редкоземельного металла гадолиния. Контрастный состав максимально увеличивает тканевую контрастность, а по типу накопления и сбрасывания контрастного препарата врачи могут провести виртуальную гистологию опухоли и сказать, носит ли образование доброкачественный или злокачественный характер.
Особенно хорошо МРТ головы с контрастом способно показать:
- опухоли мозжечка
- глиобластому
- эпендимому
- глиальные опухоли
- метастазы
- невриномы
- менингеальные опухоли
- новообразования ствола головного мозга.
Как выглядит опухоль головного мозга на МРТ- фото
| МРТ здорового головного мозга | Глиома | Глиобластома |
Признаки опухоли на МРТ снимках
- наличие зоны измененного МР-сигнала от тканей мозга;
- гиперинтенсивный МР сигнал, гипоинтенсивный МР сигнал, гетерогенно изменений МР сигнал, изоинтенсивный МР сигнал;
- ориентировочные размеры, форма, контуры объемного образования;
- смещение, давление или изменение величины и деформации желудочков;
- аксиальная дислокация;
- блокада ликворных путей с развитом окклюзионной гидроцефалии;
- наличие перифокального отека;
- латеральная дислокация срединных структур или сосудистого сплетения “масс-эффекта”.
Пример МРТ расшифровки опухоль головного мозга
На серии МР-томограмм, взвешенных по Т1 и Т2-ВИ, tirm, получены суб- и супратенториальные структуры, определяются округлое объёмное патологическое образование, располагающееся по конвекситальной поверхности левой лобной доли, размером до 20х17х19 мм. Образование имеет достаточно чёткие округлые контуры, прилежит широким основанием к твердой мозговой оболочке, структура его несколько неоднородная. Вокруг образования имеется небольшой ликворный ободок и умеренно выраженный перифокальный отек головного мозга. Менингеальная оболочка на этом уровне утолщена с признаками симптома «хвоста», что наиболее характерно для менингиомы.
Срединные структуры не смещены.
Субкортикально, паравентрикулярно в белом веществе головного мозга определяются единичные очаги глиоза, имеющие четкие контуры, характеризующиеся гиперинтенсивным сигналом на Т2 ВИ и Tirm ИП, гипо- изоинтенсивным на Т1 ВИ, размерами до 3-4 мм в диаметре.
Боковые желудочки обычной конфигурации, существенно не расширены, минимально асимметричны (D>S).
Вокруг боковых желудочков имеются небольшие глиозные изменения.
III-й, IV-й желудочки, базальные цистерны не деформирован.
Стволовые структуры мозга не деформированы, имеют не измененный МР-сигнал.
Субарахноидальное пространство вне зоны патологических изменений выражено неравномерно, умеренно расширено по конвекситальной поверхности лобных, теменных долей.
Супраселлярная не деформирована. Гипофиз обычного расположения и размеров. Топография перекреста зрительных нервов не изменена.
Мосто-мозжечковые цистерны не деформированы.
Миндалины мозжечка расположены обычно.
Определяется пристеночный отёк слизистой в клетках решетчатого лабиринта и левой верхнечелюстной пазухе, имеющий повышенный сигнала на Т2 ВИ.
МР-картина объемного образования левой лобной доли с небольшим перифокальным отеком головного мозга (менингиома?).
МР-картина немногочисленных очагов глиоза вещества головного мозга сосудистого характера.
Качественная МРТ диагностика опухолей головного мозга
Для качественной томографии и безошибочной диагностики при подозрении на опухоль рекомендуется:
- проводить МРТ головного мозга на аппарате мощностью не менее 1,5 Тесла;
- шаг сканирования должен быть не менее 3 мм;
- рекомендовано применение контрастного усиления.
Мощное магнитное поле томографа при обследовании головного мозга обуславливает ряд противопоказаний. Особенность поля МРТ аппарата взаимодействовать с объектами, содержащими металл, сдвигать их с места и нарушать работу электронных систем, ограничивает проведение МРТ процедуры для пациентов, в теле которых установлены любые металлические имплантаты. Поэтому к томографическому исследованию не допускаются пациенты, которые имеют:
- протезы из металла, пластины, хирургические скобки, шунты и штифты, сосудистые катетеры из ферромагнитных материалов, а также любые металлические предметы как пули, осколки, застрявшие в теле
- искусственные сердечный клапаны, стимуляторы сердечной деятельности и дефибрилляторы
- ушной кохлеарный имплант
- вшитые медицинские помпы для дозированной подачи медикаментов
- зажимы и клипсы на сосудах.
