Диагностика травматического расслоения внутричерепной артерии по КТ, МРТ, ангиограмме
Добавил пользователь Владимир З. Обновлено: 11.12.2025
КТ - это современный информативный метод диагностики. В отличии от своего предшественника рентгена, это исследование дает трехмерное изображение, что позволяет специалисту получить более детальные сведения о состоянии исследуемого органа.
Что такое КТ
КТ - высокоточное исследование, которое основано на способности организма человека поглощать рентгеновские лучи. Различные структуры поглощают их с разной интенсивностью, эту информацию аппарат фиксирует и выдает в последствии в виде графического изображения.
Справка! С помощью КТ можно изучить анатомические структуры и ткани диаметром от нескольких миллиметров.
С повелением КТ у медиков появилась возможность изучать ткани органов неинвазивным способом.
На настоящий момент КТ является одним из самых популярных методов диагностики, и применяется во всех областях медицины. При необходимости может применяться контрастное вещество, что повышает четкость и контрастность изображения.
Что показывает

КТ-ангиография интракраниальных артерий способна определить:
- наличие атеросклеротических бляшек, их локализацию и размеры;
- состояние сосудистых стенок - вен, артерий, периферической системы;
- закупорку и стеноз сосудов головы и шеи - при наличии данных патологий риск развития острого нарушения мозгового кровообращения увеличивается;
- аневризмы, сердечную недостаточность, ишемические поражения;
- тромбы, кровоизлияния;
- новообразования и метастазы;
- травмы стенок сосудов;
- расслоение крупных сосудов.
Благодаря КТ можно выявить следующие заболевания:
- присутствие инородных частиц;
- переломы основания черепа;
- тромбозы;
- гематомы;
- кровоизлияния;
- кровотечения;
- абсцессы;
- острые коронарные нарушения;
- энцефалит;
- аневризмы;
- менингит и осложнения после него;
- кисты;
- гидроцефалию;
- новообразования;
- отиты и синуситы - при вовлечении в паталогический процесс сосудов.
Показания к КТ-ангиографии интракраниальных артерий
Показаниями к проведению данного исследования являются:

- повреждения сосудов;
- тромбоз крупных сосудов;
- окклюзия и атеросклеротический стеноз;
- опухоли - оценка кровотока;
- врожденные патологии сосудов и сердца;
- ишемия сердца;
- аневризмы;
- подготовка к трансплантации;
- стентирование - для ориентации;
- тромбоэмболия легочной артерии.
Подготовка к КТ-ангиографии интракраниальных артерий
Чтобы получить максимально точные результаты, к процедуре необходимо правильно подготовиться:
- За пару дней сделать анализ крови — скорость клубочковой реакции, креатинин, мочевина, предупредить врача об аллергии на йод (если планируется КТ с контрастированием), сообщить о беременности или грудном вскармливании.
- За 10-12 часов — прекратить принимать пищу, не употреблять алкогольную продукцию,
- Непосредственно перед исследованием в кабинете - снять с себя все предметы из металла.
Где сделать КТ-ангиографию интракраниальных артерий
Сделать КТ-ангиографию интракраниальных артерий можно в нашей клинике. У нас установлен томограф марки Brilliance CT 16 производства Philips Medical Systems. Его преимущества заключаются в следующем - сниженная лучевая нагрузка, быстрота и простота исследования, усиленный стол, который может выдерживать вес пациента до 130 кг.
На этот вид диагностики у нас самая доступная цена в Москве! За эту сумму вы получаете качественное обследование на аппарате высочайшего международного класса, с описанием от врача имеющего опыт от 7 лет. Услужливый персонал окружит Вас заботой и вниманием. Мы находимся в самом центре Москвы, в 1 минуте ходьбы от метро!
Как до нас добраться:
Зеленым цветом обозначен проезд на автотранспорте к месту парковки у нашего Диагностического центра.
Красными пунктирными точками - обозначен пешеходный путь от ст. метро Китай-Город, выход № 6. Идти до Клиники Здоровья 1 минуту, главное не пропустите вход в арку дома, она через 20 метров от выхода из метро. Во дворе этого дома вход в наш Диагностический центр Клиника Здоровья.

Методика проведения
Если проводится КТ без контрастирования, пациент располагается на столе, который задвигается внутрь аппарата. Врач выходит в соседний кабинет, но наблюдает за процедурой из окошка. Связь с пациентом поддерживается при помощи громкой связи. При необходимости пациент может задавать врачу вопросы. Сканер движется вокруг пациента, и собирает информацию, изображение передается на монитор.
Справка! Во время процедуры обследования необходимо соблюдать неподвижность.
Если исследование проводится с контрастированием, непосредственно перед исследованием в организм пациента вводится контрастное вещество.
Противопоказания
КТ с контрастированием не проводится при непереносимости йода и нарушениях работы щитовидной железы.
Что необходимо иметь с собой на диагностике
На диагностику нужно приходить с паспортом или другим удостоверением личности и назначением врача (при наличии).
Как часто можно делать КТ-ангиография интракраниальных артерий
Несмотря на минимальную дозу облучения КТ не рекомендуется делать часто (без острой на то необходимости). Желательно проводить данное исследование на чаще одного раза в полгода.
Отличие КТ от рентгена
Рентгенологическое исследование применяется в основном в отношении костной ткани, с мягкими тканями рентген не справляется. Во-вторых, КТ дает трехмерное изображение, а рентген плоское. В-третьих, интенсивность излечения у КТ существенно ниже, чем у рентгена.
Цена КТ
Стоимость КТ у нас ниже, чем в других клиниках в центре Москвы.
Вовремя проведенная диагностика позволяет выявить опасные патологии на ранних стадиях развития, а, следовательно, увеличить шансы на полное выздоровление пациента.
Специальные цены действуют для пациентов, обратившихся в клинику самостоятельно - не через порталы по поиску врачей и диагностики.
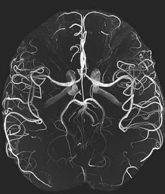
КТ артерий головного мозга

Компьютерная томография головного мозга является одним из наиболее информативных методов диагностики.
Исследование назначают при:
частых головных болях неясного происхождения,
повторяющихся приступах тошноты, рвоты;
ухудшении зрения, помутнении или болях в глазах;
гуле, жужжании, шуме и свисте в ушах;
онемении конечностей, судорогах;
заторможенности, спутанности сознания;
проблемах с координацией движений;
частых потерях равновесия;
повышении внутричерепного давления.
КТ артерий головного мозга делают после недавно перенесенного инсульта или черепно-мозговой травмы, при планировании оперативных вмешательств на сосудах головы.
Из-за взаимозависимости шейных и мозговых сосудов может понадобиться комплексное проведение КТ шеи и головного мозга. В ходе сканирования создается множество послойных изображений, позволяющих получить полную картину состояния сосудистой системы.
В медицинском центре «Магнит» диагностику проводят на мультиспиральном томографе (МСКТ) Siemens Somatom Emotion 16. Это аппарат, оснащенный большим количеством датчиков, за счет чего время обследования сокращается, и пациент испытывает минимальную лучевую нагрузку. Снимки и заключение КТ головного мозга можно получить на руки и по электронной почте.
Что покажет КТ артерий головного мозга
КТ артерий головного мозга позволяет оценить анатомическое строение и взаиморасположение сосудов и обнаружить отклонения от нормы. Обследование дает возможность не только определить проблемы с кровоснабжением мозга, но и при помощи программного обеспечения преобразовать полученную информацию в трехмерную пространственную модель.
КТ артерий головного мозга показывает:
пороки развития сосудов (аневризмы, артерио-венозные мальформации);
тромбозы и эмболии ;
доброкачественные и злокачественные опухоли;
стенозы сосудов головного мозга;
церебральные васкулиты (воспаления сосудистой стенки);
кровоизлияния в полость черепа и прочие повреждения сосудов в результате травм головы;
ангиопатии различного происхождения;
острые нарушения мозгового кровообращения ишемического и геморрагического характера, т.е. очаги ишемии или инфаркта (инсульты);
На основании данных КТ артерий головного мозга врач делает заключение о состоянии просвета сосудов, их стенки и других показателях функционирования кровеносной системы.
КТ ангиография артерий и сосудов мозга
Ангиография - это исследование сосудов с применением контрастного вещества. КТ артерий головного мозга с контрастированием актуальна, когда другие технологии диагностики сосудов головы и шеи не показывают полную клиническую картину. По своей информативности она приближается к “золотому стандарту” диагностики - дигитально-субтракционной церебральной ангиографии, но является неинвазивным методом исследования и не требует госпитализации в стационар.
Компьютерная ангиография головы нужна:
при подозрении на инсульт;
для определения характера кровоснабжения новообразований;
при наличии воспалительных процессов в сосудах;
при подозрении на сдавление сосудов опухолями или прорастание последних раковых в стенки артерий и вен;
перед хирургическими вмешательствами;
для контроля в послеоперационном периоде.
Помимо этого компьютерная томография головного мозга проводится при наличии противопоказаний к магнитно-резонансной ангиографии.
Препарат для контрастирования изготавливают на основе йода. Распространяясь по кровотоку после введения в вену, средство окрашивает сосуды и накапливается в тканях, что способствует усилению видимости исследуемых структур. В течение 12-24 часов после КТ артерий головного мозга контраст выходит из организма естественным путем.
Особенности КТ ангиографии артерий и сосудов мозга
Процедура КТ головного мозга с контрастом требует подготовки:
определения наличия у пациента аллергии на йод;
анализа крови на уровень содержания креатинина;
Пациент должен предупредить врача о принимаемых лекарственных препаратах, так как некоторые из них в сочетании с контрастированием могут вызвать нежелательные последствия. Минимум за 12 часов до процедуры прием лекарств должен быть прекращен по согласованию с лечащим врачом.
На время КТ артерий головного мозга пациента помещают в кольцеобразную камеру аппарата. В этот момент важно сохранять полную неподвижность и выполнять команды. Это обеспечит максимальную четкость фото, которые затем будет анализировать специалист.
Сначала выполняют сканирование без контрастного препарата, потом через венозный катетер внутрь вводят красящее вещество. Человек может ощутить тепло во всем теле, привкус металла во рту и легкую тошноту. Иногда при введении контраста появляются головокружение и общая слабость. Это тоже вариант нормы. По окончании КТ-диагностики головного мозга неприятные симптомы в течение короткого времени пройдут сами.
Следующую серию снимков делают после распределения красителя по сосудам. Весь процесс исследования занимает 15-20 минут. Для анализа изображений в медицинском центре «Магнит» отводится два часа.
КТ артерий мозга с контрастом - противопоказания
Процедура с контрастным усилением имеет ряд противопоказаний. МСКТ или КТ сосудов головного мозга с контрастированием не делают в следующих случаях:
Индивидуальная непереносимость компонентов контраста.
При попадании внутрь йода происходят химические реакции, приводящие к образованию белковых хелатных соединений. Эти белки воспринимаются организмом как чужеродные и вызывают аллергическую реакцию. Симптомы аллергии при контрастировании могут быть дерматологическими (сыпь, зуд, покраснение кожи) или системными (затрудненное дыхание, отечность лица, бронхоспазм, отек Квинке, анафилактический шок). Не только непереносимость йода, но и любая серьезная аллергия увеличивает риск возникновения реакции на контрастные вещества.
Повышенный уровень креатинина в крови.
Важно, чтобы препарат для контрастного усиления КТ артерий головного мозга как можно быстрее был выведен почками из крови. Если в результатах анализа показатели креатинина выше нормы, это говорит о том, что выделительная функция почек нарушена. Тогда велик риск, что посторонние вещества задержатся в организме, из-за чего здоровье ухудшится.
Прием метформина при лечении сахарного диабета.
Данный препарат снижает скорость клубочковой фильтрации почек, таким образом увеличивая повреждающее действие контраста. Мало того, при совмещении с йодсодержащими медикаментами метформин может спровоцировать развитие лактоацидоза - крайне опасного осложнения, при котором в организме накапливается молочная кислота. Если больной сахарным диабетом принимает метформин, необходимо, чтобы эндокринолог отменил или заменил препарат за двое суток до компьютерной томографии головного мозга с контрастированием.
Также исследование не проводят:
при тяжелом состоянии и очень плохом самочувствии пациента - во время диагностики ситуация может усугубиться;
беременным женщинам - из-за вреда рентгеновского излучения для плода;
детям до 12 лет - в более раннем возрасте труднее попасть в вену и объяснить ребенку необходимость и ход проводимых манипуляций.
Лактация не является противопоказанием к МСКТ и КТ артерий головного мозга. Но так как часть красителя проникает в молоко, после процедуры необходимо отказаться от двух последовательных кормлений. При подготовке к компьютерной томографии головного мозга с контрастированием мамам рекомендуется заранее сцедить и сохранить молоко.
КТ или МРТ артерий мозга, что лучше?
Несмотря на высокую точность, ни один из методов не является универсальным. Каждый имеет свои возможности и ограничения.
МРТ отличается минимальным количеством противопоказаний и за счет отсутствия рентгеновского излучения является безвредным, в том числе для маленьких детей и беременных женщин. В большинстве случаев при магнитно-резонансной диагностике можно обойтись без специальной подготовки и использования контраста. Но данный способ обследования не подходит людям с металлическими коронками, имплантами и кардиостимуляторами.
МРТ позволяет изучить состояние вещества мозга, но недостаточно эффективна для оценки состояния сосудов и при черепно-мозговых травмах в остром периоде. В таких случаях более информативной является КТ артерий головного мозга, которая показывает трещины черепа, разрывы сосудов, нарушения со стороны желудочковой системы.
В отличие от КТ артерий головного мозга при МРТ хуже видны мелкие кровоизлияния в мозговое вещество. Также компьютерная томография лучше диагностирует аневризмы и артерио-венозные мальформации: врач видит не только протяженность патологического участка, но и внутренние тромбы и сгустки. Это дает возможность сделать заключение об операбельности больного.
Когда речь идет об угрожающих жизни состояниях (травмах при ДТП, инсультах), прибегают к компьютерной томографии. Она позволяет провести срочную диагностику и не требует так много времени, как магнитный резонанс.
Однозначно ответить на вопрос, какое исследование лучше, непросто. Каждый метод по-своему незаменим. Выбирая способ обследования в конкретной ситуации, врач ориентируется на показания, противопоказания, возможности томографа и другие нюансы.
МРТ артерий головного мозга что показывает

МР-томография - современный диагностический метод, основанный на применении силового поля. Атомы водорода в молекулах воды реагируют на направленный электромагнитный импульс. Последний провоцирует смену положения заряженных частиц. В период покоя протоны возвращаются на исходное место.

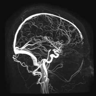
3D-модель церебральных артерий и вен
На фоне ядерного резонанса возникает слабый электромагнитный сигнал, который считывают при помощи чувствительных детекторов. Информацию обрабатывают, данные преобразуют в серию послойных снимков и транслируют на монитор компьютера.
МРТ сосудов головного мозга включает сканирование вен и артерий, изучение характера церебрального кровоснабжения. Объект исследования обладает выраженными парамагнетическими свойствами. Благодаря высокому содержанию воды жидкие среды обеспечивают гиперинтенсивный сигнал на фоне окружающих тканей. При необходимости МРТ артерий головного мозга можно проводить без использования контраста.
Преимуществами магнитно-резонансной томографии в диагностике сосудистых патологий являются высокая информативность и безопасность исследования.
Что покажет МРТ артерий головного мозга?
Магнитная ангиография визуализирует кровеносную сеть, позволяя рассмотреть интракраниальное (внутричерепное) пространство под разными углами. МРТ сосудов показывает состояние вен и артерий, дает возможность оценить работоспособность головного мозга. Томограммы отражают малейшие изменения проходимости, наполненности кровеносных каналов, признаки ишемии церебральных структур. В некоторых случаях назначают комплексное исследование брахиоцефальных и магистральных сосудов шеи.
Артерии, обеспечивающие питание головного мозга, отходят от Виллизиева круга. В образовании данного кровеносного сплетения участвуют:
- соединительные артерии (передняя и две задних);
- три пары мозговых каналов.
Второе артериальное формирование в полости черепа - круг Захарченко. Расположен на передней вентральной поверхности продолговатого мозга. Круг Захарченко образован:
- двумя позвоночными артериями;
- парой передних спинномозговых сосудов.
С помощью магнитно-резонансной томографии получают подробные изображения всей артериальной системы головы или определенного участка интракраниального пространства. На снимках хорошо видны сосуды и окружающие ткани.
По результатам МРТ артерий головного мозга оценивают:
- расположение сосудов;
- просвет, диаметр кровеносного русла на всей протяженности;
- наполненность артерий, характер кровотока;
- толщину, однородность, целостность сосудистой стенки;
- состояние окружающих тканей.
В норме врач указывает на отсутствие аномалий развития, травматических и иных повреждений мозговых артерий, отмечает соответствие качественных показателей гемодинамики.

Аневризма (стрелка) на снимке МРТ головного мозга (А) и в режиме ангиографии (Б)
При цереброваскулярных заболеваниях процедура визуализирует следующие патологические изменения сосудов:
- стенозы, окклюзии кровеносного канала;
- истончение, выпячивание стенки артерии на ограниченном участке;
- эмболии различной природы (газовые, тромботические, паразитарные и пр.);
- утолщение, расслоение артериальной стенки при воспалительных процессах;
- сосудистые опухоли;
- внешнюю (экстравазальную) компрессию тканями новообразования, рубцами, окружающими структурами;
- разрывы сосудистой стенки;
- дегенеративные изменения с прорастанием соединительной ткани в просвет артерии;
- пристеночные холестериновые отложения (бляшки);
- патологические соединения (анастомозы);
- смещение кровеносного русла относительно окружающих тканей;
- аномальные петли, изгибы сосуда и пр.
МРТ артерий головного мозга показывает, что послужило причиной развития заболевания, позволяет уточнить патогенез и возможные последствия процесса.
С помощью магнитно-резонансной ангиографии диагностируют:
- ишемические инсульты (изменения видны сразу);
- отсроченные последствия черепно-мозговых травм;
- геморрагические инсульты (изменения заметны в отдаленном периоде);
- артерииты;
- церебральный атеросклероз;
- артерио-венозные мальформации;
- доброкачественные опухоли (гемангиомы);
- Кинкинг-синдром (перегиб артерии);
- злокачественные образования (ангиосаркомы);
- аневризмы;
- кавернозные ангиомы;
- вазоспазм;
- церебральные опухоли (косвенно);
- признаки артериальной гипертензии.
С помощью МРТ уточняют расположение и протяженность патологически измененного участка. При стенозах определяют степень проходимости артерии, интенсивность кровотока. В случае окклюзии выявляют причины (внутри-, внесосудистые факторы), локализацию блока, последствия со стороны церебральных структур.
МРТ артерий головного мозга при добро- и злокачественных новообразованиях сосудов визуализирует сужение просвета, нарушение гемодинамики, изменение строения стенок канала. По результатам обследования определяют особенности взаимоотношения здоровых и пораженных тканей, степень вовлечения в процесс окружающих анатомических структур.
Для атеросклероза характерны стенозы, вызванные жировыми отложениями на внутренней поверхности кровеносного русла. Со временем на холестериновых бляшках оседают ионы кальция.
При ишемических и геморрагических инсультах МРТ артерий показывает нарушение проходимости канала, разрывы сосудистой стенки. На томограммах видны очаги поражения головного мозга. В первые часы участок ишемии имеет четкие границы, просвет артерии блокирован эмболом. Иногда определяется экстравазальная компрессия, которая приводит к стенозу (окклюзии) канала. В отдаленном периоде наблюдают расширение боковых желудочков, борозд коры головного мозга.

Субарахноидальная гематома на снимках МР-ангиографии
Артерио-венозные мальформации имеют вид аномальных соединений, переплетений кровеносных сосудов. В месте локализации патологии отмечают нарушение гемодинамики, изменение церебральных структур.
На основании полученных снимков рентгенолог описывает состояние артериальной системы головы. В заключении пишут предполагаемый диагноз, окончательное решение принимает лечащий врач.
Показания и противопоказания к МРТ артерий головы
Газообмен в церебральных структурах происходит с помощью кровеносных сосудов. Артерии обеспечивают кислородом клетки мозга, отвечают за питание и функциональность центральной нервной системы.
Цереброваскулярные патологии на начальных стадиях протекают бессимптомно или имеют смазанную картину, что затрудняет диагностику процесса. Лицам, находящимся в группе риска по данному классу заболеваний, рекомендуют ежегодно делать МРТ головного мозга и шеи.
Развитию сосудистых патологий способствуют:
- лишний вес, малоподвижный образ жизни;
- вредные привычки (употребление алкоголя, табакокурение и пр.);
- регулярные нарушения режима сна и отдыха;
- травмы головы, операции в анамнезе;
- эндокринные нарушения (сахарный диабет) и др.
При каких симптомах назначают МРТ артерий головного мозга? Сканирование проводят при:
- повторяющихся обмороках;
- сильных головных болях, мигрени;
- судорожном синдроме;
- эпилептических припадках;
- нарушении координации в пространстве;
- снижении памяти, интеллекта;
- резком ухудшении слуха;
- снижении остроты зрения;
- повторяющихся носовых кровотечениях;
- резких скачках артериального давления;
- ухудшении памяти, внимания, концентрации;
- парестезиях, параличе мускулатуры лица, конечностей (чаще односторонних).
МРТ кровеносных сосудов, в том числе и артерий головного мозга, показана перед хирургическим вмешательством. Сканирование позволяет уточнить протяженность и локализацию патологического процесса, определить причины развития заболевания и характер предстоящей операции.
В период восстановления контрольная МРТ сосудов головы поможет своевременно выявить осложнения хирургического лечения (кровотечения, тромбозы и пр.).

Магнитная диагностика цереброваскулярных патологий
Метод можно использовать неограниченное число раз. МРТ не дает вредной лучевой нагрузки, исследование проходит без негативных последствий для организма. Ограничения к диагностической процедуре связаны с физическими свойствами магнитного поля. Под влиянием импульса возможно смещение, нагревание металлических элементов, поломка электронных приборов.
Противопоказаниями к МРТ артерий головного мозга служат:
- эндопротезы, изготовленные из материалов-ферромагнетиков;
- кровоостанавливающие клипсы;
- металлические инородные тела (осколки, стружка и пр.);
- вживленные кардиостимуляторы, инсулиновые помпы и другие устройства медицинского назначения;
- у женщин - грудные имплантаты с магнитными направляющими;
- первый триместр беременности;
- татуировки, выполненные металлсодержащими красками.
В диагностических центрах МРТ сосудов головного мозга детям проводят с 5 лет. Ограничение вызвано сложностями с сохранением неподвижного положения во время сканирования. При наличии симптомов нарушения мозгового кровообращения МР-исследование назначают со второго месяца жизни. Магнитно-резонансную томографию маленьким детям делают в стационаре под общей анестезией.
МРТ артерий головного мозга с контрастом
Для повышения информативности исследования церебральных сосудов используют раствор гадолиния. Средство относят к классу парамагнетиков. Под действием внешнего импульса собственное силовое поле контрастного вещества меняется. Благодаря этому препарат на снимках МРТ имеет яркую окраску.

Ангиограмма сосудов головного мозга
Гадолиний обладает низкой токсичностью, не вызывает аллергии и выводится из организма естественным образом. Очищение происходит с помощью печени и почек, процесс занимает 24-72 часа.
МРТ с контрастированием назначают при симптомах онкологического заболевания, в случае недостаточной информативности нативного исследования.
Раствор вводят внутривенно, через катетер, соединенный с автоматическим инъектором. Такой вид контрастирования называют болюсным. Препарат поступает в кровь с постоянной скоростью, что обеспечивает максимальную точность исследования.
Усиление при МРТ имеет ряд ограничений:
- беременность вне зависимости от срока - хелаты гадолиния оказывают тератогенное воздействие на плод;
- заболевания печени и почек в терминальной стадии - при выведении препарата возрастает нагрузка на органы фильтрации, что может привести к декомпенсации процесса;
- ранний детский возраст - внутривенные инъекции ребенку делают в стационаре, контрастную МРТ сосудов в амбулаторных условиях проводят по достижении 12 лет.

Артерио-венозная мальформация (стрелка)
Сканирование с болюсным усилением проводят в два этапа: после серии нативных снимков делают инъекцию раствора гадолиния. Препарат заполняет кровеносное русло и межклеточное пространство, визуализируя изменения каналов и окружающих тканей.
Контрастная МРТ артерий головного мозга показывает новообразования сосудов и церебральных структур на начальных стадиях формирования. На снимках определяются опухоли диаметром от 3 мм.
Злокачественные образования медленнее накапливают и отдают контраст. Очаги, состоящие из атипичных клеток, обеспечивают гипоинтенсивный сигнал в начале сканирования, по мере увеличения концентрации хелатов гадолиния приобретают яркую окраску.
Как делают МРТ артерий головного мозга?
Исследование проводят на томографах двух видов:
- открытых устройствах - состоят из медицинской кушетки и магнитной рамы;
- аппаратах тоннельного типа - сканирующая часть расположена в трубе, куда закатывают стол томографа.
Первые позволяют сделать МРТ артерий и венозных сосудов головного мозга пациентам, вес которых выше 130 кг, объем живота более 150 см. Больные, страдающие клаустрофобией, не чувствуют дискомфорта при обследовании на открытых устройствах.
Недостатком аппаратов является низкая мощность (до 0,8 Тл). Открытые томографы подходят для рутинных исследований церебральных сосудов.
Тоннельные агрегаты генерируют магнитное поле напряженностью от 1,5 до 3 Тл и обеспечивают получение снимков лучшего качества. Закрытые томографы используют для высокоточных диагностических исследований сосудов головного мозга и шеи.

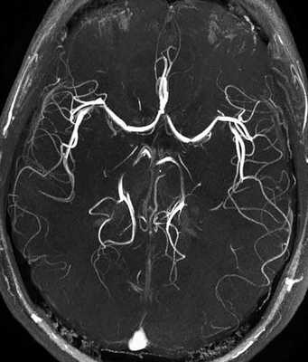
МР-ангиография церебральных артерий на аппарате тоннельного типа
Сканирование проводят в специально оборудованных изолированных кабинетах.
Этапы МРТ артерий и сосудов головного мозга:
- Пациент ложится на стол лицом вверх, занимает удобное положение. Тело и голову фиксируют во избежание случайных движений, искажающих картину МРТ.
- Специальные наушники обеспечивают защиту от шума.
- В руку больному вкладывают тревожную кнопку, с помощью которой сканирование можно остановить в любой момент.
- Медицинский персонал располагается в соседнем кабинете, визуальный контроль за процедурой ведут через прозрачную перегородку, связь с пациентом поддерживают через микрофон.
- Стол закатывают в трубу томографа.
- Выполняют нативную съемку.
- При МРТ с контрастом в середине процедуры делают паузу для введения раствора гадолиния.
Сканирование проводят в аксиальной, сагиттальной и фронтальной плоскостях. Для уточнения локализации патологического очага и перед операциями реконструируют 3D-модель рассматриваемой зоны.
Сколько длится магнитно-резонансная томография артерий головы
На процедуру приходят за 10-15 минут до назначенного срока. В течение этого времени необходимо оформить документы, прослушать инструктаж специалиста.
Нативное сканирование занимает 15 минут. При использовании контраста продолжительность диагностической процедуры увеличивается. МРТ интракраниальных сосудов и артерий головного мозга с болюсным усилением длится полчаса.
После сеанса врач анализирует изображения, заполняет протокол исследования, составляет заключение. Время ожидания результатов - от 15 до 30 минут. При личном получении заключения рентгенолог проводит бесплатную консультацию: расшифровывает картину сканирования, дает рекомендации, к какому специалисту следует обратиться.
В сложных случаях возможно составление “Второго мнения”. Два рентгенолога независимо друг от друга анализируют результаты и делают описание снимков. Ожидание второго заключения занимает до 2 часов. Услуга снижает риск врачебной ошибки и повышает качество диагностической процедуры.
Как подготовиться к МРТ артерий головного мозга
На процедуру следует принести документы (паспорт, полис ОМС, выписку из медицинской карты и пр.). Врача необходимо предупредить о наличии противопоказаний. Женщинам, подозревающим беременность, нужно пройти дополнительное обследование для уточнения состояния.
Перед прохождением МРТ сосудов с контрастом желательно перекусить. За 2-3 дня до сканирования из рациона исключают алкоголь, тонизирующие напитки, энергетики, ограничивают курение.
Женщины в период лактации должны приготовить молоко для кормления ребенка. После контрастного усиления грудь сцеживают в течение 6-12 часов.
Перед процедурой снимают украшения, пирсинг, аксессуары из металла.

МРТ артерий головного мозга — прогрессивная технология, позволяющая получить трехмерное изображение сосудистой сети и выявить отклонения и патологии в функционировании артерий.
На протяжении длительного периода времени неврологи ставили диагноз на основе клинических данных и результатов осмотра. Однако после появления магнитно-резонансной томографии диагностика заболеваний стала проще и доступнее. МРТ артерий головы позволяет не только выявить патологию, но и определить стадию ее развития. Это позволит врачу своевременно назначить лечение и снизить вероятность появления осложнений.

МРТ изображение артерий головного мозга
Магнитно-резонансная томография позволяет не только увидеть строение артерий, но и оценить просвет сосуда и визуализировать сосудистую стенку. Благодаря МРТ диагностика заболеваний стала возможна на самых ранних этапах их возникновения.
Аномалии артерий головного мозга
Патологии артерий головного мозга могут приводить к ряду тяжелых состояний. Среди самых опасных заболеваний, которые показывает МРТ артерий головного мозга, можно выделить следующие:
Аневризма
При этой патологии на пораженном участке появляется расширение просвета артерии. Ранее это заболевание диагностировали с помощью рентгеновской ангиографии. Однако самым безопасным методом на сегодняшний день является МРТ. Своевременное выявление аневризмы может предотвратить массированное кровоизлияние в мозговые ткани.
Ангиома
Ангиома — это новообразование из ткани сосудов, размеры и месторасположение которого могут быть различными. На снимках МРТ патология представляет собой многоузловое образование.
Атеросклероз
При атеросклерозе на внутренних стенках кровеносных сосудов откладываются жиры, образуя бляшки. Если вовремя не начать лечение, то может развиться гипоксия мозговых тканей.
При проведении обследования можно выявить три стадии болезни:
- На стенках кровеносных сосудов присутствует немногочисленные вкрапления холестерина.
- Холестерина становится всё больше, к нему прибавляются тромбоциты, образуются бляшки, сужающие просвет сосудов.
- На бляшках оседают ионы кальция.
При третьей стадии человек часто испытывает сильные головные боли, возможно нарушение когнитивных функций и ухудшение памяти.
Инсульт
Это заболевание представляет собой острое нарушение мозгового кровообращения, при котором участок мозга перестает снабжаться кровью, вследствие чего возникает некроз тканей. Выделяют несколько видов патологии:
- Геморрагический. При данном типе инсульта происходит разрыв артерии в головном мозге.
- Ишемический. Образуется закупорка просвета артерии тромбом.
- Лакунарный. При закупорке сосудов могут образовываться кисты.
- Кардиоэмболический. Причиной закупорки сосудов становятся сердечные эмболы.
При появлении симптомов инсульта необходимо срочно сделать МРТ, которая покажет степень повреждения окружающих тканей. Согласно статистическим данным только 10% людей могут полностью восстановиться после перенесенного инсульта, у 90% пациентов развиваются серьезные осложнения. Именно своевременное диагностирование помогут существенно облегчить реабилитацию после болезни.
МРТ артерий головного мозга позволяет с высокой точностью определить вид инсульта и локализацию нарушений кровообращения.
Если обследование было сделано в первые часы после инсульта, на снимках будут четко отражены очаги и врачи смогут начать экстренное лечение для рассасывания тромба. Если инсульт выявлен спустя некоторое время, происходит разрешение отека, борозды коры головного мозга и боковые желудочки расширяются.
Гипертония
Гипертония — заболевание сердечно-сосудистой системы, которое характеризуется повышенным давлением, вызванном нарушением сосудистой регуляции и сердечными патологиями. В мозговых артериях при МРТ выявляются косвенные признаки гипертонической ангиопатии.
Артериовенозная мальформация
Мальформация возникает, когда несколько сосудов разного диаметра переплетаются вместе. Одна артерия питает этот узел, а вена отводит кровь. При МРТ необходимо найти эти сосуды. При исследовании изредка может использоваться контрастное вещество, помогающее определить место локализации мальформации.
МРТ артерий головного мозга: при каких симптомах делают
Показаниями к МРТ артерий головного мозга может быть возникновение следующих симптомов:
- частые, сильные головные боли;
- головокружение, потеря координации;
- травмы и ушибы головы;
- повышенное внутричерепное давление;
- нарушение речи;
- нарушение когнитивных функций;
- шум в ушах;
- внезапное ухудшение зрения.
При возникновении подобных состояний пациенты чаще всего обращаются к неврологу. После опроса пациента о беспокоящих симптомах доктор может назначить ряд обследований, в том числе проведение МРТ артерий головного мозга.

