Язвенный стоматит - причины, симптомы, диагностика и лечение
Добавил пользователь Евгений Кузнецов Обновлено: 28.01.2026
Язвенный стоматит - это воспалительное заболевание полости рта, сопровождающееся очаговой деструкцией слизистой оболочки. Язвенный стоматит проявляется отеком и гиперемией слизистой полости рта, на фоне которых образуются одиночные или множественные кровоточащие и болезненные язвы, покрытые налетом. Язвенный процесс сопровождается галитозом, лихорадкой, регионарным лимфаденитом. Диагностика язвенного стоматита включает проведение стоматологического осмотра, исследование соскоба слизистой оболочки. Лечение язвенного стоматита состоит в местной обработке язв и полости рта анестетиками, антимикробными препаратами и протеолитическими ферментами; при необходимости показан прием антибиотиков, антигистаминных средств, поливитаминов.
МКБ-10
Общие сведения
Язвенный стоматит - воспалительный процесс, протекающий с нарушением целостности всех слоев слизистой оболочки полости рта и образованием язвенных дефектов. Язвенный стоматит является наиболее тяжелой разновидностью стоматита, поскольку вызывает глубокие повреждения слизистой оболочки ротовой полости и доставляет большие страдания пациенту. В зависимости от зоны поражения (язык, десны, щеки, губы) различают язвенный глоссит, язвенный гингивит, язвенный палатинит, язвенный хейлит.
Наиболее часто язвенный стоматит развивается у детей от 6 месяцев до 3-х лет, а также у пациентов пожилого возраста. Язвенно-некротическим стоматитом болеют преимущественно молодые мужчины.
Причины
Язвенный стоматит чаще является самостоятельным заболеванием, но может развиваться вторично, на фоне имеющейся патологии внутренних органов (симптоматический язвенный стоматит). В основе развития язвенного стоматита лежат определенные местные реакции иммунной системы на различные раздражители. Причиной язвенного стоматита могут стать следующие факторы, непосредственно воздействующие на слизистую оболочку полости рта:
- Травматические. К развитию язвенного стоматита могут привести микротравмы, полученные при нарушении техники стоматологических манипуляций во время лечения и протезирования зубов, вследствие неправильной подгонки протезов, использования биологически несовместимых материалов.
- Инфекционные. Во многих случаях язвенный стоматит имеет инфекционную природу. Например, язвенно-некротический стоматит Венсана («окопный рот») вызывается симбиозом условно-патогенных бактерий - фузиформной палочки и спирохеты Венсана, встречающихся в полости рта и при особых условиях провоцирующих острый эрозивно-язвенный процесс с некрозом мягких тканей.
- Химические. Использование зубных паст, содержащих лауриловый сульфат натрия, приводит к высушиванию слизистой оболочки полости рта и повышает ее чувствительность к различным раздражителям.
- Термические. Употребление слишком горячих напитков, ожоги полости рта повреждают слизистую, вызывая образование язвенно-эрозивных дефектов.
Факторы риска
Развитию язвенного стоматита способствуют фоновые местные процессы:
- недостаточная гигиена полости рта,
- наличие обильного зубного налета и зубного камня, кариозных зубов,
- дисбактериоза ротовой полости.
- запущенные формы катарального стоматита.
Существенная роль в этиопатогенезе отводится общим заболеваниям, состоянию иммунной реактивности. Несформированность детского иммунитета делает детей раннего возраста более других подверженными развитию язвенного стоматита. Язвенный стоматит чаще встречается у пациентов с:
- заболеваниями ЖКТ (язвенной болезнью желудка и двенадцатиперстной кишки, хроническим энтеритом);
- сердечно-сосудистой патологией;
- болезнями крови (лейкозом);
- аллергическими и инфекционными заболеваниями (скарлатиной, гриппом, корью);
- иммунодефицитами;
- нарушениями обмена веществ;
- гиповитаминозом, особенно недостатком витаминов C, P и группы B;
- неполноценным и некачественным питанием;
- неблагоприятнымисанитарно-гигиенические и социально-бытовыми условиями жизни.
Симптомы язвенного стоматита
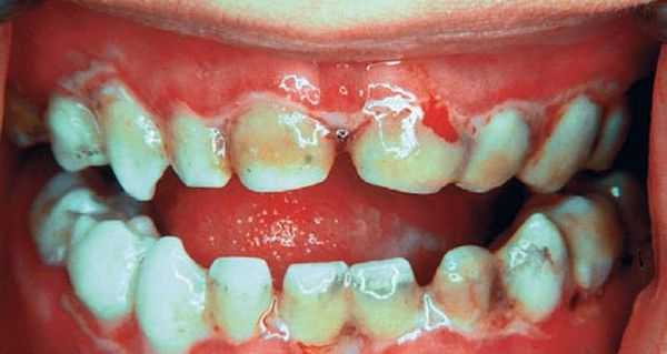
Начальные симптомы язвенного стоматита напоминают проявления катаральной формы и характеризуются покраснением, отечностью, жжением в области десневого края и межзубных сосочков с постепенным распространением процесса на соседние участки. Через 2-3 дня на деснах, щеках и под языком образуются одиночные, достаточно болезненные округлые язвочки, покрытые бело-серым налетом. Наблюдаются гиперсаливация, галитоз, повышение температуры тела до субфебрильных значений, общее недомогание. Резкая боль затрудняет прием пищи и речь больного.
Язвенный стоматит может перейти в хроническую форму с нерезко выраженными симптомами и незначительными болями. Хронический язвенный стоматит может приводить к различным осложнениям (риниту, среднему отиту, гастроэнтериту, плевриту, эндокардиту) и становиться причиной потери зубов.
Стоматит Венсана
При язвенно-некротическом стоматите Венсана развивается более тяжелое поражение всей слизистой оболочки полости рта с быстрым нарастанием воспалительного процесса и некротических изменений. Формируются множественные язвы с неровными краями, покрытые серо-зеленым налетом и окруженные отечной, без уплотнений, тканью малинового цвета. Язвенный процесс может перейти на язык и небо Язвы способны сливаться и проникать вглубь ткани, образуя обширные глубокие очаги. При удалении некротических масс изъязвленная слизистая оболочка кровоточит. Любые движения языка, губ и щек сильно болезненны. Характерен гнилостный запах изо рта, зловонная густая обильная слюна. При тяжелом течении язвенного стоматита может отмечаться припухлость щек.
