Диагностика склероза артериол головного мозга на КТ, МРТ
Добавил пользователь Евгений Кузнецов Обновлено: 13.12.2025
При проведении МРТ сосудов в заключении пациент может увидеть указание на обнаруженный атеросклероз. Насколько эффективна магнитно-резонансная томография в выявлении атеросклеротических бляшек, и какая форма аппаратной диагностики - УЗИ, КТ или МРТ лучше покажет эти поражения, ответы врачей на эти вопросы прозвучат в этой статье. Каковы клинические признаки атеросклероза
При проведении МРТ сосудов в заключении пациент может увидеть указание на обнаруженный атеросклероз. Атеросклероз представляет собой системное заболевание, которое лежит в основе ишемической болезни сердца (инфаркт миокарда) и цереброваскулярных заболеваний (инсульт). Атеросклеротическая бляшка может располагаться в любом артериальном сосуде, но на первом месте по частоте, интенсивности, объему поражения стоит бифуркация сонных артерий, коронарные артерии и аорта. Насколько эффективна магнитно-резонансная томография в выявлении атеросклеротических бляшек, и какая форма аппаратной диагностики - УЗИ, КТ или МРТ лучше покажет эти поражения, ответы врачей на эти вопросы прозвучат в этой статье.
Каковы клинические признаки атеросклероза
Атеросклероз - это прогрессирующее заболевание внутренней стенки артерий, когда на ней начинают откладываться холестерин и другие жиры в форме налетов и бляшек, от чего стенки уплотняются и снижается их эластичность. Эта патология может поразить любые участки сосудистого русла - от сосудов конечностей до головного мозга.
На начальных стадиях болезни человек может не испытывать никаких симптомов. В дальнейшем при развитии недуга признаки атеросклероза могут быть самыми разнообразными. Например, частым проявлением атеросклероза коронарных сосудов является ишемическая болезнь сердца, проходящая в форме стенокардии, когда у человека появляются загрудинные боли. Они чаще возникают при физической или психоэмоциональной нагрузке и имеют четкую локализацию. Иногда поражение сердечных артерий атеросклерозом манифестируется сразу инфарктом миокарда или даже внезапной смертью, обусловленной развитием острой коронарной недостаточности.
Признаками атеросклероза сосудов головного мозга станет снижение памяти, внимания, способности к восприятию новой информация. Часто на мысль о необходимости диагностики сосудистой системы головы пациента может навести головные боли, головокружения и шум в ушах. У данного заболевания есть ряд предрасполагающих факторов - гиперхолестеринемия и гиперлипидемия. Больные с такими диагнозами всегда находятся в зоне риска быстрого развития атеросклероза.
Атеросклероз сосудов нижних конечностей может проявляться синдромами перемежающейся хромоты, когда у человека появляются боли в икроножных мышцах при ходьбе, но она исчезает в состоянии покоя. При дальнейшем развитии заболевания болевой синдром сохраняется и в покое, а в более тяжелых и запущенных случаях развивается трофическая язва и гангрена конечностей.
Поэтому, при появлении перечисленных жалоб, необходимо срочно обращаться к врачу неврологу, кардиологу или флебологу и проводить диагностику сосудов с помощью МРТ, КТ или УЗИ в зависимости от рекомендаций врача.
МРТ атеросклероз головного мозга
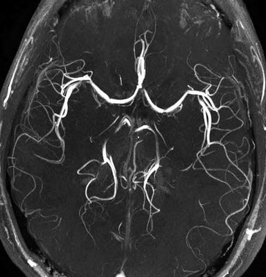
Атеросклероз сосудов головы лучше всего диагностировать с помощью МРТ сосудов головного мозга или КТ-ангиографии. На томограммах врачам хорошо будут видны дегенеративные изменения в сосудистой системе в виде кальцинирующих бляшек, изъязвлений и смещения тромба и прогрессирующего уменьшения диаметра сосудов.
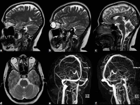
Помимо томографии есть и еще один вид диагностики, который может показать специалистам строение сосудов и скорость кровотока - это УЗИ. Но в отношении головы ультразвук малоинформативен, поскольку УЗ сигналу трудно пробиться через черепные пластины. А вот при исследовании сосудов шеи диагностическая ценность УЗИ и МРТ сопоставима. Методы ультразвуковой оценки артериального и венозного кровотока являются адекватным способом оценки мозговой гемодинамики и цереброваскулярного резерва в условиях реконструктивных операций на сонных артериях. Они позволяет оценить состояние системы мозгового кровообращения и цереброваскулярного резерва, что является одним из важных факторов в определении тактики хирургического вмешательства. МРТ и УЗИ исследования помогают врачам увидеть подробную картину здоровья шейного сосудистого русла и визуализировать атеросклеротические бляшки.
Признаки атеросклероз на МРТ снимках
У больных с распространенным атеросклерозом системное атеросклеротическое поражение проявляется при проведении магнитно-резонансной томографии аорты с контрастным усилением картиной накопления контраста парамагнетика в аортальной стенке. По характеру накопления выделяются два основных типа: очаговый и диффузно-распространенный тип аккумуляции.
МРТ или УЗИ при атеросклерозе - что лучше выбрать?
Для выявления атеросклероза сосудов сердца, шеи и конечностей в медицинских центрах СПб активно применяется доплеровское УЗИ (допплерография). Это быстрый, безопасный и по сравнению с МРТ и КТ более дешевый способ сосудистой диагностики. С его помощью врач оценивает кровоток, а в месте его нарушения ищет признаки бляшек.
В визуализации атеросклероза нижних конечностей УЗИ признается основным скрининговым методом, поскольку диагностическая ценность МРТ, КТ И УЗИ в этом случае сопоставима, а вот стоимость томографии существенно выше. Однако, основная проблема с ультразвуковым исследование заключается в его диагностической субъективности, так как его результаты полностью зависят от опыта и движения рук специалиста, выполняющего данное исследование.
Холестериновые отложения в коронарных сосудах лучше всего искать с помощью КТ сосудов сердца. Информативность ультразвука здесь снижается из-за костей ребер. Также у УЗИ есть ряд ограничений при обследовании тучных пациентов и больных после операции брюшной полости. МР-коронарография тоже весьма информативна в визуализации атеросклеротических изменений коронарных артерий, но на данный момент ее можно качественно проводить на супермощных томографах 3 Тесла, обследование на которых в 2 раза дороже КТ-коронарографии. Методика МР-томографического контрастированного исследования атеросклеротических поражений крупных сосудов может быть использована как дополнительная независимая техника исследования атеросклероза. Она позволяет улучшить диагностику риска расслаивания, разрыва аневризматических атеросклеротических поражений и выработать дополнительные критерии к их опережающему хирургическому ведению.
Покажет ли МРТ атеросклероз сосудов

Магнитно-резонансную томографию широко используют в диагностике патологий системы кровоснабжения. При подозрении на атеросклероз МРТ головного мозга назначают для визуализации интракраниальных (внутричерепных) вен и артерий. Сканирование позволяет оценить состояние кровеносных сосудов без инвазивных манипуляций. Исключение - внутривенная инъекция контрастного препарата при магнитно-резонансной томографии с усилением (МР-ангиография).

Снимок артерий головного мозга
Данный вид аппаратной диагностики основан на воздействии индукционного поля на молекулы воды в клетках. Атомы водорода в ответ на электромагнитный импульс совершают колебательные движения. Резонанс заряженных частиц фиксируют при помощи чувствительных детекторов, затем компьютерная программа обрабатывает сигнал и преобразует в серию послойных снимков.
Преимуществом МР-ангиографии является отсутствие вредного ионизирующего излучения. Процедура не оказывает негативного влияния на здоровье пациента. Основу раствора для контрастного усиления составляют хелаты гадолиния. Гипоаллергенный и малотоксичный препарат через 24-72 часа выводится из организма естественным образом (с калом и мочой).
Что такое атеросклероз?
Заболевание относят к системным патологиям кровеносной сети. Атеросклероз развивается в крупных сосудах, мелкие капилляры функционируют без нарушений. По частоте, интенсивности и объему поражения на первое место выходят процессы в области аорты, коронарных и бифуркации сонных артерий.
Атеросклероз - это стеноз или окклюзия кровеносного русла вследствие образования на стенках сосуда холестериновых отложений. Заболевание развивается на фоне нарушения обмена веществ, когда в организме начинают преобладать ЛПНП (липопротеиды низкой плотности). В этом случае снижается эластичность сосудистой стенки, нарушается функциональность артерий.

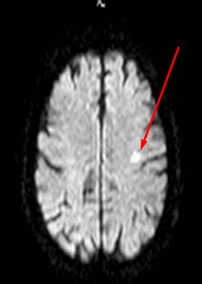
Признаки атеросклероза (пораженные участки указаны стрелками) на МРТ
Изменение липидного метаболизма приводит к появлению в крови нерастворимых жиров - холестерина. Вещество откладывается на стенках сосудов в виде пятен, которые со временем утолщаются и прорастают соединительной тканью. Данный процесс носит название липосклероз.
Холестериновые отложения постепенно накапливают соли кальция. Бляшка приобретает твердость, выпячивается в просвет сосуда, деформируя стенку в месте прикрепления. Атерокальциноз увеличивает риск образования тромбов.
Холестериновая бляшка сужает просвет артерии, нарушает ток крови, вызывает ишемические явления в тканях. При нестабильности возможен отрыв патологического образования и облитерация (закрытие) сосуда.
Начальная стадия заболевания протекает бессимптомно. Признаками атеросклероза на поздних этапах становятся ишемические и геморрагические явления в области головного мозга (инсульты) и сердечной мышцы (инфаркты).
Рассеянный склероз на МРТ

При рассеянном склерозе разрушается миелиновая оболочка нервных волокон
Рассеянный склероз (РС) - заболевание центральной и периферической нервной систем. У человека постепенно пропадают зрение, способность к речи, произвольным движениям, контролю над тазовыми органами и многие другие функции мозга. Признаки патологии могут появляться и исчезать задолго до стойкого ухудшения самочувствия. От первых тревожных симптомов до постановки диагноза проходит 2-3 года.
Очаги рассеянного склероза на МРТ видны на любых, в том числе начальных, стадиях. Сканирование выявляет изменения разной степени давности: от “свежих”, сопровождающихся неврологическим дефицитом, до “застарелых”, при которых уже регрессировали клинические проявления. Для успешного лечения важно как можно раньше пройти обследование.
Признаки рассеянного склероза
Одни из первых симптомов - потеря зрения, парезы, параличи, ослабление чувствительности конечностей и других частей тела, нарушение координации движений. У человека может появиться ощущение, что на лице “заморозка”, нога или рука “не его”.
При развитии рассеянного склероза наблюдают:
- резкое снижение работоспособности, умственных функций, концентрации внимания;
- внезапные головокружения без видимой причины;
- проблемы с речью;
- одностороннее снижение зрения вплоть до слепоты (нарушения то появляются, то исчезают);
- проблемы с координацией движений;
- нарушение моторики рук (больному трудно делать мелкую работу, заметно ухудшается почерк и т.п.);
- судороги и бессудорожные эпилептические приступы;
- полный или частичный парез конечностей;
- нарушение мочеиспускания, стула, функции половых органов;
- болевые ощущения без четко выраженного очага
- беспокойство, резкие перепады настроения и пр.
При одновременном появлении нескольких симптомов из вышеприведенного списка необходимо безотлагательно обратиться к врачу.

Появление беспричинных головокружений может быть одним из признаков РС
Что показывает МРТ при рассеянном склерозе?
Магнитно-резонансная томография является наиболее информативным исследованием структуры вещества головного и спинного мозга. Метод позволяет получить срезы области интереса в трех взаимно перпендикулярных плоскостях: аксиальной, сагиттальной и коронарной. Датчики передают сведения на компьютер, который обрабатывает информацию и показывает на экране детальные изображения текущих процессов. На фотографиях врач видит общее количество и расположение участков деструкции миелиновой оболочки нервных волокон, давность изменений, появление свежих локусов.
Сканирование головного и МРТ спинного мозга при рассеянном склерозе помогают специалисту увидеть старые и новые очаги, провести ориентировочную дифференциальную диагностику РС с другими заболеваниями. Для определения активности патологического процесса дополнительно применяют контрастное вещество на основе гадолиния: усилитель накапливается в местах обострения воспаления и ярко выделяет их на снимках.

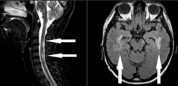
Стрелками на МР-томограммах отмечены участки демиелинизации нервных волокон. Слева - фото спинного мозга (сагиттальная проекция шейного отдела позвоночника), справа - головного (аксиальная плоскость)
Как выглядит рассеянный склероз на МРТ?
Диагностика рассеянного склероза позволяет выявить полную картину патологических изменений. Типичной считается следующая локализация очагов поражения:
- поверхностные отделы моста головного мозга;
- паравентрикулярное вещество, прилежащие к телам боковых и III и дну четвертого желудочков;
- средние ножки мозжечка;
- белое вещество под корой головного мозга;
- зрительный нерв;
- область шейного отдела спинного мозга;
- нижняя граница мозолистого тела.
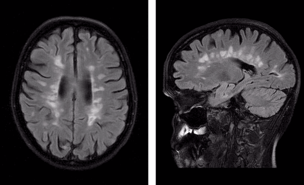
Рассеянный склероз на МРТ головного мозга выглядит как пятна округлой формы диаметром до 2 сантиметров, которые по мере развития патологии могут сливаться. Оттенок измененных участков зависит от стадии болезни и бывает светлым, темным или идентичным здоровым тканям (без контраста не выделяется).

“Пальцы Доусона” на МР-томограммах в аксиальной (слева) и сагиттальной (справа) проекциях - выглядят на Т1 ВИ как светлые продолговатые очаги
Классическим признаком рассеянного склероза на МР-снимках головного мозга являются бляшки линейной формы, располагающиеся перпендикулярно боковым желудочкам. Их называют “пальцы Доусона”.
В спинном мозге очаги демиелинизации выглядят как удлиненные образования, распространяющиеся из центра на периферию с вовлечением в патологический процесс задних рогов.
Конечным этапом прогрессирования поражения при рассеянном склерозе являются “черные дыры”, свидетельствующие о деструкции аксонов.

На МР-томограмме головного мозга в Т1 ВИ можно увидеть многолетние очаги РС (обозначены стрелками)
Заключение МРТ при рассеянном склерозе
После того, как данные МРТ по поводу диагностики рассеянного склероза получены, врач приступает к интерпретации изображений и составлению заключения. При обнаружении патологии в документе указывают, что на фото имеются признаки демиелинизирующего процесса, предположительно РС.
Магнитно-резонансная томография - не единственное обследование, требующееся для окончательной постановки диагноза. Кроме данных МР-сканирования (предпочтительно с контрастом) во внимание принимают:
- специфические жалобы пациента;
- соответствующий анамнез;
- клиническую картину изменений в неврологическом статусе;
- результаты анализа крови, лабораторной диагностики ликвора (спинномозговой жидкости) и других исследований.
При использовании МРТ в диагностике рассеянного склероза, большое значение имеет отслеживание динамики. Одной томографической процедуры всегда мало. Необходимо делать исследование несколько раз с интервалом 6-12 месяцев, в идеале - у одного и того же специалиста (для сравнения с данными первого и последующих сканирований).
При наличии патологии при неблагоприятном или ремиттирующем течении должна быть диссеминация во времени и количестве поврежденных участков: сканирование показывает появление новых очагов рассеянного склероза в разных местах и увеличение старых. В периоды обострения, когда человек чувствует себя плохо, на снимках МРТ выделяются зоны, накапливающие контраст. Если этих признаков диагност не увидел, выполняют дополнительное обследование. Проведение целого комплекса мероприятий позволяет с достаточной долей вероятности сделать заключение о наличии у пациента РС либо иного демиелинизирующего процесса.

Заключение МРТ при подозрении на рассеянный склероз не является окончательным диагнозом
Рассеянный склероз: какую МРТ делать?
Некоторые пациенты решают самостоятельно пройти обследование до обращения к врачу. Возникает вопрос, какую МРТ делать при рассеянном склерозе. В первую очередь доктора назначают сканирование головного мозга. Процедуру необходимо пройти на аппарате не менее 1,5 Тесла (оборудование с меньшей напряженностью магнитного поля не покажет мельчайших изменений). Для более четкой визуализации МРТ лучше делать с контрастом. Если заключение показывает наличие признаков РС (”пальцы Доусона” и др.), невролог направляет больного на магнитно-резонансную томографию спинного мозга, чтобы посмотреть, распространилась ли патология на данную область нервной системы. Дальнейшие действия зависят от заключения МРТ - при рассеянном склерозе либо другом заболевании демиелинизирующей природы проводят соответствующее лечение.
Очаги в головном мозге на МРТ

Токсоплазмоз на МРТ головного мозга
Магнитно-резонансная томография является безболезненным и информативным способом исследования головного мозга. Послойное МР-сканирование позволяет детально рассмотреть все участки органа, оценить их структуру. С помощью определенных последовательностей можно подробно изучить белое и серое вещество, сосуды, желудочковую систему.
МРТ считают эффективным методом выявления очаговых поражений мозга. К таковым относят ограниченные участки с нарушенной структурой внутри вещества органа. Подобные изменения часто сопровождаются масс-эффектом, отеком, деформацией окружающих областей. Очаги в головном мозге на МРТ выглядят как зоны изменения МР-сигнала. По специфическим признакам, локализации, размерам и степени влияния на окружающие структуры рентгенолог может сделать предположения о характере патологии. Пользуясь перечисленными сведениями, врач ставит диагноз, составляет для пациента прогноз и подбирает лечение.
Очаги на МРТ головного мозга: что значит?
Результатом магнитно-резонансной томографии является серия послойных снимков исследуемой области. На изображениях здоровые ткани выглядят как чередующиеся светлые и темные участки, что зависит от концентрации в них жидкости и применяемой импульсной последовательности. По срезам врач-рентгенолог оценивает:
- развитость и положение отдельных структур;
- соответствие интенсивности МР-сигнала норме;
- состояние извилин и борозд;
- размеры и строение желудочковой системы и подпаутинного пространства;
- параметры слуховых проходов, глазниц, придаточных синусов;
- структуру сосудистого русла;
- строение черепных нервов и церебральных оболочек;
- наличие признаков патологии (очаговые изменения, отек, воспаление, повреждения стенок артерий и вен).

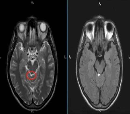
Липома четверохолмной цистерны на МРТ (обведена кругом)
МРТ назначают, если у пациента наблюдаются неврологические отклонения, обусловленные поражением мозговой ткани. Симптомами могут быть:
- головные боли;
- нарушения координации движений;
- дисфункции органов слуха или зрения;
- нарушения концентрации внимания;
- расстройства памяти;
- проблемы со сном;
- психоэмоциональные расстройства;
- парезы/параличи конечностей и/или мышц лица;
- чувствительные нарушения;
- судороги и пр.
Магнитно-резонансная томография головы позволяет врачу точно определить локализацию очаговых изменений и выяснить природу плохого самочувствия у пациента. В ДЦ «Магнит» на вооружении специалистов новейшие аппараты для МР-сканирования, которые позволяют с высокой достоверностью провести исследование.
Виды очагов на МРТ головы
Цвет получаемого изображения нормальных мозговых структур и патологических изменений зависит от используемой программы. При сканировании в ангиорежиме, в том числе с применением контраста, на снимках появляется разветвленная сеть артерий и вен. Очаговые изменения бывают нескольких типов, по их характеристикам врач может предположить природу фокусов.
При патологии мозгового вещества нарушаются свойства пораженных фокусов, что проявляется резким изменением МР-сигнала по сравнению со здоровыми областями. Применение определенных последовательностей (диффузионно-взвешенных, FLAIR и пр.) или контрастирования позволяет более четко визуализировать локальные изменения. То есть, если рентгенолог видит на результатах МРТ единичный очаг, для более подробного его изучения будут применены разные режимы сканирования либо контрастирование.
При сравнении изменений со здоровыми участками мозга выделяют гипер-, гипо- и изоинтенсивные зоны (соответственно яркие, темные и такие же по своему цвету, как рядом расположенные структуры).

Абсцесс головного мозга на МРТ (указан стрелкой)
Гиперинтенсивные очаги
Выявление гиперинтенсивных, т.е. ярко выделяющихся на МР-сканах, очагов заставляет специалиста подозревать опухоль головного мозга, в том числе метастатического происхождения, гематому (в определенный момент от начала кровоизлияния), ишемию, отек, патологии сосудов (каверномы, артерио-венозные мальформации и пр.), абсцессы, обменные нарушения и т.п.

Опухоль головного мозга на МРТ (указана стрелкой)
Субкортикальные очаги
Поражение белого вещества головного мозга обычно характеризуют, как изменения подкорковых структур. Выявленные при МРТ субкортикальные очаги говорят о локализации повреждения сразу под корой. Если обнаруживают множественные юкстакортикальные зоны поражения, есть смысл подозревать демиелинизирующий процесс (например, рассеянный склероз). При указанной патологии деструктивные изменения происходят в различных участках белого вещества, в том числе прямо под корой головного мозга. Перивентрикулярные и лакунарные очаги обычно выявляют при ишемических процессах.
Очаги глиоза
При повреждении мозговой ткани включаются компенсаторные механизмы. Разрушенные клетки замещаются структурами глии. Последняя обеспечивает передачу нервных импульсов и участвует в метаболических процессах. За счет описываемых структур мозг восстанавливается после травм.
Выявление глиозных очагов указывает на предшествующее разрушение церебрального вещества вследствие:
- родовой травмы;
- гипоксических процессов;
- наследственных патологий;
- гипертонии;
- эпилепсии;
- энцефалита;
- интоксикации организма;
- склеротических изменений и др.
По количеству и размерам измененных участков можно судить о масштабах повреждения мозга. Динамическое наблюдение позволяет оценить скорость прогрессирования патологии. Однако изучая зоны глиоза нельзя точно установить причину разрушения нервных клеток.
Очаги демиелинизации
Некоторые заболевания нервной системы сопровождаются повреждением глиальной оболочки длинных отростков нейронов. В результате патологических изменений нарушается проведение импульсов. Подобное состояние сопровождается неврологической симптоматикой различной степени интенсивности. Демиелинизация нервных волокон может быть вызвана:
- мультифокальной лейкоэнцефалопатией;
- рассеянным склерозом;
- диссимулирующим энцефаломиелитом;
- болезнью Марбурга, Девика и многими другими.
Обычно очаги демиелинизации выглядят как множественные мелкие участки гиперинтенсивного МР-сигнала, расположенные в одном или нескольких отделах головного мозга. По степени их распространенности, давности и одновременности возникновения врач судит о масштабах развития заболевания.

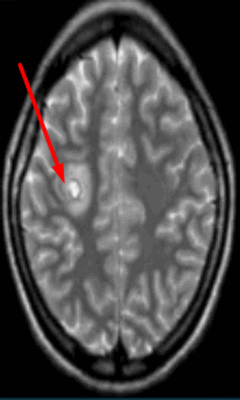
Очаг демиелинизации на МРТ
Очаг сосудистого генеза
Недостаточность мозгового кровообращения являются причиной ишемии церебрального вещества, что ведет к изменению структуры и потере функций последнего. Ранняя диагностика сосудистых патологий способна предотвратить инсульт. Очаговые изменения дисциркуляторного происхождения обнаруживают у большинства пациентов старше 50 лет. В последующем такие зоны могут стать причиной дистрофических процессов в мозговой ткани.

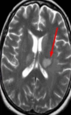
Лакунарный инфаркт головного мозга на МРТ (указан стрелкой)
Заподозрить нарушения церебрального кровообращения можно по очаговым изменениям периваскулярных пространств Вирхова-Робина. Последние представляет собой небольшие полости вокруг мозговых сосудов, заполненные жидкостью, через которые осуществляется трофика тканей и иммунорегулирующие процессы (гематоэнцефалический барьер). Появление гиперинтенсивного МР-сигнала указывает на расширение периваскулярных пространств, поскольку в норме они не видны.
Иногда при МРТ мозга обнаруживаются множественные очаги в лобной доле или в глубоких отделах полушарий, что может указывать на поражение церебральных сосудов. Ситуацию часто проясняет МР-сканирование в ангиорежиме.

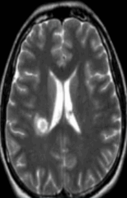
Очаги ишемии на МРТ
Очаги ишемии
Нарушения мозгового кровообращения приводят к кислородному голоданию тканей, что может спровоцировать их некроз (инфаркт). Ишемические очаги при Т2 взвешенных последовательностях выглядят как зоны с умеренно гиперинтенсивным сигналом неправильной формы. На более поздних сроках при проведении в Т2 ВИ или FLAIR режиме МРТ единичный очаг приобретает вид светлого пятна, что указывает на усугубление деструктивных процессов.
Что означают белые и черные пятна на снимках МРТ?
Зоны измененного МР-сигнала могут означать:
- ишемию тканей;
- отек;
- некроз;
- гнойное расплавление;
- опухолевую трансформацию;
- метастатическое поражение;
- глиоз;
- демиелинизацию;
- дегенерацию и др.
Врач-рентгенолог описывает интенсивность сигнала, размеры и локализацию очага. С учетом полученных сведений, жалоб пациента и данных предыдущих обследований специалист может предположить природу патологических изменений.

Острый рассеянный энцефаломиелит на МРТ
Причины возникновения очагов на МРТ головного мозга
Если при МРТ головного мозга выявлены очаги, их расценивают как симптомы патологии органа. Зоны гипер- или гипоинтенсивного МР-сигнала свидетельствуют о нарушении структуры определенного участка церебрального вещества. Очаговые изменения могут быть единичными или множественными, крупными, мелкими, диффузными и т.п.. Подобное наблюдается при:
- ;
- ангиопатии; ;
- хронической недостаточности мозгового кровообращения;
- рассеянном склерозе или иных демиелинизирующих заболеваниях; , Пика, Паркинсона и т.п.;
- энцефаломиелите и других заболеваниях.
Очаговые изменения могут быть результатом некроза, гнойных процессов, ишемии, воспаления тканей, разрушения нервных волокон и т.п. Фокальная патология на МР-сканах почти всегда свидетельствует о развитии серьезного заболевания, а в некоторых случаях указывает на опасность для жизни больного.
Рассеянный склероз на МРТ головного мозга

Рассеянный склероз представляет собой тяжелое прогрессирующее заболевание нервной системы человека, во время которого больной постепенно теряет двигательные функции и речь. Диагностика рассеянного склероза (РС) - это весьма сложная врачебная задача, требующая времени и данных многократных МРТ исследований головного и спинного мозга. Трудность постановки окончательного диагноза связана с механизмом развития этого демиелинизирующего заболевания. Первичный толчок в развитии РС играет вирус герпеса, полученный в детстве в результате таких инфекционных заболеваний, как корь и краснуха. По неизвестным пока медицине причинам, когда во взрослом возрасте происходит снижение иммунного барьера, в некоторых случаях вирус реактивируется и начинает вызывать сбой в иммунной системе.
Механизм появления РС
Строение этого вируса внешне имеет очень большое сходство с миелином - белком, который обволакивает нервные волокна. При его разрушении происходит нарушение в проводимости импульсов нервными волокнами и возникают разнообразные неврологические патологии. Иммунная система организма отвечает за борьбу с любыми вирусами. Когда идентифицируется реактивированный вирус герпеса, она начинает его атаковать, а поскольку он очень схож с миелином, то атаке подвергается и собственные нервные волокна. Так начинает свое развитие рассеянный склероз.
Факторы, которые могут провоцировать дебют рассеянного склероза или его обострение, очень разнообразны. Это:
- любое инфекционное заболевание - человек перенес грипп, простуду;
- у женщин часто начала заболевания или обострения РС связано с беременностью и родами. Если женщина уже состоит на учете у невролога с подозрением на развитие рассеянного склероза, то таким женщинам иногда даже врачи советуют воздержаться от беременности, потому что часто детовынашивание приводит к быстрому развитию инвалидизации.
- больным с РС нельзя находиться на солнце, это провоцирует стадию обострения. Солнце агрессивно, и люди должны понимать, что, загорая, они резко снижают свой иммунный барьер и становятся открытыми для реактивирования вирусов в организме.



Первыми признаками рассеянного склероза, которые даже не каждый врач невролог к сожалению может распознать, - это кратковременное быстро проходящее нарушение зрения. Пациент может пожаловаться на то, что внезапно потемнело в глазах, и он вдруг ничего не видит, а потом через несколько часов зрение восстановилось.
Второй признак - внезапно развивающаяся слабость или онемения в конечностях, возможно в какой-то одной руке или ноге.
Третий признак рассеянного склероза - нарушение мочеиспускания. В неврологии это называется по типу императивных позывов. То есть, возникает внезапное желание помочиться, и человек не может воспротивиться этому желанию. Он чувствует, что если он сейчас его не реализует, то произойдет самопроизвольный выпуск мочи.
Иногда на ранних стадиях заболевания наблюдается поражение лицевого нерва. Дело в том, что рассеянный склероз излюбленным местом своей локализации выбирает именно те области головного мозга, которые отвечают за двигательную функцию. В ходе развития РС поражается лицевой нерв, и у человека появляется асимметрия лица. Часто бывают ситуации, когда в холодное время года возникает лицевой тик, человек думает, что он просто простудил лицевой нерв, невролог быстро проводит восстановительное лечение мазью, и только через 5 или 7 лет выясняется, что это был дебют рассеянного склероза.
Рассеянный склероз затрагивает и чувствительную сферу. Нарушается она за счет поражения вибрационной чувствительности, на которую больной вряд ли пожалуется. Это можно выявить только при неврологическом исследовании на приме у врача.
В ходе прогресса болезни у человека возникают проблемы с координацией. У больного появляется шаткость при ходьбе, он идет как пьяный, но при этом у него нет головокружения. Пациент может жаловаться, что когда он сидит, он нормально себя чувствует, но когда он встает, его начинает раскачивать из стороны в сторону, причем происходить это может приступообразно. Таким образом невролог диагностирует мозжечковую атаксию, когда поражается мозжечковые пути при рассеянном склерозе.
Картина рассеянного склероза на МРТ
Признаками рассеянного склероза головного и спинного мозга на МРТ изображениях будут:
- слабовыраженные очаговые изменения, повышение сигнала Т2;
- типичное вовлечение спинного мозга;
- распространенность не более двух сегментов;
- поражения латеральных или задних столбов белого вещества с возможным вовлечением центральных отделов;
- в острой фазе утолщение спинного мозга;
- в хронической фазе слияний очагов;
- атрофические изменения в мозге - заместительная гидроцефалия.
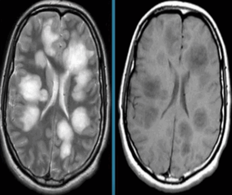
| Признаки РС на МРТ | Норма и очаги рассеянного склероза на МРТ снимках |
![]() |
Пример МРТ заключения с признаками РС
МОЗГОВОЕ ВЕЩЕСТВО: В глубоком и субкортикальном белом веществе. в том числе: юкстакортикально. в перивентрикулярных отделах, мозолистом теле, внутренней капсуле, среднем мозге, ножках и полушариях мозжечка. В стволе головном мозга определяются множественные (более 10> очаги повышенного в Т2 и Т2 Нан: ВИ. Некоторые — пониженного в Т1 ВИ - сигнала, размерами от 5 до 10 мм. Очаги повышенного в Т2 сигнала в верхних сегментах спинного мозга не определяются.
КОНТРАСТИРОВАНИЕ: Внутривенно введено 15мл контрастного препарата Магневиста. Патологического накопления контрастного вещества при динамическом/отсроченном сканировании не выявлено.
ПРИ СРАВНЕНИИ С ПРЕДЫДУЩИМ ИССЛЕДОВАНИЕМ определяются новые очаги в правом полушарии мозга размерами 5 мм.
ЛИКВОРОСОДЕРЖАЩИЕ ПРОСТРАНСТВА: Желудочки мозга не расширены. Конвекситальные субарахноидальные пространства не изменены. Базальные цистерны нормального размера. Смещение срединных структур - нет.
КОСТНЫЕ СТРУКТУРЫ: Кости свода черепа - без изменений. Структуры орбит без видимых патологических изменений.
Диагностика рассеянного склероза на МРТ
Для того, чтобы диагностировать рассеянный склероз, неврологи назначают пациенту сделать сначала МРТ головного мозга. Такое обследование необходимо сделать на высокопольном томографе мощностью магнитного поля не менее 1,5 Тесла. На начальном этапе развития болезни очаги рассеянного склероза могут быть незначительных размеров, поэтому лучше всего для их четкой визуализации осуществить МРТ головного мозга с контрастом. Если томографическое обследование показало наличие симптомов РС, врач назначит дополнительное обследование МРТ спинного мозга, чтобы понять, есть ли распространение очага и на эту зону нервной системы.
Помимо томографического исследования лечащий врач проведет неврологический осмотр и уточнит у больного историю его детских заболеваний и наличия вышеперечисленных клинических проявлений РС.
Данные томографии вкупе с результатами осмотра пациента позволят врачу поставить или опровергнуть первичный диагноз. Затем врач установит режим наблюдения за больным, чтобы оценить степень и скорость развития процесса демиелинизации. Все эти данные позволят выработать адекватную терапию по замедлению прогресса рассеянного склероза и улучшению качества жизни пациента.
Как определить рассеянный склероз по МРТ
Изменения на МРТ при рассеянном склерозе будут включать в себя:
Наличие множественных очагов измененного МР- сигнала.
Размеры очагов варьируются от 0,2 см до 1,1см.
Перифокальные изменения вокруг очагов часто отсутствуют. Продольная ось большинства из них ориентирована перпендикулярно сагиттальной плоскости. В стадии обострения очаги копят контрастный препарат.
Магнитно-резонансная томография также позволяет дифференцировать рассеянный склероз от следующих заболеваний:
- злокачественные и доброкачественные новообразования
- ишемические поражения тканей, кровоизлияния
- другие демиелинизирующие процессы
- воспалительные заболевания, в том числе поражения мозга у больных СПИДом
- наследственные заболевания, связанные с нарушением структуры головного мозга.
Запись в день обращения
Как часто нужно делать МРТ при рассеянном склерозе
Диагностика рассеянного склероза обычно занимает 1,5 - 2 года. Чтобы убедиться в точности диагноза, врачи оценивают, как развивается процесс во времени. Для этого пациенту назначают сделать МРТ головного и спинного мозга с временным интервалом 3-6 месяцев. Сравнительный анализ изменений позволяет оценить динамику образования новых очагов, географию распространения поражения и степень затронутости спинного мозга.
Видно ли на МРТ рассеянный склероз
Признак рассеянного склероза на МРТ снимках будут видны на ранней стадии, однако диагноз РС в ходе томографии врач рентгенолог не ставит. Это задача лечащего невролога, который на основании данных истории болезни, неврологического осмотра и серии МРТ осуществляет окончательную диагностику и определяется со стратегией терапии.
Читайте также:

