Диагностика сосудистой деменции по КТ, МРТ, ПЭТ
Добавил пользователь Евгений Кузнецов Обновлено: 21.11.2025
Деменцией называют комплекс симптомов, которые сигнализируют о тяжелых патологиях головного мозга. Деменция не является заболеванием, однако ее наличие свидетельствует о серьезных изменениях в мозговой деятельности человека.
Проблема деменции сегодня является объектом особого внимания служб здравоохранения и специалистов различных областей медицины. Это объясняется растущим процентом случаев заболевания, что в свою очередь связано со «старением» общества и увеличением продолжительности жизни. Появление инновационных технологий, позволяющих проводить анализ мозговой деятельности, диагностировать патологии на ранних стадиях развития и осуществлять контроль над функционированием отдельных зон головного мозга, внесло значительный вклад в процесс диагностики деменции на ранней стадии развития недугов, вызывающих ее.
МРТ больных с деменций
Ранняя диагностика патологий, приводящих к деменции, является очень важным процессом, так как своевременная терапия значительно уменьшает выраженность клинических нарушений. Первоначально недуг проявляется неярко, а его симптомы носят неспецифичный характер. Человек становиться:
- без инициативным,
- мало активным,
- сужается круг его интересов,
- снижается способность к усвоению новой информации,
- возрастает психологически-эмоциональная зависимость от окружающих.
Опасность деменции вызвана тем, что ее прогрессирование приводит к снижению умственных способностей человека, к слабоумию.
Причины развития деменции
Самой распространенной причиной деменции является болезнь Альцгеймера. При этом заболевании участки головного мозга претерпевают дегенерацию, то есть разрушение клеток, в результате чего снижается реакция на нейромедиаторы - вещества, передающие сигналы в головном мозге. Для недуга свойственно образование патологических тканей и аномальных белков.
Еще одной частой причиной деменции является череда мелкоочаговых инсультов. После них не наступает паралич, но они постепенно уничтожают ткани мозга.
Деменция бывает также следствием травмы мозга. У людей, которые переносят травмы головы, развивается хроническая травматическая энцефалопатия.
Лечение заболевания направлено на продление срока нормальной жизнедеятельности. Чтобы назначить адекватную и эффективную терапию, специалисту необходимо выявить причины развития деменции.
С появлением такого метода исследования, как магнитно-резонансной томографии, в проблеме диагностики деменции открыты новые перспективы. МР сканирование позволяет с высокой точностью выявить или исключить патологии, обусловленные:
- опухолевыми заболеваниями,
- после травматическими нарушениями,
- сосудистыми изменениями и другими факторами, которые могут привести к нарушению когнитивных функций.
У пациентов с вероятной деменцией магнитно-резонансная диагностика позволяет оценить степень изменений и атрофии в подкорковых структурах. Возможность проводить МРТ в амбулатории, малое количество противопоказаний процедуры и безопасность метода позволяют значительно сократить период подтверждения диагноза и назначения адекватного лечения.
Когда назначают МРТ головного мозга
Нейровизуализационние исследование головного мозга назначается всем пациентам с клинически диагностированной деменцией. Сканирование позволяет выявить состояния, которые при других методиках обследования могут быть не проявляться. МРТ позволяет:
- получить подтверждение органического характера нервно-психических расстройств;
- исключить угрожающие жизни пациента состояния: опухоль мозга, другие объемные процессы;
- получить достоверные данные о структурных особенностях патологического процесса, необходимые для дифференциальной диагностики церебральных заболеваний.
Ход МРТ исследования
При проведении магнитно-резонансной томографии пациент находится в положении лежа на подвижном диагностическом столе. Стол перемещается в цилиндрическом пространстве сканера. Врач-радиолог, который находится в соседнем кабинете, изменяет частоту радиоволн сканера. Специальные датчики фиксируют информацию о структурах головного мозга в очень тонких «срезах». Данные передаются на компьютерную систему, которая фиксирует изображения и выводит их на монитор. Фотографии, распечатанные на специальном принтере, вместе с расшифровкой помещаются в историю болезни.
В ходе проведения МРТ сканирования пациент может слышать шум. Радиолог может просить задержать дыхание. Обязательным условием успешной диагностики является неподвижность пациента. Людям с выраженной клаустрофобией врач может предложить успокаивающий препарат. Длительность процедуры составляет от десяти минут до получаса.
Преимущества МРТ при диагностировании деменции
Магнитно-резонансная томография, как метод нейровизуальной диагностики, обладает неоспоримыми преимуществами, которые рассматриваются через призму таких составляющих факторов:
- отсутствие вредного воздействия на организм пациента;
- высокая достоверность результатов;
- оперативность получения данных;
- высокая информативность.
Действительно, при МРТ на организм пациента не оказывается лучевого воздействия. За относительно короткий промежуток времени специалист получает полную и достоверную информацию о состоянии структур и сосудов головного мозга, возможных патологиях и изменениях, вызванных ими. Получаемые в результате сканирования данные позволяют исследовать структуры головного мозга в мельчайших деталях. Это дает возможность специалистам своевременно диагностировать заболевание и оперативно назначить адекватное лечение.
В диагностическом центре Санкт-Петербургского психоневрологического Института имени Бехтерева МРТ исследования проводятся на современном мощном оборудовании, что дает гарантию точности получаемой информации. Контролируют процедуру сканирования опытные дипломированные специалисты. Если у вас остались вопросы, свяжитесь с нами по телефону и получите подробную консультацию по вопросам проведения МРТ в СПб при проявлениях деменции.
МРТ исследование, выполняемое по стандартному протоколу в большинстве учреждений мира, выявляет выраженные атрофические изменения мозга у пациентов с слабоумием.
Использование специализированных высокоточных программ, позволяющих проводить «помиллиметровую» оценку структур мозга, ответственных за память, эмоциональную сферу, позволяет выявить мельчайшие изменения этих структур гораздо раньше, гораздо точнее, что дает уникальные возможности «заглянуть внутрь», раньше поставить диагноз и назначить терапию у пациентов с болезнью Альцгеймера, сосудистой деменцией. Выявить те заболевания, которые клинически сопровождаются деменцией, но при этом нуждаются в совершенно другом виде лечения (например, нормотензивная терапия, опухоли головного мозга, энцефалиты и т.д.)
Приглашаем Вас принять участие в следующих циклах тематического усовершенствования.
В 2020 году увеличилось количество бюджетных мест в ординатуру по специальностям.