Обращаем Ваше внимание на то, что наличие зубных протезов в общем и целом не является противопоказанием для проведения МР-сканирование головного мозга. Исключением может стать лишь очень узкая группа протезов, которые вызывают искажение изображения во время диагностики.
Если у Вас есть сомнения в отношении возможности проведения томографического исследования, позвоните нам, и мы поможем найти приемлемое решение для Вашего индивидуального случая.
Вопросы
Покажет ли МРТ опухоль головного мозга без контраста
Крупные опухоли видны на нативных бесконтрастных снимках. Мелкие метастазные поражения на базовом обследовании могут плохо визуализироваться. Признаки опухоли почти всегда видны на нативном МРТ снимке, однако не достаточно четко, чтобы провести качественную дифференциальную диагностику. Поэтому врач-рентгенолог, обнаружив в ходе бесконтрастного обследования признаки объемного образования, предлагает пациенту дополнить исследование контрастной процедурой.
| Вид исследования | Минимальная Цена | Цена на 3 Тесла |
|---|---|---|
| МРТ головного мозга | от 2800 руб. | от 5200 руб. |
| МРТ сосудов головного мозга | от 2800 руб. | от 8200 руб. |
| МРТ гипофиза | от 2800 руб. | от 5200 руб. |
| МРТ пазух носа | от 2800 руб. | от 5200 руб. |
| МРТ орбит и зрительных нервов | от 3200 руб. | от 5200 руб. |
| МРТ уха и слуховых нервов | от 3200 руб. | от 5200 руб. |
| МРТ черепно-мозговых нервов | от 3200 руб. | от 5200 руб. |
| Стоимость введения контрастного вещества | от 3500 руб. | от 3500 руб. |
Как МРТ определяет злокачественную опухоль
Злокачественные опухоли составляют до 50% всех опухолей головного мозга. Эти опухоли врач определяет по:
- нечеткости и неровности контуров и формы опухоли;
- большому перифокальному отеку;
- наличию “масс-эффекта”;
- неоднородному накоплению контрастного усиления;
- типу накопления контраста.
Как часто нужно делать МРТ после удаления опухоли
Периодичность МРТ головного мозга после удаления опухоли обычно определяет лечащий врач. Чаще всего после оперативного вмешательства первое обследование проводят через один месяц. Далее контрольные сканирования осуществляют раз в полгода в течение 3 лет после хирургического вмешательства.
МРТ и КТ при раке головного мозга - что покажет
МРТ головного мозга с контрастом, КТ головного мозга с контрастом являются аппаратными методами диагностики рака головного мозга. Исходя из первичных симптомов, истории болезни, противопоказаний и диагностических целей, врач невролог назначает необходимые способы обследования.
В большинстве случаев, МРТ головного мозга с контрастом выбирается как первичный метод диагностики. Если результаты исследования носят тревожный или неясный характер, дополнительно назначается:
Рак головного мозга - это злокачественное новообразование в головном мозге. Рак отличается от доброкачественной опухоли головного мозга тем, что имеет тенденцию к более быстрому росту и образованию метастазов. Злокачественные опухоли головного мозга могут затрагивать небольшие или большие участки мозга, а тяжесть основного заболевания может варьироваться от незначительной до угрожающей жизни. Патологии чаще всего обнаруживается при визуализации мозга, например, при магнитно-резонансной томографии головного мозга или компьютерной томографии головного мозга. На КТ или МРТ злокачественные опухоли мозга выглядят как темные или светлые пятна, которые не похожи на нормальную ткань мозга. Если поражение головного мозга обнаружено при МРТ или КТ исследовании рентгенолог может порекомендовать обратиться к неврологу или онкологу для проведения специализированного обследования и сдачи дополнительных анализов и рекомендовать дальнейшие обследования для постановки диагноза или последующие визуализационные исследования - чаще всего это:
- МРТ головного мозга с контрастом
- КТ головного мозга с контрастом
- ПЭТ-КТ
- ПЭТ-МРТ.
Симптомы злокачественной опухоли головного мозга зависят от того, где она находится. Общие симптомы включают:
- головные боли (чаще беспокоят по утрам, при кашле или натуживании);
- судороги;
- рвота;
- проблемы с памятью или изменения личности;
- слабость;
- проблемы со зрением или речью, которые ухудшаются.
Типы опухоли головного мозга
Выделяют несколько типов опухолей головного мозга. Как правило, их названия соответствуют той области мозга, где они расположены. Также они классифицируются по темпу роста и степени злокачественности. Чем выше число, тем серьезнее опухоль:
- Опухоли головного мозга 1 и 2 степени - это доброкачественные опухоли, которые имеют тенденцию к довольно медленному росту.
- Опухоли головного мозга 3 и 4 степени - это раковые злокачественные опухоли, которые растут быстрее и труднее поддаются лечению.
Опухоли головного мозга также могут быть первичными (начинаются в головном мозге) и вторичными (распространяются на мозг из другого органа).
МРТ и КТ в диагностике рака головного мозга
Пациент должен незамедлительно обратиться к неврологу, если у него есть симптомы опухоли головного мозга, которые не проходят или ухудшаются в течение некоторого времени. Наличие вышеперечисленных симптомов характерно для многих других неврологических заболеваний и не обязательно означает, что это рак мозга, но их следует проверить как можно быстрее. Для дифференциальной диагностики потребуется сделать МРТ головного мозга с контрастом. Данные магнитно-резонансной томографии позволяют провести диффернециальную диагностику рака головного мозга от других поражений мозга:
- аневризма головного мозга
- артериовенозная мальформация
- доброкачественная опухоль головного мозга
- энцефалит
- эпилепсия
- гидроцефалия
- рассеянный склероз
- инсульт
- травматическое повреждение головного мозга.
КТ часто используется как дополнительное обследование для стадирования рака головного мозга и выявления локации метастаз рака головного мозга в костных структурах, огранках грудной клетки и брюшной полости.
Разница между МРТ и КТ
Компьютерная томография и магнитно-резонансная томография используются для получения изображений органов и тканей в трехмерной проекции. Разница в томографии заключается в том, что при МРТ используются радиоволны, а при КТ - рентгеновские лучи для получения изображения. Хотя оба томографических метода имеют высокую информативность, есть диагностические различия, которые могут сделать каждый из них более подходящим вариантом в зависимости от обстоятельств.
КТ-сканирование более быстрая форма диагностики, чем магнитно-резонансная томография, и обычно используется для экстренного обследования. При использовании как КТ, так и МРТ существуют определенные риски. Они зависят от типа визуализации, а также от способа ее проведения. К рискам КТ относятся: вред для внутриутробного ребенка при беременности и доза радиации. Риски МРТ включают реакции на металлические импланты в теле из-за сильного магнитного поля, громкий шум от аппарата, повышенная, клаустрофобические риски.
Если врачу нужны более детальные изображения мягких тканей, связок или органов высоким состоянием воды, обычно назначается магнитно-резонансная томография. Если необходимо получить хорошие изображение костных структур и полых органов, обычно рекомендуется компьютерная томография.
Лечение злокачественных опухолей головного мозга
Лечение опухоли головного мозга направлено на то, чтобы удалить как можно большую часть опухоли и попытаться предотвратить ее повторное появление. Основные методы раковой терапии:
- Хирургическое лечение - при операции делается трепанация черепа, проводится резекция опухоли, а затем отверстие в черепе закрывается костной тканью.
- Лучевая терапия - облучение от внешнего аппарата используется для уничтожения раковых клеток мозга после операции.
- Химиотерапия - лекарственные препараты используются для уничтожения раковых клеток после операции или облегчения симптомов, если опухоль не может быть удалена хирургическим путем.
- Радиохирургия - множество лучей радиации направлено на раковое образование для уменьшения его роста.
- Имплантаты кармустина (глиальные пластины) - новый способ проведения химиотерапии для некоторых раков головного мозга высокой степени злокачественности.
Также может использоваться симптоматическая терапия для облегчения таких симптомов, как головные боли, судороги, тошнота, рвота.
Побочные эффекты лечения
У некоторых людей, перенесших злокачественную опухоль головного мозга, спустя месяцы или годы после лечения могут развиться побочные эффекты, такие как:
- катаракта;
- эпилепсия;
- проблемы с мышлением, памятью, языком;
- инсульт.
После лечения у некоторых онкологических больных могут возникнуть длительные проблемы, такие как:
- судорожные припадки;
- трудности при ходьбе;
- проблемы с речью.
В такой ситуации, возможно, потребуется трудотерапия и физиотерапия, чтобы помочь больному адаптироваться к любым возникшим осложнениям. Чтобы снизить риск инсульта, важно вести здоровый образ жизни, который предполагает отказ от курения, соблюдение сбалансированной диеты и регулярные физические упражнения.
Перспективы лечения рака головного мозга
Перспектива успешного лечения злокачественной опухоли головного мозга зависит от ряда факторов: ее расположения в головном мозге, размера и степени. Чем раньше обнаружено новообразование, тем лучше прогноз для пациента. Иногда рак можно вылечить, если он был обнаружен на ранней стадии, но часто опухоль головного мозга возвращается, что требует повторной терапии, или иногда ее невозможно удалить.
Читайте также:

