Диагностика внутричерепной липомы по МРТ, КТ
Добавил пользователь Евгений Кузнецов Обновлено: 11.12.2025
Внутричерепная липома не является опухолью как таковой и представляет собой врожденный порок развития, возникающий в результате аномальной дифференциации персистирующей примитивной оболочки и часто сочетается с нарушением развития прилежащих структур.
Клиническая картина
Обычно существует бессимптомно, обнаруживается случайно или в результате исследования проводимого с целью поиска причин эпилепсии, гидроцефалии, задержки развития и т д [5, 6].
Патология
Превалирующей теорией развития считается нарушение дифференциации примитивной оболочки (meninx primitiva), которая располагается субарахноидально, сочетается c аномалиями паренхимы [7, 8].
Локализация
- перикаллезная липома (45%)
- в ~50% случаев сочетается с агенезией мозолистого тела
- морфологически выделяют криволинейный и узловой подтипы
- сочетается с недоразвитием нижних двухолмия четверохолмия
- лицевой и преддверно-улитковый нерв часто проходят через липому
Диагностика
При КТ и МРТ визуализируется в виде объемного образования по характеристикам соответствующего жировой ткани.
Компьютерная томография
При компьютерной томографии липома визуализируется в виде неусиливающегося однородного образования жировой плотности. Может иметь дольчатые и повторяющие прилежащие анатомические структуры границы. Иногда встречаются периферические кальцификаты.
Магнитно-резонансная томография
МРТ позволяет легко установить диагноз. При отсутствии изображений с насыщением жировой ткани в качестве полезного подспорья можно использовать артефакт химического сдвига. Сигнальные характеристики соответствуют жировой ткани:
- T1: высокая интенсивность МР сигнала
- T2: высокая интенсивность МР сигнала
- T1 (с парамагнетиками): отсутствие усиления сигнала
- последовательности с насыщением жировой ткани: низкая интенсивность МР сигнала
Часто липомы пересекаются черепно-мозговыми нервами и сосудами, что лучше визуализируется на изображениях в высоким разрешением.
Дифференциальная диагностика
- : при разрыве часто визуализируется в виде множественных включений рассеянных по субарахноидальным пространствам; располагается как правило на срединной линии
- внутричерепная тератома
- липоматозная трансформация опухоли: ПНЭТ, эпендимома, глиома
При МРТ без последовательности с насыщением жировой ткани в качестве дополнения к основному дифференциальному ряду добавляют следующие нозологические единицы который могут характеризоваться высоким МР сигналом на Т1 взвешенных изображениях.
- : часто встречаются кольцевидные обызвествления стенок и отложения гемосидерина выявляемые на последовательностях градиентного эхо / SWI : редко, имеется ограничение диффузии
Липома
Липома - это доброкачественная опухоль состоящая из зрелых адипоцитов, является наиболее распространенной мягкотканной опухолью с встречаемостью в популяции примерно ~2%.
Эпидемиология
Как правило липома встречается у пациентов в возрасте 50-70 лет.
- липома цнс
- липома концевой нити
- спинальная липома
Поверхностные липомы представляют собой четкоотграниченные округлые образования состоящие из гомогенной жировой ткани при визуализации. Часто визуализируется тонкая капсула и очень тонкие (менее 2 мм) септы. В отличии от липомы, выраженное контрастное усиление, толстые или бугристые септы, а также признаки локальной инвазии явлсяются признаками злокачественного процесса.
Ультразвуковое исследование
Липома представляет собой мягкотканное образование с вариабельной эхогенностью. Даже при наличии капсулы, последнюю может быть тяжело визуализирвать при УЗИ.
Проявляния липомы в соответствии с последними данными могут варьировать:
Кроме того липомы характеризуются такими признаками:
- отсутствует аккустическая тень
- отсутствует или имеется минимально выраженный ток при доплеровском исследовании
Гетерогенная эхоструктура с большим чем минимальный током при доплеровском картировании, а также больши размеры, подозрительны для липосаркомы.
Классически липома представляет собой четкоотграниченное поверхностное образование низкой плотности (примерно от -65 до -120 HU) с минимальным количеством мягкотканного компонента. Зоны кальцификации могут встречаться, но более характерны для липосаркомы.
Могут присутствовать зоны жирового некроза, фиброзная ткань, кровеносные сосуды или мышечные волокна, в данном случае липому нельзя достоверно отдифферинцировать от липосаркомы только методами визуализации.
Магнитно резонансная томография является модальностью выбора при визуализации липом, поскольку не просто позволяет вынести диагноз липомы, но и детальнее оценить атипичные признаки характерные для липосаркомы.
Сигнал соответствует МР сигналу от подкожно-жировой клетчатки на всех последовательностях:
- T1
- высокий сигнал
- насышение на программах с жироподавлением
- контрастное усиление отсутствует или минимальное
- высокий сигнал
При отсутствии подозрительных признаков диагноз липомы по МРТ может быть выставлен со 100% специфичностью. Аналогично, если присутствуют атипичные признаки чувствительность составляет 100%, но специфичность снижается поскольку атипичные признаки бывают не только у липомы.
Дифференциальный диагноз
С липомой не следует путать скопление неизмененной жировой ткани неотграниченное капсулой, например, при липоматозе средостения.
При классической картине дифференциально-диагностический ряд узкий и включает:
При определенной локализации следует рассматривать такие содержащие жир образования как:
Липома на МРТ головного мозга
Применение метода магнитно-резонансной томографии считается в медицинском мире одним из наиболее успешных методов изучения состояния мягких тканей, поиска опухолей на ранней стадии формирования.
Часто МРТ применяется для обследования головного мозга пациента. Средство помогает проверить структуру тканей, оценить особенности кровообращения.
При подозрении на возникновение новообразований разных типов, магнитно-резонансная томография особенно эффективна. На самой ранней стадии вы получите все нужные сведения о состоянии мозга. Врачи смогут предпринять меры для борьбы с выявленной патологией.
Метод показывает себя в равной мере информативным и эффективным как при поиске злокачественных, так и доброкачественных новообразований. И липома головного мозга также относится к списку успешно выявляемых патологий.
В этом материале мы рассмотрим, как используется МРТ для диагностики липомы мозга и почему методика получила такое широкое распространение в медицинской среде.
Что такое липома головного мозга
Липома - это один из видов новообразований, которые могут поражать головной мозг человека. Как правило, она на протяжении длительного времени не выдает себя и просто продолжает расти, увеличиваться в размерах.
В большинстве случаев опухолевый процесс выявляется случайно. Пациент проходит профилактическое обследование, по результатам которого врачи фиксируют разрастание опухоли.
Сама по себе липома - это капсула, внутри которой находится жировая ткань. От многих других новообразований на мозге, она отличается медленным ростом. С одной стороны, это дает больше возможностей для принятия мер. С другой стороны, сложность представляет ранняя диагностика заболевания.
Симптоматика при липоме проявляется, когда она становится достаточно крупной и начинается процесс сдавливания. Под сильным давлением новообразования, кровообращение в мозге ухудшается, что приводит к выраженному ухудшению состояния.
Размеры диагностируемых липом отличаются. Минимальные - от 2 мм. Максимальные - до 5 см.
Расположение опухоли может быть разным. Чаще всего она находится рядом с мозолистым телом или шишковидной железой. В редких случаях МРТ показывает липому ближе к основанию полушарий.
Липома редко становится злокачественной. Потому основная причина для необходимости ее быстрого лечения - исключение процесса нарушения кровообращения в головном мозге человека.
Наш оператор перезвонит вам в течении 20 мин
Симптомы липомы головного мозга
На список симптомов, которыми проявляет себя опухоль, сильно влияет вид липомы, место ее расположения и размеры. Среди основных признаков новообразования:
- Частые приступы головокружения.
- Судороги.
- Потеря сознания.
- Галлюцинации - как зрительные, так и слуховые.
- Ухудшение памяти.
- Снижение способности концентрировать внимание.
- Речевые расстройства.
Все это - ранние признаки липомы. Они говорят о том, что новообразование начало расти, но пока не успело стать достаточно большим, чтобы сильно повлиять на мозг.
На более поздних стадиях развития болезни возникают другие расстройства. Они вызваны увеличением внутричерепного давления. Самые распространенные:
- Сильные судорожны припадки.
- Потеря чувствительности разных частей тела.
- Приступы апатии, депрессии.
- Расстройства сна.
- Тремор конечностей.
- Повышенная потливость.
- Нестабильность аппетита.
У многих пациентов отмечаются двигательные расстройства. Они не могут нормально двигаться, координация становится значительно хуже. При сильном росте внутричерепного давления высок риск паралича и пареза.
Как видите, список симптомов очень обширен. Это усложняет работу врачам - часто признаки липомы путают с другими заболеваниями. Проведение МРТ головного мозга становится самым эффективным средством для поиска новообразования, оценки его текущего состояния.
Причины развития липомы головного мозга
На данный момент врачи расходятся во мнении относительно того, по каким причинам в головном мозге человека начинают разрастаться жировые клетки. Наиболее популярная версия заключается в том, что еще на стадии эмбрионального развития случается нарушение, результатом которого становится неправильное расположение жировых клеток. В категорию повышенного риска попадают люди с плохой наследственностью.
Во взрослом возрасте развитие липомы провоцируется различными негативными факторами. Среди них:
- Воздействие на организм токсинов.
- Воспаления, сконцентрированные в головном мозге человека.
- Инфекционное поражение организма пациента.
- Нарушения обменных процессов.
- Различные заболевания эндокринной системы.
- Получение травм головы.
В категории риска оказываются люди с нарушениями психики и те, кто в жизни сталкивается с высоким уровнем стресса. Когда в процессе работы на организм воздействует сильное ионизирующее облучение, опасность начала разрастания жировых клеток в мозгу значительно увеличивается.
Показывает ли липому головного мозга МРТ
Именно магнитно-резонансная томография признана одним из наиболее эффективных методов выявления новообразования на мягких тканях. Она также хорошо показывает себя при диагностике состояния головного мозга.
Диагностировать липому при помощи МРТ можно на самой ранней стадии, когда ее размер составляет от 2 до 3 мм. На снимке новообразование будет четко заметно. Врачи получают возможность оценить сразу несколько важных параметров:
- Форма.
- Размеры.
- Область расположения.
- Степень однородности.
- Наличие масс-эффекта.
Также устанавливается, был ли нанесен вред соседним тканям, насколько сильно пострадала кровеносная система.
При обследовании на магнитно-резонансном томографе, новообразование начинает реагировать на гиперинтенсивный сигнал. При достижении жировой ткани он исчезает. Это и помогает получить четкий, удобный для последующего использования снимок.
МРТ хорошо подходит и для другой важной задачи - отличить липому от различных патологий с похожей симптоматикой и отображением на МРТ. Среди наиболее часто встречающихся -липоматозно-перерожденная опухоль, тератома, тромбированная мешотчатая аневризма и многое другое.
Метод МР-сканирования применяется для постановки диагноза, выбора метода лечения, контроля процесса выздоровления пациента. Тактика лечения бывает разной. Иногда врачи выбирают тактику пассивного наблюдения. При больших размерах опухоли приходится прибегать к хирургическому удалению.
Липома на МРТ головного мозга видна очень четко. При этом сам метод безопасен для организма, подойдет для периодического использования в целях контроля состояния пациента. Список противопоказаний минимальный. Заключение будет подготовлено уже в день обращения.
Липома мозга
![изображение]()
Липома мозга — редкое патологическое состояние, при котором в мозговом веществе присутствует доброкачественная жировая опухоль в соединительнотканной капсуле. Может вызывать неврологические и общие симптомы. Некоторым пациентам с таким диагнозом требуется хирургическое лечение.
Рассказывает специалист ЦМРТ
Дата публикации: 07 Июля 2022 года
Дата проверки: 11 Июля 2022 года
Содержание статьи
Причины липомы головного мозга
Ученые не определились с точным механизмом формирования жировой опухоли в мозговом веществе. Доминирующая теория — нарушение эмбриональной закладки органов, при котором в головной мозг попадают жировые клетки. Они постепенно разрастаются с формированием соединительнотканной капсулы.
Другие факторы риска:
- токсическое поражение организма
- воспалительный процесс
- нейроинфекция
- метаболические расстройства
- гормональный дисбаланс
Не исключено наличие наследственной предрасположенности к заболеванию.
Симптомы мозговой липомы
Клинические проявления заболевания и жалобы пациента зависят от расположения и размера жирового образования. В большинстве случаев врожденный жировик не вызывает недомогания и выявляется случайно по результатам обследования.
Липома головного мозга иногда вызывает следующие симптомы:
- головную боль
- судороги
- нарушение сознания
- головокружение
- ухудшение когнитивных функций
- двигательные расстройства
- бессонницу
Редким осложнением является разрыв липомы с выделением жирового содержимого в мозговое вещество. В этом случае могут развиться выраженные неврологические расстройства.
Виды жировика мозга
Принятая в неврологии классификация основана на расположении патологической структуры. С учетом этого критерия жировик может быть:
Межполушарным или перикаллезным. Межполушарная липома по мере развития иногда достигает третьего желудочка. Характерные проявления включают шум в ушах и двигательные нарушения.
Лобная. Жировики в лобных долях негативно влияют на психоэмоциональное состояние. Больной может жаловаться на депрессию и тревогу.
Щелевая. Липома межполушарной щели отличается крупными размерами — иногда она достигает 5-7 сантиметров и при этом значительно сдавливает окружающие церебральные структуры. Признаки включают колебания артериального давления, снижение слуха и забывчивость.
Эпифизарная. Опухоль может нарушать отток цереброспинальной жидкости в желудочек с формированием гидроцефалии.
Фалькса. Неврологам известно, что липома Фалькса головного мозга часто вызывает мучительную головную боль и тремор конечностей.
Определить тип патологической структуры сможет только специалист по результатам обследования.
Как диагностировать
При появлении общих и неврологических нарушений следует незамедлительно обратиться к врачу. Специалист опросит больного, соберет анамнестические сведения и проведет осмотр для обнаружения характерных симптомов. Поставить диагноз можно с помощью специальных исследований.
Магнитно-резонансная томография. Этот способ визуализации подходит для уточнения типа опухоли, поскольку на снимках хорошо различимы разные типы мягких тканей.
Эхоэнцефалография. Процедура позволяет идентифицировать крупный патологический очаг в мозговом веществе.
Компьютерная томография. Результаты КТ дают возможность отличить жировик от других опухолей и опухолевидных структур.
В клиниках ЦМРТ специалисты выявляют заболевание по данным МР-исследования.
Показывает ли МРТ внутричерепное давление
Все клиники сети ЦМРТ оснащены современным высокоточным оборудованием. МРТ и другие виды диагностики проводят опытные и квалифицированные специалисты.
Консультация специалиста после диагностики со скидкой 50%.
![изображение]()
Внутричерепная гипертензия — патологическое состояние, при котором выявляется повышенное внутричерепное давление. Формируется при новообразованиях в мозговой ткани, черепно-мозговой травме, кровотечениях и других недугах. Для постановки диагноза с помощью инструментальных исследований следует записаться на прием к неврологу.
Дата публикации: 10 Ноября 2021 года
Дата проверки: 30 Ноября 2021 года
Что такое внутричерепное давление
Череп представляет собой плотную костную структуру, защищающую головной мозг. Внутри присутствует большое количество крови и цереброспинальной жидкости, циркулирующей по желудочкам и специальным полостям. Все перечисленные анатомические структуры оказывают воздействие на костные стенки и формируют давление. В норме измерение ВЧД показывает результат от 8 до 15 мм рт. ст.
Что нужно знать о внутричерепном давлении
Существуют множество факторов, влияющих на циркуляцию крови и ликвора в черепном пространстве. Поскольку показатель ВЧД часто меняется, важно знать, как его проверять. Самостоятельно провести измерение не получится, поэтому при обнаружении патологических признаков потребуется неврологический осмотр. Часто врачи оценивают показатель ВЧД по косвенным признакам.
Диагностику проводят при обнаружении следующих симптомов:
- сильной головной боли
- болезненности в области глаз
- распирающих ощущений в области черепа
- нарушения сна
- тошноты и рвоты
Если цефалгия и другие нарушения долго не проходят, следует обратиться к специалисту. Врач расскажет, как меряют внутричерепное давление и снижают его при наличии патологии.
Причины повышенного внутричерепного давления
Увеличение показателя ВЧД возникает преимущественно по следующим причинам:
- присутствие объемного патологического образования в мозговых тканях (например, аневризмы или опухоли)
- отечность мозговых тканей на фоне воспалительного процесса, инфекции, интоксикации или других изменений в организме
- увеличение объема крови в органе из-за нарушения кровообращения
- ликвородинамические расстройства, характеризующиеся увеличением объема цереброспинальной жидкости
Проверить ВЧД недостаточно. Для установления причин его изменения требуются инструментальные и лабораторные исследования.
Показывает ли МРТ внутричерепное давление?
Этот высокотехнологичный метод визуализации анатомических структур, не связанный с воздействием рентгеновского излучения, позволяет безопасно и с высокой эффективностью определить этот диагностический показатель у пациента. МР-диагностика определяет высокое внутричерепное давление по следующим «маркерам»: частично пустое турецкое седло, расширенные оболочки зрительных нервов, уплощенные задние части глазных яблок, щелевидные желудочки.
Такой способ исследования помогает специалисту определить причину формирования заболевания и подобрать схему лечения. МРТ головы дифференцирует состояние от других патологий со схожей клинической картиной.
Какая МРТ покажет высокое внутричерепное давление?
Если доктор обнаруживает симптоматику такой патологии или просто хочет проверить показатель, назначается магнитно-резонансная томография головного мозга и его сосудистых структур. МР-ангиография при необходимости дополнительно выявит сгусток крови в венозном синусе, вызывающий закупорку.
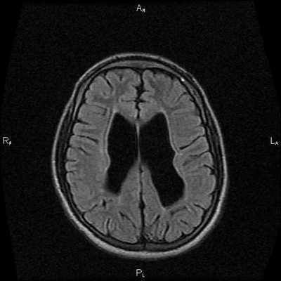
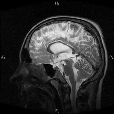
Пациентка Ш. 83 лет
Проблема: жалобы на снижение памяти, повышенную утомляемость. Пациентка была направлена на МРТ головного мозга с целью исключения различных патологий.
Врач ЦМРТ
При МРТ головного мозга установлено: МРТ признаки хронической недостаточности мозгового кровообращения; выраженная открытая внутренняя гидроцефалия, свидетельствующая о признаках атрофических изменений в головном мозге.
![МРТ снимок внутричерепного давления]()
![МРТ снимок внутричерепного давления]()
Особенности проведения МРТ при внутричерепной гипертензии
Специалист предварительно объясняет пациенту правила подготовки. При использовании контраста предварительно нужно воздержаться от питания за несколько часов до исследования. Исключается наличие противопоказаний. Врач помогает больному расположиться на столе томографа и проводит фиксацию.
Во время сканирования рентгенолог находится в отдельном кабинете и проводит анализ получаемых данных. Обычно вся процедура занимает не более 45 минут. При необходимости дополнительно применяют контрастирование.
Описание МРТ- снимка в ЦМРТ
В клинике ЦМРТ результаты исследования можно получить уже в течение часа после прохождения процедуры. Доступна услуга «Второе мнение» — специалисты центре проводят расшифровку исследования, проведенного ранее для уточнения, подтверждения или опровержение диагноза. Это позволяет оценить тактику лечения и при необходимости внести коррективы.
Читайте также:




