Диагностика вестибулярной шванномы по КТ, МРТ
Добавил пользователь Евгений Кузнецов Обновлено: 21.11.2025
ВШ — вестибулярная шваннома
КТ — компьютерная томография
ММУ — мостомозжечковый угол
МРТ — магнитно-резонансная томография
НФ-2 — нейрофиброматоз II типа
ПНП — пальценосовая проба
ЧМН — черепно-мозговые нервы
Вестибулярная шваннома (ВШ) — это доброкачественная опухоль, развивающаяся из верхней вестибулярной порции вестибулокохлеарного нерва в месте перехода центрального миелина в периферический (зона Oberstain-Redlich) в результате гиперпродукции шванновских клеток. Это самая распространенная опухоль в задней черепной ямке у взрослых, составляющая 80% опухолей мостомозжечкового угла (ММУ) [1].
ВШ в 95% случаев поражает только одно ухо. В 5% случаев невриномы имеют двусторонний характер роста и являются проявлением нейрофиброматоза II типа (НФ-2). Эти новообразования развиваются вследствие генетических нарушений в 22-й хромосоме, при этом изменяется продукция белка шванномина, который контролирует рост шванновских клеток [2, 3]. Заболевание диагностируется чаще в трудоспособном возрасте (30—60 лет). ВШ несколько чаще встречается у женщин, что объясняется наличием у опухоли рецепторов к прогестерону. С этим же связан более интенсивный рост опухоли у женщин [4].
Темп роста опухоли варьирует от 1 до 30 мм/год. По течению заболевания можно выделить три группы ВШ: не растущие или с очень медленным ростом (менее 0,2 см в год), с медленным ростом (0,2—1,0 см в год), с быстрым ростом (более 1,0 см в год) [5]. Известно, что большинство опухолей имеет медленный рост, но есть также быстрорастущие образования, удваивающие свой размер всего за 6 мес. Несмотря на то что большинство новообразований можно отнести к одному из перечисленных видов, у небольшого числа пациентов периоды отсутствия или медленного роста опухоли чередуются со значительным увеличением размера в течение короткого срока. Особенно это относится к кистозным шванномам, которые способны относительно быстро увеличиваться в размере именно за счет кровоизлияния в строму опухоли и формирования кистозного компонента [6].
Для диагностики ВШ используют магнитно-резонансную томографию (МРТ) головного мозга с введением контрастных веществ. Отоневрологическое обследование, наряду с методами нейровизуализации, также является ведущим в диагностике, наблюдении и оценке динамики симптоматики после лечения. Это объясняется в первую очередь тем, что прогрессирующее снижение слуха и субъективный ушной шум являются, как правило, первыми и основными проявлениями болезни [7].
В зависимости от величины опухоли и ее соотношения с окружающими мозговыми и костными структурами наиболее используемыми и удобными являются классификации по Koos и Ганноверская классификация, созданная под руководством проф. M. Samii.

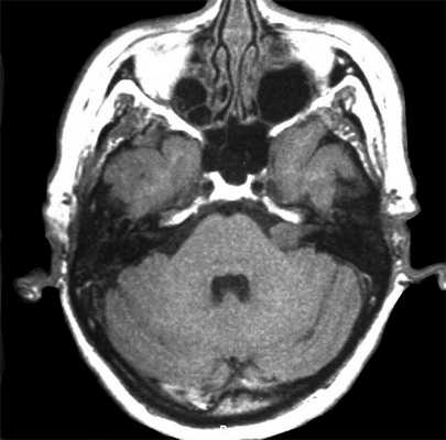
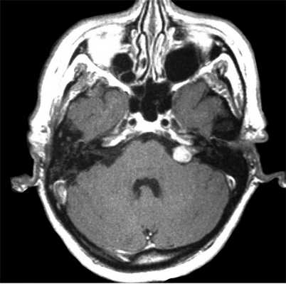
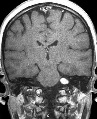
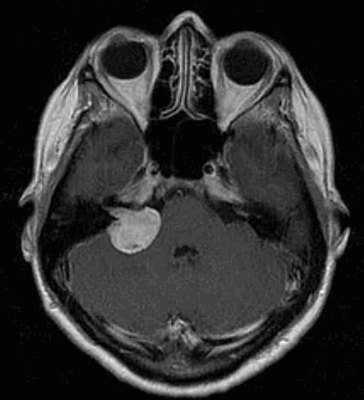
Классификация по Koos: I стадия: опухоль находится в пределах внутреннего слухового прохода, диаметр внутриканальной части составляет 1—10 мм; II стадия: опухоль вызывает расширение канала внутреннего слухового прохода и выходит в ММУ, ее диаметр составляет 11—20 мм; III стадия: опухоль распространяется до ствола головного мозга без его компрессии, диаметр составляет 21—30 мм; IV стадия: опухоль вызывает компрессию ствола головного мозга, ее диаметр более 30 мм. Ганноверская классификация по M. Samii: Т1 — интрамеатальная опухоль; Т2 — интра-экстрамеатальная опухоль; Т3а — опухоль заполняет мостомозжечковую цистерну; Т3b — опухоль распространяется до ствола головного мозга; Т4а — опухоль вызывает компрессию ствола; Т4b — опухоль грубо деформирует ствол мозга и IV желудочек (рис. 1) Рис. 1. МРТ головного мозга с контрастом. Примеры градации ВШ по Ганноверской классификации. a — Т1, интрамеатальная опухоль; б — Т2, интраэкстрамеатальная опухоль; в — Т3а, опухоль заполняет мостомозжечковую цистерну; г — Т3b, опухоль распространяется до ствола головного мозга; д — Т4а, опухоль вызывает компрессию ствола; е — Т4b, опухоль грубо деформирует ствол и IV желудочек. [7, 8].
Принципиально важна ранняя диагностика шванном, так как на ранних стадиях развития (при размере ВШ менее 2 мм) возможно тотальное удаление опухоли с сохранением функции лицевого нерва и слуха у слышащих пациентов. Запущенные опухоли приводят к инвалидизации, удалить их тотально без возникновения грубого неврологического дефицита зачастую невозможно. Парез лицевого нерва разной степени выраженности при тотальном удалении опухоли может развиваться у 90% пациентов [9].
Пациенты с опухолями на стадии T1—T3 обращаются, как правило, к оториноларингологу, поскольку снижение слуха и/или субъективный ушной шум могут быть единственными жалобами на этот момент. Однако, несмотря на то что данная патология хорошо изучена и легко диагностируется при наличии современных методов нейровизуализации (КТ, МРТ), на сегодняшний день все равно большинству пациентов диагноз ставят только на стадии Т4а, Т4b. Ежегодно в ФГАУ НМИЦН им. Н.Н. Бурденко оперируют около 150 пациентов. Среди них большинство с большими и гигантскими опухолями. В 2010 г. было прооперировано 75 больных, из них 58 (77%) с ВШ на стадии Т4а, Т4b по Samii. В 2012 г. прооперированы 133 пациента, из которых 103 (77%) пациента с большими и гигантскими образованиями. В 2015 г. оперированы 192 пациента, из них 137 (71%) имели опухоль на стадии Т4а, Т4b по Samii. При получении этих данных мы заинтересовались данной проблемой и провели исследование, посвященное причинам поздней диагностики.
Цель исследования — выявить причины поздней диагностики ВШ и разработать рекомендации для решения этой проблемы на основании анализа данных историй заболеваний пациентов, проходивших лечение в ФГАУ НМИЦН им. Н.Н. Бурденко с этим заболеванием.
Материал и методы
Проведен ретроспективный обзор 192 наблюдений больных с ВШ, проходивших лечение в ФГАУ НМИЦН им. Н.Н. Бурденко за 2015 г.
Оценивались следующие параметры: пол, возраст пациентов, анамнестические и клинические данные (отоневрологическая симптоматика, время между началом клинических проявлений и постановкой диагноза ВШ, размер опухоли по Koos/Samii).
Результаты
Среди больных, находившихся на лечении, было 55 (29%) пациентов с небольшими опухолями (Koos I, II Samii T1—T3), 137 (71%) пациентов — с большими и гигантскими опухолями, 63 (33%) пациента с ВШ стадии Т4а по классификации Samii, 74 (38%) пациента с ВШ стадии Т4b; 55 (29%) пациентов с ВШ стадии III по классификации Koos, 82 (43%) — с ВШ стадии IV по Koos. Среди общего числа больных с большими и гигантскими ВШ жители Москвы и Московской области составляли 45 человек. Длительность заболевания с момента появления первых клинических проявлений до установления диагноза составляла в среднем 41 мес (табл. 1, рис. Таблица 1. Длительность заболевания с момента появления первых симптомов до установления диагноза в зависимости от стадии роста опухоли 2). Рис. 2. Длительность заболевания с момента появления первых симптомов до установления диагноза в зависимости от стадии роста.
Из табл. 1 видно, что у 28 пациентов период с появления первых симптомов до постановки диагноза составил от 6 мес до 1 года. 23 пациентам не могли установить правильный диагноз на протяжении 2 лет с момента появления жалоб. 77 пациентов имели анамнез более 2 лет. Самая большая длительность заболевания в представленной серии составляет 26 лет.
Из анамнеза известно, что 117 больных обращались за помощью к различным специалистам, и диагноз ВШ также был поставлен не сразу (табл. 2, рис. Таблица 2. Причины поздней диагностики ВШ в зависимости от стадии роста опухоли 3). Рис. 3. Причины поздней диагностики вестибулярной шванномы в зависимости от стадии роста.
Таким образом, из табл. 2 следует, что 37 больных не обращали внимания на одностороннее снижение слуха, 46 пациентов обращались за помощью к терапевтам и неврологам. Самым частым ошибочным диагнозом в этой группе являлись остеохондроз шейного отдела позвоночника (30 пациентов — 65%) и старческая тугоухость (10 пациентов — 22%)
Самая большая группа больных (56 пациентов) длительное время находилась на амбулаторном наблюдении ЛОР-врачей и сурдологов, самым частым диагнозом являлась сенсоневральная тугоухость (34 пациента — 61%), однако в некоторых случаях ЛОР-врачи ставили диагноз «отосклероз» (2 пациента — 4%), «евстахиит» (12 пациентов — 21%), «хронический экссудативный отит» (8 пациентов — 14%). Пациенты получали длительную консервативную терапию препаратами с недоказанной эффективностью, включающую «сосудистые» и ноотропные средства, физиотерапевтические методы лечения.

120 пациентам было проведено полное отоневрологическое обследование. Оценивали размер опухоли и сопутствующую симптоматику: нарушение слуха, вестибулярные симптомы в виде головокружения и спонтанного нистагма, мозжечковые расстройства (пальценосовая проба, нарушение статики), нарушение функции V, VII черепных нервов, бульбарные нарушения, нарушения вкусовой чувствительности (табл. 3). Таблица 3. Отоневрологическая симптоматика в дооперационном периоде в зависимости от стадии роста
Из приведенных в табл. 3 данных видно, что у пациентов с I степенью роста опухоли отоневрологическая симптоматика была скудной, что подтверждает тот факт, что диагноз на этой стадии поставить трудно. У пациентов со II степенью выявляли выраженное снижение слуха, шум в ухе, вестибулярные симптомы, нарушения вкуса, гипестезию на лице, бульбарные нарушения. Несмотря на это, данным пациентам диагноз ВШ был поставлен не сразу. Самая большая группа — пациенты с III степенью (98 пациентов) — в 47% случаев имели глухоту на одно ухо, в 98% — мозжечковые расстройства, в 63% — гипестезию на участках лица, в 30% — нистагм. Появление неврологической симптоматики, по-видимому, стало причиной выполнения МРТ и выявления ВШ.
Большинство заболеваний органа слуха и равновесия периферического генеза не угрожают жизни пациента, однако ухудшают ее качество. Особое значение уделяется ВШ, поскольку данное заболевание приводит к инвалидизации, а при отсутствии лечения — и к гибели пациентов [10].
Поэтому у всех больных с односторонней нейросенсорной тугоухостью, особенно в сочетании с вестибулярными нарушениями, необходимо исключить опухоль ММУ, в частности невриному.
В настоящее время для диагностики ВШ «золотым стандартом» считают МРТ-исследование с контрастным усилением сигнала, которое проводят пациентам при одностороннем снижении слуха [11].
Отоневрологическое исследование, как показали работы Н.С. Благовещенской, иногда имеет решающее значение в постановке диагноза, оценке результатов лечения и прогнозировании течения заболевания [12].
Проявления ВШ следует дифференцировать в первую очередь с острой и хронической сенсоневральной тугоухостью улиткового происхождения, чаще всего сосудистого или (реже) токсического генеза. Кроме того, ВШ могут иметь признаки, схожие с болезнью Меньера и арахноидитом ММУ. Во II и III стадии развития ВШ схожи по симптомам с менингиомами и холестеатомами ММУ, опухолями пирамиды височной кости. Кроме того, возможно наличие нетипичной клинической картины в виде оталгии, головной боли или чувствительных нарушений на половине лица [13, 14]. У всех больных с односторонней нейросенсорной тугоухостью, особенно в сочетании с вестибулярными нарушениями, необходимо исключить опухоль ММУ, в частности В.Ш. Таким образом, все пациенты с подозрением на данное заболевание должны быть обследованы отоневрологом и аудиологом (с проведением тональной пороговой и надпороговой аудиометрии, импедансометрии, дополнительных ретрокохлеарных тестов, вестибулометрии, позволяющей диагностировать гипо- или арефлексию лабиринта).
Ежегодно в ФГАУ НМИЦН им. акад. Н.Н. Бурденко оперируют большое число пациентов с ВШ, среди которых многие с большими и гигантскими образованиями. Анализируя данные истории болезней пациентов, можно выделить несколько причин поздней диагностики:
1) низкая онконастороженность по поводу заболевания среди врачей и пациентов (19% пациентов не обращались к специалистам);
2) незнание патологии врачами общей практики и оториноларингологами, так как ВШ достаточно редко встречается в повседневной практике. По данным нашего исследования, самый большой процент запущенных неврином обнаруживается у пациентов, которые длительное время лечились у ЛОР-врачей, — 21,4%. Чуть меньше процент в группе пациентов, наблюдавшихся у терапевтов и неврологов, — 20,3%;
3) низкий уровень использования врачами МРТ и аудиометрии при наличии жалоб на снижение слуха. 7,6% пациентов выполнили МРТ самостоятельно. Некоторым пациентам было рекомендовано проведение обследования, но из-за недоступности МРТ (дороговизны и/или отсутствия необходимого оборудования) рекомендация не была соблюдена.
В Нидерландах M. Kleijwegt и соавт. [16] в 2016 г. проводили исследование по эпидемиологии В.Ш. По данным их серии наблюдений с 2001 по 2012 г., у 34,9% пациентов диагностирована ВШ на стадии Koos I, у 59,9% больных — ВШ стадии II/III по Koos и только 14% был поставлен диагноз ВШ на стадии IV по Koos. Авторы сообщают об увеличении случайных находок при выполнении МРТ.
Однако в России, несмотря на эволюцию методов диагностики опухолей головного мозга, в настоящее время имеется ряд проблем на этапе скрининга пациентов с подозрением на ВШ.
В 2018 г. на конгрессе нейрохирургов A. Sweeney и соавт. [17] представили клинические рекомендации по скринингу ВШ: на основе аудиограммы пациентам с односторонней разностью ≥10 децибел (дБ) на 2 или более непрерывных частотах или ≥15 дБ на 1 частоте рекомендуется проведение МРТ-скрининга, чтобы минимизировать частоту недиагностированных В.Ш. По мнению авторов, скрининг пациентов с односторонней разностью ≥15 дБ при 3000 Гц может свести к минимуму частоту не диагностированных по данным МРТ ВШ.
1. На сегодняшний день существует серьезная проблема, связанная с поздней диагностикой ВШ, причины которой — малая онконастороженность населения и врачей, незнание патологии врачами общей практики и оториноларингологами и недоступность диагностических тестов (аудиометрии, МРТ).
2. Необходимо внедрение в повседневную практику отоневрологического, аудиологического исследований, а также методов нейровизуализации, в первую очередь МРТ с контрастным усилением сигнала, у всех пациентов с односторонним снижением слуха.
3. Необходимо проведение тематических лекций, семинаров, конференций, посвященных проблеме диагностики ВШ, предназначенных для практикующих врачей широкого профиля: оториноларингологов, неврологов и терапевтов в поликлиническом звене.
Диагностика вестибулярной шванномы по КТ, МРТ
Телефон регистратуры поликлиники:
Телефон регистратуры лучевой диагностики:
Гамма-нож
![]() |
Вестибулярная шваннома (невринома VIII нерва, акустическая невринома) представляет собой доброкачественное новообразование, возникающее из шванновских клеток вестибулярной порции VIII нерва.
Заболеваемость невриномами слухового нерва составляет примерно 1 случай на 100000 населения в год. Каждый год в Российской Федерации появляется 1500 новых случаев неврином слухового нерва. Среди первичных интракраниальных опухолей вестибулярные шванномы вестибулярные шванномы занимают 4-е место (после глиом, менингиом и аденом гипофиза), составляя до 6-10% всех верифицированных опухолей мозга и поражая преимущественно лиц работоспособного возраста (30-60 лет), на который приходится более 80% случаев. Вестибулярные шванномы составляют около 30% опухолей задней черепной ямки и до 90% новообразований мосто-мозжечкового угла. Несколько чаще встречаются у женщин, чем у мужчин, примерное соотношение 3:2.
Клиническая картина зависит от размеров опухоли. При небольших размерах симптоматики может не быть вовсе. По мере увеличения опухоли в размерах появляется симптоматика, зависящая от того, какие структуры сдавливает опухоль:
- Поражения нервов.
- Нарушение слуховой и вестибулярной функции.
- Расстройства функции вкуса на передней 2/3 языка и слюноотделения (XIII нерв).
- Расстройства функций каудальной группы нервов.
- Расстройства функции мимической мускулатуры.
- Глазодвигательные нарушения.
- Симптомы раздражении/компрессии ствола головного мозга.
- Различные виды нистагма.
- Пирамидная симптоматика.
- Мозжечковая симптоматика.
- Гипертензионно-дислокационный синдром.
Диагностика
Наиболее информативным методом выявления вестибулярных шванном является МРТ головного мозга с контрастным усилением в режиме Т1 и Т2. Это исследование позволяет определить размеры опухоли, наличие перитуморозного отека, наличие признаков окклюзионной гидроцефалии, которая может быть следствием сдавления опухолью IV желудочка. Кроме этого МРТ позволяет провести дифференциальную диагностику с другими опухолями схожей локализации (чаще с менингиомой задней грани пирамиды височной кости). Еще одним стандартом диагностики является КТ в костном режиме. Независимо от снижения слуха стандартом является проведение аппаратной аудиографии.
Классификация KOOS
I стадия: опухоль находится в пределах внутреннего слухового прохода, диаметр экстраканальной части составляет 1-10 мм.
II стадия: опухоль вызывает расширение канала внутреннего слухового прохода, и выходит в мостомозжечковый угол, ее диаметр составляет, 11-20 мм.
III стадия: опухоль распространяется до ствола головного мозга без его компрессии, диаметр составляет 21 - 30 мм.
IV стадия: опухоль вызывает компрессию ствола головного мозга, ее диаметр более 30 мм.
Классификация M. Samii
Т1 - интрамеатальная опухоль.
Т2 - интра-экстрамеатальная опухоль.
Т3а - опухоль заполняет мостомозжечковую цистерну.
Т3b - опухоль распространяется до ствола головного мозга.
Т4а - опухоль вызывает компрессию ствола.
Т4b - опухоль грубо деформирует ствол мозга и IV желудочек.
Тактика лечения
В зависимости от размеров опухоли, клинической симптоматики, возраста больного, тяжести его состояния, наличия сопутствующей патологии возможны 3 варианта тактики лечения:
- динамическое наблюдение;
- хирургическое лечение;
- стереотаксическая радиохирургия.
Динамическое наблюдение
Учитывая, что вестибулярная шваннома является доброкачественной опухолью с невысокими темпами роста, при небольших ее размерах, отсутствии или минимальном неврологическом дефиците возможен выбор выжидательной тактики. Особенно такой подход оправдан у пожилых людей, или у пациентов с выраженной декомпенсированной соматической патологией. Однако, в большинстве случаев, учитывая риски, связанные с возможным ростом опухоли, более оправданным считается выбор активной тактики.
Хирургическое лечение
Наличие у пациента вестибулярной шванномы является показанием к хирургическому лечению. Большие и гигантские размеры опухоли (более 3,5 см.) являются абсолютным показанием к хирургическому лечению. При меньших размерах возможно проведение радиохирургического лечения.
Для удаления вестибулярных шванном в настоящее время используются три основных доступа: транслабиринтный, ретросигмовидный (наиболее часто используемый) и доступ через среднюю черепную ямку. Каждый из них обладает своими преимуществами и своими же недостатками. В последние годы в связи с развитием микрохирургической техники результаты хирургического лечения пациентов значительно улучшились. Летальность после удаления вестибулярных шванном колеблется в пределах (0-3%), рецидивы опухоли наблюдаются в 5-10%.
В настоящее время превалирующим фактором результативности хирургического лечения считается качество жизни пациента, поэтому интраоперационная тактика в большей степени должна быть нацелена на достижение именно этой цели. Такие послеоперационные осложнения как паралич лицевого нерва (до 25%), нарушения глотания, глазодвигательные нарушения, несут существенную угрозу инвалидизации, поэтому проведение таких операций диктуют высокие требования к профессиональной подготовке оперирующего нейрохирурга. Из послеоперационных осложнений также следует отметить ликворею у 2-20% пациентов, которая иногда может потребовать проведение повторной операции для закрытия ликворного свища; кровоизлияние в ложе операции (1-2%); отек мозжечка и ствола мозга; гемипарез; менингит (1,2%); раневую инфекцию (1,2%); парез VI черепного нерва (1-2%) и парезы других, ниже расположенных черепных нервов; подкожную гематому (3%).
Стереотаксическая радиохирургия
Целью радиохирургического метода является контроль роста опухоли. Стабилизация процесса и даже уменьшение размеров наблюдается в 85-94% случаев, что соответствует мировым данным. Другим критерием эффективности лучевой терапии является высокий (до 98%) показатель отсутствия операции после проведения облучения. Важным также является сохранение функции улиткового и других черепных нервов в случаях, когда это возможно, а также улучшение неврологического статуса пациента. Эффективность применения Гамма-ножа при лечении больных с вестибулярными шванномами создало реальную альтернативу хирургическому лечению при опухолях, размеры которых не превышают 3,5 см, при этом метод радиохирургии лишен недостатков хирургического метода лечения.
После облучения опухоли гамма-ножом возможно как уменьшение ее размеров, так и временное их увеличение. Третьим возможным вариантом развития событий может быть продолженный рост опухоли, однако, это происходит нечасто (от 0 до 7% в течение 10 лет).
Версия для слабовидящих Карта сайта
ГБУЗ "Московский научно-практический центр оториноларингологии им. Л.И. Свержевского", Москва
Научно-исследовательский институт оториноларингологии им. Л.И. Свержевского Департамента здравоохранения Москвы, Москва, Россия, 117152
Кафедра оториноларингологии лечебного факультета РНИМУ им. Н.И. Пирогова, Москва
Ранняя диагностика акустической шванномы
Журнал: Вестник оториноларингологии. 2015;80(4): 85‑87
Научно-технический прогресс внес существенный вклад в диагностику и лечение больных заболеваниями ЛОР-органов. В частности, использование электрофизиологических, генетических методов исследования, а также методов нейровизуализации (магнитно-резонансная томография, компьютерная томография) значительно улучшили раннюю диагностику заболеваний органа слуха и равновесия, а следовательно, своевременность и качество оказания медицинской помощи.
Большинство заболеваний органа слуха и равновесия периферического генеза не угрожают жизни пациента, однако ухудшают ее качество. Особое значение уделяется акустической (вестибулярная) шванноме (невринома, нейролеммома) — доброкачественному новообразованию, развивающемуся, как правило, из клеток верхней преддверной части преддверно-улиткового нерва в месте перехода «центрального» и «периферического» типов миелина (зона Оберштайнера—Редлиха). Данная зона расположена на расстоянии 8—12 мм от места выхода корешка нерва из ствола мозга, вблизи от входа во внутренний слуховой проход. Акустическая шваннома (АШ) может развиваться и из нижней преддверной порции [1] или, крайне редко (около 5% случаев) [2], из улитковой части нерва. АШ составляют 5—13% первичных интракраниальных новообразований [3—5].
Для данного новообразования характерен медленный рост (1—2 мм в год), около 50% опухолей не растут в течение нескольких лет после их обнаружения. В 5% случаев происходит спонтанная регрессия опухоли. Однако описаны случаи среднего (2—4 мм в год) и исключительного (до 18 мм в год) роста новообразования [1].
Первый год после установления диагноза важен для определения темпа роста образования, однако, согласно данным литературы, шваннома может быть длительно стабильной, прежде чем начать рост или наоборот. Таким образом, темп роста новообразования у конкретного больного весьма вариабельный и непрогнозируемый [1].
В течении заболевания, в зависимости от локализации образования, выделяют четыре стадии: 1-я — доклиническая, 2-я — интраканикулярная, 3-я — цистернальная, 4-я — стволовая.
Доклиническая стадия характеризуется отсутствием симптомов или их игнорированием.
Интраканикулярная стадия характеризуется локализацией опухоли во внутреннем слуховом проходе. Клинические проявления обусловлены компрессией VIII нерва. Следует отметить, что для данного заболевания характерна прогрессирующая нейросенсорная тугоухость, однако в ряде случаев она может быть внезапной.
Цистернальная стадия характеризуется выходом образования за переделы внутреннего слухового прохода в мостомозжечковый угол. Клинические проявления обусловлены компрессией VIII и смежных нервов, головной болью (раздражение dura mater).
Четвертая стадия характеризуется симптомами компрессии ствола мозга.
Учитывая, что в большинстве случаев первым симптомом заболевания являются субъективный ушной шум и/или снижение слуха, ведущая роль в диагностике данного заболевания принадлежит врачу-оториноларингологу, сурдологу-оториноларингологу. Кроме того, следует учитывать вероятность нетипичной презентации данного новообразования в виде оталгии, головной боли или нарушения лицевой чувствительности.
В диагностике кохлеарной и ретрокохлеарной патологии большое значение имеют акуметрия, тональная пороговая и надпороговая аудиометрия, импедансометрия, тест распада акустического рефлекса, вестибулометрия с видеоокулографией, стабилометрия, регистрация коротколатентных слуховых вызванных потенциалов, регистрация вызванных вестибулярных миогенных потенциалов, МРТ (КТ) головного мозга и височных костей.
Однако использование электрофизиологических методов исследования при подозрении на АШ позволяет диагностировать новообразование размером более 1 см. Кроме того, возможность их применения ограничена при высоких порогах слуха и глухоте.
Вестибулометрия с видеоокулографией, стабилометрия позволяют диагностировать гипо- или арефлексию лабиринта, что может быть также следствием, например, перенесенного лабиринтита (серозного или гнойного) или вестибулярного нейронита.
Золотым стандартом при подозрении на новообразование структур головного мозга является МРТ, однако, как показал наш опыт, это не всегда соответствует действительности.
В 2013 г. в отдел сурдологии и патологии внутреннего уха ГБУЗ «Московский научно-практический центр оториноларингологии им. Л.И. Свержевского» ДЗМ обратились 3 пациентки с направительным диагнозом «прогрессирующая нейросенсорная тугоухость». Все пациентки предъявляли жалобы на прогрессирующее снижение слуха на одно ухо, субъективный ушной шум и шаткость походки. Всем больным неоднократно проводили МРТ головного мозга, при этом очаговых изменений выявлено не было.
Основной жалобой Больной Ш., 63 лет, была постепенно усиливающаяся шаткость походки, больше в одну сторону, с 2007 г. Снижение слуха на правое ухо она выявила случайно в 2009 г. при разговоре по телефону. Пациентка 1—2 раза в год получала курсы сосудистой, стимулирующей терапии, однако со временем слух ухудшался.
При аудиометрическом исследовании мы выявили правостороннюю смешанную тугоухость IV степени с преобладанием нейросенсорного компонента, горизонтальный тип аудиологической кривой. Электрофизиологические методы исследования слуха (регистрация акустических рефлексов, коротколатентных слуховых вызванных потенциалов) были неинформативны. При отоневрологическом осмотре нами выявлены статокинетические нарушения: гармоничное промахивание вправо при выполнении указательных проб, шаткость вправо в позе Ромберга, неуверенное выполнение, легкое отклонение при походке по прямой вправо. При исследовании функции вестибулярного анализатора с использованием диагностической видеоокулографии выявлен левосторонний скрытый спонтанный горизонтальный нистагм I—II степени, гипорефлексия периферических вестибулярных структур правого уха (КАСЛ 38% при битермальной калорической пробе), вертеброгенное влияние на нистагменные центры.
Основной жалобой больной А., 47 лет, был пульсирующий шум в левом ухе с 2008 г. Лечилась больная амбулаторно с улучшением, шум стал периодическим, при его возобновлении снова получала сосудистую терапию (приблизительно 2 раза в год). Также с 2008 г. пациентку беспокоила периодическая шаткость походки. В 2013 г. она отметила резкое снижение слуха на левое ухо, непереносимость громких звуков. Лечилась амбулаторно, слух улучшился, со слов пациентки, на 85%. Через месяц на фоне стресса и падения с высоты собственного роста отметила сильный шум в левом ухе и ухудшение слуха на левое ухо. Лечилась амбулаторно (тот же курс) без эффекта. При аудиометрическом исследовании диагностирована левосторонняя нейросенсорная тугоухость III степени, горизонтально-нисходящий тип аудиологической кривой. При экстратимпанальной электрокохлеографии выявлен вероятный признак гидропса левого лабиринта. Коротколатентные слуховые вызванные потенциалы на стороне хужеслышащего уха были неинформативны. При отоневрологическом осмотре выявлено снижение горизонтального вестибулоокулярного рефлекса слева. При исследовании функции вестибулярного анализатора с использованием диагностической видеоокулографии выявлен скрытый спонтанный диагональный нистагм вправо и вниз II степени, резкое угнетение функций вестибулярных структур левого уха (арефлексия по данным битермальной калорической пробы).
Больная К., 58 лет, предъявляла жалобы на снижение слуха на оба уха, больше левое, на периодический разночастотный шум в левом ухе, на шаткость походки. Со слов пациентки, в декабре 2008 г., утром после пробуждения отметила резкое снижение слуха на левое ухо. Лечилась амбулаторно (продувание слуховых труб, пневмомассаж барабанных перепонок) с выздоровлением. С февраля—марта 2009 г. постепенное снижение слуха на левое ухо. С ноября—декабря 2009 г. стал беспокоить шум в левом ухе. Резкое снижение слуха на левое ухо с января 2010 г., с этого же времени шаткость походки. Неоднократно находилась на стационарном лечении по поводу прогрессирующей нейросенсорной тугоухости, проводимое лечение было неэффективным. При аудиометрическом исследовании диагностирована двусторонняя нейросенсорная тугоухость, справа — I степени, слева — IV степени, горизонтальный тип аудиологической кривой. Электрофизиологические методы исследования слуха (регистрация акустических рефлексов, коротколатентных слуховых вызванных потенциалов) были неинформативны. При отоневрологическом осмотре выявлено снижение вкуса на передних 2/3 языка, а при выполнении статокоординаторных и статокинетических тестов отклонение корпуса влево. При исследовании функции вестибулярного анализатора с использованием диагностической видеоокулографии выявлен скрытый спонтанный диагональный нистагм вправо и вниз II степени, снижение функции подавления вестибулоокулярного рефлекса, влияние позы на нистагменные центры, выраженная гипорефлексия периферических вестибулярных структур левого уха (КАСЛ 88% по данным битермальной калорической пробы).
Учитывая что у всех пациенток было прогрессирующее снижение слуха, гипорефлексия лабиринта при отсутствии указаний на перенесенный гнойный отит, вестибулярный нейронит и болезнь Меньера в анамнезе, мы заподозрили невриному VIII пары черепно-мозговых нервов (ЧМН), несмотря на отсутствие изменений по данным многочисленных МРТ, КТ головного мозга и рентгенографии височных костей по Стенверсу. Пациентам произведено МРТ головного мозга с введением контрастного вещества (омнискан или магневист), в результате диагноз акустической шваноммы был подтвержден. В двух случаях (больная Ш., больная К.) новообразование локализовалось в проекции мостомозжечкого угла с деформацией прилежащих структур, размером до 29×25×27 мм, с распространением по ходу VII и VIII пар ЧМН, практически на всю длину внутреннего слухового прохода (до 15 мм), в одном случае (больная А.) — во внутреннем слуховом проходе, размером 10×16×6 мм.
Таким образом, только комплексное обследование слухового и вестибулярного анализаторов в сочетании с объективными методами исследования позволяют своевременно поставить правильный диагноз и определить тактику лечения больных с кохлеовестибулярным синдромом.
По нашим наблюдениям, односторонняя нейросенсорная тугоухость, особенно прогрессирующего течения, отсутствие острой вестибулярной симптоматики с наличием нарушения равновесия и гипорефлексией лабиринта являются показанием для МРТ головного мозга с контрастированием с целью исключения невриномы VIII пары ЧМН.
Отстутствие изменений со стороны слуховых нервов по данным МРТ головного мозга, выполненного по стандартной методике, не исключает невриному малых, а по нашим данным, и больших размеров. Возможно, это обусловлено разрешающей способностью томографа и квалификацией, опытом специалиста.
Невринома слухового нерва - симптомы и лечение
Что такое невринома слухового нерва? Причины возникновения, диагностику и методы лечения разберем в статье доктора Касаткина Дениса Сергеевича, нейрохирурга со стажем в 11 лет.
Над статьей доктора Касаткина Дениса Сергеевича работали литературный редактор Маргарита Тихонова , научный редактор Сергей Федосов и шеф-редактор Лада Родчанина
Определение болезни. Причины заболевания

Данная опухоль составляет 82 % всех опухолей мостомозжечкового угла, 7 % всех внутричерепных опухолей и до трети опухолей задней черепной ямки. В год невриному обнаруживают примерно у одного человека на 100 тысяч населения. В 97 % случаев опухоль локализуется только с одной стороны. У остальных пациентов — поражение двустороннее [1] .
Невриномы слухового нерва возникают в 40-50 лет. Более часто они встречаются у женщин, чем у мужчин: примерно 3:2 [1] .
Впервые невриному описал Голландский анатом E. Sandifort в 1777 году, как "небольшое патологическое образование, прилежащее к слуховому нерву". Оно было выявлено у пациента, страдавшего глухотой. Позднее, в 1822 году J. Wishart, хирург из Шотландии, при вскрытии больного описал случай двусторонней опухоли вестибулокохлеарных нервов у пациента, страдавшего тугоухостью на оба уха, приступами головной боли и параличом лицевого нерва.
Наибольший вклад в изучение проблемы лечения вестибулярных шванном сделал американский нейрохирург H.Cushing. Он снизил летальность c 80 % до 10 %. Позднее его коллега из Швейцарии M.G. Yasargil внедрил технику работы с операционным микроскопом, разработал микронейрохирургические инструменты. Это позволило более безопасно и радикально удалять опухоли, сохраняя при этом ствол головного мозга, смежные черепно-мозговые нервы и сосудистую структуру [2] .
Причиной появления невриномы, чаще двусторонней, может быть нейрофиброматоз II типа — распространённая наследственная болезнь, которая предрасполагает к возникновению опухоли, а также наследственная генетическая мутация в 22-ой хромосоме.
Риск развития невриномы увеличивают:
- действие ионизирующего излучения;
- гормональный фон;
- агрессивные факторы внешней среды — жизнь в местности, загрязнённой промышленными отходами, продуктами сгорания авиационного топлива и пр.;
- неправильное питание [4][11] .
К примеру, беременность или облучение прямыми солнечными лучами могут ускорить рост опухоли и спровоцировать появление первых симптомов болезни.
При обнаружении схожих симптомов проконсультируйтесь у врача. Не занимайтесь самолечением - это опасно для вашего здоровья!
Симптомы невриномы слухового нерва
Первые признаки заболевания:
- Расстройства слуха — шум или звон в ухе, волнообразное, постепенно нарастающее, иногда острое снижение слуха [13] . Чаще эти симптомы связаны с поворотом головы головокружением, иногда со спонтанным нистагмом — непроизвольным ритмичным движением глаз из стороны в сторону.
- Поражение лицевого нерва — негрубая слабость мимических мышц на стороне опухоли, усиленное слезотечение [14] , изменение вкусовых ощущений на передней 2/3 поверхности языка из-за воздействия на барабанную струну, которая отходит от лицевого нерва.
- Поражение тройничного нерва свидетельствует о большом размере опухоли. Первый признак такого нарушения — угнетение роговичного рефлекса (нарушение смыкания век при прикосновении к роговице). В дальнейшем развивается покалывание языка [14] , гипестезия на лице (потеря чувствительности) или тригеминальная невралгия — мучительные стреляющие боли в половине лица.
В дальнейшем могут появиться симптомы поражения черепных нервов каудальной группы:
- языкоглоточного нерва — нарушение вкусового восприятия на задней трети языка, снижение чувствительности слизистой верхней части глотки, дисфагия (нарушение глотания пищи);
- блуждающего нерва — асимметрия мягкого нёба, дисфония (голос становится хриплым) [14] ;
- добавочного нерва — слабость и гипотрофия трапециевидной и грудино-ключично-сосцевидной мышц;
- подъязычного нерва — атрофия мышц языка на стороне опухоли.

Появление тех или иных симптомов зависит от размеров опухоли и стадия её развития. Дальнейший рост невриномы ведёт к компрессии (сдавлению) 4-го желудочка и ствола головного мозга, появляются симптомы, связанные с увеличением внутричерепного давления. Например, пациент с большой опухолью может жаловаться на слабость в конечностях, асимметрию лица, тошноту, рвоту головокружение, глухоту на одно ухо.
Ниже в таблице представлена частота встречаемости неврологических симптомов невриномы слухового нерва [4] .
Патогенез невриномы слухового нерва
Увеличиваться опухоль может в двух направлениях: в сторону слухового прохода и в сторону мостомозжечкового угла. От направления роста зависит, какие органы и нервы будет сдавливать опухоль при дальнейшем увеличении: мозжечок, лицевой, тройничный или каудальная группа черепных нервов [16] .

Рис. Схематичное изображение роста невриномы слухового нерва из внутреннего слухового прохода в заднюю черепную ямку со сдавление ствола головного мозга.
Макроскопически опухоль представляет собой бугристую серую сферу неправильной формы. Она не прорастает в ткань мозга и часто в своей структуре имеет вкраплённые кисты, заполненные жидкостью. Обычно растёт медленно — по 2-5 мм в год — и даёт о себе знать, когда достигает больших размеров.

По данным патоморфологических исследований выделяют два основных типа опухоли:
- Антони А — клетки опухоли формируют группы с вытянутыми ядрами;
- Антони В — различные узоры звездообразных клеток и их длинных отростков [5] . Обычно этот тип встречается при больших невриномах. Считается, что они возникает в результате ишемии [14] .

Симптомы и жалобы при вестибулярной шванноме обусловлены четырьмя основным процессами:
- компрессия сосудов головного мозга, которая ведёт к инсульту;
- поражение черепных нервов;
- сдавление и смещение ствола головного мозга;
- сдавление 4-го желудочка [3] .

Классификация и стадии развития невриномы слухового нерва
Все классификации и стадии невриномы слухового нерва учитывают размер опухоли и её положение относительно ствола головного мозга [6] . Активно во врачебной практике используются классификации W. Koos и M. Samii. Они позволяют определить тактику лечения.
Стадии роста невриномы по W. Koos:
- I стадия — опухоль до 10 мм, не выходит за пределы внутреннего слухового прохода;
- II стадия — опухоль до 20 мм, расширяет внутренний слуховой проход и выходит в мостомозжечковый угол;
- III стадия — опухоль до 30 мм, достигает ствола головного мозга, но не сдавливает его;
- IV стадия — опухоль больше 30 мм, сдавливает ствол головного мозга [15][17] .

Классификация невриномы слухового нерва по M. Samii:
- Т1 — опухоль, расположенная во внутреннем слуховом проходе;
- Т2 — опухоль, растущая из внутреннего слухового прохода;
- Т3а — опухоль, заполняющая цистерну мостомозжечкового угла;
- Т3b — опухоль, достигающая ствола головного мозга;
- Т4а — опухоль, сдавливающая ствол;
- Т4b — опухоль, грубо деформирующая ствол мозга и 4-й желудочек.
Также можно выделить четыре стадии клинического течения болезни:
- отиатрическая стадия — шум или глухота на одно ухо;
- отоневрологическая стадия — присоединяются поражения тройничного и лицевого нервов на стороне опухоли;
- гипертензионно-гидроцефальная стадия — на этой стадии болезни пациент отмечает головные боли, появляется тошнота, рвота;
- бульбарная стадия — добавляется дизартрия, дисфагия, дисфония.
Осложнения невриномы слухового нерва
Наиболее распространённым осложнением невриномы является односторонняя нейросенсорная тугоухость: с ростом опухоли человек полностью теряет слух. Также часто страдает лицевой нерв, из-за чего развивается односторонний паралич мимической мускулатуры.

Чем больше размер опухоли, тем выше риск поражения каудальной группы черепных нервов. Это может привести к такому опасному для жизни осложнению, как бульбарный синдром — паралич мышц, которые иннервированы каудальной группой нервов (языкоглоточного, блуждающего и др.). Он может привести к тому, что человек не сможет самостоятельно питаться через рот.
Когда опухоль начинает сдавливать ствол головного мозга, развиваются симптомы поражения пирамидного тракта — нарушается походка, возникает слабость в конечностях, параличи и парезы. А при сдавливании водопровода головного мозга может развиваться гидроцефалия. Если на этой стадии болезни не выполнить хирургическое лечение, дальнейшее компрессия ствола головного мозга приводит к смерти пациента из-за поражения дыхательного цента и ретикулярной формации — всей оси ствола головного мозга [7] .
Невриномы слухового нерва не перерождаются в рак, однако учитывая, что локализация опухоли очень сложная для радикального удаления, она может снова появляться или продолжать расти даже после радиохирургического лечения.
Диагностика невриномы слухового нерва
Диагностика невриномы слухового нерва должна включать в себя неврологическое обследование, исследование слуха, а также лучевые методы исследования.
Ранняя диагностика невриномы основана на точной оценке слуха — аудиограмме. Если заболевание есть, то исследование показывает ассиметричную нейросенсорную потерю слуха, при этом одновременно наблюдается диспропорциональное снижение разборчивости речи.
Так как вестибулярные шванномы постепенно приводят к вестибулярным нарушениям со стороны поражённого уха, пациенты редко жалуются на головокружения и чаще испытывают ощущение шаткости при походке. Уловить эти нарушения может самый чувствительный аудиометрический тест — аудиометрия по слуховым вызванным потенциалам (КСВП). С его помощью исследуют ответную реакцию ствола головного мозга на звуковой раздражитель. При обнаружении отклонений прибегают к визуальным методам исследования.
Оптимальными способами визуальной диагностики являются компьютерная томография (КТ) и магнитно-резонансная томография (МРТ) головного мозга. Эти исследования принято проводить с контрастным усилением, так как оно позволяет обнаружить даже небольшие новообразования [14] . Иногда опухоль обнаруживается случайно — при проведении КТ или МРТ головного мозга по другому поводу [13] . По результатам этих исследований можно поставить точный диагноз, выявить локализацию опухоли, её размеры, структуру, отношение к окружающим тканям задней черепной ямки, спланировать тактику хирургического или радиологического лечения [12] .

Дифференциальная диагностика невриномы проводится с заболеваниями, которые могут привести к односторонней нейросенсорной потере слуха:
- менингиомой задней черепной ямки;
- холестеатомой пирамиды височной кости;
- внутричерепными метастазами;
- арахноидальной кисты и других опухолей этой локализации.
Лечение невриномы слухового нерва
Алгоритм лечения невриномы зависит от её стадии, симптомов, общего состояния здоровья и возраста пациента. Если опухоль небольшая и не беспокоит больного, то врачи придерживаются выжидательной тактики, так как долгое время они могут не расти или вовсе регрессировать (редко) [17] . При этом необходимо минимум раз в год проходить МРТ, чтобы наблюдать за течением болезни. В других случаях избавиться от невриномы можно либо с помощью хирургического удаления, либо посредством облучения.
Показания к операции:
- молодой возраст больного;
- быстрый рост опухоли или продолженный рост опухоли после её облучения;
- прогрессирующая неврологическая симптоматика — возникновение симптомов сдавления ствола головного мозга, гидроцефалии, бульбарного синдрома [2][6] .
Цель оперативного лечения — радикальное (полное) удаление опухоли с сохранением жизненно важных структур. Может проводиться из различных доступов: через вскрытый сосцевидный отросток (выполняется чаще всего), за ухом и над ухом. Если операция прошла успешно, пациент находится в клинике под наблюдением ещё 5-7 дней. Швы с операционной раны снимают на 10-15 сутки. Существенных ограничений по образу жизни после восстановительного периода нет. Спустя некоторое время после операции рекомендуется пройти курс лучевой терапии, чтобы предотвратить продолженный рост остатков клеток опухоли.

Если имеются противопоказания к традиционному хирургическому вмешательству, следует рассматривать методы лучевой терапии:
- стереотаксическую радиохирургию — удаление опухоли гамма-ножом (альтернатива стандартному оперативному лечению);
- фракционную стереотаксическую радиохирургию (FSRS) — радиотерапию [17] .
Цель лучевой терапии — приостановить дальнейший рост опухоли. Она показана:
- пожилым пациентам;
- людям с наличием сопутствующих заболеваний;
- после частичного удаления опухоли для облучения её остатков.
Максимальная доза лучевой терапии — не более 34 Гр, минимальная — 12 Гр [17] . В итоге такого лечения опухоль чаще всего уменьшается, но иногда она не меняется в размерах и продолжает расти. Поэтому радиотерапию рекомендуют как дополнительный метод лечения после традиционного хирургического лечения.

Правильный выбор метода лечения позволяет снизить показатель летальности при невриномах слухового нерва до 1 % [3] [5] [11] . Основными причинами повторного появления опухоли являются нерадикальность операции и отсутствие лучевой терапии в послеоперационном периоде.
Прогноз. Профилактика
Прогноз при невриноме слухового нерва благоприятный, особенно если удаётся выявить опухоль на ранних стадиях. Практически у всех пациентов невриному можно удалить полностью. В таких случаях рецидивы практически не встречаются, а отдалённые осложнения (например, гидроцефалия) развиваются редко.
Наиболее частой и сложной проблемой, с которой сталкиваются пациенты после лечения невриномы, является паралич лицевого нерва. Так как он развивается более чем у 50 % пациентов, разработан целый комплекс методов, которые позволяют восстановить работоспособность мышц лица. Операция на лицевом нерве после удаления вестибулярной шванномы создаёт условия для того, чтобы восстановить нейромышечную проводимость, миодинамическое равновесие и функциональную целостность зон лица. Причём раннее и поэтапное хирургическое лечение лицевого нерва позволяет избежать мышечной атрофии и ускорить выздоровление пациентов с грубой и стойкой асимметрией лица [11] .
Невриномы слухового нерва чаще развиваются спорадически, т. е. случайно в результате трансформации шванновских клеток в слуховом нерве. Поэтому методов первичной профилактики (вакцины) не существует. Однако если среди родственников были люди с нейрофиброматозом II типа или опухолью слухового нерва, человеку нужно быть настороженным в отношении невриномы слухового нерва и периодически выполнять МРТ головного мозга, особенно если появились жалобы на прогрессирующее снижение слуха.
МРТ головного мозга при опухолях черепных нервов
МРТ головного мозга. Т2-взвешенная корональная МРТ. Невринома слухового нерва, цветовая обработка изображения.
Шваннома (невринома) представляет собой инкапсулированную доброкачественную (градация I) опухоль, происходящую из дифференцированных неопластических шванновских клеток оболочек периферических нервов. Растут шванномы медленно и крайне редко малигнизируются. В целом шванномы составляют примерно 8% от внутричерепных опухолей. Пик частоты приходится на возраст 40-60 лет. Чаще всего встречаются шванномы слухового нерва (VIII пара), они составляет около 80 - 90% всех опухолей мосто - мозжечкового угла и около 3% от внутричерепных опухолей. Невриномы происходят из дистального по отношению к входу во внутренний слуховой проход части слухового нерва, обычно из вестибулярной (верхней) его ветви. Двухсторонние невриномы наблюдаются в 5% случаев и связаны с нейрофиброматозом типа II. Поскольку слуховой нерв (VIII пара) и лицевой нерв (VII пара) тесно связаны в начальной части, то на МРТ эти опухоли не дифференцируются. В 7-10% случаев шванноме сопутствует арахноидальная киста. Нейрофибромы отличаются от неврином большим числом соединительнотканных и нервных волокон, а также отсутствием капсулы. Пик частоты приходится на возраст 40-50 лет. Опухоль несколько чаще встречается у женщин. Для неврином слухового нерва характерна сенсоневральная тугоухость, шум в ушах и нарушение равновесия.
На Т2-взвешенных МРТ головного мозга невриномы имеют округлую или овальную форму, изоинтенсивны или слегка гиперинтенсивнее белого вещества, хорошо видны на фоне яркого ликвора цистерны. Крупные опухоли могут подвергаться кистозной дегенерации и включать сосуды. Мелкие невриномы имеют компонент во внутреннем слуховом проходе и как бы “утолщают“ нерв на МРТ изображениях. Как показывает опыт МРТ СПб полностью внутриканальцевые невриномы встречаются редко. МРТ в СПб при шванномах мы проводим обычно с контрастированием. Контрастирование неврином при МРТ с контрастированием хорошее, обычно однородное. Нельзя забывать, что во внутреннем слуховом проходе также может быть воспалительный процесс (неврит), приводящий к сходной клинической симптоматике. При МРТ неврит виден как отёк нерва, имеется контрастное усиление на МР томограммах.



МРТ головного мозга. Невринома слухового нерва слева с внутриканальцевым компонентом. Аксиальные Т1-зависимая МРТ, Т1-зависимая МРТ с контрастированием, и корональная Т1-зависимая МРТ с контрастированием.
Невринома слухового нерва в цистерне и внутреннем слуховом проходе. Киста (чёрная стрелка). Аксиальная Т1-взвешенная МРТ, неоднородное контрастирование.
МРТ головного мозга. Полностью внутриканальцевая невринома слухового нерва. Аксиальная Т2-зависимая МРТ, дефект на фоне СМЖ.
Нейрофиброматоз тип 2. Двухсторонние невриномы слуховых нервов (стрелки). Поперечная Т1-зависимая томограмма с контрастированием.
Невриномы других пар черепных нервов встречается редко. При росте из V пары (тройничный нерв) могут быть сложности в дифференциальном диагнозе с невриномой VIII пары. В первом случае опухоль нередко имеет вид песочных часов, когда одна часть расположена в задней, а другая в средней черепных ямках. Тройничный нерв (V пара) выходит на уровне среднего мозга и делится на 3 ветка - глазничную (1), верхнечелюстную (2) и нижнечелюстную (3). Все они идут вперёд в Мекелеву полость к тройничному ганглию. Отсюда (3) уходит вниз через овальное отверстие, а (1) и (2) идут через кавернозный синус (вдоль латеральной стенки). Затем (1) входит в орбиту через верхнее отверстие, а (2) выходит из полости черепа через округлое отверстие. Каждая из ветвей делится на конечные нервы. Клинические проявления шванном тройничного нерва состоит из болей и (или) атрофии жевательных мышц. Невринома может локализоваться в любом месте по ходу нерва и ветвей.
VII пара (лицевой нерв) и нервы, проходящие через яремную ямку (IХ, Х и ХI пары) и подъязычный нерв (XII пара) также могут быть источником роста невриномы и нейрофибромы. Клиническая симптоматика невриномы зависит от её локализации по ходу нерва. Обычно это раздражение нерва, нарушение его функции, сенсоневральная тугоухость в связи с поражением или сдавлением слухового нерва, компрессия ствола. Шванномы в средней черепной ямке не сдавливают окружающие структуры и достигают больших размеров никак себя не проявляя.
МРТ головного мозга. Невринома тройничного нерва, сегмента в цистерне. Корональные Т2-зависимая и Т1-зависимая томограммы с контрастированием.
МРТ головного мозга. Невринома тройничного нерва в цистерне и Мекелевой полости. Поперечная Т1-зависимая томограмма с контрастированием.
МРТ головного мозга. Невринома тимпанического сегмента тройничного нерва, поперечная Т1-зависимая томограмма. Невринома сосцевидного сегмента, поперечная Т1-зависимая МРТ с контрастированием.
МРТ головного мозга. Невринома языкоглоточного нерва. Корональная и поперечная Т1-зависимые МРТ с контрастированием.
Профессор Холин А.В. диагностирует опухоли на высокопольном МРТ и открытом МРТ.
Читайте также:

