Дифференциация туберкулеза и рака легкого. Ателектаз туберкулезного легкого
Добавил пользователь Евгений Кузнецов Обновлено: 02.11.2025
Ателектаз легкого - безвоздушность легочной ткани, обусловленная спадением альвеол на ограниченном участке (в сегменте, доле) или во всем легком. При этом пораженная легочная ткань исключается из газообмена, что может сопровождаться признаками дыхательной недостаточности: одышкой, болью в грудной клетке, цианотичным оттенком кожных покровов. Наличие ателектаза устанавливается по данным аускультации, рентгенографии и КТ легкого. Для расправления легкого может назначаться лечебная бронхоскопия, ЛФК, массаж грудной клетки, противовоспалительная терапия. В ряде случаев требуется хирургическое удаление ателектазированного участка.
МКБ-10
Общие сведения
Ателектаз легкого (греч. "ateles" - неполный + "ektasis" - растяжение) - это неполное расправление или тотальное спадение легочной ткани, приводящее к уменьшению дыхательной поверхности и нарушению альвеолярной вентиляции. Если спадение альвеол вызвано компрессией легочной ткани извне, то в этом случае обычно используется термин «коллапс легкого». В спавшемся участке легочной ткани создаются благоприятные предпосылки для развития инфекционного воспаления, бронхоэктазов, фиброза, что диктует необходимость применения активной тактики в отношении данной патологии. В пульмонологии ателектазом легкого могут осложняться самые различные заболевания и повреждения легких; среди них на долю послеоперационных ателектазов приходится 10-15%.

Причины
Ателектаз легкого развивается в результате ограничения или невозможности поступления воздуха в альвеолы, что может быть обусловлено целым рядом причин. Врожденный ателектаз у новорожденных наиболее часто возникает в связи с аспирацией мекония, околоплодных вод, слизи и т. д. Первичные ателектазы легкого характерны для недоношенных детей, у которых снижено образование или отсутствует сурфактант - антиателектический фактор, синтезируемый пневмоцитами. Реже причинами врожденных ателектазов становятся пороки развития легкого, внутричерепные родовые травмы, вызывающие угнетение дыхательного центра.
В этиологии приобретенных ателектазов легкого наибольшее значение принадлежит следующим факторам: закупорке просвета бронха, компрессии легкого извне, рефлекторным механизмам и аллергическим реакциям. Обтурационный ателектаз может возникать в результате попадания в бронх инородного тела, скопления в его просвете большого количества вязкого секрета, эндобронхиального роста опухоли. При этом величина ателектазированного участка прямо пропорциональна калибру обтурированного бронха.
Непосредственными причинами компрессионного ателектаза легкого, могут выступать любые объемные образования грудной полости, оказывающие давление на легочную ткань: аневризма аорты, опухоли средостения и плевры, увеличенные лимфоузлы при саркоидозе, лимфогранулематозе и туберкулезе и пр. Однако наиболее частыми причинами коллапса легкого становятся массивный экссудативный плеврит, пневмоторакс, гемоторакс, гемопневмоторакс, пиоторакс, хилоторакс. Послеоперационные ателектазы нередко развиваются после хирургических вмешательств на легких и бронхах. Как правило, они обусловлены повышением бронхиальной секреции и снижением дренажной функции бронхов (плохим откашливанием мокроты) на фоне перенесенной операционной травмы.
Дистензионные ателектазы легких вызваны нарушением растяжения легочной ткани нижних легочных сегментов вследствие ограничения дыхательной подвижности диафрагмы либо угнетения дыхательного центра. Участки гипопневматоза могут развиваться у лежачих больных, при заболеваниях, сопровождающихся рефлекторным ограничением вдоха (асците, перитоните, плеврите и пр.), отравлении барбитуратами и другими лекарственными средствами, параличе диафрагмы. В ряде случаев ателектаз легкого может возникнуть как следствие бронхоспазма и отека слизистой оболочки бронха при заболеваниях аллергической природы (астмоидном бронхите, бронхиальной астме и др.).
Патогенез
В первые часы в ателектазированном участке легкого отмечается вазодилатация и венозное полнокровие, приводящие к транссудации отечной жидкости в альвеолы. Происходит снижение активности ферментов эпителия альвеол и бронхов и протекающих с их участием окислительно-восстановительных реакций. Спадение легкого и нарастание отрицательного давления в плевральной полости вызывают смещение органов средостения в пораженную сторону. При выраженных нарушениях крово- и лимфообращения возможно развитие отека легких. Через 2-3 суток в очаге ателектаза развиваются признаки воспаления, прогрессирующие в ателектатическую пневмонию. При невозможности расправления легкого в течение длительного времени на месте ателектаза начинаются склеротические изменения с исходом в пневмосклероз, ретенционные кисты бронхов, деформирующий бронхит и бронхоэктазы.
Классификация
По происхождению ателектаз легкого может быть первичным (врожденным) и вторичным (приобретенным). Под первичным ателектазом понимают состояние, когда у новорожденного ребенка по какой-либо причине не происходит расправления легкого. В случае приобретенного ателектаза отмечается спадение легочной ткани, ранее уже участвовавшей в акте дыхания. Данные состояния необходимо отличать от внутриутробного ателектаза (безвоздушного состояния легких, наблюдаемого у плода) и физиологического ателектаза (гиповентиляции, имеющей место у некоторых здоровых людей и представляющей собой функциональный резерв легочной ткани). Оба этих состояния не являются истинным ателектазом легкого.
В зависимости от объема «выключенной» из дыхания легочной ткани ателектазы делятся на ацинозные, дольковые, сегментарные, долевые и тотальные. Они могут быть одно- и двусторонними - последние крайне опасны и могут привести к гибели больного. С учетом этиопатогенетических факторов ателектазы легких подразделяются на:
- обструктивные (обтурационные, резорбционные) - связанные с механическим нарушением проходимости трахеобронхиального дерева
- компрессионные (коллапс легкого) - вызванные сдавлением легочной ткани снаружи скоплением в плевральной полости воздуха, экссудата, крови, гноя
- контракционные - вызванные сдавлением альвеол в субплевральных отделах легких фиброзной тканью
- ацинарные - связанные с дефицитом сурфактанта; встречаются у новорожденных и взрослых при респираторном дистресс-синдроме.
Кроме этого, можно встретить деление ателектазов легких на рефлекторные и послеоперационные, развивающиеся остро и постепенно, неосложненные и осложненные, преходящие и стойкие. В развитии ателектаза легкого условно выделяют три периода: 1- спадение альвеол и бронхиол; 2 - явления полнокровия, транссудации и локального отека легочной ткани; 3 - замещение функциональной ткани соединительной, формирование пневмосклероза.
Симптомы ателектаза легкого
Яркость клинической картины ателектаза легкого зависит от скорости спадения и объема нефункционирующей легочной ткани. Одиночный сегментарный ателектаз, микроателектазы, среднедолевой синдром нередко протекают бессимптомно. Наиболее выраженной симптоматикой отличается остро развившийся ателектаз доли или целого легкого. При этом возникает внезапная боль в соответствующей половине грудной клетки, пароксизмальная одышка, сухой кашель, цианоз, артериальная гипотония, тахикардия. Резкое нарастание дыхательной недостаточности может стать причиной летального исхода.
Осмотр больного выявляет уменьшение дыхательной экскурсии грудной клетки и отставание пораженной половины при дыхании. Над очагом ателектаза определяется укороченный или тупой перкуторный звук, дыхание не прослушивается или резко ослаблено. При постепенном выключении легочной ткани из вентиляции симптомы выражены в меньшей степени. Однако в последующем в зоне гипопневматоза может развиться ателектатическая пневмония. Повышение температуры тела, появление кашля с мокротой, нарастание симптомов интоксикации свидетельствует о присоединении воспалительных изменений. В этом случае ателектаз легкого может осложниться развитием абсцедирующей пневмонии или даже абсцесса легкого.
Диагностика
Основу инструментальной диагностики ателектаза легкого составляют рентгенологические исследования, прежде всего, рентгенография легких в прямой и боковой проекциях. Для рентгенологической картины ателектаза характерно гомогенное затенение соответствующего легочного поля, смещение средостения в сторону ателектаза (при коллапсе легкого - в здоровую сторону), высокое положение купола диафрагмы на пораженной стороне, повышенная воздушность противоположного легкого. При рентгеноскопии легких на вдохе органы средостения смещаются в сторону спавшегося легкого, на выдохе и при кашле - в сторону здорового легкого. В сомнительных случаях данные рентгенографии уточняются с помощью КТ легких.

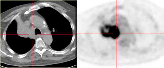
КТ органов грудной клетки. Ателектаз верхней доли правого легкого, обусловленный злокачественной опухолью правого верхнедолевого бронха
Для выяснения причин обструктивного ателектаза легкого информативна бронхоскопия. При длительно существующем ателектазе, для оценки степени поражения производятся бронхография и ангиопульмонография. Рентгеноконтрастное исследование бронхиального дерева выявляет уменьшение участка ателектазированного легкого и деформацию бронхов. По данным АПГ можно судить о состоянии легочной паренхимы и глубине ее поражения. Исследование газового состава крови выявляет значительное снижение парциального давления кислорода. В рамках дифференциальной диагностики исключаются агенезия и гипоплазия легкого, междолевой плеврит, релаксация диафрагмы, диафрагмальная грыжа, киста легкого, опухоли средостения, крупозная пневмония, цирроз легкого, гемоторакс и др.
Лечение ателектаза легкого
Выявление ателектаза легкого требует от врача (неонатолога, пульмонолога, торакального хирурга, травматолога) деятельной, активной тактики. Новорожденным с первичным ателектазом легкого в первые минуты жизни производится отсасывание содержимого дыхательных путей резиновым катетером, при необходимости - интубация трахеи и расправление легкого.
При обтурационном ателектазе, вызванном инородным телом бронха, для его извлечения необходимо проведение лечебно-диагностической бронхоскопии. Эндоскопическая санация бронхиального дерева (бронхоальвеолярный лаваж) необходима в том случае, если спадение легкого вызвано скоплением трудно откашливаемого секрета. С целью устранения послеоперационных ателектазов легкого показано проведение трахеальной аспирации, перкуторного массажа грудной клетки, дыхательной гимнастики, постурального дренажа, ингаляций с бронхолитическими и ферментными препаратами. При ателектазах легких любой этиологии необходимо назначение превентивной противовоспалительной терапии.
При коллапсе легкого, обусловленном наличием в плевральной полости воздуха, экссудата, крови и другого патологического содержимого, показано срочное проведение торакоцентеза или дренирования плевральной полости. В случае длительного существования ателектаза, невозможности расправления легкого консервативными методами, формирования бронхоэктазов ставится вопрос о резекции пораженного участка легкого.
Прогноз и профилактика
Успешность расправления легкого напрямую зависит от причины ателектаза и сроков начала лечения. При полном устранении причины в первые 2-3 суток прогноз в отношении полного морфологического восстановления участка легкого благоприятный. При более поздних сроках расправления легкого нельзя исключить развития вторичных изменений в спавшемся участке. Массивные или стремительно развившиеся ателектазы могут привести к смерти. Для профилактики ателектаза легкого важны недопущение аспирации инородных тел и желудочного содержимого, своевременное устранение причин внешнего сдавления легочной ткани, поддержание проходимости дыхательных путей. В послеоперационном периоде показана ранняя активизация больных, адекватное обезболивание, занятия ЛФК, активное откашливание бронхиального секрета, при необходимости - санация трахеобронхиального дерева.
1. Основные клинические синдромы при заболеваниях органов дыхания: Методическое пособие/ Павленко В.В. - 2008.
3. Восстановительная хирургия внутригрудных дыхательных путей: Практическое пособие/ Сачек М.Г., Аничкин В.В. - 1982.
Дифференциальная диагностика в онкопульмонологии
В медицинской практике важно различить одно заболевания от другого. Для этого необходимо тщательно собрать анамнез жизни и заболевания, определить патогномоничные симптомы, провести лабораторные и инструментальные исследования. Всё это входит в понятие дифференциальной диагностики — разновидности медицинской диагностики, которая подразумевает исключение того или иного заболевания для грамотного и эффективного подбора терапии.
В конечном итоге при грамотном применении дифференциально-диагностических методик, которые предполагают сочетание клинического опыта врача-диагноста и всего спектра наиболее эффективных способов определения нозологии, останется единственный диагноз, что исключает возникновение врачебных ошибок и обеспечивает максимально эффективное поддержание уровня качества жизни больного.
Использование дифференциальной диагностики заболеваний на раннем этапе в конечном итоге даёт максимальный результат. Постановка дифференциального диагноза может проходить в 5 этапов:
- Выделение главного синдрома, который объединяет несколько похожих нозологий. Если таких синдромов больше одного, то из всей совокупности вычленяют наиболее информативный.
- Проведение детального анализа ведущего синдрома (его продолжительность, стадийность, степень проявления). Также нужно охватить полную картину заболевания и учитывать симптомы, которые возникали на всём протяжении болезни.
- Сама дифференциация нозологии. Здесь сравнивается настоящая патология со всем перечнем похожих заболеваний. Для начала рассматривается сходство возникших симптомов с характерными, классическими признаками предполагаемой патологии. Кроме того, анализируют другие симптомы, которые могут склонять выбор в сторону
других нозологий. Это — самый важный этап дифференциальной диагностики. - Анализ полученной информации. К этой фазе врачи подходят творчески и используют всё имеющееся клиническое мышление. Здесь применяются несколько принципов. Например, если у больного предполагается какой-либо синдром, а некоторые симптомы прямо противоположны патогномоничным признакам, значит этот синдром исключается.
- Постановка окончательного диагноза и определение соответствующей тактики лечения.
Способы диагностики в онкологии
Применение методик дифференциальной диагностики имеет особое значение в онкологической практике, так как различные виды рака предполагают уникальные лечебные и диагностические подходы. Для того чтобы определить или исключить наличие злокачественного новообразования, применяют следующие клинические методы:
- Ультразвуковое исследование.
- Рентгенологические методы.
- Компьютерная томография.
- Позитронно-эмиссионная томография.
- Магнитно-резонансная томография.
- Анализ крови на наличие онкомаркёров.
- Гистологическое исследование биоптата.
- Эндоскопические методы.
Эти процедуры позволяют с большой долей вероятности провести дифференциальную диагностику рака не только с другими, неонкологическими, заболеваниями, но и определить точную стадию злокачественного процесса. Особенно важна в этом плане ранняя диагностика опухолей, так как чем раньше начнётся лечение рака, тем более эффективным оно будет.

Диагностика в онкопульмонологии
Актуальной задачей остаётся проведение дифференциальной диагностики первичного рака и пульмонологических заболеваний. Однако нужно помнить, что почти в половине случаев рак лёгких сопровождается как острой, так и хронической пневмонией онкологического генеза, которая маскирует проявления возникшего опухолевого процесса. Одним из главных методов, используемых при дифференциации рака лёгких и других лёгочных заболеваний (и болезней органов грудной клетки вообще), является проведение лучевой диагностики. При данных состояниях широкое применение в медицинской практике нашли крупнокадровая флюорография, прицельная и стандартная рентгенография в двух проекциях. С успехом применяется и компьютерная томография, которая позволяет оценить объём поражения лёгких, структуру патологического очага, его точную локализацию. Методы бронхоскопии и бронхографии могут использоваться при диагностике инородных тел бронхов, папилломах гортани, помогают оценить степень обтурации и оттеснения бронхов опухолью лёгких.
Центральный и периферический рак
Рак лёгких по своему расположению делится на центральный и периферический. Дифференциальное разделение этих двух форм имеет принципиальное значение для выбора хирургического метода лечения. Оба вида рака относятся к злокачественным процессам, развивающимся из эпителия бронхов разного калибра (поэтому их ещё называют бронхогенным раком). Для возникновения центрального рака лёгких в большинстве случаев имеет значение вдыхание канцерогенных веществ, поэтому он чаще является первичным злокачественным новообразованием.
Периферический рак легкого чаще является вторичным, то есть формируется в результате метастазирования других имеющихся в организме опухолей. Для него более характерно наличие сразу нескольких очагов.
Центральный рак лёгких чаще всего развивается в крупных бронхах. Сама опухоль может расти как в сторону просвета бронхов (тогда он называется эндобронхиальным), или кнаружи от него (перибронхиальный). Вначале появляется мучительный сухой кашель, особенно усиливающийся по ночам. Затем постепенно нарастает образование слизистой и слизисто-гнойной мокроты, у половины пациентов уже в ранней стадии возникает кровохарканье. Типичны боли в области грудной клетки, причём они могут быть и на стороне, противоположной поражённой. На рентгенографии можно различить округлую тень узла с характерной «дорожкой» к корню, ателектаз и усиление легочного рисунка в области поражения.
Дифференциальная диагностика периферического рака лёгкого в большинстве случаев требует применения инструментальных исследований, так как симптоматика проявляется не сразу и достаточно размыта. Из рентгенологических признаков периферического рака наиболее информативны лучистость затемнения, его бугристость, неоднородная структура (кальцинаты) и наличие плеврального выпота.

Рак лёгкого и пневмония
Не столь часто, но всё же приходится проводить в клинической практике дифференциальную диагностику периферического рака лёгких и очаговой пневмонии. Для воспалительного процесса лёгочной ткани инфекционного генеза характерны следующие признаки:
- Пневмония чаще встречается у пациентов моложе 50 лет (хотя может возникнуть в любом возрасте).
- Нет особых различий по полу пациентов (при раке — больше мужчины-курильщики).
- Начало болезни в большинстве случаев острое, с фебрильной лихорадкой.
- Одышка может отсутствовать, но при обширных поражениях лёгочной ткани появляется почти всегда (при онкологии — в далеко запущенных случаях).
- Боли могут возникать при вовлечении плевры.
- Ярко выраженные изменения в результате применения физикальных методов диагностики. Особенно изменяется дыхание, сначала оно становится жёсткое, затем появляются сухие и влажные хрипы.
- При проведении общего анализа крови можно выявить характерные признаки воспаления (рак в данном случае может характеризоваться высоким СОЭ при нормальном содержании лейкоцитов).
- На рентгенологическом снимке видны очаги воспаления гомогенной плотности, чаще — в нижних долях, с расплывчатыми границами, с усилением легочного рисунка и увеличением корней лёгкого.
Рак лёгкого и туберкулёз
Если пневмония исключена, обычно необходимо выполнить дифференциальную диагностику между раком лёгких и туберкулёзом. Схожесть симптоматики характерна для инфильтративного туберкулёза и периферического рака.
При туберкулёзе нередко можно выявить прямой контакт пациента с подтверждённым носителем микобактерий. Температура тела бывает повышенной в вечерние и ночные часы, вплоть до субфебрильной и фебрильной (в отличие от рака, при котором чаще всего температура не поднимается выше субфебрилитета). При онкологическом процессе чаще отмечается локализованный сухой кашель.
Течение туберкулёза обычно полисимптомно, но признаки выражены слабо, а при онкологическом процессе, как правило, можно явно выявить 1-2 основных симптома. При анализе мокроты патогномоничным признаком будет обнаружение возбудителей туберкулёза, а при раке — атипичных клеток (в большинстве случаев). Также специфический результат дадут подкожные туберкулиновые пробы, которые при инфицировании микобактериями дают положительный результат, а при злокачественных опухолях лёгкого — отрицательный.
Рентгенологически при туберкулёзной инфильтрации можно увидеть полисегментарные затемнения округлой или облаковидной формы, участки бронхогенного обсеменения в удалённых областях лёгкого или в другом лёгком. При ателектазе (который часто встречается при центральной форме рака) выявляется культя бронха, на фоне затемнения не видно светлых полосок бронхиального дерева (в отличие от туберкулёза).
Если сравнивать кавернозную форму туберкулёза с полостными образованиями при раке, то поначалу рентгенологически их отличить тяжело — в обоих случаях каверна имеет толстые неровные стенки с перифокальным воспалением и инфильтрацией, с наличием внутри жидкости. После отторжения некротических масс, стенки туберкулёзной каверны становятся более тонкими и ровными, само затемнение — округлое (ближе к правильной форме), а инфильтрация вокруг образования уменьшается.
Сложности могут возникнуть при дифференциальной диагностике узловой формы периферического рака и туберкуломы. Последняя имеет более чёткие округлые контуры, а рак имеет специфическую лучистость. Для туберкуломы характерны участки обызвествления и кальцификаты.
В любом случае, для дифференциального диагноза рака лёгких и туберкулёза чаще всего решающее значение имеют результаты биопсии.
Рак лёгкого и инородное тело в бронхах
Во многих случаях аспирация инородного тела в бронх проходит для взрослых незаметно. В таких ситуациях больные могут долго и безуспешно лечиться по поводу рака бронхов или лёгких. После попадания инородного тела, в большинстве случаев возникает судорожный кашель, который может пройти. Фруктовые косточки, семечки, кусочки пластмасс при нахождении в бронхах покрываются грануляцией, которая вызывает хронический воспалительный процесс. Вялотекущее воспаление в данном случае сопровождается периодическим подъёмом температуры, кашлем, сопровождающимся выделением слизистой или слизисто-гнойной мокротой, небольшой одышкой и болью в груди без чёткой локализации.
На рентгенограмме довольно чётко определяется металлическое инородное тело. В противном случае можно лишь различить неясное затемнение поражённого бронха и участок воспаления вокруг него. Поможет дифференцировать инородное тело от рака компьютерная томография, особенно если обтурирован крупный сегмент бронха. В таком случае ставится диагноз обструктивного пневмонита и рассматриваются тактики извлечения инородного тела с минимизацией ущерба для слизистой оболочки бронха.
Можно легко спутать с центральным раком лёгкого эндогенный бронхолит, который представляет собой кальцинированную часть лимфатического узла, попавшего в просвет бронха в результате бронхожелезистой перфорации. При наличии бронхолита пациенты предъявляют примерно такие же жалобы, как и при центральном раке. Дифференцировать данные состояния поможет томография, выполненная в двух проекциях.
Диагностическую ценность имеет и проведение бронхоскопии. Если бронхолит крупный, находится в просвете бронхов или частично расположен в стенке, то можно визуализировать и удалить эндогенное инородное тело. Однако если бронхолит образовался много лет назад, и полностью скрыт грануляционой тканью, то его удаление возможно только при разрушении плотной фиброзной оболочки, покрывающей его. Это чревато сильным кровотечением, так как при хирургических манипуляциях есть вероятность повредить относительно крупные бронхиальные сосуды, проходящие прямо в соединительнотканной оболочке.
При случайном обнаружении затемнения и сомнениях в выборе диагноза между центральным раком и бронхолитом имеет смысл провести бронхоскопию с биопсией. Если онкологический диагноз не подтвердился, то при отсутствии жалоб со стороны пациента можно оставить бронхолит и по необходимости проводить противовоспалительную терапию.

Рак лёгкого и сифилис
Легочное сифилитическое поражение встречается в крайне редких случаях, причём период от манифестации заболевания и появления такого осложнения может составлять 8 лет и больше. При наличии солитарной крупной сифилитической гуммы в лёгочной ткани приходится дифференцировать её с раком лёгкого.
Симптоматика болезни часто не соответствует степени поражения лёгких при сифилисе — относительно нормальное общее самочувствие может сочетаться с резко выраженной одышкой. Течение болезни длительное, часто малосимптомное. При сифилисе лёгких будут отсутствовать малые признаки рака, которые часто бывают дополнительным критерием постановки онкологического диагноза. Также следует брать во внимание длительный сифилитический анамнез, особенно если за всё время лечение было нерегулярным и неадекватным.
Сифилитические гуммы небольшого размера (милиарные, от горошины до лесного ореха), локализуются большей частью в средней и нижней долях лёгкого. Образования могут быть негомогенной структуры, распадаться с образованием каверн. Решающее значение в дифференциальной диагностике будут иметь результаты серологических исследований на сифилис и эффект таргетированного лечения препаратами йода и висмута, а также бициллинотерапии.
Рак лёгкого и метастазы
Нередко приходится различать первичные злокачественные новообразования и метастатическое поражение. На рентгенограмме обычно кардинальных различий нет, поэтому приходится опираться на клинические проявления и результаты других видов исследований.
При метастатическом поражении результаты биопсии показывают наличие атипичных клеток внелегочного генеза (рак лёгких образуется из бронхиального эпителия). Для первичного рака лёгких характерны изменения лёгочной ткани (рубцы, дисплазия, carcinoma in situ), а метастазы возникают в первоначально неизменённой паренхиме.
Поражение близлежащих регионарных лимфоузлов может быть характерным признаком рака лёгких. Метастатические очаги обычно локализуются в паренхиме, так как заносятся они лимфогенным, гематогенным или контактным путём (в этом случае они отличаются от центральной формы рака, но схожи с периферической).
Метастазы в лёгких сопровождаются паранеопластическим синдромом, который характерен для наличия опухолей в других органах. То же самое касается и онкомаркёров — при первичном раке лёгких в крови можно обнаружить специфические СА-125, CYFRA 21-1, а метастазы проявляются наличием ПСА, тиреоглобулина, СА 15-3 и других онкомаркёров (в зависимости от локализации первичного очага). После удаления метастазов хирургическим методом, эффект обычно минимальный — процесс быстро генерализируется, а при первичной онкологии лёгких генерализация происходит реже и медленнее. Метастатическое поражение лёгких, в отличие от первично возникшего рака, редко вовлекает в болезненный процесс висцеральную плевру и бронхи крупного диаметра.
Рак лёгких и саркоидоз
Саркоидоз характеризуется появлением специфических гранулём во внутренних органах и лимфатических узлах. Очень часто саркоидоз локализуется во внутригрудных лимфатических узлах и паренхиме лёгких. Клинически заболевание сначала протекает почти бессимптомно и может быть обнаружено при случайном рентгенологическом обследовании. С прогрессированием болезни появляются похожие на рак симптомы: сухой кашель, нарастающая одышка, боль в груди, общие признаки в виде утомляемости, повышения температуры, слабости, снижения аппетита. При физикальном обследовании можно обнаружить жёсткое дыхание и сухие хрипы.
Рентгенологическую картину саркоидоза тоже можно спутать с признаками рака лёгких: очаговоподобные затемнения на лёгочной ткани, инфильтрация (часто диффузная), увеличение близлежащих лимфоузлов, усиление и искажение легочного рисунка.
Однако для саркоидоза существует несколько патогномоничных признаков, выделяемых из всех рентгенологических проявлений:
- Симптом «матового стекла» — неравномерное участки затемнения и просветления на всей поверхности легочной ткани.
- Кальцинация лимфатических узлов по типу «ореховой скорлупы».
- Симптом диссеминации: множество рассеянных мелкоочаговых теней размерами от милиарных до 0,7 см, локализованные большей частью в области примыкания лёгких к плевре и в аксиллярной зоне.
Кроме того, дифференциацию поможет провести биопсия узлов — при саркоидозе обнаруживаются гигантские клетки Пирогова-Лангханса, а при опухолевом процессе — признаки атипии.
Врачи «Евроонко» ежедневно сталкиваются с необходимостью проведения дифференциальной диагностики заболеваний легкого. Благодаря узкой специализации и большому опыту работы, нам в каждом случае удается поставить верный диагноз и определить адекватную лечебную тактику.
Дифференциация туберкулеза и рака легкого. Ателектаз туберкулезного легкого
Фтизиатрия:
Популярные разделы сайта:
Дифференциальная диагностика рака легкого и туберкулеза
Бронхогенная карцинома в конце XX в. стала частой онкологической патологией в пульмонологии, занимающей ведущее место по частоте летальных исходов.
Вредные полютанты окружающей среды, имеющие канцерогенный эффект, и табакокурение играют важную роль в возникновении этой патологии. Рак может иметь различную локализацию в бронхопульмональной системе. В пульмонологии выделяют центральный (разветвленная и медиастинальная формы), периферический (опухоль Пенкоста), полостной, пневмониоподобный и мультицентрический рак.
Морфологически различают высоко- и низкодифференцированные формы рака бронхов. К первым относятся плоскоклеточный рак, аденокарциномы, бронхоальвеолярный рак (цилиндромы), ко вторым — мелкоклеточный рак из клеток АПУД-системы, крупноклеточный, полиморфноклеточный и светлоклеточный рак бронхов.
Распространение рака бронхов идет различными путями: per continuitatem, лимфогенно и гематогенно.
Клинически бронхогенный рак, как правило, проявляется в далеко зашедших случаях. Более выраженные изменения наступают при центральном раке, когда развиваются ателектазы, обтурационные параканкрозные пневмонии, появляются упорный кашель и кровохарканье.
Периферический рак клинически имеет маловыраженную симптоматику. Верификации диагноза помогают рентгенологические исследования, бронхоскопия с биопсией, КТ, бронхография, цитологические исследования. При параканкрозных пневмониях, полостных формах рака, при синдроме круглой тени, синдроме средней доли и других разновидностях ателектаза возникает необходимость в проведении дифференциальной диагностики с инфильтративным, кавернозным туберкулезом легких и туберкулемами.
В этом вопросе важная роль принадлежит исследованию мокроты на МБТ, эндоскопическим, цитологическим исследованиям и гистологии биоптатов.

Эпидермальный рак легкого
В ряде случаев туберкулез и рак могут протекать однотипно и правильно диагностироваться только на аутопсии. Они могут сочетаться у одного и того же больного. Сам по себе туберкулез и ОТИ после его излечения могут предрасполагать к развитию опухолевой болезни в легких. Оба заболевания в начале своего развития протекают бессимптомно или малосимптомно. Это ведет к трудностям в их ранней диагностике.
Однако упорные боли в грудной клетке, длительный сухой кашель и одышка более характерны для рака. Стетоакустические данные не всегда способствуют ранней диагностике обоих заболеваний.
Периферический рак бронхов рентгенологически трудно отличить от туберкулемы. При этом необходимо обращать внимание на контуры затенения, размеры тени, количество теней, их структуру и наличие изменений в корнях легких, на неровность контуров, отсутствие кальцинатов, рост тени при динамическом наблюдении. О карциноматозе легких свидетельствует такой признак, как симметричная диссеминация в нижних отделах легких.
Центральный рак справа часто осложняется ателектазом средней доли правого легкого — синдромом средней доли.
Бронхоскопическими исследованиями при туберкулезе легких выявляют в устьях бронхов локальный эндобронхит, а при раке бронха — сужение или обтурацию просвета бронха. В биоптатах при туберкулезе гистологически выявляют туберкулезную гранулему или ее элементы, а при раке — раковые клетки.
В периферической крови при раке бронхов определяются гипохромная анемия, лейкоцитоз, лимфоцитопения и высокая СОЭ.
Всегда в случаях выявления в легких рентгенологических синдромов ограниченного затенения, округлой тени, кольцевидной тени, диссеминации и экссудации в плевральную полость у врачей-клиницистов должна быть не только фтизиатрическая, но и онкологическая настороженность.

Бронхоскопия при раке легкого
Ателектаз
Ателектаз — это спадение всего легкого (коллапс) или его части вследствие нарушения вентиляции , обусловленной обтурацией бронха или сдавлением легкого .
Во многих случаях ателектаз является первым признаком рака легких, поэтому очень важно выявить специфичные для ателектаза и дисектаза изменения.
Ключевые изменения на рентгенограмме представлены ниже:
- Уменьшение легкого в объеме, как следствие подъем купола диафрагмы, смещение средостения в патологическую сторону, смещение горизонтальной и косой междолевой щели.
- Безвоздушный участок легкого с отсутствием вентиляции.

Долевой ателектаз.
Долевой ателектаз или коллапс доли является важной находкой на рентгенограмме органов грудной полости и имеет сравнительно небольшой дифференциальный ряд.
Наиболее частыми причинами ателектаза является:
- Бронхиальная карцинома у курящих.
- «Слизистая пробка» у пациентов на ИВЛ и астматиков.
- Неправильное положение эндотрахеальной трубки.
- Инородное тело (чаще у детей).
На схеме ниже представлены находки при долевом ателектазе различной локализации.
- ПВД — правое легкое верхняя доля.
- ЛВД — левое легкое верхняя доля.
- СрД — правое легкое средняя доля.
- ПНД — правое легкое нижняя доля.
- ЛНД — левое легкое нижняя доля.

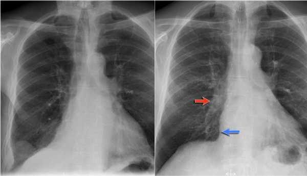
Ателектаз верхней доли правого легкого.
Оцените ниже лежащие изображения, а после продолжите чтение.

- Трехгранное затенение.
- Подъем правого корня легкого
- Облитерация загрудинного пространства (указано стрелкой).
На ПЭТ/КТ визуализируется опухоль легкого с обструкцией правого верхнедолевого бронха, как следствие ателектаз верхний доли правого легкого.

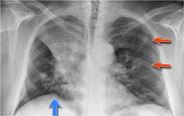
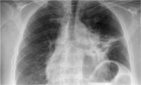
Также очень частым проявлением ателектаза является подъем диафрагмы, что хорошо визуализируется на ниже представленной рентгенограмме (указано синий стрелкой).

У данного пациента карцинома легкого с билатеральным метастазированием в легкие (указано красными стрелкам).
Ателектаз средней доли правого легкого.

- Симптом силуэта — нечеткие границы правых отделов сердца.
- Трехгранные изменения высокой плотности, визуализирующиеся на боковой рентгенограмме, являются результатом ателектаза средней доли правого легкого.
При ателектазе средней доли правого легкого подъем диафрагмы навсегда значительно выражен.
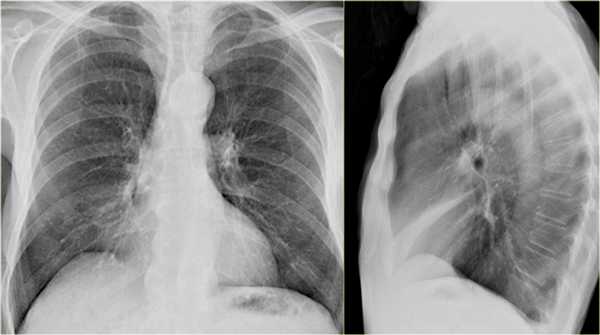
Ателектаз нижней доли правого легкого.
На нижепредставленой рентгенограмме пациента 70 лет, упавшего с лестницы, в плевральной полости определяется скопление жидкости, предположительно являющейся кровью.

Это ателектаз нижней доли правого легкого.
Обратите внимание на правую границу сердца. Правая междолевая артерия не видна потому, как она не окружена воздушной легочной тканью, а закрыта спавшейся нижней долей правого легкого.
Ниже представлены последующие рентгенограммы органов грудной полости того же пациента, на которых ателектаз разрешен.
Обратите внимание на правую междолевую артерию (красная стрелка) и границы правых отделов сердца (синяя стрелка).


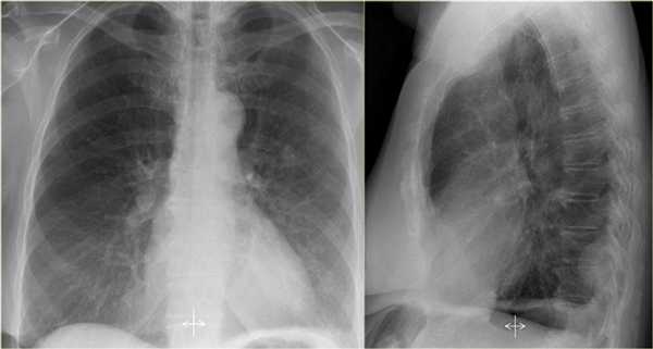
- Минимальное уменьшение объема легкого без подъема левого купола диафрагма.
- В загрудинном пространстве визуализируются изменения высокой плотности, которые спавшейся верхней доли левого легкого.
- Корень левого легкого патологичен, что может соответствовать образованию, обтурирующее просвет бронха.
- Выше перечисленные находки наводят на мысль, что это ателектаз верхней доли левого легкого.
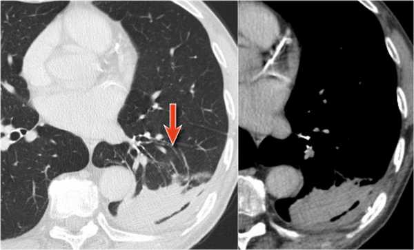
На КТ снимках синей стрелкой указан долевой ателектаз, а красной стрелкой опухоль, которая обтурирует левый верхний долевой бронх (центральный рак легкого.

Ателектаз верхней доли левого легкого с типичным симптомом воздушного серпа (Luftsichel sign — luft(air)+sichel(sickle)), обусловленный гипервентиляцией верхнего сегмента нижней доли левого легкого на фоне коллапса верхний доли левого легкого. Гипервентилируемый

сегмент визуализируется на прямой рентгенограмме от дуги аорты до апикальной части легкого.

- В левом легком патологические изменения высокой плотности с потерей силуэта контуров сердца.
- Высокое стояние диафрагмы левого легкого.
- Смещение вниз косой щели.
- Низкое расположение правого корня легкого.
Данные изменения характерны при тотальном ателектазе верхней доли левого легкого и частичный ателектаз правого легкого. Так контуры сердца справа хорошо визуализируются то, можно сказать, что частичный ателектаз не средней доли, а нижней доли правого легкого.

Оцените нижележащие ПЭТ/КТ изображения. Легочная карцинома обтурирующая левый верхнедолевой бронх и правый верхнедолевой бронх. Множественные метастазы в кости. Стрелкой указан метастаз в ребро.
Симптом воздушного серпа (luft sichel sign) — это симптом, который возможно встретить на рентгенограмме органов грудной полости при ателектазе верхней доли левого легкого.
Изменения на рентгенограмме обусловлены гипервентиляцией верхнего сегмента нижней доли левого легкого, который смещается к сзади и кверху, и тем самым располагается между коллабированной долей легких и средостением. На фронтальной рентгенограмме сегмент визуализируется от дуги аорты до апикальной части левого легкого.

На рентгенограмме представлен тотальный коллапс верхней доли левого легкого. Обратите внимание на высокое стояние левого корня легкого. Спавшаяся верхняя доля левого легкого расположено позади грудины. В данном случае компенсаторная гипервентиляция нижней доли левого легкого повлияло на то, что позиция диафрагмы и средостения в норме.

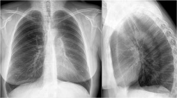
Ателектаз нижней доли левого легкого


На рентгенограмме визуализируются изменения трехгранной формы высокой плотности, расположенные позади тени сердца, что хорошо выявляется на боковом снимке. На боковом снимке при оценке контура диафрагмы спереди назад определяется все менее четко. Исходя из названия раздела напрашивается диагноз — ателектаз нижней доли левого легкого. В норме прозрачность легкого внизу выше, а в нашем случае наоборот (синяя стрелка).
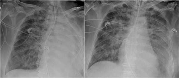
На рентгенограмме органов грудной клетки определяется тотальный ателектаз правого легкого со смещением средостения вправо. На втором снимке представлен тот же пациент, но после лечения. Легкое воздушное и положение средостения в норме. Распространенной причиной тотального ателектаза является неправильно установленная вентиляционная трубка, которая расположена слишком низко и тем самым обтурирует главный бронх.

На ниже представленном снимке представлен пациент с тяжелой бронхопневмонией и тотальным ателектазом. Причиной ателектаза явилось обтурация бронха слизью. После отсасывания мокроты аэрация левого легкого была восстановлена.

На ниже представленной рентгенограмме пациента с карциноматозом плевры левое легкое полностью компрессируется плевральной жидкостью (левый гемоторакс). В выше представленных случаях был обтурационный ателектаз, а в этом компрессионный, что лучше визуализируется на КТ (синяя стрелка). КТ данному пациенту также проводили по причине легочного эмболизма (красная стрелка).

Округлый ателектаз
- утолщение плевры
- образование, исходящее из плевры
- симптом хвоста кометы

Локальный плеврит является причиной утолщения плевры. Далее происходит инвагинация субплевральной легочной паренхимы с характерным дугообразным искривлением сосудов, и ателектаз принимает округлую форму. Симптом хвоста кометы — это симптом, который визуализируется в виде кометообразного хвоста из сосудов и воздухоносных путей, направленных к корню легкого.
На боковой рентгенограмме выявляется образование, которое исходит из плевры. На первый взгляд — это образование, исходящее из плевры.

Далее перейдите к оценки КТ-снимков.
На КТ четко выявлено, что это образование легкого. Для многих данные изменения на КТ заставили бы задуматься о раке легкого. Красной стрелкой указана утолщение плевры, а синими стрелками указаны сосуды вокруг данного образования, что называют хвостом кометы.
Всякий раз, когда встречается образование, сочлененное с плеврой, а также похожее на рак легкого, то не забудьте об округлом ателектазе.
Округлый ателектаз — это доброкачественные изменения, которые на последующих снимках не изменяются в размерах и чаще встречаются у пациентов, которые имели контакт с асбестом.

В левой нижней доле визуализируются изменения высокой плотности. На фронтальной рентгенограмме данное образование выглядит схоже с консолидацией так, как на боковой границы острые, то скорее это образование. Красной стрелкой указано утолщение плевры.

Несмотря на то, что легочный рак находится на вершине нашего дифференциального ряда, данные изменения характерны для округлого ателектаза, что хорошо визуализируется на КТ (утолщение плевры, овальная форма, симптом хвоста кометы).

Дисковидный ателектаз частая находка на рентгенограмме органов грудной полости, которая проявляется линейной тенью толщиной 1-3 мм в базальной части легких. Обычно данные изменения не имеют клинического значения и часто встречаются у пожилых и курящих пациентов. Также данные изменения встречаются у пациентов с плохим общим состоянии после полостных операций так, как им приходится дышать поверхностно.

Несмотря на то, что дисковидный ателектаз не специфичен для ТЭЛА ниже представлены рентгенограмма и КТ-снимок пациента с эмболией легочной артерии.


Ателектаз на фоне фиброза легочной паренхимы, который встречается на лучевой терапии и при хронических инфекциях таких, как туберкулез. Обратите внимание на снимок пациента, которому выполняли лучевую терапию по поводу рака легкого. Изменения высокой плотности с уменьшением в объеме легкого.
Ниже представлен снимок пациента с туберкулезом, на котором визуализируется ателектаз верхней доли правого легкого, а также обратите внимание на девиацию трахеи.
Туберкулез легких
Туберкулез легких - это инфекционная патология, вызываемая бациллой Коха, характеризующаяся различными в клинико-морфологическом отношении вариантами поражения легочной ткани. Многообразие форм туберкулеза легких обусловливает вариабельность симптоматики. Наиболее типичны для туберкулеза легких респираторные нарушения (кашель, кровохарканье, одышка) и симптомы интоксикации (длительный субфебрилитет, потливость, слабость). Для подтверждения диагноза используются лучевые, лабораторные исследования, туберкулинодиагностика. Химиотерапия туберкулеза легких проводится специальными туберкулостатическими препаратами; при деструктивных формах показано хирургическое лечение.


Туберкулез легких - заболевание инфекционной этиологии, протекающее с образованием в легких специфических воспалительных очагов и общеинтоксикационным синдромом. Заболеваемость туберкулезом легких имеет древнейшую историю: туберкулезная инфекция была известна еще представителям ранних цивилизаций. Прежнее название заболевания «рhtisis» в переводе с греческого обозначает «чахотка, истощение», а учение о туберкулезе получило название «фтизиатрии».
На сегодняшний день туберкулез легких представляет не только медико-биологическую, но и серьезную социально-экономическую проблему. По данным ВОЗ, туберкулезом инфицирован каждый третий житель планеты, смертность от инфекции превышает 3 млн. человек в год. Легочный туберкулез является самой частой формой туберкулезной инфекции. Удельный вес туберкулеза других локализаций (суставов, костей и позвоночника, гениталий, кишечника, серозных оболочек, ЦНС, глаз, кожи) в структуре заболеваемости значительно ниже.

Характеристика возбудителя
Отличительной чертой МБТ является их высокая устойчивость к внешним воздействиям (высоким и низким температурам, влажности, воздействию кислот, щелочей, дезинфектантов). Наименьшую стойкость возбудители туберкулеза легких демонстрируют к солнечному свету. Для человека опасность представляют туберкулезные бактерии человеческого и бычьего типа; случаи инфицирования птичьим типом микобактерий крайне редки.
Пути заражения
Основной путь заражения при первичном туберкулезе легких - аэрогенный: от больного открытой формой человека микобактерии распространяются с частичками слизи, выделяемыми в окружающую среду при разговоре, чихании, кашле; могут высыхать и разноситься с пылью на значительные расстояния. В дыхательные пути здорового человека инфекция чаще попадает воздушно-капельным или пылевым путем.
Меньшую роль в инфицировании играют алиментарный (при употреблении зараженных продуктов), контактный (при использовании общих предметов гигиены и посуды) и трансплацентарный (внутриутробный) пути. Причиной вторичного туберкулеза легких выступает повторная активация ранее перенесенной инфекции либо повторное заражение.
Факторы риска
Однако попадание МБТ в организм не всегда приводит к заболеванию. Факторами, на фоне которых туберкулез легких развивается особенно часто, считаются:
- неблагоприятные социально-бытовые условия
- курение и другие химические зависимости
- недостаточное питание
- иммуносупрессия (ВИЧ-инфекция, прием глюкокортикоидов, состояние после трансплантации органов)
- онкологические заболевания и др.
В группе риска по развитию туберкулеза легких находятся мигранты, заключенные, лица, страдающие наркотической и алкогольной зависимостью. Также имеет значение вирулентность инфекции и длительность контакта с больным человеком.
При снижении местных и общих факторов защиты микобактерии беспрепятственно проникают в бронхиолы, а затем в альвеолы, вызывая специфическое воспаление в виде отдельных или множественных туберкулезных бугорков или очагов творожистого некроза. В этот период появляется положительная реакция на туберкулин - вираж туберкулиновой пробы. Клинические проявления туберкулеза легких на этой стадии часто остаются нераспознанными. Небольшие очажки могут самостоятельно рассасываться, рубцеваться или обызвествляться, однако МБТ в них длительно сохраняются.
«Пробуждение» инфекции в старых туберкулезных очагах происходит при столкновении с экзогенной суперинфекцией либо под влиянием неблагоприятных эндо- и экзогенных факторов. Вторичный туберкулез легких может протекать в экссудативной или продуктивной форме. В первом случае вокруг первоначального очага развивается перифокальное воспаление; в дальнейшем инфильтраты могут подвергаться распаду, расплавлению с отторжением казеозных масс и формированию каверн. При продуктивных формах туберкулезного процесса в легких разрастается соединительная ткань, что приводит к легочному фиброзу, деформации бронхов, формированию бронхоэктазов.
Первичный туберкулез легких - это впервые развившаяся инфильтрация легочной ткани у лиц, не имеющих специфического иммунитета. Диагностируется преимущественно в детском и подростковом возрасте; реже возникает у лиц старшего и пожилого возраста, которые в прошлом перенесли первичную инфекцию, закончившуюся полным излечением. Первичный туберкулез легких может принимать форму:
- первичного туберкулезного комплекса (ПТК)
- туберкулеза внутригрудных лимфоузлов (ВГЛУ)
- хронически текущего туберкулеза.
Вторичный туберкулез легких развивается при повторном контакте с МБТ или в результате реактивации инфекции в первичном очаге. Основные вторичные клинические формы представлены:
Отдельно различают кониотуберкулез (туберкулез, развивающийся на фоне пневмокониозов), туберкулез верхних дыхательных путей, трахеи, бронхов; туберкулезный плеврит. При выделении больным МБТ в окружающую среду с мокротой говорят об открытой форме (ВК+) туберкулеза легких; при отсутствии бацилловыделения - о закрытой форме (ВК-). Также возможно периодическое бацилловыделение (ВК±).
Течение туберкулеза легких характеризуется последовательной сменной фаз развития:
- 1) инфильтративной
- 2) распада и обсеменения
- 3) рассасывания очага
- 4) уплотнения и обызвествления.
Симптомы туберкулеза легких
Первичный туберкулезный комплекс
Первичный туберкулезный комплекс сочетает в себе признаки специфического воспаления в легком и регионарный бронхоаденит. Может протекать бессимптомно или под маской простудных заболеваний, поэтому выявлению первичного туберкулеза легких способствуют массовые скрининги детей (проба Манту) и взрослых (профилактическая флюорография).
Чаще возникает подостро: больного беспокоит сухой кашель, субфебрилитет, утомляемость, потливость. При острой манифестации клиника напоминает неспецифическую пневмонию (высокая лихорадка, кашель, боль в груди, одышка). В результате лечения происходит рассасывание или обызвествление ПТК (очаг Гона). В неблагоприятных случаях может осложняться казеозной пневмонией, образованием каверн, туберкулезным плевритом, милиарным туберкулезом, диссеминацией микобактерий с поражением почек, костей, мозговых оболочек.
Туберкулез внутригрудных лимфоузлов
При туберкулезе ВГЛУ симптоматика обусловлена сдавлением крупных бронхов и органов средостения увеличенными лимфоузлами. Для данной формы характерны сухой кашель (коклюшеподобный, битональный), увеличение шейных и подмышечных узлов. У детей раннего возраста нередко возникает затрудненный выдох - экспираторный стридор. Температура субфебрильная, могут иметь место фебрильные «свечки».
Признаки туберкулезной интоксикации включают отсутствие аппетита, снижение массы тела, утомляемость, бледность кожи, темные круги под глазами. На венозный застой в грудной полости может указывать расширение венозной сети на коже грудной клетки. Данная форма нередко осложняется туберкулезом бронхов, сегментарными или долевыми ателектазами легких, хронической пневмонией, экссудативным плевритом. При прорыве казеозных масс из лимфоузлов через стенку бронхов могут формироваться легочные очаги туберкулеза.
Очаговый туберкулез легких
Клиническая картина очагового туберкулеза малосимптомна. Кашель отсутствует или возникает редко, иногда сопровождается выделением скудной мокроты, болями в боку. В редких случаях отмечается кровохарканье. Чаще больные обращают внимание на симптомы интоксикации: непостоянный субфебрилитет, недомогание, апатию, пониженную работоспособность. В зависимости от давности туберкулезного процесса различают свежий и хронический очаговый туберкулез легких.
Течение очагового туберкулеза легких относительно доброкачественное. У больных с нарушенной иммунной реактивностью заболевание может прогрессировать в деструктивные формы туберкулеза легких.
Инфильтративный туберкулез легких
Клиническая картина инфильтративного туберкулеза легких зависит от величины инфильтрата и может варьировать от нерезко выраженных симптомов до острого лихорадочного состояния, напоминающего грипп или пневмонию. В последнем случае отмечается выраженная высокая температура тела, ознобы, ночная потливость, общая слабость. Со стороны органов дыхания беспокоит кашель с мокротой и прожилками крови.
В воспалительный процесс при инфильтративной форме туберкулеза легких часто вовлекается плевра, что обусловливает появление болей в боку, плеврального выпота, отставание пораженной половины грудной клетки при дыхании. Осложнениями инфильтративного туберкулеза легких могут стать казеозная пневмония, ателектаз легкого, легочное кровотечение и др.
Диссеминированный туберкулез легких
Может манифестировать в острой (милиарной), подострой и хронической форме. Тифоидная форма милиарного туберкулеза легких отличается преобладанием интоксикационного синдрома над бронхолегочной симптоматикой. Начинается остро, с нарастания температуры до 39-40 °С, головной боли, диспепсических расстройств, резкой слабости, тахикардии. При усилении токсикоза может возникать нарушение сознания, бред.
При легочной форме милиарного туберкулеза легких с самого начала более выражены дыхательные нарушения, включающие сухой кашель, одышку, цианоз. В тяжелых случаях развивается острая сердечно-легочная недостаточность. Менингеальной форме соответствуют симптомы поражения мозговых оболочек.
Подострое течение диссеминированного туберкулеза легких сопровождается умеренной слабостью, понижением работоспособности, ухудшением аппетита, похуданием. Эпизодически возникают подъемы температуры. Кашель продуктивный, не сильно беспокоит больного. Иногда первым признаком заболевания становится легочное кровотечение.
Хронический диссеминированный туберкулез легких при отсутствии обострения бессимптомен. Во время вспышки процесса клиническая картина близка к подострой форме. Диссеминированный туберкулеза легких опасен развитием внелегочного туберкулеза, спонтанного пневмоторакса, тяжелых легочных кровотечений, амилоидоза внутренних органов.
Кавернозный и фиброзно-кавернозный туберкулез легких
Характер течения кавернозного туберкулезного процесса волнообразный. В фазу распада нарастают интоксикационные симптомы, гипертермия, усиливается кашель и увеличивается количество мокроты, возникает кровохарканье. Часто присоединяется туберкулез бронхов и неспецифический бронхит.
Фиброзно-кавернозный туберкулез легких отличается формированием каверн с выраженным фиброзным слоем и фиброзными изменениями легочной ткани вокруг каверны. Протекает длительно, с периодическими обострениями общеинфекционной симптоматики. При частых вспышках развивается дыхательная недостаточность II-III степени.
Осложнениями, связанными с деструкцией легочной ткани, являются профузное легочное кровотечение, бронхоплевральный свищ, гнойный плеврит. Прогрессирование кавернозного туберкулеза легких сопровождается эндокринными расстройствами, кахексией, амилоидозом почек, туберкулезным менингитом, сердечно-легочной недостаточностью - в этом случае прогноз становится неблагоприятным.
Цирротический туберкулез легких
Является исходом различных форм туберкулеза легких при неполной инволюции специфического процесса и развитии на его месте фиброзно-склеротических изменений. При пневмоциррозе бронхи деформированы, легкое резко уменьшено в размерах, плевра утолщена и нередко обызвествлена.
Изменения, происходящие при цирротическом туберкулезе легких, обусловливают ведущие симптомы: выраженную одышку, тянущую боль в груди, кашель с гнойной мокротой, кровохарканье. При обострении присоединятся признаки туберкулезной интоксикации и бацилловыделение. Характерным внешним признаком пневмоцирроза служит уплощение грудной клетки на стороне поражения, сужение и втянутость межреберных промежутков. При прогрессирующем течении постепенно развивается легочное сердце. Цирротические изменения в легких необратимы.
Туберкулома легкого
Представляет собой инкапсулированный казеозный очаг, сформировавшийся в исходе инфильтративного, очагового или диссеминированного процесса. При стабильном течении симптомы не возникают, образование выявляется при рентгенографии легких случайно. В случае прогрессирующей туберкуломы легкого нарастает интоксикация, появляется субфебрилитет, боль в груди, кашель с отделением мокроты, возможно кровохарканье. При распаде очага туберкулома может трансформироваться в кавернозный или фиброзно-кавернозный туберкулез легких. Реже отмечается регрессирующее течение туберкуломы.
Диагноз той или иной формы туберкулеза легких выставляется врачом-фтизиатром на основании совокупности клинических, лучевых, лабораторных и иммунологических данных. Для распознавания вторичного туберкулеза большое значение имеет подробный сбор анамнеза. Для подтверждения диагноза проводится:
- Лучевая диагностика.Рентгенография легких является обязательным диагностической процедурой, позволяющей выявить характер изменений в легочной ткани (инфильтративный, очаговый, кавернозный, диссеминированный и т. д.), определить локализацию и распространенность патологического процесса. Выявление кальцинированных очагов указывает на ранее перенесенный туберкулезный процесс и требует уточнения данных с помощью КТ или МРТ легких.
- Анализы. Обнаружение МБТ достигается неоднократным исследованием мокроты (в т. ч. с помощью ПЦР), промывных вод бронхов, плеврального экссудата. Но сам по себе факт отсутствия бацилловыделения не является основанием для исключения туберкулеза легких. Современные иммунологические тесты позволяют выявить туберкулезную инфекцию почти со 100%-ной вероятностью. К ним относятся QuantiFERON и Т-спот. ТБ.
- Туберкулинодиагностика. К методам туберкулинодиагностики относятся диаскин-тест, пробы Пирке и Манту, однако сами по себе данные методы могут давать ложные результаты. Иногда для подтверждения туберкулеза легких приходится прибегать к пробному лечению противотуберкулезными препаратами с оценкой динамики рентгенологической картины.
По результатам проведенной диагностики туберкулез легких дифференцируют с пневмонией, саркоидозом легких, периферическим раком легкого, доброкачественными и метастатическими опухолями, пневмомикозами, кистами легких, абсцессом, силикозом, аномалиями развития легких и сосудов. Дополнительные методы диагностического поиска могут включать бронхоскопию, плевральную пункцию, биопсию легкого.

Лечение туберкулеза легких
Во фтизиатрической практике сформировался комплексный подход к лечению туберкулеза легких, включающий медикаментозную терапию, при необходимости - хирургическое вмешательство и реабилитационные мероприятия. Лечение проводится поэтапно: сначала в тубстационаре, затем в санаториях и, наконец, амбулаторно. Режимные моменты требуют организации лечебного питания, физического и эмоционального покоя.
- Противотуберкулезная терапия. Ведущая роль отводится специфической химиотерапии с помощью препаратов с противотуберкулезной активностью. Для терапии различных форм туберкулеза легких разработаны и применяются 3-х, 4-х и 5-тикомпонентные схемы (в зависимости от количества используемых препаратов). К туберкулостатикам первой линии (обязательным) относятся изониазид и его производные, пиразинамид, стрептомицин, рифампицин, этамбутол; средствами второго ряда (дополнительными) служат аминогликозиды, фторхинолоны, циклосерин, этионамид и др. Способы введения препаратов различны: перорально, внутримышечно, внутривенно, эндобронхиально, внутриплеврально, ингаляторно. Курсы противотуберкулезной терапии проводят длительно (в среднем 1 год и дольше).
- Патогенетическая терапия. При туберкулезе легких включает прием противовоспалительных средств, витаминов, гепатопротекторов, инфузионную терапию и пр. В случае лекарственной резистентности, непереносимости противотуберкулезных средств, при легочных кровотечениях используется коллапсотерапия.
- Хирургическое лечение. При соответствующих показаниях (деструктивных формах туберкулеза легких, эмпиеме, циррозе и ряде др.) применяются различные оперативные вмешательства: кавернотомию, торакопластику, плеврэктомию, резекцию легких.
Профилактика
Профилактика туберкулеза легких является важнейшей социальной проблемой и приоритетной государственной задачей. Первым шагом на этом пути является обязательная вакцинация новорожденных, детей и подростков. При массовых обследованиях в дошкольных и школьных учреждениях используется постановка внутрикожных туберкулиновых проб Манту. Скрининг взрослого населения осуществляется путем проведения профилактической флюорографии.
Читайте также:
- Язвенный стоматит
- Примитивная нейроэктодермальная опухоль глазницы: признаки, гистология, лечение, прогноз
- Хлорид лития в качестве индикатора. Термодилюция
- Ювелирные украшения и психология. Как золото и бриллианты могут изменить психику?
- Грациозная растяжка всего за неделю. Эффективные упражнения для растяжки