Регионарные лимфоузлы уплотнены, увеличены и резко болезненны; температура тела может повышаться до фебрильной. Состояние больного ухудшается: он становится беспокойным, теряет аппетит, сон. Продолжительность острого периода язвенного стоматита колеблется от 10 до 15 дней. Некротический процесс может углубляться с обнажением кости неба и челюсти, осложняться развитием остеомиелита.
Диагностика
Диагноз язвенного стоматита устанавливается стоматологом на основании жалоб пациента и данных визуального осмотра полости рта. В ходе стоматологического обследования оцениваются гигиенические индексы, расположение и внешний вид язв, выявляются местные раздражающие факторы. Важную диагностическую роль играет цитологическое, микробиологическое, ПЦР-исследование соскоба со слизистой оболочки.
Так как язвенный стоматит может быть симптомом ряда других заболеваний, дополнительно могут проводиться клинический, биохимический анализы крови, определение сахара крови, иммунного статуса. При необходимости больным с язвенным стоматитом рекомендуются консультации гастроэнтеролога, гематолога, кардиолога, эндокринолога, аллерголога-иммунолога и др.
Лечение язвенного стоматита
В лечении язвенного стоматита важно не только купировать симптомы заболевания, но и устранить первопричину, способствующую его развитию. Рекомендовано обильное питье, щадящая нераздражающая пища. При легкой форме язвенного стоматита достаточно местного лечения, при тяжелой - добавляется системная терапия.
- Стоматологическое лечение. Под местной аппликационной анестезией выполняется профессиональная гигиена полости рта, снятие зубного камня и налета, сошлифовывание острых краев зубов. После стихания острых воспалительных явлений показана системная санация полости рта, экстракция разрушенных зубов, лечение кариеса и заболеваний пародонта, повторное рациональное протезирование.
- Местная обработка. Полость рта орошается теплыми низкопроцентными растворами перекиси водорода, фурацилина, хлоргексидина, перманганата калия и отварами трав; назначаются аппликации геля с метронидазолом на пораженные участки. Для очищения язвенной поверхности от некротических масс применяются протеолитические ферменты - трипсин, дезоксирибонуклеаза. Ускорению эпителизации способствует использование регенерирующих мазей, масла облепихи и шиповника.
- Общая медикаментозная терапия. Включает дезинтоксикационную и антибактериальную терапию, прием антигистаминных препаратов, поливитаминов.
- Физиотерапия. На процесс лечения язвенного стоматита благотворно влияют физиопроцедуры - УФО, ультразвук.
При своевременном интенсивном лечении язвенные очаги закрываются за 6-8 дней; в случае хронической формы требуется более длительная терапия и диспансерное наблюдение у пародонтолога в течение 1 года.
Прогноз и профилактика
Прогноз язвенного стоматита благоприятный, однако во многом зависит от формы и тяжести заболевания. Своевременное грамотное лечение язвенного стоматита приводит к выздоровлению; в запущенных случаях процесс приобретает хроническое рецидивирующее течение, провоцирует развитие пародонтита и пародонтоза. Исходом язвенно-некротического стоматита может быть рубцевание десны с обнажением шейки и части корня зуба.
Профилактика язвенного стоматита заключаются в соблюдении гигиены полости рта; лечении хронических инфекционных, желудочно-кишечных и сердечно-сосудистых заболеваний; правильной подгонке зубных протезов, отказе от курения и употребления алкоголя, укреплении иммунитета.
Афтозный стоматит - симптомы и лечение
Что такое афтозный стоматит? Причины возникновения, диагностику и методы лечения разберем в статье доктора Свистельниковой Анны Валерьевны, стоматолога со стажем в 3 года.
Над статьей доктора Свистельниковой Анны Валерьевны работали литературный редактор Юлия Липовская , научный редактор Сергей Федосов и шеф-редактор Лада Родчанина
Определение болезни. Причины заболевания
Афтозный стоматит — воспаление слизистой оболочки полости рта, характеризующееся нарушением поверхностного слоя слизистой и появление афт (эрозий).

Заболевание сопровождается резкой болезненностью, жжением, увеличением лимфоузлов, в редких случаях повышением температуры тела. Возникшие в полости рта афты заживают и бесследно проходят в течение 7-10 дней.
Причины развития афтозного стоматита ещё не до конца изучены. Известн о, что с томатит может быть как самостоятельным заболеванием слизистой полости рта, так и проявлением других серьёзных патологий, например заболеваний желудочно-кишечного тракта. Достаточно хорошо известны факторы, способствующие развитию стоматита:
- наследственность;
- инфекционные болезни, такие как ветрянка, инфекционный ларингит;
- заболевания пищеварительного тракта (вирусные гепатиты, язвенная болезнь желудка);
- нехватка витаминов и питательных веществ из-за нерационального питания (отсутствия в рационе фруктов и овощей);
- воздействие аллергенов (цитрусовых, компонентов средств гигиены, таких как лаурилсульфат натрия);
- продолжительные стрессы;
- вирус герпеса, оставшийся в организме после простого или опоясывающего герпеса; ;
- вредные привычки: курение и алкоголизм;
- употребление немытых фруктов и овощей;
- непроизвольные травмы слизистой рта (во сне, во время еды); ;
- механическое повреждение слизистой полости рта во время ношения брекетов;
- ожог ротовой полости из-за употребления слишком горячей пищи;
- ослабленный иммунитет, изменение гормонального фона (менструальный цикл, беременность);
- болезни крови, туберкулёз, сифилис;
- смена климата;
- занесение грязных рук или предметов в рот.
Перечисленные факторы запускают процесс развития афтозного стоматита, так как некоторые из них (инфекционные процессы, вирус герпеса, стрессовые ситуации) ослабляют иммунитет, а другие (приём в пищу немытых продуктов питания, повреждение слизистой, кариес) приводят к проникновению патогенной микрофлоры в полость рта.
Статистические данные, посвящённые афтозному стоматиту, свидетельствуют о том, что у детей это заболевание диагностируется чаще, чем у взрослых. Это связано с тем, что у детей более слабый иммунитет и они часто не соблюдают гигиенические нормы: берут в рот разные предметы, занося инфекцию или болезнетворные бактерии и травмируя слизистую. Во взрослом возрасте преобладает хроническая форма заболевания, особенно это отмечается среди людей 20-40 лет, что связано с особенностями образа жизни и отсутствием терапии при появлении симптомов острого стоматита [3] .
При обнаружении схожих симптомов проконсультируйтесь у врача. Не занимайтесь самолечением - это опасно для вашего здоровья!
Симптомы афтозного стоматита
Ключевым признаком стоматита является возникновение единичных или множественных афт (эрозий), которые представляют собой язвы на слизистой полости рта размером 3-5 мм. Обычно язвы имеют белый, жёлтый или серый цвет и красную окантовку. Афты причиняют дискомфорт человеку, поскольку при прикосновении вызывают сильную боль.
Сложность диагностирования стоматита заключается в том, что на начальном этапе развития заболевание проходит практически бессимптомно. Признаки могут проявиться, если задеть эрозии при приёме пищи или во время чистки зубов. Пациент при этом чувствует резкую боль во рту, которая сигнализирует о наличии повреждения слизистой. Стоит отметить, что в детском возрасте развитие стоматита происходит с более выраженной симптоматикой, чем во взрослом.

Выделяют и второстепенные признаки стоматита, которые указывают на дальнейшее прогрессирование заболевания:
- появление слабости, общей усталости;
- отсутствие аппетита;
- повышение температуры тела до 39 ◦ С;
- увеличение лимфоузлов на шее;
- изменение вкусовых ощущений;
- покраснение и небольшая отёчность слизистой полости рта [9] .
Патогенез афтозного стоматита
Современная медицина выделяет несколько теорий возникновения стоматита, каждая из которых имеет свои основания и положения. Однако большинство учёных сходятся во мнении, что ведущим в патогенезе афтозного стоматита является инфекционно-аллергический фактор. Он выражается в изменении реактивности организма, его сенсибилизации (повышенной чувствительности) к стафилококку, стрептококку и другим микроорганизмам, которые в норме постоянно содержаться в полости рта. При определённых нарушениях они переходят в статус патогенных и вызывают воспалительные процессы.
Учёными также признаётся теория о влиянии аутоиммунных процессов, поскольку здесь имеет значение перекрёстная иммунная реакция. Сущность данной теории состоит в том, что антитела, которые вырабатываются для уничтожения патогенных бактерий на слизистых полости рта и кишечника, способны ошибочно атаковать эпителиальные клетки слизистой из-за сходства структур. При данном механизме аутоиммунные заболевания ЖКТ (например язвенный колит) являются пусковым механизмом развития афтозного стоматита.
Возникновение рецидивирующих афт, по мнению учёных И.Г. Лукомского и И.О. Новик [11] , имеет аллергическую природу. Такое предположение было выдвинуто в связи с тем, что рецидивы совпадали с расстройствами эндокринной системы, менструациями, беременностью и обострениями заболеваний желудочно-кишечного тракта. При данных состояниях иммунитет снижается и организм наиболее подвержен атаке аллергенов. В качестве аллергена могут выступать пищевые продукты, зубные пасты, пыль, глисты и продукты их жизнедеятельности.
Скорость проявления и развития заболевания у каждого человека индивидуальна, поскольку зависит от множества различных факторов: нарушения диеты, сильных стрессовых ситуаций, приёма определённых медикаментозных препаратов, хронических соматических заболеваний, а также гипо- и авитаминозов, которые наиболее выражены в осенний и весенний периоды.
Афты развиваются в результате изменений, происходящих в стенках сосуда. Вследствие проникновения в слизистую инфекционного агента стенки сосудов расширяются, увеличивается их проницаемость, что впоследствии приводит к возникновению отёка [3] .
В патогенезе афтозного стоматита выделяется три ключевых периода:
- Продромальный период. Слизистая сухая, воспалённая, возникает болезненность и дискомфорт, увеличивается температура тела до 38 °С, появляются признаки, похожие на ОРЗ: болит голова, появляется озноб, ухудшается общее самочувствие, воспаляются лимфоузлы.
- Период высыпаний. Может протекать в лёгкой, средней или тяжёлой форме. На воспалённых участках появляются язвочки, покрытые белым налётом, при прикосновении к такому образованию ощущается резкая боль. Также наблюдается высокая температура, приём пищи и общение затруднены;
- Период угасания болезни. При терапии выздоровление наступает на 10-12 день: язвы покрываются новым здоровым слоем эпителия, болезненность проходит.
Классификация и стадии развития афтозного стоматита
На сегодняшний день существует две формы афтозного стоматита: острый и хронический. Они имеют свои особенности развития и протекания, а также симптоматику.
Острый афтозный стоматит. Характеризуется появлением язв и покраснений в полости рта, которые имеют округлую форму и белый либо серый цвет. При этом на слизистой образуется припухлость и отёчность. К симптомам данной формы относится:
- острая боль при приёме пищи и во время чистки зубов;
- увеличение лимфоузлов в области шеи и затылка;
- повышение температуры;
- появление слабости тела и общей усталости.
Данная форма заболевания при своевременном обращении к специалисту и строгом соблюдении назначенного плана лечения длится в течение 7-10 дней, после чего все язвы заживают и не оставляют следов на слизистой полости рта. В противном случае болезнь перетекает в хроническую форму, что значительно усложняет и затягивает процесс выздоровления.

Хроническая форма стоматита имеет свою классификацию в которой выделяется два классификационных признака: степень тяжести и клиническое проявление.
Классификация по клиническому проявлению предусматривает наличие следующих форм хронического рецидивирующего стоматита [13] :
- Фибринозный стоматит проявляется на слизистой оболочке в виде желтоватых пятен с признаками гиперемии, на их поверхности появляется фибрин, плотно спаянный с окружающими тканями. По мере прогрессирования фибрин отторгается, в результате образуется афта. Эта форма характеризуется появлением 3-5 афт и эпителизацией их в течение 7-10 дней.
- Некротический стоматит. Возникает из-за инфекционных и вирусных возбудителей, происходит отмирание клеток слизистых, длится около месяца.

- Грандулярный стоматит. Отличительной особенностью является поражение слюнных желёз и повторное появление язв после их заживления.
- Рубцующийся стоматит. Продолжительность более трёх месяцев, язвы большого размера (до 1 см), после заживления язв остаются шрамы на слизистой полости рта.
- Деформирующийся стоматит. Самая сложная форма, поскольку язвы поражают слизистую очень сильно, в результате чего возникают рубцы и изменяется структура полости рта.
- Лихеноидный стоматит. На слизистой оболочке полости рта появляются гиперемированные участки, окружённые беловатым валиком гиперплазированного эпителия. Чаще всего эта форма встречается на языке.
Зарубежные авторы [12] выделяют три основных проявления хронического рецидивирующего стоматита:
- Малые афты (афты Микулича). Наиболее распространённая форма (частота встречаемости — 70-85 %). Как правило, малые афты располагаются на слизистой оболочке губ, щёк, дна полости рта, на кончике и нижней поверхности языка. Размер их — не более 10 мм в диаметре.
- Большие афты (некротический периаденит слизистой оболочки рта, или болезнь Сеттона). В диаметре превышают 1 см. Поражают преимущественно мягкое нёбо и зев , встречаются у 10-15 % больных, страдающих ХРАС.
- Герпетиформные язвы — множественные афты округлой формы, размером от 1 до 3 мм, разбросанные по всей слизистой оболочке рта. Встречаются довольно редко — 5-10 % всех случаев ХРАС.
Осложнения афтозного стоматита
Главным осложнением афтозного стоматита является переход заболевания в хроническую форму, что может быть вызвано отсутствием грамотного и эффективного лечения, а также слабым иммунитетом человека.
Важно отметить, что при хронической форме болезнь в первые годы проявляется только в осенне-весенний период, а затем случаи рецидивов учащаются.
Хроническая форма стоматита также имеет свои осложнения. Они выражаются в возникновении вторичной инфекции (тонзиллита, ларингита, ОРВИ, ОРЗ), её возможном попадании в кровь и переносе по всему организму. Также осложнением может стать кровоточивость дёсен и выпадение зубов.
Для предотвращения осложнений любой из форм афтозного стоматита необходимо своевременно обратиться к врачу, пройти комплексное лечение и соблюдать все медицинские предписания [9] .
Диагностика афтозного стоматита
Диагностика афтозного стоматита должна быть основана на оценке клинической картины и сборе информации от пациента. Врач должен знать, как давно проявились первые симптомы, какова их интенсивность, возникали ли подобные случаи ранее, существуют ли какие-либо признаки аллергических реакций. Также нужно выяснить, были ли аналогичные проблемы со здоровьем у ближайших родственников. Кроме того, значение имеет количество и размеры афт, а также состояние слизистой полости рта после их заживления и исчезновения.
В ряде случаев применяется лабораторная диагностика: берётся мазок из полости рта с целью выявить возбудителя, точно поставить диагноз и подобрать лечебную тактику.

Дифференциальную диагностику необходимо проводить с рецидивирующим герпетическим стоматитом, с язвенно-некротическим стоматитом и с изъязвлениями слизистой рта при специфических поражениях и декубитальных язвах ( развиваются из-за непрерывного воздействия травмирующего фактора). Все эти заболевания имеют сходные симптомы и клиническую картину [4] .
Лечение афтозного стоматита
Задача врача при лечении афтозного стоматита — добиться стойкой ремиссии, либо клинического или полного выздоровления.
В лечении данного заболевания крайне важен комплексный подход, который должен включать проведение общей и местной терапии и грамотный подбор медикаментов. Их выбор зависит от формы стоматита и тяжести протекания заболевания.
Одним из этапов является местное лечение. Оно подразумевает обработку афт антисептическими и заживляющими средствами, проведение антисептических полосканий и использование противовоспалительных гелей. На сегодняшний день наиболее эффективными и действенными лекарственными средствами считаются:
- — применяется для антисептической обработки полости рта. — используется на начальном этапе заболевания, чтобы устранить болезненные ощущения. , "Трасилол", клобетазол — противовоспалительные мази с анестетиком. — назначается при аллергических реакциях. , "Гексорал" — антибактериальные средства, рекомендуемые при вторичном инфицировании. — обезболивающий бальзам для борьбы с афтами.
- "Солкосерил-гель" — эпителизирующее средство, применяется после исчезновения язв [10] .
Во время обос трений для удаления некротического налёта с поверхностей эрозий местно необходимо применять такие ферменты, как трипсин, химотрипсин и РНКазу. Значительно ускоряют процесс эпителизации такие средства, как растворы цитраля, витамина С и Р, препараты с соком каланхоэ и прополиса. Использование кортикостероидных мазей предотвращает дальнейшее развитие афт и ускоряет процесс выздоровления.
При лечении стоматита стоит уделять внимание укреплению иммунитета и общего состояния организма, это позволяет более успешно бороться с заболеванием.
Внутрь показан приём антигистаминных препаратов — клемастин, лоратадин , фексофенадин, так как во многих случаях причинами афтозного стоматита могут являться пищевые аллергены или компоненты средств гигиены (такие как лаурилсульфат натрия). Для устранения отёчности и воспаления рекомендуется применять десенсибилизирующие препараты — хифенадин и гистамин с иммуноглобулином. Если же выявлена чувствительность организма к конкретному микробному агенту, то используется специфическая десенсибилизация. По показаниям назначают противовирусные препараты и противогерпетическую вакцину.
При развитии афтозного стоматита важен курсовой приём витаминов на основании предписаний врача. Рекомендуется употребление витаминов группы В и С, которые эффективно влияют на процесс выздоровления. В то же время нужно понимать, что бесконтрольный приём витаминов может привести к различным последствиям: от интоксикации и кишечных расстройств до развития серьёзных хронических заболеваний .
Иногда назначаются иммуномодуляторы и иммунопротекторы, особенно при наличии хронического рецидивирующего афтозного стоматита. Имм уномодуляторы могут ускорить процесс выздоровления за счёт усиления защитных сил организма, поэтому при их использовании возможно быстрее достичь полной ремиссии тяжёлых поражений [14] . Рекомендовано включать в лечебный комплекс фонофорез, электрофорез и лазеротерапию, так как согласно некоторым исследованиям эти процедуры облегчают боль и способствуют более быстрому заживлению [15] .
При афтозном стоматите воспалённая слизистая остро реагирует на пищевые и температурные раздражители, поэтому во время лечения и в период ремиссий важно соблюдать гипоаллергенную диету. Также стоит отказаться от грубой, травмирующей и кислой пищи, которая может усилить признаки повреждения эпителия (сухарики, жёсткий хлеб, кислые соки, газированные напитки, соусы, цитрусовые). Нельзя употреблять алкоголь в любом виде [6] .
Прогноз. Профилактика
Благоприятный исход заболевания возможен в случае своевременного обращения к врачу, правильной диагностики, назначения адекватного лечения и строгого его соблюдения. Только в этом случае существует шанс достичь стойкой и продолжительной ремиссии.
Главным элементом профилактики данного заболевания является правильная гигиена полости рта в домашних условиях, а также на приёме у стоматолога. Для домашней гигиены полости рта следует использовать зубную щётку с щетиной средней жёсткости для устранения травмирующего фактора слизистой полости рта. Зубные пасты должны содержать экстракты противовоспалительных трав (ромашки, календулы, коры дуба), либо они должны быть подобраны стоматологом на приёме. После еды рекомендуется полоскать рот травяным раствором или тёплой кипячёной водой. Необходимо использовать зубные нити, скребки для чистки языка. Очень важно следить за состоянием зубов: регулярно посещать стоматолога, вовремя лечить кариес, снимать зубные отложения. Профессиональную чистку зубов рекомендуется выполнять у гигиениста два раза в год.
Если речь идёт о ребёнке, то взрослые должны создать дома максимально хорошие условия, чтобы избежать развития инфекционных заболеваний. Родители должны следить, как ребёнок проводит гигиенические процедуры: часто ли моет руки, правильно ли чистит зубы, моет ли фрукты и овощи перед едой. Необходимо оградить ребёнка от табачного дыма, а также нельзя забывать о профилактических осмотрах у врачей [2] .
В любом случае, при возникновении каких-либо симптомов у взрослого или ребёнка следует сразу обратиться к врачу, который сможет поставить правильный диагноз и назначить максимально эффективное лечение.
Язвенный стоматит - симптомы и лечение
Что такое язвенный стоматит? Причины возникновения, диагностику и методы лечения разберем в статье доктора Грачевой Юлии Александровны, стоматолога со стажем в 17 лет.
Над статьей доктора Грачевой Юлии Александровны работали литературный редактор Вера Васина , научный редактор Елена Страндстрем и шеф-редактор Лада Родчанина
Язвенный стоматит — воспаление и нарушение поверхностного слоя слизистой оболочки полости рта с появлением язв. Болезненные язвы также могут образовываться и на языке. Немного реже возникают беловатые поражения слизистой, и совсем редко ротовая полость выглядит нормальной, но присутствует синдром жжения во рту .

Язвенный стоматит — это самая сложная форма стоматита. Его проявления в полости рта мешают приёму пищи, могут приводить к обезвоживанию и развитию вторичной инфекции, особенно это выражено у пациентов с иммунодефицитом.
Предрасполагающие факторы для развития язвенного стоматита:
- ослабление иммунной системы;
- курение, алкоголь;
- травмы ротовой полости;
- передача инфекции через грязную еду, игрушки, бытовые вещи, от животных;
- пища и вода плохого качества.
Часто причиной стоматитов становится аллергия или токсическая реакция на некоторые вещества, используемые в стоматологии — препараты для анестезии, пломбировочный материал, брекеты, протезы, ортодонтические пластинки.
Провоцирующими факторами также являются:
- воспалительные заболевания кишечника (язвенный колит, синдром Рейтера);
- болезни системы кровообращения (циклическая нейтропения, хроническая анемия);
- гормональные дисфункции;
- хронический иммунодефицит;
- травмы рта, возникающие, например, из-за плохо подобранных зубных протезов;
- аллергия;
- хронический стресс.
Стоматитам наиболее подвержены дети, распространённость в зависимости от возраста:
- дети 1—3 лет (31 % от общего числа детей, заболевших стоматитом);
- дети грудного возраста (26 %);
- дошкольного возраста (20 %);
- младшего школьного возраста (13 %);
- старшего школьного возраста (10 %).
Чаще всего стоматиты возникают в весенний период, на который приходится 38 % заболевших детей, что связано с ослаблениеи защитных сил организма в это время года. Затем следует зима — 26 %, осень — 25 % и лето — 11 % [17] .
Виды язвенного стоматита:
- травматический;
- инфекционный;
- аллергический;
- хронический рецидивирующий афтозный стоматит.
Все эти формы обладают схожими симптомами: отёком, покраснением слизистой оболочки, наличием язвенных элементов. Расположение воспаления зависит от причины возникновения, например, язвы на боковой поверхности языка могут появляться при травмировании острым краем разрушенного зуба или съёмным зубным протезом.

Ещё одним симптомом язвенного стоматита являются везикулы (пузырьки). Они появляются в основном при инфекционном стоматите. Везикулы возникают на слизистой оболочке рта и коже лица (крыльях носа, щеках, верхней губе) и сохраняются 10-12 дней. Мелкие пузырьки быстро превращаются в эрозии с налётом. Воспаление может сопровождаться болями в суставах, мышцах, невралгией, головной болью и увеличением лимфатических узлов.

Другие симптомы язвенного стоматита — зуд, жжение и сухость во рту, а также боль при приёме пищи. На слизистой оболочке возникают отёк и покраснение, может наступить омертвение сосочков языка. Подобные симптомы чаще наблюдаются при аллергическом стоматите.
Патогенез язвенного стоматита
Механизмы развития стоматита до конца не изучены, но, вероятнее всего, заболевание вызвано реакцией иммунной системы на раздражители. Одна из самых распространённых теорий возникновения заболевания — инфекционно-аллергическая [18] . Согласно ей, стоматит возникает в результате повышенной чувствительности организма к различным аллергенам и микроорганизмам . Важное значение в развитии заболевания имеют аутоиммунные процессы — на слизистой оболочке полости рта обитают различные микроорганизмы, в ответ на их присутствие организм вырабатывает антитела, которые могут атаковать собственные клетки эпителия.
При первых симптомах стоматита под влиянием медиаторов воспаления происходит раздражение чувствительных нервных окончаний . При этом возникает аллергическая реакция немедленного типа с выделением биологически активных веществ, таких как гистамин, брадикинин, ацетилхолин и др. Это приводит к повреждению эпителия слизистой оболочки , расширению стенок сосудов, увеличению их проницаемости, что становится причиной отёка.
К развитию стоматита также могут приводить хронические инфекции желудочно-кишечного тракта и ЛОР-органов. Они способствуют повышению чувствительности к аллергенам и снижению сопротивляемости к микробам.
Хроническое течение и рецидивы могут быть связаны с обострением болезней внутренних органов. Рецидивы обусловлены развитием иммунопатологических реакций на фоне ослабления защитных сил организма.
Классификация и стадии развития язвенного стоматита
Выделяют:
- Травматический стоматит.
- Инфекционный стоматит:
- герпетический;
- везикулярный;
- язвенно-некротический стоматит Венсана.
- Аллергический стоматит.
- Хронический рецидивирующий афтозный стоматит.
- Стоматиты, вызванные интоксикацией солями тяжёлых металлов (свинца, ртути, висмута).
Травматические стоматиты возникают при повреждении слизистой оболочки зубным камнем, краем разрушенной коронки зуба, съёмным зубным протезом, неправильно расположенными зубами. При этом происходит воспаление дёсен, а в дальнейшем — образование язв.
Инфекционные стоматиты. К развитию герпетического стоматита приводит вирус простого герпеса первого типа. При поражении слизистой оболочки сперва появляется воспаление в виде пятна, которое затем превращается в пузырёк с прозрачным либо с мутным содержимым. После этого возникает язва — болезненный покрасневший участок слизистой. В дальнейшем язва превращается в афту — белесоватое внутри образование с покраснением по краям. Затем афта вновь переходит в пятно, и происходит заживление.

Везикулярный стоматит — острая форма инфекционного заболевания, вызванная везиловирусом. Инкубационный период составляет 2-6 дней, после чего пациент ощущает головную боль, дискомфорт при движениях глаз, общую мышечную слабость, озноб, появляется насморк, боль в горле, повышается температура тела. Больные часто жалуются на увеличение шейных лимфоузлов. При везикулярном стоматите на слизистой оболочке рта появляются пузырьки с красным контуром, наполненные жидкостью. Везикулы расположены на дёснах, губах, языке и внутренней поверхности щёк. Они чувствительны, поэтому приём пищи вызывает боль [10] [13] .

При язвенно-некротическом стоматите Венсана на десневых сосочках появляются поверхностные язвочки, покрытые беловатым налётом. В начале заболевания пациенты испытывают головную боль, общую слабость, у них повышается температура, возникает ломота в суставах. У больных кровоточат дёсны, во рту возникает ощущение жжения и сухости. Боль усиливается при малейшем прикосновении, из-за этого язык при разговоре малоподвижен. Приём пищи и чистка зубов практически невозможны. Усиливается выделение слюны, увеличиваются и становятся болезненными регионарные лимфатические узлы, появляется сильный гнилостный запах изо рта.

Для аллергического стоматита характерны покраснение и отёк дёсен. При пузырно-эрозивной форме появляется эрозия с беловатым налётом и крупный пузырь на слизистой оболочке твёрдого нёба, который впоследствии разрывается. Аллергический стоматит часто возникает при аллергии на лекарственные препараты. Самая тяжёлая его форма — язвенно-некротическая, при которой сперва появляются язвы, а в дальнейшем происходит отмирание тканей и образование рубцов на поверхности слизистой.
Хронический рецидивирующий афтозный стоматит. Выделяют три формы:
- Фибринозная форма (афта Микулича) — чаще заболевают девочки и женщины в возрасте от 10 до 30 лет. В полости рта появляются резко болезненные одиночные или множественные изъязвления (афты). Количество афт составляет от 1 до 100, в большинстве случаев — 1-6. Заживление происходит за 7-14 дней с образованием нежного рубца или без видимого рубцевания.
- Некротический периаденит (афта Сеттона) — стоматит начинается как глубокая язва, протекает длительно и волнообразно. Количество язв, как правило, от 2 до 10. При заболевании встречается "ползущая" язва, для которой характерны заживление на одном полюсе и рост на другом. Размер язв — от 1 см до значительного поражения участков слизистой оболочки. При заживлении образуется деформирующий рубец.
- Герпетиформный афтозный стоматит — множественные мелкие неглубокие афты, резко болезненные с частыми рецидивами и кратковременными ремиссиями в течение 1-3 лет. Заболевание начинается с небольших эрозий размером 1-2 мм, которые затем увеличиваются и сливаются в обширные эрозивные поверхности. Изъязвления могут поражать любые участки полости рта.

Осложнения язвенного стоматита
Длительное воздействие слабого раздражителя, например зубного протеза, приводит к разрастанию участков слизистой оболочки щёк, губ, нёба. Вследствие этого может развиться лейкоплакия — заболевание, поражающее слизистую оболочку и приводящее к её визуальным и структурным изменениям. На начальных стадиях болезнь проявляется ороговением и покрытием белесым налетом слизистой нёба, дёсен, языка, внутренней стороны щёк. В дальнейшем возможно образование злокачественной опухоли.

При язвенном стоматите нередко кровоточат дёсны, в отдельных случаях могут выпадать зубы. Также при заболевании снижается иммунитет, из-за чего организм более подвержен инфекциям. Речь больного становится осипшей или хриплой, что чревато возникновением ларингита — болезни горла и связок.
Диагностика язвенного стоматита
На приёме врач расспросит пациента , как давно проявились первые симптомы заболевания, какова их интенсивность, возникали ли подобные случаи ранее. Также доктору необходимо знать о сопутствующих и перенесённых заболеваниях и аллергологическом статусе.
При осмотре ротовой полости стоматолог обратит внимание на зубные отложения, наличие острых краёв коронок зубов, на состояние ортопедических конструкций, патологическую стираемость зубов.
В ряде случаев потребуется лабораторная диагностика. Для этого из полости рта берётся мазок, который поможет выявить возбудителя и подобрать лекарственные препараты.

При аллергическом стоматите дополнительная диагностика может включать биохимический анализ слюны с выявлением активности ферментов. Также может потребоваться определение болевой чувствительности слизистой оболочки и гигиеническая оценка протезов.
Дифференциальную диагностику проводят с трофической язвой, с изъязвлённой опухолью, туберкулёзной и сифилитической язвами, стоматитом Венсана.
Инфекционный стоматит дифференцируют с другими вирусными заболеваниями (везикулярным стоматитом, ящуром и др.), а также с аллергическим стоматитом. Пузырно-эрозивные поражения при аллергическом стоматите слизистой оболочки рта следует отличить от пузырчатки, многоформной экссудативной эритемы, герпетического стоматита.
Основная цель терапии состоит в том, чтобы уменьшить боль и ускорить заживление. Прежде всего необходимо устранить раздражители, которые причиняют дискомфорт пациенту. Далее следует уменьшить симптомы настолько, насколько это возможно.
Для лечения стоматита назначают полоскания растворами фурацилина, мирамистина, хлоргексидина, перекисью водорода. Полоскания уменьшат боль и зуд, очистят ротовую полость от остатков пищи, которые травмируют повреждённые участки.
При сильной боли назначают аппликации с обезболивающими средствами — "Камистадом", "Лидокаин асептом". Лечение различных форм стоматитов будет отличаться.
Инфекционный стоматит. При лечении в первую очередь необходимо понять, вследствие какой проблемы с иммунитетом возникло это состояние, и укрепить защитные силы организма. Для этого внутримышечно вводят "Продигиозан", полость рта обрабатывают антисептиками, протеолитическими ферментами, назначают УФ-терапию [11] .
Везикулярный стоматит. Для уменьшения симптомов будут полезны полноценный отдых, обильное питьё, приём жаропонижающих препаратов. Также слизистую оболочку рта обрабатывают антисептиками ("Супрастин", "Гексэтидин", "Пипольфен") и применяют противовирусные мази — риодоксоловую и теброфеновую. Часто назначают антигерпетические препараты — "Фамцикловир", "Ацикловир", "Валацикловир". Если придерживаться рекомендаций врача, то симптомы заболевания быстро уходят, и больной выздоравливает.
Язвенно-некротический стоматит Венсана. При лечении тщательно удаляют зубные отложения, обрабатывают слизистую оболочку полости рта антисептиками и назначают приём поливитаминов (например, "Компливита").
Аллергический стоматит. Лечение заключается в устранении причины аллергии и приёме внутрь антигистаминных препаратов. В тяжёлых случаях аллергического стоматита вводят внутривенно раствор тиосульфата натрия. При лечении в стационаре назначают капельное вливание гемодеза, изотонического раствора хлорида натрия, полиглюкина, а также приём кортикостероидов.
Хронический рецидивирующий афтозный стоматит. При местном лечении устраняют травматические факторы, полоскают рот тетрациклином (250 мг на 5 мл воды 4 раза в день в течение 5-7 дней), делают аппликации с кортикостероидами и антибиотиками, назначают обезболивающие. При глубоких язвах применяют протеолитические ферменты.
Общее лечение включает приём препаратов:
- , рифампицин (две капсулы дважды в сутки); (по одной таблетке дважды в сутки в течение 20 дней); (10 мл 30 % раствора внутривенно один раз в сутки или 1,5-3 г внутрь);
- "Продигиозан" (начинают с 15 мкг один раз в пять дней и увеличивают дозу до 100 мкг); (50 мг три раза в сутки два дня подряд в неделю или 150 мг однократно);
- "Делагил" (по одной таблетке один раз в день);
- "Колхицин" (по одной таблетке дважды в день в течение двух месяцев);
- "Аевит" (1 мл один раз в день внутримышечно в течение 20 дней);
- "Гистаглобулин" (2 мл подкожно один раз в три дня) [11] .
Стоматиты при интоксикациях солями тяжёлых металлов и химическими растворами. Если на слизистую попало химическое вещество, необходимо сразу смыть его нейтрализующим раствором. Дальнейшее лечение пациентов с химическими ожогами проводится обезболивающими и антисептическими средствами и препаратами, ускоряющими восстановление эпителия. Также важна высококалорийная диета. При обширных рубцах показано оперативное вмешательство [15] .
При своевременном обращении к врачу и адекватном лечении прогноз благоприятный [12] . Тяжелее всего поддаётся терапии хронический рецидивирующий афтозный стоматит. Для профилактики рецидивов следует:
- исключить контакты с провоцирующими факторами;
- придерживаться диеты;
- соблюдать гигиену полости рта;
- своевременно лечить инфекции;
- отказаться от вредных привычек [7][12] .
Для предпреждения стоматита важно следить за состоянием зубов: регулярно посещать стоматолога, вовремя лечить кариес, снимать зубные отложения.
Язвенно-некротический стоматит Венсана ( "Окопный рот" , Язвенно-мембранозный стоматит )
Язвенно-некротический стоматит Венсана - это специфическое инфекционное поражение слизистой оболочки полости рта, вызываемое ассоциацией фузобактерий и спирохет. Пациенты указывают на появление во рту болезненных язв, ухудшение общего состояния, повышение температуры, головную боль, ломоту в мышцах. Постановка диагноза базируется на основе собранного анамнеза, результатов физикального осмотра, данных бактериоскопического и цитологического исследований соскобов с язвенных поверхностей. Основу лечения составляет местная этиотропная терапия. При тяжелом течении показано применение антибиотиков, антипротозойных препаратов в таблетированном виде.
Язвенно-некротический стоматит Венсана («окопный рот», язвенно-мембранозный стоматит) - это воспалительно-деструктивное поражение слизистой оболочки полости рта, возникающие вследствие сенсибилизации организма фузоспириллярной ассоциацией. Клинически проявляется участками изъязвлений, некрозом слизистой. В 1895 году инфекционную природу заболевания подтвердил французский эпидемиолог и бактериолог Венсан. Основную группу пациентов составляют мужчины молодого возраста (от 20 до 30 лет). Чаще всего заболевание диагностируют с октября по декабрь.
Язвенно-некротический стоматит Венсана является самостоятельной нозологической единицей. Но в стоматологии также встречаются и язвенно-некротические изменения слизистой вторичного, симптоматического характера при болезнях крови, иммунодефицитных состояниях.
Заболевание возникает при активизации ассоциации, состоящей из сапрофитных бактерий - веретенообразной палочки и боррелии Венсана. Эти микроорганизмы выявляют у здоровых людей в интерпроксимальных (межзубных) промежутках, в толще корневых каналов, в миндалинах. Развивается язвенно-некротический стоматит Венсана на фоне подавленного иммунитета. Перенесенные операции, стрессовые ситуации, частые инфекционные болезни - все эти факторы снижают резистентность организма, открывая ворота для перехода условно-патогенных микробов в патогенную форму. Местные факторы риска:
- Неудовлетворительный индекс гигиены способствует возникновению заболевания, так как зубные отложения являются благоприятной средой для размножения анаэробной микрофлоры.
- Травмирование слизистой острыми стенками разрушенных зубов, несостоятельными реставрациями, ребристыми элементами ортопедических или ортодонтических конструкций выступает пусковым механизмом в развитии язвенно-некротического стоматита Венсана.
- Прорезывание восьмого зуба также может спровоцировать начало воспалительного процесса.
Патогенез
На патогенетическом уровне язвенно-некротический стоматит Венсана протекает по типу феномена Артюса. Подавленный иммунитет, сниженная защитная функция слизистой способствуют активному размножению анаэробных микроорганизмов. Вследствие инвазии бактерий вглубь соединительной ткани проявляются признаки гингивита.
При длительном течении воспалительного процесса в патологическом очаге наряду с колониями микроорганизмов выявляют высокую концентрацию факторов иммунной защиты. Плазматические клетки продуцируют IgG и IgM, под воздействием которых происходит активизация системы комплемента. Образование комплекса антиген-антитело дает начало запуску иммуннокомплексной реакции 3 типа: развивается поверхностное повреждение стенок сосудов, снижается скорость кровотока, что создает благоприятные условия для тромбообразования. Блокировка кровяным сгустком просвета кровеносных сосудов приводит к ишемии тканей с последующим развитием некроза.
Симптомы
Язвенно-некротический стоматит Венсана разделяют по характеру течения на острый, подострый и хронический. Также выделяют легкую, средней тяжести и тяжелую формы заболевания. Течение язвенно-некротического стоматита Венсана включает начальный период, фазу разгара и стадию разрешения. Все начинается с легкого недомогания. Параллельно в полости рта появляются признаки гингивита: гиперемия, кровоточивость десен. Далее выраженность симптоматики нарастает. Больные жалуются на резкое снижение работоспособности, вялость, потерю аппетита, бессонницу. На слизистой оболочке рта возникают болезненные изъязвления, покрытые сверху наслоениями желтого цвета. В течение последующих 3-4 дней налет приобретает серо-зеленый оттенок.
Некротизированные ткани плотно спаяны с подлежащей поверхностью, при попытке их удаления обнажается кровоточащая рана. Наиболее часто язвенный стоматит выявляют в зоне нижней челюсти позади моляров, на щеках по линии смыкания зубов, на боковых участках языка. У пациентов отмечается гиперсаливация.
- Легкая форма язвенно-некротического стоматита Венсана характеризуется ограниченным участком поражения. Заболевание протекает без нарушения общего состояния.
- При средней тяжести снижается работоспособность, повышается температура тела. Местно язвенный стоматит прогрессирует, увеличивается как площадь, так и глубина поражения.
- Для тяжелой формы характерна выраженная клиника. Дно изъязвлений находится в толще мышечного слоя.
Хронический язвенно-некротический стоматит Венсана протекает вяло. Изъязвления покрыты незначительным налетом серого цвета. В пораженных участках наблюдается деструкция кости. На месте язв формируются рубцы.
Осложнения
При отсутствии лечения патологический очаг может распространиться и на костную ткань, инициируя появление остеомиелита альвеолярного отростка. При локализации язвенно-некротического стоматита Венсана в ретромолярной области возникает тризм. Вследствие вовлечения в воспалительный процесс жевательных мышц пациенты не могут открыть рот. При переходе зоны некроза на миндалины развивается ангина Симановского- Плаута-Венсана.
Постановка диагноза «язвенно-некротический стоматит Венсана» базируется на основе данных клинического осмотра и результатов лабораторной диагностики. Во время физикального обследования врач-стоматолог выявляет на слизистой оболочке ротовой полости одиночные или множественные язвенно-некротические поражения. Края изъязвлений неровные, рваные. Дно гиперемированное, отечное, покрыто толстым слоем серо-зеленого налета. При пальпаторном исследовании выявляют увеличенные, болезненные, уплотненные лимфатические узлы, подвижность которых сохранена.
Изменения в анализе крови характерны для воспалительного процесса: повышается число лейкоцитов, растет СОЭ, лейкоцитарная формула смещается влево. С помощью бактериоскопического исследования удается выявить в поверхностном слое слизистой, наряду с резидентными микроорганизмами, увеличенное количество боррелий Венсана, фузобактерий. Глубокий слой содержит только чистую культуру фузоспириллярного симбиоза. В период разрешения заболевания количество анаэробных микроорганизмов падает.
Цитологический анализ подтверждает наличие картины неспецифического воспаления. В начальном периоде язвенно-некротического стоматита Венсана в исследуемом материале выявляют увеличенное число нейтрофилов в фазе распада. Позже преобладают гистиоциты, фагоцитирующие нейтрофилы.
Для исключения симптоматического стоматита при проведении дифференциальной диагностики может возникнуть необходимость в консультации узких специалистов: гастроэнтеролога, гематолога, инфекциониста, дерматовенеролога. Язвенно-некротический стоматит Венсана дифференцируют с:
- медикаментозным стоматитом,
- распадающейся злокачественной опухолью,
- стоматитом аллергической природы,
- вторичными проявлениями в полости рта при сифилисе, заболеваниях крови, СПИДе, отравлении солями тяжелых металлов (висмутом, свинцом, ртутью), нарушении функционирования органов ЖКТ.
Лечение язвенно-некротического стоматита Венсана
Основу лечения составляет местная терапия. Во время фазы гидратации показано применение местных анестетиков (лидокаин, анестезин). Пролонгированный анальгезирующий эффект достигается и за счет использования аппликаций геля, содержащего холина салицилат и цеталкония хлорид. Для антисептической обработки при язвенно-некротическом стоматите Венсана назначают препараты, обладающие антипротозойным (метронидазол, диоксидин), противомикробным (гентамицин) и протеолитическим (террилитин) действиями.
Очищение язвенных участков проводится с помощью хирургического инструментария под постоянным орошением слизистой антисептическими и некролитическими средствами. Также при язвенно-некротическом стоматите Венсана широко применяют сорбенты. В фазе разрешения показаны кератопластики, действие которых направлено на ускорение восстановительных процессов (например, масло облепихи). На этапе эпителизации проводят санацию полости рта.
Общее этиотропное лечение язвенно-некротического стоматита Венсана включает применение антибиотиков (полусинтетические пенициллины, цефалоспорины), антипротозойных препаратов. В качестве патогенетической терапии используют нестероидные противовоспалительные средства (ибупрофен), антигистаминные препараты. Для симптоматического лечения назначают анальгетики, жаропонижающие и регидратационные медикаментозные средства.
При своевременном выявлении и комплексном лечении язвенно-некротического стоматита Венсана удается полностью купировать воспалительный процесс. Отсутствие квалифицированной терапии приводит к тяжелым последствиям: деструкции кости, ретракции десен, развитию остеомиелита. Профилактические меры направлены на своевременное проведение стоматологических мероприятий, нацеленных на минимизацию рисков развития инфекционного процесса (профессиональная гигиана полости рта, коррекция ортопедических и ортодонтических конструкций и пр.)
Читайте также:
- Диагностика аберрантных арахноидальных грануляций синусов твердой мозговой оболочки по КТ, МРТ
- Компьютерная томография височной кости в норме
- Разрыв маточной трубы
- Неотложная помощь при острой сердечной недостаточности
- Исследования позы и походки при головокружении. Головокружение и нарушение позы с походкой