«По поручению Департамента общественного здоровья, коммуникаций и экспертной деятельности МЗ РФ .
Диагностика старческой деменции

Как диагностировать старческую деменцию: Старческая деменция — это приобретённое слабоумие, стойкое снижение познавательной деятельности с утратой в той или иной степени ранее усвоенных знаний и практических навыков и затруднением или невозможностью приобретения новых. Первичная диагностика старческой деменции потребует проведения МРТ головного мозга на томографе 1,5 Тесла и выше и последующей консультации у невролога.
Какой врач лечит старческую деменцию: При симптомах старческой деменции следует сначала обратиться к врачу неврологу, по результатам первичного осмотра врач может назначить дополнительную консультацию у психиатра.
Деменция - это термин, используемый для описания группы симптомов, влияющих на память, мышление и социальные способности. Это не конкретное заболевание. Несколько болезней могут вызывать деменцию. Болезнь Альцгеймера является наиболее распространенной причиной прогрессирующей деменции у пожилых людей. В зависимости от причины, некоторые симптомы деменции могут быть обратимыми.
Симптомы старческой деменции
Симптомы старческой деменции зависят от причины, но общие признаки включают:
- когнитивные изменения
- потеря памяти
- трудности в общении или подборе слов
- трудности с визуальными и пространственными способностями, например, потеряться во время вождения автомобиля
- замедление переключения внимания
- нарушение целенаправленных движений
- расстройства мышления
- депрессивное, маниакальное состояние
- расстройство внимания
- расстройства поведения и эмоций
- нарушение восприятия
- ажитация
- галлюцинации.
Какой врач диагностирует старческую деменцию
Обратитесь к неврологу, если появились проблемы с памятью или другие симптомы деменции.
Причины старческой деменции
Деменцию вызывает повреждение или потеря нервных клеток и их связи в головном мозге. В зависимости от того, какой участок мозга поврежден, деменция по-разному влияет на людей и вызывает различные симптомы. К прогрессирующим и необратимым видам деменции относятся:
болезнь Альцгеймера. Это наиболее распространенная причина деменции. Появление болезни Альцгеймера в некоторых случаях связано с мутациями 3-х генов, которые передаются от родителей к детям. Хотя в развитии болезни участвуют несколько генов, одним из важных, повышающих риск, является аполипопротеин Е4. У пациентов с болезнью Альцгеймера в мозге развиваются бляшки и клубочки. Бляшки - это скопления белка бета-амилоида, а клубки - это скопления белка тау. Эти сгустки повреждают здоровые нейроны и соединяющие их волокна
сосудистая деменция. Этот тип деменции вызван повреждением сосудов, которые снабжают мозг кровью. Проблемы с сосудами могут вызвать инсульт или повлиять на мозг другим образом, например, повредить волокна в белом веществе. Наиболее распространенными признаками сосудистой деменции являются заторможенность и потеря концентрации внимания. Эти признаки, как правило, более заметны, чем потеря памяти
деменция с тельцами Леви. Тела Леви - это аномальные шарообразные сгустки белка, которые были обнаружены в мозге людей с деменцией тела Леви, болезнью Альцгеймера и болезнью Паркинсона. Это один из наиболее распространенных типов прогрессирующей деменции. Общие признаки включают галлюцинации, проблемы с концентрацией и вниманием, заторможенность, тремор и ригидность
фронтотемпоральная деменция. Это группа заболеваний, характеризующихся разрушением нервных клеток и их связей в лобной и височной долях головного мозга. Именно эти области обычно ассоциируются с личностью, поведением и языком. Общие симптомы затрагивают поведение, личность, мышление и движение
смешанная деменция. Вскрытие мозга людей 80 лет и старше, страдающих деменцией, показало, что у многих из них было сочетание нескольких заболеваний
Другие заболевания, связанные с деменцией
болезнь Хантингтона. Вызванное генетической мутацией, это заболевание приводит к разрушению некоторых нервных клеток в головном и спинном мозге. Признаки обычно появляются в возрасте 30-40 лет
травматическая черепно-мозговая травма. Это состояние чаще всего вызывается повторными травмами головы. Может развиваться у боксеров, футболистов или солдат. В зависимости от того, какая часть мозга повреждена, это состояние может вызвать симптомы слабоумия, такие как депрессия, взрывчатость, потеря памяти, нарушение речи и паркинсонизм. Симптомы могут проявиться лишь спустя годы после травмы
болезнь Крейтцфельдта-Якоба. Это редкое заболевание мозга обычно возникает у людей без известных факторов риска. Это состояние может быть вызвано отложениями инфекционных белков, называемых прионами. Симптомы этого смертельного заболевания обычно появляются после 60 лет. Болезнь Крейтцфельдта-Якоба обычно не имеет известной причины, но может передаваться по наследству. Она также может появиться при пересадке роговицы
болезнь Паркинсона. У многих людей с болезнью Паркинсона со временем развиваются симптомы слабоумия
Некоторые причины деменции можно устранить с помощью лечения. К ним относятся:
инфекции и иммунные нарушения. Симптомы могут быть результатом лихорадки или других побочных эффектов, вызванных попыткой организма бороться с инфекцией. Рассеянный склероз и другие заболевания, вызванные тем, что иммунная система организма атакует нервные клетки, также могут стать причиной деменции
метаболические проблемы и эндокринные нарушения. У людей с проблемами щитовидной железы, гипогликемией, дисбалансом натрия или кальция в организме, с усвоением витамина B-12 могут развиться симптомы, похожие на слабоумие, или другие изменения личности
недостаток питательных веществ. Обезвоживание, недостаточное поступление тиамина, витаминов B-6 и B-12 могут вызвать симптомы, похожие на слабоумие. Недостаток меди и витамина Е также вызывают симптомы деменции
побочные эффекты лекарств. Побочные эффекты лекарств, реакция на препараты или взаимодействие нескольких средств могут вызвать симптомы, похожие на деменцию
субдуральные гематомы. Кровоизлияние между поверхностью и оболочкой мозга, которое часто встречается у пожилых людей после падения, может вызвать симптомы, похожие на деменцию
опухоли головного мозга. В редких случаях деменция может быть результатом повреждения, вызванного опухолью мозга
гидроцефалия нормального давления. Это состояние, вызванное увеличением желудочков мозга, может привести к проблемам с ходьбой, затрудненному мочеиспусканию и потере памяти
Факторы риска
Многие факторы в конечном итоге способствуют развитию деменции. Некоторые факторы, такие как возраст, невозможно изменить. Другие можно устранить, чтобы снизить риск.
- возраст. Риск возрастает с возрастом, особенно после 65 лет. Однако деменция появляется не только у пожилых, она может возникать у более молодых людей
- семейный анамнез. Наличие деменции в семейном анамнезе повышает риск развития этого заболевания. Однако у одних людей с семейным анамнезом симптомы никогда не проявляются, у других, без семейного анамнеза - проявляются. Существуют тесты, определяющие наличие генетических мутаций
- синдром Дауна. К среднему возрасту у многих людей с синдромом Дауна развивается ранняя стадия болезни Альцгеймера
Можно контролировать следующие факторы риска развития деменции.
- диета и физические упражнения. Отсутствие физических упражнений повышает риск развития деменции. Неизвестно, какая именно диета снижает риск деменции. Но исследования показывают, что заболевание чаще встречается у людей, питающихся неправильно
- чрезмерное употребление алкоголя. Несколько крупных исследований показали, что нарушения, связанные с употреблением алкоголя, связаны с повышенным риском развития деменции, особенно ранней
- сердечно-сосудистые факторы риска. К ним относятся высокое артериальное давление, высокий уровень холестерина, атеросклероз и ожирение
- депрессия. Хотя депрессия в позднем возрасте еще недостаточно изучена, она может указывать на развитие деменции
- диабет. Диабет может повысить риск развития деменции, особенно если он плохо контролируется
- курение. Курение может повысить риск развития деменции и заболеваний кровеносных сосудов
- загрязнение воздуха. Исследования на людях показали, загрязненный воздух, особенно выхлопными газами от транспорта и горящей древесины, повышает риск развития деменции
- травма головы. Люди, перенесшие тяжелую травму головы, имеют более высокий риск развития болезни Альцгеймера. Несколько крупных исследований показали, что у людей в возрасте 50 лет и старше, перенесших травматическую черепно-мозговую травму, повышается риск развития деменции и болезни Альцгеймера. Заболевания могут появиться в течение первых 6 месяцев - 2 лет после травмы головы
- нарушения сна. Люди, страдающие апноэ во сне и другими нарушениями, подвержены более высокому риску развития деменции
- недостаток витаминов и питательных веществ. Низкий уровень витамина D, витамина B-6, витамина B-12 и фолатов может повысить риск развития деменции
- лекарства, которые могут ухудшить память. Старайтесь избегать безрецептурных снотворных средств, содержащих дифенгидрамин, и лекарств соксибутинином. Ограничьте прием седативных и снотворных препаратов
Осложнения
Деменция влияет на многие системы организма и, следовательно, на его работоспособность. К быстрой старческой деменции могут привести:
- плохое питание. Многие люди с деменцией имеют плохой аппетит, что сказывается на появлении дефицитов питательных веществ
- пневмония. Затрудненное глотание может заблокировать дыхание и вызвать пневмонию
- неспособность выполнять повседневные дела. По мере прогрессирования деменции человек становится неспособным самостоятельно принимать ванну, одеваться, расчесывать волосы, чистить зубы, пользоваться туалетом и принимать лекарства
- проблемы с личной безопасностью. Некоторые ситуации, включая вождение автомобиля, приготовление пищи, прогулки, могут быть небезопасными для людей с деменцией
- смерть. Деменция на поздней стадии приводит к коме и смерти
Диагностика старческой деменции и ее типа может быть сложной задачей. Чтобы диагностировать причину, невролог должен выявить картину потери навыков и функций. В последнее время появились биомаркеры, позволяющие более точно диагностировать болезнь Альцгеймера. Ни один тест не может диагностировать старческую деменцию, поэтому врачи, скорее всего, проведут ряд тестов, которые помогут выявить проблему.
МРТ и УЗИ при сосудистой деменции - что покажет

МРТ головного мозга, УЗИ сосудов головного мозга являются аппаратными методами диагностики сосудистой деменции. Исходя из первичных симптомов, истории болезни, противопоказаний и диагностических целей, врач невролог назначает необходимые способы обследования. В большинстве случаев, неврологический осмотр и МРТ головного мозга выбирается как первичный метод диагностики. Если результаты исследования носят неясный характер, дополнительно назначается:
- и сосудов шеи
- Нейропсихологические тесты.
Сосудистая деменция — это термин, описывающий нарушения высших мыслительных функций человека (планирование, способность рассуждать, запоминать информацию и так далее). Данное расстройство возникает вследствие повреждений мозга, спровоцированных нарушением кровообращения. Сосудистая деменция может развиться из-за инсульта, повлекшего блокировку артерии в головном мозге. К счастью, такое происходит не всегда. Влияние инсульта на когнитивные способности человека зависит от его локализации и степени тяжести. Также деменция появляется вследствие других факторов, повреждающих кровеносную систему головы. Нарушение работы вен и капилляров приводит к недостатку кислорода и питательных веществ главного органа нервной системы человека.
Еще риск заболевания повышают диабет, артериальная гипертензия, повышенный холестерин, курение и алкоголизм. Только постоянный контроль за перечисленными факторами поможет снизить шансы на развитие сосудистой деменции.
Симптомы сосудистой деменции
Они варьируются в зависимости от области мозга, где нарушен кровоток. Признаки деменции часто пересекаются с симптоматикой болезни Альцгеймера, но они связаны не с потерей памяти, а нарушением скорости мышления.Главные симптомы сосудистой деменции включают в себя:
- спутанность сознания
- проблемы с вниманием и концентрацией
- снижение способности организовывать мысли или действия
- неспособность анализировать ситуацию и строить планы
- замедление мышления
- неорганизованность
- неспособность принимать решения
- нарушения памяти
- беспокойство и волнение
- нарушения походки
- частые позывы к мочеиспусканию, которые периодически бывают бесконтрольными
- депрессия или апатия.
Наиболее явно деменция проявляется после инсульта. Если симптомы появились вследствие него, такое состояние называют постинсультной деменцией. Аналогичная картина проявляется вследствие серии мини-инсультов. В данном случае негативные изменения когнитивных способностей человека происходят резкими скачками. При болезни Альцгеймера ухудшение мыслительных функций плавное и постепенное.
С другой стороны, сосудистая деменция тоже способна развиваться планомерно. Более того, оба заболевания нередко встречаются вместе, что значительно усугубляет ситуацию и усложняет лечение.
Причины
Сосудистая деменция является результатом повреждения кровеносных сосудов, снабжающих мозг кислородом и питательными веществами. При их дефиците орган перестает справляться со своими основными функциями. Есть список состояний, которые чаще остальных приводят к сосудистой деменции:
Инсульт или инфаркт, блокирующие артерию мозга. Коварство этих недугов заключается в том, что они могут протекать бессимптомно. При этом мозг подвергается риску необратимого поражения. Поскольку некоторые инсульты и инфаркты неопределимы, они могут повторяться серийно, лишь усугубляя ситуацию. В данном случае деменцию называют мультиинфарктной или мультиинсультной.
Кровоизлияние в мозг. Обычно оно возникает из-за травм или резкого снижения кровяного давления, что приводит к повреждению кровеносных сосудов и выбросу крови внутрь черепной коробки. Особенно такому риску подвержены пожилые люди, а также пациенты с церебральной амилоидной ангиопатией.
Хроническое повреждение или сужение сосудов головного мозга. Условия, при которых вены, капилляры и артерии сужаются или повреждаются, способны привести к сосудистой деменции. Это происходит вследствие старения организма, артериальной гипертонии, атеросклероза или сахарного диабета.
В целом, факторы риска сосудистой деменции такие же, как при сердечных заболеваниях и инсульте:
Старение. Риск сосудистой деменции возрастает по мере того, как вы становитесь старше. Расстройство редко встречается в возрасте до 65 лет. Вероятность его появления значительно возрастает к 90 годам.
Перенесенные сердечные приступы, инсульты или мини-инсульты. Если у вас был сердечный приступ или ишемическая атака, сосуды головы становятся более подвержены различным повреждениям. Это, в свою очередь, увеличивает шанс возникновения сосудистой деменции.
Атеросклероз. Такое состояние развивается вследствие отложения холестерина и других веществ на стенках артерий, снижая их проходимость. В результате приток крови к мозгу ухудшается, что приводит к недостатку кислорода и питательных компонентов.
Высокий уровень холестерина. Повышенный уровень липопротеинов низкой плотности («плохого» холестерина) напрямую связан с рисками заболевания.
Высокое кровяное давление. Артериальная гипертония создает колоссальную нагрузку на капилляры, вены и артерии. Причем это касается не только сосудов мозга, но и кровеносной системы в целом.
Диабет. Высокий уровень глюкозы повреждает кровеносные сосуды по всему телу. Вследствие диабета возрастает риск инсульта и, как следствие, сосудистой деменции.
Курение. Токсичные вещества, содержащиеся в сигаретах, разрушают кровеносные сосуды изнутри, увеличивают риск развития атеросклероза и других нарушений кровообращения.
Ожирение. Избыточный вес — известный фактор риска сосудистых заболеваний в целом.
Мерцательная аритмия. Из-за аномального сердечного ритма предсердия начинают сокращаться быстро и нерегулярно. При таком состоянии значительно возрастает риск инсульта, потому что оно приводит к образованию тромбов в сердце, которые могут оторваться и закупорить сосуды головного мозга.
Методы диагностики сосудистой деменции
Если слабоумие диагностируется легко, то в случае сосудистой деменции неврологу потребуется целый комплекс исследований. Доктор изучит историю болезней, расспросит о тревожащих симптомах, а также назначит ряд анализов и инструментальных исследований. Лабораторные тесты измеряются: артериальное давление, уровень холестерин в крови, уровень сахара в крови. С целью исключения заболеваний со схожей симптоматикой, специалисты назначают уточняющие анализы, помогающие обнаружить нарушения щитовидной железы и дефицит витаминов.
Неврологический осмотр включает оценку следующих аспектов:
- рефлексы
- мышечный тонус и силу конечностей с обеих сторон
- двигательные способности
- зрительные способности, а также возможность коснуться носа с закрытыми глазами
- координацию движений и баланс тела.
Нейропсихологические тесты направлены на оценку способностей пациента к:
- разговору, написанию и восприятию информации
- работе с цифрами
- изучению и запоминанию данных
- планированию и решению проблем
- эффективной реакции на гипотетические ситуации.
Нейропсихологические тесты используются для диагностики разных типов деменции. К примеру, при заболевании с сосудистой природой происхождения людям труднее анализировать ситуацию и принимать какие-либо решения. Также они лучше запоминают информацию по сравнению с пациентами с болезнью Альцгеймера. Исключением являются случаи, при которых поврежденные сосуды затрагивают участки мозга, ответственные за память.
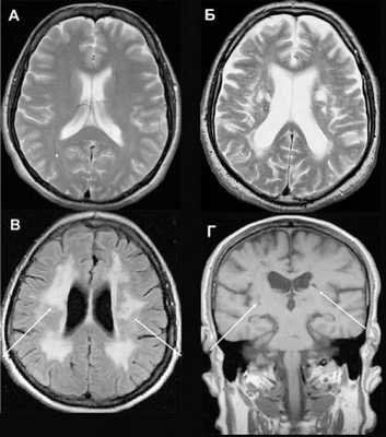
МРТ или УЗИ при сосудистой деменции
МРТ — это наиболее предпочтительный метод диагностики сосудистой деменции, который обладает высокой информативностью. МРТ головного мозга поможет определить локализацию аномалий, спровоцированных инсультом, опухолями, травмами, а также другими аномалиями кровеносной системы. Эти факторы способны привести к ухудшению когнитивных способностей. Также МРТ головного мозга необходимы для исключения других заболеваний мозга. Магнитно-резонансная томография базируется на использовании радиоволн и сильного магнитного поля для получения детализированного изображения структур головы. Процедура проводится в положении лежа в специальном аппарате, который сканирует область головы и проецирует область зоны исследования на монитор. Исслдеование абсолютно безболезненно. Единственный дискомфорт может возникнуть вследствие шумов, а также нахождения в замкнутом пространстве.
В ходе томографии мозг сканируется под разными углами. Послойные снимки формируют объемное изображение органа, которое дает информацию о его структуре. На изображении видны признаки любых аномалий, даже тех, что находятся на начальном этапе развития. Тест необходим не только для обнаружения локализации патологий, но и для предупреждения их дальнейшего развития.
УЗИ сосудов головного мозга и шеи в дополнении к МРТ снимкам головного мозга позволяет провести дифференциальную диагностику между сосудистой деменцией и болезнью Альцгеймера. Несмотря на явные различия между заболеваниями, они имеют существенные переплетения. К примеру, пациенты с болезнью Альцгеймера нередко страдают от нарушений сосудов головного мозга. Также и люди с деменцией зачастую имеют признаки болезни Альцгеймера, что способно затруднить постановку диагноза.
УЗИ и МРТ - что лучше выбрать
Выбор необходимого способа обследования должен осуществлять опытный врач. Назначение метода диагностики специалист делает исходя из самочувствия пациента, симптомов заболевания, противопоказаний и целей диагностики.
При ультразвуковом исследовании врач использует безвредные высокочастотные звуковые волны для создания изображений органов и тканей. Во время исследования пациент лежит на диагностической кушетке. Специалист по УЗИ наносит на кожу зоны обследования прозрачный гель на водной основе. Затем проводит по зоне обследования ручным прибором, называемым датчиком. Он посылает высокочастотные звуковые волны, которые отражаются от структур и органов тела. Эти волны передаются на компьютер, который использует их для создания изображений.
При магнитно-резонансной томографии используются безвредное магнитное поле и радиоволны для создания изображений. Аппарат МРТ представляет собой длинную трубу. Во время этого исследования пациент лежит на томографическом столе, который задвигается в сканер. Аппарат создает сильное магнитное поле, которое заставляет молекулы воды в организме совершать колебательные движения. На базе этого резонанса томограф создает четкие трехмерные изображения органов и тканей.
С точки зрения информативности
Ультразвуковая диагностика - это более субъективный метод диагностики, поскольку его точность во многом зависит от профессиональных движений рук УЗИ врача. МРТ - это более точный и объективный вид обследования, и ее информативность, специфичность превышает результаты ультразвукового исследования.
С точки зрения безопасности
МРТ и УЗИ — это методы диагностики, которые не имеют лучевой нагрузки. Поэтому эти обследования пациент может осуществлять по личной инициативе.
С точки зрения доступности
В медицинских центрах Санкт-Петербурга самым доступным методом диагностики является УЗИ. МРТ — это экспертные и дорогостоящие виды обследования. Поэтому магнитно-резонансную томографию врачи обычно назначают в качестве дополнительной диагностики, если первичное УЗИ выявил серьезную патологию или пациенту нужно дообследование.
С точки зрения стоимости
Самыми экономичными видами исследования являются УЗИ. Магнитно-резонансная томография — это высокотехнологичные способы обследования, поэтому их стоимость будет существенно выше УЗИ.
С точки зрения противопоказаний
УЗИ является безвредным методом диагностики, у него нет противопоказаний. Оно доступно для всех пациентов вне зависимости от возраста. МРТ имеет два основных противопоказания - это наличие металла и электронных приборов в теле пациента.
Пресенильная и сенильная деменция: симптомы, причины возникновения, диагностика
Снижение познавательной функции на фоне психических заболеваний сопровождается слабоумием (врожденным и приобретенным). Деменция характеризуется стойкими необратимыми изменениями, прогрессирующей утратой навыков, умений.

Томограммы множественной деменции
Симптомы деменции у пожилых людей
Начальные признаки старческой (сенильной) деменции стерты. Раздражительность, забывчивость, невнимательность, рассеянность встречаются у многих стариков. Определить на фоне проявлений признаки заболевания сможет квалифицированный невролог. Врача настораживает прогрессирование симптомов:
- Утрата привычной скорости мышления;
- Замедление мыслительного процесса;
- Частая раздражительность;
- Нарастающая невнимательность, рассеянность;
- Необоснованная эйфория;
- Быстрая смена эмоциональной реакции (слезы на смех и наоборот).
При средней степени появляются психические синдромы - бредовые и галлюцинаторные синдромы. Утрата самокритики - опасное проявление нозологии. Утрата, принятых в обществе, норм делает пациента опасным для окружающих людей.
Признаки деменции на фоне дегенеративных болезней мозга (Альцгеймера) сопровождаются нарушением речи. Человеку затруднительно подобрать нужное слово, почувствовать обращенную речь.
Изменения со стороны желудочно-кишечного тракта характеризуются снижением аппетита, возникновением аномальных болевых ощущений живота, внизу под ребрами. Ограничение приема полезных пищевых веществ приводит к утрате массы тела, истощению. Длительность формирования клинических симптомов зависит от скорости прогрессирования. У некоторых больных средняя степень болезни развивается через пару лет после начала заболевания. Около 10% пациентов гибнет от сопутствующих инфекций из-за длительного нахождения в постели (отек легких, пневмония).
К неврологическим расстройствам присоединяются вторичные состояния:
- Метаболические расстройства;
- Повышение температуры;
- Повреждение желудочно-кишечного тракта;
- Почечно-печеночные расстройства.
Неврологические признаки деменции
Дегенеративные болезни приводят к разрушению корковой функции головного мозга (декортикация). Проявления патологии специфичны для выявления:
- Напряжение мускулатуры конечностей и лица;
- Отсутствие аппетита;
- Поражение сухожильных рефлексов;
- Двусторонний симптом Бабинского;
- Обострение детских рефлексов (хватательный, сосательный);
- Расстройства функционирования тазовых органов.
Патофизиологические и патоморфологические расстройства, обусловленные сочетанием сенильной деменции и болезни Альцгеймера, Пика обусловлены выраженными дегенеративными изменениями головного мозга с поражением зрительного бугра, поэтому сопровождаются потерей зрения.
Спиноцеребральная дегенерация, хорея Гентингтона - патологии, которые сопровождаются поражением больших полушарий, нейронов скорлупы, что клинически характеризуется возникновением внутримозговых инфарктов.
Клиника атеросклероза мозговых артерий:
- Умственная деградация;
- Патология зрительных и чувствительных нервных волокон;
- Некротические изменения височной и лобной долей;
- Ступор, кома, извилины головного мозга.
Уменьшение умственной деятельности, патологии походки может быть обусловлено длительным увеличением давления на фоне гематомы, гидроцефалии, компрессионного синдрома. Вирусные инфекции, сифилис, герпетический энцефалит ускоряют время наступления летальных последствий.
Дифференциальную диагностику деменции проводят с токсикозами, метаболическими синдромами. Важно диагностировать нозологию вначале развития, когда с помощью консервативных препаратов удается предотвратить осложнения. Усугубляет течение болезни стрессовые ситуации, нервные переживания.
Причины возникновения психических болезней
- Дефицит питания;
- Внутричерепные новообразования;
- Множественные цереброваскулярные заболевания;
- Нехватка кислорода;
- Дегенеративно-дистрофические процессы;
- Инфекционные болезни (сифилис, СПИД);
- Проникновение токсинов в кровь;
- Вторичные психические заболевания (эпилепсия, шизофрения)
У пожилых людей прослеживается целый комплекс нозологических форм, обуславливающих дегенеративные внутримозговые процессы. Старческая (сенильная) деменция характеризуется множественными внутримозговыми изменениями. Внешние признаки патологии многообразны, но квалифицированный невролог по комплексу симптомов определит, что пациент болен деменцией.
Появление морфологических дефектов головного у детей характерно для пренатального периода. Отставание в психическом развитии выявляется в течении нескольких месяцев посредством замедления развития малыша.
Классификация деменции
Градация по морфологическим изменениям:
- Диффузное (глобарное) слабоумие сопровождается множественными нарушениями, когнитивными расстройствами, проблемами речи, значительной деградацией личностных расстройств, потерей нравственности, логичности мышления, асоциальным поведением. Форма приводит к значительному нарушению расстройств интеллекта, прогрессивным параличом, старческим слабоумием. Развитие глобарной формы наблюдается часто после первичной лакунарной разновидности. Патология сопровождает болезнь Альцгеймера, Паркинсона, дегенеративные расстройства;
- Лакунарное слабоумие сопровождается выраженными интеллектуальными расстройствами. Мнестические дефекты поражают социальные свойства личности из-за расстройства внимания и памяти. Нарастающие гипомнезии, падение работоспособности, избыточная утомляемость делают невозможными выполнение привычной ежедневной физической нагрузки. Этот тип нозологии возникает при атеросклерозе, ряде внутримозговых опухолей;
- Парциальное слабоумие возникает при энцефалитах, опухолях, внутримозговых контузиях.
По течению выделяют три разновидности деменции:
- Прогредиентная;
- Стационарная;
- Относительная.
При первом типе прослеживается интеллектуальная недостаточность, невозможность выполнения простых задач, абстрактное рассуждение. Потеря творческого мышления, слабость интеллектуальных возможностей приводит к невозможности выполнения простых задач.
Стабильный характер стационарного течения обеспечивается стойкостью признаков без обострения, осложнений.
Относительная форма имеет относительность из-за временного нарушения интеллекта, преходящих симптомов. Ликвидация этиологического фактора частично восстанавливает функциональность головного мозга.
Стадии деменции по степени тяжести:
- Легкая - снижение социальной и рабочей активности. Сохранена возможность самостоятельного обслуживания;
- Умеренная - требуется посторонний уход;
- Тяжелая - нарушено самообслуживание, необходим постоянный надзор.
Неврологи выделяют частичную и постоянную деменцию. При первом виде прослеживается неравномерность нарушений памяти. Самокритика присутствует, сохранены профессиональные способности. Появляется беспомощность, уменьшение сообразительности.

Сосудистая деменция (ишемические очаги)
Тотальная разновидность обусловлена нарушением психики, потерей памяти и интеллекта. Замедление психических процессов, утрата индивидуальных особенностей личности характеризуется диффузными изменениями мозговой коры.
Тотальный вид охватывает все функции мозговой коры с резкой потерей критики, уменьшением работоспособности, снижением активности психических процессов.
- Сенильная - встречается в пожилом возрасте (старческое слабоумие). Возникает пассивность, утрачивает желание выполнять ежедневную работу, ослабляется эмоциональная активность, формируются расстройства личности;
- Пресенильная - появляется рано на фоне других болезней (Гентингтона, Пика, Альцгеймера).
У пожилых людей тотальная деменция обеспечивает выраженное слабоумие. Частично сохраняется мышление, но продуктивность процесса низка. Интеллектуальные дефекты возникают вследствие замедления психической активности, личностных расстройств.
Протекает нозология в одной из 5 форм:
- Простая - сопровождается интеллектуально-мнестическими расстройствами. Критическим отношением к патологическим изменениям;
- Психопатоподобная - выраженные личностные нарушения, приводящие к формированию аномальных черт личности;
- Галлюцинаторно-параноидальная деменция с проявлениями интеллектуальных нарушений, бредово-галлюцинаторного синдрома. Деструктивное повреждение мозга обеспечивает нарастающую симптоматику;
- Паралитическая - характеризуется исчезновением самокритики, действия и поступки безрассудны. Грубый интеллектуальный дефект сопровождается гипервозбудимостью, паралитическими конфабуляциями;
- Асемическая деменция сопровождается слабоумием, выпадением подкорковой деятельности (алексия, агнозия, акалькулия). Нужно отметить важность фиксационной амнезии. У человека отсутствует возможность запоминания текущих событий, что делает общее с окружающими людьми крайне затруднительным.
Виды частичного слабоумия:
1. Эпилептическое - последствие тяжелой стадии эпилепсии. Утрачивается мыслительная деятельность, появляется вязкое мышление, искажается адекватное представление реальности, для речи характерны уменьшительно-ласкательные слова;
2. Сосудистое -- атеросклероз артерий мозга сопровождается потерей памяти при сохранении критического отношения к собственному здоровью. Дефекты компенсируются лабильностью, взрывчатостью. Постепенное прогрессирование сосудистой деменции приводит к нарастанию неврологической симптоматики;
3. Травматическая - после черепно-мозговой травмы возможно повреждение передних рогов, падение интеллектуальных способностей;
4. Шизофреническая форма сопровождается неспособностью сохранения адекватных житейских трудностей, отсутствием критичности мышления;
5. Психогенная (псевдодеменция) - появляется в ответ на внешнюю ситуацию. Характеризуется мнимой утерей памяти и внимания. Человек сознательно невпопад отвечает на вопросы. Поведение демонстративное, напоминает истеричность. Псевдодеменция - преходящее слабоумие, так как исчезает после ликвидации внешнего провоцирующего фактора.
Пресенильная деменция Пика, Гентингтона, Альцгеймера - специфичные разновидности болезни. Перед лечением требуется дифференциальная диагностика нозологических форм. Для патологии Пика характерно выраженное повреждение лобных долей с обеих сторон.
Сенильная форма Альцгеймера имеет агностические, апрактические, афотические расстройства. Дифференциальная диагностика требует исключения гематомы, атеросклероза, гидроцефалии, дисбаланса витаминов группы B.
Генетическая деменция Гентингтона начинается после 30 лет. Клинические симптомы - непроизвольные мышечные сокращения. У пациентов встречается бред ревности, психотические синдромы, избыточное психомоторное возбуждение.
Диагностика деменции
Основной клинико-инструментальный способ верификации патологии - МРТ сосудов головного мозга. Магнитно-резонансная томография качество показания изменения структуры головного мозга. Первоначально требуется консультация невролога. Специалист проведет осмотр, даст направление на МР-сканирование.
Для дифференциальной диагностики требуется использование дополнительных методов - УЗИ, ЭКГ, электронейрография.
Звоните нам по телефону 8 (812) 241-10-46 с 7:00 до 00:00 или оставьте заявку на сайте в любое удобное время
Деменция с тельцами Леви ( болезнь диффузных телец Леви )
Деменция с тельцами Леви — дегенеративное прогрессирующее церебральное поражение, отличающееся наличием большого количества интранейрональных патологических включений. Клинически проявляется сочетанием нарастающего слабоумия и психических отклонений с симптомами паркинсонизма, расстройствами сна, вегетативной дисрегуляцией. Деменция диагностируется по клиническим критериям, результатам неврологического и нейропсихического обследования, дополнительно проводится МРТ, ПЭТ мозга. Терапия осуществляется ингибиторами холинэстеразы, NMDA-антагонистами, малыми дозами левадопы.
МКБ-10
Общие сведения
Тельцами Леви называются патологические интранейрональные включения, основу которых составляют альфа-синуклеин и убиквитин. Указанные включения, обнаруженные в 1912 году немецким морфологом Ф. Леви, длительный период считались патогномоничным признаком болезни Паркинсона. Деменция с тельцами Леви (ДТЛ) впервые была описана японскими исследователями в 1950 году как форма паркинсонизма. В 1984 году она выделена как отдельная нозология под названием «болезнь диффузных телец Леви».
В 1995 году на первом международном симпозиуме, посвящённом данной патологии, были определены диагностические критерии заболевания, обозначенного термином «деменция с тельцами Леви». ДТЛ составляет 10-15% всех деменций, занимает третье место после болезни Альцгеймера и сосудистой деменции. Заболевают преимущественно люди старше 60-летнего возраста. По различным источникам, среди данной возрастной категории заболеваемость варьирует в пределах 0,7-5%.
Причины ДТЛ
Этиофакторы, провоцирующие развитие деменции с тельцами Леви не установлены. Морфологическую основу заболевания составляет дегенерация и гибель нейронов. Предположительно, патологические изменения связаны с угнетением ингибирующих апоптоз механизмов или активацией запускающих его факторов. Тщательно изучаются генетические аспекты этиологии болезни. У 50% больных выявляются заболевания паркинсонизмом, сенильной деменцией среди родственников 1-ой линии. Однако клинический полиморфизм ДТЛ существенно затрудняет медико-генеалогический анализ.
В качестве примера можно привести описанный в литературе по неврологии случай японской семьи с прослеживающейся мутацией гена паркина. В соответствии с тяжестью генетического дефекта у членов семьи развивалась болезнь Паркинсона или ДТЛ. Высказываются мнения о генетической предрасположенности к развитию патологии в пожилом возрасте. К факторам, повышающим риск заболевания, относят аллель ε4 на 19-ой хромосоме, мутации в гене GBA 1-ой хромосомы, в гене LRRK2 12-ой хромосомы, изменения локуса 2q35-36.
Патогенез
Поскольку в небольшом количестве нейроны с тельцами Леви обнаруживаются в церебральных тканях у 35% пожилых людей, предполагают, что они являются результатом естественных процессов старения. Механизм развития «ускоренного» старения мозга у больных ДТЛ не определён. Предполагают существенную роль снижения антиокислительных систем, активацию глутаматергического звена, что приводит к избыточному внутринейрональному поступлению кальция, изменению заряда мембраны нейрона. Гипометаболические изменения в затылочной коре отмечаются уже в начальном периоде болезни, что соответствует ранней манифестации зрительно-пространственных расстройств при ДТЛ. Распространение поражения на чёрную субстанцию и полосатое тело обуславливает развитие паркинсонического синдрома, вовлечение стволовых ядер — вегетативную дисфункцию.
Симптомы ДТЛ
Клинически деменция с тельцами Леви включает широкий спектр симптоматики в когнитивной, психической, двигательной, вегетативной сферах. В период дебюта характерны нейродинамические нарушения, проявляющиеся снижением способности концентрировать и удерживать внимание, планировать выполнение сложных задач. В последующем быстро присоединяются симптомы зрительной агнозии: вначале наблюдаются ошибки распознавания предметов, затем знакомых людей, позже — родных. В развёрнутой стадии пациент перестаёт узнавать даже собственное отражение в зеркале. Отличительной особенностью является ранняя манифестация зрительных галлюцинаций. Память длительное время остаётся более сохранной, основные проявления амнезии связаны с расстройством поиска и воспроизведения хранящейся в мозге информации. Афазия не характерна.
Спектр психических расстройств включает галлюцинаторный синдром (зрительные, слуховые, тактильные галлюцинации), депрессию, чувство присутствия постороннего, диссоциативные нарушения, бред, делирий, на более поздних стадиях — психомоторное возбуждение, апатию. Особенностью психических нарушений служит флюктуирующий характер. Продолжающиеся в течение минут или часов эпизоды ухудшения вплоть до спутанности сознания чередуются со светлыми промежутками, типично наличие «хороших» и «плохих» дней. У 20% пациентов психотические нарушения отмечаются лишь в финальной фазе ДТЛ.
Нарушения моторики представлены экстрапирамидной симптоматикой, на ранних стадиях наблюдаются в половине случаев. Отмечается гипокинетический синдром, повышение тонуса, постуральная неустойчивость, тремор. С прогрессированием болезни паркинсоническая симптоматика выявляется в 80% случаев. У некоторых больных наблюдаются миоклонии. Вегетативная дисфункция проявляется брадикардией, кардиоваскулярной нестабильностью (ортостатической гипотонией, склонностью к синкопэ), дискинезией ЖКТ (диареей, запорами, гастропарезом), дизурическими явлениями (никтурией, императивными позывами, частичным недержанием мочи). Происходит нарушение цикла сон-бодрствование с выраженной дневной гиперсомнией, наблюдаются эпизоды гипервозбуждения во сне (крик, двигательная активность, падения с кровати).
Прогрессирующая деменция, психические нарушения приводят к утрате возможности самообслуживания, пациенты нуждаются в постоянном постороннем уходе. Тяжёлые осложнения связаны с некорректным подбором терапии. Назначение фармпрепаратов допамина даже в умеренных дозировках вызывает усиление галлюцинаторного синдрома и психотической симптоматики. Купирование психических нарушений при помощи нейролептиков быстро приводит к развитию злокачественного нейролептического синдрома. Последний опасен целым рядом осложнений, способных привести к летальному исходу: острой дыхательной недостаточностью, ОПН, аритмией, инфарктом миокарда, ДВС-синдромом, печёночной недостаточностью, внезапной остановкой сердца.
Диагностика
Деменция с тельцами Леви диагностируется преимущественно клинически. Основополагающее значение имеет выявление сочетания основных признаков (слабоумия, зрительных галлюцинации, паркинсонизма, вегетативной дисфункции, нарушений сна), флюктуация симптоматики, особенности развития заболевания (деменция предшествует паркинсонизму или появляется совместно с ним). Инструментальные исследования играют вспомогательную роль. Диагностический перечень включает:
- Неврологический осмотр. На ранней стадии невролог выявляет замедленность мыслительных процессов, трудности концентрации внимания, особенности поведения. При развитии экстрапирамидной дисфункции в двигательной сфере отмечается снижение объёма, амплитуды движений, шаркающая походка, гипомимия, мышечная гипертония по пластическому типу, тремор, миоклонические феномены.
- Нейропсихологическое тестирование. Проводится психиатром или нейропсихологом в ходе беседы, наблюдения, тестирования. Обследование включает оценку психического статуса, определение степени деменции по шкале Маттиса, тестирование скорости психических процессов. В начале болезни пациент может скрывать наличие зрительных галлюцинаций, что затрудняет диагностику.
- МРТ головного мозга. Томографическая картина неспецифична. Церебральная атрофия носит диффузный характер, крайне вариабельна, менее выражена, чем при деменции альцгеймеровского типа. Типичны диссоциирующие с клинической картиной незначительные изменения затылочной коры. Поражение подкорковых ганглиев практически тотальное. С целью исключения сосудистого генеза слабоумия исследование дополняется проведением МРТ церебральных сосудов.
- ПЭТ-КТ головного мозга. Определяет снижение нейрометаболизма и перфузии в затылочных долях, выраженное поражение подкорковых структур. Определяющее диагностическое значение имеет диссоциация слабой затылочной атрофии по данным МРТ с выраженными дисметаболическими процессами этой области по результатам ПЭТ.
- Полисомнографию. Выявление признаков психомоторного возбуждения в фазе быстрого сна — типичная особенность нейродегенеративных процессов. Проведение исследования затруднительно в виду психического состояния больных.
Дифференциальная диагностика ДТЛ проводится с болезнью Альцгеймера, вторичным паркинсонизмом, болезнью Паркинсона, сочетающейся с сосудистой деменцией, болезнью Пика и иными прогрессирующими деменциями. Деменция с тельцами Леви отличается от болезни Паркинсона возникновением симптомов паркинсонизма после появления когнитивных нарушений, от дегенерации Пика — наличием экстрапирамидной дисфункции. Наиболее затруднителен дифдиагноз с альцгеймеровским слабоумием. Последнее отличается более старшим возрастом дебюта, быстрым нарастанием тотальных когнитивных расстройств (агнозии, апраксии, афазии), более поздним развитием галлюцинаторного синдрома, выраженностью атрофических изменений на МРТ.
Лечение ДТЛ
Терапия симптоматическая, сопряжена с существенными трудностями. Стандартное антипаркинсоническое лечение препаратами левадопы приводит к усугублению расстройств психической сферы, применение антипсихотических фармпрепаратов — к прогрессированию гипокинезии. В связи с этим требуется тщательный осторожный подбор фармакотерапии. Основными направлениями терапии являются:
- Коррекция когнитивной и психической сферы. Препаратами выбора выступают ингибиторы холинэстеразы (ривастигмин, донепезил). На фоне их приёма отмечается улучшение внимания, повседневной активности, нормализация сна, снижение выраженности галлюцинаций, агрессии. В 25% случаев лечение сопровождается выраженными побочными эффектами со стороны ЖКТ. Альтернативой антихолинэстеразным фармпрепаратам являются NMDA-антагонисты (мемантин), которые существенно ослабляют психические отклонения, но слабо воздействуют на когнитивную симптоматику. Деменция средней тяжести выступает показанием к назначению комбинации двух указанных групп препаратов.
- Терапия паркинсонизма. Проводится небольшими дозами левадопы. Противопаркинсоническое лечение начинают при существенной выраженности симптоматики, затрудняющей уход за больным. Подбор дозы стартует с минимальных значений, рекомендован в стационарных условиях. Поскольку повышение дозировок опасно нарастанием психотических симптомов, редко удаётся довести принимаемую пациентом дозу препарата до необходимого терапевтического уровня. Относительно безопасны при ДТЛ отдельные ингибиторы моноаминоксидазы (разагилин), применяющиеся при протекании паркинсонизма с «застываниями».
- Немедикаментозные мероприятия. Ложатся на плечи родственников и медперсонала. Включают уход за пациентом, адекватное реагирование на психические отклонения, меры по нормализации сна. В большинстве случаев близким пациента для разъяснения сути болезни и её последствий рекомендована консультация психолога.
Описанная выше симптоматическая терапия способна несколько облегчить состояние пациентов и уход за ними, но не может остановить прогрессирование дегенеративного процесса. Перспективной в плане торможения дегенерации является разработка медицинских препаратов, блокирующих агрегацию α-синуклеина, потенцирующих растворение образовавшихся интранейрональных включений. Поиск новых способов лечения ведётся также в направлении создания ингибирующих апоптоз средств.
Прогноз и профилактика
Вследствие неуклонно прогрессирующего дегенеративного процесса в церебральных структурах, ДТЛ является прогностически неблагоприятным заболеванием. Продолжительность жизни пациентов находится в рамках 5-7 лет. Пациенты погибают от интеркуррентных инфекций, сердечно-сосудистых, дыхательных расстройств, обусловленных нарушением центральной нервной регуляции. Отсутствие информации об этиологии заболевания не позволяет разработать эффективные механизмы его профилактики.
Читайте также:
- Диагностика менингиомы по КТ, МРТ
- Оценка травматизма на дороге. Травматизм пешеходов
- Гигиена и токсикология. Гигиеническое регламентирование химических веществ
- Показания к иммунохимическому исследованию крови, плазмы, биологических жидкостей
- Функция почек при болезни Иценко-Кушинга. Диагностика и дифференциальный диагноз болезни Кушинга