МР-изображение артерий мозга
Исследование может проводиться не только для диагностирования заболевания, но и для определения эффективности лечения различных патологий.
МРТ артерий головы - показания и противопоказания
МРТ артерий головного мозга назначается с целью выявления целого ряда заболеваний:
- расслоение стенок кровеносных сосудов;
- кровоизлияния в мозг;
- старческое слабоумие;
- врожденные патологии сосудов;
- сосудистые мальформации;
- стеноз артерий;
- атеросклероз;
- тромбоз;
- ишемия головного мозга;
- аневризма (расширение стенок артерий);
- новообразования.
Как и любая другая диагностическая процедура, магнитно-резонансная томография имеет свои противопоказания.

Современный томограф Philips Intera 1.5 T
Обследование нельзя проводить в следующих случаях:
- первый триместр беременности;
- наличие у пациента кардиостимулятора, нейростимулятора, сосудистых клипс или медицинских приборов и изделий из ферромагнетиков;
- вес пациента более 130 килограмм;
- обхват в талии более 150 сантиметров;
- неспособность сохранять неподвижное положение в силу различных причин;
- детский возраст до 5 лет.
При подозрении на возможные противопоказания необходимо сообщить о них врачу, который поможет определить возможно ли проведение процедуры в каждом конкретном случае.
При необходимости использования контрастного вещества нужно убедиться в отсутствии предшествующих тяжелых аллергических реакций. МРТ артерий головного мозга обычно не нужно проводить с контрастом, но если такая потребность возникает — надо убедиться в отсутствии беременности.
В большинстве случаев современные высокопольные томографы помогут дать детальную картину строения артерий и вен головного мозга. Но иногда доктора прибегают к улучшению качества изображения посредством введения специального окрашивающего вещества — контраста. Делается это для того, чтобы увидеть более четкую картину тогда, когда повреждения или изменения в артериях могут быть очень малы в размерах.
Современное контрастное вещество изготавливается на основе металла гадолиния и является безопасным. Препарат вводится внутривенно и окрашивает поврежденные ткани. При этом пациент обычно не чувствует ничего необычного В редких случаях может возникать ощущение тепла в месте введения или области исследования.
Контрастные препараты практически не вызывают аллергии и не требуют предварительной аллергопробы, если у пациента ранее не наблюдались острые аллергические реакции или тяжелая форма почечной недостаточности.
МРТ артерий головного мозга, как подготовиться
Специальная подготовка перед исследованием не требуется. Нет необходимости соблюдать диету или отказываться от привычного образа жизни.
Непосредственно перед началом процедуры пациент должен снять с себя все металлические предметы и убрать все гаджеты — они могут помешать работе аппарата.
Сколько длится МРТ артерий головного мозга
В среднем время проведения обследования составляет около 15 минут. Если при МРТ используется контраст, то время процедуры увеличится в среднем еще на 15 минут.
Подготовка заключения и анализ полученных снимков занимает у врача-исследователя еще около 30 минут после проведения МРТ.
Как проходит МРТ артерий головного мозга
После того, как пациент зашел в кабинет, он должен уведомить врача о противопоказаниях, если таковые имеются. Ему нужно снять все металлические предметы. Если процедура будет проводиться в одежде, необходимо убедиться в отсутствии на ней металла.
Пациента просят лечь на кушетку и стабилизируют положение головы.. Это позволит снизить риск ухудшения качества исследования, так как при малейших движениях головы могут получиться размытые снимки.

Подготовка к МРТ артерий головного мозга
Пациенты, которые боятся находиться в замкнутом пространстве, могут предварительно принять успокоительные препараты. В случае ухудшения самочувствия пациент всегда может связаться с врачом во время проведения процедуры по двухсторонней связи.
Современные высокопольные томографы издают достаточно громкие звуки во время работы. Боятся этого не надо — такие звуки свидетельствуют о нормальной работе аппарата. Для уменьшения дискомфорта в медицинском центре «ДиМагнит» каждому пациенту выдаются наушники, в которых во время процедуры звучит приятная музыка, заглушающая шум от работы томографа.
После окончания исследования пациенту в течение получаса выдают снимки, записанные на диск или флеш-накопитель, а также письменное заключение врача.
Расшифровка МРТ артерий головного мозга
После того как пациент закончил обследование, происходит расшифровка результатов, состоящая из нескольких этапов:
- Томограф передает множество сделанных снимков на специальный компьютер. Количество изображений может достигать тысячи, а толщина среза 1-3 миллиметров.
- Врач-рентгенолог тщательно осматривает снимки и составляет письменное заключение, в котором подробно описываются анатомические структуры, возможные отклонения в строении и функционировании.
Если у человека не имеется каких-либо проблем с артериями, то на снимках они будут подсвечены равномерно, отсутствуют узлы и пустоты. Если присутствует опухоль или киста, на снимках образуются темные пятна.
Врач-рентгенолог описывает увиденное на снимках, окончательный же диагноз ставится лечащим врачом на основании заключения МРТ.
В медицинском центре «ДиМагнит» можно пройти процедуру магнитно-резонансной томографии артерий головного мозга в любой удобный для вас день и время. Врачи центра обладают огромным опытом быстро и четко расшифровывают полученные изображения.
МРТ артерий головного мозга — это безопасная процедура, которая показывает малейшие проявления заболевания на ранних этапах их возникновения. Исследование не причиняет дискомфорта, проходит быстро и безболезненно, а его эффективность не сравнима ни с какими другими видами исследования артерий головного мозга.
КТ сосудов, или КТ-ангиография: как и для чего делается

Компьютерная томография (КТ) сосудов, или КТ-ангиография - это исследование, которое делается с помощью мультиспирального компьютерного томографа (МСКТ) и применяется для визуализации крупных кровеносных сосудов (главным образом, артерий) с целью выявления их патологических изменений. Любое медицинское отображение сосудов называется ангиографией, и наряду с КТ-ангиографией существуют еще классическая субтракционная ангиография (ДСА, DSA), которая выполняется в условиях рентген-операционной, и МР-ангиография - это исследование делается на магнитно-резонансном томографе.
Сделать КТ-ангиографию в Санкт-Петербурге
ЗАЧЕМ ДЕЛАЕТСЯ КТ СОСУДОВ
КТ сосудов применяется для оценки состояния самых разных сосудов организма. В основном, речь идет об артериях - сосудах, приносящих кровь к органам. В случае закупорки сосудов, нарушения кровотока по ним, или изменений сосудистой стенки КТ-ангиография выявляет различные патологические признаки. Чаще всего КТ артерий применяется перед операцией устранения атеросклеротических бляшек или тромбов - в качестве одного из этапов предоперационной подготовки. Например, это исследование демонстрирует хирургу наличие атеросклеротических бляшек, стенозов и окклюзий крупных артерий, помогает точно оценить диаметр сосудов и т.п.
КТ-ангиография выполняется с целью оценки сосудов:
- головного мозга и шеи (КТ БЦА) - чаще всего, при атеросклерозе как один из этапов предоперационной подготовки
- легочных артерий (ангиопульмонография) - для исключения тромбоэмболии легочной артерии
- живота - для исключения тромбоза брыжеечных сосудов
- аорты - для исключения аневризмы и расслоения (диссекции) стенки
- нижних и верхних конечностей - при атеросклерозе
- сердца (КТ-коронарография) - при ишемическое болезни перед шунтированием или стентированием сосуда
ПОКАЗАНИЯ К КТ СОСУДОВ
- повреждение сосудов
- атеросклеротический стеноз и окклюзия
- тромбоз крупных сосудов
- опухоли (для оценки кровотока перед химиоэмболизацией)
- аневризмы
- врожденные аномалии сердца и сосудов
- ишемическая болезнь сердца — коронарография перед операцией
- подготовка к трансплантации органа
- стентирование (для ориентации)
- тромбоэмболия легочных артерий
КАК ДЕЛАЕТСЯ КТ СОСУДОВ
КТ-ангиография является минимально инвазивной процедурой, и требует только введения йодсодержащего контрастного вещества в периферическую вену, все остальное делает аппарат и врач.
Перед исследованием в процедурном кабинете вам установят катетер с широким просветом в периферическую вену, чаще всего в локтевом сгибе. Затем вам нужно будет лечь на стол томографа, обычно на спину. Катетер в вене подсоединяется к автоматическому инъектору, предназначенному для дозированного введения контраста. После этого начинается введение контраста, включается режим сканирования, и стол с пациентом медленно движется. Во время исследования стол может передвигаться несколько раз (для получения различных фаз контрастирования).
При КТ коронарных артерий для синхронизации работы томографа с ритмом сердца используется ЭКГ: на грудную клетку помещаются электроды. Во время исследования может потребоваться задержать дыхание, о чем вам автоматически сообщат. Важно оставаться неподвижным: любые движения, в т. ч. дыхательные, могут становиться причиной помех - артефактов, затрудняющих анализ снимков или даже делающих его невозможным.
После завершения исследования медсестра извлечет катетер из вены и наложит тугую повязку, которую можно будет снять через полчаса - час. Продолжительность исследования в большинстве случаев невелика, обычно не превышает 10 минут. После исследования нужно пить больше жидкости для облегчения выведения контраста.
ПОДГОТОВКА К КТ СОСУДОВ
- За 1-3 суток
- Сдать анализ крови (креатинин, мочевина, скорость клубочковой фильтрации)
- В некоторых случаях (индивидуально, обсуждается с врачом) не употреблять пищу перед КТ сосудов; не употреблять алкоголь
- Нежелательно надевать украшения и иные металлические предметы; это не возбраняется, но перед исследованием предметы из металла необходимо будет снять; перед исследованием в кабинете вам выдадут специальную одноразовую одежду
- Предупредить врача об аллергии на йод, на контраст, на любые другие препараты или пищевые продукты; о заболеваниях сосудов, любых других заболеваниях; указать отсутствие беременности, при грудном вскармливании - проконсультироваться с врачом
КАК ВЫГЛЯДИТ ОБОРУДОВАНИЕ ДЛЯ КТ СОСУДОВ?
Компьютерный томограф — специальное устройство, напоминающее коробку (гентри), с коротким туннелем в центре. Вам будет необходимо лечь на специальный стол, на котором вы поедете в центральный туннель. При исследовании трубка сканера, закрытая кожухом, будет вращаться вокруг вас внутри гентри. Данные, полученные при исследовании, передаются в отдельную комнату, где они обрабатываются и анализируются доктором. Во время исследования персонал будет поддерживать с вами зрительный и слуховой контакт, вы в любое время сможете сообщить врачу или лаборанту о любых необычных ощущениях по громкой связи.
КАК РАБОТАЕТ КТ
Компьютерная томография (КТ) в чем-то напоминает обычное рентгеновское исследование. Главная часть томографа - трубка, генерирующая рентгеновские лучи, проходящие через тело пациента и в разной степени задерживаемые различными тканями. При КТ трубка вращается вокруг вас, облучая тело под разными углами. Детекторы с противоположной стороны принимают излучение, ослабленное в разной степени после прохождения через тело. Одновременно стол движется по отношению к гентри, в результате чего сканирование осуществляется по спирали. Полученные данные собираются и передаются в мощный компьютер, который по специальным алгоритмам обрабатывает их. В результате обработки получаются изображения, пригодные для просмотра на мониторе и различных вариантов программной обработки.
КАКИЕ ОЩУЩЕНИЯ ПРИ КТ СОСУДОВ?
КТ сосудов обычно выполняется быстро, просто и безболезненно; томограф с большим количеством детекторов позволяет значительно сократить время исследования. Некоторые болевые ощущения могут быть связаны с установкой катетера. При введении контраста в вену часто возникает ощущение тепла, распространяющегося по телу - это нормально. К ненормальным ощущениям, о которых нужно немедленно известить персонал, относятся сильная боль и чувство распирания в месте, где установлен катетер; затруднение дыхания, кашель, тошнота. Эти ощущения возникают редко. После исследования вы несколько минут находитесь под наблюдением медперсонала, чтобы не пропустить побочные реакции.
КТО СМОТРИТ КТ СОСУДОВ
Полученные данные интерпретирует рентгенолог (радиолог, лучевой диагност) - врач, получивший специальное послевузовское образование и имеющий нужный сертификат. Время ожидания результатов исследования индивидуально и зависит от клиники, загруженности доктора: от получаса до нескольких суток. В случае сомнительных или противоречивых результатов исследования нужно получить второе мнение опытного радиолога с пересмотром КТ, специализирующегося именно на сосудистых болезнях. Второе мнение можно заказать во всероссийской службе консультаций Национальной телерадиологической сети.
ЧЕМ ОТЛИЧАЮТСЯ КТ И МРТ СОСУДОВ (КТ-АНГИОГРАФИЯ и МР-АНГИОГРАФИЯ?)
При КТ сосудов необходимо введение контраста в вену. Изображение строится на основании разницы в плотности контрастированных сосудов и окружающих тканей. Также КТ относится к рентгеновским методам, поэтому при этом исследовании всегда присутствует лучевая нагрузка, хотя и в небольших дозах.
В отличие от КТ-ангиографии, МРТ сосудов (МР-ангиография) не использует ионизирующее излучение и делается, как правило, без внутривенного контрастирования, однако визуализация сосудов с его помощью хуже, нет возможности оценить состояние стенки сосуда, невозможно точно измерить степень сужения сосуда. МР-ангиография выявляет только изменения хода сосуда и наличие или отсутствие аневризм (грубо).
УЗИ-исследование сосудов (допплер, УЗДГ, ЦДК) таке не использует ионизирующее излучение и делается с помощью датчика, поставленного врачом на область интереса. При этом исследовании появляется возможность оценить скорость кровотока и более точно рассмотреть изменения сосудистой стенки.
ЧТО ВИДНО ПРИ КТ СОСУДОВ?
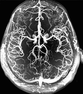
При КТ ангиографии появляется возможность различить артериальные и венозные сосуды (КТ-артериография/КТ-венография), оценить их ход и извитость, наличие атеросклеротических бляшек и тромбов, наличие аномалий и аневризм, повреждения сосудов (в результате травмы или операции), оценить кровоснабжение опухолей перед их эмболизацией. Рассмотрим несколько примеров.
Что выявляет КТ-ангиография. Патологическая извитость внутренних сонных артерий в шейном сегменте (С1). Хорошо виден ход сосудов, можно оценить их диаметр, состояние стенок. Трехмерная (3D) реконструкция сосудов.
![]()
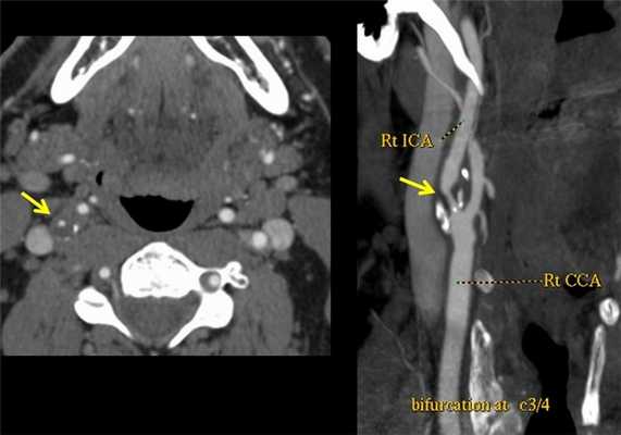
Как выглядит атеросклероз на КТ? Ангиография выявляет сужение правой внутренней сонной артерии атеросклеротической бляшкой. Исследование также позволяет наиболее точно изменить степень сужения сосуда (процент стеноза по методикам ESCT или NASCET). Ангиографию обязательно делать людям с выявленной патологией сосудов на УЗДГ, а также пациентам с повторяющимися инсультами.
![]()
Как выглядит АВМ на КТ. Артерио-венозная мальформация - врожденная патология, выглядящая на КТ как «клубок» извитых и неравномерно расширенных артерий и вен. Может содержать обызвествления и тромбы. Возможен также смешанный вариант - лимфатико-вено-артериальная мальформация.
![]()
Как выглядит аневризма аорты на КТ. Аневризма аорты - расширение основного артериального сосуда. Она может быть как в грудном отделе аорты, так и в брюшном, так и в обоих сразу. Сегодня при подозрении на аневризму аорты КТ выполняется обязательно. Исследование выявляет размеры и форму аневризмы, а также позволяет исключить опасное осложнение - расслоение стенки аорты!
![]()
Как выглядит КТ-коронарография. Исследование сосудов сердца, или коронарных артерий, выявляет множественные мягкие и кальцинированные атеросклеротические бляшки, суживающие просвет сосуда. В случае клинических проявлений ишемии необходима операция — стентирование артерии.
НАСКОЛЬКО ВРЕДНО ДЕЛАТЬ КТ СОСУДОВ?
Негативное воздействие, связанная с ионизирующим рентгеновским излучением, часто преувеличивается пациентами и даже врачами. В целом дозы, полученные при исследовании, не превышают стандартные дозы для лучевых рентгеновских исследований и составляют несколько мЗв.
Вместе с тем, всегда необходимо взвесить, насколько КТ-ангиография действительно необходима, и не проводить исследование без явных показаний.
Также существуют различные риски исследования, связанные с контрастированием:
Читайте также:




